Nhiễm ấu trùng giun lươn Strongyloides stercoralis (S. stercoralis) đang lưu hành tại nhiều quốc gia nhiệt đới và cận nhiệt đới. Nhiễm trùng giun lươn thường không triệu chứng, nhưng trên cơ địa suy giảm hệ thống miễn dịch sẽ có những biến chứng tăng nhiễm. Ký sinh trùng có thể bất thường nhân lên trong cơ thể do chuyển dạng của ấu trùng rhabditiform thành ấu trùng có thể nhiễm là filariforms. Một số nghiên cứu cho thấy cơ địa suy giảm miễn dịch như lao, HIV/AIDS, ung thư bạch cầu, đái tháo đường là các yếu tố quan trọng nhạy cảm và có thể dẫn đến hội chứng tăng nhiễm với bệnh ấu trùng này.
Trình bày ca bệnh: Nhân đây chúng tôi xin trình bày một ca bệnh là bệnh nhân nữ 44 tuổi, ở tỉnh Khanh Hoa, có tiền sử tiểu đường type 2 khoảng 3 năm nay, biểu hiện đau bụng trong hai tuần qua kèm theo buồn nôn, chán ăn và phân lỏng. Với một chẩn đoán huyết thanh (+) ELISA với S. stercoralis và kết quả nội soi kèm sinh thiết cho kết quả bệnh lý tiêu hóa do ấu trùng giun lươn. Bệnh nhân đáp ứng tốt với liệu pháp phối hợp Ivermectine plus Albendazole 5 ngày.
Kết luận: Chẩn đoán sớm các bệnh nhân nhiễm ấu trùng giun lươn trên cơ địa suy giảm miễn dịch vừa cứu lấy tính mạng bệnh nhân vừa tránh các biến chứng do hội chứng tăng nhiễm. Xét nghiệm phân là chuẩn vàng, nhưng không nhạy vì tỷ lệ âm tính có thể đến 70%, xét nghiệm mô học sẽ giúp chẩn đoán xác định. Các thầy thuốc lâm sàng nên đưa xét nghiệm ấu trùng S. stercoralis vào danh sách đứng đầu khi chẩn đoán phân biệt trên các bệnh nhân suy giảm miễn dịch có triệu chứng tiêu hóa để tránh các biến chứng đáng kể do hội chứng tăng nhiễm.
Từ khóa: Strongyloides stercoralis, hội chứng tăng nhiễm, suy giảm miễn dịch
ABSTRACTS
HYPERINFECTION DUE TO STRONGYLOIDES STERCORALIS IN A DIABETES A
CASE REPORT AND MEDICAL UPDATE AND REVIEW
Introduction: Strongyloides stercoralis (SS) infection is endemic in many tropical and subtropical countries. SS infection is usually asymptomatic, but in in immunocompromised individuals, hyperinfection may be occured. The parasite has the unusual ability to multiply inside the host due to the transformation of rhabditiform larvae into infective filariforms. Several studies have shown that the immunocompromised host such as HIV/AIDS, tuberculosis, leukemia, diabetes mellitus are important factors that predisposes to strongyloidiasis, and may be lead to hyperinfection syndrome in such terraines.
Case presentation: Herein, we report the case of a 44 year-old women from Khanh Hoa province, Vietnam, with a 3-year history of type 2 diabetes mellitus and recent 2 weeks discovered to have pain in abdomen, nausea, abdominal pain, loss of appetite, and loose stool. A serodiagnosis of positiveELISA for S.S and an oesophagogastroduodoscopic biopsy samples were obtained and histopathologic examination revealed gastrointestinal strongyloidiasis. The patient had well responsed to Ivermectine plus Albendazole therapy.
Conclusions: Early diagnosis of such parasitic infection in immunocompromised patients is life saving and avoids fatality caused by hyperinfection. Routine stool examination is gold standard, but not sensitivity and negative rate up to 70%, histopathological identification of the parasite in tissue sections provides the definite diagnosis. Phycicians should be list SS in the top of the differential diagnosis list for any patient who is immunocompromised and gastrointestinal symptoms in order to avoid the severe complications of hyperinfection.
Keywords: Strongyloides stercoralis, hyperinfection syndrome, immunocompromised host
GIỚI THIỆU
Strongyloides stercoralis (S. stercoralis) thường hay lưu hành ở các quốc gia vùng nhiệt đới và cận nhiệt đới, đặc biệt trên các đối tượng nghèo khó và kinh tế thấp. Mặc dù con số ước tính dù không đầy đủ cũng cho thấy khoảng 30-100 triệu người trên toàn thế giới đang bị nhiễm S. stercoralis và thường dẫn đến một tình trạng nhiễm trùng mạn tính kéo dài, song nó vẫn được xem là một căn bệnh nhiệt đới bị lãng quên. Bệnh ấu trùng giun lươn thường do nhiễm 2 loài Strongyloides stercoralis và Strongyloides fuelleborni tùy thuộc vào từng vùng địa lý khác nhau. Việc chẩn đoán bệnh do ấu trùng này thường khó khăn vì xét nghiệm phân vốn dĩ được xem là chuẩn vàng lại thường cho kết quả âm tính đến 50-70% số trường hợp, không nhạy. Vai trò của xét nghiệm mô bệnh học của các mẫu bệnh phẩm có giá trị quan trọng trong chẩn đoán và loại trừ các bệnh nhiễm trùng khác. Nếu việc phát hiện và chữa khỏi các trường hợp nhiễm ấu trùng như thế sẽ góp phần không nhỏ vào cứu sống bệnh nhân từng ngày.
Bệnh do ấu trùng giun lươn nghiêm trọng có thể đe dọa tính mạng nhưng có thể phòng được, nhưng hiện đang bị lãng quên do một số vùng có tỷ lệ lưu hành thấp. Khi có nghi ngờ cao thì nên vận dụng một số phương pháp chẩn đoán cần thiết chính xác. Phổ lâm sàng có nhiều hình thái và đôi khi chúng ta không thể giải thích nguyên nhân trong một số trường hợp có tăng eosin. Liệu pháp thuốc hiện nay là Thiabendazole hay Ivermectin rất hiệu quả với tỷ lệ chữa khỏi hơn 98%. Nếu chẩn đoán nhầm thì tỷ lệ tử vong se cao. Điều đó cho thấy việc báo cáo những ca bệnh sẽ cảnh báo và làm tăng thêm kiến thức về một căn bệnh nhiệt đới đang bị lãng quên.
BÁO CÁO CA BỆNH
Một bệnh nhân Phan Thị L. nữ 44 tuổi, đang cư ngụ tại Khánh Hòa. Mắc bệnh tiểu đường gần 3 năm nay đang điều trị thuốc hàng ngày, trong khoảng 2 tuần gần đây phát các triệu chứng về tiêu hóa nhưng không đáp ứng với liệu pháp chống viêm loét tiêu hóa và hội chứng đại tràng kích thích àBệnh nhân được chuyển đến Viện Sốt rét KST-CT Quy Nhơn.
- Thăm khám lúc vào viện:
Vào thời điểm nhập viện: bệnh nhân trong bối cảnh sốt không rõ nguyên nhân và đại tiện phân lỏng thường xuyên. Với chẩn đoán ban đầu nghĩ đến nhiễm trùng tiêu hóa trên cơ địa suy giảm miễn dịch do đái tháo đường, trong tiền sử bệnh đã vừa chấm dứt liệu trình điều trị viêm dạ dày ruột do Helicobacter pylori. Bệnh nhân khai thường có cảm giác đau vùng thượng vị và vùng Chauffard Rivet, hay buồn nôn và có khi nôn, chán ăn, sụt cân trong vòng 2 tuần qua. Trên da có nhiều vết gãi sẩn đỏ dọc theo hai cánh tay xuống đến bàn tay, vùng mạng sườn có nhiều vết ban trườn và ấu trùng di chuyển kiểu rắn bò, xoắn cuộn, bản đồ rất đa dạng.
- Chỉ định xét nghiệm cận lâm sàng:
+ Xét nghiệm huyết học thường quy CTMTP cho thấy có giảm BC chung, thiếu máu trung bình (Hồng cầu, Hb, Hematocrite), tăng chỉ số bạch cầu ái toan đến 26%, bạch cầu hạt giảm;
+ Xét nghiệm phân cho thấy không có trứng hoặc đơn bào, không thấy ấu trùng giun lươn;
+ Xét nghiệm huyết thanh miễn dịch ELISA cho S. stercoralis (+) với hiệu giá 2.1 (BT: S/Co < 1.0);
+ Sinh hóa máu: cho Glucose 12.45mmol/L, Ure và creatinine trong giới hạn bình thường, SGOT: 56 IU/L, SGPT: 56 IU/L, GGT: 129 IU/L;
+ Các marker viêm gan B, C đều bình thường, HIV (làm bằng ELISA và PCR) đều (-).
- Chẩn đoán giải phẩu bệnh học:
Về mặt đại thể:
+ Nội soi tiêu hóa dạ dày tá tràng cho thấy nhiều vết loét tại vùng tá tràng và dạ dày kèm theo phì đại niêm mạc, trên vùng thực quản – dạ dày có hội chứng trào ngược dạ dày thực quản (tại Viện Sốt rét KST-CT Quy Nhơn);
+ Chuyển bệnh nhân đến BV Đại học Y dược thành phố Hồ Chí Minh làm xét nghiệm giải phẩu bệnh qua sinh thiết qua nội soi, thu mẫu mô d » 0.7 x 0.3 cm . Kết quả cho thấy về mặt đại thể có các mảnh cố định với formalin và đánh dấu riêng lẻ ở các mẫu sinh thiết vùng dạ dày và tá tràng.
Về mặt vi thể:
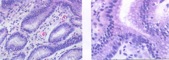
+ Nội soi cho thấy lớp niêm mạc dạ dày bị loét tróc, có tơ huyết và chất hoại tử, lớp dưới niêm mạc phù nề, thâm nhập các tế bào viêm cấp, bên dưới là mô sợi tăng sản, xâm nhập các tế bào viêm mạn tính, trong chất nhầy của tuyến niêm mạc không có mặt vi khuẩn H. pylori (kết quả tại BVĐH Y dược thành phooss Hồ Chí Minh);
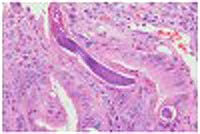
+ Các mẫu bệnh phẩm cũng được xử trí nhuộm haematoxylin và eosin, các mẫu bấm sinh thiết từ dạ dày qua hình ảnh cắt ngang cho hình ảnh nhiều giun tròn (?), hình thể học xác định là S. stercoralis, ngoài ra còn nhìn thấy các hốc, trong biểu mô tế bào tuyến và bên trong lớp lamina propria có phản ứng thâm nhiễm viêm mạn tính;
+ Không có hình ảnh dị sản hoặc tăng sinh của các khối ác tính cũng như có mặt của vi khuẩn Helicobacter pylori; nhuộm haematoxylin và eosin, niêm mạc dạ dày qua hình ảnh cắt ngang của ấu trùng giun lươn Strongyloides stercoralis (xem mũi tên). Các mẫu cắt của tá tràng cho thấy niêm mạc ruột non có cả S. stercoralis. Lớp lamina propria chohình ảnh thâm nhiễm nhiều tế bào viêm mạn tính với nhiều bạch cầu ái toan, bào tương và lymphocytes;
- Chẩn đoán xác định: Hội chứng tăng nhiễm do S. stercoralis trên bệnh nhân đái tháo đường
- Thái độ xử trí:
+ Bệnh nhân được chuyển về lại Viện Sốt rét KST-CT Quy Nhơn điều trị bằng phác đồ Ivermectine plus Albendazole 5 ngày theo liệu trình liều chuẩn (WGO) cùng với thuốc bổ gan, chống cho thắt, men tiêu hóa,…;
+ Sau 10 ngày điều trị, bệnh ổn định, Các dấu chứng tiêu lỏng, đau bụng quặn, sôi ruột, buồn nôn, ợ hơi ợ chua đã cải thiện có ý nghĩa;
+ Tái khám sau 2 tháng:
- Bệnh nhân ổn định, tăng cân, cải thiện ăn uống, không còn đi phân lỏng;
- Nội soi thấy hình ảnh niêm mạc ở dạ dày, thực quản và tá tràng phục hồi đáng kể;
- CTMbiểu hiện giảm chỉ số BCAT còn 6%, bạch cầu tăng, giảm thiếu máu;
- Các chỉ số sinh hóa (bình thường), ELISA với hiệu giá kháng thể còn 0.8 OD;
MỘT SỐ BÀN LUẬN
Nhiễm trùng ấu trùng giun lươn Strongyloides stercoralis có mối đe dọa quần thể trên toàn cầu đến 30–100 triệu dân và chiếm tỷ lệ cao nhất ở các quốc gia châu Á, châu Phi, và châu Mỹ latin. Bệnh chủ yếu lưu hành tại các quốc gia nhiệt đới và cận nhiệt đới. Tại Viện Nam nói chung và khu vực ven biển miền Trung nói riêng, khí hậu ấm và ẩm, đoi khi nóng ở hầu hết các tỉnh từ Quảng Bình trở vào đến Bình Thuận, điều này chính là điều kiện thuận lợi cho bệnh ký sinh trùng giun sán phát triển, trong đó có giun lươn; tuy nhiên, bệnh ấu trùng giun lươn đến nay vẫn bị xem là căn bệnh chưa được quan tâm đúng mực. S. stercoralis có thể thay đổi giữa chu kỳ ký sinh trùng và chu kỳ sống tự do. Trong chu kỳ sống tự do ấu trùng rhabditiform đẻ vào trong phân, rơi vào môi trường đất - ở đó chúng phát triển thành con trưởng thành rồi đẻ trứng và ấu trùng. Các ấu trùng này hoặc là phát triển thành giun trưởng thành hoặc xuyên qua da người để bắt đầu chu kỳ. Ở người, các ấu trùng chuyển vận đến phổi thông qua dòng máu và rồi đến phế nang và phế quản, chúng đi đến hầu-ở đó chúng được nuốt xuống dạ dày và ruột non. Trong ruột non, ấu trùng phát triển thành con cái trưởng thành. Bằng cách sinh sản đơn tính, con giun cái đẻ trứng và ra ấu trùng và gây nên chu kỳ tự nhiễm.
Chu trình tự nhiễm là một khiá cạnh khá đặc biệt của nhóm bệnh ấu trùng ký sinh ngõ cụt, xảy ra khi tất cả hoặc một số ấu trùng thể Rhabditiform cư trú trong thành ruột thay lông, thoát vỏ thành ấu trùng Rhabditiform giai đoạn 2, rồi thay đổi hình dạng thành ấu trùng giai đoạn nhiễm (infective filariform larvae). Sau đó xâm nhập vào niêm mạc ruột non hay da xung quanh hậu môn, di trú đến phổi trước khi tự chúng vào ruột, nơi đó chúng phát triển thành con cái có khả năng sinh bệnh. Chu trình tự nhiễm cũng có thể xảy ra nếu các giun còn non có thời gian rụng lông 2 lần trong suốt quá trình đi xuống ống tiêu hóa. Trong các trường hợp này, chúng đi xuyên qua niêm mạc ruột bên dưới hoặc quanh hậu môn, di chuyển theo con đường điển hình và trưởng thành. Cả con cái và con sống tự do có thể sinh các ấu trùng non mà sau này sẽ trưởng thành filariform, một loại giun non có thể nhiễm và sẽ trưởng thành sống tự do. Sự lây truyền bệnh qua nhau thau và qua sữa đã được báo cáo ở các động vật sơ sinh và đang cho con bú, điều đó có thể xảy ra trên người!
Việc chẩn đoán bệnh giun lươn bằng xét nghiệm phân thường quy là có giới hạn vì lượng giun quá thấp nên có thể dẫn đến âm tính 50-70% số ca khi chỉ xét nghiệm một mẫu phân đơn thuần tại một thời điểm nhất định. Chỉ số bạch cầu ái toan cũng là một thông số quan trọng khi có giai đoạn ấu trùng di chuyển hoặc biểu hiện ban trườn ngoài da, ngược lại trong giai đoạn mạn tính thì chỉ số này không phải đáng tin cậy.
Cho dù các xét nghiệm huyết thanh học ELISA để chẩn đoán ấu trùng giun lươn cho độ nhạy rất cao đến 90%, song các test không phải luôn luôn sẵn có, vả lại chúng có nhược điểm là không phân biệt được nhiễm trùng trong quá khứ và phản ứng chéo với nhiều loại giun tròn khác. Do đó, việc áp dụng các xét nghiệm mô bệnh học cùng với sinh thiết qua nội soi sẽ giúp chẩn đoán xác định. Chẩn đoán nhiễm một loại giun đặc biệt, các nhà bệnh học cần phải có kiến thức rộng về các bệnh lý giun sán thường ký sinh trong các mô, dịch của cơ thể, cũng như hiểu biết về các giai đoạn phát triển của đặc điểm hình thái ký sinh trùng để tránh chẩn đoán nhầm chúng với các vật thể lạ trong vi trường mẫu bệnh phẩm.
Một chẩn đoán xác định được thiết lập nhờ vào một hay nhiều xét nghiệm phát hiện các giai đoạn khác nhau của giun trong mẫu phân, một chất dịch tiết lấy ra hoặc dịch khoang phúc mạc, dịch của mô bệnh hoặc mẫu sinh thiết. Các mẫu bệnh phẩm nhuộm haematoxylin/eosin đóng hai vai trò trong chẩn đoán mô học của bệnh ký sinh trùng. Trước hết, chúng cho phép phát hiện hầu hết ký sinh trùng hoặc trứng. thứ hai, đối với những cái không sẵn sàng nhìn thấy, thì mô hình viêm, sẽ gắn liền với bệnh sử lâm sàng có thể cung cấp một bằng chứng hiện tại chính xác, nghiên cứu cẩn trọng hơn và đánh giá trên mẫu bệnh phẩm đã nhuộm đặc biệt. Tuy nhiên. Những khó khăn trong chẩn đoán bệnh ấu trùng giun lươn có thể tăng tiếp tục khi cá nhân đó nhiễm phối hợp nhiều loài khác và các vi khuẩn gram âm.
Chẩn đoán sớm là rất quan trọng đặc biệt trên những trường hợp bệnh nhân suy giảm miễn dịch (HIV/AIDS, lao, cấy ghép tạng, đái thảo đường, ung thư bạch cầu) hoặc bệnh nhân đang dùng liệu pháp corticosteroides, hoặc có nghiện rượu (Teixeira MC và cs., 2010). Trong ca bệnh này của chúng tôi là một bệnh lý của hội chứng tăng nhiễm có biểu hiện hội chứng tiêu hóa (đau bụng, tiêu lỏng và buồn nôn, chán ăn) trên cơ địa bệnh lý nền sẵn có là đáo tháo đường type 2 đã đáp ứng tốt với liệu pháp Ivermectine plus Albendazole. Các thử nghiệm cho biết cơ chế tác động là thuốc gắn chọn lọc với kênh ion glutamate-gated chloride ion trên dây thần kinh cột sống và tế bào cơ của giun, gây chết tế bào. Nguy cơ tăng nhiễm trong những cơ địa như thế sẽ rất cao vì bệnh ấu trùng giun lươn vốn rất thích nghi và có vẻ “ái tính” với những cơ địa hệ miễn dịch suy giảm.
KẾT LUẬN
Mặc dù nhiễm ấu trùng giun lươn thường không có triệu chứng (asymtompmatic S. stercoralis infection) và xét nghiệm chỉ một mẫu phân có thể cho cơ hội âm tính rất cao (có thể 70%), nên việc áp dụng các xét nghiệm hóa mô miễn dịch cho ký sinh trùng sẽ cung cấp cho các bằng chứng và chẩn đoán xác định. Chẩn đoán sớm nhiễm ấu trùng giun này trên các cơ địa suy giảm miễn dịch vừa cứu sống bệnh nhân vừa tránh tử vong gây ra do hội chứng tăng nhiễm hoặc ấu trùng nhiễm lan tỏa đến nhiều cơ quan khác nhau. Do đó, các nhà lâm sàng được khuyên rằng bệnh lý ấu trùng giun lươn nên đặt lên trong nhóm bệnh ưu tiên để chẩn đoán phân biệt bất kỳ bệnh nhân nào suy giảm miễn dịch và có triệu chứng tiêu hóa để tránh các biến chứng nghiêm trọng do quá trình tăng nhiễm gây nên.
TÀI LIỆU THAM KHẢO
1.  !important; T.N.Trung, H.H. Quang và cs., (2010). Tổng hợp một loạt ca bệnh ban trườn hoặc hội chứng ấu trùng di chuyển dưới da do ký sinh trùng tại huyện đảo Lý Sơn, tỉnh Quảng Ngãi, Việt Nam (2006-2010). Kỷ yếu công trình NCKH, Viện Y học biển Việt Nam, Hội Y học biển Việt Nam tháng 11.2010.
2.  !important; H.H Quang, T.N Trung, N.T.N. Huệ và cs (2010). Đánh giá hiệu lực thuốc Albendazole trong điều trị bệnh giun lươn chưa biến chứng tại 5 tỉnh ven biển miền Trung (2006-2009). Kỷ yếu công trình NCKH, Viện Y học biển Việt Nam, Hội Y học biển Việt Nam tháng 11.2010.
3.  !important; H.H. Quang, T.N. Trung et al., (2010). The human parasitic diseases and zoonosis in Central and highland of Vietnam (2005-2010): Situations and on-going projects/ studies at many levels. Monography of International seminar of Researchable Issues in Ecosystem Approaches to Health Management of Emerging Infectious Diseases in Southeast Asia in Bali, Indonesia, October, 2010.
4.  !important; H.H. Quang et al., (2010). Human helminthics diseases: A review and update of an emerging zoonosis now crossing Central and highland of Vietnam. Monography of International seminar of Researchable Issues in Ecosystem Approaches to Health Management of Emerging Infectious Diseases in Southeast Asia in Bali, Indonesia, October, 2010.
5.  !important; Davila PM, Fortun J, Velez RL, Norman F, et al (2008). Transmission of tropical and geographically restricted infections during solid-organ transplantation. Clin Microbiol Rev. 2008;21:60–96.
6.  !important; Hotez PJ, Brindley PJ, Bethony JM, King ChH (2008). Helminth infections: the great neglected tropical diseases. J Clin Invest. 2008;118:1311–21.
7.  !important; Agrawal V, Agarwal T, Ghoshal UC. Intestinal strongyloidiasis: a diagnosis frequently missed in the tropics. Trans R Soc Trop Med Hyg. 2009;103:242–6.