Giới thiệu
Sốt rét trong quá trình mang thai là mối nguy hay phản ứng có hại cho cả người mẹ và thai nhi, bao gồm thiếu máu thai sản, chết thai, sinh non, chậm phát triển trong tử cung và trẻ sinh ra có cân nặng thấp (< 2500 g hoặc < 5.5 pounds). Đây là một vấn đề đặc biệt cho phụ nữ có thai 3 tháng đầu và 3 tháng giữa và đặc biệt hơn trên phụ nữ mang thai mắc sốt rét trên cơ địa bệnh nền có HIV dương tính. Bệnh sốt rét đe dọa ít nhất 24 triệu phụ nữ mang thai (PNMT) mỗi năm tại châu Phi-một lục địa chịu tác động nặng nề nhất về sốt rét và một căn bệnh truyền nhiẽm khác, kể cả đại dịch AIDS so với các vùng khác trên thế giới (theo thông tin từ WHO, 2005). Sốt rét gây thiếu máu và dẫn đến sinh non, sẩy thai và giảm cân nặng của trẻ sơ sinh. Theo tổng hợp từ Ngân hàng thế giới (WB_World Bank), hơn 1 triệu người chết mỗi năm vì sốt rét, hầu hết là trẻ em nên việc bảo vệ quần thể có nguy cơ bị sốt rét là tập trung vào nổ lực của toàn cầu để đẩy lùi sốt rét ("Roll back malaria”). Trong khi sử dụng những thuốc đặc hiệu và dùng màn tẩm hóa chất bảo vệ đã khiến giảm đáng kể số ca sốt rét ở các quốc gia châu Phi và các nổ lực liên tục cũng như nhân rộng cần thiết phải phát huy, tập trung vào bảo vệ cho các nhóm đối tượng nguy cơ nhất là phụ nữ mang thai (PNMT) và trẻ em.
Gần 300-500 triệu trường hợp sốt rét mỗi năm ở vùng cận sa mạc Sahara châu Phi. Mặc dù, hầu hết mọi người đang sống trong những vùng sốt rét đã “tạo” được miễn dịch bảo vệ,nhưng nguy cơ nhiễm bệnh sốt rét ở PNMT vẫn tăng lên do thay đổi nồng độ hormon và hệ thống miễn dịch vốn có trên cơ thể họ. PNMT lần đầu là một trong những yếu tố dễ mắc nhất. Phụ nữ mang thai nếu mắc sốt rét sẽ tăng nguy cơ thiếu máu và sẩy thai, cũng như trẻ sinh ra có nguy cơ chết non, sinh non, chậm phát triển trong tử cung và cân nặng thấp.
Theo mạng lưới sốt rét và phụ nữ mang thai (Malaria and Pregnancy Network)- một Hội được thành lập để chia sẻ thông tin giữa những người PNMT và bệnh sốt rét về các nghiên cứu sốt rét, các phòng trị bệnh,… cũng như các biện pháp phòng chống cũng như chia sẻ thông tin về sức khỏe sinh sản và bà mẹ, trẻ em. Được biết sốt rét gây ra 15% số ca thiếu máu ở bà mẹ mang thai và 35% số ca trẻ sinh ra có cân nặng thấp. Cân nặng trẻ thấp có thể dẫn đến tử vong sơ sinh, các nhà nghiên cứu của Trung tâm phòng chống bệnh tật Mỹ (U.S. Centers for Disease Control and Prevention) ước tính trên toàn cầu có khoảng 75.000-200.000 cái chết của trẻ sơ sinh mỗi năm có liên quan đến mắc sốt rét trong thời gian bà mẹ của chúng mang thai. Sốt rét, bản thân nó cũng góp phần vào những cái chết của PNMT và ngược lại PNMT khá nhạy cảm với các biến chứng của sốt rét; các biến chứng có thể là sốt rét ác tính thể não, suy thận cấp, tán huyết do phá hủy hồng cầu hàng loạt. Điều này tăng nguy cơ vào giai đoạn sớm của thời kỳ sau sinh. Bên cạnh đó, tại các quốc gia đang phát triển đặc biệt là châu Phi, PNMT nhiễm thêm HIV sẽ có nguy cơ lớn hơn vì liên đới đến phần nhau thau giữa máu mẹ và thai (sự sao chép và nhân lên của virus và ký sinh trùng sốt rét trong nhau thai sẽ làm tăng nguy cơ thiếu oxy và giảm trao đổi vi chất với bào thai), khi đó nhiễm ký sinh trùng sẽ nặng nề và nguy hiểm hơn, nên sức đề kháng sẽ không còn tốt để bảo vệ cho mẹ và cả thai nhi.
Sốt rét ở PNMT là vấn đề y tế sản khoa của xã hội rất quan trọng, đòi hỏi có giải pháp đa phương và sự vào cuộc của đa ngành, PNMT lại là bệnh nhân và nhóm nguy cơ chính bị sốt rét và vì vậy chúng ta không ngạc nhiên tại sao khoảng 80% cái chết do sốt rét rơi vào đối tượng PNMT và trẻ em dưới 5 tuổi. Tại châu Phi tử vong chu sinh do sốt rét khoảng 1/500 ngày. Trong những vùng sốt rét lưu hành, khoảng 20-40% trẻ sơ sinh có cân nặng thấp,…chính vì những vấn đề cấp bách trên nên Chiến lược Đẩy lùi sốt rét (RBM) xem sốt rét ở PNMT là một trong những trong tâm ưu tiên giải quyết. Sốt rét và thai nghén và một tình trạng “đồng hành” khiến bệnh nghiêm trọng hơn. Những thay đổi sinh lý trong thời gian mang thai và thay đổi bệnh học trong sốt rét ở đối tượng này đã tạo nên một hiệu ứng cộng hưởng, tình trạng mỗi bên càng thêm phức tạp. Do vậy, việc điều trị cho các đối tượng bệnh nhân như thế càng phải khẩn cấp. Những phụ nữ mang thai lần đầu hoặc không có miễn dịch thường bị tác động nhiều nhất. Trên PNMT, tỷ lệ mắc bệnh do sốt rét thường đề cập cả thiếu máu, hạ đường huyết, sốt cao, sốt rét ác tính thể não, nhiễm trùng sản khoa, phù phổi cấp và tỷ lệ tử vong cũng như dấu chứng xuất huyết sản khoa càng tăng. Các vấn đề liên đới đến trẻ sơ sinh gồm có cân nặng thấp, sinh non, chậm phát triển trong tử cung và tử vong chu sinh cao.
Vấn đề nhiễm sốt rét gây một số phần hơi khác nhau tỏng các vùng lan truyền sốt rét khác nhau: vùng lan truyền ổn định (cao) hoặc không ổn định (thấp).
·Trong các vùng lan truyền cao, thì những phụ nữ lại có miễn dịch tăng dần lên rồi giảm dần đi về mức độ miễn dịch chống lại bệnh sốt rét trong suốt quá trình mang thai. Nhiễm sốt rét có thể dẫn đến thiếu máu nặng ở người mẹ và sinh ra con thấp cân.
·Tại các vùng lan truyền thấp, nói chung phụ nữ không óc phát triển miễn dịch với sốt rét. Nhiễm sốt rét có thể dẫn đến nghiêm trọng, thiếu máu nặng, sinh non hoặc chết thai.
Sống trong nguy cơ: sốt rét trên cơ địa phụ nữ mang thai
Tại châu Phi, 30 triệu phụ nữ có thai đang sống trong các vùng sốt rét lưu hành mỗi năm. Đối với các phụ nữ này, sốt rét là mối đe dọa cho chính họ và những đứa con thân yêu. Mỗi năm có thể lên đến 200.000 trẻ swo sinh tử vong do hậu quả sốt rét trên phụ nữ mang thai. Đặc biệt phụ nữ mang thai là đối tượng nhạy cảm dễ bị tấn công vì mức độ miễn dịch suy giảm thấp do sốt rét trong thời gian mang thai khiến họ dễ mắc và nếu có thì tăng nguy cơ bênh nặng cũng như các biến chứng nghiêm trọng như là thiếu máu nặng, sẩy thai tự phát, thai lưu, tử vong cả mẹ lẫn con, trẻ sinh ra có cân nặng thấp và dẫn đến tử vong trẻ em. Vấn đề này từ lâu đã bị lãng quên, song các tiếp cận mới đã là niềm hy vọng sẽ giảm gánh nặng bệnh tật trên phụ nữ mang thai và liên quan đến sức khỏe bà mẹ và trẻ em. Dựa trên các bằng chứng sẵn có, WHO khuyên 3 tiếp cần cần hướng đến để quản lý và phòng bệnh sốt rét cho phụ nữ mang thai: cung cấp và hướng dẫn sử dụng màn tẩm hóa chất, điều trị dự phòng từng đợt và quản lý ca bệnh hiệu quả và an toàn.
 |  |
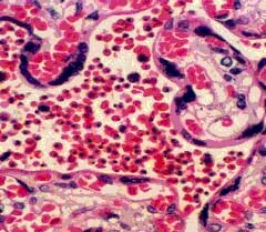
Nhau thai nhiễm KSTSR, khoảng không giữa các mao rau thai được lấp đầy bởi các tế bào hồng cầu, chủ yếu nhiễm loạiP.falciparum. Nhau bị nhiễm KSTSR không duy trì chức năng bình thường để cung cấp vi chất dinh dưỡng cho thai. | Nhau thai nhiễm KSTSR bi lấp đầy hồng cầu và ký sinh trùng gây tắc nghẽn vi mạch máu à suy thai và một số hậu quả nghiêm trọng khác |
Ngủ trong màn tẩm hóa chất vẫn là chiến lược quan trọng trong bảo vệ phụ nữ mang thai vả trẻ của họ khỏi bị muỗi sốt rét đốt. Ngoài ra, trong các vùng sốt rét lan truyền vừa và nặng với loài Plasmodium falciparum (loài lưu hành nặng nhất ở châu Phi), vấn đề điều trị từng đợt bằng thuốc sốt rét đặc hiệu sẽ là biện pháp hữu hiệu phòng sốt rét cho phụ nữ mang thai. Khuyến cáo hiện tại là cho ít nhất 2 liều thuốc đặc hiệu, an toàn (hiện dùng là sulphadoxine-pyrimethamine) cho tất cả phụ nữ mang thai đang sống trong các vùng này.
Trong các vùng lan truyền sốt rét không ổn định hoặc lan truyền thấp, phụ nữ mang thai có miễn dịch thấp và vì thế sẽ có nguy cơ gấp 2-3 lần so với phụ nữ không mang thai. Trong các vùng thế này thì sử dụng ITNs và quản lý ca bệnh có sốt hoặc sốt rét xác dịnh kịp thời là các chiến lược chính trong điều trị và dự phòng sốt rét. Tại khu vực cạn sa mạc Sahara, châu Phi- vùng khó khăn nhất của thế giới đang đối mặt với sốt rét. Nhiễm sốt rét ước tính có thể gây 400.000 ca thiếu máu nặng ở phụ nữ mang thai và 75.000-200.000 trẻ em tử vong hàng năm. Thiếu máu ở mẹ góp phần có ý nghĩa vào tỷ lẹ tử vong ở mẹ và ước tính khoảng 10.000 ca tử vong mỗi năm. Sinh con có cân nặng thấp là một yếu tố nguy cơ lớn nhất cho tử vong sơ sinh và yếu tố chính góp phần vào tử vong trẻ em tại các vùng này. Mặc dù nhiều yếu tố cũng góp phần vào tình trạng cân nặng thấp, nhưng sốt rét vẫn là yếu tố chính cùng với quá trình suy dưỡng, thiếu máu chung và các nhiễm trùng khác bị quy kết là có can thiệp vào quá trình mang thai của phụ nữ.
Ảnh hưởng của sốt rét trong thời gian mang thai
Sinh lý bệnh sốt rét ở phụ nữ mang thai là đáng chú ý do cơ địa đặc biệt có sự thay đổi miễn dịch và sự xuất hiện của một “cơ quan mới” trong cơ thể người mẹ gọi là bánh nhau. Một khi có sụt giảm miễn dịch đáng kể, đặc biệt mang thai con so thì nhiễm bệnh càng nặng hơn; Ngược lại, khi miễn dịch chống lại sốt rét đầy đủ và hiệu quả được truyền sang cho con thì tình trạng sốt rét bẩm sinh sẽ đỡ hơn rất nhiều! Hiện tại có nhiều giả thuyết khác nhau góp phần giải thích cơ chế sinh lý bệnhsốt rét trong thời gian mang thai như sau:
-Giả thuyết 1: trên cơ thể người mẹ mất miễn dịch chống lại sốt rét tức là sự ức chế miễn dịch nói chung của người PNMT kém; đáp ứng tăng sinh lympho bào giảm, dẫn đến tăng nồng độ cortisol huyết thanhà điều này ngăn cản hoặc có thể làm trì hoãn quá trình tử vong nhưng bù lại phụ nữ mang thai nhạy cảm với tình trạng nhiễm trùng và ký sinh trùng. Tuy nhiên, vấn đề này không giải thích được vì sao sự nhạy cảm với sốt rét giảm ở những phụ nữ sinh con rạ so với người mang thai con so;
-Giả thuyết 2: miễn dịch mất đi ở người mẹ là miễn dịch qua trung gian tế bào, nhưng miễn dịch qua trung gian kháng thể được truyền thụ động nên cơ địa người PNMT phải chịu đựng;
-Giả thuyết 3: bánh nhau là một “cơ quan mới” trong cơ thể PNMT lần đầu và cho phép ký sinh trùng sốt rét xem đó như cầu nối hoặc vị trí thuận lợi để nhân lên hoặc cũng như trao đổi miễn dịch ở vật chủ hoặc cho phép những kiểu hình đặc biệt của P. falciparum tự nhân lên nhiều lần. Do cơ chế như vậy, nên sự phát triển của hệ miễn dịch đặc hiệu bánh nhau vì thế giúp làm giảm nhạy cảm sốt rét ở những PNMT sau này. Gần đây, người ta phát hiện rằng ở những phụ nữ mang thai con rạ có thể hình thành những kháng thể không phụ thuộc dòng (strain-independent antibodies) chống lại ký sinh trùng đặc hiệu CSA-và chúng cho thấy làm giảm lượng ký sinh trùng sốt rét rất lớn. Tính nhạy cảm duy nhất của PNMT lần đầu (con so) với nhiễm trùng nhau thai có thể được giải thích là do họ không có miễn dịch chống lại các quần thể phụ (subpopulation) của ký sinh trùng sốt rét;
-Giả thuyết 4: cơ địa người phụ nữ mang thai cho thấy có những sai số liên quan đến type- 2 cytokines nên nhạy cảm với các bệnh đòi hỏi đáp ứng type 1 giống như của bệnh lao, sốt rét vàleishmaniasis,…Tuy nhiên, ở những PNMT nhiễm bệnh có sự thay đổi cân bằng giữa môi trường nhau thai tại chỗ từ Th2 với Th1, phù hợp với lượng lớn tế bào mono trong bánh nhau bị nhiễm. Nồng độ IL-10 giảm, trong khi các yếu tố interferon IFN-gama, interleukine IL-2, chỉ điểm yếu tố hoại tử mô TNF-α cho đáp ứng type-1 Cytokine tăng lên. Các cytokines tiền viêm này giúp giải thích cho cơ chế bệnh học sốt rét ở PNMT. Nồng độ TNF-αtăng có liên quan đến thiếu máu nặng ở người mẹ; triệu chứng học của sốt rét và tăng cytokine tại chỗ góp phần cho hậu quả và tiên lượng nặng đến người PNMT.
P. falciparum là ký sinh trùng duy nhất có khả năng kết dính tế bào và phân tử như CD36 và phân tử 1 kết dính nội bào có liên quan đến sự hình thành sốt rét ác tính ở trẻ sơ sinh và những phụ nữ không mang thai. Chondroitin sulfate A và hyaluronic acid có vai trò như các phân tử kết dính của ký sinh trùng sốt rét dính vào tế bào nhau thai. Các cầu nối được coi là sự liên hệ giữa ký sinh trùng PfCSA-L với nhau mang tính kháng nguyên trong số những ca sốt rét PNMT trên phạm vi toàn cầu, điều này cho thấy duy nhất quần thể phụ của P. falciparum không gắn kết với CD36 được. Sự ẩn cư của ký sinh trùng dọc theo bề mặt màng bánh nhau, đặc biệt các vi mao tại trophoblastic,extravillous trophoblasts và cầu nối hợp bào. Các khoảng giữa vi nhung mao chứa đầy ký sinh trùng và đại thực bào, nên sẽ ngăn cản vi chất dinh dưỡng và oxy vận chuyển qua phôi thai một cách đầy đủ như những bà mẹ mang thai không bị sốt rét. Các vi nhung mao phì đại và hoại tử, gây fibrin hóa (hoàn toàn hoặc bán phần) cũng đã được tìm thấy. Tất cả mô nhau thau đều xuất hiện các hạt pigment sốt rét (thậm chí có hoặc không có ký sinh trùng). Tất cả sự thay đổi này làm cản trở quá trình vận chuyển vi chất và oxy, có thể gây xuất huyết toàn thân, dẫn đến nhiều biến chứng ở trẻ và tính mạng bà mẹ.
Điểm qua sơ đồ dưới đây đã tóm lược các tác hại nghiêm trọng trên cả 3 đối tượng trong những giai đoạn khác nhau của thai kỳ do sốt rét gây ra. Đối với mẹ, có thể xuất hiện ký sinh trùng sốt rét trong máu rất cao, tỷ lệ lách lớn, thiếu máu, do sụt giảm miễn dịch nên dễ đưa đến sốt rét thường sang sốt rét ác tính, đặc biệt thể não; hạ đường huyết, nhiễm trùng sản khoa, xuất huyết và nhiều biến chứng đa phủ tạng, thậm chí tử vong.
Đối với thai nhi có thể thai lưu, sẩy thai, đẻ non và nhiễm sót rét bẩm sinh. Trên trẻ sơ sinh thì có cân nặng thấp, chậm phát triển trong tử cung, tủ vong sớm,…
Nếu sản phụ có đồng nhiễm với HIV hoặc bệnh nền nặng, mạn tính khác thì nguy cơ cũng như các biến chứng khác càng nghiêm trọng hơn, xem một nghiên cứu minh họa dưới đây. Sốt rét và lao hay sốt rét và HIV/AIDS là thường đồng hành với nhau tại các quốc gia châu Phi, khi đó bệnh diễn diến nặng hơn gấp nhiều lần và đe dọa tử vong rất cao do tình trạng suy giảm miễn dịch cơ thể trên người mẹ, hệ thống chăm sóc y tế thiếu và yếu, quản lý ca bệnh không thấu đáo,…
Một số biến chứng do sốt rét trong thời gian mang thai
Nếu sốt rét trên cơ địa không mang thai thì biến chứng hiếm hơn, song trên cơ địa PNMT thì thường hay gặp và nặng hơn. Một bệnh nhân sốt rét có thai có thể xuất hiện các biến chứng đột ngột: phù phổi cấp, hạ đường huyết, thiếu máu, vàng da, co giật, thay đổi giác quan, nhận thức, hôn mê, nôn mửa, tiêu chảy và một số biến chứng nghiêm trọng khác;
-Thiếu máu: sốt rét có thể gây thiếu máu nặng thêm, có thể do các nguyên do [1] tan huyết ở hồng cầu bị ký sinh rất nhiều, [2] tăng nhu cầu trao đổi oxygen trong giai đoạn thai kỳ và [3] thiếu acide folic. Thiếu máu do sốt rét là một trong những biến chứng hay gặp nhất và nghiêm trọng ở giai đoạn tuổi thai nằm trong 16-29 tuần tuổi. Biến chứng có thể xuất hiện đột ngột, trong trường hợp sốt rét nặng và mật độ ký sinh trùng cao kèm với thiếu sắt và acide folic sẵn có sẽ diễn tiến thêm trầm trọng;
Thiếu máu làm tăng tử vong chu sinh cũng như mắc các bệnh khác ở người mẹ, tăng nguy cơ phù phổi cấp, xuất huyết sau sinh cũng gặp rất cao. Thiếu máu thật sự (Hb < 7-8 g%) đòi hỏi phải truyền máu. Quan điểm để tăng thể tích tuần hoàn trên phụ nữ mang thai là truyền hồng cầu khối tốt hơn truyền máu toàn phần. Truyền nhanh, đặc biệt chú ý máu toàn phần có thể gây phù phổi cấp;
-Phù phổi cấp: Phù phổi cấp cũng là một biến chứng nghiêm trọng trong bệnh sốt rét ở phụ nữ mang thai so với những phụ nữ không mang thai. Nếu có, có thể là biến chứng ắt có hay chỉ xuất hiện một cách đột ngột sau vài ngày phát bệnh, biến chứng này hay gặp ở thai kỳ 3 tháng giữa và 3 tháng cuối;
Biến chứng phù phổi cấp có thể xuất hiện một cách đột ngột sau sinh con do truyền máu tự thân từ máu nhau thai vốn chứa một tỷ lệ lớn hồng cầu bị ký sinh và tăng sức đề kháng của tuần hoàn ngoại vi sau sinh cũng góp phần vào đó. Cơ chế còn có thể do thiếu máu sẵn có và sự thay đổi huyết động trong quá trình thai nghén, cần lưu ý phù phổi cấp có thể dẫn đến tử vong rất cao.
-Hạ đường huyết: Đây là một biến chứng của sốt rét một cách lạ thường trên những phụ nữ mang thai. Các yếu tố góp phần gây nên hạ đường huyết:
+Tăng nhu cầu chuyển hóa của cơ thể và tăng nhiễm ký sinh;
+Đáp ứng hạ đường huyết đi kèm theo cơn đói;
+Tăng đáp ứng với đảo tụy để kích thích tiết (giống cơ chế thuốc quinine) dẫn đến tăng insuline máu và hậu quả làm giảm đường huyết.
Hạ đường huyết trên những bệnh nhân này có thể không có triệu chứng, khó phát hiện. Bởi vì tất cả triệu chứng của hạ đường huyết cũng nằm trong triệu chứng của sốt rét, tức là có nhịp tim nhanh, ra mồ hôi, chóng mặt, choáng váng,…Một số bệnh nhân có những hành vi bất thường, co giật, thay đổi giác quan, cảm nhận, mất ý thức,…Các triệu chứng của hạ đường huyết dễ dàng lẫn trong triệu chứng của sốt rét ác tính thể não. Do vậy, tất cả phụ nữ mang thai mắc sốt rét do P.falciparum, đặc biệt điều trị bằng quinine thì xét nghiệm và giám sát đường huyết mỗi 4-6 giờ là cần thiết. Hạ đường huyết có thể tái phát và do vậy nên giám sát thường xuyên. Trong một số trường hợp, nó có thể liên quan đến nhiễm toan và các trường hợp như thế tỷ lệ tử vong sẽ rất cao. Hạ đường huyết ở bà mẹ có thể gây ra tử vong con mà không phát hiện thêm triệu chứng nào khác.
Một vấn đề nữa khiến cho sốt rét trong thời gian mang thai nặng nề hơn với những biến chứng đe dọa tử vong cao hơn là hiện tượng ức chế và “kìm hãm” miễn dịch. Điều đó làm cho sốt rét trên các đối tượng này trở nên nghiêm trọng. Sự thay đổi hormon trong thời gian mang thai, giảm tổng hợp Ig, giảm chức năng hệ thống hệ lưới nội mô là nguyên nhân dẫn đến ức chế miễn dịch ở người PNMT. Hậu quả này làm giảm đi miễn dịch mắc phải với sốt rét, khiến cho PNMT nhạy với sốt rét hơn, bệnh diễn tiến nặng hơn và mật độ ký sinh trùng sốt rét cao hơn. Bệnh nhân dễ có cơn kịch phát và tái phát hơn. Nhiễm trùng thứ phát ở hệ tiết niệu và hô hấp và sốt rét thể giá lạnh (sốc do nhiễm trùng huyết) thường gặp ở PNMT bị sốt rét do suy giảm miễn dịch.
Nguy cơ cho phôi thai trong sốt rét thai nghén
Sốt rét ở PNMT là một bất lợi cho thai nhi, tình trạng sốt cao, suy bánh nhau, hạ đường huyết và một số biến chứng khác có thể gây ảnh hưởng bất lợi cho thai nhi. Cả sốt rét do P. vivax và P. falciparum đều có thể là vấn đề cho thai và phôi cũng như biến chứng muộn nghiêm trọng. Tử vong trước sinh và tử vong sơ sinh chiếm khoảng 15-70%. Trong một nghiên cứu khác, tỷ lệ tử vong do sốt rét P.vivax trong thời gian mang thai là 15.7%, trong khi với P.falciparum là 33.0%. Sẩy thai tự phát, sinh non, thai lưu, suy bánh nhau và chậm phát triển trong tử cung (tạm thời hay mạn tính), cận nặng thấp, suy thai là những khía cạnh cũng được phát hiện trên thai nhi đang phát triển.
Sự lây truyền sốt rét qua bánh nhau lan rộng đến phôi thai có thể dẫn đến bệnh sốt rét bẩm sinh. Tỷ lệ sốt rét bẩm sinh hiếm xảy ra, tỷ lệ rất nhỏ, khoảng chừng < 5% trong tổng số các bà mẹ mang thai bị mắc sốt rét. Hàng rào bánh nhau và các kháng thể IgG đi qua nhau có thể bảo vệ phôi thai trong một số trường hợp. Tuy nhiên, con số này hay gặp ở quần thể không có miễn dịch và tỷ lệ tăng lên trong những vùng dịch khác nhau. Nồng độ quinine và chloroquine trong huyết tương của phôi thai khoảng 1/3 nồng độ thuốc trên cơ thể người mẹ khi điều trị, điều này cho thấy nồng độ thuốc dưới liều điều trị không đủ chữa khỏi nhiễm sốt rét ở phôi thai. Tất cả 4 chủng KSTSR đều có thể gây sốt rét bẩm sinh, nhưng tỷ lệ cao hơn vẫn là loài P. malariae. Những đứa trẻ mới sinh có thể có đặc điểm lâm sàng là sốt, kích thích quấy khóc, vấn đề bú không xảy ra bình thừơng, gan lách to, thiếu máu nặng, vàng da. Chẩn đoán có thể được xác định bằng xét nghiệm lam máu tìm KSTSR ở máu dây rốn, tại chỗ gót chân bất kỳ thời điểm nào trong một tuần đầu sau sinh.
Phòng và chống sốt rét trong thời gian mang thai
Tổ chức Y tế thế giới (WHO_The World Health Organization) hiện đang có hướng khuyên đối với phụ nữ 3 vấn đề để ngăn ngừa tác hại do sốt rét gây nên trong các vùng ở châu Phi với mức độ lan truyền cao về sốt rét do Plasmodium falciparum:
- Điều trị dự phòng từng đợt (Intermittent preventive treatment_IPT) bằng thuốc sốt rét;
- Sử dụng và nằm màn tẩm hóa chất (Insecticide-treated bed nets_ITN);
- Quản lý tốt các ca sốt rét có sốt.
Mỗi trong số biện pháp can thiệp này là cần cân nhắc đến an toàn, hiệu quả, chi phí vừa phải và có thể chuyển giao và phân phối dễ dàng được.
Các tiếp cận và chiến lược lồng ghép chăm sóc trước sinh cho phụ nữ mang thai
Nhiễm sốt rét trên phụ nữ mang thai là một vấn đề y tế công cộng nghiêm trọng tại các vùng nhiệt đới và cận nhiệt đới trên khắp thế giới. Tại hầu hết các vùng lưu hành trên thế giới, phụ nữ mang thai là nhóm đối tượng nguy cơ chính với sốt rét. Sốt rét trong thời gian mang thai đã được nghiên cứu đánh giá một cách rộng rãi ở phía nam của khu vực Sahara, châu Phi- nơi mà ở đó chiếm 90% gánh nặng về sốt rét. Gánh nặng về sốt rét trên phụ nữ mang thai chủ yếu do loài Plasmodium falciparum, cũng là loài nghiêm trọng nhất trên thế giới và châu Phi. Tác động của 3 loài còn lại (P. vivax, P. malariae, P. ovale) chưa rõ ràng. Mỗi năm có ít nhất 30 triệu phụ nữ mang thai trong các vùng sốt rét lưu hành của châu Phi bị ảnh hưởng và liên quan đến các vùng lan truyền sốt rét ổn định.
Triệu chứng và biến chứng của sốt rét trong thời gian mang thai khác nhau tùy theo mức độ lan truyền sốt rét và vì thế chúng còn liên quan đến miễn dịch thu được của phụ nữ mang thai đó có được. Trong khisự sắp đặt này cho thấy 2 tình trạng dịch tễ học khác nhau, nhưng thực tế thì cường độ lan truyền và mức độ miễn dịch trên phụ nữ mang thai có thể xảy ra liên tục, thường đa dạng trong diễn biến và có thể thay đổi có ý nghĩa trên phạm vi một quốc gia.
§Trong các vùng lưu hành hoặc lan truyền thấp (không ổn định), phụ nữ trưởng thành không có thu được một mức độ miễn dịch nào và thường phát thành bệnh khi nhiễm sốt rét do P. falciparum. Các phụ nữ mang thai sinh sống trong các vùng lan truyền thấp hoặc sốt rét không ổn định như thế (low or unstable malaria transmission) có nguy cơ bị bệnh sốt rét nặng gấp 2-3 lần hơn những đối tượng khác không mang thai cùng sống trong cùng một vùng. Tại các vùng như thế thì tử vong mẹ có thể trực tiếp sốt rét nặng hoặc gián tiếp do thiếu máu liên quan đến sốt rét. Ngoài ra, sốt rét trên các bà mẹ có thể dẫn đến các hậu quả trên thai kỳ như sẩy thai tự phát, tử vong chu sinh, sơ sinh và sinh con có cân nặng thấp (low birth weight_LBW);
§Trong các vùng sốt rét lan truyền từ mức độ vừa đến cao (high and moderate (stable) malaria transmission), hầu hết các phụ nữ trưởng thành phát triển không đầy đủ về mức độ miễn, ngay cả trong thời gian mang thai. Nhiễm sốt rét do P. falciparum không phải luôn luôn dẫn đến triệu chứng sốt hoặc các triệu chứng lâm sàng khác. Trên các vùng này, thì tác động chính của mắc sốt rét liên quan đến thiếu máu do sốt rét ở người mẹ và với sự có mặt của ký sinh trùng trong nhau thai. Hậu quả liên đới đến suy dưỡng thai nhi khiến cho trẻ sinh ra có trọng lượng thấp, dẫn đến nhiều hậu quả bắt cầu sau này. Tại các vùng lan truyền sốt rét ổn định ở châu Phi, nhiễm P. falciparum trong thời gian mang thai ước tính gây ra khoảng 10.000 cái chết ở mẹ mỗi năm và 8-14% trong số đó có cân nặng trẻ sinh ra thấp và 3-8% tử vong.
Mặc dù các thiệt hại do sốt rét gây ra chính xác trên phụ nữ mang thai và trẻ con của họ quá rõ, song mãi cho đến gần đây thì các vấn đề đó mới được quan tâm chứ trước đây bị lãng quên, chưa đến 5% số phụ nữ mang thai tiếp cận được sử dụng các biện pháp can thiệp hiệu quả. Các thông tin đầy hứa hẹn trong gần một thập niên qua đã góp phần cho chiến lược phòng chống sốt rét trên đối tượng phụ nữ mang thai hiệu quả hơn và cho thấy có ảnh hưởng đáng kể lên sức khỏe bà mẹ và trẻ em. Phòng chống sốt rét trong thời gian mang thai có 3 tiếp cận:
- Điều trị dự phòng từng đợt (IPT_intermittent preventive treatment);
- Sử dụng màn tẩm hóa chất;
- Quản lý ca bệnh sốt rét
Quả thật, tại hầu hết các quốc gia châu Phi, trên 70% phụ nữ mang thai đến các cơ sở dịch vụ y tế trước sinh để được nhận cơ hội phòng chống sốt rét cùng với một số bệnh ưu tiên khác có ảnh hưởng lên bà mẹ mang thai. Trong các vùng lan truyền sốt rét P. falciparum ổn định, phòng bệnh các trường hợp sốt rét không triệu chứng thông qua tiếp cận có 2 hướng là IPT và ITNs sẽ mang đến những kết quả và lợi ích lớn nhất.
§Điều trị dự phòng từng đợt (Intermittent preventive treatment_IPT) liên quan đến việc cấp thuốc cho tất cả phụ nữ mang thai ít nhất 2 liều điều trị dự phòng bằng thuốc sốt rét đặc hiệu trong suốt quá trình chăm sóc trước sinh tại cơ sở y tế. Phương pháp này tỏ ra có hiệu quả, an toàn và không đắt tiền. Một nghiên cứu tại Malawi đánh giá biện pháp tiếp cận loại IPT này đã cho kết quả làm giảm nhiễm ký sinh trùng trên nhau (32% xuống còn 23%) và số trẻ sinh ra có cân nặng thấp cũng giảm (23% còn 10%) và vấn đề này có lợi cho 75% số phụ nữ mang thai hưởng lợi hiệu quả từ IPT.
§Sử dụng màn tẩm hóa chất (Insecticide-treated nets_ITNs) làm giảm cả số ca sốt rét và tỷ lệ tử vong trên phụ nữ mang thai và trẻ em con của họ. Một nghiên cứu tiến hành tại vùng sốt rét lan truyền cao ở Kenya đã cho thấy phụ nữ được bảo vệ bằng ITNs mỗi tối trong suốt 4 lần mang thai đã giảm đi đến 25% trẻ sinh non và nhẹ cân. Ngoài ra, sử dụng các ITNs có ích cho trẻ ngủ với mẹ trong màn do giảm phơi nhiễm với sốt rét. ITNs nên cấp cho phụ nữ mang thai càng sớm càng tốt và sử sử dụng của họ nên khích lệ cho tất cả phụ nữ trong thời gian mang thai và sau giai đoạn hậu sản. Những chương trình giáo dục sức khỏe, giao tiếp xác hội và vận động quần chúng để làm giảm giá của ITNs và tẩm lại càng thêm khích lệ sử dụng ITNs ở các phụ nữ mang thai.
Trong các vùng sốt rét lưu hành không ổn định với loài P. falciparum, các phụ nữ mang thai không có miễn dịch phơi nhiễm với sốt rét đòi hỏi quản lý ca bệnh thích hợp, nhất là các ca có sốt. Hiện tại dù không có các công cụ hữu hiệu để phòng sốt rét cho phụ nữ không miễn dịch, thì ITNs sẽ giúp giảm phơi nhiễm với các muỗi nhiễm thoi trùng sốt rét đốt vào và vì thế sẽ mang lại hiệu quả làm giảm triệu chứng. Vì thế, các yếu tố cần thiết trong chăm sóc trước sinh trọn gói nên bao gồm cả chẩn đoán sốt rét (nếu sẵn có) và rất cần thiết cũng như điều trị bằng các thuốc đặc hiệu an toàn và đủ liệu trình cho một phụ nữ mang thai.
Roll Back Malaria-một đối tác của chương trình Making Pregnancy Safer, đã nhấn mạnh đến gánh nặng của sốt rét trên phụ nữ mang thai khi triển khai các chương trình phòng chống. Tuy nhiên, có những trở ngại chính để thực hiện các chương trình hiệu quả và tiếp cận đến những phụ nữ sao cho hưởng lợi nhiều nhất, đặc biệt nhóm nguy cơ thanh thiếu niên trong nhưng thai kỳ đầu. Nhiều phụ nữ châu Phi thiếu sự tiếp cận và được chăm sóc y tế và nhận các công cụ hữu hiệu như ITNs, đặc biệt ở vùng sâu vùng xa. Sự triển khai và phân phối các biện pháp phòng chống hiệu quả cho phụ nữ mang thai sẽ đòi hỏi các tiêu chí sau đây và làm thế nào phụ nữ mnag thai và trẻ em sẽ an toàn hơn và hạn chế tử vong đến mức tối thiểu:
·Tăng kiến thức về vấn đề này trong các công đồng bị ảnh hưởng bởi sốt rét;
·Hợp thành các công cụ phòng chống sốt rét hữu hiệu với các chương trình khác, nhằm vào phụ nữ mang thai và trẻ sơ sinh;
·Đẩy mạnh các hệ thống chăm sóc trước sinh và có tham vấn các kiến thức sinh cổ điển của họ trước khi triển khai các dịch vụ chăm sóc tại đó;
·Đầu tư tài chính thích hợp.
Cung cấp biện pháp can thiệp hiệu quả khắp hệ thống chăm sóc trước sinh
Khoảng 2/3 phụ nữ mang thai tại vùng sa mạc Sahara, châu Phi tham dự vào dịch vụ chăm sóc trước sinh ít nhất một lần trong suốt quá trình mang thai, đây là cơ hội chính để phòng bệnh sốt rét tốt nhất. Mục đích là để phân phối và triển khai các dịch vụ chăm sóc đến các phụ nữ mang thai như một phần nhiệm vụ trong chăm sóc trước sinh, cũng như sử dụng các trang thiết bị tại cơ sở có hiệu quả và đẩy mạnh những tồn tại cơ sở hạ tầng ở đó. Chiến lược này giờ đây như một phần lồng ghép của chương trình “Making Pregnancy Safer” của WHO, nhằm đẩy mạnh các dịch vụ chăm sóc trước sinh và cung cấp các biện phá dự phòng, điều trị và tư vấn để nâng cao tất cả khía cạnh y tế trên phụ nữ mang thai và trẻ sơ sinh.
Một nghiên cứu ngẫu nhiên có nhóm chứng giả dược với biện phá IPT tiến hành tại Gambia bằng thuốc Sulphadoxine-pyrimethamine trên phụ nữ mang thai mang thai con rạ, đăng trên tạp chí In Trop Med Int Health. 2006 Jul;11(7):992-1002 do nhóm tác giả Mbaye A, Richardson K, Balajo B, Dunyo S, Shulman C, Milligan P, Greenwood B, Walraven G. đang công tác tại Trung tâm nghiên cứu y học Fajara, Gambia. Kết quả cho biết mục đích nghiên cứu là dự phòng thiếu máu và thai cân nặng thấp trên các phụ nữ mang thai nhiều lần ngườiGambia đang sống tại vùng nông thôn với 2 nhóm gồm số người nhận điều trị SP (1346 phụ nữ) hay giả dược (1342 phụ nữ) đén 4 lần trong thời gian mang thai và theo dõi đến 6 tuàn sau sinh. Sau sinh không lâu, 10.7% phụ nữ trong nhóm nhận điều trị và 8.8% trong nhóm chứng thiếu máu nặng [Hb < 7 g/dl, khác biệt nguy cơ = 0.02 (95% CI -0.01, 0.04), p = 0.17]. Trung bình cân nặng trẻ sinh ra nhóm điều trị là 3103 g tương tự nhóm chứng là [3075 g; khác biệt = 28 g (95% CI -11 g, 67 g), P = 0.16]. Tuy nhiên, các nghiên cứu sau đó cho biết tại Tanzania, đông Phi cũng cho áp dụng biện pháp IPT bằng Sul/Pyr có hiệu quả cao trên 495 phụ nữ đưa vào nghiên cứu (African Journal of Public Health Vol.4 No.2, October 2007, p. 80)(Donath S.Tarimo và cs.,2007)
Trong vài trò đối tác của Roll Back Malaria Global Partnership, WHO đã làm việc với các tổ chức chính phủ, phi chính phủ, cơ quan song phương và các nàh tài trợ để khắc phục thử thách theo ý kiến hội đủ của mục tiêu Abuja đưa ra và làm giảm gánh nặng sốt rét trong thời gian mang thai. ITNs và IPT sẵn có cùng một phuowng thức chăm sóc trước sinh sẽ tạo ra một cơ hội tốt để bảo vệ hàng triệu phụ nữ châu Phi đang và sắp có thai cùng với con của họ mỗi năm.
Khắc phục các thử thách
Ngay từ hội nghị thượng đỉnh về sốt rét châu Phi tại Abuja, Nigeria năm 2000, các nàh đứng đầu châu Phi đã trình bày một cách chi tiết về các biện pháp phòng bệnh sốt rét hiện quả cho ít nhất 60% số phụ nữ mang thai vào năm 2005. Để đạt được mục tiêu này, một số thử thách sau phải khắc phục:
·Phân phổi và triển khai các biện pháp phòng bệnh sốt rét qua hệ thống chăm sóc trước sinh ở châu Phi đỏi hỏi phải mở rộng. tiếp cận này hiện đang là ngoại lệ hơn là quy luật bắt buộc. Tuy nhiên, các chương trình quy mô lớn hiện đang triển khai và một số quốc gia châu Phi đang tổng hợp các chính sách của họ theo hướng đi của WHO. Một số đã triển khai chiến lược như là chính sách;
·Những vấn đề chính liên quan vẫn phải xác đinh và lưu ý. Các vấn đề này bao gồm kháng thuốc và an toàn khi sử dụng các thuốc sốt rét khác nhau trong thời gian mang thai. Vì kháng thuốc gia tăng, nên các thử thách trong điều trị và dự phòng sốt rét trên phụ nữ mang thai càng lớn hơn; do vậy khi nghiên cứu lĩnh vực này là một ưu tiên. Cũng có một yêu cầu nghiên cứu phát triển các chiến lược phòng bệnh cho phụ nữ đang sống trong các vùng sốt rét lan truyền thấp hoặc không ổ định và vùng mà Plasmodium vivax xem là nghiêm trọng với phụ nữ mang thai;
·Các phụ nữ mang thai không tham dự vào chương trình chăm sóc trước sinh hoặc tham dự chỉ khi mới bắt đầu mang thai hoặc giai đoạn muộn của mang thai cần xem lại. Các chiến lược mới sẽ đòi hỏi khích lệ các phụ nữ tham gia nhiều hơn vào các dịch vụ chăm sóc trước sinh càng sớm càng tốt.