Gần đây, một ca bệnh đặc biệt tụ máu do dịch hoại tử của tổn thương do sán lá gan gây ra được đăng tải trên y văn thế giới do nhóm tác giả Javier González Llorente, Almudena Herrero Domingo và Pablo Carrero González tại bệnh viện đa khoa Segovia, Tây Ban Nha trình bày. Trước khi đi vào trình bày ca bệnh, chúng tôi muốn nhấn mạnh về tình trạng của bệnh sán lá gan lớn dễ chẩn đoán nhầm với một số tổn thương khác, nhất là các khối máu tụ, giả máu tụ, hoại tử do abces vi trùng sinh mủ, do E.histolytica,…Nhờ có siêu âm, CT scanner, công thức máu tổng quát và một số phương tiện chẩn đoán huyết thanh học,… thậm chí cả nội soi mật tụy ngươc dòng giúp ích cho rất nhiều trong chẩn đoán xác định, nhất là trường hợp có biến chứng hoặc vị trí lạc chỗ lại càng khó hơn.
Trình bày ca bệnh
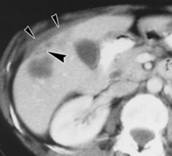
Một phụ nữ 47 tuổi đến viện sau khi đã qua 2 cơn đau bụng phía bên phải. Bà ta không có tiền sử sốt, không có gan lớn qua thăm khám thực thể. Bà ta không bị sốt, không có gan lớn sau khi thăm khám lâm sàng. Các dữ liệu xét nghiệm về sinh hóa, huyết học và tế bào đều cho kết quả bình thường, ngoại trừ có tăng bạch cầu eosin lên đến 11%. Chụp CT scan cho thấy các hình ảnh giảm âm nhiều ổ trên khắp bề mặt gan của bệnh nhân. Một hình ảnh abcès hoại tử nằm ở vùng trước của gan phải, góc và có hình ảnh các nốt giảm âm. Các tổn thương có hình ảnh dạng nốt hoại tử, bờ vằn vèo như xoắn, cả ở vị trí dưới bao gan và nghi ngờ là sán lá gan lớn. Tiến hành chọc sinh thiết bằng kim nhỏ nhằm nghiên cứu về góc độ tế bào kết quả cho thấy hình ảnh hoịa tử xuất huyết và thâm nhiễm các tế bào viêm lymphocyte và tăng số bạch cầu đáng kể, một trong số chúng là các bạch cầu ái toan. Chọc lấy dịch một phần từ ổ dịch dưới bao gan cho thấy hình ảnh dịch màu vàng đục không kèm theo máu. Phân tích tế bào học thì đây là các tế bào viêm của tổn thương nhu mô gan. Nuôi cấy dịch này không thấy xuất hiện tác nhân gây bệnh. Khi đặt ra vấn đề như vậy, hỏi đến tiền sử bệnh cho biết bà ta cũng thuowngf ăn rau cải xoong, tiến hành làm huyết thanh chẩn đoán dương tính Fasciola hepatica với hiệu giá 1/12.560. | Hình ảnh tổn thương gan do sán lá gan lớn trên phụ nữ 47 tuổi, hình ảnh chụp CT scan cho thấy khối abces ngoại biên dưới bao gan (mũi tên), vong bao gan biến dạng. Khối abces nằm ở góc sát với tổn thương gan, dày lên ở vùng bao. |
Trong những vùng lưu hành bệnh, người thường xuyên bị nhiễm bởi F. hepatica. Hai giai đoạn đã được mô tả theo khía cạnh lâm sàng của bệnh sán lá gan lớn ở người. Giai đoạn đầu tiên liên quan đến quá trình xâm nhập nhu mô gan. Trong quá trình giai đoạn thứ 2, hay còn gọi là pha hệ đường mật và khi đó ký sinh trùng tiếp tục nằm trong đường mật nhiều năm nữa. CT là một công cụ hữu ích trong chẩn đoán bệnh sán lá gan lớn giai đoạn xâm nhập. Nếu các tổn thương đặc trưng được nhìn thấy đi kèm với tình trạng tăng bạch cầu ái toan thì có lẽ chẩn đoán nhiễm sán F. hepatica là có thể. Một số trường hợp có biến chứng trên lâm sàng hoặc các đặc điểm không điển hình cho một ca bệnh cũng đã được báo cáo trong thời gian gần đây. Điều thú vị về bệnh nhân này là hình ảnh CT biểu hiện một tổn thương rất lớn với một ổ xuất huyết hoại tử dưới bao gan mà theo họ chưa bao giờ gặp ở những ca bệnh trước đây.
Trong giai đoạn xâm nhập, sán di chuyển khắp nhu mô gan và vào trong đường mật và sẽ quy kết các thay đổi về tỏn thương bệnh học do sán lá gan lớn. Không giống như những tổn thương riêng rẻ trên những cá nhân có liên quan đến các absces sinh mủ, các microabsces ở gan gây ra do F. hepatica không kết hợp thành một nhóm (coalesce) là khoang abces lớn. Chúng có xu hướng không gia tăng kích thước và nói chung phát triển chậm. Sự khác biệt giữa abces gan do vi khuẩn sinh mủ và các tổn thương gan do sán lá gan có thể giải thích theo hình ảnh của tổn thương do sán, có các hình ảnh hoại tử hơn là quá trình sinh mủ.
Bàn luận qua ca bệnh
F.hepatica phải đi xuyên qua bao gan Glisson từ khoang phúc mạc vào nhu mô gan. Do đó, bất kỳ khi nào gan bị liên quan, bao gan và vùng nhu mô gần bao gan cũng luôn luôn bị ảnh hưởng. 2 loại tổn thương gan và vùng dưới bao gan biểu hiện rõ có thể nhìn thấy rõ trên hình ảnh CT.
Loại tổn thương thứ nhất là chùm tổn thương gồm nhiều vùng chứa các nốt nhỏ giảm âm (hypodense nodular).
Loại tổn thương thứ 2 đặc hiệu hơn, loại tổn thương có hình ảnh giảm âm (hypodense), với các đường ngoằn nghoèo như hình con rắn trên phim chụp CT. Sự xuất hiện trên CT các hình ảnh bao gan dày và nhu mô gan giảm nhiều cũng được mô tả như thể hình ảnh CT của bệnh sán lá gan lớn đặc trưng. Một hình ảnh tụ máu dưới bao gan lớn đơn thuần sẽ không đặc trưng cho bệnh sán lá gan lớn. Một hình ảnh tụ máu dưới bao gan có xuất huyết có thể là một biến chứng trong giai đoạn sán xâm nhập. Trong trường hợp hiếm, chảy máu có thể đe dọa tính mạng bệnh nhân vì độ trầm trọng và khả năng chảy máu tái phát. Sự liên quan của u máu dưới bao gan kèm theo tăng bạch cầu ái toan tăng cao sẽ đề nghịhoặc là viêm đa động mạch nút (polyarteritis nodosa) hoặc sán lá gan giai đoạn xâm nhập. Trong giới hạn với sự hiểu biết của nhóm nghiên cứu, một tổn thương dưới bao gangây ra bởi sán lá gan lớn gây abces dường như hiếm khi được báo cáo trong y văn.
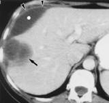
Thông thường một bệnh nhân có khối máu tụ dưới bao gan như thế sẽ có cơn đau cấp tính và trên CT sẽ cho hình ảnh giảm âm giúp cho chẩn đoán. Tuy nhiên, CT của một khối máu tụ không phải cấp tínhlà một trường hợp tương tự như viêm: cả hình ảnh giảm âm dưới bao gan. Mặt khác, không thấy dấu hiệu thiếu máu và bao gan dày lên giảm đậm độ xung quanh có thể giúp xác định loại trừ nguyên nhân khác. Nếu vẫn còn nghi ngờ, cần thiết phải chọc dò kim nhỏ để giúp chẩn đoán xác định tốt hơn.  | Hình ảnh trên CT cho thấy các đường vòng, vết xoắn vặn (đặc điểm của sán lá gan lớn) và chùm tổn thương dạng nốt nhỏ, kể cả vị trí dưới bao gan và khi đó bao gan vẫn còn nhìn thấy. |
Nhân ca bệnh nói trên, chúng tôi cũng xin chia sẻ một số khía cạnh liên quan đến chẩn đoán và điều trị các khối abscess dưới bao gan như thế. Trong thời gian từ tháng 5/2004 đến 12/2009 theo số liệu thống kê không đầy đủ, chúng tôi ghi nhận trên 50 trường hợp (trong tổng số trên 10.000 trường hợp điều trị sán lá gan lớn) đến Viện Sốt rét KST- CT Quy Nhơn và một số bệnh viện tỉnh và huyện trong khu vực miền Trung-Tây Nguyên có khối giả máu tụ (pseudohematome) dưới bao gan, kích thước các khối dịch viêm-hoại tử do sán này dao động trong khoảng 1.2cm đến 4.6cm đường kính, có trường hợp không hề biểu hiện triệu chứng lâm sàng nào, có ca biểu hiện dấu hiệu tức và nặng ngực. Về mặt điều trị, dường như các ca bệnh đều đáp ứng tốt với liệu pháp điều trị nội khoa với các thuốc đặc hiệu triclabendazole, bithionol, kèm theo thuốc chống viêm và đôi khi dùng cả corticoides, không phải trường hợp nào cũng dùng đến thuốc kháng sinh để phòng bội nhiễm; can thiệp ngoại khoa có lẽ không cần thiết trừ khi có dấu hiệu ổ lớn đe dọa tính mạng bệnh nhân.
Tài liệu tham khảo
1.Huỳnh Hồng Quang (2005). “Hội chứng tăng bạch cầu eosin trong các bệnh lý nhiễm ký sinh trùng ở người”. http://www.impe-qn.org.vn.
2.Nguyễn Văn Văn, Huỳnh Hồng Quang (2009). Nhân 1 trường hợp nhiễm sán lá gan lớn F.gigantica gây biến chứng tác mật vàng da. Tạp chí y dược lâm sàng 108, ISSN 1859-2872, tập 4, số đặc biệt, tháng 10/2009, tr. 183-188
3.Nguyễn Văn Văn, Huỳnh Hồng Quang (2009). Sán lá gan lớn gây biến chứng ứ mật và chảy máu đường mật. Tạp chí y dược học quân sự, ISSN 1859-0748, Vol.34, số 9, số đặc biệt, tháng 9/2009, tr. 62-65.
4.Sauvage PJ, Dhers A, Sauzedde JM. Subcapsular hematoma of the liver complicating hepatic fascioliasis. J Radiol 1996;77:583 -584.
5.Rangheard AS, N'Sendra P, Dahan H, Tubiana JM, Arrive L. Peritoneal location of fascioliasis mimicking a peritoneal carcinomatosis. J Comput Assist Tomogr 1999;23:699 -700.