Giới thiệu
Entamoeba histolytica là một loại ký sinh trùng đơn bào kỵ khí (anaerobic parasitic protozoan), thuộc giống Entamoeba, có chỉ một tế bào và có khả năng di chuyển định hướng nhờ các chân giả. Bệnh do tác nhân này thường gây trên người và các loài động vật thuộc bộ linh trưởng, ước tính loài E. histolytica đã gây nhiễm khoảng 50 triệu người trên toàn thế giới. Nhiều tài liệu cổ cho biết khoảng 10 dân số thế giới nhiễm loài này, nhưng các hình ảnh này được công nhận lại rằng ít nhất 90% số ca nhiễm này là do các loài amíp thứ yếu và không gây bệnh loại E. dispar. Các động vật có vú như chó, mèo có thể bị nhiễm nhưng chỉ thoáng qua mà không được xem là đóng vai trò trong đường lây truyền bệnh quan trọng.
Theo phân loại khoa học thì amíp được xếp vào lãnh địa của Eukaryota, ngành Amoebozoa, lớp Archamoebae, bộ Amoebida, giống Entamoeba, loài E. histolytica.
Về đường lây truyền: thể hoạt động (trophozoite) chỉ tồn tại trong vật chủ và trong phân tươi của người bệnh; bào nang có thể sống sót bên ngoài môi trường như trong nước, đất và thực phẩm, đặc biệt dưới điều kiện ẩm ướt. Các bào nang sẽ bị giết chết nhành chóng bởi sức nóng và nhiệt độ đông lạnh và chỉ có thể sống sót vài tháng khi chúng ở bên ngoài vật chủ. Khi bào nang amíp được nuốt vào, chúng sẽ gây nhiễm bằng cách thoát nang (excyst), giải phóng giai đoạn tư dưỡng trophozoite trong đường ống tiêu hóa. Giai đoạn tư dưỡng cũng sẽ bị chết bên ngoài môi trường và không thể sống sót khi qua môi trường acid của dạ dày để gây nhiễm. Theo cơ chế bệnh sinh thì E. histolytica, với tên gọi của loài có nghĩa là phá hủy mô (histo–lytic = tissue destroying), là hình thức của cơ chế gây bệnh chính, sự nhiễm bệnh có thể dẫn đến lỵ (thường gọi là lỵ amíp) hoặc abces gan do amíp. Một số thể bệnh khác hiếm gặp hơn như viêm não màng não do amíp, …
Một số bệnh lý tiêu hóa gan mật có liên quan đến E.histolytica
Viêm đại tràng do amíp:
Bệnh còn được gọi là lỵ amíp, thường biểu hiện triệu chứng đại tiện nhiều lần trong ngày, phân có máu, sụt cân, suy nhược, đau bụng và đôi lúc hình thành giả u hay gọi là u amíp (amoeboma). Amíp có thể xâm nhập vào thành ruột và gây tổn thương cùng triẹu chứng xuất hiện sau đó, và tiếp đó chúng có thể xâm nhập vào dòng máu. Từ đây, chúng có thể đến các cơ quan khác nhau trong cơ thể, thường là vào gan nhưng đôi lúc cũng vào phổi, não, lách,…Một trong những hậu quả hay gặp nhất là khi chúng xâm nhập vào nhu mô gan gây các ổ abces, có thể dẫn đến tử vong nếu không điều trị kịp thời. Một số trường hợp chúng ta có thể phát hiện hồng cầu trong bào tương amíp;
Viêm đại tràng do amíp bắt đầu có triệu chứng sau 2-6 tuần khi ăn phải kén giai đoạn nhiễm. Đau bụng dưới và tiêu chảy là triệu chứng đến sớm, mệt mỏi và chán ăn, đau quặn bụng từng cơn ở vùng hố chậu phải (vùng hồi manh tràng), nếu bệnh kéo dài có thể đau cả hố chậu phải do tổn thương đại trực tràng; mót rặn và đại tiện giả (mót đại tiện nhưng không đi được hoặc thải phân rất ít), đôi lúc đau lan tỏa bụng dưới hoặc ra đau sau lưng;
Giai đoạn toàn phát, người bệnh có thể đại tiện từ 10-15 lần/ngày, cảm giác mót rặn liên tục; phân chủ yếu là nhầy, mũi, máu. Bệnh nhân bị lỵ amíp thường không sốt, đây là điểm để phân biệt với lỵ trực khuẩn; diễn tiến của đợt cấp tính kéo dài từ vài ngày đến vài tuần và điều đáng chú ý là bệnh lỵ amíp dễ bị tái nhiễm và tiến triển thành mạn tính;
Viêm đại tràng mạn tính do amíp thường dai dẳng với những biểu hiện đau bụng, phân sệt, bóng, cứ vài tuần hoặc vài tháng lại xảy ra một đợt cấp tính. Trong các trường hợp đau bụng, đi ngoài phân có nhầy nhớt và có máu, nhất thiết người bệnh phải vào nằm viện để được theo dõi và điều trị kịp thời. Người bệnh sẽ được soi phân tươi (soi phân vừa mới đi ngoài xong) để tìm amíp dạng hoạt động trong phân, đây là cách để chẩn đoán xác định. Ngoài ra còn có thể nội soi đại tràng hoặc Xquang đại tràng, hay xét nghiệm máu để tìm nguyên nhân gây bệnh.
* Một số biến chứng có thể xảy ra khi bị lỵ amíp:
-  !important; Sa niêm mạc hậu môn (nhất là người già và trẻ em);
-  !important; Viêm đa dây thần kinh (hiếm gặp) và tự khỏi, hoặc rối loạn thần kinh thực vật nhưng không để lại di chứng;
-  !important; Hội chứng viêm niệu đạo-khớp-kết mạc xuất hiện sau hai tuần bị lỵ, có thể để lại di chứng;
-  !important; Biến chứng thủng ruột và viêm phúc mạc chỉ thấy ở trẻ em (nhưng hiếm);
-  !important; Gây tác hại nặng cấp thời hoặc lâu dài như viêm đại tràng, mất men tiêu hóa, trĩ cấp, sa hậu môn, giả polype đại tràng, có khi xuất huyết tiêu hóa, hẹp trực tràng, tắc ruột, lồng ruột;
-  !important; Dẫn đến bệnh lý áp-xe gan do amíp (hay gặp ở bệnh nhân có tiền sử bị lỵ amíp), thường xuất hiện sau đó nhiều tháng khi cơ thể bị giảm sức đề kháng; biến chứng viêm thận, viêm màng bụng ít được y văn đề cập.
Viêm giác mạc do amíp:
Giác mạc chiếm phần lớn khúc xạ của mắt, nên những tổn thương trên giác mạc sẽ ảnh hưởng trực tiếp đến thị lực của người bệnh. Một trong những tổn thương rất nặng của giác mạc gây ảnh hưởng trầm trọng đến thị lực là bệnh loét giác mạc, loét gây hiện tượng mất tổ chức giác mạc do hoại tử, gây ra bởi một quá trình viêm giác mạc. Nhiều nguyên nhân gây ra loét giác mạc có thể do vi khuẩn (tụ cầu, liên cầu, phế cầu, lậu cầu, trực khuẩn mủ xanh, moraxella); do nấm (aspergillus fumigatus, fusarium solant, candida albicans, histoblasma); do virus (herpes simple, herpes zoster) hoặc do ký sinh trùng amíp (acanthamoeba).
Khi bị loét giác mạc bệnh nhân sẽ thấy mắt bị đỏ, đôi khi sưng nề, mắt cộm chói, sợ ánh sáng, chảy nước mắt, rất khó mở mắt. Thị lực bệnh nhân giảm dần, khám mắt sẽ thấy mi và kết mạc phù nề, trường hợp nặng có thể gây sụp mi mắt, trên giác mạc có một ổ loét. Nếu loét giác mạc do loại amíp anthamoeba, ổ loét giác mạc thường kèm theo áp xe giác mạc hình vòng, diện giác mạc xung quanh ổ loét bị mờ đi do thâm nhiễm tế bào viêm và dịch, tiền phòng có thể có ngấn mủ.
Cần phân biệt loét giác mạc do nguyên nhân gì ? nếu loét giác mạc do vi khuẩn ổ loét có ranh giới không rõ, đáy ổ loét thường phủ một lớp hoại tử bẩn, khi nhuộm giác mạc bằng fluorescein 2% ổ loét sẽ bắt màu xanh, nếu ổ loét hoại tử nhiều sẽ có màu vàng xanh; nếu loét giác mạc do nấm thì ổ loét có ranh giới rõ, bờ gọn thường có hình tròn hoặc bầu dục, đáy ổ loét thường phủ một lớp hoại tử dày, đóng vảy gồ cao, bề mặt vảy khô ráp và khó bóc; nếu loét giác mạc do virut herpes, khi đó ổ loét có thể có hình cành cây hoặc hình bản đồ.
Loét giác mạc là môt bệnh nặng, khó điều trị và gây ra nhiều biến chứng. Khi điều trị khỏi bệnh sẽ để lại sẹo trên giác mạc gây giảm thị lực. Trường hợp bệnh nặng, điều trị không hiệu quả có thể phải bỏ nhãn cầu. Khi bị loét giác mạc, bệnh nhân cần phải đến khám tại các cơ sở nhãn khoa, nạo ổ loét giác mạc lấy bệnh phẩm, xét nghiệm tìm nguyên nhân gây bệnh và điều trị bằng các thuốc đặc hiệu. Nếu điều trị nội khoa không hiệu quả hoặc trong những trường hợp nặng có thể phải phẫu thuật ghép giác mạc, với mục đích thay thế giác mạc bệnh lý bằng mô giác mạc lành.
Abces gan mật do đơn bào amíp
Abces gan là một bệnh lý tương đối hiếm gặp tại các quốc gia đang phát triển, song trước đây bệnh hay gặp tại quốc gia đang phát triển, trong đó có Việt Nam. Theo thống kê tại Mỹ, 80% các trường hợp áp-xe gan là do vi khuẩn, ngược lại tại một số quốc gia vùng Đông Nam Á thì tỷ lệ nhiễm và abces gan do E.histolytica (amíp) lại khá cao, dao động từ 10-26% và số ca còn lại là nguyên nhân do nấm và một số vi khuẩn khác. Việc chẩn đoán bệnh abcès gan do amíp phần lớn là không phức tạp, tuy nhiên trong một số ca nên chẩn đoán phân biệt với một số ca abces gan do vi khuẩn, do sán lá gan, u mạch hoại tử, u mạch thể hang,… cần lưu ý là khoảng 20% các trường hợp áp-xe gan không xác định được nguyên nhân.
-  !important; Tác nhân gây bệnh là Entamoeba histolitica. Entamoeba histolitica có hai thể: thể bào nang và thể dưỡng bào hay tư dưỡng. Một người khoẻ mạnh có thể mang mầm bệnh của a-míp (dưới dạng bào nang) và khoảng 10% dân số bị nhiễm amíp. Sự nhiễm trùng xảy ra khi ăn uống thực phẩm bị nhiễm phân có bào nang của amíp. Bào nang amíp đề kháng với acid trong dịch vị, nhưng vách bào nang sẽ bị phá huỷ bởi trypsin của men tiêu hóa khi đến ruột non. Tại đây, các tư dưỡng sẽ được phóng thích. Sau đó, amíp sẽ thường trú ở manh tràng. Tại manh tràng, amíp kết dính vào lớp niêm mạc ruột và có thể xâm nhập qua lớp niêm mạc, theo dòng máu vào đến tuần hoàn cửa, đến gan và gây ra abces gan, đôi khi thể amíp ăn hồng cầu và sinh đọc tố hủy hoại tế bào gan, khiến bệnh trở nên trầm trọng hơn;
-  !important; Khoảng 30% bệnh nhân bị abces gan do amíp đồng thời có nhiễm amíp đường ruột trước đó hoặc cùng lúc phát hiện bệnh;
-  !important; Áp xe gan amíp là bệnh thường gặp, ở mọi lứa tuổi nhưng ít gặp ở trẻ em, tuổi hay gặp nhất là 20-50, nam giới chiếm 89,81%;
-  !important; Triệu chứng lâm sàng có tam chứng Fontan (93,52%), bạch cầu tăng (86,11%); tốc độ máu lắng tăng; Tính chất mủ: màu sô cô la (93,5 /%); không mùi (100%); cấy mủ không có vi khuẩn ái khí (97,22%), không có vi khuẩn kỵ khí (96,23%);
-  !important; Chẩn đoán nguyên nhân áp xe gan đo a míp chủ yếu dựa vào xét nghiệm miễn dịch huỳnh quang gián tiếp có kết quả dương tính 99,07% với hiệu giá huyết thanh từ 1/80 đến 1/1280. và tỷ lệ soi tươi mủ thấy a míp rất thấp (2,78%).
-  !important; Nam giới có tần suất bị áp-xe gan do amíp cao hơn nhiều so với nữ giới (10/1), mặc dù tỉ lệ nhiễm trùng do amíp ở đường ruột là bằng nhau ở nam và nữ;
-  !important; Độ tuổi thường mắc bệnh: 20-40;
-  !important; Tổn thương gan đa số gặp là 1 ổ đơn thuần (88.88-90%), có khi 2 ổ hoặc đa ổ (nhất là giai đoạn sớm của bệnh); trong ¾ các trường hợp, ổ áp-xe nằm ở thuỳ gan phải (85%), nhất là các hạ phân thùy IV, V, VI, VII và VIII, hiếm khi gặp gan trái và chưa thấy y văn nêu tổn thương ở thùy vuông (hạ phân thùy I); đường kính ổ trên 4 cm (95%), giảm âm và hỗn hợp âm (94%)
-  !important; Trong một số trường hợp bệnh không rõ ràng, chúng ta nên phân biệt với abces gan do vi khuẩn, do sán lá gan lớn.
Đặc điểm của abces gan do vi khuẩn
-  !important; Tiêu điểm xuất phát của vi khuẩn để gây bệnh cho các microabces tại gan, sau đó hình thành nên các khối abces kích thước lớn hơn là từ đường mật (40%), từ tĩnh mạch cửa (20%), động mạch gan (12%), do chấn thương (4%) hay vi khuẩn xâm lấn trực tiếp từ các tạng lân cận như phổi, màng phổi, lách, phúc mạc, trung thất,…
-  !important; Tỷ lệ mắc theo giới thì nam có tần suất mắc bệnh cao hơn nữ giới (tỉ lệ 1.5/1), điều này khác với tỷ lệ abces gan do sán lá gan lớn Fasciolae spp. rằng nữ cao gấp nhiều lần nam giới (6/1-10/1.5);
-  !important; Tất cả mọi lứa tuổi đều có thể bị, song người cao tuổi thường chiếm số đông và có tiêu điểm nhiễm khuẩn rõ ràng trước đó (đa số là xuất phát từ trong khoang phúc mạc);
-  !important; Loài vi khuẩn chủ yếu gây bệnh chủ yếu là các chủng vi khuẩn thường gây bệnh ở đường mật hay đường tiêu hóa như E. coli, Klebsiella, Enterococcus, Bacteroides, đôi lúc phát hiện trong dịch hút ra của ổ abces là gồm nhiều loại vi khuẩn khác nhau;
-  !important; Trong số 2/3 trường hợp, ổ áp-xe nằm ở thuỳ gan (P), gan trái hiếm gặp hơn và đặc biệt hạ phân thùy I rất ít khi phát hiện, điều này tương tự như một số abces gan do các tác nhân khác (sán lá gan lớn, amíp,..) có lẽ do đặc điểm của cấu trúc giải phảu khiến cho mầm bệnh đi theo một chiều hướng như thế (?). Áp-xe gan ở cả gan (P) và gan (T) chiếm khoảng 5%. Khi bệnh nhân đi khám bệnh thường phát hiện dạng nhiều ổ abces li ti (microabces), thường trên các bệnh nhân đó chúng ta hay gặp đi kèm với một nhiễm trùng đường mật và trên một cơ địa suy giảm miễn dịch hoặc suy dưỡng;
-  !important; Khoảng 50-67% số bệnh nhân abces gan do vi khuẩn cho kết quả cấy máu dương tính.
Một số biến chứng của áp-xe gan do amíp và do vi khuẩn:
-  !important; Các ổ abces có kích thước lớn, vỏ mỏng, căng lớn có khả năng vớ vào và lên màng phổi (P), lên phổi, màng tim gây chèn ép tim có nguy cơ đột tử, viêm trung thất và nhiễm trùng phúc mạc lan tỏa;
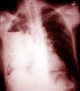
-  !important; Hoặc hiếm gặp hơn là tạo đường dò màng phổi-phế quản. Qua thực tiến lâm sàng thì ổ áp-xe vỡ, áp-xe gan thuỳ (P) thường vỡ vào xoang phúc mạc, trong khi áp-xe gan thuỳ (T) thường vỡ vào xoang màng tim hay màng phổi (xem hình bên).
-  !important; Sốc nhiễm trùng là một trong những biến chứng nặng, trong khi có bội nhiễm vi khuẩn khác, nhất là vi khuẩn kỵ khí.
Chẩn đoán bệnh do E.histolytica
Chẩn đoán lâm sàng
Thăm khám tổng trạng chung là một thể trạng có hội chứng nhiễm trùng hoặc nhiễm độc đi kèm. Các triệu chứng lâm sàng của một bệnh nhân abces gan thường không đặc hiệu, thường bao gồm có các triệu chứng sau đây: sốt cao, toàn trạng gầy sút nhanh, đau là triệu chứng cơ năng thường gặp nhất, chiếm đến 90%, sốt (87%), buồn nôn hoặc nôn (85%), sụt cân (45%), rối lọan tiêu hóa dạng phân nhầy, lỏng (25%). Bệnh có thể diễn tiến bán cấp hay cấp tính với các triệu chứng đau âm ỉ hạ sường (P), chán ăn, môi khô, lưỡi bẩn, sụt cân, rối loạn tiêu hóa, nôn mửa liên tục,…đòi hỏi nhập viện để điều trị.
Sốt cao, ăn uống kém, khám thực thể có gan to và đau (rung gan và ấn kẻ sườn bệnh nhân van đau). Khi thăm khám lâm sàng, gan to và đau là triệu chứng tương đối phổ biến (>65%). Dấu ấn kẽ sườn (+) nếu có sẽ có giá trị chẩn đoán tốt. Phần lớn bệnh nhân đau ở một điểm nhất định ở vùng gan, do ổ áp xe thường nằm ở mặt sau gan phía bên (P) nên bệnh nhân có cảm giác đau xuyên lên vai (P), đau tức mặt sau đáy ngực phải (nên đau lan ra sau lưng); sờ thấy gan to vượt quá bờ sườn từ 3-5cm (đối với áp xe gan phải) hoặc sẽ thấy một khối liền gan nằm phía trên rốn (nếu tổn thương gan trái).
Các triệu chứng khác có thể gặp như vàng da, giảm âm phế bào vùng đáy phổi phải (do xẹp phổi, tràn dịch màng phổi lượng ít), tiếng cọ bao gan (do viêm bao Glisson) nhưng dấu này hiếm phát hiện nếu chưa kinh nghiệm và tùy thuộc vào từng tình trạng bệnh nhân.
Chẩn đoán cận lâm sàng
Xét nghiệm sinh hoá và huyết học:
Có thể chẩn đoán bệnh thông qua xét nghiệm mẫu phân nhưng điều quan trọng là cần chú ý một số loài gây bệnh khác có thể đi kèm trên cùng một lam phân mà chúng ta có thể khó phát hiện khi chỉ áp dụng soi phân tươi dưới kính hiển vi. Thể tư dưỡng có thể nhìn thấy trong phân tươi và bào nang trong một mẫu phân bình thường. ELISA hoặc xét nghiệm RIA có thể áp dụng để bổ sung cho việc chẩn đoán xác định.
Các xét nghiệm huyết học thường không đặc hiệu cho áp-xe gan và cũng không phân biệt được áp-xe gan do vi khuẩn và áp-xe gan do amíp. Trên bệnh nhân áp-xe gan, xét nghiệm các thông số sinh hóa và huyết học có thể biểu hiện:
-  !important; Số lượng bạch cầu chung tăng, tỷ lệ bạch cầu đa nhân trung tính tăng cao trong abces gan do vi khuẩn và ngược lại sẽ tăng bạch cầu ái toan khi abces gan do amíp, song tỷ lệ không cao;
-  !important; Thiếu máu, thường do nhiều nguyên nhân phối hợp (thể trạng suy nhược hoặc trên một cơ địa nhiễm đa ký sinh trùng, nhất là nhiễm giun móc, mỏ);
-  !important; Giảm albumin, tăng phosphatase kiềm, tăng các transaminase huyết tương và bilirubin huyết tương tăng trong một số trường hợp.
Xét nghiệm soi phân tươi
Xét nghiệm tìm bào nang hay thể tư dưỡng (dưỡng bào) của amíp:
Khoảng chừng 30% số bệnh nhân bị abces gan do amíp đồng thời cũng bị nhiễm amíp đường ruột hoặc có tiền sử bị lỵ amíp trước đó, nên khả năng tìm thấy bào nang amíp trong phân là có thể, nhưng thấp; nếu (+) sẽ giúp chúng ta khẳng định chẩn đoán.
Khả năng tìm thấy thể tư dưỡng của amíp ở người bị nhiễm amíp đường ruột còn thấp hơn, vì amíp rất nhạy cảm với nước, điều kiện hanh khô, …đồng thời do quá trình thải phân từng đọt nên không phải lúc nào chúng cũng được thải theo phân ra ngoài. Để có thể phát hiện amíp thể tư dưỡng, bắt buộc phải xét nghiệm phân tươi và xét nghiệm ít nhất ba mẩu phân liên tiếp trong 3 ngày liên tục.
Xét nghiệm tìm kháng nguyên
Mục đích của xét nghiệm là nhằm phát hiện một loại kháng nguyên (galactose lectin) của amíp Entamoeba Histolytica trong phân. Kỹ thuật này có độ nhạy và độ đặc hiệu cao (95-100%) đối với bệnh nhân nhiễm amíp đường ruột và cho kết quả dương tính sớm hơn xét nghiệm tìm kháng thể.
Xét nghiệm huyết thanh tìm kháng nguyên galactose lectin của Entamoeba histolytica có thể được phát hiện bằng phương pháp ELISA cho kết quả dương tính ít nhất 75% bệnh nhân bị abces gan do amípBN bị áp-xe gan do a-míp, chuyển đổi huyết thành (seroconverrsion) sang âm tính sau 1 tuần điều trị bằng metronidazole.
Xét nghiệm theo phương pháp PCR
Xét nghiệm xác định theo phương pháp PCR (polymerase chain reaction) có độ nhạy và đọ đặc hiệu cũng như độ chính xác cao nhất. Tuy nhiên, do có giá thành một test khá cao nên phương pháp không thể được thực hiện và áp dụng một cách rộng rãi và thường quy.
Xét nghiệm huyết thanh miễn dịch
Xét nghiệm huyết thanh tìm kháng thể của amíp
Huyết thanh chẩn đoán amíp theo phương pháp ngưng kết hồng cầu gián tiếp (IHA_ Indirect hemagglutination assay) cho kết quả dương tính ở 90% số bệnh nhân vị abces gan do amíp. Phương pháp này đã được huỷ bỏ, thay vào đó là phương pháp miễn dịch enzym (EIA_Enzyme immunoassay) đơn giản hơn, dễ thực hiện hơn, độ nhạy và độ đặc hiệu ngang nhau và điểm phổ biến là không có giá thành cao và xét nghiệm nhằm phát hiện kháng thể đặc hiệu E. histolitica trong huyết tương;
Huyết thanh chẩn đoán amíp bằng phương pháp miễn dịch enzyme có độ nhạy 99% và độ đặc hiệu trên 90%. Khoảng 90% số bệnh nhân nhiễm amíp ngoài đường ruột, 70% bệnh nhân bị nhiễm amíp đường ruột và 10% người lành mang trùng amíp (dạng bào nang) có kết quả (+) với kỹ thuật EIA. Tuy nhiên, vẫn còn 10% bệnh nhân mới bị áp-xe gan amíp có kết quả EIA âm tính, giải thích điều này có lẽ do thời gian nhiễm chưa đủ để hình thành kháng thể. Những bệnh nhân như thế cần được xét nghiệm lại lần thứ 2 sau 1 tuần. Ngược lại, huyết thanh chẩn đoán amíp cũng có thể (+) ở những người không triệu chứng sống nhưng đang ở vùng dịch tễ của loài amíp Entamoeba histolytica, có thể vẫn còn tồn tại một lượng kháng thể dù nhỏ trên một số lớn người vốn đã mắc trước đó;
Một nhược điểm lớn nhất cũng nên lưu ý rằng xét nghiệm EIA vẫn dương tính kéo dài một thời gian dài (khoảng 6-12 tháng) sau khi bênh nhân điều trị khỏi;
Chẩn đoán hình ảnh (siêu âm, CT scanner, MRI)
Siêu âm: công cụ siêu âm hiện đang là lựa chọn ưu tiên như là một công cụ tốt trong phát hiện và chẩn đoán các bệnh lý trên cơ thể người nói chung và bệnh lý ở gan, mật nói riêng. Riêng với các bệnh nhân được nghi ngờ là abces gan bất luận do nguyên nhân gì thì khả năng phát hiện của siêu âm rất cao, độ nhạy và độ đặc hiệu lên đến 95%;
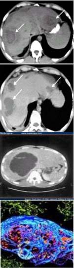
Kiểm tra và khảo sát hình ảnh siêu âm trong abces gan do amíp trong suốt quá trình điều trị, cho thấy: quy luật tiến triển của bệnh abces gan do amíp (giai đoạn hoại tử, giai đoạn kết tập mủ và giai đoạn tạo nang hóa ổ abces,…). Qua 55 trường hợp khảo sát tại Trung tâm MEDIC Hòa Hảo (46 nam và 9 nữ), phần lớn các ca đều có tổn thương ở thùy gan (P) và bên (T) chỉ chiếm 12/55 ca. Tính chất tổn thương echo nghèo 1/55 ca, echo hỗn hợp 9/55 ca, ít có xuất hiện dịch bán phần và dịch chiếm toàn bộ tổn thương 19/55, echo giàu 1/55 ca, kích thước ổ abces từ 1.1cm-11.15cm, kích thước này giảm dần theo quá trình điều trị. Do đó, tổn thương trên siêu âm là một phức hợp dựa vào diễn tiến bệnh tự nhiên của cấu trúc nhu mô, nên không thấy dấu điển hình, đôi khi abces gan do amíp giai đoạn sớm rất khó phân biệt với u mạch máu hoặc một khối u ác tính hoặc lành tính hoại tử hoặc tổn thương thâm nhiễm (do lao, nấm, sán lá gan lớn hoặc ấu trùng di chuyển). Cần lưu ý hình ảnh điển hình trên siêu âm khối abces gan là khối chiếm chỗ hình cầu hay bầu dục và có phản âm kém, tạo thành hai phân đoạn trên và dưới, bờ tổn thương phân biệt rõ (khác với abces gan do sán lá gan lớn là bờ rất khó định hình giữa ranh giới nhu mô lành và nhu mô bệnh).
CT Scanner: trong giai đoạn sớm, ổ áp-xe cho hình ảnh của một khối có đậm độ hơi giảm hơn so với đậm độ của mô gan chung quanh, khối này có giới hạn không rõ. Khi bơm thuốc cản quang, khối sẽ hiện hình rõ hơn, do nhu mô gan chung quanh tăng quang, làm tăng sự tương phản về đậm độ cản quang giữa khối và nhu mô gan. Có thể có hiện tượng tăng quang ở phần ngoại vi của khối. Khi ổ áp-xe đã hoá lỏng hoại tử hoàn toàn, trên CT Scanner cho thấy ổ áp-xe là khối giảm đậm độ, giới hạn rõ và không tăng quang khi bơm thuốc.
Công cụ CT Scanner có độ nhạy trong chẩn đoán cao hơn so với siêu âm (95-100%), đồng thời CT cũng có thể phát hiện các tổn thương khác tại các cơ quan lân cận và vùng gan mật.
Các phương pháp chẩn đoán hình ảnh khác
Chụp xạ hình nhu mô gan với Technetium-99m có thể chẩn đoán phân biệt áp-xe gan do amíp và áp-xe gan do vi trùng có đọ chính xác cao do có chứa bạch cầu, ổ áp-xe gan do vi trùng thể hiện bằng hình ảnh “nhân nóng”.
Chụp X quang bụng tổng quát không chuẩn bị cho thấy bóng gan to, cơ hoành bị đẩy lên cao (nếu là áp xe gan phải). Độ chênh lệch giữa cơ hoành (P) và (T) thường khoảng 2cm, hoặc ngoại lệ có thể vượt lên 8cm, góc sườn hoành (P) mờ do phản ứng màng phổi. X-quang phổi cho thấy có bất thường trong ½ các trường hợp áp-xe gan. Các dấu hiệu bất thường bao gồm: vòm hoành phải nâng cao, xẹp đáy phổi (P), tràn dịch màng phổi (P) với lượng dịch ít do phản ứng kích thích viêm. Tràn dịch màng phổi lượng nhiều cần chú ý là khối abces vở lên phổi.
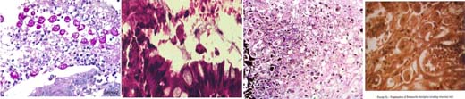
Chẩn đoán sau khi giải phẩu tử thi:
Đây là một trong nhưng bước chẩn đoán chắc chắn và có tính quyết định về bệnh và nguyên nhân tử vong của bệnh nhân, trước đây các thầy thuốc ngoại khoa bậc thầy cũng đã nhiều lần và dường như quá quen thuộc với công việc này. Song song, với việc chẩn đoán nguyên nhân, người ta còn đúc kết nhiều kinh nhiệm cũng như dẫn liệu về giải phẩu bệnh lý của căn bệnh abces gan do amíp này.
Về đặc điểm giải phẩu bệnh, amíp có đặc tính tạo hốc bên trong mô cơ thể. Tại ruột già, chúng xâm nhập vào thành ruột bằng cách xuyên qua niêm mạc ruột tạo nên tổn thương dạng những vết lở loét nhỏ sau đó tập trung thành các ổ lớn trên thành ruột. Các ổ này có thể tách biệt nhau, song chúng có thể tiến triển lớn và tập trung với nhau thành một ổ lớn hơn. Ổ loét này có thể “ăn phải” các thành mạch làm chảy máu nghiêm trọng, thủng ruột hoặc tạo thành ổ mủ bề mặt nông tại chổ; nghiêm trọng hơn, amíp có thể đi vào hệ thống tĩnh mạch rồi đến gan tạo ra các ổ áp-xe trong đó và có thể lan rộng hoặc vở ra lan đến tim, phổi,….và nguy cơ tử vong cao.
Chẩn đoán phân biệt
Vì bệnh lý hệ gan mật tương đối đa dạng, trước khi đưa ra chẩn đoán xác định cần gián biệt một số bệnh lý khác có thể; đầu tiên, chẩn đoán phân biệt giữa áp-xe gan do vi khuẩn và áp-xe gan do amíp và thận trọng với một số bệnh lý dưới đây có thể đi kèm hoặc khác biệt như viêm túi mật cấp, viêm dạ dày cấp, viêm đường mật, viêm mủ màng phổi, viêm phổi, tràn dịch, tràn khí màng phổi,…
Đặc điểm lâm sàng | Áp-xe gan do vi khuẩn | Áp-xe gan do amíp |
Độ tuổi | tuổi lớn | 20-40 |
Giới tính (nam/nữ) | 1,5:1 | 10:1 |
Số lượng | một ổ 50% | một ổ ≥ 80% |
Bệnh lý tiểu đường sẵn có | 30% | 2% |
Vàng da | Phổ biến | Hiếm |
Tăng bilirubin | Phổ biến | Không phổ biến |
Tăng phosphatase kiềm | Phổ biến | Phổ biến |
Cấy máu (+) | Phổ biến | Không |
Huyết thanh chẩn đoán | Không | (+) |
Ngoài ra, còn hai bệnh lý có thể cho bệnh cảnh lâm sàng cũng như kết quả xét nghiệm gần giống với áp-xe gan, đó là nang echinococcus nhiễm trùng và ung thư tế bào gan hoại tử.
-  !important; Nhiễm ký sin trùng Echinococcus ở gan có thể bội nhiễm, tạo ra triệu chứng lâm sàng gần giống với áp-xe gan, để chẩn đoán loại trừ nang echinococcus, có 3 xét nghiệm được chỉ định, theo thứ tự về mức độ chính xác là CT scanner, huyết thanh miễn dịch và siêu âm;
-  !important; Xét nghiệm miễn dịch phát hiện kháng thể kháng Echinococcus hiện là chẩn đoán được chỉ định rộng rãi. Song, khoảng 10% bệnh nhân nhiễm Echinococcus ở gan không sản xuất đủ lượng kháng thể nên kết quả xét nghiệm khi đó sẽ cho kết quả âm tính giả.
-  !important; CT scanner có thể chẩn đoán nang Echinococcus với độ chính xác cao 98%, biểu hiện hình ảnh nang có vách ngăn, hình tổ ong hay đóng vôi, hay sự có mặt của các nang phụ là các dấu hiệu điển hình của nang echinococcus.
Điều trị một số bệnh lỵ do amibe
Điều trị lỵ amíp: thuốc đặc hiệu sẵn có hiện nay cho tỷ lệ điều trị khỏi cao (>90%) nhưng tỷ lệ tái phát bệnh cũng khá cao (có thể lên đến 35%), điều này giải thích vì sao trong phần lớn các ca abces gan do amíp thường phát hiện đồng thời amíp tại đường ruột.
Những thuốc thường được sử dụng trong điều trị bệnh lý amíp:
§   !important; |
Nhóm Emetin: một loại alkaloid chiết xuất từ cây Ipeca, thuốc có nhiều độc tính và tích tụ trong cơ thể gây độc ở tim, thận, hệ thần kinh nên hiện nay ít dùng và được thay thế bằng dẫn chất tổng hợp là dehydroemetin ít độc hơn (song hiện nay hầu hết các công ty dược trên thế giới không sản xuất nữa hoặc chỉ sản xuất theo đơn đặt hàng). Thuốc có tác dụng theo cơ chế ngăn cản không hồi phục quá trình tổng hợp protein của amíp, thuốc không dùng cho phụ nữ có thai;
§ Nhóm Imidazole (metronidazole, tinidazole, ornidazole): các thuốc này khuếch tán, thâm nhập sâu vào bên trong và phá hủy hay ức chế sự tổng hợp DNA của ký sinh trùng. Loại thuốc này có ưu điểm diệt được cả thể bào nang và tư dưỡng của amíp, nhưng khi dùng thuốc kéo dài cần lưu ý vì có thể gặp tác dụng phụ như chóng mặt, buồn nôn, nôn, đau vùng thượng vị, nổi mày đay,... các dấu hiệu này thường nhẹ và hết sau khi ngưng thuốc một vài ngày. Đặc biệt, đối với bệnh nhân có tiền sử rối loạn huyết động khi sử dụng dài ngày, loại thuốc này nhất thiết phải được theo dõi công thức bạch cầu. Thuốc này không được dùng cho phụ nữ có thai 3 tháng đầu hoặc trong thời kỳ cho con bú.;
§ Nhóm Di-iodohydroxyquinolin: đây là những thuốc điều trị amíp, không nên dùng phối hợp các thuốc nhóm này với nhau hay dùng liều cao liên tục vì thuốc gây viêm tủy bán cấp, viêm dây thần kinh ngoại biên và tổn thương thị giác. Thuốc này không dùng cho phụ nữ có thai, trẻ còn bú, bệnh nhân cường giáp. Tác dụng phụ có thể gặp là buồn nôn, đau dạ dày, dị ứng da, có thể gây rối loạn chức năng tuyến giáp.
Điều trị abces gan do amíp
Điều trị áp-xe gan do amíp, thông thường phải kết hợp nội khoa và ngoại khoa nhằm diệt amíp, chống bội nhiễm, dẫn lưu ổ mủ (nếu ổ mủ lớn). Nếu chẩn đoán được sớm ở giai đoạn viêm gan tiền abces, chỉ cần điều trị nội khoa bằng thuốc dehydroemetin (hiện nay không còn dùng nữa do độc tính nghiêm trọng của nhóm thuốc này) hoặc metronidazol – là những thuốc diệt amíp đặc hiệu. Dehydroemetin đào thải nhanh hơn metronidazol, có tác dụng tốt đối với các thể amíp ngoài ruột.
Theo dõi đáp ứng điều trị là sự cải thiện triệu chứng lâm sàng, thu hồi tổn thương trên siêu âm (thường phục hồi hoàn toàn trên siêu âm phải mất 6-9 tháng, thậm chí 12 tháng).
Thuốc điều trị đặc hiệu
-  !important; Metronidazol: là thuốc được chọn lựa trước tiên, liều dùng 750mg x 3 lần/ngày x 10 ngày hoặc 4 viên 250mg/ ngày chia 2 lần trong 14 ngày; thuốc cho kết quả đáp ứng tốt trong 95% trường hợp; tác dụng phụ hiếm thấy, nếu có chỉ ít trường hợp đau bụng, nôn, rối loạn tiêu hóa tháng qua;
-  !important; Các thuốc khác, cũng thuộc nhóm Nitroimidazole như metronidazole (tinidazole, secnidazole, ornidazol) có thể thay thế metronidazole và có hiệu quả cao (qua một số báo cáo đơn lẻ);
-  !important; Chloroquin phosphate là một thuốc điều trị sốt rét nhưng cũng được chỉ định thay thế hay kết hợp với các thuốc thuộc nhóm nitroimidazole khi bệnh nhân không dung nạp hay kém đáp ứng với nitroimidazole đơn thuần;
-  !important; Emetine và dehydroemetine có hiệu quả rất cáo nhưng độc tính rất cao (có thể gây loạn nhịp tim, đau vùng trước tim, yếu cơ, tiêu chảy, nôn mửa, thậm chí có thể tử vong), nên ít được sử dụng hiện nay. Liều dehydroemetine: 1-1,5 mg/kg/ngày tiêm dưới da hoặc tiêm bắp trong 8-10 ngày.
Chọc hút hay dẫn lưu bằng catheter tại ổ áp-xe
Chọc hút áp-xe vừa là một thủ thuật chẩn đoán vừa nhằm mục đích điều trị, nếu dịch hút ra có chocolate hoặc màu “cá mòi” thì đó là áp-xe gan do a-míp. Tuy nhiên, chọc hút chỉ định chẩn đoán xác định áp-xe gan do a-míp trong 10-20% các trường hợp (nghĩa là rất hạn chế và nên điều trị nội khoa bằng chống viêm và thuốc đặc hiệu). Được chỉ định trong một số trường hợp sau:
-  !important; Kích thước ổ áp-xe lớn hơn 5 hoặc 6cm.
-  !important; Áp-xe gan thuỳ gan trái.
-  !important; Lâm sàng chưa cải thiện sau 5-7 ngày điều trị nội khoa.
-  !important; Việc chọc hút được thực hiện dưới sự hướng dẫn của siêu âm hay CT scanner.
Mổ dẫn lưu áp-xe
Nói chung, mổ dẫn lưu ổ áp-xe là không cần thiết và nên tránh, song một số trường hợp đặc biệt chúng ta mới thực hiện phẩu thuật này.Việc chỉ định chỉ thực hiện trong một số trường hợp:
-  !important; Không thể tiếp cận được ổ áp-xe với chọc hút bằng kim.
-  !important; Vỡ ổ áp-xe vào khoang phúc mạc, màng phổi, màng tim. Trong trường hợp này cần kết hợp dẫn lưu ổ áp-xe với chọc hút màng tim, dẫn lưu khoang màng phổi.
Điều trị abces gan do vi khuẩn
Điều trị nội khoa
Phần lớn là phải dùng kháng sinh và thuốc kháng sinh cần được chỉ định ngay sau khi có chẩn đoán, để ngăn diễn tiến của nhiễm trùng huyết. Loại kháng sinh thường được chọn là thuộc nhóm Cephalosporine thế hệ 3 hoặc nhóm Aminoglycoside) kết hợp metronidazole (hay clindamycine).
Kháng sinh có thể được cân nhắc như một phương pháp điều trị đơn thuần, đặc biệt nếu tổn thương chưa hoá lỏng rõ (chưa hoại tử toàn phần). Tuy nhiên, bệnh nhân bị áp-xe gan do vi trùng được điều trị chỉ với kháng sinh có tỷ lệ biến chứng cao (> 60%) nên thường phải phối hợp với các thuốc khác nữa.
Chọc hút dẫn có kèm hoặc không dẫn lưu mủ bằng catheter
-  !important; Chọc hút mủ ở bệnh nhân áp-xe gan vừa nhằm chẩn đoán vừa nhằm điều trị. Phần lớn bệnh nhân phải được chọc hút mủ nhiều lần. Thủ thuật chọc hút đơn giản, ít xâm lấn, chi phí thấp,có thể chọc hút nhiều ổ áp-xe, tránh được các vấn đề liên quan đến chăm sóc catheter (nhiễm trùng ngược dòng nếu lưu catheter);
-  !important; Tỷ lệ thành công của chọc hút là 60% và hiệu quả điều trị của dẫn lưu catheter là gần 100%;
-  !important; Dẫn lưu ổ áp-xe bằng catheter là phương pháp điều trị được chọn lựa cho hầu hết các bệnh nhân bị áp-xe gan do vi khuẩn, phương pháp này có tỉ lệ thành công 80-90%;
-  !important; Một số chống chỉ định của dẫn lưu catheter:
§ Bụng có dịch báng.
§ Bệnh nhân có rối loạn đông máu.
§ Ổ áp-xe nằm cận các cơ quan “sinh mạng” (chẳng hạn tim)
-  !important; Các bước chuẩn bị trước khi tiến hành dẫn lưu:
§ Thực hiện các xét nghiệm: công thức máu toàn phần, thời gian chảy máu, PT, aPTT, nhóm máu, chức năng gan, thận, làm điện tâm đồ (ECG), chụp X-quang
§ Cho vitamin K nếu bệnh nhân có vàng da; bệnh nhân phải nhịn ăn 6 giờ trước khi tiến hành thủ thuật; cho thuốc an thần kinh trước khi tiến hành thủ thuật.
-  !important; Kỹ thuật dẫn lưu mủ qua da:
§ Xác định vị trí: có thể dựa vào lâm sàng nơi chỗ ấn đau nhất hay có dấu hiệu tấy đỏ, hoặcdựa vào hướng dẫn của siêu âm (hiện nay hầu hết các trường hợp đều làm dưới siêu âm); hoặc hai vị trí phổ biến là liên sườn 9 đường nách giữa hay liên sườn 7 đường trung đòn;
§ Gây tê từng lớp (dưới da, cơ thành ngực, cơ hoành) cho tới bao gan;
§ Rạch một đường nhỏ trên da, dùng catheter số 18, dài 10 cm, chọc vào ổ áp-xe theo sự hướng dẫn của siêu âm. Khi hút ra mủ, lắp catheter vào syringe 20 ml, tiếp tục hút, cho đến khi mủ hút ra có lẫn máu thì ngưng. Cố định catheter (trong suốt quá trình chọc hút xem toàn trạng bệnh nhân, cho bệnh nhân thở nông, trấn an);
§ Hằng ngày bơm, rửa ổ áp-xe với dung dịch nước muối sinh lý Nacl 0.9%. Khi lượng dịch mủ qua catheter ít hơn 10 ml/ngày, hay siêu âm cho thấy ổ áp-xe đã xẹp hẳn thì rút catheter.
- Một số biến chứng có thể xảy ra khi làm thủ thuật chọc hút mủ hoặc dẫn lưu mủ:
§ Tổn thương tạng rỗng, xuất huyết, tràn khí màng phổi
§ Dò mủ vào khoang phúc mạc hoặc lâu dài cs thể để lại đường dò.
Điều trị ngoại khoa:
- Chỉ định của điều trị ngoại khoa trong một số trường hợp sau:
§ Ổ áp-xe vỡ hay doạ vỡ, bệnh nhân có biểu hiện viêm phúc mạc;
§ Điều trị bằng chọc hút hay dẫn lưu catheter thất bại;
§ Ổ áp-xe có nhiều khoang, thành dày hay có mủ đặc;
§ Có tổn thương phối hợp trong khoang bụng cần can thiệp phẫu thuật.
-  !important; Hiện nay, có 3 đường tiếp cận khi phẫu thuật dẫn lưu áp-xe:
§ Đường phúc mạc: kiểm tra được các tổn thương phối hợp, xử lý được nhiều ổ áp-xe. Đây là đường phẫu thuật được chọn lựa nhiều nhất;
§ Đường màng phổi: tiếp cận ổ áp-xe trực tiếp hơn, nhưng không thể xử lý nhiều ổ áp-xe;
§ Đường ngoài phúc mạc
Điều trị abces gan do amíp theo y học cổ truyền
Trong dân gian dùng một số thuốc dân gian y như hạt và vỏ của cây mộc hoa trắng, thừng mực lá to, sừng trâu, vỏ cây hậu phác, chiêu liêu, hoàng cầm...
Tiên lượng một bênh nhân mắc abces gan:
Phần lớn hiện nay các ổ abces do vi khuẩn hoặc do đơn bào amíp đều có tiên lượng tốt và điều trị khỏi với tỷ lệ cao, lên đến > 96%. Tiên tượng kém cho một abces gan do vi khuẩn nếu áp-xe đa ổ, áp-xe có biến chứng, có bệnh lý nội khoa đi kèm (tim mạch, phổi tắc nghẽn mạn tính, đái đường, nhiễm khuẩn huyết,...) hoặc các thông số xét nghiệm Hb ≥ 11 mg/dL, bilirubin ≥ 1,5 mg/dL, albumin ≤ 2,5 gm/dL, bạch cầu ≥ 15000, aPTT tăng.
Phòng bệnh
-  !important; Muốn phòng bệnh do lỵ amíp tốt và có hiệu quả cao cần phải phát hiện sớm bệnh nhân và người lành mang màm bệnh để cách ly và điều trị tích cực nguồn bệnh, tẩy uế các chất thải, dụng cụ, áo quần bệnh nhân, buồng bệnh... không để mầm bệnh có cơ hội lây lan, bảo vệ tốt cho những người lành ở xung quanh;
-  !important; Thực phẩm tươi sống phải được bảo quản cẩn thận, không để ruồi, nhặng bám, không ăn rau sống chưa được xử lý kỹ, giữ gìn vệ sinh nguồn nước sinh hoạt; kén amíp trong phân người bệnh thải ra còn sống nhiều tuần ở điều kiện khí hậu thuận lợi. Nên, tốt nhất là thực hiện vệ sinh ăn uống;
-  !important; Xử lý nguồn phân và rác thải hợp vệ sinh, diệt ruồi, nhặng và côn trùng truyền bệnh. Vệ sinh cá nhân và môi trường sống, uống nước đun sôi và ăn các loại thức ăn đã được nấu chín.
-  !important; Bệnh có thể tái phát (10-35%) nếu không diệt amíp đường ruột một cách triệt để. Các loại thuốc diệt amíp đường ruột bao gồm diloxanide furoate, iodoquinol và paromomycine và metronidazole;
-  !important; Truyền thông giáo dục sức khỏe về thói quen ăn chín, uống sôi, rửa rau nhiều nước và kỹ dưới vòi nước chảy mạnh, rửa tay bằng xà phòng trước khi ăn, sau khi đi tiểu hoặc đại tiện, nên cắt móng tay ngắn và không nên dùng phân tươi bón cho các loại rau;
-  !important; Khi mắc bệnh do amíp, bất luận tại cơ quan nào cũng không được tự ý đi mua thuốc điều trị cho mình mà nên đến cơ ở điều trị chuyên khoa, nhằm điều trị tiệt căn.