Giun lươn Strongyloides stercoralis(S. stercoralis) là một trong những tác nhân ký sinh trùng gây bệnh phổ biến nhất ở người và phân bố trên phạm vi toàn cầu, có tầm quan trọng về mặt lâm sàng và ảnh hưởng nghiêm trọng đến sức khỏe cộng đồng, nhất là cộng đồng sống ở khu vực nông thôn.
Hiện nay, có khoảng 30-100triệu người nhiễm ấu trùng giun lươn trên toàn thế giới. Loài S. fuelleborni, một loài cũng thuộc chi này (Strongyloides), được tìm thấy rải rác ở các quốc gia châu Phi và Papua New Guinea. Bệnh giun lươn (Strongyloidiasis) lưu hành chủ yếu ở các nước khu vực Đông Nam Á, châu Mỹ Latinh, khu vực cận sa mạc Sahara, châu Phi và một số nơi ở khu vực phía đông Nam của Mỹ. Điểm độc đáo của loài giun tròn này là chúng có khả năng lớn để tồn tại và nhân lên ở một vật chủ trong nhiều thập kỷ, vì điểm đặc biệt của nhiễm trùng loài này là thường nhiễm trùng không có hoặc rất ít triệu chứng hoặc không có triệu chứng điển hình, hay na ná với các bệnh lý nội khoa và da liễu khác (tùy thể lâm sàng), nhưng chúng có khả năng đe dọa đến tính mạng những người bị nhiễm bệnh giun lươn lan tỏa và hội chứng tăng nhiễm giun lươn ở những bệnh nhân suy nhược cơ thể, bệnh nhân suy giảm miễn dịch, hoặc bệnh nhân đang bị lao, đang dùng thuốc chống thải ghép, thuốc chống ung thư, thuốc corticoides, suy thận, bệnh tự niễn,…
Sau báo cáo đầu tiên về bệnh giun lươn vào năm 1876 từ xét nghiệm phân của các binh lính Pháp bị tiêu chảy, những binh lính này đã trở về từ khu vực các quốc gia Đông Dương cũ. Trước đây, trong nhiều năm căn bệnh này còn được biết đến là "tiêu chảy Cochin-Trung Quốc", trong đó mô tả các biểu hiện tiêu hóa phổ biến nhất như đau thượng vị và tiêu chảy khi nhiễm ký sinh trùng này. Phải mất hơn một thế kỷ để hiểu biết hầu hết các đặc điểm sinh học cơ bản của loài giun tròn S. stercoralis và khả năng “khuyếch đại để phổ biến” nhiễm và ký sinh trong các mô của vật chủ, từ đó dẫn đến một chuỗi các biến chứng trên lâm sàng, thậm chí đe dọa tính mạng bệnh nhân.
Trong bài báo cáo tổng quan này, các nhà khoa học đã phân tích các báo cáo ca bệnh khác nhau kể từ năm 1970, từ các vùng khác nhau ở các vùng lưu hành và không lưu hành ổ dịch bệnh do loài S. stercoralis, để vạch ra một cuộc khảo sát toàn diện nhiễm loài ký sinh trùng này trên phạm vi toàn cầu. Các tác giả đã tập trung chi tiết vào các phương pháp chẩn đoán khác nhau theo các nhà điều tra trong các báo cáo các trường hợp khác nhau và thảo luận một số phương pháp mới gần đây trong chẩn đoán huyết thanh và phân tử hướng tới mục tiêu xây dựng các hướng dẫn chẩn đoán để giải mã tính phổ biến của căn bệnh này trên phạm vi toàn cầu.
Dịch tễ học và tỷ lệ mắc bệnh giun lươn trên toàn cầu
Giun lươn là một bệnh truyền nhiễm đang nổi lên trên toàn cầu nhưng được đánh giá thấp ở nhiều quốc gia. Tỷ lệ mắc bệnh giun lươn trong cộng đồng ngày một gia tăng, đặc biệt là ở phía Nam, phía Đông và Trung Âu, các đảo vùng Caribbean, Đông Nam Á, Mỹ Latinh và cận Sahara châu Phi. Ở các khu vực không lưu hành bệnh trên thế giới, những người bị nhiễm là những tù nhân trong cuộc chiến tranh thế chiến thứ II và những người di cư từ các nước lưu hành bệnh. Nam giới là những người làm việc thường xuyên tiếp xúc với đất (như những người làm việc trong các mỏ than và các trang trại), người da trắng, những bệnh nhân có miễn dịch tế bào bị thay đổi (đặc biệt là những người điều trị bằng steroid dài hạn), những bệnh nhân bị ung thư hạch, người nhận cấy ghép cơ quan, du khách đến các khu vực lưu hành và các cá nhân khác là những người có nguy cơ lớn nhất của việc nhiễm căn bệnh này. Một sự liên quan chặc chẽ được nhìn thấy giữa những người nhiễm giun lươn và các bệnh suy giảm miễn dịch xảy ra đồng thời như virus 1 ưu tế bào lympho T người (human T cell lymphotropic virus-1 - HTLV-1), nhiễm virus suy giảm miễn dịch ở người (HIV), và các khối u ác tính huyết học.
Tỷ lệ mắc giun lươn loài S. stercoralis trên toàn cầu ngày càng tăng trong những năm qua, đặc biệt ở nhiều khu vực lưu hành của bệnh. Tỷ lệ nhiễm bệnh này gia tăng liên tục nguyên nhân là do vệ sinh cá nhân kém, cung cấp nước uống không đủ, các biện pháp vệ sinh không đạt yêu cầu và thiếu kiến thức về căn bệnh này ở nhóm dân cư có nguy cơ cao. Nhiều báo cáo phân lập ca bệnh xuất hiện ở nhiều vùng khác nhau trên thế giới kể cả những khu vực không lưu hành bệnh đang được xuất bản. Hầu hết các nghiên cứu những ca bệnh này có liên quan đến bệnh nhân bị ức chế miễn dịch, những người đang điều trị corticosteroid, người được ghép tạng và bệnh nhân với bệnh lý huyết học ác tính, các bệnh suy nhược khác. Nội soi và chẩn đoán mới hơn đang được thực hiện rộng rãi để chẩn đoán nhiễm giun lươn trong nhiều trường hợp có biểu hiện lâm sàng biến chứng. Xét nghiệm huyết thanh và các phương pháp chẩn đoán phân tử như phương pháp PCR đang dần trở nên phổ biến và được sử dụng song song với các phương pháp xét nghiệm chẩn đoán thông thường. Một phân tích toàn diện về các báo cáo ca bệnh từ các khu vực khác nhau ở vùng lưu hành và không lưu hành bệnh được thực hiện trong một nỗ lực làm nổi bật tầm quan trọng của việc thực hiện các phương pháp chẩn đoán thích hợp nhất để xác định tỷ lệ mắc bệnh này trên vi mô toàn cầu.
Một phân tích thống kê đang được thực hiện trong phòng thí nghiệm cho thấy có tổng cộng 106 ca bệnh được báo cáo chi tiết ở Trung Quốc kể từ ca bệnh được ghi nhân đầu tiên ở Quảng Tây vào năm 1973 cho đến năm 2012. Có tổng cộng 67 trường hợp được báo cáo trong vòng 10 năm qua (2001 đến năm 2011), số ca mắc này vượt quá số ca mắc tích lũy được báo cáo trong vòng 30 năm trước giai đoạn này và điều này chỉ ra rằng tỷ lệ mắc bệnh giun lươn ngày càng gia tăng ở Trung Quốc.
Trên toàn cầu, tỷ lệ mắc giun lươn cao lên đến 50% ở những vùng đất ẩm ướt và những vùng xử lý chất thải con người không đúng cách, đặc biệt ở Tây Phi, vùng Caribbean, Đông Nam Á, các khu vực nhiệt đới của Brazil, Campuchia và các khu vực ôn đới của Tây Ban Nha. Khu vực Đông Nam Á có tỷ lệ lưu hành bệnh cao nhất và nó rất phổ biến ở một số cộng đồng thổ dân nhiệt đới ở Úc. Mặc dù bệnh giun lươn không phổ biến ở Hoa Kỳ, nhưng ổ bệnh vẫn xảy ra và tập trung tại các vùng nông thôn của các bang Đông Nam và khu vực Appalachian (đặc biệt là ở miền đông Tennessee, Kentucky và Tây Virginia) và Puerto Rico. Tỷ lệ mắc bệnh cao hơn được nhìn thấy ở những bệnh nhân trong các cơ quan chăm sóc dài hạn (cơ sở sức khỏe tâm thần và nhà tù), ở những người nhập cư và người tị nạn từ các nước nhiệt đới và cận nhiệt đới và những cựu chiến binh của Thế chiến thứ II và chiến tranh Việt Nam.
Bản đồ 1. thể hiện tỷ lệ mắc bệnh giunlươn S. stercoralis trên toàn cầu |
 |
Trong số những người nhập cư vào Mỹ thìtỷ lệ cao nhất là38% đã được báo cáo ở những người nhập cư từĐông Nam Á vàobang WashingtonDC. Một nghiên cứu dịch tễ học của tác giả người Canada cho thấy, tỷ lệ lây nhiễm trong dân số Việt Nam là 11,8% và tỷ lệ hiện mắc cao hơn là những người nhập cư Campuchia 76,6%. Những người tỵ nạn Sudan và Somali Bantu được chứng minh tỷ lệ huyết thanh dương tính lần lượt là 46% và 23%.
Tỷ lệ ấu trùng di chuyển cao được báo cáo ở châu Mỹ Latinh. Một cuộc điều tra huyết thanh phân được tiến hành trong một cộng đồng ở khu vực Amazon Peru cho thấy, tỷ lệ nhiễm S. stercoralis là 8,7%. Mặc dù nhiễm giun lươn Strongyloides được thấy ở mọi lứa tuổi nhưng nhiễm ban đầu xảy ra trong thời thơ ấu, khi còn nhỏ - có nhiều khả năng là do những người này thường xuyên chơi ngoài trời ở những vùng đất bị ô nhiễm ấu trùng giun lươn mà không mang dép trên mặt đất bị ô nhiễm giun lươn.
Hầu hết các nghiên cứu dịch tễ học để đánh giá tỷ lệ nhiễm trong cộng đồng được thực hiện bằng cách kiểm tra mẫu phân bằng kính hiển vi để tìm ấu trùng hoặc bằng một trong những phương pháp như cô đặc hoặc nuôi cấy. Việc phát hiện các ca dương tính đã gia tăng trong nhiều nghiên cứu, sau khi triển khai xét nghiệm huyết thanh hoặc bằng cách sử dụng phương pháp phân tử ở những bệnh nhân suy giảm miễn dịch hoặc các nhóm quần thể có nguy cơ cao. Gần đây, một phương pháp real-time PCR với tiểu đơn vị ribosome RNA (rRNA) đã được phát triển để phát hiện ADN của giun lươn trong mẫu phân, bao gồm kiểm soát bên trong để phát hiện sự ức chế quá trình khuếch đại. Phương pháp chẩn đoán mới như xét nghiệm hệ thống ngưng kết miễn dịch (immunoprecipitation luciferase) dựa trên kháng nguyên tái tổ hợp với độ nhạy đạt 100%, đây có thể là một lựa chọn đầy hứa hẹn so với các phương pháp chẩn đoán thông thương ít nhạy trong việc phát hiện giun lươn. Những phương pháp mới này có thể hy vọng nâng cao khả năng chẩn đoán nhiễm S. stercoralis trong tương lai.
Tổng quan về sinh học và phát triển loài ký sinh trùng S. stercoralis
Chi Strongyloides được phân loại trong bộ Rhabditida, và hầu hết trong số 52 loài giun sống trong đất, tuyến trùng các giun tròn (microbiverous nematodes) không lây nhiễm sang con người. Khác với loài S. stercoralis và S. fuelleborni, hai loài khác là S. myopotami và S. procyonis, được báo cáo nhiễm ở vật chủ động vật và có thể chịu trách nhiệm cho việc lan truyền bệnh từ động vật lây sang người. Những con giun cái trưởng thành mỏng manh, hầu hết nhìn thấy rõ, có chiều dài từ 2,2-2,5 mm, đường kính 50 mm và sống trong các khoảng giữa các tế bào ruột trong ruột non. Con đực, mặc dù chúng có tồn tại nhưng chúng không có bất kỳ vai trò nào trong việc lây nhiễm sang người và có thể dễ dàng được đào thải ra ngoài thông qua ruột.
Sinh lý bệnh và vòng đời giun lươn
Giai đoạn phát triển S. stercoralis rất phức tạp và độc đáo với hai chu kỳ phát triển khác nhau gồm: chu kỳ sống tự do trong đất và chu kỳ vòng đời ký sinh trùng hoàn thành trong vật chủ. Giai đoạn sống tự do trong đất, giai đoạn phát triển trưởng thành không phải ký sinh, cả con đực và con cái sống trong đất, nó duy trì nhiễm trong đất. Giai đoạn ký sinh cho phép ấu trùng không nhiễm lột xác trong cơ thể vật chủ thành ấu trùng giai đoạn nhiễm filariform, sau đó chúng xâm nhập vào ruột và hình thành một chu kỳ mới, dẫn đến tái nhiễm (autoinfection) hoặc nhiễm trùng nặng (hyperinfection) làm gia tăng gánh nặng giun mà không tái nhiễm giun từ bên ngoài. Giai đoạn tái nhiễm chịu trách nhiệm cho sự tồn tại lâu dài nhiễm trong vật chủ không điều trị trong thập kỷ qua.
Nhiễm ở người đòi hỏi phải có ấu trùng dạng filariform xâm nhập vào da hoặc các niêm mạc hoặc tái nhiễm hoặc nhiễm từ đất thông qua con đường phân miệng. Tại những vị trí mà ấu trùng xâm nhập vào, ấu trùng thường gây ra xuất huyết ban, tiếp theo là ngứa dữ dội, phù nề và tình trạng tắt ngẽn. Ấu trùng di chuyển thông qua hệ bạch huyết, tỉnh mạch nhỏ đến tuần hoàn phổi và gây xuất huyết ở mao mạch phổi. Ấu trùng thực hiện theo cách của chúng ngoài ra đi vào khoảng không túi phổi và gây ra phản ứng viêm liên quan đến bạch cầu ái toan xâm nhập chấm dứt trong viêm phổi Ấu trùng thực hiện theo cách của họ xa hơn vào không gian ổ răng và gây ra phản ứng viêm liên quan đến bạch cầu ái toan xâm nhập chấm dứt trong viêm phổi. Cuối cùng, ấu trùng bò lên đường hô hấp và nuốt sau đó chúng đến ruột.
Ấu trùng trưởng thành phát triển thành con cái trưởng thành trong ruột non sau hai lần lột xác và con cái đẻ trứng thông qua con đường sinh sản đơn tính. Những con cái ký sinh này có thể sống lên đến 5 năm để tiếp tục chu kỳ sinh sản của chúng. Trứng nở trong ruột thành ấu trùng không nhiễm dạng rhabditiform, ấu trùng không nhiễm này theo phân ra bên ngoài môi trường để tiếp tục giai đoạn sống tự do trong đất. Các ấu trùng bài tiết trong phân theo đó tạo thành yếu tố chính để chẩn đoán nhiễm trong phòng thí nghiệm và cũng chịu trách nhiệm cho tái nhiễm sau khi chuyển thành ấu trùng lây nhiễm dạng filariform.
Tự nhiễm
Tái nhiễm chỉ xảy ra đối với loài S. stercoralis trong chi và cũng nằm trong số chi khác của ký sinh trùng đường ruột của động vật có xương và được xem là một tác nhân gây bệnh nghiêm trọng của con người. Chuyển đổi sớm của ấu trùng không nhiễm thành ấu trùng nhiễm thiết lập một giai đoạn phát triển ký sinh bên trong vật chủ, và nó có thể được duy trì trong suốt cuộc đời của vật chủ bởi chu kỳ di cư lặp đi lặp lại mà không cần thoát ra từ các vật chủ chính.
Ấu trùng nhiễm filariform trở lại bằng cách thâm nhập vào niêm mạc đại tràng hoặc ruột non và gây tái nhiễm bên trong hoặc ấu trùng xuyên qua da quanh hậu môn và gây ra tái nhiễm bên ngoài. Tái nhiễm bên ngoài trong nhiều trường hợp dẫn đến sự phát triển của ấu trùng di chuyển (larve currens). Sau khi ấu trùng đi vào lưu thông, ấu trùng đến phổi và lặp lại chu kỳ, điều này là nguyên nhân lý giải cho sự tái phát thường xuyên và mạn tính của bệnh ở những người di cư đến các khu vực lưu hành của bệnh. Tái nhiễm, đó là một tính trạng khác được giữ trong kiểm tra bằng các phản ứng miễn dịch vật chủ ở những người khỏe mạnh, thường xảy ra ở những bệnh nhân bị suy giảm miễn dịch qua trung gian tế bào. Tái nhiễm đưa đến hai hình thức nghiêm trong nhấtcủa bệnh giun lươn: hội chứng tăng nhiễm (hyperinfection syndrome - HIS) và bệnh giun lươn lan tỏa (disseminated strongyloidiasis - DS).
Hội chứng tăng nhiễm
Hội chứng tăng nhiễm biểu hiện bằng một hiện tượng trong đó gia tăng nhanh số lượng giun sán dẫn đến gánh nặng giun quá mức mà không lây lan ấu trùng bên ngoài. Những con giun sán được phát hiện bên ngoài ruột đặc biệt là ở phổi và phát hiện ấu trùng ở trong phân hoặc trong đờm là dấu hiệu để chẩn đoán tăng nhiễm. nói chúng tăng nhiễm nảy sinh từ sự nhân lên khổng lồ của ấu trùng lây nhiễm và di chuyển của chúng trong tính trạng suy giảm miễn dịch, nhưng nó không luôn luôn đúng, như một số tác giả cũng đã mô tả hội chúng tăng niễm ở những bệnh nhân có khả năng miễn dịch.
Các biểu hiện lâm sàng của hội chứng tăng nhiễm được phân loại dựa trên nguồn gốc, đi vào bộ máy dạ dày ruột và bệnh ngoài ruột chủ yếu liên quan đến đường hô hấp. các yếu tố nguy cơ phát triển tăng nhiễm bao gồm điều trị corticosteroid, cấy ghép tế bào gốc, nghiện rượu, nhiễm virus HIV và nhiễm virus HTLV-1. Các triệu chứng phổi gồm thâm nhiễm phổi, xuất huyết phế nang lan tỏa, phát triển suy hô hấp ở những bệnh nhân, trong đó, nếu không được điều trị sẽ gây tử vong. Tỷ lệ tử vong cao ở các trường hợp tăng nhiễm thường là do sự cẩu thả và thiếu hiểu biết của các nhà cung cấp chăm sóc y tế trong việc nhận ra sự cần thiết phải kiểm tra ký sinh trùng trước khi ủng hộ điều trị bằng corticosteroid thực nghiệm.
Bệnh giun lươn lan tỏa.
Bệnh giun lươn lan tỏa (Disseminated strongyloidiasis) liên quan đến việc lan rộng ấu trúng đến các cơ quan bên ngoài ruột nằm ngoài nơi chu kỳ sống bình thường của ký sinh trùng. Các cơ quan bị ảnh hưởng bao gồm phổi, gan, tim, thận, các cơ quan nội tiết và hệ thống thần kinh trung ương. Bệnh giun lươn lan tỏa nặng, di chuyển của vi khuẩn đường ruột có thể dẫn đến nhiễm trùng máu đa vi trùng và đôi khi gây viêm màng não với các tác nhân gây bệnh đường ruột. Vi khuẩn có thể được thực hiện trên ấu trùng filariform di chuyển hoặc có thể đi vào tuần hoàn thông qua các vết loét ruột.
Các triệu chứng chính gồm sốt, đau bụng và trướng, giảm cân, nôn mửa, ho, thiếu máu và ho ra máu. Bệnh giun lươn lan tỏa có thể không phải lúc nào cũng xảy ra như là một kết quả gây tử vong của hội chứng tăng nhiễm. Nhiễm trùng lan tỏa với máu tràn dịch màng ngoài tim đã được báo cáo ở bệnh nhân không suy giảm miễn dịch mà không có biểu hiện của hội chứng tăng nhiễm. Các biểu hiện lâm sàng này là tương đối phổ biến ở các nhóm dân cư có nguy cơ cao, thường bị chẩn đoán nhầm với nhiễm trùng huyết gram âm hoặc hội chứng suy hô hấp cấp.
Bệnh giun lươn mãn tính và cấp tính
Bệnh giun lươn cấp tính, bệnh nhân biểu hiện ngay lập tức các triệu chứng sau khi tiếp xúc và các triệu chứng có thể mất trong vài tuần. Nhiễm cấp tính là đặc tính chung bởi các triệu chứng ở phổi và dạ dày ruột. Các triệu chứng ở dạ dày ruột như tiêu chảy, chán ăn và đau bụng bắt đầu khoảng 2 tuần sau khi nhiễm, ấu trùng có thể phát hiện trong phân sau 3 - 4 tuần.
Các triệu chứng phổi gồm kích thích khí quản, ho và bệnh viêm phế nang bắt đầu sớm hơn nhiều so với các triệu chứng ở dạ dày ruột khi ấu trùng di chuyển qua phổi trong vòng vài ngày sau khi tiếp xúc. Bệnh giun lươn S. stercoralis mãn tính thường không có triệu chứng lâm sàng. Các bệnh nhân có triệu chứng, các biến chứng chính là do biểu hiện dạ dày ruột mãn tính như tiêu chảy, táo bón và thỉnh thoảng ói mửa. Biểu hiện ngoài da như chứng mày đay, đốm xuất huyết và xuất huyết ban và ấu trùng di chuyển cũng phổ biến.
Những thách thức trong chẩn đoán bệnh giun lươn
Chẩn đoán bệnh giun lươn yêu cầu mức độ tập trung cao vì hầu hết những bệnh nhân nhiễm giun lươn không biểu hiện các đặc tính lâm sàng đặc trưng và trong phòng thí nghiệm các hình ảnh tìm thấy thường biểu hiện không điển hình. Các biểu hiện lâm sàng phức tạp xuất hiện ở những ca tử vong sau khi điều trị với stercoid cho bệnh nặng không rõ nguyên nhân và sau đó xác định là ca bệnh giun lươn lan tỏa. Các bác sĩ nên lưu ý mức độ lâm sàng của nhiễm bệnh có thể dẫn đến sự xâm nhập ảnh hưởng đến phổi, hội chứng suy hô hấp cấp tính, gây tắt ruột non và suy cơ quan đa hệ thống.
Mối tương quan giữa triệu chứng lâm sàng với đi du lịch, lịch sử cư trú và nhập khẩu bệnh giun lươn nên được xem xét ở những người đi du lịch và những người di cư từ những khu vực lưu hành bệnh. Hơn nữa khả năng nhiễm bệnh giun lươn luôn luôn được xem xét ở bất cứ bệnh nhân suy giảm miễn dịch nào, những người mà đột nhiên suy giảm; sự chậm trễ trong chẩn đoán thường xuyên gây tử vong, mặc dù đã được điều trị tích cực. Chẩn đoán giun lươn tăng nhiễm tương đối dễ dàng vì số lượng ấu trùng cao được tìm thấy trong các vệt mẫu phân và thường thấy trong đờm. Có nhiều báo cáo phát hiện bất ngờ ấu trùng trong dịch ứ tràng trong khoảng bụng và vết mẫu phân.
Xét nghiệm phân trực tiếp trong dung dịch nước muối sinh lý và nhuộm iodin Lugol đã được sử dụng để kiểm tra trên toàn cộng đồng ở nhiều cuộc điều tra dịch tễ, nhưng chỉ duy nhất xét nghiệm phân trực tiếp luôn luôn là không đủ, bằng chứng qua các báo cáo tăng nhiễm với việc kiểm tra sàng lọc phân âm tính. Sản lượng trứng so với các giun sán khác thì thấp hơn rất nhiều, chỉ kiểm tra phân thì khoảng 50% nhạy cho việc chẩn đoán và thậm chí thấp hơn ở những bệnh nhân mãn tính không có triệu chứng.
Các phương pháp chẩn đoán khác bao gồm các kỹ thuật nồng độ acetate formalin-ethyl và Baermann, với sự cải thiện độ nhạy khi xét nghiệm phân. Phương pháp nuối cấy máu cũng được thực hiện do độ nhạy cao và dễ thực hiện. Trong một nghiên cứu so sánh được thực hiện để xác định hiệu quả của các phương pháp chẩn đoán, phương pháp nuôi cấy tấm thạch đã cho thấy độ nhạy cao, hơn 96% so với vệt phân trực tiếp, kỹ thuật nồng độ ether – formalin và phương pháp nuôi cấy giấy lọc Harada Mori. Nó là điều cần thiết để kiểm tra các mẫu phân nhiều lần để đạt được chẩn đoán chính xác và kết quả âm tính không phải luôn luôn chỉ ra sự vắng mặt nhiễm bệnh.
Bạch cầu ái toan ngoại vi (>600/mL) thể hiện cho một phản ứng miễn dịch với ấu trùng di chuyển thông qua các mô vật chủ và thường gặp trong giai đoạn nhiễm cấp tính (cao tới 75% đến 80%), thỉnh thoảng gặp trong quá trình nhiễm mãn tính (thường chỉ có kết quả xét nghiệm bất thường), và thường xuyên vắng mặt ở những ca bệnh giun lươn nặng và ở các vật chủ suy giảm miễn dịch.
Soi kinh hiển vi và nuôi cấy phân
Ấu trùng giun lươn S. stercoralis được bài tiết ra trong phân, và việc phát hiện chúng có thể không liên tục. Ấu trùng thường được bài tiết theo phân khoảng 1 tháng sau khi xâm nhập da. Trứng của ký sinh trùng không thường xuyên được tìm thấy trong phân; thay vào đó, chúng nở ngay lập tức thành ấu trùng trong ruột, và ấu trùng được thải cùng với phân và trải qua giai đoạn phát triển dị dưỡng ở trong đất. Nhiễm S. fuelleborni ở trẻ em, trứng rụng chứ không phải ấu trùng trong phân và có thể dễ dàng chẩn đoán bằng kỹ thuật soi kính hiển vi.
Kiểm tra vệt phân trực tiếp trong dung dịch muối sinh lý và nhuộm Lugol's iodine đã được sử dụng để phân biệt ấu trùng trong phân và được thực hiện như là một phương pháp xét nghiệm chẩn đoán đáng tín cậy nhất. Hầu hết các kiểm tra dịch tễ học chỉ dựa vào phương pháp này mặc dù thông qua gắn kết ướt mang ấu trùng trực tiếp rất thấp (độ nhạy lên đến 30%) nhiều lần.
Do đó, nó là bắt buộc kiểm tra nhiều mẫu và điều này cần được thực hiện với một trong những phương pháp tập trung, điều này có thể tăng độ nhạy cảm lên đến 70% đến 80%. Độ nhạy hơn 90% đối với mẫu phân được xem nếu bảy hay nhiều mẫu được kiểm tra.
Phương pháp tập trung trứng như formalin-ethyl acetate, kỹ thuật Harada-Mori và phương pháp Baermann tăng sản lượng và nhạy hơn nhiều so với xét nghiệm vệt kính phân duy nhất. Sự thay đổi kỹ thuật tập trung formalin-ether bằng cách sử dụng phân tươi mà không có chất bảo quản, tiếp xúc formalin trong thời gian ngắn, sử dụng dây điện lưới thay vì gạc, và ly tâm trong 5 phút đã cho thấy hiệu quả hơn trong việc phát hiện ấu trùng so với phương pháp truyền thống với các thông số bình thường. Trong kỹ thuật Harada-Mori, giấy lọc chứa phân tươi được đặt trong một ống nghiệm với nước, giấy lọc thấm do hoạt động mao dẫn. Nó được ủ ở nhiệt độ 30°C tạo điều kiện thích hợp cho sự phát triển của ấu trùng, và ấu trùng di chuyển vào giấy lọc.
Phương pháp Baermann lợi dụng xu hướng giun và ấu trùng di chuyển từ một chất rắn sang xung quanh môi trường lỏng (hydrotropism) khi bị kích thích bởi nhiệt độ tăng nhẹ (thermotropism) và sau đó di chuyển đến chất nền. Trong kỹ thuật này, một số lượng tương đối lớn các mẫu có thể được kiểm tra, và có khả năng tìm kiếm các giai đoạn ấu trùng khác nhau cũng như giun trưởng thành cao hơn. Trong phương pháp nuôi cấy thạch, các mẫu phân được đặt trên môi trường thạch dinh dưỡng hoặc đĩa thạch máu và ủ trong 48 giờ. Vệt vi khuẩn của bệnh ecpect phát triển dọc theo con đường di chuyển của ấu trùng và nó trở nên rõ ràng sau 1-2 ngày ủ, và sự di chuyển của ấu trùng có thể dễ dàng quan sát với sự trợ giúp của kính hiển vi. Phương pháp nuôi cấy đĩa thạch thường được sử dụng do độ nhạy cao và dễ thực hiện trong phòng thí nghiệm vi sinh đạt tiêu chuẩn và cũng dể phát hiện ấu trùng từ các mẫu khác nhau như đờm, dịch hút từ phế quản và chất dịch cơ thể khác. Mặc dù phương pháp này mất thời gian nhưng nó được chứng minh là phương pháp có hiệu quả hơn 4 lần so với phương thức vệt phân trực tiếp để phát hiện ấu trùng trong phân.
Xét nghiệm bằng thử nghiệm Entero test là một phương pháp nổi tiếng nhưng hiếm khi được sử dụng để thu thập ấu trùng từ tá tràng của bệnh nhân. Độ nhạy được báo cáo dao động từ 40% đến 90%. Phương pháp này, tạo ra sự bất tiện cho bệnh nhân và đang dần dần được thay thế bằng hút dịch tá trang nhạy hơn, kiểm tra mô tá tràng hoặc sinh thiết hỗng tràng.
Nội soi và các đặc tính mô học
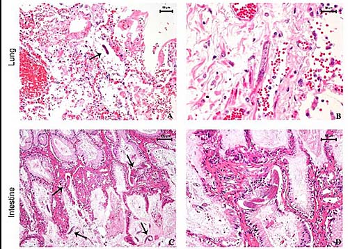
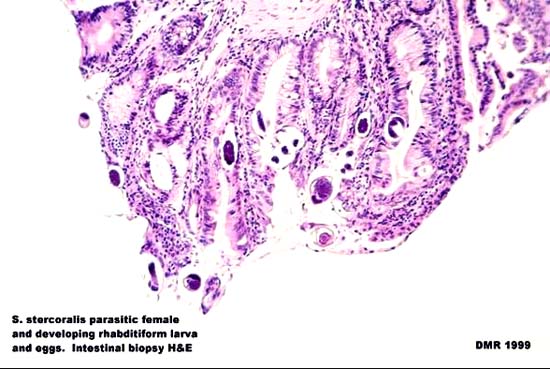
Nội soi bộ máy tiêu hóa có thể thấy từ miên mạc bình thường cho đến chứng viêm tá tràng nặng và viêm ruột kết cho thấy niêm mạc niêm mạc phù nề, lông nhung trắng và niêm mạc hồng ban. Trong hầu hết các trường hợp nhiễm giun nặng ở phổi, ấu trùng được xác định bằng sinh tiết tá tràng. Sinh thiết tá tràng, kiểm tra mô bệnh xác định ấu trùng trong 71,4% số bệnh nhân suy giảm miễn dịch. Vì vậy, ngoài việc phân tích phân thì nội soi và sinh thiết là rất quan trọng trong phát hiện bệnh giun lươn.
Trong nhiễm giun lươn lan tỏa (Disseminated Strongyloidiasis), ấu trùng có thể được phát hiện từ các vị trí ngoài ruột, trong đó có đờm, dịch phế quản, dịch não tủy (CSF), nước tiểu, tràn dịch màng bụng, sinh thiết dạ dày, và sinh thiết da. Phân tích dịch não tủy cho thấy tăng nồng độ protein, làm giảm nồng độ glucose và pleocytosis với ưu thế của bạch cầu đa nhân trung tính và một gram thuốc nhuộm được thực hiện có thể thấy nhiều loài vi khuẩn khác nhau. Chuẩn bị lam soi tươi dịch não tủy thường sẽ phát hiện ấu trùng S. stercoralis.
Xét nghiệm huyết thanh
Hiện nay, phương pháp xét nghiệm huyết thanh được sử dụng phổ biến và rộng rãi; Hơn nữa, do gia tăng độ nhạy và chúng có tiềm năng được sử dụng trong nhiều bệnh nhiễm giun sán. Một số phương pháp chẩn đoán miễn dịch đã được phát triển trong những năm qua với những thành công đáng kể thì cũng còn hạn chế, bao gồm xét nghiệm da với chiết xuất ấu trùng, miễn dịch huỳnh quang gián tiếp sử dụng ấu trùng cố định, xét nghiệm ngưng kết bổ sung filarial, xét nghiệm hấp thụ di ứng phóng xạ (radioallergosorbent testing) cho kháng thể đặc hiệu immunoglobulin E (IgE), ngưng kết hạt gelatin gián tiếp (gelatin particle indirect agglutination - GPIA), phân tích western blot và xét nghiệm ELISA phát hiện kháng thể immunoglobulin G (IgG).
Kháng thể đặc hiệu bệnh giun lươn ( Strongyloides) có thể được sử dụng để theo dõi huyết thanh, điều đó có thể cho thấy chuyển đổi huyết thanh sau khi điều trị thành công. Xét nghiệm ELISA phát hiện bệnh khoảng từ 85% - 90% với độ nhạy từ 82% - 95%; Tuy nhiên, độ nhạy của xét nghiệm ELISA có thể thấp hơn ở những bệnh nhân suy giảm miễn dịch nặng và không thể phân biệt nhiễm mới hay tái nhiễm trong vùng lưu hành bệnh.
Xét nghiệm kháng thể giun lươn (Strongyloides) cho thấy phản ứng chéo với nhiễm một loài giun sán khác như giun chỉ, giun đũa, sán máng cấp tính. Những kháng thể này có thể tồn tại trong một thời gian dài trong các vật chủ; do đó, chẩn đoán phân biệt giun lươn có thể nhầm với các loại giun sán khác là không thể tránh khỏi ở hầu hết các vùng lưu hành bệnh này. Xét nghiệm miễn dịch enzyme chống Strongyloides IgG có thể là một lựa chọn tốt cho chẩn đoán nhanh khi kết quả xét nghiệm phân âm tính cũng như ở những bệnh nhân suy giảm miễn dịch.
Xét nghiệm ngưng kết miễn dịch (luciferase immunoprecipitation assay) được mô tả gần đây có thể là phương pháp cuối cùng chứng minh chính xác hơn phương pháp xét nghiệm ELISA. Hệ thống ngưng kết miễn dịch này (luciferase immunoprecipitation system-LIPS) đã được phát triển chống lại một kháng thể với kháng nguyên tái tổ hợp giun lươn (NIE).
Khi so sánh với NIE-ELISA, LIPS cho thấy cải thiện độ đặc hiệu và sau kháng nguyên thứ hai, kháng nguyên phản ứng miễn dịch S. stercoralis (S. stercoralis immunoreactive antigen-SsIR), được sử dụng kết hợp, nó dẫn đến một sự khác biệt 7 lần giữa các giá trị âm tính và dương tính. Hơn nữa, nó không cho thấy bất kỳ dấu hiệu của phản ứng chéo với huyết thanh của bệnh nhân bị nhiễm filarial, điều này lý giải cho một nhược điểm lớn trong hầu hết các xét nghiệm huyết thanh. Nếu được thực hiện hiệu quả và phổ biến rộng rãi, LIPS có thể là một thay thế được sử dụng trong việc kiểm tra hiệu quả các bệnh nhân, thực hiện nhanh hơn và đặc hiệu hơn so với ELISA. Trong một nghiên cứu đánh giá so sánh được tiến hành trong khu vực lưu hành bệnh ở Thái Lan, các xét nghiệm ngưng kết hạt gelatin cũng được đánh giá là phương pháp xét nghiệm thiết thực hơn nhiều so với phương pháp ELISA.
Chẩn đoán phân tử
Các phương pháp xét nghiệm PCR cho ký sinh trùng đường ruột, trong đó có bệnh strongyloides đang ngày càng được sử dụng đối với các mẫu AND phân, với sự gia tăng độ nhạy và độ đặc hiệu trong việc phát hiện giun. Trong một nghiên cứu được thực hiện gần đây, phản ứng multiplex PCR với các cặp mồi đặc hiệu cho protozoa và thiết lập mồi khác cho các loài giun sán được sử dụng. Các sản phẩm PCR thu được được gắn với hạt liên kết với đầu dò oligonucleotide bên trong và phát hiện trên nền tảng Luminex. Xét nghiệm PCR đa mồi này cho thấy độ nhạy và độ đặc hiệu là 83% và 100% so với các xét nghiệm parent multiplex real-time PCR và cung cấp kiểm tra chẩn đoán nhạy cảm đối với các ký sinh trùng đường ruột có kích thước lớn.
Hầu hết các phương pháp chẩn đoán huyết thanh thông thường như ELISA, kỹ thuật này dựa trên kháng nguyên thô được chiết xuất từ ký sinh trùng. Kỹ thuật chẩn đoán mới hơn như xét nghiệm hệ thống ngưng kết miễn dịch (immunoprecipitation luciferase) dựa trên các kháng nguyên tái tổ hợp đã được phát minh và cho thấy độ đặc hiệu cao nhất (97,8%) và độ nhạy 100% khi so sánh với kỹ thuật ELISA truyền thống. Chẩn đoán phân tử dựa vào sự phát hiện copro-DNA đặc hiệu trong phân bằng phương pháp PCR khuếch đại duy nhất một đoạn gen ngắn (100 cặp base) cho thấy hiệu quả cao hơn (100%) để phát hiện S. stercoralis trong mẫu phân so với các phương pháp nuôi cấy đĩa thạch và PCR lồng vì các phương pháp này khuyếch đại một đoạn gen mục tiêu lớn hơn. Trong hầu hết các phương xét nghiệm dựa vào PCR, một yếu tố thường xuyên được quan sát thấy đó là làm giảm hiệu quả phát hiện là sự hiện diện của các chất ức chế PCR, điều này tương đối phổ biến trong các mẫu phân; phương pháp này có những giới hạn trong việc xét nghiệm các mẫu phân có AND ký sinh trùng phấp hơn. Điều này được giải quyết bằng cách tăng số lượng phân được sử dụng cho xét nghiệm PCR bởi nồng độ phân bằng acid-ether trước khi chiết xuất DNA.
Phương pháp real-time PCR mục tiêu tiểu đơn vị nhỏ gen rARN đã được phát triển để phát hiện AND giun lươn trong các mẫu phân. Việc sử dụng phương pháp xét nghiệm này có thể dễ dàng theo dõi tỷ lệ mắc và cường độ nhiễm giun sán trong các chương trình can thiệp, như phương pháp real-time PCR cũng bao gồm kiểm soát nội bộ để phát hiện sự ức chế của quá trình khuếch đại bởi phân bị ô nhiễm. Xét nghiệm này cho thấy tỷ lệ phát hiện gia tăng gấp 2 lần khi so với phương pháp lắng Baermann và có thể là một thay thế cho các phương pháp xét nghiệm thông thường ít nhạy.
Trong một nghiên cứu khác gần đây, multiplex real-time PCR, khi so sánh với kiểm tra bằng kính hiển vi và việc phát hiện kháng nguyên ở các du khách và người di cư cho thấy tỷ lệ phát hiện gia tăng từ 0,1% lên đến 0,8%. Sự gia tăng số lượng các phòng thí nghiệm chẩn đoán thông thường đang được thực hiện multiplex real-time PCR để phát hiện ký sinh trùng đường ruột và những xét nghiệm này có thể làm tăng độ đặc hiệu để kiểm tra các du khách và người nhập cư nhiễm S. stercoralis. Nếu thực hiện một cánh có hiệu quả thì những kỹ thuật mới đang nổi lên này chắn chắn có thể nâng cao chẩn đoán nhiễm giun lươn trong tương lai.
Các chiến lược phòng chống và điều trị bệnh giun lươn
Mục tiêu điều trị bệnh giun lươn bằng thuốc là để loại trừ nhiễm bệnh, giảm tỷ lệ mắc và tỷ lệ tử vong, cũng như ngăn chặn nhiễm giun lươn nặng và các biến chứng do nhiễm giun lươn lan tỏa. Một số loại thuốc giun sán có sẵn để thực hiện mục đích này, mặc dù một ít được đề nghị để điều trị nhiễm bệnh. Hầu hết các loại thuốc này cho phép can thiệp có chọn lọc trong các con đường sinh học và trao đổi chất ở người trưởng thành với liều lượng tương đối nhỏ. Hiệu quả của nhiều tác nhân chống lại ấu trùng giun sán này là ít và chúng chỉ hiệu quả hơn khi chắc chắn nhiễm bệnh xảy ra.
Các loại thuốc như Thiabendazole, albendazole và mebendazole được sử dụng để điều trị bệnh giun lươn cấp tính và mãn tính nhưng đã cho thấy kết quả khác nhau ở các thử nghiệm thuốc. Albendazole có khả năng ràng buộc ái lực cao để không beta-tubulin trong các tế bào ký sinh trùng, do đó ức chế trùng hợp protein hình cầu trong tế bào. Điều này cuối cùng dẫn đến sự mất mát của các vi ống của tế bào chất và do đó làm giảm sản xuất adenosine triphosphate (ATP) ở giun sán, cuối cùng dẫn đến sự cạn kiệt năng lượng, bất động và chết. Mebendazole ức chế sự hình thành vi ống và nguyên nhân làm giun mất hết đường nhưng cho thấy hiệu quả thay đổi chống lại bệnh giun lươn. Mặc dù ngay cả đã sử dụng thành công để điều trị một số bệnh nhân nhiễm S. stercoralis nặng nhưng giảm khả năng tiếp cận do kém hấp thu của thuốc do ấu trùng di chuyển có thể là lý do cho hiệu quả của nó bị thay đổi. Các loại thuốc benzimidazoles không chỉ tiêu diệt giun sán ở giai đoạn trường thành trong ruột mà còn tiêu diệt ấu trùng và trứng đến một mức độ nhất định nào đó. Thiabendazole là một lựa chọn điều trị cho giun lươn trong một thời gian khá dài nhưng đã bị ngưng do các tác dụng phụ bất lợi của nó đối với người sử dụng.
Bây giờ Ivermectin đã nổi lên như là một loại thuốc được lựa chọn để điều trị bệnh giun lươn cấp tính và mãn tính ở giai đoạn ruột, hội chứng tăng nhiễm (hyperinfection syndrome) và bệnh giun lươn lan tỏa. Loại thuốc này là một dẫn xuất bán tổng hợp của các sản phẩm avermectin thuốc kháng sinh phổ rộng, chúng liên kết có chọn lọc với các kênh ion clorua glutamate-gated của các tế bào thần kinh và cơ xương, do đó làm tăng tính thấm của màng tế bào với sự tăng phân cực và gây tê liệt và chết tế bào. Ở những bệnh nhân bị bệnh nặng, ivermectin có khả năng uống hoặc hấp thụ bằng đường miệng (PO), trực tràng (PR) hoặc liều tiêm dưới da (SC) có thể có hiệu quả. Tỷ lệ loại bỏ của ivermectin trong nhiều thử nghiệm thuốc đã cho thấy kết quả đáng chú ý và tỷ lệ chữa khỏi bệnh lên đến 97% với khóa điều trị hai ngày ở các trường hợp không có triệu chứng, nhưng ở bệnh nhân nhiễm giun lươn nặng và bệnh giun lươn lan tỏa, thì phải dùng thuốc hàng ngày cho đến khi triệu chứng được giải quyết với kết quả xét nghiệm âm tính với ấu trùng trong ít nhất hai tuần được khuyến cáo. Tổ chức Y tế thế giới (WHO) đề nghị điều trị bệnh lươn bằng ivermectin (200 µg/kg cân nặng cơ thể trong một liều duy nhất) hoặc albendazole (mỗi ngày 400 mg trong 3 ngày). Trong một nghiên cứu được thực hiện ở Zanzibar, hiệu quả của hai phác đồ điều trị được so sánh: tỷ lệ điều trị thành công là 82,9% đối với ivermectin, trong khi Albendazole điều trị thành công chỉ có 45% người mắc bệnh.
Liệu pháp điều trị kết hợp giữa hai loại thuốc gồm Ivermectin và thiabendazole đã được chứng minh là hiệu quả hơn nếu điều chỉ mỗi Albendazole và ivermectin đang trở thành thuốc được lựa chọn để điều trị bệnh giun lươn bởi vì thuốc có ít tác dụng phụ và tỷ lệ điều trị làm sạch ấu trùng tốt hơn. Một loại thuốc mới hơn đó là tribendimidine, vẫn đang được điều tra ở Trung Quốc và cho thấy một số hứa hẹn trong điều trị giun lươn.
Những bệnh nhân nhiễm nặng có nguy cơ lây nhiễm trong cộng đồng cao và cần được điều trị bằng sự cách lý vì đờm, phân, chất nôn, phân và các dịch tiết cơ quan khác có thể chứa đứng ấu trùng (filariform) lây nhiễm. Kiểm tra các thành viên trong gia đình và việc sử dụng các biện pháp phòng ngừa phổ biến để ngăn chặn sự lây nhiễm cần được theo bởi tất cả những người liên quan đến bệnh nhân bao gồm cả nhân viên y tế. Điều trị kháng sinh trực tiếp hướng về tác nhân gây bệnh đường ruột cần được cung cấp nếu nhiễm trùng máu hoặc viêm màng não xuất hiện. Steroid và sử dụng các chất ức chế tổng hợp leukotrien nên tránh; nếu sử dụng chúng sẽ làm trầm trọng thêm bệnh vì leukotrienes đóng một vai trò tiềm năng miễn dịch chống lại nhiễm trùng Strongyloides. Điều trị corticosteroid theo kinh nghiệm có thể gây ra bệnh giun lươn tăng nhiễm đe dọa tính mạng, thường xảy ra ở những bệnh nhân suy giảm miễn dịch; do đó, chúng cần phải tránh đến mức tối đa có thể. Can thiệp phẫu thuật có thể được yêu cầu trong trường hợp hiếm của các triệu chứng bụng cấp (viêm phúc mạc) do tắc ruột hoặc nhồi máu ở bệnh giun lươn nặng. Những bệnh nhân có hội chứng tăng nhiễm thường có các biến chứng nhiễm trùng huyết, sốc và hội chứng suy hô hấp cấp (ARDS) và do đó nên được chăm sóc tại cơ sở được trang bị phù hợp cho quản lý tập trung.
Chẩn đoán xác định giun lươn thường được thực hiện bằng cách phát hiện ấu trùng trong phân. Tuy nhiên, việc chẩn đoán bệnh giun lươn là khó khăn vì lượng ký sinh thấp và số lượng ấu trùng bất thường ở phần lớn các bệnh nhiễm trùng cận lâm sàng; do đó, tỷ lệ nhiễm bệnh thực tế trong cộng đồng thường được đánh giá thấp.
Mặc dù bệnh giun lươn lưu hành ở một số nước đang phát triển, nhưng bệnh giun lươn vẫn đặt ra một mối đe dọa cho các nước phát triển. Hầu hết gia tăng tỷ lệ lây nhiễm gần với tỷ lệ nhiễm lưu hành ở nhiều nước phát triển trong số những người nhập cư và khách du lịch và các cựu chiến binh của các cuộc chiến tranh. Ngoài ra, cách lan truyền tự nhiên ở các cộng đồng nông thôn nguyên nhân do vệ sinh cá nhân và các biện pháp vệ sinh tiểu tiện kém, khả năng lan truyền bệnh từ động vật sang người làm cho tình hình nghiêm trọng hơn, như các động vật nuôi ăn cỏ nhỏ đóng vai trò như là vật chủ chứa S. stercoralis.
Các phương pháp chẩn đoán mới và chiến lược điều trị bằng thuốc có hiệu quả hơn được kỳ vọng sẽ cải thiện các nghiên cứu dịch tễ học và các nỗ lực kiểm soát để phòng ngừa và điều trị giun lươn. Vì hầu hết các trường hợp hội chứng tăng nhiễm và bệnh giun lươn lan tỏa xảy ra ở những người suy giảm miễn dịch, đặc biệt là những người dùng steroid, các bác sĩ cần phải nhận thức các yếu tố nguy cơ liên quan đến nhiễm Strongyloides trước khi hành điều trị bằng corticosteroid. Nhận thức về xu hướng gia tăng nhiễm Strongyloides là không thể thiếu khi triệu chứng đường tiêu hóa hoặc triệu chứng ở phổi được quan sát thấy ở những bệnh nhân suy giảm miễn dịch.
Nhiều phương pháp tiếp cận tích hợp hiệu quả là rất cần thiết và phụ thuộc vào các nguồn lây nhiễm, tỷ lệ lây nhiễm trong cộng đồng và khả năng lan truyền, cần được thực hiện bằng chẩn đoán, điều trị và quản lý bệnh này. Điều này có thể thông qua một phân tích toàn diện với mục tiêu tìm hiểu sự lây nhiễm trong vùng lưu hành bệnh và cũng bởi một phân tích chính xác nhiễm bệnh mới nổi này ở những người suy giảm miễn dịch và các nhóm nguy cơ khác ở các khu vực không lưu hành bệnh
Tài liệu tham khảo
1.Puthiyakunnon S, Boddu S, Li Y, Zhou X, Wang C, et al. (2014) Strongyloidiasis—An Insight into Its Global Prevalence and Management. PLoS Negl Trop Dis 8(8): e3018. doi:10.1371/journal.pntd.0003018
2.Bethony J, Brooker S, Albonico M, Geiger SM, Loukas A, et al. (2006) Soil-transmitted helminth infections: ascariasis, trichuriasis, and hookworm. Lancet 367: 1521–1532. doi: 10.1016/s0140-6736(06)68653-4.
3.Ashford RW, Barnish GB (1989) Strongyloides fuelleborni and similar parasites in animals and man. In: Grove DI, editor. Strongyloidiasis: a major roundworm infection of man. London: Taylor & Francis. pp. 271–286.
4.Genta RM (1989) Global prevalence of strongyloidiasis: critical review with epidemiologic insights into the prevention of disseminated disease. Rev Infect Dis 11: 755–767. doi: 10.1093/clinids/11.5.755
5.Olsen A, van Lieshout L, Marti H, Polderman T, Polman K, et al. (2009) Strongyloidiasis—the most neglected of the neglected tropical diseases? Trans R Soc Trop Med Hyg 103: 967–972. doi: 10.1016/j.trstmh.2009.02.013
6.Normand A (1983) Sur la maladie dite diar-rh.e de Cochinchine. C R Acad Sci (Paris) 83: 316.
7.Genta RM (1995) Strongyloides stercoralis. In: Blaser MJ, Smith PD, Ravdin JI, Greenberg HB, Guerrant RL, editors. Infections of the gastrointestinal tract. New York: Raven Press. pp. 1197–1207.
8.Montes M, Sawhney C, Barros N (2010) Strongylodies stercoralis: there but not seen. Curr Opin Infect Dis 23: 500–504. doi: 10.1097/qco.0b013e32833df718
9.Coker AO, Isokpehi RD, Thomas BN, Fagbenro-Beyioku AF, Omilabu SA (2000) Zoonotic infections in Nigeria: overview from a medical perspective. Acta Trop 76: 59–63. doi: 10.1016/s0001-706x(00)00091-7
10.Marnell F, Guillet A, Holland C (1992) A survey of the intestinal helminths of refugees in Juba, Sudan. Ann Trop Med Parasitol 86: 387–393.
11.Walzer PD, Milder JE, Banwell JG, Kilgore G, Klein M, et al. (1982) Epidemiologic features of Strongyloides stercoralis infection in an endemic area of the United States. Am J Trop Med Hyg 31: 313–319.
12.Evering T, Weiss LM (2006) The immunology of parasite infections in immunocompromised hosts. Parasite Immunol 28: 549–565. doi: 10.1111/j.1365-3024.2006.00886.x
13.Sarangarajan R, Ranganathan A, Belmonte AH, Tchertkoff V (1997) Strongyloides stercoralis infection in AIDS. AIDS Patients Care STDS 11: 407–414. doi: 10.1089/apc.1997.11.407
14.Ferreira MS, Nishioka Sde A, Borges AS, Costa-Cruz JM, Rossin IR, et al. (1999) Strongyloidiasis and infection due to human immunodeficiency virus: 25 cases at a Brazilian teaching hospital, including seven cases of hyperinfection syndrome. Clin Infect Dis 28: 154–155. doi: 10.1086/517188
15.Wang C, Xu J, Zhou X, Li J, Yan G, et al. (2013) Strongyloidiasis: an emerging infectious disease in China. Am J Trop Med Hyg 88: 420–425. doi: 10.4269/ajtmh.12-0596
16.Glinz D, Silue KD, Knopp S, Lohourignon LK, Yao KP, et al. (2010) Comparing diagnostic accuracy of Kato-Katz, Koga agar plate, ether-concentration, and FLOTAC for Schistosoma mansoni and soil-transmitted helminths. PLoS Negl Trop Dis 4: e754. doi: 10.1371/journal.pntd.0000754
17.Johnston FH, Morris PS, Speare R, McCarthy J, Currie B, et al. (2005) Strongyloidiasis: a review of the evidence for Australian practitioners. Aust J Rural Health 13: 247–254. doi: 10.1111/j.1440-1584.2005.00710.x
18.Croker C, Reporter R, Redelings M, Mascola L (2010) Strongyloidiasis-related deaths in the United States, 1991–2006. Am J Trop Med Hyg 83: 422–426. doi: 10.4269/ajtmh.2010.09-0750
19.Dawson-Hahn EE, Greenberg SL, Domachowske JB, Olson BG (2010) Eosinophilia and the seroprevalence of schistosomiasis and strongyloidiasis in newly arrived pediatric refugees: an examination of Centers for Disease Control and Prevention screening guidelines. J Pediatr 156: 1016–1018.e1, 1016-1018, 1018.e1. doi: 10.1016/j.jpeds.2010.02.043
20.Gill GV, Welch E, Bailey JW, Bell DR, Beeching NJ (2004) Chronic Strongyloides stercoralis infection in former British Far East prisoners of war. QJM 97: 789–795. doi: 10.1093/qjmed/hch133
21.Nuesch R, Zimmerli L, Stockli R, Gyr N, Christoph Hatz FR (2005) Imported strongyloidosis: a longitudinal analysis of 31 cases. J Travel Med 12: 80–84. doi: 10.2310/7060.2005.12204
22.Lim S, Katz K, Krajden S, Fuksa M, Keystone JS, et al. (2004) Complicated and fatal Strongyloides infection in Canadians: risk factors, diagnosis and management. CMAJ 171: 479–484. doi: 10.1503/cmaj.1031698
23.Keystone JS (2007) Can one afford not to screen for parasites in high-risk immigrant populations? Clin Infect Dis 45: 1316–1318. doi: 10.1086/522530
24.Yori PP, Kosek M, Gilman RH, Cordova J, Bern C, et al. (2006) Seroepidemiology of strongyloidiasis in the Peruvian Amazon. Am J Trop Med Hyg 74: 97–102.
25.Moon TD, Oberhelman RA (2005) Antiparasitic therapy in children. Pediatr Clin North Am 52: 917–948. doi: 10.1016/j.pcl.2005.02.012
26.Goncalves AL, Machado GA, Goncalves-Pires MR, Ferreira-Junior A, Silva DA, et al. (2007) Evaluation of strongyloidiasis in kennel dogs and keepers by parasitological and serological assays. Vet Parasitol 147: 132–139. doi: 10.1016/j.vetpar.2007.03.016
27.Speare R (1989) Identification of species of Strongyloides. In: Grove DI, editor. Strongyloidiasis: a major roundworm infection of man. London: Taylor and Francis.
28.Neva FA (1994) Intestinal nematodes of human beings. In: Neva FA, editor. Basic Clinical Parasitology. Norwalk (Connecticut): Appleton & Lange. pp. 123–128.
29.Viney ME, Lok JB (2007) Strongyloides spp. WormBook, ed. The C. elegans Research Community, WormBook. doi/10.1895/wormbook.1.141.1
30.Viney ME (1996) Developmental switching in the parasitic nematode Strongyloides ratti. Proc Biol Sci 263: 201–208. doi: 10.1098/rspb.1996.0032
31.Grove DI (1989) Historical introduction. In: Grove DI, editor. Strongyloidiasis: A Major Roundworm Infection of Man. Philadelphia (Pennsylvania): Taylor & Francis.
32.Ronan SG, Reddy RL, Manaligod JR, Alexander J, Fu T (1989) Disseminated strongyloidiasis presenting as purpura. J Am Acad Dermatol 21: 1123–1125. doi: 10.1016/s0190-9622(89)70311-x
33.Berk SL, Verghese A, Alvarez S, Hall K, Smith B (1987) Clinical and epidemiologic features of strongyloidiasis. A prospective study in rural Tennessee. Arch Intern Med 147: 1257–1261. doi: 10.1001/archinte.1987.00370070071011
34.Woodring JH, Halfhill H 2nd, Reed JC (1994) Pulmonary strongyloidiasis: clinical and imaging features. AJR Am J Roentgenol 162: 537–542. doi: 10.2214/ajr.162.3.8109492
35.Mansfield LS, Niamatali S, Bhopale V, Volk S, Smith G, et al. (1996) Strongyloides stercoralis: maintenance of exceedingly chronic infections. Am J Trop Med Hyg 55: 617–624.
36.Grove DI (1996) Human strongyloidiasis. Adv Parasitol 38: 251–309. doi: 10.1016/s0065-308x(08)60036-6
37.Vadlamudi RS, Chi DS, Krishnaswamy G (2006) Intestinal strongyloidiasis and hyperinfection syndrome. Clin Mol Allergy 4: 8. doi: 10.1186/1476-7961-4-8
38.Keiser PB, Nutman TB (2004) Strongyloides stercoralis in the Immunocompromised Population. Clin Microbiol Rev 17: 208–217. doi: 10.1128/cmr.17.1.208-217.2004
39.Husni RN, Gordon SM, Longworth DL, Adal KA (1996) Disseminated Strongyloides stercoralis infection in an immunocompetent patient. Clin Infect Dis 23: 663. doi: 10.1093/clinids/23.3.663
40.Boulware DR, Stauffer WM, Hendel-Paterson BR, Rocha JL, Seet RC, et al. (2007) Maltreatment of Strongyloides infection: case series and worldwide physicians-in-training survey. Am J Med 120: 545–548, 545, e541-548. doi: 10.1016/j.amjmed.2006.05.072
41.Hong IS, Zaidi SY, McEvoy P, Neafie RC (2004) Diagnosis of Strongyloides stercoralis in a peritoneal effusion from an HIV-seropositive man. A case report. Acta Cytol 48: 211–214. doi: 10.1159/000326318
42.Ramdial PK, Hlatshwayo NH, Singh B (2006) Strongyloides stercoralis mesenteric lymphadenopathy: clue to the etiopathogenesis of intestinal pseudo-obstruction in HIV-infected patients. Ann Diagn Pathol 10: 209–214. doi: 10.1016/j.anndiagpath.2005.11.008
43.Galimberti R, Ponton A, Zaputovich FA, Velasquez L, Galimberti G, et al. (2009) Disseminated strongyloidiasis in immunocompromised patients–report of three cases. Int J Dermatol 48: 975–978. doi: 10.1111/j.1365-4632.2009.04082.x
44.Freedman DO (1991) Experimental infection of human subject with Strongyloides species. Rev Infect Dis 13: 1221–1226. doi: 10.1093/clinids/13.6.1221
45.Grove DI (1989) Clinical manifestations. In: Grove DI, editor. Strongyloidiasis: a major roundworm infection of man. Philadelphia (Pennsylvania): Taylor & Francis. pp. 155–173.
46.Pirisi M, Salvador E, Bisoffi Z, Gobbo M, Smirne C, et al. (2006) Unsuspected strongyloidiasis in hospitalised elderly patients with and without eosinophilia. Clin Microbiol Infect 12: 787–792. doi: 10.1111/j.1469-0691.2006.01500.x
47.Wong TY, Szeto CC, Lai FF, Mak CK, Li PK (1998) Nephrotic syndrome in strongyloidiasis: remission after eradication with anthelmintic agents. Nephron 79: 333–336. doi: 10.1159/000045058
48.Siddiqui AA, Berk SL (2001) Diagnosis of Strongyloides stercoralis infection. Clin Infect Dis 33: 1040–1047. doi: 10.1086/322707
49.Sato Y, Kobayashi J, Toma H, Shiroma Y (1995) Efficacy of stool examination for detection of Strongyloides infection. Am J Trop Med Hyg 53: 248–250.
50.Anamnart W, Pattanawongsa A, Intapan PM, Maleewong W (2010) Factors affecting recovery of Strongyloides stercoralis larvae: an approach to a newly modified formalin-ether concentration technique for diagnosis of strongyloidiasis. J Clin Microbiol 48: 97–100. doi: 10.1128/jcm.01613-09
51.Nielsen PB, Mojon M (1987) Improved diagnosis of strongyloides stercoralis by seven consecutive stool specimens. Zentralbl Bakteriol Mikrobiol Hyg A 263: 616–618. doi: 10.1016/s0176-6724(87)80207-9
52.Kemp L, Hawley T (1996) Clinical pathology rounds. Strongyloidiasis in a hyperinfected patient. Lab Med 27: 237–240.
53.Lok JB (2007) Strongyloides stercoralis: a model for translational research on parasitic nematode biology. WormBook 1–18 doi: 10.1895/wormbook.1.134.1.
54.Conway DJ, Lindo JF, Robinson RD, Bundy DA (1995) Towards effective control of Strongyloides stercoralis. Parasitol Today 420–424. doi: 10.1016/0169-4758(95)80023-9
55.Siddiqui AA, Gutierrez C, Berk SL (1999) Diagnosis of Strongyloides stercoralis by acid-fast staining. J Helminthol 73: 187–188.
56.Beal CB, Viens P, Grant RG, Hughes JM (1970) A new technique for sampling duodenal contents: demonstration of upper small-bowel pathogens. Am J Trop Med Hyg 19: 349–352.
57.Goka AK, Rolston DD, Mathan VI, Farthing MJ (1990) Diagnosis of Strongyloides and hookworm infections: comparison of faecal and duodenal fluid microscopy. Trans R Soc Trop Med Hyg 84: 829–831. doi: 10.1016/0035-9203(90)90098-y
58.Kishimoto K, Hokama A, Hirata T, Ihama Y, Nakamoto M, et al. (2008) Endoscopic and histopathological study on the duodenum of Strongyloides stercoralis hyperinfection. World J Gastroenterol 14: 1768–1773. doi: 10.3748/wjg.14.1768
59.Mittal S, Sagi SV, Hawari R (2009) Strongyloidiasis: endoscopic diagnosis. Clin Gastroenterol Hepatol 7: e8. doi: 10.1016/j.cgh.2008.08.045
60.Cirioni O, Giacometti A, Burzacchini F, Balducci M, Scalise G (1996) Strongyloides stercoralis first-stage larvae in the lungs of a patient with AIDS: primary localization or a noninvasive form of dissemination? Clin Infect Dis 22: 737. doi: 10.1093/clinids/22.4.737
61.Dutcher JP, Marcus SL, Tanowitz HB, Wittner M, Fuks JZ, et al. (1990) Disseminated strongyloidiasis with central nervous system involvement diagnosed antemortem in a patient with acquired immunodeficiency syndrome and Burkitts lymphoma. Cancer 66: 2417–2420. doi: 10.1002/1097-0142(19901201)66:11<2417::aid-cncr2820661129>3.0.co;2-g
62.Fowler CG, Lindsay I, Levin J, Sweny P, Fernando on, et al. (1982) Recurrent hyperinfestation with Strongyloides stercoralis in a renal allograft recipient. Br Med J (Clin Res Ed) 285: 1394. doi: 10.1136/bmj.285.6352.1394
63.Jain AK, Agarwal SK, el-Sadr W (1994) Streptococcus bovis bacteremia and meningitis associated with Strongyloides stercoralis colitis in a patient infected with human immunodeficiency virus. Clin Infect Dis 18: 253–254. doi: 10.1093/clinids/18.2.253
64.Gordon SM, Gal AA, Solomon AR, Bryan JA (1994) Disseminated strongyloidiasis with cutaneous manifestations in an immunocompromised host. J Am Acad Dermatol 31: 255–259. doi: 10.1016/s0190-9622(94)70158-x
65.Celedon JC, Mathur-Wagh U, Fox J, Garcia R, Wiest PM (1994) Systemic strongyloidiasis in patients infected with the human immunodeficiency virus. A report of 3 cases and review of the literature. Medicine (Baltimore) 73: 256–263. doi: 10.1097/00005792-199409000-00004
66.Rodrigues RM, de Oliveira MC, Sopelete MC, Silva DA, Campos DM, et al. (2007) IgG1, IgG4, and IgE antibody responses in human strongyloidiasis by ELISA using Strongyloides ratti saline extract as heterologous antigen. Parasitol Res 101: 1209–1214. doi: 10.1007/s00436-007-0602-z
67.Gam AA, Neva FA, Krotoski WA (1987) Comparative sensitivity and specificity of ELISA and IHA for serodiagnosis of strongyloidiasis with larval antigens. Am J Trop Med Hyg 37: 157–161.
68.Ramanathan R, Burbelo PD, Groot S, Iadarola MJ, Neva FA, et al. (2008) A luciferase immunoprecipitation systems assay enhances the sensitivity and specificity of diagnosis of Strongyloides stercoralis infection. J Infect Dis 198: 444–451. doi: 10.1086/589718
69.Sato Y, Toma H, Kiyuna S, Shiroma Y (1991) Gelatin particle indirect agglutination test for mass examination for strongyloidiasis. Trans R Soc Trop Med Hyg 85: 515–518. doi: 10.1016/0035-9203(91)90240-y
70.Taniuchi M, Verweij JJ, Noor Z, Sobuz SU, Lieshout L, et al. (2011) High throughput multiplex PCR and probe-based detection with Luminex beads for seven intestinal parasites. Am J Trop Med Hyg 84: 332–337. doi: 10.4269/ajtmh.2011.10-0461
71.Krolewiecki AJ, Ramanathan R, Fink V, McAuliffe I, Cajal SP, et al. (2010) Improved diagnosis of Strongyloides stercoralis using recombinant antigen-based serologies in a community-wide study in northern Argentina. Clin Vaccine Immunol 17: 1624–1630. doi: 10.1128/cvi.00259-10
72.Moghaddassani H, Mirhendi H, Hosseini M, Rokni M, Mowlavi G, et al. (2011) Molecular Diagnosis of Strongyloides stercoralis Infection by PCR Detection of Specific DNA in Human Stool Samples. Iran J Parasitol 6: 23–30.
73.Verweij JJ, Brienen EA, Ziem J, Yelifari L, Polderman AM, et al. (2007) Simultaneous detection and quantification of Ancylostoma duodenale, Necator americanus, and Oesophagostomum bifurcum in fecal samples using multiplex real-time PCR. Am J Trop Med Hyg 77: 685–690.
74.Verweij JJ, Canales M, Polman K, Ziem J, Brienen EA, et al. (2009) Molecular diagnosis of Strongyloides stercoralis in faecal samples using real-time PCR. Trans R Soc Trop Med Hyg 103: 342–346. doi: 10.1016/j.trstmh.2008.12.001
75.ten Hove RJ, van Esbroeck M, Vervoort T, van den Ende J, van Lieshout L, et al. (2009) Molecular diagnostics of intestinal parasites in returning travellers. Eur J Clin Microbiol Infect Dis 28: 1045–1053. doi: 10.1007/s10096-009-0745-1
76.Gann PH, Neva FA, Gam AA (1994) A randomized trial of single- and two-dose ivermectin versus thiabendazole for treatment of strongyloidiasis. J Infect Dis 169: 1076–1079. doi: 10.1093/infdis/169.5.1076
77.Liu LX, Weller PF (1993) Strongyloidiasis and other intestinal nematode infections. Infect Dis Clin North Am 7: 655–682.
78.Venturi M, Viliotti WM (1984) [Disseminated strongyloidiasis in a diabetic patient]. Rev Paul Med 102: 283.
79.Zaha O, Hirata T, Kinjo F, Saito A (2000) Strongyloidiasis–progress in diagnosis and treatment. Intern Med 39: 695–700. doi: 10.2169/internalmedicine.39.695
80.Marti H, Haji HJ, Savioli L, Chwaya HM, Mgeni AF, et al. (1996) A comparative trial of a single-dose ivermectin versus three days of albendazole for treatment of Strongyloides stercoralis and other soil-transmitted helminth infections in children. Am J Trop Med Hyg 55: 477–481.
81.Fusco DN, Downs JA, Satlin MJ, Pahuja M, Ramos L, et al. (2010) Non-oral treatment with ivermectin for disseminated strongyloidiasis. Am J Trop Med Hyg 83: 879–883. doi: 10.4269/ajtmh.2010.10-0258
82.Boken DJ, Leoni PA, Preheim LC (1993) Treatment of Strongyloides stercoralis hyperinfection syndrome with thiabendazole administered per rectum. Clin Infect Dis 16: 123–126. doi: 10.1093/clinids/16.1.123
83.Shikiya K, Zaha O, Niimura S, Uehara T, Ohshiro J, et al. (1994) [Clinical study on ivermectin against 125 strongyloidiasis patients]. Kansenshogaku Zasshi 68: 13–20.
84.WHO (2002) Prevention and control of schistosomiasis and soil transmitted helminthiasis. Geneva, Switzerland: World Health Organization. Available: http://whqlibdoc.who.int/trs/WHO_TRS_912.pdf. Accessed 14 July 2014.
85.Datry A, Hilmarsdottir I, Mayorga-Sagastume R, Lyagoubi M, Gaxotte P, et al. (1994) Treatment of Strongyloides stercoralis infection with ivermectin compared with albendazole: results of an open study of 60 cases. Trans R Soc Trop Med Hyg 88: 344–345. doi: 10.1016/0035-9203(94)90110-4
86.Steinmann P, Zhou XN, Du ZW, Jiang JY, Xiao SH, et al. (2008) Tribendimidine and albendazole for treating soil-transmitted helminths, Strongyloides stercoralis and Taenia spp.: open-label randomized trial. PLoS Negl Trop Dis 2: e322. doi: 10.1371/journal.pntd.0000322
87.Lindo JF, Robinson RD, Terry SI, Vogel P, Gam AA, et al. (1995) Age-prevalence and household clustering of Strongyloides stercoralis infection in Jamaica. Parasitology 110(Pt 1): 97–102. doi: 10.1017/s0031182000081099
88.Maraha B, Buiting AG, Hol C, Pelgrom R, Blotkamp C, et al. (2001) The risk of Strongyloides stercoralis transmission from patients with disseminated strongyloidiasis to the medical staff. J Hosp Infect 49: 222–224. doi: 10.1053/jhin.2001.1075
89.Fardet L, Genereau T, Cabane J, Kettaneh A (2006) Severe strongyloidiasis in corticosteroid-treated patients. Clin Microbiol Infect 12: 945–947. doi: 10.1111/j.1469-0691.2006.01443.x
90.Thompson JR, Berger R (1991) Fatal adult respiratory distress syndrome following successful treatment of pulmonary strongyloidiasis. Chest 99: 772–774. doi: 10.1378/chest.99.3.772
91.Taranto NJ, Bonomi de Filippi H, Orione O (1993) [Prevalence of Strongyloides stercoralis infection in childhood. Oran, Salta, Argentina]. Bol Chil Parasitol 48: 49–51.
92.Taranto NJ, Cajal SP, De Marzi MC, Fernandez MM, Frank FM, et al. (2003) Clinical status and parasitic infection in a Wichi Aboriginal community in Salta, Argentina. Trans R Soc Trop Med Hyg 97: 554–558. doi: 10.1016/s0035-9203(03)80026-3
93.Repetto SA, Duran PA, Lasala MB, Gonzalez-Cappa SM (2010) High rate of strongyloidosis infection, out of endemic area, in patients with eosinophilia and without risk of exogenous reinfections. Am J Trop Med Hyg 82: 1088–1093. doi: 10.4269/ajtmh.2010.09-0332
94.Ines Ede J, Souza JN, Santos RC, Souza ES, Santos FL, et al. (2011) Efficacy of parasitological methods for the diagnosis of Strongyloides stercoralis and hookworm in faecal specimens. Acta Trop 120: 206–210. doi: 10.1016/j.actatropica.2011.08.010
95.Machado ER, Santos DS, Costa-Cruz JM (2008) Enteroparasites and commensals among children in four peripheral districts of Uberlandia, State of Minas Gerais. Rev Soc Bras Med Trop 41: 581–585. doi: 10.1590/s0037-86822008000600007
96.Mine JC, Rosa JA (2008) Frequency of Blastocystis hominis and other intestinal parasites in stool samples examined at the Parasitology Laboratory of the School of Pharmaceutical Sciences at the Sao Paulo State University, Araraquara. Rev Soc Bras Med Trop 41: 565–569. doi: 10.1590/s0037-86822008000600004
97.Mendonca SC, Goncalves-Pires Mdo R, Rodrigues RM, Ferreira A Jr, Costa-Cruz JM (2006) Is there an association between positive Strongyloides stercoralis serology and diabetes mellitus? Acta Trop 99: 102–105. doi: 10.1016/j.actatropica.2006.06.006
98.Cimerman S, Cimerman B, Lewi DS (1999) Prevalence of intestinal parasitic infections in patients with acquired immunodeficiency syndrome in Brazil. Int J Infect Dis 3: 203–206. doi: 10.1016/s1201-9712(99)90025-5
99.Machado ER, Costa-Cruz JM (1998) Strongyloides stercoralis and other enteroparasites in children at Uberlandia city, state of Minas Gerais, Brazil. Mem Inst Oswaldo Cruz 93: 161–164. doi: 10.1590/s0074-02761998000200004
100.Nucci M, Portugal R, Pulcheri W, Spector N, Ferreira SB, et al. (1995) Strongyloidiasis in patients with hematologic malignancies. Clin Infect Dis 21: 675–677. doi: 10.1093/clinids/21.3.675
101.Yapi YG, Briet OJ, Vounatsou P (2006) Prevalence of geohelminths in savana and forest areas of Cote d'Ivoire. West Afr J Med 25: 124–125. doi: 10.4314/wajm.v25i2.28261
102.Gyorkos TW, Genta RM, Viens P, MacLean JD (1990) Seroepidemiology of Strongyloides infection in the Southeast Asian refugee population in Canada. Am J Epidemiol 132: 257–264.
103.Libman MD, MacLean JD, Gyorkos TW (1993) Screening for schistosomiasis, filariasis, and strongyloidiasis among expatriates returning from the tropics. Clin Infect Dis 17: 353–359. doi: 10.1093/clinids/17.3.353
104.Fontanet AL, Sahlu T, Rinke de Wit T, Messele T, Masho W, et al. (2000) Epidemiology of infections with intestinal parasites and human immunodeficiency virus (HIV) among sugar-estate residents in Ethiopia. Ann Trop Med Parasitol 94: 269–278. doi: 10.1080/00034980050006456
105.Getaneh A, Medhin G, Shimelis T (2010) Cryptosporidium and Strongyloides stercoralis infections among people with and without HIV infection and efficiency of diagnostic methods for Strongyloides in Yirgalem Hospital, southern Ethiopia. BMC Res Notes 3: 90. doi: 10.1186/1756-0500-3-90
106.Assefa S, Erko B, Medhin G, Assefa Z, Shimelis T (2009) Intestinal parasitic infections in relation to HIV/AIDS status, diarrhea and CD4 T-cell count. BMC Infect Dis 9: 155. doi: 10.1186/1471-2334-9-155
107.Menan EI, Nebavi NG, Adjetey TA, Assavo NN, Kiki-Barro PC, et al. (1997) [Profile of intestinal helminthiases in school aged children in the city of Abidjan]. Bull Soc Pathol Exot 90: 51–54.
108.Gyorkos TW, Camara B, Kokoskin E, Carabin H, Prouty R (1996) [Survey of parasitic prevalence in school-aged children in Guinea (1995)]. Sante 6: 377–381.
109.de Kaminsky RG (1993) Evaluation of three methods for laboratory diagnosis of Strongyloides stercoralis infection. J Parasitol 79: 277–280. doi: 10.2307/3283519
110.Masucci L, Graffeo R, Bani S, Bugli F, Boccia S, et al. (2011) Intestinal parasites isolated in a large teaching hospital, Italy, 1 May 2006 to 31 December 2008. Euro Surveill 16: pii: 19891.
111.Abrescia FF, Falda A, Caramaschi G, Scalzini A, Gobbi F, et al. (2009) Reemergence of strongyloidiasis, northern Italy. Emerg Infect Dis 15: 1531–1533. doi: 10.3201/eid1509.090191
112.Nasiri V, Esmailnia K, Karim G, Nasir M, Akhavan O (2009) Intestinal parasitic infections among inhabitants of Karaj City, Tehran province, Iran in 2006–2008. Korean J Parasitol 47: 265–268. doi: 10.3347/kjp.2009.47.3.265
113.Ashrafi K, Tahbaz A, Rahmati B (2010) Strongyloides stercoralis: The Most Prevalent Parasitic Cause of Eosinophilia in Gilan Province, Northern Iran. Iran J Parasitol 5: 40–47.
114.Huminer D, Symon K, Groskopf I, Pietrushka D, Kremer I, et al. (1992) Seroepidemiologic study of toxocariasis and strongyloidiasis in institutionalized mentally retarded adults. Am J Trop Med Hyg 46: 278–281.
115.Hira PR, Al-Ali F, Shweiki HM, Abdella NA, Johny M, et al. (2004) Strongyloidiasis: challenges in diagnosis and management in non-endemic Kuwait. Ann Trop Med Parasitol 98: 261–270. doi: 10.1179/000349804225003299
116.Vannachone B, Kobayashi J, Nambanya S, Manivong K, Inthakone S, et al. (1998) An epidemiological survey on intestinal parasite infection in Khammouane Province, Lao PDR, with special reference to Strongyloides infection. Southeast Asian J Trop Med Public Health 29: 717–722.
117.Guarner J, Matilde-Nava T, Villasenor-Flores R, Sanchez-Mejorada G (1997) Frequency of intestinal parasites in adult cancer patients in Mexico. Arch Med Res 28: 219–222.
118.Agi PI (1997) Comparative helminth infections of man in two rural communities of the Niger Delta, Nigeria. West Afr J Med 16: 232–236.
119.Dada-Adegbola HO, Bakare RA (2004) Strongyloidiasis in children five years and below. West Afr J Med 23: 194–197. doi: 10.4314/wajm.v23i3.28119
120.Gotuzzo E, Terashima A, Alvarez H, Tello R, Infante R, et al. (1999) Strongyloides stercoralis hyperinfection associated with human T cell lymphotropic virus type-1 infection in Peru. Am J Trop Med Hyg 60: 146–149.
121.Roldan WH, Espinoza YA, Huapaya PE, Huiza AF, Sevilla CR, et al. (2009) Frequency of human toxocariasis in a rural population from Cajamarca, Peru determined by DOT-ELISA test. Rev Inst Med Trop Sao Paulo 51: 67–71. doi: 10.1590/s0036-46652009000200002
122.Panaitescu D, Capraru T, Bugarin V (1995) Study of the incidence of intestinal and systemic parasitoses in a group of children with handicaps. Roum Arch Microbiol Immunol 54: 65–74.
123.Gherman I, Oproiu A, Aposteanu G, Constantinescu M, Cociasu S, et al. (1989) [Observations on 35 cases of strongyloidiasis hospitalized at a clinical digestive disease unit]. Rev Med Interna Neurol Psihiatr Neurochir Dermatovenerol Med Interna 41: 169–178.
124.Roman-Sanchez P, Pastor-Guzman A, Moreno-Guillen S, Igual-Adell R, Suner-Generoso S, et al. (2003) High prevalence of Strongyloides stercoralis among farm workers on the Mediterranean coast of Spain: analysis of the predictive factors of infection in developed countries. Am J Trop Med Hyg 69: 336–340.
125.Sanchez PR, Guzman AP, Guillen SM, Adell RI, Estruch AM, et al. (2001) Endemic strongyloidiasis on the Spanish Mediterranean coast. QJM 94: 357–363. doi: 10.1093/qjmed/94.7.357
126.Gbakima AA, Sahr F (1995) Intestinal parasitic infections among rural farming communities in eastern Sierra Leone. Afr J Med Med Sci 24: 195–200.
127.Magambo JK, Zeyhle E, Wachira TM (1998) Prevalence of intestinal parasites among children in southern Sudan. East Afr Med J 75: 288–290.
128.Kasuya S, Khamboonruang C, Amano K, Murase T, Araki H, et al. (1989) Intestinal parasitic infections among schoolchildren in Chiang Mai, northern Thailand: an analysis of the present situation. J Trop Med Hyg 92: 360–364.
129.Sithithaworn P, Srisawangwong T, Tesana S, Daenseekaew W, Sithithaworn J, et al. (2003) Epidemiology of Strongyloides stercoralis in north-east Thailand: application of the agar plate culture technique compared with the enzyme-linked immunosorbent assay. Trans R Soc Trop Med Hyg 97: 398–402. doi: 10.1016/s0035-9203(03)90069-1
130.Jongwutiwes S, Charoenkorn M, Sitthichareonchai P, Akaraborvorn P, Putaporntip C (1999) Increased sensitivity of routine laboratory detection of Strongyloides stercoralis and hookworm by agar-plate culture. Trans R Soc Trop Med Hyg 93: 398–400. doi: 10.1016/s0035-9203(99)90132-3
131.Knopp S, Mohammed KA, Rollinson D, Stothard JR, Khamis IS, et al. (2009) Changing patterns of soil-transmitted helminthiases in Zanzibar in the context of national helminth control programs. Am J Trop Med Hyg 81: 1071–1078. doi: 10.4269/ajtmh.2009.09-0377
132.Knopp S, Mgeni AF, Khamis IS, Steinmann P, Stothard JR, et al. (2008) Diagnosis of soil-transmitted helminths in the era of preventive chemotherapy: effect of multiple stool sampling and use of different diagnostic techniques. PLoS Negl Trop Dis 2: e331. doi: 10.1371/journal.pntd.0000331
133.Kawai K, Saathoff E, Antelman G, Msamanga G, Fawzi WW (2009) Geophagy (Soil-eating) in relation to Anemia and Helminth infection among HIV-infected pregnant women in Tanzania. Am J Trop Med Hyg 80: 36–43.
134.Goswami ND, Shah JJ, Corey GR, Stout JE (2009) Persistent eosinophilia and Strongyloides infection in Montagnard refugees after presumptive albendazole therapy. Am J Trop Med Hyg 81: 302–304.
135.Salazar SA, Gutierrez C, Berk SL (1995) Value of the agar plate method for the diagnosis of intestinal strongyloidiasis. Diagn Microbiol Infect Dis 23: 141–145. doi: 10.1016/0732-8893(95)00247-2
136.Fulmer HS, Huempfner HR (1965) Intestinal helminths in eastern kentucky: a survey in three rural counties. Am J Trop Med Hyg 14: 269–275.
137.Kitchen LW, Tu KK, Kerns FT (2000) Strongyloides-infected patients at Charleston area medical center, West Virginia, 1997–1998. Clin Infect Dis 31: E5–E6. doi: 10.1086/314022
138.Phillips SC, Mildvan D, William DC, Gelb AM, White MC (1981) Sexual transmission of enteric protozoa and helminths in a venereal-disease-clinic population. N Engl J Med 305: 603–606. doi: 10.1056/nejm198109103051102
139.Ungar BL, Iscoe E, Cutler J, Bartlett JG (1986) Intestinal parasites in a migrant farmworker population. Arch Intern Med 146: 513–515. doi: 10.1001/archinte.1986.00360150127015
140.Hubbard DW, Morgan PM, Yaeger RG, Unglaub WG, Hood MW, et al. (1974) Intestinal parasite survey of kindergarten children in New Orleans. Pediatr Res 8: 652–658. doi: 10.1203/00006450-197406000-00006
141.Winsberg GR, Sonnenschein E, Dyer AR, Schnadig V, Bonilla E (1975) Prevalence of intestinal parasites in Latino residents of Chicago. Am J Epidemiol 102: 526–532.
142.Eveland LK, Kenney M, Yermakov V (1975) Laboratory diagnosis of autoinfection in strongyloidiasis. Am J Clin Pathol 63: 421–425.
143.Buchwald D, Lam M, Hooton TM (1995) Prevalence of intestinal parasites and association with symptoms in Southeast Asian refugees. J Clin Pharm Ther 20: 271–275. doi: 10.1111/j.1365-2710.1995.tb00662.x
144.Franco-Paredes C, Dismukes R, Nicolls D, Hidron A, Workowski K, et al. (2007) Persistent and untreated tropical infectious diseases among Sudanese refugees in the United States. Am J Trop Med Hyg 77: 633–635.
145.Genta RM, Weesner R, Douce RW, Huitger-O'Connor T, Walzer PD (1987) Strongyloidiasis in US veterans of the Vietnam and other wars. JAMA 258: 49–52. doi: 10.1001/jama.258.1.49
146.Nutman TB, Ottesen EA, Ieng S, Samuels J, Kimball E, et al. (1987) Eosinophilia in Southeast Asian refugees: evaluation at a referral center. J Infect Dis 155: 309–313. doi: 10.1093/infdis/155.2.309
147.Kim JH, Yoon JJ, Lee SH, Seo BS (1970) Parasitologial Studies Of Korean Forces In South Vietnam: II. A Comparative Study on The Incidences Of Intestinal Parasites. Kisaengchunghak Chapchi 8: 30–35. doi: 10.3347/kjp.1970.8.1.30