Trong các bệnh nhiễm ký sinh trùng giun sán đường tiêu hóa, có loại ký sinh trùng giun tròn thường biểu hiện triệu chứng bệnh khá điển hình với bệnh cảnh là một “phức hợp” hay nói đúng hơn đó là một tình trạng y học nghiêm trọng nếu không khống chế, kiểm soát kịp thời, thậm chí bệnh do chúng gây ra có thể đưa đến các biến chứng nguy hiểm và có thể tử vong; như nhiều thầy thuốc gia đình đã điều trị nhiễm giun sán được ruột chứng minh và đưa ra những kinh nghiệm. Tuy nhiên, một loại giun tròn có khả năng độc nhất tự hoàn chỉnh chu kỳ nhân lên toàn bộ chu kỳ trong duy nhất một vật chủ là người, điều này có thể dẫn đến một hội chứng gọi là hội chứng tăng nhiễm (hyperinfection) trên những cơ thể người bị suy giảm miễn dịch. Hầu như tất cả những trường hợp tử vong do nhiễm giun đường ruột ở Mỹ là do nhiễm loại giun này và chu trình tự nhiễm của nó (autoinfection), đó là loài giun lươn, có tên khoa học Strongyloides stercoralis.
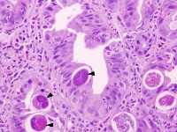
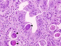
Qua hình ảnh ở trên, chúng ta có thể thấy được bệnh do giun lươn gây những tác hại như thế nào? [1] ấu trùng giun lươn đi xuyen da, niêm và có thể vào trực tiếp các mao mạch; [2] nhiễm ký sinh trùng lan tỏa trong máu; [3] từ mao mạch phổi đi đến các phế nang, đến khí quản, đến thực quản và ruột non và ròi trưởng thành, trong đó có giun cái và trứng cần quan tâm; [4] Trứng ra và díh trong niêm mạc, trưởng thành nên ấu trùng giai đoạn 1 và [5] bệnh có thể gây viêm phổi, đau bụng, rối loạn hấp thu, tổn thương niêm mạc ruột và tiêu chảy; chu trình tự nhiễm có thể gây khó chịu và viêm nhiễm tại chỗ hoặc toàn thân, lan tỏa đến các cơ quan ngoài tiêu hóa như phổi, gan, hệ thần kinh trung ương hoặc gây nhiễm trùng huyết.
Các tác giả Siddiqui và Berk đã tổng hợp các đặc điểm dịch tễ, lâm sàng, cận lâm sàng và thái độ xử trí bệnh giun lươn S. stercoralis. Mặc dù, hiện nay người ta đã phát hiện và liệt kê rất nhiều loại giun lươn có khả năng gây bệnh cho người và vật nuôi, song hầu hết bệnh nhiễm giun lươn ở Mỹ và các nước trên thế giới là do loài Strongyloides stercoralis. Các vùng có bệnh giun lươn lưu hành trên toàn cầu là Đông Nam Á, châu Mỹ La tinh, châu Phi, nhưng cũng có những ổ dịch bệnh ở đông nam nước Mỹ. Nhiễm ký sinh trùng giun lươn mạn tính với loại S. stercoralis thường không có triệu chứng, nhưng khi có triệu chứng thì khá rõ ràng và tương đối điển hình là bệnh có thể gây ra triệu chứng tiêu hóa, dưới da, hay tại đường hô hấp (nhất là phổi và phế nang). Vấn đề thường gặp nhất ở hệ tiêu hóa là tiêu chảy và chướng bụng, sôi bụng. Nhiễm ấu trùng giun lươn tại niêm mạc biểu hiện điển hình liên quan đến vùng quanh hậu môn do ấu trùng di chuyển, dộp phồng dạng herpes (serpiginous rash) có thể lan rộng đến mông, vùng da ụ ngồi, thân mình; ho và thở ngắn là các triệu chứng liên quan đến hội chứng ấu trùng di chuyển tại phổi.
- Phương pháp xác định có mặt giun trong cơ thể thường là xét nghiệm phân phát hiện ấu trùng. Tuy nhiên, điều này rất khó vì lượng giun đường ruột khá thấp, không có hội chứng tăng nhiễm thì lại càng khó phát hiện hơn.
- Một mẫu phân xét nghiệm cũng có thể cho kết quả âm tính giả lên đến 70% số bệnh nhân. Chẩn đoán huyết thanh ELISA có thể cho phản ứng chéo với một số bệnh giun sán khác;
- Song, kết quả xét nghiệm phân dương tính và tăng bạch cầu ái toan thường gặp nhưng đôi khi không đặc hiệu cho tình trạng nhiễm giun lươn mà có có khả năng do KST khác;
- Hội chứng tăng nhiễm chỉ xảy ra các cá nhân suy giảm miễn dịch, thường sử dụng corticosteroides kéo dài hoặc dùng thuốc ức chế miễn dịch, thuốc điều trị nhiễm trùng cơ hội, vi rút;
Các tác giả cũng lưu ý nên thận trọng xem xét có thể nhiễm giun lươn tìm ẩn trên những bênh nhân nguy cơ cao (occult strongyloidiasis) nếucó tình trạng ức chế miễn dịch thì tiên đoán được hậu quả có thể, bởi vì tỷ lệ tử vong trên những bệnh nhân có hội chứng tăng nhiễm rất cao, đến 87%.
Về điều trị, thuốc Thiabendazole là thuốc đầu tay và lựa chọn dùng điều trị cho giun lươn hiệu quả nhất, nhưng các nghiên cứu gần đây chỉ ra thuốc Ivermectin cho kết quả dung nạp tốt hơn, tỷ lệ chữa khỏi cũng cao hơn. Điều trị tận gốc nhiễm giun lươn là phương cách ngăn ngừa hội chứng tăng nhiễm và biến chứng nghiêm trọng trên các bệnh nhân này. Xét nghiệm nhiều mẫu phân vào các ngày khác nhau để đảm bảo điều trị khỏi vì tỷ lệ âm tính giả rất cao khi chúng ta chỉ xét nghiệm duy nhất một lần và một mẫu phân.
Nói tóm lại, nhiễm giun lươn đường tiêu hóa là một bệnh xem như “reemergency” hiện nay, không những ở các quốc gia đang phát triển mà xuất hiện tại các quốc gia tiên tiến, như Mỹ. Phần lớn bệnh nhân nhiễm bệnh không có triệu chứng hoặc rất mơ hồ, khiến các thầy thuốc lâm sàng, nhất là nội tiêu hóa và da liễu đôi khi nhầm lẫn, chẩn đoán và điều trị không kịp thời, bênh nhân suy sút và nếu trên một cơ địa suy giảm miễn dịch thì điều này càng nguy hiểm hơn, thậm chí có thể tử vong.