Gần đây Tổ chức Y tế thế giới đưa ra các khuyến cáo hóa liệu pháp điều trị bệnh ấu trùng sán dây lợn thể thần kinh (Considerations for the use of anthelminthic therapy for the treatment of neurocysticercosis (WHO, 28.03.2023). Tài liệu này còn kết hợp với Hướng dẫn quản lý bệnh nhiễm ấu trùng sán dây lợn thể thần kinh của WHO 2021 dành cho các nhà thực hành lâm sàng. Tài liệu tập trung chủ yếu về 2 loại thuốc kháng giun, sán được sử dụng trong điều trị bệnh sán dây lợn thể thần kinh là albendazole và praziquantel.
GIỚI THIỆU
·Bệnh ấu trùng sán dây lợn (BATSDL) có đặc điểm lâm sàng và hình ảnh học không đồng nhất, trong khi các thử nghiệm lâm sàng về phác đồ điều trị rất hiếm !important;
·Có hai loại thuốc kháng giun, sán được sử dụng để điều trị BATSDL: Albendazole (ABZ), một loại thuốc kháng giun sán phổ rộng có tác dụng chống lại giun tròn, giun phổi (lungworms), sán dây (nghiên cứu của ABZ trong điều trị trên người được bắt đầu năm 1979 và hiệu quả điều trị của nó đã được chứng minh vào năm 1987) và Praziquantel (PZQ), một thuốc kháng giun sán thuộc nhóm pyrazyno isoquinoline được sử dụng điều trị ATSDL ở người năm 1979 !important;
·Cả hai loại thuốc đều có hiệu quả điều trị chống lại nang u hạt (thể còn sống) và nang keo (thoái hóa), sự lựa chọn thuốc chủ yếu dựa vào khả năng sẵn có và chi phí thuốc ở mỗi quốc gia có bệnh lưu hành !important;
·Hiệu quả điều trị ở các nghiên cứu có bằng chứng mạnh hơn ở nang u hạt so với nang keo do thể nang keo thường có tính không đồng nhất !important;
·Do phản ứng viêm quanh các nang (một dấu hiệu của việc thoái hóa do ký sinh trùng gây ra bởi thuốc kháng giun sán) nên việc sử dụng thuốc điều trị kháng giun, sán phải thường kết hợp với các thuốc kháng viêm.

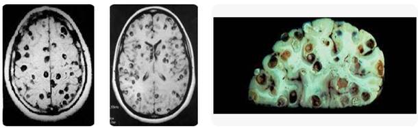
Hình 1. Ấu trùng sán dây lợn ở thần kinh trung ương | Nguồn: CDC, 2021
LIỀU SỬ DỤNG
Vị trí ký sinh của ký sinh trùng là một trong những yếu tố quan trọng quyết định hiệu quả điều trị thuốc kháng giun, sán trong BATSDL. Ký sinh trùng ký sinh ở nhu mô não sẽ đáp ứng điều trị tốt hơn so với ký sinh trùng nằm ở vùng ngoài nhu mô (thông thường là não thất và khoang dưới nhện).
-Với nang u hạt và nang keo trong nhu mô não:
ABZ thường được sử dụng ở liều 15mg/kg mỗi ngày, chia 2 lần mỗi ngày, dùng trong 10 - 14 ngày. PZQ dùng ở liều 50mg/kg mỗi ngày, chia 3 lần mỗi ngày, dùng trong 10 - 14 ngày. Một số liệu trình ngắn hơn ở cả 2 thuốc cũng ghi nhận có hiệu quả điều trị. Gần đây, một nghiên cứu vềphối hợp ABZ + PZQ với liều tương tự có hiệu quả điều trị tốt hơn phác đồ chỉ dùng ABZ đơn thuần ở bệnh nhân có nhiều hơn 2 nang sán trong nhu mô não.
-Với nang u hạt và nang keo ở ngoài nhu mô não:
Các nang ngoài nhu mô não thường kém đáp ứng điều trị so với các nang trong nhu mô não. Để tăng hiệu quả điều trị, hai phương án đã được sử dụng cho đến nay là tăng liều sử dụng (ví dụ như tăng liều ABZ lên 30mg/kg/ngày trong 10 - 14 ngày, sau 6 tháng trong trường hợp đáp ứng điều trị không hoàn toàn) và tăng thời gian điều trị (kéo dài tới vài tháng cho đến khi có bằng chứng thuyên giảm bệnh).

Hình 2. Nang sán trong nhu mô não và hình ảnh trong nhu mô não khi mổ |Nguồn: Radiologie, 2016
Cân nhắc thực tế lâm sàng
Chỉ định:
·Trước khi sử dụng ABZ hoặc PZQ, kiểm tra hình ảnh học (CT scan hay MRI) cần được thực hiện để đánh giá vị trí ký sinh, số lượng và giai đoạn thoái hóa nang sán, cũng như mức độ phản ứng viêm !important;
·Việc sử dụng thuốc kháng giun, sán được khuyến cáo điều trị cho giai đoạn nang u hạt (thể còn sống) hay nang keo (thoái hóa). Không khuyến cáo điều trị thuốc cho giai đoạn nang vôi hóa (ký sinh trùng đã chết).
Chống chỉ định dựa vào đặc điểm lâm sàng/hình ảnh học:
·Tăng áp lực nội sọ (với triệu chứng chính gồm đau đầu tăng dần, buồn nôn, nôn, suy giảm thị lực) mà không liên quan đến các nguyên nhân não úng thủy hay bệnh phù não lan tỏa, dấu hiệu đe dọa tính mạng này phải được giải quyết (thông qua phẫu thuật hoặc điều trị thuốc kháng viêm) trước khi dùng thuốc kháng giun sán.
·Viêm não do nang sán (với sự xuất hiện của hàng chục nang keo) là chống chỉ định rõ ràng.
·Trong trường hợp nhiễm nhiều nang u hạt, thuốc kháng giun, sán có thể được sử dụng nhưng hết sức thận trọng, dưới sự giám sát của chuyên gia điều trị.

Hình 3. Nang ấu trùng sán dây lợn trong nhu mô não bệnh nhân
SỬ DỤNG THUỐC
-Hiệu quả điều trị phụ thuộc vào nồng độ trong huyết thanh của thuốc. Điều này được cho thấy trong sử dụng ABZ điều trị nang trong nhu mô não và ngoài nhu mô não. Để tăng nồng độ thuốc trong huyết thanh, cả hai loại thuốc nên được sử dụng với nước trái cây (nước bưởi) và/hoặc thức ăn, tốt nhất là thức ăn giàu chất béo đối với ABZ và thức ăn giàu carbohydrate (tinh bột) đối với PZQ.
-Với nguy cơ từ quá trình điều trị thuốc kháng giun sán, trong các trường hợp nhiều nang sán ký sinh khu trú ở trong và ngoài nhu mô não thì khuyến cáo nên được sử dụng thuốc trong bệnh viện (điều trị nội trú).
Điều trị thuốc kháng viêm
·Các triệu chứng (đặc biệt là co giật và đau đầu) có thể xuất hiện hoặc nặng hơn khi bắt đầu điều trị. Điều đó là do liên quan đến quá trình viêm xung quanh nang, giai đoạn đầu của quá trình thoái hóa nang sán !important;
·Để kiểm soát đáp ứng viêm, thuốc kháng viêm cần được sử dụng. Thuốc kháng viêm nên được bắt đầu dùng từ 1 đến 2 ngày trước khi điều trị thuốc kháng giun, sán. Đồng thời, thuốc kháng viêm cần được tiếp tục duy trì trong quá trình điều trị thuốc kháng giun, sán và được giảm nhiều hay ít một cách nhanh chóng phụ thuộc vào mức độ phản ứng viêm !important;
·Thuốc kháng viêm thường dùng là corticosteroid (chủ yếu là dexamethasone và prednisone). Thời gian và liều lượng thuốc sẽ phụ thuộc vào tình trạng lâm sàng của bệnh nhân và đặc điểm của ký sinh trước khi điều trị (số lượng, vị trí, giai đoạn của nang và mức độ phản ứng viêm !important;
·Liều kháng viêm có thể cao hơn với trường hợp nang ngoài nhu mô não (thông thường lên tới 0,4mg/kg/ngày với dexamethasone và 1m/kg/ngày với prednisone) vì các biến chứng quá trình viêm (viêm màng nhện, viêm mạch máu, tăng áp lực nội so) có thể diễn tiến nặng.
Thuốc chống động kinh
·Vì có nguy cơ tăng xuất hiện động kinh trong thời gian điều trị thuốc kháng giun, sán nên việc tiếp tục điều trị thuốc chống động kinh trong thời gian điều trị thuốc kháng giun, sán rất quan trọng. Nếu bệnh nhân không có tiền sử động kinh hay không sử dụng thuốc chống động kinh trước đó, việc sử dụng thêm thuốc cần được thảo luận với chuyên gia, điều đó phụ thuộc vào vị trí và số lượng nang sán !important;
·Không có dữ liệu nào cho thấy có một loại thuốc chống động kinh nào có ích lợi hơn các loại thuốc động kinh khác trong điều trị động kinh do ATSDL ở não. Loại thuốc và liều lượng được sử dụng tương tự như trong điều trị động kinh do các nguyên nhân khác !important;
·Thời gian khuyến cáo điều trị là ít nhất 6 tháng sau lần động kinh cuối cùng trong trường hợp ký sinh trùng biến mất hoàn toàn sau điều trị thuốc kháng giun sán, hoặc kéo dài ít nhất 2 năm sau đợt điều trị tấn công cuối cùng với trường hợp tàn dư ký sinh trùng vẫn tồn tại (vôi hóa, u hạt, tăng sinh thần kinh đệm).


Hình 5. Đáp ứng miễn dịch của vật chủ khi mắc ấu trùng sán dây lợn