Nhân một trường hợp xuất hiện ca nhiễm trùng Trypanosoma evansi đầu tiên ở Việt Nam
Một bệnh nhân nữ 38 tuổi, tên C. nhiễm trùng roi Trypanosoma evansi, điều trị tại Bệnh viện Bệnh Nhiệt đới Thành phố Hồ Chí Minh. Chị C làm công nhân ở huyện Vĩnh Của, tỉnh Đồng Nai. Giữa tháng 2/2015, chị về quê thăm gia đình. Đầu tháng 3/2015, bỗng dưng chị bị sốt cao, nhức đầu… Chị cho rằng mình bị sốt bình thường nên ra quầy thuốc tây mua thuốc về uống. Hơn 3 ngày nhưng các triệu chứng không có dấu hiệu thuyên giảm. Ngược lại, trên người nổi nhiều ban đỏ. Đúng một tuần, chị cảm thấy mệt, nên đến BVĐK tỉnh Đắk Lắk khám và điều trị tại đây theo hướng nhiễm siêu và điều trị ngoại trú.
Chị uống thuốc và hạ sốt trong ba ngày. Tuy nhiên, sau đó, cơn sốt trở lại và nặng hơn trước. Chị tìm đến phòng khám đa khoa tư nhân điều trị nhưng vẫn không có kết quả. Gần 20 sau đó, chị đến bệnh viện tỉnh Đồng Nai khám và được bác sĩ chẩn đoán bị nhiễm giun chỉ cấp. Ngày 18/3, chị quyết định nhập viện bệnh viện Nhiệt Đới TP.Hồ Chí Minh.
Đây là ca bệnh trên người lần đầu tiên được ghi nhận. Bệnh nhân được cấp cứu vì sốt cao kéo dài không rõ nguyên nhân tại BVĐK Đồng Nai trong tình trạng sốt kéo dài 18 ngày, nhức đầu, ớn lạnh, đau 2 khớp gối. Bệnh nhân được chẩn đoán sốt kéo dài chưa rõ nguyên nhân, theo dõi nhiễm giun chỉ. Một ngày sau chị được chuyển đến BV Bệnh Nhiệt đới thành phố Hồ Chí Minh.
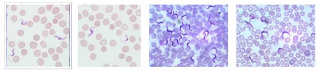
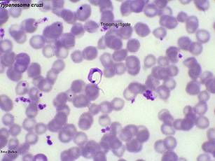
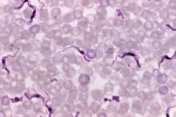
BS Lê Bửu Châu, trưởng khoa nhiễm B của BV Bệnh Nhiệt đới cho biết các xét nghiệm ban đầu cho thấy bệnh nhân giảm tế bào máu ngoại biên, tổn thương và rối loạn chức năng gan, thận, giảm 3 dòng tế bào máu ngoại biên và nhiễm trùng nặng. Kết quả phết máu ngoại biên và phết bệnh phẩm tủy xương soi cho thấy nhiễm trùng roi Trypanosoma evansi. Do bệnh nhân sốt kéo dài, đau các khớp nên dễ nhầm lẫn với bệnh nhiễm trùng khác như lao màng não hay bệnh lý miễn dịch khác - BS Bửu Châu phân tích. Sau khi được điều trị tích cực, bệnh nhân đã hồi phục tốt, xuất viện nhưng phải tái khám theo dõi sức khỏe định kỳ tại bệnh viện.
TS.BS. Nguyễn Văn Vĩnh Châu, Giám đốc Bệnh viện Bệnh Nhiệt đới TP HCM cho biết loại trùng roi gây bệnh trên người chỉ từng ghi nhận ở Châu Phi như loài Trypanosoma brucei gây bệnh ngủ. Ở Nam Mỹ, trùng roi Trypanosoma cruzi gây bệnh Chagas. Người mắc bệnh sẽ bị các biến chứng ở hệ tiêu hóa và tim mạch như phì đại thực quản, đại tràng, bệnh cơ tim, suy tim, thậm chí chết đột ngột do loạn nhịp tim, ngưng tim. Một số loài Trypanosoma spp. khác trong đó có Trypanosoma evansi chủ yếu gây bệnh trên các loài động vật. Tại Việt Nam, bác sĩ thú y ở các tỉnh phía Bắc đã ghi nhận Trypanosoma evansi gây bệnh cho trâu bò từ hàng chục năm nay. Y văn thế giới chỉ ghi nhận một vài trường hợp hiếm hoi gây bệnh cho người. Sau khi điều trị nhiều cách không có kết quả, cuối cùng, chị C tìm đến bệnh viện Nhiệt Đới và xác định được nguyên nhân bệnh của mình.
TS.BS. Nguyễn Văn Vĩnh Châu (Giám đốc bệnh viện Nhiệt Đới) cho hay, từ trước đến nay, ở Việt Nam chưa ghi nhận bất kì trường hợp nào bị nhiễm trùng roi. Trên thế giới, việc người bị nhiễm trùng roi thường được phát hiện ở châu Phi, Nam Mỹ. Tuy nhiên, chị C khẳng định mình không hề xuất ngoại. Điều này khiến đội ngũ y bác sĩ vô cùng bất ngờ.
TS.BS. Nguyễn Văn Vĩnh Châu nhận định đây là ca Trypanosoma evansi gây bệnh trên người đầu tiên ở Việt Nam được báo cáo. Hiện nay, BV Bệnh Nhiệt đới TP. Hồ Chí Minh tiếp tục phối hợp với các chuyên gia Trung tâm nghiên cứu lâm sàng Wellcome Trust, Đại học Oxford (Anh) và bác sĩ chuyên về y tế dự phòng, thú y tiến hành nghiên cứu về trường hợp hiếm gặp này.
Nhận thấy sự nguy cấp, bệnh viện Nhiệt Đới gửi mẫu bệnh phẩm sang Phòng Ký sinh trùng (Khoa Thú y, đại học Kasetsart, Thái Lan) xét nghiệm. Ngoài ra, bệnh nhân được cho uống các loại thuốc kháng nấm. Ngày 31/3/2015, kết quả từ xét nghiệm từ Thái Lan gửi về cho biết, đúng là chị C bị nhiễm trùng roi dạng Trypanosoma evasi. Ngay sau đó, chị được truyền thuốc vào tĩnh mạch liên tục tám ngày và tình trạng sốt được thuyên giảm. Vì đây là căn bệnh hiếm gặp nên thuốc điều trị đặc hiệu thường khó tìm. Trường hợp của chị C may mắn đáp ứng tốt với điều trị và hiện tại vẫn được theo dõi sức khỏe định kỳ.
Tương tự như thế, gần đây chỉ có một số ca báo cáo lẻ tẻ do loài này gây nên tại Ấn Độ. Chẳng hạn, một ca hiếm gặp ở người do Trypanosoma evansi (do nhóm tác giả RM Powar, VR Shegokar, PP Joshi, VS Dani, NST ankhiwale, P T ruc, J Jannin, A Bhargava ghi nhận và báo cáo). Các tác giả cho biết nhiễm trùng Trypanosoma spp. ở người thường nhìn thấy tại châu Phi và Nam Mỹ, nhưng chưa được biết ở Ấn Độ. Một ca ngoại lệ báo cáo trên y văn cho biết ca bệnh đó biểu hiện sốt tự giới hạn bị quy kết do Trypanosoma lewisi giống như một ký sinh trùng. Ca bệnh này ở vùng nông thôn của Chandrapur, Maharashtra. Bệnh nhân nam người lớn làm nghề chăm sóc thú y, có bệnh sử sốt từng đợt đã 5 tháng qua và cảm giác buồn ngủ trước khi nhập viện. Mặc dù đã xét nghiệm máu thường quy có số liệu xét nghiệm trong giới hạn cho phép, phiến đồ máu ngoại vi nhìn thấy một số đơn bào Trypanosomes có hình thái học giống loài Trypanosoma evansi, một tác nhân gây bệnh surra trên động vật. Sau đó, một loạt xét nghiệm bao phủ phổ các loại ký sinh trùng và sinh học phân tử xác định đó chính là T. evansi.
Trypanosoma evansi không được biết là bệnh nguyên gây bệnh cho người, nhưng lại là tác nhân gây bệnh cho ngựa, năm 2004, ca bệnh đầu tiên ở người nhiễm trùng loài T. evansi được ghi nhận tại Ấn Độ.
Tổng quan về loài đơn bào Trypanosoma evansi
Loài Trypanosoma evansi thuộc giới Protista, ngành Euglenozoa, lớp Kinetoplastea, bộ Trypanosomatida, họ Trypanosomatidae, giống Trypanosoma, loài T. evansi. Trypanosoma evansi là một loại trypanosome đơn bào trong giống Trypanosoma, gây nên một thểbệnh surra thú y trên các động vật. Các nhà khoa học đề nghị T. evansi giống như loài T. equiperdum - một bản sao của loài T. brucei. Do mất đi một phần DNA ty thể (mitochondrial (kinetoplast) DNA) của T. evansi không thể nhiễm trùng vào các vector không có xương sống và thiết lập trong các giai đoạn đời sồng tiếp sau đó. Do cơ chế lan truyền cơ học của loài T. evansi nên không bị giới hạn về tính lan truyền thông qua muỗi/ ruồi tsetse (loại ruồi hai cánh ở Trung phi, chuyên hút máu người và động vật) nhưng cho thấy một phổ vector rất rộng đặc hiệu với giống Tabanus, Stomoxys, Haematopota, Chrysops và Lyperosia. Ngoài ra, có thể đó là nguyên nhân gây bệnh hiếm gặp và đa số các ca chỉ ghi nhận trên các bệnh nhân có biểu hiện thiếu một thành phần bình thường trong huyết thanh người, đó là Apolipoprotein L1. Loài T. evansi rất phổ biến ở Ấn Độ và gây bệnh cấp tính ở các lạc đà, ngựa và bệnh mạn tính trên gia súc và trâu bò. Điều trị bệnh do Trypanosoma evansi là các thuốc triquin(0,025ml/10 kg cân nặng) và Surral (0,5 mg/kg cân nặng).
Bệnh do đơn bào Trypanosoma spp. ở người tại châu Phi (bệnh ngủ)
Bệnh do đơn bào Trypanosoma spp. châu Phi (Human AfricanTrypanosomiasis_HAT), còn được gọi là bệnh ngủ, bệnh lưu hành ở vùng cận sa mạc Sahara, châu Phi. Bệnh gây nên bởi một loại đơn bào hình roi (flagellate protozoan) tên là Trypanosoma brucei, và tồn tại có 2 phụ loài có hình thái học xác định: Trypanosoma brucei rhodesiense (East African hoặc Rhodesian African trypanosomiasis) và Trypanosoma brucei gambiense (West African or Gambian African trypanosomiasis). Cả 2 ký sinh trùng này lây truyền qua vật chủ người bởi vết cắn của các ruồi tsetse nhiễm bệnh (Glossina palpalis lây truyền T. brucei gambiense và Glossina morsitans lây truyền T. brucei rhodesiense), chỉ tìm thấy ở châu Phi.
Trypanosome (còn gọi là trùng mũi khoan) là những ký sinh trùng có chu kỳ gồm 2 vật chủ: động vật có vú và các loài chân khớp. Chu kỳ sinh trưởng bắt đầu khi các trypanosomes bị tiêu hóa trong bữa ăn máu của các con ruồi tsetse từ một ổ chứa là người bị bệnh West African trypanosomiasis hoặc của động vật bị thể Đông Phi. Các trypanosomes nhân lên qua một thời gian 2-3 tuần trong ruột của ruồi; tiếp đến các trypanosomes di chuyển đến các tuyến nước bọt, ở đó chúng phát triển thành thể trưởng thành epimastigotes. Các metacyclic trypomastigotes nhiễm lên người sau đó. Ổ chứa bệnh đối với các vector này là dành riêng cho người với bệnh trypanosomiasis Tây phi (West African). Tuy nhiên, bệnh Trypanosomiasis Đông phi (East African) lại là bệnh lây truyền từ động vật sang người với các vector là các động vật. Bệnh trypanosomiasis châu Phi (African) khác với bệnh trypanosomiasis của châu Mỹ (American), gây ra bởi Trypanosoma cruzi và có những điểm khác về vector, đặc điểm lâm sàng và liệu pháp điều trị.
Các yếu tố dịch tễ học chính của bệnh trypanosomiasis châu Phi là do phơi nhiễm hoặc tiếp xúc giữa con người với các ruồi tsetse (một loại ruồi 2 cánh gặp ở Trung Phi, chuyên hút máu người và động vật truyền trùng mũi khoan gây ra nhiều bệnh, trong đó có bệnh ngủ). Mối tượng tác này bị ảnh hưởng bởi tình trạng gia tăng của mật độ ruồi này, cũng như thay đổi tập tính hút máu, phát triển lan rộng trên người, mở rộng vùng nhiễm, tăng số lượng người mắc chưa có miễn dịch trong vùng lưu hành trước đây. Những vụ dịch lớn xảy ra từ năm 1920-1950 dẫn đến điều trị mở rộng, hình như có miễn dịch đã 50 năm qua. Giờ đây, nhiễm trùng đang xảy ra trở lại trên cùng quần thểkhi họ đã mất dần đi tính miễn dịch.
Sơ lược về một số thuật ngữ liên quan bệnh
Bệnh do ký sinh trùng trypanosoma spp. ở người (Human African Trypanosomiasis), còn được gọi tên là bệnh ngủ, là một căn bệnh ký sinh tùng lây truyền qua vector. Các ký sinh trùng này liên quan và xem như một loại đơn bào thuộc giống Trypanosoma. Chúng truyền bệnh sang người nhờ ruồi tsetse (giống Glossina) đốt, trong đó vấn đề nhiễm đề cập cả động vật và loài người.
Các con ruồi Tsetse tìm thấy ở khu vực cận sa mạc Sahara, châu Phi. Chỉ một số loài có khả năng truyền bệnh này. Các loài khác có tập quán và thói quen khác, chúng chủ yếu tìm thấy trong môi trường thảm thực vật ở sông, hồ, khu rừng dọc theo sông (gallery-forests) và trong các vùng thảo nguyên trải dài.
·Bệnh ngủ xảy ra chỉ ở khu vực cận sa mạc Sahara, châu Phi - nơi mà các con ruồi tsetse có thể truyền bệnh. Vì các lý do này nên từ lâu bệnh không được giải thích bởi lẽ có nhiều vùng có tìm thấy ruồi tsetse nhưng không tìm thấy bệnh ngủ.
·Các quần thể sống ở nông thôn nơi có lan truyền bệnh xảy ra lại lệ thuộc vào điều kiện nông nghiệp, ngư nghiệp và chăn thả động vật hoặc săn bắn có khả năng phơi nhiễm nhất với các loài ruồi tsetse và sinh bệnh.
·Nói chung bệnh ngủ xảy ra tại các vùng nông thôn xa xôi, ở đó hệ thống chăm sóc y tế còn yếu hoặc chưa có, bệnh dễ lan rộng trong các vùng quê nghèo. Sựu di chuyển chỗ ở của quần thể hoặc di dân, chiến tranh, nghèo đói là các yếu tố quan trọng dẫn đến tăng lan truyền bệnh;
·Bệnh phát triển trong các vùng mà có diện tích nhỏ và giữa các làng với nhau có thay đổi khác nhau.
Bệnh do trypanosoma có hai thể, lệ thuộc vào loài ký sinh trùng liên quan:
·Trypanosoma brucei gambiense (T.b.g.) tìm thấy ở vùng phía Tây và Trung Phi. Thể này biểu hiện hơn 90% số ca bệnh ngủ báo cáo và gây nhiễm trùng mạn tính. Một người có thể nhiễm từ nhiều tháng đến nhiều năm mà không hề có triệu chứng nào của bệnh. Khi các hội chứng xuất hiện, bệnh nhân thường có các giai đoạn bệnh tiến triển khi hệ thần kinh trung uwng bị tác động;
·Trypanosoma brucei rhodesiene (T.b.r.) tìm thấy ở phía Đông và Nam Phi, thể này ít hơn 10% số ca báo cáo và thường gây bệnh cấp tính. Dấu hiệu đầu tiên thấy sau vài tháng hoặc vài tuần. Bệnh phát triển nhanh và xâm nhập đến hệ thần kinh trung ương;
Một thể khác của bệnh trypanosoma xảy ra tại 15 quốc gia Trung và Nam Mỹ, với tên gọi là bệnh do ký sinh trùng trypanosoma châu Mỹ (American Trypanosomiasis) hay bệnh Chagas. Ký sinh trùng gây bệnh là một loài khác với loài gây bệnh ở châu Phi.
Bệnh Trypanosomiasis trên động vật
Các loài ký sinh trùng và phụ loài của giống Trypanosoma là yếu tố sinh bệnh cho động vật và gây bệnh cho động vật (animal trypanosomiasis) trên nhiều loài động vật hoang dại và vật nuôi (trên gia súc bệnh gọi là Nagana, từ Zulu có nghĩa là bị đè dẹt). Các động vật có thể là vật chủ của các ký sinh trùng ở người, đặc biệt T.b. rhodesiense; do đó các động vật nuôi và động vật hoang dại là các ổ chứa mầm bệnh quan trọng. Các động vật có thể nhiễm T.b. gambiense, tuy nhiên vai trò dịch tễ học chính xác của các ổ chứa này vẫn chưa được biết tường tận, chính căn bệnh này giết chết nhiều động vật.
Bệnh trên các vật nuôi gia đình và đặc biệt gia súc là trở ngại lớn cho phát triển kinh tế ở các vùng nông thôn vốn bị ảnh hưởng.
Một số đặc điểm Sinh lý bệnh
Con người bị nhiễm T brucei sau khi bị ruồi đốt, điều này đôi khi đốt xong hình thành các chancre ở da vùng bị đốt. Tiếp đó các trypomastigote đi vào trong máu và trưởng thành trong máu và hệ bạch huyết (lymphatic system), gây nên tình trạng khó chịu, sốt từng cơn, ban đỏ và suy nhược. Cuối cùng, ký sinh trùng xâm nhập vào hệ thần kinh trưng ương, gây thay đổi hành vi và các triệu chứng thần kinh khác như viêm não và hôn mê và tử vong có thể xảy ra.
Ký sinh trùng thoát khỏi cơ chế bảo vệ của vật chủ ban đầu nhờ vào sự thay đổi kháng nguyên vốn có của chúng rất lớn và các kháng nguyên này nằm trên bề mặt của ký sinh trùng glycoprotein được biết như là các glycoprotein bề mặt biến đổi quan trọng (variant surface glycoprotein_VSG). Sự lãng tránh với các đáp ứng miễn dịch dịch thể của vật chủ góp phần vào độc lực của ký sinh trùng. Trong sốt thời gian ký sinh trùng nằm trong máu, hầu hết các thay đổi về mặt bệnh học xảy ra trong các hệ và cơ quan như huyết học, bạch huyết, tim mạch và thần kinh trung ương. Điều này dẫn đến các phản ứng qua trung gian miễn dịch chống lại các kháng nguyên nằm trên bề mặt của hồng cầu, mô tim, mô não, …hậu quả dẫn đến thiếu máu tan máu, viêm toàn bộ tim và viêm não màng não.
Một phản ứng quá mẫn gây nên các vấn đề về da hay gặp phải, bao gồm mày đay mạn tính, dai dẳng (persistent urticaria), ngứa, phù mặt. tăng bạch cầu lymphocyte trong lách và hạch lympho bị nhiễm ký sinh trùng, dẫn đến quá trình xơ hóa nhưng hiếm khi gặp trên lâm sàng tình trạng gan lách to. Các bạch cầu monocyte, đại thực bào và bào tương thâm nhiễm vào trong mạch máu, gây nên tình trạng viêm nội mạc động mạch và tăng tính thấm thành mạch.
Hệ tiêu hóa cũng bị ảnh hưởng, tăng sản các tế bào Kupffer xảy ra trong gan, dọc theo tĩnh mạch cửa có thâm nhiễm và giáng hóa hoặc thoái hóa mỡ. Gan to hiếm gặp. Đối với bệnh do ký sinh trùng này ở Đông Phi (East African trypanosomiasis), viêm toàn bộ tim bị ảnh hưởng nặng, tất cả lớp tế bào cơ tim đều bị thứ phát sau khi có thâm nhiễm tế bào lan rộng và xơ hóa xuất hiện. Rối loạn nhịp tim (arrhythmia) hoặc suy tim có thể dẫn đến tử vong trước khi có biến chứng liên quan đến các triệu chứng ở hệ thần kinh trung ương. Các vấn đề ở hệ thần kinh trung ương bao gồm sự thâm nhiễm quanh mạch máu (perivascular infiltration) vào tận đến mô kẻ của não và tủy sống,nên đã dẫn đến bệnh lý viêm não màng não với biểu hiện phù, xuất huyết và các tổn thương mô hạt.
Tần suất gây bệnh & tình hình hiện nay tại các quốc gia có dịch
Tại Mỹ, tất cả trường hợp African trypanosomiasis đều do bệnh nhân đi du lịch đến các vùng lưu hành bệnh của châu Phi trở về. Nhiễm trùng trong số các người đi du lịch rất hiếm, với tỷ lệ < 1 ca/ năm đã được báo cáo số liệu trên những người Mỹ đi du lịch. Hầu hết các nhiễm trùng này đều gây ra bởi loài T. brucei rhodesiense và mắc phải tại các công viên Đông Phi.
Bệnh Trypanosomiasis châu Phi giới hạn tại vùng châu Phi nhiệt đới giữa 15° vĩ bắc và 20° vĩ nam, từ bắc sang phía nam của châu Phi của Algeria, Libya, Ai Cập. Tỷ lệ mắc bệnh Trypanosomiasis châu Phi khác nhau giữa các vùng và các quốc gia. Năm 2005, các vụ dịch lớn được quan sát tại Angola, Congo và Sudan. Tại cộng hòa Trung Phi, Bờ biển Ngà, Congo, Guinea, Malawi, Uganda, Tanzania, bệnh ngủ vẫn là một vấn đề y tế cộng cộng.
Khoảng chừng 50 ca mới mỗi năm được báo cáo tại các quốc gia như Burkina Faso, Cameroon, Equatorial Guinea, Gabon, Kenya, Mozambique, Nigeria, Rwanda, Zambia và Zimbabwe. Quá trình lan truyền của T brucei dường như đã dừng lại và không có thông báo trường hợp mới của African trypanosomiasis trong vài thập niên qua tại các quốc gia Benin, Botswana, Burundi, Ethiopia, Gambia, Ghana, Guinea Bissau, Liberia, Mali, Namibia, Niger, Senegal, Sierra Leone, Swaziland và Togo. Bệnh ngủ đã đe dọa hàng triệu người tại 36 quốc gia cận sa mạc Sahara, châu Phi. Tình hình hiên nay thật khó đánh giá số quốc gia lưu hành bệnh vì thiếu sự giám sát và chuyên gia chẩn đoán bệnh.
Năm 1986, một nhóm chuyên gia được triệu họp bởi Tổ chức Y tế thế giới (TCYTTG) ước tính khoảng 70 triệu người sống trong những vùng mà có thể có lan truyền bệnh bệnh Trypanosomiasis châu Phi này. Năm 1998, gần 40.000 trường hợp bệnh đã được báo cáo, nhưng con số này không phản ảnh được tình trạng thật sự tại các vùng xâu vùng xa bị ảnh hưởng và bản chất trọng tâm của bệnh như thế nào và do vậy, ước tính khoảng hơn 300.000-500.000 trường hợp chưa được chẩn đoán và điều trị.
Trong suốt các giai đoạn xảy dịch gần đây, tỷ lệ mắc bệnh ngủ đạt đến 50% trong một số ngôi làng ở Cộng hòa Congo, Angola, miền nam Sudan. Bệnh ngủ được xem là nguyên nhân gây tử vong quan trọng đứng thứ hai tại các cộng đồng này, sau nhiễm HIV/AIDS. Vào năm 2005, công việc giám sát được tăng cường và một số ca bệnh mới được báo cáo khắp các lục địa và được kiểm soát, nên về cơ bản đã giảm đi; giữa năm 1998-2004, con số về bệnh cả hai thể bệnh Trypanosomiasis châu Phi đều giảm từ 37.991 xuống 17.616. Con số ước tính số trường hợp bệnh gần đây dao động từ 50.000-70.000. Vụ dịch gần đây bắt đầu năm 1970, được quy cho một số yếu tố góp phần như là chương trình sàng lọc không bao quát, sự di dân và biến động, các cuộc nội chiến, suy giảm kinh tế và giảm nguồn tài chính đầu tư vào chăm sóc y tế.
Các vụ dịch lớn do Trypanosoma spp. ở người
Một vài vụ dịch xảy ra ở châu Phi hơn 1 thế kỷ qua: một vụ xảy ra giữa năm 1896-1906, hầu hết ở Uganda và Congo, một vụ năm 1920 với một số quốc gia châu Phi và một vụ gần đây nhất là vào năm 1970. Vụ dịch năm 1920 được kiểm soát và khống chế nhờ vào nhóm công tác lưu động được tổ chức sàng lọc hàng triệu người có nguy cơ nhiễm. Vào giữa những năm 1960, bệnh gần như biến mất. Sau thành công đó, giám sát ít đi và bệnh tái xuất hiện ở một số vùng trong 30 năm qua. Các nổ lực của TCYTTG và các chương trình phòng chống của quốc gia, các tổ chức phi chính phủ (NGOs) đã dừng và bắt đầu tăng lại theo xu hướng có một số ca mới.
Nguyên nhân mắc bệnh
-Một vết đốt từ các con ruồi loại “tsetse” gây nên bệnh lý ký sinh trùng này;
-Lây truyền do truyền máu là một nguyên nhân hiếm gặp của lan truyền ký sinh trùng;
-Trong một số trường hợp hiếm gặp, nhiễm tình cờ trong phòng thí nghiệm đã được báo cáo.
Phân bố về mặt địa lý của bệnh
Bệnh ngủ dã đe dọa hàng triệu người tại 36 quốc gia khu vực cận sa mạc Sahara, châu Phi. Tuy nhiên, chỉ một tỷ lệ nhỏ trong số chúng là được giám sát và kiểm tra thường xuyên, có đánh giá và tiếp cận đến trung tâm y tế và có thể cung cấp các phương tiện chẩn đoán, bảo vệ cho quần thể bằng các biện pháp phòng chống vector.
Tỷ lệ tử vong và tỷ lệ mắc bệnh
-Các triệu chứng của bệnh ký sinh trùng này ở Đông Phi (East African trypanosomiasis) phát triển nhanh hơn (mắt đầu một tháng sau khi bị đốt) hơn là các triệu chứng xuất hiện của bệnh ở Tây Phi (West African trypanosomiasis), điều này có thể bắt đầu sau vài tháng hoặc một năm kể từ lúc đốt;
-Cả hai loại African trypanosomiasis gây nên các triệu chứng nhìn chung toàn thân là như nhau, bao gồm sốt từng cơn, nổi ban đỏ và bệnh lý hạch lympho. Đáng chú ý, các đối tượng bị thể Đông Phi (East African form) thì thường gây các biến chứng về tim mạch và các bệnh lý liên quan đến hệ thần kinh trung ương nhanh hơn, chỉ trong vòng vài tuần đến 1 tháng. Đặc điểm lâm sàng trên hệ thần kinh trung ương là thay đổi hành vi, buồn ngủ hoặc ngủ gà ngủ gật ban ngày (daytime somnolence), mất ngủ vào ban đêm (nighttime insomnia), trạng thái sững sờ, thậm chí có hôn mê và thậm chí có thể tử vong nếu không điều trị;
-Đối với bệnh do ký sinh trùng này ở Tây Phi (West African trypanosomiasis), giai đoạn không có triệu chứng có thể đi trước khởi đầu cơn sốt, phát bạn và bệnh lý hạch ở cổ. Nếu không nhận ra, các triệu chứng sẽ diễn tiến như sụt cân, suy nhược, ngứa và bệnh lý ở thần kinh trung ương với các triệu chứng ban đầu rất âm thầm biểu hiện kín đáo. Viêm màng não giả (meningismus) hiếm khi xảy ra. Tử vong vào lúc này thường do cơn giật và viêm hít do tổn thương từ hệ thần kinh trung ương.
Chủng tộc, giới tính và tuổi mắc bệnh
-Bệnh ký sinh trùng African trypanosomiasis không có ưu thế về mặt chủng tộc, giới tính và quá trình phơi nhiễm và mắc bệnh có thể xảy ra bất kỳ lúc nào.
-Bệnh African trypanosomiasis bẩm sinh ở trẻ em gây nên tình trạng trì trệ và chậm phát triển sinh lý vận động và rối loạn cơn giật.
Cơ chế nhiễm bệnh và phát sinh các triệu chứng
Bệnh tiến triển sau khi lây truyền ký sinh trùng vào trong máu sau khi bị đốt bởi ruồi tsetse nhiễm mầm bệnh. Ban đầu các trypanosome nhân lên trong mô dưới da, máu và hệ bạch huyết. Khi đó, ký sinh trùng đo qua hàng rào máu não gây nhiễm trùng cho hệ thần kinh trung ương. Quá trình này có thể diễn ra nhiều năm với T.b. gambiense.
-Nhiễm trùng từ mẹ sang con: các trypanosome có thể qua nhau thai, nhiễm cho phôi thai;
-Truyền bệnh cơ học vẫn có thể xảy ra, song khó có thể đánh giá tác động về mặt dịch tễ học lan truyền thông qua côn trùng hút máu khác;
-Nhiễm tình cờ có thể xảy ra trong phòng thí nghiệm do chích máu từ kim tiêm nhiễm bệnh.
Giai đoạn đầu của bệnh, được biết là giai đoạn máu-bạch huyết (haemolymphatic phase), theo thứ tự là sốt, nhức đầu, đau khớp, ngứa. Giai đoạn thứ hai gọi là pha thần kinh, bắt đầu khi ký sinh trùng đi qua hàng rào máu não và xâm nhập vào hệ thần kinh trung ương. Nói chung, khi đó triệu chứng bệnh xuất hiện, lú lẫn, rối loạn cảm giác và phối hợp động tác yếu. Các rối loạn khác là rối loạn chu kỳ sinh học giấc ngủ và do điều này, nên bệnh có tên là bệnh ngủ cũng là đặc điểm quan trọng của giai đoạn thứ hai của bệnh. Nếu không điều trị, bệnh ngủ có thể tử vong.
Đặc điểm lâm sàng
Tiền sử và diễn tiến bệnh
·Giai đoạn 1 (sớm, hoặc gọi là giai đoạn hemolymphatic)
-Các săng (chancre) ở da không đau xuất hiện khoảng 5-15 ngày sau khi bị đốt, nhưng sau đó tự thoái lui tự phát sau vài tuần (dấu hiệu này ít gặp hơn ở nhiễm trùng T. brucei gambiense);
-Sốt từng cơn (song không đáp ứng với thuốc sốt rét khi thử), toàn thân khó chịu, đau cơ, đau khớp và nhức đầu, thường 3 tuần sau khi bị đốt;
-Xuất hiện bệnh lý hạch lympho toàn thân hoặc một vùng nào đó (chẳng hạn bệnh lý hạch sau cổ) [dấu hiệu Winterbottom] là đặc trưng cho bệnh lý của African trypanosomiasis T brucei gambiense [bệnh ngủ]);
-Phù mặt, chỉ một số nhỏ trên bênh nhân;
-Nổi mày đay thoáng qua, ban đỏ, ban dạng vết trên da xuất hiện sau 6-8 tuần kể từ khi khởibệnh;
-Hình ảnh “trypanids” (tính chất đau, nhạt màu ở trung tâm, nhanh mờ, hình vành khuyên, có các vết ban đỏ phù nề trên thân mình).
-·Giai đoạn 2 (muộn hoặc là giai đoạn tổn thương thần kinh trung ương)
-Nhức đầu dai dẳng (không đáp ứng với thuốc giảm đau);
-Ngủ gà hoặc buồn ngủ ban ngày nhưng lại mất ngủ ban đêm;
-Thay đổi hành vi, ngữ điệu và điệu bộ nhúng nhảy trên một số bệnh nhân, trầm cảm;
-Chán ăn, sút cân và hội chứng suy mòn;
-Cơn động kinh trên trẻ em (hiếm gặp trên người lớn).
Nói chung, trên lâm sàng chúng ta hay phát hiện các triệu chứng gồm có:
-Chán ăn, buồn ngủ, sốt, nhức đầu;
-Tăng ngủ ban ngày, mất ngủ ban đêm;
-Rối loạn ngôn ngữ, ý thức;
-Ra mồ hôi
-Sưng phồng hạch lympho trên toàn cơ thể;
-Sưng, đỏ, đau các vị trí bị bọt xít đốt
-Sự ham muốn và giấc ngủ đến không thể khống chế được
Các biến chứng gồm các thương tổn liên quan ngủ thiếp đi khi đang lái xe hoặc thực hiện các hoạt động do tiến trình tổn thương hệ thần kinh.
Khám thực thể
·Giai đoạn 1 (sớm, hay gọi là giai đoạn tan máu)
-Các săng cứng và chai tại vị trí bị đốt;
-Các tổn thương da (trypanids) trên các bệnh nhân da sáng màu dễ thấy
-Bệnh lý hạch lympho: bệnh hạch lympho ở bẹn và nách thường gặp trên các bệnh nhân mắc bệnh ký sinh trùng Đông Phi (East African trypanosomiasis). Các bệnh lý hạch lympho ở cổ lại hay gặp trên các bệnh nhân nhiễm ký sinh trùng Tây Phi (West African trypanosomiasis). Dấu hiệu Winterbottom cổ điển có thể nhìn thấy rất rõ (lớn, không đau, di động phía sau cổ);
-Sốt, ra mồ hôi, đỏ da vùng bị đốt, tăng nhịp tim, phát ban không theo quy luật nào, phù và sụt cân;
-Sưng các hạch lympho, phì đại các cơ quan, đặc biệt là lách lớn (do T brucei gambiense African trypanosomiasis)
·Giai đoạn 2 (muộn hoặc giai đoạn trên thần kinh trung ương)
-Triệu chứng ở hệ thần kinh trung ương: các hội chứng ở hệ thần kinh trung ương của bệnh do ký sinh trùng Tây Phi (West African trypanosomiasis) có một khởi đầu bệnh chậm hơn, có thể vài tháng đến một năm. Các triệu chứng bao gồm kích thích ngứa, khó chịu, dấu rung rũ cánh, tăng cứng cơ, trương lực cơ, thỉnh thoảng mất điều hòa, dị cảm một bên, nhưng hiếm khi có các dấu màng não một cách điển hình. Bệnh do ký sinh trùng Đông Phi (East African trypanosomiasis) thường diễn tiến và khởi bệnh nhanh hơn, từ vài tuần đến vài tháng, không biểu hiện sự khác biệt giữa hai giai đoạn;
-Dấu Kerandel, gồm có đau chậm khi đè lên bề mặt mô mềm của bệnh nhân;
-Thay đổi hành vi phù hợp với loạn thần và rối loạn tâm thần kinh, lời nói và co giật;
-Dấu rung rũ cánh, dấu sững sờ và hôn mê (à tên là bệnh ngủ);
-Rối loạn tâm thần kinh;
-Rối loạn cảm giác, rung rũ và thất điều.
Xét nghiệm cận lâm sàng
Khám thực thể có thể cho các triệu chứng của bệnh lý viêm não, màng não. Các xét nghiệm bao gồm:
-Nồng độ albumine;
-Xét nghiệm lam máu;
-Xét nghiệm và phân tích thành phần của dịch não tủy;
-Công thức máu toàn phần (CBC)
-Nồng độ globuline;
-Chọc sinh thiết, xét nghiệm hạch lympho
Hầu hết các thử nghiệm kháng nguyên và kháng thể không giúp ích gì nhiều cho chẩn đoán vì chúng không thể phân biệt giữa tình trạng nhiễm hiện tại và nhiễm trong quá khứ. Song, nồng độ IgM đặc hiệu trong dịch não tủy có thể giúp cho chẩn đoán.
Quản lý ca bệnh
Quản lý bệnh này thường thực hiện theo ba bước:
·Sàng lọc các nguồn nhiễm tiềm tàng. Điều này liên quan đến việc sử dụng các xét nghiệm huyết thanh học và/ hoặc khám các triệu chứng lâm sàng (tuyến hạch cổ sưng phồng);
·Chẩn đoán xem có ký sinh trùng hiện diện không;
·Xác định tình trạng tiến triển của bệnh qua khám thứ tự và chi tiết, xét nghiệm dịch não tủyđể xác định liệu pháp điều trị chính xác.
Chẩn đoán phải làm càng sớm càng tốt và trước khi giai đoạn thần kinh xảy ra để tránh các biến chứng phức tạp, khó cho quá trình điều trị. Giai đoạn đầu tiên kéo dài, không triệu chứng của bệnh ngủ do T.b. gambiense là một trong những yếu tố đòi hỏi sử dụng phương pháp sàng lọc quần thể nguy cơ một cách thấu đáo nhằm xác định các bệnh nhân ở giai đoạn sớm và giảm tình trạng lan truyền. Sàng lọc thấu đáo các quần thể phơi nhiễm đòi hỏi một sự đầu tư lớn về nguồn lực cả nhân lực lẫn vật lực. Tại châu Phi, các nguồn lực như thế thường hiếm hoi, đặc biệt vùng sâu vùng xa-nơi mà bệnh hay gặp nhất. Như một hậu quả, các cá nhân nhiễm bệnh có thể chết trước khi họ có cơ may chẩn đoán và điều trị.
Thái độ xử trí và Điều trị
Phương cách điều trị tùy thuộc vào giai đoạn của bệnh. Các thuốc sử dụng trong giai đoạn đầu của bệnh ít độc, dể chỉ định và hiệu quả tốt hơn. Xác định bệnh càng sớm, triển vọng khỏi bệnh hay chữa khỏi sẽ cao. Thành công điều trị trong giai đoạn thứ 2 lệ thuộc vào một thuốc mà loại thuốc này phải đi xuyên qua hàng rào mạch máu não để đén được ký sinh trùng. Các thuốc như thế rất độc và khó chỉ định nên phải cân nhắc. Bốn loại thuốc đã được đăng ký để điều trị bệnh ngủ và cấp tự do miễn phí đén các quốc gia có lưu hành bệnh thông qua các đối tác của WHO với hãng Sanofi-Aventis (pentamidine, melarsoprol, eflornithine) và hãng Bayer AG (suramin).
Điều trị giai đoạn đầu tiên:
·Pentamidine: loại thuốc được khám phá ra năm 1941, dùng để điều trị giai đoạn đầu của bệnh ngủ do T.b. gambiense. Mặc dù một số tác dụng phụ không mong muốn, thuốc dung nạp tốt;
·Suramin: phát minh ra năm 1921, dùng điều trị giai đoạn một của bệnh T.b. rhodesiense. Thuốc cho thấy một số tác dụng phụ, trên đường tiết niệu và các phản ứng dị ứng.
Điều trị giai đoạn 2:
·Melarsoprol: phát minh ra năm 1949, thuốc được dùng cho cả hai thể nhiễm trùng. Thuốc chiết xuất từ arsenic và có nhiều tác dụng phụ. Nghiêm trọng nhất là bệnh lý não do phản ứng (hội chứng não), trong đó tỷ lệ tử vong đến 3% -10%. Có tình trạng kháng thuốc gia tăng được quan sát tại một số điểm, đặc biệt tại Trung Phi.
·Eflornithine: phân tử này ít độc hơn melarsoprol, thuốc được đăng ký năm 1990. Thuốc chỉ có hiệu quả chống lại T.b. gambiense. Đây là một thuốc thay thế cho thuốc melarsoprol. Liệu trình rất chi ly và khó áp dụng trong xử lý và điều trị.
Tiên lượng
Nếu không điều trị, tử vong có thể xảy ra trong vòng 6 tháng do suy tim hoặc do nhiễm chính bản thân T.rhodesiense. Nhiễm Gambiense gây nên bệnh ngủ cổ điển và diễn tiến nặng lên nhanh chóng, thường qua một vài tuần. Cả hai bệnh nên được điều trị ngay.
Tiến trình phòng chống bệnh
·Năm 2000, TCYTTG thiết lập các đối tác tư nhân và nhà nước với Aventis Pharma (nay đổi tên là Sanofi-Aventis) để tạo thành một nhóm làm việc giám sát của TCYTTG, cung cấp và hỗ trợ cho các quốc gia lưu hành bệnh trong các hoạt động phòng chống và cung ứng thuốc miễn phí điều trị cho bệnh nhân;
·Năm 2006, thành công trong chế ngự bệnh ngủ đã được khích lệ một số đối tác tư nhânđể hình thành các yếu tố bền vững do nổ lực của WHO hướng đến loại trừ bệnh này.
Tiêm Pentamidine bảo vệ chống lại gambiense, nhưng không bảo vệ chống lại rhodesiense. Các biện pháp phòng chống côn trùng có thể giúp ngăn ngừa lan truyền bệnh ngủ ở những vùng nguy cơ cao.
Đáp ứng và vai trò của Tổ chức Y tế thế giới
Sự trỗi dậy của bệnh ngủ từ những năm 1970 nên TCYTTG đã đẩy mạnh chương trình bệnhTrypanosomiasis châu Phi ở người. Mục tiêu là phối hợp các hoạt động tại các quốc gia có lưu hành bệnh và đẩy mạnh hợp tác với các đối tác phạm vi rộng hơn.
Chương trình của TCYTTG gồm có hỗ trợ và trợ giúp khâu kỹ thuật cho chương trình phòng chống quốc gia. Một mạng lưới đã được thiết lập gồm có các nhà tài trợ, các tổ chức tư nhân, tổ chức phi chính phủ, viện nghiên cứu và các viện đại học tham gia giám sát và phòng chống, và đồng thời tiến hành các dự án nghiên cứu để phát triển thuốc mới và công cụ chẩn đoán mới. Các mục tiêu của chương trình là:
·Đẩy mạnh và tăng cường phối hợp các biện pháp phòng chống và đảm bảo duy trì các hoạt động bền vững;
·Đẩy mạnh các hệ thống giám sát đang tồn tại;
·Hỗ trợ giám sát về điều trị và kháng thuốc thông qua mạng lưới;
·Phát triển cơ sở dữ liệu thông tin và thiết lập các hoạt động cụ thể;
·Đẩy mạnh sự phối hợp liên ngành với tổ chức Lương nông thế giới (Food and Agriculture Organisation_FAO) và tổ chức năng lượng nguyên tử quốc tế (International Atomic Energy Agency_IAEA). Các đại diện ddang giair quyết các vấn đề phòng chống vector thông qua các con ruồi đực bị làm vô trùng dưới tia xạ. Ngoài ra, còn kết nối với chương trình phòng chống bệnh đơn bào mũi khoan châu Phi (Programme Against African Trypanosomiasis_PAAT) gồm có TCYTTG (sức khỏe con người), FAO (sức khỏe động vật) và IAEA (phòng chống vector).
Tài liệu tham khảo
1.Kirchhoff L (1993). "American trypanosomiasis (Chagas' disease)--a tropical disease now in the United States.". N Engl J Med 329 (9): 639-44..
2.Garcia S, Ramos C, Senra J, Vilas-Boas F, Rodrigues M, Campos-de-Carvalho A, Ribeiro-Dos-Santos R, Soares M (2005). "Treatment with benznidazole during the chronic phase of experimental Chagas' disease decreases cardiac alterations.". Antimicrob Agents Chemother 49 (4): 1521-8.
3.Buckner F, Wilson A, White T, Van Voorhis W (1998). "Induction of resistance to azole drugs in Trypanosoma cruzi.". Antimicrob Agents Chemother 42 (12): 3245-50.
4.Engel J, Doyle P, Hsieh I, McKerrow J (1998). "Cysteine protease inhibitors cure an experimental Trypanosoma cruzi infection.". J Exp Med 188 (4): 725-34.
5.Bocchi E, Bellotti G, Mocelin A, Uip D, Bacal F, et al., (1996). "Heart transplantation for chronic Chagas' heart disease.". Ann Thorac Surg 61 (6): 1727-33.
6.Dumonteil E, Escobedo-Ortegon J, Reyes-Rodriguez N et al (2004). "Immunotherapy of Trypanosoma cruzi infection with DNA vaccines in mice.". Infect Immun 72 (1): 46-53.
7.Vilas-Boas F, Feitosa G, Soares M, Pinho-Filho J, Mota A, Almeida A, Carvalho C, de Carvalho H, de Oliveira A, dos Santos R (2004). "Bone marrow cell transplantation to the myocardium of a patient with heart failure due to Chagas' disease.". Arq Bras Cardiol 82 (2): 185-7, 181-4.
8.da Silva Valente S, de Costa Valente V, Neto H. "Considerations on the epidemiology and transmission of Chagas disease in the Brazilian Amazon.". Mem Inst Oswaldo Cruz 94 Suppl 1: 395-8.
9.Shikanai-Yasuda M, Marcondes C, Guedes L, Siqueira G, Barone A, Dias J, Amato Neto V, Tolezano J, Peres B, Arruda Júnior E. "Possible oral transmission of acute Chagas' disease in Brazil.". Rev Inst Med Trop Sao Paulo 33 (5): 351-7.
10.El-Sayed NM, Myler PJ, Bartholomeu DC et al., (2005). "The genome sequence of Trypanosoma cruzi, etiologic agent of Chagas disease". Science 309 (5733): 409-15.
11.Coutinho M (1999). "Ninety years of Chagas disease: a success story at the periphery.". Soc Stud Sci 29 (4): 519-49.
12.Dias J, Silveira A, Schofield C (2002). "The impact of Chagas disease control in Latin America: a review.". Mem Inst Oswaldo Cruz 97 (5): 603-12.
13.Kropf S, Azevedo N, Ferreira L (2003). "Biomedical research and public health in Brazil: the case of Chagas' disease (1909-50).". Soc Hist Med 16 (1): 111-29.
14.Moncayo A. "Progress towards interruption of transmission of Chagas disease.". Mem Inst Oswaldo Cruz 94 Suppl 1: 401-4.
15.Prata A. "Evolution of the clinical and epidemiological knowledge about Chagas disease 90 years after its discovery.". Mem Inst Oswaldo Cruz 94 Suppl 1: 81-8.
16.Kevin M. Tyler & Michael A. Miles (2002). World Class Parasites. Volume 7: American Trypanosomiasis. Kluwer Academic Publishers. ISBN 1-4020-7323-2. Amazon review
17.Bern C, Montgomery SP, Herwaldt BL. Evaluation and treatment of Chagas disease in the United States: a systematic review. JAMA. 2007 Nov 14;298(18):2171-81.
18.Rassi A Jr, Rassi SG, Rassi A. Sudden death in Chagas' disease. Arq Bras Cardiol. 2001 Jan;76(1):75-96.
19.Torrico F, Alonso-Vega C, Suarez E, et al. Maternal Trypanosoma cruzi infection, pregnancy outcome, morbidity, and mortality of congenitally infected and non-infected newborns in Bolivia. Am J Trop Med Hyg. 2004;70(2):201-209.
20.Schmunis GA, Cruz JR. Safety of the blood supply in Latin America. Clin Microbiol Rev. 2005 Jan;18(1):12-29. Erratum in: Clin Microbiol Rev. 2005 Jul;18(3):582. Abstract | Full Text
21.Barsoum RS. Parasitic infections in organ transplantation. Exp Clin Transplant. 2004 Dec;2(2):258-67.
22.Duschak VG, Couto AS. An insight on targets and patented drugs for chemotherapy of Chagas disease. Recent Patents Anti-Infect Drug Disc. 2007;2:19-51. Abstract
23.Wendel S and Brener Z. Historical aspects. In: Chagas Disease-American Trypanosomiasis: its impact on transfusion and clinical medicine. S. Wendel, Z. Brener, M.E. Camargo, A. Rassi, eds. ISBT 1992, Sao Paolo, Brazil.
24.Centers for Disease Control and Prevention (CDC). Blood donor screening for chagas disease--United States, 2006-2007. MMWR Morb Mortal Wkly Rep. 2007 Feb 23;56(7):141-3.
25.Adler S. Darwin's illness. Br Med J. 1965 May 8;1(5444):1249-50.
26.Balasegaram M, Balasegaram S, Malvy D, Millet P. Neglected diseases in the news: a content analysis of recent international media coverage focussing on leishmaniasis and trypanosomiasis. PLoS Negl Trop Dis. 2008 May 14;2(5):e234.
27.Emerging Chagas Disease: Trophic Network and Cycle of Transmission of Trypanosoma cruzi from Palm Trees in the Amazon http://www.cdc.gov/ncidod/EiD/vol7no1/pdfs/teixeira.pdf )
28.African trypanosomiasis (sleeping sickness). http://www.who.int/
29.African Trypanosomiasis (Sleeping Sickness). http://emedicine.medscape.com/
30.Quinn TC. African trypanosomiasis (sleeping sickness). In: Goldman L, Ausiello D, eds. Cecil Medicine. 23rd ed. Philadelphia, Pa: Saunders Elsevier; 2007: chap 367