Sinh lý và giải phẩu bệnh học
Gnathostoma spinigerum là một loại ký sinh trùng giun tròn gây bệnh theo 2 thể: thể bệnh tại da niêm và thể bệnh tại các tạng, thường được gọi chung là bệnh giun đầu gai, đôi khi gọi là ban trườn (creeping eruption), hội chứng ấu trùng di chuyển (larva migrans), phù Yangtze (Yangtze edema), sưng phồng lan tỏa. Bệnh khi xuất hiện ở động vật có thể nghiêm trọng, thậm chí tử vong. Người bị nhiễm bệnh khi ăn ký chủ trung gian thứ hai chứa ấu trùng giai đoạn 3 của Gnathostoma spinigerum chưa nấu chín, ấu trùng giai đoạn 3 sẽ chui qua vách bao tử và đi lang thang khắp nơi trong cơ thể: da, gan, phổi, mắt,… ký sinh trùng có thể phát triển đến giun non nhưng không trưởng thành được.Đi đến đâu giun sẽ gây viêm, áp xe, hoại tử, xuất huyến đến đó…
Gnathostoma spinigerum sp. Gây phù nề mô mạnh hơn những loại ký sinh trùng di chuyễn ngoài da khác có thể nó vừa gây chấn thương cơ học do di chuyển, vừa tiết ra các chất như hemolysin, hyaluronidase, proteasevà một chất giống như acetylcholine. Tất cả các chất này làm tăng thêm phù tại chổ và xuất huyết, khi ấu trùng ở trong cơ, nó kich thích mô ký chủ mạnh nên sang thương là một khối phù nề rộng, lan tỏa.
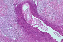
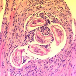
Về mô học trên mẩu sinh thiết da, thân giun bị cắt ngangđược nhận ranhờ lớp biểu bì có gai, cấu trúc thực quản và ruột . Trên đường di chuyển của ấu trùng có hiện tượng phù , xuất huyết, thâm nhiễm bạch cầu toan tính, tế bào lym phô và tương bào khi ấu trùng cố định ở một chổ thì chổ đó xảy ra hiện tượng viêm mạnh tới sự hoại tử mô và tế bào khổng lồ.
Điểm đặc biệt trong bệnh lý ấu trùng giun đầu gai ở thần kinh, Gnathostoma spp. là một loại ký sinh trùng có tính xâm nhập cao. Sau khi ăn phải, ấu trùng giai đoạn 3 xuyên qua thành niêm mạc của hệ tiêu hóa. Ấu trùng có thể đi vào trong hệ TKTU bằng cách xâm nhập trực tiếp qua các mô liên kết mềm lỏng lẻo của các lỗ thần kinh trên nền sọ dọc theo các dây thần kinh sọ não và mạch máu hoặc thông qua các lỗ giữa các đốt sống dọc theo thần kinh tủy sống và mạch máu. Ấu trùng bị ly giải một lượng lớn phân tử vào trong môi trường xung quanh để hỗ trợ cho sự xuyên và xâm nhập của ấu trùng. Proteases là loại phân tử quan trọng trong số các sản phẩm tiết (excretor-secretory products), cả về số lượng lẫn chất lượng. Trong số Gnathostoma spp.,thành phần metalloproteinases cơ chất đóng một vai trò quan trọng cho quá trình xâm nhập vào mô vật chủ.
Gnathostoma spp. điển hình đi vào tủy sống song theo các sợi rễ thần kinh, gây nên tình trạng viêm rễ tủy thần kinh. Tiếp đó ấu trùng có thể đi lên tủy sống và đến não. Hành trình này có thể mất vài nằm và đã được minh chứng trên một bệnh nhân người Thái thông qua chụp ảnh liên tục. Chiều dài di chuyển của ấu trùng trung bình 3.0mm, khi di chuyển ấu trùng đến TKTU, sẽ gây ra các tổn thương cơ học trực tiếp vì chúng xé rách các mô thần kinh. Dấu hiệu vàng của bệnh lý GĐGTTK là bằng chứng nhiều vệt xuất huyết; các vết này đã được nhìn thấy khắp đoạn tủy sống và mô não qua phân tích giải phẩu tử thi, cũng như qua hình ảnh chụp thần kinh. Xuất huyết dưới nhện có thể là hậu quả của ấu trùng đào bới qua một tiểu động mạch não. Viêm màng não tăng bạch cầu ái toan do Gnathostoma spp. đặc trưng bởi xuất hiện hồng cầu trong dịch não tủy, điều này gợi ý có thương tổn cơ học do ấu trùng. Ngoài tổn thương về cấu trúc, đáp ứng viêm với sựu di chuyển ấu trùng góp phần thêm cho quá trình phá hủy nhu mô.
Khi Gnathostoma xâm nhập vào cơ thể gây ra một số biến đổi trong thành phần của máu bạch cầu toan tính thường tăng. Bạch cầu toan tính là biểu hiện của sự đáp ứng thông thường của cơ thể với tình trạng nhiễm giun sán. Toàn thân ký sinh trùng là một thảm kháng nguyên: vách cơ thể, các enzyme, các hormone hay những chất độc do ký sinh trùng tiết ra trong quá trình chuyển hóa đều gây ra đáp ứng miễn dịch, dị ứng. Cơ chế này cũng xuất hiện trong bệnh nhiễm Gnathostoma spp. Tuy nhiên, vai trò của bạch cầu ái toan trong phòng vệ lúc giun mới xâm nhập vẩn chưa rỏ ràng. Khi ấu trùng di chuyển thì bạch cầu toan tính luôn ở mức cao bạch cầu toan tính tăng từ 35- 80%, bạch cầu toan tính có thể tăng từ 10- 96% (Lê Thị Xuân và cs.,2003).
Kháng thể IgE tăng cao đáng kể trong huyết thanh người bị nhiễm G. spinigerum. Bình thường giá trị này khoảng 10-180 UI/mL, đôi khi trong hội chứng ấu trùng di chuyển thì chỉ số này có thể lên đến 300 UI/mL (Norma Rojsa-Molina và cs., 1999).
Biểu hiện triệu chứng lâm sàng đa dạng và tùy thuộc vào cơ quan ảnh hưởng
Sau khi ấu trùng được nuốt vào dạ dày của người bệnh, khoảng 24-48 giờ ấu trùng đi xuyên qua thành ruột. Trong quá trình này bệnh nhân có thể có những biểu hiện lâm sàng ở đường tiêu hóa (buồn nôn, nôn mửa, tiêu chảy, đau vùng thượng vị,…). Sau đó, ấu trùng bắt đầu di chuyển đến các tạng khác trong cơ thể từ tuần thứ 3 - 4 đến thậm chí vài năm sau khi bị nhiễm. Khi đó, bệnh nhân có những triệu chứng tùy thuộc vào nơi ấu trùng giun đầu gai hiện diện và định vị như ở cơ sẽ gây viêm, đau cơ, xuất hiện những khối u di chuyển, nổi những sẩn ngứa, ban đỏ vùng không rõ hình ảnh, nổi mề đay hoặc dị ứng, nếu giun vào hệ thần kinh có thể dẫn đến như yếu liệt, nhức đầu, mù mắt, mất thính lực,… có thể dẫn đến suy nhược. Thời gian ủ bệnh thay đổi tùy thuộc vào báo cáo của từng tác giả từ 11 ngày đến 6 tháng hoặc ngắn hơn.
Một số ca bệnh đặc biệt với biểu hiện nhiều thể bệnh lâm sàng
Trường hợp thứ nhất
Một phụ nữ 26 tuổi, người châu Á, định cư ở Hồng Kông được đưa đến bệnh viện do chuyển viện từ thầy thuốc đa khoa; bệnh nhân có triệu chứng ngứa và nổi cục từng đợt trên các chi thân mình. 9 tháng trước đó, các cục sẩn xuất hiện đầu tiên trên tay phải, rồi từ đó xuất hiện nhiều sẩn cục trên tay trái và chân trái, mỗi đợt như vậy, kéo dài vài ngày và tự khỏi một cách tự phát không để lại di chứng gì. 9 năm trước đó, cô ta có nổi lên một cục gần phía gối trái, theo dõi tiếp 4 ngày sau lại xuất hiện một cục tương tự bên đùi phải; cả hai cục này tự mất đi không cần điều trị. Tất cả các cục nằm dưới da và có đường kính chừng 3-6cm. Xét nghiệm yếu tố thấp (RF_rheumatoid factor) dương tính và khángthể kháng nhân (ANA_anti-nuclear antibody) dương tính với hiệu giá kháng thể > 1/12.800, đáng chú ý là trong chế độ ăn của cô ta thường có cá sống.
Trường hợp thứ 2
Một phụ nữ 37 tuổi từ Bangladesh cho biết có tiền tử trong 3 năm qua xuất hiện dấu sưng phồng từng đợt ở cánh tay (P) đến phần giữa của cơ nhị đầu, kèm theo có ngứa, đau cơ và đau khớp. Triệu chứng khởi đầu xảy ra khi cô ta đi thăm quan khăp Bangladesh, ăn thịt cừu, cá và gà. Đếm bạch cầu ái toan là4.37 x 109/L và bệnh nhân được chuyển từ khoa khớp đến khoa nhiệt đới. Sau 21 ngày điều trị albendazole, bạch cầu eosin giảm xuống còn 1.12 x 109/L; triệu chứng tái phát vài tháng sau đó, sau khi điều trị liệu trình thứ 2 bằng albendazole (400mg hai lần mỗi ngày x 21 ngày), triệu chứng bệnh được giải quyết và eosin trở về trị số bình thường (0.25 x 109/L).
Trường hợp thứ 3
Một phụ nữ 49 tuổi người Cáp-ca (Caucasian) với bệnh sử đau bụng và có triệu chứng trào ngược dạ dày thực quản 12 tháng nay (gastroesophageal reflux). Bệnh nhân đã đi du lịch nhiều nơi ở Đông Nam Á với thời gian dài 18 tháng trước khi nhập viện nhưng không ăn các loài nhuyễn thể hoặc những món thịt chưa chế biến kỹ (non-kosher meat). Sinh thiết dạ dày thông qua nội soi đường tiêu hóa trên cho kết quả viêm dạ dày tăng bạch cầu eosin (eosinophilic gastritis), lượng bạch cầu ái toan là 0.95 x 109/L, xét nghiệm huyết thanh học với Gnathostoma dương tính. Triệu chứng bệnh thuyên giảm dần và khỏi hẳn sau khi điều trị phác đồ albendazole.
Trường hợp thứ 4
Một phụ nữ 30 tuổi có triệu chứng đau bên đùi trái trong khi cô ta tham gia vào một cuộc chay đua Eco-Challenge 2000 ở Borneo, xuất hiện một nốt, cục kích thước 4x3cm ở vùng đùi trái đã góp phần làm đau xé cơ của bệnh nhân; cục này tồn tại 12 tháng và sau đó cô ta phải nhập viện bệnh viện nhiệt đới London. Chụp cộng hưởng từ (MRI) ở đùi cho thấy một tổn thương phân thùy (lobulated lesion) bên trong bó cơ lớn, xung quanh có phù. Kết quả chẩn đoán huyết thanh học với Gnathostoma dương tính. Điều trị liệu trình 21 ngày bằng albendazole cho thấy có giảm dần kích thước tổn thương nhưng không hết hẳn hoàn toàn.
Trường hợp thứ 5
Một phụ nữ 42 tuổi, sống tại thành phố Quy Nhơn, cán bộ viên chức nhà nước, nhập viện do tự đến, khi vào viện khám bệnh nhân có triệu chứng ngứa, dị ứng và nổi cục nhiều nơi, nhiều nhất là vùng đùi, cằng chân, cẳng tay và cánh tay, trên ngực, bụng, lưng. Khoảng 3-4 tháng trước khi nhập viện, bệnh nhân xuất hiện 2 nốt sẩn cục tại cánh tay (vùng gần khuỷu), sau đó biến mất không cần điều trị gì, tiếp đó 2 tháng sau kể từ khi biến mất cục sẩn, bệnh nhân lại thấy xuất hiện nhiều sẩn cục trên cả 2 tay, hai đùi và cuối cùng có vài nốt khoeo chân, vài chỗ tự khỏi, vài chỗ tồn tại đến khi vào viện, không để lại di chứng mà không cần can thiệp y tế gì cả. Đường kính các nốt sẩn hay sẩn cục chừng 2 x 3 cm, hoặc 4 - 5 cm. sinh thiết các nốt sẩn cho thấy thâm nhiễm nhiều bạch cầu eosin, tiết dịch trong, hồng nhạt, các cục sẩn nằm bên dưới da, có thể bóp lấy và kéo lên trên được, không đau. Được chẩn đoán và điều trị nhiều nơi với các bệnh lý khác nhau như viêm đa khớp dạng thấp mạn tính, viêm nút động mạch, bệnh lý tự miễn, …không thuyên giảm. Xét nghiệm công thức máu cho thấy tăng bạch cầu chung và tỷ lệ eosin tăng cao, ELISA với Gnathostoma spinigerum dương tính với hiệu giá kháng thể 1/12.800 hoặc OD (+) 3.66. Thói quen ăn uống của cô ta là ăn sống các loại cá, tôm với mù tạt + xì dầu.
Trường hợp thứ 6
Nam giới 45 tuổi, chồng của bệnh nhân ca bệnh thứ 5 ở trên, sống và làm việc tại Quy Nhơn, Phú Yên, Gia Lai và Vũng Tàu, thường tiếp khách tại các nhà hàng có đồ hải sản với món ăn khoái khẩu là lẩu tái thịt, cá hoặc thập cẩm, đôi khi ăn sống các lát cá thái mỏng, vắt chanh, mù tạt, xì dầu, tiền sử hút thuốc lá 1gói/ ngày, loại có đầu lọc. Trước khi nhập viện, bệnh nhân thường có cảm giác mỏi cơ cánh tay và cẳng tay, thi thoảng xuất hiện nốt tròn kích thước 2-4 cm tại vùng khuỷu và cơ sấp vuông bên (T) và (P) kèm theo có nổi mẩn ngứa, đau mỏi cơ, đau khớp gối và cổ tay, không sốt, không đỏ. Đi khám tổng quát và xét nghiệm tổng quát hướng đến bệnh lý ký sinh trùng và cho làm các xét nghiệm ELISA về Fasciola, E.histolytica, Strongyloides stercoralis, Toxocara canis, Gnathostoma spinigerum, Trichinella spiralis, kết quả dương tính với Gnathostoma spinigerum với hiệu giá kháng thể rất cao và OD là 2.14 (tại MEDIC Hòa Hảo thành phố Hồ Chính Minh), công thức máu toàn phần có bạch cầu ái toan 56%, bênh nhân được chuyển vào Viện Sốt rét KST-CT Quy Nhơn điều trị bằng phác đồ Albendazole với liều 800mg / ngày chia 2 lần, trong 21 ngày, chia làm 3 đợt, mỗi đợt 7 ngày. Sau khi điều trị bênh nhân giảm các thông số cận lâm sàng và lâm sàng dần dần biến mất sau đó 4 tháng.
Trường hợp thứ 7:
Hội Dược sĩ Việt Nam tại Mỹ cũng có báo cáo một ca nhiễm giun đầu gai ở một Việt kiều lúc về thăm quê hương. Trong thời gian ở Việt Nam, bệnh nhân có ăn uống cùng bạn bè món thịt rắn hổ mang, đặc biệt là anh ta ăn nguyên tim rắn Khi trở qua Mỹ, bênh nhân bắt đầu ngã bệnh và có dấu hiệu mệt mỏi, sốt, nổi mày đay ở chân, đau ở vùng gan, ớn lạnh về chiều. Kết quả xét nghiệm máu, cho thấy số bạch cầu ái toan trong máu tăng cao 13.000. Các bác sĩ bên Mỹ chữa trị bằng kháng sinh, nhưng bệnh vẫn không thuyên giảm. Cuối cùng qua sự cố vấn của một nhà ký sinh trùng học, bác sĩ Nagami, thuộc trung tâm CDC, Mỹ bệnh nhân đã được chẩn đoán chính xác nhiễm giun đầu gai Gnathostoma spinigerum. Thuốc Albenza (Albendazole) đã được sử dụng để điều trị bệnh khỏi.
Trường hợp thứ 8:
Bệnh nhân Tống T.S.,nam, 52 tuổi làm nghề thuốc bắc, vào viện với triệu chứng liệt nhẹ 2 chi dưới trong vòng 2 ngày trước khi nhập viện vì có dấu hiệu xuất huyết não không rõ nguyên nhân. Tiền sử du lịch đến nhiều quốc gia Trung Quốc, Thái Lan, Singapore, Pháp, Đức, Bỉ, Tây Ban Nha, Hà Lan và đặc biệt không có cao huyết áp. Lâm sàng không biểu hiện rối loạn ý thức, không sốt; các thông số cận lâm sàng không có gì đặc biệt ngoại trừ tăng chỉ số bạch cầu ái toan lên đến 22.6%, xét nghiệm dịch não tủy có giảm nhẹ đường và tăng bạch cầu ái toan 17.5% à nên được chẩn đoán sơ bộ ban đầu là bệnh do ký sinh trùng ở hệ thần kinh. Chụp MRI và CT cho hình ảnh vệt di chuyển và nhiều búi phình mạch nội sọ, chuyển bệnh nhân vào tuyến trên, xác định tác nhân qua ELISA với G. spinigerum dương tính với OD = 2.34, nồng độ IgE tăng gấp 5 lần trị số bình thường. Thuốc lựa chọn [albendazole + dexamethasone], bệnh nhân hồi phục hoàn toàn sau 78 ngày điều trị.
Trường hợp thứ 9:
Bệnh nhân nữ, 26 tuổi làm nghề tóc, sống tại Qui Nhơn, có triệu chứng một vết phù nhẹ từng đợt mi mắt (T) khoảng 3cm, đau nhưng không ngứa, không đỏ trong 6 tháng trước khi nhập viện. Thói quen hay ăn các loại hải sản sống cùng với mù tạt, kể cả ốc. Hai ngày trước khi nhập viện có nhức đầu nhiều, mờ mắt, song thị, buồn nôn, đại tiện phân thường, sau 24 giờ có biểu hiện rối loạn ý thức, yếu tê tay (P). Khám lâm sàng cho thấy tri giác u ám, sụp mi (P), yếu nhẹ chi trên (P), không cứng cổ, buồn nôn, huyết áp 100/55mmHg, mạch quay rõ 70 lần/ phút, sốt nhẹ 380C. Chẩn đoán sơ bộ: TD viêm não màng não do virus. Xét nghiệm cận lâm sàng: CTM toàn phần có tăng bạch cầu chung lên 14.000, trong đó eosin chiếm ưu thế 35.6%, glucose và protein máu máu bình thường, bilan gan mật, lipid trong giới hạn. X-quang phổi và siêu âm bụng không bất thường, ngoại trừ có sỏi nhỏ thận (P). Dịch não tủy cho dịch trong suốt, hơi vàng, không thấy vi khuẩn và chỉ số bạch cầu tăng cao 27.9%. Tuy nhiên, sau 38 giờ kể từ khi nhập viện bệnh nhân mất ý thức à chuyển sang chẩn đoán bệnh do KST, xét nghiệm 6 loại giun sán, kết quả dương tính với G. spinigerum 1/3200 à chuyển điều trị hồi sức tích cực, chụp CT cho hình ảnh phù não nhẹ, hình ảnh di chuyển và giống calci hóa tại hai bán cầu. Phác đồ thuốc lựa chọn [albendazole + dexamethasone + hydrocortisone + kháng sinh phổ rộng], bệnh nhân tỉnh táo sau 14 ngày và hồi phục hoàn toàn sau 5 tháng kể từ khi điều trị.
Liên quan đến các ca bệnh giun đầu gai này đã được ghi nhận một cách chi tiết, song cũng cần có luận bàn để trước khi đưa ra tiêu chuẩn chẩn đoán nhằm điều trị hiệu quả là quan trọng:
- Loạt bệnh nhân nhiễm Gnathostoma spinigerum được báo cáo phần lớn bệnh nhân có liên quan đến yếu tố dịch tễ là du lịch hoặc thăm gia đình hoặc di dân vì lý do nào khác tại các vùng lưu hành và chế độ ăn ít nhiều có yếu tố dịch tễ bệnh ký sinh trùng này. Các hình thái du lịch quốc tế cho thấy rằng tình trạng này thường xảy ra cho các đối tượng đi du lịch và di dân đến các vùng bệnh lưu hành. Ngoài ra, sự phân bố về mặt địa lý của nhiễm bệnh cũng như gia tăng thói quen ăn uống của các du khách ở các vùng như thế đã góp phần vào tỷ lệ mắc bệnh giun đầu gai này;
- Trong số bệnh nhân mô tả ở trên, cho chúng ta thấy thời gian trung bình từ khi xuất hiện triệu chứng bệnh đầu tiên đến khi được chẩn đoán là 12 tháng (ít nhất là 3 tuần nhiều nhất là 5 năm), điều này phản ánh rằng cả tính tự nhiên xuất hiện triệu chứng từng đợt lẫn các chẩn đoán không rõ ràng cần đặc biệt rút kinh nghiệm lâm sàng và lưu ý khi phác đồ điều trị cho các bệnh khác nghi ngờ không đáp ứng thì nên ít ra cũng nên nghĩ đến bệnh ký sinh trùng. Chúng ta không có đủ số liệu về thời gian chẩn đoán sau khi được nghĩ đến bệnh này, hầu hết đã khá muộn;
- Điểm chính trong chẩn đoán bệnh giun đầu gai là sự nhận ra trong quá trình điều tra bệnh sử chi tiết, đã và đang sốngl mà việc tại các vùng lưu hành. Một khi bệnh được chẩn đoán, việc quản lý theo dõi bệnh và điều trị bệnh không còn phức tạp nữa, nhưng hiếm khi tình trạng cũng như tình hình dịch tễ vùng lưu hành bệnh lại cho phép chúng ta nghĩ đến; do vậy, sẽ dẫn đến hậu quả chẩn đoán “quá tầm” hoặc bỏ sót. Các triệu chứng không thường gặp đi kèm vắng mặt thường xuyên của các triệu chứng cơ năng giữa các giai đoạn bệnh có thể dẫn đến bỏ sót hoặc “lãng quên” bệnh của bệnh nhân và một lỗi nữa là thầy thuốc hiếm khi đối mặt với bệnh này thì lại không nghĩ đến hoặc hướng đến chẩn đoán, nhất là tại các quốc gia tiên tiến như Canada, Mỹ, Newzealand;
- Các bệnh nhân trước khi được chẩn đoán xác định thường được giới thiệu hoặc đã khám và điều trị tại các khoa thấp khớp, da liễu hoặc phòng khám bệnh nhiệt đới, bác sĩ chuyên khoa nội tổng quát, bác sĩ tiêu hóa; sự vắng mặt của dấu chứng tăng bạch cầu eosin cũng có thể che lấp chẩn đoán do tác nhân ký sinh trùng. Tăng bạch cầu eosin chỉ có 9/18 bệnh nhân; vì thế, không thể dựa vào thông số này như một chỉ điểm hay marker sàng lọc bệnh. Tuy nhiên, đáp ứng với phác đồ điều trị trên các trường hợp có eosin tăng lúc chưa điều trị, thì thông số này lại chứng minh được là rất có ích;
- Trong số các bệnh nhân ở trên, có 4 người cần thiết phải điều trị liều 2 với albendazole, tăng bạch cầu eosin còn lại nghĩ đến các triệu chứng đó là tái phát;
- Một số test huyết thanh chẩn đoán hiện có sẵn trên thị trường để chẩn đoán bệnh giun đầu gai, song nó có rất nhiều thương hiệu và ngưỡng phát hiện dương tính cũng khác nhau tùy thuộc nhà sản xuất pha chế nồng độ có sẵn. Các xét nghiệm ở đây phần lớn thực hiện tại trường đại học Mahidol, Thái Lan và sử dụng Immunoblot để phát hiện band đặc hiệu 24-kDa cho loài Gnathostoma, hoặc chẩn đoán dựa trên kit của Bộ môn Ký sinh học, trường Đại học Y dược thành phố Hồ Chí Minh, Việt Nam. Tại các la-bô đó số ca xác định phần lớn nhiễm Gnathostoma, độ nhạy của Immuno blot là 100%, chưa thấy phản ứng dương tính chéo ở kit cho immunoblot và test của Việt Nam chúng ta chưa có số liệu cụ thể về nghiên cứu phản ứng chéo này;.
- Đến nay, thuốc để điều trị đặc hiệu cho loài giun này chưa có, chỉ dùng loại albendazole điều trị như các loại giun tròn khác ở người; may thay, kết quả điều trị hiệu quả lên đến > 90%, tương tự kết quả về hiệu lực thuốc Ivermectin. Trong số đó, 4 bệnh nhân cần thiết phải điều trị liều 2. Các tình huống bệnh như vậy khó xác định được đâu là thất bại điều trị (treatment failure) và đâu là tái nhiễm (reinfection) sau điều trị, dù sao đi nữa sự giảm tỷ lệ bạch cầu eosin và không xuất hiện lại triệu chứng bệnh trong vòng 12 tháng theo dõi cũng được xem là hiệu quả rồi và là chỉ điểm điều trị khỏi đáng tin cậy. Mặc dù phải điều trị lại lần 2 và thuốc Ivermectin cũng như thế, nhưng chúng ta cũng nên đặt ra công tác giám sát tương tác và độc tính thuốc khi dùng liệu trình liều cao và dài ngày;
- Một chẩn đoán hướng đến bệnh ký sinh trùng giun đầu gai G.spinigerum nên được đặt ra cho bệnh nhân khi có bệnh sử với triệu chứng sưng phồng, ban trườn, ấu trùng di chuyển dưới da,triệu chứng tiêu hóa không đặc hiệu xuất hiện thoáng qua, kèm với yếu tố dịch tễ của bệnh nhân.
- Quản lý bệnh thường đưa ra lời khuyên hợp lý về chế độ và vệ sinh an toàn thực phẩm.
Các thể bệnh lâm sàng
Thể ở da và mô mềm:
Bệnh do ấu trùng giun đầu gai có thể chia thành nhiều thể: da, phủ tạng và mắt lệ thuộc vào vị trí di chuyển của ấu trùng và các triệu chứng và hội chứng tiếp sau. Đặc điểm lâm sàng hay được đề cập đến nhiều nhất là ở thể da niêm mạc, đặc trưng bởi các hình ảnh vết sưng phồng di chuyển, từng đợt và thường liên quan đến đau, ngứa và ban đỏ tại chỗ di chuyển. Thể ở cơ quan da niêm mạc thường gặp dạng nốt phù di chuyển dưới da, tái màu hoặc màu hồng (56.0-78.2%).Đặc điểm của biểu hiện ở da do ấu trùng Gnathostoma spp. là sang thương thay đổi vị trí theo thời gian, xuất hiện một hay nhiều ấu trùng có thể định vị ở các độ nông sâu khác nhau trong cơ, trong mô mỡ, tại mô liên kết dưới da hoặc trong da.
Bảng 4. Đặc điểm lâm sàng thường gặp qua tổng hợp y văn thế giới
Loài | Thời gian | Vị trí cơ quan bị ảnh hưởng | Tổn thương ưu thế vùng da niêm |
G. spinigerum | 1 - 4 năm | Các chi, đầu, mặt, trung ương, thân mình | Ban đỏ > ban trườn |
G. binucleatum |
G. hispidum | 2 - 3 tháng | Thần kinh trung ương, bụng và lưng | Ban trườn > ban đỏ |
G. nipponicum |
G. doloresi |
Sang thương có thể là một vùng/mảng hồng ban ở da, phẳng hoặc nổi gồ lên, hoặc dưới dạng một chấm đỏ xuất hiện trên mảng hồng ban, cũng có thể là 1 khối, vạch phù nề, giới hạn không rõ, làm sưng cả vùng, kèm theo đau, nóng và đỏ, khi ấu trùng di chuyển sát da thì khối u có thể gom thành một lằn đỏ hoặc một nốt nhỏ, hoặc một đường hầm xuyên da. Ấu trùng di chuyển trong cơ, mô mỡ và các mô liên kết dưới da của vật chủ với tốc độ nhanh hoặc chậm từng giờ hoặc ngày.
Sylivia Paz Diaz Camacho và cộng sự (2006) nghiên cứu vị trí sang thương da trên 300 bệnh nhân ở Mexico nhận thấy tỷ lệ thương tổn do ấu trùng di chuyển ở chi trên là 27.3%, ở chi dưới là 29.7%, ở đầu mặt 16% và ở thân mình 27%. Nhiễm ấu trùng Gnathostoma spp. thường là một con và khối u di chuyển có thể tồn tại trên 5-17 năm, nhưng nhiễm nhiều con trên cùng bệnh nhân cũng đã được báo cáo trên y văn.
Thể bệnh thần kinh[33], [34],[35],[36],[39],[53][55],[84],[85]:
G. spinigerum không phải là loại giun có tính hướng thần kinh, nên trường hợp chúng xâm nhập vào hệ thần kinh chỉ là ngẫu nhiên. Khi ấu trùng Gnathostoma di chuyển trong hệ thần kinh sẽ gây tổn thương và tùy thuộc vào vị trí tổn thương ở trung ương hay ngoại biên mà có những biểu hiện lâm sàng khác nhau, từ nhức đầu mơ hồ, rối loạn tri giác, yếu liệt nửa người, khó tiểu, bí tiểu làm ta dễ nhầm lẫn với bệnh lý thần kinh, thậm chí hôn mê, tử vong. Tổn thương thần kinh ngoại biên thường là viêm đau các dây thần kinh biểu hiện bệnh nhân đau theo rễ thần kinh, tê liệt chi, giảm cảm giác tạm thời là triệu chứng điển hình nhất[103].
Cần lưu ý viêm màng não có tăng bạch cầu ái toan do tác nhân Gnathostoma và Angiotrongylus cantonensi có bệnh cảnh giống nhau nên cần chẩn đoán phân biệt.
Với xu thế giao lưu và du lịch sinh thái phạm vi toàn cầu gia tăng như hiện nay, ngày càng có nhiều ca bệnh giun đầu gai được phát hiện, đặc biệt nhiễm loài Gnathostoma spinigerum do ăn phải ấu trùng giai đoạn nhiễm của Gnathostoma spp. Từ các hải sản có vỏ như sò, vẹm, gia cầm, thịt nấu chưa chín hoặc còn sống tại các vùng lưu hành bệnh ở các quốc gia Đông Nam Á. Vì thể bệnh và biểu hiện đa dạng trong hình thái, nên các thầy thuốc lâm sàng hiếm khi nghĩ đến để đặt ra vấn đề chẩn đoán phân biệt cho căn bệnh này, nhất là thể ở thần kinh đến này vẫn còn nhiều khía cạnh bỏ ngõ như diễn tiến, chẩn đoán, lựa chọn điều trị, đường xâm nhập của ấu trùng vào hệ thần kinh[35],[36],[39],[53][55],[84],[85].
Bệnh do ấu trùng giun đầu gai là một bệnh truyền từ động vật sang con người do nhiễm phải ấu trùng giai đoạn 3 của Gnathostoma spp. thông qua đường thực phẩm. Hầu hết các triệu chứng nặng có liên quan đến thể bệnh thần kinh trung ương của loài giun này và thường gọi là “neurognathostomiasis”. Mặc dù bệnh lưu hành ở châu Á và châu Mỹ Latinh, song hầu hết những trường hợp bệnh ấu trùng giun đầu gai thể thần kinh (GĐGTTK) lại báo cáo từ Thái Lan. Dù tỷ lệ mắc bệnh và tử vong cao, song GĐGTTK lại chưa được lưu ý so với bệnh này ở thể da niêm mạc, điều này có thể vì GĐGTTK đối trên một quốc gia báo cáo rất ít. Tuy nhiên, gần đây bệnh được báo cáo nhiều trên những người châu Âu đi du lịch trở về từ các quốc gia lưu hành bệnh[33], [34],[35],[36],[39],[53][55]. Nhân đây, chúng tôi tổng hợp y văn về bệnh lý GĐGTTK và phân tích về mặt dịch tễ học cũng như phân bố địa lý, phương thức xâm nhập vào hệ thần kinh trung ương (TKTƯ), sinh lý bệnh, đặc điểm lâm sàng, dữ liệu hình ảnh chẩn đoán thần kinh và các lựa chọn điều trị. dựa trên nền dữ liệu dịch tễ học, triệu chứng lâm sàng, chẩn đoán hình ảnh và các thông số cận lâm sàng, chúng tôi đưa ra đề nghị tiêu chuẩn chẩn đoán bệnh GĐGTTK.
Nhiễm ký sinh trùng (KST) qua đường thực phẩm thường gặp ở các quốc gia vùng nhiệt đới - nơi có bệnh lý lưu hành và thói quen ăn các thịt, cá nước ngọt còn sống hoặc nấu chưa chín, nhất là quần thể dân địa phương. Trào lưu du lịch quốc tế đến các vùng lưu hành bệnh và sự di dân từ vùng nhiệt đới đến nơi khác dẫn đến việc xuất hiện các bệnh lý này tại các vùng ôn đới vốn dĩ hiếm khi gặp bệnh và do đó, các thầy thuốc lâm sàng hiếm khi nghĩ đến để đặt ra chẩn đoán phân biệt. Bệnh giun đầu gai do ăn phải ấu trùng giai đoạn 3 của Gnathostoma spp. Đến này, có ít nhất 12 loài giun đầu gai được xác định, với 5 loài ghi nhận gây bệnh ở người. Loài G. spinigerum là loài hay gặp nhất tại châu Á. Nhiễm trùng ở người với G. hispidum, G. doloresi và G. nipponicum được tìm thấy chỉ ở Nhật Bản. Tại châu Mỹ, loài G. binucleatum được chứng minh là tác nhân gây bệnh duy nhất ở người. Người nhiễm phải các ấu trùng do ăn sống hoặc thức ăn nấu chưa chín từ cá nước ngọt, gà và ếch. Người là vật chủ tình cờ không thích hợp để giun phát triển đến giai đoạn trưởng thành, do vậy bệnh lý thường do ấu trùng di chuyển.
Liên quan đến thể tạng có thể là bất kỳ cơ quan và phần nào trong cơ thể. Lâm sàng nghiêm trọng nhất của thể tạng chính là thể thần kinh trung ương, còn gọi là GĐGTTK và phần lớn số ca báo cáo thể này do loài G. spinigerum. Theo số liệu chưa đầy đủ trích dẫn từ y văn thế giới, chúng tôi ghi nhận tổng số 24 báo cáo trên y văn với 248 bệnh nhân bị GĐGTTK và tiến hành tổng hợp về dịch tễ học, khía cạnh lâm sàng, con đường xâm nhập vào hệ thần kinh trung ương, sinh lý bệnh, dữ liệu chẩn đoán hình ảnh trên hệ thần kinh và các liệu pháp điều trị.
Ca bệnh đầu tiên viêm não màng não do nhiễm G.spinigerum được báo cáo bởi Daensvang vào năm 1949. Sau 18 năm, tác giả Chitanondh và Rosen trình bày bằng chứng xâm nhập vào hệ TKTƯ của ấu trùng G. spinigerum từ các kết quả giả phẩu tử thi của một phụ nữ Thái Lan. 34 tuổi. Trong nghiên cứu tử thiết của họ, Boongird và cộng sự đã mô tả ra triệu chứng lâm sàng của GĐGTTK, điều này đã hỗ trợ rất nhiều cho các nghiên cứu tiến cứu và hồi cứu sau này. Với sự tiến bộ của các kỹ thuật chẩn đoán hình ảnh hiện đại và phân giải cao đã cho thấy các đường đi của ấu trùng Gnathostoma spp. di chuyển trong bệnh GĐGTTK.
Hầu hết (241/248) ca được xác định GĐGTTK trong y văn là từ Thái Lan. Trong đó, 2 bệnh nhân nhiễm ở Lào, 1 ở Nhật Bản, 1 ở Myanmar và 2 ở Hàn Quốc. Một bênh nhân có đi du lịch đến Đông Nam Á và Nhật Bản, vì thế nguồn dịch tễ nhiễm của trường hợp này không thể xác định. Thời gian ủ bệnh của bệnh GĐGTTK có thể dài đến 10 năm vì sự tồ tại kéo dài của ấu trùng trong các mô mềm trước khi xâm nhập vào hệ TKTƯ, điều này có nghĩa rằng chúng có thể xảy ra trên những người dân di biến động trong một quốc gia mà không có lưu hành bệnh này. Tất cả bệnh nhân báo cáo ở đây đều nhiễm loại G. spinigerum. Cho dù bệnh giun đầu gai ngày càng phát hiện nhiều ở ngoài châu Á, đặc biệt ở Mexico, nhưng không thấy có báo cáo ca bệnh tại các vùng khác. Sự xuất hiện của các loài Gnathostomakhác ở châu Mỹ Latinh, có tên là G. binucleatum sẽ là nguyên nhân cho giải thích hiện tượng này[33], [34],[35],[53][55],[84],[85].
Ca bệnh đầu tiên GĐGTTK trên người du lịch được báo cáo vào năm 2003. Kể từ đó, 4 bệnh nhân ở châu Âu trở về từ vùng lưu hành bệnh được báo cáo. 2 bệnh nhân đi du lịch đến Thái Lan, 1 bệnh nhân đến Lào, 1 bệnh nhân đến Myanmar. Các bệnh nhân báo cáo có ăn các loại thức ăn địa phương nấu theo cách của quốc gia đó, như ăn sống tôm, cá. Bệnh giun đầu gai gần đây được báo cáotrên nhiều du khách trở về từ Nam Phi. Tuy nhiên, bệnh nhân chỉ biểu hiện nhiễm ấu trùng Gnathostomaspp. thể da mà không có liên quan đến hệ TKTƯ[105].
Hội chứng lâm sàng chính của bệnh lý GĐGTTK là viêm tủy rễ thần kinh/ viêm não tủy rễ thần kinh (radiculomyelitis/ radiculomyeloencephalitis) viêm màng não/ viêm não màng não (meningitis/meningoencephalitis) và xuất huyết nội sọ hoặc xuất huyết dưới nhện. Mỗi hội chứng phản ánh lên một mô bị thương tổn do giun di chuyển. Vì ấu trùng di chuyển, nên cùng bệnh nhân có thể biểu hiện các hội chứng thần kinh khác nhau. Chẳng hạn, trong một bệnh nhân ở Lào, viêm não tủy tiến triển, theo sau bởi một tình trạng xuất huyết dưới nhện. Viêm màng não, xuất huyết dưới nhện và rồi các thương tổn trong nhu mô não tiếp theo sau trên một bệnh nhân ở đông bắc Thái Lan. Các triệu chứng thường gặp nhất được báo cáo gần như bởi mỗi bệnh nhân là đau: đau rễ thần kinh trong những ca có liên quan đến tủy sống (thường kéo dài 1-5 ngày) hoặc nhức đầu trong những ca viêm não màng não. Đặc điểm lâm sàng hay gặp nhất, bệnh lý tủy sống chiếm 55% các hội chứng lâm sàng.
Bảng 5. Đặc điểm lâm sàng trên 248 bệnh nhân giun đầu gai thể thần kinh[84],[85]
Hội chứng | Đường xâm nhập vào hệ thần kinh (có thể) | Dấu chứng và triệu chứng lâm sàng | Số lượng (%) |
Viêm tủy rế/viêm tủy/viêm não tủy | Đi qua các lỗ giữa các đốt sống dọc theo thần kinh và mạch máu tủy sống | Đau rễ thần kinh đột ngột và hội chứng tủy sống (liệt 2 chân, liệt 1 chi, liệt 4 chi, rối loạn chức năng bàng quang, rối loạn cảm giác); có thể tiến triển đến não (viêm não tủy). | 140 (55) |
Viêm màng não/ viêm não màng não | Lỗ thần kinh của nền sọ dọc theo thần kinh và mạch máu sọ não | Đau đầu nghiêm trọng, cứng cổ, liệt TK sọ não, rối loạn ý thức, dấu TK định vị. | 77 (30) |
Xuất huyết nội sọ | Lỗ thần kinh hoặc lỗ giữa các đốt sống | Đau đầu, dấu thần kinh khu trú | 21 (8) |
Xuất huyết dưới nhện | Lỗ thần kinh hoặc lỗ ống sống | Đau đầu kinh khủng, dấu màng não | 16 (7) |
* Vì ấu trùng di chuyển, bênh nhân có thể có dấu chứng và triệu chứng liên tục; do vậy, tổng số triệu chứng lâm sàng vượt quá con số bệnh nhân báo cáo |
Bệnh lý tủy trong bệnh giun đầu gai đặc trưng bởi đau rễ theo sau bởi một dấu dị cảm hoặc liệt nhẹ cảm giác hướng lên của các chi dưới hoặc dị cảm cả tứ chi kèm theo rối loạn chức năng bàng quang. Một mức độ cảm giác cho tất cả phương thức gồm có rung và cảm nhận trong cơ thể hay gặp, thường định vị trong vùng ngực. Liên quan đến não và màng não, bệnh có đặc trưng bởi các dấu màng não và giảm ý thức. Liệt dây thần kinh thứ 6 là hay gặp nhất trong các dây thần kinh sọ não. Xuất huyết trong não được phát hiện khởi phát đột ngột mà không thấy dấu thần kinh định vị như liệt nhẹ ½ người hoặc yếu ½ người.
Đặc điểm lâm sàng hay gặp nhất của bệnh giun đầu gai là tình trạng sưng phồng dưới da di chuyển từng đợt. Tuy nhiên, một loạt ấn bản lớn nhất của bệnh lý GĐGTTK trên 162 bệnh nhân, chỉ có 11 (7%) có tiền sử tỏn thương dưới da niêm. Sưng phồng mắt một bên, một dấu điển hình khác của bệnh giun đầu gai, xảy ra trên 6 bênh nhân (4%). Boongird và cộng sự báo cáo chỉ có 3 bệnh nhân bị sưng phồng dưới da trong số 24 bệnh nhân có thể GĐGTTK; giun đầu gai thể da niêm phát triển trên tất cả bệnh nhân này sau khi khởi đầu triệu chứng của thần kinh.
Tăng bạch cầu ái toan là một dấu đặc trưng trong xét nghiệm cận lâm sàng. Tăng bạch cầu ái toan trong dịch não tủy bệnh nhân thường rõ, giá trị trung bình là 40% (n = 24) và 54% (n = 39) lần lượt trong nghiên cứu của Boongird và Schmutzhard cùng cộng sự. Trên 109 (67%) bệnh nhân báo cáo bởi Punyagupta, số lượng bạch cầu ái toan trong dịch não tủy > 30%. Dịch não tủy được báo cáo như chuyển màu sắc vàng hoặc màu máu trên 134 bênh nhân (64% số ca đã được ấn bản. Lượng đường huyết thường chỉ giảm nhẹ nhưng báo cáo khoảng 11mg/dL (9% giá trị huyết tương) trên 1 bệnh nhân.
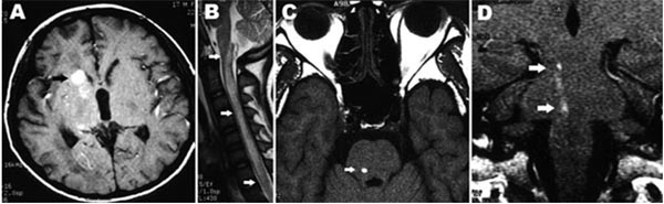
Chẩn đoán hình ảnh về thần kinh [53][55],[84],[85] trên 11 bệnh nhân có bệnh lý GĐGTTK được báo cáo trên y văn. Chụp CT sọ não, xuất huyết dưới nhện và xuất huyết nội sọ là các hình ảnh hay gặp. Trên một bệnh nhân phát hiện có xuất huyết dưới màng cứng. Dấu đặc trưng của bệnh lý giun đầu gai ở não trên phim chụp MRI là phát hiện vết xuất huyết (track). Dấu hiệu cộng hưởng từ của thương tổn xuất huyết thay đổi tùy theo các tổn thương thể cấp, bán cấp và mạn tính. Do đó, trên hình ảnh T1 và T2 cả giảm tỷ trọng và tăng tỷ trọng đều phát hiện. Không thấy di chứng gradient-echoT2 được báo cáo. Tuy nhiên, dấu hiệu này rất nhạy với các các khối máu tụ tại chỗ không đồng nhất và có thể trở thành một chuỗi tiếp nối trong đánh giá chẩn đoán hình ảnh của bệnh giun đầu gai thể não.
Sưng phồng tủy sống đa đoạn lan tỏa kèm theo tăng tỷ trọng T2 là hình ảnh hay gặp nhất trên chụp tủy sống. Tăng gadolinium của các thương tổn được báo cáo trong phim MRI chụp sọ não và tủy sống của 4 bệnh nhân như là hình ảnh nốt, sáng và đồng nhất.
Bảng 6. Đặc điểm chẩn đoán hình ảnh trên thần kinh của bệnh giun đầu gai thể thần kinh
Vị trí | Phương thức chẩn đoán | Phân tích hình ảnh trên hệ thần kinh |
Não bộ | CT | Nhu mô não (đơn điểm hoặc đa điểm) tăng tỷ trọng vùng dưới màng cứng hoặc dưới màng nhện tương ứng với xuất huyết trong não |
| MRI | Đa điểm (giống giun) tăng tỷ trọng T2 hoặc giảm tỷ trọng trong cả hai bán cầu não và tiểu não đường kính ≥ 3mm (vệt xuất huyết) có hoặc không có tăng thành phần gadolinium. |
Tủy sống | MRI | Dãn hoặc sưng phồng tủy sống kèm theo tăng tỷ trọng đa đoạn T2, thường tăng ngấm gadolinium (nhẹ đến trung bình) trên hình ảnh sau tiêm chất cản quang T1 |
* CT_CTomputed tomography; MRI: Magnetic Resonance Imaging |
Chẩn đoán phân biệt chính với bệnh lý GĐGTTK là bệnh nhiễm trùng do giun tròn Angiostrongylus cantonensis. Tuy nhiên, nhiễm trùng Angiostrongylus spp. thường biểu hiện bệnh lý viêm màng não tăng bạch cầu ái toan tự giới hạn và chỉ là nguyên nhân hiếm khi gây nên bệnh lý nghiêm trọng có liên quan đến tủy sống và não bộ. Về mặt chẩn đoán miễn dịch, xét nghiệm dương tính với kháng nguyên đặc hiệu chống lại 24-kDcủa G. spinigerumvà âm tính với dải band ở 29-kD và 31-kD trên phản ứng Immunoblot đối với kháng nguyên A. cantonensis sẽ giúp chúng ta chẩn đoán phân biệt Angiostrongylus spp. có giá trị cao. Các nguyên nhân ký sinh tùng khác gây bệnh ở hệ thần kinh trung ương, như ấu trùng sán dây lợn, ấu trùng giun đũa chó mèo, sán máng, baylisascariasis, hoặc bệnh sán lá phổi có thể phân biệt dựa vào phân bố địa lý, triệu chứng lâm sàng, hình ảnh học và xét nghiệm huyết thanh.
Hiện chưa có một thử nghiêm lâm sàng nào về liệu pháp thuốc chống giun sán thực hiện trên bệnh lý GĐGTTK. Chúng tôi xác định có 9 báo cáo điều trị bệnh GĐGTTK bằng liệu pháp albendazole; 5bệnh nhân hồi phục hoàn toàn, 2 bệnh nhân hồi phục một phần và 2 bệnh nhân không hồi phục. Kết quả điều trị có thể phản ánh tiến trình tự nhiên của bệnh hơn là hiệu quả điều trị. Trong một vài báo cáo, điều trị bằng thuốc giun sán được xem là bất lợi tiềm tàng và chiếm giữ vị tí cơ bản của việc cho để giảm phù não do giun chết đột ngột. 3 người du lịch trở về từ Thái Lan được điều trị bằng albendazole (800 mg/ngày x 1 tháng,800 mg/ngày trong 3 tuần và 400 mg x 2 lần/ ngày x 4 tuần và phục hồi hoàn toàn. Trong tất cả bệnh nhân này, dexamethasone (đường uống hoặc tiêm) hoặc predinsolone được chỉ định thêm vào liệu trình điều trị. Một đánh giá hồi cứu gần đây về hiệu lực lâu dài trên 13 bệnh nhân ở Pháp bị giun đầu gai do “nhập khẩu” báo cáo 2 bệnh nhân có liên quan đến thần kinh, 1 có viêm tủy và 1 có viêm não (C. Strady, tài liệu cá nhân). Bệnh nhân viêm tủy phục hồi hoàn toàn sau liệu pháp albendazole và bênh nhân viêm não báo cáo có 4 đợt tái phát dù đã kết hợp liệu pháp [ivermectin + albendazole] (C. Strady, tài liệu cá nhân).
Corticosteroids đã được sử dụng trong điều trị bệnh GĐGTTK để điều trị phù não và phù tủy sống. Chúng có thể ngăn ngừa hoặc làm giảm nhẹ đảo nghịch tình trạng nặng sau khi khởi đầu điều trị thuốc giun sán. Tuy nhiên, chưa có một kết luận nào về hiệu lực có thể chỉ ra từ các dữ liệu hiện có vì không có thử nghiệm lâm sàng đối chứng ngẫu nhiên và các số liệu hồi cứi thì quá hạn định để đánh giá so sánh giữa các nhóm. Đến nay, chưa có một khuyến cáo nào có bằng chứng được đưa ra.
Tỷ lệ tử vong ca trong loạt ca bệnh đầu tiên của 24 bệnh nhân là 25%. Các nghiên cứu sau đó báo cáo tỷ lệ tử vong là từ 7-12%. Tuy nhiên, khi các tác giả đẻ ý đến, thì tỷ lệ tử vong - ca bệnh này hầu như đánh giá chưa đúng mực vì nhiều bệnh nhân trong tình trạng “tới hạn” được cho về nhà để chết. Về tổng số, kết quả của 247 bệnh nhân được báo cáo trong y văn, một kết quả chưa thuận lợi, chẳng hạn, chết hoặc có những bất lợi mất khả năng tồn tại đã được báo cáo trên 78 bệnh nhân (32%). Song, các báo cáo ca bệnh gần đây chỉ ra rằng hướng tiên lượng hiện tại có thể tốt hơn. Trong số 15 bệnh nhân bị bệnh GĐGTTK được chẩn đoán sau năm 2001, hiệu quả nghèo nàn được báo cáo trên 3 bênh nhân (20%). Trong tất cả 4 ca lâm sàng ở người đi du lịch trở về có viêm tủy, sự phục hồi là tốt sau khi dùng liệu pháp thuốc giun sán[33], [34],[35],[36],[39],[53][55].
Chẩn đoán xác định nhiễm trùng giun sán ở hệ TKTU thì quả thật là khó. Tỷ lệ phục hồi của sán từ dịch não tủy thấp và quy trình chẩn đoán có xâm lấn là hiếm khi hợp lý. Bệnh lý GĐGTTK là một ngoại lệ; trong số 248 ca bệnh dã đăng tải, chỉ có 27 ca (11%) được xác định bằng sự phục hồi ấu trùng. Ngoài ra, dấu hiệu sưng phồng dưới da từng đợt, được xem là dấu phân biệt của bệnh giun đầu gai, tìm thấy chỉ trên một số ít ca bệnh GĐGTTK. Vì những khó khăn này, các tiêu chuẩn lâm sàng là có ích để thực hành và nghiên cứu. Dựa trên kết quả phân tích từ các ấn phẩm ca bệnh, chúng tôi đề nghị tiêu chuẩn chẩn đoán định hướng cho một thầy thuốc lâm sàng nếu trong điều kiện chẩn đoán giải phẩu bệnh học không thể thực hiện được.
Bảng 7. Tiêu chuẩn chẩn đoán đề nghị cho bệnh giun đầu gai thể thần kinh
Tiêu chuẩn dịch tễ học Du lịch đến hoặc định cư trong vùng lưu hành bệnh VÀ phơi nhiễm với các thức ăn sò, vẹm, tôm, cua, cá và gia cầm chưa nấu chín; |
Hội chứng lâm sàng Đau kiểu tủy rễ thần kinh/viêm não tủy rễ thần kinh HOẶC viêm màng não/ viêm não màng não HOẶC xuất huyết dưới nhện |
Bằng chứng xâm nhập của hệ thần kinh trung ương gián tiếp Dịch não tủy: tăng bạch cầu ái toan trong dịch HOẶC hình ảnh thần kinh: vết xuất huyết trong nhu mô não (≥ 3mm) |
Chẩn đoán miễn dịch Phát hiện kháng thể chống lại thành phần kháng nguyên của Gnathostoma spinigerum 24kDa qua xét nghiệm Immuno blot; Không có phản ứng dương tính với thành phần 29-31kDa của giun Angiostrongylus cantonensis trên test Immunoblot |
*Tất cả các tiêu chuẩn nên được chuẩn đủ để chẩn đoán lâm sàng của bệnh GĐGTTK |
Bệnh lý GĐGTTK là một bệnh ký sinh trùng ở hệ TKTU lưu hành nhiều ở Đông Nam Á, đặc biệt tại Thái Lan. Vì sự phát triển của du lịch quốc tế của du khách cũng như di dân đến các vùng lưu hành bệnh, nên số bệnh nhân tại châu Âu và Bắc Mỹ ngày càng tăng. Bệnh GĐGTTK nên được nghĩ đến trên những bệnh nhân có biểu hiện viêm tủy rễ, viêm não tủy, viêm não màng não tăng bạch cầu ái toan và có tiền sử đi du lịch đến các vùng lưu hành bệnh giun đầu gai. Ăn sống hoặc nấu chưa chín các gia cầm, sò, vẹm, cua, tôm, cá nước ngọt là điều kiện rất thuận lợi coh nhiễm mầm bệnh; tuy nhiên, vì các thông tin như thế không phải lúc nào cũng tự bệnh nhân nói ra, nên thầy thuốc lâm sàng phải hỏi trực tiếp về thức ăn trong suốt quá trình du lịch của bệnh nhân. Xét nghiệm huyết thanh học, kể cả xét nghiệm Western blot, chỉ ra có độ đặc hiệu cao và có thể đóng góp không nhỏ vào chẩn đoán phù hợp với yếu tố lâm sàng và dịch tễ học. Không có đề cương chuẩn dựa trên bằng chứng sẵn để điều trị; song một liệu trình thuốc albendazole 3-4 tuần kèm prednisolone hoặc dexamethasone là một trong những lựa chọn liệu pháp hay dùng nhất[33], [34], [39],[53][55].
Thể tiêu hóa
Gnathostoma có thể di chuyển vào nội tạng và gây tổn thương cho nội tạng.
Ở dạ dày - ruột thì hiếm xảy ra. Khi ấu trùng di chuyển đến thành dạ dày - ruột bệnh nhân có thể có cảm giác khó chịu, sốt, nổi mề đay, chán ăn, buồn nôn, nôn, tiêu chảy, đau vùng thượng vị.
Ở gan, khi ấu trùng di chuyển đến gan bệnh nhân bị đau một phần tư trên phải.Ngoài ra còn có các triệu chứng khác tùy thuộc vào sự di chuyển của ấu trùng.
Thể hô hấp
Ở phổi, có biểu hiện: ho, đau ngực do viêm màng phổi, tràn khí màng phổi, tràn dịch tràn khí màng phổi, bệnh nhân có thể khạc ra giun[[12].
Thể tiết niệu sinh dục
Hệ tiết niệu, sinh dục ít gặp hơn, nhưng đã có báo cáo giun chui vào tử cung[47].
Thể ở mắt
Gnathostoma có thể gây viêm màng bồ đào, viêm mống mắt, xuất huyết trong mắt, tăng áp lực nhãn cầu, sẹo võng mạc,…dẫn đến giảm thị lực, đau, sợ ánh sáng và mù[30],[32], [54],[[77], 86],[92],[.
Thể ở tai, mũi
Gnathostoma có thể chui vào hốc tai, hốc mũi, gây viêm mũi, tổn thương hệ tiền đình, ốc tai làm đau tai, giảm thính lực hoặc ù tai, có vài trường hợp đã bắt được ấu trùng bò ra ngoài tai, mũi người bệnh.
1.Nguyễn Thị Lê, Phạm Văn Lực, Hà Duy Ngọ (2008). Lớp giun đầu gai. Ký sinh trùng ở động vật gặm nhấm Việt Nam. Bộ sách chuyên khảo, Viện Khoa học và cong nghệ Việt NamNXB Khoa học tự nhiên và công nghệ, trang 177-183
2.Trần Vinh Hiển, Trần Thị Kim Dung (2008). Ký sinh trùng giữa người liên quan giữa người và thú. NXB Y học, 2008, tr 92- 93.
3.Nguyễn Hữu Hoàn, Phạm Như Ý, Trương Văn Luyện(2001). Nhân 4 trường hợp viêm não tủy do giun Gnathostoma sp. Tạp chí Y học TP. Hồ Chí Minh, tr 106 -110.
4.Trần Thị Hồng (2004). Hình ảnh lâm sàng bệnh do ấu trùng giun Gnathostoma spp. Tạp chí Y học thực hành, 2004, số 477, tr 99-103.
5.Lương Văn Huấn, Lê Hữu Khương (1997). Ký sinh và bệnh ký sinh ở gia súc-gia cầm. NXB Nông nghiệp, TP. Hồ Chí Minh, tập I.
6.Huỳnh Hồng Quang, Triệu Nguyên Trung, Nguyễn Văn Chương (2011). Nhân hai trường hợp bệnh ấu trùng giun đầu gai thể thần kinh: Tổng hợp y văn về bệnh lý thần kinh do ký sinh trùng đang bị lãng quên. Kỷ yếu công trình NCKH, Viện Sốt rét -KST-CT thành phố Hồ Chí Minh, NXB y học Hà Nội 2011, tr. 300-309
7.Huỳnh Hồng Quang, Triệu Nguyên Trung, Nguyễn Thị Ngọc Huệ và cs (2010). Đánh giá hiệu lực thuốc Albendazole trong điều trị bệnh giun lươn chưa biến chứng tại 5 tỉnh ven biển miền Trung (2006-2009). Kỷ yếu công trình NCKH, Viện Y học biển Việt Nam, Hội Y học biển Việt Nam tháng 11.2010, 32-39.
8.Huỳnh Hồng Quang, Hồ Văn Hoàng và cs., (2008). Đánh giá đặc điểm lâm sàng, cận lâm sàng và chẩn đoán hình ảnh trên các bệnh nhân sán lá gan lớn tại một số tỉnh miền Trung, Việt Nam (2006-2008). Hội thảo Gan mật toàn quốc, Hội Nghiên cứu gan mật Việt Nam (VASLD). Tạp chí Gan mật Việt Nam, số đặc biệt tháng 8.2008: 53-60.
9.Huỳnh Hồng Quang, Triệu Nguyên Trung (2011). Giun đầu gai - bệnh giun mới nổi, Cập nhật y văn và tổng hợp thông tin về 12 bệnh nhân giun đầu gai. http://www.impe-qn.org.vn
10.Huỳnh Hồng Quang, Triệu Nguyên Trung (2010). Tổng hợp loạt ca bệnh ban trườn/ hội chứng ấu trùng di chuyển dưới da do ký sinh trùng tại huyện đảo Lý Sơn, tỉnh Quảng Ngãi, Việt Nam (2006-2010). Kỷ yếu công trình NCKH, Viện Y học biển Việt Nam, Hội Y học biển Việt Nam.
11.Bùi Quang Tề (2001). Ký sinh trùng của một số loài cá nước ngọt ở đồng bằng sông Cửu Long và giải pháp phòng trị. Luận án tiến sỹ khoa học sinh học.
12.Nguyễn Văn Tiến và cs., (1997). Thông báo trường hợp ho ra máu do nhiễm ấu trùng giun đầu gai G. spinigerum ở phổi. Thônng tin phòng chống sốt rét và các bệnh ký sinh trùng. Viện Sốt rét- Ký sinh trùng - Côn trùng TƯ, tr 73-76.
13.Triệu Nguyên Trung, Huỳnh Hồng Quang và cs., (2010). Tổng hợp một loạt ca bệnh ban trườn hoặc hội chứng ấu trùng di chuyển dưới da do ký sinh trùng tại huyện đảo Lý Sơn, tỉnh Quảng Ngãi, Việt Nam (2006-2010). Kỷ yếu công trình NCKH, Viện Y học biển Việt Nam, Hội Y học biển Việt Nam tháng 11.2010.
14.Triệu Nguyên Trung, Nguyễn Văn Chương, Huỳnh Hồng Quang và cs., (2010). Hiệu quả phòng chống bệnh sán lá gan lớn tại khu vực miền Trung-Tây Nguyên (2006-2009). Hội nghị Quốc tế về kinh tế y tế tại Hà Nội, Việt Nam 2010: 169-175.
15.Học viện Quân y (2008). Ký sinh trùng và côn trùng y học. Giáo trình đại học. NXB Quân đội nhân dân.
16.Lê Thị Xuân (2008). Ký sinh trùng thực hành. NXB giáo dục. TP Hồ Chí Minh, 2008.
17.Lê Thị Xuân (2002). Ứng dụng kỹ thuật men (ELISA) trong chẩn đoán bệnh Gnathostoma spinigerum. Tạp chíY học TP. Hồ Chí Minh, 2002,tr. 56 - 60.
18.Lê Thị Xuân, Trần Vinh Hiển, Lê Xuân Tú (2001). Một trường hợp nhiễm của Gnathostoma spinigerum ngoài da tại TP. Hồ Chí Minh. Tạp chíY học TP. Hồ Chí Minh, 2001,tr 103-105.
19.Lê Thị Xuân, Phạm Thị Lệ Hoa, Trần Thị Huệ Vân và CS (2003). Bệnh nhiễm Gnathostoma ở người tại TP. Hồ Chí Minh.Tạp chí Y học thực hành, số 477, tr 117-119.
20.Lê Thị Xuân, Phạm Thị Lệ Hoa, Trần Thị Huệ Vân (2003). Ấu trùng di chuyển trong da chó Gnathostoma spinigerum. Tạp chí Y học thực hành, Bộ Y tế, số 447 tr 40 - 42.
21.Trần Thị Huệ Vân (2004). Ứng dụng phương pháp huyết thanh miễn dịch men trong chẩn đoán bệnh nhiễm Gnathostoma spinigerum, Luận văn thạc sĩ y học, Đại học Y dược TP. Hồ Chí Minh, 2004.
22.Nguyễn Quang Vinh (2001). Biểu hiện lâm sàng bệnh giun đầu gai ở người lớn. Tạp chí Y học TP. Hồ Chí Minh, 2001, tr 100-102.
23.Trần Xuân Mai (1992). Góp phần nghiên cứu bệnh động vật ký sinh một chiều (ngõ cụt ký sinh) lây truyền từ phân chó mèo sang người. Luận án phó tiến sĩ khoa học y dược trường Đại học y dược TP. Hồ Chí Minh 1992.
24.Trần Xuân Mai và cộng sự (2010). Ký sinh trùng y học. NXBY học, 2010
25.Akao N, Ohyama T, Kondo K, Takakura Y (1989). Immunoblot analysis of human gnathostomiasis. Ann Trop Med Parasitol. 1989 Dec;83(6):635-7.
26.Anantaphruti MT (1989). ELISA for diagnosis of gnathostomiasis using antigens from Gnathostoma doloresi and G. spinigerum. Southeast Asian J Trop Med Public Health. 1989 Jun;20(2):297-304.
27.Anataphruti MT (1989). ELISA for diagnosis of Gnathostomiasis using antigens from G. doloresi and G. spinigerum. Southeast Asian J Tro Med Public Health,1989;Vol 20(2), p. 297-304.
28.Anantaphruti M, Waikagul J, Niti-Uthai S, Pubampen S, Rojkittikhun W (1986). Detection of humoral immune response to Gnathostoma spinigerum in mice. Southeast Asian J Trop Med Public Health. 1986 Jun;17(2):172-6.
29.Anantaphruti M, Nuamtanong S, Dekumyoy P (2005). Diagnostic values of IgG4 in human gnathostomiasis. Trop Med Int Health. 2005 Oct;10(10):1013-21.
30.Baquera-Heredia J, Cruz-Reyes A, Flores-Gaxiola A, López-Pulido G, Díaz-Simental E, Valderrama-Valenzuela L. Case report: ocular gnathostomiasis in Northwestern Mexoco. Am J Trop Med Hyg. 2002 May; 66(5):572-4.
31.Bhaibulaya M, Charoenlarp P (1983). Creeping eruption caused by Gnathostoma spinigerum. Southeast Asian J Trop Med Public Health. 1983 Jun;14(2):266-8.
32.Biswas J, Gopal L, Sharma T, Badrinath SS (1994). Intraocular Gnathostoma spinigerum. Clinicopathologic study of two cases with review literature. Retina. 1994;14(5):438-44.
33.Bunnag T., Comer D, S. Punyagupta S. (1970). Eosinophilic myeloncephalitis caused by Gnathostoma spinigerrum. Neuropathology ofnine cases. J Neurological sciences, 10(5), pg.419-434.
34.Boongird P, Phuapradit P, Siridej N, Chirachariyavej T, Chuahirun S, Vejjajiva A (1977). Neurological manifestations of gnathostomiasis. J Neurol Sci. 1977 Mar;31(2):279-91.
35.Catalano M, Kaswan D, Levi MH et al., (2009). Wider range for parasites thatcauseeosinophilicmeningitis.ClinInfectDis. 2009;49:1283.
36.Chandenier J, Husson J, Canaple S, Gondry-Jouet C, Dekumyoy P, Danis M, et al (2001). Medulary gnathostomiasis in white patient: use of immunodiagnosis and magnetic resonance imaging. Clin Infect Dis. 2001 Jun 1;32(11):E154-7.
37.Chai JY, Han ET, Shin EH, Park JH, Chu JP, Hirota M, et al (2003). An outbreak of gnathostomiasis among Korean immigrants in Myanmar. Am J Trop Med Hyg. 2003 Jul;69(1):67-73.
38.Chanthchume N, Kulkhumthorn M, Jongwutiwes S (1988). Evaluation of skin test for human gnathostomiasis. Chula Med J. 1988;32:243-8.
39.Chitanondh H, Rosen L (1967). Fatal eosinophilic encephalomyelitis caused by the nematode Gnathostoma spinigerum. Am J Trop Med Hyg. 1967 Sep;16(5):638-45.
40.Dharmkrong-At A, Migasena S, Suntharasamai P, Bunnag D, Priwan R, Sirisinha S (1986). Enzyme linked-immunosorbent assay for detection of antibody to Gnathostoma antigen in patients with intermittent cutaneous migratory swelling. J Clin Microbiol. 1986 May;23(5):847-51.
41.Daengsavang S (1980). A Monograph on the Genus Gnathostoma and Gnathostomiasis in Thailand. Southeast Asian Medical Information Center Tokyo, Japan, 1980.
42.Devon C. Hale, Lucille Blumberg, and John Frean (2003). Case report: Gnathostomiasis in two travelers to Zambia. Am. J. Trop. Med. Hyg. 68(6), pg. 707- 709.
43.Del Giudice P, Cua E, Le Fichoux Y, Marty P, Caumes E, Dellamonica P (2005). Gnathostomiasis: an emerging parasitic disease? Ann Dermatol Venereol. 2005 Dec;132(12 Pt 1):983-5.
44.Diaz Camacho SP, Zazueta Ramos M, Ponce Torrecillas E, Osuna Ramirez I, Castro Velazquez R, Flores Gaxiola A, et al (1988). Clinical manifestations and immunodiagnosis of gnathostomiasis in Culiacan, Mexico. Am J Trop Med Hyg. 1998 Dec;59(6):908-15.
45.Furono O (1959). Immunological study on gnathostomiasis. Precipitin ring test and Sales phenomena. Acta Med. 1959;29:2802-22.
46.Grobusch MP, Bergmann F, Teichmann D, Klein E (2000). Cutaneous gnathostomiasis in a woman from Bangladesh. Int J Infect Dis. 2000;4:51-4.
47.Hadidjaja P, Margono SS, Moeloek FA (1979). Gnathostoma spinigerum from cervix of a woman in Jakarta. Am J Trop Med Hyg. 1979 Jan;28(1):161-2
48.Hale DC, Blumberg L, Frean J (2003). Case report: gnathostomiasis in two travelers to Zambia. Am J Trop Med Hyg. 2003 Jun;68(6):707-9.
49.Herman JS, Chiodini PL (2009). Gnathostomiasis, another emerging imported disease. Clin Microbiol Rev. 2009 Jul; 22(3):484-92.
50.Hennies F, Jappe U, Kapaun A, Enk A (2006). Gnathostomiasis: import from Laos. J Dtsch Dermatol Ges. 2006 May;4(5):414-6.
51.Ishiwata K, Camacho Sp, Ogata K, Nakamura- Uchiyama F, Hiromatsu K, nawa Y. (2003). Evalution of antigenic similarities of adult- worm extracts from three Gnathostoma species, using sera from Mexican Japanese patients with Gnathostoma infection. Ann Trop Med Parasiol,97(6), pg.629- 37.
52.J. Horton (2000). Albendazole: A review of anthelmintic efficacy and safety in humans. Parasitology review, Cambridge University Press, pp. s113-132
53.Juri Katchanov Sawanyawishuth et al., (2011). Neurognathostomiasis, a negected parasitosis of the Central nervous system. Emerging Infectious Diseases. www.cdc.gov/eid.vol 17. No 7, July 2011
54.Kannan KA, Vasantha K, Venugopal M (1999). Intraocular gnathostomiasis. Indian J Ophthalmol. 1999 Dec;47(4):252-3.
55.Katchanov J, Nawa Y et al., (2010). Helminthic invasion of the central nervous system: many roads lead to Rome. Parasitol Int. 2010;59:491-6.
56.Kesensuthi R, Panat-ampon P, Sanghiran C (1981). Study on the diagnosis of Gnathostoma infection in cat by radioimmunoassay. Southeast Asian J Trop Med Public Health. 1981 Sep;12(3):410-2
57.Luammuanwai P, Sawanyawisuth K, Intapan PM, Chotmongkol V, Wongkham C, Maleewong W (2007). Evaluation of human IgG class and subclass antibodies to a 24 kDa antigenic component of Gnathostoma spinigerum for serodiagnosis of gnathostomiasis. Parasitol Res. 2007 Aug;101(3):703-8.
58.Maleewong W, Wongkham C, Intapan P, Mahaisavariya P, Danseegaew W, Pipitgool V, et al (1992). Detection of circulating parasite antigens in murine gnathostomiasis by a two-site enzyme linked-immunosorbent assay. Am J Trop Med Hyg. 1992 Jan;46(1):80-4.
59.Maleewong W, Morakote N, Thamasonthi K, Charuchinda S, Tesana S, Khamboonruang C (1988). Serodiagnosis of human gnathostomiasis. Southeast Asian J Trop Med Public Health. 1988 Jun;19(2):201-5.
60.Mimori T, Tada I, Kawabata M, Ollague WL, Calero GH, De Chong YF (1987). Immunodiagnosis of human gnathostomiasis in Ecuador by skin test and ELISA using Gnathostoma dorolesi antigen. Jpn J Trop Med Hyg. 1987;15:191-6
61.Miyazaki I (1960). on the genus Gnathostoma and human gnathostomiasis, with special reference to Japan. Exp Parasitol. 1960 Jun; 9:338-70.
62.Moore DAJ, McCroddan J, Dekumyoy P, Chiodini P (2003). Gnathostomiasis: an emerging imported disease. Emerg Infect Dis. 2003 Jun;9(6):647-50.
63.Morakote N, nateewatana N, Maleewong W, Uthong T (1989). Anatomical localization of Gnathostoma spinigerum larval antigens by indirect fluorescent antibody test. Southeast Asian J Trop Med Public Health. 1989 Jun;20(2):291-5.
64.Morita H, Segawa T, Nishiyama T (1984). Gnathostomiasis cases caused by imported loaches. J Nara Med Ass 1984;35:607-19.
65.Morisita T, Kobayashi M, Nagase K, Iwanaga H, Sumi M (1969). Nonspecificity of intradermal test with Gnathostoma antigen. Jpn J Parasitol. 1969;18:120.
66.Nawa Y (1991). Historical review and current status of gnathostomiasis in Asia. Southeast Asian J Trop Med Public Health. 1991 Dec;22 Suppl:217-9.
67.Nontasut P, Bussaratid V, Chullawichit S, Charoensook n, Visetsuk K. (2000). Comparison of ivermectin and albendazole treatment for Gnathostomiasis. Southeast Asian J. Trop. Med.Pub. Health, 3, pg. 374-7.
68.Nopparatana C, Tapchaisri P, Setasuban P, Chaicumpa W, Dekumyoy P (1988). Antibody responses in human gnathostomiasis. Southeast Asian J Trop Med Public Health. 1988 Jun;19(2):219-24.
69.Nopparatana C Setasuban P, Chaicumpa W, Tapchaisri P (1991). Purification of Gnathostoma spinigerum specific antigen and immunodiagnosis of human gnathostomiasis. Int J Parasitol. 1991 Oct;21(6):677-87
70.Nuchprayoon S, Sanprasert V, Suntravat M, Kraivichian K, Saksirisampant W, Nuchprayoon I (2003). Study of specific IgG subclass antibodies for diagnosis of Gnathostoma spinigerum. Parasitol Res. 2003 Sep;91(2):137-43.
71.P.Del Giudice, P.Dellamonica, J. Durant, V. Rahelinrina, M.P.Grobusch, K.Janitschke, A.Dahan-Guedj and Y.Le Fichoux (2001). A cases of Gnathostomiasis in a European traveller returning from Mexico , British Journal of Dermatology 2001; 145, pg.487-489.
72.Prommas C, Daengsvang S (1933). Preliminary report of a study on the life cycle of Gnathostoma spinigerum. J Parasitol;19:287.
73.Parola P, Soula G, Gazin P, Foucault C, Delmont J, Brouqui P (2006). Fever in travelers returning from tropical areas: prospective observational study of 613 cases hopsitalised in Marseilles., France 1999-2003. Travel Med Infect Dis. 2006 Mar;4(2):61-70.
74.Punyagupta S (1978). Clinical manifestation of eosinophilic mrningitis (Gnathostoma spinigerum). Southeast Asian J Trop Med Public Health. 1978;9:278.
75.Punyagupta S, Bunnag T, Juttijudata P (1990). Eosiniphilic meningitis in Thailand. Clinical and epidemiological characteristics of 162 patients with myeloencephalitis probably caused by Gnathostoma spinigerum. J Neurol Sci. 1990 May;96(2-3):241-56.
76.Punyagupta S, Pacheco G (1961). Serological studies of experimental gnathostomiasis. Am J Trop Med Hyg. 1961 Jul;10:515-20.
77.Qahtani F, Deschênes J, Ali-Khan Z, Maclean JD, Codère F, Mansour M, et al (2000). Intraocular gnathostomiasis: a rare Canadian case. Can J Ophthalmol. 2000 Feb;35(1):35-9.
78.Quang H. H, Trung N.T et al., (2010). The human parasitic diseases and zoonosis in Central and highland of Vietnam (2005-2010): Situations and on-going projects/ studies at many levels. Monography of International seminar of Researchable Issues in Ecosystem Approaches to Health Management of Emerging Infectious Diseases in Southeast Asia in Bali, Indonesia, October, 2010.
79.Quang H. H, Trung N.T et al. (2010). Human helminthics diseases: A review and update of an emerging zoonosis now crossing Central and highland of Vietnam. Monography of International seminar of Researchable Issues in Ecosystem Approaches to Health Management of Emerging Infectious Diseases in Southeast Asia in Bali, Indonesia, October, 2010.
80.Rojas-Molina N, Pedraza-Sanchez S, Torres-Bibiano B, Meza-Martinez H, Escobar-Gittierez A (1999). Gnathostomiasis: an emerging foodborne zoonotic disease in Acapulco, Mexico. Emerg Infect Dis. 1999 Mar-Apr;5(2):264-6.
81.Ramirez-Avila L, Slome S, Schuster FL, Gavali S, Schantz PM, Sejvar J, et al (2009). Eosinophilic meningitis due to Angiostrongylus and Gnathostoma species. Clin Infect Dis. 2009 Feb 1;48(3):322-7.
82.Rojkittikhun W, Nuamtanong S, Pubampen S, Setasuban P (1989). Circumoval and larval microprecipitation reactions in experimental and human gnathostomiasis. Southeast Asian J Trop Med Public Health. 1989 Mar;20(1):81-6.
83.Samarasinghe S, Perera BJ, Ratnasena BG (2002). First two cases of gnathostomiasis in Sri Lanka. Ceylon Med J. 2002 Sep;47(3):96-7.
84.Sawanyawisuth K, Tiamkao S, Kanpittaya J, Dekumyoy P, Jitpimolmard S (2004). MR imaging findings in cerebrospinal gnathostomiasis. AJNR Am J Neuroradiol. 2004 Mar;25(3):446-9.
85.Sawanyawisuth K, Chlebicki MP et al., (2009). Sequential imaging studies of cerebral gnathostomiasis with subdural hemorrhage as its complication. Trans R Soc Trop Med Hyg. 2009;103:102-4.
86.Strady C, Dekumyoy P, Clement-Rigolet M et al., (2009). Long-term follow-up of imported gnathostomiasis shows frequent treatment failure. Am J Trop Med Hyg. 2009;80:33-5.
87.Soesatyo MHNE, Rattanasirivilai W, Suntharasamai P, Sirisinha S (1987). IgE responses in human gnathostomiasis. Trans R Soc Trop Med Hyg. 1987;81(5):799-801
88.Suntharasamai P, Riganti M, Chittimas S, Desakorn V (1992). Albendazole stimulates outward migration of Gnathostoma spinigerum to the dermis in man. Southeast Asian J Trop Med Public Health. 1992 Dec;23(4):716-22.
89.Tada I, Araki T, Matsuda H, Araki K, Akahane H, Mimori T (1987). A study on immunodiagnosis of gnathostomiasis by ELISA and double diffusion with special reference to antigenicity of Gnathostoma dorolesi. Southeast Asian J Trop Med Public Health. 1987 Dec;18(4):444-8.
90.Tada I, Kasashima K, Nishimuta K, Miyahara M (1966). Intradermal reaction with Gnathostoma spinigerum antigen. Jpn J Parasitol. 1966;15:256.
91.Taniguchi Y, Hashimoto K, Ichikawa S, Shimizu M, Ando K, Kotani Y (1991). Human gnathostomiasis. J Cutan Pathol. 1991 Apr;18(2):112-5.
92.Taniguchi Y, Ando K, Isoda K, Shimizu M, Sonobe K (1992). Human gnathostomiasis: successful removal of Gnathostoma hispidum. Int J Dermatol. 1992 Mar;31(3):175-7
93.Tapchasri P, Nopparatana C, Chaicumpa W, Setasuban P (1991). Specific antigen of Gnathostoma spinigerum for immunodiagnosis of human gnathostomiasis. Int J Parasitol. 1991 Jun;21(3):315-9.
94.Tudor RC, Blair E (1971). Gnathostoma spinigerum: an unusual case of ocular nematodiasis in the western hemisphere. Am J Ophthalmol. 1971 Jul 30;72(1):185-90.
95.Tuntipopipat S, Chawengkirttikul R, Witoonpanich R, Chiemchanya S, Sirisinha S (1989). Antigens, antibodies and immune complexes in cerebrospinal fluid of patients with cerebral gnathostomiasis. Southeast Asian J Trop Med Public Health. 1989 Sep;20(3):439-46.
96.Tuntipopipat S, Chawengirttikul R, Sirisinha S (1993). A simplified method for the fractionation of Gnathostoma-specific antigens for serodiagnosis of human gnathostomiasis. J Helminthol. 1993 Dec;67(4):297-304.
97.Uparanukraw P, Morakote N, Harnnoi T, Dantrakool A (2001). Molecular cloning of a gene encoding matrix metalloproteinase-like protein from Gnathostoma spinigerum. Parasitol Res. 2001 Sep;87(9):751-7.
98.Uparanukraw P, Harnnoi T, Dantrakool A, Morakote N, Chaicumpa W (1999). Recognition of deglycosylated larval proteins of Gnathostoma spinigerum by a monoclonal antibody and human gnathostomiasis antiserum. J Helminthol. 1999 Sep;73(3):273-6.
99.Valai Bussaratid et al., (2010). Predictive factors for Gnathostoma seropositivity in patients visiting the gnathostomiasis clinic at the hospital for tropical diseases in Thai Lan, during 2000-2005. J Helminthol.Vol 41, number 6, 2010
100.Xuan LT and Wichit Rojekittikhun (2000). A survey of infective larvae of Gnathostma in eels sold in Hồ Chí Minh. Southeast Asian J Tro Med Public Health. 2000, p. 133-137.
101.Xuan LT, Rojkittikhun W, Punpoowong B, Trung le N, Hien TV. A case report: intraocular gnathostomiasis in Vietnam. Southeast Asian J Trop Med Public Health. 2002 Sep;33(3):485-9.
102.Yamaguchi T (1952). Immunological study on human gnathostomiasis. Precipitin test. J Kurame Med Ass. 1952;15:26-8.
103.Yukifumi Nawa et al., (2008). An overview of Gnathostomiasis in the world. Southeast Asian Journal of Tropical medicine and public health, Vol 35 (supp. 1): 87-91
104.Witenberg G, Jacoby J, Steckelmacher S (1960). A case of ocular gnathostomiasis. Opthalmologia. 1960;118:114.
105.Wongkham C, Maleewong W, Leamviteevanich K, Intapan PM, Morakote N (2000). Antigenic components of Gnathostoma spinigerum recognized by infected human sera by two-dimensional polyacrylamide gel electrophoresis and immunoblotting. Asian Pac J Allergy Immunol. 2000 Mar;18(1):47-52.
106.http://www.jstor.org/Surface ultrastructure of adults and eggs of G. spinigerum (2009).
107.http://www.who.int/mediacenter/ Food safety and food borne illness (2007).
108.http://www.fsis.usda.gov/Parasite and foodborne illness (2011)
109.http://www.cdc.gov/parasites/gnathostoma/faqs.html. What is Gnathostomiasis