1. Bệnh Coenurosis
Bệnh Coenurosis hay bệnh sán nhiều đầu là một nhiễm ký sinh trùng giai đoạn ấu trùng của loài Taenia multiceps, một loại sán dây thường ký sinh và gây bệnh cho chó, người nhiễm do nuốt phải trứng sán dây. Nang lớn hơn ấu trùng (đường kính 4 - 5 cm) và có nhiềuđầu sán nằm trong bao. Bệnh lý ở thần kinh trung ương sau nhiễm trùng Taenia multiceps là rất hiếm xảy ra và đặc điểm lâm sàng biểu hiện khi có dấu hiệu tăng áp lực nội sọ. Không phải tất cả đều có tăng bạch cầu ái toan trong dịch não tủy (19, 130). Một số loài được đề cập liên quan đến bệnh lý này là các loài sán dây Taenia multiceps, T. serialis, T. brauni, hay T. glomerata.
Điều quan trọng để phân biệt rằng có một sự khác biệt rất có ý nghĩa giữa nhiễm trùng sán dây đường tiêu hóa ở người và bệnh coenurosis ở người. Người là vật chủ chính đối với các loài sán dây, phổ biến nhất trong số đó là sán dây bò và sán dây lợn T. saginata và T. solium. Các loài này có thể phát triển đày đủ đến khi trưởng thành, có khả năng sinh sản trong cơ thể con người. Người khi bị nhiễm các loài này là được xem như một nhiễm trùng sán dây.
Ngược lại, có 4 loài gây bệnh sán nhiều đầu chỉ có thể phát triển thành thể trưởng thành, sinh sản bên trong vật chủ chính thuộc giống chó như các con chó, chó sói, cáo và các động vật ăn thịt ở miền Tây Bắc Mỹ, loại nhỏ hơn chó sói. Người nhiễm phải do nuốt trứng của 1 trong 4 loài này của sán dây Taenia spp. trở thành vật chủ trung gian hay nơi mà trứng có thể trưởng thành ấu trùng, nhưng không phát triển thành con trưởng thành.
Khi người nhiễm trứng, trứng phát triển thành ấu trùng sán dây mà nhóm đó được biết là nang của sán nhiều đầu có thể nhìn thấy trong hệ thần kinh trung ương, cơ và mô dưới da của bệnh nhân. Người bị bệnh không phát triển thành bệnh sán dây vì ấu trùng của các ký sinh trùng gây bệnh coenurosis không thể phát triển thành sán trưởng thành bên trong cơ thể người.
Lịch sử phát hiện bệnh
Vì bệnh này hiếm khi xảy ra trên cơ thể người, nên nó mất một thời gian dài mới hình thành bệnh trong quàn thể và sự khác biệt giữa các loài trong số 4 loại đôi khi rất khó. Nhiều ca bệnh coenurosis có thể tồn tại trong nhiều năm trước khi chúng được nhận ra hay khám phá ra nhưng ca bệnh đầu tiên được chẩn đoán như sau:
-T. multiceps: chẩn đoán lần đầu tiên phát hiện vào năm 1913 tại Paris, Pháp khi một người đàn ông có triệu chứng thoái hóa dây thần kinh trung ương. Bệnh nhân có cơn co giật và rối loại trong lời nói và ngôn ngữ. Trong quá trình sinh thiết, phát hiện hai nang trong não anh ra;
-T. serialis: vào năm 1933, một phụ nữ Pháp mắc bệnh sán nhiều đầu khi có một nang phát hiện dưới da được lấy ra từ phần mô dưới da và sau đó cho chó ăn, sau đó nhiễm trùng sán dây hình thành và phát triển do loài T. serialis;
-T. brauni: bệnh lưu hành chỉ ở châu Phi và ca bệnh đầu tiên báo cáo cũng tại châu Phi được khám phá và phát hiện do Fain và cộng sự năm 1956;
-T. glomerata: cho đến nay vẫn chưa rõ ràng có hay không về loài này ở châu Phi, nhưng người ta nghĩ rằng là có, ca bệnh đầu tiên xảy ra tại Nigeria năm 1919.
Dịch tễ học
Lan truyền bệnh khi vật chủ chính đối với các loài sán dây Taenia là chó. Sán trưởng thành sống trong ruột non của các động vật như chó, cáo và nhóm động vật ở bắc Mỹ, nhỏ hơn chó sói. Các vật chủ trung gian như thỏ, dê, cừu, ngựa, gia súc và đôi khi người nhiễm bệnh do tình cờ nuốt phải trứng sán (trứng sán thụ tinh) đào thải qua phân của một động vật bị nhiễm. Điều này có thể xảy ra từ các thực phẩm ăn vào như nguồn thức ăn, nước uống và đất ô nhiễm bởi phân chó. Bệnh không thể truyền từ một vật chủ trung gian này sang vật chủ trung gian khác, nhưng người ta vẫn chưa có mọt ý kiến nào tốt để ăn thịt có nang sán mắc bệnh sán nhiều đầu.
Liên quan đến các vùng lưu hành, bệnh rất hiếm khi xảy ra ở người và chỉ khoảng 100 ca ghi nhận và báo cáo đến nay. Vấn đề bệnh lý do tác nhân này xảy ra thường xuyên hơn ở cừu và gia súc và có thể là vấn đề đối với các nồng dân tại các vùng bệnh lưu hành trên thế giới. Hầu hết các ca ở người xảy ra tại các quốc gia đang phát triển như khu vực cận sa mạc Sahara, châu Phi và Ấn Độ - nơi mà quần thể chó chưa được quan tâm và điều tị sán cho chó và các vùng thiếu điều kiện vệsinh thích hợp.
Sán T. multiceps đã được báo cáo tại tất cả các vùng trên phạm vi toàn cầu (cả nhiễm trùng trên người và động vật) và hầu hết số ca bệnh do loài T. serialis được phát hiện ở Bắc Mỹ, châu Âu và châu Phi; loài T. brauni và T. glomerata chỉ tìm thấy ở châu Phi. Bệnh lý này vẫn xảy ra tại các quốc gia phát triển, một số ca báo cáo gần đây xảy ra tại Pháp, Ý, Israel, Canada và Mỹ.
Một số chuyên gia nghi ngờ số ca có thể chưa báo cáo đầy đủ, đặc biệt tại các nơi nghèo đói, khu ổ chuột và quốc gia đang phát triển, các số liệu báo cáo vẫn còn khó khăn để thu thập dữ liệu. Do vậy, tỷ lệ mắc bệnh trên phạm vi toàn cầu có thể nhiều hơn các dữ liệu hiện tại đưa ra.
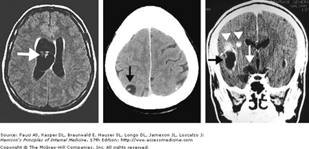
Gần đây (trong 25 năm qua), số ca bệnh ở người được ghi nhận ở Uganda, Kenya, Ghana, Nam Phi, Rwanda, Nigeria, Ý, Israel, Mexico, Canada và Mỹ; trên động vật tìm thấy tại nhiều quốc gia khác nữa. Năm 1983, một cô bé 4 tuổi tại Mỹ nhập viện với các triệu chứng tiến triển yếu cơ toàn thân, không thể đi lại, phát ban, đau bụng và suy giảm hay rối loạn thần kinh. Khi các bác sĩ thực hiện chụp CT scan, họ nhìn thấy dịch đầy các nốt bướu trong não cô bé và bệnh nhi được quyết định phẩu thuật, các nang sán được nhìn thấy và bệnh nhân ngay sau đó được chỉ định liệu pháp hóa trị liệu với thuốc praziquantel. Tiếc thay, do bệnh sán nhiều đầu đã xâm lấn và phá hủy nhu mô não quá nhiều trên hệ thần kinh trung ương và cô bé không thể sống được.
Các ca bệnh gần đây tại Bắc Mỹ xảy ra năm 1994 tại Los Angeles, khi một bệnh nhân năm 39 tuổi có một khối lớn ở sau lưng bênh nhân. Khi bác sĩ cố gắng phẩu thuật thì phát hiện một nang trong cơ tìm thấy. Phẩu thuật kết thúc và dùng kim nhỏ chọc hút cho thấy xác định bệnh lý sán nhiều đầu vùng cơ niêm. Bệnh nhân được điều trị với thuốc praziquantel, thuốc cho thấy diệt tốt ấu trùng và tình trạng nhiễm trùng đã thoái lui, từ đó đến nay chưa tái phát.
Ca gần đây nhất tại Israel năm 2006, một bé gái 4 tuổi nhiễm T. multiceps tại vị trí mô dưới da. Bệnh nhi sau đó được ddieuf tị và hồi phục hoàn toàn. Trong tất cả các ca ghi nhận gần đây cho thấy các bệnh nhân đều có phơi nhiễm với cho hoang dại trong vùng, nơi mà sán dây ở chó lưu hành và có thể nhiễm ký sinh trùng tình cờ thông qua tiếp xúc với nguồn thức ăn và nước ô nhiễm.
Các ô chứa là các động vật ăn thịt hoang dại như các loài chó, cáo, chó sói,…không thấy có vector trong bệnh này.
Chu kỳ sinh học
Chu kỳ sinh học của bệnh sán nhiều đầu đi theo con đường giống như sau: Trứng và đốt sán thụ tinh đi ra theo phân, thải vào trong môi trường do các vật chủ chính nhiễm (chó). Nhiều động vật có thể đóng vai trò như vật chủ trung gian, gồm có các động vật gặm nhấm hoang dại, gia súc, dê, cừu và người. Các vật chủ trung gian nuốt trứng, một khi nuốt trứng vào, trứng đẻ ra trong ruột, ly giải các dạng ấu trùng sâu móc (oncospheres).
Các ấu trùng này lưu hành trong máu cho đến khi chúng lấp trong các cơ quan phù hợp (cơ xương, mắt, não, cơ hay mô dưới da). Sau khoảng 3 tháng hoặc hơn, các oncosphere này phát triển thành các ấu trùng dạng nang tròn gọi là coenuri.
Chu kỳ này kéo dài và tồn tại mãi khi một con chó (vật chủ chính) ăn phải mô của các vật chủ trung gian bị nhiễm. Điều này xảy ra, các ấu trùng đang trưởng thành ký sinh trong ruột non của vật chủ chính cho đến khi chúng trở thành sán trưởng thành và bắt đầu sinh trứng và đào thải trứng ra phân đến môi trường.
Về mặt hình thái học, các hình ảnh về nang sán nhiều đầu, một số nang được phẩu thuật loại bỏ khỏi bệnh nhân và một số khác phát hiện sau khi giải phẩu tử thi động vật chết.
Lâm sàng
Các nang sán có thể hiện diện trong cơ thể người bất kỳ nơi nào trong một vài tháng đến vài năm sau khi ăn phải. Một khi nang phát triển, các triệu chứng liên quan đến nang phát triển nhanh chóng. Trên người, nhiễm sán này gây ra một loạt các triệu chứng, lệ thuộc vào nơi nào mà nang sán ký sinh. Nhóm sán dây này cũng hình thành nên các nang chứa đầy dịch và nằm trong các vị khác mô khác nhau trong cơ thể. Các nang này ban đầu nhỏ, sau đó phát triển ấu trùng lớn dần và nang có thể đạt đến kích cỡ 1 quả trứng. Nang sán T. multiceps thường có đường kính khoảng 2 - 6 cm và hầu như tìm thấy trong hệ thần kinh trung ương và có thể chứa ở bất cứ nơi nào từ một vài đến vài trăm ấu trùng sán nằm bên trong chúng. Các nang sán loài T. serialis và T. glomerata hiện diện trong thàn kinh trung ương, cơ và mô dưới da, nang của loài T. brauni có thể chiếm nằm ở những vị trí giống nhau nhưng xảy ra trong mắt thường gặp hơn các vị trí khác so với 3 loài.
Khi các nang này xuất hiện trong não, các bệnh nhân có thể bị nhức đầu, động kinh, co giật, nôn mửa, liệt bán thân, mất khả năng điều hòa vận động các cơvà vận động các cơ chi. Nhiều triệu chứng trong số này do tăng áp lực nội sọ bởi sự phát triển của các nang chèn vào các phần của não khác nhau.
Khi các nang sán nằm trong tủy sống, chúng có thể gây ra triệu chứng đau dữ dội, mất cảm giác do rối loạn một số thần kinh trung ương. Khi các nang nằm trong mắt, nó có thể làm giảm thị lực và đau đầu. Trong các mô dưới da và cơ, các nang gây biến dạng do các nang sán tại một số vùng trên cơ thể. Các nốt sán này có thể đau, khó chịu và có thể làm mất chức năng cơ.
Chẩn đoán và phát hiện
Vì bệnh lý này hiếm khi xuất hiện trên người, nên việc chẩn đoán chính xác từ lâu chưa phát triển và quan tâm đầu tư. Chụp phim CT scans và MRI có thể có ích trong việc phát hiện các nang chứa đầy dịch tại hầu hết các vùng trong cơ thể và một số thử nghiệm huyết thanh học và hình thái học có thể xác định có mặt của ấu trùng sán Taenia spp. khi phẩu thuật tiến hành và một phần nào đó của nang có thể được loại bỏ và đưa đi sinh thiết và phân tích mô bệnh học.
Vì thiếu độ đặc hiệu các kỹ thuật chẩn đoán, nên bệnh nang sán nhiều đầu có thể bị chẩn đoán nhầm với bệnh lý ấu trùng sán dây lợn thể thần kinh hay bệnh nang sán chó Echinococcus spp, hay các ký sinh trùng khác tác động trên mô thần kinh trung ương.
Điểm quan trọng liên quan trong vấn đề chẩn đoán bệnh sán nhiều đầu một cách hợp lý là rút kinh nghiệm từ các ca báo cáo trên y van và nên có điều tra bệnh sử của bệnh nhân có phơi nhiễm với vật chủ. Nếu một người có biểu hiện triệu chứng, sống trong vùng điều kiện vệ sinh kém, quần thể có hoang dại cao hay các vùng lưu hành bệnh sán dây đã biết trước đó thì cơ hội mắc phải bệnh lý này sẽ cao hơn nhiều. Tương tự, bệnh lý này đã có phát hiện trên trẻ em hơn người lớn do các trẻ chơi tở môi trường ngoài nhà hơn người lớn và nguy cơ phơi nhiễm và tiếp xúc với các phân chó cao hơn.
Điều trị và quản lý
Bệnh có nhiều biến chứng và nghiêm trọng hơn khi các nang sán sâu móc trong nhu mô não. Điều này phẩu thuật khó khăn hơn khi bệnh có nang sán có mặt trong cơ và mô dưới da. Điều trị hay dùng nhất và được chấp nhận rộng rãi đối với bệnh này là phẩu thuật loại bỏ các nang ra khỏi nhu mô. Tuy nhiên, điều này không phải lúc nào cũng thực hiện được.
Các liệu pháp điều trị khác cho kết quả tốt là dùng thuốc Praziquantel và Albendazole. Praziquantel tác động trên màng tế bào của sán thông qua tính thấm. Theo cách này thì sán mất can xi nội bào, và liệt sán. Albendazole gây cho sán ít sinh ra ATP, dẫn đến gây chêt sán.
Glucocorticoids có thể dùng để hỗ trợ làm dịu bớt các triệu chứng viêm của bệnh.
Bệnh này không có vaccine hữu hiệu, nên các biện pháp phòng ngừa có thể áp dung tại cộng đồng và mức độ cá nhân thông qua truyền thông thay đổi hành vi. Cộng đồng và các cơ quan chức năng có thể đảm bảo nguồn nước cung cấp đảm bảo hợp vệ sinh, không ô nhiễm phân chó. Cộng đồng có thể kiểm soát quần thể chó hoang dại, nên ngăn ngừa được nhiễm trùng cho các vật chủ chính. Các cá nhân nên rửa sạch tất cả trái cây và rau quả trước khi ăn và đảm bảo chó của họ không bị nhiễm sán dây.
2. Bệnh do Baylisascaris procyonis
Ký sinh trùng
Ký sinh trùng này thuộc siêu họ Ascaridoidea gồm có các loại giun tròn hình ống trụ sống bên trong lòng ruột. Các giun này có trứng có vỏ dày, trải qua một thời gian dài trong môi trường trước khi chúng có thể gây nhiễm được. Một trong những loài giun tròn gây bệnh và ký sinh cao nhất ở người chính là giun đũa Ascaris lumbricoides. Một loại giun đũa khác là Baylisascaris procyonis, gây nhiễm trên các gấu trúc ở khu vực Bắc và Trung Mỹ (Procyon lotor) và gây nên các tình trạng ấu trùng di chuyển nội tạng ở người. Mặc dù, P. lotor thuộc về bản địa của Bắc Mỹ, các động vật này và ký sinh trùng B. procyonis đã được giới thiệu trên phạm vi toàn cầu.
Lịch sử
B. procyonis lần đầu tiên phát hiện trên các con gấu trúc Trung và Bắc Mỹ tại công viên thú New York vào năm 1931. Giống Baylisascaris được đề xuất bởi tác giả Sprent vào năm 1968. Nó được coi là một trong những nguyên nhân quan trọng gây ấu trùng di chuyển nội tạng ở trên 100 loài chim và động vật có vú. Ca nhiễm đầu tiên trên người được công bố vào giữa những năm 1980. Bệnh ở người rất hiếm và luôn luôn dẫn đến hậu quả di chứng tồn tại hoặc tử vong.
Chu kỳ sinh học và phát triển
Giun trưởng thành B. procyonis sống trong lòng ruột non và đào thải các trứng có vỏ dày qua phân. Các trứng này có thể tồn tại trong đất đến vài tuần trước khi chúng hóa phôi và thành dạng có thể gây nhiễm. Các con gấu trúc nuốt phải trứng và rồi ấu trùng đẻ ra đi vào thành ruột non của gấu trúc. Tại đó, chúng phát triển thành giun trưởng thành, quay trở lại lòng ruột non.
Khi ấutrùng B. procyonis bị nuốt phải bởi các vật chủ ít thích nghi hơn, như người và nhiều loài động vật có xương sống khác, chúng di chuyển ra ngoài ruột và có thể đóng vỏ hay chuyển dạng kén trong mô hay xâm nhập vào trong hệ thần kinh trung ương, gây bệnh từ đó. Ước tính có khoảng 5 - 7% số ấu trùng di chuyển đến hệ thần kinh trung ương.
Các ấu trùng kết vỏ nang có thể thành giai đoạn gây nhiễm khi chúng một con gấu trúc ăn một vật chủ khác. Nhiễm trùng trên các gấu trúc có tỷ lệ cao, chừng 70% trên các con gấu trưởng thành và 90% trên các con còn nhỏ.
Dịch tễ học
Báo cáo đầu tiên nhiễm trùng ở người với loài B. procyonis vào năm 1984 phản ánh một sự gia tăng có liên đới đến môi trường sống của gấu trúc và loài người. Một đưa trẻ 10 tháng tuổi chết vì viêm não tăng bạch cầu ái toan nặng và nguồn truyền nhiễm có thể từ các gấu trúc làm tổ trong hay bên cạnh các lò sưởi của nhà. Các gấu trúc không đòi hỏi một môi trường nông thôn hay rừng núi, giống như bao loài động vật hoang dại khác trong những thập niên gàn đây đang sống tại các vùng đô thị. Vì loài B. procyonis có tỷ lệ nhiễm cao trên các gấu trúc, nên một số lượng khổng lồ trứng đào thải qua phân mỗi ngày. Các trứng này trong môi trường rất đề kháng mạnh với điều kiệnbất lợi trong môi trường đất và một số nhỏ gây nhiễm trùng và sinh ra bệnh.
Các trẻ em nam nhiễm bệnh do loài B. procyonis được báo cáo là do thường xuyên chơi đùa hay có các hoạt động ngoài trời. Tuy nhiên, các thay đổi hành vi của cả gấu trúc và các trẻ em gái có thể làm thay đổi diện mạo tỷ lệ mắc bệnh này, vì thế sự thay đổi về bệnh nguyên cặp đôi này cần phải quan tâm chú ý khi đánh giá chứ không nên bỏ qua. Các chó nuôi và chó con của chúng đã được tìm thấy nhiễm loài ký sinh trùng B. procyonis. Các con vật cưng nhiễm cho thấy có mối nguy cơ lớn nhiễm trùng có thể xảy ra, đặc biệt là đối với trẻ em.
Bệnh học
Nhiễm trùng loài B. procyonis được biết với tên gọi là Baylisascariasis. Sự di chuyển không theo một quy cách nào của ấu trùng giun B. procyonis có thể phát sinh nhiều bệnh cảnh lâm sàng khác nhau, có thể biểu hiện không triệu chứng hay sinh ra các triệu chứng ấu trùng di chuyển ở phủ tạng, dưới da, hay hội chứng ấu trùng di chuyển ở mắt. Ấu trùng óc thể dài đến 1.900μm và đường kính tói đa có thể lên đến 80μm, do đó sẽ gây tổn thương mô lan rộng. Một số hình ảnh nổi ban dạng vết, chấm đỏ trên vùng mặt và thân mình đã được mô tả như một đặc điểm lâm sàng của hội chứng ấu trùng di chuyển dưới da do ấu trùng B. procyonis..
Không giống như trong bệnh Angiostrongyliasis và giun đầu gai, bệnh lý mắt thường đi kèm với các bệnh lý thần kinh trên nhiều bệnh nhân. Bệnh lý thần kinh trung ương thường rất nghiêm trọng và đưa đến rất nhiều di chứng và thậm chí gây tử vong trên nhiều bệnh nhân. Đặc điểm lâm sàng điển hình của thể thần kinh do ấu trùng này là viêm não màng não tiến triển nhanh, cấp tính, biểu hiện hình ảnh bệnh nhân suy nhược, trạng thái hôn mê, ngủ lịm, thất điều và liệt. Sốt không phải là triệu chứng thường gặp, nổi trội và có thể suy giảm nhận thức, tính tình. Rối loạn cơ duỗi tư thế, tính co duỗi, dị cảm, thần kinh sọ não, thất điều và động kinh là các đặc điểm lâm sàng của hẹ thần kinh khi chúng bị tác động, nhất là trên các trẻ em, riêng đối với người lớn thì dấu hiệu này biểu hiện ít cấp tính hơn.
 |
| Hình Chu kỳ sinh học và phát triển của B. procyonis |
Chẩn đoán
Chẩn đoán hình ảnh trên hệ thần kinh trung ương chỉ là thông tin có giá trị một mức độ nào đó mà thôi. Các hình ảnh MRI thường chỉ ra hình ảnh tổn thương chất trắng lan tỏa không đặc hiệu. Não úng thủy và phù não cũng xuất hiện trên hình ảnh, nếu trước đó không có. Không có dấu hiệu màng não hay tăng sáng trong nhu mô não.
Tăng bạch cầu ái toan trong dịch não tủy có thể rất cao, thay đổi từ 4 - 68% và có thể gặp tăng lympho bào nhẹ từ 1 - 125 tế bào/mm3. Tăng bạchc ầu ái toan trong dịch não tủy có thể hiện diện mà mà không cần có những bất thường nghiêm trọng về hàm lượng protein và glucose. Tăng bạch cầu trong máu ngoại vi thường tăng nhẹ nhưng tăng bạch cầu ái toan có thể dao động từ 5 - 45%. Chẩn đoán bệnh Baylisascariasis nên cân nhắc bất cứ khi nào viêm não màng nào tăng bạch cầu ái toan xảy ra trong bối cảnh dịch tễ gợi ý.
|
| Trứng thụ tinh và có ấu trùng của B. procyonis bên trong trứng |
Vì với các ký sinh trùng cự trú trong các mô khác được đề cập ở trên, phân tích mô bệnh học mô bị nhiễm trùng không luôn luôn cho thấy tác nhân nhiễm ở đó. Nhưng khi phát hiện thấy chúng trên mô cắt ngang, B. procyonis có hình ảnh một cột tiết hình nón tam giác và đường kính 60 - 80μm. Các ấu trùng có thể phân lập hay ở giữa một phản ứng viêm vật chủ của các bạch cấu ái toan thâm nhiễm, histiocytes và lymphocytes.
Một lượng lớn bạch cầu ái toan có thể tìm thấy gần vệt di chuyển ấu trùng bị hoại tử và trong mạch máu. Trên các bệnh nhân biểu hiện bệnh lý ít rầm rộ và thể bán cấp, các u hạt phát triển đầy đủ với hình ảnh các bạch cầu ái toan chụm lại có thể nhìn thấy.
Một số phương pháp phát hiện miễn dịch hiệu quả đưa ra giới thiệu. Kháng thể có thể được phát hiện trong huyết thành và trong dịch não tủy, hay sử dụng phương pháp ELISA, Western blot và miễn dịch huỳnh quang để phát hiện các ấu trùng giai đoạn L3 cắt đông lạnh. Một số lượng nhỏ số ca nhiễm trùng xác định với độ nhạy và độ đặc hiệu cao.
Các phương pháp này dường như rất nhạy, vì các bệnh nhân biểu hiện lâm sàng thường có xét nghiệm miễn dịch dương tính trên cả huyết thanh và dịch não tủy.
Sinh thiết mô não hay tử thiết từ giải phẩu tử thi đã xác định chẩn đoán miễn dịch phù hợp trên cả dịch não tủy và huyết thanh ở nhiều bệnh nhân. Các kháng nguyên tiết được sử dụng như nguồn kháng nguyên áp dụng trong các phản ứng ELISA và Western blot và các đoạn phân cắt 33 - 45 kDa là một đích tốt để phát hiện dặc hiệu các kháng thể kháng Baylisascaris. Có phản ứng chéo của các epitope trong kháng nguyên B. procyonis và các loài ký sinh trùng khác, nhưng sử dụng các đoạn kháng nguyên chọn lọc sẽ giúp cải thiện và nâng cao chẩn đoán miễn dịch tốt hơn.
Điều trị
Thuốc chống giun sán không chứng minh có hiệu quả trong điều trị bệnh Baylisascariasis, vì chúng thiếu hiệu ứng diệt ấu trùng trên các mô nhiễm ở người.
Trên mô hình nhiễm trùng thực nghiệm ở động vật gây nhiễm B. procyonis, các tổn thương trên hệ thần kinh trung ương giảm đi sau khi dùng thuốc albendazole, diethylcarbazine (DEC), mebendazole và thiabendazole, nhưng hiệu quả này chỉ có khi dùng trong thời gian từ ngày thứ nhất đến thứ 10 sau nhiễm. Tuy nhiên, thuốc albendazole (liều dùng 20 - 40 mg/kg/ngày trong 1-4 tuần) đã được dùng để điều trị hầu hết các ca báo cáo thời gian gần đây.
Corticosteroids đã được sử dụng trên phần lớn số ca để làm giảm đi phản ứng viêm, nhưng các nghiên cứu đối chứng thiết kế bài bản là cần thiết để đánh giá vai trò của chúng trong điều trị.
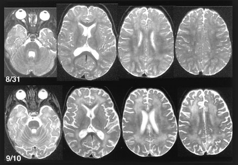
|
| Hình Tổn thương trên bệnh nhi 11 tuổi nhiễm do tác nhân B. procyonis |
Đối với các ca bệnh nặng, tiên lượng nghèo nàn và chỉ ra hiệu quả các thuốc chống giun sán trong việc ngăn ngừa bệnh chưa rõ rệt. Điều cần thận trọng là nên dùng thuốc điều trị dự phòng bắt đầu ngay với thuốc albendazole (liều dùng 20 - 40 mg/kg/ngày) hay thiabendazole (liều 50 mg/kg/ngày) ngay sau khi phơi nhiễm với các chuồng hay hố xí của gấu trúc.
Để điều trị dự phòng hiệu quả, chỉ định thuốc chống giun sán nên tiếp tục cho đến khi điều tra dịch tễ học làm rõ và loại trừ khả năng trứng B. procyonis ở vị trí phơi nhiễm. Ngược lại, khâu điều trị nên duy trì ít nhất 10 ngày. Khuyến cáo này dựa trên các nhiễm trùng thực nghiệm chỗ mà thành công đã đạt được chỉ với giai đoạn điều trị bao phủ khả năng nhiễm trùng trên hệ thần kinh trung ương do ấu trùng xâm nhập.
TÀI LIỆU THAM KHẢO
1.DPDx - Coenurosis". Division of Parasitic Diseases, Centers for Disease Control andPrevention. Retrieved 2010-03-15.
2.Ing, Michael B.; Schantz, Peter M.; Turner, Jerrold A. (1998). "Human coenurosis in North America: case reports and review". Clinical Infectious Diseases 27 (3): 519–23. doi:10.1086/514716. PMID 9770151.
3.Benifla M, Barrelly R, Shelef I, El-On J, Cohen A, Cagnano E (2007). "Huge hemispheric intraparenchymal cyst caused by Taenia multiceps in a child. Case report". Journal of Neurosurgery 107 (6 Suppl): 511-4.
4.ParaSites2005. stanford.edu. May 19, 2008. Retrieved 17 March 2010.
5.Scala A, Varcasia A (June 2006). "Updates on morphobiology, epidemiology and molecular characterization of coenurosis in sheep". Parassitologia 48 (1–2): 61–3.
6.Ibechukwu BI, onwukeme KE (July 1991). "Intraocular coenurosis: a case report". The British Journal of Ophthalmology 75 (7): 430-1.