ễn Hoài Tràn dịch màng phổi (TDMP) có thể do nhiều nguyên nhân nhân khác nhau, có thể do nhiễm vi khuẩn, virus, nấm, vi khuẩn lao, đặc biệt nhiễm ký sinh trùng là một nguyên nhân hay gặp dẫn đến bệnh lý màng phổi vùng nhiệt đới cần đặt ra khi nguyên nhân TDMP không rõ ràng, chúng có thể liên quan đến màng phổi kèm hoặc không kèm theo thương tổn vùng nhu mô phổi.
Tràn dịch màng phổi có thể là một hội chứng hoặc triệu chứng tiên phát hoặc thứ phát saunhiều nguyên nhân gây ra (nhiễm trùng, chấn thương, bệnh lý nội khoa, ngoại khoa, do thuốc [6] đang điều trị, nhiễm độc, ung thư di căn,…). Trong đó, tràn dịch màng phổi do ký sinh trùng là bệnh lý hiếm gặp và nhiều chủng loài ký sinh trùng hoặc đơn bào đơn thuần hoặc phối hợp gây nên[1],[2]. Do tính chất đa nguyên nhân, đa tác nhân nên một số trường hợp tràn dịch màng phổi ngay từ đầu không xác định được nguyên nhân dẫn đến việc điều trị bao vậy, hoặc chậm trễ, để lại di chứng hoặc đe dọa tính mạng bệnh nhân. Nhân đây, 1 ca bệnh lâm sàng được điều trị thành công với chẩn đoán xác định là tràn dịch màng phổi tăng bạch cầu ái toan do ký sinh trùng Toxocara canis, Strongyloides stercoralis di chuyển nội tạng tại bệnh viện đa khoa Thiện Hạnh, tỉnh Đăk Lăk, đồng thời qua đó xin tổng hợp y văn và cập nhật thông tin thế giới nhằm bổ sung dữ liệu về các tác nhân có thể gây tràn dịch màng phổi và tiến trình chẩn đoán. Bệnh nhân nam người Campuchia được chẩn đoán và điều trị thành công tràn dịch màng phổi hai bên tăng bạch cầu ái toan do đồng nhiễm hai loại ký sinh trùng. Sau khi có kết quả phân tích dịch màng phổi, cân nhắc các nguyên nhân có thể cùng với kết quả xét nghiệm miễn dịch ELISA Toxocara canis và Strongyloides stercoralis dương tính đã giải thích và xác định ca bệnh này. Ngoài ra, sự làm sạch dịch màng phổi và cải thiện lâm sàng sau khi điều trị thuốc đặc hiệu ivermectin và albendazole cho phép xem giun đũa chó và giun lươn là tác nhân dẫn đến tràn dịch màng phổi trên ca bệnh này. Ca bệnh giúp làm sáng tỏ phổ chẩn đoán phân biệt và các thầy thuốc cần suy nghĩ thận trọng khi đối mặt với bệnh nhân có tràng dịch màng phổi tăng bạch cầu ái toan, đặc biệt đang sống trong vùng nhiệt đới và bệnh ký sinh trùng nên được coi là một vấn đề quan trọng trong chẩn đoán phân biệt.
Trình bày ca bệnh
Bệnh nhân Din Bun Th., sinh năm 1980, giới tính nam, cân nặng 50kg, hiện đang cư ngụ và làm việc tại tỉnh Mondulkiri, Campuchia. Ngày vào viện: 01/7/2014 với lý do đau ngực.
Diễn biến bệnh lý: Cách ngày nhập viện khoảng 1 tháng, bệnh nhân bị đau ngực (T) kèm khó thở, sốt nhẹ. Bệnh nhân đến khám và điều trị tại bệnh viện đa khoa (BVĐK) Thiện Hạnh với chẩn đoán viêm phổi màng phổi (T) và được điều trị với kháng sinh (Cephalosporine, Amikacin) và thuốc chống viêm (Solumedrol). Sau 1 tuần điều trị, bệnh nhân hết sốt, giảm đau, được xuất viện. Khi xuất viện bệnh nhân được kê đơn kháng sinh uống thêm 1 tuần nữa.
Tiền sử Bệnh nhân không có tiền sử bệnh lý tim mạch hoặc gan thận trước đó. Lần này, cách nhập viện 2 ngày, bệnh nhân đau ngực bên (T) mức độ trung bình, đau tăng khi thở sâu và khi nằm nghiêng bên (T). Kèm theo bệnh nhân sốt từng cơn, dao động (38-390C), khó thở nhẹ khi nằm đầu thấp.
Dịch tễ: bệnh nhân sống và làm việc trong tỉnh Mondulkiri, Campuchia – nơi có nhiều ca mắc ấu trùng giun lươn, giun đầu gai đã được phát hiện và điều trị tại Trung tâm chẩn đoán y khoa Hòa Hảo thành phố Hồ Chí Minh, Bệnh viện Bệnh nhiệt đới TP. Hồ Chí Minh, Viện Sốt rét-KST-CT Quy Nhơn. Ghi nhập lúc nhập vào khoa cấp cứu và khoa nội tổng hợp bệnh viện BVĐK Thiện Hạnh:
Lâm sàng
Bệnh tỉnh táo, da niêm mạc hồn; mạch 110 lần/phút, huyết áp 100/60 mmHg, nhiệt độ 38,50C; ho khan, đau ngực trái; nhịp tim nhanh đều, tiếng tim mờ; khám phổi nghe ran ầm, phế bào giảm ở vị trí 1/3 dưới phổi (T) kèm rung thanh giảm, gõ đục một vùng lớn.
Cận lâm sàng
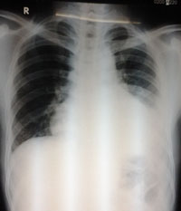
CTMTP: Bạch cầu tăng 13.000/mm3, bạch cầu ái toan chiếm ưu thế 11%, bạch cầu đa nhân trung tính 70%; chỉ số CRP: 47 mg/L (bình thường < 3); men gan AST: 88 U/L, ALT: 100 U/L, GGT: 100 U/L; men tim CK-MB, Troponin T: Âm tính; X-quang phôi: bóng tim lớn nhẹ, tràn dịch màng phổi phía bên (T); siêu âm tim: màng ngoài tim Echo kém, dày 3 - 5 mm; siêu âm bụng: Gan lách bình thường, ghi nhận TDMP (T), bề dày lớp dịch 37 mm.
Thái độ xử trí và điều trị
-[Ceftazidim 3g/ngày + Amikacine 0,5g/ngày] x 3 ngày
-Thuốc hạ sốt, chống viêm và vitamin.
Sau 3 ngày điều trị bệnh nhân vẫn còn sốt, đau ngực tăng, đau cả ngực (P) và (T). X-quang phổi kiểm tra cho thấy TDMP bên (T) tăng. Siêu âm màng phôi cho hình ảnh TDMP 2 bên. Bệnh nhân được chọc dịch màng phổi để xét nghiệm, kết quả như sau:
-Dịch màng phổi màu vàng sậm, không có máu;
-Protein: 46 g/l; glucose: 6,6 mmol/l; phản ứng Rivalta (+); ADA dịch màng phổi: 8,4 U/L
-Bạch cầu: 15200 TB/ mm3; bạch cầu neutrophil: 10%, lymphocyte: 5%, đặc biệt bạch cầu ái toan tăng rất cao 75%, có vài tế bào đơn nhân kích thước lớn;
-Bệnh nhân được chẩn đoán lại là viêm màng phổi nghi do ký sinh trùng à Chỉ định xét nghiệm thêm huyết thanh chẩn đoán các bệnh ký sinh trùng thường gặp ở Việt Nam, với kết quả:
-Sán lá gan Fasciola gigantica (+) với hiệu giá 0,888 OD (Bình thường < 0,34 OD)
-Sán lá phổi Paragonimus sp IgG và IgM: âm tính;
-Giun đũa chó Toxocara canis dương tính với hiệu giá 22,5 NTU (Bình thường < 11 NTU);
-Giun lươn Strongyloides stercoralis dương tính với hiệu giá 1,24 (Bình thường < 0,2 OD)
-Giun đầu gai Gnathostoma spinigerum: âm tính
Bệnh nhân tiếp tục được điều trị kháng sinh đủ 7 ngày, và các thuốc khác chống ký sinh trùng: Ivermectine 6mg (Pizar) liều duy nhất, Albendazole 400mg liều 800mg/ ngày trong 21 ngày, Lesaxys 250 mg liều duy nhất 10mg/kg.
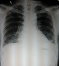
Sau 3 tuần điều trị:
-Tỉnh táo, da niêm hồng hào, không sốt, huyết động ổn định;
-Khám hô hấp, nghe phổi bình thường, tim mạch bình thường;
-X-quang phổi, siêu âm không còn dịch màng phổi.
 |  |  |
Ngày 01/7/2014 | Ngày 08/7/2014 | Ngày 25/7/2014 |
Bàn luận
Tràn dịch màng phổi (TDMP) là hiện tượng có một lượng dịch bất thường quanh nhu mô phổi. Tràn dịch màng phổi có thể hậu quả trực tiếp hay gián tiếp do nhiều nguyên nhân khác nhau. Hầu hết các ca, bản thân TDMP không nghiêm trọng, nhưng cần phải điều trị tích cực nhằm tránh các biến chứng và hậu quả khác. Màng phổi là một lớp màng mỏng bao phủ bề mặt của phổi và nằm bên trong thành ngực. Trong TDMP, dịch tích tụ trong khoang giữa các lớp hay lá của phổi, cho phép phổi di động và nhịp thở khác thường. sự quá tải dịch có thể tích tụ vì cơ thể không thể hấp thu dịch thích hợp (suy tim sung huyết, bệnh lý gan, thận); hoặc TDMP cũng có thể phát sinh từ phản ứng viêm phổi màng phổ, bệnh miễn dịch hay bệnh ký sinh trùng. Nhiều tình trạng y khoa có thể dẫn đến TDMP, trong số đó có một số nguyên nhân phổ biến từ màng phổi, nhu mô phổi và bệnh lý ngoài phổi gây nên:
Một số bệnh lý nội khoa, ngoại khoa và ký sinh trùng gây TDMP [4],[5] | Suy tim sung huyết Viêm phổi Xơ gan Hội chứng thận hư/ cầu thận Bệnh thận giai đoạn cuối Tắc mạch phổi Lupus ban đỏ hệ thống Các bệnh lý miễn dịch khác Nang giả ở tụy Abces khoang bụng Sau phẩu thuật bắt cầu động mạch vành Bệnh lý màng ngoài tim Hội chứng Meigs Tăng u rê máu Khối abces vùng lân cận vỡ vào khoang | Lao phổi Nhiễm trùng nấm Khối u ác tính (phổi, vú, buồng trứng) Hạ protein máu Tràn dịch nhũ trấp Chấn thương ngực – bụng Sán lá phổi Paragonimus sp. Sán lá gan lớn Fasciola sp. Sán lá gan nhỏ Opisthorchis sp. Giun đũa chó mèo Toxocara sp. Giun lươn S. stercoralis Viêm màng phổi do thấp Bệnh lý màng phổi do thuốc Bệnh lý trung thất Khối u ở trung mô không căn nguyên |
|
Liên quan đến triệu chứng TDMP tùy thuộc vào tình trạng và lượng dịch bên trong khoang khoang màng phổi và bệnh lý đi kèm, có thể không biểu hiện triệu chứng đến khó thở và đe dọa tính mạng bệnh nhân. Một số triệu chứng liên quan đến TDMP hay gặp là khó thở, thở nhanh, đau ngực, đặc biệt khi thở sâu (do viêm màng phổi), sốt, ho. Vì TDMP thường là hậu quả của nhiều bệnh lý sẵn có nên khi đó, các nhà lâm sàng cũng có thể phát hiện các triệu chứng bệnh lý nền đó.
Chẩn đoán bệnh nhân tràn dịch màng phổi [4],[5]
Một bác sĩ có thể nghi ngờ TDMP dựa vào thăm khám lâm sàng trên bệnh nhân. Các thầy thuốc có thể nghe, gõ hay khám chuyên khoa hô hấp và một số nghiệm pháp khác xác định. Phần lớn các ca TDMP được xác định sau đó nhờ vào chẩn đoán hình ảnh và các thăm dò chẩn đoán hình ảnh đó gồm có:
- Chụp x quang phổi: chụp x quang phổi thẳng thường là bước dầu tiên để xác định TDMP. Hình ảnh hay gặp lại là các vùng trắng tại đáy phổi. Nếu TDMP có mặt nhiều thì phim chụp cũng có thể nhìn thấy lượng dịch thay đổi tự do khi bệnh nhân nằm chụp;
- Chụp cắt lớp vi tính (CT scan): Với nhiều lát cắt trên phim chụp sẽ giúp chẩn đoán nhanh và quan sát không những vùng TDMP mà còn khảo sát các phần nhu mô phổi cho các thông tin chi tiết hơn về TDMP và bất thường trong phổi;
- Siêu âm: vừa đánh giá TDMP và giúp hướng dẫn chọc lấy dịch, đồng thời xác định dòng dịch chảy tự do;
- Sinh thiết và phân tích về mặt tế bào: tế bào học dương tính cho thấy độ nhạy thấp (54-73%) và độ đặc hiệu cao (97%) đối với các khối u ác tính. Độ nhạy sẽ tăng lên khi thực hiện nhiều mẫu, lần lượt 50%, 66,7% và 73,3% lần lượt đối với làm 1 mẫu, 2 mẫu và 3 mẫu. Các khối u ác tính chưa thể loại trừ nếu khi nhận kết quả tế bào học màng phổi âm tính;
- Xét nghiệm tìm trứng, ấu trùng hoặc giun/ sán trưởng thành trong mẫu bệnh phẩm phân, đờm và máu, dịch màng phổi rút ra từ khoang màng phổi;
- Nuôi cấy: TDMP nên thu mẫu dịch và nuôi cấy trên môi trường máu hiếu khí. Các mẫu phân tích về vi khuẩn mycobacteria, nấm, virus nên gởi đi phòng xét nghiệm chuyên khoa nếu nghi ngờ;
- pH: đo độ pH thông qua máy đo khí máu cho kết quả chính xác. Nhìn chung, khi độ pH thấp (< 7.2) sẽ cho thấy có sự liên kết với một chỉ số LDH cao và glucose thấp; chỉ số này chỉ ra TDMP cận phổi có biến chứng, viêm khớp dạng thấp hay khối u ác tính đang tiến triển;
- Xét nghiệm Adenosine Deaminase (ADA): xét nghiệm này không đòi hỏi làm thường quy tại các quốc gia có bệnh lao hiếm. Các yếu tố như test tuberculin (+), đi du lịch nước ngoài, x-quang phổi bất thường thì nên khuyên bệnh nhân làm test này. Chỉ số ADA trong dịch màng phổi cao hơn 40U/L có một độ nhạy 90-100% và độ đặc hiệu 85-95% đối với chẩn đoán viêm màng phổi do lao;
- Xét nghiệm miễn dịch chẩn đoán như Western blot hay ELISA giúp chẩn đoán sớm TDMP do một số tác nhân ký sinh trùng. Trên bệnh nhân này các xét nghiệm ELISA ký sinh trùng được làm theo kít chẩn đoán sán lá gan lớn, giun đầu gai từ trường Đại học Y dược TP. Hồ Chí Minh và kit chẩn đoán ấu trùng giun lươn, ấu trùng giun đũa chó Parasite ELISA của Bỉ, tất cả có độ nhạy và độ đặc hiệu trên 90%. Trên thực tế thử nghiệm của các bộ chẩn đoán cho thấy có phản ứng dương tính chéo giữa nhiều loài giun tròn với nhau, nhưng trong ca bệnh này việc xác định sự dương tính chéo giữa các ấu trùng giun đũa chó và giun lươn có hay không là không thể vì không có công cụ phân tử để xác định loại trừ - đây là hạn chế trong báo cáo ca bệnh này;
- Một số thông số sinh hóa khác như glucose, độ pH, lactate dehydrogenase, tinh thể cholesterol, triglyceride, đếm bạch cầu ái toan trong dịch và nồng độ interleukin-5;
- PCR: giúp chẩn đoán tác nhân gây bệnh trong một số trường hợp khó chẩn đoán phân biệt (amip hay tác nhân ký sinh trùng)
Một khi TDMP được xác định trên hình ảnh, mẫu dịch thường được mang đến la bô để phân tích đặc tính và đặt ra chẩn đoán nguyên nhân. Trong một quy trình gọi là thủ thuật chọc dò lồng ngực để lấy dịch màng phổi (thoracentesis), vài trò của chúng rất quan trọng vừa mang tính chẩn đoán và vừa điều trị.
Nhiễm ký sinh trùng là một nguyên nhân liên đới cần quan tâm trong bệnh lý màng phổi trong trường hợp biểu hiện TDMP mà nguyên nhân chưa rõ ràng thì nên đặt ra vấn đề chẩn đoán. Chúng có thể liên quan đến màng phổi kèm hoặc không kèm theo vùng kế cận. Bệnh amip, sán lá gan Fasciola sp. ảnh hưởng đến màng phổi do cơ chế dò qua cơ hoành từ một abces gan [9]. Điều này rất quan trọng để chẩn đoán vì dễ điều trị nhưng sẽ nguy hiểm đe dọa tính mạng nếu không xử trí. Bệnh nang sán (cystic hydatid) có thể đầu tiên là màng phổi, nhưng thường thứ phát đến màng phổi do hậu quả vở nang trong gan hay phổi. Vỡ nang thường phải điều trị phẩu thuật, nó có thể dẫn đến sốc phản vệ, sớm hơn do mưng mủ hay abces phổi và sau đó là bệnh nang sán lan tỏa thứ phát. Bệnh sán lá phổi ở màng phổi thường chẩn đoán nhầm với bệnh lao, bệnh nhân có thể không phát hiện trứng trong đờm hay phân, nhưng trong dịch màng phổi là một số hiệu đặc trưng. Các bệnh nhiễm ký sinh trùng khác hiếm gặp hơn liên quan đến màng phổi gồm hội chứng Loeffler, bệnh phổi tăng bạch cầu ái toan nhiệt đới (tropical pulmonary eosinophilia), giun đũa chó mèo, Anisakis, giun lươn và sán máng [1],[2]. Một số ký sinh trùng khác như Pentastomids và Mansonella sp. cóthể tìm thấy trong màng phổi một cách tình cờ qua chụp x-quang hay giải phẩu tử thi, nhưng hiếm khi tìm thấy gây ra bệnh lý tại màng phổi [3].
Bệnh ký sinh trùng tại một số quốc gia phát triển rất hiếm xảy ra, nhưng trên phạm vi toàn cầu gần đây lại gia tăng như vấn đề y tế toàn cầu do du lịch đến các vùng lưu hành bệnh và số ca di dân tăng cao, điều này khiến cho bệnh lý màng phổi do ký sinh trùng với số ca ghi nhận có tăng lên. Bệnh do Entamoeba histolytica (thứ phát do abces gan vỡ qua cơ hoành lên màng phổi), Echinococcus granulosus (vật chủ chính là chó và cừu và người mắc phải do nhiễm nang sán, gây bệnh ở gan, phổi và lách, đôi khi nang sán vở ra gây sốc nhiễm trùng hoặc vỡ vào đường khí phế quản) và sán lá phổi Paragonimus westermani hay Paragonimus miyazakii là các nguyên nhân ghi nhận gần đây khá cao tại một số quốc gia châu Á.
Đánh giá chẩn đoán bệnh nhân TDMP có tăng bạch cầu ái toan
Tràn dịch màng phổi có tăng bạch cầu ái toan (Eosinophilic Pleural Effusion_EPE) lần đầu tiên được mô tả bởi tác giả Harmsen vào năm 1894 và định nghĩa EPE khi dịch chứa ít nhất 10% số bạch cầu ái toan. EPE chiếm tỷ lệ khoảng 5-16% các loại TDMP và có thể là một đặc điểm cho nhiều loại bệnh lý khác nhau. Nguyên nhân gây TDMP thường gặp nhất liên quan đến EPE là khối ác tính, nhiễm trùng, sau chấn thương, tự phát.
Nhiễm ký sinh trùng là một nguyên nhân gây bệnh lý màng phổi hay gặp và hiểu đầy đủ, nên cần cân nhắc đặt ra vấn đề chẩn đoán phân biệt. Chúng có thể liên quan màng phổi hoặc cơ quan phụ cận màng phổi, bệnh có thể xác định thông qua các phản ứng miễn dịch với sự ly giải các chất liên quan hướng động bạch cầu ái toan các yếu tố hóa học.
Trong số các bệnh ký sinh trùng gây EPE thì sán lá phổi là có tỷ lệ cao nhất, đặc biệt tại các quốc gia bệnh lưu hành tại phía Đông và Nam Á, ngoài ra còn gặp ở châu Phi, Nam Mỹ và thậm chí ở Bắc Mỹ. Một số loài ký sinh trùng khác được báo cáo liên quan đến EPE là sán nhái, giun đũa chó mèo, bệnh dòi, giun chỉ Loa loa, sán echinococcus, giun đũa, amip và Giardia sp. 39% số ca sán lá phổi đã được báo cáo trên y văn Ấn Độ thì có 4 bệnh nhân TDMP.
Liên quan đến bệnh phổi do tác nhân đơn bào Giardia sp. có tăng bạch cầu ái toan dường như chưa được báo cáo thường xuyên. Một ca TDMP duy nhất liên quan đến nhiễm ký sinh trùng đường ruột do Giardia lamblia [10]. Một báo cáo khác bị quy kết viêm phế quản kéo dài và ho vào ban đêm do Giardia lamblia, nhưng sự liên quan TDMP hai bên phổi do Giardia lamblia chưa được báo cáo trên y văn. Trong ca bệnh này, TDMP diễn ra cả hai bên và xét nghiệm duy nhất củng cố chẩn đoán chính là tăng bạch cầu ái toan cao 75% trong dịch và ELISA dương tính cùng lúc 3 tác nhân sán lá gan lớn, ấu trùng giun đũa chó/ mèo và ấu trùng giun lươn [8] - điều này phù hợp với y văn báo cáo ghi nhận nhiễm đơn loài hay đa loài giun sán khác nhau. Nghiên cứu còn được xác định do trước khi có kết quả xét giun sán thì nghĩ nhiều đến TDMP do viêm phổi vi khuẩn nên đã dùng kháng sinh phổ rộng và chống viêm nhưng không hiệu quả và diễn tiến sau 3 ngày còn nặng hơn, chỉ đến khi có kết quả xét nghiệm miễn dịch và điều trị thuốc chống giun sán đặc hiệu theo liệu trình của Tổ chức Y tế thế giới (WHO, 2007; WHO, 2014) và Hội Tiêu hóa thế giới (WGA, 2012).
Điểm yếu trong phân tích ca bệnh này là chưa thể phân biệt được ca bệnh nhiễm chính là loại nào vì thực tế xét nghiệm ELISA có dương tính chéo lẫn nhau giữa các loài giun sán đề cập ở trên như y văn đề cập (Mas-Coma, 2012) vì các kháng nguyên tinh khiết và đặc hiệu chưa sẵn có để độ đặc hiệu tuyệt đối. Hơn nữa, điều kiện và công cụ chưa cho phép phát hiện thêm một số tác nhân hay bệnh lý nền khác để loại trừ liệu chúng có khả năng góp phần đồng thời gây TDMP như hội chứng Chrug-Strauss, hội chứng tăng bạch cầu ái toan ở phổi nhiệt đới (TPE_tropical pulmonary eosinophilia), hội chứng tăng nhiễm bạch cầu ái toan. Đồng thời, cũng chưa có điều kiện sinh thiết màng phổi để loại trừ các khối ác tính, bệnh lý tạo keo, viêm màng phổi do thuốc, nhiễm độc. Tuy nhiên, xác định chẩn đoán TDMP ở đây do tác nhân ký sinh trùng là có thể tin cậy vì 3 tiêu chuẩn: (i) tăng bạch cầu ái toan cao trong dịch màng phổi, (ii) ELISA dương tính cao với 3 loại ký sinh trùng, (iii) bệnh nhân đáp ứng tốt về mặt lâm sàng và cận lâm sàng cải thiện sau khi dùng thuốc chống lại giun/ sán mà không đáp ứng với 2 loại kháng sinh phổ rộng và chống viêm dùng trước đó. Tuy nhiên, ca bệnh tập trung vào hai loại ấu trùng giun tròn là giun đũa chó Toxocara canis và giun lươn Strongyloides stercoralis vì ở đây dù xét nghiệm sán lá gan F. gigantica dương tính thấp và siêu âm không có tổn thương, nên không nghĩ đến là ổ abces vỡ lên cơ hoành và tạo hiện tượng TDMP, nếu chăng chỉ là nhiễm sán lá gan lớn F. gigantica đồng thời.
TDMP tăng bạch cầu ái toan (EPE) được xác định khi có số bạch cầu ái toan chiếm ít nhất 10% trong tổng số bạch cầu trong dịch màng phổi. Tỷ lệ tương đối của EPE đã được ước tính khoảng 5-16% tổng số ca TDMP và có đến 14-20% số ca EPE vẫn chưa chẩn đoán nguyên nhân và đặt tên là không rõ bệnh căn hay tự phát.
Bệnh sử lâm sàng tạp trung vào dịch tễ học, tiền sử du lịch đến các vùng bệnh lưu hành của nấm, ký sinh trùng, thuốc đang sử dụng của bệnh nhân, phơi nhiễm amiang, chấn thương ngực gần đây, nhiễm trùng hô hấp gần đây, bệnh lý nền về gan, thận, phổi, tụy, tắc mạch phổi. Tỷ lệ bạch cầu ái toan tăng khoảng 25-75% số ca có EPE. Tỷ lệ bạch cầu ái toan tăng trong máu ngoại vi thấp hơn so với trong dịch màng phổi và không có mối liên quan giữa lượng dịch trong màng phổi với số bạch cầu ái toan trong dịch, nếu tăng trong máu ngoại vi thường liên đới đến hội chứng Loffler hay viêm mạch, bệnh Hodgkin, nhiễm trùng nấm hay giun/ sán hay hội chứng tăng nhiễm bạch cầu ái toan.
Khi EPE không đi kèm với hình ảnh bất thường trong nhu mô phổi, các nhà lâm sàng phải cân nhắc khối ung thư di căn, sau chấn thương và tràn dịch do nhiễm amiang. Hiếm hơn, các EPE không kèm liên quan đến nhu mô một cách rõ ràng có thể dẫn đến một tình trạng viêm phổi mới điều trị gần đây, lao [7], nấm hay nhiễm ký sinh trùng, u lympho ác tính, lupus ban đỏ hệ thống, viêm tụy mạn, đa u tủy xương, hay hội chứng tăng nhiễm, hội chứng Churg-Strauss [5]. Sự phân bố và điểm tồn tại các bất thường trên nhu mô có thể là bệnh hệ thống hoặc bệnh tại phổi đi kèm EPE. Vai trò của CT-scan phổi trong chẩn đoán EPE chưa được đánh giá. CT-scan có thể cho các thông tin chẩn đoán khi nó thể hiện rối loạn nhu mô dạng ổ hoặc lan tỏa hoặc bệnh lý hạch lympho vùng trung thất mà điều này không nhìn thấy trong x quang phổi [9],[10]. Chụp CT-scan xoắn ốc đối quang giúp chẩn đoán tắc mạch phổi (pulmonary embolism). Tuy nhiên, nếu có nghi ngờ lâm sàng tắc mạch và các test âm tính thì nên chỉ định chụp mạch.
Nhiễm ký sinh trùng phải được xem xét trên đối tượng bệnh nhân có tiền sử du lịch hay dân tại chỗ đến các vùng bệnh lưu hành. Xét nghiệm phân tìm trứng và giun/ sán trưởng thành để đánh giá thêm. Xét nghiệm cẩn thận tế bào học dịch màng phổi có thể thấy hình ảnh ký sinh trùng, trứng hay đầu sán Echinococcus sp. Một số ca có thể tìm thấy trứng trong đờm, đặc biệt khi có tổn thương cả nhu mô.
Các xét nghiệm huyết thanh học đối với bệnh do sán lá phổi, sán nhái, giun đũa chó/ mèo, giun lươn và amip có thể là công cụ duy nhất chẩn đoán khi xét nghiệm phân chuẩn vàng với các bệnh phẩm không có kết quả. Các test huyết thanh khác đối với ký sinh trùng, nấm và bệnh khớp (ANA, RF) hay viêm mạch (ANCA) thì không được khuyến cáo trừ khi trên lâm sàng nghi ngờ cao. Một số test huyết thanh đối với Mycoplasma pneumoniae và Rickettsiae sp có thể giúp xác định tác nhân viêm phổi gần đây được đề cập [10].
Nội soi phế quản không nên thực hiện thường quy trên các bệnh nhân EPE, nó chỉ cân nhắc khi có hình ảnh x-quang và lâm sàng nghi ngờ có thương tổn trong phế quản hoặc khi mẫu chất tiết lấy ra để giúp chẩn đoán. Lấy nước rửa phế quản phế nang rất hữu ích để thiết lập chẩn đoán viêm phổi tăng bạch cầu ái toan cấp và mạn tính.
Sinh thiết màng phổi thường cho thấy hình ảnh viêm màng phổi không đặc hiệu và không nên thực hiện thường quy trên bệnh nhân EPE. Hiếm khi có một chẩn đoán đặc hiệu xác định như nhiễm ký sinh trùng, hội chứng Churg-Strauss, viêm màng phổi do thấp khớp, bệnh histoplasma, coccidioidomycose, hay sarcoidose có thể cần đến sinh thiết màng phổi. Khi trên lâm sàng nghi ngờ, nuôi cấy mô màng phổi có thể giúp trong các ca nhiễm nấm hay do lao. Nếu là EPE do lao thì nồng độ ADA sẽ cao, đôi khi sinh thiết da biết được ký sinh trùng bệnh dòi, nhiễm Dracunculus medinensis, sán nhái dưới da. Sinh thiết da cũng có ích trong chẩn đoán viêm mạch nếu nghi ngờ trên lâm sàng. Xét nghiệm mô học các nốt lympho ở vùng trung thất hay vùng ngoại vi nổi lên cao để chẩn đoán u lympho, bệnh lý Hodgkin, ung thư di căn, lao, nấm. Khi có thương tổn trên nhu mô, thường nội soi phổi mở hay xuyên khí phế quản có thể được xem xét trong trường hợp khó chẩn đoán.
Nói tóm lại, trong trường hợp mắc EPE, xét nghiệm đầu tiên chỉ định là xét nghiệm trực tiếp dịch màng phổi để tìm ký sinh trùng, trứng và nấm; có thể bổ sung sau đó là nuôi cấy nấm và lao; xét nghiệm tế bào học đối với các tế bào ác tính. Phân nên được đánh giá để tìm trứng và ký sinh trùng. Xét nghiệm huyết thanh học và nội sôi khí phế quản có thể chỉ định sớm trong một số ca khó. Các mẫu bệnh phẩm đờm và đường hô hấp cũng có thể kiểm tra trứng hay con trường thành. Điểm hạn chế trong trong ca bệnh báo cáo ở đây là nhiễm đơn thuần một trong hai loài hay nhiễm đồng thời hai loài Toxocara canis và Strongyloides stercoralis gây ra TDMP là không thể phân biệt nếu chỉ dừng lại ở xét nghiệm miễn dịch ELISA. Bệnh nhân không đáp ứng với kháng sinh, trong khi đáp ứng nhanh với thuốc diệt ký sinh trùng đặc hiệu, điều này có thể nghĩ đến tác nhân gây TDMP chính là ký sinh trùng chứ không phải do vi khuẩn.
Kết luận
Trong trường hợp bệnh nhân có biểu hiện lâm sàng một hội chứng hô hấp, biểu hiện tràn dịch màng phổi tăng bạch cầu ái toan, cần đặt ra vấn đề chẩn đoán phân biệt với một số bệnh lý do ký sinh trùng và hướng đến chẩn đoán với các xét nghiệm huyết thanh miễn dịch để xác định tác nhân sớm và điều trị kịp thời, nhằm hạn chế biến chứng và di chứng trên bệnh nhân.
Tài liệu tham khảo
1.Ashwath ML, Robinson DR, Katner HP (2004), “A presumptive case of toxocariasis associated with eosinophilic pleural effusion: Case report and literature review”, Am J Trop Med Hyg Vol.71, pp.764.
2.Dickson Despommier et al., (2003), “Toxocariasis: Clinical aspects, epidemiology, medical ecology, and molecular aspects”, Clinical microbiology reviews 2003, Vol. 16, No. 2: 265-272.
3.Dorn Watthanakulpanich et al., (2010), “Diagnostic trends of human toxocariasis”, J Trop Med Parasitol. 2010;33:44-52.
4.Ioannis Kalomenidis, Richard W. Light (2003), “Eosinophilic pleural effusions”, Curr Opin Pulm Med. 2003;9(4)
5.Krenke R, Nasilowski J, Gorska K, Przybylowski T et al.,(2009), “Incidence and etiology of eosinophilic pleural effusion”, Eur Respir J 2009;34:1111-7.
6.Kravetz JD, Federman DG et al., (2003), “Valproic acid-induced eosinophilic pleural effusion”, South Med J , Vol.96, pp.803-6.
7.Ozkara SK, Turan G, Basyigit I (2007), “Clinicopathologic significance of eosinophilic pleural effusion in a population with high prevalence of tuberculosis and cancer”, Acta Cytol Vol.51, pp.773-81.
8.Premanan R. et al., (2003), “Eosinophilic pleural effusion and presence of filariform larva of Strongyloides stercoralis in a patient with metastatic squamous cell carcinoma deposits in the pleura”, Indian J Chest Dis Allied Sci, Vol.45, pp.121-124.
9.Sezgi C, Cicek M, Selimoglusen C et al.,(2013), “Pulmonary findings in patients with fascioliasis”, Acta Medica Mediterranea, Vol. 29, pp. 841
10.Singh U, Garg N, Chopra V et al., (2013), “Eosinophilic pleural effusion and giardiasis: A causal or a casual relationship?”. Lung India , Vol.30, pp.69-71
11.Win, T.T., Sitiasma, H. and Zeehaida (2011), “Strongyloides stercoralis induced bilateral blood stained pleural effusion in patient with recurrent non-hodgkin lymphoma”, Tropical Biomedicine, Vol. 28(1), pp. 64–67 .