Da người là một đối tượng nghiên cứu cho các vấn đề về da, trong đó có những vấn đề liên quan đến bệnh lý dày sừng nang lông. Dày sừng nang lông (Keratosis pilaris) là một bệnh lý da thường gặp, vô hại gây ra do các mảng da khô, đỏ và bóng nhỏ li ti như u, thường xuất hiện ở mặt duỗi cánh tay trên, chẳng chân, đùi, gò má, mông. Các u hay bóng nhỏ li ti này thường không đay hay ngứa. Dù là vô hại và nhiều tác giả cho rằng không cần thiết điều trị nhưng ảnh hưởng về mặt thẩm mỹ và chất lượng cuộc sống của họ có ảnh hưởng không ít, nhất là khi bệnh nhân đó đang làm các công việc có giao tiếp-lại mất tự tin, xấu hổ.
Dày sừng nang lông thường được coi là một biến thể da bình thường. Nó không thể chữa khỏi hay ngăn ngừa được nhưng bạn có thể điều trị được bằng cách chất chống ẩm, kem thoa để giúp cải thiện số lần và diện xuất hiện trên da. Tình trạng này thường biến mất vào tuổi 30, nhưng vẫn có nhiều ca vẫn bị vào lứa tuổi lớn hơn.
Triệu chứng lâm sàng
Triệu chứng là có những sần nhỏ kích thước khoảng 1-2mm, màu hơi trắng hoặc xám. Vị trí thường gặp nhất là ở mặt ngoài 2 cánh tay, phần bên ngoài 2 đùi, ít hơn ở mông, cẳng tay, có thể gặp ở vùng mặt làm dễ lầm với mụn. Đôi khi vùng bị bệnh viêm đỏ ngứa. Bệnh không gây tác hại gì, chỉ ảnh hưởng đến thẩm mỹ. Khi chất sừng được cào cho tróc ra thì có thể thấy có một sợi lông nằm cong bên dưới, dùng tay khều thì sợi lông sẽ mọc lên được.
Hình 1. Tổn thương da trong bệnh dày dừng nang lông và cấu trúc minh họa
Do đặc trưng và biểu hiện lâm sàng của bệnh nên đôi khi còn có tên như tăng sừng (hyperkeratosis), sẩn sừng hóa nang lông (follicular keratotic papules) hay bệnh da gà (chicken skin).
Bệnh dày sừng nang lông phát sinh do vi khuẩn như tụ cầu vàng S. aureus và một ít trường hợp do nấm gây viêm nang lông cấp tính hoặc một số yếu tố sinh bệnh như: dinh dưỡng kém, suy giảm miễn dịch, chấn thương, môi trường vệ sinh kém, tiếp xúc hóa chất…thường là mụn mủ hoặc sẩn, mụn mủ ở nang lông, xung quanh có quầng viêm đỏ, nhìn kỹ thấy sợi lông xuyên qua ở giữa, thường gặp ở da đầu, mặt, nách, lông mày.. rất ngứa. Nếu bệnh viêm nang lông ở đầu, mặt: là các sẩn mụn đỏ, có khi loang khắp đầu, mặt, nách, lông mu. Nếu viêm nang lông ở râu bệnh sẽ nặng lên sau mỗi lần cạo râu.

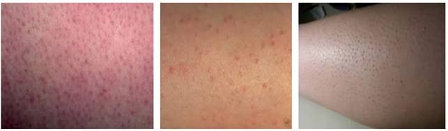
Hình 2
Bệnh không xảy ra ở vùng không có nang lông như lòng bàn tay, lòng bàn chân. Có một số người có tình trạng da khô vảy cá đi kèm. Bệnh dày sừng nang lông kéo dài quanh năm, bệnh thường kéo dài nhiều năm, đến tuổi trung niên bệnh giảm hoặc tự mất.
Dày sừng nang lông có thể xảy ra ở bất cứ lứa tuổi nào, nhưng thường thấy ở trẻ em nhỏ. Các dấu chứng và triệu chứng có thể gặp gồm có:
·Các nốt, u hay bóng nhỏ li ti nổi lên bề mặt da không đau, điển hình trên các cánh tay, đùi, gò má, mông;
·Da khô, đỏ da tại các vùng có u li ti đó;
·Tình trạng sẽ tệ hơn khi có sự thay đổi thời tiết theo mùa, gây do độ ẩm thấp và da có xu hướng khô hơn;
·Các u, núm trên đầu chân lông li ti tựa như các tờ giấy nhám trên da thịt.
Nút/ núm keratin (Keratin plug)
Dày sừng nang lông do hình thành các chất keratin từ một loại protein cứng trên da từ các chất gây hại và nhiễm trùng. Keratin hình thành các nút dạng vảy do tắc nghẽn lỗ mở của các chân lông, nang tóc. Thường có nhiều nút hình thành cùng lúc, gây nên các mảng đỏ da, thô ráp, nhám như cát trên da.
Không ai biết chính xác cơ chế tại sao keratin hình thành, nhưng chúng thường diễn ra có liên quan đến bệnh rối loạn di truyền hay từ các bệnh da khác như viêm da cơ địa (atopic dermatitis). Da khô có xu hướng tồi tệ hơn. Các nút, núm này thường có màu trắng sáng. Vị trí mà chúng thường xuất hiện là trên cánh tay, đùi, mông, đôi khi trên vùng đỏ da và sưng phồng. Chúng cũng có thể xuất hiện trên mặt nhưng hiếm hơn.

Hình 3. Vị trí thương tổn do dày sừng nang lông trên cơ thể và có núm
Ngoại trừ một số trường hợp gây ngứa, viêm nang lông dày sừng thường không đau và không nghiêm trọng. Nhiều trẻ em và thiếu niên có mắc bệnh sẽ biến mất khi chúng trưởng thành.
Hình thành những chấm gồ nhỏ trên da sờ vào nhám giống như da gà, lông có thể gãy ngang thành những chấm đen hoặc có thể teo xoắn ở cổ nang lông. Có một số người lại nhầm tưởng chúng là những cái mụn nhỏ.

Hình 4
Ngoài ra, một số trường hợp do nấm gây viêm nang lông cấp tính hoặc do yếu tố sinh bệnh như dinh dưỡng kém, cơ địa suy giảm miễn dịch, sang chấn, môi trường vệ sinh kém. Những yếu tố làm gia tăng nguy cơ mắc phải dày sừng nang lông đó là hay xuất hiện ở những người có da khô, viêm da cơ địa, thừa cân, béo phì, mày đay mạn tính,...

Hình 5

Hình 6
Nguyên nhân & Yếu tố nguy cơ
Đến nay nguyên nhân của bệnh dày sừng nang lông vẫn có nhiều quan điểm và chưa rõ ràng. Tuy nhiên, bệnh thường xuất hiện ở những người có cơ đại da khô. Đa số các nhà chuyên môn cho rằng đây là bệnh liên quan đến thiếu vitamin A, vitamin C, thiểu năng tuyến giáp, nghề nghiệp có phơi nhiễm/ tiếp xúc với hóa chất, có liên quan đến thể tạng dị ứng.
Dày sừng nang lông có thể do sự tích tụ chất keratin nhiều ở lỗ chân lông. Keratin là loại protein tự nhiên của da, bình thường nó được tạo ra một cách tự nhiên, khi tắm và kỳ cọ mạnh thì chất này sẽ bị bong tróc ra. Trong bệnh dày sừng nang lông thì chất keratin được tạo ra nhiều hơn một cách bất thường làm bít lỗ chân lông, khiến sợi lông không mọc ra ngoài được. Đây là bệnh có thể có liên quan đến yếu tố di truyền.

Hình 7
Tình trạng này gây ra bởi sự sừng hóa phần lót bên trên của nang lông, thay vì được bong ra như sinh lý bình thường thì những vảy da trở nên lấp đầy tổ chức nang lông.
Có yếu tố về di truyền liên quan đến bệnh lý này với đặc điểm di truyền đột biến trội nhiễm sắc thể thường. Điều này có nghĩa rằng có đến một nửa số trẻ em của những người bị ảnh hưởng có thể xuất hiện những dấu hiệu của dày sừng nang lông ở nhiều mức độ khác nhau. Những tổn thương tương tự như dày sừng nang lông có thể xuất phát như là những tác dụng phụ của liệu pháp thuốc ung thư.
Như trên đã đề cập, dày sừng nang lông gây ra bởi sự hình thành keratin, loại protein bảo vệ da khỏi nhiễm trùng và các chất gây hại khác. Sự hình thành các nút cồi trên da này sẽ làm tắc nghẽn các lỗ mở ra ở các lỗ chân lông, tóc nhưng bác sỹ không biết cái gì đã thúc đẩy quá trình hình thành này.

Hình 8
Nếu bạn có khô da, bạn sẽ dễ có xu hướng dày sừng nang lông. Thường thì nó sẽ diễn tiến xấu vào những tháng mùa đông vì khi đó trong không khí ít ẩm và dịu hơn và sạch hơn vào các tháng mùa hè (?). Bệnh thường ảnh hưởng lên một số người có vài tình trạng da như chàm hay viêm da cơ địa. Bác sỹ của bạn có thể chẩn đoán dày sừng nang lông thông qua khâu khám da của bạn mà không cần xét nghiệm gì cả.
Đối tượng nào dễ mắc dày sừng nang lông?
Đây là một bệnh da rất thường gặp, xuất hiện ở mọi lứa tuổi. Phụ nữ có nguy cơ nhiều hơn nam giới. Theo thống kê, bệnh xảy ra nhiều ở những người trong độ tuổi thanh thiếu niên và khoảng 40% là ở người lớn. Bệnh cũng thường gặp ở những trẻ em bị viêm da cơ địa, mặc dù tình trạng này chủ yếu ảnh hưởng đến những trẻ nhỏ dưới 2 tuổi và tuổi thanh thiếu niên, ít gặp ở người cao tuổi.

Hình 9
Dày sừng nang lông gây mất thẩm mỹ khiến nhiều người không tự tin khi mặc quần áo ngắn tay. Đây là một dạng da khô rất thường gặp được đặc trưng bởi tình trạng bít tắc các lỗ nang lông bởi các vảy da, làm cho da cảm giác thô ráp bởi những tế bào da chết bị bít tắc lại.
Đối tượng dễ mắc bệnh dày sừng nang lông
·Căn bệnh này có gặp phải ở bất cứ đối tượng nào. Tuy nhiên, thanh thiếu niên và người trưởng thành mắc bệnh này chiếm tỷ lệ cao cao hơn hẳn so với những đối tượng còn lại, và phổ biến ở nữ giới hơn nam giới.
·Bệnh do di truyền nên nếu như người thân cùng huyết thống mắc phải thì thường có nguy cơ mắc bệnh cao hơn.
·Ở người có thể trạng yếu, mắc phải bệnh lí suy giảm miễn dịch, chấn thương, sống trong môi trường vệ sinh kém cũng rất dễ mắc phải chứng dày sừng nang lông.
·Những người có cơ địa da khô, viêm da cơ địa, mày đay, thừa cân, béo phì cũng rất dễ mắc phải chứng bệnh ngoài da này
Nhìn chung, đây là một bệnh rất thường gặp, chúng xảy ra gần 50-80% tất cả những người trong độ tuổi thanh thiếu niên và khoảng 40% ở người lớn. Bệnh cũng ảnh hưởng đến một nửa đển ¾ số trẻ em mà có bệnh da vảy cá thông thường (một tình trạng da khô do đột biến gen mã hóa các filaggri) và cũng thường gặp ở những trẻ em bị viêm da cơ địa.
Mặc dù tình trạng này chủ yếu ảnh hưởng đến những trẻ nhỏ dưới 2 tuổi và những thanh thiếu niên, ít gặp nhất ở người già. Bệnh nhìn chung xuất hiện ở mọi lứa tuổi. Phụ nữ có vẻ có nguy cơ gặp phải tình trạng này nhiều hơn so với nam giới.
Những yếu tố làm gia tăng nguy cơ mắc dày sừng nang lông?
Bạn có thể sẽ dễ bị hơn nếu như đang có một trong những yếu tố dưới đây:
·Quan hệ gần với những người bị dày sừng nang lông trước đó;
·Bệnh lý thuộc miễn dịch dị ứng (hen phế quản, viêm da cơ địa, mày đay mạn tính);
·Chứng khô da hay bệnh da vảy cá thông thường;
·Thừa cân, béo phì
·U tế bào hắc tố và đang điều trị với vemurafenib (một liệu pháp nhắm đích được chấp nhận trong điều trị ngăn chặn sự lây lan các tế bào ác tính của u hắc tố);

Hình 10
Biểu hiện của dày sừng viêm lang lông
Dày sừng nang lông thể thông thường
·Dày sừng nang lông có thể xuất hiện ở bất cứ vị trí nào trên cơ thể, đặc biệt là dày sừng viêm nang lông ở chân;
·Ở vị trí bị dày sừng nang lông xuất hiện nhiều vảy da có thể màu da, cũng có thể màu đỏ (dày sừng nang lông đỏ) hoặc nâu (dày sừng nang lông nâu), chúng thường không gây ngứa nhưng sờ vào có cảm giác sần sùi, thô ráp;
·Trên vùng da có những nốt mụn thô, có màu hơi đỏ với kích thước khá nhỏ li ti, làn da của bệnh nhân viêm dày sừng nag lông sẽ bị sần sùi, phía trên là đầu sừng nhò có màu sắc khác thường là màu trắng hay màu xám;
·Một số trường hợp có đi kèm dấu hiệu bị viêm da gây tấy đỏ và da bị ngứa. Nếu bạn dùng tay để cậy lớp sừng da bệnh nhân sẽ thấy lông mọc phía bên trong;
·Dày sừng nang lông sẽ biểu hiện mạnh mẽ vào mùa khô, nếu bạn sống ở vùng có khí hậu khô lạnh sẽ tạo điều kiện cho chứng bệnh này xuất hiện quanh năm.
·Những người bị dày sừng nang lông sẽ có biểu hiện tích tụ keratin trên bề mặt da tạo thành các vảy sừng gây bưng bít lỗ chân lông khiến lông cuộn lại không thể mọc ra ngoài. Đây chính là biểu hiện quan trọng quyết định bệnh dày sừng nang lông có chữa được không. Nếu như các phương pháp điều trị không giúp loại bỏ biểu hiện này thì quá trình điều trị thất bại.
Nhìn chung, dày sừng nang lông có thể xuất hiện bất cứ vùng da nào trên cơ thể bạn ngoại trừ lòng bàn tay và bàn chân. Chúng thường ảnh hưởng đến vùng mặt trên ngoài của 2 bên cánh tay. Chúng cũng có thể xảy ra ở vùng đùi, mông (thường ở trẻ lớn và người lớn), phía 2 bên má (thường gặp ở trẻ em) và thường ít gặp ở vùng cẳng tay và lưng trên. Sự phân bố của tổn thương thường có tính chất đối xứng.

Hình 11
Có một số người đôi khi còn mô tả có những tổn thương lan dần xuống vùng cẳng tay hoặc cẳng chân.
Những điểm vảy có thể có màu da, đỏ (dày sừng nang lông đỏ) hoặc nâu (dày sừng nang lông tăng sắc tố). Chúng thường không gây ngứa hoặc đau đớn gì cho người mắc phải. Ngoài ra những vùng da bị ảnh hưởng này có thể cảm thấy thô ráp, khô giống như giấy nhám hoặc giống như da ngỗng. Dày sừng nang lông có xu hướng nổi rõ hơn vào những thời điểm có độ ẩm môi trường thấp, ví dụ như là những tháng mùa đông. Nếu như bạn sống trong vùng khí hậu khô nóng thì dường như bạn sẽ cảm thấy chúng hiện diện rõ suốt quanh năm.
Dày sừng nang lông thể xơ teo
Đây là dạng hiếm gặp, với biểu hiện những tổn thương lõm nang lông giống như tạo sẹo và gây rụng lông. Bao gồm:
·Dày sừng nang lông thể xơ teo vùng mặt;
·Tăng sắc tố đỏ nang lông vùng mặt và cổ;
·Dày sừng nang lông cung mày;
·Dày sừng nang lông thể gai hóa toàn thể da đầu;
·Phù mạch dạng vân/ Viêm nang lông sẹo đỏ dạng lưới.
Chẩn đoán xác định dày sừng nang lông
Bệnh được chẩn đoán dựa vào lâm sàng và các thủ thuật cận lâm sàng như sinh thiết da có thể cho thấy:
·Tăng sừng hóa lớp thượng bì
·Tăng tế bào hạt
·Nang lông bị bít tắc
·Thâm nhiễm tế bào lympho quanh mạch máu vùng nông nhẹ.
Chẩn đoán phân biệt
Dày sừng nang lông xuất hiện Khi lượng sừng được sản xuất quá nhiều như vậy, nó sẽ làm cho lỗ chân lông bị tắt nghẽn, tạo nên những hột sừng cứng tại lỗ chân lông, làm cho da sần sùi như da gà. Do lỗ chân lông đã bị bịt kín bời các hột sừng này nên các chất bã nhờn không thể thoát ra để bôi trơn da, làm cho da đã khô càng thêm khô, và lông không thể mọc xuyên qua được nên xoắn lại dưới da.

Hình 12
Tuy nhiên, trong thực hành lâm sàng đôi khi các thầy thuốc cũng có thể chẩn đoán nhầm với các bệnh lý da niêm có hình ảnh lâm sàng tương tự, nhất là các bệnh nhân có cơ địa hoặc bệnh lý nền mạn tính sẵn có như lao, đái tháo đường, nhiễm HIV/AIDS, đang điều trị thuốc ung thư, thuốc chống thải ghép cơ quan.
-Mụn trứng cá thường (Acne vulgaris);
-Nang lông tóc bùng phát (Eruptive vellus hair cysts);
-Chàm hóa ở nang lông (Follicular eczema);
-Viêm nang lông (Folliculitis);
-Viêm mang lông vảy cá (Ichthyosis follicularis);
-Dày sừng nang lông teo/ phì đại (Keratosis pilaris atrophicans);
-Bệnh li-ken hóa (Lichen nitidus);
-Bệnh li-ken (Lichen spinulosus);
-Phrynoderma;
-Bệnh vảy cám (Pityriasis rubra pilaris);
-Trichostasis spinulosa.

Hình 13-15
Dày sừng nang lông đỏ; Dày sừng nang lông cận cảnh; Dày sừng nang lông trên da sẫm màu

Hình 16-18
Dày sừng nang lông đỏ vùng mặt ; Dàng sừng nang lông cung mày ; Phù mạch dạng vân
TÀI LIÊU THAM KHẢO
1.Epidermal permeability barrier in the treatment of keratosis pilaris. Kootiratrakarn T, Kampirapap K, Chunhasewee C. Dermatol Res Pract. 2015;2015:205012. doi: 10.1155/2015/205012. Epub 2015 Feb 24.
2.Functional assessment of a washing emulsion for sensitive skin: mild impairment of stratum corneum hydration, pH, barrier function, lipid content, integrity and cohesion in a controlled washing test.; Bornkessel A, Flach M, Arens-Corell M, Elsner P, Fluhr JW.; Skin Res Technol. 2005 Feb;11(1):53-60.
3.A prospective randomized exploratory study comparing the efficacy of once-daily topical 0.5% 5-fluorouracil in combination with 10.0% salicylic acid (5-FU/SA) vs. cryosurgery for the treatment of hyperkeratotic actinic keratosis.; Simon JC, Dominicus R, Karl L, Rodríguez R, Willers C, Dirschka T.; J Eur Acad Dermatol Venereol. 2015 May;29(5):881-9. doi: 10.1111/jdv.12702. Epub 2014 Sep 25.
4.Comparison of the Efficacy of Atopalm(®) Multi-Lamellar Emulsion Cream and Physiogel(®) Intensive Cream in Improving Epidermal Permeability Barrier in Sensitive Skin.; Jeong S, Lee SH, Park BD, Wu Y, Man G, Man MQ.; Dermatol Ther (Heidelb). 2016 Mar;6(1):47-56. doi: 10.1007/s13555-016-0097-6. Epub 2016 Feb 3. Erratum in: Dermatol Ther (Heidelb). 2016 Mar;6(1):57.
5.Facial skin pigmentation is not related to stratum corneum cohesion, basal transepidermal water loss, barrier integrity and barrier repair.; Voegeli R, Rawlings AV, Summers B.;Int J Cosmet Sci. 2015 Apr;37(2):241-52. doi: 10.1111/ics.12189. Epub 2015 Jan 21.
6.Mode of action of glycolic acid on human stratum corneum: ultrastructural and functional evaluation of the epidermal barrier.; Fartasch M, Teal J, Menon GK.; Arch Dermatol Res. 1997 Jun;289(7):404-9.
7.Functional assessment of the stratum corneum under the influence of oral aromatic retinoid (etretinate) in guinea-pigs and humans. Comparison with topical retinoic acid treatment.; Tagami H, Tadaki T, Obata M, Koyama J.; Br J Dermatol. 1992 Nov;127(5):470-5.
8.The effect of topical virgin coconut oil on SCORAD index, transepidermal water loss, and skin capacitance in mild to moderate pediatric atopic dermatitis: a randomized, double-blind, clinical trial.; Evangelista MT, Abad-Casintahan F, Lopez-Villafuerte L.; Int J Dermatol. 2014 Jan;53(1):100-8. doi: 10.1111/ijd.12339. Epub 2013 Dec 10.
9.Effect of barrier perturbation on cutaneous salicylic acid penetration in human skin: in vivo pharmacokinetics using microdialysis and non-invasive quantification of barrier function.; Benfeldt E, Serup J, Menné T.; Br J Dermatol. 1999 Apr;140(4):739-48.
10.Sebaceous gland, hair shaft, and epidermal barrier abnormalities in keratosis pilaris with and without filaggrin deficiency.; Gruber R, Sugarman JL, Crumrine D, Hupe M, Mauro TM, Mauldin EA, Thyssen JP, Brandner JM, Hennies HC, Schmuth M, Elias PM.; Am J Pathol. 2015 Apr;185(4):1012-21. doi: 10.1016/j.ajpath.2014.12.012. Epub 2015 Feb 7.
11.Efficacy of the addition of salicylic acid to clindamycin and benzoyl peroxide combination for acne vulgaris.; Akarsu S, Fetil E, Yücel F, Gül E, Güneş AT.; J Dermatol. 2012 May;39(5):433-8. doi: 10.1111/j.1346-8138.2011.01405.x. Epub 2011 Oct 31.
12.A Pilot Study of Q-switched 1064-nm Nd:YAG Laser Treatment in the Keratosis Pilaris.; Park J, Kim BJ, Kim MN, Lee CK.; Ann Dermatol. 2011 Aug;23(3):293-8. doi: 10.5021/ad.2011.23.3.293. Epub 2011 Aug 6.
13.Increased stratum corneum turnover induced by subclinical irritant dermatitis.; Wilhelm KP, Saunders JC, Maibach HI.; Br J Dermatol. 1990 Jun;122(6):793-8.
14.Low-dose 5-fluorouracil in combination with salicylic acid as a new lesion-directed option to treat topically actinic keratoses: histological and clinical study results.; Stockfleth E, Kerl H, Zwingers T, Willers C.; Br J Dermatol. 2011 Nov;165(5):1101-8. doi: 10.1111/j.1365-2133.2011.10387.x.
15.Effect of skin-to-skin contact on preterm infant skin barrier function and hospital-acquired infection.; Abouelfettoh A, Ludington-Hoe SM, Burant CJ, Visscher MO.; J Clin Med Res. 2011 Feb 12;3(1):36-46. doi: 10.4021/jocmr479w.
16.Epidermal permeability barrier recovery is delayed in vitiligo-involved sites.; Liu J, Man WY, Lv CZ, Song SP, Shi YJ, Elias PM, Man MQ. Skin Pharmacol Physiol. 2010;23(4):193-200. doi: 10.1159/000288166. Epub 2010 Feb 25.
17.Topical application of a linoleic acid-ceramide containing moisturizer exhibit therapeutic and preventive benefits for psoriasis vulgaris: a randomized controlled trial. Liu M, Li X, Chen XY, Xue F, Zheng J. Dermatol Ther. 2015 Nov-Dec;28(6):373-82. doi: 10.1111/dth.12259. Epub 2015 Aug 19.
18.The use of a measure of acute irritation to predict the outcome of repeated usage of hand soap products. Williams C, Wilkinson M, McShane P, Pennington D, Fernandez C, Pierce S. Br J Dermatol. 2011 Jun;164(6):1311-5. doi: 10.1111/j.1365-2133.2011.10246.x.
19.Electrical measurement of moisturizing effect on skin hydration and barrier function in psoriasis patients. Rim JH, Jo SJ, Park JY, Park BD, Youn JI. Clin Exp Dermatol. 2005 Jul;30(4):409-13.
20.Alpha hydroxyacids modulate stratum corneum barrier function. Berardesca E, Distante F, Vignoli GP, Oresajo C, Green B. Br J Dermatol. 1997 Dec;137(6):934-8.
21.A comparative study of tar and betamethasone valerate in chronic plaque psoriasis: a study in Thailand. Thawornchaisit P, Harncharoen K. J Med Assoc Thai. 2007 Oct;90(10):1997-2002.
22.Efficacy, tolerability, and safety of calcipotriol ointment in disorders of keratinization. Results of a randomized, double-blind, vehicle-controlled, right/left comparative study. Kragballe K, Steijlen PM, Ibsen HH, van de Kerkhof PC, Esmann J, Sorensen LH, Axelsen MB. Arch Dermatol. 1995 May;131(5):556-60.
23.Randomized, double-blind, split-side, comparison study of moisturizer containing licochalcone A and 1% hydrocortisone in the treatment of childhood atopic dermatitis. Wananukul S, Chatproedprai S, Chunharas A, Limpongsanuruk W, Singalavanija S, Nitiyarom R, Wisuthsarewong W. J Med Assoc Thai. 2013 Sep;96(9):1135-42.
24.Variation in barrier impairment and inflammation of human skin as determined by sodium lauryl sulphate penetration rate. de Jongh CM, Jakasa I, Verberk MM, Kezic S. Br J Dermatol. 2006 Apr;154(4):651-7.
25.Efficacy and safety of retinaldehyde 0.1% and 0.05% creams used to treat photoaged skin: A randomized double-blind controlled trial. Kwon HS, Lee JH, Kim GM, Bae JM. J Cosmet Dermatol. 2018 Jun;17(3):471-476. doi: 10.1111/jocd.12551. Epub 2018 Apr 16.
26.A double-blind comparison of two creams containing urea as the active ingredient. Assessment of efficacy and side-effects by non-invasive techniques and a clinical scoring scheme. Serup J. Acta Derm Venereol Suppl (Stockh). 1992;177:34-43.
27.Functional analyses of the stratum corneum in scars. Sequential studies after injury and comparison among keloids, hypertrophic scars, and atrophic scars. Suetake T, Sasai S, Zhen YX, Ohi T, Tagami H. Arch Dermatol. 1996 Dec;132(12):1453-8.
28.Distinct locational differences observable in biophysical functions of the facial skin: with special emphasis on the poor functional properties of the stratum corneum of the perioral region. Kobayashi H, Tagami H. Int J Cosmet Sci. 2004 Apr;26(2):91-101. doi: 10.1111/j.0412-5463.2004.00208.x.
29.[Impact of wet work on epidermal barrier (tewl and stratum corneum hydration) and skin viscoelasticity in nurses]. Kieć-Świcrczyńska M, Chomiczewska-Skóra D, Świerczyńska-Machura D, Kręcisz B. Med Pr. 2014;65(5):609-19. Polish.
30.Comparison of tretinoin 0.05% cream and 3% alcohol-based salicylic acid preparation in the treatment of acne vulgaris. Babayeva L, Akarsu S, Fetil E, Güneş AT. J Eur Acad Dermatol Venereol. 2011 Mar;25(3):328-33. doi: 10.1111/j.1468-3083.2010.03793.x.
31.Characteristic differences in barrier and hygroscopic properties between normal and cosmetic dry skin. I. Enhanced barrier analysis with sequential tape-stripping. Lu N, Chandar P, Tempesta D, Vincent C, Bajor J, McGuiness H. Int J Cosmet Sci. 2014 Apr;36(2):167-74. doi: 10.1111/ics.12112. Epub 2014 Jan 31.
32.Evaluation of skin surface hydration state and barrier function of stratum corneum of dorsa of hands and heels treated with PROTECT X2 skin protective cream. Kubota T. Drug Discov Ther. 2012 Jun;6(3):157-62.
33.Impact of intravenous lipid emulsion infusion on the stratum corneum barrier function in patients receiving parenteral nutrition. Lajoinie A, Gelas P, Salmon D, Bergoin C, Roussel L, Falson F, Chambrier C, Souquet JC, Pivot C, Haftek M, Pirot F. Eur J Dermatol. 2013 Apr 9. [Epub ahead of print]
34.Sun-induced changes in stratum corneum function are gender and dose dependent in a Chinese population. Liu Z, Fluhr JW, Song SP, Sun Z, Wang H, Shi YJ, Elias PM, Man MQ. Skin Pharmacol Physiol. 2010;23(6):313-9. doi: 10.1159/000314138. Epub 2010 Jun 22.
35.Homogeneous transport in a heterogeneous membrane: water diffusion across human stratum corneum in vivo. Kalia YN, Pirot F, Guy RH. Biophys J. 1996 Nov;71(5):2692-700.
36.Combination of 595-nm pulsed dye laser, long-pulsed 755-nm alexandrite laser, and microdermabrasion treatment for keratosis pilaris: retrospective analysis of 26 Korean patients. Lee SJ, Choi MJ, Zheng Z, Chung WS, Kim YK, Cho SB. J Cosmet Laser Ther. 2013 Jun;15(3):150-4. doi: 10.3109/14764172.2013.769276. Epub 2013 Mar 6.
37.Transepidermal water loss (TEWL) and corneometry with hydrogel vehicle in the treatment of atopic dermatitis: a randomized, investigator-blind pilot study. Kircik LH. J Drugs Dermatol. 2012 Feb;11(2):180-4.
38.The effect of aqueous cream BP on the skin barrier in volunteers with a previous history of atopic dermatitis. Danby SG, Al-Enezi T, Sultan A, Chittock J, Kennedy K, Cork MJ. Br J Dermatol. 2011 Aug;165(2):329-34. doi: 10.1111/j.1365-2133.2011.10395.x. Epub 2011 Jul 11.
39.Non-invasive evaluation of tacalcitol plus puva versus tacalcitol plus UVB-NB in the treatment of psoriasis: "right-left intra-individual pre/post comparison design". Brazzelli V, Barbagallo T, Prestinari F, Rona C, De Silvestri A, Trevisan V, Borroni G. Int J Immunopathol Pharmacol. 2005 Oct-Dec;18(4):755-60.
40.Effects of in utero exposure of C57BL/6J mice to 2,3,7,8-tetrachlorodibenzo-p-dioxin on epidermal permeability barrier development and function. Muenyi CS, Carrion SL, Jones LA, Kennedy LH, Slominski AT, Sutter CH, Sutter TR. Environ Health Perspect. 2014 Oct;122(10):1052-8. doi: 10.1289/ehp.1308045. Epub 2014 Jun 6.
41.Beneficial effects of synthetic phospholipid polymer, poly(2-methacryloyloxyethyl phosphorylcholine-co-n-butyl methacrylate), on stratum corneum function. Kanekura T, Nagata Y, Miyoshi H, Ishihara K, Nakabayashi N, Kanzaki T. Clin Exp Dermatol. 2002 May;27(3):230-4.
42.Effects of a novel formulation of fluocinonide 0.1% cream on skin barrier function in atopic dermatitis. Woods MT, Brown PA, Baig-Lewis SF, Simpson EL. J Drugs Dermatol. 2011 Feb;10(2):171-6.
43.The effects of protective occlusive gloves on stratum corneum barrier properties. Graves CJ, Edwards C, Marks R. Contact Dermatitis. 1995 Sep;33(3):183-7.
44.Increased basal transepidermal water loss leads to elevation of some but not all stratum corneum serine proteases. Voegeli R, Rawlings AV, Doppler S, Schreier T. Int J Cosmet Sci. 2008 Dec;30(6):435-42. doi: 10.1111/j.1468-2494.2008.00472.x.
45.Effect of myristyl nicotinate on retinoic acid therapy for facial photodamage. Jacobson MK, Kim H, Coyle WR, Kim M, Coyle DL, Rizer RL, Jacobson EL. Exp Dermatol. 2007 Nov;16(11):927-35.
46.A randomized and controlled comparison of gentleness of 2 medical adhesive tapes in healthy human subjects. Grove GL, Zerweck CR, Houser TP, Smith GE, Koski NI. J Wound Ostomy Continence Nurs. 2013 Jan-Feb;40(1):51-9. doi: 10.1097/WON.0b013e318276f2a4.
47.Ceramide-dominant barrier repair lipids alleviate childhood atopic dermatitis: changes in barrier function provide a sensitive indicator of disease activity. Chamlin SL, Kao J, Frieden IJ, Sheu MY, Fowler AJ, Fluhr JW, Williams ML, Elias PM. J Am Acad Dermatol. 2002 Aug;47(2):198-208.
48.Measuring the effects of topical moisturizers on changes in stratum corneum thickness, water gradients and hydration in vivo. Crowther JM, Sieg A, Blenkiron P, Marcott C, Matts PJ, Kaczvinsky JR, Rawlings AV. Br J Dermatol. 2008 Sep;159(3):567-77. doi: 10.1111/j.1365-2133.2008.08703.x. Epub 2008 Jul 4.
49.Effect of barrier disruption by acetone treatment on the permeability of compounds with various lipophilicities: implications for the permeability of compromised skin. Tsai JC, Sheu HM, Hung PL, Cheng CL. J Pharm Sci. 2001 Sep;90(9):1242-54.
50.Laser Doppler perfusion imaging (LDPI) and transepidermal water loss (TEWL) values in psoriatic lesions treated with narrow band UVB phototherapy. Dermal vascularity may be useful indicator of psoriatic activity. Goh CL, Khoo L. Ann Acad Med Singapore. 2004 Jan;33(1):75-9.
51.A comparison of tazarotene 0.1% gel once daily plus mometasone furoate 0.1% cream once daily versus calcipotriene 0.005% ointment twice daily in the treatment of plaque psoriasis. Guenther LC, Poulin YP, Pariser DM. Clin Ther. 2000 Oct;22(10):1225-38.
52.Evaluation of a Pseudoceramide Moisturizer in Patients with Mild-to-Moderate Atopic Dermatitis. Seghers AC, Cai SC, Ho MS, Giam YC, Tan L, Grönhagen CM, Tang MB. Dermatol Ther (Heidelb). 2014 Jun;4(1):83-92. doi: 10.1007/s13555-014-0048-z. Epub 2014 Mar 12.
53.Effect of barrier perturbation on cutaneous penetration of salicylic acid in hairless rats: in vivo pharmacokinetics using microdialysis and non-invasive quantification of barrier function. Benfeldt E, Serup J. Arch Dermatol Res. 1999 Sep;291(9):517-26.
54.Skin permeability barrier and occlusion: no delay of repair in irritated human skin. Welzel J, Wilhelm KP, Wolff HH. Contact Dermatitis. 1996 Sep;35(3):163-8.
55.Solute structure-permeability relationships in human stratum corneum. Anderson BD, Raykar PV. J Invest Dermatol. 1989 Aug;93(2):280-6.
56.Increased stratum corneum serine protease activity in acute eczematous atopic skin. Voegeli R, Rawlings AV, Breternitz M, Doppler S, Schreier T, Fluhr JW. Br J Dermatol. 2009 Jul;161(1):70-7. doi: 10.1111/j.1365-2133.2009.09142.x. Epub 2009 Mar 30. Erratum in: Br J Dermatol. 2009 Aug;161(2):492.
57.Fractional Carbon Dioxide Laser for Keratosis Pilaris: A Single-Blind, Randomized, Comparative Study. Vachiramon V, Anusaksathien P, Kanokrungsee S, Chanprapaph K. Biomed Res Int. 2016;2016:1928540. doi: 10.1155/2016/1928540. Epub 2016 May 9.
58.Water-filtered infrared-A (wIRA) can act as a penetration enhancer for topically applied substances. Otberg N, Grone D, Meyer L, Schanzer S, Hoffmann G, Ackermann H, Sterry W, Lademann J. Ger Med Sci. 2008 Jul 21;6:Doc08.
59.Interrelationship between water-barrier and reservoir functions of pathologic stratum corneum. Tagami H, Yoshikuni K. Arch Dermatol. 1985 May;121(5):642-5.
60.The influence of a humectant-rich mixture on normalz skin barrier function and on once- and twice-daily treatment of foot xerosis. A prospective, randomized, evaluator-blind, bilateral and untreated-control study. Lodén M, von Scheele J, Michelson S. Skin Res Technol. 2013 Nov;19(4):438-45. doi: 10.1111/srt.12066. Epub 2013 Mar 22.
61.Recurrence rates and patient assessed outcomes of 0.5% 5-fluorouracil in combination with salicylic acid treating actinic keratoses. Stockfleth E, Zwingers T, Willers C. Eur J Dermatol. 2012 May-Jun;22(3):370-4. doi: 10.1684/ejd.2012.1707.
62.'Keratolytic' properties of benzoyl peroxide and retinoic acid resemble salicylic acid in man. Waller JM, Dreher F, Behnam S, Ford C, Lee C, Tiet T, Weinstein GD, Maibach HI. Skin Pharmacol Physiol. 2006;19(5):283-9. Epub 2006 Jun 16.
63.Stratum corneum barrier integrity controls skin homeostasis. Smith W. Int J Cosmet Sci. 1999 Apr;21(2):99-106. doi: 10.1046/j.1467-2494.1999.196562.x.
64.Functional changes in human stratum corneum induced by topical glycolic acid: comparison with all-trans retinoic acid. Effendy I, Kwangsukstith C, Lee JY, Maibach HI. Acta Derm Venereol. 1995 Nov;75(6):455-8.
65.Treatment of keratosis pilaris with 810-nm diode laser: a randomized clinical trial. Ibrahim O, Khan M, Bolotin D, Dubina M, Nodzenski M, Disphanurat W, Kakar R, Yoo S, Whiting D, West DP, Poon E, Veledar E, Alam M. JAMA Dermatol. 2015 Feb;151(2):187-91. doi: 10.1001/jamadermatol.2014.2211.
66.Moisturizing advantages of desonide hydrogel in treating atopic dermatitis. Trookman NS, Rizer RL, Ho ET, Ford RO, Gotz V. Cutis. 2011 Jul;88(1 Suppl):7-12.
67.Claim substantiation and efficiency of hydrating body lotions and protective creams. de Paepe K, Derde MP, Roseeuw D, Rogiers V. Contact Dermatitis. 2000 Apr;42(4):227-34.
68.Dynamics of skin barrier repair following preconditioning by a biotechnology-driven extract from samphire (Crithmum maritimum) stem cells. Caucanas M, Montastier C, Piérard GE, Quatresooz P. J Cosmet Dermatol. 2011 Dec;10(4):288-93. doi: 10.1111/j.1473-2165.2011.00584.x.
69.The relationship between transepidermal water loss and skin permeability. Machado M, Salgado TM, Hadgraft J, Lane ME. Int J Pharm. 2010 Jan 15;384(1-2):73-7. doi: 10.1016/j.ijpharm.2009.09.044. Epub 2009 Sep 30.
70.Quantitative study of stratum corneum ceramides contents in patients with sensitive skin. Cho HJ, Chung BY, Lee HB, Kim HO, Park CW, Lee CH. J Dermatol. 2012 Mar;39(3):295-300. doi: 10.1111/j.1346-8138.2011.01406.x. Epub 2011 Oct 31.
71.Functions of the stratum corneum in systemic sclerosis as distinct from hypertrophic scar and keloid functions. Sogabe Y, Akimoto S, Abe M, Ishikawa O, Takagi Y, Imokawa G. J Dermatol Sci. 2002 May;29(1):49-53.
72.Evaluation of the Efficacy, Safety, and Tolerability of 3 Dose Regimens of Topical Sodium Nitrite With Citric Acid in Patients With Anogenital Warts: A Randomized Clinical Trial. Ormerod AD, van Voorst Vader PC, Majewski S, Vanscheidt W, Benjamin N, van der Meijden W. JAMA Dermatol. 2015 Aug;151(8):854-61. doi: 10.1001/jamadermatol.2015.0381.
73.Novel retinoid ester in combination with salicylic acid for the treatment of acne. Draelos Z, Lewis J, McHugh L, Pellegrino A, Popescu L. J Cosmet Dermatol. 2016 Mar;15(1):36-42. doi: 10.1111/jocd.12190. Epub 2015 Oct 30.
74.Role of topical emollients and moisturizers in the treatment of dry skin barrier disorders. Lodén M. Am J Clin Dermatol. 2003;4(11):771-88. Review.
75.Transepidermal water loss and water content in the stratum corneum in infantile seborrhoeic dermatitis. Tollesson A, Frithz A. Acta Derm Venereol. 1993 Feb;73(1):18-20.
76.High transepidermal water loss induces fatty acid synthesis and cutaneous fatty acid-binding protein expression in rat skin. Yamaguchi H, Yamamoto A, Watanabe R, Uchiyama N, Fujii H, ono T, Ito M. J Dermatol Sci. 1998 Jul;17(3):205-13.
77.Biophysical and morphological changes in the stratum corneum lipids induced by UVB irradiation. Jiang SJ, Chen JY, Lu ZF, Yao J, Che DF, Zhou XJ. J Dermatol Sci. 2006 Oct;44(1):29-36. Epub 2006 Jul 13.
78.Physical and physiological effects of stratum corneum tape stripping. Bashir SJ, Chew AL, Anigbogu A, Dreher F, Maibach HI. Skin Res Technol. 2001 Feb;7(1):40-8.
79.The influence of a non-occlusive bi-layer composite membrane on skin barrier properties. A non-invasive evaluation with a right-left intra-individual pre/post comparison study. Brazzelli V, Berardesca E, Rona C, Borroni G. Skin Pharmacol Physiol. 2008;21(1):50-5. Epub 2007 Dec 18.
80.Ceramide 1 and ceramide 3 act synergistically on skin hydration and the transepidermal water loss of sodium lauryl sulfate-irritated skin.; Huang HC, Chang TM.; Int J Dermatol. 2008 Aug;47(8):812-9. doi: 10.1111/j.1365-4632.2008.03687.x.
81.Correlation between serum thymus and activation-regulated chemokine levels and stratum corneum barrier function in healthy individuals and patients with mild atopic dermatitis.; Furue M, Matsumoto T, Yamamoto T, Takeuchi S, Esaki H, Chiba T, Yamaguchi H. J Dermatol Sci. 2012 Apr;66(1):60-3. doi: 10.1016/j.jdermsci.2012.01.011. Epub 2012 Feb 16.