Một trường hợp hiếm gặp về giun sống trong não cho thấy điều gì xảy ra khi ký sinh trùng xâm nhập hệ thần kinh trung ương (TKTU) và đây là ca bệnh đầu tiên trên thế giới được báo cáo.
MỘT BIỂU HIỆN BÍ ẨN TỪ BỆNH SỬ KHÔNG BÌNH THƯỜNG
Vào tháng 01.2021, một phụ nữ 64 tuổi sống tại New South Wales đến khám tại một bệnh viện địa phương vì lý do đau bụng/dạ dày co thắt (stomach cramps), tiêu chảy, ra mồ hôi trộm và ho khan. Các bác sỹ tại đây đã điều trị cho cô ta và cho điều trị ngoại trú bằng thuốc prednisolone. Tuy nhiên, bệnh nhân quay trở lại bệnh viện 3 tuần sau đó với triệu chứng sốt và ho liên tục. Lúc này, các bác sỹ bắt đầu nghi ngờ bệnh nhân nhiễm một loại ký sinh trùng và điều trị cho cô ta, thế nhưng các triệu chứng không thuyên giảm hay cải thiện.
Đến năm 2022, bênh nhân trở nên đãng trí và trầm cảm (absentminded and depressed). Chụp phim cộng hưởng tử (MRI) phát hiện một khối và hình ảnh giống cấu trúc một sợi dây (stringlike structure) bên trong khối này. Khi các bác sỹ sinh thiết (vào thời điểm tháng 06.2022) thì phát hiện ra một con giun đang còn sống dài 8 cm ở thùy trán bên phải của não. Bác sỹ phẩu thuật thần kinh Hari Priya Bandi ngay tức khắc thông tin cho BBC về trường hợp giun tròn đang ký sinh và gây bệnh trong não một phụ nữ và khi đó mọi người đều sốc trước tin này và sau đó giun được phẩu thuật loại bỏ ra khỏi não.
Trường hợp bệnh này được công bố trên Tạp chí Bệnh truyền nhiễm mới nổi của Trung tâm Kiểm soát và Phòng ngừa bệnh tật (Emerging Infectious Diseases, US. CDC), Số tháng 9.2023, các bác sĩ mô tả về một phụ nữ 64 tuổi sống ở miền đông nam Australia đã phát triển một loạt các triệu chứng phức tạp trong suốt một năm. Ban đầu, bà bị đau bụng và tiêu chảy, sau đó là ho khan và đổ mồ hôi đêm.Các bác sĩ ban đầu chẩn đoán bà mắc bệnh viêm phổi mắc phải từ cộng đồng (community-acquired pneumonia-CAP). Tuy nhiên, ngay cả sau khi điều trị bằng kháng sinh, các triệu chứng của bà vẫn không thuyên giảm.Kiểm tra tiếp theo đã phát hiện các bất thường như có tỷ lệ bạch cầu ái toan (BCAT) tăng cao trong máu - một loại tế bào bạch cầu chống lại nhiễm ký sinh trùng. Đồng thời, bệnh nhân cũng có các tổn thương ở phổi, gan và lách, cùng với những dấu vết di chuyển trong phổi.

Hình 1. Hình ảnh giun tròn Ophidascaris robertsi được lấy ra từ não của của bệnh nhân nữ người Úc
và hình ảnh chụp não
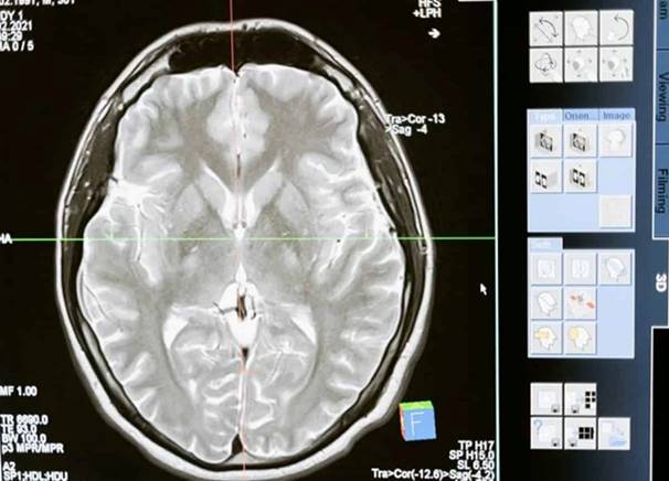
Sinh thiết chỉ làm tăng thêm và làm rõ những điều còn bí ẩn. Chúng chỉ ra viêm phổi tăng BCAT nhưng không có nguyên nhân rõ ràng. Các bác sĩ đưa ra giả thuyết bà có thể mắc bệnh ung thư máu hoặc bệnh tự miễn. Họ bắt đầu điều trị cho bà bằng steroids và hóa trị. Mặc dù, bệnh nhân được điều trị tích cực nhưng các triệu chứng thần kinh vẫn xuất hiện và kéo dài, thậm chí nặng hơn. Bà ngày càng mắc chứng hay quên và tình trạng trầm cảm ngày càng tồi tệ. Hình ảnh não xác định một tổn thương ở thùy trán bên phải của bệnh nhân?.
….ĐẾN CHẨN ĐOÁN BẤT NGỜ
Ấu trùng giun tròn Ophidascaris robertsigiai đoạn 3 chu du khắp cơ thể bệnh nhân và cuối cùng đóng tổ trong não (nestled parasite). Trong phần bệnh sử điều tra trên bệnh nhân, các triệu chứng có thể do ký sinh trùng di chuyển từ ruột vào trong các mô và cơ quan khác nhau như gan, phổi - TS.BS. Karina Kennedy, giám đốc lâm sàng về vi sinh y học ở BV Canberra giải thích.

Hình 2. Tổn thương nhu mô não tạo khối do giun tròn Ophidascaris robertsiqua hình chụp MRI

Các nhà nghiên cứu cũng lưu ý rằng bệnh nhân suy giảm miễn dịch có thể giúp cho giun đi lên hệ thần kinh trung ương (CNS_Central Nervous System), kể cả não và tủy sống. Điều này còn khiến cho các nhà khoa học lo sợ liệu sẽ có nhiều bệnh lây truyền từ động vật sang người không khi con người chúng ta đang sống trong môi trường cùng với động vật. Chỉ trong quá trình sinh thiết phẫu thuật tổn thương não này, các bác sĩ mới phát hiện ra “thủ phạm thực sự“, đó là một con giun tròn, dài 80 cm còn sống đang luồn lách qua mô não của bệnh nhân. Giải trình tự PCR sau đó đã xác định được loài giun này là Ophidascaris robertsi, một loại ký sinh trùng giun tròn trước đây chưa được biết là có khả năng lây nhiễm sang người.
Các nhà khoa học cho biết loài “O. robertsi” dùng trăn làm vật chủ chính (definitive host). Nó phát tán trứng qua phân của rắn. Bệnh nhân này có thể đã nuốt phải trứng khi hái rau Warrigal còn được gọi là rau bina New Zealand để nấu ăn gần nhà, cũng gần khu vực có trăn thảm/ hay trăn cảnh sinh sống.Khi đã ở bên trong cơ thể vật chủ là động vật có vú, ấu trùng giun O. robertsi có thể di chuyển khắp các mô và cơ quan, gây ra phản ứng miễn dịch mạnh. Chứng tăng BCAT và các tổn thương di chuyển trên người phụ nữ này dường như là “phản ứng của cơ thể đối với ký sinh trùng xâm nhập vào các mô” của bệnh nhân.
Sự di chuyển của ấu trùng vào thần kinh, hay còn gọi là sự xâm nhập của giun ấu trùng vào hệ thần kinh trung ương, là khá hiếm. Báo cáo lưu ý rằng chỉ có khoảng 700-800 trường hợp mỗi năm trên toàn cầu đối với tất cả các loài giun có thể gây ra tình trạng này. Các loài Toxocara như giun tròn là thủ phạm phổ biến nhất.
Các triệu chứng của xâm nhập não do ký sinh trùng phụ thuộc vào vị trí nhưng có thể bao gồm co giật, suy nhược hoặc rối loạn tâm thần kinh. Việc chẩn đoán khá khó khăn do sự không rõ ràng của ký sinh trùng."
(Còn nữa - Phần 2: ĐÔI NÉT VỀ TRĂN THẢM, TRĂN CẢNH HAY TRĂN KIM CƯƠNG)
Tài liệu tham khảo1.Mehrab E Hossain,  !important;Karina J Kennedy,  !important;Heather L Wilson,  !important;David Spratt,  !important;Anson Koehler,  !important;Robin B Gasser,  !important;Jan Šlapeta,  !important;Carolyn A Hawkins,  !important;Hari Priya Bandi,  !important;Sanjaya N Senanayake (2023). Human Neural Larva Migrans Caused by Ophidascaris robertsi Ascarid. Emerg Infect Dis, 2023 Sep !important;29(9):1900-1903.doi: 10.3201/eid2909.230351.
2.Sprent  !important;JFA.  !important;The life history and development of Amplicaecum robertsi, an ascaridoid nematode of the carpet python (Morelia spilotes variegatus). I. Morphology and functional significance of larval stages. Parasitology. 1963;53:7–38.
3.Gallego Agúndez  !important;M,  !important;Villaluenga Rodríguez JE, Juan-Sallés C, Spratt DM. First report of parasitism by Ophidascaris robertsi (Nematoda) in a sugar glider (Petaurus breviceps, Marsupialia). J Zoo Wildl Med. 2014;45:984–6.
4.Gonzalez-Astudillo  !important;V,  !important;Knott L, Valenza L, Henning J, Allavena R. Parasitism by Ophidascaris robertsi with associated pathology findings in a wild koala (Phascolarctos cinereus). Vet Rec Case Rep. 2019;7:e000821.
5.Sprent  !important;J.  !important;The life history and development of Amplicaecum robertsi, an ascaridoid nematode of the carpet python (Morelia spilotes variegatus). II. Growth and host specificity of larval stages in relation to the food chain. Parasitology. 1963;53:321–37.
6.Baron  !important;HR,  !important;Šlapeta J, Donahoe SL, Doneley R, Phalen DN. Compensatory gastric stretching following subtotal gastric resection due to gastric adenocarcinoma in a diamond python (Morelia spilota spilota). Aust Vet J. 2018;96:48
7.Folmer  !important;O,  !important;Black M, Hoeh W, Lutz R, Vrijenhoek R. DNA primers for amplification of mitochondrial cytochrome c oxidase subunit I from diverse metazoan invertebrates. Mol Mar Biol Biotechnol. 1994;3:294–9.
8.Mullis  !important;K,  !important;Faloona F, Scharf S, Saiki R, Horn G, Erlich H. Specific enzymatic amplification of DNA in vitro: the polymerase chain reaction. Cold Spring Harb Symp Quant Biol. 1986;51:263–73.
9.Wilson  !important;S,  !important;Carpenter JW. Endoparasitic diseases of reptiles. J Exot Pet Med. 1996;5:64–74.
10.Herman  !important;JS,  !important;Chiodini PL. Gnathostomiasis, another emerging imported disease. Clin Microbiol Rev. 2009;22:484–92.
11.Nau  !important;R,  !important;Sörgel F, Eiffert H. Penetration of drugs through the blood-cerebrospinal fluid/blood-brain barrier for treatment of central nervous system infections. Clin Microbiol Rev. 2010;23:858–83.
12.Katchanov  !important;J,  !important;Sawanyawisuth K, Chotmongkoi V, Nawa Y. Neurognathostomiasis, a neglected parasitosis of the central nervous system. Emerg Infect Dis. 2011;17:1174–80.
13.In world 1st, doctors remove live, 3-inch worm from woman’s brain: ' !important;It's moving'. https://www.today.com/health news/woman-worm-brain-ophidascaris-robertsi-rcna102312
14.Oh my god’: live worm found in Australian woman’s brain in world-first discovery. https://www.theguardian.com/australia-news/2023/aug/28/live-worm-living-womans-brain-australia-depression-forgetfulness.
15.Parasitic Roundworm from Python Found in Human Brain. https://neurosciencenews.com/
16.Australian scientists make world-first discovery of parasitic worm in woman' !important;s brain. https://www.reuters.com/business/healthcare-pharmaceuticals/australian-scientists-make-world-first-discovery-parasitic-worm-womans-brain/
17.A neurosurgeon investigating a woman’s mystery symptoms in an Australian hospital says she plucked a wriggling worm from the patient’s brain.https://www.euronews.com/next/2023/
18.Surgeons pull a live roundworm from a woman' !important;s brain in horrific first. https://www.sciencealert.com/surgeons-pull-a-live-roundworm-from-a-womans-brain-in-horrific-first
19.Still alive and wriggling:’ Doctors remove 3-inch parasitic worm from woman’s brain in world first. https://edition.cnn.com/2023/08/29/australia/australia-parasitic-worm-brain-scn-intl-hnk/index.html
20.Neurosurgeon plucks live worm from woman' !important;s brain after months of mysterious symptoms. https://www.cbc.ca/news/health/australian-worm-brain-1.6950487