Gần đây, trong thực hành lâm sàng có nhiều cơ sở y tế trong và ngoài nước đã tiếp nhận và điều trị khá nhiều ca bệnh do ký sinh trùng, có ca bệnh nhiễm ký sinh trùng lan truyền từ động vật lây sang người, có loại ký sinh trùng mà người lại là vật chủ chính. Nhiều ca đã gây thương tổn nhiều cơ quan quan trọng của cơ thể người như mắt, hệ thần kinh trung ương, tắc ruột, gan mật, lấy đi nhiều chất dinh dưỡng trong cơ thể của bệnh nhân, …
Nhân đây chúng tôi xin chia sẻ một số bệnh nhân như thế đang gặp hàng ngày, nhất là các cơ sở y tế chuyên khoa.
1. Lấy sán xơ mít dài hơn 10m ký sinh nhiều năm trong cơ thể
các y, bác sĩ bệnh viện Y học cổ truyền tỉnh Thừa Thiên Huế thông tin, đơn vị vừa tiến hành bài thuốc sổ Đông y lấy con sán dây dài hơn 10m từ bệnh nhân Lê Viết K., sinh năm 1974, đến từ huyện Hướng Hóa, tỉnh Quảng Trị.
Trước đó, ngày 12/12, bệnh nhân K. nhập viện với triệu chứng đau bụng bứt rứt, rối loại tiêu hóa.
Theo thông tin từ người nhà, bệnh nhân K. thường đau bụng hơn một năm nay, nhiều lần điều trị các loại thuốc Tây y ở nhiều nơi nhưng vẫn không giảm. Khi vào Bệnh viện Y học cổ truyền tỉnh, các y bác sĩ khám, kiểm tra bụng bệnh nhân K., có những đốt sán tự rụng ra ống tiêu hóa, gần hậu môn. Sau đó, được các bác sĩ dùng bài thuốc sổ đặc trị được ứng dụng nhiều năm qua tại Bệnh viện.

Con sán dài hơn 10m được lấy ra khỏi cơ thể bệnh nhân K.
Chỉ 2 ngày sau, một con sán được tống ra ngoài khi bệnh nhân đi đại tiện, dài hơn 10m. Các bác sĩ nhận định nó đã sống ký sinh trong cơ thể K. nhiều năm. Hiện bệnh nhân K. hoàn toàn khỏe mạnh và đang làm thủ tục xuất viện.
2. Người đàn ông yếu liệt vì sán nhái 7 cm chui lên não

Người dân có nguy cơ nhiễm ký sinh trùng này khi ăn thịt động vật chưa náu chín
Ông NNA (52 tuổi, ngụ Lâm Đồng) đến khám tại BV ĐH Y Dược TP.HCM với những triệu chứng đau đầu, yếu nửa người kèm co giật. Chụp cộng hưởng từ sọ não, các bác sĩ chẩn đoán ông A. có tổn thương choán chỗ vùng vỏ não vận động có thể do u hoặc nang ký sinh trùng trong não. Đến khi phẫu thuật, các bác sĩ mới xác định chính xác bệnh lý của A. là do u nang ký sinh trùng trong não dài 7 cm và tiến hành lấy ra.
Sau phẫu thuật, người bệnh được tiếp tục điều trị bằng thuốc kháng ký sinh trùng. Sau bốn tuần điều trị, ông A. đã không còn đau đầu, co giật, sức cơ hồi phục và xuất viện với sức khỏe ổn định.
Kết quả giải phẫu bệnh cho thấy đây là loại ký sinh trùng có tên khoa học Spirometra erinaceieuropaei hay còn gọi là sán nhái. Người dân có nguy cơ nhiễm ký sinh trùng này khi ăn thịt ếch, nhái, gà, vịt, chim không nấu chín kỹ. Sán nhái thường ký sinh ở mắt người, rất hiếm khi có ở não.

Các bác sĩ đang tiến hành ca phẫu thuật và hình ảnh ký sinh trùng sán nhái

TS.BS Nguyễn Minh Anh, Trưởng khoa Ngoại thần kinh BV Đại học Y dược thành phố Hồ Chí Minh, người trực tiếp thực hiện phẫu thuật, cho biết những người có thói quen ăn rau sống, thịt sống hoặc ăn thức ăn không được làm sạch, chế biến kỹ sẽ có nguy cơ cao nhiễm ký sinh trùng. Sau khi vào cơ thể, ký sinh trùng sẽ theo mạch máu lên não và sống ký sinh ở đó. Thậm chí, ký sinh trùng còn có thể sinh sản và phát triển thành nhiều nang ở nhiều vị trí khác nhau trong não người bệnh.
Riêng trường hợp người bệnh này chỉ có một nang do ký sinh trùng duy nhất. Nếu để tình trạng của người bệnh kéo dài không điều trị, ông A. có nguy cơ nhiễm trùng, xuất huyết não, liệt nửa người không hồi phục và thậm chí tử vong”. Khó khăn lớn nhất trong ca phẫu thuật này là vị trí mổ nằm ở vùng vỏ não vận động. Chức năng vận động của con người được điều khiển bởi vỏ não vận động và các bó dẫn truyền.
Khi phẫu thuật thần kinh sẽ có nguy cơ làm tổn thương vùng vỏ não vận động này, dẫn đến ảnh hưởng đến chức năng vận động khiến người bệnh liệt nửa người không hồi phục. Vì vậy, BV đã đầu tư hệ thống máy theo dõi điện sinh lý thần kinh trong phẫu thuật sọ não và cột sống để giúp giảm thiểu nguy cơ tổn thương trong quá trình phẫu thuật cho người bệnh.
4. Ký sinh trùng theo dịch phổi bệnh nhân ra ngoài
Mới đây, thông tin từ bệnh viện Nhiệt đới Trung ương cho biết vừa tiếp nhận nam bệnh nhân tên LHT (19 tuổi, quê Tân Yên, Bắc Giang) với nhập viện trong tình trạng sốt cao, suy hô hấp, tràn khí màng phổi kèm tràn dịch màng phổi.
Gia đình bệnh nhân cho biết trước đó bệnh nhân xuất hiện triệu chứng đau tức ngực phải rồi lan dần ra giữa ngực. Bệnh nhân đã được đưa đến phòng khám tư nhưng bác sĩ không tìm ra được nguyên nhân gây đau. Sau đó, bệnh nhân được chuyển lên BV tuyến huyện thăm khám. Tại đây, qua kết quả chụp chiếu, bác sĩ chẩn đoán bệnh nhân bị tràn dịch màng phổi và được chuyển tuyến lên BV tỉnh. Kết quả chụp chiếu cho thấy tại BV tỉnh cho thấy bệnh nhân có thêm tràn khí màng phổi, các bác sĩ đã tiến hành hút dịch cho bệnh nhân. Trong quá trình ra dịch phổi, bệnh nhân nhận thấy có nhiều ký sinh trùng ra cùng dịch nên được chuyển tuyến lên BV Nhiệt đới Trung ương.
TS.BS Trần Văn Giang, phụ trách khoa virus-ký sinh trùng, BV Nhiệt đới Trung ương, cho biết bệnh nhân T. nhập viện trong tình trạng sốt cao, suy hô hấp, tràn khí màng phổi kèm tràn dịch màng phổi. Ngay sau đó, bệnh nhân được chuyển vào khoa Hồi sức tích cực để dẫn lưu khí màng phổi và cho làm xét nghiệm tìm căn nguyên. Sau khi lấy dịch màng phổi làm xét nghiệm, các bác sĩ soi vi sinh cho thấy có hình ảnh sán lá phổi. Sau khi điều trị bằng thuốc đặc hiệu, bệnh nhân đã có tiến triển tốt, không còn tình trạng tràn khí, tràn dịch, sốt, đau tức ngực.

Theo TS.BS. Trần Văn Giang, trường hợp bệnh nhân T. do đã suy hô hấp cấp nếu không điều trị kịp thời có thể nguy hiểm đến tính mạng. Người bị nhiễm sán lá phổi thường có triệu chứng điển hình là đau tức ngực, ho khạc ra máu, xuất huyết phổi vào buổi sáng sớm. Ngoài ra, bệnh có thể gây biến chứng như tràn dịch, khí, máu màng phổi khi nang tổn thương sán bị vỡ.
Bệnh nhân có nguy cơ mắc sán lá phổi nếu tiếp xúc với căn nguyên, cụ thể là loài cua đá - vật chủ mang sán lá phổi đặc trưng. Người dân ở khu vực miền núi dễ mắc bệnh này hơn người dân thành thị. Ngoài ra, những người có thói quen ăn đồ sống, đồ nướng... cũng rất dễ bị nhiễm sán lá phổi. Trước đây, ở Việt Nam từng có dịch sán lá phổi tại huyện Sìn Hồ (tỉnh Lai Châu) cũng do căn nguyên tương tự", BS Giang cho biết thêm.
5. Người đàn ông co giật vì sán nhái dài 7 cm chui lên não
Bác sĩ đã kịp thời gắp con sán nhái dài 7cm chui vào đầu khiến người đàn ông bị co giật, yếu nửa người. Ngày 20/12, Bệnh viện Đại học Y Dược TP Hồ Chí Minh, trước đó có tiếp nhận một bệnh nhân (52 tuổi, quê Lâm Đồng) nhập viện trong tình trạng đau đầu kéo dài, yếu nửa người. Qua chụp cộng hưởng từ, bác sĩ phát hiện bệnh nhân bị tổn thương vùng vỏ não vận động do u nang do KST. Ê-kíp phẫu thuật đã gắp một con sán dài khoảng 7 cm ra khỏi não bệnh nhân. Giải phẫu bệnh con sán xác định là loài sán ký sinh trong nhái. Bệnh nhân được điều trị tiếp đó 4 tuần bằng thuốc kháng sinh ký sinh trùng. Hiện, sức khỏe bệnh nhân đã ổn định và được bác sĩ cho xuất viện vào chiều ngày 19/12.

Theo bác sĩ Nguyễn Minh Anh, Trưởng Khoa Ngoại Thần kinh, sán nhái thường ký sinh ở mắt người, rất hiếm gặp trong não. Người dân có nguy cơ nhiễm sán khi ăn thịt ếch, nhái, gà, vịt, chim, rau sống… Sán nhái khi nhiễm vào cơ thể sẽ theo mạch máu di chuyển đến các bộ phận, sau đó sinh sản và phát triển thành nhiều nang ở các vị trí khác nhau trong. Bệnh nhân cần điều trị kịp thời nếu không dễ bị nhiễm trùng, xuất huyết não và thậm chí tử vong. Nếu xuất hiện triệu chứng đau đầu, mệt mỏi, choáng váng, yếu nửa người, co giật, người bệnh đến bệnh viện để khám và điều trị. Bác sĩ khuyến cáo để tránh nguy cơ nhiễm ký sinh trùng, mọi người nên ăn các thực phẩm chế biến kỹ và có nguồn gốc rõ ràng
6. Sán lúc nhúc trong phổi thanh niên 19 tuổi vì món ăn nhiều người thích
Nam bệnh nhân bị tràn khí màng phổi nhưng khi hút dịch phổi, bác sĩ phát hiện bên trong có nhiều sinh vật ngoe nguẩy. TS.BS Trần Văn Giang, Phụ trách Khoa Vi rút - Kí sinh trùng, BV Bệnh Nhiệt đới TƯ cho biết, khoa vừa điều trị thành công trường hợp bị nhiễm sán lá phổi nguy kịch. Trước khi chuyển đến BV Bệnh nhiệt đới TƯ 10 ngày, nam bệnh nhân L.H.T. (19 tuổi, Tân Yên, Bắc Giang) thường xuyên bị đau tức ngực phải, sau đó đau lan ra giữa ngực.
Bệnh nhân đến phòng khám tư khám nhưng không tìm ra nguyên nhân. Tại BV huyện, bác sĩ chẩn đoán T. bị tràn dịch màng phổi, nguy kịch, yêu cầu chuyển lên BV đa khoa tỉnh điều trị.
Tại đây, bệnh nhân được chỉ định hút dịch phổi. Tuy nhiên, các bác sĩ hết sức ngỡ ngàng khi phát hiện có nhiều sinh vật ngoe nguẩy trong dịch. Kết quả xét nghiệm và soi vi sinh cho thấy, sinh vật lạ trong dịch phổi là sán lá phổi. Bệnh nhân sau đó được chuyển lên BV Bệnh nhiệt đới TƯ. Sau khi điều trị bằng thuốc, bệnh nhân tiến triển tốt, không còn tình trạng sốt, đau tức ngực, tràn khí, tràn dịch.

TS Giang cho biết, trường hợp bệnh nhân T. nếu nhập viện chậm trễ có nguy cơ suy hô hấp, nguy cơ tử vong cao. Tại Việt Nam, sán lá phổi thường tập trung tại một số tỉnh miền núi như Sơn La, Lào Cai, Hoà Bình, Hà Giang, Nghệ An... Nguyên nhân do tập quán ăn hải sản chưa được nấu chín, đặc biệt là các món ăn được chế biến từ cua biển, cua đá như: Tiết canh cua, gỏi cua, cua nướng, uống nước cua sống, mắm cua… Trong đó cua đá là vật chủ mang sán lá phổi đặc trưng.
Khi con người hay súc vật ăn phải tôm, cua có ấu trùng sán lá phổi chưa nấu chín, ấu trùng sán vào dạ dày và ruột (ấu trùng thoát nang ở tá tràng), xuyên qua thành ống tiêu hoá vào ổ bụng rồi xuyên qua cơ hoành và màng phổi vào nhu mô phổi rồi làm tổ ở đó, một số ít cư trú tại tim, phúc mạc, gan, thận, dưới da, ruột, não...
Sán lá phổi có kích cỡ to bằng hạt cà phê hay hạt lạc nhỏ, dài 7-13 mm, rộng 4-6 mm, màu đỏ hoặc trắng hồng. Chúng thuộc loài lưỡng tính, có cả bộ phận sinh dục đực và cái.

Các tạng phổi của người bị nhiễm sán
Sán chủ yếu ký sinh trong phổi, làm nang trong tiểu phế quản nhỏ của phổi người hay súc vật, trong mỗi nang hầu hết có 2 con và dịch mủ màu đỏ, xung quanh có mạch máu tân tạo. Trứng sán có màu nâu sẫm, hình bầu dục, có nắp, kích thước là dài 80-120 µm, rộng 4-8 µm vỏ dày, bên trong có chứa phôi
TS.BS. Giang lưu ý, khi mắc sán lá phổi, triệu chứng điển hình là đau tức ngực, ho khạc ra máu vào buổi sáng sớm. Đây được đánh giá là bệnh mãn tính, nếu đển muộn, bệnh nhân sẽ xuất hiện tình trạng ho ra máu, xuất huyết phổi, tràn dịch khí, máu màng phổi. Để phòng bệnh, cách hiệu quả nhất là đảm bảo ăn chín, uống sôi nhất là những nơi có thói quen ăn gỏi và các hải sản tươi sống.

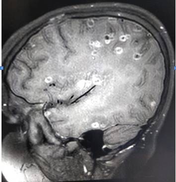
7. Bé gái 8 tuổi co giật vì 100 trứng sán làm tổ trong não
Một bé gái 8 tuổi đã phải nhập viện vì bị đau đầu, tê liệt và lên cơn co giật. Theo kết quả kiểm tra, em đã bị nhiễm đến 100 trứng sán dây trong não. Một bé gái 8 tuổi được giấu tên ở New Dehli, Ấn Độ sinh sống cùng bố mẹ trước đó vẫn luôn khỏe mạnh, hoạt bát. Bỗng một ngày cô bé được cô giáo đưa về nhà do đột nhiên lên cơn đau đầu dữ dội. Mọi chuyện càng trở nên trầm trọng hơn khi em bắt đầu xuất hiện những cơn co giật bất thường ngay tại lớp học, gây ảnh hưởng lớn đến việc học tập. Gia đình đưa em đến bệnh viện kiểm tra, nhưng sau sáu tháng điều trị, các triệu chứng trên không hề thuyên giảm mà càng trở nên nặng hơn.
Ban đầu, cô bé được chỉ điều trị bằng steroid liều cao vì các bác sĩ đã nghĩ rằng đó là các triệu chứng của u nang não. Nhưng thay vì các triệu chứng sẽ thuyên giảm, tình trạng của em càng trở nên nghiêm trọng khi cơ thể em bắt đầu bị phù nề, trọng lượng cơ thể tăng từ 40 kg lên 60 kg khiến cô bé bị khó thở và không thể đi lại bình thường. Phải 6 tháng sau, cha mẹ của em sau khi đã quá tuyệt vọng vì căn bệnh kỳ lạ của con gái đã đưa cô bé đến bệnh viện Fortis ở Gurgaon kiểm tra.
Ở đó, sau những lần chụp cắt lớp não bộ, cô bé được chẩn đoán là mắc chứng rối loạn thần kinh. Nguyên nhân chính là cô bị nhiễm trùng sán dây nặng, trứng của chúng đi vào mạch máu từ dạ dày lên đến não và làm tổ ở đó. Lý giải cho nguyên nhân nhiễm sán dây, các bác sĩ cho biết cô bé đã ăn trái cây chưa được rửa sạch và thịt chưa được nấu kỹ. Trứng sán dây ở trong những loại thực phẩm này đã không được loại bỏ triệt để, chúng đã xâm nhập vào cơ thể. Sau một thời gian điều trị đúng bệnh, cô bé đã dần hồi phục và đã có thể đi lại được.

Chụp cắt lớp cho thấy những chấm tròn trong não của bé gái 8 tuổi chính là trứng của sán dây
Việc điều trị của em bắt đầu khi các bác sĩ phải sử dụng các loại thuốc để giảm sưng tấy, sau đó là những loại thuốc đặc trị để đẩy hết số trứng sán ra ngoài cơ thể. Sự tăng cân đột ngột do phù nề, hậu quả của việc sử dụng steroid liều cao đã được chữa khỏi, cô bé đã trở về số cân nặng ban đầu và có thể tiếp tục đi học.
Cha của cô bé cho biết: “Vợ chồng chúng tôi không thể nghĩ rằng, con gái chúng tôi đang rất khỏe mạnh và vui vẻ lại mắc phải một chứng bệnh nghiêm trọng đến thế. Nhưng tôi nghĩ rằng chúng tôi đã cực kỳ may mắn khi đã điều trị kịp thời cho con gái trước khi số trứng sán kia nở và gây tổn thương lên não của con bé”. Ở góc chụp khác, trứng sán dây ban đầu bị chuẩn đoán nhầm là u nang
Praveen Gupta - Giám đốc thần kinh tại Bệnh viện Fortis, cho biết việc chụp cắt lớp phần não của cô bé đã cho thấy hơn 100 chấm trắng hình thành do trứng của sán dây. Việc cơ thể bị xuất hiện các triệu chứng sưng tấy và nhiễm trùng chính là do ăn phải thực phẩm có chứa trứng sán. Khi trứng xâm nhập não bộ qua hệ thần kinh, chúng gây ra chứng loạn thần kinh, biểu hiện thông qua những cơn đau đầu dữ dội, những cơn co giật và tâm lý bất ổn. Có thể nhiều người không biết, nhưng hiện tượng trứng sán dây phá hoại chức năng não bộ là rất phổ biến”.
Tổ chức Y tế Thế giới đã công nhận sự tấn công phá hoại hệ thần kinh trung ương có tác nhân chính của sán dây, loại sán này hình thành từ trứng sán có trong những loại thực phẩm như thịt lợn hoặc rau củ khi chưa được chế biến và rửa sạch trước khi sử dụng. Cũng theo TCYTTG, việc bị nhiễm ấu trùng sán dây có thể được ngăn ngừa bằng những phương pháp rất đơn giản. Chỉ cần chế biến thực phẩm kỹ hơn trước khi sử dụng và chỉ chọn những loại thực phẩm có nguồn gốc, người tiêu dùng có thể tránh khỏi việc bị nhiễm phải chứng bệnh này-một tác nhân hàng đầu của chứng động kinh trên toàn thế giới.
7. Bác sĩ kinh hãi gắp 11 con giun lúc nhúc trong mắt bé trai
Bác sĩ lần lượt gắp ra 11 con giun trong mắt bé trai 5 tháng tuổi sau khi cháu bé này tiếp xúc với thú cưng nhà hàng xóm. Bé trai Dong Dong, 5 tháng tuổi (Thiểm Tây, Trung Quốc) chuyển đến viện trong tình trạng khó chịu dữ dội trong mắt. Sau thăm khám, bác sĩ phát hiện trong mắt bé trai có rất nhiều ấu trùng/giun(?) đang bò lúc nhúc.
Bác sĩ đã mất 21 phút mới gắp được hết 11 con giun trong nhãn cầu và dưới mi mắt bé trai. Bệnh nhi được chỉ định nằm lại viện để theo dõi thêm.
Bác sĩ cho biết, bé trai bị nhiễm giun đũa chó mèo (thuộc ngành giun tròn). Loại giun này được phát hiện ở Trung Quốc từ những năm đầu thế kỷ 20 và là nguyên nhân gây ra nhiều bệnh lý về mắt ở châu Âu.

Đám giun bò lúc nhúc trong mắt bệnh nhi
Chi tiết về quá trình lây nhiễm cần đợi nghiên cứu mẫu giun nhưng thường, giun đũa chó mèo thường sống ký sinh trên vật chủ chó, mèo và người. Điều này trùng khớp với chia sẻ của mẹ bé trai về khả năng lây nhiễm từ thú nuôi nhà hàng xóm, vì ở nhà cháu bé không nuôi chó và mèo.
Loại giun này thường phát triển và sinh sản ở ruột người. Giun thường khó phát hiện vì không có triệu chứng rõ rệt, trừ trường hợp nhiễm giun với số lượng lớn. Người nhiễm giun có thể quan sát thấy giun trong phân hoặc cá biệt hơn, các dấu hiệu có thể bao gồm sốt cao, ho khan 4-16 ngày sau khi trứng giun xâm nhập vào cơ thể.
Nhiễm giun tròn thường dễ điều trị. Tuy nhiên, khi một số lượng lớn trứng giun chui vào cơ thể hoặc nếu giun di chuyển từ ruột đi các bộ phận khác, chúng sẽ tạo nên các biến chứng nặng nề, có thể gây tắc ruột.
9. Một lượng lớn giun được tìm thấy trong bụng bệnh nhi 3 tuổi
Sau khi bé gái 3 tuổi tại Nghệ An nôn ra giun, các bác sĩ gắp tiếp ra búi giun hơn 1kg trong ruột.BS Đậu Anh Trung, Phó trưởng khoa Ngoại tổng hợp, BV Sản Nhi Nghệ An cho biết, khoa vừa phẫu thuật lấy búi giun khổng lồ trong ruột bé gái Nguyễn Thị T. (3 tuổi, Nghi Lộc, Nghệ An).
Bệnh nhi chuyển đến viện trong tình trạng mệt mỏi, có biểu hiện nhiễm khuẩn, nhiễm độc và mất nước, bụng chướng nhiều.

Các bác sĩ gắp ra búi giun từ ruột bệnh nhi nữ
Gia đình cho biết, tình trạng này đã kéo dài 6 ngày, thỉnh thoảng bé cuộn cơn đau bụng, nôn và có lần nôn ra giun, đại tiện chỉ ra nước tanh, điều trị 4 ngày ở tuyến huyện không tiến triển. Khi siêu âm, các bác sĩ phát hiện hình ảnh có búi giun, ổ bụng nhiều dịch, chẩn đoán: Bệnh nhi bị tắc ruột do giun/nhiễm khuẩn, nhiễm độc nặng. Bệnh nhi được tiến hành bù dịch, dùng kháng sinh kết hợp, chỉ định phẫu thuật.
BS Trung cho biết, trong quá trình mổ, phát hiện các quai ruột của bệnh nhi đã bị giãn to, ổ bụng nhiều dịch đục. Đoạn hồi tràng dài 40cm chứa đầy giun gây tắc ruột, có đoạn đã bị rách thanh mạc. Các bác sĩ đã mở hồi tràng lấy ra một số lượng lớn giun đũa đang sống (bỏ đầy bình dung tích khoảng 1,5 lít). Sau mổ, trẻ đang được theo dõi hồi sức do tình trạng nhiễm khuẩn nhiễm độc còn nặng nề.
Theo BS Trung, đây là trường hợp khá hy hữu khi có số lượng giun lớn như vậy, gióng lên hồi chuông trong việc chăm sóc sức khoẻ, giữ gìn vệ sinh cho trẻ em. Bệnh giun đũa rất phổ biến, người bị nhiễm có thể không có triệu chứng nào. Khi số lượng giun lớn có thể có biểu hiện sụt cân, đau bụng quặn mạn tính, buồn nôn, nôn và có giun trong phân. Với trẻ em, có thể bị chậm phát triển về chiều cao và cân nặng và bao gồm cả việc suy dinh dưỡng. Khi số lượng giun nhiều, tạo thành búi có thể gây ra tình trạng tắc ruột như ở bệnh nhân này. Do đó cha mẹ nên tẩy giun cho trẻ theo định kỳ khi trẻ từ 2 tuổi trở lên theo khuyến cáo của bác sĩ.
Hình ảnh nội soi tá tràng của một phụ nữ mang thai 25 tuần tuổi đã khiến bác sĩ phải “rùng mình” bởi từng búi giun đũa to đùng, bác sĩ gắp ra không xuể. Thai phụ này đến khoa Tiêu hóa (BV Bạch Mai) khám vì thấy buồn nôn, xuất hiện các cơn đau ở vùng bụng lan tỏa ra sau lưng. Khi thực hiện nội soi tá tràng, bác sĩ đã giật mình vì nhìn thấy từng búi giun đũa kết lại, chui chen chúc trong tá tràng. Các bác sĩ đã cố gắng gắp ra nhưng không xuể bởi giun kết thành búi rất khó gắp, hơn nữa giun cũng chui cả vào ống tụy, đường mật.

Bác sĩ cũng nhận định, do nhiễm giun đũa với số lượng lớn, giun chui cả vào ống tụy gây viêm tụy cấp là nguyên nhân khiến bệnh nhân xuất hiện cơn đau. Đáng nói, việc tẩy giun với phụ nữ mang thai rất cân nhắc. Nhưng nếu không tẩy giun, sẽ không thể lấy hết giun. Cùng với đó, tình trạng gây viêm tụy cho người bệnh nếu không có hướng điều trị cũng rất nguy hiểm. Vì thế, khoa Tiêu hóa (BV Bạch Mai) đã hội chẩn với bác sĩ khoa Truyền nhiễm, với bác sĩ chuyên ngành kí sinh trùng và đưa ra lời khuyên với gia đình thai phụ.
Được biết, sau khi cân nhắc lợi-nguy cơ, nếu không dùng thuốc tẩy giun, giun không thể ra hết và bệnh nhân chịu thêm nhiều cơn đau do giun tiếp tục chui lên ống mật, trong khi nguy cơ ảnh hưởng đến thai rất thấp do thai đã hơn 6 tháng tuổi, gia đình bệnh nhân đã đồng ý tẩy giun.
“Không biết đã bao lâu thai phụ này không tẩy giun. Tôi chắc chắn một điều, ít đồng nghiệp nào từng nhìn thấy hình ảnh nội soi với giun đũa to xoắn thành búi nhiều khủng khiếp như vậy”, một bác sĩ chia sẻ. Những hình ảnh này chắc chắn sẽ khiến nhiều người giật mình, không nhớ bao lâu mình đã không tẩy giun.

Búi giun đũa Ascaris lumbricoides qua nội soi.
Nhiễm giun đường ruột gây nên nhiều tác hại khác nhau như thiếu máu, thiếu các vi chất, trẻ em học không tập trung, gây bệnh ở gan mật, phổi ảnh hưởng đến sự phát triển về thể chất và tinh thần cho người bệnh, đặc biệt ở trẻ em và phụ nữ có thai. Nghiêm trọng hơn là các triệu chứng do nhiễm giun đường ruột như viêm đường mật, viêm tụy cấp, tắc ruột, tổn thương gan. Với những người có sức đề kháng yếu thì bệnh lý ngày càng xấu và thậm chí có thể dẫn tới tử vong. Nên cần tẩy giun định kỳ 6 tháng 1 lần và phải thực hiện đồng loạt trong cả gia đình. Với phụ nữ có kế hoạch mang thai, cần uống thuốc tẩy giun 3 tháng trước khi có thai để tránh nguy cơ như thai phụ trên.
11. Cách nhận biết thịt bò, thịt lợn có đang nhiễm giun sán?
Thịt bò và thịt lợn là hai thực phẩm thiết yếu trong cuộc sống. Nhưng thực tế, cả thịt bò và thịt lợn đều có thể có nguy cơ bị nhiễm giun sán gây hại cho sức khỏe. Thịt lợn và thịt bò là hai loại thực phẩm thiết yếu trong cuộc sống hàng ngày. Chúng đều cung cấp nguồn dưỡng chất dồi dào cho sức khỏe. Tuy nhiên, thực tế là cả thịt bò và thịt lợn đều có nguy cơ bị nhiễm sán. Nếu ăn phải, sẽ đe dọa rất lớn đối với sức khỏe con người.
Theo thông tin trên báo Sức khỏe và Đời sống, thịt bò bị nhiễm giun sán, có tên khoa học là Cysticercus bovis, thịt lợn nhiễm sán được gọi là Cysticercus cellulosae (?!)

Cách nhận biết thịt bò, thịt lợn nhiễm sán. Ảnh minh họa
Khi chúng ta ăn phải thịt lợn hay thịt bò có chứa các nang ấu trùng sán khi chưa được nấu chín, các ấu trùng này khi xâm nhập vào cơ thể, đi đến dạ dày, lớp màng ngoài của sán bị phá vỡ, lúc này đầu sán được giải phóng và tiếp tục bám vào niêm mạc ruột non, phát triển thành sán trưởng thành chỉ sau 2 - 3 tháng.
Những triệu chứng khi ăn phải thịt bò, thịt lợn nhiễm sán là rối loạn tiêu hóa như đau bụng, khó tiêu, cảm thấy buồn nôn, thậm chí nôn ra cả đốt sán. Trường hợp nặng hơn có thể khiến cơ thể bị yếu cơ, sụt cân nghiêm trọng, thiếu máu và rối loạn thần kinh, ảnh hưởng tiêu cực tới hệ vi sinh vật đường ruột ở trong cơ thể.
Biện pháp rất đơn giản để phát hiện thịt lợn hay bò bị nhiễm giun sán là cắt thịt theo thớ dọc và quan sát, tìm kiếm dọc theo thớ thịt. Nếu bạn thấy miếng thịt có những đốm trắng to bằng đầu kim thì đó là miếng thịt đã bị nhiễm giun (?).

12. Ca bệnh khạc ra giun có liên quan đến nghề trồng hoa màu
Nữ bệnh nhân thỉnh thoảng thấy tức ngực, ho khạc ra đờm kèm theo những sinh vật nhỏ là giun lươn ngọ nguậy.
BS Nguyễn Trung Cấp, Trưởng khoa Cấp cứu, BV Bệnh nhiệt đới TƯ cho biết, nữ bệnh nhân 50 tuổi, người Việt Nam sống tại Lào. Gần đây, chị bất chợt phát hiện nhiều nốt sẩn ngoằn nghoèo trên da, có di chuyển. Thỉnh thoảng bệnh nhân thấy tức ngực, ho khạc ra đờm có những sinh vật nhỏ ngọ ngoậy. Chị trở lại Việt Nam đi khám và điều trị tại nhiều nơi, sau xét nghiệm huyết thanh, bác sĩ kết luận chị bị nhiễm giun lươn nên đến BV Bệnh nhiệt đới TƯ để khám và tư vấn. Qua khai thác, bệnh nhân cho biết, không lội ruộng ở đâu ngoài việc nhà có mảnh vườn nhỏ trước sân, thường xuyên tự trồng và chăm hoa.
Mới đây, BV cũng điều trị cho nam bệnh nhân 70 tuổi bị sốt kéo dài, nhiễm trùng huyết nhiều lần, tái phát đi tái phát lại dù đã điều trị tại nhiều bệnh viện. Cuối cùng khi đến BV Bệnh nhiệt đới, bác sĩ phải điều trị đồng thời nhiễm trùng và diệt giun lươn, tình trạng bệnh mới cải thiện. BS Cấp cho biết, khác với giun đũa chó mèo, khi người nuốt phải, trứng giun sẽ nở thành ấu trùng, đi vào máu đến các nội tạng nhưng không thành giun trưởng thành ở người, trong khi đó ấu trùng giun lươn có thể “trườn” khắp cơ thể, đi từ phổi lên họng, xuống ruột lại thành giun trưởng thành và đẻ trứng, nở thành ấu trùng, tự nhiễm đi nhiễm lại trong nhiều năm.

Giun đũa chó/ mèo chỉ có ở chó/ mèo còn giun lươn tồn tại tự do lưu trữ trong đất, ruộng, đẻ trứng nở ra ấu trùng rhabditiform rồi lại phát triển thành giun trưởng thành, cứ thế tồn tại vô thời hạn trong đất. Đặc biệt những nơi có tập tục đi vệ sinh ngoài môi trường, vùng đất đó sẽ nhiễm giun lươn nhiều.
Nếu đi chân trần vào vùng đất có ấu trùng giun lươn, chúng sẽ đi xuyên qua da tạo các nốt di chuyển ngoằn ngoèo (ban trườn), vào máu đi lên phổi, xuyên qua phế nang theo đờm lên họng, bị nuốt xuống ruột phát triển thành giun trưởng thành ký sinh trong ruột. Tại ruột, chúng đẻ trứng nở thành ấu trùng giun thải ra theo phân gây ô nhiễm đất. Một số ấu trùng lại tái xâm nhập ngay trong lòng ruột qua da gần hậu môn vào máu và tạo ra lứa giun mới.

Cơ chế tái đi tái lại này khiến nhiều bệnh nhân ở thành phố vài chục năm không đi chân đất vẫn bị nhiễm giun lươn như thường (chu trình tự nhiễm). BS Cấp cho biết, giun lươn được biết đến lần đầu năm 1876 trên lính Pháp hồi hương từ Việt Nam. Ngoài người, chúng có thể gây bệnh cả ở chó mèo. Bệnh do giun lươn lưu hành khắp các vùng nhiệt đới và cận nhiệt đới, mỗi năm trên thế giới có khoảng 35 triệu ca mắc. Tại châu Á, giun lươn có khắp các nước Việt Nam, Lào, Campuchia, Thái Lan, Philippines, Malaysia, Ấn Độ, Trung Quốc, Nhật Bản. Tại Việt Nam, tỉ lệ người từng nhiễm giun lươn lên đến 29,1%, trong đó Tây nguyên có tỉ lệ cao nhất lên tới 42,4%. Song đến nay, các điều tra rải rác cho biết tỷ lệ này đã giảm đi đáng kể do ý thức của người dân đã thực hiện việc sổ giun cho các thành viên trong gia đình của họ và đi khám bệnh định kỳ khi có triệu chứng nghi ngờ của họ để xét nghiệm cận lâm sàng, kiểm tra.
Tuy vậy hầu hết các ca nhiễm giun lươn mạn thường không có triệu chứng hoặc đôi khi chỉ có mẩn ngứa hay các nốt giun di chuyển ngoằn ngoèo dưới da hoặc ậm ạch khó tiêu, táo bón tiêu chảy xen kẽ. Khoảng 75% số này có tăng bạch cầu ái toan ở các mức độ khác nhau. Tuy nhiên, những bệnh nhân này nếu vì lý do gì đó bị suy giảm miễn dịch sẽ khởi phát siêu nhiễm dẫn đến tình trạng rất nặng với các biểu hiện viêm phổi nặng, nhiễm trùng máu do các vi khuẩn đường ruột, nhiễm ấu trùng giun lươn lan tỏa ở nhiều vị trí như màng não, màng tim, mắt và các cơ quan quan trọng khác và tỉ lệ tử vong ở nhóm này có thể lên tới tới 40%.

Với các bệnh nhân có hội chứng tăng nhiễm thường có biến chứng nhiễm trùng huyết, sốc và hội chứng suy hô hấp cấp (ARDS). Bệnh nhân có ARDS cần được thở máy với phương thức bảo vệ phổi. Bệnh nhân có sốc cần được điều trị chống sốc và hỗ trợ các tạng bị suy. Với các bệnh nhân nhiễm giun lươn thông thường, điều trị đặc hiệu bằng thuốc thường kéo dài khoảng 3 ngày-2 tuần tùy từng loại thuốc và phác đồ khác nhau.
Một dấu hiệu khác cho thấy miếng thịt bò, thịt lợn bị nhiễm sán đó là thớ thịt có những hình sợi hay hình bầu dục to bằng hạt gạo, màu trắng hay vàng xám nằm song song với thớ thị. Ngoài ra, khi thấy miếng thịt lợn, bò có cảm giác cứng khi sờ, không có sự đàn hồi hay không có độ dẻo dính, không mềm mại vì có thể miếng thịt này đã bị ướp urê hoặc có chứa hàn the. Khi thấy những dấu hiệu này, bạn cần loại bỏ ngay lập tức, tuyệt đối không được sử dụng. Vậy làm sao để ăn thịt bò, thịt lợn an toàn?
- Tuyệt đối không ăn thịt bò, lợn sống hoặc tái, chưa được nấu chín kỹ. Lưu ý ăn ngay sau khi nấu xong, tránh để lâu, có thể tạo điều kiện cho vi khuẩn khác xâm nhập, gây các hội chứng tiêu hóa nhiễm trùng khác;
- Tránh để bị ô nhiễm chéo giữa thức ăn chín và thức ăn sống với bề mặt bị bẩn. Với những dụng cụ sơ chế thịt lon, bò sống cần phải được rửa sạch sẽ như dao, thớt trước khi sử dụng cho thực phẩm chín khác;
- Rửa tay thật sạch trước và sau khi nấu ăn, đặc biệt là sau mỗi lần gián đoạn để làm việc khác. Khi tay bạn bị nhiễm trùng hãy băng kỹ và kín vết nhiễm trùng đó trước khi chế biến thức ăn.

13. Gắp giun ký sinh dài 15 cm ra khỏi mắt bệnh nhân
Một bệnh nhân nam, 60 tuổi ở huyện Kundapur, Karrnataka, Ấn Độ đến bệnh viện phàn nàn về tình trạng đau và ngứa mắt liên tục. Khi bác sĩ chuyên khoa Srikanth Shetty kiểm tra cho ông, bác sĩ phát hiện con giun ký sinh dài 15 cm trong nhãn cầu và phải gắp bỏ ngay lập tức.
Bác sĩ Shetty cho biết: "Thách thức lớn nhất là phải gắp con giun ra mà không giết chết nó trong mắt bệnh nhân vì nó sẽ gây biến chứng. Việc gắp bỏ cũng rất khó khăn vì con giun liên tục ngoe nguẩy."

Bệnh nhân cũng có cả giun ký sinh trong máu và hiện đang được điều trị - Bác sĩ Shetty cho hay. Con giun ký sinh này có tên là Wuchereria Bancrofti. Đây là một loài giun ký sinh chủ yếu thông qua ấu trùng của nó. Ấu trùng của loài ký sinh trùng này tồn tại trong cơ thể loài muỗi, lây nhiễm vào con người khi muỗi đốt. Chúng là nguyên nhân gây ra bệnh giun chỉ bạch huyết, hay còn được biết đến với cái tên khác là bệnh phù chân voi, một sự biến dạng vô cùng đau đớn.