Bệnh sán dây lợn (Toenia solium) dân gian còn gọi là bệnh sán dây, sán lãi, nhưng từ lâu bệnh ít được quan tâm do bệnh thường diễn biến âm thầm, lặng lẽ, không gây những triệu chứng cấp tính như những bệnh nhiễm trùng khác. Phương tiện chẩn đoán, phương pháp điều trị còn quá nhiều hạn chế do không sử dụng được tối đa các kỹ thuật đặc thù trong chẩn đoán như kỹ thuật CT SCAN, miễn dịch huỳnh quang, ELISA,...và cũng không có đầy đủ các thuốc đặc hiệu để can thiệp điều trị kịp thời trong các bệnh ký sinh trùng có thể gây những biến chứng nguy hiểm cho người bệnh. Vì vậy, các thầy thuốc thườngbỏ qua những triệu chứng bệnh do các bệnh ký sinh trùng gây ra,có thể gây những biến chứng nguy hiểm cho người bệnh khi sự can thiệp điều trị quá muộn.
Bệnh nhân mắc bệnh sán dây lợn chủ yếu do ăn phở lợn (bò) tái, ăn thịt lợn hun khói, ăn thịt lợn thui chưa được chín hoặc gặp ở những bệnh nhân sống trong cộng đồng mà ở đó thường có tập quán nuôi lợn thả rong hay gặp ở các vùng Tây nguyên, các vùng dân tộc thiểu số sinh sống,...
Nhân một trường hợp đa khối u ở não tại thành phố Tuy Hoà-Phú Yên đến điều trị tạo Trung tâm phẫu thuật dao gamma bệnh viện Trường Đại học Y Dược Huế, chúng tôi tiến hành khám, chẩn đoán và điều trị. Kết quả được ghi nhận qua diễn biến của bệnh và đạt được những kết quả mong muốn.
Giới thiệu bệnh án:
Bệnh nhân: Lê Thanh H, Nam 70 tuổi
Quê quán: Phường 1, thành phố Tuy Hoà, Phú Yên
Vào viện: ngày 16-07-2007
Lí do vào viện: Liệt mặt bên è ;Liệt nửa người bên è.
Tiền sử bản thân: khoẻ mạnh, không mắc bệnh kinh niên, mãn tính, bệnh nhân thường hay ăn thịt lợn nướng, thích lợn hun khói, thịt bò tái.
Tiền sử gia đình: Bình thường không có gì đặc biệt
Bệnh sử: Từ trước đến nay khoẻ mạnh, cách đây 2 tháng thường nhức đầu nhẹ sau đó bệnh nhân thấy méo miệng về bên trái, tay phải yếu không cử động được, không nắm được vật dụng, kèm theo chân phải yếu dần, không cử động được. Bệnh nhân đến Trung tâm Y tế Hoàn Vũ và được chuyển đến bệnh viện Chợ Rẫy. Vào bệnh viện Chợ Rẫy đã làm các xét nghiệm và chụp CT Scaner não kết quả được ghi nhận:
- CTM: Hồng cầu 4.000.000; Bạch cầu: 7.600 (N:74%; L: 54%; E: 2%)
- Các chỉ số xét nghiệm sinh hoá: Bình thường
- Điện tim: bình thường, không thấy dấu hiệu bất thường.
- X quang phổi: phổi tràn dịch, 2 phế quản đậm nghi do lao.
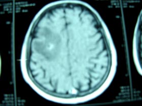
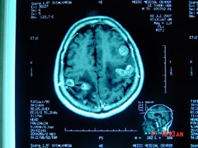
- Chụp cắt lớp vi tính não ngày 2/7/2007: Kết quả cho thấy: Tổn thương đa u nang ở 2 bán cầu đại não, nghi do di căn ung thư chưa rõ nguyên nhân. Bệnh được cho điều trị ngoại trú bởi các thuốc: Valus 20mg x 40 viên, Hepadonnas 40 viên, và một số thuốc khác theo chỉ định.
- Bệnh nhân đến bệnh viện trường ĐHY Dược Huế để điều trị phẫu thuật dao gamma ngày 30/7/2007
Kết quả khám lâm sàng
- Bệnh nhân tỉnh táo, Huyết áp 120/70mmHg, mạch 130 lần/phút
- Chân phải, tay phải cử động yếu (không cử động tự chủ được)
- Liệt dây VII ngoại biên è
- Dấu hiệu não-màng não bình thường
- Phản xạ babinski (-)
Các xét nghiệm khác
- XN sinh hoá: các chỉ số bình thường
- XN BK đàm: âm tính (-)
- Xét nghiệm máu:
+ Hồng cầu: bình thường
+ Bạch cầu: 12.300 (N: 78%; L: 58%; E: 22%)
- Test miễn dịch HIV: (- )
- Test chẩn đoán miễn dịch huỳnh quang KST sán dây lợn (+).
- X quang phổi: chụp cắt lớp vi tính kết quả cho thấy:
+ Phổi không xẹp
+ Thâm nhiễm kẻ dạng nhiều nốt nhỏ <0,3cm rãi khắp trong nhu mô phổi 2 bên.
+ Phổi không có tràn dịch, không xẹp
+ Xương và tim không thấy tổn thương bất thường.
Chẩn đoán nghĩ đến
- Ung thư phổi di căn
- Chẩn đoán khác: nấm ở phổi hoặc lao phổi.
Sau khi hội chẩn để định hướng chẩn đoán và điều trị cho bệnh nhân chúng tôi nhận thấy:
- Chưa có chỉ định điều trị bằng dao gamma.
- Bệnh nhân có tiền sử ăn thường xuyên thịt bò nhúng, thịt lợn hun khói.
- Công thức máu cho thấy bạch cầu lympho tăng 58% so với giới hạn bình thường
- Xét nghiệm phan tìm ký sinh trùng (+).
- Kỹ thuật miễn dịch học huỳnh quang xác định chẩn đoán bệnh sán dây dương tính (+).
- Đặc biệt chụp cắt lớp vi tính ở não cho thấy có 6 ổ khối u nhỏ ở 2 bên bán cầu não, kích thước nhỏ 20mm, khối u tròn, không có chân, bên trong có hoại tử trắng đều trên film.
Chẩn đoán: U não do di căn chưa rõ nguyên nhân.
Dựa vào những kinh nghiệm về chuyên ngành và những dữ liệu có được của y học về các triệu chứng lâm sàng, yếu tố dịch tễ, cận lâm sàng, công thức máu, kết quả chụp CT Scan, chúng tôi thống nhất chẩn đoán: U não do ấu trùng sán dây và điều trị cho bệnh nhân theo hướng nhiễm kén ấu trùng sán dây lợn ở não.
Phương pháp điều trị
Bằng thuốc đặc hiệu Praziquantel, Prednisolon, MgB6, Stugeron, Amoxylin. Theo phác đồ:
- Amoxylin 0,5gr x 4viên/ngày dùng 15 ngày (can thiệp điều trị viêm phổi bước đầu).
- Praziquantel 600mg x 3viên/ngày 1 đợt 20 ngày (thuốc điều trị đặc hiệu để điều trị sán trưởng thành và ấu trùng sán dây lợn)
- Dùng các thuốc hổ trợ: Prednisolon, MgB6, Stugeron, vitamin C liều cao,…
Sau khi can thiệp đợt điều trị đầu bệnh nhân có dấu hiệu tiến triển tốt đáp ứng với phương pháp điều trị, kết quả ghi nhận:
Lâm sàng: bệnh nhân tiến triển tốt.
+ Thể trạng tốt ăn ngủ được.
+ Tay và chân bên phải hoạt động trở lại (tuy còn yếu) nhưng bệnh nhân có thể đi lại được.
+ Còn liệt dây thần kinh số VII nhẹ
+ Các dấu hiệu thần kinh:
Phản xạ xương khớp bình thường
Dấu hiệu não màng não (-)
Bệnh nhân đã được điều trị theo phát đồ, sức khỏe hồi phục dần, đi lại được và xuất viện ngày 4/8/2007 để tiếp tục điều trị ngoại trú theo phác đồ:
- Praziquantel 600mg x 2 viên/ngày, 1 đợt điều trị 15 ngày, nghỉ 15 ngày
- Prednisolon, MgB6, Stugeron, Boganic, điều trị 4-5 đợt theo chỉ định.
Sau 5 đợt điều trị, bệnh nhân tái khám ngày 8/10/2007 chúng tôi ghi nhận:
Lâm sàng: Thể trạng tốt, tay và chânhoạt động trở lại bình thường
Tim: Nhịp đều không nghe thấy tiếng bệnh lý.
Phổi: Rì rào phế nang rõ, rung thanh bình thường.
Thần kinh: còn liệt nhẹ dây thần kinh số VII,
Không thấy có dấu hiệu bất thường trên lâm sàng.
Cận lâm sàng:
+ X quang phổi cho thấy:
·Phổi không xép, không có tràn dịch.
·Các nốt thâm nhiễm biến mất, không có di chứng
·2 phế trường sáng, cuống phổi hơi đậm.
+ Chụp cắt lớp vi tính ở não:
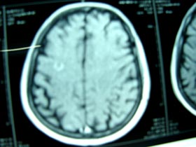
·Các khối u đã thoái triển chỉ còn lại 1-2 khối u nhỏ, kích thước 10-15mm, bên trong đã hoại tử trắng, không có chân, không có phù nề xung quanh khối u.
·Không có hình ảnh bất thường ở 2 bán cầu não.
+ Xét nghiệm phân: Ký sinh trùng (-).
+ Test ELISA về ký sinh trùng: (±)
Trong quá trình theo dõi chẩn đoán và điều trị, hiện tại bệnh nhân đã ổn định về lâm sàng cũng như các xét nghiệm cận lâm sàng cần thiết
Hình ảnh bệnh nhân trước khi điều trị:
 Hình 1: bệnh nhân liệt ½ người bên phải liệt dây VII ngoại biên phải
| |
| Hình 2. Hình ảnh chụp vi tính cắt lớp não trước khi điều trị |