Hiện nay sự phát triển du lịch và giao thương quốc tế là điều kiện thuận lợi phát tán các mầm bệnh trong hệ sinh thái đang ấm dần lên, các nhiễm trùng giun sán có thể dẫn đến viêm não màng não tăng bạch cầu ái toan (eosinophilic meningoencephalitsi_EM) cùng góp phần gia tăng gánh nặng bệnh tật với các bệnh nhiễm trùng đang nổi khác.
Tóm tắt (Abstracts)
Thông qua báo cáo ca bệnh ký sinh trùng trên thần kinh và nhằm mục đích đánh giá một số khía cạnh dịch tễ học của EM trên toàn cầu, xác định chẩn đoán ca bệnh EM dựa vào lâm sàng hệ thần kinh, phiến đồ bệnh phẩm dịch não tủy và máu ngoại vi, đồng thời phân loại nguyên nhân gây EM do tác nhân nhiễm trùng và không nhiễm trùng.
Trình bày ca bệnh: Với đầy đủ yếu tố trên bệnh nhân về tiền sử ăn gỏi cá còn sống và ốc, ở ca bệnh còn các thông số lâm sàng và cận lâm sàng khác và tiến trình chẩn đoán, quản lý ca bệnh, xác định tác nhân.
Tổng hợp y văn: Tổng hợp y văn dựa trên dữ liệu internet từ năm 1966 - 2013, cung cấp thông tin cập nhật về dịch tễ học, lâm sàng và thái độ xử trí của hai bệnh ký sinh trùng thường gặp nhất gây EM trên thế giới, để cảnh báo các nhà lâm sàng về một quần thể bệnh nhân có thể nguy cơ mắc bệnh lý EM do giun.
Kết luận: Nhiễm trùng giun sán đang nổi gây EM như bệnh ấu trùng giun đầu gai và giun mạch, các bệnh này có thể phòng bệnh thông qua giáo dục sức khỏe, thay đổi hành vi ăn uống và chế biến thức ăn hợp lý.
Từ khóa: Viêm não màng não tăng bạch cầu ái toan, Angiostrongyliasis, Gnathostomiasis.
Giới thiệu
Biến đổi khí hậu toàn cầu là một trong những yếu tố thuận lợi cho nhiều tác nhân ký sinh trùng phát triển, gây bệnh và tăng gánh nặng bệnh tật tại nhiều vùng nhiệt đới và cận nhiệt đới, trong đó có Việt Nam. Quá trình toàn cầu hóa về nông nghiệp và thương mại, hàng loạt quần thể di dân cùng với các yếu tố về lối sống và kinh tế xã hội khiến cho nhiều người dễ mắc bệnh ký sinh trùng (KST) hơn. Nhiễm giun sán có thể dẫn đến một số bệnh lý trên hệ thần kinh trung ương với thuật ngữ viêm não màng não tăng bạch cầu ái toan (eosinophilic meningoencephalitis _EM), hai trong số tác nhân KST đó chính là bệnh do Angiostrongylus cantonensis với tên bệnh là Angiostrongyliasis (ANS) và Gnathostoma spinigerum với tên bệnh Gnathostomiasis (GNS). ANS và GNS giờ đây đang lưu hành trên khắp thế giới, nhất là khu vực Nam Thái Bình Dương, Nam Mỹ, vùng Caribbe và Đông Nam Á, kể cả các quốc gia phát triển. Chúng là các căn bệnh từ động vật truyền sàng người đang nổi và đang là mối lo ngại của cộng đồng. Do đặc điểm lâm sàng dựa vào các thể khác nhau của KST, nhất là thể thần kinh lại na ná nhiều căn bệnh nội thần kinh khác và huyết thanh chẩn đoán có những mặt hạn chế của chúng, nhất là phản ứng dương tính chéo, đồng thời các bệnh này có thời gian được xem là các căn bệnh nhiệt đới bị lãng quên. Do đó, việc nhận ra và đưa ra chẩn đoán cũng như quản lý về mặt ca bệnh là điều rất cần thiết.
Trình bày ca bệnh
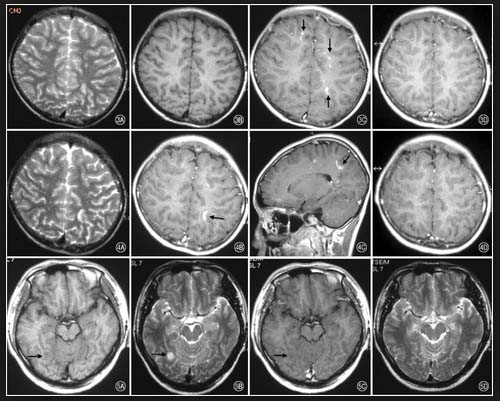
Một bệnh nhân nữ, doanh nhân 51 tuổi nhập viện với triệu chứng nhức đầu cả tuần, cô ta thường ưa thích các hải sản tái, sống ăn với mù tạt. 2 ngày trước nhập viện, bệnh nhân sốt cao > 39ºC, kèm theo nhức đầu và nôn mửa, người nổi ban đỏ, ngứa nhưng vẫn hoàn toàn tỉnh táo. Trước đó bệnh nhân đã khám tại bệnh viện tâm thần do chứng đau đầu liên tục, huyết áp ổn định, không có bệnh lý rối loạn chuyển hóa không thuyên giảm. Sau đó về khoa truyền nhiễm BVĐK tỉnh, ngày vào viện cho thấy có dấu hiệu nhức đầu nghiêm trọng, cứng cổ, dị cảm hai chi dưới, chọc dò tủy sống áp lực mở 240mmH2O, dịch não tủy không màu, trong suốt, bạch cầu 856 x 106 tế bào/L, protein 0,92g/L protein, glucose 1,7mmol/L, bạch cầu ái toan 54%, lymphocytes 37%. Chụp CT scanner và MRI não bộ không có dấu bất thường. Chẩn đóa ban đầu nghĩ đến viêm não màng não do tác nhân ký sinh trùng, huyết thành chẩn đoán ELISA 6 tác nhân, cho kết quả duy nhất Gnathostoma spinigerum dương tính 17 NTU hay OD = 1.26. Bệnh nhân được điều trị với thuốc albendazole liệu trình 3 tuần và corticosteroides 6 ngày, thuyên giảm và ra viện với kết quả xét nghiệm bình thường và lâm sàng cải thiện đáng kể vào ngày 26 kể từ khi nhập viện.
Tổng hợp y văn
Ước tính có khoảng 20-70% số người đi du lịch đến các vùng lưu hành bệnh lý liên quan đến lĩnh vực y học du lịch. Mặc dù nhiều bệnh nhân trong số này có biểu hiện sốt, rối loạn tiêu hóa, hay biểu hiện trên da nhưng tự giới hạn, một số bệnh nhân có biểu hiện nhiễm trùng nặng hơn. Các loài giun tròn Angiostrongylus và Gnathostoma spinigerum thường gây nên bệnh lý viêm não, màng não tăng bạch cầu ái toan (EM) là các tác nhân có thể gây bệnh lý nghiêm trọng.
Viêm não màng não có tăng bạch cầu ái toan (VMNTBCAT) được xác định là có sự xuất hiện số bạch cầu ái toan (BCAT) trong dịch não tủy ≥ 10 cells/µL. Trong một loạt mẫu của 217 mẫu bệnh nhân có triệu chứng viêm màng não thì chỉ số BCAT tăng được ghi nhận trong 2,3% số mẫu. Vì hiện tượng tăng BCAT thường không tìm thấy trong DNT, nên sự xuất hiện của chúng cho thấy một số bệnh nguyên khác nhau có thể phân thành nhóm bệnh nhiễm trùng và không nhiễm trùng. Dù bài báo này sẽ tập trung vào hai bệnh ANS và GNS, các nhiễm trùng khác như nhiễm trùng Baylisascaris, ấu trùng giun đũa chó mèo Toxocara spp, ấu trùng sán dây lợn thể thần kinh; các bệnh lý ác tính, tác nhân thuốc và các vật thể lạ trong nội sọ cũng có thể sinh ra tăng BCAT.
Do VMNTBCAT gây ra bởi một số tác nhân, nên xác định BCAT trong dịch não tủy (DNT) tăng là rất quan trọng. Tăng BCAT có thể bị bị phá hủy hoặc xoắn vặn, méo mó biến dạng về hình thái trong quá trình ở trong DNT và có thể nhầm với bạch cầu đa nhân trung tính nến phân tích DNT theo máy tự động. BCAT có thể phát hiện nhiều hơn khi nhuộm Wright hay nhuộm Giemsa.
Bệnh do giun Angiostrongylus cantonenesis (Angiostrongyliasis_ANS)
A. cantonensis là một trong những tác nhân KST thường gặp nhất gây VMNTBCAT tại một số vùng ngoài châu Ấu và Bắc Mỹ. Một số ca ở người nhiễm loài giun này còn gọi là nhiễm trùng giun sán hướng mô thần kinh (neurotropic helminthic infection) đã được báo cáo tại Nam Thái Bình Dương, châu Á, Úc và vùng Caribbe. Tại Mỹ, một loạt ca đã được ghi nhận tại Hawaii, nơi mà nhiễm trùng Angiostrongylus có lưu hành. Cũng có nhiều báo cáo ANS trên chuột ghi nhận tại bang Louisiana.
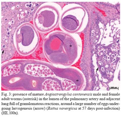
Chu kỳ của loài giun này gồm thể trưởng thành sống và đẻ trứng trong động mạch phổi của các loài gặm nhấm. Các loài Angiostrongylus sinh sản khi trứng đẻ ra và ấu trùng di chuyển vào trong hầu, được nuốt bởi các loài gặm nhấm và ấu trùng đi qua phân. Ấu trùng trở thành ấu trùng giai đoạn 2 và 3 khi chúng được nuốt hay xuyên qua một loài nhuyễn thể nào đó. Người mắc phải nhiễm trùng khi họ ăn các vật chủ trung gian này hoặc một số các vật chủ ‘paratenic host” khác như cua, ếch, tôm hồng hoặc ăn các rau sống chứa các chất từ các vật trung gian hay vật chủ paratenic (vỏ hay chất tiết). Rồi thì ấu trùng đi vào hệ thống tuần hoàn sau khi chúng đi qua đường tiêu hóa và di chuyển tới hệ thần kinh trung ương, ở đó chúng trưởng thành và gây bệnh trên các vật chủ không phải là chuột.
|
Hình 1. Một số loài ốc có liên quan nhiễm loài Angiostrongylus cantonensis |
Đặc điểm lâm sàng của bệnh ANS thường xảy ra 1 tuần đến 1 tháng sau khi phơi nhiễm, gồm có sốt, dị cảm đau. Phổ lâm sàng có thể thay đổi từ thể bệnh nhẹ đến viêm màng não hoặc ít gặp hơn là viêm não. Các đặc điểm lâm sàng hay gặp nhất trong một loạt ca 34 bệnh nhân là đau đầu hai bên thùy thái dương hay vùng trán trong gần 90%, cứng cổ và nôn mửa 56%, dị cảm 54% và sốt 41%. Sự nổi trội của dị cảm đau di chuyển, đặc biệt lưu ý trong bệnh cảnh ANS. Các triệu chứng hiếm gặp hơn gồm có liệt dây thần kinh sọ não, phần lớn là dây số 7 và 8. Ngoài ra, rối loạn thị lực cũng có thể xảy ra thứ phát sau khi ấu trùng xâm nhập vào cơ quan thị giác. Tiến trình bệnh tự nhiên thường có thể tự khỏi tự phát, rút lui các triệu chứng sau 1–2 tuần, mặc dù đau đầu và dị cảm có thể tồn tại đến vài tháng.
Việc chẩn đoán bệnh ANS dựa vào phần lớn tiền sử phơi nhiễm trước đó, đặc điểm lâm sàng và tăng BCAT trong dịch não tủy. Tăng BCAT trong máu ngoại vi có thể hiển thị. Các chỉ điểm cận lâm sàng của DNT về bệnh ANS gồm có dịch có vẩn đục, đám mây, áp lực mở tăng, protein tăng, nồng độ glucose bình thường và tăng số bạch cầu tuyệt đối với số BCAT tăng cao so với bình thường. Bệnh ANS thường không để lại các tổn thương tại chỗ qua hình ảnh CT scanner hoặc MRI não bộ.
Mặc dù, bệnh ANS thường có triệu chứng tự giới hạn, việc lựa chọn điều trị bao gồm can thiệp giảm triệu chứng hoặc phối hợp nhiều liệu pháp khác nhau. Điều trị triệu chứng bao gồm chọc lấy DNT xét nghiệm trước sau khi điều trị, làm giảm nhẹ bớt tình trạng tăng áp lực sọ não và thuốc giảm đau. Trong một nghiên cứu tiến cứu, Punyagupta và cộng sự đã tìm thấy một giải pháp giảm đau đầu trên 60% số ca chỉ bằng thuốc giảm đau đơn thuần ở các bệnh nhân có chẩn đoán lâm sàng VMNTBCAT. Vì tính nghiêm trọng của bệnh ANS được xem là thứ phát đối với phản ứng viêm trên vật chủ, nên thuốc steroids đã được nghiên cứu như một liệu pháp trị liệu tiềm năng. Lợi điểm của steroids là làm giảm nhẹ nhức đầu cũng đã minh chứng trong một nghiên cứu tiến cứu VMNTBCAT lâm sàng điều trị với prednisone qua thời gian 2 tuần. Một số nghiên cứu chưa tìm thấy rằng thuốc steroids có thể hỗ trợ trong điều trị nhiễm trùng ANS.
Dù liệu trình điều trị 2 tuần với thuốc giun có hiệu quả trên mô hình động vật bị ANS, song vai trò của thuốc trên người vẫn còn tranh luận. Jitpimolmard và cộng sự thiết kế một nghiên cứu tiến cứu ngẫu nhiễn trên các bệnh nhân VMNTBCAT được điều trị bằng thuốc albendazole (ALB) trong 2 tuần. Trong nhóm điều trị, số bệnh nhân nhức đầu tồn tại ít hơn sau 2 tuần điều trị (21% so với 41%) và thời gian có triệu chứng ngắn hơn so với nhóm chứng (8.9 ngày so với 16.2 ngày). Một phản ứng viêm liên quan đến chết KST chưa được ghi nhận trong cả mô hình nghiên cứu động vật và người.
Một số nghiên cứu đánh giá phối hợp điều trị vằng steroids và thuốc giun sán. Chotmongkol và cộng sự cho thấy điều trị VMNTBCAT bằng thuốc [albendazole + prednisilone] trong hai tuần. Các nhà nghiên cứu đã cho thấy sự phối hợp này có thời gian tồn tại triệu chứng là 4 ngày và 11.5% trong số bệnh nhân vẫn còn nhức đầu sau khi điều trị. Mặc dù ALB là thuốc lựa chọn ưu tiến trong điều trị bệnh ANS, song phối hợp [prednisilone + mebendazole] cũng đã được nghiên cứu trên những ca xác định qua huyết thanh miễn dịch nhiễm Angiostrongylus. Trong số các bệnh nhân điều trị với [prednisilone + mebendazole] trong hai tuần thì thời gina nhức đầu là 3 ngày và 10% trong số bệnh nhân đó dấu nhức đầu vẫn còn.
Bệnh do Gnathostoma spp. (Gnathostomiasis_GNS)
Nhiễm trùng G. spinigerum tại các vùng lưu hành bệnh ở Đông Nam Á, đặc biệt tại Thái Lan. Tỷ lệ mắc đang gia tăng ở Mexico và Trunghay Nam Mỹ. Vật chủ chính của các loài Gnathostoma là chó và mèo. Sau khi nuốt phải ấu trùng giai đoạn 3, các giun sẽ trưởng thành trong dạ dày của vật chủ và trứng sẽ được đào thải qua phân. Các ấu trùng đẻ ra có thể phát triển thành ấu trùng giai đoạn 2 khi chúng bị ăn phải các nhuyễn thể thuộc giống Cyclops. Các loài nhuyễn thể này rồi thì bị ăn bởi các vật chủ “paratenic hosts”, như cá, ếch, heo, rắn, gà và lươn. Giun trưởng thành sang giai đoạn ba khi chúng di chuyển vào trong mô cơ vật chủ và đóng kén tại đó. Nhiễm trùng có thể bỏ qua giai đoạn giữa các vật chủ “paratenic hosts”, gồm có con người, khi cơ nhiễm trùng bị nuốt phải. Con người bị nhiễm thông qua ăn các vật chủ “paratenic hosts” còn sống hay nấu chưa chín hoặc hiếm hơn thông qua ấu trùng xuyên trực tiếp vào da.
Trên người, các ấu trùng giai đoạn 3 bị nuốt vào không trưởng thành nhưng lại tấn công và di chuyển. Bản chất của nhiễm trùng này là phá hủy xảy ra khi thông qua cơ chế tổn thương cơ học hoặc qua trung gian độc tố, cũng như các phản ứng viêm tại chỗ trên vật chủ do ấu trùng Gnathostoma. Nhiễm trùng loài Gnathostoma điển hình thường được phân loại thành thể da niêm mạc, thể phủ tạng và thể thần kinh trung ương. Nhiễm trùng Gnathostoma có thể gây ra các triệu chứng mà có tái phát trong vòng 10-12 năm, ngược lại nhiễm trùng Angiostrongylus có thể gây các triệu chứng tái phát trong vài tháng. Triệu chứng tái hồi từng đợt có thể dẫn đến thách thức trong chẩn đoán bệnh.
Các đặc điểm trên da của nhiễm ấu trùng Gnathostoma gồm có viêm mô tế bào, hội chứng ban trườn và giả viêm nang lông bất cứ vị trí nào trên thân mình. Các tổn thương này có liên quan đến dấu hiệu đau, bản đỏ và ngứa từng đợt, tái lặp lại. Ngoài ra, vì KST này có thể di chuyển thông qua cả mô nông và sâu, nên chúng sẽ liên đới đến nhiều cơ quan khác nhau. Tương tự như nhiễm trùng Angiostrongylus, thì việc nhiễm trùng Gnathostoma có thể xâm nhập trực tiếp vào mắt gây đau, viêm mống mắt, tăng áp lực nhãn cầu và mù lòa. Mặc dù nhiễm trùng Gnathostoma không có hướng thần kinh, nhưng nó có thể xâm nhập vào hệ thần kinh trung ương. Trong hệ thần kinh trung ương, ấu trùng Gnathostoma thường nghiêm trọng hơn so với Angiostrongylus. Bệnh lý GNS thường có biểu hiện đau rễ thần kinh và dị cảm thân mình, các chi và hiếm gặp hơn là liệt nhẹ hoặc liệt hoàn toàn. Các triệu chứng này được nghĩ là do sự di chuyển trực tiếp của giun dọc theo đi đến các dây thần kinh ngoại biên vào trong tủy sống. Tiến trình bệnh bình thường là đau tủy rễ theo sau là nhức đầu, yếu hay liệt có thể xảy ra trong một số trường hợp. Ấu trùng cũng có thể đào hầm trực tiếp vào trong mô thần kinh có thể dẫn đến viêm màng não, viêm tủy hay viêm não và tổn thương hệ mạch não, dẫn đến xuất huyết dưới nhện. Ngoài ra, liệt các dây thần kinh sọ não số 2-12 cũng được ghi nhận.
Chẩn đoán bệnh GNS là môt thách thức. Sự tăng BCAT trong máu ngoại vi và trong DNT kèm với tiến sử du lịch đến các vùng có nguy cơ nhiễm cao và diễn tiến các triệu chứng sẽ giúp hỗ trợ cho chẩn đoán bệnh này. Tuy nhiên, sự vắng mặt dấu tăng BCAT đã được báo cáo trong một số ít bệnh nhân GNS.Phân tích mẫu bệnh phẩm DNT từ các bệnh nhân GNS thường cho thấy có nhiễm sắc vàng, một dấu hiệu tăng áp lực sọnão trong khoảng 50% số bệnh nhân, tăng lumpho bào kèm theo tăng BCAT, nồng độ glucose bình thường và protein có thể bình thường hoặc tăng. Chụp CT-scanner não bộ cho thấy hình ảnh tổn thương dạng nốt, các vùng xuất huyết với các vết và thậm chí gặp não úng thủy.
Điều trị bệnh ấu trùng giun đầu gai khác nhau tùy thuộc vị trí nhiễm trùng. Đối với thể ngoài da niêm, liệu pháp albendazole (ALB) và ivermectin (IVM) được dùng có hiệu quả, mặc dù một số bệnh nhân cần điều trị thêm liều. Hai nghiên cứu tỏ ra có tỷ lệ chữa khỏi bệnh GNS thể da niêm lần lượt là 94,1% và 93,8% sau 21 ngày điều trị ALB. Đối với bệnh GNS thể da niêm, liệu tình 21 ngày của IVM cho hiệu lực chữa khỏi ngang với liệu trình 21 ngày của ALB. Một liều duy nhất của IVM cho tỷ lệ chữa khỏi thấp hơn liệu trình 21 ngày của ALB (76% so với 92%), mặc dù sự khác biệt này không có ý nghĩa thống kê. Điều trị bệnh lý thần kinh do ấu trùng giun đầu gai GNS đầu tiên là điều trị hỗ trợ vì vai trò của steroids và thuốc chống giun sán trong bệnh GNS thể thần kinh vẫn chưa được xác định rõ ràng. Tương tự như trong bệnh ANS, có một số liên quan đến phản ứng viêm do ký sinh trùng chết có thể làm cho tình trạng lâm sàng nặng nề hơn.
Chẩn đoán bệnh Angiostrongyliasis (ANS) và Gnathostomiasis (GNS)
Chẩn đoán xác định cả bệnh ấu trùng ANS và GNS đòi hỏi xác định tác nhân KST trong mô vật chủ. Tuy nhiên, phân lập KST trong hệ thần kinh trung ương là rất khó khăn và thiếu tính nhạy. Đối với bệnh ANS, xác định KST trực tiếp trong các mô vật chủ hiếm khi được mô tả. Do đó, một số thử nghiệm huyêt thanh được ứng dụng cho bệnh ANS. Độ nhạy và độ đặc hiệu các thử nghiệm này thay đổi rất lớn và bị hạn chế do phản ứng chéo với một số loài KST khác. Sự lựa chọn các kháng nguyên khác nhau chống lại các giai đoạn ấu trùng 3 hay 5 đã được áp dụng trong phân tích Western blot. Các kháng thể đơn dòng cũng được nghiên cứu cho xét nghiệm trên bệnh nhân. Gần đây, một loại xét nghiệm multiple dot–blot ELISA sử dụng các kháng nguyên không tinh khiết Angiostrongylus và huyết thanh người được phát triển với phản ứng chéo với loài Gnathostoma.
Một loạt test thử nghiệm cho nhiễm trùng Gnathostoma, gồm có test da, test ngưng kết với việc sử dụng các giai đoạn khác nhau của G. spinigerum trộn với huyết thanh người, thử nghiệm miễn dịch phóng xạ (RIA), cố định bổ thể (CF), kháng thể huỳnh quang gián tiếp (IFA). Gần đây hơn, các xét nghiệm ELISA và Western blot cũng đã được sử dụng ngày càng nhiều. Các nghiên cứu trước đây sử dụng cả các thành phần của ấu trùng G. spinigerum thô và kháng nguyên 24 kDa tinh khiết để đo các đơn phần IgG subclasses và tổng số. Nopparatana và cộng sự đã tinh khiết kháng nguyên đặc hiệu 24-kDa Gnathostoma từ ấu trùng với độ nhạy và độ đặc hiệu báo cáo là 100%. Đo lường lượng kháng thể IgG subclass đặc hiệu sinh ra đã được đánh giá và xem nó như một công cụ chẩn đoán tốt. Nuchprayoon và cộng sự tìm thấy các kháng thể IgG1 và IgG2 đối với mẫu ấu trùng giai đoạn 3 Gnathostoma toàn phần cho kết quả có độ nhạy và độ đặc hiệu cao nhất. Phát triển các thử nghiệm chẩn đoán đối với G. spinigerum còn giới hạn do phản ứng chéo với các loài giun tròn khác, gồm cả A. cantonensis; Điểm đặc biệt này cần thêm sự nghiên cứu điều chế kháng nguyên đặc hiệu loài G. spinigerum.
Bàn luận
Sự gia tăng xu thế giao lưu và du lịch trên phạm vi toàn cầu cũng như giao thương mua bán quốc tế đang rộng mở và có tiềm năng phát triển các bệnh KST mà chúng ta có thể đối mặt tại các cơ ở khám và điều trị bệnh nội trú và ngoại trú. Trong trường hợp ở đây, sự biểu hiện tăng BCAT trong máu ngoại vi và DNT cùng với tiền sử ăn các hải sản và ốc tươi sống khiến cho G. spinigerum và A. cantonensis là các ứng cử viên KST có thể nhiễm phải. Tuy nhiên, có một số khó khăn trong chẩn đoán: (i) Đếm tế bào tự động trong DNT có thể xác định nhầm lẫn một số lượng lớn BCAT như là bạch cầu đa nhân trung tính, điều này nếu không xem xét lại, sẽ khiến cho chẩn đoán nhầm trên bệnh nhân. Do đó, nếu có nghi ngờ VMNTBCAT thì các mẫu nên nhuộm Wright và Giemsa thích hợp và đọc kết quả cẩn thận.
Vì có một sự giới hạn trong chẩn đoán mô bệnh học và huyết thanh học, nên các đặc điểm lâm sàng là quan trọng để chẩn đoán bệnh ANS và GNS. Không như bệnh GNA, bệnh ANS thường tự “giới hạn” triệu chứng lâm sàng (nhức đầu, sợ ánh sáng và dị cảm). Nhiễm Angiostrongylus cũng có thể liên quan đến các dây thần kinh sọ não và nhãn cầu. So với bệnh ANS, thì bệnh GNS có thể tồn tại trong nhiều năm và biểu hiện các thể lâm sàng da niêm, phủ tạng hoặc thần kinh. Viêm mô tế bào di chuyển, hội chứng ban trườn và bệnh lý giả u nhọt thường là các điểm lâm sàng trong thể bệnh da niêm Gnathostoma. Đặc điểm thần kinh của bệnh GNS thường gồm viêm tủy rễ thần kinh, viêm não, liệt và xuất huyết. Tương tự như nhiễm Angiostrongylus thì nhiễm Gnathostoma có thể liên quan đến thần kinh sọ não và mắt.
Viêm màng não tăng bạch cầu ái toan (VMNTBCAT) do Angiostrongylus và Gnathostoma
Mặc dù có một số khác biệt về mặt lâm sàng giữa bệnh ANS và GNS, song trong trường hợp này mô tả các sự khác biệt đó có thể đôi khi khó gián biệt được. Về mặt lâm sàng, bệnh nhân có dấu hiệu dị cảm và nhức đầu làm cho bệnh ANS trở nên là một chẩn đoán hợp lý.
Dù đã có một số báo cáo bệnh nhân nghiêm trọng và liên quan đến thần kinh kéo dài sau khi nhiễm trùng A. cantonensis. Về mặt lâm sàng, người ta chưa rõ ràng có hay không bệnh nhân này mắc bệnh nào trong ANS hay GNA.
Bảng 1. So sánh đặc điểm nhiễm Angiostrongylus và Gnathostoma với các ca bện mô tả trên y văn
Thông số liên quan | Angiostrongylus cantonensis | Gnathostoma spinigerum |
Phơi nhiễm | Tiêu hóa phải các nhuyễn thể nhiễm bệnh như tôm, cua, ếch, rau và tiếp xúc với chuột | Tiêu thụ các gia cầm hoặc cá bị nhiễm bệnh |
Phân bố địa lý | Nam Thái Bình Dương, Úc, châu Phi, Caribbe, Hawaii, | Đông Nam Á, Nhật Bản, Mexico, Trung và Nam Mỹ, châu Phi và Trung Đông. |
Thời gian khởi phát triệu chứng | Vài ngày -1 tháng | Vài ngày – vài tháng |
Thời gian có triệu chứng | Vài tháng | 10-13 năm |
Triệu chứng lâm sàng | Nhức đầu, sợ ánh sáng, cứng cổ, nôn mửa, dị cảm, sốt, liệt dây thần kinh sọ não, và liên quan đến nhãn cầu | -Trên da có viêm mô tế bào, hội chứng ban trườn, giả u nhọt; - Trên tạng: bất kỳ tạng nào; - Thần kinh: viêm tủy rễ thần kinh, liệt, viêm não, xuất huyết dưới nhện, thần kinh sọ não và thần kinh thị. |
Đặc điểm cận lâm sàng | Tăng BCAT trong máu ngoại vi, trong DNT, tăng áp lực sọ, tăng protein và giá trị glucose bình thường | Tăng BCAT trong máu ngoại vi, sắc tố vàng, tăng áp lực sọ, tăng protein, tăng bạch cầu và glucose bình thường |
Chẩn đoán hình ảnh | CT scanner và MRI thường bình thường | CT scanner và MRI có thể dấu xuất huyết hoặc não úng thủy. |
Chẩn đoán huyết thanh | Immunoblot, ELISA | Immunoblot, ELISA |
Điều trị | Chọc dò tủy sống hàng loạt, giảm đau, thuốc corticoides, thuốc giun sán | Thể da niêm dùng ALB, IVM, có thể dùng thêm corticoides (cân nhắc) trong thể thần kinh, thuốc giun sán. |
Trong cách khó khăn thách thức về mặt lâm sàng, các huyết thanh chẩn đoán đoán nhanh và chính xác nhiễm ký sinh trùng là rất quan trọng. Độ chính xác của các chẩn đoán miễn dịch có thể bị nhiễu bởi các kết quả dương tính giả vì phản ứng chéo của các kháng nguyên giun khác. Ngoài ra, thời gian thu mẫu bệnh phẩm có thể ảnh hưởng lên kết quả chẩn đoán. Trong tình huống này, các mẫu huyết thanh và DNT trong pha cấp tính sẽ âm tính với loài Angiostrongylus, nhưng các mẫu trong pha hồi phục sẽ dương tính với loài Angiostrongylus. Khoảng thời 2 tháng giữa thu thập mẫu DNT và huyết thanh có thể phản ánh thời gian cần thiết có sự chuyển đổi huyết thanh. Trong một loạt ca nhiễm phải A. cantonensis trên 12 bệnh nhân, chỉ có 1 ca dương tính huyết thanh trong pha cấp, so với 10 bệnh nhân dương tính huyết thanh trong pha hồi phục. Do đó, khi có một chỉ số lâm sàng nghi ngờ bệnh ANS, điều quan trọng là thu nhận các dữ liệu huyết thanh học trên các mẫu ở pha dưỡng bệnh hay pha phục hồi.
Số thử nghiệm đối chứng còn hạn hữu để chỉ ra các lợi điểm hay bất lợi khi sử dụng thuốc chống giun sán để điều trị A. cantonensis và G. spinigerum nhiễm trùng trên hệ thần kinh trung ương. Vì các triệu chứng thần kinh nghiêm trọng của bệnh nhân này và liệu trình diễn biến nhiễm, bệnh nhân đã điều trị liệu trình 28 ngày ALB, không có sự thay đổi về mặt lâm sàng. Điều quan trọng, một số thử nghiệm điều trị VMNTBCAT gồm các bệnh nhân chẩn đoán nhiễm Angiostrongylus dựa trên triệu chứng và cơ sở dịch tễ học nhưng không có thử huyết thanh học. Điều có thể rằng một số thử nghiệm điều trị có thể bị nhiễu bởi bệnh nhân VMNTBCAT thứ phát sau các nhiễm trùng giun sán khác, cho trùng lặp trên vùng phân bố địa lý của loài Gnathostoma và Angiostrongylus.
Mặc dù các nghiên cứu trước đây cho thấy một lợi điểm tiềm năng khi điều trị ANS bằng thuốc giun sán và steroids, song quy mô nghiên cứu lại không nhắm đến các bệnh GNS. Một bảng tổng hợp y văn không cung cấp các đánh giá loạt ca bệnh về vai trò điều trị của các thuốc giun sán chuyên biệt cho bệnh lý thần kinh GNS. Cuối cùng, việc phòng bệnh khi đi du lịch đến các vùng lưu hành không thể cường điệu hóa quá mức. Mặc dù tiêm chủng vaccine phòng bệnh cho các đối tượng đi du lịch là rất quan trọng, nhung các hướng dẫn trước kỳ hạn liên quan đến việc sử dụng đúng quần áp, hạn chế phơi nhiễm với các động vật và cảnh báo về ăn các thực phẩm hoặc nước nhiễm cần duy trì trong khía cạnh y học du lịch.
Kết luận
Viêm não màng não tăng BCAT do giun sán ngày nay được xem như bệnh lây truyền từ động vật đang nổi. Nhiều yếu tố bị quy kết cho các căn bệnh nhiễm trùng thần kinh do giun sán này gồm sự toàn cầu hóa lĩnh vực nông nghiệp và thương mại, quần thể dân di biến động lớn, lối sống và nơi ở, ưa thích thức ăn, thói quen ăn uống, du lịch thế giới và hành vi con người. Để ngăn ngừa các vụ dịch VMNTBCAT trong tương lai, các nhà chức trách y tế công cộng nên cập nhật và nâng cao các chương trình giám sát bệnh lây truyền từ động vật sang người, nâng cao các chương trình phòng chống động vật hoang dã và vật nuôi và ngăn cản các thói quen ăn uống có vẻ “mạo hiểm” và các hành vi nguy cơ. Các nhà lâm sàng nên đưa vào khâu chẩn đoán hình ảnh và huyết thanh học để dịnh hướng chẩn đoán sớm, điều trị liệu pháp kịp thời nhằm cải thiện các triệu chứng thần kinh. Liệu pháp corticosteroid vẫn còn đang tranh luận trong vấn đề can thiệp chúng để điều trị và quản lý bệnh VMNTBCAT vì một số lý do khác nhau. Nói tóm lại, nguyên nhân gây VMNTBCAT không còn là bệnh KST hiếm gặp trên mọi người ở vùng nhiệt đới và các quốc gia đang phát triển, mà giờ đây đã lưu hành khắp thế giới và nhiều ca VMNTBCAT đã được ghi nhận.
Tài liệu tham khảo
1.C. Graeff-Teixeira, A. C. da Silva, and K. Yoshimura (2009). Update on eosinophilic meningoencephalitis and its clinical relevance, Clin Microbiol Rev, 22, no. 2, 322–348, 2009.
2.Hochberg NS, Park SY, Blackburn BG et al., (2007). Distribution of eosinophilic meningitis cases attributable to Angiostrongylus cantonensis, Hawaii. Emerg Infect Dis 2007;13:1675-80.
3.Jing Wang, Haiyu Qi, Zongli Diao et al., (2010). An outbreak of Angiostrongylus cantonensis in Beijing. Journal of Parasitology 96 (2):377-381. 2010
4.Liu J, Gao J, Zhou C (2011). A Case Report on Eosinophilic Meningitis Caused by Angiostrongylus cantonensis. Int J Med Sci 2011; 8(6):510-513.
5.Lv S, Yi Z, Steinmann P, Zhou X (2008). Emerging angiostrongyliasis in mainland China. Emerg Infect Dis 2008;14:161-4.
6.Maria Cristina Carvalho, Pedro Luiz Silva, Dan Jesse Gonçalves et al., (2013). The first case of Angiostrongylus cantonensis eosinophilic meningitis diagnosed in the city of São Paulo, Brazil Rev. Inst. Med. Trop. Sao Paulo 55(2):129-132, March-April, 2013
7.N. Marano, P. M. Arguin, and M. Pappaioanou (2007). Impact of globalization and animal trade on infectious disease ecology, Emerg Infect Dis, 13, no. 12, 1807–1809, 2007.
8.Ramirez-Avila L, Slome S, Schuster FL et al., (2009). Eosinophilic meningitis due to Angiostrongylus and Gnathostoma species. Clin Infect Dis 2009;48:322-7.
9.Sawanyawisuth K, Takahashi K, Hoshuyama T et al., (2009). Clinical factors predictive of encephalitis caused by Angiostrongylus cantonensis. Am J Trop Med Hyg 2009;81:698-701.
10.Wang QP, Lai DH, Zhu XQ, Chen XG, Lun ZR (2008). Human angiostrongyliasis. Lancet Infect Dis 2008;8:621-30.