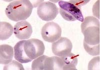
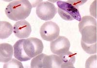
Một nghiên cứu hôm nay đăng trên tạp chí mBio cho thấy, ngoài việc lưu hành trong máu, Plasmodium vivax - một loại ký sinh trùng gây bệnh sốt rét, cũng tích lũy trong tủy xương.P. vivax gây ra hầu hết các ca nhiễm sốt rét bên ngoài vùng cận Sahara, châu Phi và là gánh nặng y tế công cộng đáng kể. Mặc dù, không gây tử vong nhiều như P. falciparum nhưng P. vivax vẫn lây nhiễm hàng chục nghìn người mỗi năm, đôi khi dẫn đến các triệu chứng nghiêm trọng và tử vong đã được báo cáo ở Ấn Độ và một số quốc gia châu Á.
Đây là lần đầu tiên KSTSR P. vivax được phát hiện trong tủy xương và khám phá này vẽ ra một bức tranh “ngấm ngầm” hơn về ký sinh trùng này. Bằng cách sử dụng tủy xương làm ổ chứa, ký sinh trùng sốt rét có thể nhân lên hầu như không bị phát hiện ở người. Các giao bào của P. vivax, loại tế bào cần thiết cho sự lan truyền, trưởng thành nhanh chóng trong tủy xương và có thể được truyền đến muỗi trước khi bắt đầu khởi phát bệnh.
Các nhà khoa học, chủ yếu đến từ Mỹ đã khám phá ra bằng cách nghiên cứu các bản sao của P. vivax để xác định các protein sinh ra trong máu tương ứng với các giai đoạn khác nhau của chu kỳ ký sinh trùng sốt rét. Sau đó, họ lấy mẫu máu từ những bệnh nhân bị sốt rét, cho thấy một phần nhỏ trong các giai đoạn sống của P. vivax đã được biểu hiện không đúng cách trong máu, có nghĩa là chúng tích lũy ở đâu đó trong cơ thể.
Các nhà khoa học đã thực hiện khám nghiệm tử thi trên 14 con khỉ đã chết vì nhiễm sốt rét, lấy mẫu mô từ tủy xương, phổi, gan, não, ruột non và mô mỡ động vật. Một tỷ lệ lớn P. vivax có mặt trong tủy xương. Chúng tôi nghĩ rằng đây là một kiểu hình được bảo tồn trong ký sinh trùng Plasmodium spp. Về cơ bản tủy xương là một nguồn cung cấp lớn cho sự phát triển và lây truyền ký sinh trùng - Matthias Marti, Tiến sĩ nói với CIDRAP News. Marti là tác giả chính của nghiên cứu và là giáo sư tại Trường Y tế Công cộng Harvard và Đại học Glasgow và chính Marti cho biết P falciparum cũng đã được tìm thấy tích tụ trong tủy xương.
Tủy xương là mục tiêu hay đích mới
Chúng tôi cần các công cụ chẩn đoán mới để ước tính gánh nặng ký sinh trùng trong tủy từ các chỉ dấu trong máu, vì chẩn đoán tủy xương trực tiếp là không khả thi - Marti nói. Mặc dù khoa học hiện vẫn chưa phát hiện ra ở đó nhưng mục tiêu nhắm vào tủy xương và các giao bào của ký sinh trùng có thể là một sự thay đổi cuộc chơi trong việc làm giảm gánh nặng bệnh sốt rét, ông nói thêm.
Giao bào ký sinh trùng không gây bệnh cho bất kỳ ai nhưng chúng có tác động gây ra sự lan truyền bệnh – Bác sỹ Anne Parker Frosch từ Khoa Truyền nhiễm và Y tế quốc tế tại Đại học Minnesota giải thích. Thuốc giết chết các giao bào, do đó nhắm mục tiêu vào giao bào có thể làm gián đoạn sự lan truyền."