Thuật ngữ và phân loại khoa học
Về thuật ngữ và phân loại khoa học theo ICD-10 thì tắc mật phân vào nhóm K71.0, K83.1, mã bệnhDiseasesDB là 9121, eMedicine là ped/383 và theo MeSH là D002779.
Trong y học, ứ mật là một tình trạng mà ở đó mật không thể từ gan đi vào tá tràng. Hai sự khác biệt cơ bản là loại tắc nghẽn của ứ mật mà ở đó tắc nghẽn cơ học trong đường mật như đã xảy ra do sỏi hoặc khối ác tính (mechanical blockage) và loại chuyển hóa (metabolic types) của ứ mật mà trong đó có sự rối loạn trong khâu hình thành mật có thể xảy ra vì các khuyết tật di truyền hoặc mắc phải như thể một phản ứng ngoại ý của nhiều loại thuốc khác nhau.
Quá trình hình thành mật bình thường
Quá trình hình thành mật là một chức năng bài tiết quan trọng của gan. Nó bắt đầu từ các ống mật nhỏ mà hình thành giữa bề mặt góc của các tế bào gan (hepatocytes) tương tự như các nhánh tận của cây. Các điểm nối của bè tế bào gan mật hình thành nên các cấu trúc càng lúc càng lớn hơn, đôi khi gọi là các kênh Hering, điều này tự chúng nối lại với nhau thành các ống mật nhỏ có các tế bào và bề mặt biểu mô. Các ống tiểu quản mật nối lại với nhau thành một ống mật mà cuối cùng chúng đổ vào ống gan phải và dẫn lưu vào thùy gan phải phải hoặc ống gan trái dẫn lưu vào thùy gan trái của gan. Hai ống mật này nối với nhau hình thành nên ống gan chung, gắn vào một nối nang với túi mật, cho vào ống mật chung. Rồi thì ống mật này đổ vào tá tràng tại bóng Vater.
Bệnh nguyên có thể gây nên tắc mật
·U ổ bụng (chẳng hạn ung thư);
·Hẹp đường mật và các bệnh lý gan nhi khoa khác;
·Chấn thương hệ đường mật;
·Bất thường đưởng mật bẩm sinh;
·Sỏi mật;
·Tắc mật trong gan ở thời kỳ thai nghén (tắc mật sản khoa);
·Xơ đường mật tiên phát, một bệnh tự miễn;
·Viêm đường mật xơ hóa tiên phát có liên quan đến bệnh lý viêm ruột;
·Do thuốc (như flucloxacillin và erythromycin).
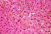
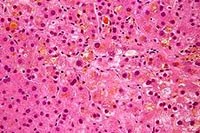
Mô bệnh học
Xem dưới kính hiển vi, các tế bào gan riêng lẻ sẽ có những chấm màu vàng nâu xuất hiện bên trong bào tương, có sự hiện diện của mật mà không thể ra khỏi tế bào. Các nút của kênh ống mật giữa các tế bào gan riêng lẻ nhau hoặc bên trong các ống mật có thể nhìn thấy, hiện diện mật tiết ra từ các tế bào gan nhưng không thể đi đâu xa hơn do bị tắc nghẽn. Khi các nút mật này tạo ra trong các đường mật, áp lực đủ (gây ra bởi tích tụ mật) có thể gây ra cho chúng vỡ, dẫn mật vào trong các mô xung quanh, gây nên tình trạng hoại tử gan (hepatic necrosis). Các vùng này được biết như hồ mật và có thể nhìn thấy rõ chỉ khi tắc mật ngoài gan.
Bệnh học hóa sinh lâm sàng
Ứ tắc mật có thể nghĩ đến khi có một sự gia tăng cả 5'-nucleotidase và ALP enzymes. Với một vài trường hợp ngoại lệ, một số xét nghiệm tối ưu cho ứ mật sẽ làm tăng acide mật trong huyết thanh. Tuy nhiên, điều này không thường gặp trên các mô hình bệnh lâm sàng. Riêng gamma-glutamyl transferase (GGT) enzyme trước đây nghĩ đến sẽ giúp cho xác định một trạng thái bắt nguồn từ ALP gan; song, việc tăng GGT có độ nhạy đáng kể và thiếu độ đặc hiệu cần thiết cho việc xác định hữu ích đối với ALP. Bình thường GGT và ALP đổ vào màng tế bào gan và ly giải amột lượng nhỏ khi có tổn thương tế bào gan. Trong bệnh cảnh ứ mật, việc tổng hợp các enzyme này là có và chúng có thể hòa tan. GGT tăng vì nó dò rỉ ra khỏi các tế bào đường mật do áp lực bên trong đường mật.
Trong giai đoạn sau của ứ mật thì AST, ALT và bilirubin có thể tăng lên do tôn thương tế bào gan như là một hậu quả thứ phát của ứ mật.
Triệu chứng học
·Ngứa. Ngứa và kích thích là triệu chứng đầu tiên của hội chứng ứ mật và được nghĩ là do tương tác của các acide mật trong huyết thanh với các đầu mút sợi thần kinh (opioidergic nerves). Thực tế, các chất opioid agonist/antagonist Naltrexone được sử dụng để điều trị ngứa do tắc ứ mật;
·Vàng da là triệu chứng xuất hiện ít gặp hơn trong tắc ứ mật trong gan, nhưng lại hay gặp trong ứ mật do tắc mật;
·Phân nhạt màu – triệu chứng này càng làm thêm việc xác định ứ mật do tắc mật;
·Nước tiểu đậm màu.
Mật bài tiết do gan để hỗ trợ cho vấn đề tiêu hóa chất béo. Các loại thuốc như muối vàng, nitrofurantoin, anabolic steroids, chlorpromazine, prochlorperazine, sulindac, cimetidine, erythromycin và nội tiết estrogen có thể gây nên ứ mật và có thể dẫn đến tổn thương gan.
Nhân một ca bệnh ứ tắc mật do Fasciola gigantica _ nguyên nhân hiếm gặp trong thực hành lâm sàng tiêu hóa gan mật
Nhóm tác giả Ahmet Dobrucali, Rafet Yigitbasi, Yusuf Erzin, Oguzhan Sunamak, Erdal Polat, Hakan Yakar đang công tác tại khoa tiêu hóa, khoa y Cerrahpasa; đại học Istanbul, Thổ Nhĩ Kỳ; khoa vi trùng và ký sinh trùng, đại học y khoa Cerrahpasa, Istanbul Thỗ Nhĩ Kỳ, bài viết đăng tải trên tạp chí World J Gastroenterol. Fasciola hepatica, một loại ký sinh trùng lưu hành ở Thỗ Nhĩ Kỳ song vẫn là một nguyên nhân hiếm gặp gây nên tình trạng tắc ứ mật trên thế giới. Thông qua việc tiêu hóa các thực phẩm thủy sinh như rau cải xoong,…người có thể trở nên nhiễm và là vật chủ chính của loài ký sinh trùng này. Các triệu chứng của ứ mật có thể diễn tiến đột ngột nhưng một số trường hợp chúng có thể tiến triển theo một giai đoạn thời gian dài với biểu hiện sốt, tăng bạch cầu ái toan và triệu chứng dạ dàu ruột mơ hồ hoặc không đặc hiệu (unspecific/vague gastrointestinal symptoms). Nhân đây, chúng tôi báo cáo một trường hợp là bệnh nhân nữ bị viêm đường mật với các triệu chứng khởi đầu đột ngột và đã cho thấy nhiễm ký sinh trùng Fasciola hepatica nhờ vàochụp nội soi mật tụy ngược dòng (ERCP_Endoscopic Retrograde Cholangiography).
Trình bày ca bệnh
Một phụ nữ 40 tuổi không có tiền sử trước đó bệnh gì, nhập viện vào khoa cấp cứu do sốt, buồn nôn, nôn mửa và đa hạ sườn (P) kéo dài trong 1 tuần (persistent right-upper quadrant pain). Cô ta sinh ra tại miền Đông của quốc gia Thổ Nhĩ Kỳ và tiền sử y khoa của bênh nhân đã mổ lấy thai cách nay 5 năm và sau đó được phẩu thuật thoát vị bẹn (inguinal hernia) cách nay một năm. Bệnh nhân không hút thuốc lá và không dùng thuốc gì trước đó.
Thăm khám thực thể, bệnh nhân có biểu hiện xanh tái nhưng không có vàng da và thân nhiệt là 36.8°C, mạch là 92 lần/ phút, huyết áp bình thường (normotensive). Nghe tim thấy tiếng thổi giữa tâm thu nhẹ ở vị trí van động mạch chủ, nhưng không nghe tiếng tim hoặc tiếng thổi bất thường trên các động mạch lớn. Tất cả mạch ngoại vi đều có thể sờ được. Nghe khám phổi không có biểu hiện bệnh lý. Âm ruột khi nghe hơi tăng và tại vị trí hố chậu (P) khác. Đau nhẹ ở bờ sườn (P) rất rõ ràng (prominent right subcostal tenderness), không thấy gan và lách lớn khi thăm khám và sờ nắn. Công thức máu toàn phần cho thấy các thông số:
-Hct là 30%,
-MCV là 75 fl (BT: 80 - 95 fl),
-Bạch cầu: 8.700/mm3 (BT: 4.000 – 10.000) với tỷ lệ bạch cầu ái toan tăng cao 15%trong phiến đồ máu ngoại vi;
-Tiểu cầu là: 169.000/mm3 (BT: 100.000 – 450.000);
-Tốc độ máu lắng (ESR_Erythrocyte sedimentation rate) là 45 mm/h;
-C reactive protein (CRP) là 75 mg/L (BT: 0 - 5).
Xét nghiệm sinh hóa máu là bình thường, nhưng
-Men gan alanine aminotransferase (ALT): 74 U/L (BT: 5 - 37);
-Aspartate aminotransferase (AST): 93 U/L (BT: 5 - 37);
-Alkaline phosphatase (ALP): 266 U/L (BT: 32 - 155);
-Gamma glutamyl transferase (GGT); 319 U/L (BT: 7 - 49);
-Bilirubin toàn phần và phân tích nước tiểu toàn phần đều bình thường.
Chụp X-quang phổi và chụp X-quang bụng không thấy biểu hiện bệnh lý gì đặc biệt;
Nghi ngờ bệnh lý sỏi mật, cho kiểm tra siêu âm bụng tổng quát và cho thấy nhu mô gan bình thường nhưng có 2 thương tổn chắc tăng âm (hyperechogen solid lesions) kích thước 9 mm × 9 mm và 7mm × 8mm tại hạ phân thùy 7 của gan. Thành túi mật bình thường nhưng có nhiều bùn nước bên ngoài, nhiều phần tăng âm bên trong được chú ý. Đường mật trong gan bình thưởng nhưng ống mật chủ hơi lớn nhẹ (11mm).
Vẫn còn nghi ngờ viêm đường mật do sỏi, nên các thầy thuốc đã chỉ định thuốc kháng sinh Ceftriaxone 2 g/ngày tiêm tĩnh mạch và sau đó chuyển bênh nhân đến khoa nội soi để xem xét thêm cho rõ ràng thông qua thực hiện thủ thuật nội soi mật tụy ngược dòng (ERCP_endoscopic retrograde cholangiopancreatography). Sau khi đặt canule chọn lọc vào cho thấy đường mật chủ bị lấp đầy bởi một vật cản quang (contrast agent) và có biểu hiện đó là các vật thể hình oval, di động hơi lớn đáng chú ý. Đường mật trong gan có kích thước bình thường.
Sau khi tiến hành cắt cơ vòng, đặt balloon lấy ra được 5 con sán và định danh là Fasciola hepatica. Tất cả chúng đều được lấy ra thông qua dụng cụ có giỏ dormia basket. Sau đó, có một điều thú vị là xét nghiệm phân của bệnh nhân phát hiện trứng trong phân – đây là một bằng chứng chuẩn vàng và đáng tin cậy cho nguyên nhân gây tắc và ứ mật trên bệnh nhân này. Xét nghiệm máu theo kỹ thuật ngưng kết gián tiếp (IHA_indirect hemaglutination test) dương tính với hiệu giá 1/1320.
Sau khi lấy sán xong, các triệu chứng của bệnh nhân nhanh chóng cải thiện và men gan trởvề bình thường, tiếp đến được điều trị bằng thuốc Bithionol liều 30mg/kg. Bệnh nhân khỏi bệnh sau đó và không tái phát tắc và ứ mật nữa.
Một số bàn luận
Nhiều loại sán lá gan, trong đó bao gồm Fasciola hepatica có thể định vị trong đường mật – nơi mà chúng có thể đẻ trứng, có thể làm gia tăng sự hình thành sỏi mật do đóng vai trò như một ổ trứng (nidus) của chúng. Sán đang sống hoặc đã chết có thể bít tắc đường mật gây nên tình trạng ứ mật và đôi khi gây cả viêm đường mật. Bệnh sán lá gan lớn tiên khởi như một bệnh thường gặp của động vật nuôi và gia súc như cừu, người chỉ đóng vai trò như vật chủ tình cờ. Bệnh truyền từ động vật sang người này thường gặp ở châu Phi, Tây Ấu và châu Mỹ La tinh. Trong một nghiên cứu gần đây từ phía đông của Thổ Nhĩ Kỳ, cho thấy tỷ lệ dương tính huyết thanh học (seroprevalence) được báo cáo là 2.78% không lệ thuộc hay liên quan đến tuổi, học vấn và điều kiện kinh tế xã hội.
Hai giai đoạn đã được mô tả trong bệnh sán lá gan lớn ở người, goi là pha cấp mà trong đó xảy ra đồng thời với xâm nhập vào gan và một pha mạn tính do sự có mặt của sán trong đường mật. Các ấu trùng giai đoạn nhiễm của ký sinh trùng này đóng kén trên các thực vật thủy sịnh như rau cải xoong mọc hoang dại và việc con người tiêu hóa các thực vật thủy sinh thu hái từ vùng nhiễm bệnh dẫn đến nhiễm trùng là tất yếu. Rồi sau đó, ấu trùng đi xuyên vào thành ruột và vào thẳng khoangphúc mạc. Sau một giai đoạn khoảng 6-9 tuần di chuyển, các sán non đi xuyên vào bao gan và chúng trưởng thành trong đường mật rồi bắt đầu quá trình đẻ trứng. Trong giai đoạn cấp, bệnh nhân có thể biểu hiện sốt kéo dài, đau hạ sườn (P), gan lớn và tăng bạch cầu ái toan, nên có thể dễ dàng bị chẩn đoán nhầm với các bệnh lý nội khoa và truyền nhiễm khác. Các triệu chứng này giảm đi trong pha mạn tính. Một khi sán đi vào đường mật, chúng có thể gây nên các triệu chứng do tình trạng ứ mật và viêm đường mật.
Mặc dù chẩn đoán xác định là bệnh sán lá gan lớn có thể nhờ vào phát hiện trứng sán trong phân hoặc trong dịch tá tràng, nhưng tỷ lệ phát hiện trứng sán không quá cao vì quá trình sinh sản lượng trứng thấp. Các test huyết thanh miễn dịch đã trở thành một nền tảng và đóng góp một phần quan trọng cho chẩn đoán bệnh sán lá gan lớn, đặc biệt ở giai đoạn sớm hoặc nhiễm trùng lạc chỗ, trong đó test ELISA cho thấy kết quả nhanh và đáng tin cậy hơn cả.
Mặc dù một số vùng trong nước là vùng lưu hành bệnh sán lá gan lớn, song chẩn đoán chưa hề được nghĩ đến một cách thận trọng trước khi làm thủ thuật tận cùng là nội soi mật tụy ngược dòng (ERCP) vì các tác giả đều nghĩ rằng đây là một trường hợp hay nguyên nhân vẫn còn hiếm gặp gây tắc nghẽn đường mật. Như thường quy, cắt cơ vòng Oddi và dùng balloon lấy tác nhân ra đã làm giảm đi triệu chứng của bênh nhân nhanh chóng. Không như các loài sán khác, thất bại điều trị với liệu pháp điều trị bằng Praziquantel đối với Fasciola hepatica nên Bithionol hoặc Triclabendazole sẽ là điều trị lựa chọn cho các trường hợp nhiễm trùng này. Sử dụng Bithionol với liều khuyến cáo 30 - 50mg/kg mỗi ngày và trong 10-15 liều hoặc liều lặp lại sẽ cho phép chữa khỏi giai đoạn cấp của bệnh hoặc bệnh lý kéo dài của sán lá gan lớn. Triclabendazole, một loại thuốc hiệu lực và an toàn khác đối với bệnh nhân mắc sán lá gan lớn đã cho thấy loại bỏ được ký sinh trùng với liều duy nhất là 10 mg/kg. Bệnh nhân này dùng Bithionol là 30 mg/kg, không có tác dụng phụ nào đáng quan tâm. Chúng tôi báo cáo bệnh nhân này để lưu ý những ca tiếp theo cần nghĩ đến bệnh sán lá gan lớn trên những bệnh nhân có biểu hiện ứ mật và thêm các triệu chứng tiêu hóa mơ hồ, đặc biệt bênh nhân đang sống trong vùng lưu hành bệnh trên thế giới.
Tài liệu tham khảo
1.Mas-Coma MS, Esteban JG, Bargues MD. Epidemiology of human fascioliasis: a review and proposed new classification. Bull World Health Organ 1999; 77: 340-346.
2.Afdhal NH. Diseases of the gallbladder and bile ducts. In: Goldman L, Ausiello D, eds. Cecil Medicine. 23rd ed. Philadelphia, Pa: Saunders Elsevier; 2007:chap 159.
3.Kaplan M, Kuk S, Kalkan A, Demirdag K, Ozdarendeli A. Fasciola hepatica seroprevalence in the Elazig region. Mikrobiyol. Bul 2002; 36: 337-342.
4.Barrett-Conner E. Fluke infections. In: Braude AI, editor. Infectious diseases and medical microbiology, 2nd ed. Philadelphia, PA: W. B Saunders 1986: 979-982.
5.King CH, Mahmoud AAF. Schistosoma and other trematodes. In: Gorbach SL, Bartlett JG, Blacklow NR, editors. Infectious diseases. Philadelphia, PA: W.B. Saunders 1992: 2015-2021
6.Harinasuta T, Pungpak P, Keystone JS. Trematode infections. Opisthorchiasis, clonorchiasis, fascioliasis. Infect Dis Clin.North Am 1993; 7: 699-716
7.Shaheen HI, Kamal KA, Farid Z, Mansour N, Boctor FN, Woody JN. Dot-enzyme-linked immunosorbent assay (dot-ELISA) for the rapid diagnosis of human fascioliasis. J Parasitol 1989; 75: 549-552
8.El-Newihi HM, Waked IA, Mihas AA. Biliary complications of Fasciola hepatica: the role of endoscopic retrograde cholangiography in management. J Clin Gastroenterol 1995; 21: 309-311.
9.Pearson RD. Parasitic diseases: Helminths. In: Yamada T, Alpers DH, Kaplowitz N, Laine L, Owyang C, Powell DW, editors. Textbook of gastroenterology, 4th ed. Philadelphia, PA: Lippincott Williams Wilkins 2003: 2608-2625
10.Bacq Y, Besnier JM, Duong TH, Pavie G, Metman EH, Choutet P. Successful treatment of acute fascioliasis with bithionol. Hepatology 1991; 14: 1066-1069
11.Loutan L, Bouvier M, Rojanawisut B, Stalder H, Rouan MC, Buescher G, Poltera AA. Single treatment of invasive fascioliasis with triclabendazole. Lancet 1989; 2: 383.
12.Zollner G, Trauner M. Mechanisms of cholestasis. Clinics in Liver Disease. 2008;12:1-26.