Trước tiên chúng tôi xin đề cập đến bệnh Glanders (từ tiếng Anhlà glaundres hoặc tiếng Pháp cổ là glandres, cả hai đều có nghĩa là các tuyến tiết) (tiếng Latin: Malleus và tiếng Đức: Rotz) (còn được biết là "Equinia", "Farcy," và "Malleus"). Đây là một bệnh nhiễm trùng hay gặp tiên phát ở ngựa, lừa và con la. Chúng có thể nhiễm bởicác động vật khác như chó, mèo, dê. Nó có thể gây ra bởi quá trình nhiễm vi khuẩn Burkholderia mallei, thường do tiêu hóa các thực phẩm hoặc nguồn nước nhiễm. Các triệu chứng của bệnh glanders bao gồm sự hình thành các tổn thương dạng nốt (nodular lesions) trong phổi và các vết loét màng niêm mạc của đường hô hấp trên. Thế cấp tính dẫn đến ho, sốt và ly giải các chất tiết vùng mũi, hầu họng, tiếp sau đó là nhiễm trùng máu và tử vong trong vài ngày. Thể mạn tính, các nốt ở da và mũi phát triển, thậm chí loét sùi. Tử vong óc thể xảy ra trong nhiều tháng và sự sóng còn trên người bệnh sẽ đóng vai trò như người mang mầm bệnh.
Nhân một câu hỏi của bạn đọc Nguyen Trung Tu, 24/1/14D Nguyễn Tr. BMT, Đaklak, ttnguyen72@... Cho biết vừa qua tại BV thành phố Hồ Chí Minh có đăng tải một ca bệnh có tên rất lạ Melidosis và Viện Sốt rét KST-CT Quy Nhơn có đăng bài về bệnh này và có nói sơ qua về bệnh, nhưng cho biết vẫn chưa hiểu một cách rõ ràng dù đã tìm nhiều lần trên mạng internet để nắm thông tin. Mặt khác để làm rõ giữa bệnh Glanders ở bệnh truyền nhiễm thú y và bệnh Melioidosis ở người có khác gì nhau không, chúng tôi xin trình bày một cách tổng quát về hai căn bệnh này về các mục liên quan ngắn gọn, hy vọng là đầy đủ để phân định giữa hai bệnh trên.
Một số nét về dịch tễ học bệnh Glanders và Melioidosis
Glanders lưu hành ở châu Phi, châu Á, Trung Đông, Trung và Nam Mỹ. Bệnh bị loại khỏi Bắc Mỹ, Australia và hầu hết ở châu Âu thông qua hệ thống giám sát và giết chết các động vật nhiễm bệnh cũng như các chính sách nhập khẩu nghiêm ngặt. Burkholderia mallei cũng có thể gây nhiễm trùng ở người và do vậy chúng được phân loại là tác nhân gây bệnh truyền từ động vật sdang người (zoonotic agent). Sự lan truyền xảy ra bằng con đường tiếp xúc trực tiếp với các động vật nhiễm bệnh và đường vào thường là các vết trầy xước ở da, mũi, niêm mạc miệng hoặc đường hít phải các giọt nhiễm mầm bệnh. Test mallein là một thử nghiệm lâm sàng có độ nhạy và độ đặc hiệu trên lâm sàng cao cho bệnh glanders. Mallein (ATCvet code: QI05AR01), một phần protein của vi sinh vật gây bệnh glanders (Burkholderia mallei), được tiêm vào vùng trong da niêm của mí mắt (intradermo-palpebrally) hoặc cho nhỏ giọt mắt của các động vật bị nhiễm sẽ sưng phồng mí mắt trong vòng 1-2 ngày.
Đông Nam Á và phía bắc của Australia là những vùng lưu hành chính của bệnh Melioidosis; các báo cáo ấn bản gần đây xem các vùng lưu hành của bệnh gồm có Papua New Guinea, hầu khắp bán lục địa Indian và nam Trung Quốc, Hong Kong, Đài Loan. Số ca lớn nhất được báo cáo tại Thái Lan, Malaysia, Singapore, bắc Australia. Mặc dù hiếm báo cáo, nhưng số ca có tỷ lệ đáng chú ý cũng gặp ở Vietnam, Indonesia, Cambodia, Laos, Myanmar (Burma). Ngoài ra, nhiều trường hợp cũng được báo cáo tại Nam thái Bình Dương (New Caledonia), India và Sri Lanka, châu Phi và Trung Đông. Tại nhieuf quốc gia này, Burkholderia pseudomallei thường gặp nhiễm trong các labo nuôi cấy. Thêm vào đó, một số tác nhân đã được phân lập từ quân đội của các quốc gia trên toàn cầu, nhất là các vùng bệnh lưu hành. Một số trường hợp phân lập bệnh Melioidosis đã xảy ra tại bán cầu Tây của Mexico, El Salvador, Panama, Ecuador, Peru, Guyana, Puerto Rico, Martinique, Guadeloupe và thường gặp ở Brazil. Tại Mỹ, một số ca xác định nhiều năm trước đây trung bình từ 0-5 trường hợp trên những người đi du lịch và dân nhập cư từ các vùng có lưu hành bệnh đến.
Sinh lý bệnh và cơ chế bệnh sinh
Cơ chế sinh lý bệnh
Glanders hay còn gọi là bệnh loét mũi truyền nhiễm trong lĩnh vực thú y gây ra bởi Burkholderia mallei (B. Mallei) (tên cũPseudomonas mallei). Vi khuẩn chỉ tồn tại trên các vật chủ nhiễm nhạy cảm và không tìm thấy trong nước, đất, hoặc thực vật. Trong tự nhiên, con người mắc phải bệnh này từ nhóm lừa, ngựa hoặc ngựa vằn thông qua tiếp xúc trực tiếp với vùng da hay màng niêm mạc lở loét của chúng. Trong khi đó lây truyền qua da tiếp xúc cũng đã được báo cáo. Một mô hình lan truyền thứ hai có thể thông qua đường hít phải các giọt nước bọt từ các con ngựa nhiễm bệnh hoặc bệnh nhân. Một khi ở trong các vật chủ, thì quá trình tổng hợp và ly giải một số độc tố sẽ xảy ra. Thường thì số lượng rất đáng kể, tiến trình bệnh không có biểu hiện lâm sàng sau đó. Tuy nhiên, nếu một số lượng lớn vi sinh vật tập hợp lại, thì số lượng độc tố đủ để gây ra các triệu chứng đặc hiệu. Kháng sinh chỉ sử dụng ít. Các độc tố bao gồm pyocyanin (các hạt màu xanh da trời - lá cây có thể tác động vào làm trở ngại các hệ thống vận chuyển điện tử cuối cùng), lecithinase (gây ly giải tế bào bằng cách giáng hóa thành phần lecithin trong một số màng tế bào) và các độc tố khác như collagenase, lipase, hemolysin.
Thứ hai, liên quan đên bệnh Melioidosis và đây là một bệnh nhiễm trùng với nhiều tên gọi trước đây của nhiều tác giả là:
·Pseudomonas pseudomallei
·Bacillus whitmori
·Malleomyces pseudomallei
·Pfeiferella pseudomallei
·Whitmorella pseudomallei
à Do đó chúng có một số tên thay thế cho bệnh Melioidosis:
·Pseudoglanders
·Vietnamese time bomb
·Whitmore's disease
Melioidosis còn được gọi là bệnh Whitmore (Whitmore's Disease), do vi khuẩn Burkholderia pseudomallei gây bệnh và một số tác giả cho biết đây là một bệnh nhiễm trùng gây ra bởi tác nhân B. pseudomallei (trước đây gọi là Pseudomonas pseudomallei). Vi khuẩn phân bố rộng khắp trong đất và nước ở vùng nhiệt đới. Nó lây sang người thông qua tiếp xúc với các nguồn nhiễm, đặc biệt trong mùa mưa. Bệnh thường xảy ra trong thập niên thứ 4 và 5 của cuộc đời, đặc biệt trong số những người có đồng nhiễm các bệnh mạn tính như đái đường và suy thận. B. pseudomallei còn được xem là ứng cử viên tốt nhất như là một vũ khí sinh học (bioweapon) vì chúng dễ dàng sẵn có trong trong vùng nhiệt đới, nó hoàn toàn dễ nuôi cấy, sung sức và có tiềm năng cao trở thành nhiễm trùng máu, do vậy gia tăng bệnh tật và tử vong.
Giai đoạn ủ bệnh khi nhiễm tự nhiên có thể thay đổi từ nhiều ngày đến nhiều tháng thậm chí vài năm. Giai đoạn ủ bệnh sau khi khi nhiễm phải bằng đường khí thường là 10-14 ngày. Bệnh nhiễm trùng mũi loét trên thú y và Melioidosis sinh ra các triệu chứng lâm sàng giống nhau.
Cơ chế bệnh sinh
B. pseudomallei là một “tác nhân tình cờ” (“accidental pathogen"). Đó là những sinh vật có mặt trong môi trường mà không nhất thiết nhu cầu thông qua vật chủ trung gian để sinh trưởng và nhân lên. Do các đặc điểm của vi khuẩn như thế đó, nên nhiễm bệnh ở người được xem như là điểm chết cuối cùng của sinh vật này (“dead end”). Các chủng vi khuẩn này gây bệnh ở người thì khác so với các chủng gây bệnh ở động vật nhờ vào việc phân tích giải mã cấu trúc gen học của vi khuẩn.
B. pseudomallei có thể xâm nhập vào trong các tế bào, tổng hợp các actinvà lan rộng từ tế bào này sang tế bào khác, gây nên quá trình hợp nhất các tế bào với nhau và hình thànhcác tế bào khổng lồ đa nhân (multinucleate giant cell). B. pseudomallei là một trong những “proteobacteria” đầu tiên được xác định có chứa một hệ thống bài tiết type 6. vi khuẩn này còn được gọi là vi sinh vật duy nhất có khả năng chứa đến 6 hệ thống tiết độc lập với nhau. Chúng có khả năng gây bệnh ở người vì DNA nhận từ các vi sinh vật khác. Quá trình đột biến có tỷ lệ cao và vi sinh vật tiếp tục tiến triển sau khi nhiễm vào trong vật chủ.
B. pseudomallei có tính đề kháng nôi sinh với một số lượng lớn các tác nhân vi sinh vật khác. Một cơ chế quan trọng là chúng có khả năng bơm thuốc ra khỏi tế bào và điều này làm cầu nối trung gian cho kháng xảy ra với nhóm kháng sinh aminoglycosides (AmrAB - OprA), tetracyclines, fluoroquinolonesvà macrolides (BpeAB-OprB).
Triệu chứng lâm sàng và thể bệnh Melioidosis ở người
Bệnh Melioidosis có thể phân loại như một bệnh nhiễm trùng cấp tính hoặc tại chỗ, nhiễm trùng phổi cấp tính, nhiễm trùng toàn bộ hệ tuần hoàn và nhiễm trùng lan tỏa. Thể nhiễm trùng chưa biểu hiện lâm sàng (sub-clinical infections) cũng có thể gặp. Thời gian ủ bệnh chưa thể xác định một cách rõ ràng, nhưng có thể dao động từ vài ngày đến nhiều năm; nói chung triệu chứng dường như xuất hiện 2-4 tuần sau khi tiếp xúc hoặc phơi nhiễm với mầm bệnh. Mặc dù người khỏe mạnh có thể mắc bệnh Melioidosis, nhưng các yếu tố nguy cơ chính là đáo tháo đường, bệnh về gan, thận, thalassemia, và/ hoặc tình trạng suy gảm miễn dichj không liên quan đến HIV. Điều quan trọng là đáng chú ý đến bệnh Melioidosis thường được gọi “kẻ bắt chước vĩ đại” ("The Great Mimicker") vì nó có một phổ lâm sàng đa dạng về hình thái biểu hiện rất dễ nhầm lẫn với một số bệnh khác như lao, viêm phổi,...
Về các thể bệnh, chúng ta có thể chia ra các thể như sau:
Thể tại chỗ hay cấp tính khu trú (acute, localized form)
Thể bênh này nói chung là khu trú như một vết loét, nốt hoặc abces da niêm do quá trình mầm bệnh xuyên qua da vào các vết thương sẵn có. Thể cấp tính của bệnh Melioidosis có thể biểu hiện sốt và đau cơ toàn thân. Bệnh có thể biểu hiện khu trú hoặc có thể diễn tiến nhanh chóng gây nhiễm trùng huyết.
Vi khuẩn đi vào da thông qua một vết rách hoặc vết trầy xước da và nhiễm trùng tại chỗ với các vết loét tiến triển. Thời gian ủ bệnh thường 1-5 ngày. Các tuyến hạch lympho sưng, vi khuẩn đi vào vật chủ thông qua niêm mạc có thể gây các tăng tiết nhầy tại các vùng bị ảnh hưởng.
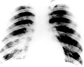
Thể phổi (Pulmonary form/ lung infection)
Khi vi khuẩn đi vào bằng đường khí dung hoặc vào đường hô hấp thông qua hít phải lan rộng và nhiễm trùng phổi lan rộng. Viêm phổi, abces phổi và tràn dịch màng phổi có thể xảy ra. Thời gian ủ bệnh khoảng 10-14 ngày. Với bệnh melioidosis do hít phải, abces da có thể phát triểnvà mất vài tháng mới xuất hiện.
Khởi bệnh của thể phổi thường điển hình đi kèm bởi sốt cao, nhức đầu, chán ăn và đau mỏi cơ toàn thân. Đau ngực là hay gặp, nhưng có ho hoặc không ho có đờm là một dấu chỉ điểm có giá trị (hallmark) của thể này. Tổn thương khoang cũng có thể nhìn thấy trên phim chup X quang phổi tương tự như hình ảnh trong lao phổi.
Thể nhiễm trùng huyết (Septicemia/ bloodstream infection)
Khi vi khuẩn phát tán và di chuyển trong dòng máu của bệnh loét mũi thú y (glanders), thường tử vong trong vòng 7-10 ngày. Nhiễm trùng huyết phát triển và ảnh hưởng đến nhiều cơ quan, da, han, lách cũng có thể ảnh hưởng nghiêm trọng. Với bệnh Melioidosis, nhiễm khuẩn huyết được quan sát trên các bệnh nhân nhiễm trùng có bệnh mạn tính. (ví dụ bệnh nhân HIV, đái tháo đường). Chúng có thể gây suy hô hấp, nhức đầu, sốt, tiêu chảy, tổn thương cơ qua chứa đầy mủ và abces lan tràn khắp các cơ quan. Nhiễm trùng huyết có thể rất nặng, với 90% tử vong xảy ra trong vòng 24-48 giờ.
Các bệnh nhân có các yếu tố nền sẵn có như đái tháo đường và suy thận thường có xu hướng diễn tiến đến hình thái lâm sàng này và thường dẫn đến hậu quả sốc nhiễm trùng. Các triệu chứng của nhiễm trùng huyết có thể là sốt, nhức đầu, suy hô hấp, đau bụng, đau khớp, mất định hướng,…Khởi đầu các triệu chứng thường rất nhanh và khối abces có thể nhìn thấy khắp cơ thể, đáng chú ý là gan, lách và tuyến tiền liệt.
Thể nhiễm trùng lan tỏa (Disseminated infection)
Bệnh Melioidosis lan tỏa là một bệnh nhiễm trùng biểu hiện với các ổ abces hình thành tại nhiều cơ quan khác nhau trong cơ thể. Có thể hoặc không liên quan đến nhiễm trùng. Các cơ quan liên quan thường điển hình là gan, phổi, lách và tuyến tiền liệt; liên quan đến các khớp, xương, phủ tạng, hệ lympho, da và não cũng có thể xảy ra. Nhiễm trùng lan tỏa có thể nhìn thấy trong bệnh Melioidosis cấp và mạn tính. Các dấu chứng và triệu chứng còn có sốt, sụt cân, đau ngực, đau dạ dày, đau cơ, bắp thịt, nhức đầu và co giật.
Thể mạn tính (Chronic form)
Thể mạn tính liên quan đến đa ổ abces và ảnh hưởng đến nhiều cơ quan gan, lách, da, cơ. Thể này cũng được biết là bệnh lở ngứa ở ngựa và có thể tái hoạt nhiều năm sau khi nhiễm trùng tiên phát.
Sử dụng trong chiến tranh sinh học của tác nhân gây bệnh
Do bệnh có tỷ lệ tử vong cao ở người và một số lượng nhỏ vi khuẩn cũng đủ thiết lập nên tình trạng nhiễm trùng, Burkholderia mallei được xem là một tác nhân vũ khí sinh học tiềm năng (potential biological warfare) hoặc tác nhân gây khủng bố sinh học (bioterrorism agent), vì nó có liên quan chặt chẽ đến Burkholderia pseudomallei, tác nhân gây bệnh Melioidosis. Trong thời gian chiến tranh thế giới thứ I (World War I), bệnh Glanders được xem là nhân tố cần thận trọng lan rộng bởi các nhân Đức gây nhiễm hàng loạt ngựa và con la của Nga trên mặt trận phía Đông.
Các tác nhân khác đã không thành công trong việc sinh ra bệnh đến các quốc gia Mỹ và Argentina. Điều này đã ảnh hưởng đến quân đội và cung cấp phương tiện hộ tống pháo di chuyển mà chủ yếu đã lệ thuộc vào ngựa và con la. Những trường hợp bệnh trên người tại Nga gia tăng nhiễm trùng trong và sau thế chiến thứ I. Ngựa, công dân Nhật Bản nhiễm trùng cũng như những người tù của chiến tranh với tác nhân B. mallei tại Viện Pinfang (Trung Quốc) trong suốt thế chiến thứ II.
Mỹ đã nghiên cứu tác nhân này như một loại vũ khí sinh học vào thời gian năm 1943–1944nhưng không gây tác hại nó về bệnh Glanders (Agent LA) tiếp tục suots những năm 1950, ngoại trừ nó có một một xu hướng mà không thể lý giải được liên quan đến mất độc lực trong phòng thí nghiệm, làm cho chúng khó gây nguy hại. Liên bang Nga cũ cũng đã tin tưởng rằng lợi ích của B. mallei đóng vai trò như một vũ khí sinh học tiềm lực sau chiến tranh thế giới thứ II.
Làm thế nào chẩn đoán và điều trị bệnh Melioidosis?
Chẩn đoán bệnh Melioidosis được đánh giá thông qua soi kính hiển vi của các bệnh phẩm máu, nước tiểu, đờm hoặc mẫu da tại phòng xét nghiệm. Một xét nghiệm máu rất có ích để phát hiện sớm các trường hợp cấp tính của bệnh Melioidosis, nhưng không thể loại trừ bệnh nếu xét nghiệm âm tính. Các xét nghiệm thường dùng là: xét nghiệm kết dính hồng cầu gián tiếp (indirect hemagglutination_IHA), xét nghiệm cố định bổ thể (complement fixation_CF) và phản ứng chuỗi trùng hợp (Polymerase chain reaction_PCR).
Hình thái học của vi khuẩn Burkholderia pseudomallei
Vi khuẩn Burkholderia pseudomallei còn có tên gọi khác là Pseudomonas pseudomallei, đây làvi khuẩn gram âm, lưỡng cực, hiếu khí, hình roi, di động. Nó nhiễm lên con người và cả động vật và là nguyên nhân gây bệnh Melioidosis. Nó cũng có thể ảnh hưởng hoặc gây bệnh đến các loại thực vật.
B. pseudomallei có chiều dài khoảng từ 2-5 μm và đường kínhtừ 0.4-0.8 μm và cũng có thể sử dụng roi để di chuyển theo hướng tới. Vi khuẩn có thể tăng trưởng bằng chất dinh dưỡng trong một số môi trường nhân tạo, đặc biệt là môi trường chứa nhóm đường betaine và acid amine arginine. Trong nuôi cấy in vitro, nhiệt độ tối ưu cho sự tăng trưởng nhanh của vi khuẩn là khoảng 40°C trong điều kiện pH môi trường trung tính hoặc acid yếu khoảng (pH = 6.8-7.0). Đa số các chủng này có khả năng lên men với đường không sinh hơi (quan trọng nhất là đường glucose và galactose, việc nuôi cấy trước đây thì cũng chuyển hóa thành đường maltose và tinh bột). Vi khuẩn này sản sinh ra cả nội độc tố và ngoại độc tố. Vai trò của các độc tố này được xác định trong quá trình hình thành triệu chứng của bệnh Melioidosis nhưng vẫn chưa được làm sáng tỏ một cách đầy đủ.
Định loại và chẩn đoán
B. pseudomalleităng trưởng được trong các môi trường nuôi cấy đa dạng (thạch máu, thạch Mac Conkey, EMB,…). Môi trường nuôi cấy Ashdown (hoặc môi trường nuôi cấy Burkholderia cepacia) có thể được sử dụng để lựa chọn nuôi cấy đặc hiệu. Các mẻ nuôi cấy chủng chuyển dương tính trong 24 đến 48 giờ (dựa vào đặc tính tốc độ phát triển nhanh này người ta dùng để phân biệt với các vi khuẩn từ B. mallei - là các chủng phải cần ít nhất 72 giờ mới phát triển).
Đặc điểm khúm vi khuẩn là có nếp nhăn, xuất hiện ánh kim và có mùi đất hoặc mùi rễ cây (earthy odour). Nhuộm Gram cho kết quả là trực khuẩn gram âm với đặc trưng ở hai đầu vi khuẩn có dạng vòng ("safety pin"-bipolar staining).
Trong kiểm tra tính nhạy, hình như vi khuẩn biểu hiện khả năng kháng cao (kháng hoàn toàn với các thuốc kháng sinh, bao gồm cả loại colistin and gentamicin) và đó là đặc điểm để phân biệt với B. mallei - nó thì ngược lại nhạy một cách không rõ ràng với một số lượng lớn kháng sinh. Chỉ có những mẫu bệnh phẩm lấy từ trong môi trường, sự phân biệt với các chủng B. thailandensis không gây bệnh dựa vào thử nghiệm arabinose là cần thiết (B. thailandensis không bao giờ được phân lập từ các mẫu bệnh phẩm lâm sàng). Định loại vi khuẩn B. pseudomallei trong phòng thí nghiệm được mô tả trong các tài liệu y văn.
Trong các sách giáo khoa kinh điển đã mô tả vi khuẩn B. pseudomallei trong các mẫu bệnh phẩm lâm sàng đó là vi khuẩn cấu trúc nội bào lưỡng cực (intracellular bipolar-staining), trực khuẩn gram âm hình roi, nhưng điều này có giá trị rất ít trong việc định loại các vi khuẩn từ các mẫu bệnh phẩm. Do đó người ta đề nghị sử dụng nhiều phương pháp, trong đó nhuộm Wayson sẽ hữu ích cho mục đích này, nhưng thử nghiệm này cũng chưa cho thấy cụ thể.
Việc định loại vi khuẩn B. pseudomallei trong điều kiện phòng thí nghiệm có thể gặp khó khăn, đặc biệt là ở các quốc gia phương tây, nơi mà vi khuẩn B. pseudomallei rất hiếm nhìn thấy. Những khúm vi khuẩn có nếp nhăn lớn trông giống như là những chất gây nhiễm có trong môi trường và vì thế chúng thường bị loại bỏ và không có ý nghĩa lâm sàng.
Vi khuẩn này phát triển chậm hơn các vi khuẩn khác mà chúng cùng hiện diện trên cùng bệnh phẩm lâm sàng và trên những bệnh phẩm thu thập được từ những vị trí không vô trùng, thì vi khuẩn rất dễ phát triển tràn lan. Vì vậy, những mẫu bệnh phẩm lấy từ vùng không vô trùng nên được nuôi cấy trong môi trường chọn lọc (ví dụ như môi trường Ashdown hoặc môi trường dành cho nuôi cấy B. cepacia. Chỉ khi việc phân lập được xem như là có ý nghĩa, thường phương pháp nhận định vi khuẩn được sử dụng có thể nhận dạng sai vi khuẩn với một số khác như Chromobacterium violaceum hoặc nhóm vi khuẩn gram âm không lên men khác như Burkholderia cepacia hoặc Pseudomonas aeruginosa.
Ngược lại, bởi vì bệnh này hiếm thấy các khu vực các nước phương Tây, nên việc nhận dạng vi khuẩn B. pseudomallei trong môi trường nuôi cấy chưa thực sự coi trọng như tiếng chuông cảnh báo cho các bác sĩ chưa quen với bệnh này.
Các phương pháp sinh hóa thường quy để định loại vi khuẩn khác nhau nhiều: hệ thống API 20NE nhận dạng một cách chính xác B. pseudomallei trong 99% số ca, đây cũng là hệ thống tự động Vitek 1, nhưng phương pháp định loại tự động Vitek 2 chỉ nhận diện 19% trong tổng số ca được phân lập.
Bệnh Melioidosis được chẩn đoán nhờ vào phân lập vi khuẩn Burkholderia pseudomallei từ máu, nước tiểu, đờm, vết thương ở da hoặc từ các tạng bị abces. Phát hiện và đo nồng độ kháng thể (Ab) chống lại vi khuẩn trong máu cũng rất hữu ích.
Một số xét nghiệm khác cũng góp phần không nhỏ vào trong xác định bệnh và các biến chứng đi kèm trong bệnh Melioidosis là công thức máu toàn phần, sinhhóa máu và nước tiểu về gan thận, tim mạch. Chụp X quang phổi và điện tâm đồ, điện cơ là cần thiết trong những ca quá nặng đa biến chứng.
Mô hình kháng thuốc với các thuốc diệt vi khuẩn thì được phaqan định rõ ràng và giúp để phân biệt các vi khuẩn với trực khuẩn mủ xanh P. aeruginosa. Đa số các phân lập của B. pseudomallei thì kháng nội tại với tất cả thuốc kháng sinh nhóm aminoglycosides (thông qua cơ cơ chế bơm đẩy ra (efflux pump mechanism), nhưng lại nhạycảm với kháng sinh co-amoxiclav: mô hình kháng này hầu như chưa bao giờ xảy ra đối với vi khuẩn P. aeruginosa và điều này rất có ích trong việc định loại vi khuẩn.
Chẩn đoán bằng kỹ thuật PCR có thể thực hiện được, nhưng không thể làm thường quy trong chẩn đoán lâm sàng. Tại Thái Lan, phản ứng ngưng kết hạt latex được dùng rộng rãi để chẩn đoán. Kỹ thuật miễn dịch huỳnh quang phát hiện kháng thể cũng có giá trị và đang có sẵn trong một số ít trung tâm ở Thái Lan.
Thái độ xử trí
Hầu hết các trường hợp Melioidosis có thể điều trị thành công bằng liệu pháp điều trị ký sinh trùng thích hợp. Burkholderia pseudomallei, loài vi khuẩn gây bệnh Melioidosis thuwngf nhạy với các thuốc ceftazidime, imipenem, meropenem, doxycycline, trimethoprim/sulfamethoxazole, piperacillin, amoxicillin-clavulanic acid, azlocillin, ticarcillin-clavulanate, ceftriaxone, aztreonam.
Điều trị nên bắt đầu sớm khi phát hiện ra bệnh vì bệnh Melioidosis có thể tiến triển ra các thể nặng hơn và thậm chí có thể tử vong, lệ thuộc vào nhiều yếu tố nguy cơ ảnh hưởng lên khả năng tự cơ thể chống lại bệnh này. Loại nhiễm trùng và liệu trình điều trị sẽ tác động lên kết quả điều trị về lâu dài. Nói chung, điều trị nên bắt đầu sớm với liệu pháp kháng sinh truyền tĩnh mạch trong vòng 10-14 ngày, và theo sau là liệu pháp đường uống 3-6 tháng.
Việc điều trị bệnh Melioidosis liên quan đến các kháng sinh và lệ thuộc vào vị trí thương tổn cũng như từng thể của bệnh.
Đối với các bệnh nhân bệnh biểu hiện nhẹ, Trung tâm Phòng chống bệnh tật CDC Mỹ khuyên dùng kháng sinh như Imipenem, Penicillin, Doxycycline, Amoxicillin - Clavulanic acid, Ceftazidime, Ticarcillin-clavulanic acid, Ceftriaxone, Aztreonam.
Các bênh nhân bị nặng, nghiêm trọng thì dùng thuốc phối hợp từ 2 đến 12 tháng.
Với các thể liên quan đến phổi của bệnh Melioidosis, nếu nuôi cấy vẫn còn dương tính trong 6 tháng, đề nghị phẩu thuật loại bỏ khối abces phổi thông qua cắt thùy phổi.
Phòng bệnh và tiên lượng bệnh nhân như thế nào?
Tại các quốc gia nơi mà bệnh Melioidosis xảy ra, những người suy giảm miễn dịch hoặc có vấn đề về hệ thống miễn dịch (như HIV/AIDS, ung thư, đang dùng liệu pháp điều trị ung thư,..) nên tránh tiếp xúc với đất và nguồn nước nhiễm bệnh, đặc biệt là các nông trang. Nếu không điều trị, bệnh nhân nhiễm Melioidosis có thể tử vong. Khi điều trị bằng kháng sinh, các thể nặng của bệnh có cơ hội 50% hồi phục, nhưng tỷ lệ tử vong chung có thể lên đến 40%.
Có vaccine phòng bệnh chưa?
Hiện chưa có vaccine phòng bệnh Melioidosis. Phòng bệnh tại những vùng mà bệnh lưu hành có thể gặp khó khăn vì tiếp xúc với nguồn đất nhiễm thường xuyên. Những người thường có vết thương hở và bị tiểu đường hay suy thận nên tránh tiếp xúc với đất và nước đọng vì chúng có nguy cơ cao mắc bệnh Melioidosis. Mặc quần áo tay dài, mang ủng trong quá trình làm nông nghiệp có thể ngăn ngừa nhiễm trùng qua đường chân tay. Tại các cơ sở y tế, cần có các bản đề phòng và bảo hộ lao động (mask, găng tay, áo dài tay) để phòng lây truyền bệnh.
Thuốc và hóa chất tẩy trùng
B. pseudomallei nhạy cảm với đa số chất tiệt trùng bao gồm: benzalkonium chloride, iodine, mercuric chloride, potassium permanganate, sodium hypochlorite 1%, ethanol 70%,glutaraldehyde 2% và trong phạm vi nhỏ hơn với chế phẩm phenolic. B. pseudomallei cũng bị giết bởi chất tẩy trùng có bán trên thị trường như Perasafe® và Virkon®. Các vi sinh vật cũng có thể bị tiêu diệt bởi nhiệt độ trên 74°C trong 10 phút hoặc bởi tia UV. B. pseudomallei thì không chắc bị tiêu diệt bởi chlorine.
Bệnh Melioidosis có thể lan từ người sang người không?
-Trong các trường hợp hiếm, truyền bệnh từ người sang người của Melioidosis đã xảy ra thông qua tiếp xúc với các dịch, máu của người nhiễm bệnh.
-Lây truyền từ người sang người nói chung rất hiếm, có một báo cáo về lan truyền từ một người anh trai bị mắc bệnh Melioidosis mạn tính sang em gái bị đái tháo đường (người đã chăm sóc cho anh ta);
-2 báo cáo lây truyền qua đường tình dục; lây truyền cả hai trường hợp sau này đều có bệnh sử là viêm tuyến tiền liệt mạn tính.
-Lây truyền theo chiều dọc có có thể xảy ra, với một báo cáo trình bày lây truyền qua đường nhau thai từ một bà mẹ nhiễm bệnh sang đứa con của cô ta.
-Lây truyền qua môi trường bệnh viện thông qua các trang thiết bị tại bệnh viện nhiễm mầm bệnh cũng đã được ghi nhận.
Điểm qua nét chính của bệnh Melioidosis
·Melioidosis là một bệnh nhiễm trùng do vi khuẩn Burkholderia pseudomallei.
·Nhiễm trùng Melioidosis thường liên quan đến phổi.
·Melioidosis được chẩn đoán dựa vào xét nghiệm máu, đờm, nước tiểu, tổn thương da;
·Melioidosis có thể điều trị bằng kháng sinh khỏi;
·Tỷ lệ tử vong chung của bệnh có thể 40%.
Trong một hội nghị quốc tế dề cập đến bệnh Melioidosis năm 2010 đã đề cập và nhiều báo cáo khoa học liên quan rất hay về bệnh và người ta cũng đã cho thấy định hướng nghiên cứu của tác nhân gây bệnh này rất phức tạp. Với các thông tin liên quan đến câu hỏi của bạn ở trên, chúng tôi hy vọng giúp bạn tốt hơn trong vấn đề công việc bạn đang làm và nếu muốn biết thêm chi tiết và các thông tin cập nhật về bênh này ở người cũng như trên thú y bạn có thể đi vào địa chị của Hội thảo cập nhật về bệnh năm 2010 mà chúng tôi có giới thiệu (hình ảnh ở trên).
Tài liệu tham khảo
1.Glanders. American Heritage Dictionary of the English Language: Fourth Edition. Bartleby.com. 2000. http://www.bartleby.com/61/18/G0141800.html. .
2.James, William D.; Berger, Timothy G.; et al. (2006). Andrews' Diseases of the Skin: clinical Dermatology. Saunders Elsevier.
3.Woods, Lt. Col. Jon B. (ed.) (April 2005). USAMRIID’s Medical Management of Biological Casualties Handbook (6th ed. ed.). U.S. Army Medical Institute of Infectious Diseases, Fort Detrick, Maryland. pp. 67.
4.http://www.medicinenet.com/melioidosis/page2.htm
5.http://www.cdc.gov/nczved/divisions/dfbmd/diseases/melioidosis/ Yabuuchi, E; Kosako, Y; Oyaizu, H; Yano, I; Hotta, H; Hashimoto, Y; Ezaki, T; Arakawa, M (1992). "Proposal of Burkholderia gen. nov. and transfer of seven species of the genus Pseudomonas homology group II to the new genus, with the type species Burkholderia cepacia (Palleroni and Holmes 1981) comb. nov.". Microbiol Immunol 36 (12): 1251–1275.
6."Burkholderia pseudomallei". VirginiaTech Pathogen Database. http://pathport.vbi.vt.edu/pathinfo/pathogens.
7.Lee YH, Chen Y, Ouyang X, Gan YH (2010). "Identification of tomato plant as a novel host model for Burkholderia pseudomallei". BMC Microbiol 10 (1): 28. doi:10.1186/1471-2180-10-28.
8.Haase A, Janzen J, Barrett S, Currie B (July 1997). "Toxin production by Burkholderia pseudomallei strains and correlation with severity of melioidosis". Journal of medical microbiology 46 (7): 557–63. doi:10.1099/00222615-46-7-557.
9.Peacock SJ, Chieng G, Cheng AC, et al. (October 2005). "Comparison of Ashdown's medium, Burkholderia cepacia medium, and Burkholderia pseudomallei selective agar for clinical isolation of Burkholderia pseudomallei". Journal of clinical microbiology 43 (10): 5359–61. doi:10.1128/JCM.43.10.5359-5361.2005.
10.Chaiyaroj SC, Kotrnon K, Koonpaew S, Anantagool N, White NJ, Sirisinha S (1999). "Differences in genomic macrorestriction patterns of arabinose-positive (Burkholderia thailandensis) and arabinose-negative Burkholderia pseudomallei". Microbiology and immunology 43 (7): 625–30.
11.Walsh AL, Wuthiekanun V (1996). "The laboratory diagnosis of melioidosis.". Br J Biomed Sci 53 (4): 249–53.
12.Brundage WG, Thuss CJ, Walden DC (March 1968). "Four fatal cases of melioidosis in U. S. soldiers in Vietnam. Bacteriologic and pathologic characteristics". The American journal of tropical medicine and hygiene 17 (2): 183–91.
13.Sheridan EA, Ramsay AR, Short JM, Stepniewska K, Wuthiekanun V, Simpson AJ (May 2007). "Evaluation of the Wayson stain for the rapid diagnosis of melioidosis". Journal of clinical microbiology 45 (5): 1669–70.
14.Ashdown LR (1979). "An improved screening technique for isolation of Pseudomonas pseudomallei from clinical specimens". Pathology 11 (2): 293–7.
15.Inglis TJ, Chiang D, Lee GS, Chor-Kiang L (February 1998). "Potential misidentification of Burkholderia pseudomallei by API 20NE". Pathology 30 (1): 62–4.
16.Lowe P, Engler C, Norton R (December 2002). "Comparison of automated and nonautomated systems for identification of Burkholderia pseudomallei". Journal of clinical microbiology 40 (12): 4625–7.
17.Kite-Powell A, Livengood JR, Suarez J, et al. (2006). "Imported Melioidosis—South Florida, 2005". Morb Mortal Wkly Rep 55 (32): 873–76.
18.Amornchai P, Chierakul W, Wuthiekanun V, et al. (November 2007). "Accuracy of Burkholderia pseudomallei identification using the API 20NE system and a latex agglutination test". Journal of clinical microbiology 45 (11): 3774–6.
19.Moore RA, DeShazer D, Reckseidler S, Weissman A, Woods DE (March 1999). "Efflux-mediated aminoglycoside and macrolide resistance in Burkholderia pseudomallei". Antimicrobial agents and chemotherapy 43 (3): 465–70.
20.Wuthiekanun V, Peacock SJ (June 2006). "Management of melioidosis". Expert review of anti-infective therapy 4 (3): 445–55.
21.Hodgson K, Engler C, Govan B, et al. (2009). "A comparison of routine bench and molecular diagnostic methods in the identification of Burkholderia pseudomallei". J Clin Microbiol 47 (5): 1578–80.
22.Ruppitsch W, Stöger A, Indra A, et al. (March 2007). "Suitability of partial 16S ribosomal RNA gene sequence analysis for the identification of dangerous bacterial pathogens". Journal of applied microbiology 102 (3): 852–9.
23.Wattiau P, Van Hessche M, Neubauer H, Zachariah R, Wernery U, Imberechts H (March 2007). "Identification of Burkholderia pseudomallei and related bacteria by multiple-locus sequence typing-derived PCR and real-time PCR". Journal of clinical microbiology 45 (3): 1045–8.
24.Wuthiekanun V, Desakorn V, Wongsuvan G, et al. (April 2005). "Rapid immunofluorescence microscopy for diagnosis of melioidosis". Clinical and diagnostic laboratory immunology 12 (4): 555–6.
25.Miller, WR; Pannell, L; Cravitz, L; Tanner, WA; Ingalls, MS (1948). "Studies on certain biological characteristics of Malleomyces mallei and Malleomyces pseudomallei: I. Morphology, cultivation, viability, and isolation from contaminated specimens". J Bacteriol 55 (1): 115–126.
26.Wuthiekanun V, Wongsuwan G, Pangmee S, Teerawattanasook N, Day NP, Peacock SJ (2010). "Perasafe, Virkon and bleach are bactericidal for Burkholderia pseudomallei, a select agent and the cause of melioidosis". J Hosp Infect.
27.Howard K, Inglis TJJ (2003). "The effect of free chlorine on Burkholderia pseudomallei in potable water". Water Res 37 (18): 4425–4432.
28.Howard K, Inglis TJJ (2005). "Disinfection of Burkholderia pseudomallei in potable water". Water Res 39 (6): 1085–1092.
29.White NJ, Dance DA, Chaowagul W, Wattanagoon Y, Wuthiekanun V, Pitakwatchara N (September 1989). "Halving of mortality of severe melioidosis by ceftazidime". Lancet 2 (8665): 697–701.
30.Lumbiganon P, Tattawasatra U, Chetchotisakd P, et al. (2000). "Comparison between the antimicrobial susceptibility of Burkholderia pseudomallei to trimethoprim-sulfamethoxazole by standard disk diffusion method and by minimal inhibitory concentration determination". J Med Assoc Thai 83 (8): 856–60.
31.Wuthiekanun V, Cheng AC, Chierakul W, et al. (2005). "Trimethoprim/sulfamethoxazole resistance in clinical isolates of Burkholderia pseudomallei". J Antimicrob Chemother 55 (6): 1029–31.
32.Saraya S, Soontornpas C, Chindavijak B, Mootsikapun P (2009). "In vitro interactions between cotrimoxazole and doxycycline in Burkholderia pseudomallei: how important is this combination in maintenance therapy of melioidosis?". Indian J Med Microbiol 27 (1): 88–9.
33.Trunck LA; Propst, KL; Wuthiekanun, V; Tuanyok, A; Beckstrom-Sternberg, SM; Beckstrom-Sternberg, JS; Peacock, SJ; Keim, P et al. (2009). "Molecular basis of rare aminoglycoside susceptibility and pathogenesis of Burkholderia pseudomallei clinical isolates from Thailand". PLoS Negl Trop Dis 3 (9): e519.
34.Ashdown, LR (1979). "Identification of Pseudomonas pseudomallei in the clinical laboratory". J Clin Pathol 32 (5): 500–04.
35.Kespichayawattana W, Intachote P, Utaisincharoen P, Stitaya Sirisinha S (2004). "Virulent Burkholderia pseudomallei is more efficient than avirulent Burkholderia thailandensis in invasion of and adherence to cultured human epithelial cells". Microbial Pathogenesis 36 (5): 287–29.
36.Nandi T, ong C, Singh AP, Boddey J, Atkins T, Sarkar-Tyson M, Essex-Lopresti AE, Chua HH, Pearson T, Kreisberg JF, Nilsson C, Ariyaratne P, Ronning C, Losada L, Ruan Y, Sung WK, Woods D, Titball RW, Beacham I, Peak I, Keim P, Nierman WC, Tan P (2010). "A genomic survey of positive selection in Burkholderia pseudomallei provides insights into the evolution of accidental virulence". PLoS Pathog. 6 (4): e1000845.
37.Sim SH, Yu Y, Lin CH, et al. (October 2008). "The core and accessory genomes of Burkholderia pseudomallei: implications for human melioidosis". PLoS Pathog. 4 (10): e1000178.
38.Kespichayawattana W, Rattanachetkul S, Wanun T, et al. (2000). "Burkholderia pseudomallei induces cell fusion and actin-associated membrane protrusion: a possible mechanism for cell-to-cell spreading". Infect. Immun. 68 (9): 5377–84.
39.Shalom G, Shaw JG, Thomas MS (August 2007). "In vivo expression technology identifies a type VI secretion system locus in Burkholderia pseudomallei that is induced upon invasion of macrophages". Microbiology 153 (Pt 8): 2689–99.
40.Price EP, Hornstra HM, Limmathurotsakul D, et al. (2010). "Within-host evolution of Burkholderia pseudomallei in four cases of acute melioidosis". PLoS Pathog. 6 (1): e1000725.
41.Mima T, Schweizer HP (2010). "The BpeAB-OprB efflux pump of Burkholderia pseudomallei 1026b does not play a role in quorum sensing, virulence factor production or extrusion of aminoglycosides but is a broad-spectrum drug efflux system". Antimicrob. Agents Chemother. 54 (8): 3113–20.