Trình bày ca bệnh
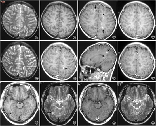
Một bệnh nhân nam 44 tuổi hoàn toàn khỏe mạnh trước đó biểu hiện đau cơ, dị cảm và nhức đầu tiến triển. Triệu chứng của anh ta bắt đầu sau 5 tuần kể từ khi đi nghỉ ở vùng Nam Thái Bình Dương ở trở về và ở đó anh ta đã ăn hải sản, uống nước trong dòng chảy ao hồ, sông, suối và phơi nhiễm nhiều loại côn trùng và dơi. Ba ngày sau khi trở về Mỹ, anh ta bị sốt (38.9°C) và có hội chứng viêm hô hấp trên. Tiếp đến anh ta đau cả toàn thân minh và bệnh lý thần kinh các chi. Công thức máu đáng chú ý là có bạch cầu ái toan tăng cao nên được khuyên nhập viện. Tại thời điểm nhập viện, bệnh nhân có biểu hiện nhức đầu nặng và cảm giác sợ ánh sáng nặng. Công thức máu toàn phần đáng chú ý có dấu nhiễm trùng với chỉ số bạch cầu 12.2 cells/µL với 9% eosinophils. Tốc độ máu lắng là bình thường và chỉ số C-reactive protein trong giới hạn. Chọc dò tủy sống cho thấy lực bình thường, bạch cầu là 55 cells/µL (với 96% lymphocytes), mức glucose là 54 mg/dL và protein là 97mg/dL. Chụp MRI vùng tủy sống và đầu cho thấy kết quả bình thường. Bệnh nhân được điều trị theo kinh nghiệm với thuốc ceftriaxone và acyclovir. Vì dấu chứng đau đầu ngày càng nặng hơn và có dấu hiệu dị cảm nặng di chuyển, nên tiếp tục chọc dò tủy sống một lần nữa vào ngày thứ 7 sau khi nhập viện cho thấy áp lực nước mở 49 mm (bình thường < 21cm nước) và chỉ số bạch cầu chung là 754 cells/µL, với phân tích công thức bạch cầu là 44% neutrophils, 35% lymphocytes, 10% plasma cells và 11% monocytes. Đánh giá lại phiến máu dịch não tủy cho thấy bạch cầu ái toan gia tăng 44% không có đa nhân trung tính. Chụp lại MRI lần nữa cho thấy kết quả bình thường, khám đáy mắt cho biết phù gai thị bên trái. Do thông số bạch cầu ái toan trong dịch não tủy và máu ngoại vi tăng cao cùng với tiền sử có đi du lịch, nên bệnh nhân được chẩn đoán lại là viêm não màng não di giun sán (helminthic meningoencephalitis).
Điều trị khởi đầu cho anh ta là dexamethasone đối với trường hợp tăng áp lực sọ não thứ phát; dấu chứng và triệu chứng nhức đầu và sợ ánh sáng cải thiện, những dấu dị cảm trên thân mình không thay đổi. Anh ta chưa điều thuốc điều trị giun sán vì liên quan đến phản ứng viêm của ký sinh trùng chết. Bệnh nhân được nhập viện trở lại vào bệnh viện một tháng sau đó, vì có các node không di chuyển và nhạy cảm đau trên hai chi dưới của bệnh nhân và các bác sĩ nghĩ nhiều đến nhiễm giun sán trong bối cảnh suy giảm thần kinh và các tổn thương da mới, nên bệnh nhân được chỉ định liệu trình 21 ngày albendazole. Chọc dịch não tủy sau 2 tháng điều trị cho thấy áp lực bình thường. Số lượng bạch cầu là 118 cells/µL (với 16% eosinophils), hồng cầu 689 cells/µL, nồng độ glucose máu là 48 mg/dL và protein là 99 mg/dL. Chụp lại MRI cho bệnh nhân tại vùng chi dưới cho thấy kết quả bình thường. Mẫu dịch não tủy và huyết thanh được gởi đến Faculty of Tropical Medicine, Mahidol University (Thailand) để xét nghiệm huyết thanh miễn dịch. Các mẫu bệnh phẩm trong phase cấp thu nhận khi bệnh nhân nhập viện ban đầu âm tính với bệnh Angiostrongyliasis và Gnathostomiasis. Trong pha dưỡng bệnh, các mẫu huyết thanh và dịch não tủy lấy ngày 76 và 66 sau khi mắc bệnh đều cho kết quả là dương tính với các kháng thể chống lại kháng nguyên Angiostrongylus cantonensis 31-kDa với xét nghiệm immunoblot.
Tổng hợp y văn
Ước tính có khoảng 20-70% số người đi du lịch đến các vùng lưu hành bệnh lý liên quan đến lĩnh vực y học du lịch. Mặc dù nhiều bệnh nhân trong số này có biểu hiện sốt, rối loạn tiêu hóa, hay biểu hiện trên da nhưng tự giới hạn, một số bệnh nhân có biểu hiện nhiễm trùng nặng hơn. Các loài giun tròn Angiostrongylus và Gnathostoma thường gây nên bệnh lý viêm màng não tăng bạch cầu ái toan (eosinophilic meningitis) là các tác nhân có thể gây bệnh lý nghiêm trọng. Viêm màng não có tăng bạch cầu ái toan (VMNTBCAT) được xác định là có sự xuất hiện số bạch cầu ái toan (BCAT) trong dịch não tủy ≥10 eosinophils/µL hoặc ít nhất 10% eosinophils trên tổng số bạch cầu chung của dịch não tủy. Trong một loạt mẫu của 217 mẫu bệnh nhân có triệu chứng viêm màng não thì chỉ số BCAT tăng được ghi nhận trong 2,3% số mẫu. Vì hiện tượng tăng BCAT thường không tìm thấy trong DNT, nên sự xuất hiện của chúng cho thấy một số bệnh nguyên khác nhau có thể phân thành nhóm bệnh nhiễm trùng và nhóm không nhiễm trùng. Dù bài báo này sẽ tập trung vào hai bệnh do ấu trùng angiostrongyliasis và gnathostomiasis, các nhiễm trùng khác như nhiễm trùng Baylisascaris, ấu trùng giun đũa chó mèo Toxocariasis và ấu trùng sán dây lợn thể thần kinh (neurocysticercosis); các khối hay bệnh lý ác tính, do thuốc và sự xuất hiện các vật thể lạ trong nội sọ cũng óc thể sinh ra tăng bạch cầu ái toan.
Do VMNTBCAT gây ra bởi một số tác nhân, nên xác định BCAT trong DNT tăng là rất quan trọng. Tăng BCAT có thể bị bị phá hủy hoặc xoắn vặn, méo mó biến dạng về hình thái trong quá trình trong DNT và có thể nhầm với bạch cầu đa nhân trung tính nến phân tích DNT theo máy tự động. BCAT có thể phát hiện nhiều hơn khi nhuộm Wright hay nhuộm Giemsa.
Bệnh do giun Angiostrongylus cantonenesis (Angiostrongyliasis)
A. cantonensis là một trong những tác nhân ký sinh trùng thường gặp nhất gây VMNTBCAT tại một số vùng ngoài châu Ấu và Bắc Mỹ. Một số ca ở người nhiễm loài giun này còn gọi là nhiễm trùng giun sán hướng mô thần kinh (neurotropic helminthic infection) đã được báo cáo tại Nam Thái Bình Dương, châu Á, Úc và vùng Caribbe. Tại Mỹ, một loạt ca đã được ghi nhận tại Hawaii, nơi mà nhiễm trùng Angiostrongylus có lưu hành. Cũng có nhiều báo cáo nhiễm Angiostrongylus trên chuột ghi nhận tại bang Louisiana.
Chu kỳ của loài giun này gồm thể trưởng thành sống và đẻ trứng trong động mạch phổi của các loài gặm nhấm. Các loài Angiostrongylus sinh sản khi trứng đẻ ra và ấu trùng di chuyển vào trong hầu, được nuốt bởi các loài gặm nhấm và ấu trùng đi qua phân. Ấu trùng trở thành ấu trùng giai đoạn 2 và 3 khi chúng được nuốt hay xuyên qua một loài nhuyễn thể nào đó. Người mắc phải nhiễm trùng khi họ ăn các vật chủ trung gian này hoặc một số các vật chủ paratenic host khác như cua, ếch, tôm hồng hoặc ăn các rau sống chứa các chất từ các vật trung gian hay vật chủ paratenic (vỏ hay chất tiết). Rồi thì ấu trùng đi vào hệ thống tuần hoàn sau khi chúng đi qua đường tiêu hóa và di chuyển tới hệ thần kinh trung ương, ở đó chúng trưởng thành và gây bệnh trên các vật chủ không phải là chuột (nonrat hosts).
 |
Phân bố trên toàn cầu về bệnh do Angiostrongylus cantonensis |
Đặc điểm lâm sàng của bệnh giun tròn angiostrongyliasis thường xảy ra 1 tuần đến 1 tháng sau khi phơi nhiễm, gồm có sốt, dị cảm đau. Phổ lâm sàng có thể thay đổi từ thể bệnh nhẹ đến viêm màng não hoặc ít gặp hơn là viêm não (meningitis or, uncommonly, encephalitis). Các đặc điểm lâm sàng hay gặp nhất trong một loạt ca bệnh 34 bệnh nhân là đau đầu hai bên thùy thái dương hay vùng trán trong gần 90% số bệnh nhân, cứng cổ và nôn mửa 56%, dị cảm 54% và sốt 41%. Sự nổi trội của dị cảm đau di chuyển (migrating painful paresthesisas) là đáng đặc biệt lưu ý tro ng bệnh cảnh angiostrongyliasis. Các triệu chứng hiếm gặp hơn gồm có liệt dây thần kinh sọ não, phần lớn là dây số 7 và 8. Ngoài ra, rối loạn thị lực cũng có thể xảy ra thức phát sau khi ấu trùng xâm nhập vào cơ quan thị giác. Tiến trình bệnh tự nhiên thường có liên quan bệnh tự khỏi tự phát rút lui các triệu chứng sau 1–2 tuần, mặc dù đau đầu và dị cảm có thể tồn tại từ nhiều tuần đến vài tháng.
Việc chẩn đoán bệnh giun angiostrongyliasis dựa vào phần lớn tiền sử phơi nhiễm trước đó, đặc điểm lâm sàng và tăng BCAT trong dịch não tủy. Tăng BCAT trong máu ngoại vi có thể hiển thị. Các chỉ điểm cận lâm sàng của DNT về bệnh angiostrongyliasis gồm có dịch có vẩn đục, đám mây, áp lực mở tăng, protein tăng, nồng độ glucose bình thường và tăng số bạch cầu tuyệt đối với số BCAT tăng cao so với bình thường. Bệnh angiostrongyliasis thường không để lại các tổn thương tại chỗ qua hình ảnh CT hoặc MRI não bộ. Mặc dù, bệnh angiostrongyliasis thường có triệu chứng tự giới hạn, việc lựa chọn điều trị bao gồm can thiệp giảm triệu chứng hoặc phối hợp nhiều liệu pháp khác nhau. Điều trị triệu chứng bao gồm chọc lấy DNT xét nghiệm trước sau khi điều trị, làm giảm nhẹ bớt tình trạng tăng áp lực sọ não và thuốc giảm đau. Trong một nghiên cứu tiến cứu, Punyagupta và cộng sự đã tìm thấy một giải pháp giảm đau đầu trên 60% số ca chỉ bằng thuốc giảm đau đơn thuần ở các bệnh nhân có chẩn đoán lâm sàng VMNTBCAT. Vì tính nghiêm trọng của bệnh angiostrongyliasis được xem là thứ phát đối với phản ứng viêm trên vật chủ, nên thuốc steroids đã được nghiên cứu như một liệu pháp trị liệu tiềm năng. Lợi điểm của steroids là làm giảm nhẹ nhức đầu cũng đã minh chứng trong một nghiên cứu tiến cứu VMNTBCAT lâm sàng điều trị với prednisone qua thời gian 2 tuần. Một số nghiên cứu chưa tìm thấy rằng thuốc steroids có thể hỗ trợ trong điều trị nhiễm trùng do Angiostrongylus.
 |
Triệu chứng và các dấu chứng lâm sàng do bệnh Angiostrongylus cantonensis |
Dù liệu trình điều trị hai tuần với thuốc diệt giun sán có hiệu quả trên mô hình động vật nhiễm angiostrongyliasis, song vai trò của thuốc trên điều trị ở người vẫn còn đang tranh luận. Jitpimolmard và cộng sự thiết kế một nghiên cứu tiến cứu ngẫu nhiễn trên các bệnh nhân VMNTBCAT được điều trị bằng thuốc albendazole trong 2 tuần. Trong nhóm điều trị, số bệnh nhân nhức đầu tồn tại ít hơn sau 2 tuần điều trị (21% so với 41%) và thời gian có triệu chứng ngắn hơn so với nhóm chứng (8.9 ngày so với 16.2 ngày). Một phản ứng viêm liên quan đến chết ký sinh trùng chưa được ghi nhận trong cả mô hình nghiên cứu động vật và người.
Một số nghiên cứu đánh giá phối hợp điều trị vằng steroids và thuốc giun sán. Chotmongkol và cộng sự cho thấy điều trị VMNTBCAT bằng thuốc [albendazole + prednisilone] trong hai tuần. Các nhà nghiên cứu đã cho thấy sự phối hợp này có thời gian tồn tại triệu chứng là 4 ngày và 11.5% trong số bệnh nhân vẫn còn nhức đầu sau khi điều trị. Mặc dù albendazole là thuốc lựa chọn ưu tiến trong điều trị bệnh angiostrongyliasis, song phối hợp [prednisilone + mebendazole] cũng đã được nghiên cứu trên những ca xác định qua huyết thanh miễn dịch nhiễm Angiostrongylus. Trong số các bệnh nhân điều trị với [prednisilone + mebendazole] trong hai tuần thì thời gina nhức đầu là 3 ngày và 10% trong số bệnh nhân đó dấu nhức đầu vẫn chưa giải quyết.
Bệnh do Gnathostoma spp. (Gnathostomiasis)
Nhiễm trùng G. spinigerum tại các vùng lưu hành bệnh ở Đông Nam Á, đặc biệt tại Thái Lan. Tỷ lệ mắc đang gia tăng ở Mexico và Trunghay Nam Mỹ. Vật chủ chính của các loài Gnathostoma là chó và mèo. Sau khi nuốt phải ấu trùng giai đoạn 3, các giun sẽ trưởng thành trong dạ dày của vật chủ và trứng sẽ được đào thải qua phân. Các ấu trùng đẻ ra có thể phát triển thành ấu trùng giai đoạn 2 khi chúng bị ăn phải các nhuyễn thể thuộc giống Cyclops. Các loài nhuyễn thể này rồi thì bị ăn bởi các vật chủ “paratenic hosts”, như cá, ếch, heo, rắn, gà và lươn. Giun trưởng thành sang giai đoạn ba khi chúng di chuyển vào trong mô cơ vật chủ và đóng kén tại đó. Nhiễm trùng có thể bỏ qua giai đoạn giữa các vật chủ “paratenic hosts”, gồm có con người, khi cơ nhiễm trùng bị nuốt phải. Con người bị nhiễm thông qua ăn các vật chủ “paratenic hosts” còn sống hay nấu chưa chín hoặc hiếm hơn thông qua ấu trùng xuyên trực tiếp vào da.
Trên người, các ấu trùng giai đoạn 3 bị nuốt vào không trưởng thành nhưng lại tấn công và di chuyển. Bản chất của nhiễm trùng này là phá hủy xảy ra khi thông qua cơ chế tổn thương cơ học hoặc qua trung gian độc tố, cũng như các phản ứng viêm tại chỗ trên vật chủ do ấu trùng Gnathostoma. Nhiễm trùng loài Gnathostoma điển hình thường được phân loại thành thể da niêm mạc, thể phủ tạng và thể thần kinh trung ương. Nhiễm trùng Gnathostoma có thể gây ra các triệu chứng mà có tái phát trong vòng 10-12 năm, ngược lại nhiễm trùng Angiostrongylus có thể gây các triệu chứng tái phát trong vài tháng. Triệu chứng tái hồi từng đợt có thể dẫn đến các thách thức trong chẩn đoán bệnh.
Các đặc điểm trên da của nhiễm ấu trùng Gnathostoma gồm có viêm mô tế bào, hội chứng ban trườn và giả viêm nang lông (panniculitis, creeping eruptions, pseudofurunculosis) không phân biệt vị trí nào trên thân mình. Các tổn thương này có liên quan đến dấu hiệu đau, bản đỏ và ngứa từng đợt, tái lặp lại. Ngoài ra, vì ký sinh trùng này có thể di chuyển thông qua cả mô nông và mô sâu, nên chúng sẽ liên đới đến nhiều cơ quan khác nhau là có thể. Tương tự như nhiễm trùng Angiostrongylus, thì việc nhiễm trùng Gnathostoma có thể xâm nhập trực tiếp vào mắt và gây đau, viêm mống mắt, tăng áp lực nhãn cầu và mù lòa. Mặc dù nhiễm trùng Gnathostoma không có hướng động thần kinh, nhưng nó có thể xâm nhập vào hệ thần kinh trung ương. Trong hệ thần kinh trung ương, nhiễm ấu trùng Gnathostoma thường nghiêm trọng hơn nhiễm trùng Angiostrongylus. Bệnh lý ấu trùng giun đầu gai thường có biểu hiện đau rễ thần kinh và dị cảm thân mình và các chi và hiếm gặp hơn là liệt nhẹ hoặc liệt hoàn toàn. Các triệu chứng này được nghĩ là do sự di chuyển trực tiếp của giun dọc theo đi đến các dây thần kinh ngoại biên vào trong tủy sống. Tiến trình bệnh bình thường là đau tủy rễ theo sau là nhức đầu, yếu hay liệt có thể xảy ra trong một số trường hợp. Ấu trùng cũng có thể đào hầm trực tiếp vào trong mô thần kinh có thể dẫn đến viêm màng não, viêm tủy hay viêm não và tổn thương hệ mạch não, dẫn đến xuất huyết dưới nhện. Ngoài ra, liệt các dây thần kinh sọ não số 2-12 cũng được ghi nhận.
Chẩn đoán bệnh do ấu trùng giun đầu gai là môt thách thức. Sự tăng BCAT trong máu ngoại vi và trong DNT kèm với tiến sử du lịch đến các vùng có nguy cơ nhiễm cao và diễn tiến các triệu chứng sẽ giúp hỗ trợ cho chẩn đoán bệnh này. Tuy nhiên, sự vắng mặt dấu tăng BCAT đã được báo cáo trong một số ít bệnh nhân nhiễm G. spinigerum. Phân tích mẫu bệnh phẩm DNT từ các bệnh nhân nhiễm ấu trùng giun đầu gai thường cho thấy có nhiễm sắc vàng, một dấu hiệu tăng áp lực sọnão trong khoảng 50% số bệnh nhân, tăng lumpho bào kèm theo tăng BCAT, nồng độ glucose bình thường và protein có thể bình thường hoặc tăng. Chụp CT-scanner não bộ cho thấy hình ảnh tổn thương dạng nốt, các vùng xuất huyết với các vết và thậm chí gặp não úng thủy.
Điều trị bệnh ấu trùng giun đầu gai khác nhau tùy thuộc vị trí nhiễm trùng. Đối với thể ngoài da niêm, liệu pháp albendazole (ALB) và ivermectin (IVM) được dùng có hiệu quả, mặc dù một số bệnh nhân cần điều trị thêm liều. Hai nghiên cứu tỏ ra có tỷ lệ chữa khỏi bệnh ấu trùng giun đầu gai thể da niêm lần lượt là 94,1% và 93,8% sau 21 ngày điều trị ALB. Đối với bệnh ấu trùng giun đầu gai thể da niêm, liệu tình 21 ngày của IVM cho hiệu lực chữa khỏi ngang với liệu trình 21 ngày của ALB. Một liều duy nhất của IVM cho tỷ lệ chữa khỏi thấp hơn liệu trình 21 ngày của ALB (76% so với 92%), mặc dù sự khác biệt này không có ý nghĩa thống kê. Điều trị bệnh lý thần kinh do ấu trùng giun đầu gai (neurognathstomiasis) đầu tiên là điều trị hỗ trợ vì vai trò của steroids và thuốc chống giun sán trong bệnh ấu trùng giun đầu gai thể thần kinh trung ương vẫn chưa được xác định rõ ràng. Tương tự như trong bệnh angiostrongyliasis, có một số liên quan đến phản ứng viêm do ký sinh trùng chết có thể làm cho tình trạng lâm sàng nặng nề hơn.
Chẩn đoán bệnh Angiostrongyliasis và Gnathostomiasis
Chẩn đoán xác định cả bệnh ấu trùng angiostrongyliasis và giun đầu gai đòi hỏi xác định tác nhân ký sinh trùng trong mô vật chủ. Tuy nhiên, phân lập ký sinh trùng trong hệ thần kinh trung ương là rất khó khăn và thiếu tính nhạy. Đối với bệnh giun angiostrongyliasis, xác định ký sinh trùng trực tiếp trong các mô vật chủ hiếm khi được mô tả. Do đó, một số thử nghiệm huyêt thanh được ứng dụng cho bệnh giun này. Độ nhạy và độ đặc hiệu cho các thử nghiệm này thay đổi rất lớn và bị hạn chế do phản ứng chéo với một số loài ký sinh trùng khác. Sự lựa chọn các kháng nguyên kháng nhau chống lại các giai đoạn 3 hay 5 của ấu trùng đã được sử dụng trong phân tích Western blot. Các kháng thể đơn dòng cũng được nghiên cứu cho xét nghiệm trên các bệnh nhân. Gần đây, một loại xét nghiệm multiple dot–blot ELISA sử dụng các kháng nguyên không tinh khiết Angiostrongylus và huyết thanh người được phát triển với một số phản ứng chéo với các loài Gnathostoma.
Một loạt test thử nghiệm cho nhiễm trùng Gnathostoma, gồm có test da, test ngưng kết với việc sử dụng các giai đoạn khác nhau của G. spinigerum trộn với huyết thanh người, thử nghiệm miễn dịch phóng xạ (RIA), cố định bổ thể (CF), kháng thể huỳnh qunag gián tiếp (IFA). Gần đây hơn, các xét nghiệm ELISA và Western blot cũng đã được sử dụng ngày càng nhiều. Các nghiên cứu trước đây sử dụng cả các thành phần của ấu trùng G. spinigerum thô và kháng nguyên 24 kDa tinh khiết để đo các đơn phần IgG subclasses và tổng số. Nopparatana và cộng sự đã tinh khiết kháng nguyên đặc hiệu 24-kDa Gnathostoma từ ấu trùng với độ nhạy và độ đặc hiệu báo cáo là 100%. Đo lường lượng kháng thể IgG subclass đặc hiệu sinh ra đã được đánh giá và xem nó như một công cụ chẩn đoán tốt. Nuchprayoon và cộng sự tìm thấy các kháng thể IgG1 và IgG2 đối với mẫu ấu trùng Gnathostoma L3 toàn phần cho kết quả có độ nhạy và độ đặc hiệu cao nhất. Phát triển các thử nghiệm chẩn đoán đối với G. spinigerum còn giới hạn do phản ứng chéo với các loài giun tròn khác, gồm cả A. cantonensis; Điểm đặc biệt này cần thêm sự nghiên cứu điều chế kháng nguyên đặc hiệu loài G. spinigerum.
Bàn luận
Sự gia tăng xu thế gioa lưu và du lịch trên phạm vi toàn cầu cũng như giao thương mua bán quốc tế đang rộng mở và có tiềm năng phát triển các bệnh lý nhiễm trùng mà chúng ta có thể đối mặt tại các cơ ở khám và điều trị bệnh nội trú và ngoại trú. Trong trường hợp ở đây, sự biểu hiện tăng BCAT trong máu ngoại vi và trong DNT cùng với tiền sử đi du lịch gần đây đến Nam Thái Bình Dương khiến cho G. spinigerum và A. cantonensis là các ứng cử viên ký sinh trùng có thể nhiễm phải. Tuy nhiên, có một số thách thức trong chẩn đoán. Đếm tế bào tự động trong DNT có thể xác định nhầm lẫn một số lượng lớn BCAT như là bạch cầu đa nhân trung tính, điều này nếu không xem xét lại, sẽ khiến cho chẩn đoán nhiễm trùng trên bệnh nhân sẽ khó khăn. Do đó, nếu có nghi ngờ viêm màng não tăng BCAT thì các mẫu nên nhuộm thích hợp và đọc kết quả cẩn thận.
Vì có một sự giới hạn trong chẩn đoán mô bệnh học và huyết thanh học, nên các đặc điểm lâm sàng là quan trọng để chẩn đoán bệnh gnathostomiasis và angiostrongyliasis. Không như bệnh ấu trùng giun đầu gai, bệnh angiostrongyliasis thường có sự tự giới hạn các triệu chứng lâm sàng gồm có nhức đầu, sợ ánh sáng và dị cảm. Nhiễm trùng Angiostrongylus cũng có thể liên quan đến các dây thần kinh sọ não và nhãn cầu. So với bệnh angiostrongyliasis, thì bệnh ấu trùng giun đầu gai có thể tồn tại trong nhiều năm và biểu hiện các thể lâm sàng da niêm, phủ tạng hoặc thần kinh. Viêm mô tế bào di chuyển, hội chứng ban trườn và bệnh lý giả u nhọtthường là các điểm lâm sàng trong thể bệnh da niêm của Gnathostoma. Đặc điểm thần kinh của bệnh ấu trùng giun đầu gai thường bao gồm viêm tủy rễ thần kinh, viêm não, liệt và xuất huyết. Tương tự như nhiễm trùng Angiostrongylus thì nhiễm Gnathostoma có thể liên quan đến thần kinh sọ não và mắt.
Viêm màng não tăng bạch cầu ái toan (VMNTBCAT) do Angiostrongylus và Gnathostoma
 |
Bảng 1. So sánh đặc điểm nhiễm Angiostrongylus và Gnathostoma với các ca bện mô tả trên y văn |
Mặc dù có một số khác biệt về mặt lâm sàng giữa bệnh angiostrongyliasis và gnathostomiasis, song trong trường hợp này mô tả các sự khác biệt đó có thể đôi khi khó gián biệt được. Về mặt lâm sàng, bệnh nhân có dấu hiệu dị cảm và nhức đầu làm cho bệnh angiostrongyliasis trở nên là một chẩn đoán hợp lý. Dù đã có một số báo cáo bệnh nhân nghiêm trọng và liên quan đến thần kinh kéo dài sau khi nhiễm trùng A. cantonensis, Việc kéo dài tiếp tục các triệu chứng đến 8 tháng sau trên bệnh nhân này cũng như các nốt trên các chi dưới của bệnh nhân (dù không di chuyển) cùng là thường gặp trên bệnh gnathostomiasis. Về mặt lâm sàng, người ta chưa rõ ràng có hay không bệnh nhân này mắc bệnh nào trong angiostrongyliasis hay gnathostomiasis.
Trong cách khó khăn thách thức về mặt lâm sàng, các huyết thanh chẩn đoán đoán nhanh và chính xác nhiễm ký sinh trùng là rất quan trọng. Độ chính xác của các chẩn đoán miễn dịch có thể bị nhiễu bởi các kết quả dương tính giả vì phản ứng chéo của các kháng nguyên giun sán khác. Ngoài ra, thời gian thu mẫu bệnh phẩm có thể ảnh hưởng lên kết quả chẩn đoán. Trong tình huống này, các mẫu huyết thanh và DNT trong pha cấp tính sẽ âm tính với loài Angiostrongylus, nhưng các mẫu trong pha hồi phục sẽ dương tính với loài Angiostrongylus. Khoảng thời 2 tháng giữa thu thập mẫu DNT và huyết thanh có thể phản ánh thời gian cần thiết có sự chuyển đổi huyết thanh. Trong một loạt ca nhiễm phải A. cantonensis trên 12 bệnh nhân, chỉ có 1 ca dương tính huyết thanh trong pha cấp, so với 10 bệnh nhân dương tính huyết thanh trong pha hồi phục. Do đó, khi có một chỉ số lâm sàng nghi ngờ bệnh angiostrongyliasis, điều quan trọng là thu nhận các dữ liệu huyết thanh học trên các mẫu ở pha dưỡng bệnh hay pha phục hồi.
Số thử nghiệm đối chứng còn hạn hữu để chỉ ra các lợi điểm hay bất lợi khi sử dụng thuốc chống giun sán để điều trị A. cantonensis và G. spinigerum nhiễm trùng trên hệ thần kinh trung ương. Vì các triệu chứng thần kinh nghiêm trọng của bệnh nhân này và liệu trình diễn biến nhiễm, bệnh nhân đã điều trị liệu trình 28 ngày ALB, không có sự thay đổi về mặt lâm sàng. Điều quan trọng, một số thử nghiệm điều trị VMNTBCAT gồm các bệnh nhân chẩn đoán nhiễm Angiostrongylus dựa trên triệu chứng và cơ sở dịch tễ học nhưng không có thử huyết thanh học. Điều có thể rằng một số thử nghiệm điều trị có thể bị nhiễu bởi bệnh nhân VMNTBCAT thứ phát sau các nhiễm trùng giun sán khác, cho trùng lặp trên vùng phân bố địa lý của loài Gnathostoma và Angiostrongylus.
Mặc dù các nghiên cứu trước đây cho thấy một lợi điểm tiềm năng khi điều trị angiostrongyliasis bằng thuốc giun sán và steroids, song quy mô nghiên cứu lại không nhắm đến các bệnh giun đầu gai thể thần kinh. Một bảng tổng hợp y văn không cung cấp các đánh giá loạt ca bệnh về vai trò điều trị của các thuốc giun sán chuyên biệt cho bệnh lý thần kinh giun đầu gai. Cuối cùng, việc phòng bệnh khi đi du lịch đến các vùng lưu hành không thể cường điệu hóa quá mức. Mặc dù tiêm chủng vaccine phòng bệnh cho các đối tượng đi du lịch là rất quan trọng, nhung các hướng dẫn trước kỳ hạn liên quan đến việc sử dụng đúng quần áp, hạn chế phơi nhiễm với các động vật và cảnh báo về ăn các thực phẩm hoặc nước nhiễm cần duy trì trong khía cạnh y học du lịch.
Kết luận
Viêm màng não tăng bạch cầu ái toan do giun sán tại Mỹ ngày nay được xem như bệnh lây truyền từ động vật đang nổi. Nhiều yếu tố bị quy kết cho các căn bệnh nhiễm trùng thần kinh do giun sán này gồm sự toàn cầu hóa lĩnh vực nông nghiệp và thương mại, quần thể dân di biến động lớn, lối sống và nơi ở, ưa thích thức ăn, thói quen ăn uống, du lịch thế giới và hành vi con người. Để ngăn ngừa các vụ dịch VMNTBCAT trong tương lai, các nhà chức trách y tế công cộng nên cập nhật và nâng cao các chương trình giám sát bệnh lây truyền từ động vật sang người, nâng cao các chương trình phòng chống động vật hoang dã và vật nuôi và ngăn cản các thói quen ăn uống có vẻ “mạo hiểm” và các hành vi nguy cơ. Mặc dù, các bộ phận trong sọ não, nhất là các shunt trong khoang não thất là các vị trí gây VMNTBCAT, các nhà lâm sàng nên bao hàm các nguyên hnhaan giun sán đang nổi trong việc chẩn đoán phân biệt. Ngoài ra, các nhà lâm sàng nên đưa vào khâu chẩn đoán huyết thanh học và chẩn đoán hình ảnh để dịnh hướng chẩn đoán sớm, điều trị liệu pháp kịp thời nhằm cải thiện các triệu chứng thần kinh. Và liệu pháp corticosteroid bổ sung vẫn còn đang tranh luận trong vấn đề can thiệp chúng để điều trị và quản lý bệnh VMNTBCAT vì một số lý do. Nói tóm lại, nguyên nhân gây VMNTBCAT không còn là bệnh ký sinh trùng trên các trẻ em vùng nhiệt đới và các quốc gia đang phát triển, giờ đây chúng đã lưu hành khắp thế giới và nhiều ca VMNTBCAT đã được ghi nhận.
Tài liệu tham khảo
1.RyanET, WilsonME, KainKC (2002), “Illness after international travel”. N Engl J Med 2002;347:505-16.
2.KuberskiT. . Eosinophils in cerebrospinal fluid. Ann Intern Med 1979;91:70-5.
3.Lo ReV, GluckmanSJ. Eosinophilic meningitis. Am J Med 2003;114:217-23.
4.SlomTJ, CorteseMM, GerberSI, et al. An outbreak of eosinophilic meningitis caused by Angiostrongylus cantonensis in travelers returning from the Caribbean. N Engl J Med 2002;346:668-75.
5.KuberskiT, WallaceGD. Clinical manifestations of eosinophilic meningitis due to Angiostrongylus cantonensis. Neurology 1979;29:1566-70.
6.CampbellBG, LittleMD. The finding of Angiostrongyulus cantonensis in rats in New Orleans. Am J Trop Med Hyg 1988;38:568-73.
7.JindrakK. Angiostrongyliasis cantonensis (eosinophilic meningitis, Alicata's disease). In: HornabrookRW, editor. Topics on tropical neurology. Philadelphia, PA: FA Davis; 1975. p. 133-64.
8.RusnakJM, LuceyDR. Clinical gnathostomiasis: case report and review of the English-language literature. Clin Infect Dis 1993;16:33-50.
9.HuangDB, SchantzP, WhiteCA. Helminthic infections. In: ScheldWM, WhitleyRJ, MarraCM, editors. Infections of the central nervous system. 3rd ed.Philadelphia, PA: Lippincott Williams & Wilkins; 2004. p. 797-828.
10.ChotmongkolV, WongjiratC, SawadpanitK, SawanyawisuthK. Treatment of eosinophilic meningitis with a combination of albendazole and corticosteroids. Southeast Asian J Trop Med Public Health 2004;35:172-4.
11.PunyaguptaA, JuttijudataP, BunnagT. Eosinophilic meningitis in Thailand. Am J Trop Med Hyg 1975;24:921-31.
12.ChenK, LaiS. Biochemical and pathological evaluation of albendazole/thalidomide co-therapy against eosinophilic meningitis or meningoencephalitis induced by Angiostrongylus cantonensis. J Antimicrob Chemother 2007;59:264-76.
13.ChotmongkolV, SawanyawisuthK, ThavaronpitakY. Corticosteroid treatment of eosinophilic meningitis. Clin Infect Dis 2000;31:660-2.
14.ChotomongkolV, SawadpanitchK, SawanyawisuthK, LouhawilaiS, LimpawattanaP. Treatment of eosinophilic meningitis with a combination of prednisolone and mebendazole. Am J Trop Med Hyg 2006;74:1122-4.
15.JitpimolmardS, SawanyawisuthK, MorakoteN, et al. Albendazole therapy for eosinophilic meningitis caused by Angiostrongylus cantonensis. Parasitol Res 2007;100:1293-6.
16.MooreDAJ, McCroddanJ, DekumyoyP, ChiodinPL. Gnathostomiasis: an emerging imported disease. Emerg Infect Dis 2003;9:647-50.
17.LoReV, GluckmanSJ. Eosinophilic meningitis due to Gnathostoma spinigerum. J Infect 2002;45:117-20.
18.BoongirdP, PhuapraditP, SiridejN, ChirachariyavejT, ChuahirunS, VejjajivaA. Neurological manifestations of gnathostomiasis. J Neurol Sci 1977;31:279-91.
19.NontasutP, BussaratidV, ChullawichitS, CharoensookN, VisetukK. Comparison of ivermectin and albenazole treatment for gnathostomiasis. So As J Trop Med Pub Health 2000;31:374-7.
20.KraivichianP, KulkumthornM, YingyoudP, AkarabovornP, PaireepaiC. Albendazole for the treatment of human gnathostomiasis. Trans R Soc Trop Med Hyg 1992;86:418-21.
21.KraivichianK, NuchprayoonS, SitichalernchaiP, ChaicumpaW, YentakamS. Treatment of cutaneous gnathostomiasis with ivermectin. Am J Trop Med Hyg 2004;71:623-8.
22.NopparatanaC, SetasubanP, ChaicmpaW, TapchairsriP. Purification of Gnathostoma spinigerum specific antigen and immunodiagnosis of human gnathostomiasiss. Int J Parasitol 1991;21:677-87.
23.EamsobhanaP, OngrotchanakunJ, YoolekA, PunthuprapasaP, MonkongN, DekmyoyP. Multi-immunodot for rapid differential diagnosis of eosinophilic meningitis due to parasitic infections. J Helminth 2006;80:249-54.
24.ChyeS, ChangJ, YenC. Immunodiagnosis of human eosinophilic meningitis using an antigen of Angiostronyglus cantonensis L5 with molecular weight 204 kD. Acta Tropica 2000;75:9-17.
25.AnantaphrutiMT. Immunodiagnosis of gnathostomiasis. J Trop Med Parasitol 2002;25:83-90.
26.NuchprayoonS, SanprasertV, SuntravatM, KraivichianK, SaksirisamantW, NuchprayoonI. Study of specific IgG subclass antibodies for diagnosis of Gnathostoma spinigerum. Parasitol Res 2003;91:137-43.
27.BatmanianJJ, O'NeilJH. Eosinophilic meningoencephalitis with permanent neurologic sequelae. Intern Med J 2004;34:214-9.