Theo các thông tin cập nhật vào ngày 04.05.2023 trên trang của Trung tâm Kiểm soát và Phòng ngừa bệnh tật Mỹ (US.CDC) về dịch tễ học lâm sàng bệnh âu trùng sán dây lợn. Bệnh này lưu hành chủ yếu ở Trung và Nam Mỹ, châu Á và châu Phi. Sự tồn tại mãi của bệnh lý này có liên quan đến thói quen vệ sinh kém. Điểm đặc biệt, bệnh không có ưu thế về giới, chủng tộc và dân tộc và bệnh nhân có triệu chứng đa phần trong độ tuổi 15-40 tuổi. 
Sán dây lợn (Taenia solium) có thể phát triển dài đến trên 20 feet khi ở trong ruột của cơ thể người, ở đó chúng dính vào thành ruột nhờ sử dụng 4 giác hút trên đầu của chúng với kích thước 1 mm đường kính. Đầu sán trông ra như một cái đầu nhưng không có miệng hay ống tiêu hóa và hấp thu dễ dàng chất dinh dưỡng thông qua hấp phụ bề ngoài của cơ thể sán. 
Bệnh sán dây hình thành khi một người ăn thịt heo/lợn chưa nấu chín có chứa sán ở giai đọan nang; tùy thuộc đường vào trong ruột người, nang sáng phát triển thành sán trưởng thành và cung có thể sống ở đó trong nhiều năm. Điều đáng lo là làm sao chúng có thể sống bên trong ruột người, nhiễm trùng ở đường tiêu hóa với sán T. solium thường nhiễm trùng nhẹ nhàng không có triệu chứng gì điển hình hay đặc trưng và có thể điều trị bằng liều duy nhất thuốc praziquantel (diệt sán trưởng thành).

Hình 1a. Đầu sán dây lợn T. solium
Điều quan trong ấu trùng thể thần kinh chỉ đề cập sán dây lợn (T. solium) mà không đề ập đến sán dây bò (T. saginata)

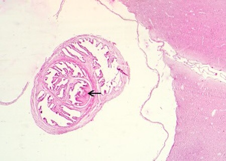
Hình 1b. Phần mô não được làm mô bệnh học thấy nang sán sau khi nhuộm H&E. 
Đầu sán bị lồng và bao ở vị trí mũi tên
|Nguồn: US.CDC, 2023
LÀM THẾ NÀO SÁN DÂY T. soliumVÀO TRONG NÃO
Nếu trứng đẻ ra trong phân của một người nhiễm một cách tình cờdo nuốt phải từ một người đang mắc bệnh sán dây lợn hoặc một người có điều kiện làm việc và sinh sống trong môi trường gần gũi để phơi nhiễm với mầm bệnh và dẫn đế hậu quả. Đường phân miệng này là một mô hình nhiễm là phổ biến nhất, bên cạnh đó còn có một số tác nhân gây bệnh khác, bao gồm cả Norovirus. Trong đường ruột, trứng sán dây T. solium chuyển thành oncospheres, rồi đi xuyên qua thành ruột và di chuyển thông qua hệ tuần hoàn máu đến các mô khác nhau, hầu hết và thường gặp là cơ và hệ thần kinh trung ương. Khi nang sán phát triển trong não hay các phần khác của cơ thể chủ yếu là cơ và hệ thần kinh trung ương, dẫn đến bệnh ấu trùng sán dây lợn thể thần kinh với ước tính 2,5 - 8,5 triệu người trên toàn cầu đang bị thể bệnh này.
Trong các mô của cơ thể ấu trùng phát triển thành nang sán(cysticerci) chỉ khi chúng trong cơ của lợn. Vì người, không như ở lợn thì lại thường ăn bởi các động vật khác, nên nang sán không có cơ hội đi vào hệ tiêu hóa của các động vật khác, ở đó chúng sẽ phát triển thành con trưởng thành, vì thế người là vật chủ cuối cùng hay ngõ cụt “dead-end host” trong thể bệnh này.
Từ vài tháng đến nhiều năm, nang sán trong não tránh và thậm chí ức chế hoạt động của đáp ứng miễn dịch của vật chủ và có thể không biểu hiện triệu chứng trong giai đoạn này, trừ khi vị trí của nang sáng gây nên triệu chứng (dòng chảy dịch não tủy bị nghẽn ây tình trạng não úng thủy).

Hình 2. Chu kỳ sinh học và phát triển của bệnh sán dây
Nguồn: US.CDC 2022
Tuy nhiên, một khi nang sán bắt đầu thoái hóa, chúng sẽ dẫn đến một đáp ứng miễn dịch gây phù nề và sinh ra các triệu chứng, bao gồm đau đầu và động kinh. Tại các vùng lưu hành bệnh, thực tế thể bệnh ấu trùng sán dây lợn thể thần kinh gây ra động kinhchiếm 30% số ca có động kinh.
TRIỆU CHỨNG LÂM SÀNG
Có một sự dao động lớn về thời gian giữa thời điểm nhiễm trùng đến khi khởi phát triệu chứng (dao động từ 1-30 năm).Triệu chứng lâm sàng gồm:
·Co giật: Hầu hết các triệu chứng hay gặp nhất là co giật và co giật trên người trưởng thànhtrẻ ở các vùng lưu hành; 
·Đau đầu;
·Não úng thủy;
·Thay đổi thâm thần kinh;
·Các khiếm khuyết thần kinh; 
·Hội chứng Bruns gây ra bởi nang sán trong não thất ba và não thất bốn;
Huyết thanh chẩn đoán dịch não tủy có thể có ích trong việc giúp chẩn đoán ban đầu, đặc biệt các ca nhiễm trùng dưới nhện và trong não thất.
BỆNH HỌC
Nhiễm trùng này dẫn đến một dạng bệnh lý ngoài tiêu hóa (extraintestinal disease)còn gọi là bệnh ấu trùng sán dây lợn thể thần kinh, thường xảy ra như một hậu quả do ăn uống có nguồn nước nhiễm phân người chứa trứng sán T. solium.Điều này khác biệt với chu kỳ bình thường mà trong đó thịt heo chưa nấu chín được ăn vào và có chứa nang ấu trùng, trưởng thành thành con sán dây trưởng thành trong ruột.
Nhiễm trùng ngoài ruột thực hiện trải qua các thay đổi hình ảnh học và triệu chứng lâm sàng đặc hiệu cũng như tiến triển của nó thông qua 4 giai đoạn chính của nhiễm trùng, còn được gọi là các giai đoạn bệnh học của Escobar:
1.Giai đoạn nang dịch (vesicular): Ký sinh trùng còn sống với màng ngoài còn nguyên vẹn nên không có phản ứng với vật chủ; 
2.Giai đoạn nang keo (colloidal vesicular): Ký sinh trùng chết trong 4-5 năm không điều trị, hoặc sớm hơn có điều trị và dịch nang trở nên đục. Khi màng bao nang sán phù nề rỉ dịch (leaky edema) quanh nang sán.Đây là giai đoạn có triệu chứng nhất;
3.Giai đoạn tạo nốt mô hạt (granular nodular): Phù nề giảm vì nang co rút vào lại hơn, tồn tại kéo dài hơn;
4.Giai đoạn nốt canxi hóa (nodular calcified): Giai đoạn “tàn dư” của nang sán bị canxi hóa giai đoạn cuối, không phù nề.
ĐẶC ĐIỂM HÌNH ẢNH HỌC THẦN KINH
Hình ảnh học lệ thuộc vào vị trí và giai đoạn nhiễm trùng: 
1.Vị trí: Các nang sán có thể xảy ra bất kỳ vị trí thiết yếu trong trục thần kinh và có thể bên trong trục thần kinh (intraaxial) hay ngoài trục thần kinh (extraaxial).
·Nhu mô não: Chiếm hầu hết;
·Khoang dưới nhện ưu thế hơn bán cầu não: Có thể rất lớn; 
·Não thất; 
·Thể tủy sống:Thường có liên quan đến đồng thời ở trong sọ não;
Trong nhu mô: Các nang sán trong nhu mô thường có liên quan đến điểm nối chât trắng và chất xám. Chúng thường có kích thước nhỏ ~10mm.
Dưới nhện/ Trong não thất: Khi ở trong các khoang dưới nhện hoặc bên trong não thất, các nang sán đặc trưng có thể không nhìn thấy đầu sán. Thường thì các nang sán giống cường độ tín hiệu với dịch não tủy, mặc dù đôi khi dịch nang sán khác nhau về tính chất. Chúng có thể hóa canxi ở vùng ngoại vi. Trong bể đáy, chúng có thể có hình ảnh giống chùm nho (racemose cisticercosis). Nang sán điển hình có kích thước đường kính 1-2 cm. Còn các nơi khác trong khoang dưới nhện, đặc biệt là kênh sylvian,các nang sán có thể kích thước lớn hơn (đến 9 cm).
Trong não thất, thường thường (79%) có liên quan đến viêm não thất dẫn đến hẹp ống dẫn dịch não tủy và não úng thủy.
2.Giai đoạn:Mỗi giai đoạn có một số đặc điểm hình ảnh khá phân biệt đặc trưng, mặc dù không có ranh giới về hình dáng giữa các giai đoạn sau đó. 
Nang nước (Vesicular)
·Nang có dấu hiệu chấm (dot sign);
·Mật độ/ cường độ dịch não tủy;
·Đầu sán tăng đậm độ không đồng tâm trên phim T1 đôi khi có thể nhìn thấy;
·Không có điểm nổi bật điển hình, mặc dù tăng nhẹ vách và tăng vùng đầu có thể nhìn thấy;
·Không có phù tăng sinh mạch xung quanh;
Nang keo (Colloidal vesicular)
·Dịch nang sán về mặt đại thể trở nên đục phản ánh có thay đổi hình ảnh:
oCT: Tăng đậm độ đối với dịch não tủy;
oMRI T1: Tăng cường độ so với dịch não tủy;
·Phù nề vùng xung quanh
·Các nang sán và vách trở nên dày và tăng sáng
·Đầu sán có thể nhìn thấy sớm trong giai đoạn nang keo nhưng dần dần chìm xuống và khó xác định hơn.
Nốt hạt (Granular nodular)
·Phù nề giảm
·Cuối cùng các nang sán bóc tách tạo thành các nốt nhỏ
·Đậm độ tăng tồn tại nhưng ít biểu trưng.
Nốt hóa canxi (Nodular calcified)
·Giai đoạn cuối các nốt nang sán hóa canxi nằm yên lặng;
·Không phù nề;
·Không tăng âm trên CT;
·Tín hiệu rớt trên trình tự T2 và T2;
·Một số tín hiệu T1 cao nội sinh có thể xuất hiện;
·Tăng kéo dài có thể là bằng chứng trê MRI và có thể tiêng đoán co giật đang tiếp diễn.









Hình 3y. Các giai đoạn nang sán ấu trùng sán dây lợn từ nang dịch đến nang canxi hóa
(còn nữa)
 Tiếp theo phần 2: CHẨN ĐOÁN BỆNH ẤU TRÙNG SÁN DÂY LỢN THỂ THẦN KINH