Sốt rét là một bệnh truyền nhiễm gây tử vong hàng đầu trên toàn cầu, nhất là các vùng nhiệt đới và cận nhiệt đới. Trong vòng 10 năm trở lại đây, sốt rét có xu hướng giảm thấp và có sự đảo nghịch cơ cấu ký sinh trùng sốt rét (KSTSR) giữa P. falciparum và P. vivax. Thành quả làm giảm mắc và tử vong, không thể phủ nhận vai trò của các thuốc chống sốt rét có hiệu lực cao và quản lý ca bệnh hiệu quả vẫn là một trong những then chốt trong lộ trình tiến tới loại trừ sốt rét trên thế giới và Việt Nam.
Điều đó cho thấy việc thường quy đánh giá hiệu lực thuốc đang sử dụng và thử nghiệm thuốc mới để cung cấp kịp thời thuốc có hiệu lực cao dựa trên y học chứng cứ. và chỉ với những thông tin như thế, Bộ Y tế có thể bảo đảm rằng quản lý ca bệnh hiệu quả.
Chloroquin trong những được dùng để điều trị nhiều bệnh lý khác nhau ngoài sốt rét, kể cả viêm khớp và thử nghiệm điều trị virus HIV-1 và ung thư. Từ lâu, thuốcchloroquin (CQ) là một thuốc cổ điển, rẻ tiền lựa chọn đầu tay trong điều trị sốt rét P. vivax với ưu điểm tác dụng nhanh, hiệu lực bền vững hơn 65 năm qua. Tuy nhiên, Tổ chức Y tế thế giới (WHO, 2015) và Mạng lưới Nghiên cứu kháng thuốc artemisinin toàn cầu (WWARN, 2015) cho thấy P. vivax đã biểu hiện dần giảm mất hiệu lực và bắt đầu kháng lan rộng với CQ, nhất là tại Indonesia, Papua New Guinea, Myanmar, Campuchia và một số quốc gia châu Phi và Nam Mỹ tiếp sau đó. Do vậy, CQ không còn khuyến cáo và bị loại khỏi danh mục thuốc thiết yếu cũng như chính sách thuốc ở các quốc gia đó và thay bằng các phác đồ thuốc phối hợp. Tại Việt Nam, một số nghiên cứu tại Bình Thuận (Phan Trần Giáo và cs., 2002), Quảng Nam (Phạm Vĩnh Thanh và cs., 2015), Bình Phước (Phùng Đức Thuận và cs., 2015) đã khẳng định thuốc CQ có dấu hiệu giảm nhạy và kháng thuốc. Liệu Việt Nam, đặc biệt tại các vùng có bệnh lưu hành, có tình trạng kháng thuốc lan rộng nữa hay không? Nghiên cứu “Đánh giá hiệu lực phác đồ chloroquin trong điều trị bệnh nhân sốt rét do Plasmodium vivax tại một số điểm miền Trung-Tây Nguyên (2014-2017)” với mục tiêu đánh giá hiệu lực và tính an toàn phác đồ chloroquin trên sốt rét P. vivax chưa biến chứng.

Hình 1
Các tác ngoại ý do thuốc CQ thường bao gồm trên thần kinh cơ, thính lực, tiêu hóa, thần kinh, da, mắt, tim mạch (hiếm) và phản ứng trên hệ huyết học. Trên lâm sàng có thể gặp:
·Thuốc tác động trên thần kinh cơ, lên cơ động kinh, co giật, điếc hay vo ve trong tai, buồn nôn, nôn mửa, tiêu chảy, đau bụng co thắt và chán ăn;
·Đau đầu nhẹ, thoáng qua
·Ngứa da, thay đổi màu sắc da, rụng tóc và ban đỏ trên da;
·Tình trạng ngứa do thuốc CQ rất thường gặp trên nhóm bệnh nhân là dân châu Phi da đen (70%), nhưng hiếm gặp hơn ở các chủng tộc khác. Nó tăng theo tuổi và khi quá nghiêm trọng dẫn đến không dùng thuốc ở bệnh nhân. Trong sốt rét, khi dùng thuốc cũng tăng tác dụng ngoại ý này, độ trầm trọng có liên quan đến mật độ ký sinh trùng sốt rét trong máu. Một số bằng chứng chỉ ra có cơ chế nền tảng di truyền và liên quan đến phản ứng của CQ với các thụ thể nhóm thuốc -opiate trung ương hay ngoại vi.

Hình 2
·Vị kim loại khó chịu: Điều này có thể tránh được bằng cách chế loại thuốc theo công thức có thể ngụy trang mùi vị và kiểm soát ly giải thuốc (‘taste-masked and controlled release’ formulations) như dạng nhũ tương đa phân;

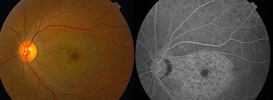
Hình 3
·Bệnh lý võng mạc do CQ: có thể phù hồi sau dùng thuốc CQ, điều này xảy ra khi dùng thuốc trong một thời gian dài trong nhiều năm hay dùng với liều cao. Các bệnh nhân dùng liệu pháp CQ kéo dài nên sàng lọc và khám sức khẻo hàng năm sau 5 năm sử dụng. Liều tối đa an toàn hàng ngày đối với nhiễm độc mắt có thể tính dựa trên chiều cao và cân nặng. Các bệnh nhân cũng nên kiểm tra mắt khi có nhìn mờ, khó tập trung hay nhìn nửa vật thể;
·Hạ huyết áp và thay đổi trên điện tâm đồ: Điều này xảy ra do rối loạn dẫn truyền (block nhánh, block nhĩ thất hay bệnh lý cơ tim – thường đi theo bệnh cơ tim phì đại, sinh lý giới hạn và bệnh suy tim sung huyết. Các thay đổi này có thể phục hồi được. Chỉ có hai ca báo cáo nghiêm trọng cần phải cấp cứu. Sinh thiết quan sát dưới kính hiển vi điên tử chỉ ra có đặc trưng bệnh có bào tương, kể cả vật thể;
·Giảm bạch cầu, thiếu máu bất sản, mất bạch cầu hạt có thể phục hồi, giảm tiểu cầu.