Triệu chứng lâm sàng, cận lâm sàng giúp chẩn đoán bệnh giun xoắn Trchinella spp.
Chẩn đoán nhiễm giun xoắn không khó. Song nhiều bệnh nhân bị phát hiện quá muộn, thậm chí bị chẩn đoán nhầm thành bại liệt, thương hàn, nhiễm khuẩn cấp tính không rõ nguồn gốc. Với những biểu hiện trên, bệnh nhân phải được xét nghiệm tìm kháng thể bằng phương pháp huyết thanh miễn dịch như:
-Phản ứng huỳnh quang gián tiếp (Indirect Fluororesence Assay-IFA);
-Phản ứng hấp phụ liên kết enzyme (Enzyme LinkedImmunosorrbent Assay-ELISA);
-Phản ứng Western blot;
-Sinh thiết cơ tìm ấu trùng.
Giun xoắn chủ yếu sống trong ruột non. Trong cơ thể người, giun xoắn phát triển theo ba giai đoạn. Thời kỳ đầu, giun xoắn cư ngụ ở ruột làm bệnh nhân bị viêm ruột nặng, đại tiện lỏng như tả, nôn, đau bụng, sốt 39-40oC.
Một tuần sau, ấu trùng từ niêm mạc ruột non xâm nhập vào máu, hạch bạch huyết, làm cho bệnh nhân sốt cao, hôn mê, đau các khớp xương, đau cơ, khó nuốt, khó thở, phù mặt, nhất là ở hai mi mắt. Giữa tuần lễ thứ ba, ấu trùng bắt đầu hình thành kén và thải độc tố vào trong các cơ khiến bệnh nhân đau dữ dội, khó cử động, cơ thể gầy sút, sức khỏe suy sụp nhanh do không ăn được.
Với thể trung bình, bệnh kéo dài 3-4 tuần, có khi 2-3 tháng. Bệnh nhân thường tử vong vào tuần thứ hai và tuần thứ bảy tùy mức độ nhiễm. Phần lớn tử vong do suy nhược cực độ, kèm theo biến chứng phổi và loét da. Những người được điều trị qua khỏi vẫn còn thấy đau các cơ và bứt rứt trong nhiều tháng sau đó.

Hình 1
Triệu chứng lâm sàng
Trên người, triệu chứng chính trong giai đoạn ấu trùng trong đường tiêu hóa là đau bụng và đi phân lỏng, còn trong giai đoạn trong cơ là các biểu hiện như sốt, đau cơ, cơ hàm cứng, phù mặt nhất là phù vùng mắt. Ngoài các biểu hiện lâm sàng, kiểm tra bạch cầu ái toan (BCAT) có thể đạt ở mức > 1.000 tế bào/μL.

Hình 2
Triệu chứng lâm sàng của bệnh liên quan đến sự di chuyển và cư trú của ấu trùng trong giai đoạn phát triển của chu kỳ như sau:
-Giai đoạn ở đường tiêu hóa: Thường xuất hiện các triệu chứng bệnh vào đầu tuần;
-Giai đoạn xâm nhập vào cơ: Giai đoạn này xảy ra ở tuần thứ 2 sau khi nhiễm. Các dấu hiệu liên quan tới hệ tim mạch gồm tăng huyết áp, tăng áp lực tĩnh mạch. Các triệu chứng xảy ra suốt tuần thứ 3 của bệnh với tỷ lệ tử vong 0,1%, thường xảy ra suốt từ tuần thứ 4 tới tuần thứ 8 của bệnh.
Tử vong trên các bệnh nhân nhiễm trùng giun xoắn có thể do biến chứng suy tim xung huyết hoặc rối loạn nhịp tim.
Triệu chứng cận lâm sàng, chẩn đoán hình ảnh
Công thức máu toàn phần
+Tăng bạch cầu (BC) gặp đến 65% số bệnh nhân, có thể số lượng BC chung tăng lên trên 20.000/μL;
+Tăng BCAT thường tăng trong vòng 10 ngày đầu sau khi nhiễm giun Trichinella spp. Đỉnh cao là trong 3-4 tuần đầu và giảm trong vài tháng sau;
+Hầu hết bệnh nhân mắc giun xoắn, có hoặc không biểu hiện triệu chứng, song có biểu hiện tăng BCAT. Ngoại lệ, có trường hợp nhiễm giun cường độ nặng, lượng BCAT có thể bị ức chế, khi đó BCAT không tăng mà còn trong giới hạn hoặc giảm thấp trong tình trạng chung của nhiễm trùng nặng. Trong các trường hợp đó, bệnh nhân có tỷ lệ tử vong cao;
+Tỷ lệ số ca có tốc độ máu lắng (VS) thường nằm trong giới hạn bình thường.

Hình 3
Phân tích một số thông số sinh hóa
Nồng độ enzyme creatine kinase (CK) tăng lên đến 15.000-20.000 UI/L một số ca bệnh; chỉ số CK tăng cao có thể liên quan tới thương tổn cơ tim. Tuy nhiên, chỉ khoảng 35% bệnh nhân không liên quan tới cơ tim, có thể tăng nồng độ enzym CK;
Nồng độ đồng enzyme lactate dehydrogenase (LDH) isoenzymatic tăng cao ở 50% số ca.
Điện tâm đồ (ECG)
Trên hình ảnh ECG, các nhà lâm sàng có thể thấy khoảng PR kéo dài, phức bộ QRS nhỏ với blốc trong thất, sóng T dẹt hoặc đảo nghịch, đặc biệt ở chuyển đạo II và chuyển đạo tới tim;
Điện tâm đồ có thể hữu ích trong chẩn đoán bị nhiễm ký sinh trùng ở mức từ vừa đến nặng, nhưng không phải là dữ liệu đặc hiệu. Kết quả thử nghiệm có thể cho thấy viêm cơ cấp hoặc rối loạn chức năng bệnh lý cơ tim lan tỏa.

Hình 4
Xét nghiệm miễn dịch huyết thanh
-Kỹ thuật ELISA: Kỹ thuật này có độ nhạy cao sau tuần thứ 2-3 kể từ khi bị nhiễm ký sinh trùng. Kháng thể kháng giun xoắn T. spiralis có thể tồn tại vài năm sau khi nhiễm. Nồng độ kháng thể trong huyết thanh không tương quan với độ nặng của bệnh hoặc diễn tiến lâm sàng;
-Một kết quả dương tính thường biểu thị giai đoạn nhiễm ký sinh trùng sớm;
-Kỹ thuật Western-blot: Là phương pháp chẩn đoán huyết thanh học thường dùng xác định chẩn đoán lại những ca dương tính với ELISA, nhằm loại trừ những ca nghi ngờ dương tính giả do phản ứng dương tính chéo;
-Miễn dịch huỳnh quang gián tiếp (IFA): Kết quả ngưng kết hạt latex thường không hiển thị sau hơn 1 năm bị nhiễm ký sinh trùng.
Các xét nghiệm cận lâm sàng khác
-Các kỹ thuật hay công cụ phân tử (molecular tools) gần đây được áp dụng để vừa chẩn đoán tác nhân vừa dùng để xác định loài Trichinella spp. gây bệnh;
-Điển hình là kỹ thuật PCR có thể được sử dụng phát hiện các các đoạn gen đặc hiệu của ký sinh trùng Trichinella spp. Phương pháp này đòi hỏi có mẫu bệnh phẩm đúng, có độ nhạy, độ đặc hiệu và độ chính xác cao. Song phương pháp này có chi phí tốn kém và không thực tế để kiểm tra như một xét nghiệm thường quy;
-Xác định các loài Trichinella spp. hoặc kiểu gen của Trichinella spp. thu hồi từ các mô cơ là có ý nghĩa trong việc tìm hiểu về dịch tễ học và đánh giá các nguy cơ nhiễm bệnh. Cặp mồi đặc biệt đã được phát triển cho phép xác định ấu trùng thu thập từ mô cơ ở mức độ loài và kiểu gen của Trichinella spp. có thể thực hiện tại các phòng thí nghiệm tham chiếu quốc tế, kể cả trong nước hiện nay như Viện Sốt rét-Ký sinh trùng-Côn trùng và các đơn vị nghiên cứu sinh học phân tử chuyên sâu;
-Chọc dò tủy sống lấy dịch phân tích có thể cho kết quả bình thường 50-75% số bệnh nhân, khả năng thấy ấu trùng từ 8-24% bệnh nhân. Một số ca có thể cho hình ảnh như viêm não tăng BCAT.
Chẩn đoán hình ảnh
-Trên các bệnh nhân có triệu chứng lâm sàng liên quan đến hệ thần kinh trung ương, có thể bệnh nhân nhiễm nhiều tác nhân gây bệnh khác nhau, nhất là khi bệnh nhân đang sống tại các vùng có nhiều bệnh ký sinh trùng ở người hoặc lây truyền từ động vật sang người;
-Do vậy, việc áp dụng các phương pháp xét nghiệm huyết thanh và chẩn đoán hình ảnh như chụp cắt lớp vi tính (CT-scanner) và chụp cộng hưởng từ (MRI) có thể phát hiện ra các tổn thương dạng nốt hoặc dạng vòng tròn 3-8 mm tương đối điển hình cho nhiễm giun xoắn T. spiralis.
Sinh thiết cơ phân tích mô bệnh học:
Sinh thiết cơ sẽ cung cấp một chẩn đoán xác định ca bệnh, nhưng độ nhạy không cao. Phương pháp sinh thiết này gây đau cho bệnh nhân. Về kỹ thuật, bác sỹ sẽ lấy mẫu bẹnh phẩm cơ chứng 0,5-1g từ cơ delta hoặc cơ cẳng chân vì những cơ này dễ sinh thiết nhất. Tỷ lệ dương tính tăng lên nếu vị trí sinh thiết đang bị sưng hoặc đau. Một kết quả sinh thiết âm tính không nhất thiết loại trừ nhiễm ký sinh trùng này.
Nhuộm mẫu sinh thiết theo kỹ thuật nhuộm hematoxyline và eosin. Cần lưu ý có thể thấy ấu trùng sau khi cơ bắp đã bị tiêu do các enzyme. Nếu sinh thiết được thực hiện trước khi ấu trùng cuộn lại, mô của giun Trichinella spp. có thể bị nhầm lẫn với tế bào cơ.
 |  |  |
Hình 5a. Sinh thiết cơ ngực | Hình5b. Sinh thiết cơ bắp chân | Hình5c. Kim sinh thiết cơ |

Hình 6. Vô trùng và sinh thiết cơ nghi ngờ
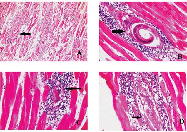
Xét nghiệm mô học có thể phát hiện sự phá hủy các cơ vân, gồm thoái hóa ưa base của các sợi cơ khi quan sát trên các phần nhuộm hematoxylin và eosin. Có thể thấy được các ký sinh trùng chết không có nang kén. Các tế bào cơ có những chấm xuất huyết nhỏ và các tế bào viêm tập trung. Kết quả phân tích mô học cơ tim phù hợp với một phản ứng trung gian như huyết thanh miễn dịch. Ký sinh trùng di chuyển qua cơ tim nhưng không hình thành nang kén.

Hình 7
Tuy nhiên, một phản ứng viêm mạnh xảy ra với nhiều BCAT, nhiều hồng cầu tích lại trong khối sợi fibrin và cơ tim hoại tử từng điểm. Có thể tràn dịch màng tim từ nhẹ tới vừa.
Quanh mạch máu ở hệ thần kinh trung ương (CNS) có sự tập trung nhiều BCAT, tế bào lympho, các đại thực bào và bạch cầu đa nhân trung tính phát triển trong hệ thần kinh trung ương và liên quan tới các khu vực khác, dẫn đến thiếu máu cục bộ và tạo nên vòng xoắn bệnh lý.

Hình 7.Các tế bào hình sao và các vi bào đệm có thể bọc xung quanh ấu trùng Trichinella spp.
Chẩn đoán xác định
Tiêu chuẩn chẩn đoán ca bệnh theo Bộ Y tế (Việt Nam)
Theo Tài liệu Định nghĩa trường hợp Bệnh truyền nhiễm do Bộ Y tế ban hành kèm theo Quyết định số 4283/QĐ-BYT ra ngày 08 tháng 8 năm 2016 với bệnh do giun xoắn thuốc nhóm bệnh C trong Luật phòng chống bệnh truyền nhiễm (ICD10 là B75)
- Trường hợp bệnh nghi ngờ
Là trường hợp có ăn thịt lợn chưa nấu chín, tiết canh kèm theo các triệu chứng sau:
+Sốt nhẹ sau tăng dần, sau 2-3 ngày thân nhiệt có thể lên đến 39-400C;
+Đau cơ xuất hiện khi thở sâu, nhai, nuốt, đại tiện, đau cả vùng mặt và cổ, đau cả khi vận động và ăn, nói;
+Phù mi mắt, phù mặt, sau đó lan xuống cổ và chi trên;
+Có biểu hiện rối loạn tiêu hóa (tiêu chảy hoặc táo bón).
- Trường hợp bệnh có thể
Là trường hợp bệnh nghi ngờ có kèm theo tăng nồng độ enzyme creatin kinase trong máu.
- Trường hợp bệnh xác định
Là trường hợp bệnh nghi ngờ và có ít nhất một trong các kết quả xét nghiêm sau:
+Xét nghiệm tìm thấy kháng thể kháng giun xoắn bằng kỹ thuật ELISA hoặc
+Sinh thiết tìm thấy ấu trùng giun xoắn trong cơ hoặc;
+Xác định được đoạn gen đặc hiệu của giun xoắn bằng kỹ thuật sinh học phân tử.

Hình 8
Tiêu chuẩn chẩn đoán ca bệnh theo CDC (Mỹ)
Định nghĩa ca bệnh giun xoắn Trichinella spp. trên người, theo Trung tâm Kiểm soát và Phòng ngừa dịch bệnh Mỹ (US.CDC), một người có ít nhất 3 triệu chứng trong nhóm các triệu chứng lâm sàng và ít nhất 1 dấu hiệu cận lâm sàng, cùng với có ít nhất 1 tiêu chuẩn dịch tễ học.
-Các triệu chứng lâm sàng: sốt, đau nhức, đau cơ bắp, phù mặt, tiêu chảy, dấu chứng/triệu chứng thần kinh, dấu chứng/ triệu chứng tim mạch, viêm kết mạc, võng mạc, xuất huyết ở dưới móng tay và phát ban ở dưới da;
-Các triệu chứng cận lâm sàng:
+Tăng BCAT hoặc tăng nồng độ IgE toàn phần (total IgE), tăng nồng độ các enzym trong cơ;
+Xét nghiệm miễn dịch: có sự hiện diện đáp ứng kháng thể đặc hiệu chống lại Trichinella spp. qua xét nghiệm miễn dịch huỳnh quang gián tiếp (IFA), hoặc qua ELISA hay Western blot;
+Sinh thiết mô: Có sự hiện diện ấu trùng Trichinella spp. trong mô cơ.
-Các tiêu chuẩn dịch tễ học:
+Ăn thịt bị nhiễm ký sinh trùng được phòng thí nghiệm xác định;
+Tiêu thụ các sản phẩm có khả năng bị nhiễm ký sinh trùng từ 1 động vật bị nhiễm được phòng xét nghiệm xác định;
+Liên hệ dịch tễ học với 1 trường hợp bệnh ở người được phòng thí nghiệm xác nhận bằng tiếp xúc cùng một nguồn chung.

Hình 9
Chẩn đoán phân biệt
Trên bệnh nhân trưởng thành
Chẩn đoán sớm bệnh giun xoắn đặc biệt khó do thiếu các dấu chứng và triệu chứng lâm sàng mang tính định hướng bệnh học để phát hiện dễ dàng. Trong khi thông số cận lâm sàng tăng bạch cầu ái toan lại không phải lúc nào cũng đặc hiệu và các nhiễm ký sinh trùng khác cũng có thể. Do đó, chẩn đoán phân biệt cần đặt ra với nhiễm ấu trùng:
-Giun lươn Strongyloides spp.,
-Sán máng Schistosoma spp.,
-Giun móc/ giun mỏ;
-Ấu trùng giun đầu gai Gnathostoma spp.,
-Giun chỉ bạch huyết;
-Giun đũa và giun tóc.
Khi bệnh nhân đã có triệu chứng lâm sàng nhất là khi có phản ứng viêm, cần chẩn đoán phân biệt với giêm cầu thận cấp, phù mạch, viêm dạ dày ruột nhiễm khuẩn, các trường hợp giả nhiễm ký sinh trùng delusions of parasitosis), viêm da cơ, ngộ độc thức ăn, nhiễm giun móc, giun mỏ, cúm, viêm đa động mạch nút (polyarteritis nodosa), viêm khớp dạng thấp, sán máng (nếu bệnh nhân đang sống trong vùng bệnh có lưu hành), giun lươn, sốt thương hàn, viêm ruột virus.
Trên bệnh nhân trẻ em
Trên các bệnh nhi cũng rất khó chẩn đoán nghĩ đến nếu chỉ rải rác một số ca và biểu hiện lâm sàng không điển hình. Đau cơ cũng thường gặp trên các ca viêm da cơ và sốt thương hàn. Sưng phù cơ quanh mi mắt có thể nhầm lẫn với phản ứng dị ứng, tăng BCAT nếu thiếu đi các triệu chứng điển hình cũng có thể nhầm với các triệu chứng lâm sàng của ký sinh trùng khác.
Các triệu chứng ở hệ thần kinh trung ương có thể tương tự như viêm não. Viêm cầu thận ở trẻ em cũng nên xem xét đến nếu không sẽ bỏ sót. Viêm cầu thận sau nhiễm liên cầu, viêm xoang cấp, phù mạch, sán lá gan lớn, cúm, ngộ độc thực phẩm, viêm dạ dày ruột, viêm cơ tim không do virus ở trẻ em, nhiễm giun đũa chó/ mèo.
Thái độ xử trí và Điều trị ca bệnh
Hiện vẫn chưa có thuốc đặc trị giun xoắn mà phải dùng các thuốc cổ điển đang điều trị nhóm giun tròn, đặc biệt là với các ấu trùng thành kén nằm trong cơ. Cách điều trị chủ yếu vẫn là làm giảm triệu chứng và ngăn ngừa biến chứng. Biện pháp phòng ngừa hàng đầu vẫn là dùng thức ăn nấu chín.
Điều trị đặc hiệu bằng albendazol (ALB), mebendazol (MEB) và thiabendazol (TBZ) diệt được giun xoắn Trichinella spp. trưởng thành, ấu trùng non di chuyển và ấu trùng trong cơ chưa tạo nang hóa. Tuy nhiên, TBZ dung nạp kém và còn ít được sử dụng.
Chưa có thử nghiệm lâm sàng so sánh hiệu quả điều trị giữa ALB với MEB. Mebendazol không hiệu quả chống lại thể ấu trùng trong cơ; ALB cũng có thể không hiệu quả trong giai đoạn về sau của bệnh.
Trong các trường hợp nhiễm Trichinella spp. từ vừa đến nặng, mục tiêu là ngăn chặn sự xâm nhập của ấu trùng vào trong cơ vân của vật chủ. Trong 1 tuần đầu ăn phải thịt bị nhiễm giun, dùng ALB (5 mg/kg/ngày x 1 tuần); MEB (5 mg/kg/ngày x 8-14 ngày), TBZ (25 mg/kg/ngày x 8-14 ngày).

Hình 11
Corticosteroides như chế phẩm prednisolone liều 50 mg/ngày có thể dùng trong các trường hợp nhiễm ký sinh trùng nặng, đặc biệt nếu huyết động không ổn định hoặc bệnh liên quan tới hệ thần kinh trung ương, tim, phổi. Steroids khác có thể làm giảm hiện tượng viêm nhưng cũng có thể cản trở việc diệt giun trưởng thành dẫn đến việc sinh sản ấu trùng kéo dài.
Điều trị triệu chứng thường là bù nước, cân bằng điện giải, thuốc hạ sốt, corticoides. Các phương thức điều trị hỗ trợ: thuốc giảm đau, hạ sốt và nghỉ ngơi tại giường.

Hình 12
Phòng bệnh
Bệnh do Trichinella (Trichinosis hay Trichinellosis) là một bệnh ký sinh trùng gây bởi nhóm giun tròn hình sợi chỉ ký sinh trong mô, thường do loài T. spiralis.
Tại Mỹ, có Chương trình hành động bảo vệ sức khỏe cho heo liên bang (Federal Swine Health Protection Act) đưa ra hạn chế việc sử dụng các loại chất thải bỏ của heo chưa được nấu chín và khuyến khích tạo ra một Chương trình cấp chứng chỉ chăn nuôi vật nuôi đối với bệnh do giun xoắn tự nguyện (Voluntary Trichinae Herd Certification Program). Chương trình này nhằm cung cấp thịt heo một cách an toàn tự nguyện như một cách thực hành chăn nuôi heo tốtđể hạn chế tối thiểu phơi nhiễm mầm bệnh Trichinella spp. Mục đích của chương trình là thiết lập một hệ thống sản xuất và cung ứng thịt heo theo tiêu chuẩn Thực hành ssanr xuất tốt (Good Production Practices-GPPs) có thể cấp chứng chỉ an toàn với mầm bệnh giun xoắn (Trichinella-safe). Ngoài ra còn làm giảm tỷ lệ mắc Trichinella spp. ở nguồn thịt heo thương mại, các phương pháp xử lý cũng góp phần làm giảm đáng kể bệnh giun xoắn ở người có liên quan đến sản phẩn thịt heo.

Hình 13
Thông qua các quy định của liên bang Mỹ (U.S. Code of Federal Regulations), cơ quan USDA đã đưa ra Hướng dẫn về nhiệt độ nấu đặc biệt và thời gian cần thiết, nhiệt độ đông lạnh và thời gian cần thiết, các phương pháp xử lý sản phẩm thịt heo đúng để kiểm soát phơi nhiễm giữa con người với mầm bệnh Trichinella spp. Các sản phẩm thịt heo phải hội đủ các hướng dẫn này để cấp chứng chỉ.
Cơ hội để một người nhiễm phải T. spiralis là tương đối thấp do các biện pháp kiểm soát nghiêm ngặt như thế, trong khi đó vẫn còn một tỷ lệ nhiễm cao ở các vùng như châu Âu và châu Á. Ký sinh trùng này có lưu hành ở Nhật Bản và Trung Quốc, trong khi ở Hàn Quốc chỉ báo cáo ca đầu tiên nhiễm trên người. Tại hầu hết lò mổ, cơ hoành của heo thường là nơi lấy mẫu bệnh phẩm để phát hiện nhiễm Trichinella spp.
-Thực hiện tốt khâu kiểm soát vệ sinh an toàn thực phẩm tại lò mổ, xử lý chăn nuôi hợp vệ sinh;
-Diệt các loại gặm nhấm xung quanh chuồng;
-Xử lý tốt các sản phẩm săn bắn là các vật chủ chính của bệnh ký sinh trùng này;
-Nấu chín thức ăn và giữ đông lạnh thịt để phòng bị nhiễm ký sinh trùng. Khuyến cáo hiện nay là đun nóng 72°C (hay 1600F) để phòng tất cả bệnh lây truyền qua thực phẩm. Loài Trichinella spp. thường có thể bị diệt bằng cách đun đến 60°C trong 2 phút hoặc 55°C trong 6 phút. Nếu không còn thấy dấu vết màu hồng trong chất lỏng hoặc thịt thì đã đạt được nhiệt độ chín;
-Đông lạnh cũng là một phương pháp hiệu quả để diệt hầu hết các loài Trichinella spp. Với một miếng thịt 15 cm, nhiệt độ được đề nghị để diệt ấu trùng như sau:
·Điều kiện - 15°C trong 20 ngày;
·Điều kiện -23°C trong 10 ngày;
·Điều kiện -29°C trong 6 ngày.
-Thịt ướp muối, xông khói, hoặc làm khô thịt sẽ không tiêu diệt được nang kén Trichinella spp.
Làm thế nào nâng cao kiến thức và thực hành của cộng đồng về bệnh giun xoắn
Tổng quan về kiến thức, thái độ, thực hành (KAP)
Nhìn chung, kiến thức, thái độ và thực hành (Knowledge, Attitude, and Practice) là tập tính, thói quen, cách sống, cách suy nghĩ, hành động của con người và cộng đồng đối với môi trường bên ngoài, đối với phòng chống bệnh tật nói chung và bệnh ký sinh trùng giun xoắn lây truyền qua đường thực phẩm (Food-Borne Parasites-FBPs) nói riêng. Hành vi và thực hành của con người là một phức hợp của nhiều hành động chịu ảnh hưởng của những yếu tố môi trường, di truyền, kinh tế và xã hội. Các yếu tố quy định nên hành vi con người được tóm tắt như sau:
-Kiến thức bao gồm những hiểu biết của con người, thường thay đổi khác nhau (có thể do khả năng tiếp thu khác nhau) và thường bắt nguồn từ kinh nghiệm sống hoặc của nguười khác truyền lại. Hiểu biết nhiều khi không tương đồng với kiến thức mà chúng ta tiếp thu được thông qua những thông tin mà thầy cô giáo, cha mẹ, người thân, bạn bè, sách báo cung cấp. hiểu biết rất khó thay đổi khi hiểu sai và trở thành định kiến;
-Thái độ bao gồm tư duy, lập trường quan điểm của đối tượng. Con người nói chung và các đối tượng nghiên cứu nói riêng sẽ có quan điểm rõ ràng, đúng đắn nếu được thiếp thu những kiến thức khoa học và môi trường lành mạnh, từ đó sẽ có những thái độ đúng đắn;
-Hành động xuất phát từ hiểu biết, có kiến thức và thái độ sẽ dẫn đến hành động của đối tượng. Kiến thức và thái độ đúng sẽ có hành động đúng và ngược lại.
Kiến thức về bệnh giun xoắn
Ấu trùng giun xoắn T. spiralis tồn tại ở một trong hai chu trình chính. Chu trình sinh trưởng và phát triển có sự tham gia của vật nuôi và chu trình có sự tham gia của động vật có vú hoang dã. Người có thể nhiễm bệnh giun xoắn từ hai chu trình trên.
Lợn là vật chủ liên quan phổ biến nhất với bệnh ký sinh trùng giun xoắn. Tùy thuộc khu vực, các loài động vật khác như hải mã, hải cẩu, gấu, gấu Bắc cực, mèo rừng, gấu trúc bắc Mỹ, chó sói, cáo cũng có thể bị nhiễm bệnh như các vật chủ chính. Về kiến thức liên quan đến bệnh giun xoắn cần hiểu tác hại của bệnh về mặt sức khỏe lẫn thiệt hại kinh tế.
-Các yếu tố nguy cơ gây bệnh giun xoắn:
+Thói quen ăn uống (thích ăn thịt dạng tái hoặc ăn sống);
+Phương pháp bảo quản thực phẩm và chế biến thịt lợn tái, sống không phù hợp;
+Đặc điểm dịch tễ thường liên quan đến một số nhóm dân tộc bản địa và có liên quan đến một số lễ hội, giỗ chạp có tổ chức mổ lợn/ heo và tập trung ăn uống đông người như tại một số tỉnh miền núi phía Bắc Việt Nam, Trung Quốc;
+Giới tính và nhóm tuổi dường như không có tỷ lệ khác biệt mắc bệnh do giun xoắn. Tuy nhiên, một số nghiên cứu chỉ ra trẻ em có khả năng đề kháng với nhiễm giun xoắn hơn, nhưng khi bị nhiễm có thể có các triệu chứng nặng hơn và trẻ em cũng có ít biến chứng và phục hồi nhanh hơn;
+Hiểu biết của con người về bệnh vẫn còn hạn chế và phương thức chăn nuôi dạng thả heo/ lợn rông hoặc bán thả rông vẫn còn phổ biến ở một số vùng;
+Trên cơ địa đặc biệt, triệu chứng bệnh giun xoắn ở các phụ nữ mang thai thường nhẹ hơn so với những người phụ nữ không mang thai. Tuy nhiên, nghiên cứu có ghi nhận về trường hợp sẩy thai hoặc thai chết lưu có liên quan nhiễm giun xoắn. Các triệu chứng bệnh giun xoắn nặng một cách điển hình ở các phụ nữ đang cho con bú hơn là phụ nữ không cho con bú;
+Hành vi con người: Sở thích ăn thịt thú rừng, tình trạng săn bắn và mua bán thú rừng không qua kiểm soát về mặt vệ sinh an toàn phực phẩm hoặc trong quá trình săn bắn, chế biến loại bỏ các sản phẩm thịt thừa ra môi trường cũng có thể là một khâu thuận lợi dẫn đến nhiễm mầm bệnh.
-Bệnh nhân bị nhiễm ấu trùng nhẹ thường không biểu hiện triệu chứng. Những người có triệu chứng nhẹ sẽ được cải thiện trong 2-3 tuần. Triệu chứng liên quan nhiễm nặng thì ấu trùng có thể tồn tại tới 2-3 tháng;
-Tỷ lệ mắc thường phát hiện trong các vụ dịch giun xoắn hoặc ổ bệnh rải rác ở người với số người mắc bệnh liên quan nhóm người ăn thịt sống hoặc thịt tái có chứa ấu trùng giun xoắn Trichinella spp;
-Mức độ biểu hiện bệnh phụ thuộc vào loài Trichinella spp. gây bệnh, số lượng ấu trùng khi ăn phải cũng như các yếu tố về cơ địa và giới tính, độ tuổi và tình trạng miễn dịch, bệnh lý nền sẵn có. Một số trường hợp nhiễm T. spiralis, nếu bệnh nhân không được phát hiện và điều trị kịp thời sẽ dẫn đến kiệt sức, viêm phổi, nghẽn mạch phổi, viêm não, suy tim hoặc rối loạn nhịp tim;
-Bệnh có tỷ lệ tử vong thấp. Tử vong do bệnh giun xoắn thường xảy ra trong 4-8 tuần nhưng có thể xảy ra sớm hơn 2-3 tuần;

Hình 14
Thực hành về phòng bệnh giun xoắn
Bệnh giun xoắn là một bệnh do ký sinh trùng giun tròn lây truyền qua con đường thực phẩm, có thể phòng chống thông qua các khâu thực hành về phòng bệnh và hạn chế yếu tố nguy cơ:
-Thực hiện tốt công tác kiểm soát giết mổ tại các lò mổ;
-Thực hành chăn nuôi các vật nuôi, nhất là lợn/ heo hợp vệ sinh. Diệt các loại gặm nhấm xung quanh chuồng;
-Xử lý tốt các sản phẩm thịt động vật bị săn bắn;
-Hạn chế ăn các loại thịt ướp muối, xông khói, hoặc làm khô thịt không rõ nguồn gốc, do các biện pháp này không tiêu diệt được nang kén;
-Nấu chín thức ăn và các phương pháp đông lạnh thịt để phòng bị nhiễm ký sinh trùng, không ăn thịt tái, sống. Biện pháp hiệu quả nhất để tiêu diệt các ấu trùng loài Trichinella spp. là nấu chín thức ăn để diệt ký sinh trùng. Khuyến cáo hiện nay là đun nóng ở 72°C để phòng tất cả bệnh lây truyền qua thực phẩm. Loài Trichinella spp. thường có thể bị diệt bằng cách đun đến 60°C trong vòng 2 phút hoặc ở 55°C trong 6 phút đến khi không còn thấy dấu vết màu hồng trong chất lỏng hoặc thịt thì đã đạt được nhiệt độ chín;
-Đông lạnh cũng là một phương pháp hiệu quả để diệt hầu hết các ấu trùng loài Trichinella spp. Với một miếng thịt 15 cm, nhiệt độ được đề nghị để diệt ấu trùng Trichinella spp. như sau:
+Điều kiện - 15°C trong 20 ngày;
+Điều kiện -23°C trong 10 ngày;
+Điều kiện -29°C trong 6 ngày.
Vaccine phòng bệnh: Tiềm năng và triển vọng
Bệnh do giun xoắn là một bệnh lây truyền qua đường thực phẩm do giun xoắn thuộc giống Trichinella. Phần lớn các vụ dịch do tiêu thụ thức ăn nguồn thịt heo nhiễm mầm bệnh chưa nấu chín chứa ấu trùng trong cơ T. spiralis. Vaccine ngăn chặn lan truyền chống lại Trichinella sẽ cho phép ngăn ngừa nhiễm ở heo và sẽ góp phần phòng chống bệnh.
Các ứng cử viên vaccine khác nhau từ lâu đã được phát triển chống lại T. spiralis gồm có các vaccine thế hệ 1, thế hệ 2 và thế hệ 3. Hầu hết các ứng viên vaccine này dựa trên một kháng nguyên duy nhất lấy từ giai đoạn ấu trùng trong cơ, một số ngoại lệ bảo vệ một phần thông qua việc tạo ra đáp ứng miễn dịch hỗn hợp Th1/Th2. Do đó, nhu cầu xác định các kháng nguyên mới từ các giai đoạn khác nhau của ký sinh trùng lên ấu trùng giai đoạn nhiễm ở đường tiêu hóa, giai đoạn ấu trùng mới sinh ra, giai đoạn ấu trùng trưởng thành cũng như đánh giá khả năng bảo vệ của các vaccine đó trên heo cần phải làm rõ. Thiết kế các vaccine dạng “multi-epitope vaccine” và sử dụng các tá dược hay phân tử điều hòa miễn dịch có khả năng phân cực đáp ứng miễn dịch với đáp ứng bảo vệ Th2-type như một yếu tố cần thiết đối với các vaccine hiện đại hiện nay. Các vaccine dựa trên nền thực vật (plant-based vaccine) và probiotic là các công cụ tuyệt vời để phát triển vaccine chống lại T. spiralis cũng được quan tâm trong lĩnh vực điều chế vaccine thú y hiện nay.
Tài liệu tham khảo
1.Zocevic A, Mace P, Vallee I, Blaga R, Liu M, Lacour SA, Boireau P. (2011). Identification of Trichinella spiralis early antigens at the pre-adult and adult stages. Parasitology. 2011 Apr;138(4):463-71.
2.Riedlinger J, Grencis RK, Wakelin D. (1986). Antigen-specific T-cell lines transfer protective immunity against Trichinella spiralis in vivo. Immunology. 1986 May;58(1):57-61.
3.Xu J, Bai X, Wang LB, Shi HN, van der Giessen JWB, Boireau P, Liu MY, Liu XL (2017). Influence of adjuvant formulation on inducing immune response in mice immunized with a recombinant serpin from Trichinella spiralis. Parasite Immunol. 2017 Jul;39(7).
4.Aranzamendi C, de Bruin A, Kuiper R, Boog CJ, van Eden W, Rutten V, Pinelli E (2013). Protection against allergic airway inflammation during the chronic and acute phases of Trichinella spiralis infection. Clin Exp Allergy. 2013 Jan;43(1):103-15.
5.Yépez-Mulia L, Hernández-Bello R, Arizmendi-Puga N, Fonseca-Liñán R, Ortega-Pierres G. (2007). Contributions to the study of Trichinella spiralis TSL-1 antigens in host immunity. Parasite Immunol. 2007 Dec;29(12):661-70.
6.Bien J, Cabaj W, Moskwa B. (2013). Recognition of antigens of three different stages of the Trichinella spiralis by antibodies from pigs infected with T. spiralis. Exp Parasitol. 2013 Jun;134(2):129-37.
7.Pemberton AD, Knight PA, Gamble J, Colledge WH, Lee JK, Pierce M, Miller HR. (2004). Innate BALB/c enteric epithelial responses to Trichinella spiralis: inducible expression of a novel goblet cell lectin, intelectin-2, and its natural deletion in C57BL/10 mice. J Immunol. 2004 Aug 1;173(3):1894-901.
8.Goyal PK, Wheatcroft J, Wakelin D (2002). Tyvelose and protective responses to the intestinal stages of Trichinella spiralis. Parasitol Int. 2002 Mar;51(1):91-8.
9.Bolas-Fernandez F, Wakelin D. (1992). Immunization against geographical isolates of Trichinella spiralis in mice. Int J Parasitol. 1992 Sep;22(6):773-81.
10.Li CK, Ko RC (2001). Inflammatory response during the muscle phase of Trichinella spiralis and T. pseudospiralis infections. Parasitol Res. 2001 Sep;87(9):708-14.
11.El-Shazly AM, El-Shewey K, El-Hamshary E, Habib FS, El-Garhy MF, Morsy TA. (2002). Mice immunzation using crude Trichinella spiralis antigen. J Egypt Soc Parasitol. 2002 Aug;32(2):391-403.
12.Chapa-Ruiz MR, Salinas-Tobón MR, Aguilar-Alvarez DJ, Martínez-Marañón R. (1992). Recognition of Trichinella spiralis muscle larvae antigens by sera from human infected with this parasite and its potential use in diagnosis. Rev Latinoam Microbiol. 1992 Apr-Jun;34(2):95-9.
13.Herndon FJ, Kayes SG (1992). Depletion of eosinophils by anti-IL-5 monoclonal antibody treatment of mice infected with Trichinella spiralis does not alter parasite burden or immunologic resistance to reinfection. J Immunol. 1992 Dec 1;149(11):3642-7.
14.Boulos LM, Abou Samra LM, Hegazy IH. (1993). Studies on T. spiralis and T pseudospiralis larvae recovered from mice immunized with heterologous Trichinella antigen. J Egypt Soc Parasitol. 1993 Apr;23(1):161-70.
15.Appleton JA, Romaris F. (2001). A pivotal role for glycans at the interface between Trichinella spiralis and its host. Vet Parasitol. 2001 Nov 22;101(3-4):249-60. Review.
16.Tian H, Xiao Y, Qin L, Chen YH. (2001). Antigenicity and predefined specificities of the multi-epitope vaccine in candidate consisting of neutralizing epitope and mutated epitopes suggested a new way against HIV-1 mutation. Immunobiology. 2001 Dec;204(4):434-41.
17.Martínez-Gómez F, Fuentes-Castro BE, Bautista-Garfias CR (2011). The intraperitoneal inoculation of Lactobacillus casei in mice induces total protection against Trichinella spiralis infection at low challenge doses. Parasitol Res. 2011 Dec;109(6):1609-17.
18.Robinson M, Krco CJ, Beito TG, David CS. (1991). Genetic control of the immune response to Trichinella spiralis: recognition of muscle larval antigens. Parasite Immunol. 1991 Jul;13(4):391-404.
19.Bell RG, Appleton JA, Negrao-Correa DA, Adams LS. (1992). Rapid expulsion of Trichinella spiralis in adult rats mediated by monoclonal antibodies of distinct IgG isotypes. Immunology. 1992 Mar;75(3):520-7.
20.Zhu DZ, Bell RG. (1990). Trichinella spiralis: murine strain variation in response to monoclonally defined, protective, nonstage-specific antigens. Exp Parasitol. 1990 Apr;70(3):330-43.
21.Marti HP, Murrell KD, Gamble HR. (1987). Trichinella spiralis: immunization of pigs with newborn larval antigens. Exp Parasitol. 1987 Feb;63(1):68-73.
22.Aucouturier J, Deville S, Perret C, Vallée I, Boireau P. (2001). Assessment of efficacy and safety of various adjuvant formulations with a total soluble extract of Trichinella spiralis. Parasite. 2001 Jun;8(2 Suppl):S126-32.
23.Grencis RK, Else KJ, Huntley JF, Nishikawa SI. (1993). The in vivo role of stem cell factor (c-kit ligand) on mastocytosis and host protective immunity to the intestinal nematode Trichinella spiralis in mice. Parasite Immunol. 1993 Jan;15(1):55-9.
24.Gilleland HE, Gilleland LB, Staczek J, Harty RN (2000). Chimeric animal and plant viruses expressing epitopes of outer membrane protein F as a combined vaccine against Pseudomonas aeruginosa lung infection. FEMS Immunol Med Microbiol. 2000 Apr;27(4):291-7.
25.Bruschi F, Bianchi C, Fornaro M, Naccarato G, Menicagli M et al., (2014). Matrix metalloproteinase (MMP)-2 and MMP-9 as inflammation markers of Trichinella spiralis and Trichinella pseudospiralis infections in mice. Parasite Immunol. 2014 Oct;36(10):540-9.
26.Reiterová K, Antolová D, Hurníková Z. (2009). Humoral immune response of mice infected with low doses of Trichinella spiralis muscle larvae. Vet Parasitol. 2009 Feb 23;159(3-4):232-5.
27.Abdel Rahman EH, Abouel Ezz NM, Abdel Megeed KN. (2005). Trichinella spiralis: affinity purified antigen based diagnosis and immunoprophylaxis. J Egypt Soc Parasitol. 2005 Aug;35(2):379-93.
28.Przyjalkowski ZW, Cabaj W, Rykalo R. (1983). Intestinal Trichinella spiralis and Trichinella pseudospiralis in germfree and conventional mice. Prog Food Nutr Sci. 1983;7(3-4):117-26.
29.Mitreva M, Jasmer DP. (2010). Trichinella spiralis: genomic application to control a zoonotic nematode. Infect Disord Drug Targets. 2010 Oct;10(5):376-84.
30.Yang Y, Vallée I, Lacour SA, Boireau P, Cheng SP, Liu MY (2016). Identification and characterization of immunodominant linear epitopes on the antigenic region of a serine protease in newborn Trichinella larvae. J Helminthol. 2016 Mar;90(2):232-7.
31.El Temsahy MM, Ibrahim IR, Mossallam SF, Mahrous H et al., (2015). Evaluation of newly isolated probiotics in the protection against experimental intestinal trichinellosis. Vet Parasitol. 2015 Dec 15;214(3-4):303-14.
32.Long SR, Wang ZQ, Jiang P, Liu RD, Qi X, Liu P, Ren HJ, Shi HN, Cui J. (2015). Characterization and functional analysis of Trichinella spiralis Nudix hydrolase. Exp Parasitol. 2015 Dec;159:264-73.
33.Yang Z, Li W, Yang Z, Pan A, Liao W, Zhou X. (2018). A novel antigenic cathepsin B protease induces protective immunity in Trichinella-infected mice. Vaccine. 2018 Jan 4;36(2):248-255.
34.Dvorožňáková E, Bucková B, Hurníková Z, Revajová V, Lauková A (2016). Effect of probiotic bacteria on phagocytosis and respiratory burst activity of blood polymorphonuclear leukocytes (PMNL) in mice infected with Trichinella spiralis. Vet Parasitol. 2016 Nov 15;231:69-76.
35.Fabre MV, Beiting DP, Bliss SK, Appleton JA. (2009). Immunity to Trichinella spiralis muscle infection. Vet Parasitol. 2009 Feb 23;159(3-4):245-8.
36.Huang L, Gebreselassie NG, Gagliardo LF, Ruyechan MC et al., (2014). Eosinophils mediate protective immunity against secondary nematode infection. J Immunol. 2015 Jan 1;194(1):283-90.
37.Ashour DS, Othman AA, Shareef MM, Gaballah HH, Mayah WW. (2014). Interactions between Trichinella spiralis infection and induced colitis in mice. J Helminthol. 2014 Jun;88(2):210-8.
38.Liu CY, Song YY, Ren HN, Sun GG, Liu RD, Jiang P, Long SR et al., (2017). Cloning and expression of a Trichinella spiralis putative glutathione S-transferase and its elicited protective immunity against challenge infections. Parasit Vectors. 2017 Sep 29;10(1):448.
39.Robert F, Weil B, Kassis N, Dupouy-Camet J. (1996). Investigation of immunofluorescence cross-reactions against Trichinella spiralis by western blot (immunoblot) analysis. Clin Diagn Lab Immunol. 1996 Sep;3(5):575-7.
40.Zhao Y, Liu MY, Wang XL, Liu XL, Yang Y, Zou HB et al., (2013). Modulation of inflammatory bowel disease in a mouse model following infection with Trichinella spiralis. Vet Parasitol. 2013 May 20;194(2-4):211-6.
41.Appleton JA, Schain LR, McGregor DD (1988). Rapid expulsion of Trichinella spiralis in suckling rats: mediation by monoclonal antibodies. Immunology. 1988 Nov;65(3):487-92.
42.Chiumiento L, Del Prete G, Codolo G, De Bernard M et al., (2011). Stimulation of TH1 response by Helicobacter pylori neutrophil activating protein decreases the protective role of IgE and eosinophils in experimental trichinellosis. Int J Immunopathol Pharmacol. 2011 Oct-Dec;24(4):895-903.
43.Zhang L, Zhang H, Fan Z, Zhou X, Yu L, Sun H, Wu Z, Yu Y (2015). Identification of a conserved linear B-cell epitope of Streptococcus dysgalactiae gapC protein by screening phage-displayed random peptide library. PLoS one. 2015 Jun 29;10(6):e0131221.
44.Gulati S, Zheng B, Reed GW, Su X, Cox AD, St Michael F (2013). Immunization against a saccharide epitope accelerates clearance of experimental gonococcal infection. PLoS Pathog. 2013;9(8):e1003559.
45.Saracino MP, Calcagno MA, Beauche EB, Garnier A, Vila CC (2016). Trichinella spiralis infection and transplacental passage in human pregnancy. Vet Parasitol. 2016 Nov 15;231:2-7.
46.Kumar SN, Stewart GL, Steven WM, Seelig LL (1989). Maternal to neonatal transmission of T-cell mediated immunity to Trichinella spiralis during lactation. Immunology. 1989 Sep;68(1):87-92.
47.Bautista-Garfias CR, Ixta-Rodríguez O, Martínez-Gómez F, López MG, Aguilar-Figueroa BR. (2001). Effect of viable or dead Lactobacillus casei organisms administered orally to mice on resistance against Trichinella spiralis infection. Parasite. 2001 Jun;8(2 Suppl):S226-8.
48.Duan L, Li J, Cheng B, Lv Q, Gong PT, Su LB, Cai Y, Zhang X. (2013). Identification of a novel gene product expressed by Trichinella spiralis that binds antiserum to Sp2/0 myeloma cells. Vet Parasitol. 2013 May 20;194(2-4):183-5.
49.Wang L, Sun X, Huang J, Zhan B, Zhu X. (2017). Heterologous Prime-Boost Vaccination Enhances TsPmy's Protective Immunity against Trichinella spiralis Infection in a Murine Model. Front Microbiol. 2017 Jul 21;8:1394.
50.Robinson M, David CS. (1989). The genetics of the immune response to Trichinella spiralis antigens in the mouse. Adv Exp Med Biol. 1989;251:329-40. Review. No abstract available.
51.Cui L, Ling CC, Sadowska J, Bundle DR. (2014). Synthesis of modified Trichinella spiralis disaccharide epitopes and a comparison of their recognition by chemical mapping and saturation transfer difference NMR. Carbohydr Res. 2014 Jan 13;383:1-13.
52.McVay CS, Bracken P, Gagliardo LF, Appleton J. (2000). Antibodies to tyvelose exhibit multiple modes of interference with the epithelial niche of Trichinella spiralis. Infect Immun. 2000 Apr;68(4):1912-8.
53.Gershoni JM, Roitburd-Berman A, Siman-Tov DD, Tarnovitski Freund N, Weiss Y. (2007). Epitope mapping: the first step in developing epitope-based vaccines. BioDrugs. 2007;21(3):145-56.
54.Bell RG, Korenaga M, Wang CH. (1987). Characterization of a cell population in thoracic duct lymph that adoptively transfers rejection of adult Trichinella spiralis to normal rats. Immunology. 1987 Jun;61(2):221-7.
55.Radoslavov G, Jordanova R, Teofanova D, Georgieva K (2010). A novel secretory poly-cysteine and histidine-tailed metalloprotein (Ts-PCHTP) from Trichinella spiralis (Nematoda). PLoS one. 2010 Oct 13;5(10):e13343.
56.Deng B, Gong P, Li J, Cheng B, Ren W, Yang J, Li H, Zhang G, Zhang X. (2013). Identification of the differentially expressed genes in SP2/0 myeloma cells from Balb/c mice infected with Trichinella spiralis. Vet Parasitol. 2013 May 20;194(2-4):179-82.
57.Zaiman H, Stoney JM, Headley NC (1995). Studies on the nature of immunity to Trichinella spiralis in parabiotic rats. VIII. The duration of the immune response in the uninfected parabiotic rat following infection of one twin with Trichinella spiralis. Am J Hyg. 1955 Jan;61(1):15-23.
58.Beiting DP, Park PW, Appleton JA. (2006). Synthesis of syndecan-1 by skeletal muscle cells is an early response to infection with Trichinella spiralis but is not essential for nurse cell development. Infect Immun. 2006 Mar;74(3):1941-3.
59.Cui JM, Zhang NZ, Li WH, Yan HB, Fu BQ (2015). Cloning, identification, and bioinformatics analysis of a putative aquaporin TsAQP from Trichinella spiralis. Genet Mol Res. 2015 Oct 19;14(4):12699-709.
60.Jasmer DP. (1993). Trichinella spiralis infected skeletal muscle cells arrest in G2/M and cease muscle gene expression. J Cell Biol. 1993 May;121(4):785-93.
61.Moldow re. et al., (1964). Comparison of S-K test with tissue examination in detection of Trichinella spiralis. Public Health Rep. 1964 Mar;79:271-2. No abstract available.
62.Cypess RH, Lubiniecki AS, Swidwa DM (1974). Decreased susceptibility to Listeria monocytogenes in mice after infection with Trichinella spiralis. Infect Immun. 1974 Feb;9(2):477-9.
63.Wang L, Sun X, Huang J, Zhan B, Zhu X. (2017). Heterologous prime-boost vaccination enhances TsPmy's protective immunity against Trichinella spiralis infection in a murine model. Front Microbiol. 2017 Jul 21;8:1394.
64.Manzano-Román R, Díaz-Martín V, Oleaga A, Pérez-Sánchez R. (2015). Identification of protective linear B-cell epitopes on the subolesin/akirin orthologues of Ornithodoros spp. soft ticks. Vaccine. 2015 Feb 18;33(8):1046-55. doi: 10.1016/j.vaccine.2015.01.015. Epub 2015 Jan 15.
65.Robinson M, David CS. (1989). The genetics of the immune response to Trichinella spiralis antigens in the mouse. Adv Exp Med Biol. 1989;251:329-40.
66.Zhu S, Feng Y, Chen J, Lin X, Xue X, Chen S, Zhong X, Li W, Zhang L. (2014). Identification of linear B-cell epitopes within Tarp of Chlamydia trachomatis. J Pept Sci. 2014 Dec;20(12):916-22.
67.Matoff K, Terzijski A. (1966). Vaccination against Ascaris suum, Ascaris lumbricoides and Trichinella spiralis. I. Peroral vaccination against Ascaris suum, Ascaris lumbricoides and Trichinella spiralis with internal organs and musculature, infested with the larvae of the corresponding species. Z Tropenmed Parasitol. 1966 Apr;17(1):58-67.
68.Cui L, Ling CC, Sadowska J, Bundle DR. (2013). Synthesis of modified Trichinella spiralis disaccharide epitopes and a comparison of their recognition by chemical mapping and saturation transfer difference NMR. Carbohydr Res. 2014 Jan 13;383:1-13.
69.McVay CS, Bracken P, Gagliardo LF, Appleton J. (2000). Antibodies to tyvelose exhibit multiple modes of interference with the epithelial niche of Trichinella spiralis. Infect Immun. 2000 Apr;68(4):1912-8.
70.Gershoni JM, Roitburd-Berman A, Siman-Tov DD, Tarnovitski Freund N, Weiss Y. (2007). Epitope mapping: the first step in developing epitope-based vaccines. BioDrugs. 2007;21(3):145-56. Review.
71.Bell RG, Korenaga M, Wang CH. (1987). Characterization of a cell population in thoracic duct lymph that adoptively transfers rejection of adult Trichinella spiralis to normal rats. Immunology. 1987 Jun;61(2):221-7.
72.Radoslavov G, Jordanova R, Teofanova D, Georgieva K et al., (2010). A novel secretory poly-cysteine and histidine-tailed metalloprotein (Ts-PCHTP) from Trichinella spiralis (Nematoda). PLoS one. 2010 Oct 13;5(10):e13343.
73.Deng B, Gong P, Li J, Cheng B, Ren W, Yang J, Li H, Zhang G, Zhang X. (2013). Identification of the differentially expressed genes in SP2/0 myeloma cells from Balb/c mice infected with Trichinella spiralis. Vet Parasitol. 2013 May 20;194(2-4):179-82.
74.Zaiman H, Stoney JM, Headley NC. (1995). Studies on the nature of immunity to Trichinella spiralis in parabiotic rats. VIII. The duration of the immune response in the uninfected parabiotic rat following infection of one twin with Trichinella spiralis. Am J Hyg. 1955 Jan;61(1):15-23.
75.Beiting DP, Park PW, Appleton JA (2006). Synthesis of syndecan-1 by skeletal muscle cells is an early response to infection with Trichinella spiralis but is not essential for nurse cell development. Infect Immun. 2006 Mar;74(3):1941-3.
76.Mitreva M, Jasmer DP. (2006). Biology and genome of Trichinella spiralis. WormBook. 2006 Nov 23:1-21. Review.
77.Nöckler K, Pozio E, Gamble R. (2016). The 14th International Conference on Trichinellosis. Vet Parasitol. 2016 Nov 15;231:1.
78.Cui JM, Zhang NZ, Li WH, Yan HB, Fu BQ. (2015). Cloning, identification, and bioinformatics analysis of a putative aquaporin TsAQP from Trichinella spiralis. Genet Mol Res. 2015 Oct 19;14(4):12699-709.
79.Sahay B, Nguyen CQ, Yamamoto JK (2017). Conserved HIV Epitopes for an Effective HIV Vaccine. J Clin Cell Immunol. 2017 Aug;8(4). pii: 518.
80.Jasmer DP. et al., (1993). Trichinella spiralis infected skeletal muscle cells arrest in G2/M and cease muscle gene expression. J Cell Biol. 1993 May;121(4):785-93.
81.Moldow re et al., (1964). Comparison of S-K test with tissue examination in detection of Trichinella spiralis. Public Health Rep. 1964 Mar;79:271-2. No abstract available.
82.Cypess RH, Lubiniecki AS, Swidwa DM. (1974). Decreased susceptibility to Listeria monocytogenes in mice after infection with Trichinella spiralis. Infect Immun. 1974 Feb;9(2):477-9.
83.Oscherwitz J. et al., (2016). The promise and challenge of epitope-focused vaccines. Hum. Vaccin immunother. 2016 Aug 2;12(8):2113-2116. Epub 2016 Apr 8.
84.Testa JS, Philip R. et al., (2012). Role of T-cell epitope-based vaccine in prophylactic and therapeutic applications. Future Virol. 2012 Nov 1;7(11):1077-1088.
85.Abdoli A, Radmehr N, Bolhassani A, Eidi A, Mehrbod P, Motevalli F (2017). Conjugated anionic PEG-citrate G2 dendrimer with multi-epitopic HIV-1 vaccine candidate enhance the cellular immune responses in mice. Artif Cells Nanomed Biotechnol. 2017 Dec;45(8):1762-1768.
86.Broecker F, Seeberger PH. et al., (2017). Identification and design of synthetic B cell epitopes for carbohydrate-based vaccines. Methods Enzymol. 2017;597:311-334.
87.Savage PB et al., . (2014). Vaccine development: NKT-cell adjuvants in conjugate. Nat Chem Biol. 2014 Nov;10(11):882-3.
88.Chen F, Jiang R, Wang Y, Zhu M, Zhang X, Dong S, Shi H, Wang L. (20170. Recombinant phage elicits protective immune response against systemic S. globosa infection in mouse model. Sci Rep. 2017 Feb 6;7:42024.
89.Pebam S, Goni V, Patel S, Kumar V, Rawall S, Bali K (2012). A 12-year-old Child with Trichinellosis, Pyomyositis and Secondary Osteomyelitis. J Glob Infect Dis. 2012 Jan;4(1):84-8.
90.Wang Y, Wang L. (2017). Vaccination with Phage-Displayed Antigenic Epitope. Methods Mol Biol. 2017;1625:225-235.
91.Toth I, Moyle PM, Simerska P, Fujita Y, Olive C, Good MF (2009). Vaccine delivery: synthesis and investigation of a highly pure, multi-epitopic lipopeptide vaccine candidate. Adv Exp Med Biol. 2009;611:347-9.
92.Rinn K, Schiffman K, Otero HO, Disis ML (1999). Antigen-specific recall urticaria to a peptide-based vaccine. J Allergy Clin Immunol. 1999 Jul;104(1):240-2.
93.Robey FA, Harris TA, Nguyen AK, Heegaard NH, Batinić D (1992). Peptomers as vaccine candidates. Adv Exp Med Biol. 1992;327:209-15.
94.Zhang L et al., (2018). Multi-epitope vaccines: a promising strategy against tumors and viral infections. Cell Mol Immunol. 2018 Feb;15(2):182-184.
95.He Y, ong E, Xie J. (2016). Integrative representations and analyses of vaccine-induced intended protective immunity and unintended adverse events using ontology-based and theory-guided approaches. Glob Vaccines Immunol. 2016 Jun;1(2):37-39.
96.Good MF, Yanow SK (2016). Cryptic epitope for antibodies should not be forgotten in vaccine design. Expert Rev Vaccines. 2016 Jun;15(6):675-6.
97.Di Sabatino A, Corazza GR (2017). Epitope-specific immunotherapy: a vaccine for coeliac disease? Lancet Gastroenterol Hepatol. 2017 Jul;2(7):464-465.
98.Mitreva M, Jasmer DP. (2006). Biology and genome of Trichinella spiralis. WormBook. 2006 Nov 23:1-21. Review.
99.Mitreva M, Jasmer DP. (2010). Trichinella spiralis: genomic application to control a zoonotic nematode. Infect Disord Drug Targets. 2010 Oct;10(5):376-84. Review.
100.Zarlenga D, Wang Z, Mitreva M. (2016). Trichinella spiralis: Adaptation and parasitism. Vet Parasitol. 2016 Nov 15;231:8-21.
101.Mitreva M, Jasmer DP et al., (2008). Advances in the sequencing of the genome of the adenophorean nematode Trichinella spiralis. Parasitology. 2008 Jul;135(8):869-80.
102.Sadaow L, Tantrawatpan C, Intapan PM, Lulitanond V et al., (2015). Molecular differentiation of Trichinella spiralis, T. pseudospiralis, T. papuae and T. zimbabwensis by pyrosequencing. J Helminthol. 2015 Jan;89(1):118-23.
103.Yao C, Prestwood AK, McGraw RA (1997). Trichinella spiralis (T1) and Trichinella T5: a comparison using animal infectivity and molecular biology techniques. J Parasitol. 1997 Feb;83(1):88-95.
104.Rosenthal BM, LaRosa G, Zarlenga D, Dunams D, Chunyu Y, Mingyuan L, Pozio E (2008). Human dispersal of Trichinella spiralis in domesticated pigs. Infect Genet Evol. 2008 Dec;8(6):799-805.
105.Wakelin D et al., (1993). Trichinella spiralis: immunity, ecology, and evolution. J Parasitol. 1993 Aug;79(4):488-94.
106.Liu X, Song Y, Jiang N, Wang J, Tang B, Lu H, Peng S, Chang Z, Tang Y, Yin J, Liu M, Tan Y, Chen Q. (2012). Global gene expression analysis of the zoonotic parasite Trichinella spiralis revealed novel genes in host parasite interaction. PLoS Negl Trop Dis. 2012;6(8):e1794.
107.Takumi K, Franssen F, Fonville M, Grasset A, Vallée I, Boireau P, Teunis P, van der Giessen J. (2010). Within-host dynamics of Trichinella spiralis predict persistent parasite transmission in rat populations. Int J Parasitol. 2010 Sep;40(11):1317-24.
108.Wakelin D. (1996). Immunology and genetics of zoonotic infections involving parasites. Comp Immunol Microbiol Infect Dis. 1996 Sep;19(4):255-65. Review.
109.Ortega-Pierres G, Vaquero-Vera A, Fonseca-Liñán R, Bermúdez-Cruz RM, Argüello-García R (2015). Induction of protection in murine experimental models against Trichinella spiralis: an up-to-date review. J Helminthol. 2015 Sep;89(5):526-39.
110.Boonmars T, Wu Z, Nagano I, Nakada T, Takahashi Y (20040. Differences and similarities of nurse cells in cysts of Trichinella spiralis and T. pseudospiralis. J Helminthol. 2004 Mar;78(1):7-16.
111.Vassilatis DK, Despommier DD, Polvere RI, Gold AM, Van der Ploeg LH (1996). Trichinella pseudospiralis secretes a protein related to the Trichinella spiralis 43-kDa glycoprotein. Mol Biochem Parasitol. 1996 Jun;78(1-2):25-31.
112.Kurdova R, Müller N, Tsvetkova N, Michov L, Georgieva D, Ivanova M, Gottstein B (2004). Characterisation of Trichinella isolates from Bulgaria by molecular typing and cross-breeding. Vet Parasitol. 2004 Sep 2;123(3-4):179-88.
113.Appleton JA, Romaris F. (2001). A pivotal role for glycans at the interface between Trichinella spiralis and its host. Vet Parasitol. 2001 Nov 22;101(3-4):249-60.
114.Bruschi F, Bianchi C, Fornaro M, Naccarato G, Menicagli M et al., (2014). Matrix metalloproteinase (MMP)-2 and MMP-9 as inflammation markers of Trichinella spiralis and Trichinella pseudospiralis infections in mice. Parasite Immunol. 2014 Oct;36(10):540-9.
115.Mitreva M, Jasmer DP, Zarlenga DS, Wang Z, Abubucker S et al., (2011). The draft genome of the parasitic nematode Trichinella spiralis. Nat Genet. 2011 Mar;43(3):228-35.
116.Oivanen L, Kapel CM, Pozio E, La Rosa G, Mikkonen T, Sukura A (2002). Associations between Trichinella species and host species in Finland. J Parasitol. 2002 Feb;88(1):84-8.
117.Rodríguez E, Olmedo J, Ubeira FM, Blanco C, Gárate T (2008). Mixed infection, Trichinella spiralis and Trichinella britovi, in a wild boar hunted in the Province of Cáceres (Spain). Exp Parasitol. 2008 Jul;119(3):430-2.