Giun kim (Enterobius vermicularis) là một trong những bệnh giun thường gặp ở trẻ em, tuy nhiên hiểu biết của cộng và cách phòng ngừa về bệnh giun này vẫn còn nhiều hạn chế. Nhân câu hỏi của bạn Võ Trọng H., 41 tuổi, Phú Gia về bệnh giun kim, Ban Biên tập xin trả lời để các bạn quan tâm cùng tìm hiểu.
Hỏi (Q):
Võ Trọng H., 41 tuổi, Phú Gia: Thưa các bác sĩ, tôi nghe nói người lớn rất hiếm khi nhiễm giun kim mà bệnh này thường hay gặp ở trẻ em nhưng gia đình tôi lại phát hiện một thành viên lớn tuổi bị mắc giun kim và rất rõ ràng khi bắt ra được. Không biết liệu có lây cho các người còn lại hay không, tôi muốn biết tình hình nhiễm loại giun kim này có phổ biến không và mức độ nguy hiểm của nó ra sao? Cách điều trị?
Trả lời (A):
Giun kim E. vermicularis, thường gọi tên là pinworm hay seatworm, là một loại giun tròn với sự phân bố về mặt địa lý rộng nhất so với các loại giun sán khác. Người là vật chủ duy nhất, khoảng 209 triệu người trên toàn cầu nhiễm bệnh. Hơn 30% số trẻ em trên toàn cầu nhiễm phải loại giun kim này. Giun kim (thuộc giống Enterobius), còn được gọi là giun hình sợi chỉ (threadworm) theo tên gọi của Anh và Úc hoặc seatworm. Chúng là một trong những loại ký sinh trùng đường ruột phổ biến ở người. Tình trạng y khoa hay bệnh liên quan nhiễm trùng giun kim với tên gọi Enterobiasis hay Oxyuriasis thuộc họ Oxyuridae. Gốc từ "pinworm" ám chỉ có nghĩa là Enterobius. Tuy nhiên, theo cách dùng thuật ngữ của Anh thì “pinworm” có nghĩa là Strongyloides, trong khi đó Enterobius có nghĩa là threadworm.
Lịch sử phát hiện
Bằng chứng đầu tiên nhiễm trùng giun kim là vào thời Ai Cập (30 BC-AD 395) và trứng giun kim cổ nhất được tìm thấy trong khối phân người hóa thạch vào thời điểm 7800 BC từ các hang động nguy hiểm (danger cave) ở Utah (Fry và Hall., 1969).
Giun kim cũng được tìm thấy trên các bản viết cổ của Hippocrates, xác định niên đại 430 BC. Tác giả Ferreira và cộng sự (1997) và Hugot và cộng sự (1999) thiết lập giun kim như một loại ký sinh trùng thừa kế, nghĩa là một loại ký sinh trùng có đặc hiệu vật chủ và có một lịch sử cùng tiến hóa lâu dài với tổ tiên cổ của loài người, nhất là tại châu Phi, trước khi con người phân tán đi các lục địa.
Giun kim cổ tìm thấy có mặt ở tại các vùng khảo cổ học khác nhau và theo Goncalves và cộng sự (2002), cho biết phần lớn xuất phát từ các mẫu phân bị hóa thạch tìm thấy ở Mỹ, hai mẫu từ Chile và một mẫu từ Peru, Mexico, Đức, Dan Mạch và Argentina cũng như một mẫu tại triều đại nhà Hán ở Trung Quốc.
Giun kim được phát hiện thông qua các chất liệu khảo cổ học bên ngoài New World không dễ kiếm được so với nơi khác và điều này không biết lý do tại sao, người ta đưa ra giả thuyết rằng loại ký sinh trùng này không có nguồn gốc từ châu Mỹ, nhưng đúng hơn là nó đi đến thông qua con đường đất qua Beringia. Giun kim là một trong số loại giun không như các loài giun khác đòi hỏi nhiệt độ môi trường đất đặc biệt để phát triển thành giai đoạn nhiễm - một giai đoạn mà giun kim không đòi hỏiđiều đó và không thể di chuyển đến các vùng lãnh thổ phía bắc lạnh.
Một loài thứ hai được cho là của giun kim đã được báo cáo tại châu Âu, châu Phi và châu Á là loài Enterobius gregorii, giun kim này được phân lập vào năm 1983 bởi tác giả Jean-Pierre Hugot. Hình thái học, chu kỳ sinh học và đặc điểm lâm sàng, liệu pháp điều trị tương tự như đối với loài giun kim Enterobius vermicularis và điểm khác biệt duy nhất ở loài E. gregorii là trên hình thái học có lồi ra một chóp hay gai nhỏ hơn (70-80 micrometers so với 100-122).
Về phân loại khoa học
Theo phân loại bệnh tật quốc tế đối với giun kim là: ICD-9 127.4 và ICD-10 B80
Giun kim thuộc giới động vật (Animalia), ngành giun tròn (Nematoda), lớpSecernentea, dưới lớp Spiruria, bộ Oxyurida, họ Oxyuridae, giống Enterobius và ba loài Enterobius vermicularis (Linnaeus và cs., 1758), Enterobius anthropopitheci (Gedoelst và cs., 1916), Enterobius gregorii (Hugot và cs., 1983). Đến nay có ít nhất ba loài giun kim có tên khoa học như trên được xác định.
Người là vật chủ duy nhất đối với Enterobius vermicularis (tên cũ là Oxyurias vermicularis). Các con tinh tinh là vật chủ của giun kim Enterobius anthropopitheci, có hình thái có thể phân biệt với giun kim ở người. Hugot (1983) khẳng định có một loài khác cũng ảnh hưởng trên người, đó là Enterobius gregorii, đây được xem là loài “chị em” với loài E. vermicularis và có gai ở phần thân mình hơi nhỏ hơn (ví dụ cơ quan sinh dục). Tuy nhiên, sự tồn tại của nó gây ra sự tranh luận. Totkova và cộng sự (2003) cân nhắc vấn đề này vì chưa có đủ bằng chứng và tác giả Hasegawa (2006) cho rằng loài E. gregorii là một giai đoạn còn non của E. vermicularis. Bất luận về sự phân biệt nư một loài khác, E. gregorii về mặt lâm sàng được coi như E. vermicularis.
Giun kim trưởng thành có kích thước nhỏ, con đực đo được 2-5mm và con cái đo được 8-13 mm. Giun đầu tiên sống trong mạnh tràng của đại tràng. Từ đó, các con cái di chuyển vào ban đêm có thể đẻ trứng đến 15.000 trứng trên vùng quanh hay vùng rìa (giữa hậu môn và bộ phận sinh dục). Trứng có thể lan rộng thông qua con đường phân miệng đến các vật chủ mới. Trứng trên các vùng quanh rìa hậu môn có thể lây sang người khác ở cùng nhà, có thể dẫn đến toàn bộ các thành viên trong gia đình nhiễm bệnh. Trứng đẻ ra trong tá tràng và ấu trùng trưởng thành trong suốt quá trình di chuyển đến ruột già. May thay, hầu hết các trứng bị khử nước và làm khô trong vòng 72 giờ. Nếu không có quá trình tự nhiễm trên vật chủ, thì quá trình nhiễm trùng thường chỉ kéo dài 4-6 tuần.
Các vấn đề thứ phát khi nhiễm trùng giun kim cần được quan tâm, vì khi trứng định vị ở vùng quanh hô chậu, quanh rìa hậu môn và kihcs thích vùng âm đạo. Bệnh nhân thường ngứa và cố gáng làm giảm ngứa có thể dẫn đến rối loạn giấc ngủ. Hiếm khi bệnh diễn biến trầm trọng, như gây sụt cân, nhiễm trùng được tiết niệu và viêm ruột thừa. Nhiễm giun kim nên được nghĩ đến khi một trẻ em biểu hiện ngứa vùng quanh hậu môn và không yên giấc vào bao đêm (nocturnal restlessness). Có thể nhìn thấy trực tiếp giun kim trưởng thành hoặc soi dưới kính hiển vi phát hiện trứng, nhưng chỉ có 5% số ca nhiễm có trứng trong phân. Áp dụng test “cellophane tape test” có thể là hướng tiếp cận tốt nhất và nhanh nhất xác định chẩn đoán.
Một số nét về dịch tễ học
Giun kim là một loại ký sinh trùng có mặt trên khắp thế giới với tỷ lệ nhiễm tại một số quốc gia có khí hậu ôn đới tương đối cao. Chúng phân bố rộng nhất so với bất kỳ loại ký sinh trùng nào, với ước tính khoảng 200 triệu người nhiễm trên toàn cầu. Nhiễm trùng phổ biến nhất tại Mỹ và các quốc gia Tây Âu, đồng thời cũng là loài ký sinh trùng đường ruột phổ biến nhất hay gặp tại các cơ sở chăm sóc sức khỏe ban đầu, bất luận các yếu tố như chủng tộc, tình trạng kinh tế xã hội và văn hóa. Như thế giun kim đóng vai trò như mọt ngoại lệ của quy luật chung của các ký sinh trùng đừơng ruột là không hoặc ít xảy ra tại các quần thể thịnh vượng, giàu có.
Chỉ tính riêng tại Mỹ, tỷ lệ ước tính khoảng 20-40 triệu người và nghiên cứu giám sát của CDC được tiến hành vào năm 1992 tại 35 bang tìm thấy 11,4% trong số 9.597 mẫu xét nghiệm tìm giun kim dương tính. Trong khi các báo cáo cho thấy tỷ lệ nhiễm giun kim chính là trên trẻ em thì báo cáo này cho thấy có cả người lớn cũng nhiễm, đặc biệt trên các hộ gia đình có trẻ em nhiễm lây truyền sang cho các thành viên còn lại trong gia đình.
Giun kim có sự phân bố trên phạm vi toàn cầu và là loại giun nhiễm trùng phổ biến nhất tại Mỹ, Tây Âu và châu Đại Dương. Tại Mỹ, một nghiên cứu bởi Trung tâm Phòng chống bệnh tật Mỹ (US Center of Disease Control and Prevention) báo cáo tỷ lệ nhiễm mới là 11,4% ở tất cả mọi nhóm tuổi. Giun kim đặc biệt hay gặp ở trên trẻ em và tỷ lệ nhiễm ở nhóm tuổi này cao có khi lên đến 61% ở Ấn Độ,50% ở Anh, 39% ở Thái Lan, 37% ở Thụy Điển và 29% ở Đan Mạch.
Tật mút ngón tay đã cho thấy có liên quan đến làm tăng tỷ lệ nhiễm và tỷ lệ tái phát nhiễm giun kim và cán móng tay cũng có mối liên quan như vậy. Vì chúng lây nhiễm từ người này qua người khác qua con đường dễ dàng, nên chúng dễ dàng lan rộng trên các nhóm người sống chật chội và tiếp xúc gần và có xu hướng xảy ra ở tất cả mọi gia đình.
Tỷ lệ lưu hành giun kim không liên quan ưu thế giới tính nào, cũng như không liên đới đến các tầng lớp xã hội, chủng tộc, văn hóa. Giun kim là một ngoại lệ đối với nguyên lý là không thường xu hướng nhiễm trên cộng đồng như các giun truyền qua đất khác.
Trường hợp được biết sớm nhất nhiễm trùng trên người có bằng chứng nhiễm qua phát hiện trứng ở trong sỏi phân/ phân hóa đá (coprolite) với sự can thiệp nghiên cứu khảo cổ học xác định niên đại vào năm 7837 BC tại phía tây Utah của Mỹ. Tuy nhiên, cách nay 240 triệu năm, giun kim đã là loại giun tròn nhiễm trên loài tổ tiên của các động vật có vú với các bằng chứng trứng hóa thạch (fossilized egg) được phát hiện trong các xỉ phân hóa thạch (fossil dung).
Bệnh do ký sinh trùng giun kim là bệnh do Enterobius vermicularis gây ra, loài giun này vàbệnh chính nó gây ra khá phổ biến và gây tác hại tương đối nghiêm trọng nếu không phát hiện và điều trị kịp thời; thực tế rất bệnh dễ phát hiện nhưng không dễ chữa chút nào, nếu không thận trọng trong điều trị và phòng bệnh tái phát và phải lưu ý rằng người chính là vật chủ duy nhất được biết đến hiện nay.
Trên thế giới, bệnh giun kim có ở phần lớn các nước trên thế giới, số liệu cụ thể nhiễm giun kim cho từng khu vực, quốc gia không có sẵn vì so với các bệnh giun sán khác nó không phải là phổ biến. Ký sinh trùng giun kim có tên khoa học là Enterobius vermicularis, một loại giun tròn kích thước nhỏ và thường gây bệnh các nước nhiệt đới, nóng ẩm và ngay cả quốc gia tiến tiến như Mỹ cũng có tỷ lệ mắc tương đối. Tất cả những điều kiện kinh tế xã hội đều bị ảnh hưởng và nhiễm bệnh thường xảy ra trong những nhóm gia đình. Sự nhiễm giun kim không liên quan tương thuận với điều kiện vệ sinh kém, đây chính là điểm quan trọng khi chúng ta bàn luận về biện pháp điều trị.
Ổ chứa của ký sinh trùng giun kim
Người là vật chủ tự nhiên duy nhất của giun kim và cho đến gần đây cũng không có một ổ chứa nào xác nhận là ổ chứa của chúng. Tuy nhiên, vào năm 2004, Chan và cộng sự trình bày sự tồn tại giun kim và giun xoắn Trichinella spiralis trên các con gián ở các bệnh viện và trường học ở Hawaii. Trong khi biết gián là các con vật mang vi khuẩn và nấm sinh bệnh ở người, thì mối liên kết giữa gián với các giun sán gây bệnh vẫn chưa được minh chứng làm rõ và đây là báo cáo đầu tiên về nhiễm giun kim xảy ra tự nhiễm trên các con gián.
Năm 2005, Tatfeng và cộng sự đã phân lập được trứng giun kim từ các con gián (Diploptera punctata), cũng như trứng, bào nang, nang trứng và giun trưởng thành của một số ký sinh tùng khác đồng thời. Nhóm tác giả này bắt được 234 con gián từ các vùng và khu vực quanh nhà ở Ekpoma, châu Phi. Các con gián sau khi bắt được đem để vào trong các hộp chứa dung dịch formol saline, rồi tiếp đó rung mạnh để tách ký sinh trùng ra khỏi côn trùng gián này. Dung dịch sau đó mang đily tâm và soi dưới kính hiển vi.
Các thử nghiệm từ cả hai nghiên cứu đã có giá trị rất lớn về mặt y tế công cộng. Gián thì có khắp mọi nơi và cả hai nghiên cứu đã phát hiện giun kim trên gián là một khía cạnh có giá trị trong nghiên cứu về ổ chứa. Nếu đây là một ổ chứa bổ sung ngoài con người, thì việc phòng chống quần thể gián cũng như hạn chế về mặt phơi nhiễm của gián có thể làm giảm thiểu tối đa không chỉ cho quá trình lan rộng của giun kim mà còn nhiều bẹnh nhiễm trùng khác nữa.
Tại Việt Nam, một số điều tra trước đây cho thấy tỷ lệ nhiễm giun kim ở miền Bắc từ 29-43%, miền Trung là 7.5%, khu vực Tây Nguyên là 50% và vùng đồng bằng Nam bộ là 16-47%. Tỷ lệ nhiễm cao nhất là đối tượng trẻ em, ở thành phố mắc cao hơn nông thôn, nữ mắc hơn nam giới. bệnh thường xảy ra ở môi trường nhà trẻ và mẫu giáo, trường mầm non; trẻ từ 1-5 tuổi nhiễm với tỷ lệ cao nhất (51,2%), trẻ từ 11 tuổi trở lên thì tỷ lệ nhiễm giảm dần. Do bệnh dễ lây lan nên có thể gặp ở những gia đình có nhiều người mắc hoặc trong cả khu nhà trẻ.
Tỷ lệ mắc bệnh, với tỷ lệ nhiễm chung trên thế giới khoảng < 5%, chẳng hạn ở Mỹ tỷ lệ này nhiễm khoảng 5-15% quần thể dân số chung; tuy nhiên, tỷ lệ này đã giảm rõ trong những năm gần đây do chương trình phòng bệnh tốt ở hầu hết các quốc gia. Bên cạnh đó, tỷ lệ nhiễm lại có khả năng tăng cao hơn ở những cá nhân cùng một cơ sở làm việc, trong khu nhà trẻ, nội trú,…
Về giới tính và chủng tộc, tỷ lệ nhiễm giữa hai giới nam và nữ không có gì khác biệt. Tất cả lứa tuổi đều có nguy cơ nhiễm, nhưng lứa tuổi hay gặp nhất là 5-9 tuổi;
Gần đây, người ta cũng suy xét chính bản thân giun kim có thể đóng vài trò như một vật chủ trung gian đối với tác nhân Dientamoeba fragilis, một loại đơn bào “bí ẩn” mà vẫn sống chật vật để được công nhận như một tác nhân sinh bệnh ở người tại một số quốc gia. Tuy nhiên, một sự gia tăng các nghiên cứu đang quy trách nhiệm nó như một tác nhân đường ruột chính thông và nó có liên quan đến các hội chứng lâm sàng như đau bụng, tiêu chảy, nôn mửa, buồn nôn và suy nhược cơ thể. Tuy nhiên, những điều cần biết về loại tác nhân này hiện vẫn còn đang nghiên cứu, kể cả sự lan truyền bệnh. Hầu hết các đơn bào đường ruột lây truyền qua con đường phân miệng thông qua thể nang (cyst form), thì loài D. fragilis nhìn chung được chấp nhận là không có thể nang này.
Do đó, các nghiên cứu đã quay trở lại với họ hàng gần gũi nó nhất là loài Histomonas meleagridis để so sánh. Loài đơn bào H. meleagridis sở hữu một số đặc tính có thể so sánh với loài D. fragilis và điều thú vị là nó lây truyền thông qua trứng của giun tròn Heterakis gallinae. Burrows và Swerldlow (1956) đề xuất chúng ta nên xem D. fragilis lây truyền thông qua trứng của giun kim dựa trên các phân tích trên 22 ruột thừa đã được phân lập D. fragilis, kết quả phân tích cho thấy rằng tỷ lệ nhiễm giun kim cao gấp 20 lần và các vật thể dạng amip nhỏ có sự tương đồng rất có ý nghĩa với nhân của D. fragilis được phát hiện trong trứng giun kim. Song, dù gì đi nữa có chăng D. fragilis còn liên quan đến các ký sinh trùng đường ruột khác, như giun đũa Ascaris lumbricoides chẳng hạn và thiếu giai đoạn thể nang vẫn chưa thể chứng minh, vì D. fragilis dã được tìm thấy với tỷ lệ cao đồng nhiễm với các vi sinh vật khác cũng lây truyền theo con đường phân miệng.
Sự lan truyền bệnh
Giun kim lây truyền từ người sang người do ăn phải hoặc nuốt phải trứng giun gia đoạn nhiễm và/ hoặc đi vào con đường hậu môn. Trứng giun có thể chịu đựng và còn sống và gây nhiễm được đến 3 tuầntrong môi trường ẩm. Chúng không chịu được nhiệt độ nhưng có sống trong nhiệt độ thấp, 2/3 số trứng giun có thể sống sau 18 giờ ở điều kiện nhiệt độ -8°C.
Tất cả các trứng đầu tiên đều đào thải ra (hoặc theo phân) và dính lại vùng gần hậu môn, chúng sẵn sàng lây nhiễm sàng bề mặt khác nếu tiếp xúc với chúng còn có khả năng nhiễm. Bề mặt trứng của chúng dễ dính khi mới đẻ ra, nên dễ dính và gây nhiễm từ vùng quanh hậu môn sang móng tay, bàn tay, quần áo và chăm nệm vào ban đêm. Từ đây, các trứng sẽ tiếp tục lây truyền sang các nguồn khác như thức ăn, thực phẩm, nước, đồ gỗ, đồ chơi trẻ, vật dụng nhà tắm và các vật dụng sinh họat khác. Các vật cưng trong nhà thường mang trứng dính vào trong các lông thú cưng, trong khi đó chúng không thực sự nhiễm. Các đám rác mang trứng có thể lây truyền qua đường không khí (airborne) và có thể phân tán lan rộng khi chúng được đổ ra khỏi bề mặt, ví dụ như khi giũ các quần áo ngủ hoặc mềm màng.
Do vậy, trứng có thể đi vào miệng, mũi thông qua con đường hít và nuốt sau đó. Mặc dù giun kim không thật sự nhân lên trong cơ thể vật chủ người, song một số ấu trùng giun kim có thể đẻ ra ở vùng niêm mạc của hậu môn và di chuyển lên đến ruột và đi vào đường tiêu hóa của vật chủ ban đầu theo một chu trình, gọi là nhiễm trùng ngược dòng (retroinfection). Khi nhiễm trùng ngược dòng xảy ra, nó có thể dẫn đến một tải lượng giun lớn nhiễm nặng và đảm bảo cho quá trình nhiễm giun kim xảy ra tiếp tục hoặc không gây nên bất kỳ triệu chứng lâm sàng có ý nghĩa nào. Mặc dù có giới hạn, tuổi thọ của mỗi giun kim trung bình là 13 tuần, chu trình tự nhiễm (autoinfection), hoặc nhiễm thông qua con đường hậu môn-miệng hoặc thông qua nhiễm trùng ngược dòng, nên thường là phải điều trị lặp lại với khoảng cách mỗi 2 tuần để loại bỏ nhiễm trùng hoàn toàn.
Trứng và ấu trùng giun kim có thể khuyếch tán ở mọi nơi (chăn, chiếu, ghế ngồi, móng tay, đủng quần, khăn tay,…). Loài ký sinh trùng giun kim có tên khoa học là Enterobius vermicularis hoặc thường gọi theo một từ đồng nghĩa thường gọi là pinworm ký sinh trong cơ thể người gây nên. Về sinh lý bệnh và chu kỳ sinh bệnh diễn ra như sau: E. vermicularis là một ký sinh trùng bắt buộc, người là vật chủ tự nhiên duy nhất, đường lây truyền là phân – miệng, thông qua các vật dụng quần áo, đồ chơi và đó cũng chính là các phương thức lây truyền thông thường nhất.
Sau khi nuốt phải, trứng thường đẻ trứng trong tá tràng trong vòng 6 giờ. Giun trưởng thành sau đó khoảng chừng 2 tuần và có tuổi thọ khoảng 2 tháng. Giun trưởng thành thường ký sinh ở đoạn cuối của hổng tràng, hồi tràng, túi ruột thừa và đoạn đầu của đại tràng lên. Những con giun sống tự do trong thành ruột non và hiện nay có rất ít bằng chứng chứng minh có sự xâm nhập của của giun này vào các mô bình thường hoặc mô lành của cơ thể dưới những điều kiện bình thường.
Giun cái di chuyển đến trực tràng, sau khi giao phối và nếu không bị tống ra theo phân thì sẽ tiếp tục di chuyển đến vùng đáy chậu (thường vào ban đêm), nơi đó chúng có thể đào thải ra khoảng 11.000-16.000 trứng. Trứng trưởng thành có khả năng gây nhiễm trong vòng 6-8 giờ và dưới điều kiện thuận lợi, tối ưu, khả năng gây nhiễm vẫn duy trì trong môi trường kéo dài đến 3 tuần.Vì thời gian ủ bệnh ngắn cho đến khi trứng gây nhiễm, các trứng này đào thải và nếu vô ý bằng cách nào đó chúng di chuyển và nằm dưới kẻ móng tay, từ đó dễ dàng đưa vào miệng hình thành phương thức lan truyền bệnh.
Chu kỳ sinh học và phát triển
Chu kỳ của giun kim E. vermicularis cho thấy có giai đoạn bên trong và bên ngoài cơ thể người. Toàn bộ chu kỳ từ khi trứng đến khi trưởng thành xảy ra trong hệ tiêu hóa của vật chủ duy nhất là người, kéo dài khoảng 2-4 tuần hoặc khoảng 4-8 tuần. Chu kỳ bắt đầu với các trứng bị nuốt vào đường tiêu hóa, tiếp đó trứng nở ra trong tá tràng (phần đầu của ruột non). Ấu trùng giun kim đẻ ra phát triển nhanh đến kích thước 140-150μm và di chuyển qua ruột non đến đại tràng. Trong suốt quá trình di chuyển, chúng lột xác hay rụng lông hai lần và trở nên con trưởng thành. Con cái sống sót đến 5-13 tuần và con đực khoảng 7 tuần.
Giun kim cái và đực giao phối với nhau bên trong hồi tràng - đoạn cuối ruột non, sau đó giun đực thường chết đi và đào thải qua phân. Các giun kim cái có chửa (gravid female pinworms) định vị tại hồi tràng và manh tràng, ruột thừa và đoạn đại tràng lên, ở đó chúng dính vào nhau vào trong phần niêm mạc và các thành phần trong đại tràng.
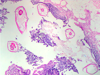
|  | |
| Giun kim đôi khi được chẩn đoán tình cờ qua giải phẩu bệnh. Hình ảnh giun kim qua nhuộm hematoxyline và eosin | Hình ảnh phóng đại của giun kim trong tiêu bản cắt ngang, nhuộm hematoxyline và eosin | Hình ảnh giun kim đực trong lát cắt ngang, alae (mũi tên xanh), ruột (mũi tên đỏ) và tinh hoàn (mũi tên đen) |
Hầu hết toàn bộ cơ thể con giun cái có chửa chứa đầy trứng. Ước tính số trứng trong con giun cái khi có mang khaongr chừng 11.000-16.000 trứng. Tiến trình đẻ trứng bắt đầu khoảng 5 tuần kể từ khi trứng được giun kim nuốt vào. Các con giun cái có chửa di chuyển qua đại tràng đến trực tràng với tốc độ 12-14cm mỗi giờ. Chúng sẽ tiếp tục trồi ra ngoài hậu môn và và di chuyển đến phần rìa của hậu môn, con giun kim cái đẻ trứng, hoặc là (i) thông qua cơn nhu động và tống xuất trứng ra ngoài, (ii) hoặc là chết đi và phân hủy, hoặc (iii) vỡ cơ thể giun do trầy xước vật chủ giữa giun và vật chủ. Sau khi đẻ trứng, con cái trở nên mờ đục và chết. Lý do con cái trồi ra ngoài hậu môn là để lấy oxy cần thiết cho sự trưởng thành của trứng giun kim.
Về hình thái học:
Giun kim cái có kích thước trung bình 10mm x 0.7mm, ngược lại giun kim đực thì nhỏ hơn. Giun kim đẻ trứng ở nếp kẻ hậu môn, ấu trùng bên trong trứng sẽ phát triển sau 4-6 giờ; người nuốt phải trứng giai đoạn nhiễm; sau đó ấu trùng thoát vỏ trong ruột non; giun kim trưởng thành sống trong ruột già, thời gian từ khi nuốt phải trứng (giai đoạn nhiễm) đến khi phát triển thành con trưởng thành và đẻ trứng mất khoảng 1-2 tháng, ban đêm giun cái có trứng di chuyển đến hậu môn và đẻ trứng ở các nếp nhăn quanh hậu môn (đồng thời lúc phát sinh triệu chứng của trẻ nhiễm và ngứa). Sự tự nhiễm (autoinfection) hoặc bò ngược của ấu trùng mới nở từ quanh vùng da hậu môn lên vào trực tràng có thể gây bệnh nhưng cơ chế chưa được biết rõ, nhưng lại là điểm đặc biệt của giun kim hoặc giun lươn.
Phần bạn hỏi chính là tác hại của bệnh do giun kim sẽ diễn ra như thế nào? Khi ở trong ruột, giun kim có thể gây những tổn thương kích thích niêm mạc ruột, làm rối loạn tiêu hóa hoặc gây tình trạng viêm ruột mạn tính, có thể gây nổi mẩn, dị ứng, mày đay, nếu giun kim chui vào ruột thừa có thể gây viêm ruột thừa, đôi khi giun kim chui sang bộ phận sinh dục (nhất là trẻ em nữ) gây viêm sinh dục, âm hộ-âm đạo, rối loạn tiểu tiện và thậm chí rối loạn kinh nguyệt.
Nhiễm trùng thứ phát do vi khuẩn ở vùng da quanh hậu môn do trẻ ngứa, khó chịu đưa tay vào gãi gây trầy, xướt, loét. Sự tái nhiễm (reinfection) thường xuyên là tất yếu, vì quá trình nhiễm có thể kéo dài khi con giun cái tiếp tục đẻ trứng trong nếp kẻ hậu môn. Rối loạn giấc ngủ ban đêm do ngứa quanh vùng hậu môn; trẻ em mắc bệnh giun kim kéo dài nhiều năm, tái đi tái lại sẽ ảnh hưởng đến giấc ngủ, phát triển cơ thể trí tuệ, trẻ gầy, xanh, bụng ỏng và kém ăn, cuối cùng suy dinh dưỡng.
Triệu chứng lâm sàng
Nhiễm trùng giun kim thường lành tính và 1/3 số người nhiễm giun kim không biểu hiện triệu chứng. Các triệu chứng điển hình và thường gặp khi nhiễm giun kim là ngứa hậu môn hoặc vùng da quanh hậu môn và ngứa thường tăng lên và khó chịu vào ban đêm. Điều này xảy ra vì ban giun cái di chuyển đến hậu môn để đẻ trứng (đặc biệt chúng thường đưa vào nếp nhăm của vùng rìa quanh hậu môn để thải trứng) và việc gãi ngứa sẽ dẫn đến nhiễm vào ngón tay và sau đó lan rộng nhiễm trùng sang người khác. Việc gãi trầy xước có thể tổn thương da và nhiễm trùng vi khuẩn thứ phát. Các triệu chứng thứ phát như dẫn đến rối loạn giấc ngủ do ngứa, hay chán ăn và hay bị kích thích.
Tuy nhiên, nhiễm giun kim không phải luôn luôn vô hại, vì chúng có thể dẫn đến viêm ruột thừa (với tỷ lệ có thể cao đến 2,39% số ta theo ghi nhận tại các quốc gia đang phát triển), tắc ruột, thủng ruột, viêm đại tràng kiểu lâm sàng như bệnh Crohn's và viêm hồi-đại tràng tăng bạch cầu ái toan.
Nhiễm trùng ngoài ruột cũng có thể xảy ra và thường xảy ra trên các cơ quan sinh dục nữ và nhiễm trùng ở các vị trí khác cũng óc thể xảy ra, như cơ quan phổi, vú, gan và lách. Các nhiễm trùng ngoài đường tiêu hóa có thể dẫn đến ngứa vùng âm hộ âm đạo, nhiễm trùng đường tiết niệu, xuất huyết sau kinh nguyệt, viêm tinh hoàn, tạo khối giả ở vùng chậu, viêm mạn tính tuyến nước bọt, viêm vòi trứng một bên. Khi trứng và ký sinh trùng chết lắng đọng tại các vị trí lạc chỗ cũng có thể hình thành dạng u hạt (granuloma) hoặc áp xe.
Về lý thuyết, cơ chế nhiễm trùng của nhiễm trùng bộ phận sinh dục nữ là con giun cái có chửa di chuyển từ vùng quanh hậu môn đến vùng âm đạo, ở đó nó có thể đi hướng lên trên thông qua vòi fallop đến vùng phúc mạc. Giả thuyết này được ủng hộ chỉ có giun cái và trứng nhìn thấy được trên các mẫu phết từ cổ tử cung cũng như các u hạt trong khoang phúc mạc. Một giả thuyết khác đặt ra rằng giun kim có thể đi qua vách thành ruột còn nguyên vẹn để hình thành nên các u hạt trong khoang chậu và phúc mạc.
Vậy làm thế nào để phát hiện triệu chứng và chẩn đoán bệnh?
- Hỏi bệnh và khai thác bệnh sử: Những bệnh nhân thường nhiễm bệnh không triệu chứng, giun có thể được phát hiện một cách tình cờ khi tìm thấy chúng ở vùng da vùng rìa quanh hậu môn. Nếu bệnh nhân có triệu chứng thì ngứa hậu môn và vùng âm hộ thường là triệu chứng hay gặp nhất. Tuy nhiên, cũng có trường hợp bệnh nhân có nhiều giun kim nhưng lại không hề ngứa (qua sàng lọc bệnh nhi với cỡ mẫu lớn);
Cha mẹ để ý thấy con cái mình thường không ngủ ngon giấc, gãi vùng mông và hậu môn,…điều này gặp ở nhiều bệnh nhân, nhất là trong lứa tuổi đi nhà trẻ;
- Khám thực thể và xét nghiệm: Các bệnh nhân thường có sự trầy xướt hoặc tạo vệt đỏ quanh hậu môn, vùng quanh âm hộ hoặc cả hai nhưng cũng có nhiễm trùng đôi khi tải lượng giun lớn, chúng ta lại không phát hiện dấu hiệu ngứa này;
Quan sát bằng mắt thường thấy giun kim là một trong những bằng chứng đáng tin cậy, hay chuẩn vàng và cũng là cơ sở để tiến hành điều trị. Giun có thể phát hiện trong phân hoặc vùng quanh hậu môn trước khi tắm buổi sáng sau một đêm ngủ dậy;
Ngoại lệ, nếu con giun cái đẻ trứng có thể di chuyển lạc chỗ đến cơ quan sinh dục nữ và gây viêm âm đạo, âm hộ (do hậu môn và bộ phận sinh dục ở nữ gần nhau, điều này ít khi gặp ở nam giới). Hoặc đôi khi tình cờ phát hiện tổn thương dạng u hạt hoại tử hoặc qua phẩu tích thấy giun nằm bên trong, đôi lúc gặp cả trứng, ấu trùng trong vòi trứng và khoang phúc mac, điều này cho thấy giun có hướng di chuyển lên bộ phận sinh dục lạc chỗ và gây nên các triệu chứng, biến chứng không mong đợi;
Phát hiện giun kim ở các nếp nhăn quanh hậu môn, xem đại thể phân cũng có thể gặp giun kim bám toàn màu trắng ở rìa khuôn phân;
Thu thập trứng giun kim bằng phương pháp dán giấy bóng kính vào hậu môn vào buổi sáng sớm trước khi tắm hoặc rửa hậu môn, sau đó soi dưới kính hiển vi sẽ thấy trứng giun kim khá điển hình. Giấy bóng kinh này thường dán vào ban đêm hoặc sáng sớm trước khi cho bệnh nhân rửa hậu môn, thông thường chúng ta lấy 3 mẫu 3 ngày liếp tiếp mới phát hiện được hoặc trước khi loại trừ nếu kết luận âm tính. Trong quá trình chuẩn bị bệnh phẩm, nên pha loãng dung dịch sodium hydroxide hoặc toluene vào lam kính.
Hiếm khi việc chẩn đoán bệnh giun kim lại đòi hỏi can thiệp các kỹ thuật chẩn đoán hình ảnh hay các thủ thuật cận lâm sàng phức tạp khác.
Xét nghiệm chẩn đoán
Phương tiện chẩn đoán nhiễm trùng giun kim phổ biến và dùng thường quy nhất là Scotch tape test hay Cellophane tape test. Trong đó, các xét nghiệm viên dùng một mảnh cellophane sạch dán vào vùng quanh hậu môn vào buổi sáng sớm trước khi tắm và đại tiện. Tiếp sau đó quan sát dưới kính hiển vi để xác định có hay không sự hiện diện trứng giun kim. Các trứng giun kim này cũng có thể nhuộm xanh lactophenol cotton blue, để giúp phát hiện và xác định định loại dễ dàng và rõ ràng hơn. Độ nhạy của test khi thực hiện ba mẫu vào 3 buổi sáng liên tiếp là 90%.
 |
| Test dán phiến cellpphane (cellophane tape test). Gắn mẫu tape vào một phần góc lam. Sau đó đưa phần còn lại của phiến cellophane để dính vào bề mặt phơi nhiễm (hình giữa). Sờ và đè dính phần giấy cellophane vào vùng quanh hậu môn một vài lần. Tiếp theo là miết nhẹ tape lên trên bề mặt lam xét nghiệm và làm lam soi. |
Xét nghiệm dùng que phết vào hậu môn (anal swabs hay swube tubes) sử dụng một dụng cụ códạng hình mái chéo có đính chất dính thay thế khi không có test áp cellophane trên.
 | |
| Test áp cellophane để chẩn đoán giun kim | Hình thể trứng giun kim E. vermicularis |
Các con giun kim trưởng thành đôi khi có thể nhìn thấy trong phân đại tiện ra hoặc trên giấy vệ sinh, mặc dù trứng và ấu trùng hiếm khi nhìn thấy trong phân và nước tiểu. Nhiễm trùng ngoài ruột có thể đòi hỏi một số xét nghiệm chẩn đoán xâm nhập. Chẩn đoán thông qua soi đại tràng xác định đã được báo cáo bởi tác giả Petro và cộng sự (2005) và nhiễm trùng đường sinh dục nữ thường cần đến phẩu tích nhỏ và lấy bỏ các tổn thương u hạt để kết luận chẩn đoán. Chẩn đoán trước phảu thuật tìm ký sinh trùng qua mẫu bệnh phẩm, que bệnh phẩm phết ở cổ tử cung và mẫu bệnh phẩm lấy từ âm đạo cũng có thể nhưng khó hơn.
Chẩn đoán phân biệt
Bệnh giun kim biểu hiện triệu chứng tương đối điển hình nên cũng dễ phát hiện, song có một số trường hợp (dù không nhiều) đã biểu hiện triệu chứng như một số bệnh lý nội, ngoại khoa khác như viêm ruột thừa, nhiễm giun đũa, viêm cổ tử cung, viêm da tiếp xúc, hăm kẻ hậu môn, nhiễm đơn bào Giardia spp., viêm vùng hố chậu, viêm âm hộ âm đạo, viêm tiết niệu sinh dục, viêm da ở những cá nhân làm việc trong môi trường kém vệ sinh, hoặc nhiễm sán dải chó Dipylidium caninum.
Biến chứng
Một số báo cáo ca bệnh cho thấy nhiễm trùng giun kim nghiêm trọng có thể liên quan đến tăng nguy cơ viêm ruột thừa. Gãi và cào các vùng ngứa có thể gây nên tình trạng chàm hóa hoặc nhiễm khuẩn thứ phát vùng quanh trực tràng, nhiễm trùng giun kim có thể lan rộng đến âm đạo và có thể xuất tiết dịch âm đạo.
Giun kim E vermicularis có thể có triệu chứng nan ná với các bệnh lý khác, mặc dù hiếm gặp, song có thể dẫn đến biến chứng nhiễm trùng nghiêm trọng như áp xe vòi trứng. Các biến chứng sau cũng nên đáng lưu ý như viêm ruột thừa, viêm nội mạc tử cung, viêm vòi trứng, viêm niệu đạo, nhiễm trùng đường tiểu và viêm âm hộ âm đạo.
Tiên lượng
Nhiễm trùng giun kim không gây nên tỷ lệ bệnh tật đáng kể trừ phi nhiễm trùng lạc chỗ xảy ra. Biến chứng hiếm này xảy ra trên các cá nhân có tình trạng suy giảm miễn dịch cũng như ảnh hưởng tính toàn vẹn của thành ruột như bệnh viêm đại tràng kích thích. Giun di chuyển đến thành ruột và được tìm thấy các vị trí ngoài đại tràng.
Bệnh giun kim lạc chỗ đã được mô tả tại các vị trí khác nhau, bao gồm cả vùng âm đạo, vòi trứng, vùng bẹn, vùng chậu sinh dục, phúc mạc chậu, mạc nối, gan, tuyến nước bọt, hệ sinh dục nam và kể cả phổi. Chúng cũng có liên quan đến viêm ruột thừa cấp và viêm dạ dày ruột tăng bạch cầu ái toan.
Nhiễm trùng giun kim rất hiếm khi tử vong, tỷ lệ mắc và tử vong từ nhiễm trùng thứ phát. Nhiễm trùng giun kim có liên quan tăng nguy cơ đến 28-68% viêm ruột thừa qua một nghiên cứu. Tiêu diệt giun kim trên các nhóm người tập trung trong một gia đình là khó? Tiếp tục xét nghiệm theo dõi là việc cần thiết. Liệu pháp điều trị sẽ hiệu quả hơn nếu gia đình trẻ và bạn cùng lớp của chúng cùng được điều trị đồng thời.
Thái độ xử trí ca bệnh và điều trị?
- Chăm sóc y tế: Nhiều gia đình có bệnh nhân gặp phải các lời khuyên đôi khi chưa hợp lý từ thầy thuốc nhi khoa, truyền nhiễm hoặc ký sinh trùng và cấp cứu hồi sức khi tư vấn về vấn đề giun kim. Trong quá trình kê đơn thuốc, đưa ra lời khuyên và hướng dẫn điều trị là khâu rất quan trọng. Ngoài ra, hướng dẫn chăm sóc, rửa tay thường xuyên cho tất cả mọi người là biện pháp hiệu quả ngăn ngừa lan truyền bệnh;
Vì nhiễm ký sinh trùng giun kim đôi khi không biểu hiện triệu chứng của một số thành viên khác trong gia đình, nên chúng ta phải điều trị đồng thời tất cả thành viên đó là một cách phòng và điều trị hợp lý nhất, tuy nhiên chưa áp dụng phổ cập và có nên không là vấn đề cần bàn?. Gia đình cũng nên thông báo cho các thành viên đó điều trị lặp lại vì khả năng tái nhiễm là có thể. Xử lý giảm triệu chứng ngứa có thể dùng một số kem thoa chống ngứa tại vùng xác định nhiễm, đặc biệt vùng da quanh hậu môn.
- Danh mục thuốc điều trị giun kim: Con đường tác động các thuốc về mặt sinh hóa học khác nhau trong cơ thể con người, do đó độc tính trực tiếp lên ký sinh trùng, giai đoạn trứng, hay ấu trùng cũng khác nhau tùy mức độ. Cơ chế tác động khác nhau theo loại thuốc chống giun sán. Mebendazole hoặc albendazole được xem là thuốc lựa chọn khuyên dùng điều trị cho bệnh giun kim. Liều thứ 2 được chỉ định sau liều đầu khoảng 2 tuần giúp ngăn ngừa tái nhiễm giun kim.
- Nguyên tắc điều trị: Điều trị phải kết hợp chặt chẽ với phòng bệnh để tránh tái nhiễm.
Với các khu tập thể, đông đúc người ở mà nhiễm giun kim cao, cần điều trị hàng loạt và điều trị lặp lại để tránh tái nhiễm. Một số tác giả có ý kiến cho rằng vì giun kim có tuổi thọ ngắn so với một số giun khác (1,5-2 tháng trong ruột) nên nếu điều trị chống lại chu trình tự nhiễm của giun kim tốt, một cách tích cực thì có thể không cần dùng thuốc, bệnh cũng tự khỏi.
Đối với bệnh giun kim, mebendazole có thể được dùng với liều duy nhất 100 mg đường uống, điều trị lặp lại sau đó 2 tuần để ngừa tái nhiễm và người ta có thể cho rằng liệu pháp như thế sẽ là an toàn và hiệu quả nhất, với hiệu lực chữa khỏi lên đến 96%. Thuốc tác dụng vào đích của các giun trưởng thành, ngăn chặn tiêu thụ glucose và gây cho giun mất nặng lượng chết. Albendazole cũng có thể dùng với liều 100 mg đối với các bệnh nhi dưới 2 tuổi, hoặc liều 400 mg đối với các bệnh nhân lớn hơn. Như đối với thuốc mebendazole, khi dùng thuốc này cần điều trị lặp lại trong vòng 2 tuần sau đó. Albendazole cũng tác động vào đích giun kim trưởng thành, thông qua giảm sinh ATP và gây giáng hóa mất năng lượng, bất động và cuối cùng gây cho giun chết.
Pyrantel pamoate cũng là một lựa chọn và liều sử dụng là 11mg/kg, không vượt quá 1g. Tuy nhiên, nó có thể gây một số tác dụng ngoại ý như khó chịu trong dạ dày ruột, độc tính thần kinh, tăng men gan thoáng qua. Pyrantel pamoate đóng vai trò như một chế phẩm ngăn khử cực trong hoạt động thần kinh cơ của giun, ức chế men cholinesterases và dẫn đến liệt cứng (spastic paralysis) cơ giun và gây chết giun trưởng thành.
Các thuốc khác đã được dùng để điều trị giun kim gồm có loại thuốc piperazine citrate, pyrvinium panoate, oxantel, oxantel-pyrantel, fenbendazole và nitrazoxamide.
Đối với nhiễm giun kim ở đường tiết niệu sinh dục, liều mebendazole duy nhất có thể không đủ và thường được bổ sung thêm loại thuốc ivermectin để đạt được hiệu quả tối ưu. Các chế phẩm thuốc diệt côn trùng thoa ngoài như malathion hay ivermectin cũng có thể dùng trên da của khu vực quanh hậu môn để loại bỏ trứng giun kim.
Trong tất cả ca nhiễm trùng giun kim, điều trị tất cả thành viên trong hộ gia đình là việc khuyến cáo cần thiết, dù có hay không có triệu chứng vì thực tế sự lây nhiễm giun kim từ các thành viên trong cùng gia đình dễ dàng xảy ra. Khâu rửa tay cẩn thận là khuyến cáo cần thiết sau khi đi tiểu hoặc đại tiện, hoặc sau khi thay tả lót và vệ sinh cho các em bé bị nhiễm, cũng như rửa tay trước thời điểm ăn. Trong vòng 2 tuần điều trị đó, cần giặt giũ và vệ sinh đồ dùng ngủ hoặc chăn nệm ở giường mỗi 3-7 ngày trong vòng 3 tuần và giặt sạch hàng ngày đối với đồ lót.
Tính an toàn của thuốc sử dụng điều trị giun kim chưa được nghiên cứu trên phụ nữ mang thai. Nếu nhiễm trùng trên các phụ nữ mang thai suy giảm đề kháng (sụt cân, ngủ không ngon giấc) thì điều trị cần cân nhắc, nhưng chờ cho đến 3 tháng cuối thai kỳ hãy dùng để tránh các tác hại trên phôi thai. Các phụ nữ đang cho con bú cũng nên dùng cân nhắc mebendazole. Chỉ khoảng 2-10% số liều dùng đường uống được hấp thu, lượng thuốc bài tiết ra sữa dưới ngưỡng phát hiện và dường như không có ý nghĩa lâm sàng. Sự bài tiết qua sữa mẹ của các thuốc điều trị giun kim khác không biết thấu đáo.
- Các thuốc điều trị:
+ Mebendazole (biệt dược Vermox, Fugacar), 100 mg đường uống, dùng một lần;
+ Pyrantel pamoate (biệt dược Pin-Rid), 11 mg/ kg (tối đa 1g) dùng một lần đường uống;
+ Albendazole (biệt dược Valbazen), 400 mg dùng một lần đường uống. Nếu còn tồn tại, có thể điều trị lặp lại sau 2 tuần. Không dùng cho trẻ em dưới 2 tuổi và nếu có thể nên tư vấn từ bác sĩ hoặc dược sĩ.
Tên thuốc | Pyrantel (biệt dược Antiminth, Pin-Rid, Pin-X) | Mô tả và cơ chế | Qua cơ chế khử cực thần kinh cơ và ức chế men cholinesterases, dẫn đến liệt hoạt động cơ giun, dùng thuốc kèm với sữa hoặc nước trái cây. | Liều người lớn | 11 mg/kg đường uống, một lần duy nhất, không được vượt liều 1g; điều trị lặp lại trong vòng 2 tuần. | Liều trẻ em | - Chỉ định như liều ngưới lớn (theo cân nặng bệnh nhân). - Độ an toàn của thuốc pyrantel pamoate trên trẻ em chưa thiết lập. Theo hướng dẫn của tổ chức Y tế thế giới về hóa liệu pháp dự phòng thì pyrantel có thể dùng cho trẻ em từ 1 tuổi và trẻ lớn hơn trong các chương trình điều trị hàng loạt mà không cần khâu xét nghiệm chẩn đoán trước đó. \; - Pyrantel pamoate được liệt kê như một thuốc chống ký sinh trùng trong danh mục thuốc thiết yếu của TCYTTG cho trẻ em (WHO Model List of Essential Medicines for Children), dành cho các trẻ em đến 12 tuổi. | Chống chỉ định | Mẩn cảm với thuốc, có bệnh lý nền gan, thận. | Tương tác thuốc | Nồng độ theophylline trong máu có thể tăng trên những bệnh nhi có dùng loại thuốc này, nên cần theo dõi chỉ định pyrantel pamoate thêm. | Phụ nữ có thai | - Nguy cơ thai nhi được đánh giá trong vài nghiên cứu ở động vật, song chưa thấy biểu hiện trên người, có thể dùng - nếu xét hiệu quả và lợi ích lớn hơn nguy cơ. - Pyrantel pamoate được xếp theo phân loại C (category C). Các dữ liệu liên quan đến sử dụng pyrantel pamoate trên phụ nữ mang thai vẫn còn hạn chế. Trong các chương trình điều trị hàng loạt trong đó TCYTTG xác định lợi điểm của điều trị lớn hơn nguy cơ, TCYTTG cho phép sử dụng pyrantel pamoate trong thời gian ba tháng giữa và 3 tháng cuối của thai kỳ, thừa nhận các tác hại của pyrantel trên trẻ sau sinh chưa chắc chắn. Nguy cơ điều trị trên các phụ nữ mang thai có nhiễm giun kim cần cân nhắc giữa lợi ích và nguy cơ khi điều trị trên bệnh nhân. - Phân loại nguy cơ C trên phụ nữ mang thai: các nghiên cứu trên động vật biểu hiện tác dụng ngoại ý trên phôi thai (quái thai và chết thai) và chưa có nghiên cứu đối chứng trên phụ nữ không có sẵn. Do vậy, thuốc chỉ cho khi cân nhắc lợi ích với nguy cơ tiềm tàng cho phôi thai. | Phụ nữ đang cho con bú | Việc thuốc pyrantel pamoate có bài tiết ra sữa mẹ hay không chữa rõ ràng. TCYTTG phân loại pyrantel pamoate như thích hợp với phụ nữ đang cho con bú, mặc dù các dữ liệu uống pyrantel pamoate trong suốt thời gian đang cho con bú vẫn còn hạn chế. | Thận trọng | Thận trọng trên những bênh nhân suy gan, thiếu máu, suy dưỡng. |
Tên thuốc | Mebendazole (biệt dược Vermox, Fugacar) | Mô tả | Thuốc gây chết giun nhờ vào cơ chế ngăn chặn đảo ngược khâu tiêu thụ glucose và vi chất dinh dưỡng khác. | Liều người lớn | 500 mg đường uống, liều duy nhất, liều lặp lại trong vòng 2 tuần | Liều trẻ em | - Chỉ định như liều ngưới lớn theo cân nặng bệnh nhân là tốt nhất. - Độ an toàn của thuốc mebendazole trên các trẻ em chưa xác định. Vẫn còn rất ít dữ liệu khi dùng trên các trẻ em nhỏ hơn 2 tuổi. Mebendazole được liệt kê trong danh mục thuốc chống giun sán của TCYTTG và thuốc thiết yếu dùng cho trẻ em, dành cho các trẻ đến 12 tuổi. | Chống chỉ định | Cơ địa có mẩn cảm với thuốc, hoặc bệnh lý nền như thận, gan. | Tương tác thuốc | - Thuốc carbamazepine và phenytoin có thể giảm hiệu lực thuốc mebendazole; - Thuốc cimetidine có thể làm tăng nồng độ mebendazole. | Phụ nữ có thai | - Nguy cơ trên phôi thai được đánh giá trong vài nghiên cứu động vật, song chưa thấy biểu hiện bất thường trên cơ thể người, có thể dùng nếu xét hiệu quả và lợi ích cao hơn nguy cơ; - Mebendazole trên phụ nữ mang thai được phân loại C. Dữ liệu về sử dụng thuốc mebendazole trên phụ nữ mang thai vẫn còn hạn chế. Các bằng chứng sẵn có không có sự khác biệt về bất thường bẩm sinh trên nhóm trẻ em sinh ra từ các bà mẹ được điều trị bằng mebendazole trong chiến dịch điều trị hàng loạt so với các trẻ em sinh ở các bà mẹ không dùng thuốc. Trong các chương trình điều trị hàng loạt mà TCYTTG xác định rằng lợi ích điều trị lớn hơn so với nguy cơ, TCYTTG đã cho phép sử dụng mebendazole trên các phụ nữ mang thai trong ba tháng giữa và 3 tháng cuối. Nguy cơ điều trị trên các phụ nữ mang thai có nhiễm trùng cần phải cân nhắc nguy cơ giảm bệnh của việc điều trị và nếu không điều trị; - Phân loại C của thuốc trên phụ nữ mang thai, nghĩa là các nghiên cứu trên động vật biểu hiện các tác dụng ngoại ý đối với phôi thai (quái thai hoặc gây chết phôi thai) và không có các nghiên cứu đối chứng trên các phụ nữ cũng như trên động vật. Thuốc nên cho chỉ khi nhận thấy lợi ích lớn hơn nguy cơ phôi thai trên các phụ nữ đang mang thai. | Phụ nữ đang cho con bú | Vẫn chưa rõ ràng khi dùng mebendazole có bài tiết qua sữa mẹ hay không. TCYTTG phân loại mebendazole như một chế phẩm thích hợp với phụ nữ đang cho con bú và cho phép sử dụng mebendazole trên phụ nữ đang trong giai đoạn đang cho con bú. | Thận trọng | Điều chỉnh liều khi bệnh nhân có bệnh lý nền suy gan, thận. |
|
Tên thuốc | Albendazole (biệt dược Unaben, Albenca, Vidoca) | Mô tả và cơ chế | - Albendazole làm giảm sinh năng lượng ATP trong cơ thể giun, gây nên giáng hóa năng lượng, bất động và cuối cùng chết giun. Để tránh đáp ứng viêm trong hệ thàn kinh trung ương, các bệnh nhân cũng phải bắt đầu với các thuốc chống co giật và thuốc glucocorticoids liều cao. - Về cơ chế tác dụng, thuốc gây giáng hóa tổ chức vi ống-bào tương và tế bào vỏ của giun đường ruột. - Về dược động học: thuốc hấp thu < 5% và có thể tăng lên gấp 4-5 lần nếu dùng thuốc cùng với bữa ăn có nhiều chất béo. Thuốc phân bố tốt vào trong các nang sán và cơ quan thần kinh trung ương. Tỷ lệ gắn protein là 70%. Thuốc chuyển hóa ở gan, hiệu ứng pha đầu kéo dài, thời gian bán hủy từ 8-12 giờ, thời gian để thuốc đạt đỉnh 2-5 giờ. Đào thải thuốc qua nước tiểu (< 1% dưới dạng chất chuyển hóa) hoặc qua phân. | Liều người lớn | Albendazole viên nén 400 mg đường uống, liều lặp lại trong vòng hai tuần, khi uống thuốc nên uống sau bữa ăn. Nếu có vấn đề gì xảy ra cần giám sát chỉ số công thức máu toàn phần và xét nghiệm chức năng gan. | Liều trẻ em | Độ an toàn của albendazole trên trẻ em < 6 tuổi vẫn chưa rõ ràng. Các nghiên cứu sử dụng albendazole trên các trẻ em 1 năm tuổi vẫn cho thấy dùng an toàn. Theo Hướng dẫn của TCYTTG trong chiến dịch phòng bệnh hàng loạt, albendazole có thể sử dụng trên các trẻ em 1 tuổi. Nhiều trẻ < 6 tuổi đã được điều trị trong các chiến dịch này với thuốc albendazole, mặc dù có giảm liều. | Chống chỉ định | Đối với cơ địa mẩn cảm với thuốc albendazole hoặc nhóm benzimidazoles | Tương tác thuốc | Một số thuốc có tương tác với albendazole như fosphenytoin, phenytoin hoặcdexamethasone, praziquantel | Phụ nữ có thai | - Albendazole dùng trên phụ nữ mang thai được xếp vào phân loại C. Các dữ liệu về sử dụng albendazole trên phụ nữ mang thai vẫn còn hạn chế, mặc dù các bằng chứng sẵn có cho thấy không có sự khác biệt bất thường trên các trẻ sinh ra từ các bà mẹ được điều trị tình cờ bằng albendazole trong suốt quá trình chiến dịch dự phòng hàng loạt so với các nhóm phụ nữ không dùng. - Trong chiến dịch dự phòng hàng loạt mà trong đó TCYTTG đã xác định lợi ích của điều trị lớn hơn nguy cơ, TCYTTG cho phép sử dụng albendazole trên phụ nữ mang thai ở 3 tháng giữa và 3 tháng cuối. Tuy nhiên, nguy cơ điều trị trên các phụ nữ mang thai có nhiễm cần cân nhắc giữa lợi ích và nguy cơ của việc điều trị trước khi quyết định; - Phân loại C của thuốc trên phụ nữ mang thai, nghĩa là các nghiên cứu trên động vật biểu hiện các tác dụng ngoại ý đối với phôi thai (quái thai hoặc gây chết phôi thai) và không có các nghiên cứu đối chứng trên các phụ nữ cũng như trên động vật. Thuốc nên cho chỉ khi nhận thấy lợi ích lớn hơn nguy cơ phôi thai trên các phụ nữ đang mang thai. | Phụ nữ đang cho con bú | - Vẫn chưa rõ ràng với các dữ liệu liệu thuốc albendazole có bài tiết qua sữa mẹ hay không; - Albendazole nên sử dụng với sự thận trọng trên các phụ nữ đang cho con bú. | Thận trọng | - Giám sát nồng độ thuốc theophylline nếu đang sử dụng thuốc đồng thời; - Có nguy cơ tiềm tàng ức chế tuỷ xương, thiếu máu bất sản và mất bạch cầu hạt; giám sát công thức máu chung trên các bệnh nhân có liệu trình điều trị kéo dài 28 ngày và theo dõi mỗi hai tuần khi điều trị, cần ngưng điều trị nếu có những thay đổi trên lâm sàng đáng kể ở công thức máu xảy ra; - Các bệnh lý ấu trùng sán dây lợn thể thần kinh tồn tại có thể không được bảo vệ trên các bệnh nhân điều trị theo liều cân nặng như các bệnh khác, có thể biểu kiến các triệu chứng thần kinh (động kinh, co giật, tăng áp lực sọ não, dấu thần kinh khu trú) nên điều trị kịp thời bằng corticosteroid và thuốc chống co giật; - Cần thử xem có thai không trước khi tiến hành điều trị và nên tránh dùng thuốc khi mang thai, trừ khi các triệu chứng không thay đổi cần phải quản lý thích hợp; cần thiết gián đoạn liệu trình điều trị nếu mang thai xảy ra và thông tin coh bệnh nhân biết các nguy hại tiềm tàng có thể xảy ra cho phôi thai; - Nguy cơ tổn thương võng mạc trên các bệnh nhân ấu trùng sán dây lợn; các ca bệnh võng mạc như thế đã được báo cáo, nên khám bệnh nhân xem các thương tổn ở võng mạc trước khi điều trị bệnh ấu trùng sán dây lợn thể thần kinh. - Tăng nhẹ men gan cũng có thể xảy ra, cần giám sát các men gan trước khi bắt đầu liệu trình điều trị từng đợt và ít nhất mỗi hai tuần trong suốt quá trình điều trị. Nếu cần có thể gián đoạn khi có vấn đề tăng men gan quan trọng xảy ra. |
|
|
Thuốc sử dụng để điều trị giun kim là mebendazole, pyrantel pamoate, albendazole. Tất cả ba loại thuốc này được coh một liều đầu tiên và chỉ định thêm một liều khác ở thời điểm hai tuần sau đó để làm tăng hiệu quả điều trị và giảm tái phát. Pyrantel pamoate là một thuốc sẵn có trên thị trường và không cần kê đơn.
Thuốc có giết chết trứng giun không vẫn chưa có số liệu tin cậy. Do đó, liều thuốc thứ hai nhằm ngăn ngừa tái nhiễm bởi giun trưởng thành sẽ đẻ trứng mà liều thứ nhất không đủ giết chết. Các chuyên gia y tế và cha mẹ nên cân nhắc nguy cơ và lợi ích của việc dùng thuốc trên các bệnh nhân dưới 2 tuổi.
Nhiễm trùng lặp lại nên được điều trị theo liệu pháp tương tự của nhiễm giun kim lần đầu. Tại các hộ gia đình, có hơn 1 thành viên nhiễm hoặc nhiễm trùng có triệu chứng lặp lại, thì nên khuyến cáo cho tất cả thành viên trong gia đình dùng thuốc cùng thời điểm và như thế sẽ có có hiệu quả điều trị cho toàn gia đình.
Biện pháp phòng bệnh
Về biện pháp phòng bệnh: cần thực hiện các khâu dưới đây:
-Phát hiện bệnh và điều trị kịp thời;
-Rửa hậu môn cho trẻ vào buổi tối trước khi đi ngủ và vào sáng sớm hôm sau khi bé ngủ dậy;
-Không nên để trẻ mặc quần thủng đáy/ mông hoặc không mặc quần, không để trẻ chơi lê la ở nền đất bẩn; giữ tay sạch, cắt ngắn móng tay, rửa tay sạch trước khi ăn và sau khi đi đại tiện;
-Tất cả các vật dụng như giường, chiếu, áo gối, thường xuyên đưa đi phơi nắng (nếu có thể);
Giáo dục bệnh nhân
Tập trung vào khâu rửa tay, đặc biệt trước khi ăn. Rửa tay một cách thận trọng và đầy đủ theo khuyến cáo sau khi đi vệ sinh và thay tả lót cho các bé bị nhiễm bệnh.
Giặt sạch các khăn trải gường, quần áo và khăn vật dụng trong toilet thường xuyên bằng xà phòng, có thể loại trừ được trứng giun kim. Tất cả vật dụng và đồ chơi trên giường ngủ của các bé hay người bị nhiễm mỗi 3-7 ngày, trong suốt 3 tuần liên tiếp.
Các quần áo lót nên giặt sạch mỗi ngày trong vòng 2 tuần liên tiếp. Cải tạo tập quán vệ sinh tốt tại nhà, vườn trẻ, trường mẫu giáo, mầm non, và nơi sống tập thể...
Chiến lược ngăn ngừa và y tế công cộng
Để ngăn ngừa sự lan rộng nhiễm trùng hoặc tái nhiễm, các khuyến cáo sau đây từ Trung tâm CDC đưa ra đối với bệnh giun kim:
·Tắm khi bạn thức dậy để làm giảm tình trạng nhiễm trứng giun;
·Thay quần lót và áo lót mỗi ngày, nhất là các quần áo hay mặc ngủ ban đêm;
·Thay đồ lót, các quần áo ban đêm và khăn hoặc tấm ra trải giường sau mỗi lần điều trị. Vì trứng rất nhạy với ánh sáng mặt trời, mở bức màn che hoặc rèm cửa trong phòng ngủ ra vào thời gian ban ngày để giảm lượng trứng giun nếu còn;
·Vệ sinh cá nhân nên bao gồm cả việc rửa tay sau khi đi đại tiện, tiểu tiện, trước khi ăn và sau khi dọn tả lót cho bé;
·Cắt ngắn các móng tay;
·Cần khuyên bỏ tật cắn móng tay và dùng tay để gải các vùng ngứa quanh hậu môn. Các bước thực hành này giúp cho làm giảm nguy cơ tự nhiễm và tái nhiễm;
·Có thể lau sạch và hút bụi trong toàn nhà mỗi ngày khi có người bệnh, cũng như gặt tấm khăn trải giường hàng ngày là không cần thiết cũng không hiệu quả, cũng như không cần sàng lọc giun kim rộng rãi ở phạm vi trường học (school-wide pinworm screenings). Việc cho cháu tắm vệ sinh thân thể trước khi đến trường, cắt ngắn móng tay là các bước đầu tiên của khâu chăm sóc và trị liệu cho bệnh nhân.
Tài liệu tham khảo
1.Hasegawa H, Ikeda Y, Fujisaki A, et al. (2005). Morphology of chimpanzee pinworms, Enterobius (Enterobius) anthropopitheci (Gedoelst, 1916) (Nematoda: Oxyuridae), collected from chimpanzees, Pan troglodytes, on Rubondo Island, Tanzania". The Journal of Parasitology 91 (6): 1314-7.
2.Avolio L et al., (1998). Perianal granuloma caused by Enterobius vermicularis: Report of a new observation and review of the literature. Journal of Pediatrics 132, June 1998
3.Enterobiasis. Merriam-Webster's Medical Dictionary. Merriam-Webster. Retrieved on 8 April 2009.
4.Totkova A, Klobusicky M, Holkova R, Valent M (2003). "Enterobius gregorii reality or fiction?". Bratislavské Lekárske Listy 104 (3): 130-3.
5.Enterobius. NCBI taxonomy database. National Center for Biotechnology Information, U.S. National Library of Medicine (2009).
6.Enterobiasis. DPDx. Division of Parasitic Diseases, Centers for Disease Control and Prevention. Retrieved on 8 April 2009.
7.Nakano T, Okamoto M, Ikeda Y, Hasegawa H (2006). Mitochondrial cytochrome c oxidase subunit 1 gene and nuclear rDNA regions of Enterobius vermicularis parasitic in captive chimpanzees with special reference to its relationship with pinworms in humans. Parasitology Research 100 (1): 51-7.
8.Hugot JP (1983). Enterobius gregorii (Oxyuridae, Nematoda), a new human parasite. Annales de Parasitologie Humaine et Comparée 58 (4): 403-4.
9.Hasegawa H, Takao Y, Nakao M, Fukuma T, Tsuruta O, Ide K (1998). Is Enterobius gregorii Hugot, 1983 (Nematoda: Oxyuridae) a distinct species?. The Journal of Parasitology 84 (1): 131-4.
10.Gutiérrez, Yezid (2000). Diagnostic pathology of parasitic infections with clinical correlations (PDF), Second, Oxford University Press, 354-366. ISBN 0-19-512143-0.
11.Cook, Gordon C (2009). Manson's tropical diseases, 22nd, Saunders Elsevier, 1515-1519. ISBN 978-1-4160-4470-3.
12.B80: Enterobiasis. International Statistical Classification of Diseases and Related Health Problems (ICD) 10th Revision. World Health Organization (2007).
13.Cook GC (1994). Enterobius vermicularis infection. Gut 35 (9): 1159-62.
14.Garcia, Lynne Shore (2009). Practical guide to diagnostic parasitology. American Society for Microbiology, 246–247. ISBN 1-55581-154-X.
15.Burkhart CN, Burkhart CG (2005). Assessment of frequency, transmission, and genitourinary complications of enterobiasis (pinworms). International Journal of Dermatology 44 (10): 837-40.
16.Centers for Disease Control and Prevention (2012). Parasites - Enterobiasis infection. Parasitic Diseases Information. Available at http://www.cdc.gov/parasites/pinworm/index.html.
17.Ramezani MA, Dehghani MR (2007). Relationship between Enterobius vermicularis and the incidence of acute appendicitis. Southeast Asian J Trop Med Public Health. 38:20-3.
18.Bøås H, Tapia G, Sødahl JA, Rasmussen T, Rønningen KS (2012). Enterobius vermicularis and Risk factors in healthy Norwegian children. Pediatr Infect Dis J. 31(9):927-30.
19.Tsibouris P, Galeas T, Moussia M, et al., (2005). Two cases of eosinophilic gastroenteritis and malabsorption due to Enterobious vermicularis. Dig Dis Sci. 60:2389-92.
20.Craggs B, De Waele E, De Vogelaere K, et al., (2009). Enterobius vermicularis infection with tuboovarian abscess and peritonitis occurring during pregnancy. Surg Infect (Larchmt). 10(6):545-7.
21.Erian M, McLaren G (2007). Unexpected causes of gynecological pelvic pain. JSLS. 8(4):380-3.
22.Aydin O. Incidental parasitic infestations in surgically removed appendices: A retrospective analysis. Diagn Pathol. 2:16.
23.Samkari A, Kiska DL, Riddell SW, Wilson K, Weiner LB, Domachowske JB. Dipylidium caninum mimicking recurrent Enterobius vermicularis infection. Clin Pediatr (Phila). 2008 May. 47(4):397-9.
24.Cho SY, Kang SY. Significance of scotch-tape anal swab technique in diagnosis of Enterobius vermicularis infection. Kisaengchunghak Chapchi. December 1975. 13:102-14.
25.Cho SY, Kang SY, Kim SI, et al. Effect of anthelmintics on the early stage of Enterobius vermicularis. Kisaengchunghak Chapchi. June 1985. 23:7-17.
26.Hong ST, Cho SY, Seo BS et al. Chemotherapeutic control of Enterobius vermicularis infection in orphanages. Kisaengchunghak Chapchi. June 1980. 18:37-44.
27.Burkhart C et al., (2005). Assessment of the frequency, transmission, and genitourinary complications of enterobiasis. International Journal of Dermatology 44, 2005 pp. 837-840.
28.Chan OT et al., (2004). The cockroach as a host for trichinella and Enterobius vermicularis: implications for public health. Hawaii Med J 63. 74-77.
29.Goncalves M et al., (2002). Human intestinal parasites in the past: New findings and a review. Mem Inst Oswaldo Cruz 97, 2002.
30.Johnson E et al., (2004). Emerging from obscurity: biological, clinical, and diagnostic aspects of Dientamoeba fragilis. Clinical Microbiology. 553-570.
31.Jones JE. Pinworms. Am Fam Physician 38, September 1988 pp 159-164.
32.Petro M et al., (2005). Unusual endoscopic and microscopic view of Enterobius vermicularis: a case report with a review of the literature. Southern Medical Association 2005.
33.Russell LJ. The pinworm, Enterobius vermicularis. Primary Care 18, March 1991 pp. 13-24.
34.Smolyakov R et al. Enterobius vermicularis infection of female genital tract: a report of three cases and a review of literature. European Journal of Obstetrics and Gynecology and Reproductive Biology 107, 2003 pp. 220-222.
35.Tatfeng YM et al. Mechanical transmission of pathogenic organisms: the role of cockroaches. J Vect Bourne Dis 42, December 2005 pp. 129-134.
36.Avolio L et al., (1998). Clinical presentation: Perianal granuloma caused by Enterobius vermicularis: Report of a new observation and review of the literature. Journal of Pediatrics 132.