Từ lâu siêu âm là một phương tiện hay công cụ chẩn đoán giúp các thầy thuốc lâm sàng phát hiện và chẩn đoán một ca bệnh tối ưu nhưng rất tiếc một số thông tin về siêu âm và người thực hiện siêu âm vẫn còn hạn hữu. Nhân bài viết của tác giả Jason Birnholz vào ngày 27/3/2017 do TS. Nguyễn Phước Bảo Quân dịch cho thấy phần nào về thái độ cho người làm siêu âm, xin được giới thiệu cùng bạn đọc.
Việc sử dụng SA chẩn đoán đã phát triển cùng với sự lớn mạnh ngành chẩn đoán hình ảnh.
Vào khoảng ngày 1 tháng 4 năm 1980, một vài người cho rằng mục tiêu của kỹ thuật siêu âm chỉ là ghi lại hình ảnh. Thoạt tiên, ý kiến này nghe qua có vẻ hợp lý. Điều này cũng phù hợp với mô tả công việc của kỹ thuật viên siêu âm và phản ánh vai trò của nhà sản xuất thiết bị lúc đó. Tuy nhiên, từ góc nhìn của chẩn đoán y học, quan điểm này xuất phát từ việc giảng dạy y khoa thiết lập từ thời Hippocrates (460-370 trước CN), thậm chí quan điểm này hình thành còn sớm hơn nữa tức từ thời xuất hiện tuyệt tác y học Ai cập cổ viết trên giấy cói vào khoảng 1500 năm trước công nguyên được tìm ra bởi nhà Ai cập học người Đức George Ebers. Tôi chắc chắn rằng những ai đề xuất ý tưởng siêu âm chỉ gói gọn trong việc mô tả hình ảnh không phải là bác sĩ CĐHA. Tôi hy vọng rằng ngành tâm lý học hành vi sẽ cho ta cái nhìn sâu sắc hơn về vấn đề này.
Khởi thủy của kỹ thuật siêu âm
Trong thời kỳ đầu, kỹ thuật siêu âm B-mode được thực hiện bởi các bác sĩ thuộc nhiều chuyên ngành khác nhau đảm trách việc diễn giải kết quả siêu âm. Sau đó, với nhiều cải tiến ban đầu và rất quan trọng về mặt kỹ thuật, việc khám siêu âm và diễn giải kết quả được đảm trách bởi bác sĩ CĐHA. Theo khuynh hướng đó, siêu âm tim từ kỹ thuật TM-mode đơn giản đến những tiến bộ trong kỹ thuật ghi hình ảnh động và nhanh được đảm trách bởi bác sĩ Tim mạch; bác sĩ Sản phụ khoa đảm trách công việc siêu âm cho chính sản phụ. Ngày nay, chúng ta đã chứng kiến sự phân chia lĩnh vực siêu âm thành nhiều mảng khác nhau như cấp cứu, hồi sức tích cực, cơ xương khớp, y học gia đình, và tại hội thảo gần đây của AIUM (Học viện siêu âm trong y học của Mỹ) đã có nhiều bài thuyết trình và khóa đào tạo về ứng dụng của siêu âm trong da liễu.
Lúc mới đầu thì kỹ thuật siêu âm hoàn toàn đơn giản. Chúng ta chưa có nhiều hiểu biết về siêu âm cũng như kỳ vọng của lâm sàng đối với siêu âm còn thấp. Thời gian để thu một hình ảnh siêu âm chất lượng thì thật là lâu - kỹ thuật thu hình tĩnh- và thông tin mang lại thì nghèo nàn. Dường như lý do duy nhất cho việc chỉ định siêu âm trên lâm sàng là để tránh sự phơi nhiễm bức xạ ion hoá. Phần lớn mục đích sử dụng siêu âm là để phân biệt cấu trúc dịch với cấu trúc đặc thông qua việc phát hiện ổ đọng dịch dưới hình thức nào đó hoặc qua việc phát hiện sự di chuyển của một cấu trúc trong ổ dịch.
Tôi nghĩ chính từ thập nhiên 1975 trở đi là thời đại vàng son của kỹ thuật siêu âm chẩn đoán nói riêng và CĐHA nói chung. Lúc này, đã có một số lượng rất lớn các nghiên cứu về nền tảng của các kỹ thuật ghi hình y khoa, điều này đã dẫn đến một sự cải thiện đáng kể trong các thiết bị, nhờ thế mà mở ra nhiều ứng dụng lâm sàng phong phú thể hiện qua hàng loạt các bài báo được bình duyệt là có giá trị trên y văn. Có nhiều hạn chế lớn về mặt kỹ thuật, nhiễu ảnh trên hình siêu âm thì quá nhiều, dữ liệu thu được thay đổi nhiều từ cơ sở này đến cơ sở khác, từ người này sang người khác và cũng khác nhau giữa các thiết bị chủng loại khác nhau… vì tất cả nhưng lý do này mà không thể có cách nào hiệu quả để xây dựng các qui chuẩn trong thực hành siêu âm hàng ngày, thực hiện đào tạo thống nhất hay trích xuất các miêu tả định lượng về các tính chất của mô.

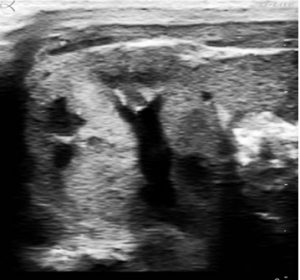
Hình 1
Tuy nhiên, kết quả lâm sàng của kinh nghiệm ban đầu với kỹ thuật quét hình ảnh động bằng điện tử hay cơ khí đã cho thấy rất hứa hẹn, và đã mở ra nhiều ứng dụng chẩn đoán trên lâm sàng một cách rộng rải. Nhân tố cốt lõi để tạo ra được điều này là nhờ vào cách thức khám và diễn giải kết quả siêu âm của bác sĩ CĐHA. Điểm xuất phát chính cho sự thành công của tất cả phương tiện ghi hình y học là phải biết tìm dấu chứng bệnh lý ở đâu và làm thế nào tìm ra!!! Công việc khám và diễn giải hình ảnh là làm sao rút ra được thông tin từ hình ảnh phù hợp với diễn tiến lâm sàng của bệnh nhân và phù hợp với mọi điều mà bạn cần biết về những vấn đề có thể gặp phải ở nhóm quần thể bệnh nhân. Danh sách các khả năng bệnh lý được sắp xếp ưu tiên theo nguy cơ tử vong hoặc mức độ nặng của bệnh lý có thể mắc phải. Bác sĩ CĐHA phải hiểu được sự hữu ích mỗi một phương tiện chẩn đoán trong cơ sở của mình cốt để chọn ra phương tiện tối ưu nhất và an toàn nhất nhằm giải quyết vấn đề lâm sàng đặt ra theo một chuỗi trình tự hợp lý.
Một mặt ẩn khác của việc diễn giải hình ảnh là khả năng ngoại suy các hệ quả của một chẩn đoán. Đây là điều dễ thấy trong lĩnh vực khám siêu âm nhi khoa hay siêu âm thai nhi, nhưng luôn luôn là một yếu tố. Có lẽ bác sĩ CĐHA luôn bị ám ảnh bởi các tỷ lệ phát hiện, độ nhạy, độ đặc hiệu của các xét nghiệm sàng lọc ngay từ ngày ra đời các xe kiểm tra lưu động phát hiện lao phổi. Nếu bạn bỏ sót thương tổn nhỏ dễ bỏ sót thì phải trả bằng cái giá là tính mạng của bệnh nhân của bạn. Ngược lại, một chẩn đoán quá mức cũng có thể gây ra phí tổn thêm vào, thậm chí gây đau đớn cho bệnh nhân.

Hình 2
Nhanh hay chậm
Kiến thức hạn hẹp của tôi về “Lý thuyết về qui trình xử lý kép” là từ cuốn sách “Suy nghĩ, nhanh và chậm” được viết bởi Daniel Kahneman ( nhà xuất bản Farrar, Strauss, Gỉroux, năm 2011, số ISBN 978-0374275631). Cuốn sách này được xem như một kiệt tác. Cuốn sách đã dành được hầu như tất cả các giải thưởng. Nội dung sách là khai thác khía cạnh đời sống công việc của tác giả và đồng nghiệp Amos Tversky, nó tập trung vào “lý thuyết viễn cảnh” – đây là cơ sở cho việc nhận giải Nobel về kinh tế của GS Kahneman. Vấn đề được xử lý rất khoa học. Nó mô tả nhiều thực nghiệm thông minh để thiết lập nên hai cách hành xử của con người trước tình huống nào đó, hai cách này được xem như “ứng xử nhanh nhẫu” và “ ứng xử chậm rãi”. Thực ra, các tác giả khác cũng đề cập đến vấn đề này nhưng chưa có tác phẩm nào phản ánh trung thực và thuần khiết. Do bởi công trình này liên quan đến thái độ, cách hành xử của con người, thiết nghĩ thật là hợp lý khi vận dụng để phiếm bàn cho thái độ của bác sĩ làm siêu âm.
Ứng xử “Nhanh nhẩu” và ứng xử “chậm rãi” được đề cập ở đây là phép ẩn dụ. Hệ thống ứng xử “Nhanh nhẩu” mang đặc tính như: tức thì, tự động, không kịp nhận thức, thất thường, đơn giản và luôn ở trạng thái hoạt động. Nó được kích hoạt bởi tiếp kiến không kịp nhận thức/nhận thức vô tri và được vận hành bởi hình mẫu và liên kết ăn sâu tận gốc rễ đến nỗi khó mà thay đổi. Hệ thống này không có khả năng tính toán. Nó không bị ảnh hưởng bởi các thống kê và hiện thực khách quan. Nó hơi có tính cả tin dễ bị đánh lừa. Còn ứng xử “chậm rãi” mang đặc tính như hợp lý, có nhận thức, luôn nghi vấn, và cần rất nhiều nỗ lực. Ứng xử “Nhanh nhẩu” có thể xuất sắc khác thường nhưng lại dễ có xu hướng sai lầm mang tính hệ thống; ngược lại thì ứng xử “chậm rãi” thì có vẻ thấu đáo triệt để, cẩn thận và tỉ mỉ nhưng lại không bao giờ hoàn hảo. Ứng xử “chậm rãi” thường luôn ở chế độ tắt và có thể bị chệch hướng bởi các nhận thức nhanh lấn át bởi cảm xúc, cũng như nền tảng tri thức hạn chế.

Hình 3
Với tôi thì tôi tin vào sự trực quan hay nói cách khác “tôi tin vào tình yêu ngay từ cái nhìn đầu tiên”. Đây là một kiểu ứng xử “Nhanh nhẩu” mẫu mực. Ứng xử “Nhanh nhẩu” thường rất hiệu quả và nó được vận hành bởi hệ thống khai phá- heuristics. Thuật ngữ “heuristics” là từ tương đối mới, nó có nguồn gốc từ tiếng Hy lạp cổ và có liên hệ với từ khám phá, nên định nghĩa của nó còn khá linh động. Tôi gặp thuật ngữ này từ hồi còn học đại học trong những vấn đề liên quan đến việc tìm kiếm trên máy tính, nhận dạng hình mẫu và trí thông minh nhân tạo. Ứng xử “khai phá” là một kiểu ứng xử nhanh, hiệu quả, một lối tắt khá thực dụng nhằm đạt được giải pháp gần đúng, hợp lý và khả thi cho một vấn đề phức tạp gai góc khó phân tích. Trong phạm trù “suy nghĩ” để chọn ra ứng xử nhanh thì GS Kahneman đã chỉ ra một vài mức độ khai phá mà hệ thống ứng xử nhanh dựa vào đó hoạt động. Một trong những mức độ đó là hiệu ứng “bao trùm”, ở đó ấn tượng ban đầu của bạn về sự vật trở nên tổng quát hóa toàn bộ, điều này có nghĩa là trực giác ban đầu của bạn về vấn đề mà bạn yêu thích là đúng và hoàn hảo. Khai phá là một thói quen của trí tuệ. Và cũng thông qua sự khai phá này mà các định kiến xuất hiện và gây ảnh hưởng dẫn dắt cho mọi hành động, thái độ sau này.
Một vài bàn luận về tâm thần học và di truyền học
Ứng xử nhanh được xem như là trạng thái mặc định có tính chất tiến hóa cao. Mỗi một chúng ta đều có quan điểm cân bằng giữa hai loại ứng xử nhanh và ứng xử chậm trong cuộc sống và công việc hàng ngày. Nếu một người mà lúc nào cũng cứ khư khư chọn cho mình một loại thái độ ứng xử duy nhất thì rõ ràng người đó bị một dạng bệnh tâm thần xác định!!!. Những người có sự cân bằng rất khác nhau giữa ứng xử nhanh và ứng xử chậm thường không giao tiếp tốt. Tuy nhiên, những người mà chọn lối ứng xử nhanh thì thường ý kiến của họ bị giảm đi một nửa, ngay cả khi họ không có lấy nền tảng lý lẽ thực sự; còn những người mà chọn lối ứng xử chậm thì thường không hiểu được sự nhiệt huyết của cách ứng xử nhanh. Dựa trên kinh nghiệm của bản thân qua các chỉ định cho bệnh nhân, tôi đoan chắc với bạn một sự thật rằng tôi luôn luôn tìm thấy hàng loạt hình mẫu chỉ định có xu hướng cứng nhắc và bất hợp lý. Tôi đoán rằng những chỉ định này là ứng xử nhanh của các bác sĩ không biết nhiều về siêu âm và cũng không nắm bắt những tiến bộ trong kỹ thuật siêu âm và thường phớt lờ với những khuyến cáo về việc sử dụng hiệu quả các phương tiện, nguồn lực.

Hình 4
Chúng ta hãy bắt đầu với câu nói thường gặp: “bệnh tâm thần có tính di truyền”. Điều này là đúng, nhưng thực sự rất khó để làm sáng tỏ nhận định này do bởi mỗi một bệnh nhân tâm thần xuất hiện trong phả hệ cũng hoàn toàn khác biệt nhau về mức độ, thể loại, thời gian bộc phát bệnh làm sự xuất hiện của bệnh có vẻ ngẫu nhiễn hoặc ít liên quan.
Nghiên cứu về sự sắp xếp chuỗi gen cũng đã xác định nhiều vị trí cho phổ những biểu hiện tâm thần mà ở đó sự kết hợp đặc hiệu giữa gen ức chế và gen biểu lộ ra bên ngoài cũng lý giải được sự khác nhau ở từng bệnh nhân tâm thần trong phả hệ. Một thái cực của phổ những biểu hiện này có thể là sự thông minh tiềm ẩn, nhưng một thái cực khác lại là ảo giác hoang tưởng tách biệt với thực tại. Bạn suy nghĩ thế nào về câu “cô ta cứng đầu như cha của cô ta”. Thế thì tại sao không nghĩ rằng sự cân bằng trong “ứng xử nhanh” và “ứng xử chậm” cũng được mã hóa trong bộ gen di truyền của từng người?
Về giáo dục Y khoa sau đại học
Câu hỏi đặt ra là Y khoa ngày nay đương đầu như thế nào với vấn đề ứng xử nhanh-ứng xử chậm chưa được tường tận này? Hãy lấy ví dụ một nhóm các bác sĩ trẻ với trái tim đầy nhiệt huyết và nền tảng giáo dục vững chãi. Những người này thường có đặc tính ham thích học hỏi, khai phá, tiếp thu tốt và thích nghi tốt với những biến động và thay đổi. Họ đúng là tầng lớp bác sĩ lý tưởng. Họ tiếp thu một khối lượng kiến thức gia tăng dần qua nhiều năm để nuôi dưỡng cho hệ thống “ứng xử chậm” của họ. Tuy nhiên, trong các chủ để đòi hỏi tính tương tác cao như việc khai thác tiền sử bệnh của bệnh nhân thì lại khác, ở đó đòi hỏi người bác sĩ tận tình này một lối “ứng xử nhanh” trong công việc đối nhân xử thế cốt để khai thác được sự thật về bệnh nhân bất kể ấn tượng ban đầu như thế nào đến với hai phía – bác sĩ và bệnh nhân. Đây chính là cách mà đồng nghiệp của chúng ta đã phải đương đầu xử lý như vậy qua bao thế hệ.
Thiết nghĩ, trong đào tạo chuyên ngành y khoa thì việc tích hợp cả hai hệ thống “ứng xử nhanh” và “ứng xử chậm” cần được phát huy. Tôi nhớ lại với lòng đầy tự hào, trân trọng và nể phục khoảng thời gian còn làm việc tại khoa CĐHA tại bệnh viện Đa Khoa Massachusetts. Có thể tại thời điểm đó tôi không quá lạc quan. Tôi cho là mục tiêu giáo dục của tất cả các chương trình đào tạo CĐHA ở bất kỳ đâu đều giống nhau. Tôi đã không bao giờ có nhu cầu đặt nghi vấn với đồng nghiệp về nền tảng kiến thức của chính họ do bởi sư tương đồng nhau trong nhận thức và thói quen nghề nghiệp của chúng tôi.
Việc đọc một phim thường bắt đầu với sự nỗ lực gắng sức của kiểu “ứng xử chậm”. Bạn phải cố chăm chú vào từng chi tiết trên từng phim trước mặt bạn. Ngay từ đầu, công việc đã đòi hỏi gắng sức nhiều và mệt nhọc, ngay cả trước khi bạn bắt đầu kết nối thông tin lâm sàng của bệnh nhân và rồi thu hẹp lại các khả năng chẩn đoán. Bạn cần lắng nghe câu “Get the Gestalt”- “một phần một vẻ, mười phần vẹn toàn”- mà không biết điều đó có nghĩa là gì cho đến khi bạn nhận ra nó một cách bất ngờ. Dĩ nhiên sẽ có những ý kiến phản biện về những diễn giải thiếu sót của bạn trong các cuộc họp hội chẩn hay chỉ ngay trong phòng đọc kết quả với nhau. Và đương nhiên là sẽ có các cuộc tranh cãi nảy lửa ngay trên điện thoài hội ý. Nhưng dù sao những điều này cũng còn dễ chịu hơn là để cho bệnh nhân phải chịu một ca mổ không đáng có. Hệ thống “ứng xử chậm” hướng đến việc đưa ra một quyết định đúng đắn và hướng đến việc tránh mọi sai lầm, còn nếu có sai lầm xảy ra thì phải chắc chắn là nó sẽ không lập lại

Hình 6
Cố gắng xác định bất kỳ bất thường nào ngay từ cái nhìn đầu tiên trên bất kỳ phìm nào là cách duy nhất để xử lý một lượng lớn các film từ các kỹ thuật ghi hình. Rõ ràng hệ thống ứng xử chậm sẽ không được vận dụng đến trừ khi hệ thống ứng xử nhanh báo hiệu cho thấy cần viện dẫn đến lối ứng xử chậm. Để thực thi điều này một cách hiệu quả, hệ thống ứng xử nhanh phải có khả năng đương đầu với tất cả các loại phim, với các yếu tố kỹ thuật, kể cả loạt hình ảnh giả và đặc biệt bao gồm cả các hình ảnh của các biến thể giải phẫu. Một việc cần làm là đối chiếu với giải phẫu học, suy luận từ sinh lý bệnh.
Thẳng thắn mà nói, bác sĩ CDHA là những người thật phi thường. Mỗi một bác sĩ chuyên khoa đều đã trải qua loại hình giáo dục tương tự nhau trong lĩnh vực chuyên nghành, ngoại trừ việc huấn luyện lối ứng xử nhanh lại không được nhận thức đầy đủ. Bạn không thể liên hệ đến những cách xử lý tức thời trong các chuyên ngành khác, ngay cả khi họ cũng chia sẻ nhau nền tảng khoa học. Bạn có thể biết kết quả sau cùng của công việc lâm sàng của bất kỳ ai đó, nhưng bạn sẽ không biết cách mà họ đạt được kết quả đó.
Có kỹ thuật siêu âm tiên tiến có nguồn gốc từ CĐHA đưa vào ứng dụng trong các lĩnh vực khác mà ở đó không phải mất nhiều năm để tái đào tạo hệ thống ứng xử nhanh trong công việc đọc và diễn giải hình ảnh. Nó có thể thành công, nhưng thường chỉ đối với những câu hỏi đặc hiệu với câu trả lời đơn giản “có” hoặc “không”. Nó làm mất đi lợi ích về mặt chẩn đoán chung vốn có trong phương pháp và bản chất của dạng mã hóa mô trong siêu âm. Lối ứng xử nhanh của một số khoa CĐHA kém cỏi đối với nhiều vấn đề dường như đã dẫn đến gián cấp vai trò siêu âm chẩn đoán xuống đến ngang mức phòng thăm dò và chuyển sang hướng ghi hình khác.

Hình 7
Việc diễn giải hình ảnh bên ngoài cái lồng ấp
Những bài báo về siêu âm mà không có hình ảnh minh họa thì giống như món ăn tráng miệng mà không có đường!!! Nếu bạn giống tôi thì bạn đã nhìn vào bức hình rồi. Bạn có thấy điều gì thú vị không?
Hình 1: mặt cắt ngang thận phải của một bé sơ sinh đẻ non 34 tuần. Giãn ứ dịch áp lực thấp của một đài thận lớn và hình ảnh phản âm nhẹ ở một nhú thận.
Tôi đã chọn một hình siêu âm từ lần ghé thăm khoa NICU tầng III. Trong số những tiến bộ gần đây của siêu âm là tạo ra hình ảnh có độ phân giải cao, độ tương phản cao bên trong một lồng ấp mà không làm ảnh hưởng gì đến bé non tháng nhẹ ký ở trong đó. Khảo sát siêu âm được chỉ định theo yêu cầu khi có nghi ngờ về bệnh lý. Thường thì không có hình ảnh chuẩn cho việc so sánh hoặc sàng lọc trước cho chẩn đoán sớm.
Hình ảnh siêu âm của thận của bé gái non tháng được xác định thuộc nhóm chứng bình thường, không có kèm thông tin gì khác thêm. Tại thời điểm đó, từ hình ảnh này và cho rằng hình dạng giống nhau của các nhú thận khác trên cả hai thận. Với lối ứng xử nhanh thì có thể đoan chắc rằng: báo động mức màu vàng- có cái gì đó khác thường và ít gặp, có thể là bệnh lý. Cũng có hồi chuông cảnh báo vấn đề là tại chỗ và nguyên nhân có thể là do tác dụng phụ của thuốc. Còn đối với lối ứng xử chậm thì sẽ không thể suy luận thêm khi không có thêm thông tin nào khác; chẳng hạn là tại sao đứa bé này bị sinh non và thai có bị đa ối không? Tiếp đó, lối ứng xử chậm đòi hỏi khai thác đầy đủ tất cả thông tin lâm sàng, nó muốn xem xét lại các bệnh lý thận ở trẻ sơ sinh được biết. Phải chăng biểu hiện hình ảnh là chỉ dấu cho bệnh vôi hóa tủy thận hay chỉ điểm cho hoại tử nhú thận? Hay có phải hình ảnh trở lại bình thường cùng với quá trình hồi phục nhanh ở thai hay ở sơ sinh? Hiện tại vẫn chưa có bất kỳ dữ liệu có sẵn để biết mức độ nặng của các hình ảnh thu được liên quan đến đặc điểm phát triển sau này của thận ở trẻ nhi hay của chức năng thận ở tuổi thiếu niên lẫn thanh niên. Chỉ với một hình siêu âm rất rõ nét của tháp thận đã làm gia tăng mối quan tâm của Daneman và cộng sự trong bài báo trên tập san Radiographics - Tháp thận: hình ảnh siêu âm bình thường và quá trình bệnh lý.
Lý thuyết viễn cảnh
Một trong những lĩnh vực nghiên cứu chính về Suy nghĩ là người ta đã đầu tư như thế nào. Một quan điểm mấu chốt đã tác động lên bản thân tôi là “thà đừng để mất gì còn hơn là được cái gì”. Một cách ngôn nổi tiếng của Hippocrates là: Bạn có làm bất cứ điều gì, nhưng đừng làm mọi việc xấu đi. Trong lĩnh vực CĐHA cũng có một cách ngôn đại loại tương tự như vậy: Đừng bỏ sót bất cứ điều gì trên hình ảnh. Đừng bỏ lỡ việc cung cấp thông tin quan trọng góp phần vào việc quyết định thái độ điều trị của nhà lâm sàng. Chúng ta thật sự có nguy cơ và “thà đừng để mất gì còn hơn là được cái gì”.
Kahnenman và Tversky phát hiện ra rằng khi con người đối mặt với cùng những vấn đề thử nghiệm thì có thể hành động liều lĩnh trong một lần, nhưng lần khác thì không, điều đó phụ thuộc vào cách mà vấn đề được diễn đạt, cũng như phụ thuộc vào trạng thái tâm lí và định kiến của con người trong thời điểm đó. Hơn nữa, các nhà đầu tư đã quyết định tiến tới đầu tư tiếp hay rút lui, điều này tùy thuộc sự đánh giá khả năng may mắn và kỳ vọng lợi nhuận. Đây là kết quả hoạt động của hệ thống ứng xử nhanh, điều này là định kiến chứ không định lượng. Trong công việc hàng ngày của chúng tôi, điều tương tự có thể gặp khi thăm khám trong một hoàn cảnh thoải mái như trong tình huống thai bình thường với mục đich xác nhận sự khỏe mạnh, và ngược lại trong hoàn cảnh éo le là đi xác định giai đoạn của ung thư biểu mô xâm lấn hay truy tim di căn. Với lịch trình công việc dày đặc, thời gian cho tiếp xúc bệnh nhân eo hẹp, mục đích thăm khám tập trung quá mức, điều này sẽ dẫn đến phụ thuộc vào lối suy nghĩ nhanh theo thói quen.
Tôi nghĩ lời tuyên bố vào ngày Cá tháng tư (ở đầu bài viết) là sản phẩm của một kẻ hóm hỉnh có lối ứng xử nhanh. Ý tưởng xem siêu âm chẩn đoán chỉ tồn tại về mặt hành chánh và thương mại, nhưng lại làm đông cứng lại hoặc tối thiểu làm kìm hãm mong muốn tiếp tục cải thiện những gì chúng ta đã và đang làm chỉ lan truyền nhanh như dịch bệnh trong cộng động những kẻ cả tin. Hay xem xét điều này- siêu âm chẩn đoán và di truyền học là những ngành khoa học đương đại. Một mặt- trong di truyền học- chúng ta đã mở khóa được mã di truyền của chúng ta. Mặt khác - trong lĩnh vực siêu âm-chúng ta nhấn chìm những gì chúng ta đã làm nếu vẫn giữ ý niệm siêu âm chỉ phân biệt đặc-lỏng. Dựa trên những gì mà chúng ta góp phần vào bấy lâu nay, tôi tin là ý tưởng trên là không thể như vậy. Đã đến lúc chúng ta cần phải nhấn cái nút khởi động lại và học cách thức viện dẫn đến hệ thông ứng xử chậm tích lũy được lâu nay của chúng ta cho tất cả thực hành lâm sàng hàng ngày của chúng ta.