Theo số liệu thống kê báo cáo của Viện Sốt rét-Ký sinh trùng-Côn trùng Quy Nhơn trong những năm qua, chủng loại ký sinh trùng sốt rét Plasmodium malariae gây bệnh ở người chỉ phát hiện chủ yếu tại tỉnh Khánh Hòa. Vậy chủng loại ký sinh trùng sốt rét này có những đặc điểm gì?
Ký sinh trùng gây bệnh sốt rét ở người có 4 chủng loại là Plasmodium falciparum, Plasmodium vivax, Plasmodium malariae và Plasmodium ovale. Tại nước ta, hai chủng loại gây bệnh chủ yếu thường được phát hiện ở nhiều địa phương là Plasmodium falciparum và Plasmodium vivax, riêng chủng loại Plasmodium malariae chỉ phát hiện được ở tỉnh Khánh Hòa; còn chủng loại Plasmodium ovale thì hiếm gặp. Trong năm 2010, khu vực miền Trung-Tây Nguyên phát hiện được 12.251 ký sinh trùng sốt rét, trong đó có 25 trường hợp nhiễm chủng loại Plasmodium malariae, 24 trường hợp tại tỉnh Khánh Hòa và 1 trường hợp tại tỉnh Đăk Nông. Trong 6 tháng đầu năm 2011, cả khu vực phát hiện được 3.710 ký sinh trùng sốt rét, trong đó chỉ có 2 trường hợp nhiễm Plasmodium malariae cũng phát hiện tại tỉnh Khánh Hòa. Như vậy có thể nói rằng tỉnh Khánh Hòa là nơi lưu giữ mầm bệnh Plasmodium malariae. Tại sao chủng loại ký sinh trùng sốt rét Plasmodium malariae chỉ tập trung tại tỉnh Khánh Hòa, nó có những đặc điểm như thế nào?
Đặc điểm về sinh học
Chủng loại ký sinh trùng sốt rét Plasmodium malariae được nhà khoa học Laveran phát hiện vào năm 1881. Chủng loại này có thể nhiễm tự nhiên cho loài linh trưởng và trước đây thường được gọi bằng một tên đơn giản là sốt rét 4 ngày. Cách gọi thông tục này hiện nay vẫn thường được dùng để gọi bệnh sốt rét 4 ngày khi người bệnh bị nhiễm chủng loại Plasmodium malariae. Sở dĩ gọi như vậy vì Plasmodium malariae là chủng loại ký sinh trùng sốt rét gây nên một chu kỳ sốt 4 ngày, có nghĩa là ngày thứ nhất bị lên cơn sốt, ngày thư hai và thứ ba không sốt, qua ngày thứ tư xuất hiện cơn sốt trở lại. Ký sinh trùng Plasmodium malariae có những đặc điểm hình thái khác hẳn với các chủng loại ký sinh trùng sốt rét khác, chúng thường phát triển chậm ở cả hai vật chủ muỗi truyền bệnh và người. Bệnh lý lâm sàng thường biểu hiện nhẹ nhưng mầm bệnh có khả năng tồn tại dai dẳng trong cơ thể người nếu không được phát hiện và điều trị. Theo địa bàn địa lý, chủng loại ký sinh trùng này phân bố khá rộng rãi ở cả hai khu vực ôn đới và bán nhiệt đới, chủ yếu ở vùng Đông và Tây châu Phi, Guyana, một số điểm ở Ấn Độ… và sự hiện diện của chúng mang tính chất rải rác.
Thể phân liệt ngoại hồng cầu tại gan của Plasmodium malariae ở người chỉ mới được chứng minh gần đây thông qua thực nghiệm trên loại tinh tinh qua đường gây nhiễm thoa trùng. Loài thú này có thể là ổ dự trữ chủng loại ký sinh trùng Plasmodium malariae và có khả năng nhiễm tự nhiên. Các nhà khoa học đã cho rằng có một loại ký sinh trùng sốt rét Plasmodium rodhaini thường được phát hiện ở loài thú này có khả năng đồng nghĩa với Plasmodium malariae.
Sau khi nhiễm thoa trùng, thể phân liệt tiền hồng cầu trong gan có thời gian phát triển khoảng 14 ngày. Các thể merozoit gan được phóng thích vào máu và khởi đầu chu kỳ vô tính hồng cầu 72 giờ.
Lưu ý rằng bệnh sốt rét do nhiễm chủng loại ký sinh trùng Plasmodium malariae có khả năng tồn lại dai dẳng trong cơ thể người nhiều năm hoặc suốt cả đời người nếu không được phát hiện, điều trị. Chính vì vấn đề này đã dẫn đến giả thuyết cho là có sự liên tiếp chu kỳ ngoại hồng cầu thứ phát ở gan. Tuy nhiên qua nghiên cứu thực nghiệm không phát hiện được các thể ký sinh trùng sốt rét tái phát muộn trong gan của loại tinh tinh ở châu Phi thuộc loài linh trưởng được gây nhiễm với Plasmodium malariae và bệnh vẫn cứ dai dẳng mặc dù được gây nhiễm bằng máu có ký sinh trùng hay bằng thoa trùng lấy từ muỗi. Nghiên cứu này xác nhận không có sự hiện diện thể ngủ (hypnozoit) là nguyên nhân của sự tái phát muộn ở bệnh nhân bị nhiễm Plasmodium malariae và sự tái xuất hiện ký sinh trùng trong máu với các triệu chứng lâm sàng sau một thời gian im lặng kéo dài được phỏng đoán do sự quay trở lại các thể hồng cầu nhiễm của đợt sốt sơ phát còn tồn tại một số rất ít đã lẩn trốn trong các cơ quan nội tạng.
Đặc điểm về hình thể và chu kỳ phát triển
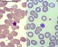
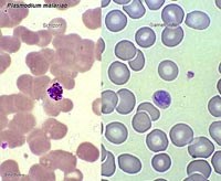
Những thể tư dưỡng trẻ (trophozoit) của Plasmodium malariae ở trong máu không khác biệt mấy so với Plasmodium vivax tuy bào tương có dày hơn và bắt màu đậm hơn. Những thể tư dưỡng già rất lớn, hình tròn và chiếm khoảng một nửa hồng cầu. Trên lam máu giọt mỏng, thể tư dưỡng có thể giăng ra ngang suốt hồng cầu trông giống như một dải băng, đây là nét đặc điểm về hình thái của Plasmodium malariae để phân biệt với các chủng loại ký sinh trùng khác. Ngoài ra, hạt sắc tố cũng lớn, nhiều và màu đen.
Sự phát triển hoàn chỉnh từ thể tư dưỡng (trophozoit) kéo dài khoảng 54 giờ và chuyển sang thể phân liệt (schizont) trong suốt 18 giờ sau đó với tổng số thời gian là 72 giờ. Thể phân liệt trưởng thành hay thể phân cách (merozoit) có trung bình 8 nhân. Sự sắp xếp các thể phân cách hồng cầu trông giống hình hoa cúc hoặc hoa thị.
Hồng cầu bị ký sinh không bị thay đổi nhiều nhưng đôi khi trông hơi nhỏ hơn hồng cầu bình thường và có xuất hiện các hạt bệnh lý Ziemann là các chấm màu hồng nhạt.
Mật độ của ký sinh trùng Plasmodium malariae thường rất thấp so với các chủng loại ký sinh trùng khác, chúng có khoảng 10.000 ký sinh trùng trong một micrô-lít máu.
Thể giao bào (gametocyte) của ký sinh trùng chủ yếu phát triển trong cơ quan nội tạng và chỉ xuất hiện ở máu ngoại vi khi đã trưởng thành. Giao bào cái có bào tương bắt màu xanh đậm và có một nhân nhỏ, giao bào đực có bào tương màu xanh nhạt và một nhân xốp.
Sắc tố của noãn bào có hạt lớn và màu nâu đen, thường nằm rải rác ở rìa.
Chu kỳ vô tính của ký sinh trùng phát triển trong hồng cầu của người kéo dài khoảng 72 giờ và sự phát triển này rất đồng bộ.
Chu kỳ hữu tính của ký sinh trùng phát triển trong cơ thể muỗi Anopheles kéo dài khoảng từ 30 đến 35 ngày ở nhiệt độ 20oC hoặc 14 ngày ở nhiệt độ 28oC.
Chẩn đoán và điều trị bệnh
Nếu bị nhiễm ký sinh trùng sốt rét Plasmodium malariae, thời gian ủ bệnh tương đối dài, thường không bao giờ dưới 18 ngày và có thể tới 1,5 tháng. Bệnh khởi phát rất giống với sốt rét do bị nhiễm chủng loại Plasmodium vivax. Cơn sốt thường rải đều đặn theo chu kỳ cách 2 ngày không sốt, đến ngày thứ 3 lại sốt. Cơn sốt thường bắt đầu vào buổi chiều, tình trạng bị thiếu máu xảy ra ít hơn so với sốt rét do nhiễm Plasmodium viavax và có thể gây nên một vài biến chứng ở thận. Tuy vậy nó vẫn được xem là loại sốt rét lành tính. Nhiều nhà khoa học đã có nhận định rằng ở những bệnh nhân sốt rét do nhiễm Plasmodium malariae thường có lách rất to. Một vấn đề chưa thật rõ ràng và đang được bàn cãi là tại sao ký sinh trùng sốt rét Plasmodium malariae lại có thể gây sốt rét tái phát xa hàng chục năm? Các nhà khoa học đã đặt câu hỏi liệu có thể có những cơ quan nào khác ngoài gan là ổ chứa để cho ký sinh trùng tiềm tàng lâu như vậy.
Khi đã phát hiện được bệnh nhân mắc sốt rét do bị nhiễm ký sinh trùng Plasmodium malariae, cách điều trị rất đơn giản. Theo hướng dẫn chẩn đoán và điều trị bệnh sốt rét được Bộ Y tế ban hành vào năm 2009, thuốc Chloroquin dùng trong 3 ngày có tác dụng hiệu quả đối với việc điều trị sốt rét do nhiễm Plasmodium malariae. Thuốc có thể sử dụng rộng rãi cho tất cả các đối tượng, kể cả trẻ em và phụ nữ có thai, liều lượng được quy định theo lứa tuổi hoặc trọng lượng cơ thể.
Do chủng loại ký sinh trùng này ít gặp, chúng có thời gian ủ bệnh từ 18 đến 40 ngày, khả năng tồn tại trong cơ thể người từ 3 đến 50 năm nếu không được phát hiện điều trị và cũng có khả năng tái phát xa. Vì vậy người bệnh sau khi được điều trị một đợt, cần có sự quản lý điều trị của các cơ sở y tế, kiểm tra xét nghiệm máu định kỳ để có biện pháp xử trí phù hợp do sốt rét tái phát xa.
 Bản đồ tỉnh Khánh Hòa (Nguồn :khanhhoa.gov.vn)
|
Khánh Hòa và Plasmodium malariae
Qua công tác xét nghiệm ký sinh trùng để chẩn đoán sốt rét, chủng loại ký sinh trùng sốt rét Plasmodium malariae chủ yếu chỉ phát hiện được tại tỉnh Khánh Hòa, các địa phương khác trong khu vực miền Trung-Tây Nguyên chưa ghi nhận được một trường hợp nào, ngoại trừ độc nhất một trường hợp phát hiện tại tỉnh Đăk Nông vào năm 2010. Vấn đề này cần được các nhà khoa khoa học chuyên ngành của toàn quốc đặc biệt quan tâm xem xét, nghiên cứu để lý giải sự khu trú, lưu giữ chủng loại ký sinh trùng đặc thù này lưu hành tại tỉnh Khánh Hòa mà các địa phương khác không phát hiện được.
Theo y văn trước đây, chủng loại ký sinh trùng Plasmodium malariae phân bố khá rộng rãi ở cả hai khu vực ôn đới và bán nhiệt đới, sự hiện diện của chúng mang tính chất rải rác. Chủng loại này có thể nhiễm tự nhiên cho loài linh trưởng. Một nghiên cứu gần đây của PGS.TS. Nguyễn Đức Mạnh, Viện Sốt rét-Ký sinh trùng-Côn trùng thông báo tại tỉnh Phú Yên, gần tỉnh Khánh Hòa, trong tháng 10/2009 đã phát hiện được một con khỉ cái đuôi dài (Macaca fascicularis) non bẫy từ rừng về, lấy máu xét nghiệm kiểm tra và phát hiện bị nhiễm ký sinh trùng sốt rét khỉ có khả năng truyền bệnh cho con người. Các đặc điểm hình thái cho thấy ký sinh trùng phát hiện giống với chủng loại ký sinh trùng Plasmodium inui halberstaedter and von Prowazek, 1907, một loài ký sinh trùng sốt rét của khỉ có khả năng gây bệnh cho con người. Có thể nói đây là sự cảnh báo về mối nguy cơ tiềm ẩn của ổ bệnh ký sinh trùng sốt rét tự nhiên ở loài khỉ đuôi dài có khả năng lây truyền bệnh sốt rét cho con người. Ngoài ra theo y văn, một số loại ký sinh trùng sốt rét của khỉ như Plasmodium knowlesi, Plasmodium brazilianum, Plasmodium coatneyi, Plasmodium reichenovi, Plasmodium schwetzi… cũng có khả năng truyền bệnh cho người.
Riêng chủng loại ký sinh trùng sốt rét của khỉ Plasmodium rodhaini, các nhà khoa học đã cho rằng loại ký sinh trùng sốt rét này thường được phát hiện ở loài tinh tinh có khả năng đồng nghĩa với Plasmodium malariae.
Trên đây là một số cơ sở dữ liệu gợi ý để các nhà khoa học chuyên ngành nghiên cứu và giải đáp tại sao chủng loại ký sinh trùng sốt rét Plasmodium malariae gây bệnh ở người chỉ phát hiện được tại tỉnh Khánh Hòa. Có mối liên quan nào của chủng loại ký sinh trùng sốt rét Plasmodium malariae gây bệnh cho người có thể nhiễm tự nhiên cho loài linh trưởng ở tại đây và có khả năng gây nhiễm ngược lại cho người theo y văn đã được đề cập. Đang mong chờ các nhà khoa học chuyên ngành!