Chẩn đoán xác định
Khai thác bệnh sử
Những bệnh nhân thường nhiễm bệnh không triệu chứng, giun có thể được phát hiện một cách tình cờ khi tìm thấy da vùng rìa quanh hậu môn;
Nếu bệnh nhân có triệu chứng thì ngứa hậu môn (pruritus ani) và vùng âm hộ thường là triệu chứng hay gặp nhất. Tuy nhiên, cũng có trường hợp bệnh nhân có nhiều giun kim nhưng lại không hề ngứa qua sàng lọc bệnh nhi với cỡ mẫu lớn;
Cha mẹ để ý thấy con cái mình thường không ngủ ngon giấc, điều này gặp ở nhiều bệnh nhân, nhất là trong lứa tuổi đi nhà trẻ;
Khám thực thể
Các bệnh nhân thường có sự trầy xướt hoặc vệt đỏ quanh hậu môn, âm hộ hoặc cả hai nhưng nhiễm đôi khi nhiễm khá nhiều giun chúng ta lại không phát hiện dấu hiệu ngứa này;
Quan sát bằng mắt thường thấy giun là một trong những bằng chứng đáng tin cậy và cũng là cơ sở để tiến hành điều trị;
 |  |
Hình 10a. Triệu chứng và thói quen liên quan đến nhiễm giun kim | Hình 10b. Chu kỳ phát triển của giun kim E. vermicularis |
Xét nghiệm
Giun có thể phát hiện trong phân hoặc vùng quanh hậu môn trước khi tắm buổi sáng;
Ngoại lệ, nếu con giun cái đẻ trứng có thể di chuyển lạc chỗ đến cơ quan sinh dục nữ và gây viêm âm đạo, âm hộ (do hậu môn và bộ phận sinh dục ở nữ gần nhau).
Hoặc đôi khi tình cờ phát hiện tổn thương dạng u hạt hoại tử hoặc qua phẩu tích thấy giun nằm bên trong, đôi lúc gặp cả trứng, ấu trùng trong vòi trứng và khoang phúc mac, điều này cho thấy giun có hướng di chuyển lên bộ phận sinh dục;
Phát hiện giun kim ở các nếp nhăn quanh hậu môn, xem đại thể phân có thể gặp giun kim bám toàn màu trắng ở rìa khuôn phân;

 |  |  |
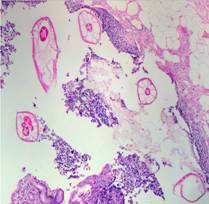
Giun kim đôi khi được chẩn đoán tình cờ qua giải phẩu bệnh. Hình ảnh giun kim qua nhuộm hematoxyline và eosin. |   !important;Hình ảnh phóng đại của giun kim trong tiêu bản cắt ngang, nhuộm hematoxyline và eosin |   !important;Hình ảnh giun kim đực trong lát cắt ngang, alae (mũi tên xanh), ruột (mũi tên đỏ) và tinh hoàn (mũi tên đen) |
Hình 11. Giun kim trong lòng ruột thừa và giải phẩu bệnh dưới kính hiển vi.
Thu thập trứng giun bằng phương pháp dán giấy bóng kính vào hậu môn vào buổi sáng sớm trước khi tắm hoặc rửa hậu môn, sau đó soi dưới kính hiển vi sẽ thấy trứng giun kim khá điển hình; giấy bóng kinh này thường dán vào ban đêm hoặc sáng sớm trước khi cho bệnh nhân rửa hậu môn, thông thường chúng ta lấy 3 mẫu 3 ngày liếp tiếp mới phát hiện được hoặc loại trừ.
Trong quá trình chuẩn bị bệnh phẩm nên pha loãng dung dịch sodium hydroxide hoặc toluene vào slide.
Hiếm khi việc chẩn đoán bệnh giun kim lại đòi hỏi can thiệp các kỹ thuật chẩn đoán hình ảnh.

Hình 12. Trứng giun kim trong âm đạo qua quan sát dưới kính hiển vi
Chẩn đoán phân biệt
Bệnh giun kim biểu hiện triệu chứng tương đối điển hình nên cũng dễ phát hiện, song có một số ca (dù không nhiều) đã biểu hiện triệu chứng như một số bệnh lý nội, ngọai khoa khác như viêm ruột thừa, nhiễm giun đũa, viêm cổ tử cung, viêm da tiếp xúc và đặc biệt nhiễm đơn bào Giardia spp., viêm hố chậu, viêm da ở những cá nhân làm việc trong môi trường kém vệ sinh, hoặc nhiễm sán dải chó Dipylidium caninum.

Hình 13a. Dụng cụ xét nghiệm giun kim E. vermicularis

Hình 13b. Hình giun kim E. vermicularis trưởng thành trên lam xét nghiệm
Biến chứng do giun kim E. vermicularis
Khi ở trong ruột, giun kim có thể gây những tổn thương kích thích niêm mạc ruột, làm rối loạn tiêu hóa hoặc gây tình trạng viêm ruột mạn tính, có thể gây nổi mẩn dị ứng, nếu giun kim chùi vào ruột thừa có thể gây viêm ruột thừa, đôi khi giun kim chui sang bộ phận sinh dục (nhất là trẻ em nữ) gây viêm sinh dục, âm hộ, âm đạo, rối loạn tiểu tiện và thậm chí rối loạn kinh nguyệt;
Nhiễm trùng thứ phát do vi khuẩn ở vùng da quanh hậu môn do trẻ ngứa, khó chịu đưa tay vào gãi gây trầy, xướt, loét da niêm mạc. Sự tái nhiễm thường xuyên là tất yếu, vì quá trình nhiễm có thể kéo dài khi con giun cái tiếp tục đẻ trứng trong nếp kẻ hậu môn;
Rối loạn giấc ngủ ban đêm do ngứa quanh vùng hậu môn; trẻ em mắc bệnh giun kim kéo dài nhiều năm, tái đi tái lại sẽ ảnh hưởng đến giấc ngủ, chậm phát triển cơ thể trí tuệ, trẻ gầy, xanh xao, bụng ỏng và kém ăn, cuối cùng suy dinh dưỡng. Mặc dù, hầu hết ca nhiễm trùng giun kim thường “lành tính” và 1/3 số người nhiễm giun kim không biểu hiện triệu chứng. Song, không phải nhiễm giun kim luôn là vô hại, vì chúng có thể dẫn đến nhiều biến chứng và hệ lụy khó lường.
- Viêm ruột thừa:
Do vị trí giun kim ký sinh ở manh tràng nên nếu có số lượng nhiều, giun có thể chui vào ruột thừa gây viêm, vào thành ruột gây u nhỏ. Mối liên quan giữa nhiễm giun kim và viêm ruột thừa được tìm thấy với tỷ lệ dao động từ 0,2-4,1%. Năm 2006, tại Mỹ, Falebita tiến hành khảo sát ổ bụng 155 bệnh nhân đã phát hiện 14,1% số ca có giun kim trong lòng ruột thừa nhưng không kèm phản ứng viêm. Theo nghiên cứu Sodergren (2009) cho thấy giun kim gây viêm ruột thừa do tắc nghẽn.
- Viêm cơ quan sinh dục
Giun kim có thể chui sang bộ phận sinh dục, đặc biệt là nữ giới dẫn đến viêm âm đạo, viêm cổ tử cung, rối loạn tiểu tiện và rối loạn kinh nguyệt. Năm 2002, một công trình nghiên cứu của Tandan và cộng sự cho thấy những trẻ gái nhiễm giun kim có khả năng nhiễm trùng đường tiểu cao hơn, do sự di chuyển lạc chỗ của giun vào niệu đạo và bàng quang.
Một số ít trường hợp có biểu hiện đau bụng, buồn nôn, nôn, tiêu chảy, hoặc hiếm hơn là gây biến chứng viêm bàng quang, viêm cổ tử cung, viêm nội mạc tử cung, viêm vòi trứng, viêm buồng trứng và viêm phúc mạc, ảnh hưởng tới sức khỏe sinh sản.
Giun kim lạc chỗ hoặc nhiễm trùng ngược dòng đi lên vào trong niệu đạo, cơ quan sinh dục cũng gây nhiễm trùng tiểu ở nam.

Hình 14. Hậu quả do nhiễm trùng giun kim Enterobius vermicularis gây ra
- Một số biến chứng khác:
Tắc ruột, thủng ruột, viêm đại tràng biểu hiện lâm sàng trên bệnh nhân như bệnh lý tiêu chảy Crohn's và viêm đại tràng, chủ yếu ở phần hồi - đại tràng lên tăng bạch cầu ái toan.
Một số báo cáo ca bệnh cho thấy nhiễm trùng giun kim nghiêm trọng có thể liên quan đến tăng nguy cơ viêm ruột thừa. Gãi các vùng ngứa có thể gây nên tình trạng chàm hóa, hoặc nhiễm khuẩn thứ phát vùng quanh trực tràng, nhiễm giun kim có thể lan rộng đến âm đạo và có thể xuất tiết dịch âm đạo.
Giun kim E. vermicularis có thể có triệu chứng nan ná với các bệnh lý khác, mặc dù hiếm gặp, song có thể dẫn đến biến chứng nhiễm trùng nghiêm trọng như áp xe vòi trứng.
Các biến chứng sau cũng nên đáng lưu ý như viêm ruột thừa, viêm nội mạc tử cung, viêm vòi trứng, viêm niệu đạo, nhiễm trùng đường tiểu và viêm âm hộ âm đạo
Thái độ xử trí và Điều trị
Chăm sóc y tế
Nhiều gia đình có bệnh nhân gặp phải các lời khuyên đôi khi chưa hợp lý từ thấy thuốcnhi khoa và cấp cứu hồi sức về vấn đề giun kim. Trong quá trình kê đơn thuốc, đưa ra lời khuyên và hướng dẫn điều trị là khâu rất quan trọng. Ngoài ra, hướng dẫn chăm sóc, rửa tay thường xuyên cho tất cả mọi người là biện pháp hiệu uqả ngăn ngừa lan truyền bệnh;
Vì nhiễm ký sinh trùng không triệu chứng của một số thành viên khác trong gia đình thường xảy ra, nên chúng ta phải điều trị đồng thời tất cả thành viên đó là một cách phòng và điều trị hợp lý nhất. Gia đình cũng nên thông báo cho các thành viên đó điều trị lặp lại vì khả năng tái nhiễm là có thể.
Xử lý giảm triệu chứng ngứa có thể dùng một số kem thoa chống ngứa tại vùng nhiễm.

Hình 15. Chu trình tự nhiễm của giun kim: Thách thức loại trừ hoàn toàn giun kim
Nguyên tắc điều trị
Điều trị phải kết hợp chặt chẽ với phòng bệnh để tránh tái nhiễm;
Với các tập thể nhiễm giun kim cao cần điều trị hàng loạt và điều trị lại để tránh tái nhiễm;
Một số tác giả có ý kiến cho rằng vì giun kim có tuổi thọ ngắn so với một số giun khác (1,5-2 tháng trong ruột) nên nếu kiểm soát và chống lại bệnh tự nhiễm tốt, một cách tích cực thì có thể không cần dùng thuốc, bệnh cũng tự khỏi.

Hình 16
Thuốc điều trị giun kim
Tên thuốc | Mebendazole (biệt dược Vermox) |
Mô tả | Thuốc gây chết giun nhờ vào cơ chế block đảo ngược khâu tiêu thụ glucose và vi chất khác. |
Liều người lớn | 100 mg đường uống, liều suy nhất, liều lặp lại trong vòng 2 tuần |
Liều trẻ em | Chỉ định như liều ngưới lớn |
Chống chỉ định | Mẩn cảm với thuốc, bệnh gan |
Tương tác thuốc | Thuốc carbamazepine và phenytoin có thể giảm hiệu lực thuốc mebendazole; cimetidine có thể làm tăng nồng độ mebendazole. |
Phụ nữ có thai | Nguy cơ phôi thai được đánh giá trong vài nghiên cứu động vật, chưa thấy biểu hiện trên người, có thể dùng nếu xét hiệu quả cao hơn nguy cơ. |
Thận trọng | Điều chỉnh liều khi bệnh nhân suy gan |
Tên thuốc | Albendazole (Biệt dược Unaben®, X-worm®, Albenca®, Unaben®) |
Mô tả và cơ chế | - Albendazole làm giảm sinh năng lượng ATP trong cơ thể giun, gây nên giáng hóa năng lượng, bất động và cuối cùng chết giun. Để tránh đáp ứng viêm trong hệ thần kinh trung ương, các bệnh nhân cũng phải bắt đầu với các thuốc chống co giật và thuốc glucocorticoids liều cao. - Về cơ chế tác dụng, thuốc gây giáng hóa tổ chức vi ống-bào tương và tế bào vỏ của giun đường ruột. - Về dược động học: thuốc hấp thu < 5% và có thể tăng lên gấp 4-5 lần nếu dùng thuốc cùng với bữa ăn có nhiều chất béo. Thuốc phân bố tốt vào trong các nang sán và cơ quan thần kinh trung ương. Tỷ lệ gắn protein là 70%. Thuốc chuyển hóa ở gan, hiệu ứng pha đầu kéo dài, thời gian bán hủy từ 8-12 giờ, thời gian để thuốc đạt đỉnh 2-5 giờ. Đào thải thuốc qua nước tiểu (< 1% dưới dạng chất chuyển hóa) hoặc qua phân. |
Liều người lớn | Albendazole viên nén 400 mg đường uống, liều lặp lại trong vòng hai tuần, khi uống thuốc nên uống sau bữa ăn. Nếu có vấn đề gì xảy ra cần giám sát chỉ số công thức máu toàn phần và xét nghiệm chức năng gan. |
Liều trẻ em | Độ an toàn của albendazole trên trẻ em < 6 tuổi vẫn chưa rõ ràng. Các nghiên cứu sử dụng albendazole trên các trẻ em 1 năm tuổi vẫn cho thấy dùng an toàn. Theo Hướng dẫn của TCYTTG trong chiến dịch phòng bệnh hàng loạt, albendazole có thể sử dụng trên các trẻ em 1 tuổi. Nhiều trẻ < 6 tuổi đã được điều trị trong các chiến dịch này với thuốc albendazole, mặc dù có giảm liều. |
Chống chỉ định | Đối với cơ địa mẩn cảm với thuốc albendazole hoặc nhóm benzimidazoles |
Tương tác thuốc | Một số thuốc có tương tác với albendazole như fosphenytoin, phenytoin hoặcdexamethasone, praziquantel |
Phụ nữ có thai | - Albendazole dùng trên phụ nữ mang thai được xếp vào phân loại C. Các dữ liệu về sử dụng albendazole trên phụ nữ mang thai vẫn còn hạn chế, mặc dù các bằng chứng sẵn có cho thấy không có sự khác biệt bất thường trên các trẻ sinh ra từ các bà mẹ được điều trị tình cờ bằng albendazole trong suốt quá trình chiến dịch dự phòng hàng loạt so với các nhóm phụ nữ không dùng. - Trong chiến dịch dự phòng hàng loạt mà trong đó TCYTTG đã xác định lợi ích của điều trị lớn hơn nguy cơ, TCYTTG cho phép sử dụng albendazole trên phụ nữ mang thai ở 3 tháng giữa và 3 tháng cuối. Tuy nhiên, nguy cơ điều trị trên các phụ nữ mang thai có nhiễm cần cân nhắc giữa lợi ích và nguy cơ của việc điều trị trước khi quyết định; - Phân loại C của thuốc trên phụ nữ mang thai, nghĩa là các nghiên cứu trên động vật biểu hiện các tác dụng ngoại ý đối với phôi thai (quái thai hoặc gây chết phôi thai) và không có các nghiên cứu đối chứng trên các phụ nữ cũng như trên động vật. Thuốc nên cho chỉ khi nhận thấy lợi ích lớn hơn nguy cơ phôi thai trên các phụ nữ đang mang thai. |
Phụ nữ đang cho con bú | - Vẫn chưa rõ ràng với các dữ liệu liệu thuốc albendazole có bài tiết qua sữa mẹ hay không; - Albendazole nên sử dụng với sự thận trọng trên các phụ nữ đang cho con bú. |
Thận trọng | - Giám sát nồng độ thuốc theophylline nếu đang sử dụng thuốc đồng thời; - Có nguy cơ tiềm tàng ức chế tuỷ xương, thiếu máu bất sản và mất bạch cầu hạt; giám sát công thức máu chung trên các bệnh nhân có liệu trình điều trị kéo dài 28 ngày và theo dõi mỗi hai tuần khi điều trị, cần ngưng điều trị nếu có những thay đổi trên lâm sàng đáng kể ở công thức máu xảy ra; - Các bệnh lý ấu trùng sán dây lợn thể thần kinh tồn tại có thể không được bảo vệ trên các bệnh nhân điều trị theo liều cân nặng như các bệnh khác, có thể biểu kiến các triệu chứng thần kinh (động kinh, co giật, tăng áp lực sọ não, dấu thần kinh khu trú) nên điều trị kịp thời bằng corticosteroid và thuốc chống co giật; - Cần thử xem có thai không trước khi tiến hành điều trị và nên tránh dùng thuốc khi mang thai, trừ khi các triệu chứng không thay đổi cần phải quản lý thích hợp; cần thiết gián đoạn liệu trình điều trị nếu mang thai xảy ra và thông tin coh bệnh nhân biết các nguy hại tiềm tàng có thể xảy ra cho phôi thai; - Nguy cơ tổn thương võng mạc trên các bệnh nhân ấu trùng sán dây lợn; các ca bệnh võng mạc như thế đã được báo cáo, nên khám bệnh nhân xem các thương tổn ở võng mạc trước khi điều trị bệnh ấu trùng sán dây lợn thể thần kinh. - Tăng nhẹ men gan cũng có thể xảy ra, cần giám sát các men gan trước khi bắt đầu liệu trình điều trị từng đợt và ít nhất mỗi hai tuần trong suốt quá trình điều trị. Nếu cần có thể gián đoạn khi có vấn đề tăng men gan quan trọng xảy ra. |
Tên thuốc | Pyrantel (biệt dược Antiminth, Pin-Rid, Pin-X) |
Mô tả | Qua cơ chế khử cực thần kinh cơ và ức chế men cholinesterases, dẫn đến liệt hoạt động cơ giun, dùng thuốc kèm với sữa hoặc nước trái cây. |
Liều người lớn | 11 mg/kg đường uống, một lần duy nhất, không được vượt liều 1 g; điều trị lặp lại trong vòng 2 tuần. |
Liều trẻ em | Chỉ định như liều ngưới lớn |
Chống chỉ định | Mẩn cảm với thuốc, bệnh gan |
Tương tác thuốc | Nồng độ theophylline trong máu có thể tăng trên những bệnh nhi, theo dõi chỉ định pyrantel pamoate thêm. |
Phụ nữ có thai | Nguy cơ thai nhi được đánh giá trong vài nghiên cứu ở động vật, chưa thấy biểu hiện trên người, có thể dùng nếu xét hiệu quả cao hơn nguy cơ. |
Thận trọng | Thận trọng trên những bênh nhân suy gan, thiếu máu, suy dưỡng. |
-Con đường tác động về mặt sinh hóa học khác nhau trong cơ thể con người, do đó độc tính trực tiếp lên ký sinh trùng, giai đoạn trứng, ấu trùng cũng khác nhau tùy mức độ. Cơ chế tác động khác nhau theo loại thuốc;
-Mebendazole hoặc albendazole được xem là thuốc lựa chọn khuyên dùng điều trị cho bệnh giun kim;
-Liều thứ 2 được chỉ định sau liều đầu khoảng 2 tuần giúp ngăn ngừa tái nhiễm giun kim;
-Điều trị giun kim chui vào âm đạo âm hộ hiện vẫn còn đang tranh luận. Vấn đề này rất quan trọng và được xem là bệnh giun kim lạc chỗ (ectopic enterobiasis) vì nếu có sự tái hiện của giun kim nằm trong âm đạo âm hộ của những đứa trẻ em gái coi như là một ổ chứa tiềm tàng để giun kim không bao giờ chấm dứt. Có những trường hợp phải dùng đến nhiều liều mebendazole vẫn thất bại vì ổ chứa không bị điều trị triệt căn.
Biện pháp phòng bệnh
-Phát hiện bệnh và điều trị kịp thời;
-Rửa hậu môn cho trẻ vào buổi tối trước khi đi ngủ và sáng sớm;
-Không nên để trẻ mặc quần thủng đáy (hở đủng) hoặc không mặc quần, không để trẻ chơi lê la ở nền đất bẩn; giữ tay sạch, cắt ngắn móng tay, rửa tay sạch trước khi ăn và sau khi đi đại tiện
-Tất cả các vật dụng như giường, chiếu, áo gối thường xuyên đưa đi phơi nắng (nếu có thể);
-Cải tạo tập quán vệ sinh tốt tại nhà, vườn trẻ, trường mẫu giáo, mầm non, và nơi sống tập thể (công nông lâm trường, xí nghiệp có khu nội trú).
Dưới đây là một số phương thức để phòng bệnh và loại bỏ giun kim mà có thể áp dụng đồng thời cả trong trường học mẫu giáo, nhà trẻ, nhà ở có trẻ em, ….Và có thể sử dụng các hình ảnh này trong truyền thông giáo dục sức khỏe (TTGDSK) hoặc truyền thông nguy cơ (TTNC).

Hình 15. Chẩn đoán giun kim E. vermicularis bằng test áp dính
Chẩn đoán giun kim:
-Một phương pháp chẩn đoán giun kim dễ dàng là sử dụng test dán. Dùng một miếng dán sạch cellophane tape và bao phủ quanh ngón tay của bạn với phần băng dính lộ ra ngoài. Ngay sau khi trẻ thức dậy, ấn mạnh vùng dính lên vùng da xung quanh hậu môn. Trứng sẽ dính vào miếng dán (nếu có) !important;
-Giữ miếng dán và lấy nó ra ngay sau đó đặt chúng vào trong túi nhựa có khóa. Cần lưu ý là miếng dán này là chất liệu nhiễm trùng có thể lây nhiễm cho người khác !important;
-Đảm bảo khâu làm test và đầu đủ trước khi cho trẻ đi vệ sinh và đại tiện hay tắm. Một số thầy thuốc khuyên xét nghiệm như thế này 3 buổi sáng liên tiếp, nhưng cơ hội một test dương tính là sẽ đủ chẩn đoán.

Hình 16
Thăm khám bác sỹ:
-Ngay cả khi đã nhìn thấy trứng trên miếng dính, bạn cũng nên dẫn trẻ hoặc bệnh nhân nhiễm đến gặp bác sỹ !important;
-Một bác sỹ có thể xác định nhiễm giun kim khi bạn mang các mẫu bệnh phẩm đó đến để xác định nhiễm trùng giun kim !important;
-Bác sỹ có thể miếng dán có chứa trứng giun kim lên và soi dưới kính hiển vi để xác định lại.
Điều trị giun kim:
-Nhiễm trùng giun kim có thể điều trị bằng hai liều thuốc. Liều đầu tiên được chỉ định khi phát hiện giun kim. Liều thứ hai lặp lại sau 2 tuần kể từ liều đầu !important;
-Điều này sẽ đảm bảo rằng tất cả giun trưởng thành và giảm gián tiếp đẻ trứng trong khi tiếp xúc với liều đầu tiên nên sẽ bị giết sạch vì thuốc không có hiệu quả trên trứng giun kim !important;
-Mọi người trong nhà có người nhiễm giun kim đó cũng nên điều trị đồng thời !important;
-Thuốc thông dụng để điều trị là mebendazole, pyrantel pamoate và albendazole !important;
-Thuốc pyrantel pamoate sẵn có trên các quầy dưới dạng thuốc không cần kê đơn (over-the-counter medication). Các thuốc khác cần phải có đơn bác sỹ !important;
-Cần sự tư vấn của bác sỹ nên dùng loại thuốc nào để đảm bảo kết quả điều trị.

Hình 17
Sử dụng một số phương pháp thay thế
-Cần hiểu biết một số giưới hạn của chế phẩm hay phương thuốc thiên nhiên: Điều quan trọng là phải chú ý đến các phương thuốc thay thế này không được xác định bởi các bằng chứng khoa học mà đó chỉ là các lưu truyền có tính giai thoại mà thôi hoặc dựa trên các kinh nghiệm mang tính cá nhân và truyền miệng !important;
-Không có các nghiên cứu khoa học để chứng minh chúng có hiệu quả và cũng không có cách nào để biết rằng các liệu pháp điều trị thay thế này có ích cho tất cả ca bệnh nhiễm giun kim. Do vậy, bạn cần cân nhắc và hỏi ý kiến bác sỹ trước khi thực hiện !important;
-Nếu bạn muốn thử các liệu pháp thay thế cần phải cho bác sỹ bạn biết. Các phương pháp điều trị thay thế này có thể phối hợp với các thuốc điều trị mà bác sỹ đã kê đơn và không được bỏ thuốc.
* Dùng tỏi:
-Tỏi được xem là liệu thuốc tốt gia đình để giúp loại bỏ giun kim !important;
-Ăn nhiều tỏi tươi và tỏi có thể giúp giảm và giết các giun kim khi có nhu động ruột !important;
-Bạn cũng có thể dùng tỏi dán vào vùng da quanh rìa hậu môn !important;
-Tỏi có thể giết chết trứng và dầu tỏi sẽ giúp giảm ngứa.

Hình 18
Thử nghệ:
-Nghệ đã cho thấy qua các nghiên cứu trong la-bô đã giết chết ký sinh trùng, mặc dù các nhà nghiên cứu không chắc chắn liệu nó có giết chết ký sinh trùng trên cơ thể người !important;
-Tuy nhiên, các thực phẩm gia vị như nghệ được coi là có hiệu quả chữa khỏi giun kim. Ăn 300mg nghệ ở dạng viên nang 3 lần/ ngày !important;
-Bạn cũng có thể uống trà với nghệ. Ngâm 1 muỗng nghệ vào trong một tách nước nóng trong 5-10 phút. Uống 2-4 cốc !important;
-Đừng uống nghệ nếu bạn đang dùng chất chống đông máu vì nghệ làm tăng nguy cơ chảy máu.

Hình 19
Uống trà ngãi đắng:
-Thảo dược ngãi đắng là một thảo dược cổ truyền đã từng được sử dụng giúp tống xuất giun ra khỏi đường tiêu hóa !important;
-Thêm 3-4 giọt cồn có chứa ngãi đắng vào trong cốc nước ấm !important;
-Cho con trẻ của bạn uống 1 cốc mỗi ngày và người lớn 2 cốc mỗi ngày !important;
-Hãy cần sự tư vấn của bác sỹ của bạn trước khi dùng ngải đắng !important;
-Đừng dùng loại thảo được này nếu bạn đang dùng thuốc chống động kinh !important;
-Nếu bạn dị ứng với cỏ phấn hương, bạn cũng có thể dị ứng với ngãi đắng này.
Ngăn ngừa tái nhiễm
Rửa sạch tay:
-Mọi người trong gia đình cần phải rửa tay sạch thường xuyên !important;
-Bạn nên rửa sạch tay sau khi bạn dán giấy dính để xét nghiệm và tiếp xúc với các trẻ bị nhiễm giun kim !important;
-Rửa sạch tay của bạn trước khi bạn ăn hay sau đút tay vào miệng. Đảm bảo rửa sạch tay của bạn đầy đủ với xà phòng !important;
-Bắt đầu làm ướt tay của bạn, bôi bọt xà phòng trên tay của bạn. Bảo đảm làm sao cho xà phòng nằm giữa các ngón tay và các móng tay !important;
-Sử dụng một bàn chải mềm đánh các móng tay vì trứng giun có thể ẩn bên dưới móng tay, đặc biệt khi bệnh nhân thường gãi lúc ngứa hậu môn !important;
-Sau khi rửa xong, cần rửa sạch bằng nước ấm. Sau đó làm khô tay toàn bộ !important;
-Cắt ngắn móng tay để ngăn chặn và làm giảm kích ứng ngứa và giảm khả năng lây lan giun kim ra xung quanh.

Hình 20
Tắm rửa buổi sáng:
-Khi bạn hay con của bạn nhiễm giun kim, bạn nên tắm sau khi thức dậy vào buổi sáng !important;
-Giun kim đẻ trứng vào ban đêm, vì thế vùng hậu môn sẽ có hàng ngàn trứng trên các vùng rìa quanh hậu môn. Các trứng này có thể lan rộng đến các vùng khác hoặc chúng có thể đẻ trứng
-Ngay sau khi bạn hoặc trẻ thức dậy, lấy bỏ các quần áo nhiễm và đi tắm !important;
-Tắm bằng vòi sen thay vì tắm trong bồn tắm. Tắm trong bồn tắm có thể dẫn đến nguy cơ các trứng vây nhiễm vào lại trong nước và rồi lại dính vào cơ thể hoặc đi vào đường miệng, điều đó sẽ đưa đến tái nhiễm trên bệnh nhân.

Hình 21
Giữ cho đồ lót luôn sạch:
-Vì giun kim đẻ trứng trên vùng hậu môn, nên bạn cần đảm bảo rằng bệnh nhân thay quần lót mỗi ngày !important;
-Đừng để các quần lót bẩn vào trong cùng lần giặt với các quần áo khác, điều này sẽ làm giảm nguy cơ lan rộng giun kim và trứng giun kim !important;
-Giặt sạch quần áo, tấm drag trải giường, khăn tắm trong nước nóng !important;
-Nếu bạn không muốn giặt chúng mỗi ngày thì cần đưa chúng vào trong một túi nhựa đến khi cần giặt và cột lại. Giặt kỹ càng chúng 2 lần là ít nhất !important;
-Đảm bảo không một ai dùng lại khăn tắm trong thời gian này để giúp làm giảm nguy cơ lan rộng trứng giun kim !important;
-Cần dùng các loại bao tay sử dụng một lần khi tiếp xúc hay phơi nhiễm với các vật dụng có tiềm năng nhiễm bệnh !important;
-Không nên cầm nắm bất cứ vật dụng nhiễm bẩn nào mà không rửa sạch tay. Điều này có thể làm cho trứng di chuyển và lan rộng và có thể dẫn đến tái nhiễm liên tục.
\ !important;
Hình 22
Cần hiểu biết về giun kim
Làm cách nào nhiễm phải giun kim:
-Giun kim nhiễm qua con đường ăn thực phẩm, tiếp xúc với bất kỳ vật dụng hay người nhiễm nào có trứng giun kim và rồi đưa tay đút vào miệng !important;
-Một khi trứng đi vào ruột, chúng trưởng thành và nở ra trong ruột. Giun cái tồn tại trong ruột của bạn và di chuyển đến gần hậu môn và ra gần da !important;
-Giun kim trưởng thành màu trắng và nhỏ như sợi chỉ. Chúng thường di chuyển ra ngoài hậu môn và đẻ trứng ở đó. Chỉ mất khoảng vài giờ là nở và có khả năng gây nhiễm !important;
-Trứng giun kim có thể sống sót đến 2 tuần trên quần áp, giường chiếu, thực phẩm và các bề mặt vật dụng khác !important;
-Trứng giun kim có thể sống trên lông thú đến 2 tuần nhưng chỉ gây nhiễm trên người mà thôi.

Hình 23
Xác định yếu tố nguy cơ:
-Các trẻ em dưới 18 tuổi là có nguy cơ nhiễm giun kim cao nhất. Ước tính có 10-40% số trẻ có nhiễm giun kim một lần trở lên !important;
-Trẻ em nhỏ có nguy cơ cao nhất và đi theo đó là các chủ hộ gia đình và các thành viên cũng như người chăm sóc trẻ !important;
-Trẻ em có thể thường không biết lan rộng giun kim trong nhà của chúng. Nếu các trẻ của họ mắc giun kim !important;
-Bạn có thể điều trị cho mọi thành viên trong gia đình của bạn vì nguy cơ lan rộng nhiễm trùng giun kim trong nhà rất phổ biến mà họ hoàn toàn không biết đến !important;
-Trẻ em cũng có thể nhiễm giun kim trong môi trường trường học và trung tâm nuôi dạy trẻ. Từ đó, có thể lây lan nhanh chóng.

Hình 24
Nhận ra triệu chứng nhiễm giun kim:
-Tiếc thay, hầu như nhiễm trùng giun kim không có triệu chứng, vì thế một người nhiễm giun kim khộng biết mình đã bị nhiễm nếu khi nhiễm không biểu hiện triệu chứng gì !important;
-Cần biết các triệu chứng chính của nhiễm giun kim là ngứa quanh hậu môn. Điều này đặc biệt xảy ra vào ban đêm khi con cái đẻ trứng và trứng vươn vải. Ngứa có thể trầm trọng và trẻ của bạn có thể không thoải mái !important;
-Các triệu chứng khác có thể gồm nhiễm trùng đường tiết niệu và mất ngủ !important;
-Nhiễm trùng có thể xảy ra nếu bệnh nhân cố gãi để giảm ngứa và tạo nên các vết thương hở trên da !important;
-Bạn có thể chẩn đoán nhiễm trùng giun kim ở nhà bằng cách sử dụng băng dính, nhưng bạn cũng nên dắt trẻ đến khám và nhờ sợ tư vấn của bác sỹ.
Tài liệu tham khảo
1.Huỳnh Hồng Quang (2008). Bệnh giun kim dễ phát hiện nhưng không dễ điều trị.http://www.impe-qn.org.vn/impe-qn/
2.Viện sốt rét-KST-CT TƯ (2006). Dự án Quốc gia Phòng chống giun sán, Tài liệu tập huấn các bệnh giun sán thường gặp ở người Việt Nam, Hà Nội, 2006.
3.Số liệu thống kê theo các báo cáo toàn quốc hàng năm của quốc gia;
4.Số liệu trích ra từ các luận văn luận án, đề tài nghiên cứu và hoạt động điều tra ký sinh trùngđường ruột hàng năm
5.Arca MJ, Gates RL et al., (2004). Clinical manifestations of appendiceal pinworms in children: an institutional experience and a review of the literature. Pediatr Surg Int.;20(5):372-5.
6.American Academy of Pediatrics (2003). Pinworm Infection. Report of the committee on infectious disease; 486-7.
7.Kucik CJ, MartinGL et al., (2004). Common Intestinal Parasites. Am Fam Physician. 69(5):11621-8.
8.Song HJ, Cho CH, Kim JS, et al., (2003). Prevalence and risk factors for enterobiasis among preschool children in a metropolitan city in Korea. Parasitol Res. 91(1):46-50.
9.Yazgan, S., U. CetinkayaI, Sahin (2015). The Investigation of prevalence of Enterobius vermicularis in primary school age children and its relation to various symptoms. Turkiye Parazitol Derg, 39, 2, 98-102.
10.Boas, H. Tapia, G. Rasmussen, T. Ronningen, K. S. (2014). Enterobius vermicularis and allergic conditions in Norwegian children. Epidemiol Infect, 142, 10, 2114-20.
11.Boas, H. Tapia, G. Sodahl, J. A. Rasmussen, T. Ronningen (2012). Enterobius vermicularis and risk factors in healthy Norwegian children. Pediatr Infect Dis J, 31, 9, 927-30.
12.Celiksoz, A. Acioz, M. Degerli, S. Alim, A. Aygan, C. (2005). Egg positive rate of Enterobius vermicularis and Taenia spp. by cellophane tape method in primary school children in Sivas, Turkey. Korean J Parasitol, 43, 2:61-4.
13.D. Cazorla, M. Acosta, E. García, M. Garvett, A. Ruiz (2002). Enterobius vermicularis infection in preschool and schoolchildren of six rural communities from a semiarid region of Venezuela. Helminthologia, 43, (2), p.81-85.
14.Eleni Efraimidou, Anthia Gatopoulou, Charilaos Stamos (2008). Enterobius vermicularis infection of the appendix as a cause of acute appendicitis in a Greek adolescent: A case report. Cases Journal, 1, p 376.
15.Falebita O.A; Khalid M.S, Cassidy O (2004). Retrospective review of pediatric appendectomy in a general surgical unit. National Institute of Health Sciences Research Bulletin, 3, 3:40-43.
16.Gonçalves, Ml; Araújo A; Ferreira Lf (2003). Human intestinal parasites in the past: new findings and a review". Mem Inst Oswaldo Cruz, Vol. 98, p.103-118.
17.Hong, S. H., Y. I. Jeong, J. H. Lee, S. H. Cho (2012). Prevalence of Enterobius vermicularis among preschool children in Muan-gun, Jeollanam-do, Korea. Korean Journal Parasitol, 50, (3), p. 259-62.
18.J Sadraei, J Jabaraei; F Ghaffarifar; Ah Dalimi (2007). Vitamin B12 and serum mineral levels in children with Enterobius vermicularis infection. Iranian Journal of Parasitology, 2(1):35-38.
19.Kim, Bong Jin, Bo Young Lee, H. K. Chung, Y. S. Lee (2003). Egg positive rate of Enterobius vermicularis of primary school children in Geoje island. The Korean Journal of Parasitology, Vol 41, (1):75-77.
20.Murray, Al (2006). Microbiology and Immunology. University of South Carolina School of Medicine (3rd ed):646-660.
21.Nithikathkul, C., B. Changsap, S. Wannapinyosheep (2001). The prevalence of Enterobius vermicularis among primary school students in Samut Prakan province, Thailand. Southeast Asian J Trop Med Public Health, 2, 133-7.
22.Norhayati, M., M. I. Hayati, P. Oothuman, O. Azizi (1994). Enterobius vermicularis infection among children aged 1-8 years in a rural area in Malaysia. Southeast Asian J Trop Med Public Health, 25, 3, 494-7.
23.Park, J. H., E. T. Han, W. H. Kim, E. H. Shin (2005). A survey of Enterobius vermicularis infection among children on western and southern coastal islands of the Republic of Korea". Korean J Parasitol, 43, 4, 129-34.
24.Rim, H. J., J. Y. Chai, D. Y. Min, S. Y. Cho (2003). Prevalence of intestinal parasite infections on a national scale among primary schoolchildren in Laos. Parasitol Res, 91, 4:267-72
25.Sodergren, M. H., P. Jethwa, S. WilkinsonR. Kerwat (2009). Presenting features of Enterobius vermicularis in the vermiform appendix. Scand J Gastroenterol, 44, 4, 457-61.
26.Tandan, T., A. J. Pollard, D. M. MoneyD. W. Scheifele (2002). Pelvic inflammatory disease associated with Enterobius vermicularis". Arch Dis Child, 86, 6:439-40.
27.Tukaew, A., T. Chaisalee, S. Nithiuthai, S. Thiamtip (2002). Enterobius vermicularis infection among pre-school children in Karen hilltribe villages in Chiang Mai, Thailand. Southeast Asian J Trop Med Public Health, 3,70-1.
28.WHO (2002). Prevention and control of schistosomiasis and soil transmitted helminthiasis- Report of a WHO Expert Committee. Technical Report Series, Geneva No 912.
29.Young, C., I. Tataryn, K. T. Kowalewska-GrochowskaB (2010). Enterobius vermicularis infection of the fallopian tube in an infertile female. Pathol Res Pract, 206, 6:405-7.
30.Zahariou, A., M. KaramoutiP. Papaioannou (2007). Enterobius vermicularis in the male urinary tract: a case report. J Med Case Rep, 1, 137.