GIỚI THIỆU VỀ CƠ QUAN THỊ GIÁC
Mắt của người là một phần của não, hình thành từ tuần thứ 3 của phôi thai dưới dạng hai túi thị nguyên thủy, phát triển và lồi dần ra phía trước tạo thành võng mạc, thể thủy tinh và các thành phần hoàn chỉnh khác sau này. Mắt là một trong năm giác quan quan trọng, giúp con người quan sát và kiểm soát môi trường xung quanh. Con người có khả năng dùng mắt để liên hệ, trao đổi thông tin và biểu cảm với nhau thay lời nói. Do đó, trong văn học mắt có khi được gọi là cửa sổ tâm hồn. Mắt người nằm trong hai lỗ hốc hai bên sống mũi, trên có gò lông mày và trán, dưới giáp xương má. Màng mạc bọc xương của hốc mắt nối tiếp bên sau với màng cứng của não, bọc theo hai dây thần kinh thị giác. Bên ngoài có hai mí mắt khi nhắm lại che kín hốc mắt. Mí trên có lông mi dài cong, lông mi của mí dưới ít hơn và ngắn hơn. Bên trong hốc mắt có các tuyến nước mắt, các bắp thịt di chuyển mắt, trong cùng là các mô mỡ chêm đệm không cho mắt bị kéo vào phía sau bởi các bắp thịt.
Tròng mắt là một hình cầu, lớp củng mạc phía ngoài, màu trắng đục, phía trước bọc bởi một lớp trong gọi là kết mạc. Giác mạc nối tiếp củng mạc lồi ra phía trước, trong suốt để lộ phía trong cầu mắt, tạo thành tròng đen. Bên sau giác mạc theo thứ tự từ ngoài vào trong là khối lỏng thủy dịch, vòng cơ mi, thủy tinh thể nằm trong trung tâm phía sau cơ mi, khối lỏng dịch thủy tinh và sau cùng, lót phía trong cầu mắt là võng mạc, nơi ánh sáng tác động lên nhiều đầu dây thần kinh hình nón và hình gậy. Những dây thần kinh tụ lại tại một điểm ra phía sau cầu mắt theo dây thần kinh thị giác vào não.

Hình 1
Vì điểm này của võng mạc không có đầu thần kinh đón nhận ánh sáng nên gọi là điểm mù. Ánh sáng đi qua thủy tinh thể hội tụ rõ nhất tại hố thị giác trên võng mạc. Cầu mắt di động nhờ sức kéo của 6 nhóm cơ: 4 cơ trực trên, dưới, ngoài, trong; 2 cơ chéo - trên và dưới. Hai cơ trực ngoài và trực trong chỉ đơn giản quay ra ngoài và vào trong. Cơ trực trên quay cầu lên và chếch vào trong một chút, cơ chéo dưới, quay lên và ra ngoài một chút. Hai cơ này có tác động chung là đưa hướng nhìn lên (tác động ngoài-trong bị khử nhau). Tương tự, cơ trực dưới quay cầu xuống và vào trong một chút, cơ chéo trên quay xuống và ra ngoài một chút. Hai cơ có tác động chung là nhìn xuống (Khi xét nghiệm hai cơ trực trên và dưới nên bảo bệnh nhân nhìn vào trong một chút để tránh tác động của hai cơ chéo. Tương tự, khi khám nghiệm hai cơ chéo trên và dưới nên bảo bệnh nhân nhìn ra ngoài một chút để tránh tác động của hai cơ trực).

Hình 2
BỆNH MẮT DO KÝ SINH TRÙNG KÝ SINH HAY LẠC CHỖ GÂY BỆNH
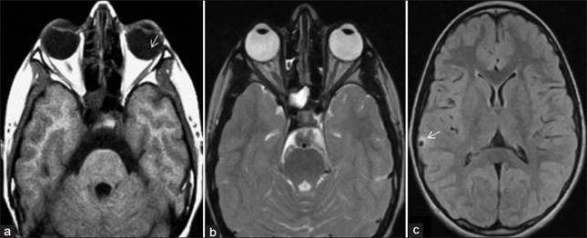
Trên thế giới, một số quốc gia tại vùng nhiệt đới và cận nhiệt đới như châu Á, châu Phi, Nam Mỹ, Trung Mỹ,…thì bệnh mắt do tác nhân ký sinh trùng (KST) và đơn bào tương đối hay gặp và rất nhiều công trình nghiên cứu khá chi tiết về các loại bệnh như thế và công việc chẩn đoán và điều trị có lẽ đã trở nên quen thuộc và đưa ra khung chẩn đoán và điều trị rất thường quy đối với các nước đó. Riêng ở Việt Nam, các bệnh lý như thế khá hiếm gặp, khi có gặp thì bệnh nhân đã vào giai đoạn muộn, có thể giảm thị lực hoặc mất thị lực vĩnh viễn. Trong thời gian 10 năm trở lại đây, một số cơ sở điều trị nhãn khoa như các bệnh viện mắt tuyến Trung ương, tuyến tỉnh hoặc cơ sở y tế tư nhân đôi khi gặp các trường hợp bệnh nhân nhiễm KST giun, sán hoặc đơn bào. Tuy nhiên, quá trình chẩn đoán, xác định và định danh loại và loài KST hoặc đơn bào còn gặp nhiều khó khăn và rất ít công trình nghiên cứu đến loại hình bệnh lý này. Thực tế lâm sàng cho thấy nhiều bệnh nhân mắc phải nhưng không được phát hiện ra bệnh trong một thời gian dài, mãi đến khi giun sán tự đục thủng một bộ phận nào đó của mắt chui ra thì khi đó hậu quả rất nghiêm trọng (viêm cấu trúc ổ mắt, viêm nội nhãn, viêm giác mạc, kết mạc, viêm màng bồ đào, viêm hắc võng mạc, đục dịch kính, giảm thị lực, mù hoàn toàn, viêm hoặc teo thị thần kinh). Các loại KST và đơn bào gây bệnh ở mắt có thể là amíp Acanthamoeba spp., Toxoplasma spp. Việc điều trị các bệnh lý như thế đôi khi gặp khó khăn vì không được xử lý ổ nhiễm KST hay đơn bào triệt để, thậm chí khi nhiễm dẫn đến kèm theo bội nhiễm vi khuẩn dẫn đến hoại tử hoàn toàn ổ mắt.

Hình 3
Bệnh do giun chỉ Thelazia callipaeda ở mắt
Giun cái đẻ trứng, trứng được thụ tinh hoặc ấu trùng sẽ nằm lẫn trong nước mắt hoặc các chất tiết, loài ruồi liên quan thuộc giống Fannia và Musca. Một khi ấu trùng phát triển đến giai đoạn gây nhiễm, chúng di chuyển đến phần miệng của ruồi và từ đó lây truyền cho vật chủ khác.
Bệnh mắt do giun chỉ không phổ biến ở Việt Nam, song thời gian qua BV Mắt Trung ương luôn tiếp nhận nhiều bệnh nhân đến trong tình trạng kết mạc viêm, mi mắt có u hạt, xung huyết. Sau khi làm xét nghiệm, soi mắt và chụp chuyên khoa thì các bác sĩ phát hiện trên mi mắt người bệnh có ấu trùng sán dây lợn, sán nhái, giun tròn nằm và một số tác nhân khác nằm dưới võng mạc trung tâm. Một số bệnh nhân vào viện với nhiều bệnh cảnh đa dạng: khi thì mắt bị vướng cộm, kết mạc góc ngoài vùng khe mi mắt có một khối đỏ, kích thước to nhanh. Khám lâm sàng và một số xét nghiệm chẩn đoán không có gì đặc biệt, nhưng xét nghiệm mô bệnh học qua sinh thiết tại mắt cho thấy ngoài cùng là vỏ bao xơ, tiếp theo là tổ chức hạt viêm với các tân mạch và nhiều loại tế bào viêm như bạch cầu đa nhân trung tính (BCĐNTT), lympho bào, trong cùng là các khúc giun cắt ngang qua hoặc hơi chéo với vỏ kitin dày, các lớp cơ bên trong chứa các ấu trùng giun chỉ Onchocerca spp.
Năm 2008. một bệnh nhân trước khi vào viện 10 ngày bị sưng nề mi mắt trên bên phải, đều trị kháng sinh nhỏ tại chỗ không đỡ. Vào BV Mắt Trung ương khám, làm xét nghiệm phát hiện, trong mi mắt trên bên phải của bệnh nhân có một khối u kích thước 0,5cm, mật độ chắc, di động, ấn không đau, kết mạc xung huyết nhẹ. Bệnh nhân được phẫu thuật cắt bỏ u. Sau khi dùng kìm chuyên dụng bóc tách u, vỏ bọc vỡ một chất nhầy màu vàng chảy ra và theo đó là đầu giun còn sống. Các bác sĩ phải lấy panh kéo ra 2 con giun dài 4 cm, vỏ kitin dày, bên trong chứa nhiều ấu trùng Thelazia spp.
Hình 4.Một số ký sinh trùng trưởng thành ký sinh và gây bệnh ở mắt
Cùng năm 2008, tại Thái Nguyên, các nhà ký sinh trùng Việt Nam lần đầu tiên phát hiện loài giun vốn bản chất ký sinh và gây bệnh trên động vật, nhất là chó, mèo nay lại ký sinh và gây bệnh cho con người. Đó là trường hợp bệnh nhân được phát hiện thấy một loại giun trong mắt (T). Cách ngày nhập viện không lâu, bệnh nhân cảm thấy mắt có vật lạ, cồm cộm, đi khám ở BVĐK tỉnh Thái Nguyên, các bác sĩ nhãn khoa gắp giun ra, tiếp đó chuyển bệnh nhân tới Bộ môn Ký sinh trùng của Ðại học Y khoa Thái Nguyên, tại đây bắt thêm 1 con giun nữa (tổng số là 5 con), giun bắt ra còn sống, có hình ống, màu trắng sữa, dài từ 10-15mm, đầu nhọn và đuôi cong. Tiếp đó, giun được bảo quản và chuyển về Bộ môn Ký sinh trùng, Ðại học Y Hà Nội, qua kết quả định loại bằng hình thái học và định loài bằng sinh học phân tử đã xác định đây là loại giun tròn Thelazia callipaeda. Qua đó, giới thiệu một số ca bệnh do loài giun này trên thế giới đã ghi nhận tại nhiều quốc gia:
-Ca bệnh nhiễm giun T. californiensis ở mắt con người: Viêm kết mạc mắt do Thelazia californiensis là một trường hợp do nhóm tác giả[My paper] R Knierim, M K Jack phát hiện trên một bệnh nhân viêm kết mạc mạn tính, được khám và phát hiện nhiễm loại giun tròn ở vùng kết mạc. KST này được tìm thấy trong túi kết mạc, tất cả đều di động. Điều trị bằng cách loại bỏ KST và theo dõi một thời gian;
-Nhiễm trùng ở mắt do loài Thelazia spp. ở tại Ấn Độ và Mỹ. Nhóm tác giả J Mahanta, J Alger, P Bordoloi thuộc Bệnh viện Oil India Hospital, Duliajan, Assam (Ấn Độ) và Trường Đại học Y tế công cộng New Orleans (Mỹ) phối hợp nghiên cứu về các chủng của giống Thelazia ký sinh và gây bệnh trên kết mạc và tuyến lệ của nhiều loại động vật có vú trên khắp thế giới. Hầu hết các thành viên của giống Thelazia nằm ở gia súc, cừu, dê, trâu, chó, thỏ và lừa. Tỷ lệ mắc mới ở gia súc dao động từ 5-42% tùy thuộc các quốc gia khác nhau. Nhiễm bệnh trên người được công bố là do 2 loài T. callipaeda và T. californiensis. Về kinh điển, đây chỉ loài KST gây bệnh trên chó, mèo, thỏ tại các quốc gia châu Á, bao gồm Ấn Độ, Trung và Viễn Đông. Giun trưởng thành có màu trắng kem, trông giống sợi chỉ, chiều dài có thể đến 2 cm. Sự có mặt của loài giun này trong mắt dẫn đến tăng tiết nước mắt, tăng tiết chất nhầy, gây tác hại đến kết mạc và giác mạc. Trong nghiên cứu này, các bác sĩ mô tả loài giun tròn này được lấy ra từ thủy tinh thể.
-Nhiễm giun T. callipaeda ở Hiroshima (Nhật Bản) cho biết đến 2012, có khoảng 120 trường hợp nhiễm Thelazia spp. ở người, phần lớn ca bệnh đều ở phía Tây của Nhật Bản, nhất là Kyusyu. Đây là báo cáo về một số ca bệnh đặc biệt được trích ra do tác giả Imada Masaki, Sugihara Aya và Mizote Hideaki cùng một số cộng sự ghi nhận tằng T. callipaeda, loài giun tròn phương đông, phân bố khắp Đông Nam Á. Đầu tiên, loài giun này ký sinh và gây bệnh liên quan đến kết mạc, giác mạc và thủy tinh thể của chó, khỉ, gấu trúc bắc Mỹ, nhưng thỉnh thoảng lại ký sinh trên người. T. callipaeda nhiễm bệnh ở túi kết mạc gây ra nhiều triệu chứng trong cơ quan mắt.
Bệnh mắt do nhiễm giun chỉ Wuchereria bancrofti
Giun chỉ Wuchereria bancrofti ký sinh ở người trưởng thành, chủ yếu trong hạch và ống bạch huyết. Giun chỉ trưởng thành dài 25-100 mm, bệnh lưu hành nhiều quốc gia châu Á và châu Phi, Nam Mỹ và một vài quốc gia châu Âu như Ý, Tây Ban Nha và Việt Nam trước đây cũng có những vùng lưu hành bệnh này như Khánh Hòa, Ninh Thuận, Quảng Bình, …
Khi nhiễm giun chỉ loại này ở mắt. Mắt sẽ bị phù, ngứa, đôi khi thấy được con giun di chuyển dưới lớp da căng phồng; túi lệ đôi lúc có thể tìm thấy giun chỉ chui vào và gây viêm túi lệ; ở kết mạc có thể thấy giun chỉ di động dưới kết mạc, có khi gây xuất huyết dưới kết mạc tái đi tái lại Riêng tại mống mắt thể mi, lúc giun chỉ chui vào thể mi sẽ gây viêm mống mắt rất nặng, đau dữ dội, tiền phòng có thể nhìn thấy giun chỉ màu trắng, di chuyển tương đối nhanh, ngoằn nghoèo, hay ở dịch kính đôi khi thấy đầu con giun chỉ cắm vào võng mạc, còn thân thì lưng lửng trong dịch kính, dịch kính vẩn đục thể hiện tình trạng viêm. Đáy mắt có biểu hiện tình trạng viêm màng bồ đào, gai thị kèm theo viêm mống mắt thể mi, có khi thấy được giun chỉ dưới võng mạc đi đôi với những đám xuất huyết và dịch tiết.

Hình 5
Bệnh mắt do giun chỉ Loa loa
Loa loa là một loại giun chỉ sống dưới da của lớp mỡ dưới da gây bệnh giun chỉ “Loiasis”. Vì nó thường di chuyển dạng chấm điểm trong mắt nên gọi là giun chỉ trong mắt (eye worm). Bệnh lưu hành tại 11 quốc gia và 12 triệu dân châu Phi mắc bệnh.
Bệnh do KST này rất phổ biến ở các quốc gia vùng châu Phi và đặc biệt ở Tây Phi, nhất là Cameroon và Nigeria. Biểu hiện toàn thân khi nhiễm là hình ảnh phù kiểu Calabar (phù luôn thay đổi vị trí, kèm theo ngứa), đau các khớp, viêm thận, đôi khi bị bệnh ảnh hưởng đến cơ tim và não. Một số triệu chứng khác khi nhiễm trùng giun này gồm viêm khớp, đau khớp, tổn thương đại tràng, viêm, sưng phồng, tích tụ dịch trong tinh hoàn, viêm hạch bạch huyết, viêm cầu thận tăng sinh màng, bệnh lý thần kinh ngoại vi, bệnh lý võng mạc.
Khi bệnh diễn ra do nhiễm trùng giun chỉ Loa Loa tại mắt thì mi mắt phù nề và ngứa, đôi lúc thấy giun dưới da và có thể sờ thấy được. Kết mạc phù, viêm kết mạc cấp tính, ngứa dữ dội, đôi khi thấy được giun chỉ màu vàng nhạt, mảnh, chiều dài từ 3-6 cm rất dễ di động.
Bệnh có thể điều trị khỏi bằng thuốc diethylcarbamazine (DEC) hay đôi khi dùng ivermectin. Cả hai thuốc có tác dụng ngoại ý cần dùng đúng chỉ định của thầy thuốc. DEC có hiệu quả chống lại các ấu trùng và ít có hiệu quả trên giun tròn trưởng thành. Điều trị bằng DEC không nên đối với các bệnh nhân có mật độ giun nhiều vì trên các bệnh nhân này có thể bùng phát dẫn đến bệnh lý não. Khi đó có thể thay thế bằng thuốc albendazole. Một số giun ở mắt có thể loại bỏ bằng phẩu thuật, mặc dù thời gian loại bỏ rất ngắn, sau phẩu thuật cần dùng thêm liệu pháp DEC và tiếp tục quản lý ca bệnh.

Hình 6
Bệnh mắt do giun chỉ Onchocerca volulus
Bệnh do KST này rất phổ biến ở vùng châu Phi, đặc biệt Tây Phi và do loài giun chỉ Onchocerca volulus gây nên và thường có tên gọi là bệnh Roble. Biểu hiện toàn thân của bệnh trông giống như ghẻ rải rác dưới da khắp thân người và chân tay. Mặt bị phù, có u dưới da, phù voi, viêm khớp.
Biểu hiện khi nhiễm giun chỉ này tại mắt gồm giác mạc viêm nông dưới lớp biểu mô hoặc có hình đồng tiền với những ổ màu trắng nhạt hoặc hình thái chấm li ti. Đôi khi có những ấu trùng giun chỉ ngoằn nghoèo, còn sống và di chuyển chậm. Tiền phòng thường có từ 20-30 ấu trùng giun chỉ còn sống, ngoằn ngoèo, di chuyển nhanh. Trong tiền phòng còn có chất mủ tiền phòng màu nâu xám, chứa ấu trùng giun chỉ đã chết, màu nâu ánh vàng. Mống mắt thể mi viêm cấp, sau đó xuất hiện teo mống mắt. Dịch kính viêm, đục dịch kính, trong dịch kính có những ấu trùng giun chỉ, còn sống lẫn con đã chết, con sống thì cong queo, bò chậm chậm, con chết thì nằm thẳng bất động.
Đáy mắt thoái hóa hắc võng mạc kiểu Ridley, xơ cứng củng mạc. Điện võng mạc đồ đôi khi bị hủy, các đường thần kinhthị giác có thể teo. Một trong những biến chứng để lại là bệnh lý glaucom thứ phát.
Bệnh mắt do giun đũa chó, mèo Toxocara canis, Toxocara cati
Trong thực hành lâm sàng và các báo cáo ca bệnh ký sinh trùng ở mắt hiện nay số báo cáo nhiễm KST tại mắt do KST T. canis/ T. cati chiếm ưu thế và mỗi ca có bệnh cảnh lâm sàng khác nhau theo các báo cáo trên y văn trong 10 năm trở lại đây trên thế giới.
Tại Việt Nam, năm 2008, cùng với ghi nhận và đưa cảnh báo về tình trạng ngày một nhiều người bị tổn thương não do thói quen thường xuyên ôm ấp chó, mèo rồi nhiễm giun đũa chó/ mèo Toxocara spp. Một bệnh nhân nữ ở An Giang đã được BV Chợ Rẫy cứu sống sau khi bị phù não do nhiễm T. canis - loại giun đũa có ký sinh trên chó. Hoặc một trường hợp khác là bệnh nhi ở Ðồng Nai thường xuyên bị động kinh. Kết quả chẩn đoán của khoa nội thần kinh thuộc BV Nhi Ðồng Nai xác định nguyên nhân cũng vì nhiễm T. canis. Theo thống kê, mỗi năm, có hàng chục ca mà bệnh nhi nhiễm giun đũa chó được đưa vào cấp cứu tại BV Nhi Ðồng 2 ở thành phố Hồ Chí Minh sau khi bệnh viện tại các tỉnh không chẩn đoán được nguyên nhân bị bệnh. Hầu hết các bệnh nhân này đều có những biểu hiện nhức đầu, động kinh, cử động bất thường, rối loạn hành vi, thậm chí liệt và tất cả đều do nhiễm nhiễm Toxocara spp.
Thông tin từ khoa Nội thần kinh, BV Chợ Rẫy cho biết tại Việt Nam, tỷ lệ nhiễm ấu trùng giun đũa có trong chó rất cao do môi trường thuận lợi cho sự phát triển các loại KST và thói quen nuôi, ẵm bồng chó như con của nhiều người. Số bệnh nhân có biểu hiện triệu chứng thần kinh phải vào điều trị ở khoa Nội thần kinh và được xác định là nhiễm T. canis chiếm tỷ lệ cao nhất so với các loại KST khác. Khoảng 32,5% người nhiễm T. canis có triệu chứng lâm sàng là động kinh, 10% bị viêm màng não.

Hình 7
Vì trứng của T. canis thường nằm ở miệng, mũi, mắt, hậu môn của chó, mèo. Khi con người tiếp xúc với chó, mèo, ấu trùng T. canis sẽ nhiễm vào cơ thể rồi theo đường máu đến gan, phổi và những nội tạng khác. Ấu trùng có thể tồn tại hàng tháng hoặc nằm im thành những vật lạ gây viêm và kích thích tạo u hạt. Chính vì thế, những ca nhiễm T. canis thường có lượng bạch cầu tăng rất cao, đáng lưu ý là số lượng bạch cầu ái toan. Ðáng ngại là vì có nhiều biểu hiện khác nhau nên việc chẩn đoán bệnh này gặp nhiều khó khăn và rất dễ nhầm với bệnh lý thần kinh khác.
Nhiễm ấu trùng giun đũa chó, mèo ở cơ quan nhãn cầu cũng là một trong những bệnh lý ở hệ thần kinh. Điều đặc biệt đáng chú ý là khi nhiễm giun đũa chó T. canis ở mắt thì thường chỉ có 1 con và phản ứng huyết thanh miễn dịch (ELISA hay Western blot) thường cho kết quả âm tính. Điều này khiến cho nhiều bác sỹ hoài nghi về chẩn đoán đối với giun này, nên dễ chuyển sang nhiều hướng chẩn đoán khác, khiến bệnh nhân chẩn đoán muộn và điều trị muộn.
Bệnh mắt do giun tóc Trichuris trichiura
Giun tóc T. trichura là loại giun phân bố rộng khắp trên thế giới, đặc biệt là ở những vùng dân cư đông, chật chội, môi trường ô nhiễm, sử dụng phân người trong canh tác. Giun tóc ký sinh trong cơ thể sẽ gây rối loạn tiêu hóa và nhiều biến chứng nguy hiểm. Khả năng chịu đựng ngoại cảnh cao, giun tóc có chu kỳ gần giống giun đũa, trứng giun tóc sẽ theo phân ra ngoài. Gặp điều kiện thuận lợi trứng phát triển thành ấu trùng có khả năng gây nhiễm ở bên trong trứng. Nhiệt độ thích hợp nhất để trứng có ấu trùng là 25-30oC, trứng giun tóc có khả năng chịu đựng với điều kiện ngoại cảnh bất lợi, thậm chí trứng có ấu trùng tồn tại được 5 năm ở ngoại cảnh. Khi người ăn phải trứng giun có chứa ấu trùng (ăn rau sống rửa chưa sạch, chân tay bẩn) trứng theo thức ăn vào ruột, lúc này ấu trùng sẽ thoát ra khỏi vỏ trứng và di chuyển xuống ruột già để sống ký sinh. Thời gian để ấu trùng phát triển thành giun trưởng thành ở trong ruột già là 1 tháng, khi đó giun có thể đẻ trứng để tiếp tục vòng đời mới.

Hình 8
Ngoài các triệu chứng tại mắt, có thêm các tình trạng kích thích niêm mạc ruột có thể đưa đến hậu quả lòi rom, hoặc có thể gây nhiễm trùng thứ phát như thương hàn, nhiễm vi trùng sinh mủ. Một số trường hợp giun tóc có thể chui vào ruột thừa gây viêm ruột thừa, nếu không được xử trí sớm có thể dẫn đến viêm phúc mạc, thậm chí tử vong. Những bệnh nhân có giun tóc còn hay bị nổi mẩn ngứa, dị ứng, nếu số lượng giun tóc nhiều bệnh nhân còn có biểu hiện thiếu máu, người mệt mỏi, da xanh, niêm mạc nhợt, hay bị hoa mắt chóng mặt ù tai, tóc khô dễ rụng, móng tay nhiều khía dễ gãy, biểu hiện rối loạn sinh lý, nữ bị rối loạn kinh nguyệt, nam thì bị yếu sinh lý hoặc bất lực. Do giun tóc có phần đầu nhỏ như một sợi tóc, phần đuôi lớn hơn, dài khoảng 30-38cm (tùygiun cái hoặc giun đực), thường màu hồng nhạt hoặc màu trắng.
Khi mắc bệnh tại mắt, thường biểu hiện mi mắt phù mi, mày đay; ở kết mạc có những phỏng nước, xuất huyết dưới kết mạc; tại đáy mắt có viêm võng mạc và gây thiếu máu; cơ vận nhãn có thể là lác, rung giật nhãn cầu, rối loạn điều tiết nhãn cầu.

Hình 9
Bệnh mắt do giun đũa Ascaris lumbricoides
Giun đũa người A. lumbricoides là loại KST gây bệnh phổ biến ở người. Tại Việt Nam, giun đũa đứng hàng thứ nhất trong các loại giun sán ký sinh đường ruột. Đây là một trong những loài giun tròn phổ biến và lưu hành trên khắp thế giới.
Khi giun đũa ký sinh và gây bệnh tại mắt thì biểu hiện ở mi mắt có mi mắt bị phù, da mi nổi mày đay, viêm bờ mi; tại kết mạc có viêm kết mạc, có hạt, đôi khi có giun giai đoạn còn non ở túi cùng; tại giác mạc sẽ biểu hiện viêm giác mạc bọng, viêm giác mạc nhu mô; tại đáy mắt có thể thấy xuất huyết võng mạc tái phát, phù ở cực sau võng mạc; vận động trong và ngoài nhãn cầu như nháy mắt, co quắp mi, đồng tử một bên to, một bên nhỏ, giãn đồng tử hoặc co đồng tử.
Nhận biết ánh sáng có biểu hiện quáng gà và đường thị giác cho thấy viêm thần kinh sau nhãn cầu, viêm thị thần kinh và teo thần kinh thị.
Bệnh mắt do giun kim Enterobius vermicularis
Giun kim là loại giun nhỏ, ký sinh chủ yếu trên trẻ em nhiều hơn so với người lớn, thường trú ẩn tại rìa hậu môn của trẻ em. Bệnh cũng lưu hành khá phổ biến tại các quốc gia vùng nhiệt đới và cận nhiệt đới trên thế giới.
Khi mắt bị nhiễm giun kim E.vermicularis, biểu hiện thường không điển hình ở mi mắt có viêm quầng nâu, quanh mi mắt, phù, nổi mề đay dị ứng; ở kết mạc có viêm dạng bọng nước hoặc lâu có thể viêm kết mạc mạn tính; đáy mắt xuất huyết võng mạc; vận nhãn ngoại lai thường nháy mắt, co quắp mi, lác đồng hành; vẫn nhãn nội tại có giãn đồng tử, co quắp điều tiết; nhận biết ánh sáng là rất sợ ánh sáng.
Bệnh mắt do giun móc, mỏ Necator americanus, Ancylostoma duodenal
Giun móc mỏ thường gây các rối loạn ở ruột, thiếu máu và một số tác hại nghiêm trọng khác. Bệnh thường nhiễm cao tại các vùng có người làm việc trong môi trường ẩm ướt, như hầm mỏ, khu mỏ than, nông thôn,…
Khi nhiễm giun móc mỏ tại mắt, biểu hiện hơi khác so với một số loài giun sán khác tại cơ quan này. Tại mi mắt biểu hiện viêm phù nề mi trên, dị ứng; tuyến lệ biểu hiện chảy nước mắt liên tục do xuất tiết hoặc phản xạ; ở củng mạc, phần trên của củng mạc có những chấm xám và đám màu xanh nước biển; kết mạc có thể khô; đáy mắt có viêm võng mạc do thiếu máu nuôi dưỡng, xuất huyết dạng chấm trước tiên ở vùng chu biên rồi sau đó chiếm cả vùng cực sau nhãn cầu; vận nhãn ngoại lai có thể có liệt dây thần kinh số III, co quắp điều tiết, rung giật nhãn cầu hoặc rối loạn điều tiết trong vận nhãn nội tại; các đường thị giác cho thấy viêm thị thần kinh, viêm thị thần kinh hậu nhãn cầu xảy ra đột ngột, nếu không điều trị kịp thời sẽ bị teo thị thần kinh thứ phát.
Bệnh mắt do giun xoắn Trichinella spiralis
Giun xoắn T. spiralis là một loại ký sinh trùng rất nhỏ, thường gây bệnh cấp tính nguy hiểm, thậm chí đe dọa tính mạng, bệnh phát triển có khi gây thành dịch nhỏ. Giun xoắn trưởng thành sống trong ruột non của vật chủ, đôi khi phát hiện chúng ở trong đoạn đại tràng. Ấu trùng giun xoắn T. spiralis di chuyển đến các cơ và thường đóng kén tại đó. Những động vật có thể nhiễm giun xoắn T. spiralis như lợn, chó, mèo, chuột thì số lượng giun xoắn trong máu và trong cơ rất nhiều, còn ở những loài gia cầm thì đến nay chưa thấy báo cáo đề cập nhiễm giun xoắn T. spiralis.
Hình 10
Khi nhiễm giun xoắn T. spiralis tại mắt, hốc mắt cho thấy lồi cả hai bên, có khi một bên to, một bênnhỏ; mi mắt phù nề cả 2 mi, phù lan cả lên trán, xuống má, có khi phù cả mặt; kết mạc phù cao, có khi kết mạc phòi qua khe mi; thần kinh vận động nhãn cầu bị liệt, mắt không liếc qua liếc lại được, cũng không nhìn lên nhìn xuống được; đồng tử dãn to; đáy mắt có thể thấy phù võng mạc, những chấm xuất huyết nhỏ, rải rác có vài ba đám chất tiết màu trắng hay vàng nhạt; dây thần kinh thị giác cũng có thể bị viêm.
Bệnh mắt do giun lươn Strongyloides stercoralis
Giun lươn có hai loài khác nhau Strongyloides stercoralis (S. stercoralis) hoặc Anguillula stercoralis (A. stercoralis). Nhiễm trùng loài giun tròn này phân bố rộng khắp, nhưng tỷ lệ không cao. Thực tế cho thấy những nơi có nhiễm giun móc, mỏ nhiều là có xu hướng nhiễm giun lươn cũng cao, nhưng các điều tra gần đây của một số tác giả thì không nhất thiết như vậy (?). Giun lươn cái trưởng thành dài 2cm, chiều ngang khoảng 35mm, có đầu và đuôi nhọn, vỏ thân giun có khía ngang. Giun thường ký sinh trong niêm mạc ruột và bám thành ruột để hút máu.
Biểu hiện bệnh giun lươn S. stercoralis ở mắt thường là gây ra vẩn đục dịch kính; đáy mắt nhạt màu, dãn tĩnh mạch võng mạc, co thắt động mạch võng mạc, xuất huyết võng mạc nhiều hình thái khác nhau.

Hình 11
Bệnh mắt do giun đầu gai Gnathostoma spinigerum
Loại giun Gnathostoma spinigerum này chúng ta thường gặp ở các vùng nhiệt đới và cận nhiệt đới, trong đó có Việt Nam. Khi mắc bệnh, biểu hiện toàn thân là có những nốt abces dưới da, bệnh nhân đau nhiều trong lúc giun di chuyển trong cơ thể. Bệnh biểu hiện có thể tại nhiều bộ phận trong cơ thể, nhất là khi chúng lên não sẽ gây ra các biến chứng nghiêm trọng có thểđe dọa tử vong.
Biểu hiện tại mắt ở 3 chỗ: trong tiền phòng có giun non dài từ 2-5mm, đôi khi nhìn thấy được, kèm theo có chảy máu tiền phòng. Tại mống mắt có nốt màu xám nhạt (chứa giun), viêm mống mắt thể mi cấp hay tái phát. Đáy mắt thể hiện bằng viêm hắc mạc, xuất huyết võng mạc.
Bệnh mắt do giun Philophtalmus spp.
Thông thường có thể gặp bệnh lý mắc ở người do loài Philophthalmus lacrimosus. Loài ký sinh trùng trưởng thành này ký sinh và gây bệnh lý trong mắt của chim (vật chủ chính). Trứng sán chứa ấu trùng miracidia đẻ vào trong nước, các miracidia này sau đó đi xuyên qua ốc (vật chủ trung gian) và phát triển thành các ấu trùng giai đoạn redia và cercaria. Khi các ấu trùng giai đoạn nhiễm metacercariae đóng kén trên bề mặt của các thức ăn cho chim ăn, nhiễm trùng vào các vật chủ chínhmới có thể xảy ra thông qua đường vào ở mắt hoặc đi vào quan đường miệng.
Hình 12
Loài Philophthalmus gralli thường được biết là loài sán gây bệnh ở mắt của các loài chimgây viêm kết mạc. Sán ký sinh vào trong túi kết mạc của các galliforms và anseriforms (Nollen và Murray, 1978). Tại Brazil, loài sán này đã được báo cáo như các loài anseriform tự nhiên (Muniz-Pereira và Amato, 1993). Loài sán này lần đầu tiên được khám phá bởi Mathis và Leger năm 1910 trên các con gà nuôi ở Hà Nội, Việt Nam. Các chim là vật chủ chính và ốc nước ngọt là các vật chủ trung gian (loài Tarebia granifera và Melanoides tuberculata).
Các ca bệnh gặp ở người đã được báo cáo theo tên bệnh “philophthalmosis” tại châu Âu (Yugoslavia), Israel, châu Á (Thái Lan, Sri Lanka, Nhật Bản) và châu Mỹ (Mexico, Mỹ). Đây là loại ký sinh trùng truyền sang người thường gặp ở các vùng nam Mỹ, châu Âu và Nam Á. Biểu hiện bệnh ở mắt là các tổn thương ở kết mạc có viêm hột cấp hay khối u nhỏ màu đỏ ở kết mạc hay túi cùng, trong có ký sinh trùng dài từ 2-4mm, ngang 1mm.
Bệnh mắt do giun Porocephalus spp.
Loài Porocephalus crotali là một loại ký sinh trùng nhuyễn thể thuộc nhóm Pentastomida, còn được gọi là giun ở lưỡi.Porocephalus crotali có hình trụ và có nhiều đốt hay các đoạn dạng vòng với khoảng 38-40 đoạn trên cơ thể, một hệ thống tiêu hóa, có miệng nằm ở vị trí trung tâm và xung quanh bao bởi 4 móc trông giống như 5 cái miệng nên có cái tên là “pentastomes”.
Một khi ấu trùng được ly giải ra khỏi trứng, chúng chui vào trong niêm mạc tá tràng của vật chủ. Nó mất khoảng 1 giờ kể từ khi trứng được nuốt cho đến khi hoàn thành đi vào trong vật chủ. Sau khi đi vào niêm mạc tá tràng, ấu trùng chu du vào khoang bụng và ở đó khoảng 1 tuần cho đến khi ấu trùng phát triển đóng kén trong mô vật chủ. Trong suốt 3 tháng, ký sinh trùng tiếp tục phát triển 5 lần để tăng kích thước và cơ thể trở nên phân đoạn. Giới tính của ký sinh trùng có thẻ xác định sau lần phát triển lần 5. Khi thay đổi cơ thể lần thứ 6 hoàn chỉnh, nymphs sẽ đóng kén và trở thành giai đoạn ngủ. Nếu một con rắn nào đó ăn nymph, thì nymph sẽ thức dậy và nhanh chóng đi vào thành ruột của rắn và ở đó chúng di chuyển đến phổi. Khi chúng ăn các dịch máu và mô trong phổi để đạt đến độ trưởng thành. Các giai đoạn ấu trùng của nymph có thể gây bệnh ở phủ tạng. Bệnh lý ở ngoại vi đã được báo cáo tại châu Phi, Malaysia và Trung Đông.

Hình 13
Đây là loại ký sinh trùng truyền hiếm khi truyền sang người, bệnh lưu hành nhiều ở vùng châu Phi do ấu trùng giun Porocephalus armillatus gây ra. Biểu hiện ở mắt là các sang thương / tổn thương ở kết mạc: thấy ấu trùng dưới kết mạc nang hóa, màu trắng, có đốt, cong queo, dài từ 1-2cm. Tại tiền phòng thấy có ấu trùng di chuyển trong thủy dịch, viêm mống mắt thể mi thứ phát.
BỆNH MẮT DO SÁN KÝ SINH HAY LẠC CHỖ & GÂY BỆNH
Bệnh mắt do nhiễm ấu trùng sán lợn Cysticercus cellulose
Một vài số liệu về các ca bệnh cho biết gần đây có nhiều ca bệnh liên quan đến ấu trùng sán lợn ở não rối ảnh hưởng hoặc tác động trực tiếp đến mắt do loài sán dây này. Đơn cử trường hợp bệnh nhân Tống Thị H. (38 tuổi, Bắc Giang) đi chữa mắt suốt 2 năm nay và vẫn không nhìn thấy gì. cuối năm 2005, chị H. bắt đầu thấy đau đầu, lên cơn động kinh, phù mặt, mắt bị lồi rồi mất thị lực. Đi khám nhiều nơi, chị được chẩn đoán là bị bệnh tim, thận, rối loạn tuần hoàn não. Đến khi chụp cắt lớp, nguyên nhân thật mới được phát hiện. Những nang sán khu trú trên não lâu năm đã khiến chị bị giãn não thất. Bệnh nhân đã bán đi nửa gia sản và 3 sào đất để chữa bệnh, đến nay đã qua 9 đợt mà bệnh vẫn chưa mấy cải thiện. Bệnh nhân cho rằng ấu trùng sán vào cơ thể chị qua món nem thính, đặc sản Bắc Giang. Miếng thịt nạc ngon được chần qua nước sôi, có nơi để sống, thái mỏng, bóp gia vị hành tỏi đầy đủ và trộn thính.
Hiện đây vẫn là món ít khi vắng mặt trong mâm cỗ ngày hiếu hỉ hay tiếp khách ở quê hương chị. Trường hợp thứ 2 là bệnh nhân Phạm Hồng Đ. (57 tuổi, Giao Thuỷ, Nam Định) phát hiện ra bệnh khi các nang sán đã nằm trong não. Lúc đầu, ông bị co quắp không đi được, tiếp sau là mất trí nhớ, phù nề, co giật, động kinh. Theo lời kể của bệnh nhân, nhiều năm nay ông rất mê món nem thính.Trường hợp thứ 3 là bệnh nhân C. 64 tuổi, ông vốn rất "nghiện" nem chua và tiết canh. Gần đây, ông thấy đau mắt, nhức răng mới đi khám và phát hiện nhiễm sán. Hiện bệnh nhân ấu trùng sán lợn đã được phát hiện tại ít nhất 50 tỉnh, thành trong cả nước, số bệnh nhân mắc ấu trùng sán lợn tăng cao trong mấy năm qua, khu vực miền Bắc hầu như tỉnh nào cũng có bệnh nhân; trong đó nhiều nhất là ở Bắc Giang và Bắc Ninh là những nơi có tập quán ăn "nem thính" thịt lợn sống.

Hình 14
Tại Trung Quốc, một quốc gia láng giềng với chúng ta cũng có báo cáo nhiều trường hợp tương tự, như trường hợp các bác sĩ Trung Quốc đã rất bất ngờ khi phát hiện cả một ổ sán sống ký sinh trong mắt của một bệnh nhân nhi hơn 1 tuổi hoặc ca bệnh nhân nam 6 tuổi ở Ngũ Châu, Quảng Tây, Trung Quốc bị sưng tấy đỏ. Bố mẹ đi làm xa, em ở với ông bà. Hơn một năm qua, mắt em bây giờ sưng bằng củ lạc. Ông bà đưa em đến bệnh viện Quảng Tây, bác sỹ đã khám và tiêm kháng sinh cho em, nhưng chỉ đỡ phần nào. Khi chuyển lên bệnh viện mắt Nhân dân 2 Quảng Đông, bác sỹ phát hiện dưới mí mắt của em có 1u nhỏ, bề ngoài nhẵn bóng, ấn vào thấy lung bùng nhưng không đau. Khi phẫu thuật, thật sự bất ngờ, bên trong có ba kén nhỏ, cắt ra có 3 con sán tự bò ra, mỗi con dài khoảng 20mm, màu trắng đục. Bác sĩ cho rằng kén đã tồn tại một thời gian và do sán lợn ký sinh. Loài sán này xâm nhập do ăn uống, do ăn thịt lợn bị nhiễm sán, ấu trùng sán mà chưa nấu chín kỹ, hoặc hoa quả chưa rửa sạch. Vì vậy cần rửa tay trước khi ăn, sau khi đi vệ sinh. Bác sỹ cho biết, tuy đã được phẫu thuật lấy ra ba con sán lợn, nhưng kí sinh trùng có thể còn tồn tại trong cơ thể bệnh nhân, loại sán này rất dễ xâm nhập lên não, nhãn cầu gây mù loà và có nguy cơ dẫn đến tử vong.
Biểu hiện bệnh ở mắt do ấu trùng sán lợn là khu trú nhiều trên mắt, đa số chỉ có 1 mắt độc nhất, thường gặp nhất là ấu trùng sán nội nhãn. Khu trú hốc mắt ít gặp, nếu có ấu trùng sán xuất hiện dưới dạng một u nông căng mộng, tròn hay bầu dục, u di động, xuất hiện đồng thời với tình trạng viêm cấp. Nếu khu trú ở kết mạc, dưới hình thức một nanghình tròn, phần lớn các nang này nằm ở cùng đồ hay ở góc trong của mắt, thường kèm nhiễm khuẩn, nang sẽ tiến triển thành một abces dưới kết mạc. Tiền phòng có ấu trùng dưới dạng một túi màu trắng nhạt, trong mờ, đôi lúc ở bề mặt của nó có một chấm trắng (đầu của ấu trùng); ở thành của túi có những nhu động biểu hiện hoạt động của ấu trùng, phần lớn các ca như thế thì ký sinh trùng cố định vào mống mắt, nhưng cũng có khi tự nó trôi tự do trong tiền phòng.

Hình 15
Trong dịch kính, ấu trùng sán dưới dạng một túi tròn, trắng nhạt, đục mờ, có bờ óng ánh màu xanh ngả vàng. Phần lớn các ca bệnh, ấu trùng ở thể tự do di động trong dịch kính và dịch kính bị viêm thứ phát. Đáy mắtcó ấu trùng sán dưới dạng một u nang dưới võng mạchình tròn hay hình bầu dục, màu xám nhạt hay xanh lục nhạt, có đường viền rõ nét. Đôi khi nang sán phập phồng như đang thở. Cũng có trường hợp người ta thấy được đầu sán dưới dạng một chấm trắng đục. ngoài nang sán, đôi khi còn có thể phát có bong võng mạc thứ phát.
Bênh mắt do sán nhái Sparganum mansoni
Đây là bệnh lý ký sinh trùng do loài sán S. mansoni gây ra, sán trưởng thànhthường gặp ở ruột non chó, mèo. Trứng sán S. mansoni sau 3 tuần sẽ nở ra ấu trùng có lông, ấu trùng vào cơ thể các loại ếch nhái, khu trú tại một số cơ quan trên cơ thể, nhất là bộ phận đùi ếch và màng bụng. Lúc đắp ếch nhái lên mắt người (với mục đích chữa bệnh,…), ấu trùng S. mansoni có điều kiện chui lên đó rồi tiến triển thành u sán nhái.
Biểu hiện triệu chứng khi mắt bị nhiễm phải sán nhái S. mansoni thì thường mỗi mắt chỉ có một ấu trùng sán nhái, những cũng có ca bệnh nhiều ấu trùng sán, từ 12 ấu trùng (Kelller và cs.,1936) đến 30 ấu trùng (Caseaux và cs., 1954) trên bệnh nhân người Việt Nam.

Hình 16
U sán nhái thường có biểu hiện ngứa và kích thước u lúc to, lúc nhỏ; nếu u sán ở trong hốc mắt ta sẽ thấy lồi mắt do viêm; ở mi mắt thì u sán nhái có 1 hay nhiều bướu, ngứa, rắn, phối hợp với phù mềm, lan tỏa. U lúc to lúc nhỏ, không có hạch đi kèm; tại kết mạc, u sán thường ỏ nông, đôi khi kèm theo phù kết mạc.
Bệnh mắt do sán dây Echinococcus granulosus
Bệnh so KST sán dải chó E. granulosus ký sinh thường gặp ở những vùng chăn nuôi cừu, chó,…thuộc các quốc gia Bắc Phi. Ở Việt Nam, hiện rất ít tài liệu đề cập nhiều đến vấn đề này. Sán E. granulosus là loại sán dây rất nhỏ, nên thường bị gọi là sán kim - chiều dài sán từ 3-6mm, ngang khoảng 300mm, cổ sán ngắn, có từ 3-4 đốt, sán rất bé nhưng ấu trùng sán lại tạo thành nang rất lớn. Nang sán gồm một lớp vỏ bên ngoài, bên trong là màng phôi có những đầu sán, trong nang chứa một chất dịch lỏng trong suốt.

Hình 17
Biểu hiện toàn thân khi nhiễm loại sán này là khu trú rất nhiều chỗ khác nhau ở gan, phổi, hốc mắt. Bệnh thường xảy ra nhiễm trùng trên đối tượng là người trẻ và trẻ em.
Biểu hiện tại mắt khá đa dạng khi nhiễm E. granulosus: ở hốc mắt thường chỉ một bào nang sán duy nhất, bào nang này có thành đục mờ, chứa một chất lỏng trong suốt. Bào nang gây ra lồi mắt 1 bên kèm theo đau nhức, các rối loạn vận nhãn và sụp mi. Đôi khi có kèm theo tổn thương của dây thần kinh thị giác, biểu hiện bằng phù gai thị, teo gai thị. Bào nang sán E. granulosus làm thành một khối u sờ thấy được, bề mặt nhẵn, đàn hồi, di động và không có giới hạn rõ rệt. Đôi khi khối u có những đợt viêm.
Trong dịch kính, bào nang sán E. granulosus làm thành một túi nhỏ màu xám nhạt, đục mờ, hình tròn hay bầu dục. Bào nang lơ lửng trong dịch kính. Thông thường chỉ có một bào nang độc nhất (ít khi có 2-3 bào nang), bào nang sán dây có thể gây ra các biến chứng nguy hiểm: glaucom, giả ung thư võng mạc, đục thủy tinh thể thứ phát. Đáy mắt có thể thấy bong võng mạc và thấy nang sán dưới võng mạc.
BỆNH MẮT DO ĐƠN BÀO KÝ SINH HAY LẠC CHỖ & GÂY BỆNH
Bệnh mắt do đơn bào amíp Acanthamoeba spp.
Acanthamoeba spp. là một loại đơn bào giống amip - một trong những KST đơn bào phổ biến có mặt trong đất và vùng nước ngọt. Các đơn bào có kích thước nhỏ, thường chỉ dài 15-35μm và có hình ovan hay hình tam giác khi chúng di động tịnh tiến. Acanthamoeba spp. có thể hình thành thể bào nang không hoạt động và thể này đề kháng cao với sự thay đổi nhiệt độ và độ pH môi trường. Các bào nang cũng đề kháng lại hệ thống miễn dịch của vật chủ, điều này giúp cho chúng tái xuất hiện nhiễm trùng liên tiếp trên người. Hầu hếtcác loài sống tự do, nhưng một số khác lại gây nhiễm trùng cơ hội và gây nên nhiễm trùng nghiêm trọng ở vùng kết giác mạc mắt của người và một số động vật khác, có thể gây loét nghiêm trọng và có thể mù.
Acanthamoeba spp. thường tìm thấy trong các hồ, bể bơi, vòi nước và trong các máy điều hòa. Một tổng kết gần đây về điều tra sự có mặt của các loài này cho thấy chúng xuất hiện và có mặt hầu hết mọi nơi như trong đất, nước ngọt, nước lợ, nước biển, hồ bơi, đặc biệt dính và bám trên dụng cụ kính áp tròng, các dụng cụ nha khoa, máy thẩm phân phúc mạc, thận nhân tạo, các máy thông gió hay máy điều hòa nhiệt độ, các khu vực nuôi cấy tế bào động vật có vú, rau quả, vùng mũi hầu họng của người, trên da và nhu mô phổi, não của người và động vật khác. Một số loàiAcanthamoeba spp. gồm A. culbertsoni, A. polyphaga, A. castellanii, A. astronyxis, A. hatchetti, A. rhysodes, A. divionensis, A. lugdunensis, A. lenticulata cóliên quan đến bệnh lý ở người.
Không giống như loài amip N. fowleri, thì loài Acanthamoeba spp. trong chu kỳ phát triển chỉ có hai giai đoạn, bào nang và thể tư dưỡng. Không có giai đoạn thể roi tồn tại trong chu kỳ. Các thể tư dưỡng sao chép thông qua quá trình gián phân (màng nhân không còn giữ nguyên vẹn). Các thể tư dưỡng là các thể gây nhiễm, mặc dù cả bào nang và tư dưỡng đều có thể đi vào trong cơ thể thông qua nhiều con đường khác nhau. Đường vào có thể là qua mắt, mũi họng, đường hô hấp dưới hay các vùng viêm, vết loét trên vùng da nào đó. Khi Acanthamoeba spp. đi vào mắt, nó có thể gây nên tình trạng viêm giác mạc nghiêm trọng, ngược lại trên một số người khỏe mạnh mang kính áp tròng cũng dễ bị tình trạng này. Khi chúng vào trong đường hô hấp hay đi qua da, chúng xâm nhập vào hệ thần kinh trung ương thông qua con đường hệ tuần hoàn, dẫn đến viêm não dạng u hạt do amip (granulomatous amebic encephalitis_GAE) hay bệnh lý nhiễm trùng toàn thân, lan rộng, nhất là các bệnh nhân suy giảm miễn dịch,khi đó bào nang và thể tư dưỡng của Acanthamoeba sp. có thể tìm thấy trong các mô.

Hình 18. Chu kỳ sinh học và phát triển của amip Acanthamoeba sp Nguồn: CDC, 2012
Bệnh gây ra do tác nhân Acanthamoeba spp. gồm có viêm giác mạc do amip và viêm não do amip, đặc biệt là dạng viêm não u hạt do tác nhân này đi vào cơ thể qua vết thương rồi tấn công lên hệ thần kinh trung ương. Đây là các bệnh nhiễm trùng cơ hội do đơn bào và hiếm khi gây bệnh trên những người khỏe mạnh. Khoảng 400 ca được báo cáo trên toàn thế giới với tỷ lệ sống sót chỉ 2 - 3%. Nhiễm trùng thường xảy ra trên các bệnh nhân suy giảm miễn dịch, đái tháo đường, bệnh ác tính, suy dinh dưỡng, Lupus ban đỏ hệ thống hoặc nghiện rượu. Đường vào cơ thể bệnh nhân thông qua các thương ở da, niêm mạc hoặc do hít phải các nang trong không khí vào đường hô hấp. Tiếp đó ký sinh trùng lan rộng theo đường máu vào hệ thống thần kinh trung ương. Acanthamoeba spp. đi qua hàng rào máu não bằng cách nào đến nay vẫn chưa hiểu thấu đáo. Sự xâm nhập sau đó vào các mô liên kết và dẫn đến đáp ứng tiền viêm, dẫn đến tổn thương hệ thống thần kinh và bệnh nhân có thể chết trong vòng vài ngày sau đó. Sinh thiết tử thi cho thấy phù não và hoại tử xuất huyết nặng.
Các bệnh nhân biểu hiện triệu chứng bán cấp, gồm thay đổi tình trạng tâm thần kinh, nhức đầu, sốt, cứng cổ, động kinh và dấu chứng thần kinh khu trú như liệt thần kinh sọ não hoặc mất ý thức, hôn mê, tất cả đều tử vong trong vòng 1 tuần đến vài tháng. Do quá trình nhiễm loại ký sinh trùng rất hiếm và thiếu khoảng trống kiến thức cơ bản, nên các thầy thuốc lâm sàng thường không có chẩn đoán phù hợp ngay từ đầu để điều trị nhiễm Acanthamoeba spp.
Viêm giác mạc do Acanthamoeba spp. trong quá khứ được quản lý bằng các thuốc kháng cholinergic, không kèm loại kháng sinh và/ hoặc loại thuốc chống ký sinh trùng nào đã được đưa ra thảo luận trong thời gian gần đây cho thấy hiệu quả trên lâm sàng do tác động của thuốc chống KST lên thụ thể muscarinic cholinergic.

Hình 19. Amip Acanthamoeba spp. và tổng thương giải phẩu bệnh do ký sinh trùng này
Nhiễm trùng thường có các biểu hiện tương tự như các bệnh lý viêm màng não do vi khuẩn, viêm màng não do lao hoặc viêm não do virus. Chẩn đoán nhầm thường dẫn đến sai lầm về điều trị không hiệu quả. Viêm màng não do Acanthamoeba spp. hiện được khuyến cáo điều trị với các thuốc amphotericin B, rifampicin, trimethoprim-sulfamethoxazole, ketoconazole, fluconazole, sulfadiazine, hay albendazole chỉ là liệu pháp thăm dò chứ không phải là các thuốc đầu tay. Chẩn đoán đúng, điều trị kịp thời và hiểu biết về đơn bào này như một yếu tố quan trọng nhằm nâng cao kết quả xử lý Acanthamoeba spp. Một bài báo gần đây ấn bản vào năm 2013 cho thấy các hiệu quả tin cậy do các thuốc được Cơ quan FDA chấp thuận với hiệu quả diệt trên in vitro là 90%, sắp đến cần nghiên cứu thêm trên in vivo ở người có thể điều trị bằng các chế phẩm đó sau khi đã thử nghiệm lâm sàng đầy đủ.

Hình 20
Viêm giác mạc Acanthamoeba spp. được phát hiện lần đầu vào năm 1973 ở Mỹ. Tác nhân gây bệnh là một loại đơn bào sống nhiều trong đất, nước, nguồn tự nhiên và tồn tại dưới hai dạng là dạng hoạt động dễ bị tác động của môi trường và dạng tiềm ẩn bào nang khá bền vững trước mọi tác động của môi trường. Bởi vậy, Acanthamoeba spp. có thể tồn tại rất lâu trong môi trường khắc nghiệt, như lạnh mùa đông, trong nước đã tiệt trùng với chloramin dưới dạng bào nang, chờ có điều kiện thuận lợi sẽ chuyển sang dạng hoạt động và gây bệnh. Acanthamoeba spp. có khả năng chuyển đổi qua lại giữa hai dạng nên việc điều trị gặp nhiều khăn. Đôi khi trong chẩn đoán dễ bị nhầm với viêm loét giác mạc do nấm, virus Herpes hay vi khuẩn. Triệu chứng thường thấy như nhìn mờ, mắt đỏ, chói, chảy nước mắt và đặc biệt là đau nhức rất nhanh. Sau vài tuần xuất hiện ổ loét tròn kèm theo mủ làm cho tổn thương lan rộng và tổn thương sâu vào trong giác mạc.
Khi hiện diện loài Acanthamoeba spp. trong mắt, có thể dẫn đến viêm giác mạc do amip, dẫn đến loét giác mạc, thậm chí mù. Tình trạng nàyhầu như thường ặp ở các đối tượng sử dụng kính sát tròng và không có chế độ khử trùng, sát trùng kính một cách thích hợp, đặc biệt nghiêm trọng hơn khi họ không rửa tay trước khi dùng kính. Các giải pháp mang kính sát tròng đa mục đích thường không có hiệu quả chống lại Acanthamoeba spp. ngược lại các giải pháp dựa trên hydrogen peroxide có đặc tính khử trùng rất tốt. Năm 2007, các tiến bộ về lĩnh vực nhã khoa cho ra các sản phẩm với giải pháp kính sát tròng với chất giữ ẩm hoàn chỉnh, nhưng điều lo lắng của các đối tượng dùng kính sát tròng có nguy cơ viêm giác mạc amip Acanthamoeaba spp. nhà sản xuất đã được cảnh báo sau khi Trung tâm CDC cho thấy 21 ca ở Mỹ nhiễm Acanthamoeba spp. sau khi dùng loại kính này trong một tháng trước khi được phát hiện.

Hình 21
Viêm giác mạc đang có chiều hướng gia tăng đột biến, nhất là viêm loét giác mạc do Acanthamoeba spp. mà người ta nghi do lạm dụng kính áp tròng rẻ tiền mua qua mạng internet như ở Anh đã từng ghi nhận. Kính áp tròng gây tổn thương giác mạc do Acanthamoeba spp. biểu hiện lâm sàng rất đa dạng như viêm mắt đỏ, rách võng mạc, viêm giác mạc,… nếu không được can thiệp có thể dẫn đến hỏng võng mạc, gây mù lòa. Tỷ lệ mắc bệnh tăng gấp đôi kể từ khi kính áp tròng được sử dụng nhiều mà không quan tâm đến mặt trái. Nhiễm trùng bắt đầu xảy ra khi thấu kính phơi ra môi trường hoặc tiếp xúc với amip, chẳng hạn rửa kính bằng nước lã hoặc để trong phòng tắm thay vì cho vào dung dịch nước muối vô trùng. Nếu bị nhiễm trùng không được phát hiện sớm và điều trị sẽ tái phát, nghiêm trọng và để lại sẹo giác mạc. Theo thống kê tại một bệnh viện ở Anh, có tới 1/3 bị bệnh giác mạc là do sẹo quá lớn, quá dày cần phải cắt bỏ hoặc thay ghép giác mạc, số liệu đáng báo động từ năm 2010 đến nay tăng tới 7 lần, từ con số 11 ca nay tăng vọt lên 80 ca và nếu tính quy mô trên cả nước Anh thì con số này tăng từ 100 người (năm 2010) lên 200 ca/năm (2013).
Viêm giác mạc nông cũng có thể gặp trong những bệnh cấp hoặc mạn tính của thểmi và kết mạc như rối loạn sự chế tiết nước mắt (khô mắt), hở mi, nhiễm trùng nhiễm độc. Về phương diện giải phẫu bệnh lý, tổn thương viêm nhiễm ở giác mạc được chia thành 2 loại viêm giác mạc và viêm loét giác mạc. Viêm giác mạc là hiện tượng các tế bào viêm xâm nhập vào các lớp của giác mạc, không có hiện tượng hoại tử. Viêm có thể ở lớp nông (biểu mô giác mạc) hoặc ở lớp nhu mô giác mạc (viêm giác mạc sâu) và viêm loét giác mạc đưa đến các tổ chức hoại tử mất chất, tạo thành một ổ loét thực sự.
Liên quan đến nguyên nhân gây viêm giác mạc, viêm giác mạc nông do tác nhân thường do virus như Herpes, Zona, Adenovirus. Viêm giác mạc nông cũng có thể gặp trong những bệnh cấp hoặc mạn tính của mi và kết mạc như rối loạn sự chế tiết nước mắt (khô mắt), hở mi, nhiễm độc. Viêm giác mạc sâu: tác nhân gây bệnh thừờng theo đường máu, có thể do lao, giang mai, phong, virus, độc tố. Viêm loét giác mạc do vi khuẩn tụ cầu, liên cầu, phế cầu, trực khuẩn mủ xanh hoặc do virus Herpes, zona, hoặc nấm Aspergillus, Fusarium, Cephalosporum, nấm sợi,...Các yếu tố nguy cơ gây viêm loét giác mạc có thể gồm các biến chứng của bệnh mắt hột: viêm kết mạc, bờmi, lông xiêu lông quặm, khô mắt (do thiếu vitamin A), tổn thương thần kinh (thần kinh VII gây hở mi hay thần kinh số V), chấn thương mắt gây tổn thương giác mạc. Các phương pháp chữa mắt phản khoa học như đánh mông bằng búp tre, đắp các lọai thuốc lá vào mắt, hoặc do mang kính sát tròng,….

Hình 22
Viêm loét giác mạc do loài amip này đôi khi nhìn thấy mi sưng nề, khó mở mắt (dấu hiệu coquắp mi), cương tụ rìa, mạch máu kết mạc sâu cương tụ đỏ vùng quanh giác mạc, nhạt dần về phía cùng đồ, có thể cương tụ và phù nề toàn bộ kết mạc. Giác mạc đục do thâm nhiễm của tế bào viêm, bề mặt mất bóng, thô ráp. Nếu có tổn thương biểu mô hoặc loét thì nhuộm fluorescein dương tính. Có thể có mủ tiền phòng, phản ứng mống mắt - thể mi. Tổn thương giác mạc có thể có một hoặc nhiều ổ loét, ổ loét có thể tròn hoặc hình bầu dục, có thể ở trung tâm hoặc ở vùng rìa, có thể nhỏ hoặc rộng gần hết diện giác mạc. Đồng thời có thể bôi nhiễm vi khuẩn, khi đó nhu mô bị tổn thương viêm mủ dày đặc và phù xung quanh. Nhu mô bị hoại tử tróc ra tạo ổ loét lõm sâu, bờ ổ loét nham nhở, đáy ổloét thường có hoại tử bẩn có tiết tố mủ nhày dính vào. Ổ loét do trực khuẩn mủ xanh thường tiến triển rất nhanh. Chỉ sau 1-2 ngày ổ loét đã phát triển lan rộng, thâm nhiễm tỏa lan trong nhu mô và nhanh chóng phát triển thành một ổ áp xe mầu vàng chiếm phần lớn hoặc thậm chí toàn bộ giác mạc.
Điều trị viêm loét giác mạc Acanthamoeba spp. thường áp dụng một số thủ thuật như gọt giác mạc, thường áp dụng ngay trong giai đoạn đầu, khi tổn thương mới xuất hiện ở phần trước giác mạc nhằm loại bỏ tác nhân gây bệnh và giúp cho thuốc ngấm vào nhu mô bi bệnh tốt hơn. Về thuốc, có thể dùng nhóm chống amip, dùng phối hợp với thuốc kháng sinh phối hợp và thuốc kháng chống nấm. Cũng có trường hợp cần phải ghép giác mạc, nhất là ở những người khi điều trị bằng thuốc lâu ngày không khỏi, bệnh phát triển nhanh đe dọa thị lực chung. Khi dùng kính áp tròng nếu mắt bị sưng, viêm, ngứa, đau hoặc tiết nhiều nước mắt thì nên tháo ngay kính áp tròng và đi khám bác sĩ. Không nên đeo kính áp tròng quá lâu, nhất là khi ngủ, khi bơi lội, nơi có nhiệt độ cao, khô hoặc ở gần bếp lửa sẽ khiến kính áp tròng bị biến dạng. Không dùng nước vòi hay dung dịch tự chế để tạo ẩm cho kính, thay vào đó là dùng dịch nhân tạo vô trùng để vệ sinh, làm ẩm. Cuối cùng, không nên ham rẻ, mua kính trôi nổi trên thị trường, kính có màu sắc sặc sỡ mà dùng kính theo đơn và có tư vấn cẩn thận của bác sĩ. Ở cộng đồng, đo thị lực, tra thuốc sát khuẩn hoặc kháng sinh: argyrol 3- 10%, thimerosal 0,03%, betadin 5% hoặc chloramphenicol 0,4%. Chuyển bệnh nhân đi bệnh viện chuyên khoa, không được tra các thuốc có corticoid khi không chỉ định của bác sĩ.
Điều trị nội khoa
-Điều trị viêm loét giác mạc, dù do nguyên nhân gì, cũng tuân theo nguyên tắc chung:
-Chống viêm đặc hiệu (kháng sinh) và không đặc hiệu (kháng viêm không có steroid);
-Viêm loét giác mạc do vi khuẩn: cần dùng kháng sinh tuỳ theo nguyên nhân hoặc phổ rộng (Oflovid, okacin, gentamycin,...);
-Viêm loét giác mạc do virut cần dùng thuốc chống virut đặc hiệu (Triherpin, Zovirax);
-Viêm loét giác mạc do nấm cần dùng thuốc chống nấm đặc hiệu (Natacin, Ketakonazol, Sporal), chấm Lugol 5% ổ loét;
-Phòng chống dính bờ đồng tử vào mặt trước thể thuỷ tinh, tra thuốc Atropin 1-4%, nếu đồng tử không dãn thì phối hợp Atropin 1% và Adrenalin 0,1% tiêm dưới kết mạc 4 điểm sát rìa giác mạc với liều lượng 0,1ml;
-Dinh dưỡng giác mạc bằng cách tra dầu A và uống vitamin A. Nu giác mạc dọa thủng hoặc thủng cần cho thuốc hạ nhãn áp (uống acetazolamid);
-Giảm đau, an thần. Chống chỉ định dùng corticoid;
-Sự thành công của việc điều trị viêm loét giác mạc do nấm bằng thuốc phụ thuộc vào bệnh đượcchẩn đoán sớm, cách sử dụng thuốc chống nấm như thế nào để đạt hiệu quả cao. Amphotericin là thuốc chống nấm đầu tiên được sử dụng cách đây 50 năm, nhưng đến thập niên 80 vẫn là thuốc chống nấm toàn thân duy nhất. Đến nay, thuốc chống nấm sử dụng trong điều trị viêm loét giác mạc do nấm gồm hai nhóm thông dụng nhất:
(1) Polyenes: Natamycin, Amphotericin kết hợp với ergosterol và phá hủy màng tế bào;
(2) Azoles: Itraconazole, Ketoconazole, Fluconazole và Voriconazole có tác dụng ức chế sinh tổng hợp ergosterol làm gián đoạn sự hình thành màng tế bào. Voriconazole ức chế men cytochrome P-450 dẫn đến chết tế bào nấm. Hiện nay, nhóm các loại hợp chất ít được chỉ định polyhexamethylene biguanide, chlorhexidine, silver sulfadiazine. Hiệu quả của thuốc chống nấm trên lâm sàng liên quan mật thiết đến nồng độ, thời gian lưu lại của thuốc tại nơi tổn thương, đường dùng thuốc. Hơn nữa, thuốc chống nấm hiện nay đều là thuốc ức chế sự phát triển của sợi nấm và thuốc có phân tử lượng lớn. Vì vậy, sự xâm nhập của thuốc vào nơi tổn thương giác mạc rất khó khăn, đặc biệt nếu còn tồn tại lớp biểu mô giác mạc.
+ Natamycin là thuốc chống nấm tra mắt được sử dụng đầu tiên và cho đến nay là thuốc tra mắt duy nhất sử dụng điều trị viêm loét giác mạc do nấm được phê chuẩn của FDA, Mỹ. Natamycin 5%, dạng dịch treo (Natacyn®) có phổ tác dụng rộng với hầu hết các chủng nấm thường gặp, bám dính tốt trên bề mặt ổ loét, cho nên thời gian lưu thuốc kéo dài tại nơi tổn thương giác mạc. Thuốc có tác dụng tốt trong các trường hợp tổn thương viêm loét giác mạc do nấm ở lớp nhu mô trước của giác mạc. Natamycin là thuốc lựa chọn hàng đầu trong điều trị viêm loét giác mạc do nấm và có hiệu quả tốt trong các trường hợp như viêm củng mạc, loét kết mạc do nấm. Tác dụng không mong muốn khi sử dụng thuốc tra Natamycin có thể gặp là tổn thương biểu mô giác mạc dạng chấm.
+ Amphotericin B hiệu quả điều trị trên lâm sàng tốt đối với hầu hết các loại nấm, nhưng tác dụng tốt hơn nhiều lần đối với nấm men. Trong điều trị viêm loét giác mạc do nấm hiện nay Amphotericin B được sử dụng dưới dạng dung dịch pha chế từ dạng thuốc tiêm, giữ trong lọ màu tối để tra tại mắt; nhỏ giọt liên tục vào mắt hoặc tẩm thuốc vào tấm collagen đặt trên giác mạc liên tục khoảng 1 giờ với nồng độ 0,15 - 0,3%; tiêm nhu mô giác mạc; tiêm tiền phòng với nồng độ 7,5-10 µg/0,1 ml; tiêm dịch kính (1 - 5 µg/0,1 ml). Nhiều chuyên gia giác mạc đã báo cáo hiệu quả tốt của Amphotericin B bằng các đường dùng thuốc nêu trên. Tác dụng không mong muốn, khi sử dụng Amphotericin B tra mắt kéo dài, có thể tổn thương biểu mô giác mạc dạng chấm, khi tiêm tiền phòng là phản ứng gây xuất tiết tiền phòng, khi tiêm nội nhãn gây hoại tử hoặc bong võng mạc. Một số tác giả chỉ rõ hiệu quả của thuốc tra mắt Amphotericin B dạng nước và mỡ trong điều trị viêm củng mạc, viêm kết mạc, viêm loét giác mạc do nấm.

Hình 23
+ Itraconazole (Sporal) thuộc nhóm -azole có tác dụng vượt trội đối với các chủng nấm sợi, hiệu quả đặc biệt với chủng Aspergillus. Thuốc được sử dụng theo đường uống, liều 200 mg/ngày, uống 1 lần vào buổi sáng sau khi ăn. Biến cố bất lợi có thể nôn, buồn nôn, nổi mẩn da;
+ Ketoconazole có tác dụng tốt khi điều trị nấm toàn thân, tác dụng tốt với các loại nấm men. Liều sử dụng 200 - 400 mg/ngày, uống 1 lần khi ăn. Biến cố bất lợi có thể là nôn, buồn nôn, da mẩn đỏ, tăng men gan;
+ Fluconazole có tác dụng rất tốt với các chủng nấm men, ít tác dụng với nấm sợi. Thuốc dạng viên và dạng tiêm tĩnh mạch, liều dùng 100 - 400 mg/ngày. Thuốc này gây độc tính nặng nề cho gan, biến cố bất lợi có thể là tổn thương niêm mạc dạ dày và ruột, da mẩn ngứa.
+ Voriconazole là thuốc chống nấm mới được FDA phê chuẩn năm 2002. Khả năng dung nạp của thuốc rất cao qua đường uống, phổ tác dụng tốt với cả 2 chủng nấm sợi và nấm men và đặc biệt hiệu quả với các chủng: Aspergillus, Fusarium, Dematiaceous. Thuốc có 2 dạng trình bày là dạng viên và dạng tiêm tĩnh mạch. Liều thuốc uống trong ngày đầu tiên 400mg x 2 lần/ngày, liều duy trì 200 mg x 2 lần/ngày. Nếu tiêm tĩnh mạch liều khởi đầu 6 mg/kg x 2 lần, liều duy trì 3 mg/kg x 2 lần/ngày.
+ Các loại hợp chất sát khuẩn: Polyhexamethylene biguanide (PHMB), Chlorhexidine, Silver sulfadiazine. Các loại hợp chất ít được sử dụng trong điều trị nấm. Tác dụng chủ yếu như chất sát trùng đối với cả vi khuẩn, nấm, Acanthamoeba spp. PHMB đã từng được sử dụng ở bể bơi hoặc có trong thành phần chất bảo quản của thuốc tra mắt.
Điều trị ngoại khoa
-Ghép giác mạc.
-Rửa mủ tiền phòng, hoặc khoét bỏ nhãn cầu, hoặc múc nội nhãn: khi bệnh tiến triển nặng, hoặc điều trị nội khoa không kết quả.
Việc phòng bệnh nên cần tuyên truyền cho bệnh nhân ý thức trong việc sử dụng phương tiện bảo hộ lao động. Điều trị các bệnh mắt có nguy cơ gây viêm loét giác mạc, mổ quặm, điều trị khô mắt do thiếu vitamin A, chăm sóc mắt trong các trường hợp liệt dây thần kinh III, V, VII. Cần điều trị các bệnh toàn thân có nguy cơ gây viêm loét giác mạc.
Bệnh mắt do đơn bào amíp có thể do Entamoeba histolytica và Acanthamoeba qua đường thức ăn và vệ sinh. Các loài ký sinh trùng này thường ký sinh tại đường tiêu hóa và gây triệu chứng khá điển hình. Song, thực tiễn lâm sàng cũng cho biết một số bệnh nhân nhiễm amíp ở mắt.
Khi đơn bào ký sinh và gây bệnh tại mắt, biểu hiện viêm giác mạc; viêm mống mắt thể mi cấp, thường có mủ tiền phòng, viêm mống mắt thể mo mạn tính; tại đáy mắt biểu thị một tình trạng viêm hắc mạc trung tâm thường có ở 2 bên, cấu trúc nang vùng hoàng điểm đôi khi được phủ bởi một khối vàng đặc tạo bởi các lắng đọng hạt, kèm theo xuất huyết võng mạc, viêm hắc võng mạc hai bên lan tỏa với các đám sắc tố lớn, chủ yếu ở vùng cực sau, nhồi máu tính mạch võng mạc, cuất huyết võng mạc.
Xét nghiệm trong chất tiết hoặc mảnh mô cho thấy đơn bào. Điều trị bằng thuốc metronidazole hoặc tinidazolekèm theo vệ sinh mắt tại các phòng mạch chuyên khoa.
Bệnh mắt do nhiễm Toxoplasma gondii
Toxoplasma gondii là một KST nội bào bắt buộc, có thể gây tổn thương nhiều cơ quan, nhất là khi nhiễm bẩm sinh qua đường nhau thai, có thể để lại hậu quả nặng nề cho gia đình và xã hội. Bệnh chủ yếu gây tổn thương và biểu hiện tại các cơ quan gan, phổi, não và võngmạc.
Nếu là bệnh do Toxoplasma spp. bẩm sinh:
Khi bệnh tại mắt do loài đơn bào này thường biểu hiện cả 2 bên mắt và rất thường gặp (80%), nguyên do là viêm hoặc dị dạng, có thể biểu hiện tật khúc xạ,; nhãn cầu nhỏ một hoặc 2 bên (4)%), teo nhãn cầu sau viêm; giác mạc đục lan tỏa, loạn dưỡng thành dải, giác mạc to; viêm mống mắt thể mi cấp hoặc mạn tính, thường 2 bên, tồn lưu màng đồng tử (10%), không có mống mắt hoặc khuyết mống mắt; dịch kính tồn lưu động mạch dịch kính, tồn lưu dịch kính nguyên thủy.
Đáng chú ý nhất là tổn thương mắt do Toxoplasma spp. là tại đáy mắt: có thể viêm hắc võng mạc thường thành 1 hoặc nhiều ổ, 2 bên mắt, thông thường là vùng trung tâm, 90% được phát hiện ở giai đoạn làm sẹo (mảng teo có kích thước thay đổi, màu trắng hoặc trắng vàng, bờ nét, có viền sắc tố, đôi khi lan tới trung tâm có hình ảnh như hoa cúc hoặc giả khuyết có sắc tố, tái phát sớm hoặc muộn, thường sẹo, đôi khi có tăng sinh thần kinh đệm nhô cao phối hợp viêm hắc võng mạc. Ổ thông thường, khoiử đầu muộn sau vài ngày hoặc vài tuần (giống như nhiễm Toxoplasma spp. mắc phải), phù gai thị thường là hai bên, bong võng mạc, giả u vùng hoàng điểm; giả u thần kinh đệm vô mạch (tổ chức hóa một phần dịch kính), giả tăng sản xơ sau thể thủy tinh; giả bệnh võng mạc sắc tố; nếp hình liềm võng mạc; khuyết hoắc mạc, khuyết thần kinh thị, umạch hắc mạc hoặc võng mạc. Ảnh hưởng thần kinh vận nhãn ngoài là rung giật nhãn cầu thể quả lắc, lác đồng hành, liệt vận động phối hợp liệt vận nhãn, sụp mi; đường thị giác có teo gai thị (30%) một phần hoặc toàn phần, thường là kiểu nguyên phát, bất sản thị thần kinh (không có gai thị và mạch máu võng mạc).
Nếu là bệnh do Toxoplasma spp. mắc phải
Ngoại trừ các triệu chứng liên quan đến viêm não-màng não thì biều hiện hiếm gặp trong những hình thái mắc phải, toàn thân thường là biểu hiện khu trú, xảy ra dưới 30 tuổi. Thường là những đợt tái phát của tổn thương bẩm sinh tiềm tàng cũ. Biểu hiện tại hốc mắt là lồi mắt do viêm (ngoại lệ), tại kết mạc là viêm kết mạc cấp ngoại sinh (tai biến trong phòng thí nghiệm) hoặc nội sinh; đáy mắt có viêm hắc võng mạc ổ với hình ảnh một ổ rộng, phù nhiều kèm theo xuất huyết và đục dịch kính khu trú, thường ở hậu cực, một bên hay 2 bên hay tái phát, hay có kèm theo phản ứng mống mắt-thể mi, đôi lúc có viêm mạch máu vùng lân cận; hiếm gặp viêm hắc mạc nhiều ổ hoặc lan tỏa, thường có sẹo phối hợp bên cạnh (một hình ảnh gợi ý đến Toxoplasma spp. bẩm sinh tái viêm) hoặc ở cách xa, hoặc ở mắt bên kia.
Khi có tổn thương màng bồ đào, hệ số Desmont sẽ có ích trong chẩn đoán tỷ số giữa hàm lượng kháng thể trong thủy dịch so với trong huyết thanh (hiệu chỉnh theo gammaglobulin hoặc protein của 2 môi trường) dương tính thì hệ số này ≥ 4.

Hình 24
Bệnh mắt do nhiễm Trypanosoma spp.
Bệnh hay xảy ra ở châu Phi, do loài Trypanosoma gambien gây ra. Khi bị bệnh, biểu hiện toàn thân là sốt, ngủ li bì, nổi nhiều hạch, lách to, đôi khi nổi ban, về sau xuất hiện hội chứng thần kinh với run tay, chân và lưỡi, đau khi ấn vào các cơ ở trong sâu, suy nhược cơ thể nhanh chóng nếu không phát hiện và điều trị kịp thời.
Biểu hiện tại mắt do Trypanosoma spp. là viêm giác mạc nhu mô một bên (có thể phát hiện thấy ký sinh trùng trong mô một bên); viêm mống mắt thể mi kèm viêm giác mạc, có khi chỉ là vấn đề viêm mống mắt thể mi đơn thuần 1 bên mắt. có những chấm xuất huyết nhỏ trên mống mắt.

Hình 25
Bệnh mắt do đơn bào ký sinh trùng Plasmodium spp.
Sốt rét là bệnh KST Plasmodium spp., có thể biểu hiện sốt rét lâm sàng, sốt rét thường hoặc sốt rét có biến chứng. Trong một số trường hợp sốt rét ác tính (SRAT), biểu hiện tại mắt có xuất huyết võng mạc, viêm võng mạc tăng sinh, viêm tắc tĩnh mạch võng mạc phù nề quanh gai thị, có những chấm sắc tố trên võng mạc; các đường thị giác cho thấy trong hình thái não của sốt rét thỉnh thoảng gặp mù vĩnh viễn do tổn thương nặng ở vỏ não.
Việc xử lý trước hết phải chẩn đoán sớm và điều trị kịp thời bệnh bằng các thuốc đặc hiệu như các thuốc phối hợp trên nền artemisinine và dẫn suất, hoặc một số thuốc nhóm phối hợp dựa trên nền artemisinin (ACTs) với các thuốc đi kèm khác có hiệu quả mà các quốc gia đang sử dụng.

Hình 26
VIÊM KẾT MẠC KHÔNG DO NHIỄM TRÙNG
Viêm kết mạc có thể do những nấm như Candida albicans, Sporothrix schenkii, Allescheria spp., Aspergillus spp. và Mucor spp. hay do ký sinh trùng như Onchocerca volvulus, Loa loa, Wulchereria bancroftii, Trichinella spiralus, Schistosoma haematobium, Taenia solium, Echinococcus spp. và Thelazia spp. Song song, bệnh có thể nhiễm trùng lan tỏa do KST mang vi khuẩn vấy bẩn vào trong nội nhãn, viêm hoại tử và xuất huyết dưới kết mạc (do máu chảy từng vùng dưới kết mạc, mắt đỏ lòm và không đau, bất chợt xuất hiện hay cũng có thể vì day tay mạnh vào mắt khi bị ngứa mắt). Hoặc có thể giun, sán sống trong ổ mắt một lúc nào đó đục thủng cấu trúc, tổ chức chui ra khỏi mắt, kèm theo xuất huyết mắt (dịch viêm đi theo).
Viêm màng mach nho phía sau do nhiều tác nhân như T. gondii, Toxocaraspp., Cryptococcus neoformans, Histoplasma capsulatum, Mycobacterium tuberculosis, Human Herpes virus 5 (Cytomegalovirus), Human Herpes virus 1 (Herpes simplex 1 virus) và HIV. Nhiễm vi trùng bên trong mắt là bệnh nguy hiểm có thể làm giảm thị lực hoặc mù mắt do thương tích mắt, hậu giải phẫu mắt, hay nhiễm trùng máu.
Điều trị khẩn cấp may ra tránh khỏi bị mù mắt.
MỘT SỐ PHƯƠNG PHÁP PHÒNG BỆNH KÝ SINH TRÙNG ĐƠN BÀO Ở MẮT
-Phòng bệnh là khâu rất quan trọng, tùy thuộc vào từng loại giun sán khác nhau có chu kỳ sinh học, lệ thuộc vào vật chủ trung gian, vật chủ chính và nguồn nhiễm khác nhau mà chúng ta có thể áp dụng các biện pháp phòng bệnh khác nhau ở từng tác nhân gây bệnh;
-Đầu tiên phải quản lý nguồn phân, dùng hố xí hai ngăn với thờigian ủ đảm bảo hoặc hố xí, không cho trẻ em đại tiện bừa bãi ra đất hoặc ở gần nguồn nước, không dùng phân tươi bón cây, rau quả vì sẽ gây ô nhiễm môi trường đất, nước;
-Đảm bảo nguồn thực phẩm hợp vệ sinh, không ô nhiễm ấu trùng giai đoạn nhiễm (infective larva) và các chế phẩm hay nguồn thực phẩm ô nhiễm mầm bệnh không / hoặc chưa được kiểm soát;
-Bên cạnh đó, xây dựng tập quán vệ sinh trong ăn uống rửa tay sạch trước khi ăn, sau khi đại tiện hoặc trước khi làm thức ăn cho trẻ em, cần thực hiện ăn chín uống sôi, đảm bảo vệ sinh nguồn nước, tiêu diệt ruồi, muỗi, gián là những động vật trung gian truyền bệnh;
-Các du khách cần thận trọng khi đi du lịch từ các quốc gia không có bệnh lưu hành đến một số quốc gia hay vùng lãnh thổ đang có bệnh lưu hành;
-Cuối cùng là nâng cao thể trạng, ăn uống đầy đủ vi chất dinh dưỡng, cần tẩy giun định kỳ theo khuyến cáo quốc gia và Tổ chức Y tế thế giới (TCYTTG) khuyến cáo.