Giai đoạn ủ bệnh
Giai đoạn ủ bệnh của sán nhái có thể dao động từ 20 ngày đến 3 năm.
Đặc điểm lâm sàng của bệnh sán nhái lệ thuộc vào cơ quan hoặc mô nào trong cơ thể người bị tác động, ảnh hưởng. Các mô dưới da là thường gặp nhất khi nhiễm ký sinh trùng này, nhưng các tạng và nhãn cầu nếu bị sẽ nguy hiểm và nếu có đôi khi sán nhái có thể gây bệnh ở não (hiếm gặp). Giai đoạn ấu trùng di chuyển sớm trong quá trình phát triển của chúng thường không gây triệu chứng gì, nhưng khi chúng đến vị trí cuối cùng và bắt đầu phát triển, nó bắt đầu gây ra triệu chứng, tạo phản ứng viêm, đau trong các mô xung quanh.
Đặc điểm lâm sàng của bệnh sán nhái thường diễn ra sau khi ấu trùng di chuyển đến các vị trí dưới da. Tại vị trí đến của ấu trùng thường là một mô hay cơ ngực, thành bụng, các chi hay bìu dái. Mặc dù các vị trí khác như mắt, não, đường tiết niệu, màng phổi, màng ngoài tim hay tủy sống cũng có thể liên đới. Giai đoạn sớm của bệnh ở người thường không có triệu chứng nhưng khi điển hình thì sán có thể gây phản ứng viêm đau ở mô xung quanh vị trí dưới da mà chúng đang phát triển.

Hình 1
Các thể lâm sàng
Bệnh ấu trùng sán nhái thể mắt (Ocular sparganosis)
Đây là thể bệnh điển hình nhất của nhiễm trùng sán nhái. Bệnh sán nhái ở mắt có hình ảnh đặc biệt và lâm sàng đặc trưng cho bệnh sán nhái. Các triệu chứng sớm gồm có đau mắt, chảy nước mắt sống (epiphora) và/ hoặc sa mi mắt (ptosis). Các triệu chứng khác gồm phù quanh ổ mắt và /hoặc sưng phù tương tự dấu Romana trong bệnh loétgiác mạc lộ ra. Các triệu chứng hay gặp nhất là một khối tổn thương trong mắt, nếu không điều trị thì bệnh sán nhái ở mắt có thể dẫn đến mù.
Khi ấu trùng sán vào trong mắt tạo ra một phản ứng căng nhức, nhất là phù quanh nhãn cầu, có thể đến mù nếu không can thiệp kịp thời vì ký sinh trùng di chuyển vào đến kết mạc và vào trong ổ mắt. Trong các mô ở ổ mắt, ấu trùng nằm lại phía cực sau gây phản ứng viêm, dẫn đến lồi mắt và thị lực bị ảnh hưởng, một số ca có loét giác mạc. Nói chung thể này thường gây đau mắt, nhức, kích thích, loét giác mạc chảy nước mắt, sưng phù đáng kể mi mắt.
Hình 2-3-4. Tổn thương dạng u sán nhái và sán nhái gây viêm dính kết mạc
Biểu hiện thể mắt thường là sau 1 tuần với biểu hiện mắt bị sưng, đỏ, giảm thị lực và đôi khi chảy nước mẳt ắt dễ nhầm lẫn với các bệnh về mắt khác, nhất là các rối loạn tổn thương giác mạc, khiến thầy thuốc nếu không nghĩ đến dễ chẩn đoán muộn và điều trị không kịp thời, ngay cả người bệnh tự ý dùng thuốc điều trị cho chính mình bằng một số thuốc dung dịch nhỏ mắt. Đến khi đi khám và xét nghiệm chuyên khoa mới phát hiện ra bệnh là do loài ấu trùng sán nhái S. erinacei. Bệnh có thể gây tổn thương và nhiễm trùng lan rộng đến nhãn cầu và hốc mắt và nếu có thể bội nhiễm đi kèm thì bệnh thêm trầm trọng.
Hình 5-6-7. Thương tổn các bộ phận do sán nhái gây ra tại mắt

Hình 8-9. U sán nhái và thương tổn mô bệnh học sau phẩu tích
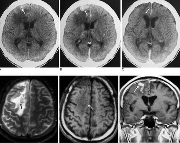
Bệnh ấu trùng sán nhái ở não (Cerebral sparganosis)
Thể bệnh này đặc trưng bởi các cơn động kinh cục bộ, lú lẫn, suy nhược, nhức đầu, giảm trí nhớ, hôn mê, sốt, dị cảm, yếu vận động, và một số triệu chứng khác ở thần kinh trung ương. Thể này thường liên quan đến một bán cầu não, đặc biệt thùy trán đỉnh (frontoparietal lobes), trong một số ca lan rộng đến tiểu não. Bệnh có thể gây nên xuất huyết não.
Nhiều nốt hình thành riêng rẽ dưới da có thể xuất hiện và biến mất theo thời gian. Các nốt thường ngứa, sưng phồng, đỏ lên và có di chuyển, thường kèm theo phù đau. Động kinh, co giật, dị cảm nửa thân mình và nhức đầu cũng là các triệu chứng thường gặp của bệnh sán nhái, đặc biệt bệnh sán nhái thể não và tăng bạch cầu ái toan cũng là dấu chứng cận lâm sàng hay thấy trên các ca như thế.
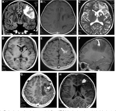
Hình 10-11. Một số thương tổn do sán nhái Spirometra spp. trên cơ quan thần kinh
Trong một trường hợp nhiễm trùng ở não do loài S. erinaceieuropaei, một người đàn ông đã điều trị nhức đầu, co giật, hồi tưởng trí nhớ và cảm giác có mùi lạ. Chụp cộng hưởng từ cho thấy một chùm các vòng tròn, lúc đầu ở bên thùy thái dương trung gian bên phải nhưng sau đó di chuyển theo thời gian đến các vùng khác của não. Nguyên nhân không được xác định trong vòng 4 năm cho đến khi phát hiện bệnh, cuối cùng sinh thiết mô đã cho thấy một con sán dài 1 cm tìm thấy và loại bỏ ra. Bệnh nhân tiếp tục chịu đựng các triệu chứng như vậy.

Hình 12. Ấu trùng sán nhái gây thương tổn nhiều vị trí khác nhau trên nhu mô não
Bệnh ấu trùng sán nhái ở sinh dục tiết niệu (Urogenital sparganosis)
Trong bệnh sán nhái sinh dục, các nốt dưới da xuất hiện tại vùng háng, âm hộ hay bìu giống như khối u.
 | Hình 13.Tổn thương sán nhái Spirometra spp. ở bìu và một bên của vú |
|  |
Bệnh ấu trùng sán nhái ở hệ tiêu hóa (Gastrointestinal sparganosis)
Bệnh sán nhái có thể gây tắc ruột và sán có thể tìm thấy và lấy ra được từ thành ruột, mô vú, bìu, mào tinh hoàn, niệu đạo, bàng quang, khoang bụng, tim.
- Bệnh ấu trùng sán nhái ở hệ hô hấp (Pleuropulmonary sparganosis)
Bệnh sán nhái có thể di chuyển gây kích ứng, khiến bệnh nhân ho khan, không có đờm, giống như hội chứng Loffler, gây thương tổn ở màng phổi và nhu mô phổi.

Hình 14. Ấu trùng sán nhái tổn thương ở vùng đỉnh màng phổi qua nội soi ngực

Hình 15. Ấu trùng sán nhái tổn thương và bội nhiễm hóa mủ ở phổi
Bệnh ấu trùng sán nhái ở da niêm mạc (Mucocutaneous sparganosis)
Ấu trùng sán thường phát triển thành các nốt bất thường đường kính 1-2 cm và các mô xung quanh có biểu hiện đau, phù. Các u, nhú, bướu nhỏ này có thể tồn tại vài tháng đến vài năm mà không có triệu chứng gì, rồi đột nhiên đau.
Một vài bệnh nhân cho biết có các u hạt, nốt nhỏ di chuyển trong nhiều năm. Bệnh có các thể hay gặp đơn hoặc nhiều thể cùng lúc.
Hình 16-17-18.Tổn thương do ấu trùng sán nhái Spirometra spp. di chuyển tạo búi hay nốt dưới da
Các triệu chứng lâm sàng cũng thay đổi theo vị trí của sán nhái định vị, có thể gặp ở vùng da niêm. Các triệu chứng có thể gồm có phù chân voi từ vị trí các đường hạch lympho, viêm phúc mạc từ vị trí thủng ruột và áp xe não từ vị trí ký sinh trong não.
- Bệnh ấu trùng sán nhái tăng sinh tiến triển (Proliferative sparganosis)
Thể bệnh này thường gây ra bởi loài S. proliferum, bắt đầu thường là các u dưới da ở đùi, vai, cổ thậm chí lan rộng khắp nơi và các cơ quan khác như ruột, cơ, phổi, bụng, não. Các u nhỏ có thể mở ra do quá trình loét hoặc khi rạch nông cũng phát hiện được. Nhiễm trùng diễn tiến trên 5-25 năm, tử vong đã báo cáo một số trường hợp trên thế giới.
Khi có sự đồng nhiễm hoặc nhiễm đơn thuần loài giun đầu gai kể trên, triệu chứng có thểxuất hiện do loài ấu trùng di chuyển đến đâu sẽ tiết dịch gây viêm, hoại tử vùng đó vì vậy bệnh nhân sẽ có những cơn đau nhói ở cơ quan tương ứng. Nếu ấu trùng di chuyển đến da sẽ tạo thành những cục u, khi sờ thấy nhúc nhích dưới da và thay đổi vị trí nhanh chóng, biến mất nhanh, đôi khi sưng phù và đỏ ngứa ở nhiều vùng, nên bệnh nhân dễ bị chẩn đoán nhầm là dị ứng ở da.

Hình 19. Thể bệnh sán nhái tăng sinh tiến triển với nhiều nốt trên da giống nốt ung thư hóa trên da

Hình 20. Thể tăng sinh tiến triển với nhiều nốt trên da giống nốt ung thư hóa trên da,
không những trên da mà còn di chuyển khắp cơ thể dẫn đến bệnh nhân tử vong.
Một số trường hợp đã phát hiện thấy ấu trùng sán dạng sâu ở thành ruột, thận, bàng quang, phổi, xoang ngực, tim và mô não. Khi ấu trùng sán nhái xâm nhập sâu vào bên trong các nội tạng thì tiên lượng bệnh sẽ rất nặng.
Giải phẩu bệnh lý
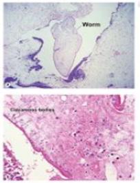
Giải phẩu bệnh lý các thương tổn do sán nhái Spirometra spp. từ các mẫu bệnh phẩm lấy ra qua khâu phẩu thuật và sinh thiết các mô nhiễm ấu trùng sán nhái.
Hình 21-22-23. Tổn thương mô bệnh học qua phân tích các mô bị sán nhái Spirometra spp. ký sinh.

Hình 24
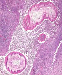
Dựa trên phân tích mô bệnh học 16 ca bệnh sán nhái ở người, có một sự đáng chú ý giữa bệnh sán nhái liên quan đến các mô khác nhau. Hầu hết thay đổi mô bệnh học trong sán nhái đặc trưng bởi hoại tử và viêm mô và u hạt có hoặc không có kèm theo sán được phát hiện bên trong. Một số ca có thay đổi đáng kể số bạch cầu đa nhân trung tính, nhất là bạch cầu ái toan, tế bào huyết tương và lympho trong hoặc vùng gần thương tổn.
Hình thành đường hầm đi kèm theo tế bào mô bao quanh do phản ứng mô vật chủ Các phát hiện này hoàn toàn có thể phân biệt được với các thương tổn mô với bệnh ấu trùng sán dây lợn, thường nhiều nốt hơn và tự giới hạn. Một số đặc điểm nổi trội trên các slide sán nhái. Các hình ảnh calcospherules được ép thấy bào tương của các đại thực bào tăng sinh và các tế bào khổng lồ có giá trị chẩn đoán trong bệnh sán nhái trong trường hợp không thấy sán, đặc biệt khi dữ liệu này đo kèm với các thương tổn trong mô Chi JG., 1980).
Phát hiện, Chẩn đoán bệnh
Bệnh sán nhái chẩn đoán điển hình sau khi gắp bỏ sán ra khỏi thương tổn, mặc dù nhiễm trùng có thể được chẩn đoán thông qua các chỉ số bạch cầu ái toan hay nhìn thấy sán trong nhu mô thương tổn.
Nếu sinh thiết thành công và quy trình phẩu tích không khả thi, sử dụng test ELISA tìm kháng thể kháng sán nhái. Về mặt lý thuyết, chẩn đoán trước phẩu thuật có thể xác định chẩn đoán với bệnh sử có phơi nhiễm mầm bệnh, thương tổn ấu trùng di chuyển, đau, có xuất hiện nốt dưới da.
Sán nhái thường biểu hiện một nốt đơn độc, trong khi đó nhiễm trùng sán dây khác như ấu trùng sán dây lợn có thể biểu hiện nhiều nốt. Nhìn chung, chẩn đoán trước khi phẩu thuật là rất hiếm.
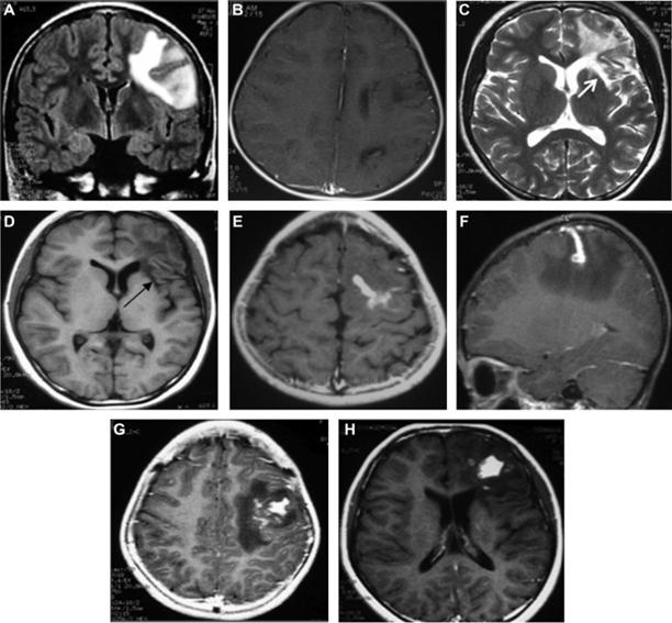
Xác định vị trí thương tổn bằng chụp cắt lớp vi tính (CT) hoặc chụp cộng hưởng từ (MRI) sẽ giúp cho chẩn đoán bệnh sán nhái tốt, nhất là thể sán não. Rạch và loại bỏ thương tổn và xác định loài sán để đưa ra chẩn đoán xác định. Trong trường hợp thể não, xét nghiệm ELISA dịch não tủy hoặc xét nghiệm huyết thanh sẽ giúp ích nhiều cho chẩn đoán, nhưng thường được khẳng định sau khi đã bắt được con sán. Chụp CT giúp hỗ trợ cho chẩn đoán lâm sàng, thường thương tổn có đặc điểm giảm âm, dãn não thất, các nốt bất thường, có nhiều vùng can xi hóa. Các chuyên gia khuyên nên chụp lại CT để đánh giá sự thay đổi kích thước cũng như vị trí tổn thương để chỉ định điều trị kịp thời nếu vẫn còn thương tổn.

Hình 25
Việc chẩn đoán còn dựa vào phát hiện trứng sán nhưng chẩn đoán đặc hiệu vẫn là tìm được ấu trùng sán hoặc con sán nhái trưởng thành trong tổn thương lấy ra từ tiểu phẩu.
CT và MRI đặc biệt hiệu quả trong chẩn đoán bệnh sán nhái ở não vì các hình ảnh thể hiện trong nhu mô não. Thông qua phân tích hồi cứu 25 ca sán trên não từ năm 2000-2006, tác giả Song và cộng sự tìm thấy một số đặc điểm có thể áp dụng như một khung chẩn đoán áp dụng trong tương lai mà không cần thực hiện sinh thiết hay phẩu tích mô thương tổn. Đặc điểm tìm thấy phổ biến nhất là dấu đường hầm ("tunnel sign") trên phim MRI cho thấy vết di chuyển của sán, trong khi đó hình ảnh thường thấy là hình tăng đavòng tròn hợp nhất, hay nhiều hình tràng hạt (thường là 3-6 vòng). Siêu âm tổng quát với nhiều loại đầu dò khác nhau cũng cho thấy có hữu ích trong chẩn đoán nhiễm trùng sán nhái trên các mô mềm và một số tạng.
Các nghiên cứu của Song còn đề nghị bổ sung với các dữ liệu về bệnh sử lâm sàng, xét nghiệm ELISA và hình ảnh của MRI hay CT scans đủ để chẩn đoán bệnh sán nhái. Tuy nhiên, các thương tổn này đôi khi dễ bị nhầm lẫn với thương tổn do lao. Trong một trường hợp sán nhái ở não không được chẩn đoán trong vòng 4 năm, khi chụp đã cho thấy chùm vòng tròn do chuyển từ bên phải sang bên trái của não, cuối cùng sán đã được tìm thấy qua sinh thiết.
Chẩn đoán phân biệt
Trong một số trường hợp không điển hình, có thể thầy thuốc đặt ra nhiều bệnh lý khác để chẩn đoán phân biệt dựa trên vị trí từng cơ quan, mô khác nhau trên cơ thể con người.

Hình 26.Vị trí cơ thế và các tác nhân ký sinh trùng đơn bào có thể gây nhiễm
Điều trị và Quản lý ca bệnh
Điều trị sán nhái là thuốc praziquantel (PZQ), chỉ định ở liều 120-150 mg/kg cân nặng cơ thể trong 2 ngày. Tuy nhiên, praziquantel (PZQ) có kết quả thành công hạn hữu.
Nhìn chung, nhiễm trùng bởi một hay vài ấu trùng sán nhái thường loại bỏ tốt nhất là phẩu thuật loại bỏ.
Điều trị các loài sán dây thường gặp có thể có điểm trùng lặp cho thấy chúng có hiệu quả chống lại các loài, song với sán nhái thì hiệu quảcòn hạn hữu. Nếu điều trị với PZQ cho sán nhái thì cũng sẽ đồng thời giải quyết các bệnh sán dây khác hay nhiễm ở người.
Praziquantel là thuốc được lựa chọn để điều trị sán nhái, mặc dù hiệu quả của thuốc vẫn chưa biết đầy đủ và phẩu thuật loại bỏ sán ra khỏi tổn thương nhìn chung là phương pháp điều trị tốt nhất. Các can thiệp y tế công cộng nên tập trung vào vệ sinh nguồn nước và thực phẩm, cũng như giáo dục sức khỏe về về bệnh tại các vùng nông thôn thường sử dụng nhái làm thuốc đắp (poultices).
-Phẩu thuật loại bỏ ấu trùng sán nhái giúp điều trị khỏi ca bệnh. PZQ có hiệu quả khi cho tổng liều từ 120-150mg/kg cân nặng cơ thể, trong thời gian hơn 2 ngày. Tuy nhiên, điều trị bằng PZQ cũng chỉ ra một số giới hạn thành công trong vài báo cáo;
-Thể bệnh ở não đòi hỏi phẩu thuật loại bỏ sán, PZQ không có hiệu quả trên sán trưởng thành ký sinh trong hệ thần kinh trung ương, thuốc PZQ và mebendazole (MEB) không có tác dụng diệt ấu trùng của sán;
-Hiện chưa có hướng nào điều trị cho thể bệnh tăng sinh tiến triển. Mọi nổ lực là ở thời điểm phẩu thuật loài S. proliferum nhưng vẫn không thành công vì ấu trùng phát tán lan rộng trên các mô cơ thể;
-Trên lâm sàng, chẩn đoán xác định bệnh ấu trùng sán nhái chắc nhắn khi phẩu tích sẽ phát hiện và lấy ra được ấu trùng, đây cũng là cách để điều trị và loại bỏ ấu trùng. Nếu vị trí thương tổn không cho phép can thiệp phẩu thuật, có thể dùng thuốc Novarsenol 0,3-0,45g/kg/ngày, điều trị trong thời gian 45 ngày.
Y tế công cộng & Chiến lược dự phòng
Vì bệnh sán nhái là một loại nhiễm ký sinh trùng hiếm gặp, chiến lược y tế công cộng (YTCC) không coi đó là một vấn đề y tế ưu tiên. Chiến lược YTCC tập trung cung cấp tiếp cận nguồn nước sạch có thể giúp giảm nhiễm trùng sán nhái tương lai. Trong một nghiên cứu hồi cứu 25 ca bệnh sán nhái thể não, Song và cộng sự tìm thấy trên 12 bệnh nhân (48%) có tiền sử ăn thịt ếch hay rắn còn sống hoặc chưa nấu chín nhiễm ấu trùng, 5 bệnh nhân (20%) có dùngcác miếng thịt động vật đắp lên vết thương hở, 4 bệnh nhân uống nguồn nước nhiễm bệnh và gây ra nhiễm trùng trên 4 bệnh nhân. Từ kết quả của nghiên cứu này, Song và cộng sự kết luận rằng truyền thông giáo dục sức khỏe về bệnh sán nhái cũng như tầm quan trọng của vệ sinh an toàn thực phẩm cần đặt ra tại các vùng nông thôn của các quốc gia có bệnh lưu hành.

Hình 27
Người ta cũng khuyến cáo uống nước tại các vùng bệnh lưu hành nên đun sôi và tránh ăn các cyclops hoặc ấu trùng sán nhái Spirometra spp. Đặc biệt tại các vùng mà các ao hồ hay rãnh mương ở đó tiềm tàng nơi sống của các động vật bộ chân kiếm, chiến lược YTCC nên có khâu truyền thông về nguồn nước có nguy cơ nhiễm. Các chiến lược nên cảnh báo mọi người không nên ăn thịt của các động vật là vật chủ trung gian (rắn, ếch) như là phương thuốc đắp trên mắt để chữa bệnh đau mắt đỏ.
Về khía cạnh YTCC và biện pháp phòng bệnh, trong một số vùng lưu hành bệnh sán nhái, người ta khuyên rằng các nguy hiểm do uống nước từ các hồ nhỏ và chum, vại có thể chứa các động vật thân giáp nhỏ. Cơ sở hạ tầng của y tế công cộng nên được đẩy mạnh để tiếp cận với nguồn nước sạch. Việc sử dụng các động vật nguy cơ nhiễm bệnh phải rất cảnh giác. Dự phòng có thể khó vì một số tập quán văn hóa và thói quen ăn uống liên quan đến ếch và rắn.
Nội dung phòng bệnh nên tập trung vào các khâu dưới đây:
-Truyền thông giáo dục sức khỏe (TTGDSK), vận động cộng đồng người dân không nên uống nước lã chưa đun sôi, không ăn các loại thịt ếch, nhái, rắn chưa được nấu chín;
-Ở vùng nông thôn, cần bỏ tập quán lạc hậu dùng phần da, thịt ếch, nhái sống đắp vào mắt để chữa bệnh đau mắt đỏ;
-Ngoài ra nên sử dụng nguồn nước hợp vệ sinh trong sinh hoạt hàng ngày;
-Khi ăn ở nhà hàng hoặc khi chế biến thực phẩm tại nhà, nên thận trọng các thức ăn từ ếch, nhái, rắn xử lý chưa chín, hoặc hạn chế tiếp xúc với các món ăn được chế biến từ thịt ếch, nhái, rắn, chim nếu nghi ngờ chưa nấu chín, nhất là các món ếch xào chua ngọt, xào rau nhút, xào măng hoặc ăn dạng "semi" như người Nhật Bản hoặc người Thái Lan;
-Cần lưu ý khi mua thịt ếch, nhái, loại thịt ếch làm sẵn ngoài chợ thường có màu đỏ tươi, đó là do người bán hàng nhúng thịt ếch vào huyết lợn để đánh lừa người mua, thực chất, đó là thịt ếch đông lạnh. Tốt nhất, khi mua thịt ếch, bạn mua ếch sống rồi yêu cầu người bán hàng làm tại chỗ cho bạn; nếu không có ếch sống, bạn có thể nhận biết thịt ếch tươi bằng những cách như dùng tay nhấn vào đùi ếch, thấy thịt chắc thì mới mua, thịt ếch tươi ngon phải có màu trắng đục

Hình 28

Hình 29

Hình 30
Tài liệu tham khảo
1.Van Schaijk BC, Ploemen IH, Annoura T, Vos MW, Foquet L, van Gemert GJ, Chevalley-Maurel S, van de Vegte-Bolmer M, Sajid M, Franetich JF, Lorthiois A, Leroux-Roels G, Meuleman P, Hermsen CC, Mazier D, Hoffman SL, Janse CJ, Khan SM, Sauerwein RW. A genetically attenuated malaria vaccine candidate based on P. falciparum b9/slarp gene-deficient sporozoites. Elife. 2014 Nov 19;3:e03582, 2014
2.Lin JW, Shaw TN, Annoura T, Fougère A, Bouchier P, Chevalley-Maurel S, Kroeze H, Franke-Fayard B, Janse CJ, Couper KN, Khan SM. The Subcellular Location of Ovalbumin in Plasmodium berghei Blood Stages Influences the Magnitude of T-Cell Responses. Infection and Immunity. Nov;82(11):4654-65, 2014.
3.Yamasaki H., Nakamura T., Intapan P.M., Maleewong W., Morishima Y., Sugiyama H., Matsuoka H., Kobayashi K., Takayama K., Kobayashi Y. Development of a rapid diagnostic kit that uses an immunochromatographic device to detect antibodies in human sparganosis. Clin. Vaccine Immunol., 21: 1360-1363, 2014.
4.Yamasaki H., Arakawa K., Ohashi T., Yagita K., Morishima Y., Sugiyama H., Nagamune K., Kakinuma M., Yosada Y., Oushiki D., Hasegawa A. Development of a tool for evaluating the risk of health damage by meat-borne parasite infection. Food Safety 2: 151-159, 2014.
5.Chen S., Ai L., Zhang Y., Chen J., Zhang W., Li Y., Muto M., Morishima Y., Sugiyama H., Xu X., Zhou X., Yamasaki H. Molecular detection of Diphyllobothrium nihonkaiense in humans, China. Emerg. Infect. Dis., 20:315-318, 2014.
6.Thanchomnang T., Tantrawatpan C., Intapan P.M., Sanpool O., Janwan P., Lultitanond V., Tourtip S., Yamasaki H., Maleewong W. Rapid molecular identification of human taeniid cestodes by pyrosequencing approach. PLoS one 9: e100611, 2014.
7.Boonyasiri A., Cheunsuchon P., Suputtamongkol Y., Yamasaki H., Sanpool O., Maleewong W., Intapan P.M.
8.Nine human sparganosis cases in Thailand with molecular identification of causative parasite species. Am. J. Trop. Med. Hyg., 91: 389-393, 2014.
9.Saenseeha S., Janwan P., Yamasaki H., Laummaunwai P., Tayapiwatana C., Kitkhuande e A., Maleewong W. Intapan P.M. A dot-ELISA test using a Gnathostoma spinigerum recombinant matrix metalloproteinase protein for the serodiagnosis of human gnathostomiasis. Southeast Asian J. Trop. Med. Public Health. 45: 990-996, 2014.
10.Makino, T., Mori, N., Sugiyama, H., Mizawa, M., Seki, Y., Kagoyama, K., Shimizu, T. Creeping eruption due to Spirurina type X larva. Lancet, 384: 2082, 2014.
11.Calvopina, M., Romero, D., Castaneda, B., Hashiguchi, Y., Sugiyama, H. Current status of Paragonimus and paragonimiasis in Ecuador. Mem. Inst. Oswaldo Cruz, 109: 849-855, 2014 .
12.Singh, T.S., Sugiyama, H., Lepcha, C. Massive pleural effusion due to paragonimiasis: biochemical, cytological and parasitological findings. Ind. J. Pathol. Microbiol., 57: 492-494, 2014.
13.Takeda, M., Sugiyama, H., Calvopina, M., Romero, D. Some freshwater crabs from Ecuador, South America. J. Teikyo Heisei Univ., 25: 1-13, 2014.
14.Tongjit Thanchomnang, Chairat Tantrawatpan, Pewpan M. Intapan, Oranuch Sanpool, Viraphong Lulitanond, Somjintana Tourtip, Hiroshi Yamasaki, Wanchai Maleewong. Rapid identification of nine species of diphyllobothriidean tapeworms by pyrosequencing. Scientific Reports.2016;[Epub] CrossRef
15.Quan Liu, Ming-Wei Li, Ze-Dong Wang, Guang-Hui Zhao, Xing-Quan Zhu. Human sparganosis, a neglected food borne zoonosis. The Lancet Infectious Diseases.2015; 15(10): 1226. CrossRef
16.R. S. Petrigh, N. P. Scioscia, G. M. Denegri, M. H. Fugassa. Research Note. Cox-1 gene sequence of Spirometra in Pampas foxes from Argentina. Helminthologia.2015;
17.Wanchai Maleewong, Pewpan M. Intapan, Adhiratha Boonyasiri, Pornsuk Cheunsuchon, Hiroshi Yamasaki, Yupin Suputtamongkol, Oranuch Sanpool. Nine Human Sparganosis Cases in Thailand with Molecular Identification of Causative Parasite Species. The American Journal of Tropical Medicine and Hygi.2014; 91(2): 389.
18.Tongjit Thanchomnang, Chairat Tantrawatpan, Pewpan M. Intapan, Oranuch Sanpool, Viraphong Lulitanond, Somjintana Tourtip, Hiroshi Yamasaki, Wanchai Maleewong. Rapid identification of nine species of diphyllobothriidean tapeworms by pyrosequencing. Scientific Reports.2016;[Epub]
19.Quan Liu, Ming-Wei Li, Ze-Dong Wang, Guang-Hui Zhao, Xing-Quan Zhu. Human sparganosis, a neglected food borne zoonosis. The Lancet Infectious Diseases.2015; 15(10): 1226.
20.R. S. Petrigh, N. P. Scioscia, G. M. Denegri, M. H. Fugassa. Research Note. Cox-1 gene sequence of Spirometra in Pampas foxes from Argentina. Helminthologia.2015;[Epub] CrossRef.
21.Wanchai Maleewong, Pewpan M. Intapan, Adhiratha Boonyasiri, Pornsuk Cheunsuchon, Hiroshi Yamasaki, Yupin Suputtamongkol, Oranuch Sanpool. Nine Human Sparganosis Cases in Thailand with Molecular Identification of Causative Parasite Species. The American Journal of Tropical Medicine and Hygi.2014; 91(2): 389. CrossRef.
22.A molecular phylogeny of Asian species of the genus Metagonimus (Digenea)—small intestinal flukes—based on representative Japanese populations Parasitology Research 2016. DOI: 10.1007/s00436-015-4843-y, EID: 2-s2.0-84959129485.
23.Molecular identification of the trematode Paragonimus in faecal samples from the wild cat Prionailurus bengalensis in the Da Krong Nature Reserve, Vietnam Journal of Helminthology 2015 | journal-article. DOI: 10.1017/S0022149X15000838.
24.Metacercarial polymorphism and genetic variation of Paragonimus heterotremus (Digenea: Paragonimidae), and a re-appraisal of the taxonomic status of Paragonimus pseudoheterotremus Journal of Helminthology, 2015 | journal-article .
25.Is Opisthorchis viverrini an avian liver fluke? Journal of Helminthology 2015 | journal-article, DOI: 10.1017/S0022149X13000709, EID: 2-s2.0-84922370795.
26.Gene diversity and genetic variation in lung flukes (genus Paragonimus) Transactions of the Royal Society of Tropical Medicine and Hygiene, 2015 | journal-article DOI: 10.1093/trstmh/trv101
27.Clonorchis sinensis and Opisthorchis spp. in Vietnam: Current status and prospects Transactions of the Royal Society of Tropical Medicine and Hygiene 2015 | journal-article DOI: 10.1093/trstmh/trv103, EID: 2-s2.0-84960111850
28.Spontaneous cure after natural infection with Gnathostoma turgidum (Nematoda) in Virginia opossums (Didelphis virginiana) Journal of Wildlife Diseases, 2014 | journal-article, DOI: 10.7589/2013-04-092, EID: 2-s2.0-84921425163
29.Rafael Lamothe Agrumedo (1932-2013). In Memoriam Parasitology International 2014 | journal-article, DOI: 10.1016/j.parint.2014.06.007, EID: 2-s2.0-84905328032.
30.Nematode infections: Neurological involvement and neurobiology Neglected Tropical Diseases and Conditions of the Nervous System 2014 | book, DOI: 10.1007/978-1-4614-8100-3_4, EID: 2-s2.0-84948179556.
31.Identification of major Streptococcus suis serotypes 2, 7, 8 and 9 isolated from pigs and humans in upper northeastern Thailand The Southeast Asian journal of tropical medicine and public health 2014 | journal-article, EID: 2-s2.0-84922318668.
32.A 71-year-old Man from Japan with Eosinophilia and a Nodular Lesion in the Lung: Paragonimiasis Clinical Cases in Tropical Medicine 2014 | book DOI: 10.1016/B978-0-7020-5824-0.00071-3, EID: 2-s2.0-84943327498
33.Paragonimus paishuihoensis metacercariae in freshwater crabs, potamon lipkei, in Vientiane Province, Lao PDR Korean Journal of Parasitology 2013 | journal-article DOI: 10.3347/kjp.2013.51.6.683, EID: 2-s2.0-84893325302
34.Paragonimus and paragonimiasis in Vietnam: An update Korean Journal of Parasitology 2013 | journal-article, DOI: 10.3347/kjp.2013.51.6.621,EID: 2-s2.0-84893245369
35.Natural hybridization between Paragonimus bangkokensis and Paragonimus harinasutai Parasitology International 2013 | journal-article, DOI: 10.1016/j.parint.2013.01.005
36.Molecular variation in the paragonimus heterotremus complex in Thailand and Myanmar Korean Journal of Parasitology 2013 | journal-article DOI: 10.3347/kjp.2013.51.6.677 EID: 2-s2.0-84893272760.
37.Genetically variant populations of Paragonimus proliferus Hsia & Chen, 1964 from central Vietnam Journal of Helminthology 2013 | journal-article DOI: 10.1017/S0022149X12000090, EID: 2-s2.0-84877263080.
38.Food-borne Trematodes Manson's Tropical Diseases: Twenty-Third Edition 2013 | book, DOI: 10.1016/B978-0-7020-5101-2.00054-6, EID: 2-s2.0-84942919869
39.Fatty acid compositions of Taenia solium metacestode and its surrounding tissues Parasitology International, 2013 | journal-article, DOI: 10.1016/j.parint.2012.08.003, EID: 2-s2.0-84869881148.
40.Discovery of Paragonimus skrjabini in Vietnam and its phylogenetic status in the Paragonimus skrjabini complex Journal of Helminthology, 2013 | journal-article, DOI: 10.1017/S0022149X1200065X, EID: 2-s2.0-84893093072
41.Comprehensive review of ocular angiostrongyliasis with special reference to optic neuritis Korean Journal of Parasitology 2013 | journal-article DOI: 10.3347/kjp.2013.51.6.613 EID: 2-s2.0-84893209120.
42.Application of Recombinant Gnathostoma spinigerum Matrix Metalloproteinase-Like Protein for Serodiagnosis of Human Gnathostomiasis by Immunoblotting American Journal of Tropical Medicine and Hygiene 2013 | journal-article DOI: 10.4269/ajtmh.12-0617, EID: 2-s2.0-84880606857.
43.A recombinant matrix metalloproteinase protein from gnathostoma spinigerum for serodiagnosis of neurognathostomiasis Korean Journal of Parasitology 2013 | journal-article, DOI: 10.3347/kjp.2013.51.6.751, EID: 2-s2.0-84893307590.
44.The current status of opisthorchiasis and clonorchiasis in the Mekong Basin Parasitology International 2012 | journal-article DOI: 10.1016/j.parint.2011.08.014, EID: 2-s2.0-82655181813.
45.Structural and Binding Properties of Two Paralogous Fatty Acid Binding Proteins of Taenia solium Metacestode PLoS Neglected Tropical Diseases 2012 | journal-article, DOI: 10.1371/journal.pntd.0001868, EID: 2-s2.0-84869059286
46.Short report: Molecular identification of a case of Paragonimus pseudoheterotremus infection in Thailand American Journal of Tropical Medicine and Hygiene 2012 | journal-article DOI: 10.4269/ajtmh.2012.12-0235, EID: 2-s2.0-84867918804
47.Rapid detection and differentiation of Clonorchis sinensis and Opisthorchis viverrini eggs in human fecal samples using a duplex real-time fluorescence resonance energy transfer PCR and melting curve analysis Parasitology Research 2012 | journal-article DOI: 10.1007/s00436-011-2804-7, EID: 2-s2.0-84862772882
48.Families Opisthorchiidae and Heterophyidae: Are they distinct? Parasitology International 2012 | journal-article DOI: 10.1016/j.parint.2011.06.004, EID: 2-s2.0-82155199170
49.Discovery of human opisthorchiasis: A mysterious history Parasitology International 2012 | journal-article DOI: 10.1016/j.parint.2011.08.012 EID: 2-s2.0-82655181826
50.Co-existence of Paragonimus harinasutai and Paragonimus bangkokensis metacercariae in fresh water crab hosts in central Viet Nam with special emphasis on their close phylogenetic relationship Parasitology International 2012 | journal-article, DOI: 10.1016/j.parint.2012.01.011, EID: 2-s2.0-84861480301.
51.Rapid and simple identification of human pathogenic heterophyid intestinal fluke metacercariae by PCR-RFLP Parasitology International 2011 | journal-article DOI: 10.1016/j.parint.2011.09.004, EID: 2-s2.0-82155166402.
52.Neurognathostomiasis, a neglected parasitosis of the central nervous system Emerging Infectious Diseases 2011 | journal-article DOI: 10.3201/eid1707.101433, EID: 2-s2.0-79959904332.
53.Molecular identification of a causative parasite species using formalin-fixed paraffin embedded (FFPE) tissues of a complicated human pulmonary sparganosis case without decisive clinical diagnosis Parasitology International 2011 | journal-article DOI: 10.1016/j.parint.2011.07.018, EID: 2-s2.0-82155167630
54.Impact of hookworm deworming on anemia and nutritional status among children in Thailand Southeast Asian Journal of Tropical Medicine and Public Health 2011 | journal-article, EID: 2-s2.0-80054958645.
55.Human sparganosis in Thailand: An overview Acta Tropica 2011 | journal-article DOI: 10.1016/j.actatropica.2011.03.011, EID: 2-s2.0-79955612835
56.Human paragonimiasis in Viet Nam: Epidemiological survey and identification of the responsible species by DNA sequencing of eggs in patients' sputum Parasitology International 2011 | journal-article, DOI: 10.1016/j.parint.2011.09.001, EID: 2-s2.0-82155166350
57.Confirmation of the paraphyletic relationship between families Opisthorchiidae and Heterophyidae using small and large subunit ribosomal DNA sequences Parasitology International, 2011, DOI: 10.1016/j.parint.2011.07.015, EID: 2-s2.0-82155173524
58.Serodiagnostic reliability of single-step enriched low-molecular weight proteins of Taenia solium metacestode of American and Asian isolates Transactions of the Royal Society of Tropical Medicine and Hygiene 2010, DOI: 10.1016/j.trstmh.2010.07.011, EID: 2-s2.0-77956649499.
59.Intrahepatic growth and maturation of Gnathostoma turgidum in the natural definitive opossum host, Didelphis virginiana Parasitology International 2010 | journal-article. DOI: 10.1016/j.parint.2010.04.004, EID: 2-s2.0-77955325342.
60.Infection status of the estuarine turtles Kinosternon integrum and Trachemys scripta with Gnathostoma binucleatum in Sinaloa, Mexico Revista Mexicana de Biodiversidad 2010 | journal-article, EID: 2-s2.0-79751486432, Source: Scopus - Elsevier Preferred source
61.Helminthic invasion of the central nervous system: Many roads lead to Rome Parasitology International, 2010 | journal-article. DOI: 10.1016/j.parint.2010.08.002, EID: 2-s2.0-77958455772.
62.Haplorchis taichui as a possible etiologic agent of irritable bowel syndrome-like symptoms Korean Journal of Parasitology, 2010 | journal-article.
63.Double strand problems: Reverse DNA sequences deposited in the DNA database Korean Journal of Parasitology 2010 | journal-article DOI: 10.3347/kjp.2010.48.1.89, EID: 2-s2.0-77949688752.
64.A novel sigma-like glutathione transferase of Taenia solium metacestode International Journal for Parasitology 2010 | journal-article DOI: 10.1016/j.ijpara.2010.03.007, EID: 2-s2.0-77953914439
65.Short report: Case of gnathostomiasis in Beijing, China American Journal of Tropical Medicine and Hygiene 2009 | journal-article EID: 2-s2.0-59649094206 Source: Scopus – Elsevier
66.Morphological differences and molecular similarities between Paragonimus bangkokensis and P. harinasutai Parasitology Research 2009 | journal-article DOI: 10.1007/s00436-009-1402-4, EID: 2-s2.0-67649556323
67.Large-group infection of boar-hunting dogs with Paragonimus westermani in Miyazaki Prefecture, Japan, with special reference to a case of sudden death due to bilateral pneumothorax Journal of Veterinary Medical Science 2009 | journal-article DOI: 10.1292/jvms.71.657, EID: 2-s2.0-67650492573
68.Is gnathostoma turgidum an annual parasite of opossums? drastic seasonal changes of infection in didelphis virginiana in Mexico Journal of Parasitology 2009 | journal-article DOI: 10.1645/GE-1988.1, EID: 2-s2.0-73949105504
69.Galβ1-6Gal, antigenic epitope which accounts for serological cross-reaction in diagnosis of Echinococcus multilocularis infection Parasite Immunology 2009 | journal-article DOI: 10.1111/j.1365-3024.2009.01129.x EID: 2-s2.0-68249158089
70.Fulminant eosinophilic myocarditis associated with visceral larva migrans caused by Toxocara canis infection Circulation Journal 2009 | journal-article DOI: 10.1253/circj.CJ-08-0334, EID: 2-s2.0-68149171456;
71.Lu G G Department of Pathogen Biology,Hainan Medical 2014. Discovery of an endemic area of gnathostoma turgidum infection among opossums, didelphis virginiana, in Mexico Journal of Parasitology 2009 | journal-article DOI: 10.1645/GE-1871.1, EID: 2-s2.0-73949145662 Retrospective epidemiological analysis of sparganosis in mainland China from 1959 to 2012.
72.Lee Eun Kyoung EK Department of Surgery, Konkuk University Medical Center, Seoul, - - 2014. Axillary sparganosis which was misunderstood lymph node metastasis during neoadjuvant chemotheraphy in.
73.Bennett Hayley M 2014. The genome of the sparganosis tapeworm Spirometra erinaceieuropaei isolated from the biopsy.
74.Oh Youngmin Y Department of Internal Medicine, College of Medicine, Chungbuk National University, Cheongju 361-711, 2014. Eosinophilic Pleuritis due to Sparganum: A Case Report.
75.Zhao Yi-Ming YM Department of Pediatric Surgery, The 2nd Affiliated Hospital & Yuying. Scrotal sparganosis mimicking scrotal teratoma in an infant: a case report and ...
76.Wiwanitkit Viroj V Tropical Medicine Unit, Hainan Medical University , Haikou , China - - 2014. Ocular Sparganosis.
77.Hill Ag 2014. A Currumbin Wildlife Sanctuary, 28 Tomewin St, Currumbin, Queensland, 4223, Australia. Acanthocephalan infection and sparganosis in a green tree snake (Dendrelaphis punctulata).
78.Cui Jing J Department of Parasitology, Medical College, Zhengzhou University, 40 Daxue Road, Zhengzhou, 450052, People's Republic of China, 2014. Molecular characterization of a Spirometra mansoni antigenic polypeptide gene encoding a 28.7 kDa ...
79.Ouyang Jinsheng J Department of Respiratory Medicine, the First Affiliated Hospital of Wenzhou Medical University, Wenzhou 325000 2014 [Pleural sparganosis: report of a case and review of the literature].
80.Kim Jeung Il JI Department of Orthopedic Surgery, Medical Research Institute, Pusan National University Hospital, Busan 602-739, 2014. Intramuscular sparganosis in the gastrocnemius muscle: a case report.
81.Hu Dan Dan, 2014. Identification of early diagnostic antigens from Spirometra erinaceieuropaei sparganum soluble proteins using .
82.Tsuda Hiroyuki H Division of Haematology/Oncology, Kumamoto City Hospital, Kumamoto, 2014. Sparganosis in follicular lymphoma patient.
83.Choi Seung Joon SJ Department of Radiology, Gachon University Gil Hospital, Incheon, 2014. Sparganosis of the breast and lower extremities: Sonographic appearance.
84.Wiwanitkit Viroj V University Editorial Office, Hainan Medical University, Haikou, - - 2014. Multiple sparganosis.
85.Lee Young-Il YI Department of Anatomy, College of Medicine, Dankook University, Cheonan 330-714, 2014. Recurred sparganosis 1 year after surgical removal of a sparganum in a
86.Rahman S M Mazidur SM Department of Parasitology and Tropical Medicine, Seoul National University College of Medicine, and Institute of Endemic Diseases, Seoul National University Medical Research Center, Seoul 110-799, 2014. Diagnostic Efficacy of a Recombinant Cysteine Protease of Spirometra erinacei Larvae for ...
87.Woldemeskel Moges M University of Georgia, Tifton Veterinary Diagnostic and Investigational Laboratory, Tifton, 2014. Subcutaneous sparganosis, a zoonotic cestodiasis, in two cats.
88.Kołodziej-Sobocińska Marta M Mammal Research Institute, Polish Academy of Sciences, Waszkiewicza 1, 17-230 Białowieża, Poland. Electronic address: 2014. The first report of sparganosis (Spirometra sp.) in Eurasian badger (Meles meles).
89.Wang Fumin F 0000-0003-1137-4465 Guangdong Provincial Wildlife Rescue Center, Guangzhou 510520, 2014. Spirometra (pseudophyllidea, diphyllobothriidae) severely infecting wild-caught snakes from food markets in guangzhou ...
90.Graham Rondell P D 2013. Sparganosis Presenting as a Mammographic Abnormality.
91.Ho Tsai-Hsuan, 2013. Ocular sparganosis mimicking an orbital idiopathic inflammatory syndrome.
92.Kim Woo Young , 2013. Response to "breast sparganosis".
93.Roh Sang-Young SY Division of Medical oncology, Seoul St. Mary's Hospital, Seoul , South 2013. Sparganosis in a patient with diffuse large B cell lymphoma.
94.Schauer F 2013. Travel-acquired subcutaneous Sparganum proliferum infection diagnosed by molecular methods.
95.Hong Daojun 2013. Cerebral sparganosis in mainland Chinese patients.
96.Lee H M 2013. Sparganosis of Upper Extremity in Subcutaneous and Intramuscular Layers.
97.Hu Dan Dan DD Dept. of Parasitology, Medical College, Zhengzhou University, Zhengzhou, P. R. 2013. Immunoproteomic Analysis of the Excretory-Secretory Proteins from Spirometra mansoni Sparganum.
98.Lee Seung-Ha 2013. Spargana in a Weasel, Mustela sibirica manchurica, and a Wild Boar, Sus ...
99.Mo Zhi-Shuo 2013. Clinical analysis of 25 sparganosis cases.
100.Chu Shuguang 2013. Magnetic resonance imaging features of pathologically proven cerebral sparganosis.
101.John, D.T. and Petri, W.A. Markell and Voge’s Medical Parasitology. 9th edition. St. Louis: Saunders Elsevier, 2006.
102.https://www.cdc.gov/dpdx/sparganosis/
103.Lescano, Andres G; Zunt, Joseph (2013). "Other cestodes: sparganosis, coenurosis and Taenia crassiceps cysticercosis". Handbook of Clinical Neurology. Handbook of Clinical Neurology. 114: 335–345.
104.Read, Clark P. (1952). "Human sparganosis in South Texas". The Journal of Parasitology. 38 (1): 29–31.
105.Hughes, A.J. and Biggs, B.A. "Parasitic worms of the central nervous system: an Australian perspective." Internal Medicine Journal. 32.11 (2001): 541-543.
106.Manson, P., Manson-Bahr, P., and Wilcocks, C. Manson’s Tropical Diseases: A Manual of the Diseases. New York: William Wood and Company, 1921.
107.Garcia, L., and Bruckner, D.A. Diagnostic Medical Parasitology. Herndon, VA: ASM Press, 2007. GIDEON, "Sparganosis." Date viewed February 26, 2009
108.Walker M.D., Zunt (2005). "Neuroparasitic Infections: Cestodes, Trematodes, and Protozoans". Seminars in Neurology. 25 (3): 262–277.
109.Pampliglione S.; Fioravanti M.L.; Rivasi F. (2003). "Human sparganosis in Italy. Case report and review of the European cases". APMIS. 111 (2): 349-54.
110.Fantahm, H.B., and Stephens, J.W.W., and Theobald, F.V. The Animal Parasites of Man. New York: William Wood and Company, 1916.
111.Mueller J.F.; Coulston F. "Experimental human infection with the sparganum larva of Spirometra mansonoides". The American Journal of Tropical Medicine and Hygiene. 21 (3): 399.
112.Yang J.W.; Lee J.H.; Kang M.S. (2007). "A Case of Ocular Sparganosis". Korean Journal of Ophthalmology. 21 (1): 48-50.
113.The Guardian newspaper: Man’s headaches due to tapeworm living in his brain for four years, 21 November 2014
114.Iwatani K.; Kubota I.; Hirotsu Y.; et al. (2006). "Sparganum mansoni parasitic infection in the lung showing a nodule". Pathology International. 56 (11): 674-7.
115.Ash, L.R. and Orihel,T.C.. Atlas of Human Parasitology. Chicago: ASCP Press, 1990.
116.CDC: Sparganosis, Date viewed February 25, 2009
117.Rengarajan, S; Nanjegowda, N; Bhat, D; Mahadevan, A; Sampath (2008). Cerebral sparganosis: a diagnostic challenge". British Journal of Neurosurgery. 22 (6): 784-786.
118.Song, T; Wang, WS; Zhou, BR; Mai, WW; Guo, HC; Zhou, F (2008). "CT and MR Characteristics of Cerebral Sparganosis". Am J Neuroradiol. 28 (9): 1700-1705.