Một bệnh nhân là phụ nữ 33 tuổi có tiền sử trước khi nhập viện hoàn toàn khỏe mạnh đến khám tại cơ sở y tế ban đầu có tiền sử đau ngực 2 tuần nay, đay cơ, đau đầu và cảm giác yếu tay (P). Đánh giá ban đầu cho thấy số bạch cầu chung 25 × 109/L (BT: 3.5-10.5 × 109/L) ưu thế bạch cầu ái toan chiếm 71% (BT: 0%-7%), 10% lymphocytes (BT: 16%-52%), và 19% neutrophils (BT: 42%-75%). Các chỉ điểm sinh học trong huyết thanh về tim mạch đều tăng, làm điện tâm đồ (ECG) 12 chuyển đạo cho thấy hình ảnh sóng T đảo ngược trong chuyển đạo II, III, V5, V6. Bệnh nhân được nhập viện tại một bệnh viện địa phương để đánh giá thêm, ở đó người ta làm siêu âm tim mạch đầu dò thực quản (transthoracic echocardiography) cho thấy phân số tống máu không có biểu hiện chuyển động của vách tim bất thường. Chụp mạch vành cho kết quả bình thường. Chụp MRI đầu được thực hiện vì chỉ điểm cánh tay (P)của bệnh nhân bị yếu, kết quả MRI cho hình ảnh nhiều/ đa ổ ở vùng vỏ và vùng chất trắng cho các tín hiệu bất thường liên quan đến vùng thùy trán, thùy đỉnh và chẩm của não. Bệnh nhân được chuyển viện đến Viện của chúng tôi để đánh giá thêm và điều trị.
Thăm khám khi vào viện, bệnh nhân than phiền rằng thay đổi thị lực hai bên mắt từng đợt, mô tả giống như nhìn thấy những đường nguệch ngoạc (“squiggly lines”) trong thị trường của mắt, nhìn dạng đường hầm và có ánh sáng tăng chói cả hai bên mắt. Bệnh nhân không có sốt, ớn lạnh, ho, khó thở,đánh trống ngực, rối loạn tiêu hóa, buồn nôn, thay đổi cân nặng gần đây, tiêu chảy. Gần đây, bệnh nhân có dùng một liệu trình đủ ngày Amoxicillin để điều trị viêm đường hô hấp trên.
Bệnh nhân sống tại South Dakota cả cuộc đời và không có tiền sử đi du lịch ra khỏi Mỹ. cô ta có 11 chú mèo và chúng thường xuyên mang các con chim hoặc con rắn chết vào nhà cô ta và có 2 con chó con. Bệnh nnhân không ăn thịt sống hoặc cá sống. tuy nhiên, bệnh nhân có cho biết rằng mùa hè năm trước cô cùng chịcô ta có thai đã có thói quen ăn gỡ đất bẩn trong một hố trong vườn nhà. Bệnh nhân có tiền sử nghiện rượu lâu dài nhưng không sử dụng ma túy hoặc thuốc đường tiêm khác. Cô ta hút 10 điếu thuốc mõi ngày và nhai thuốc lá. Bệnh nhân có triệu chứng trầm cảm và rối loạn kiểu chán ăn đang được điều trị bằng escitalopram và lorazepam.
Thăm khám và xét nghiệm tại Viện cho thấy thân nhiệt 37.3°C; huyết áp 104/73 mmHg;mạch 55 / phút, nhịp thở 22 lần/ phút và nồng độ oxy bão hòa 100% trong khi thở. Bệnh nhân có yếu nhẹ cơ duỗi bên tay phải và cơ mô út bên (P). Gân phản xạ sâu chi trên tăng bên phải so với bên trái. Khám mắt cho các dấu hiệu bình thường. nhịp tim bình thường và không có tiếng tim bất thường. Kết quả khám bụng không có gì đáng kể, không có gan lách to. Sau khi tầm soát hết toàn bộ cả xét nghiệm và lâm sàng cho kết quả nhiễm giun đũa chó và điều trị đặc hiệu bệnh khỏi, các chỉ số trở về bình thường.
1. Dựa vào bệnh sử ban đầu của bệnh nhân, một trong các rối loạn sau đâyđược nghĩ đến nhiều nhất đối với trường hợp tăng bạch cầu ái toan?
a.Nhiễm trùng
b.Thuốc
c.Khối ác tính
d.Bệnh lý atopy
e.Hội chứng tăng nhiễm bạch cầu ái toan
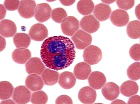
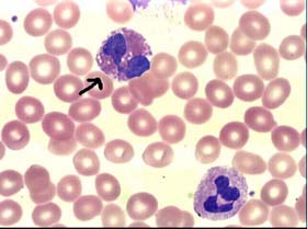
Tăng bạch cầu ái toan mắc phải (eosin > 0.5 × 109/L) có thể phân loại như tiên phát hoặc thứ phát. Với ngoại lệ trường hợp hội chứng tăng nhiễm, tất cả chọn lựa được liệt kê là các ví dụ tăng eosin thứ phát. Tiền sử xã hội của bệnh nhân và khởi đầu đột ngột như vậy về các triệu chứng làm cho nguyên nhân nhiễm trùng có tăng bạch cầu ái toan là nghĩ đến nhiều nhất. Tăng bạch cầu ái toan do thuốc (Medication-induced eosinophilia_MIE) từ tiền sử của bệnh nhân có dùng thuốc amoxicillin trước đó không thể vì nó thường biểu hiện nhẹ và tự khỏi ngày. Bệnh nhân của chúng ta có tăng bạch cầu ái toan đáng kể mà điều này hiếm khi nhìn thấy trên các bệnh lý ác tính. Triệu chứng bệnh lý atopy thường óc ưu thế về mặt di truyền và có thể liên quan đến tăng bạch cầu eosin nhẹ. Điển hình, nguyên nhân atopy gây eczema (dạng viêm da cơ địa), viêm mũi dị ứng và hen phế quản dị ứng, tình trạng mà bênh nhân chúng ta không có. Hội chứng tăng nhiễm bạch cầu eosin là một rối laọn đáng kể bởi sự sản sinh quá mức lượng bạch cầu ái toan.
Chẩn đoán đòi hỏi (1) tăng bạch cầu ái toan bền vững (đếm số bạch cầu ái toan tuyệt đối ≥ 1.5 × 109/L) trong ít nhất 6 tháng; (2) tổn thương cơ quan đích như tim, da, phổi, hệ thần kinh; (3) loại trừ các bệnh nguyên khác gây tăng bạch cầu ái toan. Bệnh nhân ở đây không hội đủ các tiêu chuẩn chẩn đoán này vì cô ta có khỏi bệnh gần đây và mới được chẩn đoán tăng bạch cầu ái toam gần đây. Các đánh giá ban đầu tại bệnh viện gồm chụp x quang bình thường, tốc độ máu lắng là 8 mm/giờ. Thử nghiệm miễn dịch enzyme âm tính đối với các HIV1 và HIV2. Bệnh nhân có phơi nhiễm với các chó con, ăn đất và tăng bạch cầu eosin đáng kể, thì bệnh ký sinh trùng được nghi ngờ là khả thi nhất.
2. Bệnh ký sinh trùng nào là nguyên nhân gợi ý nhất trên bệnh nhân tăng bạch cầu eosin này?
a.Giardiasis
b.Cysticercosis
c.Trichinosis
d.Strongyloidiasis
e.Toxocariasis
Ký sinh trùng gây bệnh có thể phân thành 2 nhóm chính: đơn bào là các sinh vật có một tế bào duy nhất và giun sán có đa tế bào phức tạp. Nhiễm trùng đơn bào như giardia bình thường không gây tăng bạch cầu ái toan. Các loại giun sán gồm giun tròn, sán dây và sán lá có thể gây nên tăng bạch cầu eosin. Tăng bạch cầu eosin đáng kể ở đây thường nhìn thấy khi giun sán xâm nhập vào và di chuyển khắp các mô. Tăng bạch cầu ái toan thường xảy ra sớm trong bệnh ấu trùng sán lợn (cysticercosis), khi sán dây lợn ấu trùng Taenia solium di chuyển và lan rộng đến gan và phân bố trong não và một số mô khác. Trên bệnh nhân này không thấy tổn thương nhu mô não điển hình cho một trường hợp ấu trùng sán dây lợn trên phim khảo sát MRI. Bệnh giun xoắn (trichinosis) thường gây nên một tình trạng tăng bạch cầu ái toan rất cao.
Thường ở khu vực Đông Nam Á, bệnh có liên quan đến tiêu thụ thịt chưa nấu chín như heo, gấu, ngựa, hải mã. Triệu chứng ban đầu gồm buồn nôn, nôn mửa, tiêu chảy, suy nhược và theo sau đó là sốt, đau cơ, đau khớp kèm theo tăng creatine kinase trong máu. Bệnh nhân này không có ăn rau sống hoặc thịt sống và không hề đi du lịch đến đâu ngoài Mỹ. Trong nhiễm trùng giun lươn, dấu hiệu tăng bạch cầu ái toan cũng diễn ra sớm và bệnh lưu hành ở vùng nhiệt đới và cận nhiệt đới trên thế giới và chúng cũng có thể xảy ra ở vùng ôn đới với mức độ rải rác. Tỷ lệ nhiễm cao nhất tại Mỹ xảy ra trên những người dân Appalachia và các bang vùng đông nam. Bệnh nhân này không đi du lịch đến các vùng này. Nhiễm trùng có thể không có triệu chứng, có thể gây các cơn mày đay từng đợt hoặc dẫn đến hội chứng tiêu hóa như đau, đầy hơi, tiêu chảy,…nhưng bệnh nhân ở đây cũng không có.
Bệnh giun đũa chó, mèo thường lưu hành khắp thế giới và có thể gây nên tăng bạch cầu ái toan đáng kể. Bệnh thường gây ra bởi nhiễm giun tròn chó (Toxocara canis), hoặc ít hơn là giun tròn của mèo (Toxocara cati). Trứng của T. canis đào thải bởi các chó con và có thể tìm thấy trong đất. Bệnh giun đũa chó mèo điển hình ảnh hưởng đến trẻ em nhỏ mà có thói quen thường ăn đất. Trên bệnh nhân này có 2 chó con và cô ta thường ăn đất vào mùa hè năm trước.
Các bác sĩ đã có nghi ngờ rất lớn đến khả năng nhiễm Toxocara trên bệnh nhân này.
3. Loại test nào sau đây được lựa chọn nhất để xác định bệnh nền cho bệnh nhân?
a.Sinh thiết mô và chẩn đoán mô học;
b.Enzyme-linked immunosorbent assay (ELISA);
c.Polymerase chain reaction (PCR);
d.Xét nghiệm phân;
e.Xét nghiệm nước tiểu
Sinh thiết mô và giải phẩu bệnh học cho thấy một chẩn đoán xác định nhưng không được chỉ định trong thời điểm này vì tính sẵn có của các xét nghiệm mang tính xâm nhập thì chưa. Khi bệnh giun đũa chó mèo nghi ngờ trên lâm sàng, xét nghiệm huyết thanh học Toxocara ELISA nên được sử dụng thường quy để phát hiện các loại kháng thể và xác định chẩn đoán. Hiện tại, không có xét nghiệm PCR để chẩn đoán bệnh giun đũa chó mèo. Xét nghiệm phân là không đáng khuyến khích cho bệnh giun đũa chó mèo gây ra bởi T canis hoặc T. cati vì chúng không phát triển thành giun trưởng thành trong đường ruột đến giai đoạn để đẻ trứng, T. canis và T. cati cũng không đẻ trứng ra trong nước tiểu.
Kháng thể IgG chống bệnh ấu trùng sán lợn dựa vào xét nghiệm Western blot lại cho kết quả âm tính và xét nghiệm ELISA cũng âm tính đối với bệnh Trichinella. Tuy nhiên, kết quả ELISA của Toxocara là dương tính.
4. Lựa chọn nào tốt nhất trong điều trị bệnh nhân này?
a.Điều trị là không cần thiết
b.Albendazole
c.Corticosteroids
d.Albendazole và corticosteroids
e.Praziquantel
Điều trị đặt ra chỉ định trên các bệnh nhân có triệu chứng và thuốc albendazole là điều trị được lựa chọn. Thuốc được cho liệu trình kéo dài 5 ngày với liều 400mg/lần x 2 lần/ ngày. Đối với các bệnh nhân nhiễm nặng với bệnh giun đũa chó toàn thân hoặc hội chứng ấu trùng di chuyển (visceral larva migrans_VLM), corticosteroids phối hợp với liệu pháp điều trị giun sán thường được khuyến cáo. Corticosteroid đơn thuần không được chỉ định trong điều trị VLM. Ngược lại, đối với các bệnh nhân chỉ bị liên quan đến mắt hoặc hội chứng ấu trùng di chuyển trong mắt (ocular larva migrans_OLM), corticosteroids và liệu pháp phẩu thuật vẫn là chủ đạo. Liệu pháp giun sán không loại trừ hết bệnh ra khỏi mắt. Liệu pháp phối hợp corticosteroid và thuốc giun sán giúp ức chế và hạn chế rất nhiều phản ứng viêm và liệu pháp này được khuyến cáo trên các bệnh nhân bị giun đũa chó có biểu hiện liên quan đến suy hô hấp nặng, viêm cơ tim hoặc hệ thần kinh trung ương. Thuốc Praziquantel dùng để điều trị nhiều bệnh giun sán khác nhau nhưng không được khuyến cáo trong bệnh giun đũa chó.
Bệnh nhân này điều trị liệu trình albendazole 5 ngày và nhận một liều cao prednisone cho thấy giảm triệu chứng lâm sàng và cận lâm sàng dần dần.
5. Để ngăn ngừa tái nhiễm, lựa chọn nào sau đây có hiệu quả nhất?
a.Tái nhiễm là không thể xảy ra vì bệnh nhân giờ này đã có miễn dịch;
b.Điều trị thuốc chống giun dự phòng;
c.Tư vấn bệnh nhân làm thế nào để tránh nhiễm;
d.Khuyên bệnh nhân không có chó;
e.Tiêm vaccine
Sự tái nhiễm với T. canis hoặc T. cati là có thể và nhiễm giun trước đây không tạo ra miễn dịch sau này. Điều trị dự phòng không đóng vai trò trong phòng bệnh hoặc phòng tái nhiễm. Các cố gắng ngăn ngừa nhiễm phải định hướng làm gia tăng kiến thức, đặc biệt các chủ nuôi chó hoặc vật cưng khác về tiềm năng nguy hiễm do nhiễm các bệnh động vật truyền sang người và làm thế nàohạn chế tối đa. Tư vấn cho các bệnh nhân này về mức độ nguy hiểm của thói quen ăn đất, một trong những yếu tố nguy cơ nguy hiểm nhất liên quan đến bệnh giun đũa chó – là việc làm cần thiết. Khuyên bệnh nhân không nên nuôi chó là không cần thiết và không có khả thi. Hiện tại không có sẵn vaccine để bảo vệ khỏi nhiễm toxocara.
Theo dõi sau một tháng thì tình trạng tăng bạch cầu ái toan của bênh nhân đã được giải quyết. toàn bộ tình trạng lâm sàng đã được cải thiện, mặc dù bệnh nhân vẫn tiếp tụcyếu chi trên bên (P). Bệnh nhân được khuyên cách phòng ngừa bệnh nhất là không nên ăn các thức ăn bẩn dể tái nhiễm lại giun đũa chó, mèo Toxocara.
Một số bàn luận
Bệnh giun đũa chó mèo là một bệnh ký sinh trùng hay gặp gây ra bởi T. canis, đây là một loại giun tròn của chó và các vật chủ khác. T cati, một loại giun tròn tìm thấy ở mèo và các họ mèo khác, song không phải là nguyên nhân thường gặp. Bệnh Toxocariasis có thể dẫn đến một số bệnh lý hình thái đa dạng, gồm nhiễm trùng không triệu chứng, tăng bạch cầu ái toan đơn thuần, hội chứng VLM và OLM.
Kiến thức về chu kỳ sinh bệnh và phát triển của T. canis là cần thiết để hiểu biết về cơ chế bệnh sinh và đặc điểm lâm sàng của bệnh. Chó và một số loại súc vật thuộc họ chó là các vật chủ chính của ký sinh trùng T. canis. Con giun T. canis trưởng thành sống trong ruột non của chó, thường là chó con và sinh ra trứng bài tiết ra phân vào môi trường. Giun cái T. canis trưởng thành đẻ ra khoảng 200.000 trứng/ ngày và chó nhiễm nhiều giun có nguy cơ cao đào thải hàng triệu trứng ra môi trường mỗi ngày. Trứng của T. canis đào thải vào trong đất, cát và thường nhiễm trong vòng2-5 tuần trong điều kiện môi trường thích hợp.
Người được xem là vật chủ tình cờ của T. canis và liên quan đến chu kỳ của bệnh do tiêu hóa phải trứng từ môi trường. Các trứng bị nhiễm đào thải bởi chó đã được phân lập trong các sân vườn, công viên, sân chơi và các nơi vui chơi cộng cộng. Trứng Toxocara có thể sống sót trong đất vài tháng đến vài năm, lệ thuộc vào môi trường. Một điều đáng chú ý, T. canis nhiễm vào trong các vật chủ chó tại các vùng nhiệt đới và ôn đới trên thế giới, ngoại trừ vùng có vĩ độ bắc cao hơn 60°. Một yếu tố nguy cơ quan trọng của bệnh giun đũa chó mèo là thói quen ăn đất (geophagia) (hay ăn chất bẩn). Các trẻ em thường bị nhiễm do chơi đùa với đất bẩn mà không chú ý. Tiếp xúc với các con chó con là một yếu tố nguy cơ khác cho nhiễm vì các chó con có tỷ lệ nhiễm Toxocara cao hơn chó khác.
Một khi vật chủ người có tiêu hóa phải trứng nhiễm, trứng sẽ đẻ trong đoạn gần của ruột non và ly giải ấu trùng. Ấu trùng xuyên thành niêm mạc ruột non và di chuyển thông qua tuần hoàn tĩnh mạch cửa đến gan. Rồi tiếp đó, ấu trùng di chuyển đến tim, đi vào tuần hoàn phổi và đến tuần hoàn chung của cơ thể, nên chúng có thể đi rải rác khắp các mô và cơ quan trong cơ thể.. Ấu trùng óc thể tìm thấy khắp các cơ quan, gồm thần kinh trung ương, tim, phổi, gan, hệ thống cơ (dẫn đến àVLM), và mắt (dẫn đến à OLM). Dự di chuyển đến các mô gây ra tình trạng đáp ứng viêm nghiêm trọng và tăng bạch cầu ái toan.
Hai triệu chứng lâm sàng ban đầu liên quan đến nhiễm giun đũa chó mèo Toxocara là hội chứng VLM và OLM. Các mô tả ban đầu bởi tác giả Beaver và cộng sự năm 1952, VLM đặc trưng bởi các triệu chứng tăng bạch cầu ái toan trường diễn, tăng bạch cầu chung, sốt, gan lách to và thói quen ăn đất. Các bệnh nhân có thể có nhiều đặc điểm lam sàng khác nhau vì ấu trùng có thể lan theo đường máu đến hầu hết các cơ quan. Sự thâm nhiễm của gan dẫn đến gan lớn. Đặc điểm lâmsàng liên quan đến hô hấp bao gồm viêm phế quản cấp, hen phế quản và viêm phổi. Khoảng ½ số bệnh nhân có triệu chứng ở phổi sẽ có bằng chứng thâm nhiễm phổi trên phim chụp x quang. Các tổn thương ảnh hưởng đến viêm cơ tim hoặc thàn kinh trung ương cũng đã được báo cáo.
Các đặc điểm lâm sàng về thần kinh gồm co giật, động kinh, viêm não màng não và rối loạn hành vi. Các nghiên cứu về giải phẩu tử thi tren bệnh nhân có triệu chứng của bệnh lý thần kinh do giun đũa chó mèo (neurotoxocariasis) đã cho thấy nhiều u hạt với ấu trùng nằm trong hệ thần kinh trung ương. OLM là do nhiễm trùng trong mắt với Toxocara và điển hình thường xảy ra một bên mắt. Đặc điểm lâm sàng trên mắt gồm có viêm mạch võng mạc (chorioretinitis), viêm nhú nhãn cầu (optic papillitis), viêm nội nhãn (endophthalmitis), sưng viêm giác mạc và giun tròn di động trong mắt. Rói loạn có thể diễn tiến từng phần trường diễn hoặc mất thị lực hoàn toàn.
Chẩn đoán hội chứng VLM nên cân nhắc trên các bệnh nhân có tăng bạch cầu ái toan, tăng số bạch cầu chung và gan lớn. Một bệnh sử có thói quen ăn đất và phơi nhiễm với chó con đã giúp chẩn đoán cho ca bệnh này, bệnh thường ảnh hưởng đến các trẻ em từ 1-5 tuổi (trung bình 2 tuổi). Hội chứng OLM nên ngi ngờ và hướng đến trên các trẻ em có triệu chứng mắt một bên và có tổn thương chất trắng hoặc chất xám trên kết quả soi đáy mắt. Các trẻ em bị OLM thường lớn tuổi hơn (trung bình là 8 tuổi) hơn các trẻ khác về VLM. Toxocara ELISA đã được báo cáo có độ nhạy 78% và độ đặc hiệu 92% ở hiệu giá kháng thể ≥ 1:32 và có ích đẻ xác định một chẩn đoán khi lâm sàng nghi ngờ. Chẩn đoán xác định có thể thiết lập bằng xác định có ấu trùng trong mẫu bệnh phẩm sinh thiết.
Các bệnh nhân không có triệu chứng lâm sàng không cần thiết phải điều trị thuốc giun sán. Đối với các bệnh nhân có triệu chứng, nhiều loại thuốc điều trị giun sán dùng như diethylcarbamazine, thiabendazole, mebendazole, albendazole. Albendazole (400 mg đường uống, mỗi ngày 2 lần x 5 ngày) hoặc mebendazole (100-200 mg đường uống, 2 lần mỗi ngày x 5 ngày) đãđược khuyến cáo là các thuốc chọn lựa trong điều trị VLM. Đối với các bệnh nhân bị tổn thương các cơ quan như viêm hô hấp, tim mạch, thần kinh trung ương nghiêm trọng, thì liệu pháp corticosteroid chỉ định là có thể đảm bảo. Thuốc corticosteroid dùng nội nhãn và đường toàn thân được chỉ định trong OLM trong 4 tuần đầu có triệu chứng nhưng dùng đồng thời với thuốc giun chưa thấy chứng minh là có hiệu quả hơn.
Nhiễm giun đũa chó, mèo Toxocara có thể phòng ngừa được bằng các biện pháp đpơn giản Các con chó và mèo nhiễm nên được điều trị bằng thuốc giun sán thú y. Các chủ nuôi thú cưng nên được giáo dục sức khỏe về nguy hiểm của giun đũa Toxocara, chủ động giải quyết các khó khăn về con vật cưng của họ cùng với các nhà thú y giải quyết bệnh Toxocara. Xử lý các rác bẩn của thú cưng mọt cách thích hợp nhất. Các trẻ em không nên tiếp xúc với các chó, mèo nhiễm bệnh. Các trẻ và người lớn có thói quen ăn đất nên tránh môi trường ô nhiễm.
Câu trả lời đúng: 1. a, 2. e, 3. b, 4. d, 5. c
Ca bệnh trên đây do nhóm tác giả gồm Britta Lassmann, Constantine Tsigrelis, Abinash Virk đang làm việc tại khoa nội, Đại học Y khoa Mayo, Rochester, Minn, Mỹ; khoa bệnh truyền nhiễm đại học y khoa Mayo cùng tiến hành và theo dõi, ghi nhận ca bệnh được xem là độc đáo này.
Tài liệu tham khảo
1.GlickmanLT, SchantzPM. Epidemiology and pathogenesis of zoonotic toxocariasis. Epidemiol Rev. 1981;3:230-250.
2.SchantzPM. Toxocara larva migrans now. Am J Trop Med Hyg. 1989; 41(3, suppl):21-34.
3.SchantzPM, GlickmanLT. Toxocaral visceral larva migrans. N Engl J Med. 1978;298:436-439.
4.StricklandGT, SchantzPM. Toxocariasis. In: StricklandGT, ed. Hunter's Tropical Medicine and Emerging Infectious Diseases. 8th ed.Philadelphia, Pa: WB Saunders Co; 2000:787-790.
5.BeaverPC, SnyderCH, CarreraGM, DentJH, LaffertyJW. Chronic eosinophilia due to visceral larva migrans: report of three cases. Pediatrics. 1952;9:7-19.
6.AbeK, ShimokawaH, KubotaT, NawaY, TakeshitaA. . Myocarditis associated with visceral larva migrans due to Toxocara canis. Intern Med.2002;41:706-708.
7.VidalJE, SztajnbokJ, SeguroAC. Eosinophilic meningoencephalitis due to Toxocara canis: case report and review of the literature. Am J Trop Med Hyg. 2003;69:341-343.
8.Moreira-SilvaSF, RodriguesMG, PimentaJL, GomesCP, FreireLH, PereiraFE. Toxocariasis of the central nervous system: with report of two cases. Rev Soc Bras Med Trop.2004;37:169-174.
9.ShieldsJA. Ocular toxocariasis: a review. Surv Ophthalmol. 1984;28:361-381.
10.GlickmanL, SchantzP, DombroskeR, CypessR. Evaluation of serodiagnostic tests for visceral larva migrans. Am J Trop Med Hyg. 1978;27:492-498.