Suy thận cấp (Acute renal failure_ARF) hầu như được phát hiện trên những ca nhiễm trùng Plasmodium falciparum, nhưng P. vivax và P.malariae thỉnh thoảng cũng có thể góp phần vào gây nên suy thận hoặc giảm chức năng thận.
ARF do sốt rét thường nhìn thấy trên các đối tượng bệnh nhân người lớn không có miễn dịch và trewr em lớn tuổi bị sốt rét P. falciparum. Sự xuất hiện của ARF trên sốt rét ác tính (SRAT) thường gặp trên các vùng bán lục địa của Ấn Độ và Đông Nam Á, nơi mà cường độ lan truyền sốt rét thường thấp với các ổ dịch nhỏ lan truyền bệnh không đáng kể (microfoci of intense transmission). Vì cơ chế chính xác của ARF vẫn còn chưa rõ, nên một số giả thuyết như cơ chế tắc nghẽn cơ học do các ký sinh trùng bị ký sinh, cơ chế bệnh lý ống thận và cầu thận qua trung gian miễn dịch, mất thể tích dịch do đa cơ chế và sự thay đổi trong hệ vi tuần hoàn ở thận, …đã được đưa ra bởi các chuyên gia. Chỉ định dịch truyền tăng, nhiễm độc oxygen và các yếu tố chưa xác định khác có thể góp phần vào phù phổi, hội chứng suy hô hấp cấp (Acute respiratory distress syndrome_ARDS), suy đa cơ quan và tử vong. Điểm cốt lõi trong điều trị bao gồm liệu pháp thuốc sốt rét thích hợp, thay thế dịch và liệu pháp thay thế cho thận. Kỹ thuật dùng thuốc lợi tiểu có thể cho kết quả phản nghịch đến suy thận thiểu niệu đến suy thận vô niệu mà không có một hậu quả tác động nào mặc dù sụ đảo ngược làm giảm nguy cơ quá tải dịch truyền. Có một số ít bằng chứng về hiệu quả có lợi do các thuốc hoạt mạch. Các thuốc gây độc cho thận như thuốc ức chế men chuyển (ACE inhibitors), thuốc kháng viêm NSAIDs, aminoglycosides, cephalosporins nên tránh dùng. Hiện tại, các khâu chăm sóc tích cực chất lượng cao, can thiệp liệu pháp thay thế thận sớm và tránh các thuốc gây độc tính cho thận là các thực hành chuẩn trong dự phòng và quản lý ARF.
Giới thiệu:
Sốt rét gây ra bởi ít nhất 5 loài ký sinh trùng thuộc giống Plasmodium lần lượt tên gọi là P. vivax, P. falciparum, P. malariae, P. ovale và loài thứ 5 truyền bệnh từ khỉ sang người P. knowlesi (WHO, 2013). Biểu hiện lâm sàng thông thường do các loài Plasmodia là cơn bộc phát từng giai đoạn, run lạnh, rét run, ra mồ hôi, đau toàn thân, đau đầu, buồn nôn, mỏi yếu toàn thân, kiệt sức. các biến chứng đe dọa tính mạng nghiêm trọng như sốt rét ác tính thể não (Cerebral malaria_CM), thiếu máu nặng, toan chuyển hóa, suy hô hấp, vàng da, suy thận cấp, hội chứng suy hô hấp cấp (Acute respiratory distress syndrome_ARDS), …xảy ra hầu hết do nhiễm trùng P. falciparum. Một số báo cáo cho thấy mối liên quan giữa các biến chứng nặng của sốt rét với nhiễm trùng P. vivax.
Gần đây, các biến chứng đe dọa tính mạng do nhiễm trùng P. knowlesi đã được báo cáo ở người. Các vấn đè liên quan đến thận báo cáo trên nhiễm trùng P. falciparum, P. malariae và P. vivax gần đây. Bệnh lý thận liên quan với P. malariae đã được báo cáo chủ yếu tại châu Phi, trước những năm 1980. Các ấn bản về suy thận liên quan đến P. vivax quá ít và không xác định thuyết phục và không tổng kết một cách chi tiết. Do vậy, suy thận liên quan đến sốt rét do P. falciparum sẽ được tổng kết chi tiết và các vấn đề về thận do P. malariae và P. vivax sẽ được tóm lược.
Các liên quan đến thận do nhiễm trùng P. malariae:
Tỷ lệ bệnh lý viêm cầu thận tiến triển cao hơn có ý nghĩa ở các vùng lưu hành sốt rét của châu Phi. P. malariae được xem là một nguyên nhân quan trọng của bệnh lý thận do sốt rét mạn tính (quartan malarial nephropathy). Tần suất bệnh lý viêm cầu thận tăng sinh giảm dần theo sự loại trừ sốt rét ở một số nơi của châu Phi. Bệnh ảnh hưởng lên hầu hết trẻ em và như một hội chứng thận đề kháng steriod (steroid-resistant nephrotic syndrome).
Cơ chế bệnh sinh có thể thông qua trung gian sự lắng đọng phức hợp miễn dịch. Các quan sát về mô bệnh học gồm có đặc điểm về mao mạch cầu thận (mesangiocapillary glomerular), sự lắng đọng phức hợp miễn dịch dưới lớp nội mô chứa các IgG, bổ thể C3 và các kháng nguyên sốt rét. Tiến triển bệnh đến suy thận ngay cả sau khi điều trị thành công nhiễm trùng sốt rét. Bệnh lý thận do sốt rét cách 3 ngày được báo cáo chủ yếu ở châu Phi. Tuy nhiên, hầu hết các bằng chứng về bệnh lý này lại biết tường tận liên quan đến nhiễm trùng P. malariae.
Một nghiên cứu gần đây trên trẻ em Ghana không lưu ý đến bằng chứng về vai trò nổi trội của bệnh lý cầu thận vùng nhiệt đớ i kháng steroid. Các xét nghiệm về mô bệnh học gồm có hoại tử cầu thận từng đoạn hay từng ổ (focal and segmental glomerulosclerosis) và bệnh thay đổi tối thiểu.
Viêm cầu thận tăng sinh màng không có trong hầu hết các ca bệnh. Người ta kết luận rằng một mô hình đồng nhất không được đúc kết khắp châu Phi. Một tổng hợp khác gần đây về họi chứng thận sốt rét có liên quan đến thận do P. malariae chỉ là tình cờ và báo cáo hầu hết trước năm 1975. Gần đây, cũng không có bằng chứng bệnh lý cầu thận sốt rét mạn tính trên trẻ em châu Phi với hội chứng thận rõ ràng.
Các vấn đề về thận liên quan nhiễm trùng P. vivax:
Liên quan đến thận do sốt rét P. vivax đã được báo cáo hầu hết tại tiểu lục địa Ấn Độ. Một trong các nghiên cứu gần đây nhất, Mehta và cộng sự đã mô tả rằng trong số 24 bệnh nhân sốt rét có hội chứng suy thận cấp, thì có 16 người nhiễm P. falciparum, 3 ca nhiễm P. vivax và 5 người nhiễm phối hợp P. falciparum và P. vivax. Trong phân tích hồi cứu, 13 trong số 93 bệnh nhân vị ARF là nhiễm P. vivax, trong khi đó 6 ca khác nhiễm phối hợp P. falciparum và P. vivax. Nhồi máu thận dẫn đến hoại tử ống thận cấp được xem là nguyên nhân cơ chế chính dẫn đến suy thận. Bằng chứng liên quan đến thận đáng chú ý trong 2 ca nhiễm trùng P. vivax trong tổng số 81 ca ARF do sốt rét trong một nghiên cứu khác. Một nghiên cứu từ Karachi, Pakistan, 3 trong số 124 ca ARF sốt rét nhiễm trùng P. vivax trong khi 121 ca còn lại nhiễm P. falciparum.
Các đặc điểm lâm sàng hiếm như suy thận cấp, bệnh lý não tăng ure máu và giảm tiểu cầu được báo cáo trên bệnh nhi 8 tuổi nhiễm P. vivax. Hình ảnh lâm sàng của sốc nhiễm độc cho thấy có đông máu nội mạch rải rác (Disseminated intravascular coagulation_DIC) với giảm tiểu cầu đáng kể, suy thận thiểu niệu và phù phổi tìm thấy trên sốt rét P. vivax tại Hàn Quốc.
Các vấn đề về thận liên quan nhiễm trùng P. knowlesi:
Loài ký sinh trùng sốt rét truyền từ khỉ sang người, một vấn đề thời sự liên quan đến loài P. knowlesi đã gây ra nhiều ca bệnh SRAT và tử vong trên người; liệu pháp điều trị tối ưu vẫn chưa rõ ràng. Trong phổ lâm sàng cho thấy biểu hiện rất đa dạng, nhất là các ca SRAT tại các bang Malaysia, Singapore, Indonesia từng báo cáo sau khi có thẩm định lại bằng PCR là nhiễm đơn thuần một loài P. knowlesi. Trong số 22 (39%) trường hợp SRAT có 6 (27%) tử vong, 13 (59%) ca có suy hô hấp, 12 (55%) suy thận cấp và 12 ca có sốc, chưa thấy hôn mê. Các bệnh nhân này được điều trị bằng thuốc quinine tiêm tĩnh mạch, hay artesunate cho thời gian sạch KSTSR chỉ trong 1-2 ngày ngắn hơn so với điều trị artemether-lumefantrine. Hiện tại, với các dữ liệu cho thấy P. knowlesi là một nguyên nhân chính gây SRAT và tử vong tại Sabah. Các dẫn suất artemisinins làm sạch nhanh KSTSR và cho hiệu lực cao trên các ca sốt rét thường và SRAT do P. knowlesi (William T và cs., 2011).
Một báo cáo khác về SRAT và tử vong do P. knowlesi với các mô tả sau khi giải phẩu tử thi (Janet Cox-Singh và cs., 2013) cho thấy đây là báo cáo đầu tiên tử vong do loài này có mô tả tử thiết trên một bệnh nhân nam 40 tuổi có tiền sử vào rừngNorth Borneo. Khaongr 4 ngày sau khi nhập viện, bệnh nhân có tình trạng suy tuần hoàn và tử vong sau 2 giờ, biểu hiện hạ natri máu và tăng ure máu, tăng kali, Lactate dehydrogenase và men gan. Kèm theo giảm tiểu cầu và tăng bạch cầu ái toan, mật độ KSTSR rất cao, nhiễm đơn thuần P. knowlesi qua xác định nested-PCR. Giải phẩu bệnh lý đại thể não và nội tâm mạc cho thấy xuất huyết dạng chấm đa điểm, gan và lách lớn, phổi biểu hiện ARDS. Vi thể cho thấy hiện tượng ẩn cư các hồng cầu nhiễm ký sinh trùng trong các mạch máu của não, tiểu não, tim và thận không kèm theo bằng chứng phản ứng viêm mạn tính trong não hay bất kỳ cơ quan nào khác. Phân tích não cho thấy không có hiện tượng ICAM-1. Lách và gan có nhiều hạt pigment chứa đại thực bào và hồng cầu bị ký sinh. Thận có bằng chứng hoại tử ống thận cấp và các tế bào nội mô trong mô tim tách ra rất nhiều.
Một nghiên cứu gần đây cũng cho thấy về hình ảnh lâm sàng và xét nghiệm của các ca nhiễm P. knowlesi (Cyrus Daneshvar và cs., 2013) qua một nghiên cứu tổng thể các bệnh nhân nữ trưởng thành mang thai nhập viện được xác định nhiễm P. knowlesi tại bệnh viện Kapit (Sarawak, Malaysia). Trong tổng số 152 bệnh nhân đưa vào, có 107 (70%) nhiễm P. knowlesi, Các bệnh nhân nhiễm P. knowlesi biểu hiện sốt không đặc hiệu, mật độ KSTSR trong máu trung bình lúc nhập viện là 1387 /µL và tất cả đều giảm tiểu cầu lúc nhập viện hoặc vào ngày hôm sau. Hầu hết (93,5%) bệnh nhân nhiễm P. knowlesi là sốt rét chưa biến chứng đáp ứng tốt chloroquine và primaquine. Số còn lại 6,5% là SRAT P. knowlesi với biến chứng chủ yếu là suy hô hấp, tăng creatinin và bilirubine vào thời điểm nhập viện.
Nghiên cứu về các chỉ điểm cận lâm sàng về độ nặng của bệnh do nhiễm trùng P. knowlesi qua một nghiên cứu bệnh chứng (Matthias Willmann và cs., 2013). Sốt rét do P. knowlesi gây SRAT khoảng 10% số ca tại Malaysian Borneo và tỷ lệ tử vong 1 - 2%. Tuy nhiên, các chỉ điểm cận lâm sàng có thể xác định nguy cơ hình thành các biến chứng mà chưa được đánh giá toàn vẹn như đối với loài P. falciparum.
Nghiên cứu bệnh chứng tiến hành tại hai bệnh viện ở Sarikei và Sibu, Malaysian Borneo. Trong số 110 bệnh nhân, sốt rét chưa biến chứng là 93 và SRAT là 17 ca P. knowlesi. Đếm chỉ số bạch cầu neutrophil chứa hạt pigment chuẩn (Standardized pigment-containing neutrophil_PCN), mật độ KST và tiểu cầu được xác định và phân tích hồi quy logistic. Kết quả cho thấy chỉ số PCN liên quan chặt chẽ với nguy cơ mức độ nặng của bệnh. Các bệnh nhân có mật độ KSTSR cao (≥ 35.000/μl) hay giảm tiểu cầu (≤ 45.000/μl) cũng là chỉ điểm có thể hình thành các biến chứng (OR = 9.93 và OR = 5.27).
Dịch tễ học
Vì nguyên nhân của ARF hầu như xảy ra do nhiễm trùng P.falciparum, nên bài thảo luận này đi sâu đề cập và bàn luận liên quan ARF do nhiễm trùng P. falciparum. ARF là một trong những biến chứng nghiêm trọng và hay gặp trong sốt rét do P. falciparum trên các người không có miễn dịch và các trẻ em lớn tuổi. Tỷ lệ ARF trên sốt rét ác tính (SRAT) do P. falciparum cao hơn vài lần trên những bệnh nhân sống các vùng không lưu hành so với các vùng lan truyền sốt rét cao. ARF do sốt rét đã được báo cáo từ một số quốc gia châu Âu, nơi mà lan truyền sốt rét hầu như không xảy ra. Tỷ lệ ARF theo một báo cáo cao như SRAT thể não.
Ngược laị, tỷ lệ ARF trong P. falciparum vắng mặt hay rất thấp tại các vùng sốt rét lưu hành ở sa mạc Sahara, châu Phi, đặc biệt từ các quốc gia có vùng lan truyền sốt rét cao, nơi mà các trẻ em nhỏ bị ảnh hưởng nghiêm trọng. Một tỷ lệ lớn bệnh nhân bị ARF do sốt rét nhập viện tại Ethiopia gồm có các du khách không có miễn dịch. Tuy nhiên, trong những năm gần đây, ARF do sốt rét có liên quan đến tỷ lệ mắc bệnh và tử vong được báo cáo nhiều hơn trên các trẻ em châu Phi có tình trạng bán miễn dịch.
Sự xuất hiện ARF trong sốt rét do P. falciparum thường gặp tại Đông Nam Á và tiểu lục địa Ấn Độ, nơi mà cường độ lan truyền sốt rét thường thấp, thỉnh thoảng có ổ nhỏ lan truyền cao đột ngột (microfoci of intense transmission). Tỷ lệ ARF do sốt rét đã được báo cáo tại Việt Nam. Các nghiên cứu tiếp sau đó đã chứng minh tỷ lệ cao hơn các báo cáo trước đây. SRAT trên các đối tượng trưởng thành người Việt Nam thường là bệnh hệ thống, ở đó hơn 40% số ca SRAT có ARF và hơn 55% ca tử vong có liên quan đến ARF lúc nhập viện mà tăng lên 70% vào thời điểm bệnh nhân tử vong. Tương tự, một tỷ lệ bệnh nhân SRAT ở Thái Lan bị ARF có ý nghĩa.
Tỷ lệ cao ARF cũng được báo cáo từ các quốc gia khác trong Đông Nam Á. ARF tăng chuyển hóa có liên quan đến SRAT thể não, mật độ ký sinh trùng sốt rét cao và tăng bilirubine máu cao đáng chú ý trên các bệnh nhân Malaysia. ARF góp mặt trong 23,3% số bệnh nhân SRAT nhập viện tại Campuchia. Hôn mê giai đoạn III và suy đa phủ tạng là các nguyên nhân chính dẫn đến tử vong. Một tỷ lệ quan trọng về bệnh nhân SRAT tại Singapore bị ARF.
Tại Ấn Độ, các biến chứng của sốt rét P. falciparum xảy ra trên hầu hết các nhóm tuổi nhưng tần suất các biến chứng khác nahu trên các bệnh nhân là người lớn và trẻ em cũng khác nhau. SRAT thể não xảy ra bằng nhau về tỷ lệ trên trẻ em và người lớn và là nguyên nhân hay gặp dẫn đến tử vong. Thiếu máu ác tính và co giật thường gặp hơn, vàng da ít gặp hơn, ARF và ARDS hiếm xảy ra hơn trên các em nhỏ. Có một sự thay đổi có thể nhận biết trong hình thái lâm sàng của SRAT tại Ấn Độ trong 10-15 năm qua; một sự chuyển dịch dần dần từ một biến chứng sang nhiều biến chứng trên một bệnh nhân.
Ban đầy các ca SRAT thể não đơn thuần có biến chứng đặc trưng trên người lớn, nhưng hiện nay lại biểu hiện đa biến chứng trên một ca bệnh SRAT. Tỷ lệ tử vong trên SRAT thể não liên quan đến các biến chứng như vàng da và ARF cao gấp hai lần so với SRAT thể não đơn thuần. Một sự gia tăng đáng kể trong tỷ lệ ARF do sốt rét đã được báo cáo tại một số trung tâm khắp Ấn Độ.
Năm 1982, một nghiên cứu tại phía nam của bang Orissa ở phía đông Ấn Độ chỉ ra SRAT thể não biểu hiện đặc trưng của SRAT. Trong số 173 ca SRAT thể não, liên quan đến thận phát hiện là 6% và liên quan đến gan là 1%. Sau 20 năm, một nghiên cứu từ cùng vùng và cùng bệnh viện cho thấy 35% số ca SRAT do P. falciparum có biểu hiện ARF. Nghiên cứu cũng chỉ ra có một sự gia tăng về tỷ lệ ARF do sốt rét, từ 95 ca vào năm 1994 lên đến 215 ca vào năm 1998.
Trong một loạt nghiên cứu lớn khác ấn bản vào năm 1989, Mehta và cộng sự không tìm thấy ca nào suy thận đơn thuần trong số 425 ca sốt rét do P. falciparum. Sự lan truyền sốt rét ở phía nam Ấn Độ tương đối ít so với phía Đông và Trung Ấn Độ. Phù hợp với những điều nhắc đến trước đây, ARF do sốt rét tìm thấy thỉnh thoảng ở phía nam Ấn Độ. Tuy nhiên, trong quá khức gần đây, có một sự thay đổi đáng kể đáng lưu ý về xu hướng nhập viện của ARF. Trong khi ARF do nhiễm trùng Leptospira đang trên đà giảm, sốt rét đang có xu hướng như một nguyên nhân dẫn đến ARF. Tỷ lệ ARF do sốt rét cao cả trên trẻ em và người lớn đã được báo cáo tại một số trung tâm khắp quốc gia này.
Một suy luận hay gặp trong các nghiên cứu này là tỷ lệ ARF và vàng da đang tăng và sự phát triển đa biến chứng dẫn đến tỷ lệ tử vong tăng. Một báo cáo tương tự tại đơn vị chăm sóc tích cực của các bệnh viện tuyến trên cũng cho thấy sốt rét như một nguyên nhân quan trọng trong suy đa cơ quan (multiorgan failure_MOF) tại Ấn Độ và bất luận hay không qan tâm đến tử vong có liên quan đến hệ thống cơ quan cao hơn có ý nghĩa ở các đối tượng có hội chứng MOF cao hơn các đối tượng có suy một cơ quan hay không suy cơ quan. Các nghiên cứu từ Pakistan cũng báo cáo ARF do sốt rét góp phần đáng kể vào gánh nặng ARF tổng thể.
Cơ chế bệnh sinh
Cơ chế chính xác của ARF do sốt rét P. falciparum vẫn chưa biết hết. Một số giả thuyết gồm cơ chế tắc nghẽn cơ học do hồng cầu nhiễm, bệnh lý cầu thận qua trung gian phức hợp miễn dịch, mất dịch do nhiều cơ chế và sự thay đổi hệ thống vi tuần hoàn thận niệu,…đã được đưa ra. Sự kết dính các hồng cầu nhiễm P. falciparum (Infected red blood cells_IRBCs) với các tế bào nội mô mạch máu của các cơ quan khác nhau của người cùng với hiện tượng nở hoa hồng được coi là một cơ chế quan trọng của SRAT. Hiện tượng IRBCs ưu thế ẩn cư trong các vi mạch sâu và giường mao mạch của các cơ quan chính như não, phổi, gan, lách, ruột và thận.
Các protein liên đới đến các kháng nguyên bề mặt khác nhau (Variant surface antigens_ (VSA) trình diện kết dính qua trung gian trên bề mặt các IRBC của các hồng cầu nhiễm với các tiếp thụ thể nội mô mạch máu. Điều có ý nghĩa là nhiều IRBCs được tìm thấy trong các mạch máu thận của bệnh nhân sốt rét có ARF hơn là không có ARF. Tuy nhiên, sự ẩn cư của các IRBC kéo dài trong cầu thận và các mao mạch ống thận kẻsẽ ít hơn nhiều so với các mạch não. Do đó, sự góp phần của sự kết dính tế bào của IRBC và cục đông trong mao mạch dẫn đến sinh bệnh ARF trong sốt rét dường như là điểm quan trọng duy nhất.
Sự thâm nhiễm các tế bào đơn nhân trong tiểu cầu thận và hệ thống thận kẻ đã được báo cáo trên các mô thận trong SRAT do P. falciparum. Các nghiên cứu khác gần đây cũng đã chỉ ra các tế bào đơn nhân trong cầu thận và mao mạch quanh ống thận mặc dù số lượng bạch cầu khác nhau giữa nhóm có ARF và nhóm không có ARF không đáng kể. Sự tạo mép dinh các tế bào đơn nhân với lớp nội mô mạch máu não giai đoạn đầu của viêm đã được chỉ ra sớm trong một tỷ lệ đáng kể bệnh nhân. Sự hoạt hóa các tế bào đơn nhân tại chỗ vùng rìa bên trong cầu thận và các mao mạch quanh ống thận có thể do các phản ứng miễn dịch sinh ra bởi sự ly giải các cytokines, chất trung gian oxy hoat tính (reactive oxygen intermediates_ROI) và nitric oxide (NO) tại chỗ.
Các nghiên cứu tiếp theo về cơ chế và các tác động của vùng các tế bào bạch cầu đơn nhân gắn vào thành mạch máu trong giai đoạn đầu của chứng viêm cầu thận và các mao mạch quanh ống thận với sự tham chiếu đặc biệt ly giả tại chỗ các chất trung gian hòa tan sẽ giúp chúng ta hiểu biết về cơ chế bệnh sinh của ARF trong sốt rét. Đáp ứng miễn dịch quá mức của vật chủ được coi là một cơ chế quan trọng đối với một số biến chứng trong SRAT. Tương tác qua lại giữa vật chủ - ký sinh trùng có thể dẫn đến các đáp ứng về mặt cơ học, miễn dịch và đáp ứng thể dịch, trong khi loại bỏ ký sinh trùng cũng gây tổn thương mô vật chủ. Cytokines, ROI, and NO đóng vai trò quan trọng trong việc loại bỏ ký sinh trùng, dù đáp ứng không cân bằng có thể chịu trách nhiệm trong sinh bệnh của SRAT. Nồng độ hay mức các cytokines viêm, như yếu tố hoại tử mô (TNF-α), interferon gamma (IFN- γ), interleukins 1-alpha, 6 và 8 (IL-1α, IL-6 và IL-8) tăng lên trên các bệnh nhân sốt rét.
Nồng độ các chất cytokines tiền viêm được tìm thấy trong các ca SRAT. Các kháng thể anti-TNF-α và anti-IFN-γ ngăn chặn sự xuất hiện SRAT thể não trên mô hình thực nghiệm. Tuy nhiên, các tác động này không thể nhân lên trong sốt rét ở người, ngoại trừ sự cải thiện sốt. Sinh ROI và NO tăng thường tìm thấy trong sốt rét, nhưng bằng chứng về vai trò bảo vệ và bệnh sinh vẫn còn tranh luận. ROI được xem là đóng vai trò quan trọng trong cơ chế bảo vệ và bệnh sinh của sốt rét. Nồng độ của ROI trong máu cao hơn và hệ thống bảo vệ các chất chống oxy hóa bị giáng hóa cũng được ghi nhận trên các bệnh nhân sốt rét.
Tác động của NO lệ thuộc vào thời gian ly giải của nó và loại đồng phân ly giải ra. Trong khi có sự gia tăng sớm NO kích thích đáp ứng Th1 đến kiểm soát ký sinh trùng trong máu, tăng chậm sự sinh NO trong gan và lách dường như là một hậu quả bệnh học. Chức năng điều hòa của NO lệ thuộc vào sự có mặt của các isoforms của enzyme nitric oxide synthase (NOS) khác nhau. NOS chủ yếu (cNOS) chịu trách nhiệm tổng hợp liên tục chất NO trong nồng độ thấp đối với chức năng sinh lý. Ngược lại, các NOS suy diễn (inducible NOS_iNOS) tổng hợp nồng độ NO cao đóng vai trò chủ chốt trong hậu quả sinh bệnh.
Tăng hoạt tính iNOS và sinh NO được ghi nhận trong SRAT. Trong suốt giai đoạn trong hồng cầu, TNF- γ điều hòa tổng hợp NO hoặc là đơn lẻ hoặc phối hợp với các cytokine khác. Dòng máu tại chỗ hạn chế trong thận được xem là một yếu tố góp phần quan trọng đối với ARF do sốt rét. Lượng dịch đưa vào thấp, mất dịch do nôn và sốt mất nước có thể bị quy kết cho mất nước và thiếu máu thận. Lệ thuộc vào mức độ giảm truyền thận, điểm lâm sàng thay đổi từ thể nhẹ hơn giống như tăng ure huyết trước thận đến thể nặng hơn của ARF thiếu máu cục bộ.
Tăng ure huyết trước thận là một thể hay gặp của suy thận dẫn đến giảm dịch truyền vô thận từ mức độ nhẹ đến trung bình.
Điều cần làm là bảo tồn lưu lượng máu đến thận. Tuy nhiên, chỉ định dịch truyền tĩnh mạch thường làm xấu thêm tình trạng chung của bệnh nhân do phù phổi cấp, một tình trạng tương tự hội chứng sốc. Dãn mạch chung có liên quan đến giảm đề kháng mạch toàn thân được xem là yếu tố góp phần quan trọng cho sốc nhiễm trùng cũng như ARF. Dãn mạch dễ dẫn đến sự hoạt hóa hệ thần kinh giao cảm, trục rennin-angiotensin-aldosterone axis (RAAA) và ly giải vasopressin để duy trì huyết áp thấp xuống. Tiếc thay, cơ chế bồi hoàn thể tích và điện giải có thể làm nặng thêm bệnh lý thận dẫn đến rõ ràng trong khi hiệu quả của các nội tiết pressor để làm tăng huyết áp thông qua hình thành phát triển đề kháng mạch bị giảm do nồng độ acid lactic và ion H+ cao hơn.
Tăng lactate máu được xem là một chỉ điểm xấu cho tiên lượng trong nhiễm trùng cũng như trong sốt rét. ARF trong sốt rét có thể xảy ra như một biến chứng riêng biệt hoặc có thể trong phức hợp suy đa cơ quan. Sốc và suy đa cơ quan là một mối liên quan ARF do sốt rét thường gặp cũng như ARF do nhiễm trùng. Thực tế, các vấn đề tương tự đã được nhìn thấy trong nhiễm trùng cũng như SRAT khi biểu hiện hình thái lâm sàng và các bilan cytokines chỉ ra rằng 2 bệnh này có cơ chế rất giống nhau.
Dãn động mạch đi kèm nhiễm trùng là qua trung gian, ít nhất bởi điều hòa các cytokines lên sự trình diện chất iNOS trong hệ thống mạch máu. Nồng độ một số protein trọng lượng phân tử thấp hay trung bình giảm trong SRAT vì sự thoát mạch từ các khoang mạch máu vào trong khoang kẻ. Thậm chí, suy hô hấp được lưu ý trong thiếu máu SRAT có thể gây ra bởi giảm thể tích do hoạt mạch dãn mạch bởi sự dãn mạch hơn là suy hai thất do quá tải thể tích. Trên các bệnh nhân có thiếu máu nặng chỉ định albumin để mở rộng thể tích giảm tỷ lệ tử vong.
Tuy nhiên, các điểm khác không được chú ý như hạ huyết áp hay mất thể tích nghiêm trọng ở SRAT. Lượng dịch hấp thu vào thấp, mất dịch do nôn mửa, sốt ra mồ hôi, các cytokine và sự dãn mạch đông mạch qua trung gian NO đặc hiệu cơ quan ly giải ra NO, đề kháng với các nội tiết hoạt mạch, thiếu khí tế bào dẫn đến giảm tổng hợp ATP, dính tế bào của các PRBCs, …tất cả có thể góp phần đơn thuần hay phối hợp hướng đến ARF. Chỉ định dịch truyền quá nhiều, độc do quá nhiều oxy và một số yếu tố khác có thể góp phần vào phù phổi cấp, suy hô hấp cấp và hội chứng suy hô hấp cấp tính (Acute respiratory distress syndrome_ARDS), suy đa cơ quan và tử vong.
Mô bệnh học
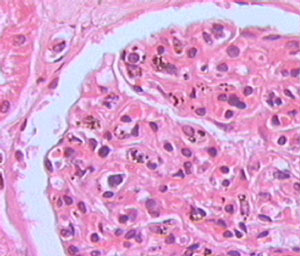
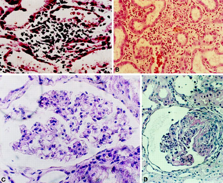
Nhiều hình ảnh mô học khác nhau gồm có viêm cầu thận, hoại tử ống thận cấp (Acute tubular necrosis_ATN) và viêm phận kẻ đã được mô tả trong ARF do sốt rét đơn thuần hoặc phối hợp với biến chứng khác. Kiểm tra về mặt siêu âm thận của các con chuột nhiễm ký sinh trùng P. berghei cho thấy sự không bào hóa bào tương lan tỏa trong các tế bào ống thận gần, thành mao mạch quanh ống thận nội mô dày lên và hệ thống lưới nội mô cũng như hệ ty thể sưng phồng. Thành mạch máu chứa nhiều hồng cầu bị ký sinh trùng và một sự thâm nhiễm viêm của các đại thực bào.
Sự góp phần của bệnh học cầu thận hướng về ARF do sốt rét vẫn chưa xác định cơ chế rõ ràng. Một số nghiên cứu báo cáo về bằng chứng mô học các thương tổn cầu thận trên những bệnh nhân chết vì sốt rét P. falciparum. Các thương tổn đặc trưng bởi sự tăng sinh lớp cấu trúc treo rõ ràng với sự mở rộng cơ chất và màng nền đôi chỗ dày lên. Sự lắng đọng các tế bào thâm nhiễm bạch cầu hạt ái toan dọc theo các vách mao mạch, đi kèm cấu trúc treo của của tiểu cầu thậnvà trong các khoang Bowman.
Các mao mạch cầu thận có thể thỉnh thoảng chứa các IRBCs. Xét nghiệm miễn dịch huỳnh quang cho thấy có sự xuất hiện các thành phần IgM và bổ thể C3 lắng đọng trong các vách mao mạch và trong cấu trúc treo của của tiểu cầu thận.
Dưới kính hiển vi điện tử cho thấy dưới lớp tế bào nội mô và cấu trúc treo của của tiểu cầu thận có tích điện lắng đọng các thành phần không kết tinh, sợi nhỏ và hạt. Sự xuất hiện các phức hợp miễn dịch của kháng nguyên P. falciparum trong màng đáycủa cầu thận và cấu trúc treo của của tiểu cầu thậncũng được quan sát. Trong nhiễm trùng P. falciparum lượng kháng nguyên của ký sinh trùng lưu hành được nhìn thấy vì vì sự vỡ ra của các IRBCs theo chu kỳ. Một đáp ứng miễn dịch vật chủ chủ động đặc hiệu với các kháng thể chống lại chống lại Plasmodium có thể thúc đẩy hình thành phức hợp miễn dịch và lắng đọng trong thành mao mạch. Tuy nhiên, đặc điểm lâm sàng và xét nghiệm nước tiểu không hỗ trợ cho việc giải thích sự lắng đọng đó trong ARF do sốt rét.
Trong một nghiên cứu gần đây, sự lắng đọng phức hợp miễn dịch không nhìn thấy hoặc trong trong màng đáy cầu thận hoặc trong phần cấu trúc treo của của tiểu cầu thận. Một chi tiết quan trọng không nhất quán trong khi quan sát nghiên cứu có thể trong một thời gian ngắn của tiến trình bệnh.
Mặc dù đủ kháng nguyên ký sinh trùng sốt rét lưu hành trong máu ở giai đoạn cấp của bệnh, thời gian ngắn của bệnh có thể không cho phép đủ thời gian hình thành các kháng thể đặc biệt chống lại sự hình thành các phức hợp miễn dịch lưu hành lắng đọng trong thận.
ATN đã được tìm thấy trong các phân tích mô học. Các mức độ khác nhau về tế bào ống thận, bắt đầu từ sưng phồng không trong suốt đến hoại tử ống thận cấp. Các thay đổi óng thận bao gồm sự lắng đọng các chất sắc tố, sự xuất hiện các trụ hemoglobin trong thành ống thận và phù thận kẻ có sự thâm nhiễm tế bào đơn nhân.
Các tính mạch nhỏ có thể chứa IRBCs và thể hoa hồng. Một nghiên cứu gần đây ở Việt Nam và Thái Lan cho biết hầu hết các bệnh nhân có các tế bào đơn nhân trong các mao mạch quanh ống thận và cầu thận. Các hạt pigment sốt rét bị ăn như lối thực bào được nhìn thấy trong bào tương của các tế bào đơn nhân trên một số bệnh nhân.
Viêm thận kẻ cấp là một mô hình thường gặp trong viêm thận do sốt rét trên mô hình thực nghiệm sau khi gây nhiễm thực nghiệm các kháng nguyên P. falciparum trên khỉ. Người ta cân nhắc một hậu quả về đáp ứng miễn dịch trên vật chủ tiềm tàng. Mặc dù phản ứng viêm thận kẻ là một dấu hiệu hay gặp về mô bệnh học có liên quan đến ATN, viêm thận kẻ riêng biệt thì không gặp thường xuyên.
Đặc điểm lâm sàng
Các liên quan đến thận trong sốt rét do P. falciparum có thể có trong bất thường về điện giải, sự lắng đọng trong đường niệu bất thường và tăng bài tiết protein niệu. ARF thường có liên quan với thiểu niệu và thậm chí vô niệu trong những ca nặng. Thỉnh thoảng ARF có thể vô niệu, điều này khiến cho khâu chẩn đoán khó khăn trừ khi creatinine huyết thanh được đánh giá. Tăng u rê huyết trước thận thường xuất hiện với các triệu chứng lâm sàng mất nước nặng.
Tuy nhiên, vô niệu kéo dài hay thiểu niệu có thể dẫn đến các hậu quả khó lường như mất dịch ngoại bào vì đào thải nước và giảm muối.
Giai đoạn thiểu niệu thường kéo dài khoảng 1 tuần nhưng có thể thay đổi từ vài ngày đến vài tuần. ARF do sốt rét là một hình thái chuyển hóa đặc trưng với sự gia tăng nhanh ure huyết do tăng chuyển hóa. Các dấu hiệu tiền lâm sàng của suy thận cũng được quan sát ở một tỷ lệ đáng kể trên bệnh nhân sốt rét. Tỷ lệ lọc cầu thận (Glomerular filtration rate_GFR) đánh giá sử dụng cystatin C có tăng trong 17% số trẻ em nhiễm P. falciparum.
Các yếu tố tiền tái sắp xếp thường thấy đối với ARF trong sốt rét là giảm thể tích, xuất huyết tiêu hóa, nhiễm trùng, thuốc độc cho thận (aminoglycosides and NSAID). Tiên lượng ARF do sốt rét lệ thuộc vào một số yếu tố gồm các biến chứng khác như SRAT thễ não, vàng da, sốc, ARDS, thiếu máu nặng, nồng độ creatinine cao trong huyết tương trong quá trình bệnh có ARF. Tỷ lệ tử vong cao hơn khi nồng độ creatinine cao trong huyết tương, lưu lượng nước tiểu thấp, chậm chuyển viện lên tuyến trên và đôi khi có kèm theo các biến chứng khác. Tăng bilirubin máu trong sốt rét do P. falciparum có thể tiền triệu cho ARF, điều này có thể vẫn chưa được chú ý.
Trong một nghiên cứu khác, 9 bệnh nhân bị sốt rét cấp do P. falciparum có tăng bilirubine nghiêm trọng dẫn đến ARF, điểm thú vị trong tham chiếu chẩn đoán không bao gồm sốt rét như một nguyên nhân của ARF trên 8/9 bệnh nhân. Đồng thời, ARF do sốt rét có liên quan ý nghĩa với rối loạn chức năng gan. Sự liên quan giữa suy thận và vàng da là một điểm tái hiện trong các nghiên cứu về sốt rét ác tính. Các nghiên cứu khác cũng chỉ ra hầu hết bệnh nhân có ARF kèm theo vàng da có tăng bilirubine trực tiếp với sự tắc nghẽn mật.
Điều này mô tả chi tiết mối liên quan có thể góp phần vào sự giảm chỉ số lọc cầu thận GFR hay sự phát triển ATN. ARF liên quan với vàng da có tỷ lệ tử vong cao khi so sánh với các bệnh nhân có ARF nhưng không có vàng da.
Tương tự, sự liên quan giữa ARF và SRAT thể não đã được báo cáo tại Đông Nam Á và tiểu lục địa Ấn Độ nơi mà ARF do sốt rét là một biến chứng hay gặp do P. falciparum. Trong số 526 ca bệnh SRAT thể não được báo cáo từ Rourkela, quận Sundargarh của bang Orissa, hơn 62% số ca có biến chứng nghiêm trọng gồm cả 28,9% ARF và 45,7% vàng da.
Tỷ lệ tử vong trong một loạt ca bệnh đặc biệt cao (59%) trên những trường hợp có suy đa cơ quan. Tác động liên quan ARF trên SRAT thể não của bệnh nhân đã được chỉ ra, tỷ lệ tử vong cao 39.5% khi có liên quan đến ARF, trong khi chỉ có 13,9% số ca không có liên quan ARF. Đối với mỗi một đơn vị log tăng creatinine tại thời điểm nhập viện, tỷ suất chênh tử vong bởi một yếu tố là 10.8. Liên quan thậm chí cao hơn trên các nghiên cứu tại Việt Nam và Thái Lan. Khoảng ½ số bệnh nhân sốt rét người lớn có SRAT thể não có bằng chứng sinh hóa suy thận (tăng ure máu và creatinine huyết thanh).
Tài liệu tham khảo
1.Kumar S, Melzer M, Dodds P, Watson J, Ord R. P. vivax malaria complicated by shock and ARDS. Scand J Infect Dis 2007; 39: 255–6.
2.Ozen M, Gungor S, Atambay M, Daldal N. Cerebral malaria owing to Plasmodium vivax: case report. Ann Trop Paediatr 2006; 26: 141–4.
3.Kochar DK, Saxena V, Singh N, Kochar SK, Vijay Kumar S, Das A. Plasmodium vivax malaria emerging infectious diseases. www.cdc.gov/eid . v 11, No. 1, January 2005.
4.Cox-Singh J, Davis TME, Lee KS, Shamsul SSG, Matusop A, Ratnam S, Rahman HA, Conway DJ, Singh B. Plasmodium knowlesi malaria in humans is widely distributed and potentially life threatening. Clin Infect Dis 2008; 46: 165–71.
5.Barsoum R, Sitprija V. Tropical nephrology. In: Schrier RW, Gottaschalk CW, editors. Diseases of the kidney, VI edn. Boston: Little Brown & Co. 1996; p. 2221–68.
6.Gilles HM, Hendrichse RG. Nephrosis in Nigerian children: role of malariae and effect of antimalarial treatment. Br Med J 1963; 2: 27.
7.Pakasa M, Van Damme B, Desmet VJ. Free intraglomerular malarial antigens. Br J Exp Pathol 1985; 66: 493.
8.Abdurrahman MB, Aikhionbare HA, Babaoye FA, Sathiakumar N, Narayana PT. Clinicopathological features of childhood nephrotic syndrome in northern Nigeria. Q J Med 1990; 75: 563–76.
9.Kibukamusoke JW, Hutt MSR, Wilks NE. The nephritic syndrome in Uganda and its association with quartan malaria. Q J Med 1967; 36: 393.
10.Rees PH, Barr RD, Cordy PE, Voller A. Possible role of malaria in the aetiology of the nephrotic syndrome in Nairobi. Br Med J 1972; 2: 130–1.
11.Pakasa M, Mangani N, Dikassa L. Focal and segmental glomerulosclerosis in nephrotic syndrome: a new profile of adult nephrotic syndrome in Zaire. Mod Pathol 1993; 6: 125–8.
12.Coovadia HM, Adhikari M, Morel-Maroger L. Clinicopathological features of the nephrotic syndrome in South African children. Q J Med 1979; 48: 77–91.
13.Doe JY, Funk M, Mengel M, Doehring E, Ehrich JH. Nephrotic syndrome in African children: lack of evidence for ‘tropical nephrotic syndrome’? Nephrol Dial Transplant 2006; 21: 672–6.
14.Ehrich JH, Eke FU. Malaria-induced renal damage: facts and myths. Pediatr Nephrol 2007; 22: 626–37.
15.Mehta KS, Halankar AR, Makwana PD, Torane PP, Satija PS, Shah VB. Severe acute renal failure in malaria. J Postgrad Med 2001; 47: 24–6.
16.Prakash J, Singh AK, Kumar NS, Saxena RK. Acute renal failure in Plasmodium vivax malaria. J Assoc Physicians India 2003; 51: 265–7.
17.Maheshwari A, Singh AK, Sinha DK, Tripathi K, Prakash J. Spectrum of renal disease in malaria. J Indian Med Assoc 2004; 102: 143–6.
18.Naqvi R, Ahmad E, Akhtar F, Naqvi A, Rizvi A. Outcome in severe acute renal failure associated with malaria. Nephrol Dial Transplant 2003; 18: 1820–3.
19.Kaur D, Wasir V, Gulati S, Bagga A. Unusual presentation of Plasmodium vivax malaria with severe thrombocytopenia and acute renal failure. J Trop Pediatr 2007; 53: 210–2.
20.Song JY, Park CW, Jo YM, Kim JY, Kim JH, Yoon HJ, et al. Two cases of Plasmodium vivax malaria with the clinical picture resembling toxic shock. Am J Trop Med Hyg 2007; 77: 609–11.
21.Eiam-Ong S, Sitprija V. Falciparum malaria and the kidney: a model of inflammation. Am J Kidney Dis 1998; 32: 361–75.
22.Barsoum RS. Malaria acute renal failure. J Am Soc Nephrol 2000; 11: 2147–54.
23.Eiam-Ong S. Malaria nephropathy. Seminars in Nephrology 2003; 23: 21–33.
24.Losert H, Schmid K, Wilfing A, Winkler S, Staudinger T, Kletzmayr J, et al. Experiences with severe P. falciparum malaria in the intensive care unit. Intensive Care Med 2000; 26: 195–201.
25.Gerritsen JG, van der Zwan JC. Acute renal failure in severe chloroquine resistant falciparum malaria. Intensive Care Med 1992; 18: 177–9.
26.Weber MW, Böker K, Horstmann RD, Ehrich JH. Renal failure is a common complication in non-immune Europeans with Plasmodium falciparum malaria. Trop Med Parasitol 1991; 42: 115–8.
27.Waller D, Krishna S, Crawley J, Miller K, Nosten F, Chapman D, et al. Clinical features and outcome of severe malaria in Gambian children. Clin Infect Dis 1995; 21(3): 577–87.
28.Adu D, Anim-Addo Y, Foli AK, Yeboah ED, Quartey JKM, Ribeiro BF. Acute renal failure in tropical Africa. Br Med J 1976; 1: 890–2.
29.Habte B. Acute renal failure due to falciparum malaria. Ren Fail 1990; 12: 15–9.
30.Zewdu W. Acute renal failure in Addis Abeba, Ethiopia: a prospective study of 136 patients. Ethiop Med J 1994; 32: 79–87.
31.Wasiu AO, Kayode AA. Pediatric acute renal failure in southwestern Nigeria. Kidney Int 2004; 66: 1541–8.
32.Trang TT, Phu NH, Vinh H, Hien TT, Cuong BM, Chau TT et al. Acute renal failure in patients with severe falciparum malaria. Clin Infect Dis 1992; 15: 874–80.
33.Tran TH, Day NPJ, Phu NH, Nguyen TH, Tran TH, Pham PL, et al. A controlled trial of artemether or quinine in Vietnamese adults with severe falciparum malaria. New Eng J Med 1996; 335: 76–83.
34.Nacher M, Treeprasertsuk S, Singhasivanon P, Silachamroon U, Vannaphan S, Gay F, et al. Association of hepatomegaly and jaundice with acute renal failure but not with cerebral malaria in severe falciparum malaria in Thailand. Am J Trop Med Hyg 2001; 65: 828–33.
35.Segasothy M, Swaminathan M, Kong NC. Acute renal failure in falciparum malaria. Med J Malaysia 1994; 49: 412–5.
36.Bouth DM, Giboda M. Malaria in Kampuchea: clinical course of falciparum malaria in Chemin de Fer Hospital, Phnom Penh. Folia Parasitol (Praha) 1987; 34: 11–8.
37.Zinna S, Vathsala A, Woo KT. A case series of falciparum malaria-induced acute renal failure. Ann Acad Med Singapore 1999; 28: 578–82.
38.Mohanty S, Mishra SK, Pati SS, Patnaik JK, Das BS, Complications and mortality patterns due to Plasmodium falciparum malaria in hospitalized adults and children, Rourkela, Orissa, India. Trans R Soc Trop Med Hyg 2003; 97: 69–70.
39.Dash RK, Mishra K, Mishra SS, Pandey RS, Mohanty SC, Sahu H, et al. Cerebral malaria: report of 173 patients. J Assoc Physicians India 1982; 30: 724A.
40.Panda SK, Das MC, Meher LK, Rathod PK. Risk factors for acute renal failure in severe falciparum malaria. Indian J Nephrol 2003; 13: 55–8.
41.Mehta SR, Naidu G, Chandar V, Singh IP, Johri S, Ahuja RC. Falciparum malaria-present day problems: an experi ence with 425 cases. J Assoc Physicians India 1989; 37: 264–7.
42.Jayakumar M, Prabahar MR, Fernando EM, Manorajan R, Venkatraman R, Balaraman V. Epidemiologic trend changes in acute renal failure—a tertiary center experience from South India. Ren Fail 2006; 28: 405–10.
43.Bag S, Samal GC, Deep N, Patra UC, Nayak M, Meher LK. Complicated falciparum malaria. Indian Pediatr 1994; 31: 821–5.
44.Prakash J, Tripathi K, Malhotra V, Kumar O, Srivastava PK. Acute renal failure in eastern India. Nephrol Dial Transplant 1995; 10: 2009-12.
45.Pati SS, Mishra SK, Mohanty S, Patnaik JK, Das BS. Influence of renal impairment on plasma concentrations of conjugated bilirubin in cases of Plasmodium falciparum malaria. Ann Trop Med Parasitol 2003; 97: 581–6.
46.Nitya Nand, Aggarwal H, Sharma M, Singh M. Systemic manifestations of malaria. J Indian Acad Clin Med 2001; 2: 189–94.
47.Dash SC, Bhuyan UN, Gupta A, Sharma LC, Kumar A, Agarwal SK. Falciparum malaria complicating cholestatic jaundice and acute renal failure. J Assoc Physicians India 1994; 42: 101–2.
48.Prakash J, Gupta A, Kumar O, Rout SB, Malhotra V, Srivastava PK. Acute renal failure in falciparum malaria: increasing prevalence in some areas of India—a need for awareness. Nephrol Dial Transplant 1996; 11: 2414–6.
49.Krishnan A, Karnad DR. Severe falciparum malaria: an important cause of multiple organ failure in Indian intensive care unit patients. Crit Care Med 2003; 31: 2278–84.
50.Abdul Manan J, Ali H, Lal M. Acute renal failure associated with malaria. J Ayub Med Coll Abbottabad 2006; 18: 47–52.
51.Sitprija V. Nephropathy in falciparum malaria. Kidney Int 1988; 34: 867–77.
52.Kyes S, Horrocks P, Newbold C. Antigenic variation at the infected red cell surface in malaria. Ann Rev Microbiol 2001; 55: 673–707.
53.Pongponratan E, Riganti M, Punpoowong B, Aikawa M. Microvascular sequestration of parasitized erythrocytes in human falciparum malaria: a pathological study. Am J Trop Med Hyg 1991; 44: 168–75.
54.Turner GDH, Morrison H, Jones M, Davies TM, Looareesuwan S, Buley ID, et al. An immunohistochemical study of the pathology of fatal malaria: evidence for widespread endothelial activation and a potential role for intercellular adhesion molecule-1 in cerebral sequestration. Am J Pathol 1994; 145: 1057–69.
55.Baruch DI, Pasloske BL, Singh HB, Xiahui B, Ma XC, Feldman M, et al. Cloning of the P. falciparum gene encoding PfEMP 1, a malarial variant antigen and adherence receptor on the surface of parasitized human erythrocyte. Cell 1995; 82: 77–87.
56.Magowan C, Wollish W, Anderson L, Leech J. Cytoadherence by Plasmodium falciparum infected erythrocytes is correlated with the expression of a family of variable proteins on infected erythrocytes. J Exp Med 1988; 168: 1307–20.
57.MacPherson GG, Warrell MJ, White NJ, Looareesuwan S, Warrell DA. Human cerebral malaria: a quantitative ultrastructural analysis of parasitized erythrocyte sequestration. Am J Pathol 1985; 119: 385–401.
58.Spitz S. The pathology of acute falciparum malaria. Mil Sur 1946; 99: 555–61.
59.Sitprija V, Indraprasit S, Pochanugool C, Benyajati C, Piyarath P. Renal failure malaria. Lancet 1967; 1: 185–8.
60.Bhamarapravati N, Boonpucknavig S, Boonpucknavig V, Yaemboonruang C. Glomerular changes in acute plasmodium infection: an immunologic study. Arch Pathol 1973; 96: 289–93.
61.Sitprija V, Boonpucknavig V. Malaria nephropathy in Thailand. Proceedings of the First Asian-Pacific Congress of Nephrology.Tokyo, Japan: Nihon University Press, 1979; p. 126–31.
62.Pongponratn E, Turner GD, Day NP, Phu NH, Simpson JA, Stepniewska K, et al. An ultrastructure study of the brain in fatal Plasmodium falciparum malaria. Am J Trop Med Hyg 2003; 69: 345–59.
63.Nguansangiam S, Day NPJ, Hien TT, Mai NTH, Chaisri U, Riganti M. A quantitative ultrastructural study of renal pathology in fatal Plasmodium falciparum malaria. Trop Med Int Health 2007; 12: 1037–50.
64.Patnaik JK, Das BS, Mishra SK, Mohanty S, Satpathy SK, Mohanty D. Vascular clogging, mononuclear cell margination, and enhanced vascular permeability in the pathogenesis of human cerebral malaria. Am J Trop Med Hyg 1994; 51: 642–7.
65.Mshana RN, Boulandi J, Mshana NM, Mayombo J, Mendome G. Cytokines in the pathogenesis of malaria: levels of IL-1, IL-4, IL-6, TNF, and IFN in plasma of healthy individuals and malaria patients in a holoendemic area. J Clin Lab Immunol 1991; 34: 131–9.
66.Day NP, Hien TT, Schollaardt T, Loc PP, Chuong LV, Chau TT, et al. The prognostic and pathophysiologic role of pro- and anti-inflammatory cytokines in severe malaria. J Infect Dis 1999; 180: 1288–97.
67.Kern P, Hemmer CJ, Van Damme J, Gruss HJ, Dietrich M. Elevated tumor necrosis factor alpha and interleukin-6 serum levels as markers for complicated Plasmodium falciparum malaria. Am J Med 1989; 87: 139–43.
68.Kwiatkowski D, Hill AV, Sambou I, Twumasi P, Castracane J, Manogue KR, et al. TNF concentration in fatal cerebral, non-fatal cerebral, and uncomplicated Plasmodium falciparum malaria. Lancet 1990; 336: 1201–4.
69.69. Wenisch C, Linnau KF, Looareesuwan S, Rumpold H. Plasma levels of the interleukin-6 cytokine family in persons with severe Plasmodium falciparum malaria. J Infect Dis 1999; 179: 747–50.
70.Grau GE, Heremans H, Piguet PF, Pointaire P, Lambert PH, Billiau A, et al. Monoclonal antibody against interferon gamma can prevent experimental cerebral malaria and its associated overproduction of tumor necrosis factor. Proc Natl Acad Sci USA 1989; 86: 5572–4.
71.Kwiatkowski D, Molyneux ME, Stephens S, Curtis N, Klein N, Pointaire P, et al. Anti-TNF therapy inhibits fever in cerebral malaria. Q J Med 1993; 86: 91–8.
72.Greve B, Lehman LG, Lell B, Luckner D, Schmidt-Ott R, Kremsner PG. High oxygen radical production is associated with fast parasite clearance in children with Plasmodium falciparum malaria. J Infect Dis 1999; 179: 1584–6.
73.Griffiths MJ, Ndungu F, Baird KL, Muller DP, Marsh K, Newton CR. Oxidative stress and erythrocyte damage in Kenyan children with severe Plasmodium falciparum malaria. Br J Haematol 2001; 113: 486–91.
74.Nanda NK, Das BS. Presence of pro-oxidants in plasma of patients suffering from Plasmodium falciparum malaria. Trans R Soc Trop Med Hyg 2000; 94: 684–8.
75.Das BS, Nanda NK. Evidence for erythrocyte lipid peroxidation in acute falciparum malaria. Trans R Soc Trop Med Hyg 1999; 93: 58–62.
76.Das BS, Patnaik JK, Mohanty S, Mishra SK, Mohanty D, Satpathy SK, et al. Plasma antioxidants and lipid peroxidation products in falciparum malaria. Am J Trop Med Hyg 1993; 49: 720–5.
77.Nahrevanian H, Dascombe MJ. Nitric oxide and reactive nitrogen intermediates in lethal and nonlethal strains of murine malaria. Parasite Immunol 2001; 23: 491–501.
78.Nahrevanian H, Dascombe MJ. Expression of inducible nitric oxide synthase (iNOS) mRNA in target organs of lethal and non-lethal strains of murine malaria. Parasite Immunol 2002; 24(9–10): 471–8.
79.Maneerat Y, Viriyavejakul P, Punpoowong B, Jones M, Wilairatana P, Pongponratn E, et al. Inducible nitric oxide synthase expression is increased in the brain in fatal cerebral malaria. Histopathology 2000; 37: 269–77.
80.Jacobs P, Radzioch D, Stevenson MM. In vivo regulation of nitric oxide production by tumor necrosis factor alpha and gamma interferon, but not by interleukin-4, during blood stage malaria in mice. Infect Immun 1996; 64: 44–9.
81.Cumming AD, Driedger AA, McDonald JW, Lindsay RM, Solez K, Linton AI. Vasoactive hormones in the renal response to systemic sepsis. Am J Kidney Dis 1988; 11: 23–32.
82.Benedict CR, Rose JA. Arterial norepinephrine changes in patients with septic shock. Circ Shock 1992; 38: 165–72.
83.Azimi G, Vincent JL. Ultimate survival from septic shock. Resuscitation 1986; 14: 245–53.
84.Krishna S, Waller DW, Terkuile F, Kwiatkowski D, Crawley J, Craddock CFC, et al. Lactic acidosis and hypoglycaemia in children with severe malaria – pathophysiological and prognostic significance. Trans R Soc Trop Med Hyg 1994; 88: 67–73.
85.English M, Muambi B, Mithwani S, Marsh K. Lactic acidosis and oxygen debt in African children with severe anaemia. Q J Med 1997; 90: 563–9.
86.Clark IA, Budd AC, Alleva LM, Cowden WB. Human malarial disease: a consequence of inflammatory cytokine release. Malar J 2006; 5: 85 doi:10.1186/1475-2875-5-85, 10 October.
87.Thiemermann C, Szabo C, Mitchell JA, Vane JR. Vascular hyporeactivity to vasoconstrictor agents and hemodynamic decompensation in hemorrhagic shock is mediated by nitric oxide. Proc Natl Acad Sci USA 1993; 90: 267–71.
88.Hollenberg SM, Broussard M, Osman J, Parrillo JE. Increased microvascular reactivity and improved mortality in septic mice lacking inducible nitric oxide synthase. Circ Res 2000; 86: 774–8.
89.Das BS, Thurnham DI, Das DB. Plasma alpha-tocopherol, retinol, and carotenoids in children with falciparum malaria. Am J Clin Nutr 1996; 64: 94–100.
90.Das BS, Thurnham DI, Das DB. Influence of malaria on markers of iron status in children: implications for interpreting iron status in malaria-endemic communities. Br J Nutr 1997; 78: 751–60.
91.English M, Waruiru C, Marsh K. Transfusion for respiratory distress in life-threatening childhood malaria. Am J Trop Med Hyg 1996; 55: 525–30. Maitland K, Pamba A, English M, Peshu N, Marsh K, Newton C, et al. Randomized trial of volume expansion with albumin or saline in children with severe malaria: preliminary evidence of albumin benefit. Clin Infect Dis 2005; 40: 538–45.
92.Planche T, onanga M, Schwenk A, Dzeing A, Borrmann S, Faucher JF. Assessment of volume depletion in children with malaria. PLoS Med 2004; 1: e18, 4.
93.Planche T, Dzeing A, Ngou Milama E, Kombila M, Stacpoole PW. Metabolic complications of severe malaria. Curr Top Microbiol Immunol 2005; 295: 105–36.
94.Pulido-Méndez M, Finol HJ, Girón ME, Aguilar I. Ultrastructural pathological changes in mice kidney caused by Plasmodium berghei infection. J Submicrosc Cytol Pathol 2006; 38: 143–8.
95.Boonpucknavig V, Sitprija V. Renal disease in acute Plasmodium falciparum infection in man. Kidney Int 1979; 16: 44–52.
96.Boonpucknavig V, Soontornniyomkij V. Pathology of renal diseases in the tropics. Sem Nephrol 2003; 23: 88–106.
97.Barsoum R. Malarial nephropathies. Nephrol Dial Transplant 1998; 13: 1588–97.
98.Burchard GD, Ehrhardt S, Mockenhaupt FP, Mathieu A, Agana-Nsiire P, Anemana SD, et al. Renal dysfunction in children with uncomplicated Plasmodium falciparum malaria in Tamale, Ghana. Ann Trop Med Parasitol 2003; 97: 345–50.
99.Sheiban AK. Prognosis of malaria associated severe acute renal failure in children, Ren Fail 1999; 21: 63–6.
100.Sural S, Sharma RK, Gupta A, Sharma AP, Gulati S. Acute renal failure associated with liver disease in India: etiology and outcome. Ren Fail 2000; 22: 623–34.
101.Mukherjee AP, White JC, Lau KS. Falciparum malaria associated with jaundice, renal failure and anemia. Trans R Soc Trop Med Hyg 1971; 65: 808–14.
102.Wilairatana P, Westerlund EK, Aursudkij B, Vannaphan S, Krudsood S, Viriyavejakul P, et al. Treatment of malarial acute renal failure by hemodialysis. Am J Trop Med Hyg 1999; 60: 233–7.
103.Marsh K. Malaria: a neglected disease. Parasitology 1992; 104: S53–S69.
104.Mishra SK, Mohanty S, Satpathy SK, Mohapatra DN. Cerebral malaria in adults: a description of 526 cases admitted to Ispat General Hospital in Rourkela, India. Ann Trop Med Parasitol 2007; 101: 187–93.
105.Mishra SK, Dietz K, Mohanty S, Pati SS. Influence of acute renal failure in patients with cerebral malaria: a hospitalbased study from India. Trop Doct 2007; 37: 103–4.
106.White NJ, Looareesuwan S. Cerebral malaria. In: Kennedy PGE, Johnson RT, editors. Infections of the nervous system. London: Butterworths 1987; p. 118–43.
107.Tigga FV, Satpathy SK, Das BS. Cardiac arrhythmia following intravenous quinine therapy. J Assoc Physicians India 2001; 49: 946–7.
108.Das BS, Satpathy SK, Mohanty D, Mohanty S, Mishra SK, Satpathy PC, et al. Hypoglycaemia in severe falciparum malaria. Trans R Soc Trop Med Hyg 1988; 82: 197–201.
109.Newton P, Keeratithakul D, Teja-Isavadharm P, Pukrittayakamee S, Kyle D, White N. Pharmacokinetics of quinine and 3-hydroxyquinine in severe falciparum malaria with acute renal failure. Trans R Soc Trop Med Hyg 1999; 93: 69–72.
110.Davies JG, Greenwood EF, Kingswood JC, Sharpstone P, Street MK. Quinine clearance in continuous venovenous hemofiltration. Ann Pharmacother 1996; 30: 487–90.
111.Sukontason K, Karbwang J, Rimchala W, Tin T, Na- Bangchang K, Banmairuroi V, et al. Plasma quinine concentrations in falciparum malaria with acute renal failure. Trop Med Int Health 1996; 1: 236–42.
112.Karbwang J, Na-Bangchang K, Tin T, Sukontason K, Rimchala W, Harinasuta T. Pharmacokinetics of intramuscular artemether in patients with severe falciparum malaria with or without acute renal failure. Br J Clin Pharmacol 1998; 45: 597–600.
113.Indraprasit S, Charoenpan P, Suvachittanont O, Mavichak V, Kiatboonsri S, Tanomsup S. Continuous peritoneal dialysis in acute renal failure from severe falciparum malaria. Clin Nephrol 1988; 29: 137–43.
114.Phu NH, Hien TT, Mai NTH, Chau TTH, Chuong LV, Loc PP, et al. Hemofiltration and peritoneal dialysis in infection- associated acute renal failure in Vietnam. New Eng J Med 2002, 347: 895–902.
115.Pannu N, Klarenbach S, Wiebe N, Manns B, Tonelli M. Alberta kidney disease network: Renal replacement therapy in patients with acute renal failure: a systematic review. JAMA 2008; 299: 793–805.
116.Lercari G, Paganini G, Malfanti L, Rolla D, Machi AM, Rizzo F, et al. Apheresis for severe malaria complicated by cerebral malaria, acute respiratory distress syndrome, acute renal failure, and disseminated intravascular coagulation. J Clin Apheresis 1992;7: 93–6.
117.Lumlertgul D, Keoplung M, Sitprija V, Moollaor P, Suwangool P. Furosemide and dopamine in malarial acute renal failure. Nephron 1989; 52: 40–4.
118.Day NP, Phu NH, Mai NT, Bethell DB, Chau TT, Loc PP, et al. Effects of dopamine and epinephrine infusions on renal hemodynamics in severe malaria and severe sepsis. Crit Care Med 2000; 28: 1353–62.
119.Girbes AR. Prevention of acute renal failure: role of vasoactive drugs, mannitol and diuretics. Int J Artif Organs 2004; 27: 1049–53 121.
120.Lee RW, Di Giantomasso D, May C, Bellomo R. Vasoactive drugs and the kidney. Best Pract Res Clin Anaesthesiol 2004; 18: 53–74.
121.Schetz M. Should we use diuretics in acute renal failure? Best Pract Res Clin Anaesthesiol 2004; 18: 75–89.
122.Bagshaw SM, Delaney A, Haase M, Ghali WA, Bellomo R. Loop diuretics in the management of acute renal failure: a systematic review and meta-analysis. Crit Care Resusc 2007; 9: 60–8.
123.William T, Menon J, Rajahram G, Chan L, Ma G, Donaldson S et al., (2011), Severe Plasmodium knowlesi malaria in a tertiary care hospital, Sabah, Malaysia, Emerg Infect Dis. 2011 Jul;17(7):1248-55.
124.Vipa Thanachartwet, Varunee Desakorn, Duangjai Sahassananda, Ko Ko Yazar Kyaw Win (2013), Clinical StudyAcute Renal Failure in Patients with Severe falciparum Malaria: Using the WHO 2006 and RIFLE Criteria, International Journal of Nephrology, Vol. 2013, Article ID 841518, 6 pages, http://dx.doi.org/10.1155/2013/841518
125.Janet Cox-Singh, Jessie Hiu, Sebastian B Lucaset al., (2013), Severe malaria - a case of fatal Plasmodium knowlesi infection with post-mortem findings: a case report, Malar J. 2010 Jan 11;9:10. doi: 10.1186/1475-2875-9-10.
126.Cyrus Daneshvar, Timothy M. E. Davis, Janet Cox-Singh et al., (2013), Clinical and Laboratory Features of Human Plasmodium knowlesi Infection, Clin Infect Dis. 2009 Sep 15;49(6):852-60. doi: 10.1086/605439.
127.Matthias Willmann, Atique Ahmed, Angela Siner, Ing Tien Wong et al., (2012), Laboratory markers of disease severity in Plasmodium knowlesi infection: a case control study, Malaria Journal 2012, 11:363 doi:10.1186/1475-2875-11-363