Bệnh ký sinh trùng sán nhái (Sparganosis) là nhiễm sán loại Diphyllobothrium hay ấu trùng plerocercoid larvae của giống Spirometra gồm có các loài như S. mansoni, S. ranarum, S. mansonoides và S. erinacei. Lần đầu tiên được mô tả ở Trung Quốc bởi Patrick Manson vào năm 1882 và ca bệnh đầu tiên ở người được báo cáo bởi tác giả Charles Wardell Stiles từ Florida, Mỹ vào năm 1908.
Nhiễm trùng lây truyền do ăn uống nguồn nước ô nhiễm mầm bệnh, tiêu thụ các vật chủ trung gian như ếch hay rắn hoặc phơi nhiễm giữa vật chủ trung gian thứ hai với niêm mạc nhầy hoặc vết thương hở. Con người là vật chủ tình cờ trong chu kỳ sinh trưởng và sinh học, trong khi đó chó, mèo và các động vật có vú là các vật chủ xác định. Các động vật thuộc bộ chân kiếm (copepods) hay các loài nhuyễn thể sống trong nước ngọt là các vật chủ trung gian đầu tiên và các loài động vật lưỡng cư khác (amphibian) và giáp xác (reptile) là các vật chủ trung gian thứ hai.
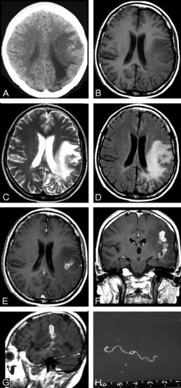
Một khi con người nhiễm, ấu trùng kết nang vô tính (plerocercoid larvae) di chuyển trong vị trí dưới da, ở đó chúng thường phát triển thành các nốt cục đau. Sự di chuyển của ấu trùng vào trong não dẫn đến bệnh sán nhái ở não (cerebral sparganosis), nếu di chuyển đến mắt dẫn đến bệnh sán nhái ở mắt (ocular sparganosis). Bệnh sán nhái lưu hành nhiều nhất ở Đông Á, mặc dù số ca đã được mô tả tại các quốc gia trên khắp thế giới, khoảng 300 ca được mô tả trên y văn đến cuối năm 2003 và hiện nay nhiều nước đã tổng hợp trong 15 năm qua con số cũng lên đến gần 1000 ca đến năm 2018. Chẩn đoán thường không đặt ra mãi đến khi ấu trùng sán nhái (sparganum larva) được phẩu tích lấy ra xác định. Praziquantel là thuốc được lựa chọn để điều trị sán nhái, mặc dù hiệu quả của thuốc vẫn chưa biết đầy đủ và phẩu thuật loại bỏ sán ra khỏi tổn thương nhìn chung là phương pháp điều trị tốt nhất. Các can thiệp y tế công cộng nên tập trung vào vệ sinh nguồn nước và thực phẩm, cũng như giáo dục sức khỏe về về bệnh tại các vùng nông thôn thường sử dụng nhái làm thuốc đắp (poultices).

Hình 1
1.Ang, C.W., Notermans, D.W., Hommes, M., Simoons-Smit, A.M. & Herremans, T. (2011) Large differences between test strategies for the detection of anti-Borrelia antibodies are revealed by comparing eight ELISAs and five immunoblots. European Journal of Clinical Microbiology and Infectious Diseases30, 1027–1032. CrossRef | Google Scholar | PubMed
2.Boonyasiri, A., Suputtamongkol, Y., Yamasaki, H., Sanpool, O., Maleewong, W. & Intapan, P.M. (2014) Nine human sparganosis cases in Thailand with molecular identification of causative parasite species. American Journal of Tropical Medicine and Hygiene91, 389–393. CrossRef | Google Scholar | PubMed
3.Bradford, M.M. (1976) A rapid and sensitive method for the quantitation of microgram quantities of protein utilizing the principle of protein-dye binding. Analytical Biochemistry72, 248–254. CrossRef | Google Scholar | PubMed
4.Choi, S., Kang, S., Kong, Y. & Cho, S. (1988) Antigenic protein fractions reacting with sera of sparganosis patients. Korean Journal of Parasitology26, 163–167. CrossRef | Google Scholar
5.Cohen, C., Szent-Gyorgyi, A.G. & Kendrick-Jones, J. (1971) Paramyosin and the filaments of molluscan ‘catch’ muscles. I. Paramyosin: structure and assembly. Journal of Molecular Biology56, 223–227. CrossRef | Google Scholar
6.Cui, J., Li, N., Wang, Z.Q., Jiang, P. & Lin, X.M. (2011) Serodiagnosis of experimental sparganum infections of mice and human sparganosis by ELISA using ES antigens of Spirometra mansoni spargana. Parasitology Research108, 1551–1556. CrossRef | Google Scholar | PubMed
7.Dan, D.H., Jing, C., Li, W., Li, N.L., Tong, W. & Zhong, Q.W. (2013) Immunoproteomic analysis of the excretory–secretory proteins from Spirometra mansoni sparganum. Iranian Journal of Parasitology8, 408–416. Google Scholar

Hình 2
8.Epstein, H.F., Miller, D.M.3rd, Ortiz, I. & Berliner, G.C. (1985) Myosin and paramyosin are organized about a newly identified core structure. Journal of Cell Biology100, 904–915. CrossRef | Google Scholar | PubMed
9.Flanigan, T.P., King, C.H., Lett, R.R., Nanduri, J. & Mahmoud, A.A. (1989) Induction of resistance to Schistosoma mansoni infection in mice by purified parasite paramyosin. Journal of Clinical Investigation83, 1010–1014. CrossRef | Google Scholar | PubMed
10.Gobert, G.N. & McManus, D.P. (2005) Update on paramyosin in parasitic worms. Parasitology International54, 101–107. CrossRef | Google Scholar | PubMed
11.Hu, D.D., Cui, J., Xiao, D., Wang, L., Liu, L.N., Liu, R.D., Zhang, J.Z. & Wang, Z.Q. (2014) Identification of early diagnostic antigens from Spirometra erinaceieuropaei sparganum soluble proteins using immunoproteomics. Southeast Asian Journal of Tropical Medicine and Public Health45, 576–583. Google Scholar | PubMed
12.Ju, J.W., Joo, H.N., Lee, M.R., Cho, S.H., Cheun, H.I., Kim, J.Y., Lee, Y.H., Lee, K.J., Sohn, W.M., Kim, D.M., Kim, I.C., Park, B.C. & Kim, T.S. (2009) Identification of a serodiagnostic antigen, legumain, by immunoproteomic analysis of excretory–secretory products of Clonorchis sinensis adult worms. Proteomics9, 3066–3078. CrossRef | Google Scholar | PubMed
13.Kim, C. & Choi, W. (1991) Immunohistochemical observation on the antigens inducing IgG and IgM antibodies against sparganum. Korean Journal of Parasitology29, 339–353. CrossRef | Google Scholar | PubMed
14.Kim, D.W., Kim, D.W., Yoo, W.G., Nam, S.H., Lee, M.R., Yang, H.W., Park, J.H., Lee, K.Y., Lee, S.H., Cho, S.H., Lee, W.J., Park, H.S. & Ju, J.W. (2012) SpiroESTdb: a transcriptome database and online tool for sparganum expressed sequences tags. BMC Research Notes5, 130. CrossRef | Google Scholar | PubMed
15.Kim, D.W., Yoo, W.G., Lee, M.R., Yang, H.W., Kim, Y.J., Cho, S.H., Lee, W.J. & Ju, J.W. (2014) Transcriptome sequencing and analysis of the zoonotic parasite Spirometra erinacei spargana (plerocercoids). Parasites & Vectors7, 368. CrossRef | Google Scholar
16.Kong, Y., Cho, S.Y. & Kang, W.S. (1994) Sparganum infections in normal adult population and epileptic patients in Korea: a seroepidemiologic observation. Korean Journal of Parasitology32, 85–92. CrossRef | Google Scholar | PubMed
17.Lee, K.J., Bae, Y.T., Kim, D.H., Deung, Y.K. & Ryang, Y.S. (2002) A seroepidemiologic survey for human sparganosis in Gangweon-do. Korean Journal of Parasitology40, 177–180. CrossRef | Google Scholar | PubMed
18.Park, J.H., Chai, J.W., Cho, N., Paek, N.S., Guk, S.M., Shin, E.H. & Chai, J.Y. (2006) A surgically confirmed case of breast sparganosis showing characteristic mammography and ultrasonography findings. Korean Journal of Parasitology44, 151–156. CrossRef | Google Scholar | PubMed
19.Rahman, M., Lee, E.G. & Bae, Y.A. (2011) Two-dimensional immunoblot analysis of antigenic proteins of Spirometra plerocercoid recognized by human patient sera. Parasitology International60, 139–143. CrossRef | Google Scholar
20.Ramirez, B.L., Kurtis, J.D., Wiest, P.M., Arias, P., Aliqui, F., Acosta, L., Peters, P. & Olds, G.R. (1996) Paramyosin: a candidate vaccine antigen against Schistosoma japonicum. Parasite Immunology18, 49–52. CrossRef | Google Scholar | PubMed
Hình 3-6
21.Rodero, M., Chivato, T., Muro, A. & Cuellar, C. (2005) Enzyme-linked immunosorbent assay and Western blot antibody determination in sera from patients diagnosed with different helminthic infections with Anisakis simplex antigen purified by affinity chromatography. Memorias do Instituto Oswaldo Cruz100, 293–301. CrossRef | Google Scholar | PubMed
22.Wei, T., Zhang, X., Cui, J., Liu, L., Jiang, P. & Wang, Z. (2015) Levels of sparganum infections and phylogenetic analysis of the tapeworm Spirometra erinaceieuropaei sparganum in wild frogs from Henan Province in central China. Journal of Helminthology89, 433–438. CrossRef | Google Scholar | PubMed
23.Yang, W., Gobert, G.N. & McManus, D.P. (1997) Oral vaccination of mice with recombinant Schistosoma japonicum proteins induces specific anti-parasite antibodies and damage to adult worms after a challenge infection. International Journal for Parasitology27, 843–853. CrossRef | Google Scholar | PubMed
24.Lee, Y. A., Nam, Y. H., Min, A., Kim, K. A., Nozaki, T., Saito-Nakano, Y., Mirelman, D., Shin, M.H. Entamoeba histolytica -secreted cysteine proteases induce IL-8 production in human mast cells via a PAR2-independent mechanism. Parasite. 21,1, 2014.
25.Chandra, M., Mukherjee, M., Srivastava, V.K., Saito-Nakano, Y., Nozaki, T., Datta, S. Insights into GTP/GDP cycle of RabX3, a novel GTPase from Entamoeba histolytica with tandem G-domains. Biochemistry 53, 1191-1205, 2014.
26.Hertz, R., Tovy, A., Kirschenbaum, M., Geffen, M., Nozaki, T., Adir, N., and Ankri, S. The Entamoeba histolytica Dnmt2 homolog (Ehmeth) confers resistance to nitrosative stress. Eukaryot Cell. 13, 494-503, 2014.
27.Jeelani, G. and Nozaki, T. Metabolomic analysis of Entamoeba: applications and implications. Curr. Opin. Microbiol. 20C:118-124, 2014.
28.Mukherjee, A. K., Chowdhury, P., Bhattacharya, M. K., Rajendran, K., Nozaki, T., and Ganguly. S. Association between Giardia duodenalis and co-infection with other diarrhea-causing pathogens in India. BioMed Res Int, Volume 2014, Article ID 786480.
29.Valdés, J., Nozaki, T., Sato, E., Chiba, Y., Nakada-Tsukui, K., Villegas-Sepúlveda, N., Winkler, R., Azuara-Liceaga, E., Mendoza-Figueroa, M. S., Watanabe, N., Santos, H. J., Saito-Nakano, Y., Galindo-Rosales, J. M. Proteomic analysis of Entamoeba histolytica in vivo assembled pre-mRNA splicing complexes. J Proteomics. 111:30-45, 2014.
30.Oki, M., Asai, S., Saito-Nakano, Y., Nakayama, T., Tanaka, Y., Tachibana, H., Ohmae, H., Nozaki, T. and Miyachi, H. A case of quadruple malaria infection imported from Mozambique to Japan. Am. J. Trop. Med. Hyg. 90, 1098-1101, 2014.
31.Anwar, S., Dikhit, M. R., Singh, K. P., Kar, R. K., Zaidi, A., Sahoo, G. C., Roy, A. K., Nozaki, T., Das, P., and Ali, V. Interaction between Nbp35 and Cfd1 proteins of cytosolic Fe-S cluster assembly reveals a stable complex formation in Entamoeba histolytica. PLoS one 9, e108971, 2014.


Hình 7-8
32.Jeelani, G., Sato, D., Soga, T., Watanabe, H., Nozaki, T. Mass Spectrometric analysis of L-cysteine metabolism: physiological role and fate of L-cysteine in the enteric protozoan parasite Entamoeba histolytica. MBio. 2014 Nov 4;5(6), e01995.
33.Itoh, K., Yagita, K., Nozaki, T., Katano, H., Hasegawa, H., Matsuo, K., Hosokawa, Y., Tando, S., Fushiki, S. An autopsy case of Balamuthia mandrillaris amoebic encephalitis, a rare emerging infectious disease, with a brief review of the cases reported in Japan. Neuropathology. 35(1):64-9, 2015.
34.Lee, Y. A., Saito-Nakano, Y., Kim, K. A., Min, A., Nozaki, T., Shin, M. H. Modulation of endogenous cysteine protease inhibitor (ICP) 1 expression in Entamoeba histolytica affects amoebic adhesion to extracellular matrix proteins. Exp Parasitol. 149C:7-15, 2014.
35.Emmanuel, M., Saito-Nakano, Y, Nozaki, T., and Datta, S. Small GTPase Rab21 mediates Fibronectin induced actin reorganization in Entamoeba histolytica: implications in pathogen invasion. PLoS Pathog 11(3):e1004666, 2015.
36.Santos, H. J.,*, Imai, K.*, Makiuchi, T., Tomii, K., Horton, P., Nozawa, A., Ibrahim, M., Tozawa, Y., and Nozaki, T. A novel mitosomal β-barrel outer membrane protein in Entamoeba. Sci Rep 5:8545, 2015. (* equal contribution)
37.Penuliar, G. M., Nakada-Tsukui, K., and Nozaki, T. Phenotypic and transcriptional profiling in Entamoeba histolyticareveal costs to fitness and adaptive responses associated with metronidazole Resistance. Antimicrobials, Resistance and Chemotherapy, Front Microbiol, 6:354, 2015.
38.Picazarri, K., Nakada-Tsukui, K., Tsuboi, K., Miyamoto, E., Watanabe, N., Kawakami, E., and Nozaki, T. Atg8 is involved in endosomal and phagosomal acidification in the parasitic protist Entamoeba histolytica. Cell Microbiol 17, 1510-1522, 2015.

Hình 9
39.Mi-ichi, F., Miyamoto, T., Takao, S., Jeelani, G., Hashimoto, T., Hara, H., Nozaki, T.,# and Yoshida, H. Entamoeba mitosomes play an important role in encystation by association with cholesteryl sulfate synthesis. Proc Natl Acd Sci USA 112(22):E2884-90, 2015.
40.Takeuchi, F., Sekizuka, T., Ogasawara, Y., Yokoyama, H., Kamikawa, R., Inagaki, Y., Nozaki, T., Sugita-Konishi, T., Ohnishi, T, and Kuroda, M. The mitochondrial genomes of a myxozoan genus Kudoa are extremely divergent in Metazoa. PLoS onE 10(7):e0132030, 2015.
41.Takeuchi, F., Ogasawara, Y., Kato, K., Sekizuka, T., Nozaki, T., Sugita-Konishi, Y., Ohnishi, T., and Kuroda, M. Development of nucleotide sequence typing for Kudoa septempunctata, a flounder parasite causing foodborne disease. J Fish Dis. 2015. In press
42.Mishra, V., Kumar, A., Ali, V., Zhang, K.Y., and Nozaki, T. Characterization of pH-induced transitions of Entamoeba histolytica D-phosphoglycerate dehydrogenase. Int J Biol Macromol. 2015 79:284-289.

Hình 10
43.Verma, K., Saito-Nakano, Y., Nozaki, T., and Datta, S. Insights into endosomal maturation of human holo-transferrin in the enteric parasite Entamoeba histolytica: Essential roles of Rab7A and Rab5 in biogenesis of giant early endocytic vacuoles. Cell Microbiol. 2015 in press.
44.Mori, M., Jeelani, G., Masuda, Y., Sakai, K., Nakada-Tsukui, K., Waluyo, D., Tarwadi, Watanabe, Y., Nonaka, K., Matsumoto, A., Omura, S., Nozaki, T.#, and Shiomi, K. Identification of natural inhibitors of Entamoeba histolytica cysteine synthase from microbial secondary metabolites. Front Microbiol. 6, 962, 2015.
45.Chiba, Y., Kamikawa, R., Nakada-Tsukui, K, Saito-Nakano, Y., and Nozaki, T. Discovery of PPi-type phosphoenolpyruvate carboxykinase genes in eukaryotes and bacteria. J Biol Chem 290, 23960-70, 2015.
46.Mi-ichi, F., Nozawa, A., Yoshida, H., Tozawa, Y., Nozaki, T. Evidence that Entamoeba histolytica mitochondrial carrier family links mitosomal and cytosolic pathways through exchange of PAPS and ATP. Eukaryot Cell 2015 in press.
47.Sampo A, Matsuo J, Yamane C, Yagita K, Nakamura S, Shouji N, Hayashi Y, Yamazaki T, Yoshida M, Kobayashi M, Ishida K and Yamaguchi H. High-temperature adapted primitive Protochlamydia found in Acanthamoeba isolated from a hot spring can grow in immortalized human epithelial HEp-2 cells. Environ. Microbiol., 16(2):486–497, 2014.
48.Marumo K, Nakada-Tsukui K, Tomii K, Nozaki T. Ligand heterogeneity of the cysteine protease binding protein family in the parasitic protist Entamoeba histolytica. Int.J. Parasitol. 44(9):625-35,2014.
49.Matsuo, K., Kamai, R., Uetsu, H., Goto, H., Takashima, Y., and Nagamune, K. Seroprevalence of Toxoplasma gondii infection in cattle, horses, pigs and chickens in Japan. Parasitol. Int. 63(4): 638-639, 2014.

Hình 11
50.Takeshima, K., Sato, K., Nabekura, T., Nagamune, K., Hamada, H., Yoshikawa, H., Shibuya, A., shibuya, K. Increased CD11b+ Gr-1+ cell population in the placenta after infection with Toxoplasma gondii. Microbiol. Immunol. 59(2): 95-98, 2015.
51.van Schaijk BC, Ploemen IH, Annoura T, Vos MW, Foquet L, van Gemert GJ, Chevalley-Maurel S, van de Vegte-Bolmer M, Sajid M, Franetich JF, Lorthiois A, Leroux-Roels G, Meuleman P, Hermsen CC, Mazier D, Hoffman SL, Janse CJ, Khan SM, Sauerwein RW. A genetically attenuated malaria vaccine candidate based on P. falciparum b9/slarp gene-deficient sporozoites. Elife. 2014 Nov 19;3:e03582, 2014
52.Lin JW, Shaw TN, Annoura T, Fougère A, Bouchier P, Chevalley-Maurel S, Kroeze H, Franke-Fayard B, Janse CJ, Couper KN, Khan SM. The Subcellular Location of Ovalbumin in Plasmodium berghei Blood Stages Influences the Magnitude of T-Cell Responses. Infection and Immunity. Nov;82(11):4654-65, 2014.
53.Yamasaki H., Nakamura T., Intapan P.M., Maleewong W., Morishima Y., Sugiyama H., Matsuoka H., Kobayashi K., Takayama K., Kobayashi Y. Development of a rapid diagnostic kit that uses an immunochromatographic device to detect antibodies in human sparganosis. Clin. Vaccine Immunol., 21: 1360-1363, 2014.
54.Yamasaki H., Arakawa K., Ohashi T., Yagita K., Morishima Y., Sugiyama H., Nagamune K., Kakinuma M., Yosada Y., Oushiki D., Hasegawa A. Development of a tool for evaluating the risk of health damage by meat-borne parasite infection. Food Safety 2: 151-159, 2014.

Hình 12
55.Chen S., Ai L., Zhang Y., Chen J., Zhang W., Li Y., Muto M., Morishima Y., Sugiyama H., Xu X., Zhou X., Yamasaki H. Molecular detection of Diphyllobothrium nihonkaiense in humans, China. Emerg. Infect. Dis., 20:315-318, 2014.
56.Thanchomnang T., Tantrawatpan C., Intapan P.M., Sanpool O., Janwan P., Lultitanond V., Tourtip S., Yamasaki H., Maleewong W. Rapid molecular identification of human taeniid cestodes by pyrosequencing approach. PLoS one 9: e100611, 2014.
57.Boonyasiri A., Cheunsuchon P., Suputtamongkol Y., Yamasaki H., Sanpool O., Maleewong W., Intapan P.M.
58.Nine human sparganosis cases in Thailand with molecular identification of causative parasite species. Am. J. Trop. Med. Hyg., 91: 389-393, 2014.
59.Saenseeha S., Janwan P., Yamasaki H., Laummaunwai P., Tayapiwatana C., Kitkhuande e A., Maleewong W. Intapan P.M. A dot-ELISA test using a Gnathostoma spinigerum recombinant matrix metalloproteinase protein for the serodiagnosis of human gnathostomiasis. Southeast Asian J. Trop. Med. Public Health. 45: 990-996, 2014.


Hình 13+14
60.Makino, T., Mori, N., Sugiyama, H., Mizawa, M., Seki, Y., Kagoyama, K., Shimizu, T. Creeping eruption due to Spirurina type X larva. Lancet, 384: 2082, 2014.
61.Calvopina, M., Romero, D., Castaneda, B., Hashiguchi, Y., Sugiyama, H. Current status of Paragonimus and paragonimiasis in Ecuador. Mem. Inst. Oswaldo Cruz, 109: 849-855, 2014 .
62.Singh, T.S., Sugiyama, H., Lepcha, C. Massive pleural effusion due to paragonimiasis: biochemical, cytological and parasitological findings. Ind. J. Pathol. Microbiol., 57: 492-494, 2014.
63.Takeda, M., Sugiyama, H., Calvopina, M., Romero, D. Some freshwater crabs from Ecuador, South America. J. Teikyo Heisei Univ., 25: 1-13, 2014.
64.Tongjit Thanchomnang, Chairat Tantrawatpan, Pewpan M. Intapan, Oranuch Sanpool, Viraphong Lulitanond, Somjintana Tourtip, Hiroshi Yamasaki, Wanchai Maleewong. Rapid identification of nine species of diphyllobothriidean tapeworms by pyrosequencing. Scientific Reports.2016;[Epub] CrossRef
65.Quan Liu, Ming-Wei Li, Ze-Dong Wang, Guang-Hui Zhao, Xing-Quan Zhu. Human sparganosis, a neglected food borne zoonosis. The Lancet Infectious Diseases.2015; 15(10): 1226. CrossRef
66.R. S. Petrigh, N. P. Scioscia, G. M. Denegri, M. H. Fugassa. Research Note. Cox-1 gene sequence of Spirometra in Pampas foxes from Argentina. Helminthologia.2015;
67.Wanchai Maleewong, Pewpan M. Intapan, Adhiratha Boonyasiri, Pornsuk Cheunsuchon, Hiroshi Yamasaki, Yupin Suputtamongkol, Oranuch Sanpool. Nine Human Sparganosis Cases in Thailand with Molecular Identification of Causative Parasite Species. The American Journal of Tropical Medicine and Hygi.2014; 91(2): 389.

Hình 15
68.Tongjit Thanchomnang, Chairat Tantrawatpan, Pewpan M. Intapan, Oranuch Sanpool, Viraphong Lulitanond, Somjintana Tourtip, Hiroshi Yamasaki, Wanchai Maleewong. Rapid identification of nine species of diphyllobothriidean tapeworms by pyrosequencing. Scientific Reports.2016;[Epub]
69.Quan Liu, Ming-Wei Li, Ze-Dong Wang, Guang-Hui Zhao, Xing-Quan Zhu. Human sparganosis, a neglected food borne zoonosis. The Lancet Infectious Diseases.2015; 15(10): 1226.
70.R. S. Petrigh, N. P. Scioscia, G. M. Denegri, M. H. Fugassa. Research Note. Cox-1 gene sequence of Spirometra in Pampas foxes from Argentina. Helminthologia.2015;[Epub] CrossRef.
71.Wanchai Maleewong, Pewpan M. Intapan, Adhiratha Boonyasiri, Pornsuk Cheunsuchon, Hiroshi Yamasaki, Yupin Suputtamongkol, Oranuch Sanpool. Nine Human Sparganosis Cases in Thailand with Molecular Identification of Causative Parasite Species. The American Journal of Tropical Medicine and Hygi.2014; 91(2): 389. CrossRef.
72.A molecular phylogeny of Asian species of the genus Metagonimus (Digenea)—small intestinal flukes—based on representative Japanese populations Parasitology Research 2016. DOI: 10.1007/s00436-015-4843-y, EID: 2-s2.0-84959129485.
73.Molecular identification of the trematode Paragonimus in faecal samples from the wild cat Prionailurus bengalensis in the Da Krong Nature Reserve, Vietnam Journal of Helminthology 2015 | journal-article. DOI: 10.1017/S0022149X15000838.
74.Metacercarial polymorphism and genetic variation of Paragonimus heterotremus (Digenea: Paragonimidae), and a re-appraisal of the taxonomic status of Paragonimus pseudoheterotremus Journal of Helminthology, 2015 | journal-article .
75.Is Opisthorchis viverrini an avian liver fluke? Journal of Helminthology 2015 | journal-article, DOI: 10.1017/S0022149X13000709, EID: 2-s2.0-84922370795.
76.Gene diversity and genetic variation in lung flukes (genus Paragonimus) Transactions of the Royal Society of Tropical Medicine and Hygiene, 2015 | journal-article DOI: 10.1093/trstmh/trv101
77.Clonorchis sinensis and Opisthorchis spp. in Vietnam: Current status and prospects Transactions of the Royal Society of Tropical Medicine and Hygiene 2015 | journal-article DOI: 10.1093/trstmh/trv103, EID: 2-s2.0-84960111850
78.Spontaneous cure after natural infection with Gnathostoma turgidum (Nematoda) in Virginia opossums (Didelphis virginiana) Journal of Wildlife Diseases, 2014 | journal-article, DOI: 10.7589/2013-04-092, EID: 2-s2.0-84921425163
79.Rafael Lamothe Agrumedo (1932-2013). In Memoriam Parasitology International 2014 | journal-article, DOI: 10.1016/j.parint.2014.06.007, EID: 2-s2.0-84905328032.
80.Nematode infections: Neurological involvement and neurobiology Neglected Tropical Diseases and Conditions of the Nervous System 2014 | book, DOI: 10.1007/978-1-4614-8100-3_4, EID: 2-s2.0-84948179556.
81.Identification of major Streptococcus suis serotypes 2, 7, 8 and 9 isolated from pigs and humans in upper northeastern Thailand The Southeast Asian journal of tropical medicine and public health 2014 | journal-article, EID: 2-s2.0-84922318668.
82.A 71-year-old Man from Japan with Eosinophilia and a Nodular Lesion in the Lung: Paragonimiasis Clinical Cases in Tropical Medicine 2014 | book DOI: 10.1016/B978-0-7020-5824-0.00071-3, EID: 2-s2.0-84943327498
83.Paragonimus paishuihoensis metacercariae in freshwater crabs, potamon lipkei, in Vientiane Province, Lao PDR Korean Journal of Parasitology 2013 | journal-article DOI: 10.3347/kjp.2013.51.6.683, EID: 2-s2.0-84893325302

Hình 16
84.Paragonimus and paragonimiasis in Vietnam: An update Korean Journal of Parasitology 2013 | journal-article, DOI: 10.3347/kjp.2013.51.6.621,EID: 2-s2.0-84893245369
85.Natural hybridization between Paragonimus bangkokensis and Paragonimus harinasutai Parasitology International 2013 | journal-article, DOI: 10.1016/j.parint.2013.01.005
86.Molecular variation in the paragonimus heterotremus complex in Thailand and Myanmar Korean Journal of Parasitology 2013 | journal-article DOI: 10.3347/kjp.2013.51.6.677 EID: 2-s2.0-84893272760.
87.Genetically variant populations of Paragonimus proliferus Hsia & Chen, 1964 from central Vietnam Journal of Helminthology 2013 | journal-article DOI: 10.1017/S0022149X12000090, EID: 2-s2.0-84877263080.
88.Food-borne Trematodes Manson's Tropical Diseases: Twenty-Third Edition 2013 | book, DOI: 10.1016/B978-0-7020-5101-2.00054-6, EID: 2-s2.0-84942919869
89.Fatty acid compositions of Taenia solium metacestode and its surrounding tissues Parasitology International, 2013 | journal-article, DOI: 10.1016/j.parint.2012.08.003, EID: 2-s2.0-84869881148.
90.Discovery of Paragonimus skrjabini in Vietnam and its phylogenetic status in the Paragonimus skrjabini complex Journal of Helminthology, 2013 | journal-article, DOI: 10.1017/S0022149X1200065X, EID: 2-s2.0-84893093072
91.Comprehensive review of ocular angiostrongyliasis with special reference to optic neuritis Korean Journal of Parasitology 2013 | journal-article DOI: 10.3347/kjp.2013.51.6.613 EID: 2-s2.0-84893209120.
92.Application of Recombinant Gnathostoma spinigerum Matrix Metalloproteinase-Like Protein for Serodiagnosis of Human Gnathostomiasis by Immunoblotting American Journal of Tropical Medicine and Hygiene 2013 | journal-article DOI: 10.4269/ajtmh.12-0617, EID: 2-s2.0-84880606857.
Hình 17+18
93.A recombinant matrix metalloproteinase protein from gnathostoma spinigerum for serodiagnosis of neurognathostomiasis Korean Journal of Parasitology 2013 | journal-article, DOI: 10.3347/kjp.2013.51.6.751, EID: 2-s2.0-84893307590.
94.The current status of opisthorchiasis and clonorchiasis in the Mekong Basin Parasitology International 2012 | journal-article DOI: 10.1016/j.parint.2011.08.014, EID: 2-s2.0-82655181813.
95.Structural and Binding Properties of Two Paralogous Fatty Acid Binding Proteins of Taenia solium Metacestode PLoS Neglected Tropical Diseases 2012 | journal-article, DOI: 10.1371/journal.pntd.0001868, EID: 2-s2.0-84869059286
96.Short report: Molecular identification of a case of Paragonimus pseudoheterotremus infection in Thailand American Journal of Tropical Medicine and Hygiene 2012 | journal-article DOI: 10.4269/ajtmh.2012.12-0235, EID: 2-s2.0-84867918804
97.Rapid detection and differentiation of Clonorchis sinensis and Opisthorchis viverrini eggs in human fecal samples using a duplex real-time fluorescence resonance energy transfer PCR and melting curve analysis Parasitology Research 2012 | journal-article DOI: 10.1007/s00436-011-2804-7, EID: 2-s2.0-84862772882
98.Families Opisthorchiidae and Heterophyidae: Are they distinct? Parasitology International 2012 | journal-article DOI: 10.1016/j.parint.2011.06.004, EID: 2-s2.0-82155199170
99.Discovery of human opisthorchiasis: A mysterious history Parasitology International 2012 | journal-article DOI: 10.1016/j.parint.2011.08.012 EID: 2-s2.0-82655181826
100.Co-existence of Paragonimus harinasutai and Paragonimus bangkokensis metacercariae in fresh water crab hosts in central Viet Nam with special emphasis on their close phylogenetic relationship Parasitology International 2012 | journal-article, DOI: 10.1016/j.parint.2012.01.011, EID: 2-s2.0-84861480301.
101.Rapid and simple identification of human pathogenic heterophyid intestinal fluke metacercariae by PCR-RFLP Parasitology International 2011 | journal-article DOI: 10.1016/j.parint.2011.09.004, EID: 2-s2.0-82155166402.
102.Neurognathostomiasis, a neglected parasitosis of the central nervous system Emerging Infectious Diseases 2011 | journal-article DOI: 10.3201/eid1707.101433, EID: 2-s2.0-79959904332.
103.Molecular identification of a causative parasite species using formalin-fixed paraffin embedded (FFPE) tissues of a complicated human pulmonary sparganosis case without decisive clinical diagnosis Parasitology International 2011 | journal-article DOI: 10.1016/j.parint.2011.07.018, EID: 2-s2.0-82155167630
104.Impact of hookworm deworming on anemia and nutritional status among children in Thailand Southeast Asian Journal of Tropical Medicine and Public Health 2011 | journal-article, EID: 2-s2.0-80054958645.
105.Human sparganosis in Thailand: An overview Acta Tropica 2011 | journal-article DOI: 10.1016/j.actatropica.2011.03.011, EID: 2-s2.0-79955612835
106.Human paragonimiasis in Viet Nam: Epidemiological survey and identification of the responsible species by DNA sequencing of eggs in patients' sputum Parasitology International 2011 | journal-article, DOI: 10.1016/j.parint.2011.09.001, EID: 2-s2.0-82155166350

Hình 19
107.Confirmation of the paraphyletic relationship between families Opisthorchiidae and Heterophyidae using small and large subunit ribosomal DNA sequences Parasitology International, 2011, DOI: 10.1016/j.parint.2011.07.015, EID: 2-s2.0-82155173524
108.Serodiagnostic reliability of single-step enriched low-molecular weight proteins of Taenia solium metacestode of American and Asian isolates Transactions of the Royal Society of Tropical Medicine and Hygiene 2010, DOI: 10.1016/j.trstmh.2010.07.011, EID: 2-s2.0-77956649499.
109.Intrahepatic growth and maturation of Gnathostoma turgidum in the natural definitive opossum host, Didelphis virginiana Parasitology International 2010 | journal-article. DOI: 10.1016/j.parint.2010.04.004, EID: 2-s2.0-77955325342.
110.Infection status of the estuarine turtles Kinosternon integrum and Trachemys scripta with Gnathostoma binucleatum in Sinaloa, Mexico Revista Mexicana de Biodiversidad 2010 | journal-article, EID: 2-s2.0-79751486432, Source: Scopus - Elsevier Preferred source
111.Helminthic invasion of the central nervous system: Many roads lead to Rome Parasitology International, 2010 | journal-article. DOI: 10.1016/j.parint.2010.08.002, EID: 2-s2.0-77958455772.
112.Haplorchis taichui as a possible etiologic agent of irritable bowel syndrome-like symptoms Korean Journal of Parasitology, 2010 | journal-article, DOI: 10.3347/kjp.2010.48.3.225, EID: 2-s2.0-78149378033
113.Double strand problems: Reverse DNA sequences deposited in the DNA database Korean Journal of Parasitology 2010 | journal-article DOI: 10.3347/kjp.2010.48.1.89, EID: 2-s2.0-77949688752.
114.A novel sigma-like glutathione transferase of Taenia solium metacestode International Journal for Parasitology 2010 | journal-article DOI: 10.1016/j.ijpara.2010.03.007, EID: 2-s2.0-77953914439

Hình 20
115.Short report: Case of gnathostomiasis in Beijing, China American Journal of Tropical Medicine and Hygiene 2009 | journal-article EID: 2-s2.0-59649094206 Source: Scopus – Elsevier
116.Morphological differences and molecular similarities between Paragonimus bangkokensis and P. harinasutai Parasitology Research 2009 | journal-article DOI: 10.1007/s00436-009-1402-4, EID: 2-s2.0-67649556323
117.Large-group infection of boar-hunting dogs with Paragonimus westermani in Miyazaki Prefecture, Japan, with special reference to a case of sudden death due to bilateral pneumothorax Journal of Veterinary Medical Science 2009 | journal-article DOI: 10.1292/jvms.71.657, EID: 2-s2.0-67650492573
118.Is gnathostoma turgidum an annual parasite of opossums? drastic seasonal changes of infection in didelphis virginiana in Mexico Journal of Parasitology 2009 | journal-article DOI: 10.1645/GE-1988.1, EID: 2-s2.0-73949105504
119.Galβ1-6Gal, antigenic epitope which accounts for serological cross-reaction in diagnosis of Echinococcus multilocularis infection Parasite Immunology 2009 | journal-article DOI: 10.1111/j.1365-3024.2009.01129.x EID: 2-s2.0-68249158089
120.Fulminant eosinophilic myocarditis associated with visceral larva migrans caused by Toxocara canis infection Circulation Journal 2009 | journal-article DOI: 10.1253/circj.CJ-08-0334, EID: 2-s2.0-68149171456;

Hình 21
121.Lu G G Department of Pathogen Biology,Hainan Medical 2014. Discovery of an endemic area of gnathostoma turgidum infection among opossums, didelphis virginiana, in Mexico Journal of Parasitology 2009 | journal-article DOI: 10.1645/GE-1871.1, EID: 2-s2.0-73949145662 Retrospective epidemiological analysis of sparganosis in mainland China from 1959 to 2012.
122.Lee Eun Kyoung EK Department of Surgery, Konkuk University Medical Center, Seoul, - - 2014. Axillary sparganosis which was misunderstood lymph node metastasis during neoadjuvant chemotheraphy in.
123.Bennett Hayley M 2014. The genome of the sparganosis tapeworm Spirometra erinaceieuropaei isolated from the biopsy.
124.Oh Youngmin Y Department of Internal Medicine, College of Medicine, Chungbuk National University, Cheongju 361-711, 2014. Eosinophilic Pleuritis due to Sparganum: A Case Report.
125.Zhao Yi-Ming YM Department of Pediatric Surgery, The 2nd Affiliated Hospital & Yuying. Scrotal sparganosis mimicking scrotal teratoma in an infant: a case report and ...
126.Wiwanitkit Viroj V Tropical Medicine Unit, Hainan Medical University , Haikou , China - - 2014. Ocular Sparganosis.
127.Hill Ag 2014. A Currumbin Wildlife Sanctuary, 28 Tomewin St, Currumbin, Queensland, 4223, Australia. Acanthocephalan infection and sparganosis in a green tree snake (Dendrelaphis punctulata).
128.Cui Jing J Department of Parasitology, Medical College, Zhengzhou University, 40 Daxue Road, Zhengzhou, 450052, People's Republic of China, 2014. Molecular characterization of a Spirometra mansoni antigenic polypeptide gene encoding a 28.7 kDa ...
129.Ouyang Jinsheng J Department of Respiratory Medicine, the First Affiliated Hospital of Wenzhou Medical University, Wenzhou 325000 2014 [Pleural sparganosis: report of a case and review of the literature].
130.Kim Jeung Il JI Department of Orthopedic Surgery, Medical Research Institute, Pusan National University Hospital, Busan 602-739, 2014. Intramuscular sparganosis in the gastrocnemius muscle: a case report.
131.Hu Dan Dan, 2014. Identification of early diagnostic antigens from Spirometra erinaceieuropaei sparganum soluble proteins using .
132.Tsuda Hiroyuki H Division of Haematology/Oncology, Kumamoto City Hospital, Kumamoto, 2014. Sparganosis in follicular lymphoma patient.
133.Choi Seung Joon SJ Department of Radiology, Gachon University Gil Hospital, Incheon, 2014. Sparganosis of the breast and lower extremities: Sonographic appearance.
134.Wiwanitkit Viroj V University Editorial Office, Hainan Medical University, Haikou, - - 2014. Multiple sparganosis.
135.Lee Young-Il YI Department of Anatomy, College of Medicine, Dankook University, Cheonan 330-714, 2014. Recurred sparganosis 1 year after surgical removal of a sparganum in a
136.Rahman S M Mazidur SM Department of Parasitology and Tropical Medicine, Seoul National University College of Medicine, and Institute of Endemic Diseases, Seoul National University Medical Research Center, Seoul 110-799, 2014. Diagnostic Efficacy of a Recombinant Cysteine Protease of Spirometra erinacei Larvae for ...
137.Woldemeskel Moges M University of Georgia, Tifton Veterinary Diagnostic and Investigational Laboratory, Tifton, 2014. Subcutaneous sparganosis, a zoonotic cestodiasis, in two cats.
138.Kołodziej-Sobocińska Marta M Mammal Research Institute, Polish Academy of Sciences, Waszkiewicza 1, 17-230 Białowieża, Poland. Electronic address: 2014. The first report of sparganosis (Spirometra sp.) in Eurasian badger (Meles meles).
139.Wang Fumin F 0000-0003-1137-4465 Guangdong Provincial Wildlife Rescue Center, Guangzhou 510520, 2014. Spirometra (pseudophyllidea, diphyllobothriidae) severely infecting wild-caught snakes from food markets in guangzhou ...
140.Graham Rondell P D 2013. Sparganosis Presenting as a Mammographic Abnormality.
141.Ho Tsai-Hsuan, 2013. Ocular sparganosis mimicking an orbital idiopathic inflammatory syndrome.
142.Kim Woo Young , 2013. Response to "breast sparganosis".
143.Roh Sang-Young SY Division of Medical oncology, Seoul St. Mary's Hospital, Seoul , South 2013. Sparganosis in a patient with diffuse large B cell lymphoma.
144.Schauer F 2013. Travel-acquired subcutaneous Sparganum proliferum infection diagnosed by molecular methods.
145.Hong Daojun 2013. Cerebral sparganosis in mainland Chinese patients.
146.Lee H M 2013. Sparganosis of Upper Extremity in Subcutaneous and Intramuscular Layers.
147.Hu Dan Dan DD Dept. of Parasitology, Medical College, Zhengzhou University, Zhengzhou, P. R. 2013. Immunoproteomic Analysis of the Excretory-Secretory Proteins from Spirometra mansoni Sparganum.
148.Lee Seung-Ha 2013. Spargana in a Weasel, Mustela sibirica manchurica, and a Wild Boar, Sus ...
149.Mo Zhi-Shuo 2013. Clinical analysis of 25 sparganosis cases.
150.Chu Shuguang 2013. Magnetic resonance imaging features of pathologically proven cerebral sparganosis.