Thời gian qua, nhiều nghiên cứu và thực hành lâm sàng vẫn cho rằng vấn đề sốt rét có hạ đường huyết do sốt rét ác tính, sốt rét nặng hay trên phụ nữ mang thai, bệnh nhân sốt rét có sử dụng thuốc quinine và quinidine, song trong nghiên cứu dưới đây, chúng ta còn được biết thêm một cơ chế gây hạ đường huyết nữa là do mật độ ký sinh trùng sốt rét thì khả năng tiêu thụ đường cũng cao hơn nên cũng làm giảm đường huyết, đồng thời mật độ KSTSR cao sẽ tấn công và làm thương tổn nhu mô tuyến tụy dẫn đến tăng hàm lượng insuline cũng dẫn đến hạ đường huyết trên bệnh nhân.
Nhóm tác giả gồm Supattra Glaharn, Chuchard Punsawad, Stephen A. Ward và Parnpen Viriyavejakul vừa đăng tải trên trang https://www.nature.com/ về kết quả nghiên cứu bệnh học tuyến tụy bệnh nhân nhiễm ký sinh trùng sốt rét Plasmodium falciparum.
Hạ đường huyết là một biến chứng quan trọng do nhiễm sốt rét Plasmodium falciparum, có thể gây tử vong nếu không được điều trị. Mức độ giảm đường trong máu (blood sugar-BS) tương quan với mức độ nghiêm trọng của bệnh, tình trạng nhiễm ký sinh trùng cũng nhưloại thuốc sốt rét sử dụng.
Nghiên cứu này phát hiện ra mối quan hệ giữa bệnh lý tuyến tụy, bao gồm các biểu hiện của nồng độ insulin và glucagone trong các tiểu đảo Langerhans ở tụy và mức đường huyết của bệnh nhân sốt rét nhiễm P. falciparum. Mô tụy bệnh nhânsốt rét được chia thành ba nhóm, nhóm bệnh nhân có chỉ số BS < 40 mg/dl, BS từ 40-120 mg/dl và BS> 120 mg/dl

Tổn thương nhu mô tuyến tụy và tăng insuline dẫn đến tính trạng hạ đường huyết
Khi bị nhiễmký sinh trùng sốt rét P. falciparum, mô tụy xuất hiện nhiều tế bào hồng cầu nhiễm ký sinh trùng (PRBCs) trong các mao mạch, bị phù nề, hoại tử tuyến nang vàcác tế bào viêm. Kích thước tiểu đảoLangerhans và biểu hiện insulin tăng lên đáng kể ở những bệnh nhân sốt rét do P. falciparum bị hạ đường huyết. Ngoài ra, biểu hiện chỉ số insulin tương quan tỷ lệ thuận với kích thước tiểu đảo và tương quan tỷ lệ nghịch với mức đường huyết. Nghiên cứu có tính tiên phong này cho thấy có sự gia tăng biểu hiện insulin và tăng kích thước tiểu đảo Langerhans ở bệnh nhân hạ đường huyết do nhiễm sốt rét P. falciparum. Sự tăng insulin và biểu hiện kích thước tiểu đảo Langerhansgóp phần gây nên chứng bệnh hạ đường huyết và cung cấp bằng chứng về nhu cầu cấp thiết quản lý hiệu quả chứng hạ đường huyết trong bệnh nhân sốt rét (BNSR).
Các thay đổi mô bệnh học tuyến tụy ở bệnh nhân sốt rétP.falciparum
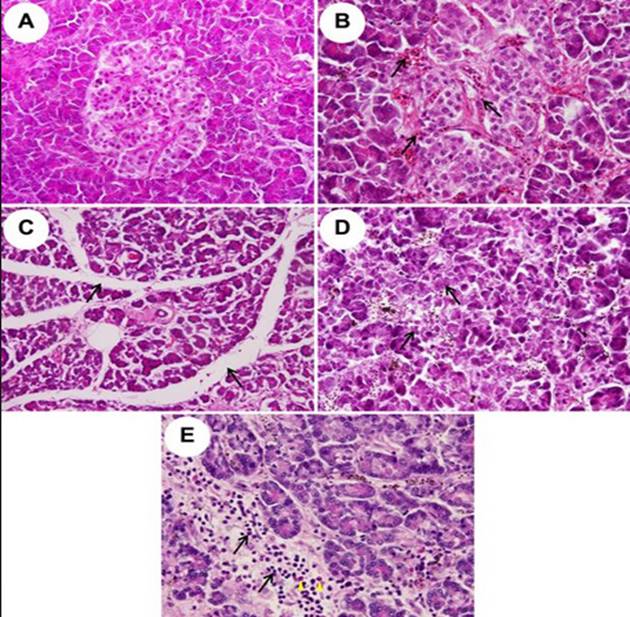
Mô tụy bệnh nhân nhiễm KSTSR loại P.falciparum thường bị phù nề, hoại tử tuyến nang và các phản ứng viêm, thêm vào đó là sự xuất hiện các tế bào hồng cầu nhiễm bệnh (PRBCs). Tuy nhiên, không có sự khác biệt thống kê tổng trong thay đổi mô bệnh học giữa bệnh nhân sốt rét và nhóm đối chứng (p =0,392). Bệnh học mô tụy của bệnh nhân sốt rét và mô tụy người bình thường được minh họa trong hình 1. Mô tụy ở người bình thường có các tiểu đảo Langerhans không thay đổi kích thước và các tế bào nang tuyến tạo nên tuyến ngoại tiết (hình 1A).
Số tiểu đảo tuyến tụy trong bệnh nhân sốt rét giống với nhóm đối chứng (1-2 tế bào/mm2). Nhiều PRBCs được tìm thấy trong mao mạch tuyến tụy của bệnh nhân số rét nặng (hình 1B). Phù nề có đặc điểm là do sự nở rộng gian tiểu thùy của tụy và các khoảng nội tuyến (hình 1C).
Có sự khác nhau đáng kể về phù nề tụy giữa bệnh nhân sốt rét và nhóm đối chứng (p = 0,002), đặc biệt ở bệnh nhân sốt rét với mức đường huyết < 40 mg/dl (p = 0,004) và bệnh nhân có BS từ 40 - 120 mg/dl (p = 0,004).
Sự hoại tử tế bào nang tuyến tụy được cho là các tế bào mất nhân bắt màu nhuộm nhạt và rối loạn chức năng có thể nhìn thấy, gây biến dạng nhu mô tuyến tụy (Hình 1 D). Hoại tử tế bào tuyến nang được tìm thấy ở tất cả các nhóm bệnh nhân sốt rét so với nhóm chứng (p<0,001).

Hình 2
Sự hiện diện rất nhiều tế bào viêm, đặc biệt là các tế bào lympho, bạch cầu trung tính và đôi khi là bạch cầu ái toan trong vách ngăn gian tiểu thùy và các vùng nội tuyến ở tất cả các bệnh nhân sốt rét so với nhóm chứng (p = 0,011) (Hình 1E). Chứng xơ hóa không xuất hiện trong tụycủa các bệnh nhân sốt rét. Các vùng xuất huyết trong nhu mô tuyến tụy và hoại tử mỡ trong mô gần tụy đôi khi được tìm thấy ở bệnh nhân sốt rét so với tuyến tụy bình thường (p = 0,166 và p = 0,067). Việc định lượng tổng các thay đổi mô bệnh học tuyến tụy của bệnh nhân sốt rét được so sánh với nhóm chứng được thể hiện trong Bảng 1.
Các thay đổi mô bệnh học tuyến tụy trong bệnh nhân nhiễm P. falciparum. Tuyến tụy bình thường không đánh dấu tiểu đảo Langerhans và các tế bào ngoại tiết không bị ảnh hưởng (A, x400).

Hình 3
Các thay đổi tuyến tụy gồm sự xuất hiện các tế bào hồng cầu nhiễm (PRBCs) trong các mao mạch tuyến tụy (mũi tên B, x400), phù nề trong các khoảng gian tiểu thùy và khoảng nội tuyến của nhu mô tuyến tụy (mũi tên C, x200), hoại tử tuyến ngoại tiết (mũi tên D, x400) và sự hiện diện của tế bào lympho (mũi tên E) và bạch cầu ái toan (mũi tên E) trong các khoảng gian tiểu thùy.
Đánh giá kích thước tiểu đảo tuyến tụy

Hình 4
Kích thước tiểu đảo tuyến tụy (µm) ở bệnh nhân nhiễm P.falciparum. Có sự khác nhau đáng kể giữa các nhóm bệnh nhân có mức đường huyết (A) và sự tương quan tỷ lệ nghịch giữa kích thước tiểu đảo tuyến tụy và mức đường huyết (B).
Biểu hiện thay đổi hàm lượng insulin và glucagon
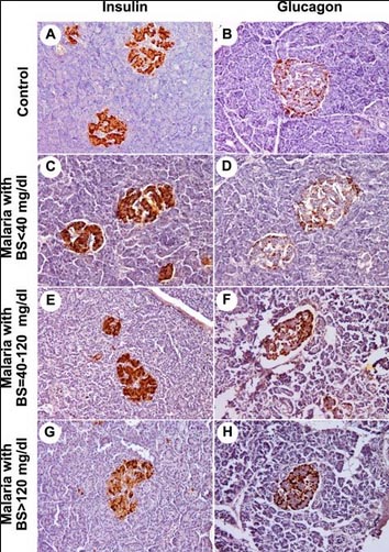
Các tế bào biểu hiện insulin và glucagon có bào tương màu nâu trong tiểu đảo Langerhans. Nói chung, biểu hiện insulin được thấy tại trung tâm của các tiểu đảo tụy, trong khi biểu hiện glucagon ở ngoại biên tiểu đảo (hình 3A,B). Trong nghiên cứu này, biểu hiện insulin đặc biệt cao ở nhóm bệnh nhân nhiễm P.falciparum bị hạ đường huyết (hình 3C) và những bệnh nhân có mức đường huyết 40-120 mg/dl (hình 3E) so sánh với nhóm chứng.
Xu hướng giảm biểu hiện insulin được phát hiện khi nhiễm sốt rét có hạ đường huyết (hình 3G). Đối với biểu hiện glucagon, màu nhuộm dương tính yếu tìm thấy ở bệnh nhân sốt rét hạ đường huyết (hình 3D), trong màu nhuộm dương trung bình ở nhóm bệnh nhân P.falciparum có mức đường huyết 40-120 mg/dl (hình 3F) va nhóm hạ đường huyết (hình 3H). Không có sự khác biệt đáng kể về biểu hiện glucagon giữa các bệnh nhân sốt rét và nhóm đối chứng (p =0,386). Tổng giá trị thống kê biểu hiện insulin và glucagon trình bày trong hình 4. Có sự tương quan tỷ lệ nghịch lớn giữa mức đường huyết và trị thống kê biểu hiện insulin tổng (hình 5A). Thêm vào đó, biểu hiện insulin có sự tương quan trực tiếp với kích thước tiểu đảo tuyến tụy Langerhans (hình 5B).
Nhuộm miễn dịch mô hóa học tế bào biểu hiện insulin và glucagon. Các khoảng đường huyết đại diện trong tuyến tụy người được nhuộm miễn dịch isulin (bên trái) và glucagon (bên phải) của mô tụy bình thường (A và B), mô tụy của bệnh nhân nhiễm P.falciparum có mức đường huyết BS < 0 mg/dl (C và D), mô tụy có mức đường huyết BS > 120 mg/dl (G và H).

Hình 5
Biểu hiện insulin (A) và glucagon (B) ở bệnh nhân sốt rét P. falciparum và nhóm đối chứng. Biểu hiện isulin tăng đáng kể trong nhóm bệnh nhân sốt rét có mức đường huyết BS < 40 mg/dl và nhóm bệnh nhân có mức đường huyết BS từ 40 - 120 mg/dl so sánh với nhóm đối chứng. Không có sự khác nhau đáng kể về biểu hiện glucagon trong tất cả các nhóm.

Hình 6
Sự tương quan giữa mức đường huyết BS và tổng giá trị thống kê của biểu hiện isulin (A);
giữa kích thước tiểu đảo Langerhans và giá trị thống kê tổng của biểu hiện isulin ở bệnh nhân sốt rét P.falciparum (B).
Các thay đổi mô học tuyến tụy ở bệnh nhân nhiễm sốt rét P.falciparum được chứng minh trong nghiên cứu này gồm phù nề trong các khoảng tiểu gian thùy và nội tuyến, hoại tử tế bào tuyến nang và các phản ứng viêm. Mặc dù những thay đổi này thường xảy ra ở bệnh nhân sốt rét P.falciparum bị hạ đường huyết (bị phù nề và hoại tử), nhưng các thay đổi mô học tương tự cũng được báo cáo trong một số bệnh truyền nhiễm khác, gồm sốt xuất huyết, xoắn khuẩn vàng da và bệnh lê dạng trùng. Một số ít nghiên cứu đã báo cáo về cơ chế sinh bệnh mô tụy ở bệnh nhân sốt rét ác tính.

Hình 7
Các cuộc khám nghiệm tử thi ít ỏi trước đó cho thấy tuyến tụy bị phình to với rất ít dịch lỏng trong các khoang màng bụng, các biểu hiện lâm sàng liên quan đến viêm tuyến tụy và hoại tử mô tụy. Nghiên cứu của chúng tôi giống với các báo cáo nghiên cứ trên động vật được gây nhiễm các loài ký sinh trùng sốt rét khác. Trong một nghiên cứu về loài sốt rét P.berghei ở chuột phát hiện các phản ứng viêm cấp tính ở tuyến ngoại tiết, các tế bào tiểu đảo và ống gian tiểu thùy. Một nghiên cứu khác trên loài khỉ Macaca mulatta được gây nhiễm loài sốt rét P.knowlesi cho thấy có hoại tử nang tuyến nang và sự biến mất các tiểu đảo tuyến tụy.

Hình 8
Thêm vào đó, chứng hạ đường huyết cũng xảy ra trong các nghiên cứu trên động vật nhiễm P.knowlesi. Các tế bào chống viêm như lympho bào và bạch cầu trung tínhlà những tế bào có vai trò then chốt trong ức chế sự sinh sôi của ký sinh trùng sốt rét, góp phần trong quá trình loại trừvà tiêu diệt ký sinh trùngsau đó thông qua quá trình thực bào và/hoặc sản xuất các chất chống viêm trung gian. Chứng xơ hóa, chảy máu và hoại tử mỡ trong các mô tụy đã không còn là biến chứng điển hình của bệnh nhân sốt rét P.falciparum.
Sự hiện diện của PRBCs trong các mao mạch có thể gây tăng độ nhớt máu. Hơn nữa, ký sinh trùng sốt rét trong hồng cầu có thể làm giảm tính linh động màng hồng cầu. Các rối loạn tuần hoàn máu này dẫn đến giảm oxy mô, giảm giải phóng các enzym nang tuyến tụy, giảm tính mao dẫn và giảm dẫn lưu tĩnh mạch, các rối loạn này sau đó sẽ gây hoại tử và xuất huyết tuyến tụy. Đặc điểm của chứng xơ cứng là do sự tích tụ các chất ở môi trường ngoại bào và tăng phản ứng sợi nguyên bào. Mặc dù chứng xơ cứng tuyến tụy ít xảy ra ở bệnh nhân sốt rét P.falciparum, có thể vì tính cấp tính của bệnh sốt rét, một nghiên cứu trước đó cho thấy mức đường huyết cao có thể kích thích sự phát triển mạnh mẽ các tế bào hình sao trong tuyến tụy và sau đó là sự gia tăng sản xuất sợi nguyên bào.
Tăng kích thước tiểu đảo tụy do nhiễm sốt rét thể ngủ hoặc đôi khi là do các thuốc điều trị sốt rét, cần được nghiên cứu sâu hơn. Tuy nhiên, hiện tượng phình to tiểu đảo tụy có thể góp phần gây nên chứng tăng insulin và hạ đường huyết sau đó trong bệnh nhân sốt rét P.falciparum. Nghiên cứu này sử dụng các phương pháp miễn dịch mô hóa học để chứng minh biểu hiện của insulin và glucagon về tính phân bố và hàm lượngtrong mô tụy ở bệnh nhân sốt rét P.falciparum.

Hình 9
Tương tự với các kết quả nghiên trước đó, các tế bào dương tính miễn dịch insulin xuất hiện với mật độ cao ở phần trung tâm tiểu đảo Langerhans, trong khi các tế bào tiểu đảo biểu hiện glucagon thường được phát hiện ngoại vi tiểu đảo tụy.
Sự gia tăng biểu hiện insulin ở bệnh nhân sốt rét do P. falciparum gây hạ đường huyết có thể không quan trọng bằng do chính ký sinh trùng sốt rét gây ra, thay đổi quá trình tân tạo đường, ảnh hưởng của các cytocin trong thời gian nhiễm ký sinh trùng và tổn thương thận.

Hình 10
Ký sinh trùng sốt rét trong máu cần glucose từ vật chủ để tạo ra năng lượng chủ yếu thông qua con đường đường phân hiếu khí để phục vụ cho sự sống của chúng. Một báo cáo trước đây cho thấymật độ nhiễm ký sinh trùng sốt rét cao sẽ có nhu cầu đường huyết cao, điều này có thể dẫn đến giảm đường huyết lâm sàng. Các thuốc điều trị sốt rét như quinine và quinidine có ảnh hưởng đến sự chuyển hóa glucose trong bệnh nhân sốt rét, gây giảm mức đường huyết. Hầu hết bệnh nhân được điều trị bằng thuốc quinin.
Quinin đã được báo cáo là có kích thích bài tiết isulin mạnh hơn quinidin. Tác động của các thuốc này giống gluco về tính thấm kali của màng tế bào beta, làm cho canxi đi vào tế bào và insulin ra khỏi tế bào gây nên hạ đường huyết.

Hình 11
Chúng ta chấp nhận rằng quinin/quinilin làm giảm mức insulin và vẫn được sử dụng trong các vùng sốt rét lưu hành và ở các nơi không có artesunat. Từ dữ liệu nghiên cứu, chúng tôi đề nghị thận trọng trong sử dụng quinin/quinidin tại các khu vực này cũng như khuyến cáo giám sát chặt chẽ mức đường huyết của bệnh nhân sốt rét.

Hình 12
Các thuốc sốt rét khác như chloroquin, amodiaquin, mefloquin và halofantrin không ảnh hưởng trực tiếp lên sự bài tiết insulin. Thú vị là con đường tân tạo glucose bị rối loạn ở bệnh nhân sốt rét P.falciparum ác tính vì không đủ cơ chất galactose, điều này làm giảm mức đường huyết. Ảnh hưởng của các cytokin giải phóng trong thời gian nhiễm sốt rét như yếu tố hoại tửmô ung thư, interleikin-1 và interleukin-6 có thể ức chế hoạt động của men phosphoenolpyruvate carboxykinase của con đường tân tạo glucose và cũng là chất trung gian làm giảm glycogen gan, vì thế làm giảm đường huyết.
Thêm vào đó, IL-1 và IL-6 kích thích tăng sản xuất tế bào tiểu đảo. Các nhà nghiên cứu cho rằng IL-1 và IL-6 được giải phóng trong thời gian nhiễm ký sinh trùng sốt rét có thể gây tăng sinh tế bào tiểu đảo dẫn đến phình to các tiểu đảo tụy và sau đó gia tăng biểu hiện insulin. Hơn nữa, thận là một là một cơ quan có vai trò quan trọng trong việc điều hòa glucose cơ thể. Khi có tổn thương thận cấp tính vì sốt rét ác tínhdo P.falciparum sẽ ảnh hưởng đến quá trình giải phóng và tái hấp thu glucose, dẫn đến hạ đường huyết.
Duy trì mức đường huyết bình thường là một quá trình có tính sống còn trong chuyển hóa của cơ thể sống. Nhiễm các loài ký sinh trùng khác đã được báo cáo là gây ra hạ đường huyết, như bệnh trùng mũi khoan ở người và động vật; và bệnh Chagas (ảnh hưởng tim và thần kinh do ký sinh trùng) thử nghiệm trên chuột. Mặc dù các nghiên cứu này cho thấy chứng hạ đường huyết không phải là nguyên nhân chính gây tử vong, hạ đường huyết ở bệnh nhân sốt rét ác tínhP.falciparum là một triệu chứng lâm sànggóp phần đáng kể làm tăng cao tỷ lệ tử vong.
Nghiên cứu tiên phong này chứng minh có sự biểu hiệngia tăng insulin và tăng kích thước tiểu đảo tụy trong các bệnh nhân sốt rét P.falciparum bị hạ đường huyết. Nghiên cứu này sẽ hữu ích để các nhà nghiên cứu lâm sàng hiểu biết và quản lý quá trình hạ đường huyết ở bệnh nhân sốt rétP.falciparum ác tính. Nghiên cứutrình bày các thay đổi miễn dịch và mô học của mô tuyến tụy nhiễm ký sinh trùng sốt rét.