Dịch tễ học bệnh sán dây bò/ san dây lợn và ấu trùng sán lợn trên thế giớivà Việt Nam
Trên thế giới:
Bệnh sán dây / ấu trùng sán lợn phân bố rải rác nhiều nước trên thế giới với khoảng 100 triệu người nhiễm bệnh. Riêng bệnh ấu trùng sán dây lợn và tổn thương neurocysticercosis lưu hành tại châu Mỹ La Tinh, châu Á, châu Phi và đặc biệt ở Mỹ thì bệnh bắt đầu tăng mạnh vào những năm 1980. Một số quốc gia ở châu Âu có số ca mắc cao là Tây Ban Nha, Mexico. Trong đó, Mexico tỷ lệ dương tính trên xét nghiệm huyết thanh học là 3.6% (người trưởng thành) và qua giải phẩu tử thi có tỷ lệ nhiễm là 1.9%.
Bệnh ấu trùng sán lợn ký sinh ở hệ thần kinh trung ương (neurocysticercosis) lại khá thường gặp ở Mỹ hơn trong thời gian qua, nhất là trên những đối tượng dân di cư từ những vùng bệnh lưu hành, nhất là từ Mexico sang và vùng lưu hành bệnh khác, theo số liệu báo cáo thời điểm đó, khoảng 1.000 ca hàng năm (trên cả trẻ em và người lớn). Sau đó, nhờ chương trình phòng chống bệnh tật cũng như kinh nghiệm về bệnh này tốt hơn, nên số ca có giảm đi đôi ít và một nghiên cứu tổng hợp trong thời gian từ 1980-2004 cho biết ở Mỹ có 1.494 ca.
Tại Việt Nam:
Bệnh sán dây / ấu trùng sán dây lợn phân bố ở nhiều nơi liên quan đến tập quán ăn uống thịt lợn hoặc thịt trâu bò chưa nấu chín. Trên vùng đồng bằng, tỷ lệ nhiễm sán dây từ 0.5-2%; trong khi đó, ở trung du và miền núi thì tỷ lệ nhiễm sán dây 2-6%.
Hiện nay, Theo báo cáo từ các nhà khoa học đã phát hiện có ít nhất 51 tỉnh, thành có ca bệnh sán dây / ấu trùng sán lợn, tập trung tại các tỉnh Lai Châu, Lào Cai, Hà Giang, Sơn La, Yên Bái, Bắc Cạn, Phú Thọ, Vĩnh Phúc, Thái Nguyên, Lạng Sơn, Tuyên Quang, Hòa Bình, Hà Tây, Hà Nội, Bắc Ninh, Hưng Yên, Bắc Giang, Ninh Bình, Hà Nam, Nam Định, Thái Bình, Hải Dương, Hải Phòng, Quảng Ninh, Thanh Hóa, Nghệ An, Đà Nẵng, Quảng Nam, Quảng Ngãi, Bình Định, Phú Yên, Đăk Lăk, Khánh Hòa, Lâm Đồng, Bình Thuận, Đồng Nai, Bình Phước, Tây Ninh, Bình Dương, thành phố Hồ Chí Minh, Long An, Tiền Giang, Bến Tre, Trà Vinh, Vĩnh Long, Đồng Tháp, An Giang, Cần Thơ, Sóc Trăng, Cà Mau, Kiên Giang.
Nguyên nhân gây bệnh
Bệnh sán dây là hậu quả của sự có mặt của những con sán dây (sán dây bò hoặc lợn) ký sinh trong ruột, khi đó gọi là bệnh sán dây trưởng thành (cấu trúc của sán dây xin xem hình ảnh)
Bệnh ấu trùng sán lợn là hậu quả của sự có mặt những ấu trùng sán lợn (Cysticercus cellulosae) vào cơ thể người (chủ yếu trong cơ, trong não, trong mắt,…), có bệnh nhân mang đến 300 nang dưới da. Thông thường phân bố như sau: vùng lưng ngực: 36.6%; tay: 28.8%; đầu, mặt cổ: 18.2%, chân: 17.4%,…đa số bệnh nhân có ấu trùng ở cơ (98%) kèm theo có ấu trùng trong não.
Tại Việt Nam có khá nhiều loại sán dây ký sinh và gây bệnh trên nhiều vật chủ khác nhau, nhưng chủ yếu 3 loại sán dây gây bệnh cho người là sán dây bò (Taenia saginata) và 2 loài sán dây lợn (Taenia solium và Taenia asiatica). Riêng đối với Taenia asiatica mới đươcj đề cập nhiều trong 5 năm trở lại đây, T.asiatica là một loài sán dây được phát hiện ở Đài Loan, Hàn Quốc, Indonesia, Việt Nam, Trung Quốc, miền tây Thái Lan và Malaysia-những nơi mà người dân có thói quen ăn các tạng của heo bệnh chưa được nấu chín.
Chu kỳ phát triển
Sự nhiễm bệnh do tiêu hóa trứng được đẻ ra trong phân của người nhiễm sán dây. Heo và con người bị nhiễm do ăn phải trứng hoặc các đốt sán (gravid proglottids). Người bị nhiễm hoặc là do ăn các thực phẩm nhiễm phân có chứa trứng sán hoặc là tự nhiễm (autoinfection). Trong các trường hợp sau, người bị nhiễm với con sán dây lợn trưởng thành có thể nhiễm đốt hoặc nhiễm trứng chứa trong phân, hoặc các đốt sán do quá trình nôn nhiễm trở lại. Một khi trứng được nuốt vào, phần oncospheres bám dính vào thành ruột, xâm nhập vào thành ruột và di chuyển đến cơ vân cũng như một số cơ quan, phủ tạng khác như não, gan, mô khác_ tại đó chúng có thể phát triển thành sán trưởng thành. Trên người, các nang sán có thể gây ra các di chứng nghiêm trọng nếu chúng định vị trong não, dẫn đến bệnh ấu trùng sán dây lợn tại não (neurocysticercosis). Chu kỳ phát triển hoàn thành, hậu quả là người nhiễm sán dây.
Khi con người tiêu hóa các thịt heo nấu chưa chín có chứa cysticerci, các nang sán xâm nhập và rồi dính vào ruột non nhờ bộ phận đầu scolex của chúng. Sán dây trưởng thành phát triển (dài từ 2-7m và sinh ra trung bình khoảng 1000 đốt, mỗi đốt có xấp xỉ 50,000 trứng) và ký sinh trong ruột non trong nhiều năm. Nhìn chung, có thể tóm lược sự phát sinh và phát triển của sán dây như sau:
Sán dây trưởng thành sống ký sinh trong ruột người, có chiều dài từ 4-12m, gồm từ 1.200-2.000 đốt (sán dây bò) hoặc chiều dài từ 2-4m và từ 700-1.000 đốt (sán dây lợn). Điểm đặc biệt là sán lưỡng tính và sinh sản bằng cách rụng đốt; trâu bò, lợn ăn phải trứng và đốt sán phát tán trong môi trường hoặc ăn phân người có sán; trứng vào dạ dạy và ruột của trâu, bò, lợn rồi nở ra thành ấu trùng chui qua thành ống tiêu hóa vào máu và tới các cơ vân tạo kén ở đó (nhân dân hay gọi là bò gạo hoặc lợn gạo);
Người ăn phải thịt của bò gạo hoặc lợn gạo chưa nấu chín, ấu trùng sán vào ruột sẽ nở ra con sán trưởng thành; lúc mới nở sán dây chỉ có đầu và một đoạn cổ nhỏ (kích thước # đầu đinh ghim). Nếu sán dây bò: đầu có 4 giác bám, không có vòng móc; nếu là sán dây lợn: đầu có 4 giác bám, có 2 vòng móc
Sán phát triển lên bằng cách nẩy chồi, sinh đốt mới từ cổ, sán dài dần dần ra từ đầu ruột non đến cuối ruột già;
Người ăn phải trứng sán dây lợn sẽ bị bệnh người gạo, còn gọi là bệnh ấu trùng sán dây lợn (ATSL), có địa phương người dân gọi là sán cơ hoặc sán não; sau khi ăn phải trứng sán dây lợn, trứng vào dạ dày và ruột rồi nở ra ấu trùng, ấu trùng xuyên qua thành ống tiêu hóa vào máu và di chuyển đến ký sinh tại các cơ vân, não, mắt,…Những người bị bệnh do ăn phải trứng sán dây lợn từ môi trường ngoài thường có ít nang (ngoại trừ trường hợp ăn phải cả đốt sán); những người có con sán dây lợn trong ruột, khi đốt già rụng, theo phản ứng nhu động ruột mà đốt sán có thể trào ngược lên dạ dày và lúc này như là ăn phải trứng sán dây lợn với số lượng rất lớn nên số nang ở người cũng rất nhiều, có người đếm không thể (trường hợp như thế gọi là tự nhiễm).
Tác hại và biến chứng của bệnh sán dây
-Sán dây trưởng thành chiếm thức ăn, dẫn đến kém hấp thu và rối loạn tiêu hóa và ngay cả nhiễm độc thần kinh (đối với ATSL) hoặc thường gây ra những biến chứng, nhất là gây tác hại đến hệ thần kinh trung ương; chẳng hạn, liệt các dây thần kinh, nói ngọng, giảm thị lực, gây động kinh; cuối cùng bệnh sán dây và ATSL gây ảnh hưởng đến sức khỏe cộng đồng.
-Về tỷ lệ tử vong và tỷ lệ bệnh tật do bệnh sán dây và ấu trùng sán lợn gây ra: nói chung bệnh sán dây và ấu trùng sán lợn là lành tính và các tổn thương có thể tự khỏi trong vòng 2-3 tháng; song cũng có trường hợp tỷ lệ tử vong cao hay thấp tùy thuộc diễn biến bệnh đơn giản hay phức tạp, nhất là những ca ATSL tại thần kinh trung ương;
-Đối với những trẻ em mắc bệnh thường do phơi nhiễm với nang sán (cyst) và có rất ít biến chứng, tiên lượng bệnh tốt (thường gặp ở Mỹ và một số vùng không phải bệnh lưu hành);
-Các trường hợp neurocysticercose phức tạp ở trẻ em trong các vùng lưu hành bệnh là thường nhiẽm tái đi tái lại với trứng sán Vì biến chứng gia tăng áp lực nội sọ và khó kiểm soát cơn co giật, động kinh, nên các trẻ này có tiên lượng kém hơn. Một số biến chứng có thể tăng lên do không khống chế được cơn co giật, động kinh, não úng thủy, phù gai thị, nhức đầu, nôn mửa.
Chẩn đoán
Chẩn đoán lâm sàng:
Bệnh sán dây trưởng thành thường không biểu hiện triêu chứng rõ rêt, một số trường hợp có biểu hiện lâm sàng: Đau bụng, rối loạn tiêu hóa hoặc có triệu chứng thần kinh (suy nhược); dấu hiệu chính là thấy đốt sán ra theo phân hoặc tự bò ra ngoài hậu môn (thường nhìn thấy trong quần lót khi thay ra vào cuối ngày làm việc); xuất hiện đốt sán theo phân (những đoạn nhỏ, dẹt, trắng ngà như sơ mít, đầu sán bằng phẳng) và một số trường hợp có trứng sán trong phân được phát hiện.
Bệnh ấu trùng sán lợn: triệu chứng bệnh tùy thuộc vị trí ký sinh và đóng kén của ấu trùng mà bệnh sẽ xuất hiện các triêu chứng khác nhau: Tại não cũng tùy thuộc vị trí mà triệu chứng biểu hiện chức năng cũng khác nhau: động kinh, liệt, nói ngọng, rối lọan ý thức và có những cơn nhức đầu dữ dội;
Khi ấu trùng cư trú ở mắt gây các triệu chứng chèn ép sau nhãn cầu, tăng nhãn áp, giảm thị lực, song thị,…
Ấu trùng cư trú ở cơ vân: xuất hiện các nang dưới da với kích thước 0.5-2cm, di động dễ dàng, không ngứa, thường ở cơ bắp tay, chân hoặc cơ liên sườn, cơ lưng, ngực; các nang này có thể gây ra triệu chứng máy, giật cơ; nếu một số nang đơn lẻ cần chú ý phân biệt với hạch.
Chẩn đoán cận lâm sàng:
-Phát hiện sán trưởng thành:
+Phát hiện kháng nguyên trong phân bằng kỹ thuật ELISA;
+Phát hiện các đốt sán đi ra tự nhiên ở hậu môn.
-Phát hiện bệnh ấu trùng sán lợn:
+Sinh thiết các nang sán dưới da tìm ấu trùng sán dây lợn;
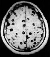
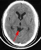
+Chụp cắt lớp vi tính (CT Scanner) não tìm các hình ảnh đặc hiệu (các nang sán là những nốt dịch có chấm mờ, kích thước 3-5mm, đôi khi nang có kích thước lớn đến 10mm, rải rác có nốt dạng vôi hóa);
+Chẩn đoán huyết thanh học (ELISA) phát hiện kháng thể và kháng nguyên ấu trùng sán dây lợn trong huyết thanh bệnh nhân;
+Một số trường hợp nhức sau nhãn cầu, tăng nhãn áp, giảm thị lực nếu nghi ngờ sán ở ổ mắt thì nên soi dáy mắt để xác định;
+Xét nghiệm công thức máu toàn phần có thể có bạch cầu ái toan (E) tăng.
Chẩn đoán phân biệt:
Khi một số trường hợp bệnh chưa rõ ràng, chúng ta nên chẩn đoán gián biệt với một số bệnh khác nhiễm vi khuẩn, virus, ký sinh trùng, nấm,…nhất là trong các bệnh nhân mắc ATSL ở hệ thần kinh:
-Viêm não, màng não do amíp, do vi khuẩn;
-U tế bào hình sao ở hệ thần kinh trung ương;
-U sọ hầu, u nguyên bào tủy
-Nhiễm vius cytomegalovirus, nhiễm giun tóc hệ thần kinh;
-Bệnh sarcoidose, bệnh sán máng thể não;
-Bệnh giun đũa chó, bệnh do toxoplasmose;
-Lao màng não;
Điều trị bệnh sán dây và ấu trùng sán lợn:
Nguyên tắc điều trị:
-Điều trị sớm: cần thiết chẩn đoán sớm và điều trị kịp thời ngay khi phát hiện có đốt sán ra theo phân hoặc đốt sán ra quần lót / quần đùiđể tránh những biến chứng do sán dây lợn (bệnh ấu trùng sán lợn);
-Không nên điều trị bằng thuốc đông y, thuốc nam hoặc các thuốc cổ điển đối với bệnh sán dây lợn vì dể xảy ra biến chứng nguy hiểm;
-Điều trị bệnh ấu trùng sán dây lợn nên thực hiện ở cơ sở y tế trang bị phương tiện cấp cứu tốt, có bác sĩ chuyên khoa theo dõi.
Thuốc điều trị:
Một số thuốc đặc hiệu cho bệnh sán dây và ATSL như praziquantel, niclosamide và albendazole.
Phác đồ điều trị:
-Điều trị bệnh sán dây trưởng thành: praziquantel 15-20mg/kg cân nặng liều duy nhất hoặc niclosamideliều 2 gam cho người lớn liều duy nhất hoặc có thể lặp lại liều trong vòng 7 ngày nếu cần thiết (http://www.drug.com 2007);
-Điều trị bệnh ấu trùng sán lợn, chúng ta có thể dùng 1 trong 2 phác đồ sau đây:
+Praziquantel 30mg/kg/ngày x 15 ngày x 2-3 đợt (mỗi đợt cách nhau 10-20 ngày);
+Hoặc Praziquantel 15-20mg/kg, liều duy nhất ngày đầu. Những ngày sau dùng albendazole 15mg/kg/ngày x 30 ngày x 2-3 đợt (đợt cách đợt 20 ngày).
-Với trẻ em, khi điều trị bằng thuốc niclosamide, cần cho liều theo cân nặng cơ thể và đượcchỉ định bởi bác sĩ (theo http://www.Drug.com 2007)
+Với những trẻ từ 11-34 kg: liều cho 1 g, liều duy nhất, điều trị có thể lặp lại trong vòng 7 ngày nếu cần thiết;
+Với trẻ > 34 kg: liều cho 1.5 g, liều duy nhất, điều trị có thể lặp lại trong vòng 7 ngàynếu cần thiết.
Các biện pháp phòng chống bệnh sán dây và ấu trùng sán dây lợn
Đối với bệnh do sán dây trưởng thành
Không ăn thịt lợn, gan lợn hoặc thịt trâu bò chưa nấu chín như nem, thính, nem chua, tré, thịt lợn tái, gan tái, thịt trâu, bò tái; kết hợp với các ngành chức năng kiểm tra chặt chẽ các lò mổ lợn, trâu bò và loại bỏ các con vật mang ấu trùng sán; quản lý phân tốt: luôn sử dụng hố xí hợp vệ sinh, không để lợn thả rông ăn phân người; tốt nhất không nuôi lợn thả rông.
Đối với bệnh ấu trùng sán lợn (Cysticercus cellulosae)
Không ăn rau sống, không uống nước lã; quản lý phân tốt, nhất là phân của những người nhiễm ấu trùng sán dây lợn T.solium; phát hiện và điều trị sớm những người mắc bệnh sán dây và xử lý những con sán được tẩy ra, đặc biệt sán dây lợn để ngăn ngừa mắc bệnh ấu trùng sán lợn theo cơ chế tự nhiễm.