Liên quan đến thông tin xuất hiện tình trạng ký sinh trùng sốt rét (SR) Plasmodium falciparum kháng thuốc với thuốc tiêm chống SR đặc hiệu Artesunate trên bệnh nhân Bộ Y tế vừa đưa ra, P.V Báo Bình Định đã trao đổi nhanh với PGS-TS. Triệu Nguyên Trung, Viện trưởng Viện SR- Ký sinh trùng- Côn trùng Quy Nhơn.
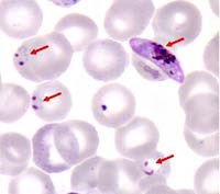
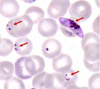
PGS-TS. Triệu Nguyên Trung cho biết: Trong 4 loài ký sinh trùng SR được xác định là tác nhân gây bệnh SR ở người (P.falciparum, P.vivax, P.ovale, P.malariae) thì P.falciparum được xác định là chủng đa kháng thuốc chống SR. Nguy hiểm hơn, P.falciparum còn là loài duy nhất có khả năng gây SR ác tính và tử vong, nên đây có thể coi đây là một trong những khó khăn trong chương trình phòng chống SR ở nước ta. Artesunate là một trong những dẫn chất của Artemisinine, đã được thông báo kháng với P.falciparum ở tỉnh Bình Phước (14%). Tuy nhiên thông tin P.falciparum kháng thuốc với thuốc tiêm chống SR đặc hiệu Artesunate cần được xem xét lại vì còn liên quan đến quy cách pha thuốc và cách dùng thuốc.
*Nguyên nhân kháng thuốc là do đâu, thưa ông?
- Nguyên nhân kháng thuốc là do sự đột biến gen hoặc chọn lọc tự nhiên của ký sinh trùng SR di truyền qua nhiều thế hệ qua quá trình tiếp xúc với thuốc điều trị, dùng thuốc SR không đủ liều, điều trị dự phòng hàng loạt trên diện rộng mà không có sự kiểm soát chặt chẽ, làm cho ký sinh trùng dần thích nghi với thuốc điều trị...
*Liệu Bình Định có nguy cơ này không?
 |
PGS-TS Triệu Nguyên Trung |
- Miền Trung - Tây Nguyên là “điểm nóng” về SR của cả nước vì gần 50% số mắc và trên 80% số chết trong tổng số ca tử vong do SR hàng năm trong cả nước, nên có thể nói, nếu giải quyết được SR ở khu vực này thì coi như giải quyết được tình hình SR trên phạm vi toàn quốc. Bình Định là một trong những tỉnh thuộc khu vực có đặc điểm tự nhiên - xã hội thuận lợi cho bệnh SR phát triển và lan truyền quanh năm; vùng rừng núi tiếp giáp với vùng đồng bằng, đô thị nên diện giao lưu vào vùng SR lưu hành lớn; nhiều khó khăn kỹ thuật (ký sinh trùng SR kháng thuốc, muỗi SR thay đổi sinh thái hoạt động…) nên cũng có nguy cơ tương tự.
*Vậy Viện đã có giải pháp gì để ứng phó khi tình trạng kháng thuốc SR xảy ra?
- Việc nghiên cứu và theo dõi SR kháng thuốc, đánh giá hiệu lực thuốc điều trị SR hiện dùng là một trong những nhiệm vụ thường xuyên của Viện nhằm giúp Bộ Y tế có cơ sở ban hành “Hướng dẫn chẩn đoán và điều trị SR” phù hợp với từng giai đoạn và đề ra chiến lược sử dụng thuốc hợp lý. Viện đã xác định các mức độ Plasmodium falciparum kháng thuốc chloroquine, fansidar, mefloquine, amodiaquine ở khu vực, hiệu lực Artemisinine và dẫn chất Artesunate điều trị SR kháng thuốc, hiệu lực các thuốc phối hợp ACT đưa vào thay thế các thuốc đã kháng trong chương trình…
Trước tình trạng Plasmodium falciparum kháng thuốc ngày càng lan rộng và có xu hướng kháng với các thuốc chống SR có hiệu lực cao, Viện đã và đang tăng cường thực hiện các đề tài nghiên cứu khoa học, hợp tác nghiên cứu với các tổ chức quốc tế và các đơn vị trong nước, theo dõi ký sinh trùng SR kháng thuốc và đánh giá hiệu lực các thuốc điều trị hiện dùng. Tập huấn và chỉ đạo các tuyến điều trị nâng cao chất lượng chẩn đoán, điều trị, đồng thời xây dựng dự án kiểm soát kháng thuốc giúp các tỉnh chủ động phát hiện và xử lý ngay từ cơ sở.
*Cảm ơn ông!