Để chẩn đoán bệnh sốt rét bằng ký sinh trùng học, một kỹ thuật cơ bản, cổ điển và thường quy thường được các cơ sở y tế thực hiện là xác định hình thể của ký sinh trùng sốt rét theo phương pháp Romanovski bằng cách lấy tiêu bản lam máu, nhuộm giemsa và soi phát hiện dưới kính hiển vi quang học.
Cho đến nay, phương pháp này vẫn được xem là phương pháp chẩn đoán ký sinh trùng sốt rét thuận tiện nhất vì cơ sở y tế nào cũng có thể trang bị được phương tiện, dụng cụ, trang thiết bị kỹ thuật; kể cả các trạm y tế xã, phường, thi trấn. Tuy nhiên, các xét nghiệm viên thực hiện công việc này phải cần chú ý để bảo đảm đúng kỹ thuật và thời gian yêu cầu lấy tiêu bản lam máu.
- Lam máu xét nghiệm phải được lấy trước khi cho bệnh nhân uống thuốc sốt rét vì thuốc có thể làm giảm mật độ ký sinh trùng sốt rét dưới ngưỡng phát hiện.
- Có thể lấy lam máu xét nghiệm bất cứ lúc nào nhưng lấy máu vào lúc bệnh nhân đang lên cơn sốt thì cơ hội có nhiều ký sinh trùng sốt rét xuất hiện mới dễ phát hiện.
- Nên thực hiện một giọt máu dày và một giọt máu mỏng trên cùng một lam kính. Giọt máu dày có nhiều ký sinh trùng sốt rét nên giúp cho việc chẩn đoán nhanh. Giọt máu mỏng giúp cho việc định loại ký sinh trùng sốt rét.
- Chỉ nên kết luận lam máu âm tính khi đã xét nghiệm đủ 100 vi trường ở giọt máu dày mà không tìm thấy ký sinh trùng sốt rét. Khi đã tìm thấy một chủng loại ký sinh trùng sốt rét, vẫn phải tiếp tục tìm phát hiện xem có chủng loại ký sinh trùng sốt rét khác phối hợp không.
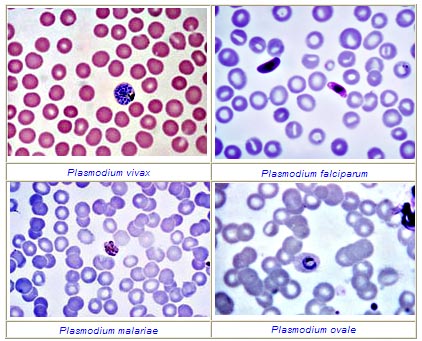
- Đối với chủng loại ký sinh trùng sốt rét Plasmodium vivax, Plasmodium malariae, Plasmodium ovale có thể thấy tất cả các thể vô tính của ký sinh trùng ở máu ngoại vi. Đối với chủng loại ký sinh trùng sốt rét Plasmodium falciparum thường chỉ thấy thể tư dưỡng, thể giao bào; trường hợp bệnh rất nặng hoặc bị sốt rét ác tính mới có thể bắt gặp các thể khác.
- Việc đánh giá mật độ ký sinh trùng sốt rét theo định tính được thực hiện đơn giản trên giọt máu dày với độ phóng đại của kính hiển vi quang học từ 500 đến 600 lần. Ký hiệu xác định bằng dấu cộng (+) theo quy định:
+: có từ 1 đến 10 ký sinh trùng sốt rét/ 100 vi trường
++: có từ 11 đến 100 ký sinh trùng sốt rét/ 100 vi trường
+++: có từ 1 đến 10 ký sinh trùng sốt rét/ 1 vi trường
++++ : có trên 10 ký sinh trùng sốt rét/ 1 vi trường
Để bảo đảm độ chính xác trong đánh giá mật độ ký sinh trùng sốt rét, các cơ sở y tế ở tuyến trên thường thực hiện việc ghi mật độ bằng máy đếm cầm tay theo định lượng, xác định số lượng ký sinh trùng sốt rét/ mm3 máu theo công thức tính toán.
- Khả năng phát hiện ký sinh trùng sốt rét cũng tùy thuộc vào vị trí lấy máu như:
Lấy máu ở tủy xương có khả năng phát hiện ký sinh trùng sốt rét cao nhất nhưng kỹ thuật lấy máu phức tạp nên ít khi được sử dụng. Kỹ thuật này chỉ sử dụng đối với trường hợp các đối tượng bệnh nhân sốt rét dai dẳng, khó tìm thấy ký sinh trùng sốt rét trong máu ngoại vi.
Lấy máu ở trong da cũng có khả năng phát hiện ký sinh trùng sốt rét cao. Khi soi tiêu bản lam máu có thể phát hiện được tất cả các thể vô tính của ký sinh trùng như quá trình phát triển của ký sinh trùng sốt rét trong các vi mạch máu ở não. Tuy nhiên kỹ thuật lấy máu cũng phức tạp và kết quả chỉ có tính chất định tính, thường sử dụng kết quả xét nghiệm để tiên lượng bệnh nhân trong các trường hợp sốt rét ác tính.
Lấy máu ngoại vi thường dễ dàng làm tiêu bản lam máu, mọi đối tượng đều có thể áp dụng được. Tuy vậy, khả năng phát hiện ký sinh trùng sốt rét không cao.
Nhược điểm của phương pháp lấy tiêu bản lam máu, nhuộm giemsa và soi phát hiện hình thể ký sinh trùng sốt rét dưới kính hiển vi quang học là cần có thời gian đào tạo xét nghiệm viên đảm nhận công việc, trung bình phải mất khoảng hai năm để đào tạo nên khá tốn kém. Sau khi được đào tạo, nếu xét nghiệm viên không được đào tạo lại hoặc thường xuyên thực hiện kỹ thuật xét nghiệm phát hiện có thể quên hình thể của ký sinh trùng sốt rét, dẫn đến việc xác định bị nhầm lẫn, sai sót. Chất lượng kết quả phương pháp xét nghiệm này phụ thuộc vào trình độ, năng lực của xét nghiệm viên nên thường không khách quan. Vì vậy công tác tập huấn, đào tạo lại kỹ năng thực hành cho các xét nghiệm viên ở những cơ sở y tế là một hoạt động cần thiết phải được thực hiện hàng năm; đặc biệt đối với xét nghiệm viên còn yếu kém được phát hiện qua công tác kiểm tra kỹ thuật lam máu định kỳ ở tuyến dưới.
|
Kính hiển vi |
Mặc dù phương pháp chẩn đoán ký sinh trùnng sốt rét này là một kỹ thuật cổ điển, truyền thống nhưng cho đến nay nó vẫn còn mang những giá trị nhất định, nhất là các cơ sở y tế ở tuyến đầu chưa có điều kiện để trang bị các phương tiện chẩn đoán hiện đại.