Trong gần 5 năm qua, thông tin về nghiên cứu bệnh sán dây và ấu trùng sán dây lợn tại trên các châu lục thế giới diễn ra hàng ngày và có những kết quả thú vị vì đây là các căn bệnh ký sinh trùng quan trọng ở người, có thể bị lãng quên nếu không đưa ra các mối quan tâm thì khó có thể loại trừ triệt tiêu căn bệnh nguy hiểm này. Một trong những khó khăn đó chính là khâu chẩn đoán khi không biểu hiện các triệu chứng điển hình như trên da, thần kinh trung ương, các tạng khác nhau và phác đồ điều trị cụ thể vẫn còn đang tranh luận và sử dụng với các trường phái khác nhau đối với từng thể bệnh cụ thể. 
Nhân đây, chúng tôi xin chia sẻ một số nghiên cứu mới nhất về bệnh sán dây và ấu trùng sán dây lợn.
A systematic review on the global occurrence of Taenia hydatigena in pigs and cattle.
Nguyen MT, Gabriël S, Abatih EN, Dorny P.Vet Parasitol. 2016 Aug 15;226:97-103. doi: 10.1016/j.vetpar.2016.06.034. Epub 2016 Jun 25. Review.PMID: 27514893 Similar articlesSelect item 2008335771.
Development and field evaluation of a new serological test for Taenia saginata cysticercosis.
Ogunremi O, Benjamin J.Vet Parasitol. 2010 Apr 19;169(1-2):93-101. doi: 10.1016/j.vetpar.2009.12.014. Epub 2009 Dec 22.PMID: 20083357 Similar articlesSelect item 2892309072.

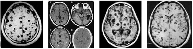
Hình 1
Mapping occurrence of Taenia solium taeniosis/cysticercosis and areas at risk of porcine cysticercosis in Central America and the Caribbean basin.
Braae UC, Devleesschauwer B, Sithole F, Wang Z, Willingham AL.Parasit Vectors. 2017 Sep 18;10(1):424. doi: 10.1186/s13071-017-2362-7. Review.PMID: 28923090 Free PMC Article Similar articles Select item 455914573.
Taeniasis and cysticercosis (Taenia saginata).
Pawlowski Z, Schultz MG.Adv Parasitol. 1972;10:269-343. Review. No abstract available. PMID: 4559145 Similar articlesSelect item 2349948274.
Bovine cysticercosis--development of a real-time PCR to enhance classification of suspect cysts identified at meat inspection.
Cuttell L, Owen H, Lew-Tabor AE, Traub RJ.Vet Parasitol. 2013 May 1;194(1):65-9. doi: 10.1016/j.vetpar.2013.02.018. Epub 2013 Feb 28.PMID: 23499482 Similar articlesSelect item 2345276075.

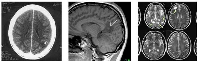
Hình 2
Molecular identification of species of Taenia causing bovine cysticercosis in Ethiopia.
Hailemariam Z, Nakao M, Menkir S, Lavikainen A, Iwaki T, Yanagida T, Okamoto M, Ito A. J Helminthol. 2014 Sep;88(3):376-80. doi: 10.1017/S0022149X13000138. Epub 2013 Mar 4.PMID: 23452760 Similar articles Select item 2351665076.
Prevalence and risk factors associated with human Taenia solium infections in Mbozi District, Mbeya Region, Tanzania.
Mwanjali G, Kihamia C, Kakoko DV, Lekule F, Ngowi H, Johansen MV, Thamsborg SM, Willingham AL 3rd. PLoS Negl Trop Dis. 2013;7(3):e2102. doi: 10.1371/journal.pntd.0002102. Epub 2013 Mar 14. PMID: 23516650 Free PMC Article Similar articles Select item 1278137177.

Hình 3
Proceedings of the International Workshop on Taenia solium Cysticercosis/Taeniosis with Special Focus on Eastern and Southern Africa. Arusha, Tanzania, 19-22 August 2002.
[No authors listed]
Acta Trop. 2003 Jun;87(1):1-186. No abstract available. 
PMID: 12781371 Similar articlesSelect item 1278137678.
Regional status, epidemiology and impact of Taenia solium cysticercosis in Western and Central Africa.
Zoli A, Shey-Njila O, Assana E, Nguekam JP, Dorny P, Brandt J, Geerts S.
Acta Trop. 2003 Jun;87(1):35-42. Review.
PMID: 12781376 Similar articlesSelect item 1637614079.
Taeniasis and cysticercosis in Bali and North Sumatra, Indonesia.
Wandra T, Depary AA, Sutisna P, Margono SS, Suroso T, Okamoto M, Craig PS, Ito A.
Parasitol Int. 2006;55 Suppl:S155-60. Epub 2005 Dec 20. Review.
PMID: 16376140 Similar articlesSelect item 1551068580.

Hình 4
Recovery of putative taeniid eggs from silt in water associated with an outbreak of bovine cysticercosis.
Scandrett WB, Gajadhar AA.
Can Vet J. 2004 Sep;45(9):758-60.
PMID: 15510685 Free PMC Article Similar articles 
The prevalence of porcine cysticercosis in Eastern and Southern provinces of Zambia.
Phiri IK, Dorny P, Gabriel S, Willingham AL 3rd, Speybroeck N, Vercruysse J.
Vet Parasitol. 2002 Aug 30;108(1):31-9.
PMID: 12191897 Similar articlesSelect item 2746953382.
Updating Taenia asiatica in humans and pigs.
Galán-Puchades MT, Fuentes MV.
Parasitol Res. 2016 Nov;115(11):4423-4425. Epub 2016 Jul 28.
PMID: 27469533 Similar articlesSelect item 1278137883.
Taenia solium taeniosis/cysticercosis in Asia: epidemiology, impact and issues.
Rajshekhar V, Joshi DD, Doanh NQ, van De N, Xiaonong Z.
Acta Trop. 2003 Jun;87(1):53-60. Review.
PMID: 12781378 Similar articlesSelect item 2653639684.

Hình 5
Assessment of a computer-based Taenia solium health education tool 'The Vicious Worm' on knowledge uptake among professionals and their attitudes towards the program.
Ertel RL, Braae UC, Ngowi HA, Johansen MV.
Acta Trop. 2017 Jan;165:240-245. doi: 10.1016/j.actatropica.2015.10.022. Epub 2015 Nov 1.
PMID: 26536396 Similar articlesSelect item 847264085.
[Epidemiologic studies of C. bovis and T. saginata infections in eastern and western Germany].
Möbius G.
Dtsch Tierarztl Wochenschr. 1993 Mar;100(3):110-4. German. 
PMID: 8472640Similar articles Select item 3066296386.
Spatiotemporal distribution and economic loss associated with bovine cysticercosis and human taeniasis in Ethiopia.
Hiko A, Seifu B.
Parasite Epidemiol Control. 2018 Nov 17;4:e00078. doi: 10.1016/j.parepi.2018.e00078. eCollection 2019 Feb. Review.
PMID: 30662963 Free PMC Article Similar articles Select item 2152442887.
Comparison of bovine cysticercosis prevalence detected by antigen ELISA and visual inspection in the North East of Spain.
Allepuz A, Gabriël S, Dorny P, Napp S, Jansen F, Vilar MJ, Vives L, Picart L, Ortuño A, Gutiérrez J, Casal J.
Res Vet Sci. 2012 Jun;92(3):393-5. doi: 10.1016/j.rvsc.2011.03.027. Epub 2011 Apr 23.
PMID: 21524428 Similar articlesSelect item 2265138888.
Seroprevalence of major bovine-associated zoonotic infectious diseases in the Lao People's Democratic Republic.
Vongxay K, Conlan JV, Khounsy S, Dorny P, Fenwick S, Thompson RC, Blacksell SD.
Vector Borne Zoonotic Dis. 2012 Oct;12(10):861-6. doi: 10.1089/vbz.2011.0850. Epub 2012 May 31. 
PMID: 22651388 Similar articles Select item 3023044589.
Taenia solium cysticercosis in West Africa: status update.
Melki J, Koffi E, Boka M, Touré A, Soumahoro MK, Jambou R.
Parasite. 2018;25:49. doi: 10.1051/parasite/2018048. Epub 2018 Sep 18. Review.
PMID: 30230445 Free PMC Article Similar articles Select item 1328351290.
Bovine cysticercosis in Great Britain from July, 1950, to December, 1953, with some notes on meat inspection and the incidence of Taenia saginata in man.
SILVERMAN PH.
Ann Trop Med Parasitol. 1955 Dec;49(4):429-35. No abstract available. 
PMID: 13283512 Similar articlesSelect item 2348326191.
An immunoblot for detection of Taenia saginata cysticercosis.
Abuseir S, Nagel-Kohl U, Wolken S, Strube C.
Parasitol Res. 2013 May;112(5):2069-73. doi: 10.1007/s00436-013-3368-5. Epub 2013 Mar 13.
PMID: 23483261 Similar articlesSelect item 1932920092.
A survey of bovine cysticercosis/human taeniosis in Northern Turkana District, Kenya.
Asaava LL, Kitala PM, Gathura PB, Nanyingi MO, Muchemi G, Schelling E.
Prev Vet Med. 2009 Jun 1;89(3-4):197-204. doi: 10.1016/j.prevetmed.2009.02.010. Epub 2009 Mar 28.
PMID: 19329200 Similar articlesSelect item 2866901593.

Hình 7
Present status of laboratory diagnosis of human taeniosis/cysticercosis in Europe.
Gómez-Morales MA, Gárate T, Blocher J, Devleesschauwer B, Smit GSA, Schmidt V, Perteguer MJ, Ludovisi A, Pozio E, Dorny P, Gabriël S, Winkler AS.
Eur J Clin Microbiol Infect Dis. 2017 Nov;36(11):2029-2040. doi: 10.1007/s10096-017-3029-1. Epub 2017 Jul 1. Review.
PMID: 28669015 Free PMC Article Similar articles Select item 1956895094.
Prevalence of bovine cysticercosis in slaughtered cattle in Iran.
Khaniki GR, Raei M, Kia EB, Haghi AM, Selseleh M.
Trop Anim Health Prod. 2010 Feb;42(2):141-3. doi: 10.1007/s11250-009-9399-3. Epub 2009 Jul 1.
PMID: 19568950 Similar articles Select item 1278137595.
The current status of neurocysticercosis in Eastern and Southern Africa.
Mafojane NA, Appleton CC, Krecek RC, Michael LM, Willingham AL 3rd.
Acta Trop. 2003 Jun;87(1):25-33. Review.
PMID: 12781375 Similar articlesSelect item 182289596.

Hình 8
The situation of cysticercosis/taeniasis in animals/man in Bali.
Suweta IG.
Southeast Asian J Trop Med Public Health. 1991 Dec;22 Suppl:236-8. Review.
PMID: 1822895 Similar articles Select item 2776972097.
Molecular analyses reveal two geographic and genetic lineages for tapeworms, Taenia solium and Taenia saginata, from Ecuador using mitochondrial DNA.
Solano D, Navarro JC, León-Reyes A, Benítez-Ortiz W, Rodríguez-Hidalgo R.
Exp Parasitol. 2016 Dec;171:49-56. doi: 10.1016/j.exppara.2016.10.015. Epub 2016 Oct 18.
PMID: 27769720 Similar articlesSelect item 1695672798.
Risk factors associated with porcine cysticercosis in selected districts of Eastern and Southern provinces of Zambia.
Sikasunge CS, Phiri IK, Phiri AM, Dorny P, Siziya S, Willingham AL 3rd.
Vet Parasitol. 2007 Jan 19;143(1):59-66. Epub 2006 Sep 7.
PMID: 16956727 Similar articlesSelect item 831296399.
Potential eradicability of taeniasis and cysticercosis.
Schantz PM, Cruz M, Sarti E, Pawlowski Z.
Bull Pan Am Health Organ. 1993;27(4):397-403.
PMID: 8312963 Similar articles Select item 29649259100.
Development of the multi-epitope chimeric antigen rqTSA-25 from Taenia saginata for serological diagnosis of bovine cysticercosis.
Guimarães-Peixoto RPM, Pinto PSA, Santos MR, Zilch TJ, Apolinário PF, Silva-Júnior A.
PLoS Negl Trop Dis. 2018 Apr 12;12(4):e0006371. doi: 10.1371/journal.pntd.0006371. eCollection 2018 Apr.
PMID: 29649259 Free PMC Article Similar articles 

Hình 9
Development of a biomolecular assay for postmortem diagnosis of Taenia saginata Cysticercosis.
Chiesa F, Dalmasso A, Bellio A, Martinetti M, Gili S, Civera T.
Foodborne Pathog Dis. 2010 Oct;7(10):1171-5. doi: 10.1089/fpd.2009.0530.
PMID: 20618079 Similar articlesSelect item 3793396102.
Studies on Taenia saginata cysticercosis in eastern Nigeria.
Okolo MI.
Int J Zoonoses. 1986 Jun;13(2):98-103.
PMID: 3793396 Similar articlesSelect item 21105600103.
Prevalence of bovine cysticercosis and hydatidosis in Jimma municipal abattoir, South West Ethiopia.
Tolosa T, Tigre W, Teka G, Dorny P.
Onderstepoort J Vet Res. 2009 Sep;76(3):323-6.
PMID: 21105600 Similar articlesSelect item 24412867104.
[Cysticercus bovis in slaughtered cattle in the Afyonkarahisar and Burdur provinces and its importance from the point of view of public health].
Kuş FS, Sevimli FK, Miman Ö.
Turkiye Parazitol Derg. 2013;37(4):262-8. doi: 10.5152/tpd.2013.3239. Turkish. 
PMID: 24412867 Free Article Similar articles Select item 22620676105.
A change in the epidemiology of bovine cysticercosis in Israel between 1973 and 2008 due to import of live cattle.
Meiry M, Brenner G, Markovitcs A, Klement E.
Transbound Emerg Dis. 2013 Aug;60(4):298-302. doi: 10.1111/j.1865-1682.2012.01344.x. Epub 2012 May 24.
PMID: 22620676 Similar articlesSelect item 30812327106.

Hình 9
Tapeworms, Meat and Man: A Brief Review and Update of Cysticercosis Caused by Taenia Saginata and Taenia Solium.
Hird DW, Pullen MM.
J Food Prot. 1979 Jan;42(1):58-64. doi: 10.4315/0362-028X-42.1.58.
PMID: 30812327 Similar articlesSelect item 30725839107.
Tapeworm (Taenia Solium, Taenia Saginata, Diphyllobothrium, Cysticercosis, Neurocysticercosis).
Lesh EJ, Brady MF.
StatPearls [Internet]. Treasure Island (FL): StatPearls Publishing; 2019 Jan-.
2019 Feb 1. 
PMID: 30725839 Free Books & Documents Similar articles Select item 30873931108.
Short communication: Four cases of Taenia saginata taeniasis in urban Venezuelan communities.
Rojas G, Martínez M, Corrales Y, Mijares V, León L, Medina C, Ferrer E, Parkhouse RME, Cortéz MM.
J Helminthol. 2019 Mar 15:1-3. doi: 10.1017/S0022149X1900021X. [Epub ahead of print]
PMID: 30873931 Similar articlesSelect item 29276585109.

Hình 10
Intestinal perforation and peritonitis due to Taenia saginata: A case report from Iran.
Soosaraei M, Alizadeh S, Fakhar M, Banimostafavi ES, Hezarjaribi HZ.
Ann Med Surg (Lond). 2017 Nov 15;24:74-76. doi: 10.1016/j.amsu.2017.11.021. eCollection 2017 Dec.
PMID: 29276585 Free PMC Article Similar articles Select item 30776322110.
Impacts of using the electronic-health education program 'The Vicious Worm' for prevention of Taenia solium.
Lauridsen S, Braae UC, Ngowi HA, Johansen MV.
Acta Trop. 2019 Feb 15;193:18-22. doi: 10.1016/j.actatropica.2019.02.018. [Epub ahead of print] 
PMID: 30776322 Free Article Similar articlesSelect item 30727977111.
A co-infection case report of Taenia saginata in a patient with subclinical clonorchiasis confirmed by the combination of diagnostic tools.
Shin JH, Won EJ, Jung JS, Park KH, Nam KI, Kim SH, Shin JH.
BMC Infect Dis. 2019 Feb 6;19(1):115. doi: 10.1186/s12879-019-3758-0.
PMID: 30727977 Free PMC Article Similar articlesSelect item 30791006112.
Notes on Afrotropical Cydnidae (Heteroptera) with emphasis on vehicle-mounted net samples and description of a new species from Liberia, West Africa.
KrÜger A, Lis JA.
Zootaxa. 2019 Feb 20;4559(3):559-567. doi: 10.11646/zootaxa.4559.3.6.
PMID: 30791006 Similar articlesSelect item 30777134113.
Correction to: Epidemiology of taeniosis/cysticercosis in Europe, a systematic review: eastern Europe.
Trevisan C, Sotiraki S, Laranjo-González M, Dermauw V, Wang Z, Kärssin A, Cvetkovikj A, Winkler AS, Abraham A, Bobić B, Lassen B, Cretu CM, Vasile C, Arvanitis D, Deksne G, Boro I, Kucsera I, Karamon J, Stefanovska J, Koudela B, Pavlova MJ, Varady M, Pavlak M, Šarkūnas M, Kaminski M, Djurković-Djaković O, Jokelainen P, Jan DS, Schmidt V, Dakić Z, Gabrië S, Dorny P, Omeragić J, Alagić D, Devleesschauwer B.
Parasit Vectors. 2019 Feb 18;12(1):84. doi: 10.1186/s13071-019-3328-8.
PMID: 30777134 Free PMC Article Similar articles Select item 30781232114.

Hình 10
Distribution of Chrysoporthe Canker Pathogens on Eucalyptus and Syzygium spp. in Eastern and Southern Africa.
Nakabonge G, Roux J, Gryzenhout M, Wingfield MJ.
Plant Dis. 2006 Jun;90(6):734-740. doi: 10.1094/PD-90-0734.
PMID: 30781232 Similar articlesSelect item 30795397115.
Epidemiology and Chemical Control of Soybean Rust in Southern Africa.
Levy C.
Plant Dis. 2005 Jun;89(6):669-674. doi: 10.1094/PD-89-0669.
PMID: 30795397 Similar articlesSelect item 29207846116.

Hình 11
Tiny Creature in Oral Cavity: A Case Report.
Singh C, Devi MP, Sagar K.
J Clin Diagn Res. 2017 Sep;11(9):ZD04-ZD05. doi: 10.7860/JCDR/2017/27834.10583. Epub 2017 Sep 1.
PMID: 29207846 Free PMC Article Similar articles Select item 29535435117.
Taenia saginata Infection Diagnosed Based on the Number of Uterine Branches Observed During Capsule Endoscopy.
Hamada K, Takemoto K, Takei K, Yamasaki Y, Fujiwara Y.
Am J Gastroenterol. 2018 Mar;113(3):327. doi: 10.1038/ajg.2017.444. No abstract available. 
PMID: 29535435 Similar articlesSelect item 29850644118.
Taenia saginata as a Cause of Bowel Obstruction.
Wani AA, Ilyas M, Robbani I, Taley SA.
ACG Case Rep J. 2018 May 23;5:e37. doi: 10.14309/crj.2018.37. eCollection 2018. No abstract available. 
PMID: 29850644 Free PMC Article Similar articles Select item 30718855119.
Connecting palaeoscientists in eastern Africa and the wider world.
Alemseged Z, Njau J, Pobiner B, Ndiema E.
Nat Ecol Evol. 2019 Mar;3(3):330-331. doi: 10.1038/s41559-019-0800-y. No abstract available. 
PMID: 30718855Similar articles