Hội chứng thực bào tế bào máu (Hemophagocytic lymphohistiocytosis_HLH) thuộc bệnh lý chuyên khoa huyết học, theo phân loại ICD-10 là D76.1, ICD-9-CM là 288.4, theo OMIM là 267700 603553 608898 603552, mã bệnh DiseasesDB là 31418, eMedicine là ped/745, MeSH là D051359 còn được gọi dưới tên haemophagocytic lymphohistiocytosis và hội chứng thực bào máu (hemophagocytic hay haemophagocytic syndrome).
Đây là một rối loạn hiếm gặp, có thể đe dọa tính mạng hoặc phản ứng viêm rất nghiêm trọng, gây ra bởi sự tăng sinh các tế bào lympho và đại thực bào hoạt hóa quá mức, sự thay đổi lành tính về mặt hình thái của các tế bào lympho và đại thực bào, tiết ra một lượng lớn các cytokine gây viêm, nên nó cũng được phân loại như một hội chứng bão cytokine (cytokine storm syndromes).
Hội chứng thực bào tế bào máu (hemophagocytic lymphohistiocytosis_HLH) là một hội chứng hoạt hóa quá mức của hệ thống miễn dịch đe dọa tính mạng, tiến triển nhanh. Do đó, đưa ra liệu pháp điều trị tức thì là cần thiết để cứu sống các bệnh nhân. Việc điều trị và tiên lượng bệnh nhân mắc hội chứng HLH và hội chứng hoạt hoạt hóa đại thực bào (macrophage activation syndrome_MAS), một dạng của HLH trên các bệnh nhân viêm khớp tự phát tuổi thiếu niên và các tình trạng thấp khớp khác. Trong hội chứng HLH, do sự hoạt hóa quá mức hệ thống miễn dịch, nên có tổn thương mô, nếu không điều trị, các bệnh nhân mắc HLH có thể chỉ sống một vài tháng do hậu quả suy đa cơ quan tiến triển (progressive multi-organ failure). Năm 1994, Hội mô học (Histiocyte Society) tổ chức với đề cương đầu tiên cho hội chứng HLH (HLH-94), trong đó tỷ lệ sống sót của bệnh nhân lên đến 54% trong thời gian theo dõi 6 năm.
Thông thường, rào cản lớn nhất đối với điều trị và kết quả thành công trên từng cá nhân bị hội chứng HLH là do chậm trễ trong chẩn đoán. Một số khía cạnh về mặt lâm sàng của HLH góp phần cho tình trạng chậm trễ này, gồm có: (i) vì đó là một hội chứng hiếm gặp, (ii) Biểu hiện lâm sàng thay đổi khác nhau, (iii) Thiếu độ đặc hiệu của các triệu chứng lâm sàng và cận lâm sàng.
Tiêu chuẩn chẩn đoán hội chứng HLH dựa trên các nghiên cứu lớn về HLH, nên có thể rất hiếm để gặp phải các bệnh nhân có hội chứng này. Do đó, việc điều trị thích hợp đối với một số ca không hội đủ tiêu chuẩn chẩn đoán nghiêm ngặt nhưng trên lâm sàng lại nghi ngờ và hướng đến chẩn đoán HLH rất cao. Bất kỳ bệnh nhân nào nghi ngờ HLH nên gởi đến chuyên khoa huyết học hay có sự hội chẩn của chuyên khoa và nếu có diễn tiến cấp tính nên chuyển cấp cứu để can thiệp điều trị kịp thời ở những nơi có thể áp dụng liệu pháp điều trị HLH.
Mục tiêu của điều trị cho các bệnh nhân HLH là ức chế ngay phản ứng viêm đang đe dọa tính mạng bởi các tế bào miễn dịch đang bị phá hủy, tổn thương. Liệu pháp điều trị dựa trên HLH-94 protocol, gồm có một loạt tuần điều trị bằng dexamethasone và etoposide (VP-16). Intrathecal methotrexate và hydrocortisone cho đường đối với trường hợp bệnh lý thần kinh trung ương. Sau khi áp dụng, các bệnh nhân hồi phục thì chấm dứt ngay liệu pháp, trong khi đó những ca không cải thiện thì vẫn tiếp tục liệu pháp như một cầu nối để chờ truyền tế bào sinh máu khác alen cùng loài (allogeneic hematopoietic cell transplantation_HCT). HCT sẽ cần đòi hỏi áp dụng đối với các trường hợp HLH đột biến gen, bệnh lý diễn biến trên hệ thần kinh trung ương hay ca bệnh tái phát.
Hội chứng HLH thường hiếm khi gây tử vong nhưng các tế bào lympho và mô bào quá hoạt hóa hay tác động quá mức thường xảy ra trên các trẻ em nhỏ, mặc dù điều này có thể gặp trên các nhóm tuổi khác nhau. Sốt, gan lách lớn và thiếu máu trầm trọng do tế bào tủy xương không phát huy tác dụng và chức năng, bệnh lú hạch lympho và ban đỏ thường là các dấu hiệu lâm sàng ban đầu nhìn thấy. Liên quan đến da niêm xảy ra khoảng 65% số ca.
Đặc điểm trên da của hội chứng HLH thay đổi khác nhau cần phải lưu ý như ban đỏhay hồng ban, các bảng hoặc chấm xuất huyết, nốt sần, mảng sần và hồng ban đa dạng toàn thân. Việc phát hiện các thương tổn liên quan đến da niêm có thể hỗ trợ chẩn đoán ban đầu hội chứng này và đánh giá diễn tiến tái phát có thể xảy ra.
Sinh lý bệnh học
Điểm nổi bật trong bệnh học của hội chứng này là sự tăng sinh quá mức của các đại thực bào và mô bào, điều này sẽ thực bào các tế bào khác như hồng cầu, bạch cầu và tiểu cầu, dẫn đến các triệu chứng xuất hiện trên lâm sàng. Sự phát triển quá mức không kiểm soát là không ác tính và không xuất hiện dòng tế bào trái ngược với dòng tế bào trong tế bào Langerhans (histiocytosis X). Lách, hạch lympho, tủy xương, gan, da và các màng cơ thể bao quanh não và tủy sống là các vị trí thường bị liên đới nhất. Rối loạn này có thể tóm lược dễ hiểu là sự kích thích quá mức, nhưng không hiệu quả, đáp ứng miễn dịch với các kháng nguyên, điều này dẫn đến sinh ra cơn bão cytokine (cytokine storm) và phản ứng viêm đe dọa tính mạng bệnh nhân.
|
| Hình. Cơ chế của chức năng gây độc tế bào biểu hiện bởi các đột biến gen liên quan đến HLH. Các bất thường về mặt di truyền liên quan đến HLH có thể tác động lên quá trình gây độc tế bào lympho lệ thuộc hạt thông qua kết nối màng của các hạt ly giải tế bào. Chức năng của con đường này cũng có thể suy giảm nghiem trọng do mất perforin chức năng. Đột biến da dạng Diverse mutations in this pathway all give rise to similar clinical phenotypes (albeit of variable severity). Lyst (the gene affected in Chediak-Higashi syndrome) is not portrayed because its function is not entirely clear, although it appears to play an important role in the maintenance of normally sized (and functional) cytolytic granules. |
Qua hai thập niên, đặc điểm sinh lý bệnh của hội chứng HLH vẫn còn chưa thấu hiểu hết. một lý thuyết hiện đang được chấp nhận liên quan đến một phản ứng miễn dịch không thích hợp gây ra bởi sự tăng sinh và các tế bào T hoạt hóa có liên quan đến sự hoạt hóa các đại thực bào và hiện tượng tự chết tế bào (apoptosis) không đầy đủ của các tế bào sinh miễn dịch. Mặc dù, cơ chế chính xác vẫn chưa hiểu hết, song nhiều nhóm nghiên cứu đưa ra bức tranh về vai trò của perforin và các tế bào giết tự nhiên trong các dưới type hay type phụ (subtype) của HLH.
Perforin hay các protein hình thành bào tử (pore-forming protein_PFP), vị trí trên bản đồ gen 10q22, là một trong những protein ly giải tế bào quan trọng của các hạt chứa trong các tế bào gây độc tế bào (cytotoxic cells). Khi được hoạt hóa bởi một yếu tố, các tế bào giết tự nhiên ly giải ra các hạt có chứa perforin và granzyme, điều này sinh ra các bào tử trong màng tế bào đích, lần lượtgây ly giải thẩm thấu và giáng hóa protein. Ngoài ra, các cơ chế nội tế bào và ngoại tế bào có thể cũng bị ảnh hưởng. Các bệnh nhân thiếu hụt perforin có thể chống lại các tác nhân gây bệnh nội bào và ung thư bị yếu đi, điều này đã được ghi nhận trên mô hình động vật.
Mặc dù cơ chế vẫn chưa xác định cụ thể, song hoạt tính các tế bào giết tự nhiên giảm trong khi sự hoạt hóa tế bào T tăng, dẫn đến sinh nhiều cytokine, gồm có interferon gamma (IFNg), yếu tố hoại tử mô (TNFa) và yếu tố kích thích cộng hợp bạch cầu hạt và đại thực bào (granulocyte-macrophage colony-stimulating factor_GM-CSF). Điều này dẫn đến hoạt hóa các đại thực bào và thâm nhiễm mô cũng như sinh ra interleukin-1 (IL-1) và interleukin-6 (IL-6) và từ đó, các phản ứng viêm gây tổn thương lan rộng và xuất hiện các triệu chứng.
Trong khi đột biến trong STX11 bị quy kết chịu trách nhiệm cho thể HLH gia đình ở Trung Đông, thì một điều tra khác cho thấy các đột biến như thế chỉ chiếm 1% ở bệnh nhân Bắc Mỹ. Một nghiên cứu chỉ ra việc dễ nhiễm trùng virus Epstein-Barr trên các trẻ em Hàn Quốc, đây là loại virus thường thúc đẩy dẫn đến hội chứng HLH liên quan đến nhiễm trùng, cũng như nhiễm trên các tế bào T CD8(+) ở các ca mắc HLH liên quan đến virus Epstein-Barr.
Sự biểu hiện trên các tế bào này bởi các đặc tính kiểu hình miễn dịch có thể giúp cho chẩn đoán các ca bệnh HLH có liên quan đến nhiễm trùng virus Epstein-Barr. Một căn bệnh nữa cũng có liên quan đến việc đẩy nhanh xuất hiện hội chứng HLH này là bệnh Ehrlichiosis do vi khuẩn gây ra trên cả người và động vật (trên người thường do ít nhất 3 loài Ehrlichia sp. khác nhau E. chaffeensis, E. ewingii, Ehrlichia muris-like (EML).
 |
| Hình Cơ chế bệnh sinh và type di truyền của hội chứng HLH |
Thể tiên phát mang tính gia đình là một rối loạn hiếm gặp liên quan nhiễm sắc thể lặn đã được phân loại thành 6 type khác nhau, dựa trên đặc tính dòng di truyền và phân tích nhiễm sắc thể; 5 khuyết tật di truyền đặc hiệu đã được xác định, chiếm khoảng 90% số bệnh nhân.
Type 1 là od khiếm khuyết trên nhiễm sắc thể số 9, type 2 do đột biến trên gen perforin gene, type 3 do đột biến trong gen Munc-13-4 (UNC13D), type 4 do đột biến trong gen syntaxin 11 (STX11) và type 5 là od đột biến trên gen mã hóa protein 2 gắn syntaxine.
Dịch tễ học
Tỷ lệ mắc hội chứng HLH đã được báo cáo là 1,2 ca/1.000.000 người mỗi năm. Tuy nhiên, các nghiên cứu chưa ấn bản ước tính con số có thể tăng hơn một ít thoe thời gian vì công việc phát hiện và chú ý gần đây của các nhà lâm sàng có cải thiện. Số liệu này có thể 1/50.000 ca sinh ra.
Các đột biến perforin chiếm đến gần 20% tổng số ca FEL, một số báo cáo khác có vẻ cao hơn (30%) như ở trên các trẻ em Thổ Nhĩ Kỳ. Đột biến trên cánh nhiễm sắc thể 9q chiếm khoảng 10% số ca tiên phát; số ca còn lại FEL gây ra bởi đột biến trên các gen chưa xác định.
Tỷ lệ tử vong/ tỷ lệ mắc bệnh
Các trường hợp HLH tiên phát hầu như tử vong nếu không điều trị, thời gian sống trung bình được báo cáo trên các nghiên cứu khác nhau là từ 2-6 tháng sau khi được chẩn đoán. Một loạt ca trong lịch sử được thu thập bởi Hệ thống đăng ký về hội chứng HLH quốc tế (International Hemophagocytic Lymphohistiocytosis Registry) cho biết xác suất ít hơn 10% bệnh nhân sống đến 3 năm. Ngay cả khi được điều trị, cũng chỉ có 21-26% só ca có thể hy vọng sống đến 5 năm. Giảm triệu chứng luôn luôn là tạm thời vì bệnh chắc chắn sẽ quay trở lại. Cấy ghép tủy xương là một hy vọng để chữa khỏi.
Một nghiên cứu cho thấy rằng 50% số ca tử vong do FEL là do nhiễm trùng nấm xâm nhập, mà điều này lại thường bị bỏ qua trong chẩn đoán. Kết quả của bệnh lý HLH thứ phát có tiên lượng khác nhau.
Chủng tộc và giới tính
Hội chứng HLH qua xem xét hồ sơ dữ liệu về mặt dịch tễ học cho thấy không có ưu thế về chủng tộc nào. Nghiên cứu tại các quốc gia châu Âu như Thụy Điển, Anh và Ý báo cáo với các số liệu thống kê tương tự nhau. Đồng thời bệnh cũng không có ưu thế cho giới tính nào.
Tuổi
Tuổi khỏi đầu của bệnh thường trên những trẻ tuổi < 1 tuổi (đối với thể tiên phát, mang tính gia đình) nhưng lại xảy ra muộn hơn trên các thể thứ phát, thường sau 6 tuổi.
Mặc dù thể tiên phát gia đình thường tác động trên các trẻ em từ lúc sinh ra đến 18 tháng tuổi, song đã có trường hợp báo cáo muộn hơn (bệnh nhi 8 tuổi), thậm chí ca bệnh người lớn nữa. Ở điểm này, không có tiêu chuẩn tuổi xác lập cũng như giới hạn trên của ngưỡng tuổi mắc bệnh đến nay vẫn chưa đưa ra được.
Lịch sử
Về mặt lịch sử của hội chứng, nền tảng phân tử và lựa chọn điều trị đáng chú ý. Gần 60 năm qua kể từ khi hai nhà nhi khoa Scotland James Farquhar và Albert Claireaux, ở đại học Edinburgh, lưu ý đến tình trạng tái phát của một hội chứng mang tính gia đình, ảnh hưởng lên hai đứa trẻ em và nữ chị em ruột 2 tháng tuổi bị sốt, giảm tế bào máu (cytopenia), gan lách lớn và tử vong nhanh mặc dù đã điều trị bằng thuốc kháng sinh và steroids.
Ca bệnh có hội chứng HLH đầu tiên được báo cáo và ấn bản vào năm 1952.
Tiêu chuẩn chẩn đoán các mức độ khác nhau được thảo luận bởi Hội mô học (Histiocyte Society) đưa ra gồm cả việc đăng ký quốc tế tên của hội chứng HLH này. Tất cả 5 tiêu chuẩn phải hội đủ để thiết lập chẩn đoán hội chứng thực bào tế bào máu:
-Sốt từ 7 ngày trở lên với thân nhiệt cao 38,5°C;
-Lách lớn, có thể sờ chạm xuống 3cm dưới bờ sườn;
-Giảm tế bào máu: đếm tế bào máu dưới ngưỡng cho phép ít nhất 2 lần theo các dòng tế bào (cell lineages) sau đây:
+Bạch cầu đa nhân trung tính tuyệt đối < 1.000/µL;
+Tiểu cầu < 100.000/µL;
+Hemoglobin < 9.0 g/dL.
-Giảm fibrinogen trong máu hoặc tăng triglyceride trong máu (1) Fibrinogen < 1,5 g/L hoặc cao hơn 3 độ lệch chuẩn dưới giá trị chuẩn tham chiếu theo tuổi, hoặc (2) 2 mmol/L hoặc mức độ cao hơn 3 độ lệch chuẩn trên so với giá trị tham chiếu điều chỉnh theo tuổi;
-Hiện tượng thực bào tế bào máu, chỉ ra các mô từ hạch lympho, lách hay là tủy xương mà không kèm theo bằng chứng của một bệnh lý ác tính nào đồng thời (thực bào tế bào lympho trong máu đã từng được chú ý trên một cậu bé có hội chứng Chédiak-Higashi);
-Ban đỏ tìm thấy trên 50% số bệnh nhân, các thương tổn ở dạng như vảy sáp và bong vảy da; ban đỏ trên da đầu, trừ vùng mặt và đằng sau tai;
-Các dấu hiệu khác như nướu răng xuất huyết hoặc sưng phồng, có thể dẫn đến mất răng, ăn uống kém, đặc biệt trên các trẻ em); các triệu chứng đa bụng, nôn mửa, tiêu chảy, sụt cân.
Thực thể
-Các khám nghiệm lâm sàng cho thấy bằng chứng nhiễm trùng do miễn dịch suy yếu và tế bào bạch cầu bị giết đi, dễ dàng thâm tím và xanh tái, có liên quan đến giảm tế bào máu và dẫn đến thiếu máu trầm trọng do sự thâm nhiễm trong tủy xương hay ẩn cư trong lách;
-Bằng chứng về bệnh lý đông máu có sự tăng thời gian thromboplastine từng phần hoạt hóa (activated partial thromboplastin time_aPTT);
-Vàng da thường xuất hiện do tăng bilirubine máu;
-Khoảng 65% số bệnh nhân có xuất hiện ban không đặc hiệu, mà các ban này thường có thuật ngữ phát ban dát sần không rõ ràng, dù chúng cũng được mô tả như mức độ từ ban đỏ đến các ban đỏ và dát sần đến hồng ban đa dạng toàn thân. Cơ quan da có thể liên đới với nhiều biểu hiện khác nhau, biểu hiện lâm sàng đặc trưng;
-Hội chứng thực bào tế bào máu HLH có thể có biến chứng do liên quan đến hệ thần kinh trung ương. Một nghiên cứu tại Thụy Điển mô tả gần 75% số bệnh nhân có dạng liên quan đến hệ thần kinh trung ương, với hơn một nửa số ca có triệu chứng về thần kinh như chóng mặt, thất điều, liệt nửa người, thay đổi tình trạng thần kinh hoặc dễ cáu kỉnh và dễ bị kích thích;
-Vì không có sự ưu thế về bệnh đối với một số mô, nên bệnh lý hạch lympho thường được phát hiện ra thông quan khám thực thể. Các triệu chứng khác thuộc về thể chất như suy nhược, chán ăn có hoặc không kèm theo sụt cân.
|
| Hình Cơ chế bệnh sinh liên quan đến hội chứng thực bào tế bào máu |
Nguyên nhân
-Nhiễm trùng virus Epstein-Barr là một trong những nguyên nhân hay gặp nhất liên quan đến hội chứng thực bào tế bào máu;
-Hội chứng HLH có thể là một biến chứng của sốt Dengue, hoặc sốt mò, mặc dù mối liên quan này không thường xuyên;
-Gần đây, một số ca hội chứng HLH có liên quan đến nhiễm trùng đơn thuần với ký sinh trùng, như trường hợp nhiễm Trypanosoma evansi,…
|
| Hình Một số nguyên nhân và yếu tố thúc đẩy khởi phát hội chứng HLH |
Chẩn đoán phân biệt
Chẩn đoán phân biệt của hội chứng HLH gồm có HLH thứ phát và hội chứng hoạt hóa đại thực bào (macrophage-activation syndrome) hay các tình trạng suy giảm miễn dịch tiên phát khác có biểu hiện thực bào tế bào máu và tăng tế bào lympho như:
-Bệnh lý tăng sinh lympho bào liên kết giới tính X (X-linked lymphoproliferative disease);
-Các tình trạng bệnh khác có thể nhầm với bệnh lý này gồm hội chứng tăng sinh tự miễn tế bào lympho (autoimmune lymphoproliferative syndrome);
-Hội chứng Griscelli type 2, đây là một rối loạn hiếm gặp (hiện ghi nhận chưa đến 100 ca) có liên quan đến nhiễm sắc thể lặn, biểu hiện bởi các dấu chứng và triệu chứng bạch tạng từng phần (partial albinism), gan lách lớn, giảm hoặc thiếu máu nghiêm trọng, viêm gan, bất thường miễn dịch học, tăng lympho bào. Hầu hết các ca được chẩn đoán trong khoảng từ 4 tháng đến 7 năm tuổi, trung bình là 17 tháng tuổi. Ba type của hội chứng Griscelli đã được công nhận:
+Type 1 có các triệu chứng về thần kinh và đột biến trong MYO5A. Tiên ượng lệ thuộc vào độ nặng của các triệu chứng lâm sàng thần kinh;
+Type 2 có đột biến trong RAB27A và hội chứng thực bào tế bào máu với quá trình hoạt hóa đại thực bào và tế bào T bất thường. Type này có tiên lượng xấu nếu không điều trị;
+Type 3 có đột biến trên melanophilin, biểu hiện chứng bạch tạng từng phần. Type này không gây ra mối đe dọa lớn.
-Hội chứng DiGeorge;
-Bệnh Kawasaki;
-Hội chứng hoạt hóa đại thực bào (Macrophage activation syndrome_MAS);
-Bệnh lao.
Việc chẩn đoán hội chứng HLH mắc phải hay thứ phát thường thiết lập liên quan đến bệnh nhiễm trùng virus, vi khuẩn, nấm hoặc ký sinh trùng hoặc liên quan đến bệnh lý u lympho, bệnh tự miễn hoặc bệnh chuyển hóa. Hội chứng HLH mắc phải có thể có tình trạng giảm, trong giới hạn bình thường hoặc tăng hoạt tính tế bào giết tự nhiên.
Chẩn đoán cận lâm sàng
Xét nghiệm sinh hóa, huyết học và miễn dịch
-Vì chức năng hoặc hoạt tính của các tế bào giết tự nhiên (natural killer cell) giảm trong số 90% số bệnh nhân có hội chứng HLH, đây là một trong những xét nghiệm quan trọng và hữu ích nhất. Số lượng tế bào giết tự nhiên thường không được chẩn đoán và xác định;
-Ngoài tình trạng thiếu máu nặng do không sinh máu từ tủy xương, giảm fibrinogen trong máu và tăng triglyceride máu được đề cập ở trên, các bất thường về xét nghiệm cận lâm sàng khác có liên quan đến hội chứng HLH cũng được đề cập. Ferritin như một chỉ điểm của hội chứng thực bào tế bào máu, với nồng độ trong huyết thanh song hành với tiến triển của bệnh. Một nghiên cứu hồi cứu đánh giá đưa ra chỉ số giá trị ferritin > 500 ng/mL trong chẩn đoán hội chứng HLH ở 344 bệnh nhân liên tiếp nhập viện ở đơn vị chăm sóc tích cực (intensive care unit_ICU). Các dữ liệu cho thấy rằng một ngưỡng giá trị “cutoff value” ferritin cao hơn mức này cải thiện tính tiện dụng trong chẩn đoán hội chứng HLH thứ phát trong các cơ sở bệnh viện;
-Tổn thương gan cũng được báo cáo như một bằng chứng thông qua chỉ số tăng bilirubine trong máu và giảm albumine máu, tăng các men gan aspartate aminotransferase (AST) và alanine aminotransferase (ALT);
-Sự có mặt của đột biến gen PRF1 có thể xác định dựa trên đếm tế bào dòng chảy thông qua nhuộm perforin có chứa trong các tế bào lympho;
-Xét nghiệm phân biệt mô hình Th1/Th2 cytokine (tăng chỉ số interferon [IFN]-ƒ và interleukin-10 [IL-10] có ý nghĩa, đi kèm tăng hoặc bình thường đối với chỉ số IL-6) như là chỉ điểm sinh học hữu ích để chẩn đoán sớm, chẩn đoán phân biệt và giám sát theo dõi diễn tiến bệnh;
-Bệnh phẩm tủy xương cho thấy nhiều đại thực bào chứa nhiều hồng cầu trong bào tương;
-Đếm công thức máu điển hình cho thấy thiếu máu nghiêm trọng do tủy xương không sinh máu, giảm bạch cầu và giảm tiểu cầu;
-Trên lam máu cho thấy hiện tượng thực bào tế bào máu (hemophagocytosis);
-Chức năng gan thường tăng lên, giảm albumin máu thường gặp;
-Chỉ số C reactive protein (CRP) trong huyết thanh, tốc độ máu lắng và thành phần, nồng độ ferritin tăng đáng kể;
-Nồng độ fibrinogen huyết thanh thường giảm thấp và mức D-dimer tăng cao;
Xét nghiệm mô bệnh học
-Sinh thiết da có thể thực hiện để xem xét khía cạnh mô học. Sinh thiết mẫu da có thể giúp phân biệt rối loạn này với các bệnh lý tân sinh tiềm tàng hoặc bệnh toàn thân, như tăng mô tế bào Langerhans, xơ cơ,sự tạo máu ngoài tủy và bệnh bạch cầu ở da niêm mạc. Tuy nhiên, sinh thiết da thường không được làm và hiếm khi chỉ ra hình ảnh thực bào tế bào máu;
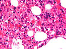
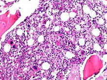
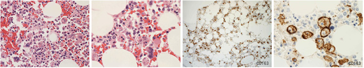
 |  |  |
| Bệnh phẩm tủy xương cho thấy nhiều đại thực bào chứa nhiều hồng cầu trong bào tương | Phát ban đỏ trên thân mình do hội chứng thực bào tế bào máu (HLH) | Các bất thường về tế bào máu trong hội chứng thực bào tế bào máu HLH |
-Sinh thiết hạch lympho, sinh thiết tủy xương hay sinh thiết gan có thể cho thấy hình ảnh dặc trưng của thực bào tế bào máu. Sinh thiết tủy xương cho thấy hiện tượng thực bào mô bào (histiocytosis);
-Vì thực bào tế bào máu phải thấy được trong tủy xương, lách và hạch lympho, nên cần lấy các mẫu bệnh phẩm thích hợp để cho ra kết quả thuyết phục, hoặc để trình bày. Các hồng cầu thường bị ảnh hưởng hơn so với các tế bào bạch cầu hay tiểu cầu;
-Có thể đến 2/3 số ca không được lấy tủy xương để chẩn đoán, nên một xét nghiệm âm tính có thể không đưa ra quyết định loại trừ ca bệnh hội chứng HLH. Xét nghiệm mô học ở tủy xương cho thấy rối loạn sinh máu, mà điều này đã được ghi nhận trong trường hợp không có thực bào tế bào máu;
-Các nghiên cứu khác về sinh thiết hạch lympho và việc điều trị không nên trì hoãn nếu các tiêu chuẩn chẩn đoán khác đã hội đủ;
-Mặc dù vấn đề trên một bệnh nhân có bệnh lý đông máu, song sinh thiết gan cho thấy hình ảnh tương tự như viêm gan mạn tính tồn tại, có thể hỗ trợ cho chẩn đoán cũng như có thể có các tế bào đơn nhân trong dịch não tủy.
Chẩn đoán hình ảnh
-Không có hình ảnh đặc hiệu nào giúp chẩn đoán bệnh lý hội chứng HLH;
-CT scanner hoặc siêu âm có thể cho thấy hình ảnh bụng báng, dày thành túi mật, tăng âm quanh khoảng cửa, bệnh lý hạch lympho và tràn dịch màng phổi;
-MRI có thể chẩn đoán về hệ thần kinh trung ương có liên quan, nhưng chẩn đoán chủ yếu dựa vào lâm sàng và phân tử.
Phân loại hội chứng HLH và đặc tính di truyền
Hội chứng HLH tiên phát còn được gọi là hội chứng HLH mang tính gia đình (familial hemophagocytic lymphohistiocytosis_FHL), là một dạng rối loạn di truyền lặn nhiễm sắc thể thường đa dạng, không đồng nhất (heterogeneous autosomal recessive disorder) tìm thấy nhiềuở những thành viên cùng huyết thống cha mẹ.
Hội chứng HLH thứ phát còn được gọi là hội chứng HLH mắc phải xảy ra sau khi có sự hoạt hóa quá mức rất mạnh như sau đợt nhiễm trùng toàn thân, suy giảm miễn dịch và có bệnh lý ác tính sẵn có. Cả hai thể này đều có cơ chế hoạt hóa quá mức (không thể kiểm soát được) của các tế bào lympho T và đại thực bào bình thường, dđặc tính huyết học và lâm sàng, thậm chí đưa đến tử vong nếu không can thiệp điều trị kịp thời.
5 type phụ (subtype) di truyền mang tính gia đình gồm FHL1, FHL2, FHL3, FHL4 và FHL5 đã được mô tả, với ước tính khoảng 1/50.000 và sự phân bố giữa hai giới là như nhau. Các xét nghiệm di truyền phân tử đối với 4 gen nguyên nhân PRF1 (FHL2), UNC13D (FHL3), STX11 (FHL4) và STXBP2 (FHL5) luôn luôn biểu hiện trên nền tảng lâm sàng. Các triệu chứng của FHL tiên phát thường có bằng chứng trong vài tháng đầu của đời sống và có thể phát triển trước đó trong tử cung. Tuy nhiên, biểu hiện lâm sàng các triệu chứng trong thời thiếu niên và ngay cả khi chúng trưởng thành cũng đã được ghi nhận trên một số ca.
5 type phụ của FHL liên quan đến các gen đặc hiệu:
-FHL1: HPLH1
-FHL2: PRF1 (Perforin)
-FHL3: UNC13D (Munc13-4)
-FHL4: STX11 (Syntaxin 11)
-FHL5: STXBP2 (Syntaxin binding protein 2)/UNC18-2
Gần 50% số ca type 2 của FHL là do đột biến hai alen PRF1.
Hội chứng HLH: Nhiều kiểu gen (genotype), một kiểu hình (phenotype)
Một loạt các hội chứng di truyền phân biệt khác nhau liên quan đến HLH. Mawcjh dù, các khiếm khuyết về mặt di truyền sẵn có trên các hội chứng đã được phân biệt, song tất cả chúng đều dẫn đến một kiểu hình chung là suy giảm chức năng độc tế bào bởi các tế bào T và tế bào giết tự nhiên, hình thành hội chứng HLH. Các bệnh nhân có các khiếm khuyết nghiêm trọng về chức năng gây độc tế bào hơn như đã được đánh giá trong thử nghiệm in vitro, có xu hướng khởi phát bệnh sớm hơn và triệu chứng lâm sàng nghiêm trọng hơn. Đáng chú ý là mối liên kết giữa rối loạn chức năng gây độc tế bào lan rộng với hội chứng HLH chưa rõ ràng đối với đột biến XLP1 và XLP2.
Các kết quả kiểm tra về mặt di truyền đối với HLH ở Bắc Mỹ đã được gih nhận. Mặc dù chúng có thể có sai số vì trình tự các nghiên cứu về gen và không phải tất cả nghiên cứu đều được thực hiện trên mỗi bệnh nhân, các dữ liệu này chỉ ra có một tần số tương đối của đột biến gen và tuổi, hoặc dân tộc tại Bắc Mỹ. Tần số của các bất thường di truyền đặc hiệu có thể thay đổi theo từng dân tộc và quốc gia. Một tiếp cận để đánh giá chức năng miễn dịch và các khiếm khuyết gen liên quan đến hội chứng HLH cũng đã được mô tả gần đây.
 |
| Hình Sơ đồ chẩn đoán và xử trí trên bệnh nhân mắc hội chứng HLH |
Đặc điểm lâm sàng
Khởi đầu của hội chứng HLH xảy ra ở nhóm tuổi < 1 khoảng 70% số ca. HLHtiên phát nên được nghĩ đến nếu đồng thời có một trong hai, hay nhiều người có cùng cha mẹ mắc HLH hoặc nếu các triệu chứng tái phát khi liệu pháp chấm dứt. Mỗi người trong nhóm trẻ mắc hội chứng HLH tiên phát hay gia đình sẽ có 25% cơ hội phát triển thành bệnh, 50% cơ hội mang các gen khuyết tật (điều này rất hiếm liên quan đến bất kỳ nguy cơ nào của bệnh) và 25% cơ hội không ảnh hưởng gì cả và không mang gen khuyết tật.
Về lâm sàng, HLH biểu hiện các chứng sốt, gan lách lớn, bệnh lý hạch lympho, vàng da và ban đỏ.
Tiêu chuẩn chẩn đoán
Năm 2002, Arico và cộng sự đề xuất một tiếp cận chẩn đoán một bệnh nhân nghi ngờ hội chứng thực bào tế bào máu:
-Cần khai thác bệnh sử đầy đủ và chi tiết, kể cả về mặt lâm sàng để loại trừ các tình trạng khác liên quan, như các rối loạn chuyển hóa hoặc hội chứng DiGeorge. Tuy nhiên, nếu tiêu chuẩn chẩn đoán hội chứng HLH thỏa mãn và các xét nghiệm liên quan đến tình trạng âm tính, thì xét nghiệm ban đầu liên quan đến trình diện perforin bởi tế bào giết tự nhiên thông qua tế bào dòng chảy cần thiết;
-Các bệnh nhân thiếu trình diện perforin nên phân tích đột biến gen PRF1;
-Hoạt tính của tế bào giết tự nhiên (NK cell) cũng nên xác định để hỗ trợ chẩn đoán phân biệt giữa các subype HLH;
-Hoạt tính bình thường trong HLH cho thấy thể hoạt động hơn của HLH hơn là type có tính chất gia đình;
-Các mẫu DNA và tế bào sạch, tinh khiết đề nghị nên lưu giữ trong trường hợp cần thiết sử dụng trong tương lai đối với các ca HLH gia đình mà không có khuyết tật di truyền có thể xác định.
Năm 2008, tiêu chuẩn chẩn đoán có thay đổi đối với hội chứng HLH là:
-Một chẩn đoán phân tử phù hợp với HLH, bao gồm cả phân tích và xác định đột biến về mặt bệnh học của PRF1, UNC13D, hay STX11;
Hoặc
-Thỏa mãn 5 trong số 8 tiêu chuẩn dưới đây:
+Sốt rét 37.80C;
+Lách lớn;
+Thiếu máu nghiêm trọng, ảnh hưởng đến ít nhất 2 trong 3 dòng tế bào trong máu ngoại vi:
·Haemoglobin < 9 g/100 ml (ở trẻ em nhỏ < 4 tuần: haemoglobin < 10 g/100 ml)
·Tiểu cầu < 100 × 109/L
·Bạch cầu đa nhân trung tính giảm < 1×109/L.
+Hypertriglyceridemia (fasting, greater than or equal to 265 mg/100 ml) and/or hypofibrinogenemia (≤ 150 mg/100 ml)
+Ferritin ≥ 500 ng/ml
+Haemophagocytosis in the bone marrow, spleen or lymph nodes
+Low or absent natural killer cell activity
+Soluble CD25 (thụ thể IL-2 hòa tan) > 2.400 U/ml (hoặc dựa vào chỉ số tham chiếu la bô).
Ngoài ra, trong trường hợp HLH có tính gia đình, không có bằng chứng bệnh lý ác tính nên đưa ra chẩn đoán là hiển nhiên.
Biến chứng
-Các biến chứng của thuốc trong liệu trình với các thuốc liệt kê ở trên;
-Biến chứng có thể do hậu quả sau cấy ghép là hay gặp nhiều, kể cả giai đoạn ban đầu và giai đoạn lâu dài, các tình trạng viêm thứ cấp, hội chứng suy hô hấp cấp và các triệu chứng nặng lên ở hệ thần kinh trung ương.
Tiên lượng
Mặc dù tiên lượng bệnh nhân có thể thay đổi giữa các nghiên cứu và tiếp cận điều trị khác nhau, tình trạng bệnh có thể tử vong cũng thay đổi nếu không điều trị.
Thời gian sống trung bình được báo cáo là 2-6 tháng nếu không điều trị, nhưng thời gian sống có thể cải thiện đáng kể nếu theo dõi và quản lý ca bệnh chặt chẽ theo đề cương chuẩn HLH.Một nghiên cứu trên 122 bệnh nhân mắc HLH cho thấy thời gian sống trung bình có tỷ lệ khoảng 21%, trong đó 66% số ca được ghép tủy xương so với 10,1% số ca được điều trị bằng hóa liệu pháp sống 5 năm. Các nghiên cứu gần đây cho thấy nếu thực hiện theo đề cương HLH-94 protocol cho tỷ lệ sống còn là 50-55%. Thành công hay thất bại của một ca ghép tủy xương khác alen cùng loài là một yếu tố tiên lượng quan trọng lâu dài quan trọng nhất. May thay, nhiều ca chẩn đoán muộn trong quá trình tiến triển bệnh, sau đó các tổn thương khó có thể hồi phục được.
Hội chứng HLH thứ phát trên một số bệnh nhân có thể tự giới hạn vì các bệnh nhân có thể phục hồi hoàn toàn sau khi được điều trị chăm sóc hỗ trợ. (immunoglobulin tĩnh mạch). Tuy nhiên,sự thuyên giảm lâm dài không cần sử dụng liệu pháp ức chế miễn dịch và gây độc tế bào là không thể trên phần lớn các bệnh nhân HLH người lớn có triệu chứng trên hệ thần kinh trung ương.
Dù các bệnh nhân mắc hội chứng HLH có nguy cơ tử vong trong giai đoạn sớm của bệnh, các thuốc steroids, immunoglobulin tiêm truyền tĩnh mạch hoặc cả hai dùng trong liệu pháp ưu tiên cho các bệnh nhân. Tỷ lệ C16-ceramide với sphingosine được đánh giá trên các ca tử vong dù đã điều trị thích hợp, nhưng tỷ lệ sống rất thấp, điều này hàm ý có thể đóng vai trò như một tỷ số tiên lượng có ý nghĩa. Nếu biết cân bằng giữa ceramide và sphingosine có thể giúp ích cho việc cải thiện lâm sàng trên các bệnh nhân này.
Thái độ xử trí
Chăm sóc y tế
-Chẩn đoán sớm và điều trị kịp thời là vấn đề quan trọng nhất. Việc chẩn doán dựa trên khuyến cáo của Hội mô học của Mỹ (2004-2008) và các tổ chức y tế quốc tế đưa ra khung chẩn đoán và tiêu chuẩn chẩn đoán cụ thể;
-Hội chẩn với sự có mặt của các chuyên gia về ung bướu và huyết học nhi khoa là tốt nhất để quản lý các ca bệnh có hội chứng HLH vì trên thực tế điều này ít khi được các cơ sở y tế để ý nên tiềm năng dẫn đến đe dọa tính mạng rất cao;
-Tiếp cận điều trị sớm với mục tiêu chính là đạt được cải thiện lâm sàng sao coh ổn định rồi sau đó tiến hành ghép tủy xương (bone marrow transplantation_BMT). Dự phòng thuốc chống nấm trong giai đoạn đầu dùng dexamethasone. Sulfamethoxazole và trimethoprim được chỉ định liên tục để dự phòng tác nhân Pneumocystis carinii vì ức chế miễn dịch;
-Tiêm tĩnh mạch globulin miễn dịch (intravenous immunoglobulin_IVIG) là rất hiệu quả để ức chế triệu chứng nếu chỉ định trong những giờ đầu tiên của bệnh. Săt ferritin huyết thanh được dùng như một chỉ điểm đối với hoạt hóa tế bào và điều trị dựa trên đó. Các bệnh nhân có thể phân loại thành các nhóm nguy cơ thấp và nhóm nguy cơ cao, chỉ có nhóm nguy cơ cao dùng liệu trình etoposide (như VP-16). Các bệnh nhân thuộc nhóm nguy cơ thấp có thể được điều trị hiệu quả với chỉ các thuốc cyclosporine, corticosteroid, hoặc IVIG;
-Các bệnh nhân có hội chứng HLH có thể tăng nguy cơ phát triển hội chứng bệnh lý não sau đó. Các liên quan đến hệ thần kinh trung ương của hội chứng HLH có thể thúc đẩy tiến triển hội chứng này và các tác dụng ngoại ý nhiễm độc thần kinh khác trong suốt quá trình điều trị.
Chăm sóc ngoại khoa
·Cấy ghép tủy xương được thực hiện khi có một người cho tủy xương thích hợp/ phù hợp và khi bệnh nhân ổn định;
·Một nghiên cứu gần đây hơn cho thấy kiểm soát bệnh về mặt lâu dài trên các bệnh nhân có liệu trình thuốc bổ sung giảm thay vì chỉ có cấu ghép tế bào gốc kinh điển;
·Nếu bệnh nhân có biểu hiện khó thở đe dọa tính mạng hoặc phì đại lách không kiểm soát được thì phẩu thuật cắt bỏ lách là một lựa chọn tối ưu.
|
| Hình Một số hình ảnh bất thường về tế bào máu trong hội chứng HLH |
Hội chẩn, tư vấn
·Việc hội ý và tư vấn với các chuyên gia tiêu hóa có thể giúp ích, đặc biệt thực hiện thủ thuật sinh thiết gan qua da là cần thiết;
·Nếu nghi ngờ bệnh nhân mắc hội chứng HLH tiên phát, cần đến một nhà tư vấn di truyền học. Bên cạnh đó, phân tích tính di truyền và các yếu tố nguy cơ, chúng có thể cung cấp, hỗ trợ cho các thành viên trong gia đình và cả bệnh nhân.
Thuốc điều trị
Hội chứng tăng viêm đe dọa tính mạng (hyperinflammatory syndrome) khó điều trị. Liệu pháp điều trị đầu tiên với các bệnh nhân mắc HLH gồm các thuốc etoposide và dexamethasone trong 8 tuần với các liều khác nhau. Theo đề cương hướng dẫn HLH-2004, thuốc cyclosporine được bổ sung lúc đầu tiên. Sử dụng thuốc methotrexate trong khoang nhện hoặc trong vỏ chỉ được chỉ định nếu các triệu chứng thần kinh tiến tiển tiếp và xét nghiệm dịch não tủy bất thường liên tục, không thay đổi.
Giải quyết các ca bệnh HLH mang tính gia đình không đòi hỏi một liệu trình điều trị liên tục, trừ khi sự tái hoạt của bệnh xảy ra sau khi đã dùng đầy đủ liệu pháp ban đầu hoặc bệnh nhân đã tiến hành cấy ghép tủy xương. Đối với các trẻ em biểu hiện hội chứng HLH thứ phát hoặc tiên phát, việc tiếp tục liệu trình bằng etoposide truyền tĩnh mạch, bơm thuốc dexamethasone và cyclosporine đường uống cần bắt đầu ở tuần thứ 9 kể từ khi bắt đầu điều trị.
Alemtuzumab có thể là một thuốc cứu nguy hiệu quả đối với ca HLH dai dẳng, khó điều trị, với các nghiên cứu hồi cứu cần phải xác định liều tối ưu.
Hội chứng HLH liên quan đến các khối ác tính đòi hỏi điều trị ngay các khối tân sinh hoặc bệnh lý ung thư.
Nhóm thuốc chống ung thư/ chống tân sinh (Antineoplastic agents)
Các nhóm thuốc này can thiệp vào tiến trình tái sinh tế bào. Một số thuốc đặc hiệu trong chu kỳ tế bào, ngược lại một số khác (nhóm alkyl, anthracyclines, cisplatin) không đặc hiệu pha. Chương trình tự chết tế bào hay tế bào chết theo chươn trình (cellular apoptosis) cũng là một cơ chế tiềm tàng của nhiều thuốc chống ung thư.
1.Etoposide (Toposar, VePesid): còn gọi là thuốc VP-16. Thuốc ức chế topoisomerase II và dẫn đến vỡ các mắc DNA strand gây tăng sinh tế bào đến bắt giữ trong pha S muộn hoặc phần G2 sớm trong chu kỳ tế bào. Trong quá trình dùng thuốc cần theo dõi các thông số huyết học như công thức máu toàn phần, hemoglobin, chức năng thận, chức năng gan. Đặc biệt, cần đánh giá chức năng và mức độ suy thận.
2.Methotrexate (Trexall): là một thuốc chống chuyển hóa, ức chế dihydrofolate reductase, nhờ đó gây cản trở tổng hợp DNA và sản sinh tế bào trong các tế bào ác tính. Đáp ứng thuốc tốt cho thấy trong 3-6 tuần sau khi điều trị. Điều chỉnh liều dần dần để đạt kết quả tối ưu nhất trên bệnh nhân.
3.Corticosteroids: các thuốc này có đặc tính chống viêm và gây phần nào trên tác dụng chuyển hóa khác nhau. Chúng có thể thay đổi đáp ứng miễn dịch cơ thể để kích thích đa dạng.
4.Dexamethasone (Decadron, Hexadrol): thuốc làm giảm viêm do ức chế sự di chuyển của các bạch cầu đa nhân và làm giảm tính thấm mao mạch. Cơ chếtác dụng của corticosteroid trên các khối u bao gồm giảm tính thấm thành mạch, hiệu ức độc tế bào và ức chế hình thành khối u.
Thuốc ức chế miễn dịch (Immunosuppressant agents)
Các thuốc này có thể sử dụng phối hợp với corticosteroid và globulin miễn dịch trên các nhóm bệnh nhân nguy cơ thấp.
1.Cyclosporine (Sandimmune, Neoral): Các cyclic polypeptide ức chế miễn dịch thể dịch và kéo dài hơn đối với các phản ứng miễn dịch qua trung gian tế bào, như phản ứng quá mẫn muộn, loại bỏ mảnh ghép, viêm não tủy trên thực nghiệm, các ca cấy ghép cơ quan khác nhau. Trên các trẻ em và người lớn, liều lý tưởng là dựa trên cân nặng;
2.Globulin miễn dịch: là các chế phẩm tinh khiết của gamma globulin. Thuốc chiết xuất từ một lượng lớn huyết tương ở người và gồm 4 lớp kháng thể phân bố trong huyết thanh người;
3.Globulin miễn dịch tiêm tĩnh mạch (Carimune NF, Gamumex, Gammagard): trung hòa các kháng thể lưu hành thông qua các kháng thể “anti-idiotypic”. Các cytokine tiền viêm theo cơ chế điều hòa ngược, gồm có INF-γ. Ngăn chặn các thụ thể Fc trên đại thực bào. Ức chế các chất thúc đẩy tế bào T và B và tăng ức chế tế bào T. Ngăn chặn các hình thức hiệu ứng cộng hưởng. Thúc đẩy tái tạo myelin, có thể tăng IgG trong dịch não tủy (10%).
Đối với các ca hội chứng HLH thứ phát, cần điều trị nguyên nhân (nếu có thể phát hiện). Điều trị hỗ trợ cho hội chứng HLH là bắt buộc. Trong khi khía cạnh và liệu trình điều trị tối ưu vẫn còn đang bàn luận, liệu trình điều trị hiện nay thường liều cao corticosteroid, etoposide và cyclosporin, đôi khi cả immunoglobulin tĩnh mạch, methotrexate và vincristine cũng sử dụng. Các thuốc khác có thể dùng như liệu pháp đích cytokine.
Chăm sóc bệnh nhân ngoại trú
-Cham sóc hỗ trợ là cần thiết để đảm bảo rằng các bệnh nhân mắc hội chứng HLH vẫn ổn định cho đến khi được cấy ghép tủy xương. Điều này bao gồm truyền hồng cầu, tiểu cầu, huyết tươngđông lạnh tươi cũng như chế độ dinh dưỡng bổ sung trong suốt quá trình điều trị;
-Các bệnh nhân nên được giám sát về tình trạng nhiễm trùng liên tục vì tình trạng suy giảm miễn dịch. Chú ý khả năng bệnh lý ác tính sẵn có;
-Sinh thiết và chẩn đoán di truyền tế bào có thể cần thiết để giúp theo dõi và chẩn đoán cũng như tiên lượng bệnh nhân.
Giáo dục sức khỏe bệnh nhân
-Tất cả thầy thuốc điều trị cho các bệnh nhân trẻ phải biết rằng hội chứng HLH có thể đe dọa tính mạng;
-Các thầy thuốc nhi khoa, da liễu và thần kinh đặc biệt lưu ý vì biểu hiện triệu chứng của hội chứng HLH có thể gặp ở các chuyên khoa khác hoặc cần thiết khi nhận ra cần phải chuyển tuyến đúng chuyên khoa;
-Bất cứ một sự nghi ngờ nào cần phải chuyển cho thầy thuốc chuyên khoa ung bướu huyết học để có cơ sở và kinh nghiệm chẩn đoán nhanh HLH.
Tài liệu tham khảo
1.Fisman, David N. et al., (2000). Hemophagocytic syndromes and infection. Emerging Infect. Dis. 6(6): 601-8.
2.Zhang, Kejian, Filopovich, Alexandra H et al., (2013). Hemophagocytic Lymphohistiocytosis, Familial. Gene Reviews, National Center for Biotechnology Information. PMID 20301617. NBK1444.
3.Trapani JA, Thia KY, Andrews M, et al., (2013). Human perforin mutations and susceptibility to multiple primary cancers. Oncoimmunology 2(4): e24185.
4.Jenkins RW, Clarke CJ, Lucas JT, et al., (2013). Evaluation of the role of secretory sphingomyelinase and bioactive sphingolipids as biomarkers in hemophagocytic lymphohistiocytosis. Am. J. Hematol. 88(11): E265-72.
5.Jordan MB, Filipovich AH (2008). Hematopoietic cell transplantation for hemophagocytic lymphohistiocytosis: A journey of a thousand miles begins with a single (big) step. Bone marrow transplant. 42(7): 433-7.
6.Rudman Spergel A, Walkovich K, Price S, et al., (2013). Autoimmune lymphoproliferative syndrome misdiagnosed as hemophagocytic lymphohistiocytosis. Pediatrics 132(5): e1440-4.
7.Morrell DS, Pepping MA, Scott JP, et al. (2002). Cutaneous manifestations of hemophagocytic lymphohistiocytosis. Arch Dermatol. 138(9):1208-12.
8.Feldmann J, Le Deist F, Ouachee-Chardin M, et al. (2002). Functional consequences of perforin gene mutations in 22 patients with familial haemophagocytic lymphohistiocytosis. Br J Haematol. 117(4):965-72.
9.Cetica V, Pende D, Griffiths GM, Aricò M. (2010). Molecular basis of familial hemophagocytic lymphohistiocytosis. Haematologica. 95(4):538-41.
10.Farquhar JW, Claireaux AE. (1952). Familial haemophagocytic reticulosis. Arch Dis Child. 27(136):519-25.
11.Arico M, Allen M, Brusa S, et al. (2002). Haemophagocytic lymphohistiocytosis: Proposal of a diagnostic algorithm based on perforin expression. Br. J Haematol. 119(1):180-8.
12.Tang Y, Xu X. (2011). Advances in hemophagocytic lymphohistiocytosis: Pathogenesis, early diagnosis/differential diagnosis, and treatment. Scientific World Journal. 22. 11:697-708.
13.Imashuku S, Ueda I, Teramura T, et al. (2005). Occurrence of haemophagocytic lymphohistiocytosis at less than 1 year of age: analysis of 96 patients. Eur J Pediatr. 164(5):315-9.
14.Risma KA, Frayer RW, Filipovich AH (2006). Aberrant maturation of mutant perforin underlies the clinical diversity of hemophagocytic lymphohistiocytosis. J Clin Invest. 116(1):182-92.
15.Katano H, Cohen JI. (2005). Perforin and lymphohistiocytic proliferative disorders. Br J Haematol. 128(6):739-50.
16.Rieux-Laucat F, Le Deist F, De Saint Basile G. (2005). Autoimmune lymphoproliferative syndrome and perforin. N Engl J Med. 20. 352(3):306-7.
17.Menasche G, Feldmann J, Fischer A, de Saint Basile G. (2005). Primary hemophagocytic syndromes point to a direct link between lymphocyte cytotoxicity and homeostasis. Immunol Rev. 203:165-79.
18.zur Stadt U, Schmidt S, Kasper B, et al.(2005). Linkage of familial hemophagocytic lymphohistiocytosis (FHL) type-4 to chromosome 6q24 and identification of mutations in syntaxin 11. Hum Mol Genet. 14(6):827-34.
19.Arico M, Danesino C, Pende D, Moretta L. (2001). Pathogenesis of haemophagocytic lymphohistiocytosis. Br J Haematol. 114(4):761-9.
20.Marsh RA, Satake N, Biroschak J, Jacobs T, Johnson J, Jordan MB, et al. (2010). STX11 mutations and clinical phenotypes of familial hemophagocytic lymphohistiocytosis in North America. Pediatr Blood Cancer. 55(1):134-40.
21.Koh KN, Im HJ, Chung NG, Cho B, Kang HJ, Shin HY, et al. (2014). Clinical features, genetics, and outcome of pediatric patients with hemophagocytic lymphohistiocytosis in Korea: report of a nationwide survey from Korea histiocytosis Working Party. Eur J Haematol. 17.
22.Toga A, Wada T, Sakakibara Y, Mase S, Araki R, Tone Y, et al. (2010). Clinical significance of cloned expansion and CD5 down-regulation in Epstein-Barr Virus-infected CD8+ T lymphocytes in EBV-associated hemophagocytic lymphohistiocytosis. J Infect Dis.201(12):1923-32.
23.Przybylski M, Dzieciatkowski T, Zdunczyk D, Jedrzejczak WW (2010). Microbiological findings and treatment of EBV-associated hemophagocytic lymphohistiocytosis: A case report. Arch Immunol Ther Exp (Warsz). 58(3):247-52.
24.Gholam C, Grigoriadou S, Gilmour KC, Gaspar HB. (2011). Familial haemophagocytic lymphohistiocytosis: advances in the genetic basis, diagnosis and management. Clin Exp Immunol. 163(3):271-83.
25.Malloy CA, Polinski C, Alkan S, et al. (2004). Hemophagocytic lymphohistiocytosis presenting with nonimmune hydrops fetalis. J Perinatol. 24(7):458-60.
26.Sung L, King SM, Carcao M, et al. (2002). Adverse outcomes in primary hemophagocytic lymphohistiocytosis. J Pediatr Hematol oncol. 24(7):550-4.
27.Ericson KG, Fadeel B, Andersson M, et al. (2003). Sequence analysis of the granulysin and granzyme B genes in familial hemophagocytic lymphohistiocytosis. Hum Genet. 112(1):98-9.
28.Arico M, Janka G, Fischer A, et al. (1996). Hemophagocytic lymphohistiocytosis. Report of 122 children from the International Registry. FHL Study Group of the Histiocyte Society. Leukemia. 10(2):197-203.
29.Henter JI, Elinder G, Ost A. (1991). Diagnostic guidelines for hemophagocytic lymphohistiocytosis. The FHL Study Group of the Histiocyte Society. Semin oncol. 18(1):29-33.
30.Miyamae T, Izaki S, Ikuta K, Yokota S, Yamanaka H. (2013). Hemophagocyctic lymphohistiocytosis developed in a Japanese boy with Chédiak-Higashi syndrome. Nihon Rinsho Meneki Gakkai Kaishi. 36(4):226-32.
31.Henter JI, Elinder G, Soder O, Ost A. (1991). Incidence in Sweden and clinical features of familial hemophagocytic lymphohistiocytosis. Acta Paediatr Scand. 80(4):428-35.
32.Yamashita H, Matsuki Y, Shimizu A, Mochizuki M, Takahashi Y, Kano T, et al. (2012). Hemophagocytic lymphohistiocytosis complicated by central nervous system lesions in a patient with dermatomyositis: a case presentation and literature review. Mod Rheumatol. 11.
33.Pal P, Giri PP, Ramanan AV. Dengue associated hemophagocytic lymphohistiocytosis: a case series. Indian Pediatr. 2014 Jun. 51(6):496-7.
34.Sankhyan N, Saptharishi LG, Sasidaran K, Kanga A, Singhi SC. (2014). Clinical profile of scrub typhus in children and its association with hemophagocytic lymphohistiocytosis. Indian Pediatr. 51(8):651-3..
35.Imashuku S, Teramura T, Morimoto A, Hibi S. (2001). Recent developments in the management of haemophagocytic lymphohistiocytosis. Expert Opin Pharmacother. 2(9):1437-48.
36.Saeed H, Woods RR, Lester J, Herzig R, Gul Z, Monohan G. (2015). Evaluating the optimal serum ferritin level to identify hemophagocytic lymphohistiocytosis in the critical care setting. Int J Hematol. 22.
37.Hafsteinsdottir S, Jonmundsson GK, Kristinsson Jr, et al. (2002). Findings in familial haemophagocytic lymphohistiocytosis prior to symptomatic presentation. Acta Paediatr. 91(8):974-7.
38.Clementi R, Emmi L, Maccario R, et al. (2002). Adult onset and atypical presentation of hemophagocytic lymphohistiocytosis in siblings carrying PRF1 mutations. Blood. 100(6):2266-7.
39.Macheta M, Will AM, Houghton JB, Wynn RF. (2001). Prominent dyserythropoiesis in four cases of haemophagocytic lymphohistiocytosis. J Clin Pathol. 54(12):961-3.
40.Gupta S, Weitzman S. (2010). Primary and secondary hemophagocytic lymphohistiocytosis: clinical features, pathogenesis and therapy. Expert Rev Clin Immunol. 6(1):137-54.
41.Henter JI, Samuelsson-Horne A, Arico M, et al. (2002). Treatment of hemophagocytic lymphohistiocytosis with HLH-94 immunochemotherapy and bone marrow transplantation. Blood. 100(7):2367-73.
42.Emmenegger U, Spaeth PJ, Neftel KA. (2002). Intravenous immunoglobulin for hemophagocytic lymphohistiocytosis?. J Clin oncol. 20(2):599-601.
43.Thompson PA, Allen CE, Horton T, Jones JY, Vinks AA, McClain KL. (2009). Severe neurologic side effects in patients being treated for hemophagocytic lymphohistiocytosis. Pediatr Blood Cancer. 52(5):621-5.
44.Cooper N, Rao K, Gilmour K, et al. (2006). Stem cell transplantation with reduced-intensity conditioning for hemophagocytic lymphohistiocytosis. Blood. 107(3):1233-6.
45.Marsh RA, Allen CE, McClain KL, Weinstein JL, Kanter J, Skiles J, et al. (2012). Salvage therapy of refractory hemophagocytic lymphohistiocytosis with alemtuzumab. Pediatr Blood Cancer. 22.
46.Filipovich AH. (2005). Life-threatening hemophagocytic syndromes: current outcomes with hematopoietic stem cell transplantation. Pediatr Transplant. Suppl 7:87-91.
47.Gupta AA, Tyrrell P, Valani R, Benseler S, Abdelhaleem M, Weitzman S. et al., (2009). Experience with hemophagocytic lymphohistiocytosis/macrophage activation syndrome at a single institution. J Pediatr Hematol oncol. 31(2):81-4.
48.Jenkins RW, Clarke CJ, Lucas JT Jr, Shabbir M, Wu BX, Simbari F, et al. (2003). Evaluation of the role of secretory sphingomyelinase and bioactive sphingolipids as biomarkers in hemophagocytic lymphohistiocytosis. Am J Hematol. 2013 Jul 5.
49.Yuzurihara SS, Ao K, Hara T, Tanaka F, Mori M, Kikuchi N, et al. (2012). Human parechovirus-3 infection in nine neonates and infants presenting symptoms of hemophagocytic lymphohistiocytosis. J Infect Chemother.
50.Su NW, Chen CK, Chen GS, Hsieh RK, Chang MC. (2009). A case of tuberculosis-induced hemophagocytic lymphohistiocytosis in a patient under hemodialysis. Int J Hematol. 89(3):298-301.
51.Chen Y, Shang S, Zhang C, Liu T, Yang Z, Tang Y. Hemophagocytic lymphohistiocytosis at initiation of kawasaki disease and their differential diagnosis. Pediatr Hematol oncol. 2010 Apr. 27(3):244-9.
52.Rooms L, Fitzgerald N, McClain KL. et al., Hemophagocytic lymphohistiocytosis masquerading as child abuse: presentation of three cases and review of central nervous system findings in hemophagocytic lymphohistiocytosis. Pediatrics. 111(5 Pt 1):e636-40.
53.Chen RL, Lin KH, Lin DT, et al. (1995). Immunomodulation treatment for childhood virus-associated haemophagocytic lymphohistiocytosis. Br J Haematol. 89(2):282-90.
54.Goransdotter Ericson K, Fadeel B, Nilsson-Ardnor S, et al. (2001). Spectrum of perforin gene mutations in familial hemophagocytic lymphohistiocytosis. Am J Hum Genet. 68(3):590-7.
55.Huang W, Wang Y, Wang J, Zhang J, Wu L, Li S, et al. (2014). Clinical characteristics of 192 adult hemophagocytic lymphohistiocytosis]. Zhonghua Xue Ye Xue Za Zhi. 35(9):796-801.
56.Pradalier A, Teillet F, Molitor JL, Drappier JC. et al., (2004). Macrophage activation syndrome, hemophagocytic syndrome]. Pathol Biol. 52(7):407-14.
57.Schenone A, Bandyopadhyay D, Panchabhai TS et al., (2014). Febrile conundrum: Hemophagocytic lymphohistiocytosis. Am J Med.
58.Schmidt MH, Sung L, Shuckett BM et al., (2004). Hemophagocytic lymphohistiocytosis in children: abdominal US findings within 1 week of presentation. Radiology. 230(3):685-9.
59.Wang Y, Wang Z, Zhang J, Wei Q, Tang R, Qi J, et al. (2014). Genetic features of late onset primary hemophagocytic lymphohistiocytosis in adolescence or adulthood. PLoS one. 2014. 9(9):e107386
60.Watkins ER, Cascino T, White KL, Katrak S, Bern C, et al. (2014). Visceral Leishmaniasis-Associated Hemophagocytic Lymphohistiocytosis in a traveler returning from a Pilgrimage to the Camino de Santiago. J Travel Med. 2014 Aug 21.