Bệnh lý ở gan hay viêm gan do sốt rét (Malarial Hepatopathy or Malarial Hepatitis), đặc biệt vàng da là một biểu hiện lâm sàng thường gặp trong sốt rét ác tính (SRAT), với tỷ lệ khoảng 2.5% số bệnh nhân nhiễm ký sinh trùng sốt rét P. falciparum nhưng viêm gan do sốt rét không phải gặp thường xuyên.
Tóm tắt
Mặc dù rối loạn chức năng gan hiếm khi gặp và bệnh lý não do gan cũng hàu như chưa bao giờ nhìn thấy trong sốt rét, song các trường hợp rối loạn chức năng gan lại ngày càng được báo cáo gia tăng trên các bệnh nhân nhiễm trùng P. falciparum tại các vùng sốt rét lưu hành trên thế giới. Sự thay đổi về phương thức rối loạn chức năng tế bào gan từ bất thường nhẹ về xét nghiệm chức năng gan đến suy tế bào gan. Những bệnh nhân rối loạn chức năng tế bào gan trong sốt rét có xu hướng dễ bị các biến chứng, nhưng có một hâu quả ưu thế nếu các liên quan đến gan được nhận ra sớm và quản lý ca bệnh thích hợp. Điều quan trọng là xem xét tỷ mỉ chức năng gan trên các bệnh nhân bị SRAT, phân biệt với suy gan tối cấp và quản lý bệnh một cách tích cực.
Từ khóa: Suy gan tối cấp, sốt rét, viêm gan do sốt rét, nhiễm trùng P. falciparum
Giới thiệu
Rối loạn chức năng gan trong bệnh SR đã được biết từ nhiều năm qua [1],[2] nhưng bệnh lý não gan không thường gặp. Có một sự gia tăng mạnh về kiến thức về rối loạn chức năng tế bào gan đang xảy ra trong sốt rét; do vậy, ngày càng có nhiều ca được báo cáo tại nhiều nơi trên thế giới. Một nghiên cứu tổng hợp y văn được tiến hành trên Pubmed và tất cả thông tin y văn gần đây và thu thập được để tổng hợp lại về vấn đề này một cách thấu đáo nhất. Theo Tổ chức Y tế thế giới (WHO), ngoài vàng da, các dấu hiệu rối loạn chức năng gan thường hiếm gặp. Trong những năm gần đây, có một sự gia tăng về số báo cáo lưu tâm về sự tồn tại của bệnh lý gan do sốt rét, từ các quốc gia châu Á, đặc biệt từ Ấn Độ [3]. Phần lớn số ca hoặc nhiễm trùng phân lập với P. falciparum [4],[5],[6],[7],[8],[9],[10],[11],[12] hoặc nhiễm trùng phối hợp cả P. falciparum cả P. vivax [13]. Sự thay đổi chức năng gan liên quan có thể từ sự bất thường chức năng gan rất nhẹ đến bệnh lý não gan [13],[14],[15].
Vàng da trong sốt rét
Trên các bệnh nhân bị SRác tính (SRAT), tỷ lệ vàng da được báo cáo chỉ 2,58% [16]. Vàng da có thể do nguyên nhân hoặc là tán máu nghiêm trọng hoặc liên quan đến chức năng gan. Sự suy giảm hoặc vỡ các tế bào gan trong suốt giai đoạn schizogony đầu tiên đã dẫn đến tổn thương tế bào nhưng điều này không làm cho rối loạn chức năng gan đáng kể [17]. Nhiễm trùng nặng của các hồng cầu do P. falciparum và hậu quả của tan máu dẫn đến tăng bilirubine trong huyết thanh. Sự ân cư hay tắc đóng vón của các hồng cầu bị ký sinh trong các mao mạch gây ra đóng cục trong các mao mạch ở những cơ quan quan trọng và dẫn đến thiếu máu và suy hoặc rối loạn chức năng các cơ quan phủ tạng này. Khi các vấn đề xảy ra trong mao mạch gan, thì chức năng gan bị rối loạn là khó tránh khỏi.
Tan máu hay vỡ hồng cầu góp phần đáng kể sự gia tăng bilirubin trong các ca SRAT. Ký sinh trùng sốt rét, đặc biệt là P. falciparum nhiễm vào một lượng lớn tế bào hồng cầu và rồi từ đó chúng bị phá hủy và chôn vùi trong lách, dẫn đến thiếu máu tan máu. Điều này đặc trưng bởi sự tăng hàm lượng bilirubine huyết thanh (chỉ số không kết hợp của bilirubine tăng đáng kể) không kèm theo tăng enzyme trong gan đáng kể. Viêm gan do SR(“Malarial hepatitis") là một thuạt ngữ thường sử dụng để mô tả rối loạn chức năng gan trong các ca SRAT; tuy nhiên, phản ứng viêm thật sự trong nhu mô gan hầu như chưa nhìn thấy [17]. Viêm gan do SR biểu hiện bởi sự tăng bilirubine trong máu cùng với nồng độ men glutamate pyruvate transaminase huyết thanh gấp ba lần trên ngưỡng bình thường [10].
Điều này có sự vắng mặt bằng chứng phơi nhiễm đối với các thuốc gây độc tế bào gan và không có bằng chứng huyết thanh hay lâm sàng của viêm gan virus khiến cho bệnh lý gan do SRnhư một hình thái bênh lý độc đáo. Y văn về các liên quan đến bệnh lý gan do SR cho thấy nhiễm trùng nặng với P. falciparum. Một số báo cáo không liên tục về nhiễm trung phối hợp với P. vivax [13] và viêm gan siêu vi E [18] cùng với P. falciparum, dẫn đến viêm gan sốt rét.
Tỷ lệ vàng da và viêm gan trên các bệnh nhân nhiễm trùng loài P. falciparum biến đổi khác nhau. Trong một nghiên cứu trên 732 bệnh nhân người lớn mắc SRdo P. falciparum, chỉ có 39 ca (5,3%) được chú ý là có vàng da và chỉ có 18 ca (2,45%) có bằng chứng viêm gan do SR [10]. Trong một nghiên cứu khác bởi nhóm tác giả Murthy và cộng sự, trong số 95 bệnh nhân nhập viện do SR do P. falciparum, 62% số ca bị vàng da nhưng chỉ có 21% có bằng chứng viêm gan do SR [8]. Trong một nghiên cứu 121 trường hợp SRtại Poland, khoảng 37% số ca có triệu chứng về rối loạn chức năng nhu mô gan [19]. Trên người trưởng thành, tỷ lệ báo cáo về tăng bilirubine máu trong SRAT thay đổi từ 32-37%. Trong phần lớn số ca thì chủ yếu tăng bilirubine gián tiếp là chính [9],[20]. Viêm gan do SRcũng thường gặp trên trẻ em trong suốt thời gian bệnh nặng và tỷ lệ được báo cáo dao động từ 8% [21] đến 32% [6].
Mặc dù vàng da thường phát hiện trong nhiễm trùng P. falciparum, nhưng người ta vẫn có những báo cáo nhiễm trùng do P. vivax và tỷ lệ có thể từ 0 - 9% [22],[23],[24]. Tuy nhiên, các liên quan đến gan vẫn chưa được mô tả chi tiết. Gần đây, một loài ký sinh trùng sốt rét thứ 5 ở người là P. knowlesi cũng đã gây nên một số biến chứng liên đới đến gan, thậm chí tử vong như đã từng mô tả ở Malaysia và Singapore. Sự thay đổi trong các báo cáo về vàng da và rối loạn chức năng tế bào gan trong SRAT có thể do tình trạng điều kiện địa lý, mức lưu hành sốt rét trong vùng nơi mà có báo cáo trích ra, nhóm tuổi bệnh nhân nghiên cứu, hình thức nhiễm trùng báo cáo và cùng tồn tại của một bệnh lý viêm gan virus đồng hành hoặc nhiễm trùng giun sán đi cùng đang lưu hành trong các vùng địa lý đó [17]. Các trung tâm chăm sóc y tế tuyến cơ sở có thể nhìn thấy hoặc phát hiện ra bệnh nhân có các rối loạn như thế và do vậy các tỷ lệ cao hơn được báo cáo về rối loạn chức năng gan trên bệnh nhân SR nặng và SRAT.
Sinh lý bệnh
Đến nay, lý giải tại sao SR gây ra vàng da, nhóm nghiên cứu Bushra Kafeel và cộng sự (2013) cho biết vàng da trong SRthường ghi nhận với thuật ngữ viêm gan SR(‘malarial hepatitis’) nhưng thuật ngữ này có một số khía cạnh chưa phù hợp. Sự xuất hiện vàng da trong SR như một chỉ điểm về bệnh có biến chứng và nặng. Khi ký sinh trùng SR tấn công vào người sẽ gây sốt, rét run, thiếu máu và vàng da trong một số trường hợp. Sự phá hủy các hồng cầu bởi ký sinh trùng thường dẫn đến vàng da. Có nhiều yếu tố nền có thể dẫn đến vàng da trong sốt rét, liệt kê:
Nguyên nhân trực tiếp
·Viêm gan do sốt rét: thuật ngữ viêm gan do SR (viêm nhu mô gan) đã được sử dụng để mô tả sự xuất hiện vàng da trên một bệnh nhân sốt rét, đặc biệt SRAT thể não. Tình trạng này đặc trưng bởi sự gia tăng hàm lượng bilirubin trong huyết thanh cùng với tăng cao hơn gấp 3 lần so với bình thường của glutamate pyruvate transaminase. Các kết quả của một nghiên cứu tiến hành bởi Murthy và cộng sự cho thấy 20/95 bệnh nhân nhập viện vì SRAT thể não có triệu chứng viêm gan. Theo các tác giả, những bệnh nhân viêm gan do SRthường có xu hướng suy thận nặng hơn và cuối cùng vàng da.
·Tan máu nội mạch của hồng cầu bị ký sinh: tan máu nội mạch quá mức, thậm chí xuất huyết trên các bệnh nhân SR cũng gây ra vàng da. Tan máu cũng có thể làm tăng mức bilirubin trong máu.
Nguyên nhân gián tiếp:
·Đông máu nội mạch rải rác cũng liên quan đến đặc điểm bệnh SRAT. Bệnh lý vi mạch do tan máu có liên quan đến đông máu nội mạch là một nguyên nhân gây vàng da trong SRAT;
·Thiếu một enzyme G6PD là một nguyên nhân chính gây tan máu và vàng da trên các bệnh nhân SR;
·Trong một số trường hợp bệnh nhân dùng thuốc SR để điều trị có thể dẫn đến vàng. Chẳng hạn thuốc mefloquine rất hiệu quả trong điều trị SRAT thể não nhưng tác dụng ngoại ý có thể tác động lên chức năng gan. Các bệnh nhân SR đồng nhiễm với bệnh gan nào khác không nên kê đơn mefloquine.
Các nguyên nhân không liên quan:
·Viêm gan virus cấp cùng tồn tại: các bệnh nhân SR này có xu hướng phát triển thành vàng da khi có sự hiện diện viêm gan virus;
·Sự có mặt đồng thời bệnh lý gan mạn tính.
P. falciparum có thể xâm nhập và tất cả nhóm tuổi hay giai đoạn nào của hồng cầu, đây là điểm đặc biệt của loài ký sinh trùng nguy hiểm này và do vậy, chúng có thể có một dung khối lớn khi phát triển. Chỉ số ký sinh trùng (số hồng cầu bị ký sinh/tổng số hồng cầu) ở các thời điểm có thể lớn hơn 50% trong mỗi nhiễm trùng nặng. Nguy cơ bệnh nghiêm trọng là cao nhất trong số cá nhân không có miễn dịch, trẻ em dưới 5 tuổi và phụ nữ mang thai. Sự làm sạch một số lượng lớn hồng cầu bị ký sinh bởi lách, vỡ các hồng cầu bị ký sinh để ly giải các merozoites có thể dẫn đến thiếu máu nặng và tăng bilirubine máu.
P. falciparum có đặc điểm riêng độc đáo; vì ký sinh trùng trưởng thành trong các hồng cầu chúng gây ra sự hình thành các chỗ lồi hay nốt lồi (knobs) kết dính bề mặt các hồng cầu [25],[26]. Các nốt lồi gắn với các thụ thể trên các tế bào nội mô trong các mao mạch và mạch máu nhỏ. Hiện tượng kết dính tế bào và ẩn cư của các hồng cầu nhiễm trong các mao mạch hay mạch máu nhỏ dẫn đến bệnh lý vi mạch và tắc nghẽn dòng chảy. Các tế bào hồng cầu nhiễm cũng dính với các hồng cầu không nhiễm và hình thành nên các thể hoa hồng (rosettes) đóng vón trong các vi tuần hoàn. Cuối cùng, rồi loạn chức tế bào gan thứ phát xảy ra do thiếu máu/ nhồi máu các thay đổi vi tuần hoàn. Chính hiện tượng nhồi máu và thiếu máu cục bộ này cũng bị quy trách nhiệm dẫn đến các biến chứng nghiêm trọng khác, biểu hiện trên lâm sàng là rối loạn chức năng các cơ quan của bệnh nhân. Sự bít tắc các nhánh tĩnh mạch cửa do các hồng cầu nhiễm [27] nội độc tố do nhiễm trùng hệ thống nghiêm trọng [28], ứ mật trong gan do tắc nghẽn hệ thống lưới nội mô và rối loạn chức năng vi mạch gan [29] cũng có thể góp phần gây thương tổn tế bào gan nhìn thấy trong nhiễm trùng SRnặng.
Gần đây, vai trò của cơ chế tự chết tế bào (apoptosis) và các sang chấn oxy hóa trong tổn thương gan do SRđã được lưu ý trong một nghiên cứu tại Ấn Độ. Sự tự chết của tế bào trong tế bào gan chỉ ra bởi thử nghiệm TUNEL là một phương pháp hay dùng để phát hiện các mảnh DNA kết quả từ quá trình chết tế bào theo chương trình, thử nghiệm dựa trên sự có mặt của nấc DNA mà có thể xác định bởi terminal deoxynucleotidyl transferase hay TdT, một loại enzyme sẽ xúc tác bổ sung dUTPs và một số trường hợp nó cũng có thể là các tế bào đánh dấu chịu sự tổn thương DNA) và sự hoạt hóa Capsase-3 trong nghiên cứu này. Tác giả đã cho thấy một cơ chế điều hòa ngược quan trọng của Bcl-2 và điều hòa hướng lên của trình diện Bax (RT-PCR và kính hiển vi cùng tiêu điểm). Người ta cũng đã đề nghị rằng nhiễm KSTSR trong gan sinh ra một thế hệ các gốc hydroxyl (OH) làm khởi phát các con đường ty thể sinh stress oxy hóa của cơ chế chết tế bào [30].
Cuối cùng, chúng ta có thể kết luận rằng một vật chủ cùng với các yếu tố chịu trách nhiệm cho việc rối loạn chức năng gan trong các ca SRAT. Điều này dường như không do phản ứng viêm trực tiếp của các tế bào gan mà do thất bại trong sự bài tiết mật và bilirubine do dung khối ký sinh trùng cao, nội độc tố, thiếu máu cục bộ, toan chuyển hóa hay phối hợp một số các yếu tố trên với nhau [17]. Các nguyên nhân khác gây vàng da trong SRcó thể cùng song hành như viêm gan virus, đặc bieetjb nhiễm virus viêm gan E [31],[32] hay virus viêm gan A [33]. Các bệnh lý nền của gan sẵn có do viêm gan virus B đã được báo cáo như là một yếu tố trong nhiễm trùng nặng hay SRAT và chính sự song hành hay đồng nhiễm này có thể dẫn đến làm nặng lên sự rối loạn chức năng tế bào gan [17]. Cơ chế đông máu nội mạch rải rác (DIC) cũng có thể góp phần gây rối loạn chức năng tế bào gan nhìn thấy trong các ca SRAT [34]. Mặc dù thiếu men glucose 6 phosphatase (G6PD) có thể là bảo vệ chống lại sự hình thành và phát triển của các ca SRAT [35] trước khi chỏi định thuốc [36] SR trên những bệnh nhân thiếu men G6PD có thể làm tan máu lắng tủa và dẫn đến vàng da trên các bệnh nhân này.
Ngoài ra, các bất thường về chức năng gan trên người đã được báo cáo do chỉ định thuốc mefloquine [37], chloroguanide [38], amodiaquine [39],[40] và thuốc phối hợp pyrimethamine sulfadoxine [41]. Hầu hết các dữ liệu y văn sẵn có về rối loạn chức năng gan do thuốc SR là do chỉ định thuốc điều trị dự phòng quá dài ngày đối với các thuốc này nhưng sự góp phần của chúng vào rối loạn chức năng tế bào gan trong ca bệnh SR hoạt động vẫn chưa thiết lập.
Đặc điểm lâm sàng
Các bệnh nhân này thường khởi đầu cấp tính sốt cấp tính kèm theo vàng da. Vàng da có thể diễn tiến từ nhẹ đến nặng, lệ thuộc vào độ nặng của nhiễm trùng. Một thể nhẹ hơn có biểu hiện sốt, nhức đầu, nôn mửa, ngược lại trên các ca nặng biểu hiện hôn mê, vàng da nghiêm trọng và suy thận đôi khi biểu hiện giống như suy gan tối cấp [10].
Tan máu nặng có thể dẫn đến thiếu máu nghiêm trọng nhưng xuất hiện vàng da, khám lâm sàng có thể nhầm lẫn và đôi lúc cảm nhận sai dấu xanh nhợt. Khám toàn thân có biểu hiện lách lớn có ý nghĩa. Trong một nghiên cứu trên 50 ca SRdo P. falciparum biểu hiện vàng da 70% kèm theo xanh nhợt, 56% có lách lớn, 48% có gan lớn và 24% số ca có hôn mê [5].
Các đặc điểm lâm sàng khác của SRAT do P. falciparum như thiếu máu, tăng ure máu do suy thận, thay đổi ý thức hoặc hôn mê do hạ đường huyết hoặc có các đặc điểm lâm sàng trên hệ thần kinh trung ương trên các bệnh nhân này. Các biểu hiện lâm sàng có thể thay đổi lệ thuộc tùy thuộc vào sự rối loạn chức năng cơ quan phủ tạng khác nhau.
Trên một ca bệnh viêm gan SR do P. vivax (Sung YH và cs., 2010) được đánh giá tại bệnh viện Pohang St. Mary, Hàn Quốc cho thấy SR là một trong những bệnh nhiệt đới quan trọng nhất nhưng lại đang gia tăng đáng kể tại các vùng ôn đới chứ không dừng lại ở vùng nhiệt đới và cận nhiệt đới. SRAT với các rối loạn chức năng phủ tạng thường liên quan đến P. falciparum, hiếm khi gặp do P. vivax. Viêm gan do SR cũng là hiếm thấy trong SR do P. falciparum và lại càng hiếm hơn khi P. vivax. Chỉ có 3 ca viêm gan SR gây ra bởi P. vivax đã được báo cáo trên thế giới. Vì sự hiện diện của viêm gan trong SR chỉ ra một bệnh lý nặng hơn và có biến chứng cao hơn và tiên lượng xấu hơn, các bệnh nhân SR nên được giám sát cẩn trọng đối với ca bệnh rối loạn chức năng gan kèm theo hay không kèm vàng da. Ca bệnh ở đây là viêm gan do P. vivax biểu hiện sốt, đau toàn thân, buồn nôn, suy nhược và tăng men gan cùng với bilirubine.
Bệnh lý não gan trong sốt rét ác tính (SRAT)
Theo Tổ chức Y tế thế giới (WHO, 2010), các dấu hiệu lâm sàng của suy gan như chứng run tay là hầu như chưa bao giờ gặp phải trừ phi có một viêm gan do virus đồng thời [3]. Bệnh lý não do gan vius thường bắt đầu với sự thay đổi trong bệnh cảnh rối loạn giấc ngủ. Thể nhẹ hơn có thể biểu hiện lâm sàng như thay đổi hành vi hoặc có thể phát hiện được thông qua kiểm tra tâm thần kinh.
Các vấn đề sụt giảm nghiêm trọng vùng não đối với cảm giác khi kích thích không thường gặp trên SRAT, song có thể có sự tham gia đa yếu tố. SRAT thể não, hạ đường huyết, giảm oxy và/ hoặc tăng ure máu do liên quan đến thận cũng có thể góp phần làm thay đổi tình trạng tâm thần kinh hay bệnh lý não trong nhiễm trùng P. falciparum nghiêm trọng. Do đó, bằng chứng thật này nên luôn luôn đặt ra trong đầu khi quản lý các bệnh nhân bị SRAT.
Mặc dù bệnh lý não gan được xem là một trong những biến chứng hiếm gặp khi sốt rét, song trong một nghiên cứu trên 86 bệnh nhân người lớn có SR bị vàng da (bilirubin huyết thanh > 3 mg%), hạ đường huyết và rối loạn giấc ngủ và cơ mê sảng là các đặc điểm ban đầu xuất hiện. Bằng chứng rõ ràng bệnh lý não gan nhìn thấy chỉ trên 15 bệnh nhân.
Nồng độ ammonia máu động mạch tăng trong tất cả bệnh nhân (khoảng 120-427 mEq/l) nhưng chứng run tay chỉ quan sát chỉ có trên 9 bệnh nhân mà thôi. Tuy nhiên, các khám nghiệm tâm thần kinh đều bình thường trên 12 bệnh nhân và tình trạng tâm thần kinh thay đổi trên 13 bệnh nhân[7].
Điện não đồ (EEG) trên các bệnh nhân này có thể biểu hiện sóng delta, sóng ba phase và đôi khi có dạng sóng giả bị chặn đột ngột[10]. Trong một nghiên cứu, các sóng ba phase được xem là đặc tính của bệnh lý não gan được phát hiện trên 3 trong số 15 bệnh nhân viêm gan do sốt rét [7]. Vì các thử nghiệm trên điện não đồ không phải là đặc hiệu và được nhìn thấy trên chỉ một số lượng nhỏ bệnh nhân, nên có thể không được khuyên để thực hiện điều tra trên tất cả bệnh nhân nghi ngờ có bệnh lý gan do SR.
Các thông số cận lâm sàng
Nồng độ bilirubin huyết thanh tăng lên và chỉ số kết hợp nổi trội trên các bệnh nhân có bệnh lý gan[5]. Các enzymes gan tăng gấp 2-3 lần so với bình thường nhưng có thể tăng nhiều hơn sau đó[4],[5]. Trong một nghiên cứu về 50 lam máu ngoại vi xác định nhiễm P. falciparum với vàng da, 18 bệnh nhân có bilirubin huyết thanh < 3 mg%, 20 bệnh nhân có bilirubine huyết thanh dao động giữa 3-10mg% và chỉ có 12 bệnh nhân có giá trị bilirubin cao hơn >10mg%[5].
Thời gian prothrombin thường trong giới hạn bình thường, ngay cả bệnh nhân có tăng enzyme gan đáng kể [4],[5]. Vì bệnh lý đông máu nghiêm trọng hầu như chưa bao giờ nhìn thấy trên ca bệnh riêng biệt có SRAT, sự xuất hiện của nó nên cảnh báo các thầy thuốc lâm sàng thăm khám cẩn trọng, quan tâm đến nhiễm trùng sẵn có với một loại virus hướng gan hay bệnh lý đông máu nội mạch lan tỏa có liên quan đến sốc nhiễm trùng.
Các bất thường liên quan trong các thông số cận lâm sàng là xuất hiện thiếu máu do sự tan máu đang diễn ra, chức năng thận bất thường do hemoglobin niệu và suy hô hấp cấp do rối loạn chức năng nội mô mao mạch. Vì các bệnh nhân có liên quan đến gan này thường có xu hướng dễ bị các biến chứng này, chức năng thận (ure máu và creatinine huyết thanh), khí máu động mạch (toan chuyển hóa và thiếu khí) và các thông số đông máu (để xem xét vấn đề đông máu nội mạch rải rác) và nên giám sát một cách chặt chẽ trên những bệnh nhân như thế, tốt hơn hết là kiểm tra hàng ngày hoặc theo dõi chặt chẽ mỗi giờ nếu có yêu cầu. Siêu âm có thể phát hiện ra gan lớn có hoặc không kèm theo lách lớn; tuy nhiên, không có điểm đặc hiệu nào trên siêu âm, ngoại trừ giảm âm echogenicity, điều này đề nghị cho một chẩn đoán bệnh lý gan do sốt rét. Gan lớn với cấu trúc nhu mô gan bình thường là hình ảnh hay gặp nhất và lách lớn phì đại có thể phát hiện đến 82% số bệnh nhân [7]. Các phát hiện khác trên siêu âm không đặc hiệu đến 16% số bệnh nhân có vách túi mật dày lên và 20% số ca có thận lớn và có dịch tự do trong khoang phúc mạc [7].
Một nổ lực nên thực hiên để loại trừ bệnh tương tự bệnh lý gan do SR(sốt kèm theo vàng da), hoặc lâm sàng hoặc dựa vào các xét nghiệm huyết thanh học. Danh sách các điều tra để tìm tất cả biến chứng SRAT là rất thấu đáo, song một bộ tối thiểu là mang tính bắt buộc để thực hiện trên các bệnh nhân nghi ngờ có bệnh lý gan do sốt rét.
Mô bệnh học
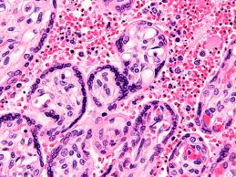
Chỉ điểm chuẩn vàng trong mô bệnh học của bệnh lý gan SR là sự có mặt của tổn thương cấp đến các tế bào gan và sự lắng đọng các chấm SR ("malarial pigment") được biết như "hemozoin". Trong một nghiên cứu 50 bệnh nhân SR do P. falciparum có vàng da, các phân tích mô bệnh học được tiến hành trên 20 bệnh nhân có mức bilirubine 3-10mg%. Nó chỉ ra bằng chứng các tế bào gan sưng phồng lên trong 100% số ca, có sự lắng đọng hạt SRđến 75%, thâm nhiễm viêm là 60%, sung huyết tế bào gan trong 50% số ca và hoại tử trung tâm liên quan đến 25% số ca [5].
Trong một nghiên cứu khác trên 121 ca sốt rét, xét nghiệm mô bệnh học gan cho thấy có sự hoạt hóa các tế bào trong hệ thống tế bào thực bào đơn nhân, đặc biệt các tế bào Kupffer, với sự có mặt của các hạt SR màu nâu đen và lắng đọng sắt [19]. Thử nghiệm mô bệnh học phù hợp nhất là sự tăng sản các tế bào lưới nội mô [42]. Sự lắng đọng hạt trong các tế bào Kupffer, thâm nhiễm khoảng cửa và xoang tĩnh mạch, hóa mỡ và ức mật là một số đặc điểm nổi bật.
Dưới kính hiển vi điện tử các tế bào gan sưng phồng, tăng trương phình các tế bào Kupffer, phình các đại thực bào dạng xoang cùng với sự thay đổi bên trong hệ thống lưới nội mô/ hệ ty thể, mất vi nhung mao và tổn thương đến các màng tiểu quản [43]. Ký sinh trùng được thể hiện trên mô bệnh học ít hơn 50% số bệnh nhân. Hoại tử trung tâm nhìn thấy trên một số ca có thể do SRhoặc đi kèm nhiễm trùng hoặc hạ huyết áp [5].
Chẩn đoán phân biệt với suy gan tối cấp
Trong các vùng lưu hành, SRAT sẽ luôn đặt ra vấn đề chẩn đoán phân biệt với suy gan tối cấp (fulminant hepatic failure_FHF). Điều quan trọng là chẩn đoán phân biệt hai bệnh lý này để tiên lượng trên các bệnh nhân có tổn thương gan nghiêm trọng do nhiễm SR tốt hơn suy gan tối cấp [4]. Điểm gợi ý bệnh nguyên là SR là sốt tồn tại dai dẳng, thiếu máu không tương xứng, thiểu niệu và kích thước gan bình thường hoặc tăng. Các thông số cận lâm sàng cũng có thể giúp chẩn đoán phân biệt SRác tính với FHF. Các enzyme gan có tăng nhẹ và rối loạn chức năng gan nghiêm trọng, trong khi các thông số đông máu vẫn bình thường trong SRAT [4],[10].
Trong một nghiên cứu tại Bangalore, 25 bệnh nhân có biểu hiện FHF so với 25 bệnh nhân bị bệnh lý gan do SRAT tương tự như FHF. Sự khác biệt không có ý nghĩa thống kê trong giai đoạn vàng da, thay đổi ý thức và khoảng cách giữa thời điểm bắt đầu vàng da và ý thức thay đổi. Nhưng gan lớn thường gặp hơn trên các bệnh nhân SRvà thời gian prothrombin bất thường hay gặp trên các bệnh nhân bị FHF. Tại các vùng lưu hành, sự có mặt gan lớn và tỷ lệ prothrombin bình thường trong việc thiết lập FHF nên cân nhắc như một đề nghị của SRvà lấy lam máu hoặc test chẩn đoán nhanh (RDTs) để xác định chẩn đoán là điều quan trọng[4].
Chẩn đoán viêm gan do sốt rét
Việc chẩn đoán viêm gan do sốt rét có thể thiết lập nếu một bệnh nhân hội đủ tiêu chuẩn:
1.Bệnh nhân nhiễm KSTSR loài P. falciparum hoặc P. vivax, hoặc phối hợp;
2.Gia tăng men transaminase ít nhất gấp 3 lần so với trị số bình thường (đặc biệt là ALT) trên hai mẫu bệnh phẩm lấy cách nhau 24 giờ, có hoặc không kèm theo tăng bilirubine trực tiếp/ bilirubine kết hợp;
3.Không có chỉ điểm lâm sàng hoặc huyết thành học chứng minh bệnh nhân bị viêm gan virus;
4.Đáp ứng tốt với thuốc sốt rét hoặc có bằng chứng nhiễm sốt rét lan tỏa trên mô bệnh phẩm giải phẩu bệnh lý
Quản lý ca bệnh
Quản lý viêm gan do SR không khác gì so với quản lý ca bệnh SRAT. Tại các vùng sốt rét lưu hành, điều quan trọng để có một mức độ nghi ngờ cao về SRAT với sự có mặt của ký sinh trùng như một bệnh lý sốt cấp tính kèm theo rối loạn chức năng gan. Các tình trạng khác lưu hành tại các quốc gia nhiệt đới giống như nhiễm virus cấp tính dẫn đến viêm gan, viêm ruột và nhiễm trùng xoắn khuẩn nên đặt ra trong khung chẩn đoán phân biệt. Vì biểu hiện lâm sàng không khác nhau nhiều, nên các thông số cận lâm sàng sẽ giúp xác định bệnh nguyên của viêm gan do SR [4].
Lấy lam máu và xét nghiệm máu ngoại vi thường quy có thể không bao phủ, vì thế nên lấy các lam máu lập lại để thiết lập chẩn đoán. Trong một nghiên cứu xét nghiệm lam máu đầu tiên có thể giải quyết cho chẩn đoán về SRAT trong 95% số ca [44]. Tuy nhiên, trong một nghiên cứu khác trên 150 bệnh nhân bị SRAT, việc lấy ba lam máu liên tiếp đã mang lại kết quả chẩn đoán được đến 92,5% số ca[45]. Tổ chức Y tế khuyến cáo nên lấy ít nhất 6-9 lam máu ngoại vi giọt dày và mỏng để xét nghiệm soi trước khi đưa ra kết luận âm tính đối với nhiễm trùng P. falciparum [46]. Các test chẩn đoán nhanh phát hiện kháng nguyên (Histidine rich protein II) có độ nhạy cao (77-90%) và độ đặc hiệu (82-94%) trong chẩn đoán SR do P. falciparum [47],[48],[49],[50]. Các test này an toàn, rẻ tiền, đáng tin cậy và có thể thực hiện như một công cụ quan trọng. Các kỹ thuật dựa vào phản ứng chuỗi PCR để xác định các loài KSTSR nhằm mục đích điều tra và nên chỉ sử dụng cho công việc nghiên cứu [51],[52].
Vì danh sách chẩn đoán phân biệt quá dài, nên các test thích hợp nên đưa vào áp dụng để loại trừ (như test dựa trên kháng nguyên HRP2 đặc hiệu P. falciparum như test Carestart pLDH/HRP2 Malaria combo test hoặc test SD Bioline Ag P.f/P.v nhằm phân biệt cụ thể P. falciparum hay P. vivax). Các xét nghiệm về chức năng gan và siêu âm gan là rất quan trọng nhưng sinh thiết gan không được chỉ định. Các nguyên nhân vàng da kéo dài không giải thích được nên cố gắng làm một lần sinh thiết gan [10] nếu có thể.
Quinine và artesunate tiêm là thuốc lựa chọn trong quản lý SRAT do P. falciparum, song trong các vùng SR lưu hành, nơi mà kháng thuốc nghi ngờ thì nên dùng liệu pháp thuốc phối hợp có thể tốt hơn thuốc dùng đơn trị liệu[44]. Viêm gan có thể liên đới đến sự cải thiện sốt trên lâm sàng và quá trình làm sạch ký sinh trùng khỏi cơ thể bệnh nhân. Vì các bệnh nhân này dễ có xu hướng gây biến chứng nên một lược đồ theo dõi và giám sát cẩn trọng là cần thiết để xác định các dấu hiệu sớm của phù phổi, suy hô hấp hay nhiễm trùng [8],[9]. Bilirubine huyết thanh bình thường bắt đầu giảm dần vào thời điểm 72 giờ sau khi điều trị, song nó có thể chậm trên các bệnh nhân có đồng thời bị suy thận hay rối loạn loạn chức năng thận[7].
Bệnh lý não gan nếu có nên phân biệt với SRAT thể não và nên quản lý, đưa ra phác đồ điều trị cũng như chăm sóc hỗ trợ phù hợp. Vì các bệnh nhân này thường không tiến triển đến các bất thường đông máu nghiêm trọng, bổ sung các xét nghiệm thường quy các yếu tố đông máu thường không cần thiết. Sự hiện diện các bất thường đông máu nên được cảnh báo cho các thầy thuốc đối với các ca bệnh khi có nhiễm đồng thời viêm gan virus hay tình trạng đông máu nội mạch lan tỏa.
Shah S và cộng sự (2009) thực hiện tại khoa nội, trung tâm y khoa Jinnah, Karachi khi nghiên cứu bệnh lý gan do SR do P. falciparum nhằm đánh giá các thay đổi lâm sàng, cận lâm sàng, sinh hóa và siêu âm trên các bệnh nhân SR do P. falciparum kèm vàng da theo một thiết kế nghiên cứu loạt ca bệnh. Tổng số 62 bệnh nhân người lớn, không nhấn mạnh tuổi và giới, lam máu ngoại vi có xác định P. falciparum, có vàng da. Bất kỳ bệnh nhân nào có bằng chứng nhiễm P. vivax hay các nguyên nhân khác của bệnh gan như viêm gan virus, xơ gan, tăng áp tĩnh mạch cửa, abces gan do đơn bào amip, gan lớn không rõ nguyên nhân, bụng báng, tiền sử nghiện rượu, dùng thuốc gây độc cho gan, tiền sử vàng da,…. Kết quả cho thấy tất cả bệnh nhân đều sốt và vàng da, xanh xao là 67,7%, gan lớn trong 30,6%, lách lớn 70,9% và rối loạn ý thức 20%. Nồng độ bilirubin huyết thanh dao động từ 3-24 mg%. có 32 ca (51,6%) có bilirubine 3 - 6 mg%, 20 ca (32,2%) có mức độ 6 - 10 mg% và 10 ca (16,1%) có >10 mg%. Nồng độ men gan lần lượt ALT dao động từ 20 - 870 IU/L và AST là 24 - 1210 IU/L. chỉ số INR dao động 1-1.3. Tổng số 28 bệnh nhân (45%) có tăng bilirubine kết hợp gián tiếp và trực tiếp hoặc tăng loại trực tiếp, tăng men transaminases gấp 3 lần so với bình thường. Siêu âm gan cho thấy gan lớn có giảm echo trên 22 ca (35,4%), lách lớn trên 48 ca (77,4%) và cả gan lớn và lách lớn trong 16 ca (25,8%). Thành túi mật dày trong 5 ca (8,06%). Không có bằng chứng dãn đường mật. Một tỷ lệ bệnh nhân SRdo P. falciparum có ý nghĩa kèm vàng da làm hội đủ bệnh lý gan do sốt rét. Nó nên được lưu ý trên các bệnh nhân có sốt cấp kèm vàng dang để đưa ra phác đồ điều trị thích hợp.
Một nghiên cứu khác về bệnh lý gan SRvà các tác động của nó tại Ấn Độ do tác giả Rama Prakasha Saya và cộng sự (2012), thực hiện tại khoa nội viện y học K.S. Hegde, Mangalore, Karnataka, Ấn Độ. Kết quả cho thấy vàng da trong SR do P. falciparum là vấn đề đa nhân tố và tỷ lệ khác nhau giữa các vùng địa lý và lưu hành khác nhau. Điều quan trọng là đánh giá tỷ lệ hay tần suất và yếu tố liên quan đến bệnh lý gan do SR cũng như các biến chứng của nó để hiểu về mô hình bệnh để thực hiện các biện pháp can thiệp phù hợp. Chỉ có một số nhỏ dữ liệu liên quan đến bệnh lý gan do SR và hậu quả của nó ở quy mô toàn cầu. Nghiên cứu tiến hành để đánh giá mô hình, phổ các thông số cận lâm sàng sinh hóa và biến chứng của bệnh lý gan liên quan đến SR do P. falciparum. Số liệu cho thấy tỷ lệ bệnh nhân có bệnh lý gan SR là 38% và tần suất cao hơn ở nam giới và nhóm tuổi trẻ. Mức độ tăng bilirubine huyết thanh, biến chứng gồm suy thận, sốc, suy hô hấp cấp, hạ đường huyết, và tỷ lệ tử vong có ý nghĩa trong số các bệnh nhân có bệnh lý gan (p < 0.05). Bệnh lý gan do SR có liên quan đến tỷ lệ cao biến chứng như suy thận, sốc, suy hô hấp cấp tính và hạ đường huyết. Các nghiên cứu tương lai đòi hỏi làm sáng tỏ các yếu tố liên quan đến bệnh lý gan do SR và ngăn ngừa biến chứng hạn chế tử vong.
Một nghiên cứu khác về hồ sơ lâm sàng và biến chứng bệnh lý gan do SR(Abul Fazil và cs., 2013). Số liệu cho thấy mẫu 100 bệnh nhân SR từ ba bệnh viện, các bệnh nhân được chi làm hai nhóm: (i) các bệnh nhân (chứng) có men gan trong giới hạn bình thường và (ii) các bệnh nhân có men gan cao gấp 3 lần so với ngưỡng bình thường. Dữ liệu phân tích thống kê theo chường trình SPSS. Tuổi trung bình bệnh nhân là 38.12 tuổi đối với nhóm bệnh và 35.20 tuổi đối với nhóm chứng với giá trị p không có ý nghĩa thống kê (p = 0.289). Nam giới chiếm 82% ưu thế với bệnh lý gan do sốt rét. SR do P. falciparum chiếm 56% số ca ở nhóm bệnh, so với 12% ở nhóm chứng. Vàng da xuất hiện trong 66% số ca bệnh lý gan do SR so với 32% ở nhóm chứng. Trong số 66% ca này, 18.18% có nồng độ bilirubin huyết thanh >3mg%, ngược lại 32% ở nhóm chứng có vàng da và chỉ có 5.55% trong số đó có bilirubin >3 mg% (p = 0.003). Trong số các ca có bệnh lý gan do sốt rét, thì 38% số ca bị hạ đường huyết, so với 0% ở nhóm chứng (p < 0.001); 84% trong số các ca này có giảm tiểu cầu, trong khi chỉ có 70% giảm tiểu cầu ở nhóm chứng (p < 0.001); 12% số ca có suy thận với creatinine huyết thanh > 2mg%, so với chỉ có 2% trong nhóm chứng (p = 0.060). Nhiễm trùng P. falciparum (hoặc đơn thuần hoặc nhiễm phối hợp với P. vivax) là một nguyên nhân dẫn đến bệnh lý gan do sốt rét. Vàng da là một đặc điểm lâm sàng hay gặp trên các bệnh nhân đó. Các bệnh nhân có bệnh lý gan do SR đã có tăng tỷ lệ biến chứng hạ đường huyết và giảm tiểu cầu. Bệnh lý gan do SR xảy ra liên quan đến nhiễm trùng mức độ nặng, hầu hết các ca này được điều trị bằng artesunate lọ.
Shiran Shetty và cộng sự (2010) nghiên cứu cho biết SR là một gánh nặng sức khỏe quan trọng tại nhiều quốc gia vùng nhiệt đới và rối loạn chức năng gan là một vấn đề đa nhân tố và ỷ lệ biểu hiện thay đổi trong nhiều vùng khác nhau. Có rất ít dữ liệu liên đới đến bệnh lý gan do SR và hậu quả của nó ở quy mô toàn cầu. Nghiên cứu nayd tiến hành nhằm đánh giá mô hình lâm sàng, phổ các thông số sinh hóa và biến chứng bệnh lý gan liên quan đến sốt rét. Nghiên cứu hồi cứu này tiến hành tại hai bệnh viện. Tổng số 200 bệnh nhân được chẩn đoán SR qua xét nghiệm lam máu và nhuộm huỳnh quang. Kết quả cho thấy ¾ số bệnh nhân là nam giới. Tuổi bệnh nhân dao động 15 - 86 tuổi (trung bình 37). Khoảng 70% bệnh nhân SR P. vivax, 11% nhiễm P. falciparum và19% nhiễm phối hợp hai loài này. Nồng độ bilirubin dao động từ 0.3 - 32mg% (trung bình 3.04). Khoảng 30% số bệnh nhân có tăng men gan (> 3 lần so với giới hạn trên) kèm theo vàng da, chỉ có 2 ca có tăng men gan cao hơn gấp 10 lần so với bình thường, 4 bệnh nhân suy đa phủ tạng. Điều này cho thấy rối loạn chức năng gan từ tăng men gan nhẹ đến viêm gan cấp. Sự xuất hiện viêm gan trên các bệnh nhân SRAT hay SR nặng có tỷ lệ biến chứng cao hơn, nên các nghiên cứu tiếp theo cần làm sáng tỏ các yếu tố liên quan đến bệnh lý gan do SR và ngăn ngừa các biến chứngvà tử vong.
Das SN và cộng sự (2007) cho biết viêm gan SR như một thành phần trong suy đa phủ tạng và là dấu hiệu tiên lượng kém. Qua một nghiên cứu tiến cứu trên 301 bệnh nhân tại một vùng biển của quận Orissa mắc SRAT do P. falciparum suy đa phủ tạng được đánh giá theo tiêu chuẩn APACHE II cải tiến, trong một giai đoạn hai năm tiến hành tại các bệnh viện đặc biệt nhấn mạnh đến viêm gan. Có 206 nam giới, liên quan đến gan với biểu hiện tăng bilirubin huyết thanh ≥ 6mg% và thời gian prothombin cao hơn 4 lần so với chứng được tìm thấy trên 192 ca (63.8%). Phân tích 192 ca có tăng bilirubine trực tiếp, hoặc phối hợp 2 loại trực tiếp và gián tiếp, hoặc loại bilirubine gián tiếp tìm thấy lần lượt trong số 115 (59.9%), 64 (33.3%) và 13 ca (6.8%). Bilirubine huyết thanh dao động từ 6 - 38mg%. Aminotransferase aspartate (AST, SGOT) và aminotransferase alkaline (ALT, SGPT) tăng lên gần 2 lần trong 98% ca có suy đa phủ tạng với suy gan, giá trị trung bình lần lượt là 78 ± 30.4 IU/l và 81 ± 29.06 IU/l. Chỉ số alkaline phosphatase tăng gấp 3 lần trong 80% số ca với trị số trung bình 315 ± 39.4 IU/l. Thời gian Prothombin kéo dài 7 ± 3 giây. Chỉ số protein và tỷ số albumin/globulin bình thường. Không có sự khác biệt về chỉ số đường huyết so với nhóm chứng. Trong một số ca chọn lọc, nghiên cứu về mô bệnh học gan cho thấy hình ảnh bất thường dạng tăng sản tế bào Kupffer, thâm nhiễm bạch cầu đơn nhân, hoại tử các tế bào gan, ứ mật và nhiễm mỡ. Phần lớn bệnh nhân suy đa phủ tạng tử vong đều có suy gan.
Sự gia tăng men gan trong SR do P. falciparum được tác giả M. Sharma và cộng sự (2013) cho biết qua một nghiên cứu tổng hợp tại các bệnh viện Ấn Độ. Mặc dù diễn tiến của hiện tượng là một khoa học y học, SR vẫn tiếp tục là kẻ giết người chính của nhân loại trên toàn thế giới. SR do P. falciparum là một bệnh do ký sinh trùng quan trọng làm ảnh hưởng đến hơn 1 tỷ người và gây tử vong 1-3 triệu mỗi năm. Nhiễm trùng Plasmodium vẫn còn rất quan trọng và là thách thức cho các thầy thuốc khi có sự quay trở lại của bệnh và biểu hiện bệnh không điển hình. Cơ chế sinh lý bệnh của tổn thương gan trong SR do P. falciparum đã được nhiều nghiên cứu tiến hành từ lâu. Các yếu tố chịu trahcs nhiệm cho vàng da trong SRcó rất nhiều, như tan máu trong lòng mạch của các hồng cầu nhiễm. Tan máu trong vi mạch rối loạn chức năng gan liên quan đến CIVD và nhiễm trùng huyết. Rối loạn chức năng gan dẫn đến từ kết dính tế bào, kết hoa hồng và sự ẩn cư bít tắt của các hồng cầu chứa ký sinh trùng trưởng thành trong các giường mao mạch sâu của SR do P. falciparum. Các ca bệnh này dễ đưa đến suy thận cấp và tiên lượng xấu. Tuy nhiên, một vài số liệu sẵn có về tỷ lệ rối loạn chức năng gan trong SRP. falciparum malaria tại Ấn Độ cũng được báo cáo. Do vậy, nghiên cứu này là đưa ra đánh giá rối loạn chức năng gan thận trong bệnh cảnh SRAT.
Nghiên cứu thực hiện trên 30 bệnh nhân SRAT nhập viện qua xét nghiệm lam máu hoặc test chẩn đoán nhanh nhiễm P. falciparum. Chẩn đoán SRAT dựa trên tiêu chuẩn TCYTTG 2010. Ngoài các xét nghiệm thường quy đếm tiểu cầu, còn làm thêm men G6PD và sản phẩm giáng hóa fibrin trên mỗi bệnh nhân. Chức năng gan và thận được đánh giá vào ngày nhập viện và lặp lại ngày thứ 4 và 7. Sinh thiết gan tiến hành trên 5 bệnh nhân để xem về biến đổi mô bệnh học trong SRdo P. falciparum. Các bệnh nhân có các bệnh lý gan tồn tại trước đó như bệnh gan do rượu, viêm gan hoạt động mạn tính, xơ gan, bệnh nhân có HbsAg (+), đang dùng thuốc có gây độc coh gan, các bệnh nhân có rối loạn chức năng gan thứ phát sau nhiễm trùng như nhiễm trùng bạch cầu đơn nhân, viêm ruột và Leptospirose bị loại ra. Kết quả cho thấy tuổi trung bình bệnh nhân là 35.4 ± 12.8 tuổi, trong đó 26 ca nam giới và 4 ca là nữ. sự thay đổi ý thức tìm thất trên 19 ca, thiểu niệu là 9, và có hemoglobine niệu là 2. Vàng da có mặt trong số 19 bệnh nhân. Lách lớn trên 8 ca, gan lớn trên 17 ca và xanh xao trên 28 trường hợp (hàm lượng haemoglobine trung bình 6.89 ± 2.327mg%). Hạ đường huyết tìm thấy trên 6 ca và toan chuyển hóa trên 10 bệnh nhân, với rối loạn điện giải là 26 ca. Chỉ số prothrombin bị thày đổi trên 13 ca và < 75% trên 13 ca vào lúc nhập viện, 7 ca vào ngày thứ 4 và 2 ca vào ngày thứ 7. Nồng độ bilirubin huyết thanh tăng trên 19 ca (trung bình7.5 ± 9.5m%). Vàng da là dấu hiệu có viêm gan trên 4 trường hợp, tan máu 7 trường hợp và phối hợp vàng da do gan và tan máu là 8 bệnh nhân. Tất cả bệnh nhân vàng da đều có tăng transaminases và chỉ số này cao hơn > 200 IU trên 11 ca bệnh. Trị số trung bình AST và ALT lần lượt là 168.1 ± 11.9 và 173.73 ± 158 IU. Nồng độ ure máu tăng trên 24 ca và độ thanh thải creatinine giảm trong 22 ca. Độ thanh thải creatinine là 54.8 ± 35.47 ml/phút vào ngày nhập viện và lần lượt vào ngày thứ 4 và thứ 7 là 56.8 ± 35.05 và 64.2 ± 36.7 ml/phút. Một tình trạng giảm độ thanh thải creatinine nội sinh (< 90 ml/phút) tìm thấy trên 22 ca (73.3%) vào ngày đầu, trên 20 ca vào ngày thứ 4 và 17 ca vào ngày thứ 7. Tổng số 8 ca có suy thận cấp trên tổng số 16 ca có vàng da. Mật độ KSTSR trong máu tăng có liên quan chặt chẽ với nồng độ bilirubin (r = + 0.225) cũng như urea máu (r = + 0.495). Chỉ số protein niệu thoáng qua (trung bình 0.56 ± 0.7g/ngày) trên 15 ca. Sinh thiết gan có bằng chứng tăng tinh tế bào lưới nội mô và hạt hemozoin. Tỷ lệ tử vong là 33,3% và các bệnh nhân tử vong có bằng chứng mật độ KSTSR trong máu cao từ 15 - 40%. Thiếu máu nặng tìm thấy trên 5 bệnh nhân. Tất cả bệnh nhân hôn mê từ độ I đến IV. Có 4 ca giảm tiểu cầu, 1 ca giảm natri máu nghiêm trọng và 4 ca giảm natri nhẹ. Bằng chứng hạ kali máu trên 4 ca và 1 ca tăng kali máu.
Viêm gan do SR có phải là một hội chứng không đồng nhất? là câu hỏi đặt ra bởi tác giả Anand AC và cộng sự (2012) qua một nghiên cứu cho biết tỷ lệ viêm gan do SR nhiễm P. falciparum bao nhiêu và có phải lài một hội chứng không đồng nhất chăng? nghiên cứu tiến cuaur về bệnh sử các bệnh nhân nhiễm P. falciparum và vàng da nhập bệnh viện quân đội tại phía bắc Ấn Độ từ 1988-1991. Nguyên nhân do thuốc hoặc do virus cũng bị loại trừ khỏi tiền sử, các xét nghiệm huyết thanh học và mô học về gan tiến hành đồng thời. Trong số 732 bệnh nhân P. falciparum nhập viện, có 39 ca vàng da nhưng chỉ có 18 ca viêm gan sốt rét qua đánh giá có tăng glutamate pyruvate transaminase huyết thanh cao hơn gấp 3 lần và không hề có nguyên nhân viêm gan do nguyên nhân khác. Gan trên các bệnh nhân này đều lớn, tuổi trung bình các bệnh nhân là 27,6 và 85% số ca là nam giới. Nồng độ trung bình bilirubin là 12.7 ± 10.3 mg/dl, glutamate oxaloacetate transaminase là 212.8 ± 144.9 IU, glutamate pyruvate transaminase là 287.1 ± 206.2 IU và alkaline phosphatase là 20.4 ± 10.1 KA. Về mặt lâm sàng, có thể nhìn thấy hai nhóm bệnh nhân, 13 bệnh nhân SRAT với hôn mê, vàng da nặng và suy thận. 5 bệnh nhân khác có biểu hiện bệnh lý nhẹ hơn chỉ có sốt, nhức đầu, buồn nôn trong 2 ngày. 4 ca có bệnh nặng đã tử vong. Sinh thiết gan trên 5 bệnh nhân cho thấy tăng sản tế bào Kupffer và lắng đọng hạt SR. Viêm gan do SR có mặt trong 18 trên 39 ca biểu hiện vàng da và do P. falciparum. Đó là một hội chứng không đồng nhất với ít nhất hai tập hợp con lâm sàng và bệnh nặng không nên nhầm lẫn với suy gan tối cấp vì bệnh lý này đáp ứng điều trị tốt hơn.
Hậu quả của bệnh lý gan do sốt rét
Sự xuất hiện viêm gan trên các bệnh nhân SR do P. falciparum chỉ ra một bệnh lý nghiêm trọng hơn với tỷ lệ biến chứng cao hơn và tiên lượng xấu hơn. Trong một nghiên cứu trên 95 bệnh nhân nhập viện vì SRdo P. falciparum, 20 ca có bằng chứng viêm gan sốt rét. Biểu hiện lâm sàng trên các bệnh nhân này không khác mấy so với bệnh nhân không viêm gan. Tuy nhiên, tần suất biến chứng lại cao hơn có ý nghĩa như suy thận (60% so với 25%), hội chứng suy hô hấp cấp người lớn (35% so với 3%) và nhiễm trùng huyết (20% so với 6%). Tỷ lệ tử vong quá cao hơn trên các bệnh nhân viêm gan SR(40% so với 17%) [8]. Trong một nghiên cứu khác tại Thái Lan, 390 bệnh nhân bị SRcấp tính do P. falciparum, 124 bệnh nhân biểu hiện vàng da và có nhiều biến chứng hơn về thể SRAT thể não, suy thận cấp, phù phổi và sốc tuần hoàn [9].
Rối loạn chức năng gan có thể phục hồi được trên tất cả bệnh nhân có bệnh lý gan SRđang phát triển sau khi chỉ định thuốc điều trị SRthích hợp và không có hiệu ứng tồn lưu thuốc đã được ghi nhận trên những ca bệnh nhân sống sót [53],[10].
Kết luận
Sự bất thường hoặc rối loạn chức năng gan thường gặp như một biến chứng của SRAT; tuy nhiên, về mặt mô bệnh học thì chưa bao giờ nhìn thấy phản ứng viêm gan nghiêm trọng. Thuật ngữ viêm gan SR ("malarial hepatitis") có thể do dùng sai thuật ngữ và bệnh lý gan do SR("malarial hepatopathy") có thể đưa vào thay thế thuật ngữ này phù hợp hơn để mô tả cho những kiến thức hiện tại của chúng ta về các ca SRAT có rối loạn chức năng gan [17]. Nhiễm trùng P. falciparum là một bệnh nguyên hay gặp nhất. Sự biểu hiện tăng các men gan cùng với các thông số đông máu gần như bình thường trong SR nên được xem là bệnh lý gan do SR đúng hơn là viêm gan do sốt rét. Rối loạn chức năng gan nghiêm trọng trong SR thường có liên quan đến tồn tại đồng thời viêm gan virus hoặc bệnh lý nền hay bệnh gan mạn tính sẵn có. Các bệnh nhân có bệnh lý gan do SR thường có xu hướng mắc biến chứng hơn; do vậy nên sớm được nhận ra. Vì các bệnh nhân có bệnh lý gan do SR có kết quả tốt hơn các nguyên nhân gây suy gan khác gây ra, điều này cần có sự điều trị tích cực hơn.
Abstract
Jaundice is a common clinical presentation in severe malaria, seen in approximately 2.5% patients with falciparuminfection but hepatitis is unusual. Although hepatic dysfunction is unusual and hepatic encephalopathy is almostnever seen in malaria, yet, cases of hepatic dysfunction are being increasingly reported in patients with P. falciparum infection, from different parts of world. The extent of hepatocellular dysfunction varies from mildabnormalities in liver function tests to hepatic failure. Patients with hepatocellular dysfunction in malaria aremore prone to develop complications, but have a favorable outcome if hepatic involvement is recognized earlyand managed properly. It is important to meticulously look for hepatic dysfunction in patients with severe malaria, distinguish it from fulminant hepatic failure and manage it aggressively.
Key words: Fulminant hepatic failure, malaria, malarial hepatitis, P. falciparum infection
Tài liệu tham khảo
1.McMohan AE Jr, Kelsy JE, Deranf DE. Hepatitis of malarial origin: Clinical and pathologic study of fifty-four Korean veterans. AMA Arch Int Med 1954;93:379-86.
2.Wali PN, Tandon HD. Malarial Hepatitis. J Indian Med Assoc 1955;13:507:11.
3.WHO (2000), Severe falciparum malaria. Trans R Soc Med Hyg 2000;94:S1-90.
4.Devarbhavi H, Alvares JF, Kumar KS. Severe falciparum malaria simulating fulminant hepatic failure. Mayo Clin Proc 2005;80:355-8.
5.Kochar DK, Singh P, Agarwal P, Kochar SK, Pokharna R, Sareen PK. Malarial hepatitis. J Assoc Physics India 2003;51:1069-72.
6.Satpathy SK, Mohanty N, Nanda P, Samal G. Severe falciparum malaria. Indian J Pediatr 2004;71:133-5.
7.Shah S, Ali L, Sattar RA, Aziz T, Ansari T, Ara J (2009), Malarial hepatopathy in falciparum malaria, J Coll Physicians Surg Pak. 2009 Jun;19(6):367-70.
8.Kochar DK, Agarwal P, Kochar SK, Jain R, Rawat N, Pokharna RK, et al . Hepatocyte dysfunction and hepatic encephalopathy in Plasmodium falciparum malaria. QJM 2003;96:505-12.
9.Murthy GL, Sahay RK, Sreenivas DV, Sundaram C, Shantaram V. Hepatitis in falciparum malaria. Trop Gastroenterol 1998;19:152-4.
10.Wilairatana P, Looareesuwan S, Charoenlarp P. Liver profile changes and complications in jaundiced patients with falciparum malaria. Trop Med Parasitol 1994;45:298-302.
11.Anand AC, Ramji C, Narula AS, Singh W. Malarial hepatitis: A heterogeneous syndrome? Natl Med J India 1992;5:59-62.
12.Arya TV, Prasad RN. Malarial hepatitis. J Assoc Physics India 1988;36:294-5.
13.Anand AC, Ramji C, Narula AS, Singh W. Malarial hepatitis: A heterogeneous syndrome? Natl Med J India 1992;5:59-62.
14.Arya TV, Prasad RN. Malarial hepatitis. J Assoc Physics India 1988;36:294-5.
15.Deugnier Y, Brissot P, Hita de Nercy Y, Hespel JP, Kombila-Faury M, Bourel M. Malarial hepatitis. Apropos of a case. Sem Hop 1977;53:2559-62.
16.Joshi YK, Tandon BN, Acharya SK, Babu S, Tandon M. Acute hepatic failure due to Plasmodium falciparum liver injury. Liver 1986;6:357-60.
17.Ayyub M, Barlas S, Lubbad E. Usefulness of exchange transfusion in acute liver failure due to severe falciparum malaria. Am J Gastroenterol 2000;95:802-4.
18.Ahsan T, Rab SM, Shekhani MS. Falciparum malaria or fulminant hepatic failure? J Pak Med Assoc 1993;43:206-8.
19.Mehta SR, Naidu G, Chandar V, Singh IP, Johri S, Ahuja RC. Falciparum malaria: Present day problems: An experience with 425 cases. J Assoc Physics India 1989;37:264-7.
20.Anand AC, Puri P. Jaundice in Malaria. J Gastroenterol Hepatol 2005;20:1322-32.
21.Bansal R, Kadhiravan T, Aggarwal P, Handa R, Biswas A, Wali JP. Plasmodium vivax and hepatitis E co-infection-A rare cause of malarial jaundice. Indian J Gastroenterol 2002;21:207-8.
22.Goljan J, Nahorski W, Felczak-Korzybska I, Gorski J, Myjak P. Liver injury in the course of malaria. Int Marit Health 2000;51:30-9.
23.Harris VK, Richard VS, Mathai E, Sitaram U, Kumar KV, Cherian AM, et al . A study of clinical profile of falciparum malaria in a tertiary care hospital in south India. Indian J Malariol 2001;38:19-24.
24.Bag S, Samal GC, Deep N, Patra UC, Nayak M, Mehar LK. Complicated falciparum malaria. Indian Pediatr 1994;31:821-5.
25.Hazra BR, Chowdhury RS, Saha SK, Ghosh MB, Mazumdar AK. Changing Scenario of malaria: A study at Calcutta. Indian J Malariol 1998;35:111-6.
26.Echeverri M, Tobon A, Alvarez G, Carmona J, Blair S. Clinical and laboratory findings of Plasmodium vivax malaria in Colombia. Rev Inst Med Trop Sao Paulo 2003;45:29-34.
27.Seth AK, Nijhawan VS, Bhandari MK, Dhaka RS. Malarial hepatitis: Incidence and liver morphology. Indian J Gastroenterol 1997;16:A107.
28.Newbold C, Craig A, Kyes S, Rowe A, Fernadez RD, Fagan T. Cytoadherance, pathogenesis and the infected red cell surface in Plasmodium falciparum . Int J Parasitol 1999;29:927-37.
29.Oh SS, Chishti AH, Palek J, Liu SC. Erythrocyte alterations in Plasmodium falciparum malaria sequestration. Curr Opin Hematol 1997;4:148-54.
30.Molyneux ME, Looareesuwan S, Menzies IS, Grainger SL, Phillips RE, Wattanagoon Y, et al . Reduced hepatic flowand intestinal malabsorption in severe falciparum malaria. Am J Trop Med Hyg 1989;40:470-6.
31.Aung-Kyaw-Zaw, Khin-Maung-U, Myo-Thwe. Endotoxaemia in comoplicated falciparium malaria. Trans R Soc Trop Med Hyg 1988;82:513-4.
32.White NJ. Malaria and babesiosis. In : Gorodon C. Manson's Tropical diseases, 20th ed. WB Saunders: London; 1990. p. 1087-164.
33.Guha M, Kumar S, Dubey V, Maity P, Bandopadhayay U. Apoptosis in liver during malaria: Role of oxidative stress and implication of mitochondrial pathway. FASEB J 2006;20:1224-6.
34.Ghoshal UC, Somani S, Chetri K, Akhtar P, Aggarwal R, Naik SR. Plasmodium falciparum and hepatitis E virus co-infection in fulminant hepatic failure. Indian J Gastroenterol 2001;20:111.
35.Bansal R, Kadhiravan T, Aggarwal P, Handa R, Biswas A, Wali JP. Plasmodium vivax and hepatitis E co-infection: A rare cause of malaria jaundice. Indian J Gastroenterol 2002;21:207-8.
36.Katou K, Nakamura C, Amano F, Tanaka Y, Ueda Y. Hepatitis A and Salmonella enteritis complicated with malaria. Kansenshogaku Zasshi 1982;56:872-6.
37.Severe and complicated malaria. World Health Organization Malaria Action Programme. Trans R Soc Trop Med Hyg 1986;80:3-50.
38.Mockenhaput FP, Mandelkow J, Till H, Ehrhardt S, Eggelet TA, Bienzle U. Reduced prevalence of Plasmodium falciparum infection and of concomitant anaemia in pregnant women with heterozygous G6PD deficiency. Trop Med Int Health 2003;8:118-24.
39.Rama Prakasha Saya, Goswami Debabrata, Ganesh Kumar Saya (2012), Malarial Hepatopathy and Its outcome in India, North American journal of medical sciences, October 2012, Vol.4, Issue 10.
40.Sarkar S, Prakash D, Marwaha RK, Garewal G, Kumar L, Singhi S, et al . Acute intravascular haemolysis in glucose-6-phosphate dehydrogenase deficiency. Ann Trop Paediatr 1993;13:391-4.
41.Gotsman I, Azaz-Livshits T, Fridlender Z, Muszkat M, Ben-Chetrit E. Mefloquine-induced acute hepatitis. Pharmocotherapy 2000;20:1517-9.
42.Oostweegel LM, Beijnen JH, Mulder JW. Hepatitis during chloroguanide prophylaxis. Ann Pharmacother 1988;32:1023-5.
43.Raymond JM, Dumas F, Baldit C, Couzigou P, Beraud C, Amouretti M. Fatal acute hepatitis due to amodiaquine. J Clin Gastroenterol 1989;11:602-3.
44.Bernuau J, Larrey D, Campillo B, Degott C, Verdier F, Rueff B, et al . Amodiaquine induced fulminant hepatitis. J Hepatol 1988;6:109-12.
45.Meier P, Schmid M, Staubi M. Acute hepatitis following administration of fansidar. Schweiz Med Wochenschr 1990;120:221-5.
46.Chawla LS, Sidhu G, Sabharwal BD, Bhatia KL, Sood A. Jaundice in Plasmodium falciparum . J Assoc Physics India 1989;37:390-1.
47.De Brito T, Barone AA, Faria RM. Human liver biopsy in P. falciparum and P. vivax : A light and electron microscopy study. Virchows Arch A Pathol Pathol Anat 1969;348:220-9.
48.Bhalla A, Madhavan KT, Jajoo UN (2000), Repeated peripheral smear examination for diagnosis of severe and complicated malaria. Indin J Clin Pract 2000;11:45-6.
49.Kilian AH, Mughusu EB, Kabagambe G, von Sonnenburg F. Comparison of two rapid, HRP2-based diagnostic tests for Plasmodium falciparum. Trans R Soc Trop Med Hyg 1997;91:666-7.
50.Kodisinghe HM, Perera KL, Premawansa S, Naotunne T, Wickramasinghe AR, Mendis KN. The ParaSight-F dipstick test as a routine diagnostic tool for malaria in Sri Lanka. Trans R Soc Trop Med Hyg 1997;91:398-402.
51.Premji Z, Minjas JN, Shiff CJ. Laboratory diagnosis of malaria by village health workers using the rapid manual ParaSight-F test. Trans R Soc Trop Med Hyg 1994;88:418.
52.Tjitra E, Suprianto S, Dyer M, Currie BJ, Anstey NM. Field evaluation of the ICT malaria P.f/P.v immunochromatographic test for detection of Plasmodium falciparum and Plasmodium vivax in patients with a presumptive clinical diagnosis of malaria in eastern Indonesia. J Clin Microbiol 1999;37:2412-7.
53.Kawamoto F, Miyake H, Kaneko O, Kimura M, Nguyen TD, Nguyen TD, et al., (1996), Sequence variation in the 18S rRNA gene, a target for PCR-based malaria diagnosis, in Plasmodium ovale from southern Vietnam. J Clin Microbiol 1996;34:2287-9.
54.Mahendra M. Joshi, Prashant Gowardhan (2013), Retrospective analysis of malaria and its complications in a tertiary care centre in Central India, Asian Journal of Biomedical and Pharmaceutical Sciences; 3(20) 2013, 41-43. Justin M Cohen, David L Smith, Chris Cotter, Abigail Ward, Gavin Yamey et al., (2012), Malaria resurgence: a systematic review and assessment of its causes, Malaria Journal 2012, 11:122.
55.Sung YH, Park JM et al., (2010), A case of malarial hepatitis by Plasmodium vivax, Korean J Gastroenterol. 2010 Nov; 56(5):329-33.
56.Das SN, Mohapatra B, Mohanty R, Dash PC, Kar K, Dash PK (2007), Malarial hepatitis as a component of multiorgan failure: A bad prognostic sign, J Indian Med Assoc. 2007 May;105(5):247-50.
57.Snounou G. Detection and identification of the four malaria parasite species infecting humans by PCR amplification. Methods Mol Biol 1996;50:263-91.
58.Ghoda MK et al., (2002), Falciparum malaria hepatopathy: A reversible and transient involvement of liver in falciparum malaria, Trop Gastroenterol 2002;23:70-1.
59.Abul Fazil, Pradeep V. Vernekar, Disha Geriani, Sadip Pant et al., (2013),Clinical profile and complication of malaria hepatopathy, Journal of Infection and Public Health, Vol.6, Issue 5, 2013, pp.383-388.
60.Singh R, Kaur M, Arora D, et al., (2010), A prospective study of hepatic involvement in Plasmodium falciparum malaria, Journal of clinical and diagnostic research, 2010;(4):2190-7
61.Shiran Shetty, Peter George, Neranjani Devendran, Nikhil Bondade et al., (2013), Malarial hepatopathy, Journal of clinical and experimental hepatology,Bottom of FormVol. 3, Issue 1, Supp. ppS120-S121.
62.M. Sharma, N. Nand, H. Kumar, Lata Suman (2012),Evaluation of liver functions in falciparum malaria, Journal international medical sciences academy, Oct, 2012 Vol. 25, No. 4.
63.Rakesh Kumar, Dhrubajyoti Sharma, Arun K. Baranwal and Meenu Singh (2011), Plasmodium vivax malaria and Hepatitis A: A rare coinfection, Journal of paediatric infectious diseases 6 (2011) 55–57 55.
64.Zuckerman JN, et al. Rapid protection against hepatitis A and B following accelerated schedule of a combined hepatitis A/B vaccine (abstract). Antiviral Ther. 2000;5(suppl 1):8.
65.Kallinowski B, et al. Can monovalent hepatitis A and B vaccines be replaced by a combined hepatitis A/B vaccine during the primary immunization course? Vaccine. 2000;19:16-22.
66.Centers for Disease Control and Prevention. CDC Surveillance Summaries, December 7, 2001. MMWR Morb Mortal Wkly Rep. 2001;50(No.SS-5).
67.Dos Santos CC, et al. Survey of use of malaria prevention measures by Canadians visiting India. CMAJ. 1999;160:195-200.
68.M. Sharma, N. Nand, H. Kumar, Lata Suman (2013), Evaluation of liver functions in falciparum malaria,Journal of Clinical and Experimental hepatology, Vol. 3, Issue 1, Supplement, S120-S121.
69.Lell B, et al. Randomized placebo-controlled study of atovaquone plus proguanil for malaria prophylaxis in children. Lancet. 1998;351:709-713.
70.Shanks GD, et al. Efficacy and safety of atovaquone/proguanil as suppressive prophylaxis for Plasmodium falciparum malaria. Clin Infect Dis. 1998;27:494-499.
71.Sukwa TY, et al. A randomized, double blind, placebo-controlled field trial to determine the efficacy and safety of Malarone (atovaquone/proguanil) for the prophylaxis of malaria in Zambia. Am J Trop Med Hygiene. 1999;60:521-525.
72.Hogh B, et al. Atovaquone-proguanil versus chloroquine-proguanil for malaria prophylaxis in nonimmune travelers: A randomized, double blind study. Lancet. 2000;356:1888-1894.
73.Overbosch D, et al. Atovaquone-proguanil versus mefloquine for malaria prophylaxis in nonimmune travelers: Results from a randomized double blind study. Clin Infect Dis. 2001;3:1015-1021.