Theo y văn, người bệnh bị mắc sốt rét do nhiễm phối hợp 2 hay 3 chủng loại ký sinh trùng sốt rét thường ít khi xảy ra. Tuy vậy tại khu vực miền Trung-Tây Nguyên, năm 2010 ghi nhận có 167 trường hợp và 6 tháng đầu năm 2011 phát hiện có 187 trường hợp nhiễm ký sinh trùng sốt rét phối hợp. Cần quan tâm đến vấn đề này để phát hiện, điều trị sốt rét hiệu quả.
Ở châu Phi, vùng cận nhiệt đới hay gặp các lam máu nhiễm phối hợp 2 chủng loại Plasmodium falciparum và Plasmodium malariae; ở Tây Phi gặp các trường hợp nhiễm phối hợp Plasmodium falciparum và Plasmodium ovale; ở Bắc Phi, châu Á, châu Mỹ La tinh thường gặp nhiễm Plasmodium falciparum kết hợp với Plasmodium vivax.
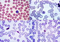
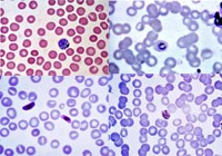
Ở những vùng sốt rét lưu hành có sự hiện diện song hành của hai chủng loại ký sinh trùng Plasmodium falciparum và Plasmodium vivax, thường gặp sự nhiễm phối hợp cả 2 chủng loại ký sinh trùng sốt rét này trên cùng một lam máu lấy từ một bệnh nhân nhưng bao giờ cũng có một chủng loại ký sinh trùng thống trị. Tại Việt Nam cũng hay gặp nhiễm phối hợp Plasmodium falciparum và Plasmodium vivax. Ký sinh trùng Plasmodium falciparum thường là chủng loại thống trị nên thường quan tâm đến nó khi có chỉ định điều trị. Rất hiếm khi phát hiện có cả 3 chủng loại ký sinh trùng sốt rét trên cùng một lam máu xét nghiệm của bệnh nhân.
Bệnh nhân sốt rét do nhiễm phối hợp nhiều chủng loại ký sinh trùng sốt rét sẽ làm cho bệnh cảnh lâm sàng không điển hình. Do vậy việc chẩn đoán bệnh sẽ khó hơn và nếu bỏ sót, sốt rét do Plasmodium falciparum rất nguy hiểm vì sẽ dẫn đến sốt rét nặng và ác tính.
Trong chẩn đoán chủng loại ký sinh trùng sốt rét, nhất là trong các trường hợp nghi ngờ có phối hợp hai chủng loại ký sinh trùng; các cơ sở y tế cần phải thận trọng xác định được những đặc điểm hình thể của từng chủng loại ký sinh trùng sốt rét trên lam máu xét nghiệm và phải có sự hiện diện của nhiều thể loại ký sinh trùng thuộc nhiều giai đoạn phát triển. Điều quan trọng là ít nhất lam máu này phải được 3 xét nghiệm viên soi bằng kính hiển vi ở những thời điểm khác nhau và không được biết trước khi soi về sự có mặt của chủng loại ký sinh trùng sốt rét nào có mặt trong lam máu đó. Một yếu tố cũng quyết định nữa là hình ảnh dịch tễ trong sự phân bố chủng loại ký sinh trùng sốt rét của khu vực có liên quan trong vài chục năm qua và địa điểm phát hiện lam máu có sự nhiễm phối hợp chủng loại ký sinh trùng sốt rét.
Hiện nay nhiều địa phương trọng điểm sốt rét trên cả nước có sự hỗ trợ của Dự án Quỹ Toàn cầu Phòng chống sốt rét Việt Nam (Vgfmalaria) đã được trang bị kỹ thuật xét nghiệm nhanh Combo test. Kỹ thuật này giúp phát hiện nhanh cả 4 chủng loại ký sinh trùng sốt rét gây bệnh ở người. Kết quả dương tính đối với Plasmodium falciparum cho một biểu hiện riêng nhưng kết quả dương tính đối với chủng loại Plasmodium vivax, Plasmodium malariae và Plasmodium ovale thường cho một biểu hiện chung. Do đó đối với các trường hợp này, cần thực hiện việc xét nghiệm lam máu soi bằng kính hiển vi để xác định rõ chủng loại nhiễm phối hợp cùng với Plasmodium falciparum để ghi kết quả cụ thể.
Việc điều trị bệnh nhân bị nhiễm ký sinh trùng sốt rét phối hợp có Plasmodium falciparum lẽ dĩ nhiên phải ưu tiên giải quyết chủng loại này trước vì đây có thể nói là chủng loại ký sinh trùng sốt rét thống trị trong nhiễm sốt rét phối hợp. Nếu không quan tâm đến vấn đề nầy, sốt rét ác tính sẽ xảy ra và gây hậu quả tử vong.