Một số bệnh ký sinh trùng từng gây ngộ độc thực phẩm như dịch bệnh Salmonella truyền qua thức ăn hoặc A-míp ‘Ăn Não’ từng xảy ra ở Việt Nam, thời gian gần đây lại xuất hiện ở một số quốc gia trên thế giới như hồi chuông báo động với những loại ký sinh trùng hiếm gặp này.

Món ăn cá ngừ sống thường được ưa thích nhưng chứa đầy hiểm họa từ ký sinh trùng
CDC: Dịch bệnh Salmonella liên quan đến 62 người bị bệnh do ăn sushi
Ngày 23/7/2015. ABC News. Trung tâm phòng chống và kiểm soát dịch bệnh Hoa Kỳ (US CDC) báo cáo dịch bệnh Salmonella liên quan đến 62 người bị bệnh do ăn sushi (Salmonella Outbreak Linked to Sushi Sickens 62, CDC Reports), đó chính là sự trả thù của những cuộn thịt cá ngừ. Sushi được xem là món ăn truyền thống của Nhật Bản với các sản phẩm có mức giá từ bình dân, đến siêu đắt đỏ, trong đó sushi cá ngừ sống (Kuro maguro) là một trong những món đắt đỏ nhất với mức giá tại các cửa hàng từ 1 USD đến 65 USD nếu được làm từ những con cá ngừ đặc biệt.

Sushi cá ngừ sống, món ăn Nhật Bản toàn thế giới ưa thích
Theo một báo cáo mới đây của USCDC dịch bệnh salmonella đang lan rộng có thể một phần có liên quan tới món sushi theo như đưa tin đã lây lan cho 62 người tại 11 bang. Salmonella là loại vi khuẩn gây ngộ độc phổ biến nhất ở Mỹ, 62 người bị nhiễm khuẩn trong những ngày gần đây được cho là đã ăn Sushi cá ngừ sống trước đó. CDC cho biết dịch bệnh này có liên quan tới một mẻ cá ngừ vây vàng đông lạnh đã được chế biến tại Indonesia và được Tập đoàn Osamu bán. Một số con cá đã được bán cho Tập đoàn AFC để sử dụng trong sushi ở cửa hàng tạp hóa. CDC đã cho biết trong một thông báo: “Phần lớn những người bị mắc bệnh trong dịch bệnh này đã báo cáo về việc ăn sushi làm bằng cá ngừ sống trong tuần trước khi bị ốm” (Most ill people in the outbreak reported eating sushi made with raw tuna in the week before becoming sick).

Cá ngừ đông lạnh nằm trên sàn đấu giá đầu tiên của năm mới tại chợ cá Tsukiji ngày 5/1/2010 tại Tokyo
Theo Cục Quản lý Thực phẩm Và Dược phẩm Hoa kỳ (US FDA), tập đoàn Osamu đã tình nguyện thu hồi lại thịt cá ngừ vây vàng đông lạnh đã được chế biến từ nhà máy đó và bán cho AFC. FDA cũng cho biết rằng AFC “đã gỡ bỏ sản phẩm này khỏi thị trường và đang tiêu hủy bất kỳ sản phẩm nào còn lại của họ” là vì “các nhà điều tra Sở Y tế bang Minnesota đã phát hiện các mẫu từ một địa điểm bán lẻ tại Minnesota đã bị nhiễm Salmonella”. Cả hai Tập đoàn Osamu và AFC đã không ngay lập tức phản ứng với những yêu cầu bình luận.

Các điểm bán lẻ cá ngừ sống thường được bán lẻ ở các chợ vùng biển Việt Nam
BS. William Schaffner, một chuyên gia bệnh truyền nhiễm tại Trường Y tế Đại học Vanderbilt cho biết dịch bệnh này nhấn mạnh sự cần thiết phải “giám sát kỹ càng để khi có bất kỳ điều gì như vụ việc này xảy ra chúng ta có thể tối thiểu hóa các tác động của nó”, ông cho biết thêm rằng sự thận trọng cần phải được nêu cao vì thực phẩm đến từ những nơi mà FDA không có mặt. Ông Schaffner trả lời với hãng tin ABC News rằng: “Một lần nữa, vụ việc này nhấn mạnh rằng đây chỉ là một ngôi làng nhỏ đâu đó ngoài kia, không phải chỉ có con người du lịch vòng quanh thế giới mà thực phẩm cũng du lịch vòng quanh thế giới. … FDA không thể hiện diện ở mọi cảng đánh cá ở Indonesia và trên khắp thế giới”. Theo CDC, các triệu chứng của salmonella bao gồm tiểu chảy, sốt và chuột rút ở bụng có thể xuất hiện từ 12 tới 72 giờ sau khi phơi nhiễm. CDC khuyên các phụ nữ có thai, các công dân cao tuổi và bất kỳ ai thiếu miễn dịch tránh ăn cá sống.

Hình ảnh amibe tấn công não
A-míp ‘Ăn Não’ xuất hiện trở lại trong nguồn cung cấp nước ở Bang Louisiana
Ngày 24/7/2015.A-míp ‘Ăn Não’ xuất hiện trở lại trong nguồn cung cấp nước ở Bang Louisiana ('Brain-Eating' Amoeba Reappears in Louisiana Parish's Water Supply). Các quan chức cho biết một loại a-míp gây chết người tiềm ẩn đã được phát hiện trong nguồn cấp nước tại một hạt bên ngoài thành phố New Orleans lần thứ hai trong hai năm. Các cơ quan cho biết, nước từ hạt St. Bernard, cách trung tâm thành phố New Orleans 5 dặm đã được kiểm tra dương tính với Naegleria fowleri và Sở Y tế Và Bệnh viện Bang Loisiana đã ra lệnh “đốt” (burn) bằng clo 60 ngày bắt đầu từ hôm thứ 5 để đảm bảo mầm bệnh sẽ bị diệt trừ khỏi hệ thống cấp nước.

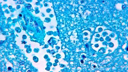
Hình ảnh phóng đại 500X, ảnh chụp qua kính hiển vi của một mẫu mô não miêu tả những thay đổi cấu trúc tế bào kết hợp với nhiễm amip Naegleria fowleri, có thể sống độc lập.
Hiện vẫn chưa rõ a-míp này tồn tại phổ biến trong nguồn nước như thế nào vì mới có hai đợt xét nghiệm dương tính bao gồm một mẫu nước chưa xử lý và một mẫu khác từ một trạm có thể đã bị nhiễm từ nước ngầm. Nước đã xử lý đã được phát hiện có lượng clo được khuyến cáo. Ông Jacob Groby, giám đốc kiểm định chất lượng của Phòng cấp nước và hệ thống cống tại hạt St. Bernard (St. Bernard Parish Water and Sewer Division) cho biết nước đã được xả đi và được kiểm tra lại để phát hiện xem a-míp còn xuất hiện tại bất kỳ nơi nào khác trong hệ thống nước 225 dặm không.

A mibe “ăn não” được cho là xuất hiện ở các hồ bơi
Hệ thống cấp nước phục vụ 44.000 người, giảm xuống từ gần 68.000 người trước khi cơn bão Katrina đã đẩy những người dân đi khỏi vào năm 2005. Ông Groby cho biết số dân cư đã giảm bớt sau cơn bão Katrina và việc sử dụng ngày càng nhiều các thiết bị thân thiện với môi trường đã dẫn tới việc có ít nước hơn được xử lý cho cùng hệ thống cấp nước do đó nước tồn đọng trong các ống nước lâu hơn và có thể đã khiến việc khử trùng bằng clo giảm bớt hiệu quả.

Hồ Lake Minnewaska ở Mỹ, nơi có một trẻ em bị nhiễm amibe “ăn não”
Naegleria fowleri là một mầm bệnh tồn tại trong tự nhiên trong nước ngọt và có thể rất nguy hiểm nếu vào cơ thể qua đường mũi và tới được bộ não, nó không gây hại nếu mọi người uống nó hoặc nó bám trên da họ. Vào thời điểm này các cơ quan y tế cho biết vào năm 2013, một cậu bé 4 tuổi đã tử vong tại hạt này sau khi bị nhiễm a-míp này, trong khi chơi trên slip-n-slide (một trò chơi trượt trên một tấm nilon dài và ướt).
BS. William Schaffner, một chuyên gia bệnh truyền nhiễm tại Trường Đại học Y Vanderbilt, cho biết mọi người trong khu vực này nên tiến hành các bước giữ an toàn như khử trùng bể bơi bằng clo và không cho trẻ em chơi với ống nước để làm mát, ông Schaffner cho rằng: “Bạn đừng để nước vào trong mũi, bạn sẽ không thể bị nhiễm khi uống nước-đó không phải là một vấn đề”.