Nhiều tác nhân ký sinh trùng có thể gây nên các triệu chứng đường hô hấp hoặc viêm phổi (Parasitic Lung Involvement and Pneumonia Induced Parasitic Infestation). Về thực hành lâm sàngthấy khâu khác thác yếu tố bệnh sử và tiền sử đi du lịch đến các vùng lưu hành có thể một phần nào đó định danh và khu trú tác nhân gây bệnh cũng như các hình ảnh x quang học trên phim phổi (nếu thầy thuốc đó có kinh nghiệm).
Một số trường hợp mắc bệnh ký sinh trùng đường ruột và ký sinh trùng đơn bào ảnh hưởng đến hệ hô hấp, phổi và gây nên viêm phổi rất phổ biến ở các vùng nhiệt đới. Những ký sinh trùng thường lưu hành phổ biến nhất ở phía Tây thế giới và là những bệnh ở vật chủ thiếu/ suy giảm miễn dịch.
Ở Mỹ, viêm phổi do đơn Toxoplasma gondii xảy ra chủ yếu ở những bệnh nhân mắc hội chứng suy giảm miễn dịch mắc phải (acquired-immunodeficiency syndrome_AIDS). Bệnh giun lươn ở phổi (pulmonary strongyloidiasis) được xác định ở những bệnh nhân đang dùng thuốc hoặc chế phẩm có glucocorticoids và lưu hành ở miền Đông Nam nước Mỹ, nơi mà sự “tàn phá” của giun đũa, giun tóc, giun móc/ mỏ có thể biểu hiện với triệu chứng tăng tế bào bạch cầu ái toan và gây viêm phổi thâm nhập trong giai đoạn ấu trùng di chuyển [2]. Tuy nhiên, sự xâm lấn của động vật đơn bào thường không phải là nguyên nhân gây ra chứng tăng bạch cầu trong mô và máu, ngoài trừ sự xâm lấn của ký sinh trùng đường ruột, đặc biệt là giun sán [1].
Năm 1932, Loffler đã mô tả 4 ca đầu tiên với các triệu chứng hô hấp, tăng bạch cầu máu ngoại vi và thâm nhiễm phổi với các ảnh chụp x quang phổi thẳng [3]. Đặc biệt những bệnh phổi tăng bạch cầu ái toan (eosinophilic lung diseases) thường thấy ở vùng nhiệt đới thường liên quan đến sự tấn cống của ký sinh trùng [4], trong khi loài amip Entamoeba histolytica,sán lá phổi Paragonimus spp. và Dirofilaria spp. liên quan cơ quan phổi ít phổ biến [2].
2. Sốt rét thể phổi hay ảnh hưởng lên hô hấp (Pulmonary Malaria)
Có ít nhất 5 loài ký sinh trùng sốt rét thuộc giống Plasmodium spp. gồm Plasmodium falciparum (P. falciparum), Plasmodium malariae (P. malariae), Plasmodium vivax (P. vivax), Plasmodium ovale (P. ovale) và đặc biệt gần đây có loài Plasmodium knowlesi (P. knowlesi) là nguyên nhân gây sốt rét và bệnh lan truyền chủ yếu thông qua muỗi cái Anophelesspp. nhiễm ký sinh trùng sốt rét đốt người [5].
Ký sinh trùng sốt rét sau đó nhiễm vào trong các tế bào gan người dưới các hình thức lần lượt là thoi trùng (sporozoites), thể phân liệt mô (schizonts) và thể hoa thị (merozoites) [6]. Giai đoạn này được gọi là “giai đoạn trong gan người” mất khoảng 4, 5 ngày đối với Plasmodium falciparum [6]. Trường hợp nhiễm Plasmodium vivax (một trong hai loài ký sinh trùng sốt rét Plasmodium vivax and Plasmodium ovale) gây tái phát sốt rét xa đối với người nhiễm và phổ biến nhất ở các quốc gia trong khu vực Đông Nam Á và Nam Mỹ. Loài này có khả năng ẩn trong gan nên gọi là thể ẩn (“hypnozoite form”) và nó có thể kích hoạt và tái hoạt trở lại sau khoảng một vài tháng hoặc vài năm tấn công hồng cầu, mặc dù người bị bệnh không bị muỗi cái Anopheles nhiễm ký sinh trùng sốt rét đốt nữa [6],[7].
Các thể merozoite sau đó vỡ ra từ tế bào gan và gây nhiễm tế bào hồng cầu người ở hình thức thể nhân, thể tư dưỡng, thể phân liệt và thể hoa thị lần nữa [6]. Chu kỳ này mất khoảng 43 - 48 giờ đối với loài P. falciparum và chu kỳ có thể phát triển các triệu chứng lâm sàng [6]. Trong chu kỳ khác, dạng thể nhẫn trong tế bào hồng cầu chuyển sang thể giao bào trước khi lây nhiễm cho muỗi [6]. Giai đoạn này mất khoảng 9 ngày đối với P. falciparum [6]. Giai đoạn trong gan người và giai đoạn bên trong tế bào hồng cầu người là các giai đoạn sinh sản vô tính [6].
Sau khi muỗi đốt người nhiễm ký sinh trùng sốt rét, thể giao bào đi vào dạ dày muỗi và phát triển thành giao tử đực và giao tử cái mất 15 phút và sau đó giao tử đực và cái phối hợp tập thành hợp tử trong thời gian 1 giờ đối với P. falciparum [6]. Sau đó hợp tử phát triển thành nang trứng trong khoảng thời gian 12 - 36 giờ đối với P. falciparum trước khi phát triển thành oocysts và thoa trùng trong tuyến nước bọt của muỗi trước khi lan truyền thoa trùng sang người thông qua muỗi cái nhiễm đốt [6]. Giai đoạn ký sinh trùng sốt rét phát triển trong cơ thể muỗi là giai đoạn phát triển hữu tính [6]. Hầu hết các ca bệnh, giai đoạn ủ bệnh kéo dài từ 7 đến 30 ngày [7]. Giai đoạn ủ bệnh ngắn hơn đã xảy ra ở P. falciparum, trong khi giai đoạn ủ bệnh lâu hơn đã được quan sát thấy ở loài P. malariae [7]. Các du khách đi du lịch trở về nên nói cho những người chăm sóc sức khỏe biết về bất cứ chuyến đi nào đến những khu vực nơi mà bệnh sốt rét xảy ra trong thời gian 12 tháng qua [7]. Tìm thấy chủ yếu bệnh nhân sốt rét với falciparum là loại sốt rét nguy hiểm nhất, cô lập các hồng cầu chứa các thể P. falciparum trưởng thành ở các mao mạch của các cơ quan và được định lượng bằng cách đolườngkháng nguyên HRP2 (histidine-rich protein 2) đặc hiệu với loài P. falciparum, sử dụng một số lượng lớn xét nghiệm hấp phụ miễn dịch liên kết enzyme bắt giữ kháng nguyên (antigen-capture enzyme-linked immunosorbent assays) [8]. Suy hô hấp nặng xảy ra ở những bệnh nhân sốt rét nặng [9].
Những bệnh nhân sốt rét không biến chứng, sốt rét cổ điển (hiếm khi xảy ra) tấn công sau 6 – 10 giờ gồm các giai đoạn sau: giai đoạn sốt (cảm giác lạnh và run rẫy), giai đoạn nóng (sốt, đau đầu, nôn và co giật ở trẻ em) và giai đoạn vả mồ hôi (ra mồ hôi, trở lại nhiệt độ cơ thể bình thường, mệt mỏi) [7]. Sốt rét cổ điển, bệnh tấn công vào ngày thứ hai với ký sinh trùng sốt rét “sốt cách nhật” (P. falciparum, P. vivax, P. ovale) và sốt rét do ký sinh trùng P. malariae gây ra ba ngày sốt một lần [7]. Thông thường, bệnh nhân biểu hiện với nhiều triệu chứng như suy nhược, sốt, ớn lạnh, đau đầu, đau nhức cơ thể, buồn nôn và nôn [7].
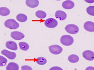
Những biểu hiện lâm sàng của bệnh gồm sốt, suy nhược, ra mồ hôi, tăng nhịp hô hấp, vàng da nhẹ, gan to và lách to [7]. Ở bệnh nhân sốt r ét nặng, biểu hiện lâm sàng đa dạng bao gồm sốt rét thể não (các hành vi không bình thường, mất ý thức, co giật, hôn mê và các biểu hiện thần kinh bất thường khác), thiếu máu nặng do tan huyết, nước tiểu có hemoglobine do tan huyết, đông máu bất thường, huyết áp giảm, suy thận cấp tính, số lượng ký sinh trùng đạt đỉnh (nhiều hồng cầu nhiễm ký sinh trùng, hạ đường huyết do tan máu, nhiễm acid trao đổi chất và hội chứng suy hô hấp cấp tính) [7]. Nhiễm tái phát với P. falciparum có thể dẫn đến thiếu máu nặng [7]. Hội chứng suy thận có thể do nhiễm lặp đi lặp lại với P. malariae [7]. Chứng sốt rét lách to do đáp ứng quá mức (hay còn gọi là hội chứng lách to nhiệt đới) được chỉ điểm bởi nhiều lách và gan to, thiếu máu, phát hiện miễn dịch bất thường và nhạy cảm với nhiễm trùng khác và được cho là do phản ứng miễn dịch bất thường đối với nhiễm sốt rét lặp đi lặp lại [7]. P. falciparum có thể là nguyên nhân gây bệnh nặng hơn ở phụ nữ mang thai và có thể dẫn đến sinh non hoặc sinh con nhẹ cân [7]. Các di chứng về thần kinh thỉnh thoảng có thể vẫn tồn tại sau sốt rét thể não, đặc biệt ở trẻ em [7]. Ở những trường hợp hiếm, P. vivax có thể gây vỡ lá lách là đặc biệt [7]. Những biểu hiện phổ biến nhất của sốt rét do P. falciparum trong nghiên cứu là sốt, tiếp theo là vàng da, tổn thương thận, sốt rét ác tính thể não, thiếu máu nặng, xuất huyết và hạ đường huyết [10]. Tiêu chuẩn vàng chẩn đoán bệnh sốt rét là xét nghiệm lam máu giọt mỏng và dày dưới kính hiển vi [1],[11].
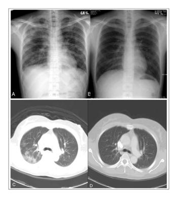
Ngoài ra, các phát hiện khác khi xét nghiệm có thể bao gồm thiếu máu nhẹ, giảm tiểu cầu nhẹ, tăng aminotransferase và tăng bilirubin trong huyết thanh [7]. Nước tiểu và nước bọt người mắc bệnh sốt rét bằng kỹ thuật sinh học phân tử phát hiện P. falciparum [11]. Một số trường hợp sốt rét do P. falciparum nặng [11], chụp x quang phổi thấy hình ảnh thâm nhiễm kẽ hai bên (bilateral interstitial infiltrates), phù phổi, tràn dịch màng phổi [11]. Sanklecha và cộng sự đã báo cáo ba trường hợp là thiếu niên nhiễm sốt rét P. falciparum trong một gia đình và phát hiện ra hai trường hợp đã được chứng minh có tổn thương phổi hai bên, trong khi trường hợp còn lại thấy bình thường khi chụp x quang phổi thẳng [12]. Ảnh chụp x quang ở ba trường hợp mắc bệnh sốt rét bị thiếu máu hồng cầu hình liềm cũng được báo cáo tất cả các bệnh nhân đã chứng minh thâm nhiễm phổi hai bên [13]. Ảnh chụp x quang phổi thường không đặc hiệu, nhưng họ cần phải được ghi nhận trong vùng lưu hành sốt rét nặng [13]. Ảnh chụp x quang phổi ở bệnh nhân sốt rét P. vivax chứng minh thâm nhiễm phổi hai bên, trong đó chỉ ra hội chứng suy hô hấp cấp tính [14]. Ba trường hợp suy hô hấp dạng suy hô hấp cấp tính ở người lớn (Adult Respiratory Distress Syndrome_ARDS) do nhiễm P. vivax cũng đã được báo cáo ở Ấn Độ, trong đó một ca đã được chứng minh với biểu hiện thâm nhiễm quanh rốn phổi hai bên, một ca với độ mờ đục lan rộng hai bên và một ca còn lại độ mờ sáng từ đáy phổi lên đến hai bên trên hình ảnh chụp x quang phổi [15].
Phù phổi phát hiện phổ biến ở các ca được khám nghiệm tử thi [16]. Các phế nang chứa đầy hồng cầu có ký sinh trùng, các hồng cầu không có chứa ký sinh trùng, bạch cầu đa nhân trung tính và các đại thực bào chứa đầy sắc tố [16]. Ở nhiều trường hợp nặng, phế nang được lót bằng mảng dương tính PAS nhiều lớp, cuối cùng đã phá hủy và kết hợp thanh phế nang bên trong nó [16]. Điều này có liên quan đến đa dạng dịch phù, giãn hệ mạch máu phổi và có thể có dấu thâm nhiễm viêm rõ ràng [16].
Một số ca có biểu hiện hình thành màng trong suốt ở phế nang chỉ ra rò rỉ dịch protein, đặc biệt là ở bệnh sốt rét do loài P. falciparum [16]. Phần lớn các mạch máu cho thấy “hấp thu” các hồng cầu chứa ký sinh trùng trong các mao mạch vách ngăn và các mạch máu vừa ở trong phổi của các trường hợp nặng [17]. Các đại thực bào chứa sắc tố tế bào đơn nhân được nhìn thấy trộn lẫn với các tế bào máu đó chứa ký sinh trùng ở các vi mạch vách phế nang [17]. Tắc mạch phổi có thể xảy ra ở cả hai bệnh nhân sốt rét không biến chứng và bệnh nhân sốt rét ác tính [9]. Một nghiên cứu gần đây đã chứng minh rằng kích hoạt thụ thể yếu tố hoạt hóa tiểu cầu là quan trọng trong phát sinh bệnh tổn thương phổi liên quan đến nhiễm chủng loài ký sinh trùng ở châu phi P. berghei Anka trong mẫu bệnh phẩm chuột [18]. Khoảng 60% chuột bị nhiễm này có giảm oxy máu, khó thở, tràn dịch màng phổi, tắc nghẽn đường thở, phù phổi và xuất huyết phổi [18]. Có rất ít sự hiểu biết về cơ chế bệnh sinh của sốt rét liên quan đến tổn thương phổi cấp tính và tổn thương phổi cấp tính do mắc sốt rét liên quan đến người lớn và hội chứng suy hô hấp cấp tiến triển [19]. Gia tăng tính thấm màng trong và điều hòa viêm có thể đóng vai trò quan trọng, trong khi sự cô lập ký sinh trùng có thể thực hiện một vai trò nhỏ được hỗ trợ bởi sự gia tăng mức độ các yếu tố nội mô mạch tìm thấy ở mẫu chuột [19]. Các nghiên cứu in vitro, các protein merozoiteP. falciparum có thể làm tăng tính thẩm thấu màng phổi, trong khi các tế bào hồng cầu nhiễm P. falciparum không chứng minh được tính chất tương tự cho thấy những ảnh hưởng của ký sinh trùng sốt rét đối với các tế bào nội mô phổi có thể qua trung gian hoạt động Src-family kinases[19]. Gia tăng hàm lượng nước ở phổi chuột được xác định và đóng góp vào sự hình thành và tiến triển phù phổi [19].
Một nghiên cứu ở chuột DBA2 nhiễm với loài P. berghei K173 được chứng minh protein và các tế bào viêm chủ yếu là CD4+ và CD8+ các lympho bào, bạch cầu đơn nhân to và bạch cầu trung tính tích lũy trong phổi của chuột nhiễm [19]. Van den Steen và cộng sự đo các mức độ Cytokines và chemokines liên quan với hội chứng suy hô hấp cấp người lớn và chứng minh sự biểu hiện yếu tố hoại tử khối u (TNF α), interferon-γ, CXCL10 và CXCL11, cũng như bạch cầu trung tính và bạch cầu đơn nhân to CCL2, KC ở phổi [19]. Biểu hiện phổi của sốt rét không biến chứng có thể bao gồm suy chức năng phổi như suy thông khí phế nang, giảm trao đổi khí và gia tăng hoạt động thực bào phổi [19].
Mặc dù, thực tế suy hô hấp cấp ở người lớn thường được xác định phổ biến nhất như biến chứng ở bệnh nhân sốt rét do P. falciparum, bệnh nhân suy hô hấp cấp người lớn với nhiễm trùng loài P. vivax, P. ovale và P. knowlesi cũng được báo cáo [19]. Mức độ nghiêm trọng nhất và tính thường xuyên của hội chứng suy hô hấp cấp ở những ca sốt rét do P. falciparum và có thể phần nào quy cho tái bố trí và sự cô lập các tế bào hồng cầu nhiễm KSTSR trong các vi mạch phổi [19]. Số lượng ký sinh trùng nhiều và sự kết dính các tế bào máu trắng liên quan với ARDS ở bệnh nhân sốt rét Plasmodium vivax và chủ yếu có thể là do rối loạn điều hòa sản xuất cytokine [19]. Tăng ký sinh trùng ở bệnh nhân nhiễm Plasmodium knowlesi chỉ ra rằng hiệu quả ký sinh trùng đặc hiệu tăng thấm mao mạch phổi nhưng có thể góp phần giảm oxy máu và nhiễm axit chuyển hóa [19]. Chloroquin tiêm tĩnh mạch là thuốc được lựa chọn cho các bệnh nhiễm P. falciparum còn nhạy với chloroquin và những trường hợp hiếm mà bệnh nhân sốt rét đe dọa tính mạng do P. vivax, P. malariae và P. ovale [1],[11].
Một đột biến điểm trên gen PfCRT chịu trách nhiệm liên quan đến kháng chloroquin ở bệnh nhân sốt rét do P. falciparum [20], trong khi sự biến mất của đột biến K76T trên PfCRT liên quan với nhạy chloroquin [21]. Liệu pháp điều trị kết hợp dựa vào uống thuốc phối hợp có dẫn chất artemisinin (artesunate + mefloquin,artesunate + sulfadoxin/pyrimethamin, artesunate + amodiaquin, hoặc artemether + lumefantrin) là những thuốc điều trị sốt rét tốt nhất [22], [23].
Ngoài ra, Tổ chức Y tế thế giới (TCYTTG) khuyến cáo điều trị dihydroartemisinin -piperaquin ngay khi bệnh nhân có thể dùng thuốc uống nhưng không trước tối thiểu là 24 giờ điều trị bằng artesunate tiêm [24]. TCYTTG khuyến cáo artesunate tiêm tĩnh mạch có thể được sử dụng ưu tiên hơn quinin trong điều trị bệnh sốt rét nặng do bất kỳ loài Plasmodium spp. nào ở cả trẻ em và người lớn [25]. Điều trị thuốc phối hợp artemisinin bằng đường uống cũng đã chứng minh hiệu quả tương đương (hoặc tốt hơn) trong điều trị bệnh sốt rét không biến chứng gây ra bởi tất cả các loài Plasmodium spp. và P. vivax kháng chloroquin ở cả trẻ em và người lớn [25]. Do đó, phác đồ điều trị thông thường vẫn tiếp tục có hiệu quả [25]. Điều trị sốt rét tái phát nên theo điều trị của các thuốc tấn công ưu tiên [7].
Màn ngủ tẩm hóa chất, trong đó hóa chất diệt côn trùng được kết hợp vào các sợi màn được chứng minh là cách tốt nhất để ngăn ngừa bệnh sốt rét [26]. Nó được chứng minh rằng RTS, S/ ASO2, vaccine đã chứng minh kết quả đầy hứa hẹn ở các vùng sốt rét lưu hành [26]. Dexamethasone có thể được sử dụng trong điều trị cùng với các thuốc chống viêm do ức chế sự xâm nhập tế bào T CD8+ (CD8+ T-cells) và các đại thực bào vào phổi ở các động vật gặm nhấm sốt rét liên quan hội chứng suy hô hấp cấp [19].
3. Bệnh do amip ảnh hưởng đến phổi (Pulmonary amoebiasis)
Entamoeba histolytica là một amip đường ruột gây bệnh cho người đã được thừa nhận, nhiễm bệnh được kết hợp cả nhiễm trong đường ruột và bên ngoài ruột [27]. Cả dạng nang bào và thể tự dưỡng thải ra ngoài cơ thể người thông qua đi phân [27]. Bào nang điển hình được xác định ở trong phân, trong khi tự dưỡng thường được tìm thấy ở trong phân lỏng [27]. Người nhiễm bệnh thông qua tiêu hóa thực phẩm, nước và bàn tay nhiễm bào nang [27]. Bào nang giải phóng xảy ra ở ruột non và tự dưỡng được thải ra và di chuyển đến đại tràng [27]. Thể tư dưỡng nhân lên bằng cách phân đôi và tạo thành các bào nang và cả hai giai đoạn được thông qua trong phân [27].
Do bào nang bào được bảo vệ bởi các lớp vỏ nên chúng có thể tồn tại vài ngày đến vài tuần bên ngoài môi trường và có khả năng tiếp tục lan truyền bệnh [27]. Ngược lại, thể tư dưỡng ra ngoài thông qua phân tiêu chảy và chúng bị tiêu diệt nhanh chóng khi ra khỏi cơ thể và nếu con người “tiêu hóa hay nuốt phải” thể tư dưỡng thì chúng không tồn tại khi tiếp xúc với môi trường dạ dày [27]. Điều đáng chú ý trên nhiều bệnh nhân, các thể tư dưỡng vẫn còn tồn tại trong lòng ruột (nhiễm không lan sang các bộ phận khác cơ thể) và trở thành người mang mầm bệnh nhưng không có triệu chứng lâm sàng và thể tư dưỡng vượt qua phân [27].
Trong một số trường hợp, các thể tư dưỡng xâm nhập vào niêm mạc ruột (bệnh đường ruột), hoặc các mạch máu, các vị trí bên ngoài ruột như gan, phổi và não, dẫn đến bệnh do amip ở gan, amip phổi, amip não,…[27]. Bệnh amip ở phổi có nguyên nhân là do ký sinh trùng đơn bào Entamoeba histolytica, xảy ra chủ yếu là do sự mở rộng các áp xe gan do amip [28],[29].
Các hình thức xâm lấn và không xâm lấn tương ứng là do loài Entamoeba histolytica và Entamoeba dispar đã được thiết lập [27]. Entamoeba histolytica được xác định là chúng tiêu hóa ăn các hồng cầu [27]. Lan truyền bào nang hay thể tư dưỡng có thể xảy ra thông qua việc tiếp xúc với phân nhiễm mầm bệnh trong lúc quan hệ tình dục [27]. Ảnh hưởng của vi sinh vật trên phản ứng miễn dịch với Entamoeba histolytica và độc lực của nó vẫn chưa được biết rõ [30]. Sự hiện diện bào nang và thể tư dưỡng của amip trong phân không có nghĩa là bệnh được gây ra bởi Entamoeba histolytica vì hai loài không gây bệnh khác tìm thấy ở người (Entamoeba dispar và Entamoeba moshkovskii) có hình thái không thể phân biệt, nhưng có thể được chẩn đoán nhanh chóng, chính xác và hiệu quả bằng phương pháp PCR [1],[31],[32].
Các phương pháp chẩn đoán khác bao gồm nuôi cấy Entamoeba histolytica, xét nghiệm ELISA, phương pháp kháng thể huỳnh quang gián tiếp (IFAT) và phương pháp ngưng kết hồng cầu gián tiếp (IHA_Indirect hemagglutination assay) [1],[31],[32]. Sự kết hợp xét nghiệm huyết thanh với định loại ký sinh trùng bằng phương pháp PCR hoăc phát hiện kháng thể là phương pháp chẩn đoán tốt nhất [33]. Các thể tự dưỡng Entamoeba histolytica hoạt động có thể xác định được trong mẫu đờm hoặc dịch màng phổi [1]. Kiểm tra cơ thể phát hiện sốt, đau ngực, gan phình to đau, ho được chỉ định là bệnh amip ở phổi và màng phổi [1].
Một số bệnh nhân có biểu hiện ho ra máu, khạc ra đờm dịch giống mủ, suy hô hấp và sốc [1]. Hình ảnh chụp x quang ở phổi thấy tràn dịch màng phổi, tổn thương phổi ở đáy phổi và một nữa cơ hoành bị nâng cao [1]. Thuốc metronidazole sử dụng để điều trị [34]. Diloxanide furoate, một loại thuốc để điều trị amip có thể dùng để loại bỏ bào nang Entamoeba histolytica đường ruột [35]. Thuốc điều trị amip lactoferrin và lactoferricin có thể được dùng chung với metronidazole liều thấp để giảm độc tố metronidazole [35].
Các loại vaccin phòng chống lại bệnh amip tiềm năng đang trong giai đoạn nghiên cứu [36] chưa thể áp dụng rộng rãi trong cộng đồng.
4. Bệnh Leishmania ảnh hưởng phổi (Pulmonary Leishmaniasis)
Bệnh Leishmaniasis nội tạng phổi (pulmonary or visceral leishmaniasis), hay còn gọi là bệnh "Kala Azar" do nhiễm ký sinh trùng Leishmania donovani, Leishmania chagasi, Leishmania infantum [37]. Bệnh được lan truyền bởi nhiều loài muỗi cát khác nhau giống Phlebotomus spp. [38]. Leishmania amastigotes có thể được xác định trong vách phổi, phế nang và các chất dịch BAL [39],[40]. Tràn dịch màng phổi, bệnh lý hạch bạch huyết trung thất và viêm phổi đã được báo cáo ở những bệnh nhân nhiễm virus HIV với bệnh Leishmania nội tạng và những bệnh nhân ghép phổi [39],[40].
Sự mở rộng nhiễm HIV/AIDS qua bệnh do Leishmania, đặc biệt là các vùng lưu hành bệnh Leishmaniasis thể nội tạng, đã tăng số lượng bệnh nhân nhiễm phối hợp [41] hai tác nhân này, điều đó chỉ ra rằng bệnh Leishmaniasis nội tạng là một bệnh cơ hội ở những bệnh nhân nhiễm HIV/AIDS, mặc dù chưa được coi là một bệnh AIDS Nam Mỹ [42].
Theo chia sẻ cơ chế khả năng miễn dịch nhiễm cả Leishmania infantum và virus HIV-1, có thể ảnh hưởng đến kiểm soát ký sinh trùng ở bệnh nhân nhiễm phối hợp Leishmaniasis nội tạng [42]. So với các trường hợp bệnh nhân chỉ nhiễm Leishmania spp. nội tạng, thì bệnh nhân nhiễm phối hợp biểu hiện bệnh nặng hơn do tăng ký sinh trùng, tái phát thường xuyên và kháng thuốc điều trị bệnh Leishmaniasis [41],[43]. Mặt khác, nhiễm Leishmania spp. có thể làm giảm cả kích hoạt hệ miễn dịch và sự suy giảm tế bào lympho và có thể đẩy nhanh sự tiến triển đến giai đoạn AIDS, đặc biệt là ở những người nhiễm type HIV-1 [44],[45].
Do đó, xét nghiệm huyết thanh chẩn đoán đối với các ca nhiễm mạn tính kéo dài loài Leishmania spp. được chỉ định kiểm tra sàng lọc trước khi đặt ra vấn đề ghép cơ quan tại những khu vực lưu hành bệnh [46]. Kích hoạt miễn dịch có thể tác động quan trọng đến quá trình tiên lượng và diễn biến lâm sàng bệnh Leishmania nội tạng, dẫn đến gia tăng nguy cơ tử vong ngay cả điều trị không đúng bệnh Leishmania [47].
Các thuốc Antimonials entavalent như pentamidine, amphotericin B, đặc biệt là các công thức liposome và miltefosine là những thuốc để điều trị bệnh Leishmaniasis [48].
Một nghiên cứu trước đây đã chứng minh vaccine Poly/hsp/pcDNA có thể làm giảm đáng kể số lượng ký sinh trùng Leishmania spp. trong tạng lách và gan, điều này cho thấy đây là một cách tiếp cận điều trị có tính khả thi, hiệu quả và thiết thực đối với bệnh Leishmaniasis nội tạng [49].
5. Bệnh Trypanosomiasis ảnh hưởng phổi (Pulmonary Trypanosomiasis)
Bệnh Trypanosomiasis châu Phi ở người (Human African trypanosomiasis_HAT) hay còn gọi là bệnh ngủ do ký sinh trùng đơn bào bên ngoài tế bào nội mô, còn gọi là Trypanosoma brucei gambiense [50], Trypanosoma brucei rhodesie [51] và Trypanosoma cruzi những ký sinh trùng được phát hiện bởi tác giả Carlos Chagas năm 1909 [52] bệnh lưu hành phần lớn ở khu vực Tây Phi, Trung Phi và phổ biến nhất ở Congo, Angola, Chad, cộng hòa Trung Phi, Uganda và Sudan [50]. Bệnh HAT tiếp tục là mối đe dọa hơn 60 triệu người ở 36 quốc gia khuvực cận sa mạc Sahara, châu Phi.
Nghiên cứu trên các mẫu chuột, cho thấy tăng sinh tế bào và phù thành phế nang, dày hơn khoảng 10 lần so với các thành phế nang bình thường đã được xác định và dẫn đến thành dày, mặc dù ký sinh trùng được chứng minh là không có ở phế nang [52]. Dày và phù nề thành phế quản vừa và nhỏ do ký sinh trùng xâm nhập và sinh phản ứng viêm đáng kể (trừ phế quản lớn) ở mẫu chuột đã được quan sát nghiên cứu [52]. Những thay đổi viêm phế quản dẫn đến làm giảm khoang phế quản [52]. Hầu hết chuột bị nhiễm đã chứng minh sự xâm nhập vào thành các mạch máu lớn với số lượng lớn các cụm ký sinh trùng trong các tế bào cơ của thớ cơ bắp và kèm theo một phản ứng viêm, phù kẽ (interstitial edema) và tổn thương sợi cơ [52].
Những thay đổi bệnh lý phổi này có thể góp phần vào xuất huyết phổi phế nang, viêm tiểu phế quản và viêm phổi [52]. Khí phế thũng cũng đã được quan sát ở phổi của những con ruột bị nhiễm [54]. Theo các phân tích thống kê, sự khác nhau giữa các nhóm thực nghiệm phân bố ký sinh trùng ở phổi và mức độ phản ứng viêm đã được chứng minh là không có sự khác biệt có ý nghĩa [52]. Hầu hết các chủng Mexican được chứng minh bệnh cơ tim [52] và có thể là nguyên nhân dẫn đến tăng huyết áp động mạch phổi, đó có thể là kết quả dẫn đến giãn tâm thất phải, đây là một đặc tính của bệnh Chagas do loài Trypanosoma cruzi mà không ảnh hưởng đến tâm thất trái [52].
Tuy nhiên, nhiều trường hợp bệnh Chagas tăng áp phổi liên quan đến giãn thất phải có thể đóng góp vào suy tâm thất trái [55]. Một nghiên cứu trước đây về điều trị tái phát bệnh Trypanosomiasis ở cư dân Gambia đã được chứng minh rằng liệu trình điều trị 7 ngày với thuốc eflornithine tiêm tĩnh mạch là thích hợp và sẽ dẫn đến tiết kiệm đáng kể so với phác đồ điều trị chuẩn trong 14 ngày, mặc dù phác đồ trước đó là kém hơn so với phác đồ chuẩn và có thể được sử dụng bởi các chương trình kiểm soát tầm quốc gia trong các vùng lưu hành, miễn là hiệu quả của nó đã được giám sát chặt chẽ, trong khi melarsoprol vẫn là lựa chọn điều trị hiệu quả cho những trường hợp mới [56].
Trong các nghiên cứu thực nghiệm ở động vật, thuốc eflornithine và melarsoprol tác dụng hỗ trợ chống lại Trypanosome kể từ khi các loại thuốc cũ giảm sản xuất trypanothion [8],[57].
Một nghiên cứu gần đây đã chứng minh rằng các stress oxy hóa có thể đóng góp cho sự tồn tại ký sinh trùng trong mô vật chủ và góp phần nghiên cứu phát triển các loại thuốc chống loài Trypanosoma cruzi [58].
6. Ấu trùng giun sán di chuyển đến phổi (Pulmonary Larval Migrans)
Sự di chuyển ấu trùng giun đũa chó mèo Toxocara spp. (Toxocara larval migrans) nguyên nhân do loài Toxocara canis/ hoặc Toxocara cati - một loại ký sinh trùng đường ruột chó và Toxocara cati - một loại ký sinh trùng đường ruột mèo, vật chủ trung gian nhiễm là con người do tiêu hóa hay nuốt phải trứng Toxocara spp. có phôi, sau đó trứng có phôi nở thành ấu trùng lây nhiễm ở đường ruột người [1]. Các ấu trùng lây nhiễm sau đó xâm nhập vào thành ruột và được d i chuyển thông qua sự lưu thông máu đến nhiều cơ quan khác nhau như phổi, gan, hệ thần kinh trung ương, mắt và cơ [1]. U hạt hình thành sau đó xảy ra trong các cơ quan này và phát triển chứng xơ hóa và vôi hóa [1]. Biểu hiện ảnh hưởng phổi được được tìm thấy trên 80% và bệnh nhân biểu hiện bệnh hen phế quản hoặc khò khè nghiêm trọng [1].
Biểu hiện lâm sàng có thể chứng minh thở ngắt quãng rải rác và các biểu hiện triệu chứng khác gồm sốt, ho khan, gan và lách to, tăng lên u bướu mạch bạch huyết, đau mắt, tật lác mắt, đồng tử trắng, mất thị giác một bên, đau bụng và các biểu hiện trên hệ thần kinh [1]. Một số trường hợp có thể có biểu hiện viêm phổi tăng bạch cầu ái toan nghiêm trọng và có thể gây hội chứng suy hô hấp cấp [59],[61].
Chụp x quang phổi có thể thấy các vết lốm đốm cục bộ [1]. Hội chứng này thường kèm theo tăng bạch cầu ái toan, hiệu giá kháng thể cao đối với Toxocara canis và tăng mức IgE toàn phần trong huyết thanh [62],[63]. Khoảng 25% bệnh nhi không có tăng bạch cầu ái toan [64]. Xác định các kháng thể IgE trong huyết thanh bằng xét nghiệm ELISA [65] và kháng nguyên tiết Toxocara ES bằng phương pháp Western-blot đã được báo cáo để chẩn đoán [66].
Tuy nhiên, các phương pháp chẩn đoán huyết thanh không thể phân biệt giữa nhiễm trùng trước đây và nhiễm trùng hiện tại [65],[66]. Trứng hoặc ấu trùng giun đũa Toxocara spp. không thể được xác định trong phân vì con người không phải là vật chủ chính [1]. Xét nghiệm mô phổi hoặc các mẫu sinh thiết gan có thể biểu hiện những u hạt với các tế bào khổng lồ đa nhân, bạch cầu ái toan và xơ hóa [1]. Ấu trùng di chuyển Toxocara có thể được giải quyết một cách tự phát. Do đó, biểu hiện trên bệnh nhân có thể dao động từ triệu chứng nhẹ đến vừa phải mà không cần điều trị [1].
Tuy nhiên, những bệnh nhân có ấu trùng di chuyển do Toxocara spp. nặng có thể được điều trị bằng diethylcarbamazine (6 mg/kg/ ngày, trong 21 ngày) [67], hoặc mebendazole (20 - 25 mg/kg/ngày trong 21 ngày) [68], hoặc albendazole (10 mg/kg/ngày trong 5 ngày) [69].
Có thể khi điều trị, có thể diễn tiến bệnh trầm trọng thêm các phản ứng viêm trong mô do thuốc giết chết ấu trùng xảy ra, nên các thuốc chống giun có thể cộng với corticosteroid được đề nghị sử dụng [1] trong một số ca bệnh.
7. Bệnh Toxoplasmosis ảnh hưởng phổi (Pulmonary Toxoplasmosis)
Bệnh Toxoplasmosis là bệnh do ký sinh trùng đơn bào Toxoplasma gondii gây ra, đây là loài ký sinh trùng đơn bào nhiễm phổ biến ở mèo [70]. Con người bị nhiễm là do ăn phải các sản phẩm từ sữa, rau và thịt có chứa bào nang chưa được nấu chín [1]. Các biểu hiện lâm sàng giống như triệu chứng của bệnh cúm, đau cơ hoặc u hạch bạch huyết lớn [1], đây là biểu hiện lâm sàng phổ biến nhất [71]. Bệnh liên quan phổi đã gia tăng qua những báo cáo ở những bệnh nhân HIV/AIDS [1]. Các biểu hiện ảnh hưởng đến phổi có thể là viêm phổi mô kẽ, tổn thương phế nang lan tỏa, hoặc viêm phổi hoại tử [72]. Tuy nhiên, cũng có trường hợp hiếm gặp như tắc nghẽn hoặc viêm phổi thùy đã được báo cáo ở một đàn ông người Tây Ban Nha [71].
Mang thai sớm nhiễm trùng với Toxoplasma gondii có thể gây tử vong cho thai nhi,hoặc viêm hắc võng mạc và hội chứng thần kinh ở trẻ sơ sinh, trong khi bệnh mãn tính có thể gây ra viêm hắc võng mạc, vàng da, co giật và viêm não [1].
Chẩn đoán bệnh Toxoplasmosis dựa vào khâu phát hiện ký sinh trùng đơn bào trong các mô của cơ thể [1]. Kiểm tra đờm đã được sử dụng trong chẩn đoán bệnh Toxoplasmosis xơ cứng lan tỏa hoặc ảnh hưởng đến phổi ở người khác allen 14 tuổi nhận tủy xương với cấy ghép - chống - bệnh vật chủ bằng cách xác định Toxoplasma gondii trong các mẫu đờm [73].
Chẩn đoán huyết thanh không thể phân biệt giữa nhiễm Toxoplasma gondii mãn tính và nhiễm Toxoplasma gondii đang hoạt động do khả năng gia tăng các mức kháng thểmà không có bệnh hoạt động [1]. Xét nghiệm dựa vào real-time PCR ở dịch BAL đã được thực hiện ở những bệnh nhân nhiễm HIV/AIDS [74]. Bệnh Toxoplasmosis có thể được điều trị với phác độ kết hợp pyrimethamine và sulfadiazine [1].
8. Bệnh Babesia ảnh hưởng phổi (Pulmonary Babesiosis)
Bệnh này nguyên nhân do loại ký sinh trùng đơn bào trong máu có hình thái học giống như ký sinh trùng sốt rét, gồmcó loài Babesia divergens và Babesia microti [75]. Người bị nhiễm do ve nhiễm ký sinht trùng rồi đốt người (loài ve Ixodes scapularis), hoặc do truyền máu bị nhiễm ký sinh trùng [76].
Ký sinh trùng có thể tấn công vào các tế bào hồng cầu và có thể bị chẩn đoán nhầm nhiễm Plasmodium spp. [76].Các triệu chứng bệnh gồm sốt, đau đầu, chán ăn, đau cơ, mệt mỏi và vã mồ hôi [77]. Những bệnh nhân babesia thường diễn biến phức tạp do phù phổi lan tỏa hai bên dạng kẽ không liên quan đến tim mạch và hội chứng suy hô hấp cấp ở người lớn [78].
Phương pháp xét nghiệm là xem xét mẫu máu trên lam giọt mỏng nhuộm giêm sa, hoặc phát hiện kháng thể đặc hiệu và phương pháp PCR để chẩn đoán đặc hiệu bệnh Babesia ở phổi [75].
Lựa chọn điều trị là liệu pháp kết hợp clindamycin (600 mg/6 giờ) và quinin (650 mg/8 giờ) hoặc atovaquone (750 mg/12 giờ) và azithromycine (500 - 600 mg vào ngày đầu tiên và 250 - 600 mg vào ngày tiếp theo) trong 7 - 10 ngày [79],[80].
9. Ký sinh trùng giun chỉ liên quan với bạch cầu ai toan thể phổi vùng nhiệt đới (Filarial Parasites Associated with Tropical Pulmonary Eosinophilia)
Hội chứng này là hậu quả từ việc miễn dịch quá nhạy cảm với ký sinh trùng giun chỉ ở người loài Wuchereria bancrofti và Brugia malayi [81]. Tăng bạch cầu ái toan thể phổi vùng nhiệt đới là một trong những nguyên nhân chính và phổ biến nhất ở các vùng lưu hành giun chỉ trên thế giới, đặc biệt là khu vực Đông Nam Á [81],[82]. Các biểu hiện lâm sàng gồm ho, sốt, đau ngực và sụt cân kết hợp với tăng bạch cầu ái toan máu nghiêm trọng [83].
Ít nhất 120 triệu người trên toàn cầu bị nhiễm bệnh giun chỉ bạch huyết do muỗi truyền [89], nhưng chỉ ít hơn 1% nhiễm giun chỉ gây tăng bạch cầu ái toan thể phổi nhiệt đới (TPE) [91], trong khi các nghiên cứu khác đã chứng minh rằng nhiễm giun chỉ là nguyên nhân của TPE [81],[92]. Một phản ứng dương tính ngay lập tức để kiểm tra phản ứng trong da với các kháng nguyên Dirofilaria immitis đã được chứng minh ở những bệnh nhân với TPE [93]. Các ấu trùng Wuchereria bancrofti đã được chứng minh có tác động về mặt giải phẩu lên tạng phổi, gan và các hạch bạch huyết của bệnh nhân với hội chứng TPE [94],[96] nhưng hiếm khi được xác định trong máu [94].
Nồng độ cao IgG và IgE đặc hiệu giun chỉ đã được quan sát thấy trong TPE [97].
Bạch cầu ái kiềm ngoại vi của bệnh nhân với TPE tạo ra một lượng lớn histamin khi chúng bị phá hủy với kháng nguyên Wuchereria bancrofti hoặc Brugia malayi hơn với kháng nguyên Dirofilaria [97]. Điều này chỉ ra rằng TPE có kết quả từ miễn dịch quá nhạy cảm với ký sinh trùng giun chỉ ở người [97]. Hiện tượng kết dính bạch cầu trong huyết thanh của bệnh nhân TPE sử dụng Wuchereria bancrofti cho thấy các kết quả dương tính tối đa so với giun chỉ Dirofilaria immitis và Dirofilaria repens [98].
Chứng minh sự có mặt Wuchereria bancrofti trưởng thành trong các mạch bạch huyết của ống dẫn tinh ở bệnh nhân với TPE được chứng minh bằng siêu âm [99] và sinh thiết của một khối u trong ống dẫn tinh cho thấy sự thoái hóa giun chỉ cái trưởng thành với tử cung chứa đầy ấu trùng [100]. Có một sự giảm đáng kể nồng độ kháng thể IgG và IgE đặc hiệu do giun chỉ tiết ra trong dịch phổi biểu mô [101] và cải thiện khi chụp x-quang [102],[103] sau 6-14 ngày điều trị với diethylcarbamazine citrate (DEC).
Điều trị chuẩn được khuyến cáo bởi Tổ chức Y tế Thế giới là uống thuốc DEC (6 mg/kg/ngày) trong ba tuần [104]. Hơn nữa, lợi ích sử việc sử dụng DEC trong điều trị TPE tập trung sự chú ý vào nguyên nhân do giun chỉ [105, 106].
10. Bệnh Dirofilariasis ảnh hưởng phổi (Pulmonary Dirofilariasis)
Bệnh Dirofilariasis phổi người, bệnh ở người trường thành tuổi trung niên [107], nguyên nhân chính do giun chỉ chưa trưởng thành Dirofilaria immitis[108–112]. Các loài khác Dirofilaria repens và Dirofilaria tenuis được biết là nhiễm ở người. Những sinh vật này còn có tên là bệnh giun tim ở chó thường được lan truyền từ chó nuôi hoặc các động vật ăn thịt (cáo, chó sói, mèo, rái cá, chuột xạ, sói, chó rừng, và sư tử biển) sang người (vật chủ tình cờ) [114] thông qua muỗi nhiễm (Aedes, Culex, or Anopheles) [116] phân bố ở châu Á, châu Úc, Nam Âu và Bắc và Nam Mỹ [114]. Phần lớn các trường hợp thường được tìm thấy ở phổi ngoại vi, đặc biệtcác thùy dưới bên phải [113],[117],[118].
Tổn thương phổi có thể là một khối u hoặc nhiều u nhỏ, thông thường kích thước ít hơn 3 cm[109], như vết trên ngực khi chụp x quang [1],[114]. Bệnh lý, tổn thương phổi được chứng minh là chứng nhồi máu hình cầu nằm ở vị trí trung tâm trên các động mạch tắc nghẽn [113].
Biểu hiện lâm sàng có thể bao gồm sốt, ớn lạnh, đau ngực, ho ra máu và suy nhược [1],[119],[121].
Ít nhất 50% số bệnh nhân không có triệu chứng lâm sàng [1],[113],[122]. Chỉ có 17% số bệnh nhân được nghiên cứu ở Nhật Bản đã được xác định có bạch cầu ái toan tăng [122]. Các xét nghiệm huyết thanh, phân tích tế bào học đờm, xét nghiệm dịch rửa phế quản và sinh thiết bằng kim nhỏ qua thành ngực cho thấy độ đặc hiệu thấp để chẩn đoán chính xác [123].
Đáng tin cậy là chẩn đoán mô bệnh học (sinh thiết, giải phẩu bệnh) có thể đạt được bằng cách sinh thiết tách các mẫu mô thông qua phẫu thuật mổ lồng ngực được trợ giúp bằng hình ảnh và phương pháp PCR.
Về điều trị, có thể cắt bỏ u phổi thường được sử dụng mà không cần điều trị bằng thuốc đặc hiệu [126]. Một số gợi ý đã chỉ ra việc sử dụng thuốc Ivermectine có hoặc không có kèm DEC để điều trị bệnh giun chỉ spp. ở phổi, nhưng những gợi ý này chưa được chấp nhận rộng rãi [127].
11. Bệnh giun lươn ảnh hưởng phổi (Pulmonary Strongyloidiasis)
Theo tổng kết y văn cho thấy rất ít tài liệu đề cập bệnh ký sinh trùng là nguyên nhân gây viêm phổi ở bệnh nhân nhiễm HIV/AIDS [128]. Tuy nhiên, ấu trùng giun lươn Strongyloides stercoralis được tìm thấy phổ biến ở nhiều vùng nhiệt đới và cận nhiệt đới và thỉnh thoảng đã được báo cáo là nguyên nhân gây bệnh viêm phổi [128]. Tỷ lệ nhiễm giun này ở trong mẫu phân thay đổi tỷ lệ khác nhau từ khu vực này đến khu vực khác, lần lượt từ 26 - 48% ở khu vực cận sa mạc Sahara, châu Phi, chẳng hạn tỷ lệ này là 15 - 82% ở Brazil, 1 - 16% ở Ecuador và 4 - 40% ở Mỹ [129]. Mặc dù tỷ lệ nhiễm giun lươn ở Đông Nam Á là cao nhưng không có ca bệnh nào đã được báo cáo bằng tài liệu tiếng Anh [128]. Đã có một số ít ca bệnh báo cáo nhiễm giun lươn ở bệnh nhân giai đoạn AIDS ở các vùng nhiệt đới, mặc dù tỷ lệ mắc cao [128]. Trong một nghiên cứu trước đó ở Brazil, 10% trong số 100 bệnh nhân AIDS bị nhiễm trùng giun S. stercoralis [130], trong khi một nghiên cứu ở Zambia, 6% trong số 63 bệnh nhân nhiễm HIV bị tiêu chảy mãn tính đã bị nhiễm S. stercoralis [131].
Giun cái sống trong màng nhầy của ruột non người, đặc biệt ở mô liên kết của tá tràng và ruột non, trong khi những con giun đực vẫn ở trong lòng ruột và chúng không có khả năng xâm nhập vào màng nhầy. Giun cái đẻ trứng có chứa ấu trùng sẵn sàng nở [1].
Ấu trùng dạng rhabditiform nở ra từ trứng xuyên qua màng nhầy và đến lòng ruột [1]. Những con ấu trùng này sau đó được thải ra ngoài với phân và chúng có thể xâm nhập vào biểu mô ruột hoặc nếp da quanh hậu môn mà không rời khỏi vật chủ bằng cách biến đổi thành ấu trùng dạng filariform ở trong khoang ruột non [1] hay chu trình tự nhiễm (autoinfection). Điều này góp phần vào chu trình tái nhiễm và tồn tại cho đến 20 - 30 năm ở một số người dù họ đã rời khỏi vùng lưu hành bệnh [132].
Ấu trùng dạng rhabditiform được bài tiết ra theo phân có thể trải qua hai chu kỳ khác nhau trong đất: (i) chu kỳ trực tiếp (vật chủ - đất - vật chủ) và (ii) chu kỳ gián tiếp [1]. Ở chu kỳ trực tiếp, ấu trùng rhabditiform trực tiếp biến đổi thành ấu trùng filariform và có thể nhiễm cho người thông qua da [1]. Chu kỳ gián tiếp, ấu trùngrhabditiform trưởng thành phát triển thành giun đực và giun cái sống tự do và sau đó chúng sản xuất ấu trùng rhabditiform thế hệ thứ hai [1].
Những ấu trùng rhabditiform này sau đó phát triển thành ấu trùng filariform và có thể xâm nhập trực tiếp thông qua da, xâm nhập vào các mô, xâm nhập vào các khoang bạch huyết hoặc tĩnh mạch và được di chuyển thông qua các mạch máu đến tim và phổi [1]. Những ấu trùng filariform này xuyên qua các mao mạch phổi, xâm nhập vào phế nang, di chuyển đến phế quản, khí quản, thanh quan và nắp thanh quản. Sau đó, chúng được nuốt trở lại vào ruột [1].
Ở trong tá tràng và ruột non, những ấu trùng dạng filariform phát triển thành các dạng giới tính khác nhau để tiếp tục chu kỳ [1]. Tiếp theo phần lây nhiễm, miễn dịch qua trung gian tế bào ngăn chặn chu trình tái nhiễm bằng cách “giam giữ” ấu trùng giun trưởng thành đến ruột và ngăn chặn sự xâm nhập các mô ở những người có miễn dịch đầy đủ nhưng tình trạng tái nhiễm tăng quá mức ở những người suy giảm miễn dịch và góp phần vào tái nhiễm [1].
Trong thời gian ấu trùng dạng filariform di chuyển qua phổi, viêm phế quản phổi, phế nang xuất huyết có thể xảy ra [1].
Các bệnh lý phổi bị tổn thương với tăng bạch cầu ái toan và được liên kết với mức tăng cao IgE huyết thanh và chỉ số bạch cầu ái toan [1]. Những phát hiện bệnh lý phổi có thể trầm trọng do nhiễm trùng cơ hội [1]. Hầu hết bệnh nhân tăng nhiễm đều biểu hiện ho, sốt, khó thở và thường thâm nhiễm phổi lan tỏa. Việc chẩn đoán chính xác là xác định nhiễm giun sán ở mẫu bệnh phẩm hô hấp hoặc phân [133]. Các báo cáo trước đây đã chứng minh rằng có ít nhất hai trường hợp tăng nhiễm giun lươn (Strongyloides hyperinfection) đã xảy ra đồng thời với bệnh lý viêm phế nang - phổi [134],[135].
Một đánh giá tổng quan trước đây cho thấy rằng bệnh nhân chỉ sống sót sau khi đã được điều trị bằng thiabendazole liều 25 mg/kg x 2 lần/ một ngày trong 5 ngày với ba liệu trình điều trị cách nhau 10 ngày tiếp theo liệu trình điều trị thiabendazole hàng tháng, trong khi thời gian điều trị giun lươn ở bệnh nhân nhiễm HIV là chưa thống nhất. Nói chung, hầu hết bệnh nhân đã tử vong trực tiếp hoặc gián tiếp do tăng nhiễm giun lươn [135]. Do vậy, chúng ta nên rất thận trọng để điều trị bất kỳ bệnh nhân bị nhiễm Strongyloides stercoralis phát hiện trong phân bất chấp có biểu hiện có lâm sàng của nhiễm giun lươn đáng kể ở bệnh nhân HIV/AIDS hay không vì tính tăng nhiễm của nó vô cùng quan trọng [135].
12. Bệnh giun đũa người ảnh hưởng phổi (Pulmonary Ascariasis)
Nhiễm giun đũa Ascaris lumbricoides là bệnh ký sinh trùng đường ruột phổ biến nhất [136] trên thế giới. Cả trứng thụ tinh và chưa thụ tinh được thải ra ngoài thông qua phân và được thải vào trong đất theo phân [137]. Nhiễm bệnh xảy ra thông qua đất ô nhiễm qua tay dính trứng hoặc thực phẩm nhiễm trứng giun đũa và sau đó nuốt vào đường tiêu hóa [137]. Trứng nở thành ấu trùng trong ruột non, đây được gọi là giai đoạn đầu tiên, sau đó chúng lột xác thành ấu trùng giai đoạn hai ở trong khoang ruột non. Các ấu trùng giai đoạn hai xâm nhập vào thành ruột và di chuyển thông qua mạch bạch huyết và các mao mạch đến tuần hoàn gan, rồi vào tim phải và sau đó đến phổi [137].
Ấu trùng giai đoạn hai lột xác hơn hai lần trong túi phổi để tạo thành ấu tùng giai đoạn hai và ba. Ấu trùng giai đoạn 4 được hình thành 14 ngày sau khi di chuyển lên phía trên đường hô hấp, đến khí quản và sau đó được nuốt trở lại vào ruột non [137]. Ấu trùng giai đoạn 4 mất khoảng 10 ngày để di chuyển từ phổi đến ruột non [137]. Chúng mất 10 - 25 ngày để đẻ trứng kể từ lúc bắt đầu tiêu hóa hay nuốt phải [137].
Ấu trùng di chuyển có thể hình thành u hạt phổi và u hạt trong mô với các đại thực bào, bạch cầu trung tính và bạch cầu ái toan [138]. Quá trình này có thể tạo ra sự mẫn cảm mạnh ở phổi và dẫn đến viêm quanh phế quản, tăng sản, xuất tiết chất nhầy phế quản và cuối cùng co thắt phế quản [138].
Ascaris lumbricoides có thể sản xuất cả IgE đa giá và IgE đặc hiệu [138]. Tăng mức độ kháng thể IgG4 ở bệnh nhân nhiễm giun đũa cũng đã được báo cáo trên y văn [139]. Triệu trứng liên quan đến phổi có thể thay đổi từ ho nhẹ đến biểu hiện lâm sàng là hội chứng Loffler đều là hình thái viêm phổi từ nhẹ và có thể kèm theo chứng tăng bạch cầu ái toan trong máu, đặc biệt là bệnh giun đũa ở tuổi thiếu niên. Hội chứng này có thể xảy ra như là hậu quả của việc tiếp xúc với nhiều loại thuốc khác nhau. Biểu hiện lâm sàng có thể khác nhau từ dấu suy nhược, sốt, chán ăn, đau cơ và đau đầu [3],[140] đến các triệu chứng tiêu hóa, hô hấp gồm ho có đờm, đau ngực, ho ra máu, khó thở và khò khè [141].
Về điều trị, thuốc mebendazole (100 mg x 2 lần mỗi ngày trong thời gian 3 ngày hoặc liều duy nhất 500 mg) và albendazole (liều duy nhất 400 mg) đã được nghiên cứu có hiệu quả như nhau trong điều trị bệnh giun đũa [1]. Pyrantel pamoate (liều duy nhất 11 mg/kg, liều tối đa 1 g) và piperazine citrate (50 - 75 mg/kg/ngày x 2 ngày) có hiệu quả như ivermectin [1].
Tài liệu tham khảo
1.V. K. Vijayan, “Tropical parasitic lung diseases,”The Indian Journal of Chest Diseases and Allied Sciences, vol. 50, no. 1, pp. 49–66, 2008.
2.S. L. Berk and A. Verghese, “Parasitic pneumonia,”Seminars in Respiratory Infections, vol. 3, no. 2, pp. 172–178, 1988.
3.W. Loffler, “Zur differential-diagnose der lungeninfiltrieurgen: 11 Uber fluchtige succedan-infiltrate (mit eosinophile),”Beitr Klin Erforsch Tuberk Lungenkr, vol. 79, pp. 368–392, 1992.
4.V. K. Vijayan, “How to diagnose and manage common parasitic pneumonias,”Current Opinion in Pulmonary Medicine, vol. 13, no. 3, pp. 218–224, 2007.
5.A. M. Dondorp, V. Desakorn, W. Pongtavornpinyo, et al., “Estimation of the total parasite biomass in acute falciparum malaria from plasma PfHRP2,”PLoS Medicine, vol. 2, no. 8, Article ID e204, 2005.
6.Medicines for Malaria Venture, “The lifecycle of the malaria parasite,”http://www.mmv.org.
7.United States Centers for Disease Control and Prevention, http://www.cdc.gov/malaria/about/disease.
8.A. H. Fairlamb, “Future prospects for the chemotherapy of human trypanosomiasis. 1. Novel approaches to the chemotherapy of trypanosomiasis,”Transactions of the Royal Society of Tropical Medicine and Hygiene, vol. 84, no. 5, pp. 613–617, 1990.
9.G. P. Maguire, T. Handojo, M. C. F. Pain et al., “Lung injury in uncomplicated and severe falciparum malaria: a longitudinal study in Papua, Indonesia,”Journal of Infectious Diseases, vol. 192, no. 11, pp. 1966–1974, 2005.
10.M. D. Jamil, G. Kar, S. K. Biswas, and P. Kaushik, “Clinical manifestations of falciparum malaria in relation to parasitemia level in Southern Assam,”Journal of the Medical Association of India, vol. 57, 4 pages, 2009.
11.S. Mharakurwa, C. Simoloka, P. E. Thuma, C. J. Shiff, and D. J. Sullivan, “PCR detection of Plasmodium falciparum in human urine and saliva samples,”Malaria Journal, vol. 5, article 103, 2006.View at Publisher.
12.M. Sanklecha, N. Mehta, and H. Bagban, “Varied presentation of complicated falciparum malaria in a family,”Indian Pediatrics, vol. 49, no. 5, pp. 413-414, 2012.
13.P. H. O. Cabral, S. D. Andrade, W. D. Alecrim, M. G. C. Alecrim, and M. V. G. Lacerda, “Malaria and sickle cell anemia: report of complications and clinical management of three patients in a highly endemic area FOR Plasmodium vivax malaria in the Brazilian Amazon,”Case Reports and Clinical Practice Review, vol. 7, pp. 220–223, 2006.
14.J. D. Maguire, M. E. Fenton, A. I. Susanti, and J. B. Walker, “Plasmodium vivax-associated acute respiratory distress syndrome after extended travel in Afghanistan,”Travel Medicine and Infectious Disease, vol. 5, no. 5, pp. 301–305, 2007.View at Publisher.
15.S. Sarkar, K. Saha, and C. S. Das, “Three cases of ARDS: an emerging complication of Plasmodium vivax malaria,”Lung India, vol. 27, no. 3, pp. 154–157, 2010.
16.P. Charoenpan, S. Indraprasit, S. Kiatboonsri, O. Suvachittanont, and S. Tanomsup, “Pulmonary edema in severe falciparum malaria. Hemodynamic study and clinicophysiologic correlation,”Chest, vol. 97, no. 5, pp. 1190–1197, 1990.
17.E. Pongponratn, M. Riganti, B. Punpoowong, and M. Aikawa, “Microvascular sequestration of parasitized erythrocytes in human falciparum malaria: a pathological study,”The American Journal of Tropical Medicine and Hygiene, vol. 44, no. 2, pp. 168–175, 1991.
18.N. Lacerda-Queiroz, M. A. Rachid, M. M. Teixeira, and A. L. Teixeira, “The role of platelet-activating factor receptor (PAFR) in lung pathology during experimental malaria,”International Journal for Parasitology, vol. 43, no. 1, pp. 11–15, 2013.
19.B. Autino, Y. Corbett, F. Castelli, and D. Taramelli, “Pathogenesis of malaria in tissues and blood,”Mediterranean Journal of Hematology and Infectious Diseases, vol. 4, no. 1, Article ID e2012061, 2012.
20.A. Djimdé, O. K. Doumbo, J. F. Cortese et al., “A molecular marker for chloroquine-resistant falciparum malaria,”The New England Journal of Medicine, vol. 344, no. 4, pp. 257–263, 2001.
21.M. K. Laufer, P. C. Thesing, N. D. Eddington et al., “Return of chloroquine antimalarial efficacy in Malawi,”The New England Journal of Medicine, vol. 355, no. 19, pp. 1959–1966, 2006.
22.T. K. Mutabingwa, “Artemisinin-based combination therapies (ACTs): best hope for malaria treatment but inaccessible to the needy!,”Acta Tropica, vol. 95, no. 3, pp. 305–315, 2005.
23.World Health Organization,Guidelines for the Treatment of Malaria, World Health Organization, Geneva, Switzerland, 2006.
24.World Health Organization,Management of Severe Malaria: A Practical Handbook, WHO, 3rd edition, 2012,http://www.who.int/malaria.
25.K. M. Kiang, P. A. Bryant, D. Shingadia, S. Ladhani, A. C. Steer, and B. David, “The treatment of imported malaria in children: an update,”Archives of Disease in Childhood: Education and Practice Edition, vol. 98, no. 1, pp. 7–15, 2013.
26.B. M. Greenwood, K. Bojang, C. J. M. Whitty, and G. A. T. Targett, “Malaria,”The Lancet, vol. 365, no. 9469, pp. 1487–1498, 2005.
27.United States Centers for Disease Control and Prevention, “Amebiasis—biology,”http://www.cdc.gov/parasites/amebiasis/biology.html.
28.J. P. Ackers and D. Mirelman, “Progress in research on Entamoeba histolytica pathogenesis,”Current Opinion in Microbiology, vol. 9, no. 4, pp. 367-373, 2006.
29.S. M. Shamsuzzaman and Y. Hashiguchi, “Thoracic amebiasis,”Clinics in Chest Medicine, vol. 23, no. 2, pp. 479-492, 2002.
30.S. N. Moonah, N. M. Jiang, and W. A. Petri Jr., “Host immune response to intestinal amebiasis,”PLoS Pathogens, vol. 9, no. 8, Article ID e1003489, 2013.View at Publisher.
31.Hamzah, S. Petmitr, M. Mungthin, S. Leelayoova, and P. Chavalitshewinkoon-Petmitr, “Differential detection of Entamoeba histolytica, Entamoeba dispar, and Entamoeba moshkovskii by a single-round PCR assay,”Journal of Clinical Microbiology, vol. 44, no. 9, pp. 3196–3200, 2006.
32.R. Haque and W. A. Petri Jr., “Diagnosis of amebiasis in Bangladesh,”Archives of Medical Research, vol. 37, no. 2, pp. 273–276, 2006.
33.M. Tanyuksel and W. A. Petri Jr., “Laboratory diagnosis of amebiasis,”Clinical Microbiology Reviews, vol. 16, no. 4, pp. 713–729, 2003.
34.I. Garcia-Rubio, C. Martinez-Cocera, S. Santos Magadan, B. Rodriguez-Jimenez, and S. asquez-cortes, “Hypersensitivity reactions to metronidazole,”Allergologica et Immunopathologica, vol. 34, no. 2, pp. 70–72, 2006.
35.N. León-Sicairos, M. Reyes-López, C. Ordaz-Pichardo, and M. de la Garza, “Microbicidal action of lactoferrin and lactoferricin and their synergistic effect with metronidazole in Entamoeba histolytica,”Biochemistry and Cell Biology, vol. 84, no. 3, pp. 327–336, 2006.
36.H. Lotter and E. Tannich, “The current status of an amebiasis vaccine,”Archives of Medical Research, vol. 37, no. 2, pp. 292–296, 2006.
37.R. Basu, S. Roy, and P. Walden, “HLA class I-restricted T cell epitopes of the kinetoplastid membrane protein-11 presented by Leishmania donovani-infected human macrophages,”Journal of Infectious Diseases, vol. 195, no. 9, pp. 1373–1380, 2007.
38.T. V. Piscopo and A. C. Mallia, “Leishmaniasis,”Postgraduate Medical Journal, vol. 82, no. 972, pp. 649–657, 2006.
39.R. Russo, F. Laguna, R. López-Vélez et al., “Visceral leishmaniasis in those infected with HIV: clinical aspects and other opportunistic infections,”Annals of Tropical Medicine and Parasitology, vol. 97, supplement 1, pp. S99-S105, 2003.
40.A. A. Benzie, R. D. Goldin, and J. Walsh, “A case report of seronegative pulmonary leishmaniasis in an HIV-hepatitis C co-infected patient,”HIV Medicine, vol. 7, supplement 1, 36 pages, 2006, abstract no. P100.
41.J. Alvar, P. Aparicio, A. Aseffa et al., “The relationship between leishmaniasis and AIDS: the second 10 years,”Clinical Microbiology Reviews, vol. 21, no. 2, pp. 334–359, 2008.
42.V. Barreto-de-Souza, G. J. Pacheco, A. R. Silva et al., “Increased Leishmania replication in HIV-1-infected macrophages is mediated by tat protein through cyclooxygenase-2 expression and prostaglandin E 2 synthesis,”Journal of Infectious Diseases, vol. 194, no. 6, pp. 846–854, 2006.
43.G. F. Cota, M. R. de Sousa, and A. Rabello, “Predictors of visceral leishmaniasis relapse in hiv-infected patients: a systematic review,”PLoS Neglected Tropical Diseases, vol. 5, no. 6, Article ID e1153, 2011.
44.J. R. Santos-Oliveira, C. B. W. Giacoia-Gripp, P. de Oliveira et al., “High levels of T lymphocyte activation in Leishmania-HIV-1 co-infected individuals despite low HIV viral load,”BMC Infectious Diseases, vol. 10, pp. 358–363, 2010.
45.P. Alexandrino-de-Oliveira, J. R. Santos-Oliveira, M. E. C. Dorval et al., “HIV/AIDS-associated visceral leishmaniasis in patients from an endemic area in Central-west Brazil,”Memorias do Instituto Oswaldo Cruz, vol. 105, no. 5, pp. 692–697, 2010.
46.P. Morales, J. J. Torres, M. Salavert, J. Pemán, J. Lacruz, and A. Solé, “Visceral leishmaniasis in lung transplantation,”Transplantation Proceedings, vol. 35, no. 5, pp. 2001–2003, 2003.
47.J. R. Santos-Oliveira and A. M. Da-Cruz, “Lipopolysaccharide-induced cellular activation may participate in the immunopathogenesis of visceral leishmaniasis alone or in HIV coinfection,”International Journal of Microbiology, vol. 2012, Article ID 364534, 4 pages, 2012.
48.S. L. Croft and J. Engel, “Miltefosine—discovery of the antileishmanial activity of phospholipid derivatives,”Transactions of the Royal Society of Tropical Medicine and Hygiene, vol. 100, supplement 1, pp. 54–58, 2006.
49.R. Sachdeva, A. C. Banerjea, N. Malla, and M. L. Dubey, “Immunogenicity and efficacy of single antigen Gp63, polytope and polytopeHSP70 DNA vaccines against visceral leishmaniasis in experimental mouse model,”PLoS onE, vol. 4, no. 12, Article ID e7880, 2009.
50.B. Bouteille and A. Buguet, “The detection and treatment of human African trypanosomiasis,”Research and Reports in Tropical Medicine, vol. 3, pp. 35–45, 2012.
51.M. Ayub, S. A. Shah SA, M. Irfan, J. A. Khan, and S. N. Hashmi, “A case of human African trypanosomiasis during United Nation Mission in Liberia,”Pakistan Armed Forces Medical Journal, vol. 8, no. 1, 2011.
52.V. G. Melnikov, F. F. Velasco, F. E. Gómez, F. G. Rodríguez, and O. R. Dobrovinskaya, “Pathologic changes in lungs caused by Mexican isolates of Trypanosoma cruzi in the acute phase of infection in mice,”The American Journal of Tropical Medicine and Hygiene, vol. 73, no. 2, pp. 301-306, 2005.
53.M. S. Šíma, H. Havelková, L. Quan, et al., “Genetic control of resistance to Trypanosoma brucei infection in mice,”PLoS Neglected Tropical Diseases, vol. 5, no. 6, Article ID e1173, 2011.
54.D. Biswas, A. Choudhury, and K. K. Misra, “Histopathology of Trypanosoma (Trypanozoon) evansi infection in bandicoot rat. I. Visceral organs,”Experimental Parasitology, vol. 99, no. 3, pp. 148–159, 2001.
55.M. D. C. Pereira Nuñes, M. de Melo Barbosa, V. A. Andrade Brum, and M. O. da Costa Rocha, “Morphofunctional characteristics of the right ventricle in Chagas' dilated cardiomyopathy,”International Journal of Cardiology, vol. 94, no. 1, pp. 79–85, 2004.
56.J. Pépin, N. Khonde, F. Maiso et al., “Short-course eflornithine in Gambian trypanosomiasis: a multicentre randomized controlled trial,”Bulletin of the World Health Organization, vol. 78, no. 11, pp. 1284–1295, 2000.
57.F. W. Jennings, “Future prospects for the chemotherapy of human trypanosomiasis. 2. Combination chemotherapy and African trypanosomiasis,”Transactions of the Royal Society of Tropical Medicine and Hygiene, vol. 84, no. 5, pp. 618–621, 1990.
58.C. N. Paiva, D. F. Feijó, F. F. Dutra et al., “Oxidative stress fuels Trypanosoma cruzi infection in mice,”The Journal of Clinical Investigation, vol. 122, no. 7, pp. 2531–2542, 2012.
59.G. J. Feldman and H. W. Parker, “Visceral larva migrans associated with the hypereosinophilic syndrome and the onset of severe asthma,”Annals of Internal Medicine, vol. 116, no. 10, pp. 838–840, 1992.
60.J. Roig, J. Romeu, C. Riera, A. Texido, C. Domingo, and J. Morera, “Acute eosinophilic pneumonia due to toxocariasis with bronchoalveolar lavage findings,”Chest, vol. 102, no. 1, pp. 294–296, 1992.
61.A. K. M. Bartelink, L. M. Kortbeek, H. J. Huidekoper, J. Meulenbelt, and F. van Knapen, “Acute respiratory failure due to toxocara infection,”The Lancet, vol. 342, no. 8881, p. 1234, 1993.
62.J. F. Magnaval, L. T. Glickman, P. Dorchies, and B. Morassin, “Highlights of human toxocariasis,”Korean Journal of Parasitology, vol. 39, no. 1, pp. 1–11, 2001.
63.L. T. Glickman, J.-F. Magnaval, L. M. Domanski et al., “Visceral larva migrans in French adults: a new disease syndrome?”The American Journal of Epidemiology, vol. 125, no. 6, pp. 1019–1034, 1987.
64.D. Nathwani, R. B. S. Laing, and P. F. Currie, “Covert toxocariasis—a cause of recurrent abdominal pain in childhood,”British Journal of Clinical Practice, vol. 46, no. 4, p. 271, 1992.
65.J.-F. Magnaval, R. Fabre, P. Maurieres, J.-P. Charlet, and B. de Larrard, “Evaluation of an immunoenzymatic assay detecting specific anti-Toxocara immunoglobulin E for diagnosis and posttreatment follow-up of human toxocariasis,”Journal of Clinical Microbiology, vol. 30, no. 9, pp. 2269–2274, 1992.
66.J.-F. Magnaval, R. Fabre, P. Maurieres, J.-P. Charlet, and B. de Larrard, “Application of the Western blotting procedure for the immunodiagnosis of human toxocariasis,”Parasitology Research, vol. 77, no. 8, pp. 697–702, 1991.
67.L. N. Rasmussen, M. Dirdal, and N. H. Birkebaek, “‘Covert toxocariasis’ in a child treated with low-dose diethylcarbamazine,”Acta Paediatrica, International Journal of Paediatrics, vol. 82, no. 1, pp. 116–118, 1993.
68.J.-F. Magnaval, “Comparative efficacy of diethylcarbamazine and mebendazole for the treatment of human toxocariasis,”Parasitology, vol. 110, part 5, pp. 529–533, 1995.
69.D. Sturchler, P. Schubarth, M. Gualzata, B. Gottstein, and A. Oettli, “Thiabendazole vs. albendazole in treatment of toxocariasis: a clinical trial,”Annals of Tropical Medicine and Parasitology, vol. 83, no. 5, pp. 473–478, 1989.
70.E. M. Dodds, “Toxoplasmosis,”Current Opinion in Ophthalmology, vol. 17, no. 6, pp. 557–561, 2006.
71.E. Monsó, R. Vidal, X. de Gracia, and A. Moragas, “Pulmonary toxoplasmoma presenting as obstructive pneumonia,”Thorax, vol. 41, no. 6, pp. 489–490, 1986.
72.G. Nash, R. L. Kerschmann, B. Herndier, and J. P. Dubey, “The pathological manifestations of pulmonary toxoplasmosis in the acquired immunodeficiency syndrome,”Human Pathology, vol. 25, no. 7, pp. 652–658, 1994.
73.S. Laibe, S. Ranque, C. Curtillet, F. Faraut, H. Dumon, and J. Franck, “Timely diagnosis of disseminated toxoplasmosis by sputum examination,”Journal of Clinical Microbiology, vol. 44, no. 2, pp. 646–648, 2006.
74.E. Petersen, B. Edvinsson, B. Lundgren, T. Benfield, and B. Evengård, “Diagnosis of pulmonary infection with Toxoplasma gondii in immunocompromised HIV-positive patients by real-time PCR,”European Journal of Clinical Microbiology and Infectious Diseases, vol. 25, no. 6, pp. 401–404, 2006.
75.P. J. Krause, “Babesiosis,”Medical Clinics of North America, vol. 86, no. 2, pp. 361–373, 2002.
76.S. J. Swanson, D. Neitzel, K. D. Reed, and E. A. Belongia, “Coinfections acquired from Ixodes ticks,”Clinical Microbiology Reviews, vol. 19, no. 4, pp. 708–727, 2006.
77.M. R. Boustani, T. J. Lepore, J. A. Gelfand, and D. S. Lazarus, “Acute respiratory failure in patients treated for babesiosis,”The American Journal of Respiratory and Critical Care Medicine, vol. 149, no. 6, pp. 1689–1691, 1994.
78.M. L. Horowitz, F. Coletta, and A. M. Fein, “Delayed onset adult respiratory distress syndrome in babesiosis,”Chest, vol. 106, no. 4, pp. 1299–1301, 1994.
79.P. J. Krause, “Babesiosis diagnosis and treatment,”Vector Borne and Zoonotic Diseases, vol. 3, no. 1, pp. 45–51, 2003.
80.M. Raju, J. C. Salazar, H. Leopold, and P. J. Krause, “Atovaquone and azithromycin treatment for babesiosis in an infant,”Pediatric Infectious Disease Journal, vol. 26, no. 2, pp. 181–183, 2007.
81.V. K. Vijayan, “Tropical pulmonary eosinophilia: pathogenesis, diagnosis and management,”Current Opinion in Pulmonary Medicine, vol. 13, no. 5, pp. 428–433, 2007.
82.E. A. Ottesen, “Immunological aspects of lymphatic filariasis and onchocerciasis in man,”Transactions of the Royal Society of Tropical Medicine and Hygiene, vol. 78, pp. 9–18, 1984.
83.C. Frimodt-Möller and R. M. Barton, “A pseudo-tuberculosis condition associated with eosinophilia,”Indian Medical Gazette, vol. 75, no. 10, pp. 607–613, 1940.
84.R. J. Weingarten, “Tropical eosinophilia,”The Lancet, vol. 241, no. 6230, pp. 103–105, 1943.
85.S. R. Kamat, B. D. Pimparkar, S. D. Store, N. V. Warrier, and Y. C. Fakey, “Study of clinical, radiological and pulmonary function patterns of response to treatment in pulmonary eosinophilia,”The Indian Journal of Chest Diseases, vol. 12, no. 3, pp. 91–100, 1970.
86.S. P. Basu, “X-ray appearance in lung fields in tropical eosinophilia,”Indian Medical Gazette, vol. 89, pp. 212–217, 1954.
87.N. Islam and K. S. Huque, “Radiological features of tropical eosinophilia,”Journal of Tropical Medicine and Hygiene, vol. 68, pp. 117–180, 1965.
88.F. Y. Khoo and T. J. Danaraj, “The roentgenographic appearance of eosinophilic lung (tropical eosinophilia),”The American Journal of Roentgenology, Radium Therapy, and Nuclear Medicine, vol. 83, pp. 251–259, 1960.
89.World Health Organization, Division of Control of Tropical Diseases,Lymphatic Filariasis Infection and Disease: Control Strategies, (TDR/CTD/FIL/Penang), 1994.
90.M. Sandhu, S. Mukhopadhyay, and S. K. Sharma, “Tropical pulmonary eosinophilia: a comparative evaluation of plain chest radiography and computed tomography,”Australasian Radiology, vol. 40, no. 1, pp. 32–37, 1996.
91.S. Johnson, R. Wilkinson, and R. N. Davidson, “Tropical respiratory medicine. 4. Acute tropical infections and the lung,”Thorax, vol. 49, no. 7, pp. 714–718, 1994.
92.E. A. Ottesen and T. B. Nutman, “Tropical pulmonary eosinophilia,”Annual Review of Medicine, vol. 43, pp. 417–424, 1992.
93.T. J. Danaraj and J. F. Schacher, “I/D test with Dirofilaria immitis extract in eosinophilic lung (tropical eosinophilia),”The American Journal of Tropical Medicine and Hygiene, vol. 8, no. 6, pp. 640–643, 1959.
94.J. K. G. Webb, C. K. Job, and E. W. Gault, “Tropical eosinophilia: demonstration of microfilariae in lung, liver and lymph nodes,”The Lancet, vol. 275, no. 7129, pp. 835–842, 1960.
95.V. V. Joshi, F. E. Udwadia, and R. K. Gadgil, “Etiology of tropical eosinophilia. A study of lung biopsies and review of published reports,”The American Journal of Tropical Medicine and Hygiene, vol. 18, no. 2, pp. 231–240, 1969.
96.T. J. Danaraj, G. Pacheco, K. Shanmugaratnam, and P. C. Beaver, “The etiology and pathology of eosinophilic lung (tropical eosinophilia),”The American Journal of Tropical Medicine and Hygiene, vol. 15, no. 2, pp. 183–189, 1966.
97.E. A. Ottesen, F. A. Neva, R. S. Paranjape, S. P. Tripathy, K. V. Thiruvengadam, and M. A. Beaver, “Specific allergic sensitization to filarial antigens in tropical pulmonary eosinophilia,”The Lancet, vol. 314, no. 8153, pp. 1158–1161, 1979.
98.R. Viswanathan, R. C. Bagai, and R. Saran, “Leukocyte adhesion phenomenon in pulmonary eosinophilia (tropical eosinophilia),”The American Review of Respiratory Disease, vol. 107, no. 2, pp. 298–300, 1973.
99.G. Dreyer, J. Noroes, A. Rocha, and D. Addiss, “Detection of living adult Wuchereria bancrofti in a patient with tropical pulmonary eosinophilia,”Brazilian Journal of Medical and Biological Research, vol. 29, no. 8, pp. 1005–1008, 1996.
100.C. S. Perera, L. M. Perera, C. de Silva, W. Abeywickreme, A. S. Dissanaike, and M. M. Ismail, “An eosinophilic granuloma containing an adult female Wuchereria bancrofti in a patient with tropical pulmonary eosinophilia,”Transactions of the Royal Society of Tropical Medicine and Hygiene, vol. 86, no. 5, p. 542, 1992.
101.T. B. Nutman, V. K. Vijayan, P. Pinkston et al., “Tropical pulmonary eosinophilia: analysis of antifilarial antibody localized to the lung,”Journal of Infectious Diseases, vol. 160, no. 6, pp. 1042–1050, 1989.
102.V. K. Vijayan,Tropical eosinophilia: bronchoalveolar lavage and pulmonary pathophysiology in relation to treatment [Ph.D. thesis], University of Madras, Madras, India, 1988.
103.V. K. Vijayan, K. V. Kuppu Rao, K. Sankaran, P. Venkatesan, and R. Prabhakar, “Tropical eosinophilia: clinical and physiological response to diethylcarbamazine,”Respiratory Medicine, vol. 85, no. 1, pp. 17–20, 1991.
104.World Health Organization,Final Report: Joint WPRO/SEARO Working Group on Brugian Filariasis, WHO, Manila, Philippines, 1979.
105.R. D. Ganatra, U. K. Sheth, and R. A. Lewis, “Diethylcarbamazine (hetrazan) in tropical eosinophilia,”The Indian Journal of Medical Research, vol. 46, no. 2, pp. 205–222, 1958.
106.S. J. Baker, K. T. Rajan, and S. Devadatta, “Treatment of tropical eosinophilia: a controlled trial,”The Lancet, vol. 274, no. 7095, pp. 144–147, 1959.
107.F. Ciferri, “Human pulmonary dirofilariasis in the United States: a critical review,”The American Journal of Tropical Medicine and Hygiene, vol. 31, no. 2, pp. 302–308, 1982.
108.R. B. Adkins Jr. and A. H. Dao, “Pulmonary dirofilariasis: a diagnostic challenge,”Southern Medical Journal, vol. 77, no. 3, pp. 372–374, 1984.
109.P. J. Asimacopoulos, A. Katras, and B. Christie, “Pulmonary dirofilariasis; the largest single-hospital experience,”Chest, vol. 102, no. 3, pp. 851–855, 1992.
110.J. C. Darrow and E. E. Lack, “Solitary lung nodule due to dirofilaria immitis (dog “heartworm”),”Journal of Surgical oncology, vol. 16, no. 3, pp. 219–224, 1981.
111.A. J. Larrieu, I. Wiener, L. G. Gomez, and E. H. Williams, “Human pulmonary dirofilariasis presenting as a solitary pulmonary nodule,”Chest, vol. 75, no. 4, pp. 511–512, 1979.
112.W. H. Risher, E. F. Crocker, E. N. Beckman, J. B. Blalock, and J. L. Ochsner, “Pulmonary dirofilariasis. The largest single-institution experience,”Journal of Thoracic and Cardiovascular Surgery, vol. 97, no. 2, pp. 303–308, 1989.
113.A. Biswas, P. Reilly, A. Perez IV, and M. H. Yassin, “Human pulmonary dirofilariasis presenting as a solitary pulmonarynodule: a case report and a brief review of literature,”Respiratory Medicine Case Report, vol. 10, pp. 40–42, 2013.
114.O. Rena, M. Leutner, and C. Casadio, “Human pulmonary dirofilariasis: uncommon cause of pulmonary coin-lesion,”European Journal of Cardio-Thoracic Surgery, vol. 22, no. 1, pp. 157–159, 2002.
115.R. C. Neafie, D. H. Conner, and W. M. Meyers, “Dirofilariasis,” inPathology of Tropical and Extraordinary Diseases, C. H. Binford and D. H. Conner, Eds., pp. 391–396, Armed Forces Institute of Pathology, Washinton, DC, USA, 1976.
116.F. Ciferri, “Human pulmonary dirofilariasis in the West,”Western Journal of Medicine, vol. 134, no. 2, pp. 158–162, 1981.
117.R. Rodrigues-Silva, H. Moura, G. Dreyer, and L. Rey, “Human pulmonary dirofilariasis: a review,”Revista do Instituto de Medicina Tropical de São Paulo, vol. 37, no. 6, pp. 523–530, 1995.
118.E. A. Mulanovich, V. E. Mulanovich, and K. V. I. Rolston, “A case of Dirofilaria pulmonary infection coexisting with lung cancer,”Journal of Infection, vol. 56, no. 4, pp. 241–243, 2008.
119.S. Pampiglione, F. Rivasi, and S. Paolino, “Human pulmonary dirofilariasis,”Histopathology, vol. 29, no. 1, pp. 69–72, 1996.
120.S. Pampiglione, F. Rivasi, G. Angeli et al., “Dirofilariasis due to Dirofilaria repens in Italy, an emergent zoonosis: report of 60 new cases,”Histopathology, vol. 38, no. 4, pp. 344–354, 2001.
121.M. de Campos Jr., C. S. V. Barbas, L. T. B. Filomeno et al., “Human pulmonary dirofilariasis: analysis of 24 cases from Sao Paulo, Brazil,”Chest, vol. 112, no. 3, pp. 729–733, 1997.
122.T. Miyoshi, H. Tsubouchi, A. Iwasaki, T. Shiraishi, K. Nabeshima, and T. Shirakusa, “Human pulmonary dirofilariasis: a case report and review of the recent Japanese literature,”Respirology, vol. 11, no. 3, pp. 343–347, 2006.
123.L. T. Glickman, R. B. Grieve, and P. M. Schantz, “Serologic diagnosis of zoonotic pulmonary dirofilariasis,”The American Journal of Medicine, vol. 80, no. 2, pp. 161–164, 1986.
124.T. Yamashiro, A. Inoue, T. Tamiya, N. Suzuki, T. Moriki, and K. Araki, “The usefulness of immunologic methods for diagnosis and follow-up study of a case of pulmonary dirofilariasis,”Japanese Journal of Thoracic Diseases, vol. 27, no. 6, pp. 747–753, 1989.
125.N. Magono, H. Yosimatu, Y. Suzuki et al., “A case of pulmonary dirofilariasis diagnosed by biopsy, immunological tests and the clinical course without operation,”The Journal of Japanese Respiratory Society, vol. 47, no. 6, pp. 467–470, 2009.
126.A. Echeverri, R. F. Long, W. Check, and C. M. Burnett, “Pulmonary dirofilariasis,”Annals of Thoracic Surgery, vol. 67, no. 1, pp. 201–202, 1999.
127.T. Jelinek, J. Schulte-Hillen, and T. Löscher, “Human dirofilariasis,”International Journal of Dermatology, vol. 35, no. 12, pp. 872–875, 1996.
128.C. L. Daley, “Pulmonary infections in the tropics: impact of HIV infection,”Thorax, vol. 49, no. 4, pp. 370–378, 1994. View at Google Scholar·
129.R. M. Genta, “Global prevalence of strongyloidiasis: critical review with epidemiologic insights into the prevention of disseminated disease,”Reviews of Infectious Diseases, vol. 11, no. 5, pp. 755–767, 1989.
130.V. A. Neto, J. Pasternak, A. A. B. Moreira, M. I. S. Duarte, R. Campos, and L. M. A. Braz, “Strongyloides stercoralis hyperinfection in the acquired immunodeficiency syndrome,”The American Journal of Medicine, vol. 87, no. 5, pp. 602–603, 1989.
131.C. P. Conlon, A. J. Pinching, C. U. Perera, A. Moody, N. P. Luo, and S. B. Lucas, “HIV-related enteropathy in Zambia: a clinical, microbiological, and histological study,”The American Journal of Tropical Medicine and Hygiene, vol. 42, no. 1, pp. 83–88, 1990.
132.E. B. Scowden, W. Schaffner, and W. J. Stone, “Overwhelming strongyloidiasis. An unappreciated opportunistic infection,”Medicine, vol. 57, no. 6, pp. 527–544, 1978.
133.M. M. Gompels, J. Todd, B. S. Peters, J. Main, and A. J. Pinching, “Disseminated strongyloidiasis in AIDS: uncommon but important,”AIDS, vol. 5, no. 3, pp. 329–332, 1991.
134.O. Armignacco, A. Capecchi, P. de Mori, and L. R. Grillo, “Strongyloides stercoralis hyperinfection and the acquired immunodeficiency syndrome,”The American Journal of Medicine, vol. 86, no. 2, p. 258, 1989.
135.S. Maayan, G. P. Wormser, J. Widerhorn, E. R. Sy, Y. H. Kim, and J. A. Ernst, “Strongyloides stercoralis hyperinfection in a patient with the acquired immune deficiency syndrome,”The American Journal of Medicine, vol. 83, no. 5, pp. 945–948, 1987.
136.D. W. T. Crompton, “How much human helminthiasis is there in the world?”Journal of Parasitology, vol. 85, no. 3, pp. 397–403, 1999.
137.W. Peng, X. Zhou, and R. B. Gasser, “Ascaris egg profiles in human faeces: biological and epidemiological implications,”Parasitology, vol. 127, part 3, pp. 283–290, 2003.
138.M. Yaziciolu, Ü. Önş, and I. Yalçin, “Peripheral and nasal eosinophilia and serum total immunoglobulin e levels in children with ascariasis,”Turkish Journal of Pediatrics, vol. 38, no. 4, pp. 477–484, 1996.
139.A. Santra, T. Bhattacharya, A. Chowdhury et al., “Serodiagnosis of ascariasis with specific IgG4 antibody and its use in an epidemiological study,”Transactions of the Royal Society of Tropical Medicine and Hygiene, vol. 95, no. 3, pp. 289–292, 2001.
140.R. M. Ford, “Transient pulmonary eosinophilia and asthma: a review of 20 cases occurring in 5, 702 asthma sufferers,”The American Review of Respiratory Diseases, vol. 93, no. 5, pp. 797–803, 1996.
141.L. X. Liu and P. F. Weller, “Strongyloidiasis and other intestinal nematode infections,”Infectious Disease Clinics of North America, vol. 7, no. 3, pp. 655–682, 1993.
142.L. A. Citro, M. E. Gordon, and W. T. Miller, “Eosinophilic lung disease (or how to slice P.I.E.),”The American Journal of Roentgenology, Radium Therapy and Nuclear Medicine, vol. 117, no. 4, pp. 787–797, 1973.
143.K. E. Hoagland and G. A. Schad, “Necator americanus and Ancylostoma duodenale: life history parameters and epidemiological implications of two sympatric hookworms of humans,”Experimental Parasitology, vol. 44, no. 1, pp. 36–49, 1978.
144.P. Hotez, “Human hookworm infection,” inIntestinal Helminths, M. J. G. Farthing, G. T. Keusch, and D. Wakelin, Eds., pp. 129–150, Chapman and Hall, London, UK, 1995.
145.T. A. Nawalinski and G. A. Schad, “Arrested development in Ancylostoma duodenale: course of a self induced infection in man,”The American Journal of Tropical Medicine and Hygiene, vol. 23, no. 5, pp. 895–898, 1974.
146.M. Cappello, L. P. Clyne, P. McPhedran, and P. J. Hotez, “Ancylostoma factor Xa inhibitor: partial purification and its identification as a major hookworm-derived anticoagulant in vitro,”Journal of Infectious Diseases, vol. 167, no. 6, pp. 1474–1477, 1993.
147.F. Nakamura-Uchiyama, H. Mukae, and Y. Nawa, “Paragonimiasis: a Japanese perspective,”Clinics in Chest Medicine, vol. 23, no. 2, pp. 409–420, 2002. View at Publisher·
148.D. Blair, Z.-B. Xu, and T. Agatsuma, “Paragonimiasis and the genus Paragonimus,”Advances in Parasitology, vol. 42, pp. 113–222, 1999.
149.C. H. King, “Pulmonary flukes,” inLung Biology in Health and Disease: Parasitic Lung Disease, A. A. F. Mahamoud, Ed., pp. 157–169, Marcel Dekker, New York, NY, USA, 1997.
150.T. S. Singh, H. Sugiyama, and A. Rangsiruji, “Paragonimus & paragonimiasis in India,”Indian Journal of Medical Research, vol. 136, no. 2, pp. 192–204, 2012.
151.L. Hasdiraz, F. Oǧuzkaya, and M. Bilgin, “Is lobectomy necessary in the treatment of pulmonary hydatid cysts?”ANZ Journal of Surgery, vol. 76, no. 6, pp. 488-90, 2006.
152.Z. B. Xu, “Studies on clinical manifestations, diagnosis and control of paragonimiasis in China,”Southeast Asian Journal of Tropical Medicine and Public Health, vol. 22, supplement 1, pp. 345–348, 1991.
153.I. P. Oloyede, G. B. Inah, D. E. Bassey, and E. E. Ekanem, “Comparative study of radiological findings in pulmonary tuberculosis and paragonimiasis in children in a Southern Nigeria fishing community,”West African Journal of Radiology, vol. 21, no. 1, pp. 17–20, 2014.
154.H. Mukae, H. Taniguchi, N. Matsumoto et al., “Clinicoradiologic features of pleuropulmonary Paragonimus westermani on Kyusyu Island, Japan,”Chest, vol. 120, no. 2, pp. 514–520, 2001.
155.R. Suwanik and C. Harinasuta, “Pulmonary paragonimiasis: an evaluation of roentgen findings in 38 positive sputum patients in an endemic area in Thailand,”The American Journal of Roentgenology, vol. 81, no. 2, pp. 236–244, 1959.
156.K. Jeon, W. Koh, H. Kim et al., “Clinical features of recently diagnosed pulmonary paragonimiasis in Korea,”Chest, vol. 128, no. 3, pp. 1423–1430, 2005. View at Publisher.
157.T. N. Singh, S. Kananbala, and K. S. Devi, “Pleuropulmonary paragonimiasis mimicking pulmonary tuberculosis- A report of three cases,”Indian Journal of Medical Microbiology, vol. 23, no. 2, pp. 131–134, 2005.
158.J. Gómez-Seco, M. J. Rodríguez-Guzmán, M. J. Rodríguez-Nieto, P. F. Gómez-Escolar, T. Presa-Abos, and J. Fortes-Alen, “Pulmonary paragonimiasis,”Archivos de Bronconeumologia, vol. 47, no. 12, pp. 610–612, 2011.
159.E. Schwartz, J. Rozenman, and M. Perelman, “Pulmonary manifestations of early schistosome infection among nonimmune travelers,”The American Journal of Medicine, vol. 109, no. 9, pp. 718–722, 2000.
160.E. Lee, B. Na, Y. Bae et al., “Identification of immunodominant excretory-secretory cysteine proteases of adult Paragonimus westermani by proteome analysis,”Proteomics, vol. 6, no. 4, pp. 1290–1300, 2006.
161.B. Na, S. Kim, E. Lee et al., “Critical roles for excretory-secretory cysteine proteases during tissue invasion of Paragonimus westermani newly excysted metacercariae,”Cellular Microbiology, vol. 8, no. 6, pp. 1034–1046, 2006.
162.C. Wongkham, P. M. Intapan, W. Maleewong, and M. Miwa, “Evaluation of human IgG subclass antibodies in the serodiagnosis of paragonimiasis heterotremus,”Asian Pacific Journal of Allergy and Immunology, vol. 23, no. 4, pp. 205–211, 2005.
163.J. Song, G. Hong, J. U. Song, et al., “A case of pleural paragonimiasis confused with tuberculous pleurisy,”Tuberculosis and Respiratory Diseases, vol. 76, no. 4, pp. 175–178, 2014.
164.I. D. Vélez, J. E. Ortega, and L. E. Velásquez, “Paragonimiasis: a review from Columbia,”Clinics in Chest Medicine, vol. 23, no. 2, pp. 421–431, 2002.
165.J. Keiser, D. Engels, G. Büscher, and J. Utzinger, “Triclabendazole for the treatment of fascioliasis and paragonimiasis,”Expert Opinion on Investigational Drugs, vol. 14, no. 12, pp. 1513–1526, 2005.
166.E. Schwartz, “Pulmonary schistosomiasis,”Clinics in Chest Medicine, vol. 23, no. 2, pp. 433–443, 2002.
167.F. Walt, “The Katayama syndrome,”South African Medical Journal, vol. 28, no. 5, pp. 89–93, 1954.
168.S. A. Baharoon, H. H. Al-Jahdali, H. S. Bamefleh, A. M. Elkeir, and N. M. Yamani, “Acute pulmonary schistosomiasis,”Journal of Global Infectious Diseases, vol. 3, no. 3, pp. 293–295, 2011.
169.J. F. Doherty, A. H. Moody, and S. G. Wright, “Katayama fever: an acute manifestation of schistosomiasis,”British Medical Journal, vol. 313, no. 7064, pp. 1071–1072, 1996.
170.T. Niemann, H. P. Marti, S. H. Duhnsen, and G. Bongartz, “Pulmonary schistosomiasis-imaging features,”Journal of Radiology Case Reports, vol. 4, no. 9, pp. 37–43, 2010.
171.L. Nguyen, J. Estrella, E. A. Jett, E. L. Grunvald, L. Nicholson, and D. L. Levin, “Acute schistosomiasis in nonimmune travelers: chest CT findings in 10 patients,”The American Journal of Roentgenology, vol. 186, no. 5, pp. 1300–1303, 2006.
172.M. S. Lapa, E. V. Ferreira, C. Jardim, B. D. C. Martins, J. S. Arakaki, and R. Souza, “Clinical characteristics of pulmonary hypertension patients in two reference centers in the city of Sao Paulo,”Revista da Associacao Medica Brasileira, vol. 52, no. 3, pp. 139–143, 2006.
173.W. Morris and C. M. Knauer, “Cardiopulmonary manifestations of schistosomiasis,”Seminars in Respiratory Infections, vol. 12, no. 2, pp. 159–170, 1997.
174.S. I. Sersar, R. A. Albumaaty, H. A. Elnahas et al., “A diagnostic dilemma of right lower lobe collapse caused by pulmonary bilharsiasis,”Heart Lung and Circulation, vol. 15, no. 1, pp. 50–52, 2006.
175.G. Butrous, “Schistosomiasis pulmonary hypertension: the forgotten disease,”Egyptian Journal of Bronchology, vol. 2, no. 1, pp. 143–146, 2008.
176.R. de Amorim Correa, M. V. S. C. Moreira, J. M. da Silva Saraiva, E. V. Mancuzo, L. C. dos Santos Silva, and J. R. Lambertucci, “Treatment of schistosomiasis-associated pulmonary hypertension,”Jornal Brasileiro de Pneumologia, vol. 37, no. 2, pp. 272–276, 2011.
177.United States Centers for Disease Control and Prevention, “Echinococcosis - biology,” http://www.cdc.gov/parasites/echinococcosis/biology.html.
178.B. Gottstein and J. Reichen, “Hydatid lung disease (echinococcosis/hydatidosis),”Clinics in Chest Medicine, vol. 23, no. 2, pp. 397–408, 2002.
179.A. Kuzucu, “Parasitic diseases of the respiratory tract,”Current Opinion in Pulmonary Medicine, vol. 12, no. 3, pp. 212–221, 2006.
180.R. A. Fanne, M. Khamaisi, D. Mevorach et al., “Spontaneous rupture of lung echinococcal cyst causing anaphylactic shock and respiratory distress syndrome,”Thorax, vol. 61, no. 6, p. 550, 2006.
181.D. M. Savani and O. P. Sharma, “Eosinophilic lung disease in the tropics,”Clinics in Chest Medicine, vol. 23, no. 2, pp. 377–396, 2002.
182.A. Ito, Y. Sako, H. Yamasaki et al., “Development of Em18-immunoblot and Em18-ELISA for specific diagnosis of alveolar echinococcosis,”Acta Tropica, vol. 85, no. 2, pp. 173–182, 2003.
183.S. J. Santivañez, P. Arias, M. Portocarrero et al., “Serological diagnosis of lung cystic hydatid disease using the synthetic p176 peptide,”Clinical and Vaccine Immunology, vol. 19, no. 6, pp. 944–947, 2012.
184.M. Gencer and E. Ceylan, “Pulmonary echinococcosis with multiple nodules mimicking metastatic lung tumor in chest radiography,”Respiration, vol. 75, no. 3, p. 345, 2008.
185.T. Asanuma, T. Kawahara, O. Inanami et al., “Magnetic resonance imaging of alveolar echinococcosis experimentally induced in the rat lung,”Journal of Veterinary Medical Science, vol. 68, no. 1, pp. 15–20, 2006.
186.E. Cakir, S. E. Ozaydin, E. Tasci, and R. Baran, “Unusual presentation of hydatid cyst: diagnosis with bronchoscopy,”Journal of Infection in Developing Countries, vol. 4, no. 5, pp. 352–354, 2010.
187.B. Gottstein and J. Reichen, “Hydatid lung disease,” inLung Biology in Health and Disease: tropical Lung Disease, O. P. Sharma, Ed., pp. 327–350, Taylor and Francis Group, New York, NY, USA, 2nd edition, 2006.
188.S. Kavukcu, D. Kilic, A. O. Tokat et al., “Parenchyma-preserving surgery in the management of pulmonary hydatid cysts,”Journal of Investigative Surgery, vol. 19, no. 1, pp. 61 - 68, 2006.
189.S. I. Dincer, A. Demir, A. Sayar, M. Z. Gunluoglu, H. V. Kara, and A. Gurses, “Surgical treatment of pulmonary hydatid disease: a comparison of children and adults,”Journal of Pediatric Surgery, vol. 41, no. 7, pp. 1230–1236, 2006.
190.E. Pozio, G. la Rosa, K. D. Murrell, and J. R. Lichtenfels, “Taxonomic revision of the genus Trichinella,”Journal of Parasitology, vol. 78, no. 4, pp. 654–659, 1992.
191.D. D. Despommier, “How does Trichinella spiralis make itself at home?”Parasitology Today, vol. 14, no. 8, pp. 318–323, 1998.
192.D. Khemasuwan, C. F. Farver, and A. C. Mehta, “Parasites of the air passages,”Chest, vol. 145, no. 4, pp. 883–895, 2014.
193.F. Bruschi and K. D. Murrell, “New aspects of human trichinellosis: the impact of new Trichinella species,”Postgraduate Medical Journal, vol. 78, no. 915, pp. 15–22, 2002.
194.F. S. Pu, “X-ray manifestations of trichinosis on chest radiograph (analysis of 15 cases),”Chinese Journal of Radiology, vol. 23, no. 1, pp. 21–22, 1989.
195.F. Bruschi and K. Murrell, “Trichinellosis,” inTropical Infectious Diseases: Principles, Pathogens and Practice, Volume II, R. L. Guerrant, D. H. Walker, and P. F. Weller, Eds., pp. 917–925, Churchill Livingstone (Elsevier Science Health Science Division), Philadelphia, Pa, USA, 1999.
196.E. Engvall and I. Ljungstrom, “Detection of human antibodies to Trichinella spiralis by enzyme linked immunosorbent assay, ELISA,”Acta Pathologica, Microbiologica, et Immunologica Scandinavica, vol. 83, no. 3, pp. 231–237, 1975.
197.D. D. Colwell, F. Dantas-Torres, and D. Otranto, “Vector-borne parasitic zoonoses: emerging scenarios and new perspectives,”Veterinary Parasitology, vol. 182, no. 1, pp. 14–21, 2011.
198.L. Polley, “Navigating parasite webs and parasite flow: emerging and re-emerging parasitic zoonoses of wildlife origin,”International Journal for Parasitology, vol. 35, no. 11-12, pp. 1279–1294, 2005.
199.R. Kuchta, J. Brabec, P. Kubáčková, and T. Scholz, “Tapeworm Diphyllobothrium dendriticum (Cestoda) emerging human parasites?”PLoS Neglected Tropical Diseases, vol. 7, no. 12, Article ID e2535.
200.H. Hakimi, S. Kawai, and S. Kawazu, “Molecular epidemiology of the emerging human malaria parasite, ‘Plasmodium knowlesi’,”Tropical Parasitology, vol. 4, no. 1, pp. 20–24, 2014.