GIỚI THIỆU MỘT SỐ BỆNH SÁN DÂY GÂY BỆNH Ở NGƯỜI
Sán dây là loại ký sinh trùng có hình thái dẹt, có tính chất lưỡng tính với một chu kỳ sinh học và phát triển phức tạp, gây nhiễm trên cả động vật và con người. Mặc dù có nhiều loài và nhiều loại sán dây. Tuy nhiên, trong trường hợp này tập trung vào 3 loài sán dây đặc biệt gây bệnh ở người: sán dây lợn Taenia solium, sán dây bò Taenia saginata và sán dây cá Diphyllobothrium spp.
Có hai cách nhiễm trùng có thể thiết lập dựa trên con đường gây nhiễm. Bước đầu tiên là do nuốt trứng do các động vật và người nhiễm đào thải qua phân, dẫn đến phát triển thành ấu trùng (larval stage) bên trong các mô của động vật và người, gọi là bệnh ATSDL. Nếu các ấu trùng phát triển trong hệ thần kinh trung ương, gọi là ATSDL thần kinh (neurocysticercosis_NCC). 
Loại thứ hai là bản thân nuốt phải các ấu trùng từ các nguồn thịt nấu không chín, dẫn đến phát triển và nhiễm trùng sán dây trưởng thành trong đường tiêu hóa. Các nhiễm trùng sán dây nói trên có ý nghĩa về mặt y học con người và y học thú y cũng như tác động trên kinh tế. NCC là một trong những nguyên nhân quan trọng dẫn đến động kinh và chiếm 30% số ca động kinh tại các quốc gia đang phát triển. 
Theo dữ liệu từ Tổ chức Y tế thế giới ngày 15.02.2018 cho biết các khía cạnh chính của bệnh sán dây/ ấu trùng sán dây lợn (Taeniasis/cysticercosis) cần quan tâm:·Bệnh sán dây là một nhiễm trùng đường ruột do nhiễm sán dây trưởng thành; ·Ba loài sán dây gây bệnh sán dây ở người đến nay được biết là Taenia solium, Taenia saginata và Taenia asiatica. Chỉ có T. solium mới gây vấn đề sức khỏe công cộng nghiêm trọng; Bệnh sán dây lợn T. solium mắc phải ở người do tiêu hóa phải nang ấu trùng sán dây (cysticerci) trong các mẫu thịt nhiễm và nấu chưa chín; ·Người mang sán dây sẽ đào thải trứng sán dây ra theo phân và nhiễm vào trong môi trường nếu không đi vào hố xí; ·Người cũng có thể nhiễm trứng sán dây lợn T. solium do ăn các thức ăn hoặc uống nguồn nước bị nhiễm hay nguồn ô nhiễm, không hợp vệ sinh; ·Tiêu hóa phải trứng sán dây T. solium, trứng phát triển thành ấu trùng (gọi là cysticerci) trong nhiều cơ quan khác nhau của cơ thể. Khi chúng vào hệ thần kinh trung ương (TKTU), có thể gây ra các triệu chứng thần kinh gọi là bệnh ấu trùng sán dây thể thần kinh (ATSDTK-neurocysticercosis), gồm cả động kinh, co giật; ·T. solium là tác nhân gây ra 30% số ca động kinh tại nhiều vùng lưu hành, nơi mà con người và lợn thả rông (roaming pigs) sống gần nhau; ·Hơn 80% trong số 50 triệu người bị nhiễm có biểu hiện động kinh sống tại các quốc gia có thu nhập thấp và trung bình thấp. Bệnh sán dây bao gồm 2 loại là sán dây lợn và sán dây bò, thuộc nhóm C trong Luật Phòng, chống bệnh truyền nhiễm. Bệnh sán dây có thể ký sinh ở người dưới hình thức sán trưởng thành và ấu trùng sán dây lợn.   | 
MỘT SỐ CĂN BỆNH TRUYỀN NHIỄM TRUYỀN LÂY TỪ LỢN SANG NGƯỜI
Heo là một loại protein khỏe mạnh, sắt và kẽm nhưng phải ăn các thực phẩm từ chúng phải nấu chín để tránh bệnh tật. Theo Bộ phận thanh tra và An toàn thực phẩm nông nghiệp Mỹ (United States Department of Agriculture Food Safety and Inspection Service-US.DAFSIS) cho biết thịt heo nên nấu chín với nhiệt độ bên trong điều kiện nhiệt độ 630C (hay 1450F) để giết chết các mầm bệnh, nhất là vi khuẩn và ký sinh trùng mà có thể dẫn đến bệnh cho chúng ta. 
Một khi biết về các bệnh do heo có thể gây ra, bạn có thể thực hiên các bước an toàn để bảo vệ sức khỏe cho mình. Một số bệnh có thể phát sinh từ việc không ăn an toàn các thực phầm từ lợn như sau:

Hình 1
Nhiễm trùng vi khuẩn Salmonella spp.
Salmonella spp. gây ra bệnh do có chứa trong thực phẩm nhiễm phân động vật. Các triệu chứng nhiễm Salmonella spp. nhìn chung xảy ra trong vòng 12-72 giờ đầu sau khi nhiễm. Salmonella spp. có thể gây sốt, đau co thắt bụng và thường kéo dài 1 tuần. Trên hầu hết các ca đó có thể hồi phục mà không cần điều trị gì, mặc dù nó có thể mất vài tuần trước khi thói quen ruột của bạn trở lại bình thường. 
Một số ca nhiễm trùng nặng có thể dẫn đến nhiễm trùng huyết, thậm chí tử vong nếu không điều trị kịp thời. Thuốc kháng sinh thường không có hiệu quả trừ khi nhiễm trùng lan rộng trong ruột. 
Nhiễm trùng vi khuẩn E. coli
Heo có thể truyền vi khuẩn E. coli sang người, mặc dù chúng không gây bệnh lý rõ ràng. E. coli gây nhiễm trùng đau bụng nghiêm trọng, buồn nôn, nôn mửa và đại tiện phân lỏng, có thể có máu đi kèm có thể kèm theo sốt nhẹ.Nhiễm ca nhiễm trùng E. coli có thể nhẹ và biến mất tự chúng. Trong một số ca nặng, E. coli có thể gây hội chứng tan máu có tăng u rê huyết (HUS). HUS có thể đe dọa tính mạng và gây suy nhược cơ thể. Đôi khi E. coli không đáp ứng kháng sinh.
Nhiễm trùng giun xoắn Trichinella spiralis
Heo nhiễm ấu trùng giun xoắn Trichinella spiralis sẽ gây bênh giun xoắn. Triệu chứng đầu tiên của nhiễm giun xoắn gồm buồn nôn, nôn mửa, đi chảy, suy nhược, sốt và đau bụng. Sau đó, bệnh nhân có thể đau đầu, đau khớp, đau cơ, ho, sưng phồng mắt và táo bón. Nó có thể tồn tại triệu chứng trong vài tháng trước khi biến mất hoàn toàn. Một số ca nặng có thể gây các vấn đề tim mạch và khó thở, thậm chí tử vong. Điều trị thường dùng thuốc chống giun sán có hiệu quả.

Hình 2
Nhiễm trùng Listeria monocytogenes
Bệnh do nhiễm trùng vi khuẩn L. monocytogenes thường ảnh hưởng lên các phụ nữ mang thai, người cao tuổi, trẻ em nhỏ và các đối tượng suy giảm miễn dịch. Các triệu chứng ở đường tiêu hóa như tiêu chảy và thường đây là dấu hiệu đầu tiên của nhiễm trùng, nhưng người nhiễm có thể biểu hiện sốt và đau cơ. Nhiễm trùng có thể xảy ra trên các phụ nữ mang thai, dẫn đến các hậu quả sẩy thai, sinh non, thai lưu. Bệnh được điều trị bằng kháng sinh hiệu quả.
Nhiễm trùng tụ cầu vàng Staphylococcus aureus
Tụ cầu vàng S. aureus là một trong những bệnh nhiễm trùng nguy hiểm nhất ở người do ăn phải thực phẩm và chế phẩm từ thịt heo vì nó không thể bị phá hủy thông qua chế biến nấu ăn. Các lát thịt như ham thường là các nhóm thức ăn nhiễm S. aureus. Triệu chứng có thể bắt đầu trong vòng 30 phút sau khi ăn thịt heo bị nhiễm, bao gồm cả buồn nôn, nôn mửa, đa bụng co thắt và tiêu chảy. Diễn tiến bệnh thường nhẹ và khỏi trong vòng 3 ngày. Thuốc kháng sinh có thể không hiệu quả đối với nhiễm tụ cầu vàng.
LỊCH SỬ BỆNH SÁN DÂY/ ẤU TRÙNG SÁN DÂY LỢN
Theo các tài liệu tham khảo cổ xưa về sán dây được tìm thấy trong các công trình cổ Ai Cập vào thời gian năm 2000 BC. Sự mô tả các con heo bị sởi trong cuốn Lịch sử về Động vật (History of Animals) được viết bởi Aristotle trong giai đoạn (384-322 BC) cho thấy nhiễm trùng trên các con heo với sán dây đã xảy ra từ thời Hy Lạp cổ đại. 
Người ta còn biết đến các thầy thuốc người Do Thái và Đạo hồi đã đưa ra các lý do đối với heo bị cấm trong các luật bữa ăn của người Do Thái và Đạo Hồi. Các nghiên cứu gần đây về lịch sử tiến hóa của vật chủ và ký sinhh trùng cũng như các bằng chứng phân tích DNA cho thấy cách nay hơn 10.000 năm, tổ tiên của các loài người hiện đại ở châu Phi thường phơi nhiễm với SD khi họ tìm thịt thối rửa để làm thức ăn hay tìm mồi trên các con linh dương hay bò, cừu,…và sau đó đào thải nhiễm trùng ra, rồi nhiễm trên các động vật nuôi như lợn. 
Hình 3. Các tài liệu cổ về sán dây và ấu trùng sán dây lợn
Ấu trùng sán dây lợn được mô tả bởi Johannes Udalric Rumler vào năm 1555. Tuy nhiên, mối liên kết giữa SD và ATSDL không được nhận ra vào thời kỳ đó. Khoảng năm1850, Friedrich Küchenmeister cho ăn thịt heo chứa ấu trùng T. solium với tù nhân đang chờ thi hành án tử hình, sau đó họ được thi hành và cho thấy có sự phục hồi sán trưởng thành trong ruột. 
Vào những năm giữa thế kỷ 19, cơ chế bệnh sinh này gây ATSDL đã được thiết lập và tìm ra nguyên nhân là do nuốt phải trứng sán T. solium. 
Ca bệnh ở người mắc ATSDL đầu tiên đã được thông báo trên chương trình tivi House, sau đó một loạt ca bệnh có ghi nhận vào tài liệu Grey's Anatomy và Private Practice. 
Phân loại khoa học
Về phân loại khoa học,sán dây bò Taenia saginata thuộc giới động vật, ngành sán dẹt, lớp sán dây cestode, bộcyclophyllidea, họ Taeniidae, giống Taenia, loài Taenia saginata (Goeze, 1782) và loài sán dây lợn Taenia solium (Linnaeus, 1758).
MỘT SỐ NÉT VỀ DỊCH TỄ HỌC BỆNH SÁN DÂY VÀ ẤU TRÙNG SÁN DÂY
Phân bố bệnh trên thế giới và Việt Nam
Trên thế giới
ATSDL chủ yếu ảnh hưởng lên sức khỏe và gần như tác động trên các cộng đồng có nghề nghiệp liên quan đến nông nghiệp tại các quốc gia đang phát triển của châu Phi, châu Á và châu Mỹ Latin. Bệnh cũng dẫn đến giảm giá trị thị trường của heo, gia súc và làm cho nguồn thịt trở nên không an toàn. 
Năm 2015, Nhóm đánh giá gánh nặng bệnh tật do lây truyền qua đường thực phẩm của TCYTTG (WHO Foodborne Disease Burden Epidemiology Reference Group) xác định sán dây T. solium là nguyên nhân đứng đầu gây tử vong trong các nhóm bệnh lây truyền qua đường thực phẩm (food-borne diseases_FBDs). Tổng số người bị ATSDL thể thần kinh là 2,56-8,30 triệu người, bao gồm cả ca có triệu chứng và không có triệu chứng dựa trên các dữ liệu sẵn có được phân tích. 

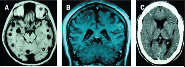
Hình 4
ATSDL do sán dây T. solium được TCYTTG bổ sung vào danh sách các bệnh nhiệt đới bị lãng quên (Neglected Tropical Diseases_NTDs) từ năm 2010 trên bản đồ NTDs , đồng thời đưa ra mục đích lộ trình cho các chiến lược phòng chống và loại trừ hợp lý bệnh dán dây T. solium và ATSDL với các biện pháp can thiệp triển khai tại các quốc gia có bệnh lưu hành vào năm 2020.
Bệnh sán dây ấu trùng sán lợn (SD/ATSDL) phân bố rải rác nhiều nước và vùng lãnh thổ trên thế giới với khoảng 100 triệu người nhiễm. Riêng bệnh ATSDL và tổn thương thần kinh do ATSDL (neurocysticercosis-NCC) lưu hành tại châu Mỹ La Tinh, châu Á, châu Phi và đặc biệt ở Mỹ thì bệnh bắt đầu tăng mạnh vào những năm 1980. 

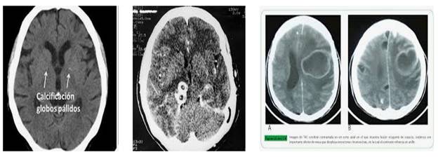
Hình 5
Một số quốc gia ở châu Âu có số ca mắc cao là Tây Ban Nha, một phần Mexico. Trong đó, Mexico tỷ lệ dương tính trên xét nghiệm huyết thanh học là 3,6% (người trưởng thành) và qua giải phẩu tử thi có tỷ lệ nhiễm là 1,9%.

Hình 6.Bản đồ phân bố bệnh do sán dây Taenia solium lưu hành WHO, 2015
Bệnh ATSDL ký sinh ở hệ thần kinh trung ương (NCC) lại khá thường gặp ở Mỹ hơn trong thời gian qua, nhất là trên những đối tượng dân di cư từ những vùng bệnh lưu hành, đặc biệt ở Mexico di chuyển sang và vùng lưu hành bệnh khác. Theo số liệu báo cáo thời điểm đó, khoảng 1.000 ca hàng năm (trên cả trẻ em và người lớn). Sau đó, nhờ Chương trình phòng chống bệnh tật cũng như phổ cập kiến thức và kinh nghiệm về bệnh này tốt hơn, nên số ca có giảm đi đôi ít và một nghiên cứu tổng hợp trong thời gian từ 1980-2004 cho biết ở Mỹ có 1.494 ca. 
Trên toàn cầu, có một tỷ lệ lưu hành lớn hơn ở châu Mỹ Latin, châu Á và cận sa mạc Sahara, châu Phi, Đông Âu và một số vùng ở châu Đại dương. Phạm vi vật chủ cho thấy người là vật chủ chính, trong khi đó chó, mèo và vượn dưới điều kiện thực nghiệm nghiêm ngặt có thể đóng vai trò như vật chủ chính của T. solium. Heo đóng vai trò như vật chủ trung gian, chó cũng được nhận ra như một vật chủ trung gian.
Họ Taeniidae có một sự phân bố toàn cầu, ngoại trừ loài  Taenia asiatica dường như xuất hiện hạn chế trong các quốc gia châu Á. Mặc dù loài Taenia solium và Taenia saginata có phân bố toàn cầu, tỷ lệ lưu hành cao nhất tìm thấy ở các vùng có điều kiện vệ sinh kém, tiếp cận các nguồn nước sạch không đầy đủ và các vùng có thói quen, tập quán ăn thịt sống hoặc nấu chưa chín. 
Loài T. solium đã được kiểm soát hiệu quả tại hầu hết các quốc gia châu Âu, Bắc Mỹ và Úc, trong khi đó tỷ lệ nhiễm cao nhất ở châu Phi, châu Á và Mỹ Latinh, Đông Âu, Trung Quốc, Pakistan và Ấn Độ. Điều quan trọng đáng lưu ý là do điểm hạn chế trong chẩn đoán tiềm năng nên còn bỏ sót. Sán dây T. saginata có tỷ lệ lưu hành cao nhất ở Nam và Đông Phi. 
Bệnh sán dải cá do Diphyllobothrium spp. có phân bố toàn cầu nhưng bệnh giảm ở Bắc Mỹ, châu Á và hầu khắp châu Âu, nhưng gần đây tái xuất hiện lại tại một số vùng, gồm Nga, Hàn Quốc, Nhật Bản và Nam Mỹ.  Bệnh sán dải cá Diphyllobothrium spp. nhìn chung có liên quan đến nguồn nước lạnh ở vùng môi trường cổ (Palaearctic region), mặc dù một số ca đã được báo cáo tại Nam Mỹ. Sự xuất hiện chưa được biết rõ ràng tại châu Phi và Úc. D. latum được xem là loài sán dây phổ biến nhất gây bệnh Diphyllobothriosis. Tuy nhiên, các nghiên cứu gần đây chỉ ra do khó khăn trong phân loại loài, D. latum có thể chẩn đoán nhầm như một loài đang nổi. D. latum báo cáo chủ yếu ở Bắc Âu, Nga, Bắc Mỹ và gần đây còn tìm thấy ở Chile, Nam Mỹ. 

Hình 7.Chu kỳ sinh học và phát triển của sán dây cá Diphyllobothrium spp.
Sán dây T. solium được phát hiện trên phạm vi toàn cầu, nhưng phổi biến nhất ở những nơi có thịt lợn là nguồn thực phẩm chính trong bữa ăn hàng ngày. ATSDL lưu hành nhiều nhất ở nơi mà còn có tập quán ăn uống và môi trường sống gần với lợn. Do đó, tỷ lệ bệnh cao đã được báo cáo ở Mexico, châu Mỹ Latin, Tây Phi, Nga, Ấn Độ, Pakistan, Đông bắc Trung Quốc và Đông Nam Á cũng như ở Hàn Quốc, Indonesia vàPapua New Guinea. 
Tại châu Âu, bệnh lan rộng và ghi nhận nhiều ở nhóm người Slavo. Tuy nhiên, tổng hợp về dữ liệu dịch tễ học tại Tây và Đông Âu cho thấy vẫn còn nhiều khoảng trống hiểu biết đáng quan tâm về bệnh này trong các vùng bệnh lưu hành.Sự gia tăng của bệnh dương như có liên quan đến tình trạng di dân và du lịch từ vùng không có bệnh (nhất là các quốc gia công nghiệp) đến vùng có bệnh lưu hành.  
Số liệu về bệnh SD/ATSDL ở Canadian còn hạn hữu.  Năm 2012, Del Brutto thực hiện nghiên cứu tổng hợp các báo cáo ca bệnh dựa trên nghiên cứu lớn và MEDLINE cũng như loạt ca bệnh ATSDL đựơc chẩn đoán ở Canada.  Tổng số 21 ấn phẩm báo cáo 60 bệnh nhân, trong đó 40 ca (67%) được chẩn đoán cách nay 20 năm. 96% số ca là dân di cư. Một số ca có nhiễm bệnh do phơi nhiễm tại Canada từ các bệnh nhân nhiễm sán trưởng thành T. solium. 

Hình 8
Tần suất mắc bệnh đã giảm tại các các quốc gia phát triển nhờ vào khâu kiểm soát thịt chặt chẽ, cải thiện điều kiện vệ sinh tốt hơn và cơ sở y tế tốt hơn. 
Ước tính nhiễm trùng
Tại châu Mỹ Latin, ước tính có 75 triệu người sống trong vùng bệnh lưu hành và 400.000 ca bệnh có triệu chứng. Một vài nghiên cứu cho thấy rằng tỷ lệ ATSDL tại Mexico từ 3,1-3,9%, các nghiên cứu khác thấy tỷ lệ huyết thanh dương tính trong vùng lưu hành ở Guatemala, Bolivia và Peru cao đến 20% ở người và 37% ở lợn. 
Tại Ethiopia, Kenya và Congo có tỷ lệ nhiễm 10%, ở Madagascar là 16%. Sự phân bố của ATSDL song hành với sự phân bố của sán T. solium. ATSDL là nguyên nhân phổ biến nhất gây ra động kinh trên toàn cầu. 
Tỷ lệ nhiễm tại Mỹ chỉ ra trên dân di cư tại Mexico, Trung và Nam Mỹ, Đông Nam Á chiếm hầu hết các ca ATSDL nội địa. Từ 1990-1991, có bốn bệnh nhân trong cộng đồng Orthodox Jewish tại thành phố New York biểu hiện cơn động kinh tái đi tái lại và tổn thương não, điều tra cho thấy chúng gây ra bởi sán dây T. solium. Tất cả bệnh nhân đều là nội trợ gia đình của các quốc gia châu Mỹ Latin và nghi ngờ nguồn nhiễm trùng.
Tử vong
Năm 2010, trên toàn cầu, bệnh gây 1.200 tử vong sau đó tăng lên 700 ca trong năm 1990. Ước tính từ năm 2010 đến nay, với số liệu thống kê chưa đầy đủ cho thấy bệnh này đã góp phần vào ít nhất 50.000 ca tử vong hàng năm. 
Tại Mỹ, giai đoạn (1990-2002), có 221 ca ATSDL tử vong được xác định. Tỷ lệ tử vong cao nhất ở nhóm người thuộc châu Mỹ Latin và nam giới chiếm cao hơn nữ giới. Tuổi trung bình các ca tử vong là 40,5 tuổi (khoảng 2-88). 

Hình 9
Trong số bệnh nhân, có 84,6% số ca là sinh ở nước ngoài và 62% có di cư từ Mexico. Có 33 người sinh tại Mỹ tử vong do ATSDL và tỷ lệ tử vong do ATSDL cao nhất ở California, chiếm 60% trong số ca tử vong do ATSDL. Sán dây lợn phổ biến ở châu Á, các quốc gia ở khu vực cận sa mạc Sahara, châu Phi và Mỹ Latin. Tại một số vùng, người ta cho rằng có đến 25% số ca bị ảnh hưởng, trong khi đó tại các quốc gia đã phát triển thì rất hiếm ca bệnh ghi nhận.
Vào năm 2015, trên toàn cầu bệnh SD/ATSDL gây ra khoảng 400 ca tử vong, trong đó ATSDL cũng ảnh hưởng lên lợn và bò, nhưng hiếm khi gây ra các triệu chứng và thời gian sống không dài. Bệnh thường xảy ra ở người trong lịch sử và dến nay vẫn còn tiếp diễn, song đây được ghi nhận là một trong các căn bệnh nhiệt đới bị lãng quên.
Tại Việt Nam
Bệnh SD/ATSDL phân bố ở nhiều nơi trên nhiều tỉnh, thành phố và có liên quan đến tập quán ăn uống thịt lợn hoặc thịt trâu bò hay các chế phẩm chế biến từ thịt lợn và thịt bò chưa nấu chín. Trên vùng đồng bằng, tỷ lệ nhiễm SD từ 0,5-2%, trong khi đó, ở vùng trung du và miền núi thì tỷ lệ nhiễm sán dây 2-6%. 
Bệnh SD trưởng thành phân bố rải rác nhiều nơi trên toàn quốc, tỷ lệ nhiễm dao động từ 0,5-12 %. Trong đó, tỷ lệ nhiễm SD bò chiếm chủ yếu 70-80%, SD lợn chiếm tỷ lệ thấp hơn, khoảng 10-20%. Bệnh ATSDL phân bố rải rác ở ít nhất 49 tỉnh/thành trong cả nước, tỷ lệ nhiễm khoảng 5-7 %.
Hiện nay, bệnh sán dây đã được ghi nhận phát hiện tại ít nhất 56 trong 63 tỉnh, thành phố có ca bệnh SD/ATSDL, tập trung tại các tỉnh phía Bắc như Lai Châu, Lào Cai, Hà Giang, Sơn La, Yên Bái, Bắc Cạn, Phú Thọ, Vĩnh Phúc, Thái Nguyên, Lạng Sơn, Tuyên Quang, Hòa Bình, Hà Tây, Hà Nội, Bắc Ninh, Hưng Yên, Bắc Giang, Ninh Bình, Hà Nam, Nam Định, Thái Bình, Hải Dương, Hải Phòng, Quảng Ninh, Thanh Hóa, Nghệ An, hay các tỉnh miền Trung-Tây Nguyên gồm Quảng Bình, Quảng Trị, Thừa Thiên Huế, Đà Nẵng, Quảng Nam, Quảng Ngãi, Bình Định, Phú Yên, , Khánh Hòa, Ninh Thuận, Bình Thuận, Gia Lai, Đăk Lăk, Đăk Nông, Kon Tum và khu vực Nam bộ-Lâm Đồng như Lâm Đồng, Đồng Nai, Bình Phước, Tây Ninh, Bình Dương, thành phố Hồ Chí Minh, Long An, Tiền Giang, Bến Tre, Trà Vinh, Vĩnh Long, Đồng Tháp, An Giang, Cần Thơ, Sóc Trăng, Cà Mau, Kiên Giang.