Giới thiệu
Plasmodium knowlesi(P. knowlesi) là một loài ký sinh trùng sốt rét được tìm thấy phổ biến ở các loài linh trưởng và khỉ nói riêng và chúng được công nhận là loài ký sinh trùng Plasmodium thứ năm có thể gây ra bệnh sốt rét ở người. Sốt rét do P. knowlesi – một loài ký sinh trùng lan truyền từ động vật sang người thường được tìm thấy ở nhiều quốc gia khu vực Đông Nam Á. Ký sinh trùng này lây truyền qua người thông qua vết đốt của muỗi sốt rét Anopheles.
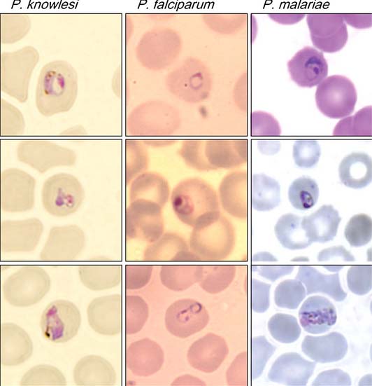
P. knowlesi có các đặc điểm hình thái tương tự như ký sinh trùng sốt rét Plasmodium malariae và Plasmodium falciparum ở người tùy thuộc giai đoạn sớm hay muộn. Do đó, khi con người bị nhiễm thường không được chẩn đoán chính xác nếu chỉ dựa vào xét nghiệm chuẩn vàng thường quy giêm sa, cho đến khi phương pháp phát hiện sinh học phân tử )PCR) được sử dụng để chẩn đoán nhiễm ký sinh trùng sốt rét được bổ sung. Nhiễm P. knowlesi gây ra một loạt các triệu chứng như các loài khác, có thể dẫn đến sốt rét ác tính (SRAT), thậm có có thể dẫn đến tử vong (TVSR). Tuy nhiên, nếu chúng được phát hiện sớm thì có thể được điều trị dễ dàng và cứu lấy mạng sống của bệnh nhân, giảm gánh nặng bệnh tật cho cộng đồng.
Chu kỳ sinh học và phát triển KSTSR lan truyền từ khỉ sang người
Ký sinh trùng sốt rét P. knowlesi nhân lên và hoàn thành chu kỳ sinh học trong hồng cầu người trong khoảng thời gian tương đối ngắn, thường dao động 24 giờ, do đó nó gây sốt hàng ngày và chỉ trong thời gian ngắn dung khối ký sinh trùng tăng lên rất nhanh, điều này có thể dẫn đến mật độ ký sinh trùng cao chỉ trong một thời gian ngắn và dễ ẩn cư trong lòng vi huyết quản và nguy cơ tử vong là rất cao. Ký sinh trùng này phát triển trong cơ thể người trải qua các giai đoạn sau: thể hoa cúc merozoite, phân liệt schizont, tư dưỡng trophozoites. Thể tự dưỡng non (early trophozoites) của P. knowlesi có hình thái tương tự như P. falciparum và các giai đoạn khác sau đó tương tự như P. malariae. Tái phát không được tìm thấy ở các trường hợp nhiễm P. knowlesi do ký sinh trùng không có thể ẩn (hypnozoites) ở trong gan tức là vắng thể ẩn trong giai đoạn ngoài hồng cầu (exoerythrocytic), không có tái phát xa như đối với loài P. vivax và P. ovale.
Dịch tễ học
P. knowlesi là một loài ký sinh trùng phổ biến ở khỉ đuôi dài và khỉ đuôi lợn, nhưng do con người đi vào rừng hay sống gần rừng để lao động, kiếm kế sinh nhai là nguyên nhân chính dễ nhạy cảm nhiễm với loài ký sinh trùng này. Ký sinh trùng này thường được tìm thấy phổ biến ở các nước Đông Nam Á như Malaysia, Thái Lan, Myanmar, Lào và cả Việt Nam và các nước láng giềng của các quốc gia này. Muỗi là véc tơ truyền ký sinh trùng P. knowlesi từ khỉ sang người và các loài muỗi này sống chủ yếu trong rừng. Các véc tơ thuộc chi Anopheles, chi phụ Cellia, Neomyzomyia và nhóm Leucosphyrus. Các loài muỗi của nhóm này có mặt trong các khu rừng Đông Nam Á. Con người tiếp xúc được với các véc tơ đó là kết quả của nạn phá rừng.
Có hai loài muỗi gồm Anopheles latens và Anopheles cracens là véc tơ quan trọng truyền P. knowlesi cho con người đã được ghi nhận trong thời gian nghiên cứu gần đây
Có hai phương thức lan truyền ký sinh trùng P. knowlesi sang người: (i) Từ khỉ bị nhiễm truyền sang người; (ii) Từ người bị nhiễm truyền sang người khác.
Các đặc điểm lâm sàng cần thận trọng
Các trường hợp bệnh nhân nhiễm P. knowlesi thường có các biểu hiện với các triệu chứng lâm sàng không đặc hiệu. Nam giới trong độ tuổi từ 30 - 60 tuổi thường bị ảnh hưởng. Thời gian bị bệnh từ 3-7 ngày. Các triệu chứng phổ biến nhất là sốt với ớn lạnh và rét run. Sốt có thể đới đến một số triệu chứng đau đầu, đau cơ, mệt mỏi và chán ăn. Ho, đau bụng, buồn nôn, nôn và tiêu chảy là những triệu chứng biểu hiện khác liên quan đến hệ tiêu hóa dạ dày ruột của bệnh. Các triệu chứng bắt đầu khoảng 11 ngày sau khi người bị muỗi nhiễm ký sinh trùng đốt vào.
Nhiễm P. knowlesi nên được nghi ngờ ở những bệnh nhân có các triệu chứng này và những bệnh nhân này tham gia vào hoạt động nông nghiệp hoặc làm việc trong hoặc gần các khu rừng ở khu vực lưu hành. Trong trường hợp bệnh nhân sống ở các khu vực không lưu hành thì lịch sử đi du lịch đến các khu vực lưu hành nên được xem xét một cách cẩn thận để xác định chẩn đoán.
Nhiệt độ cơ thể cao, nhịp tim nhanh và thở nhanh là những dấu hiệu lâm sàng thường gặp của bệnh. Khoảng 15-25% bệnh nhân có thể có biểu hiện gan, lách to. Biểu hiện lâm sàng của bệnh nặng có thể được tóm tắt như sau:
1.Suy hô hấp: đặc điểm lâm sàng này biểu hiện với sự gia tăng nhịp thở, nghe âm thở có sự khác thường, không đặc hiệu, giảm mức oxy bảo hòa thông qua máy đo oxy và thay đổi trên hình ảnh x quang có hình ảnh phù phổi tim mạch. Suy hô hấp có thể do phù phổi hoặc do rối loạn chuyển hóa acid-base;
2.Vàng da: có một sự gia tăng nồng độ bilirubin huyết thanh cùng với tăng men gan do phá hủy chức năng gan;
3.Suy thận: thay đổi chức năng thận biểu hiện với tình trạng thiểu niệu và tăng nồng độ creatinine huyết thanh trong máu cùng với rối loạn bù dịch và điện giải;
4.Hạ huyết áp khi huyết áp tâm thu ≤ 90 mm Hg dù đã bù đủ dịch;
5.Hạ đường huyết: xác định khí nồng độ glucose máu xét nghiệm ngẫu nhiên là ≤ 40 mg/dl.
Giảm tiểu cầu được tìm thấy phổ biến ở bệnh nhân nhiễm P. knowlesi. Tuy nhiên, biểu hiện chảy máu hoặc rối loạn đông máu rõ rệt về mặt lâm sàng là không tìm thấy. Do tính chất không cô lập của P. knowlesi, các phát hiện thần kinh (thường gặp ở sốt rét thể não do P. falciparum) như hôn mê unarousable, co giật và bệnh não không được nhìn thấy trong quá trình của bệnh.
Không có các triệu chứng hoặc dấu hiệu điển hình để có thể phân biệt được sốt rét P. knowlesi với sốt rét do P. falciparum hoặc sốt rét do P. vivax. Mặc dù nhiễm P. knowlesi được biết là lành tính nhưng biến chứng đe dọa tính mạng hoặc tử vong có thể xảy ra ở một số ít trường hợp. Tỷ lệ biến chứng là 10% và tỷ lệ tử vong do nhiễm P. knowlesi nặng được phát hiện là 2% trong một loạt các trường hợp nhiễm bệnh.
Phát hiện và chẩn đoán
Xét nghiệm máu ngoại vi của bệnh nhân nhiễm P. knowlesi có thể được chẩn đoán nhầm là nhiễm P. malariae, do có sự tương đồng về mặt hình thái giữa 2 loài Plasmodium này. Do vậy, nhiễm P. knowlesi có nhiều khả năng có các biểu hiện lâm sàng giống như P. malariae hoặc ở bệnh nhân sốt rét nặng xuất hiện hình thái giống P. malariae trên lam máu ngoại vi. Hay nói đúng hơn, một điểm chúng ta cần lưu ý là nếu hình thái trên lam giống P. malariae nhưng triệu chứng biểu hiện nghiêm trọng, thì nên nghĩ đến loài P. knowlesi và cần có các bước tiếp theo.
Phương pháp phát hiện phân tử giống như phương pháp PCR, Nested PCR là rất hữu ích cho việc khẳng định chẩn đoán nhiễm đơn hay phối hợp của loài P. knowlesi và phát hiện nhiễm phối hợp. Những bất lợi của phương pháp PCR, Nested PCR, song phương pháp này không thể được sử dụng như một kỹ thuật chẩn đoán nhanh thường quy. Hơn nữa, phương pháp PCR được giới hạn trong nhiều bệnh viện do chi phí cao và nhiều yếu tố khác. Do vậy, chúng ta nên có một khung chẩn đoán gợi ý và quyết định điều trị với sự hội chẩn chuyên môn là việc làm cần thiết.
Điều trị nhiễm P. knowlesi chưa biến chứng
Các trường hợp nhiễm P. knowlesi không biến chứng rất nhạy với các loại thuốc chống sốt rét thông thường hiện nay như chloroquin, quinin và mefloquin. Primaquine phosphate là loại thuốc cần thiết để diệt giao bào, chống lây lan. Nó được sử dụng với liều 15 mg trong 2 ngày. Chloroquine đưa ra các liều thông thường (10 mg/kg cân nặng, tiếp theo là 5 mg/kg trong 6, 24 và 48 giờ, tổng liều 25 mg/kg) có thể làm sạch ký sinh trùng nhanh chóng khi so sánh với các trường hợp sốt rét do P. vivax. Chloroquin là một loại thuốc chống sốt rét giá rẻ, hiệu quả và dung nạp tốt và nó rất hữu ích trong việc điều trị các trường hợp sốt rét không biến chứng do nhiễm P. knowlesi ở người và đặc biệt hiện nay chưa có thông tin thuốc này bị kháng bởi loài KSTSR P. knowlesi.
Điều trị nhiễm P. knowlesi nặng hay biến chứng
Nhiễm P. knowlesi biến chứng và nặng (SRAT) đòi hỏi phải điều trị bằng quinin tiêm tĩnh mạch. Quinine được sử dụng liều 20 mg/kg trong dung dịch dextrose 10%, tiếp theo là 10 mg/kg liều 8 giờ trong khoảng thời gian 7 ngày. Các tác dụng phụ của quinin là hạ đường huyết và rối loạn nhịp tim (ở những bệnh nhân có tiền sử bệnh tim). Có nhiều hạn chế nghiên cứu lâm sàng về việc sử dụng các chất dẫn xuất artemisinin tiêm để điều trị nhiễm P. knowlesi nặng ở người, song trên thực tế các báo cáo rải rác trước đây cho thấy hiệu lực thuốc artesunate lọ tiêm cũng có hiệu lực cao trong điều trị loài ký sinh trùng này. Tuy nhiên, một nghiên cứu trên khỉ đã cho thấy artemisinin là một loại thuốc chống sốt rét có hiệu quả.
Các dẫn xuất artemisinin đã được tìm thấy có hiệu quả rất tốt chống lại P. knowlesi nhiễm ở người và nó tương quan lâm sàng ở những bệnh nhân được điều trị bằng Artesunate, nơi mà tỷ lệ tử vong đã không được nhìn thấy sau khi điều trị. Một nghiên cứu của William và cộng sự được thực hiện một phân tích hồi cứu số ca sốt rét nhiễm P. knowlesi ở bang Sabah, Malaysia và báo cáo rằng điều trị phối hợp artemether-lumefantrine đã thành công trong điều trị bệnh nhân. Họ cũng lưu ý rằng artesunate tiêm tĩnh mạch có hiệu quả trong điều trị nhiễm P. knowlesi nặng.
Do phương thức lan truyền bệnh từ động vật sang người của P. knowlesi, sẽ có ít khả năng ký sinh trùng kháng thuốc. Tuy nhiên, phân lập P. knowlesi phòng thí nghiệm cho thấy ký sinh trùng này ít nhạy cảm với mefloquine khi so với P. falciparum. Điều này có thể là do khả năng chịu đựng bẩm sinh của P. knowlesi đối với mefloquin. Do đó, khả năng lớn trong thất bại điều trị nếu mefloquin được sử dụng một mình hoặc được sử dụng như một liệu pháp kết hợp. Điều này đã được chứng minh bởi báo cáo thất bại điều trị đối với mefloquin ở khỉ nâu và người bị nhiễm P. knowlesi.
Nhiều nghiên cứu lâm sàng hơn nữa là cần thiết trước khi mefloquin có thể được sử dụng để điều trị hoặc dự phòng bệnh sốt rét P. knowlesi.
Kết luận
Mặc dù nhiễm P. knowlesi ít được phổ biến nhưng nó có thể chịu trách nhiệm cho bệnh nặng. Chloroquine là một loại thuốc chống sốt rét hiệu quả có thể được sử dụng một cách an toàn và hiệu quả trong điều trị các ca bệnh nhiễm P. knowlesi không biến chứng. Ký sinh trùng rất nhạy cảm với nhóm thuốc artemisinin và chúng rất hữu ích trong việc quản lý bệnh nặng và biến chứng. Do khả năng kháng của ký sinh trùng đối với mefloquine, nó không hữu ích trong việc quản lý nhiễm P. knowlesi.
Tài liệu tham khảo
1. | Cox-Singh J, Davis TM, Lee KS, Shamsul SS, Matusop A, Ratnam S, et al. Plasmodium knowlesi malaria in humans is widely distributed and potentially life threatening. Clin Infect Dis 2008;46:165-71. |
2. | Lee KS, Cox-Singh J, Singh B. Morphological features and differential counts of Plasmodium knowlesi parasites in naturally acquired human infections. Malar J 2009;8:73. |
3. | Cogswell FB. The hypnozoite and relapse in primate malaria. Clin Microbiol Rev 1992;5:26-35. [PUBMED] |
4. | Krotoski WA, Collins WE. Failure to detect hypnozoites in hepatic tissue containing exoerythrocytic schizonts of Plasmodium knowlesi. Am J Trop Med Hyg 1982;31:854-6.[PUBMED] |
5. | Vythilingam I, Noorazian YM, Huat TC, Jiram AI, Yusri YM, Azahari AH, et al. Plasmodium knowlesi in humans, macaques and mosquitoes in peninsular Malaysia. Parasit Vectors 2008;1:26. |
6. | Ng OT, Ooi EE, Lee CC, Lee PJ, Ng LC, Pei SW, et al. Naturally acquired human Plasmodium knowlesi infection, Singapore. Emerg Infect Dis 2008;14:814-6. |
7. | Jongwutiwes S, Buppan P, Kosuvin R, Seethamchai S, Pattanawong U, Sirichaisinthop J, et al. Plasmodium knowlesi malaria in humans and macaques, Thailand. Emerg Infect Dis 2011;17:1799-806. |
8. | Vythilingam I, Tan CH, Asmad M, Chan ST, Lee KS, Singh B. Natural transmission of Plasmodium knowlesi to humans by Anopheles latens in Sarawak, Malaysia. Trans R Soc Trop Med Hyg 2006;100:1087-8. |
9. | Jiram AI, Vythilingam I, NoorAzian YM, Yusof YM, Azahari AH, Fong MY. Entomologic investigation of Plasmodium knowlesi vectors in Kuala Lipis, Pahang, Malaysia. Malar J 2012;11:213. |
10. | Bronner U, Divis PC, Färnert A, Singh B. Swedish traveller with Plasmodium knowlesi malaria after visiting Malaysian Borneo. Malar J 2009;8:15. |
11. | Daneshvar C, Davis TM, Cox-Singh J, Rafa'ee MZ, Zakaria SK, Divis PC, et al. Clinical and laboratory features of human Plasmodium knowlesi infection. Clin Infect Dis 2009;49:852-60. |
12. | Pukrittayakamee S, Chantra A, Simpson JA, Vanijanonta S, Clemens R, Looareesuwan S, et al. Therapeutic responses to different antimalarial drugs in vivax malaria. Antimicrob Agents Chemother 2000;44:1680-5. |
13. | Mayxay M, Khanthavong M, Lindegårdh N, Keola S, Barends M, Pongvongsa T, et al. Randomized comparison of chloroquine plus sulfadoxine-pyrimethamine versus artesunate plus mefloquine versus artemether-lumefantrine in the treatment of uncomplicated falciparum malaria in the Lao People's Democratic Republic. Clin Infect Dis 2004;39:1139-47. |
14. | Dunne MW, Singh N, Shukla M, Valecha N, Bhattacharyya PC, Dev V, et al. A multicenter study of azithromycin, alone and in combination with chloroquine, for the treatment of acute uncomplicated Plasmodium falciparum malaria in India. J Infect Dis 2005;191:1582-8. |
15. | Pukrittayakamee S, Imwong M, Looareesuwan S, White NJ. Therapeutic responses to antimalarial and antibacterial drugs in vivax malaria. Acta Trop 2004;89:351-6. |
16. | Phan GT, de Vries PJ, Tran BQ, Le HQ, Nguyen NV, Nguyen TV, et al. Artemisinin or chloroquine for blood stage Plasmodium vivax malaria in Vietnam. Trop Med Int Health 2002;7:858-64. |
17. | Barber BE, William T, Grigg MJ, Menon J, Auburn S, Marfurt J, et al. A prospective comparative study of knowlesi, falciparum, and vivax malaria in Sabah, Malaysia: High proportion with severe disease from Plasmodium knowlesi and Plasmodium vivax but no mortality with early referral and artesunate therapy. Clin Infect Dis 2013;56:383-97. |
18. | William T, Menon J, Rajahram G, Chan L, Ma G, Donaldson S, et al. Severe Plasmodium knowlesi malaria in a tertiary care hospital, Sabah, Malaysia. Emerg Infect Dis 2011;17:1248-55. |
19. | Tripathi R, Awasthi A, Dutta GP. Mefloquine resistance reversal action of ketoconazole-A cytochrome P450 inhibitor, against mefloquine-resistant malaria. Parasitology 2005;130:475-9. |
20. | Lau YL, Tan LH, Chin LC, Fong MY, Noraishah MA, Rohela M. Plasmodium knowlesi reinfection in human. Emerg Infect Dis 2011;17:1314-5. |