Phân bố địa lý của 4 loài ký sinh trùng sốt rét gây bệnh ở người: Plasmodium falciparum, P.vivax, P.malaria, P.ovale rất thay đổi và phụ thuộc vào một số yếu tố như mùa, đặc điểm dịch tễ học và phân bố vectơ truyền bệnh. P.vivax phân bố rộng nhất và loài thường gặp ở các vùng ôn đới. P.falciparum là loài chiếm tỷ lệ cao nhất ở các vùng nhiệt đới. P.malaria phân bố rãi rác khắp nơi với tỷ lệ thấp. Nhiễm bệnh do P.ovale rất thấp trừ Châu Phi nhiệt đới và một số đảo ở Tây Thái Bình Dương. Ở Việt Nam đó ghi nhận 4 trường hợp nhiễm P.ovale ở người Mỹ sau khi trở về từ Việt Nam vào những năm 1969 (kỹ thuật kính hiển vi và IFA). 3 trường hợp ghi nhận vào 1995 (kỹ thuật AO và PCR). Tuy nhiên sự hiện diện P.ovale đặc biệt phát hiện dưới kính hiển vi quang học là rất hiếm gặp ở Việt Nam.Chúng tôi báo cáo 01 trường hợp nhiễm P.ovale được phát hiện qua phương pháp nhuộm lam máu với giêm sa chẩn đoán hình thể dưới kính hiển vi quang học.
Tổng quan về phân bố ký sinh trùng Plasmodium ovale
Nhiều báo cáo cho thấy P.ovale có mặt ở một số nơi trên thế giới. Tuy nhiên phân tích đầy đủ của Lysenko và Bejaevcho thấy phân bố tự nhiên của P.ovale tập trung ở sa mạc Sahara Châu Phi và một số quần đảo Tây Thái Bình Dương.
Theo Bruce-Chwatt (1963), Gill và Warell (3rd Essential Malariology, 1993) muỗi sốt rét lan truyền ký sinh trùng P.ovale xảy ra chủ yếu ở Tây Phi, một số trường hợp được ghi nhận ở Nam Trung Hoa, Myanmar, Đông Nam Á.
Các tài liệu y văn và báo cáo cho thấy rất hiếm gặp ở Philippines (Alves, Schinazi & Aniceto, 1968). P.ovale cũng được báo cáo ở Đông New Guinea bởi Jackson (1944) và McMillian & Kelly (1967).
Ký sinh trùng P.ovale được báo cáo ở New Guinea. Jackson mô tả 2 trường hợp người Úc nhiễm bệnh sốt rét từ New Guinea. P.ovale cũng được báo cáo ở Timor, Indonesia lần đầu tiên năm 1975. P.ovale cũng được ghi nhận ở Irian Jaya, Indonesia, Flores nhưng không có ở Sumatra, Kalimantan, Java, và Sulawesi. Tại Nga, P.ovale được báo ở Moscow từ 1 bệnh nhân bị nhiễm bệnh ở Melanesia.
Một số vùng Châu Phi như ở Nam Sudan rất hiệm gặp P.ovale và chỉ có ở phía Bắc. onori thực hiện khảo sát ở Uganda cho thấy trong số 251 nhiễm P. ovale thường gặp ở trẻ nhỏ và người trưởng thành.
Báo cáo từ Châu Á cho thấyP.ovale cũng đã hiện diện ở Việt Nam, Thailand, và India.
T¹i Myanmar, ®· có báo cáo nhiÒu ca nhiÔm P.ovale b»ng ph¬ng ph¸p nhuém giªm sa, AO vµ PCR vµo n¨m 2002.
Ở Malaysia đến năm 2002 chưa có báo cáo ca nhiễm P.ovale nào nhưng đến năm 2010 đã có báo cáo 1 ca nhiễm P.ovale người Nigeria sống ở Malaysi
Tại Việt Nam, các tài liệu về nghiên cứu thành phần loài cho thấy P.falciparum là loài ký sinh trùng chiếm ưu thế, sau đó là P.vivax, nhiễm P.malariae xảy ra rãi rác ở 1 số địa phương chủ yếu các tỉnh miền Trung (Quảng Nam, Bình Định, Khánh Hòa, Gia Lai, Kon Tum, Dak Lak, Lâm Đồng, giai đoạn điều tra 1976-1978). Theo Vũ Thị Phan thì P.ovale rất hiếm gặp ở Việt Nam.
Riêng tại miền Trung-Tây Nguyên, phân tích cơ cấu ký sinh trùng sốt rét từ theo hệ thống báo cáo thường quy từ 1976-2010 cho thấy P.falciparum là loài chiếm tỷ lệ cao đến 80%, sau đó đến P.vivax gần 20%, nhiễm P.malariae với tỷ lệ thấp và chỉ tập trung ở các tỉnh Khánh Hòa, Bình Định, Nình Thuận. Đối với P.ovale. Trong giai đoạn 1976-2010 tại 15 tỉnh thuộc khu vực miền Trung-Tây Nguyên, chỉ có 1 trường hợp nhiễm được báo cáo từ tỉnh Đak Lak vào năm 1995.
Các nghiên cứu từ trước đến nay tại Việt Nam đã xác nhận có 4 trường hợp nhiễm P.ovale được báo cáo trong số lính Mỹ đóng quân ở một vị trí tại Nam Việt Nam vào giữa tháng 1/1966 đến tháng 3/1969 (Gleason N.N.). Cùng với một số nghiên cứu khác cho thấy bằng chứng rõ ràng sự tồn tại của P.ovale ở lục địa Đông Nám Á. Tất cả 4 bệnh nhân này chưa bao giờ phục vụ ở bất kỳ vùng sốt rét lưu hành và cũng không có du lịch đến các nước khác. Tiền sử bệnh cho thấy cả 4 ca nhiễm này đều do muỗi sốt rét truyền, chiếm 0,066% trong tổng số 6.036 lính Mỹ trở về trong giai đoạn này và0,11 % trong sốlam máu ở 3.686 người được xét nghiệm bởi Trung tâm bệnh truyền nhiễm Quốc gia Hoa Kỳ (the National Communicable Disease Center) cùng thời kỳ này. Trên kính hiển vi quang học, soi giọt mỏng cho thấy thể tư dưỡng và phân liệt chưa trưởng thành, thể nhẫn và giao bào rất hiếm, không tìm thấy phân liệt trưởng thành. Hình thể của ký sinh trùng là điển hình của P.ovale, hơn 50% hồng cầu nhiễm có tua lông, hình oval hoặc cả hai.
Gần đây, các nghiên cứu và khảo sát sốt rét thực địa của Kawamoto. F được thực hiện ở 4 tỉnh (Sông Bé, Lâm Đồng, Dak Lak và Khánh Hòa) từ 1994-1995 với kỹ thuật nhuộm AO (acridine orange) để chẩn đoán nhanh và kỹ thuật lai dựa trên thử nghiệm khuyếch đại chuỗi gen để chẩn đoán chính xác. Kết quả có 3 trường hợp nhiễm P. ovale được phát hiện, nhưng thử nghiệm khuyếch đại DNA của P. ovale phân lập từ 2 bệnh nhân không lai với mồi đặc hiệu P.ovale. Phân tích trình tự đích trong gen 18S rRNA gene cho thấy DNA của ký sinh trùng sốt rét phân lập từ 2 bệnh nhân cho thấy 3 nucleotides tại vùng mồi so với trình tự điển hình củaP. ovale là khác nhau, với sự loại bỏ 2 nucleotides và thay thế bằng 1 nucleotide.
Vào năm 1996, nghiên cứu của Lê Đình Công và Lê Đức Đào cũng đã thông báo có sự hiện diện của P.ovale thông qua kỹ thuật PCR tại huyện Khánh Vĩnh, tỉnh Khánh Hòa.
Phần lớn các báo cáo sau này rất ít khi nhận diện được hình thể P.ovale dưới kính hiển vi mà chủ yếu thông qua thử nghiệm sinh học phân tử PCR.
Báo cáo trường hợp nhiễm P.ovale tại Bình Thuận
Đây là trường hợp P.ovale được ghi nhận theo hệ thống kiểm tra kỹ thuật. Các giai đoạn hình thể điển hình của ký sinh trùng trên lam máu được nhuộm giêm sa cho phép khẳng định là loài P.ovale.
Hồi cứu thông tin ghi nhận tại Trạm y tế xã Phan Sơn cho thấy bệnh nhân nam giới, 27 tuổi, thường xuyên đi rừng khai thác lâm sản. Bệnh nhân đến khám bệnh tại Trạm y tế xã Phan Sơn, huyện Bắc Bình, tỉnh Bình Thuận (2008) với sốt và ớn lạnh. Khai thác tiền sử cho thấy bệnh nhân có sốt cách nhật, ớn lạnh, đau vùng hạ sườn phải, đau cơ, nôn mữa.
Bệnh nhân được lấy máu xét nghiệm, giọt đặc và giọt mỏng được làm trên cùng một lam, nhuộm giêm sa. Xét nghiệm viên xác định có ký sinh trùng sốt rét P.vivax trên lam máu.
Bệnh nhân được điều trị chloroquin 3 ngày (4,2,2) và primaquine 4 viên/ngày/10 ngày (theo hồi cứu sổ khám bệnh của Trạm y tế). Sau điều trị bệnh nhân hết sốt, tuy nhiên không thể theo dõi sự tái phát của bệnh sau đó.
Theo hệ thống kiểm tra kỹ thuật, lam máu được gửi đến bệnh viện Bắc Bình và kết quả trả lời là P.vivax. Sau đó, lam máu được chuyển đến Viện Sốt rét-KST-CT Quy Nhơn. Nhân viên phòng xét nghiệm của Viện đã xác nhận hình thể trên lam máu là của P.ovale.
Đoàn khảo sát của Viện đã tiến hành khảo sát thực địa, điều tra mở rộng 2 lần nữa tại khu vực xã Phan Sơn nhưng không phát hiện trường hợp nhiễm P.ovale nào. Đoàn khảo sát đã cố gắng tiếp cận bệnh nhân nhưng bệnh nhân đã chuyển đi nơi khác .
Lam xét nghiệm (giọt dày và giọt mỏng)
Có sự hiện diện của P.ovale
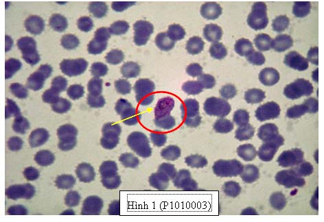
Hình 1 (P1010003): Tư dưỡng già
- Nhân chắc tròn, màu hồng.
- Nguyên sinh chất màu xanh phát triển kéo dài quanh nhân.
- Sắc tố màu nâu đậm rãi rác trên nguyên sinh chất.
- Hạt Shüffner thô màu hồng rãi rác khắp hồng cầu.
- Hồng cầu bị ký sinh không trương to, hình oval, 1 phía hồng cầu có đuôi nhọn.
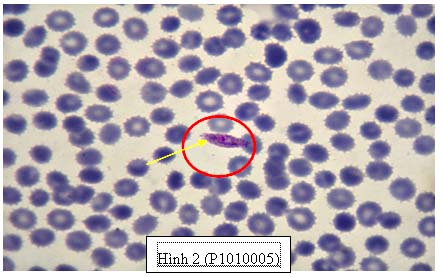
Hình 2 (P101005): Tư dưỡng già:
- Nhân chắc, hình 3 cánh hoa, màu đỏ hồng
- Nguyên sinh chất mảnh, phát triển kéo dài 2 bên nhân, màu xanh
- Hạt sắc tố ít, màu nâu đen, rãi rác trên nguyên sinh chất.
- Hạt Shüffner thô màu hồng rãi rác khắp hồng cầu.
- Hồng cầu bị ký sinh kéo dài hình oval, hai phía hồng cầu kéo dài thành tua.
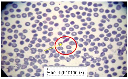
Hình 3 (P101007): Tư dưỡng già
- Nhân tròn phát triển, thô,màu đỏ hồng
- Nguyên sinh chất mảnh, phát triển kéo dài bao quanh nhân, màu xanh
- Hạt sắc tố ít, màu nâu đen, rãi rác trên nguyên sinh chất.
- Hạt Shüffner thô, rõ, màu hồng rãi rác khắp hồng cầu.
- Hồng cầu bị ký sinh kéo dài hình oval, hai đầu hồng cầu nhọn và kéo dài.
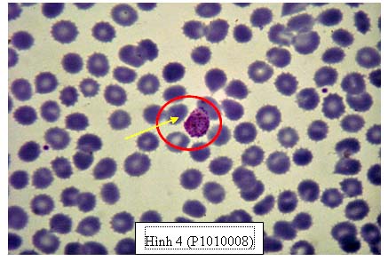
Hình 4 (P101008): Giao bào
- Nhân lớn phát triển kéo dài, màu hồng nhạt nằm 1 bên nguyên sinh chất
- Nguyên sinh chất dày, màu xanh nhạt, chiếm gần hết diện tích hồng cầu.
- Hạt sắc tố màu nâu đen, ánh vàng rãi rác trên nguyên sinh chất.
- Hạt Shüffner thô, rõ màu hồng rãi rác khắp hồng cầu.
- Hồng cầu bị ký sinh có hình quả lê.
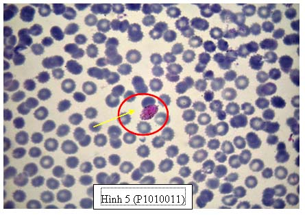
Hình 5 (P101011): Giao bào
- Nhân to phát triển chiếm ½ hồng cầu, màu hồng nhạt
- Nguyên sinh chất màu xanh nhạt, chiếm gần hết diện tích hồng cầu.
- Hạt sắc tố màu nâu đen, ánh vàng rãi rác trên nguyên sinh chất.
- Hạt Shüffner thô, rõ màu hồng rãi rác khắp hồng cầu.
- Hồng cầu bị ký sinh có hình oval, 1 đầu nhọn
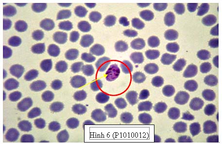
Hình 6 (P101012): Phân liệt
- Có 6 mãnh nhân màu hồng đỏ, bờ và kích thước không đều
- Nguyên sinh chất chưa phân chia, màu xanh nhạt, chiếm 2/3 diện tích hồng cầu.
- Hạt sắc tố màu nâu đen, ánh vàng tập trung ở rìa nguyên sinh chất.
- Hạt Shüffner thô, rõ màu hồng rãi rác khắp hồng cầu.
- Hồng cầu bị ký sinh có hình oval, 1 đầu phía trên có tua
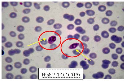
Hình 7 (P1010019): Có 2 ký sinh trùng trên 1 vi trường
Ký sinh trùng bên trái: Phân liệt
- Có 8 mảnh nhân màu hồng, kích thước không đồng đều.
- Nguyên sinh chất chưa phân mảnh, màu xanh, chiếm 2/3 diện tích hồng cầu.
- Sắc tố nhiều, màu nâu ánh vàng nằm rãi rác trên nguyên sinh chất.
- Hạt Shüffner thô, nằm rãi rác khắp hồng cầu.
- Hồng cầu bị ký sinh có hình oval
Ký sinh trùng bên phải: Tư dưỡng già
- Nhân tròn thô, nằm gần rìa hồng cầu
- Nguyên sinh chất màu xanh kéo dài thành dãi bao quanh nhân.
- Hạt sắc tố ít, tập trung thành cụm trên nguyên sinh chất, màu nâu đen
- Hạt Shüffner thô, rõ màu hồng rãi rác khắp hồng cầu.
- Hồng cầu bị ký sinh có hình oval, 1 phía đầu hồng cầu có tua
Từ các hình ảnh trên cho thấy phần lớn ký sinh trùng trên lam máu đều ở giai đoạn tư dưỡng già, phân liệt và giao bào. Thể nhẫn không thấy xuất hiện trên lam máu trường hợp này.
Điểm đặc biệt là phần lớn hồng cầu bị ký sinh có dạng hình oval, và có tua lông răng cưa hoặc đuôi nheo. Hồng cầu ít trương to như trong trường hợp nhiễm P.vivax. Các mô tả trên cũng cho thấy ký sinh trùng đặc chắc hơn của P.vivax, khối nhiễm sắc và nhân lớn chiếm gần 2/3 hồng cầu. Bờ ngoài của các hồng cầu bị nhiễm không rõ ràng, hồng cầu có nhiều hạt Shüffner màu hồng đậm.
Những đặc điểm mô tả hình thể ký sinh trùng sốt rét ở trường hợp này là điển hình của P.ovale như các tác giả khác đã mô tả ( Wilcox, Jeffery,Young-1954) và Garnham (1966).
Bàn luận
P.ovale là loài ký sinh trùng sốt rét được mô tả bởi Stephen năm 1922. Phân bố của P. ovale chủ yếu ở Châu Phi, một tỷ lệ rất thấp ở các nước Tây Thái Bình Dương. Ở Việt Nam, nhiễm P.ovale rất hiếm gặp.
Đây là trường hợp lam máu P.ovale được phát hiện ngẫu nhiên qua hệ thống kiểm tra kỹ thuật. Kỹ thuật viên xét nghiệm xã Phan Sơn đã lấy máu bệnh nhân làm lam giọt đặc và đàn trên cùng 1 lam, tuy nhiên không ghi nhận hình thể của P.ovale trên lam máu mà cho rằng các hình thể trên lam máu này là của P.vivax.
Các giai đoạn phát triển của ký sinh trùng phát hiện trên lam giọt mỏng này là điển hình của P.ovale. Việc hồi cứu thông tin về việc giao lưu của bệnh nhân với các vùng khác không thực hiện được bởi vì cả gia đình đã chuyển đi nơi khác.
Theo thông tin của Trạm y tế trong thời gian 1 năm trở lại đây bệnh nhân thường đến khám bệnh tại Trạm, không có bệnh nặng để có chỉ định truyền máu ở các bệnh viện tỉnh và huyện. Nhưng nếu có truyền máu thì triệu chúng cũng chỉ xuất hiện sau 10 ngày được nhận máu. Tuy nhiên có thể khẳng định rằng bệnh nhân không có đi ra nước ngoài.
Về trung gian truyền bệnh, theo William E. Collins và Geoffrey M. Jeffery thìA. gambiae, A. funestus, A. atroparvus, A. albimanus, A. quadrimaculatus, A.freeborni , A. maculatus,A. subpictus; A.stephensi, A.dirus, A.farauti là những loài muỗi có khả năng nhiễm P.ovale và truyền bệnh. Các điều tra về muỗi sốt rét tại xã Phan Sơn cho thấy đây là xã thuộc vùng sốt rét lưu hành nặng có sự hiện diện của A. dirus, A.minimus và A.macilatus. Đây là điều kiện cần thiết cho sự lan truyền bệnh sốt rét do P.ovale tại khu vực này.
Vì vậy giả thuyết có tính thuyết phục nhất đối với ca nhiễm sốt rét này là do lan truyền sốt rét tại vùng sốt rét lưu hành của tỉnh Bình Thuận.
Sau khi ghi nhận ca nhiễm P.ovale này Viện SR-KST -CT Quy Nhơn đã tiến hành khảo sát thêm 2 lần nữa tại khu vực này, mở rộng điều tra gần 500 người cho mỗi lần điều tra. Tuy nhiên đoàn khảo sát chỉ ghi nhận các trường hợp nhiễm P.falciparum và P.vivax mà không phát hiện thêm trường hợp P.ovale nào với kỹ thuật kính hiển vi và cả thử nghiệm sinh học phân tử PCR.
Từ trước đến nay việc ghi nhận các ca nhiễm P.ovale là rất hiếm gặp ở Việt Nam. Theo báo cáo thường quy tại 15 tỉnh của khu vực miền Trung Tây Nguyên, giai đoạn từ 1976 đến nay cũng chỉ ghi nhận 1 trường hợp P.ovale ở tỉnh Dak Lak.
Các thảo luận trên cho thấy P.ovale lưu hành với tỷ lệ rất thấp ở các vùng sốt rét lưu hành của Việt Nam. Cho đến nay chỉ ghi nhận rãi rác vài trường hợp ở một số tỉnh như: Dak Lak, Khánh Hòa, Lâm Đồng, Sông Bé
Hiện tượng hiếm gặp các trường hợp nhiễm P.ovale là rất khó giải thích cho sự tồn tại của ký sinh trùng trong tự nhiên.
Trước đây 1 số tác giả đã có 2 giả thuyết như sau:
(1) P.ovale có thể là loài ký sinh trùng sốt rét thích nghi ở khỉ, nhiễm ở người hiếm gặp và có thể xem như là vật chủ tình cờ. Có một số bằng chứng hỗ trợ cho giả thuyết này, như loài P.schwetzi, một các loài ký sinh trùng sốt rét ở loài tinh tinh (chimpanzees), khỉ có thể lan truyền từ khỉ qua người bởi muỗi sốt rét, trong cơ thể người ký sinh trùng sốt rét tương tự P.ovale, theo nghiên cứu của Coatney (1963).
(2) Khảo sát thực địa thông qua xét nghiệm lam máu không đủ độ nhạy để phát hiện các trường hợp nhiễm P.ovale. Trong khi nhiễm P.ovale thường có mật độ thấp, cách quãng không liên tục. Ký sinh trùng sốt rét P.ovale giảm phát triển cũng như bị che dấu bởi việc nhiễm các loài ký sinh trùng sốt rét khác.
Ngoài ra hình thể của P.ovale có thể được chẩn đoán nhầm lẫn với P.vivax. tại các tuyến y tế cơ sở, kỹ thuật viên xét nghiệm có thể bỏ sót việc phát hiện các hình thể của P.ovale dưới kính hiển vi quang học và cho rằng các hình thể là của P.vivax. Trường hợp nhiễm P.ovale ở Phan Sơn, Bắc Bình, Bình Thuận là 1 ví dụ cho thấy sự chẩn đoán nhầm lẫn của kỹ thuật viên tuyến xã và huyện.
Kết luận
Hình thể ký sinh trùng sốt rét trên lam máu nhuộm giêm sa phát hiện dưới kính hiển vi quang học là điển hình của P.ovale.
Có sự hiện diện và lây nhiễm của P.ovale tại một số vùng sốt rét lưu hành ở phía Nam Việt Nam.
Khuyến cáo
Với những thay đổi môi trường, sinh cảnh do tác động của biến đổi khí hậu nhiễm P.ovale có thể là nguy cơ lan truyền sốt rét trong thời gian đến.
Các kỹ thuật viên cần chú ý những nhầm lẫn trong chẩn đoán P.ovale, nếu chỉ sử dụng giọt dày rất khó xác định chính xác P.ovale, đặc biệt trong vùng có P.vivax lưu hành. Vì vậy nên làm 2 giọt (giọt dày và mỏng) trên cùng 1 lam xét nghiệm.
Cần chú ý những nét đặc trưng của P.ovale khi soi lam máu sốt rét:
1.Hình dạng oval của ký sinh trùng với hồng cầu bị nhiễm có hình oval và có lông hay tua phía đầu hồng cầu (fimbriated). Đây là đặc điểm hình thể đặc trưng dưới kính hiển vi của P.ovale. Tuy nhiên nhiều khi không thấy có hình này, ký sinh trùng có thể có hình tròn. Hình oval và lông tua viền chi xuất hiện ở 20-30% hồng cầu nhiễm. Sự hiện diện của các hạt Schüffner (hạt James) trên hồng cầu nhiễm có liên quan đến P.ovale. Tuy nhiên chú ý các hạt này cũng hiện diện khi nhiễm P.vivax.
2.Thể nhẫn rất khó phân biệt với thể nhẫn các loài ký sinh trùng khác. Hồng cầu không trương to và nói chung không có hạt Schüffner.
3.Thể phân liệt. số merozoit tối đa là 12 và ít hơn P.vivax. Giai đoạn sớm của schizont tương tự P. vivax khi có hạt shüffner và tương tự P. malariae nếu không có hạt shüffner.
Tài liệu tham khảo
1.
1.Lê Đình Công, Lê Đức Đào (1996). Chẩn đoán phân biệt 4 loài ký sinh trùng sốt rét trên người bằng kỹ thuật phản ứng chuỗi Polymerase lồng (Nestd PCR). Thông tin phòng chống bệnh sốt rét và accs bệnh ký sinh trùng. Viện Sốt rét KST-CT Hà Nội, số 4, 1996, tr.26-33.
2.Vũ Thị Phan (1996). Dịch tễ học bệnh sốt rét và phòng chống sốt rét ở Việt Nam. Nhà Xuất bản y học, tr.142-151.
3.Viện Sốt rét KST-CT Quy Nhơn. Báo cáo thống kê 1976-2010.
4.Alves W., Schinazi A.L., Aniceto F. 1968. Plasmodium ovale infections in the Philippines. Bull. W. H. O. 39:494–495.
5.Anthony, R. L., M. J. Bangs, N. Hamzah, H. Basri, Purnomo, and B. Subianto. 1992. Heightened transmission of stable malaria in an isolated population in the highlands of Irian Jaya, Indonesia. Am. J. Trop. Med. Hyg. 47:346–356.
6.Baird, J. K., Purnomo, and S. Masbar. 1990. Plasmodium ovale in Indonesia. Southeast Asian J. Trop. Med. Public Health 21:541–544. (7)
7.Cadigan, F. C., and R. S. Desowitz. 1969. Two cases of Plasmodium ovale from central Thailand. Trans. R. Soc. Trop. Med. Hyg. 63:681–682.
8.Collin W.E, Jeffery M.G. Plasmodium ovale: Parasite and Disease. Clinical microbiology reviews, American Society for Microbiology July 2005, Vol. 18, No. 3,pp. 570–581.
9.Gills H.M, Warell D.A. Bruce-Chwatt’s Essential Malariology, 3rd Edition. Pp.24-25.
10.Gleason N.N, Fisher G.U, Blumhardt R., Roth E.A., Gaffney W.G. Plasmodium ovale Malaria Acquired in Viet-Nam. Bull. World Health Org.1970,42, pp.399-403.
11.Garnham, P. C. C. 1966. Malaria parasites and other haemosporidia. Blackwell Scientific Publications, Oxford, England.
12.Gundelfinger B. F. 1975. Observations on malaria in Indonesian Timor. Am. J. Trop. Med. Hyg. 24:393–396.
13.Hombhanje. W.F. Plasmodium ovale species in Papua New Guinea - lest we forget. Papua New Guinea Medical Journal Volume 41, No 3-4, Sep-Dec 1998, pp.116-118.
14.Kawamoto. F, Miyake. H., Maneko. O,Kimura.M, Nguyen thi Dung, Le duc Dao. Sequence Variation in the 18S rRNA gene, a Target for PCR-Based Malaria Diagnosis, in Plasmodium ovale from Southern Vietnam. Journal Of Clinical Microbiology. American Society for Microbiology Sept. 1996, p. 2287–2289 Vol. 34, No. 9.
15.Jackson, A. V. 1944. Plasmodium ovale malaria: a report of two cases contracted in New Guinea. Med. J. Aust. 2:278–279.
16.Lim AL.Y., Mahmud R., Chew H.C., Thiruventhiran T., Chua H.K. Plasmodium ovale infection in Malaysia: first imported case. Malaria Journal 2010, 9:272Center for Diseases Control and Prevetion. Laboratory diagnosis of malaria Plasmodium ovale.
17.Lysenko.A.JA., Beljaev. A.E . 1969. An analysis of the geographical distribution of Plasmodium ovale. Bulletin. WHO. 40: pp. 383–394.
18.Marathe. A, Date.V, Shah.N.H,Tripathi. R.J . Plasmodium ovale – a case report from Gujarat. J Vect Borne Dis 43, December 2006, pp. 206–208.
19.McMillan, B. 1968. Further observations on ovale malaria in New Guinea.Trop. Geogr. Med. 20:172–176. (70).
20.Nemirovskaia A. I., Pavlova E.A., Beliaev A.E. 1973. Detection of Plasmodium ovale in a patient infected in Melanesia. Med. Parazitol. (Moskow) 42:182–185. [In Russian.].
21.Omer, A. H. 1978. Species prevalence of malaria in northern and southern Sudan and control by mass chemoprophylaxis. Am. J. Trop. Med. Hyg. 27:858–863.(80)
22.Onori, E. 1967. Distribution of Plasmodium ovale in the eastern, western, and northern regions of Uganda. Bull. W. H. O. 37:665–668. (81)
23.Prakash A, Mohapatra P.K,. Plasmodium ovale: first case report from Assam, India. Current science, vol. 84, no. 9, 10 may 2003, pp 1187-1188.
24.Zhou, M. Q. Liu, C. Wongsrichanalai, W. Suwonkerd, K. Panart, S. Prajakwong, A. Pensiri, M. Kimura, H. Matsuoka, M. U. Ferreira, S. Isomura, and F. Kawamoto. 1998. High prevalence of Plasmodium malariae and Plasmodium ovale in malaria patients along the Thai-Myanmar border, as revealed by acridine staining and PCR-based diagnoses. Top. Med. Int. Health 3:304–312.
25.WHO (1991). Basic malaria microscopy, Part I, pp.57
26.Wilcox, A.,Jeffery M.G., Young D.M. (1954). The Donaldson strain of malaria. 2. Morphology of the erythrocytic parasites. Am. J. Trop. Med.Hyg. 3:638–649.
27.Win T.T, Lin K, Mizuno S., Zhou.M,Liu Q., Ferreira M.U, Tantular I.S, Kojima.S, A. Ishii.A,Kawamoto.F Wide distribution of Plasmodium ovale in Myanmar. Tropical Medicine and International Health, volume 7 no 3, pp 231–239 march 2002.