Sán lá gan lớn (SLGL) ở người là một bệnh ký sinh trùng lây truyền qua thực phẩm do sán lá Fasciola hepatica và Fasciola gigantica. Bệnh dường như đang gia tăng có liên quan đến biến đỏi khí hậu toàn cầu và tính xâm nhập và sinh bệnh của chúng. Về mặt lâm sàng, SLGL thường ảnh hướng đến hệ thóng gan mật, song một số ca lạc chỗ cũng được ghi nhận như ở phổi-màng phổi, vú, tụy, mắt và hệ bạch huyết.
Mục tiêu: Mô tả đặc điểm lâm sàng và cận lâm sàng một bệnh nhân nữ bị SLGL lạc chỗ chẩn đoán khối giả u viêm trong đại tràng. Trình bày ca bệnh: Bệnh nhân nữ 31 tuổi, kế toán sống tại Kon Tum có triệu chứng ngứa, mày đay, chẩn đoán huyết thành dương tính với ấu trùng giun đũa chó, mèo Toxocara spp., Sau 21 ngày điều trị bằng albendazole, không chỉ bệnh không thuyên giảm mà còn đau tăng ở hạ sườn phải và phát sốt. Thăm khám lâm sàng và chẩn đoán hình ảnh siêu âm và đa lát cắt (MSCT) cho chẩn đoán sơ bộ là ung thư đại tràng, di căn gan và hạch, chẩn đoán phân biệt với thương tổn gan và đại tràng do ký sinh trùng. Các phát hiện: Xét nghiệm miễn dịch huyết thanh một số ký sinh trùng cho kết quả dương tính Fasciola spp. và Ecchinococcus spp, soi tìm trứng trong phân âm tính và sinh thiết làm giải phẩu bệnh mô học có hình ảnh giả u viêm thâm nhiễm bạch cầu ái toan trong đại tràng. Chẩn đoán cuối cùng là SLGL lớn ở gan và lạc chỗ ở đại tràng. Kết quả: Bệnh nhânđược điều trị khỏi bằng thuốc đặc hiệu triclabendazole, không có biến chứng xảy ra. Kết luận: SLGL lạc chỗ đã được ghi nhận trong y văn toàn cầu, chúng có thể biểu hiện với các thương tổn ở nông hoặc sâu trong phủ tạng trên chẩn đoán hình ảnh, chẩn đoán huyết thanh có thể hỗ trở chẩn đoán các ca bệnh như thế.
Từ khóa: Sán lá gan lớn lạc chỗ, huyết thanh dương tính, khối giả u viêm,
Đặt vấn đề
Bệnh sán lá gan lớn (SLGL) là bệnh lây truyền từ động vật sang người do loài Fasciola hepatica và Fasciola gigantica đang nổi lên như một bệnh lý ký sinh trùng quan trọng. Về hình thái lâm sàng, hệ gan mật là vị trí kinh điển, có “ái tính” của Fasciola spp. trong cả pha cấp và pha mạn tính. Tuy nhiên, sán non có thể di chuyển và cư trú lạc chỗ ở các cơ quan khác ngoài hệ gan mật, nhiều nhất ở hệ tiêu hóa. Dù số ca mắc và tỷ lệ nhiễm trong cộng đồng cao qua nhiều điều tra dịch tễ học tại các vùng bệnh lưu hành, song sự hiểu biết về bệnh có liên quan đến biến đổi khí hậu toàn cầu vẫn còn hạn hữu, y học chứng cứ cho thấy các tác động thay đổi thời tiết tác động rõ rệt đến các loài sán lá, kể cả Fasciola spp., điều này thể hiện rõ nét qua gia tăng ấu trùng cercariae khi có sự ấm lên của toàn cầu.
Trong số các cơ quan trong cơ thể, sán tác động chủ yếu đến gan mật, thể bệnh lạc chỗ lại tác động đến các tạng khác ở người. Từ năm 2000-2015, nhiều nhà nghiên cứu tập trung vào hiện tượng lạc chỗ của Fasciola spp. tại các quốc gia tiên tiến và đang phát triển, kể cả Việt Nam và đường di chuyển thể lạc chỗ của Fasciola spp. vẫn còn chưa thấu đáo. F. hepatica là loài sán thường gặp hơn so với F. gigantica trong hầu hết ca bệnh lạc chỗ ghi nhận trên y văn. Tác động của sán có thể trực tiếp đến gan và gián tiếp đến các tạng và mô khác. Tại vị trí lạc chỗ, các sản phẩm chuyển hóa hay độc tố tiết ra từ sán có thể phát hiện, tất cả lứa tuổi và hai giới nam và nữ đều có thể bị thể lạc chỗ, song nữ vẫn gặp nhiều hơn nam. Đặc biệt, thể lạc chỗ thường “giả trang” các triệu chứng na ná như một bệnh truyền nhiễm hoặc nội khoa. Hầu hết sán Fasciola spp. thu được tại vị trí lạc chỗ là sán non, chưa trưởng thành. Bệnh SLGL có hai giai đoạn lâm sàng, gọi là giai đoạn cấp xảy ra đồng thời với quá trình xâm nhập gan và giai đoạn mạn tính do sự xuất hiện sán trong đường mật. Ấu trùng giai đoạn nhiễm của sán đóng kén trên các thực vật thủy sinh và quá trình tiêu hóa các thực vật thủy sinh từ các vùng ô nhiễm nang trùng dẫn đến nhiễm bệnh.
Báo cáo lâm sàng
Nhân đây một ca được nhóm nghiên cứu Lê Đình Vĩnh Phúc, Lê Hữu Lợi và Huỳnh Hồng Quang thực hiện và báo cáo điển hình.
bệnh Bệnh nhân nữ, 31 tuổi, nghề nghiệp kế toán sống tại Kon Tum. Khởi bệnh từ 2 tháng trước với ngứa rải rác toàn thân, không có sang thương da, không kèm sốt, không đau bụng, đi khám tuyến trước chẩn đoán nhiễm ấu trùng giun đũa chó, mèo Toxocara spp., điều trị với albendazol liều 800mg/ ngày trong 21 ngày. Sau đó, bệnh nhân không thuyên giảm mà còn xuất hiện triệu chứng đau tức vùng sườn phải (P) và vùng mạn sườn phải (P), siêu âm bụng nghi ngờ áp-xe ruột thừa tạo đám quánh vùng gầm gan gây biến chứng áp-xe gan (P). Bệnh nhân vào nhập viện tại Trung tâm Y khoa Medic thành phố Hồ Chí Minh để xác định lại chẩn đoán.
Khám tại Trung tâm y khoa Medic, toàn trạng bệnh nhân trung bình, cân nặng 52 kg, da niêm mạc hồng, sờ không thấy hạch ngoại biên vùng cổ, nách hay bẹn, sốt nhẹ, ăn uống không ngon miệng, đại tiện phân bình thường. Khám lâm sàng, đau tức vùng bụng (P) khi ấn, phản ứng vùng gan (+), sờ gan lách không lớn, nghe nhịp tim đều, rõ, không âm thổi, mạch quay 86 lần/phút, nghe phổi không ran.
Xét nghiệm cận lâm sàng:
-Công thức máu toàn phần: hồng cầu 4.500.000 tế bào/mm3, haemoglobin 13,1 g/dL. hematocrite 38,8%, bạch cầu chung tăng 14500 tế bào/mm3, trong đó bạch cầu đa nhân trung tính 61,9% và bạch cầu ái toan tăng 15,8%, tiểu cầu 289.000 tế bào/mm3;
-Glucose máu lúc đói 5,13 mmol/L, men gan AST 25 IU/L, ALT 69 IU/L, GGT 301 IU/L, hsCRP tăng nhẹ 14,5 mg/L, creatinin 0,71, HBsAg (-), anti-HCV (-), AFP (-), chỉ điểm khối u CEA (-), CA19-9 (-).
-Huyết thanh chẩn đoán phương pháp ELISA các loại ký sinh trùng Toxocara spp, Strongyloides spp, Gnathostoma spp, E. histolytica đều âm tính, ngoại trừ kháng thể IgG anti-Fasciola spp và IgG anti-Echinococcus dương tính;
-Soi phân tìm ký sinh trùng đường ruột, kể cả trứng sán lá gan lớn âm tính;
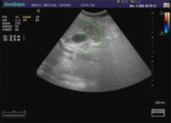
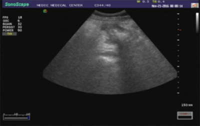
-Siêu âm doppler bụng cho thấy vùng gan (P) có hình ảnh ổ áp-xe cấu trúc echo hỗn hợp, đường kính d = 5,5cm, bờ nham nhở, kèm phù nề chủ mô gan xung quanh và tăng tưới máu nhẹ. Ngoài ra, đại tràng góc gan có hình ảnh dày vách, echo kém, d = 15mm, không hẹp lòng (Hình 1).
Hình 1. Khối áp-xe gan (P) và hình ảnh dày vách đại tràng góc gan trên siêu âm.
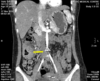
-Chụp đa lát cắt (MSCT_Multislice computed tomography) tổng quát bụng cho thấy gan không to, chủ mô gan đồng nhất. Hạ phân thùy VI gan (P) có thương tổn giảm đậm độ, kích thước 4 x 6cm, đẩy lồi bao gan ra ngoài. Thương tổn dày thành đại tràng ngang gần góc gan, dày khoảng 20mm, bắt thuốc cản quang mạnh và xóa mờ mô mỡ xung quanh. Có vài hạch nhỏ kế cận kích thước 5- 10mm (Hình 2) à Chẩn đoán sơ bộ: Theo dõi ung thư đại tràng ngang xâm lấn xung quanh, di căn hạch và di căn gan. Chẩn đoán phân biệt: Tổn thương gan và đại tràng do ký sinh trùng.
Hình 2. Tổn thương giảm đậm độ gan (P) và dày thành đại tràng ngang
-Nội soi đại tràng cho thấy hình ảnh toàn bộ đại tràng ngang thâm nhiễm, viêm-loét trợt và hẹp lòng, sinh thiết sang thương làm giải phẩu bệnh (Hình 3).
Hình 3. Hình ảnh tổn thương đại tràng ngang trên nội soi đại-trực tràng
- Giải phẫu bệnh: Niêm mạc đại tràng với các tuyến bình thường, mô đệm sung huyết, thâm nhiễm nhiều bạch cầu, nhất là bạch cầu ái toan. Tuy nhiên, không có hình ảnh ký sinh trùng, chẩn đoán giải phẫu bệnh là viêm niêm mạc đại tràng thâm nhiễm bạch cầu ái toan (Hình 4).
Hình 4. Giải phẫu bệnh vi thể tổn thương ở đại tràng.
Với tất cả dữ liệu lâm sàng, cận lâm sàng ở trên, đưa ra chẩn đoán: Áp-xe gan (P) và viêm đại tràng ngang do sán lá Fasciola spp.
Điều trị đặc hiệu với thuốc đặc hiệu triclabendazole (Lesaxys® 250mg) liều dùng 10mg/kg trong 2 ngày, uống sau bữa ăn có chất béo 2 giờ và thuốc bổ gan Arginin 200mg với liều 2 viên/ngày chia 2 lần, uống sau bữa ăn. Hẹn lịch tái khám sau 2 tuần.
Đánh giá khi tái khám: Không ghi nhận tác dụng ngoại ý trong thời gian điều trị thuốc. Bệnh nhân giảm đau tức vùng hông phải và mạn sườn (P), không còn sốt, không ngứa, ăn uống ngon miệng, các kết quả cận lâm sàng khi tái khám:
-Công thức máu toàn phần: bạch cầu chung trở về bình thường 5320 tế bào/mm3, bạch cầu đa nhân trung tính 45,9% và bạch cầu ái toan giảm còn 7,3%;
-Trị số hsCRP trở về bình thường (1,3 mg/L);
-Điểm đáng lưu ý trong lần tái khám này là men gan tăng cao: AST: 184 IU/L, ALT: 349 IU/L, GGT: 325 IU/L. Chỉ định dùng thuốc hạ men gan và bổ gan Arginin, Silymarin và thuocs điều hòa miễn dịch thymomodulin đường uống. Hẹn tái khám sau đó 2 tuần.
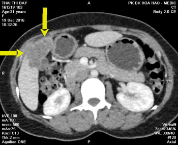
Trong lần tái khám 2 tuần tiếp theo sau đó, xét nghiệm máu bạch cầu ái toan trở về bình thường (2,5%), men gan AST và ALT trong giới hạn bình thường, chỉ có GGT còn tăng 160 IU/L, chụp lại MSCT bụng để kiểm tra diễn tiến tổn thương ở gan và đại tràng. Trên hình ảnh MSCT cho thấy tổn thương gan thay đổi ít so với lần chụp trước (đến thời điểm này mới 1 tháng kể từ khi dùng thuốc). Tuy nhiên, tổn thương ở đại tràng ngang diễn tiến rất tốt, thành chỉ còn 8mm (so với 20mm trong lần chụp trước) (Hình 5).
Hình 5a. Áp xe nhu mô gan (P) chưa thay đổi nhiều (sau 4 tuần) và Hình 5b. Tổn thương thành đại tràng ngang đã giảm rõ rệt trong lần tái khám
Kết quả sau 3 tháng tái khám đã thay đổi các hình ảnh thương tổn nhu mô gan và trên đại tràng ngang, dấu tăng âm xuất hiện dần và giảm âm dường như không còn. Tiếp tục hẹn tái khám sau 6 tháng.
Bàn luận
Hình thái lâm sàng bệnh nhiễm trùng sán lá Fasciola spp. ở người đa dạng vì đặc tính di chuyển của sán khi xâm nhập vào cơ thể người. Y văn đã ghi nhận ấu trùng sán Fasciola spp. có thể di chuyển đến các vị trí vốn không phải có ái tính kinh điển với chúng như dưới da, ruột, thành bụng, phổi, não, trực tràng, dạ dày, mào tinh hoàn, màng ngoài tim, nên đã làm cho chẩn đoán rất khó khăn. Trước đây, tác giả Huỳnh Hồng Quang và cộng sự (2009) đã mô tả một trường hợp bệnh nhân nữ 47 tuổi đang điều trị phác đồ thuốc chống lao phổi, tác giả đã chứng minh bằng tiêu chuẩn vàng ấu trùng Fasciola gigantica di chuyển đến và gây tổn thương áp-xe đa cơ quan bao gồm gan, lách, đầu tụy, ống mật chủ, khiến nhiều thầy thuốc tuyến trước chẩn đoán nhầm lẫn là lao đa cơ quan hoặc ung thư đường tiêu hóa di căn. Để đi đến chẩn đoán xác định như thế, bệnh nhân và thầy thuốc mất rất nhiều thời gian, thực hiện nhiều xét nghiệm và chẩn đoán hình ảnh hiện đại rất tốn kém. Điều này cho thấy tính phức tạp của bệnh nhiễm ấu trùng Fasciola spp. nếu bị lạc chỗ trên thực tế lâm sàng.
Ca bệnh mô tả ở đây mất thời gian chẩn đoán xác định cuối cùng là 2 tháng, qua nhiều phòng khám tư nhân và bệnh viện. Khởi bệnh ở ca này là ngứa rải rác toàn thân, nên được các thầy thuốc tuyến trước chỉ định làm xét nghiệm máu, lúc này chỉ có bạch cầu ái toan tăng và huyết thanh chẩn đoán Toxocara spp. dương tính, nên đã bỏ sót can bệnh có thương tổn như thế, nên điều trị bằng albendazol trong 21 ngày không thuyên giảm bệnh. Vì thuốc albendazole dường như hiệu quả thấp trên SLGL, nên sau 2 tháng xuất hiện triệu chứng đau tức vùng hông (P) và hạ sườn (P) nên chỉ định siêu âm doppler bụng, phát hiện ổ áp-xe ở gan (P) và tổn thương đại tràng đi kèm, dẫn đường để chỉ định các phương tiện hình ảnh tiếp theo như MSCT và nội soi đại tràng kết hợp sinh thiết sang thương. Như thế triệu chứng khởi phát bệnh của nhiễm ấu trùng Fasciola spp. khá quan trọng vì sẽ định hướng để thầy thuốc lựa chọn chỉ định cận lâm sàng phù hợp để đi đến chẩn đoán nhanh hơn.
Siêu âm doppler bụng là phương tiện chẩn đoán hình ảnh nên được chọn lựa đầu tiên trong bệnh lý này. Siêu âm có thể chẩn đoán được cả thương tổn ở pha cấp và pha mạn tính của nhiễm sán lá Fasciola spp. ở hệ gan mật. Tổn thương kinh điển được mô tả thường là một ổ áp-xe ở gan, cấu trúc hồi âm hỗn hợp, bờ nham nhở, ăn lan dạng bản đồ, không có bờ rõ ràng, bên trong có thể có nhiều nốt echo kém dạng micro-abscess giảm âm, tăng tưới máu bên trong và có thể có kèm hạch phản ứng ở vùng rốn gan. Từ các dấu hiệu gợi ý của siêu âm, thầy thuốc tiếp tục chỉ định các phương tiện hình ảnh cao hơn như chụp đa lát cắt (MSCT) hoặc chụp cọng hưởng từ (MRI) để xác định chẩn hình ảnh tổn thương. Trong tình huống ấu trùng Fasciola spp. gây tổn thương đa cơ quan rất dễ gây chẩn đoán nhầm lẫn ung thư di căn thì các công cụ đó có thể gián biệt phần nào.
Ca bệnh báo cáo đặc biệt ở chỗ ấu trùng Fasciola spp. gây viêm, loét trợt toàn bộ đại tràng ngang, cho hình ảnh dày vách trên siêu âm và MSCT bụng. Triệu chứng lâm sàng ở đại tràng không quá rầm rộ, chỉ đau âm ỉ vùng hông (P), không rối loạn tiêu hóa, không đi cầu phân máu. Ở đây thì ưu thế thuộc về nội soi đại tràng, vì siêu âm, MSCT và cả MRI chẩn đoán sẽ không loại trừ hình ảnh ung thư đại tràng. Mặc dù trên ca này, nôi soi sinh thiết đại tràng không bắt được ấu trùng tại chỗ để định danh loài Fasciola spp. là tiêu chuẩn vàng, nhưng với tất cả dữ liệu, bằng chứng có được và đáp ứng điều trị trên lâm sàng với thuốc triclabendazole, xét nghiệm và hình ảnh thì có cơ sở để khẳng định trường hợp này là do tác nhân Fasciola spp. gây áp-xe gan (P) và viêm giả u ở đại tràng ngang. Kết quả qua các lần tái khám sau 1 tháng và 3 tháng lần nữa khẳng định ca bệnh.
Kết luận
Sán lá gan lớn do tác nhân Fasciola spp. là bệnh ký sinh trùng truyền từ động vật sang người quan trọng, chủ yếu gây tổn thương ở hệ gan mật tùy thuộc vào giai đoạn cấp và mạn tính. Song, một số ca biểu hiện lạc chỗ (ectopic foci) ở nhiều cơ quan khác nhau ngoài hệ gan mật với đặc điểm lâm sàng đa dạng, có thể dẫn đến các hình ảnh tắc nghẽn giả u trên hệ tiêu hóa như ca bệnh này. Do vậy, trong thực hành lâm sàng, đòi hỏi các bác sĩ nên đặc ra chẩn đoán gián biệt và phối hợp nhiều phương tiện cận lâm sàng, nhất là chẩn đoán hình ảnh để đi đến chẩn đoán xác định và điều trị hiệu quả, giảm chi phí điều trị và hồi phục sớm cho bệnh nhân.
Tài liệu tham khảo
1.Bộ Y tế (2006). Hướng dẫn chẩn đoán và điều trị bệnh sán lá gan lớn ở người. Ban hành theo Quyết định số 3420/QĐ-BYT, Hà Nội, 2006
2.Nguyễn Văn Chương, Huỳnh Hồng Quang, Triệu Nguyên Trung (2007). Nhận xét đặc điểm lâm sàng và cận lâm sàng của bệnh nhân sán lá gan lớn. Viện Sốt rét-KST-CT Quy Nhơn. Kỷ yếu công trình NCKH (2001-2006), NXB Y học, tr. 417-423.
3.Huỳnh Hồng Quang, Nguyễn Văn Chương, Triệu Nguyên Trung (2006). Hiệu lực phác đồ Triclabendazole trong điều trị sán lá gan lớn loại F. gigantica tại một số tỉnh khu vực miền Trung - Tây Nguyên, Việt Nam(2004-2006). Tạp chí Y học thực hành, Vol.10, phụ bản số 4/2006, ấn bản đặc biệt, ĐH y dược thành phố Hồ Chí Minh: 360-368.
4.Huỳnh Hồng Quang, Lê Quang Quốc Ánh, Bùi Quang Đi và cs., (2007). Tràn khí, tràn dịch màng phổi, tràn dịch dưới bao gan, tràn dịch dưới cơ hoành kèm theo mủ, máu và dịch mật: Biến chứng do sán lá gan lớn F. gigantica. Kỷ yếu công trình NCKH, Viện Sốt rét KST-CT Quy Nhơn (2001-2006): 457-461.
5.Huỳnh Hồng Quang, Lê Quang Quốc Ánh và cs., (2007). Một trường hợp ngoại lệ viêm tụy cấp do sán lá gan lớn F. gigantica. Kỷ yếu công trình NCKH, Viện Sốt rét KST-CT Quy Nhơn (2001-2006): tr. 466-469.
6.Triệu Nguyên Trung, Huỳnh Hồng Quang (2008). Cập nhật thông tin về định loại Fasciola sp. trên thế giới bằng kỹ thuật cổ điển và hiện đại. Tạp chí Y dược học quân sự, ISSN 1859-0748, Vol.33, số.2: 98-103.
7.Le Thanh Hoa, Nguyen Van De, Takeshi Agatsuma, David Blair et al., (2007). Molecular confirmation that Fasciola gigantica can undertake abberant migrations in human host. J Clin Microbiol, 45(2), pp. 648-650.
8.Thomas Fürst, Jennifer Keiser, Jürg Utzinger (2012).Global burden of human foodborne trematodiasis: A systematic review and meta-analysis. The Lancet Infectious Diseases, Vol.12, Issue 3: 210-221.
9.WHO (2007). Report of the WHO Informal meeting on use of triclabendazole in fascioliasis control, WHO headquarters, Geneva, Switzerland 17-18 Oct.2006.
10.WHO (2012). Foodborn trematode infection: Fascioliasis diagnosis, treatment and control strategy.
Abstract
A CASE REPORT OF INFLAMMATORY PSEUDOTUMOR DUE TO Fasciola spp. IN MEDIC MEDICAL CENTER IN HO CHI MINH CITY
Introduction: Human fascioliasis is a food-borne parasitic disease caused by the trematode species Fasciola hepatica and Fasciola gigantica. This disease is increasing seem to be involved in global climate changes and its pathogenicity. In clinical, fascioliasis impacted on hepatobiliary system, but also ectopic foci in some cases, such as in pulmonary-pleural, breast, pancrea, ocular or lymphatic fascioliasis. Objective: To describe the clinical and laboratory findings manifestations of one female case of migratory ectopic fascioliasis diagnosed as pseudotumor inflammation in colon. Case presentation: A 31 year old woman patient, accountant in Kontum province presented with urticaria itching, seropositive ELISA with Toxocara spp. after 21 day course albendazole, not only recede, but also right quadrant painand febrile. Clinical examination and imaging diagnosis of ultrasound (US), multislice computed tomography (MSCT) showed that presumptive diagnosis of colon cancer, metastasis to nodes and liver, different diagnosis of liver and colon lesions due to parasite. Findings: A serological test for some protozoan parasite was carried out, Fasciola eggs were not found in the patients’ stools, both lesions were resected and diagnosed histologically. The results were seropositive Fasciola spp. and Ecchinococcus spp., lesions resembled an eosinophile inflammed pseudotumor in colon. Final diagnosis was liver fascioliasis and ectopic foci in patien’s colon. Outcome: This patient was radical specifically treated with triclabendazole medicine without further complications. Conclusion: Ectopic/ aberant fascioliasis recorded in global medical literature, it can present as superficial or deep focal lesions in imaging diagnosis, serological tests may be helpful in diagnosing in such case.
Key words: Ectopic fascioliasis, seropositive, inflammatory pseudotumor.