Trong hầu hết các trường hợp, giun sán nhân lên bên trong các hệ thống, cơ quan trong cơ thể, khi đó gánh nặng giun sán càng tăng lên và lẽ đương nhiên triệu chứng sẽ càng xuất hiện sớm. Điều kiện vệ sinh kém góp phần rất lớn trong việc xuất hiện những trường hợp nhiễm ký sinh trùng. Bệnh do ký sinh trùng của hệ tiêu hóa thường liên quan đến giun, sán nói chung gọi là helminths.
Bệnh giun kim (Pinworm disease)
Bệnh giun kim gây ra do một loại giun tròn nhỏ, có tên khoa học là Enterobius vermicularis. Nhiễm bệnh xảy ra khi tiêu hóa hoặc hấp thu các trứng của giun vào đường tiêu hóa, các con trưởng thành cái đẻ trứng gần bề mặt cơ thể, cụ thể là gần vùng rìa hậu môn. Những trẻ em nhỏ thường bị nhiễm hơn và gây nên triệu chứng rối loạn giấc ngủ ban đêm, gián tiếp ảnh hưởng đến trí tuệ các trẻ. Hiện một số thuốc sẵn có bán trên thị trường đểu điều trị bệnh này chỉ liều duy nhất hoặc liều 3 ngày , tỷ lệ chữa khỏi gần 100%.
Bệnh giun đũa
Bệnh giun đũa do nhiễm ký sinh trùng Ascaris lumbricoides. Nhiễm trùng bắt đầu với tiêu hóa trứng giun vào hệ tiêu hóa, đào hầm xuyên qua thành ruột non và đi vào dòng máu, cuối cùng đi đến phổi. Sau đó, giun sẽ đi vào lại hệ thống tiêu hóa khi chúng có cơn ho vào được bệnh nhân nuốt vào. Một số lượng lớn trứng giun có thể gây nên các cơn suy hô hấp, tắc ruột nếu như nhiễm nặng.
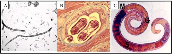
Giun móc (Hookworm disease)
Bệnh giun móc có thể gây ra bởi một trong hai loại giun tròn, hoặc là Ancylostoma duodenale hoặc Necator americanus. Ấu trùng giun móc đi xuyên qua da người, thường là quyên qua da ở bàn chân, tiếp đó giun móc trưởng thành sẽ đi vào dòng máu lên phổi và tại đó chúng gây kíhc thích bệnh nhân ho và trào ngược xuống trở lại vào trong hệ tiêu hóa. Giun móc sẽ lấy thức ăn thông qua các móc có sẵn ở đầu giun để lấy các chất dinh dưỡng qua lớp lót của niêm mạc ruột và hệ tiêu hóa nói chung, chúng cứ hút máu và rồi nhân lên, nhiễm càng nhiều sẽ dẫn đến thiếu máu và thiếu sắt càng nhiều, bệnh nhân ngày càng trở nên suy nhược. Đặc biệt lưu ý bệnh giun móc là bệnh ở người thường đi chân trần.
Giun lươn (Strongyloidiasis)
Bệnh giun lươn, còn gọi theo tiếng Anh là Strongyloidiasis, bệnh gây ra bởi is caused by the roundworm Strongyloides stercoralis. Giun này cũng bắt đầu bằng con đường đi xuyên qua da, đến dòng máu và vào đến phổi, cuối cùng đến hệ tiêu hóa. Nhiễm trùng dẫn đến hậu quả gánh nặng giun càng lớn thì nguy cơ tắc nghẽn ruột càng nhiều. Sự xâm nhập vào thành ruột có thể gây nên các bệnh lý đi kèm, nhất là trên những bệnh nhân suy giảm miễn dịch.
Bệnh thường biểu hiện với các triệu chứng rói lạn tiêu hóa (tiêu chảy hay đi phân không thành khuôn,...), mày đay, đau bụng liên tục trong thời gian dài, không đáp ứng với các thuốc điều trị loét tiêu hóa. Hội chứng tăng nhiễm thường hay gặp trên những bệnh nhân có cơ địa suy giảm miễn dịch như lao, HIV/AIDS, u lymphoma,...
Giun tóc (Whipworm disease)
Bệnh giun tóc gây ra do loại giun tròn có tên khoa học là Trichuris trichiura, gọi là giun tóc vì cơ thể nó gần giống sợi tóc nhỏ.Trứng được nhiễm theo trong thức ăn và nước, khi vào đến hệ tiêu hóa chúng trưởng thành, con giun trưởng thành đẻ trứng, đào thải qua phân. Nhiễm lượng giun càng nặng, càng dễ gây ra kích thích ruột, phản ứng viêm và một số triệu chứng khác như tắc ruột.
Hậu quả để lại của giun tóc khá nghiêm trọng có thể là sa trực tràng, chảy máu trực tràng, suy nhược cơ thể.
Bệnh giun xoắn (Trichinosis)
Bệnh giun xoắn do một loại giun tròn có tên khoa học là Trichinella spiralis gây ra, ký sinh trùng này nhiễm vào cơ của heo và thường lây truyền sang người thông qua các sản phẩm thịt heo chưa được nấu chín. Giun đi vào máu của người và đóng kén tại các cơ. Nhiễm nặng các cơ liên sườn có thể gây đau dữ dội. Giun cũng di chuyển đến cơ tim, cơ hoành, phổi. Nếu nấu chín thức ăn, sẽ giúp ngăn ngừa được bệnh giun này.
Tại Việt Nam, nhiều vụ lớn nhỏ về bệnh giun xoắn đã xảy ra, nhất là các tỉnh phía Bắc và Nam, sau một đám cưới hay đám giỗ với các mâm thịt lợn. Điều đáng nói là không phải không có tử vong đã xảy ra trong các vụ nhiễm ký sinh trùng giun xoắn như thế
Bệnh sán dây (Taenisias)
Bệnh sán dây gây ra bởi một loại sán hình dây (tapeworm), phẳng. Hai loại sán dây quan trọng là sán dây bò và sán dây lợn (Taenia solium, Taenia saginata). Người bị nhiễm khi ăn các thức ăn nhiễm bệnh như thịt heo và thịt bò. Sán trưởng thành dính vào thành ruột và sử dụgn các móc của chúng để lấy thức ăn. Sán dây có nhiều đốt đính với nhau, có thể các đót này có bị bẻ gãy tự do và đào thải qua phân của lợn và một số gia súc, rơi xuống đất. Nhiễm sán càng nặng có thể gây tắc ruột và đau bụng thường xuyên.
Bệnh nang sán chó ký sinh ở não (Hydatid disease)
Bệnh có nang sán gây ra do một loại sán nhỏ, phẳng, sán này có liên quan đến loài ký sinh trùng Echinococcus granulosus. Người bị nhiễm do tiếp xúc với các phân động vật bị bệnh (đặc biệt phân chó), sán sẽ hình thành nên các nang sán gọi là hydatid cysts trong mô. Các nang sán lớn gây tổn thương các cơ quannhư gan và phổi. Bệnh do loại ký sinh trùng Echinococcus, nên nó còn có tên gọi là hydatid disease, hydatid cyst, unilocular hydatid disease hoặc cystic echinococcosis.
Đây được xem là một bệnh ký sinh trùng có thể gây tử vong, ảnh hưởng lên rất nhiều động vật, bao gồm động vật hoang dại, gia súc, vật nuôi và cả con người. Bệnh do nhiễm ấu trùng sán dải chó Echinococcus, đáng chú ý nhất là các loài E. granulosus, E. multilocularis, E. vogeli và E. oligarthrus. Khi nhiễm bệnh gây ra nhiều nang lớn nhỏ khác nhau bên trong các vật chủ trung gian.
Bệnh nang sán ở gan hoặc phổi, nói chung thường không có triệu chứng nhưng có thể gây các biến chứng nghiêm trọng nếu chúng vỡ nang ra. Sốc phản vệ toàn thân thường liên quan đến vỡ nang (cyst rupture) và có thể tiên đoán dương tính bằng phản ứng Casoni. Cũng có nhiều nguy cơ bệnh lan tỏa trong màng phổi (intrapleural) hoặc trong phúc mạc (intraperitoneal) và nhiễm trùng thứ phát sẽ gây các ổ áp xe tại chỗ. Tình trạng này được coi là bệnh nang sán (cystic hydatid disease) và đôi khi có thể điều trị thành công bằng phẩu thuật tách bỏ các nang. Ở Bồ Đào Nha, có nhiều kinh nghiệm với phương pháp chọc hút qua da (PAIR_Percutaneous Aspiration, Infusion of scolicidal agents and Reaspiration of cyst content) và điều trị bằng thuốc Albendazole liều 400mg hai làn mỗi ngày. Điều trị bằng Albendazole hay Praziquantel nên khởi đầu trước khi tiến hành bất kỳ một thủ thuật nào và điều trị trong thời gian 28 ngày nếu các nang đã lan rộng.
Về phòng bệnh, có nhiều chiến lựợc để ngăn ngừa bệnh do Echinococcus spp. hầu hết liên quan đến quá trình cắt đứt một khâu trong chu kỳ sinh học. Ví dụ ăn các vật, thức ăn thừa, xác súc vật thối rửa của chó là điểm chính nên được khuyến cáo. Thực hành vệ sinh cơ bản như rửa tay trước khi ăn, nấu chín thức ăn,...có thể ngăn được trứng vào hệ tiêu hóa con người. Thường xuyên sổ giun cho chó bằng thuốc praziquantel cũng giúp giết được mầm bệnh sán dây. Vaccine hiệu quả dựa trên công nghệ tái tổ hợp DNA (recombinant DNA technology) đang được phát triển tại Úc.
Bệnh sán lá gan (Liver fluke disease)
Gan có thể bị nhiễm bởi các lòai sán lá gan lớn và sán lá gan nhỏ như Fasciola hepatic, Fasciola gigantica, Clonorchis sinensis, Opisthorchis viverinii. Các sán này nhiễm vào người qua đường tiêu hóa rau thủy sinh hoặc cá sống trong nước ngọt. ấu trùng sán di chuyển trực tiếp hoặc gián tiếp đến gan rồi tại đó chúng trưởng thành trong nhu mô gan hoặc đường mật trong và ngoài gan. Từ đó có thể gây tổn thương nhu mô gan, tắc mật, vàng da, và một số triệu chứng khác.
Một điều đáng chú ý đến các bệnh sán lá gan hiện nay, trong đó loài sán lá gan nhỏ có thể gây bệnh lý ung thư đường mật qua nghiên cứu bệnh chứng ở một số quốc gia, Thái Lan là quốc gia có tỷ lệ ung thư đường mật do căn nguyên này được xếp vào hàng cao nhất (FAO., 2007). Do vậy, hiện nay nhiều dự án tập trùng vào chiến lược phòng bệnh sán lá gan nhỏ ở châu Á rất lớn và đang triển khai quy mô tại một số quốc gia.
Nhìn chung, các bệnh ở đường tiêu hóa do ký sinh trùng được đề cập ở trên gọi là các bệnh ký sinh trùng lây qua đường thực phẩm (Foodborn Parasitic Diseases), trong đó có một số bệnh ký sinh trùng đang nổi (Emerging Foodborn Parasitic Diseaes) như sán lá gan lớn, sán lá gan nhỏ và sán lá phổi. Các thông tin chi tiết khác liên quan đến những nghiên cứu sâu về các bệnh ký sinh trùng trên, có thể tham khảo chuyên đề sán lá gan lớn trên cùng trang website:www.impe-qn.org.vn.