Ký sinh trùng Angiostrongylus cantonensis thuộc liên họ Metastrongyloidea gồm các loại giun tròn hình trụ, sống ký sinh trong các mạch động mạch nhỏ và các khoang tim của các vật chủ động vật có xương sống. Các giun này có ấu trùng giai đoạn nhiễm bên trong các loài nhuyễn thể trung gian. Do tính không đồng nhất về mặt hình thái học của bìu con đực, Ubelaker đề nghị nhóm các loài mà có các động vật gặm nhấm đóng vai trò như vật chủ trong giống Parastrongylus.
Sự thay đổi về tên giống đã không được chấp nhận rộng rãi, mặc dù một số tác giả có sử dụng thuật ngữ Parastrongylus như một từ đồng nghĩa với Angiostrongylus. Trong bài viết này, sử dụng Angiostrongylus vì một số kiến thức lâm sàng của bệnh (Angiostrongyliasis) như một nguyên nhân gây viêm màng não tăng bạch cầu ái toan đã được ghi nhận nhiều năm qua trên thế giới cũng như ở Việt Nam, nhất là các tỉnh thuộc khu vực phía nam Việt Nam.
Hàng năm, nước ta vẫn ghi nhận một số trường hợp mắc bệnh viêm não màng não do nhiễm giun A. cantonensis với những biểu hiện hội chứng não-màng não như đau đầu dữ dội, sốt, buồn nôn, kích thích màng não và có thể bị viêm các dây thần kinh gây liệt mặt, mắt nhìn đôi, rối loạn cảm giác, những trường hợp nặng có thể biểu hiện co giật, liệt, nói lảm nhảm, mất thăng bằng, mất trí nhớ, hôn mê. Bệnh kéo dài vài ngày đến vài tháng có thể dẫn đến tử vong. Nguyên nhân gây bệnh là do nhiễm giun A. cantonensis, đây là một loại giun tròn ký sinh ở phổi chuột và chuột thải ấu trùng giun ra ngoại cảnh qua phân.
Ngoài môi trường, ấu trùng ký sinh ở vật chủ trung gian là các loại nhuyễn thể ở đất hoặc ở biển (ốc nước ngọt Ackhatia, ốc sên). Do đó, người khi ăn phải ốc sên, tôm, cua có ấu trùng hoặc ăn rau sống dính chất nhờn của ốc có dính ấu trùng, uống nước lã có ấu trùng sẽ bị nhiễm loại giun này. Ấu trùng giun A. cantonensis vào cơ thể người sẽ ký sinh ở não hoặc đến các phủ tạng khác, chủ yếu ký sinh ở hệ thần kinh trung ương. Gần đây, tại một số cơ sở y tế trong cả nước đã phải tiếp nhận và điều trị nhiều ca bệnh nặng nghi do nhiễm giun A. cantonensis có diễn biến nguy kịch, trong đó có trường hợp đã tử vong do sử dụng ốc sên không được nấu chín để làm thức ăn với lý do như làm mồi nhậu, ăn để chữa bệnh, làm đẹp da. Trong khi các đặc tính về chữa bệnh bệnh của ốc sên sống chưa được nghiên cứu và chứng minh thì những nguy cơ bị mắc bệnh viêm não màng não do bị nhiễm giun A. cantonensis khi ăn ốc sên sống, không được nấu chín là rất cao.
Hình 1. Một số món ăn có thể là nguồn nhiễm giun lươn Angiostrongylus cantonensis cho người
Về lịch sử, giun A. cantonensis lần đầu tiên được phát hiện vào năm 1933, sau khi xét nghiệm các mẫu bệnh phẩm trên chuột nâu Rattus norvegicus và chuột đen Rattus rattus ở Canton (nay là Quảng Châu), Trung Quốc. Nhiễm trùng ở người lần đầu tiên báo cáo tại Đài Loan vào năm 1945, nhưng mãi đến những năm 1960 thì bệnh do giun A. cantonensis ở não mới được nhận ra như một vấn đề y tế công cộng quan trọng. Vào thời điểm đó, một ký sinh trùng thu được trên một bệnh nhân Filipino ở Hawaii.
Kể từ đó, hai loài Angiostrongylus spp. khác là A. malaysiensis ở Đông Nam Á và A. mackerrase ở Úc được nghi ngờ nhưng chưa xác định chúng là nguyên nhân gây thương tổn trên não người. A. cantonensis là một trong những bệnh nguyên quan trọng nhất gây viêm màng não tăng bạch cầu ái toan. Giun đực dạng filiform có kích thước 20 - 25mm x 0,32 - 0,42mm và con cái là 22 - 34mm x 0,34 - 0,56mm. Một loại giun khác dạng metastrongylid gây bệnh ở người làAngiostrongylus costaricensis.
Loài ký sinh trùng này sống trong hệ thống động mạch mạc treo ruột, có thể gây bệnh lý đau bụng và xảy ra ở khắp châu Mỹ, từ phía nam của Mỹ đến phía bắc Argentina. Giun cái A. cantonensis dài 22-34mm và có cơ quan tiêu hóa màu đỏ nâu, hai cơ quan sinh sản màu trắng và một lớp cutile trong suốt.
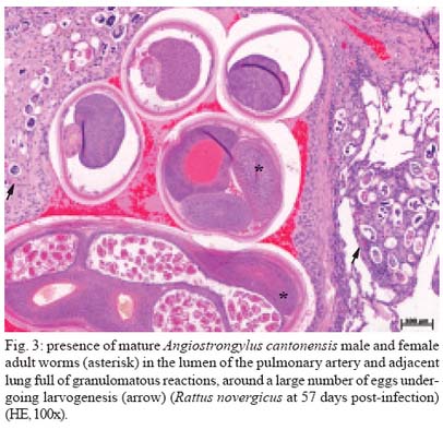
Về chu kỳ sinh học và hệ thần kinh trung ương (TKTU) bị ảnh hưởng. Số liệu cho thấy A. cantonensis là một bệnh ký sinh trùng lây truyền từ động vật sang người mà vốn dĩ nó ảnh hưởng trên chuột như các vật chủ đầu tiên. Những con cái và con đực đã trưởng thành về mặt giới tính sống ký sinh hay cư trú trong các động mạch phổi của chuột, ở đó các con cái đẻ trứng. Ấu trùng giai đoạn 1 (larva 1- L1) nở ra và đi ra theo phân chuột thông qua con đường khí quản và tiêu hóa dạ dày ruột. Các động vật thân mềm đóng vai trò là vật chủ trung gian, trong đó ấu trùng giai đoạn L1 rụng lông hai lần và phát triển chuyển sang ấu trùng giai đoạn L3, chính ấu trùng giai đoạn này gây nhiễm đối với các động vật có xương sống. Ấu trùng L3 đi xuyên qua thành ruột của các động vật có xương sống này và di chuyển chu du khắp hệ tuần hoàn.

Hình 2.Chu kỳ sinh học và phát triển của giun A. Cantonensis. Nguồn: CDC, 2012
Qua thời gian 2-3 ngày, ấu trùng đến não, tại đó chúng rụng lông thay đổi hai lần và cuối cùng phát triển thành con trưởng thành non ký sinh trong mạch máu màng não (xem hình). Các con trưởng thành còn non này được mang đến các động mạch phổi và khoang tim phải. Sự định cư trong nơi cư trú cuối cùng này diễn ra khoảng 4 tuần sau thời điểm đầu tiên xuyên vào thành ruột. Trên người, ấu trùng L3 phát triển hai lần và di chuyển theo đường máu đến hệ thần kinh trung ương, đào hầm vào sâu trong nhu mô não. Các giun còn non không thể hoàn thành chu kỳ của chúng trên cơ thể người và thường bị chết, dẫn đến hình thảnh tổn thương viêm tăng hơn.
Các con giun còn non của A. cantonensis trong nhu mô não gần màng não của các con chuột R. norvergicus gây nhiễm thực nghiệm đã cho thấy điều này.

H3
Về dịch tễ học, giun A. cantonensis đã được tìm thấy đầu tiên tại châu Á, đặc biệt các đảo ở Thái Bình Dương và Úc, nhưng cũng được phát hiện ở nhiều quốc gia thuộc khu vực Bắc, Trung và Nam Mỹ và các đảo ở Ấn Độ Dương như La Reunion.
Sự gia tăng của trào lưu du lịch đến các vùng bệnh lưu hành của mọi người dẫn đến số ca nhập khẩu về bệnh lý giun này ngày càng nhiều và gần đây được xem là một mối quan tâm quan trọng trong vấn đề chẩn đoán phân biệt với các bệnh lý thần kinh khác trong lĩnh vực y học du lịch. Điều thú vị, mặc dù các ký sinh trùng được mô tả có nguồn gốc tại Trung Quốc vào những năm 1960, nhưng nó vẫn chưa có báo cáo lại mãi đến năm 1984. Kể từ năm 1984, một số vụ dịch đã được phát hiện tại Trung Quốc, gồm cả một chùm ca bệnh nhiễm nghiêm trọng tại Bắc Kinh với 160 ca. Các vụ dịch ở trên các công nhân Thái Lan tại Kaohsiung, Đài Loan và du khách Mỹ đi Jamaica trở về dù chỉ trong một thời gian ngắn như một điểm nhấn quan trọng về bệnh Angiostrongyliasis như một nguy cơ đến sức khỏe con người. Trong cả hai hoàn cảnh nhiễm bệnh hay phơi nhiễm với nhiễm trùng có thể xảy ra ở thời gian rỗi, hoặc khi các cá nhân đó ăn sống các động vật thân mềm thu được tử các hồ xung quanh các nhà máy trong trường hợp công nhân Thái Lan hoặc bữa ăn hàng ngày gồm cácsalad xanh trong trường hợp các du khách của Mỹ. Với trường hợp ngọai lệ ở Đài Loan, nơi mà hầu hết các bệnh nhân là trẻ em, A. cantonensis thường nhiễm vào người nam giới ở nhóm tuổi 30-40.
Phương thức nhiễm trùng chính là tiêu thụ các ốc sống, được báo cáo trong 51% số ca trong một nghiên cứu ở Đài Loan. Một nguồn nhiễm trùng khác có thể là các động vật thân mềm và các vật chủ trung gian như ếch, tôm, cua, cá và trùng turbelaria nước ngọt. Một số con đừng nhiễm ít thông dung hơn như phơi nhiễm với các hoa quả, rau quả và nước bị nhiễm. Bàn tay có thể mang trực tiếp ấu trùng đưa lên miệng, sau khi chơi đùa, vận động hoặc tiếp xúc với các động vật thân mềm, điều này có thể là phương thức chính gây nhiễm trùng ở trẻ em nhỏ. Tương tự các ký sinh trùng khác, giai đoạn ấu trùng của chúng phát triển bên trong cơ thể của các động vật thân mềm, giun A. cantonensis không đặc hiệu với một loại vật chủ trung gian nào.
Do vậy, nhiều loài động vật thân mềm có khả năng nhạy cảm với nhiễm trùng, cho dù điều này không mang ý nghĩa dịch tễ học quan trọng. Achatina fulica, Pila spp. và Ampullarium canaliculatus là các động vật vật chủ thân mềm chính của chu kỳ sinh học trong bệnh do giun tròn Angiostrongylus spp. Giun Angiostrongylus hiện đang là một mối quan tâm quan trọng gia tăng trong khía cạnh an toàn thực phẩm, điều này làm cho chúng ta cần phải có các biện pháp đảm bảo chất lượng về cả khâu sản xuất và đóng gói.

Con đường dẫn đấn tác nhân Angiostrongylus spp. xâm nhập TKTU. Nguồn: AccessMedicine, 2012
Về mặt bệnh học cho thấy khi có mặt của các giun Angiostrongylus trưởng thành còn non trong màng não và trong nhu mô tủy sống, cầu não và tiểu não, khi đó chúng sẽ gây ra một phản ứng viêm, được gọi là viêm não màng não tăng bạch cầu ái toan. Nghiên cứu một cách cẩn thận các vị trí viêm này cho thấy ưu thế có sự thâm nhiễm bạch cầu ái toan, nhiều vùng xuất hiện hoại tử làm mủ tại chỗ và phản ứng mô hạt. Khai bệnh chính ban đầu thường thấy ở bệnh nhân nhiễm trùng này là đau đầu nghiêm trọng. Đau đầu này là hậu quả của sự tăng áp lực sọ não sinh ra do phản ứng viêm lan rộng trong màng não.
Nhiễm trùng Angiostrongylus spp. là một bệnh nhiễm trùng cấp tính có thể được giải quyết một cách tự phát trong một vài tuần, hiếm khi dẫn đến di chứng và hiếm khi tử vong. Thời gian mắc bệnh trung bình khoảng 20 ngày, nhưng có thể dao động từ 6 - 34 ngày. Một số tác giả trước đây mô tả sớm, gọi là một “viêm màng não tăng bạch cầu ái toan điển hình”, chẩn đoán này phân biệt nó với một số hình ảnh lâm sàng nghiêm trọng khác của viêm não màng não do giun đầu gai Gnathostoma spp. Điển hình, có biểu hiện đau đầu cấp tính, có thể không sốt hoặc sốt nhẹ, dấu kích thích màng não, dị cảm, đôi khi liệt các dây thần kinh sọ não. Phân tích dịch não tủy không có màu sắc vàng và không có máu, cũng như không có hình ảnh rối loạn vận động quan trọng. Đau rể thần kinh, hôn mê và suy hô hấp là các dấu lâm sàng hiếm. Các tổn thương khu trú không chỉ ra một chẩn đoán lâm sàng chính xác cho bệnh do Angiostrongylus spp. Thị lực có thể bị ảnh hưởng trực tiếp bởi giun tròn này có đi vào trong mắt hoặc gián tiếp gây liệt các dây thần kinh sọ não dẫn đến chứng song thị.
Bảng sau liệt kê các đặc điểm lâm sàng trong một số nghiên cứu lâm sàng về bệnh angiostrongyliasis. Số ít bệnh nhân biểu hiện dấu dị cảm tồn tại, yếu chi, rối loạn nhận thức, điều này có thể đặc trưng cho một số thể bệnh mạn tính hiếm gặp. Các nhà lâm sàng nên xem xét, cân nhắc đến bệnh Angiostrongyliasis khi đánh giá một bệnh nhân có viêm màng não tăng bạch cầu ái toan, ngay cả khi bệnh nhân đó nằm ngoài các vùng không phải bệnh lưu hành, đặc biệt các du khách hoặc các nguồn thực phẩm nhập khẩu liên quan.
Bảng 1. Tần số xuất hiện các triệu chứng lâm sàng và đánh giá tăng bạch cầu ái toan trong máu và dịch não tủy trên 4 loạt bệnh nhân bị Angiostrongyliasis ở não.
Thông số lâm sàng và cận lâm sàng | Dữ liệu trích từ các báo cáo tham khảo |
Tổng số bệnh nhân | 17 | 484 | 82 | 34 |
Triệu chứng liên quan trong hội chứng |
Đau đầu | 17 (100) | 477 (99) | 51 (62) | 27/30 (90) |
Cứng cổ | 8 (47) | 312 (64) | | 19/34 (56) |
Sốt | 11 (65) | 177 (37) | 75 (91) | 14/34 (41) |
Dị cảm | 2 (12) | 181 (37) | 2 (3) | 14/26 (54) |
Yếu cơ chi | 8 (47) | 4 (1) | 19 (23) | |
Đau ổ mắt/ đau sau hốc mắt | 7 (41) | | 2 (3) | |
Song thị hoặc nhìn mờ | 2 (12) | 184 (38) | 10 (12) | 3/34 (9) |
Thất điều | 1 (6) | | | |
Buồn nôn | 4 (24) | 186 (38) | 18 (22) | |
Nôn mửa | 4 (24) | 239 (49) | 59 (72) | |
Đau bụng | 3 (18) | | | |
Đau thân mình và các chi | | 30 (6) | | |
Cơn co giật | | 17 (4) | 16 (20) | |
Liệt mặt | | 20 (4) | 9 (11) | |
Tình trạng buồn ngủ, lơ mơ | | 30 (6) | 17 (21) | |
Không tiểu được/ tiểu không tự chủ | | 2 (1) | 5 (6) | |
Với các dấu chứng đơn thuần |
Cứng cổ | 11 (65) | 72 (15) | 65 (79) | |
Dấu Brudzinsky's/ hoặc Kernig | 11 (65) | 27 (2) | 26 (32) | |
Đau và tăng dị cảm/ dị cảm đơn thuần | 3 (18) | 20 (4) | | |
Giảm thị lực | 1 (6) | 78 (16) | | |
Mất suy giảm cảm giác | | 26 (5) | | |
Liệt mặt | 1 (6) | 21 (4) | | |
Thời gian ủ bệnh trung bình (ngày) | 13 (6-20) | 17 (2-34) | 13 (2-45) | K*(2-18) |
Tăng bạch cầu ái toan | | | | |
% số ca tăng BCAT trong DNT (≥ 10%) | 47 | 96 | 62 | 95 |
Số BCATtrung bình trong DNT (tế bào/mm3) | 100 | 700 | K* | K* |
% số ca BCAT có tăng trong máu ngoại vi | 77 (≥ 10) | 73 (≥ 10) | 84 (≥ 10) | 90 (≥ 3) |
Số BCAT trung bình máu ngoại vi (tế bào/mm3) | 1,990 | 3,000 | Không* | K* |
*K: Không có dữ liệu báo cáo được tổng hợp

Phát hiện và chẩn đoán
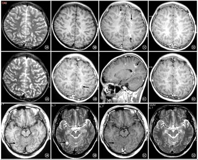
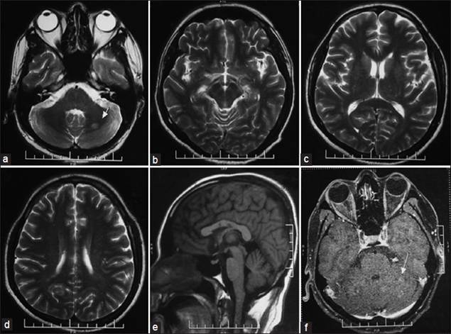
Về mặt chẩn đoán, chụp cộng hưởng từ (MRI_Magnetic resonance imaging) trên một bệnh nhân mắc bệnh Agiostrongyliasis thường có biểu hiện hình ảnh tăng nhiều nốt nhỏ trong nhu mô não và tăng tuyến tính trong phần vùng màng mềm bao bọc quanh não và tủy sống. Độ phân giải hoàn toàn của các hình ảnh MRI bất thường xảy ra điển hình sau 4 - 8 tuần. Hình ảnh đa nốt cũng được phát hiện trên phim chụp MRI của nhu mô phổi, điều này có thể phản ánh có sự hiện diện giun trong các cơ quan phủ tạng.

H5
Phát hiện các giun trưởng thành còn non hoặc ấu trùng giai đoạn L5 là hiếm khi có thể vì chỉ có một số ít ký sinh trùng đi vào trong khoang dưới nhện và thường chỉ có một lượng thể tích nhỏ dịch não tủy được lấy ra để xét nghiệm nên cơ hội bắt gặp ấu trùng hoặc giun là rất khó. Quá trình xét nghiệm phát hiện thấy ấu trùng trong dịch não tủy khoảng 41,5% trên tổng số 82 bệnh nhân được báo cáo bởi Hwang và Chen tại Đài Loan.
Sự phát hiện và tìm ra được ấu trùng có được có thể do một lượng lớn dịch não tủy rút được làm bằng phương pháp bơm. Nhìn chung, việc phát hiện và đếm ký sinh trùng trong dịch não tủy rất thay đổi, số liệu này đã chỉ ra trong một tỷ lệ trên nhiều báo cáo: 2/50 lần lấy dịch của 17 bệnh nhân, 8/125 bệnh nhân và 1/154 bệnh nhân. Đến nay, chưa có một nghiên cứu nào tại Úc có báo cáo về phát hiện được ký sinh trùng này trong dịch não tủy, mặc dù chỉ có một cuộc giải phẩu tử thi xác nhận nguyên nhân tử vong đã được báo cáo thấy có nhiều giun trong khoang dưới nhện. Việc đặt bệnh nhân ngồi trước khi chọc lấy dịch não tủy được biết là có thể tăng cơ hội phát hiện giun trong dịch não tủy. Còn giun trưởng thành còn non có chiều dài khoảng 12 - 13 mm. Bảng 2 liệt kê các tài liệu và trang tinliên quan đến phân tích mô bệnh học của giun A. cantonensis và các loài giun khác gây viêm não màng não tăng bạch cầu ái toan.
Sự bất thường thành phần protein và glucose trong dịch não tủy chỉ tìm thấy trên một vài bệnh nhân Angiostrongyliasis và tăng nhẹ protein thường gặp hơn là giảm hàm lượng glucose. Trong một nhóm bệnh nhân được mô tả bởi tác giả Punyagupta và cộng sự, chỉ có 32% số ca có hàm lượng protein bình thường, trong khi đó 95% số bệnh nhân có hàm lượng glucose bình thường. Đến bạch cầu ái toan trong dịch não tủy ban đầu dưới 10% chỉ phát hiện trên 4% số bệnh nhân, nhưng chỉ số này cao luôn luôn tồn tại và phát hiện trên các lần kiểm tra dịch não tủy sau đó.

H6
Tăng bạch cầu ái toan trong máu đã được phát hiện đến 84% số ca khi đánh giá xét nghiệm ban đầu. Chẩn đoán sơ bộ lâm sàng có thể thiết lập nhờ vào (i) Đặc điểm lâm sàng của viêm màng não, biểu hiện đau đầu nghiêm trọng, (ii) Một tiền sử có ăn các thức ăn từ nhuyễn thể còn sống và (iii) tăng bạch cầu ái toan đáng kể trong dịch não tủy.

H7
Mặc dù đo lường nồng độ các immunoglobulin có thể giúp nâng cao cải thiện vấn đề chẩn đoán, song việc chẩn đoán phân biệt các nguyên nhân do giun gây viêm màng não tăng bạch cầu ái toan cần phải có sự hỗ trợ các phương pháp chẩn đoán phân tử.
Các phương pháp miễn dịch chẩn đoán triển khai từ đầu những năm 1980, sau đó các thử nghiệm phát triển hoặc dùng để phát hiện kháng thể với kháng nguyên tinh khiết hoặc dùng để phát hiện kháng nguyên với các kháng thể đơn dòng. Hoạt độ với thành phần 31-kDa trong xét nghiệm Western-blot đã được sử dụng để đánh giá trên các bệnh nhân.

H8
Thời điểm đó, xét nghiệm western blot đi trước nhờ vào một bước sàng lọc ít đặc hiệu hơn nhưng nhạy hơn với lỹ thuật hấp phụ men liên kết enzyme (enzyme-linked immunosorbent assay_ELISA) sử dụng kháng nguyên thô.
Một số thử nghiệm chẩn đoán huyết thanh dựa trên nền tảng phương pháp ELISA đã được đưa vào sử dụng, mặc dù chưa phổ biến trên thị trường. Phương pháp này đỏi hỏi các kháng nguyên A. cantonensis chuẩn bị thu thập từ các ấu trùng hay giun trưởng thành còn non. Việc phát hiện các kháng thể trong huyết thanh cũng cho thấy nhạy hơn so với phát hiện kháng thể trong dịch não tủy. Thực tế hiện nay có nhu cầu rất lớn về các quy trình xét nghiệm đớn giảm và rẻ tiền, như thử nghiệm multi-immunoblot dot do Eamsobhana và cộng sự nghiên cứu.
Bảng 2. Các phương pháp miễn dịch chẩn đoán bệnh do A. cantonensis ở thần kinh
Đích kháng nguyên | Phương pháp | Độ nhạy (%) | Độ đặc hiệu (%) | Tài liệu tham khảo |
Kháng nguyên 91-kDa | Phát hiện kháng nguyên, ELFAa | 88 (huyết thanh) | Không dữ liệub | 257 |
| | 100 (DNT) | Không dữ liệu | |
Kháng nguyên 29 và 31 kDa | ELISA, kháng nguyên con cái thô | 100 | 67 | 208 |
| Western blot, 31kDa protein | 69 | 83 | |
| Western blot, 29kDa protein | Không dữ liệu | Thấp | |
Kháng nguyên 204kDa | ELISA, phát hiện kháng nguyên | Không dữ liệu | Cao | 57, 58 |
| ELISA-PCR, phát hiện kháng nguyên | 98 | 100 | |
Kháng nguyên 29kDa | Western blot | 56 (huyết thanh + DNT) | 99 (huyết thanh + DNT) | 131, 145, 179 |
| Western blot, IgG4 | 75 (huyết thanh) | 95 (huyết thanh) | |
| Western blot (huyết thanh) và ELISA (DNT) | 80 (huyết thanh + DNT) | Không dữ liệu | |
Kháng nguyên 31kDa | Dot blot | 100 | 100 | 87 |
Kháng nguyên 32kDa | ELISA | Cao | 100 | 165 |
Kháng nguyên 5kDa | ELISA, phát hiện kháng nguyên | 87 | 100 | 167 |
Kháng nguyên 100 đến 3kDa | Dot blot | 100 | 86 | 89 |
a ELFA, enzyme-linked fluorescent assay. b không có dữ liệu báo cáo
Có thể các hệ thống xét nghiệm phát hiện kháng thể không biểu hiện hay xác định được giai đoạn sớm của nhiễm trùng. Các nghiên cứu gây nhiễm trùng thực nghiệm trên thỏ và chuột chỉ ra rằng đáp ứng kháng thể ở mức đỉnh cao nhất không xảy ra cho đến thời điểm 4 tuần sau khi nhiễm. Trong số các kháng thể được phát hiện, một số lại cho phản ứng chéo với các loài ký sinh trùng khác.
Trong tình huống này, các xét nghiệm phát hiện kháng nguyên như ELISA-PCR có thể có hiệu quả. Một phương pháp phát hiện nucleic acid bằng kỹ thuật real-time PCR gần đây đưa vào sử dụng để chẩn đoán hai ca bệnh nghi ngờ ở Brazil, nhưng phương pháp này cần phải đợi đánh giá thêm nữa.

H9
Điều trị
Tháo dịch não tủy lặp lại (repeated spinal taps) cung cấp nhiều lợi điểm cho điều trị vì chúng đóng vai trò làm giảm áp lực nội sọ. Cả nghiên cứu trên nhiễm trùng mô hình thực nghiệm và các báo cáo ca bệnh riêng lẻ cho thấy rằng diệt giun có thể làm cho tình trạng viêm nghiêm trọng hơn và tăng tính nguy hiểm cho ca bệnh đó. Prednisolone (60 mg/kg cân nặng/ ngày trong 2 tuần) và albendazole (15 mg/kg hai lần mỗi ngày trong hai tuần) được thử nghiệm chỉ trong hai nghiên cứu thử nghiệm lâm sàng đối chứng giả dược ngẫu nhiên. Prednisone làm giảm tỷ lệ bệnh nhân đau đầu dai dẳng đáng kể sau khi hoàn tất liệu trình điều trị (9,1% so với 45,5% trong nhóm chứng giả dược; p = 0,0004), thời gian nhức đầu trung bình (5 ngày so với 13 ngày; p = 0,0), số lần chọc dò tủy sống lặp lại để giảm đau (7 so với 22; p = 0,02).
Liệu trình 2 tuần albendazole làm giảm tỷ lệ bệnh nhân đau đầu dai dẳng từ 20,6% với 40,6% trên nhóm giả dược (p = 0,08) và thời gian đau đầu trung bình giảm từ 8,9 ngày so với 16,2 ngày (p = 0,05). Trong khi một liệu trình 2 tuần với prednisolone (60 mg/ ngày) có thể được khuyến cáo điều trị viêm màng não do A. cantonensis, thì giá trị của liệu pháp phối hợp albendazole hoặc mebendazole với corticosteroids chưa được thiết lập đầy đủ, vì hầu hết các dữ liệu đến từ các nghiên cứu không đối chứng hay báo cáo ca lâm sàng của một vài bệnh nhân.
Phối hợp thuốc chống giun sán với thuốc chống viêm đã được đánh giá trên nhiều mô hình động vật cho kết quả khả quan. Các phối hợp sau đây đã được triển khai thực hiện: albendazole vàthalidomide, mebendazole và interleukin 12, albendazole với chất chiết xuất từ thảo dược Trung Quốc Artemisia capillaris. Bằng chứng cho thấy các vấn đề quan trọng để điều trị bệnh do A. cantonensis là kiểm soát phản ứng viêm. Có một nhu cầu thiết yếu để mở rộng các nghiên cứu về tiếp cận mới các hóa trị liệu và đánh giá sự tái phát về mặt thần kinh.
Phòng bệnh
Để chủ động phòng chống bệnh viêm não màng não do bị nhiễm giun A. cantonensis, Bộ Y tế khuyến cáo người dân thực hiện tốt các nội dung sau:
1.Thực hiện tốt việc an toàn thực phẩm:
-Thực hiện ăn chín, uống chín;
-Tuyệt đối không ăn sống, ăn tái ốc sên với bất kỳ lý do gì;
-Không nên ăn các thức ăn sống hoặc chưa được nấu chín kỹ chế biến từ ốc, tôm, cua, cá dưới mọi hình thức;
-Tránh ăn thức ăn sống đã bị ốc hoặc sên làm nhiễm bẩn, rửa sạch rau để loại bỏ các loài nhuyễn thể nhiễm ấu trùng gây bệnh.
2.Vệ sinh môi trường:
-Thực hiện vệ sinh môi trường, thực hiện diệt chuột ở khu dân cư sinh sống để cắt đứt vòng đời sinh học của giun A. cantonensis;
-Phòng tránh nguy cơ gây mắc bệnh cho người.
3.Kịp thời đến các cơ sở y tế:
-Nếu đã ăn các loại thức ăn từ ốc sên hoặc tôm, cua ốc chưa nấu chín mà có các biểu hiện, triệu chứng khác thường như sốt, đau đầu, buồn nôn cần đến ngay các cơ sở y tế để được khám, điều trị kịp thời.