Bệnh giun đầu gai (Gnathostomiasis) là một bệnh ký sinh trùng lưu hành tại một số quốc gia châu Á, bệnh gây ra do ăn phải các cá nước ngọt nấu chưa chín nhiễm phải ấu trùng giai đoạn 3 của giun đầu gai Gnathostoma spp. Bệnh có thể lan rộng đến nhiều cơ quan trong cơ thể, một trong số đó có da, khi bị da có biểu hiện là các hội chứng ban trườn và/ hay hội chứng ấu trùng di chuyển hoặc ban đỏ di chuyển(creeping eruptions - migrating erythema). Từ năm 1970, một số bệnh nhân nhiễm dường như gia tăng ở các quốc gia Trung và Nam Mỹ như Mexico và Peru. Vấn đề này lần đầu tiên được chú ý và Gnathostomiasis đưa lên ấn bản tại Brazil và nó đóng vai trò như một cảnh báo có khả năng xuất hiện bệnh này tại các vùng không lưu hành bệnh. Tại Việt Nam, trong thời gian gần 10 năm qua với số liệu thống kê không đầy đủ cho thấy hàng ngàn ca được phát hiện và điều trị thành công, đa số là thể da niêm và tiếp đó là thể thần kinh (H.H.Quang và cs., số liệu chưa công bố), trong đó khu vực miền trung Tây Nguyên chiếm tỷ lệ đáng kể.
Hình ảnh lâm sàng có thể phân chia thành các triệu chứng trung gian (immediate symptoms), một thể da niêm (cutaneous form) và thể phủ tạng (visceral form). Trong vòng 24-48 giờ sau khi ăn Gnathostoma, bệnh nhân có thể hình thành các triệu chứng không đặc hiệu như suy nhược, sốt, mày đay, chán ăn, buồn nôn, nôn mửa, tiêu chảy, đau vùng thượng vị và hạ sườn phải. Các triệu chứng này xảy ra khi ấu trùng đóng kén và di chuyển qua thành dạ dày hoặc ruột non và gan và có thể kéo dài đến 2-3 tuần. Tăng bạch cầu ái toan chung đáng kể có ý nghĩa thường diễn ra liên quan đến quá trình xuyên thấu của ấu trùng trong thành ruột, có trường hợp báo cáo lên đến trên 50% tổng số bạch cầu chung. Tiếp đó, ấu trùng chung di chuyển qua da và qua mô dưới da gây ra các hình ảnh lâm sàng là đường di chuyển sưng phồng điển hình và ở đó có thể chúng đi chuyên vào mô ở sâu hơn và các tạng có thể liên quan như phổi, mắt, tai, ruột và hệ tiết niệu và có thể gây tử vong nếu không phát hiện và chẩn đoán kịp thời, nhất là thể thần kinh trung ương. Phần lớn nhiễm trùng chỉ dẫn đến bệnh lý da niêm, trong vòng 3-4 tuần sau khi ăn phải ấu trùng, nhưng khi bắt đầu triệu chứng có thể trì hoãn trong nhiều tháng hay nhiều năm. Khi giai đoạn mạn tính bắt đầuvà ấu trùng đi vào mô dưới da và các hình ảnh lâm sàng của da niêm và tạng thường bị che lấp.
Tính sinh bệnh học chính xác của bệnh giun đầu gai đến nay vẫn chưa rõ ràng và chắc chắn, nhưng người ta nghĩ rằng triệu chứng do hiệu ứng phối hợp của cơ chế tổn thương cơ họcthứ phát sau khi ấu trùng di chuyển, tiết các sản phẩm tiết và cơ chế đáp ứng miễn dịch của vật chủ. Các chất bị ly giải chứa nhiều hợp chất khác nhau, trong đó có một chất giống như acetylcholine, một yếu tố có tính làm lan rộng ("spreading factor") với hyaluronidase - loại enzyme ly giải protein, điều này đã được làm rõ trong nhiều nghiên cứu khác nhau tại Nhật Bản vào những năm 1950. Các chất này cùng với cơ chế tổn thương cơ học, dẫn đến các vết xuất huyết đặc trưng có thể nhìn thấy trong mô dưới da ở các bệnh nhân hoặc thể tạng, nhất là thần kinh trung ương sau khi giải phẩu tử thi.
Các thể lâm sàng của bệnh giun đầu gai
Bệnh giun đầu gai ở da niêm mạc (Cutaneous Gnathostomiasis)
Giun đầu gai thể da niêm là một trong những đặc điểm lâm sàng hay gặp nhất của nhiễm giun này và được gọi với nhiều tên gọi theo địa phương khác nhau, như là Yangtze River's edema và Shanghai's rheumatism tại Trung Quốc, Tuao chid tại Nhật Bản vàviêm mô mỡ dưới da có di chuyển và sưng phồng kèm theo tăng bạch cầu ái toan (paniculitis nodular migratoria eosinofilica) tại châu mỹ La tinh. Bệnh đặc trưng với các hình ảnh sưng phồng di chuyển cách hồi (intermittent migratory swellings), thường ảnh hưởng ở vùng thân mình và chi trên. Sưng phồng phù và không tạo hầm khác nhau về kích thước và có thể kèm theo ngứa, đau và hồng ban. Chúng thường xảy ra trong vòng 3-4 tuần sau khi ăn phải ấu trùng, điển hình thì kéo dài 1-2 tuần và thường do một con ấu trùng gây ra, nhưng thỉnh thoảng nhiễm trùng 2 hoặc 3 ấu trùng khác nhau cũng tìm thấy trên một số ca bệnh. Vết sưng phồng do cơ chế tổn thương cơ học do ấu trùng và đáp ứng miễn dịch của vật chủ chống lại ký sinh trùng và các chất tiết của chúng sinh ra. Khi ấu trùng di chuyển dưới da, các mảng xuất huyết dạng vết có thể nhìn thấy dọc theo đường đi của chúng, đâu là đặc trưng (pathognomonic) của bệnh giun đầu gai và có thể giúp phan biệt nó với một số ấu trùng di chuyển khác, như sán nhái và giun lươn. Giai đoạn sưng phồng chậm và ít dữ dội cũng như thời gian hình thành ngắn hơn, nhưng các triệu chứng bệnh nhân không điều trị có thể tái phát từng hồi đến 10-12 năm. Mặt khác, đặc điểm lâm sàng của thể da niêm của giun đầu gai ít gặp hơn là hội chứng ban trườn (creeping eruption) và điều này dễ nhầm lẫn với tình trạng di chuyển ấu trùng trong da (cutaneous larva migrans), một loại abces da hay một nốt có xu hướng xảy ra khi ấu trùng di chuyển trong các mô nông hơn. Trong các trường hợp này ấu trùng có thể cắt bỏ. Sự lộ lên tự phát của ấu trùng từ mô dưới da cungx đã được mô tả. Nếu các tổn thương di chuyển là trên mặt, thì nguy cơ cho hệ thần kinh trung ương hoặc xâm nhập vào mắt sẽ nghiêm trọng.
Bệnh giun đầu gai ở phủ tạng (Visceral disease)
Ấu trùng Gnathostoma có tính di động và xâm nhập rất cao nên có thể gây ra nhiều triệu chứng ảnh hưởng lên bất kỳ cơ quan nào của cơ thể;
Trong các bệnh lý tạng, ngoại trừ não thì ấu trùng có thể tiếp tục gây ra các triệu chứng cách hồi cho đến khi chúng chết sau 12 năm nếu không điều trị.
- Đặc điểm nhiễm giun đầu gai ở phổi (Pulmonary manifestations):
Các triệu chứng ở phổi bị quy kết do quá trình nhiễm trùng giun Gnathostoma spp. gồm có ho, đau phổi màng phổi, ho ra máu, đông đặc phổi hoặc xẹp phổi, tràn dịch màng phổi và tràn khí tràn dịch màng phổi (pneumo- or hydropneumothorax). Trong một số trường hợp bệnh nhân khạc ấu trùng ra khỏi và sau đó đã mất triệu chứng;
Hầu hết các bênh nhân có kèm theo tăng bạch cầu ái toan, khoảng 30-72%, và khi tràn dịch màng phổi có mặt thì có tăng bạch cầu ái toan là tự nhiên. Do đó, một tam chứng gồm [tăng bạch cầu ái toan + dấu di chuyển sưng phồng dưới da + tràn dịch màng phổi có tăng bạch cầu ái toan không giải thích được nguyên nhân + kèm theo bệnh sử phơi nhiễm nguy cơ] thì khi đó nên cảnh báo các thầy thuốc chẩn đoán bệnh giun đầu gai.
- Đặc điểm nhiễm giun đầu gai ở hệ tiêu hóa (Gastrointestinal manifestations)
Đặc điểm của thể tiêu hóa là ít gặp hơn ở người nhưng khi có thì óc thể biểu hiện một tình trạng đau bụng cấp khi ấu trùng đi xuyên qua (sharp abdominal pains) gan và lách hoặc một khối mạn tính bên hố chậu phải. Ít gặp hơn, có thể là đau vùng hố chậu cấp (acute right iliac fossa pain) kèm theo sốt tương tự viêm ruột thừa cấp hoặc tắc ruột;
Ngoài ra, người ta cũng đã tìm thấy như một bằng chứng tình cờ (và không triệu chứng) khi phẩu thuật. Chụp X quang cho thấy dày thành ruột kèm theo hẹp vài đoạn ruột. Xét nghiệm mô học cho thấy các thương tổn khi phẩu thuật là các u hạt tăng bạch cầu ái toan, nhưng về mặt đại thể chúng tương tự như các khối tổn thương tân sinh, làm cho thầy thuốc quyết định phẩu thuật tiệt căn là không cần thiết. Điều này có thể tránh nhờ vào cân nhắc và chẩn đoán cẩn thận cho bệnh nhân, nhất là các bệnh nhân như thế.
- Đặc điểm nhiễm giun đầu gai ở gệ tiết niệu sinh dục (Genitourinary manifestations)
Liên quan đến hệ tiết niệu sinh dục là hiếm gặp, nhưng tiểu máu và đào thải ấu trùng vào trong nước tiểu đã có báo cáo trên y văn.
Các triệu chứng khác của giun đầu gai Gnathostoma spp. gồm có xuất huyết lan tỏa âm đạo, viêm vổ tử cung, viêm quy đầu hoặc viêm âm hộ, viêm phần phụ (adnexal) và thỉnh thoảng có xuất tinh ra máu.
- Đặc điểm nhiễm giun đầu gai ở mắt (Ocular manifestations):
Mắt là cơ quan duy nhất ấu trùng có thể nhìn thấy được khi chúng ký sinh bên trong đó và do đó nhiều báo cáo trên y văn liên quan đến mắt của giun đầu gai hơn là các cơ quan khác. Liên quan đến mắt dẫn đến các triệu chứng của viêm mống mắt, viêm màng mạch nho, xuất huyết nội nhãn, tăng nhãn áp, sẹo kết mạc và bong võng mạc.
Ấu trùng thường tìm thấy trong tiền phòng và có thể hồi phục nguyên vẹn sau khi chữa trị, nhưng có một vài báo cáo về liên quan đến dịch kính. Sự có mặt của tăng bạch cầu ái toan là ít có thể bệnh lý của mắt vì mắt là vị trí đặc lợi và thường nhẹ.
- Đặc điểm nhiễm giun đầu gai cơ quan thính giác (Auricular manifestations):
Nhiều báo cáo khác nhau có liên quan đến mô tả đặc điểm lâm sàng đa dạng ở cơ quan này, như các triệu chứng của viêm tai xương chủm, giảm thính lực do ảnh hưởng lên thần kinh thính giác và lồi ấu trùng ra khỏi ống thính giác, vùng gò má, vùng đỉnh lưỡi và màng nhĩ.
- Đặc điểm nhiễm giun đầu gai ở hệ thần kinh trung ương (CNS manifestations):
Mặc dù bệnh giun đầu gai đã được mô tả từ thế kỷ 19, song các liên quan đến hệ thần kinh trung ương chỉ được chứng minh vào nửa sau thế kỷ 20 với các bằng chứng trên bệnh phẩm mổ tử thi có hình ảnh của ấu trùng giun đầu gai trong tủy sống đoạn cổ của bệnh nhân viêm não tủy có tăng bạch cầu ái toan (eosinophilic encephalomyelitis) vào năm 1967. Trong những năm tiếp theo đó, ký sinh trùng này được tìm thấy trên bề mặt của bán cầu não và dính với đám rối mạng mạch của não thất bên trên 2 bệnh nhân bị viêm não màng não đã tử vong. Có một vài trường hợp báo cáo loạt ca bệnh trên hệ thần kinh trung ương, điều này làm tăng hiểu biết về sinh lý bệnh của giun này ở người. So sánh với các thể khác, thể thần kinh trung ương có tỷ lệ tử vong cao nhất, với số liệu báo cáo là 8 - 25% và 30% số ca sống sót có di chứng kéo dài (long-term sequelae). Tuy nhiên, các dữ liệu từ kỷ nguyên này trước khi sử dụng Albendazole và Ivermectin.
Đặc điểm chính của liên quan đến hệ thần kinh trung ương là một viêm tủy rễ thần kinh (radiculomyelitis), viêm não tủy rễ (radiculomyeloencephalitis), viêm màng não tăng bạch cầu ái toan, xuất huyết dưới nhện. Các triệu chứng vàng vào giai doạn cấp tính của đau rễ thần kinh dữ dội và/ hoặc nhức đầu (xuất huyết dưới nhện hoặc viêm màng não tăng bạch cầu ái toan), kèm theo sau đó là liệt các chi và/ hoặc liệt dây thần kinh sọ não. Hình ảnh lâm sàng điển hình có thể giải thích nhờ vào con đường di chuyển của ký sinh trùng, mà khi chúng đi vào tủy sống dọc theo rễ thần kinh (thần kinh sọ, cổ, ngực, thắt lưng), gây nên đau rễ thần kinh nghiêm trọng (hoặc nhức đầu trong trường hợp thần kinh sọ não hoặc rễ cổ bị liên quan) thường kéo dài từ 1 đến 5 ngày. Đau ban đầu này đặc trưng theo sau bởi một mức độ liệt là yếu à liệt hoàn toàn của 1 trong 4 chi (hay gặp nhất là liệt 2 chi đưới) vì ký sinh trùng có xu hướng đi lên tủy sống đến não bộ. Tích nước tiểu lại là viêm tủy rễ thần kinh và viêm não tủy rễ thần kinh (radiculomyeloencephalitis). Liệt các dây thần kinh sọ não có xu hướng xảy ra sau khi khởi đầu liệt và nếu quá nhiều thì tiên lượng rất xấu. Liên quan đến não thường chỉ ra bởi một tình trạng rối loạn ý thức hoặc hôn mê, nhưng điều thú vịlà lú lẫn tâm thần không có xảy ra.
Trong một số trường hợp triệu chứng ở hệ thần kinh khác có thể xảy ra, hoặc một triệu chứng hiện tại có thể tái xuất hiện sau khi một thời gian đã im lặng do di chuyển thêm của ấu trùng đến vị trí khác trong hệ thần kinh trung ương. Điều này thường xảy ra nhất trong vòng 2 tuần đâì tiên khởi bệnh với các khiếm khuyết thần kinh nhưng có thể tìm thấy sớm vào giờ thứ 6 hoặc muộn vào thời điểm 1 tháng.
Tính bệnh trong hệ thần kinh trung ương được xem là cơ chế xảy ra tương tự như bất kỳ nơi đâu trong cơ thể, với các thương tổn cơ học trực tiếp gây ra hầu khắp các tổn thương do xé hoặc phá hủy cấu trúc của mô thần kinh cũng như cầu trúc mạch của chúng, hoặc phản ứng viêm và phá hủy mô do cơ chế sinh độc tố. Dấu chứng nổi bật của bệnh giun đầu gai là các đường xuất huyết, đã có nhiều báo cáo trình bày là hiện diện xuất huyết trong tủy sống và mô não sau khi giải phẩu tử thi đã phát hiện. Tử vong xảy ra nếu cấu trúc cơ quan sống trong tế bào não bị giun đầu gai xâm nhập, điều này có thể xảy ra trong vòng 4-31 ngày sau khi khởi đầu triệu chứng của hệ thần kinh trung ương, hoặc nếu ấu trùng “đào hầm” qua các tiểu động mạch não (cerebral arteriole), dẫn đến hậu quả xuất huyết dưới nhện tụ khối (massive subarachnoid hemorrhage). Tại Thái Lan, 6% số ca xuất huyết dưới màng nhện ở người lớn và 18% số ca xuất huyết ở trẻ em là do giun đầu gai.
Những chẩn đoán phân biệt chính của bệnh lý thần kinh do giun đầu gai Gnathostoma là nhiễm trùng loại giun mạch Angiostrongylus catonensis, một loại ký sinh trùng có tỷ lệ mắc cao tại các quốc gia Đông Nam Á. Vấn đề này gây ra một bệnh lý viêm não màng não tăng bạch cầu ái toan, nhưng đau rễ thần kinh cấp, dấu chứng chèn ép tủy thần kinh, xuất huyết hoặc nhiễm sắc vàng trong dịch não tủy (xanthochromic spinal fluid) trên những ca giun đầu gai chứ không có nhiễm Angiostrongylus. Ấu trùng giun đầu gai có khả năng xâm nhập cao hơn loại giun Angiostrongylus, cho nên chúng thường sinh ra các triệu chứng trên hệ thần kinh tại chỗ (focal neurological signs). Ngược lại, ấu trùng giun Angiostrongylus có kích thước nhỏ hơn (120µm x 12mm) và thường nhân lên và gây ra viêm não màng não và mặc dù có hướng thần kinh nhưng hiếm khi gây tử vong.
Báo cáo ca bệnh số 1:
Giới thiệu
Bệnh giun đầu gai (Gnathostomiasis) là một bệnh ký sinh trùng gây ra bởi loài giun tròn có tên Gnathostoma sp., đặc trưng lâm sàng bởi các hình thái hội chứng ban trườn (creeping eruptions) và/ hoặc ban đỏ di chuyển (migrating erythemas) liên quan đến các phù da cục bộ. Bệnh nhiễm do ăn sống hoặc các thực phẩm nấu chưa chín. Bệnh lưu hành ở các quốc gia châu Á như Thái Lan, Nhật Bản - nơi mà có thói quen ăn sống các cá tươi. Các quốc gia Trung Mỹ đã báo cáo một số ca bệnh quan trọng do thói quen ăn các món gọi là “ceviche”, gồm các cá biển còn sống. Giai đoạn ấu trùng của Gnathostoma sp. Có thể gây bệnh ngoiaf da niêm hoặc có thể lan đến các cơ quan khác và gây bệnh hệ thống hoặc toàn thân như mắt, phổi và hệ thần kinh trung ương. Trong báo cáo này trình bày một ca bệnh đã có tiền sử du lịch đến Peru - nơi mà anh ta đã ăn món “ceviche” và hai tuần sau đó biểu hiện lâm sàng tương thích bệnh Gnathostomiasis. Tại Brazil, từ lâu chưa có một hồ ớ bênh án báo cáo nào về căn bệnh này đến hệ thống ANVISA (National Healthcare Agency) đến tháng 3.2008. Báo cáo ca bênh này do nhóm tác giả Christiane Maria de Castro Dani, Karina Frias Mota; Paola Vizcaichipi Sanchotene; Juan Piñeiro Maceira; Cláudia Pires Amaral Maia đang công tác tại khoa da liễu, khoa bệnh học, Brazilian Dermatology Society, Rio de Janeiro, Brazil và Chương trình bệnh Chagas tại Rio de Janeiro, Brazil.
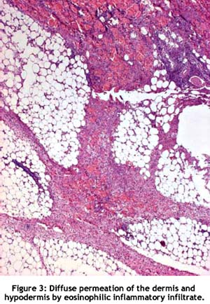
Một nam thanh niên 24 tuổi có các thương tổn là phù và ban đỏ trên da kèm theo ngứa (erythematous-edematous skin lesion with pruritus), với 2 tuần biểu hiện tiến triển trong vùng dưới rốn và sau đó lan sang bên phải của vùng bụng (xem hình). Anh ta khai bệnh có đi du lịch đến Peru và ở đó anh đã ăn món “ceviche” trong 3 tuần trước khi xuất hiện triệu chứng. Các xét nghiệm la bô cho biết có tỷ lệ 17% eosinophil (1.530/mm3). Xét nghiệm mô học của thương tổn cho hình ảnh viêm mô tế bào tăng bạch càu ái toan (eosinophilic cellulites) ở hình bên dưới, có liên quan đến hủy hoại tế bào từng ổ giống như hình ảnh vết bỏng, tương ứng với giả thiết chẩn đoán ban đầu. Không tìm thấy ấu trùng trong mô đã sinh thiết ra. Dựa vào các tình trạng lâm sàng và thông tin về dịch tễ học của bệnh nhân, kèm theo các xét nghiệm về cận lâm sàng tương thích với chẩn đoán là giun đầu gai. Bệnh nhân được điều trị bằng hai đợt thuốc, liều200 mcg/kg Ivermectin, liệu trình cách quãng là 7 ngày. Bệnh nhân xuất hiện thêm các hình ảnh của ban trườn mới, nôn và không có giói hạn (hình) và tiếp đó anh ta được kê đơn thêm Albendazole 800mg trong 21 ngày, liệu trình này giải quyết triệu chứng hoàn toàn tổn thương và bạch cầu ái toan trở về trị số bình thường (320/ mm3 tương đương 5%). Xét nghiệm huyết thanh học được thực hiện với mẫu bệnh phẩm sau ddieuf trị một tháng, và các mẫu huyết thanh khác được xét nghiệm với các kháng nguyên khác nhau. Chỉ có các dải band (34-35 Kda) của 4 peptide sinh miễn dịch là dương tính với ấu trùng thứ 3 của Gnathostoma binucleatum thông qua xét nghiệm Western blot. Xét nghiệm ELISA với kháng nguyên thân (somatic antigen) với giai đoạn ấu trùng Gnathostoma binucleatum, giun trưởng thành Gnathostoma doloresi và giun trưởng thành Gnathostoma turgidum đều âm tính với mật độ quang <0.5.
Một số bàn luận
Bệnh giun đầu gai do mắc phải từ ăn trúng các thức ăn như cá, tôm hùm, ếch, cua, gà nấu chưa chín hoặc còn sống có nhiễm ấu trùng giai đoạn ba của giun tròn Gnathostoma sp. Khoảng 12 loài giun dầu gai đã được xác định từ lâu. 8 G. spinigerum từ lâu nay đã được xem là tác nhân gây nhiễm chính ở người; tuy nhiên, các loài mới như G. hispidum, G. doloresi, G. nipponicum và G. binucleatum cũng thường được phát hiện.
Vật chủ chính của ký sinh trùng là chó, mèo, sư tử, trong đó thể trưởng thành sống cuộn lại dạng cấu trúc giống như các khối u trong thành dạ dày. Trứng của giun đẻ ra trong đường tiêu hóa và đào thải ra theo phân. Sau 1 tuần, trứng ly giải ấu trùng, gây nhiễm lên các loài nhuyễn thể nhỏ thuộc giống Cyclops, và rồi các con này được ăn bởi cá, có, ếch, chim và tiếp đó gây nhiễm cho người. Trong trường hợ này, ấu trùng xuyên qua đường tiêu hóa vào trong dòng máu sau 3-4 tuần, và sau đó có thể di chuyển đến nhiều ocw quan khác nhau nữa.
Trong điều kiện ở da là hình thái lâm sàng đặc trưng bởi một hình ảnh phù di chuyển (migrating edema) giống như hình ảnh rắn bò và kèm theo ngứa, biểu hiện cho tình trạng di chuyển của ấu trùng. Vị trí di chuyển của nó thường là da nhưng có thể di chuyển đến các cơ quan và hệ thống khác nhau trong cơ thể như mắt, phổi, hệ thần kinh trung ương. Tại Thái Lan, bệnh giun đầu gai là một trong những nguyên nhân dẫn đầu của các thương tổn xuất huyết dưới nhện (subarachnoid hemorrhage), chiếm đến 6% số ca ở người lớn. Nhiễm trùng Gnathostoma spp được chẩn đoán thông qua các thương tổn da điển hình, liên quan đến tăng bạch cầu ái toan ngoai vi tăng, kèm theo xét nghiệm mô học có thâm nhiễm bạch cầu ái toan vùng bì và hạ bì, và ký sinh trùng có thể hoặc không tìm thấy. Trong y văn, ấu trùng được xác định trong 23-34% số mẫu bệnh phẩm sinh thiết da.
Trong ca bệnh báo cáo ở đây, chẩn đoán dựa trên các thông tin về dịch tễ học, lâm sàng tương ứng, đáp ứng điều trị nhanh chóng, tăng chỉ số eosin trong máu ngoại vi có ý nghĩa, và xét nghiệm mô học cho thấy phản ứng viêm ở vùng bì và hạ bì, kèm theo thâm nhiễm bạch cầu ái toan (90%). Sự nổi trội của phản ứng viêm thâm nhiễm vùng bì chỉ là những khía cạnh liên quan đến ấu trùng di chuyển và là bằng chứng duy nhất của cả này so sánh với những ca bệnh khác đã được báo cáo trước đây, những ca trước thường nằm ở vị trí sâu hơn và vùng hạ bì là chủ yếu. Không thấy thương tổn vùng thượng bì, do vậy loại trừ khả năng chẩn đoán hội chứng ấu trùng di chuyển do giun móc Ancylostoma braziliensis.
Phát hiện kháng thể qua chẩn đoán huyết thanh (ELISA và Western blot) đã được dùng để chẩn đoán và điều tra dịch tễ hoc tại Thái Lan và Nhật Bản. Tại Brazil các xét nghiệm này không sẵn có. Do đó, các phân tích về huyết thanh học được làm tại Mexico, với kết quả huyết thanh giảm xuống sau 1 tháng điều trị. ELISA và Western Blott được dùng để phát hiện các kháng thể chống lại ký sinh trùng, đầu tiên âm tính và lần thứ 2 lại dương tính đối với 1 trong 4 khoáng nguyên. Tương tự như vậy, các báo cáo về thử nghiệm huyết thanh chẩn đoán âm tính dù ấu trùng có tìm thấy trong các xét nghiệm mô bệnh học. Theo các tác giả ở trên, khả năng lượng ấu trùng không đủ và thời gian tiến triển của bệnh không đủ sinh ra đáp ứng miễn dịch.
Ca bệnh ở đây, kết quả huyết thanh âm tính do đáp ứng miễn dịch thay đổi có thể sau khi điều trị. Điều này đã được đề cập rằng trong các mẫu huyết thanh bệnh nhân đã giảm đi sau 30 ngày và ở thời điểm cuối điều trị, nhwung các xét nghiệm huyết thanh được làm 8 tuần sau đó và vì khó khăn chuyển mẫu ra nước ngoài.
Thuốc lựa chọn điều trị là Albendazole liều 400 - 800mg/ngày trong vòng 21 ngày với tỷ lệ chữa khỏi là 93.9% và 94.1%. Các nghiên cứu cũng đã chỉ ra liều duy nhất của Ivermectin cũng có hiệu quả; tuy nhiên, thuốc có tỷ lệ tái phát cao. Điều trị với liệu trình như thế tương đối đơn giản, mặc dù chữa khỏi của nó thường đòi hỏi liều cao hơn so với bình thường. Có nhiều báo cáo sau khi bắt đầu điều trị bằng thuốc chống ký sinh trùng, ấu trùng có thể di chuyển đến phần nông của da, điều này giải thích cho sự xuất hiện các thương tổn mới sau khi dùng liều đợt một của Ivermectin như trong ca bệnh trình bày ở đây.
Sự hợp nhất của thói quen ăn sống hoặc tái các thức ăn theo tập quán và văn hóa tại nhiều quốc gia như ở Brazil và trào lưu du lịch đến các nơi trên thế giới đã gây nên nhiều bệnh lý nhiễm trùng ít được biết đến, trong dó có ký sinh trùng,như bệnh giun đầu gai đã xảy ra tại các vùng lưu hành, do đó việc cần thiết phải truyền thông giáo dục sức khỏe cho quần thể, cộng đồng về kiến thức phòng bệnh này.
Báo cáo ca bệnh thứ 2:
Gnathostoma, trước tiên đó là một loại ký sinh tùng ở động vật có thể nhiễm sang người bởi giai đoạn ba của ấu trùng trong quá trình ăn uống các thực phẩm sống hoặc nấu chưa chín như cám gia cầm và heo. Tại Bangladesh bệnh Gnathostomiasis là gặp rất hiếm. Ca bệnh đầu tiên là nhiễm trùng ở mắt do Gnathostoma được báo cáo năm 2001 từ Rangpur - một quận ở phía bắc của Bangladesh. Ca bệnh này là ca thứ hai nhiễm Gnathostoma cũng nhiễm trên mắt, xảy ra ở vùng khác lớn hơn. Bệnh nhân là một phụ nữ 32 tuổi sống ở phía bắc, Nilphamari có nhiễm với một số loài Gnathostoma, đặc điểm là xuất hiện các ấu trùng còn sống gần bờ bên phải của mống mắt bên (P) của bệnh nhân. Ấu trùng bị loại khỏi nhờ vào phẩu thuật và bệnh nhân hết triệu chứng.
Hai ca bệnh dưới đây do nhóm tác giả Bangladesh là Md. Mujibur Rahman, giáo sư vi trùng học - đại học y khoa Rangpur và Md. Rashedul Moula, đang công tác tại khoa mắt của cùng đại học y khoa Rangpur tổng hợp và đăng tải trên tạp chí Mymensingh Medical Journal. Hai hình ảnh ở trên là của Gnathostoma sipinigerum trong tiền phòng của mắt bên (P) chụp dưới kính hiển vi
Báo cáo ca bệnh 3:
Một phụ nữ 32 tuổi ở tỉnh Nilphamari, một vùng phía bắc của Bangladesh biểu hiện đau nhẹ và đôi khi nhìn mờ kèm theo đỏ mắt (P) đã 6 tháng nay. Trong giai đoạn này, cô ta đã điều trị triệu chứng bằng kháng sinh thuốc nhỏ mắt và thuốc giảm đau qua một thầy thuốc địa phương.
Thất bại với liệu pháp điều trịnày, cô ta đã tìm đến các thầy thuốc nhãn khoa, khi đó mắt của cô ta sưng phồng nhẹ. Soi đèn nhìn thấy một con giun di động trong mắt (P). Giun này có chiều dài khoảng 8-9 mm, một đàu được cố định trên góc mắt bên phải của mống mắt. Giả sử rằng con giuntrồi ra tại vị trí này, đuôi khác sẽ di chuyển đến và trước tiền phòng của mắt. Từ kinh nghiệm trong ca giun đầu gai đầu tiên, giun đã được xử lý.
Giun được loại bỏ và thu thập vào trong lọ chứa nước muối sinh lý. Giun đưa đi xét nghiệm dưới kính hiển vi. Hình ảnh giun hiện rõ hình trụ, dài 7mm có một chóp lồi ra khỏi bề mặt cơ thể giun. Đầu giun và toàn bộ hình thể của giun cho thấy đây là một hình ảnh ấu trùng của loài giun đầu gan Gnathostoma. Đầu hình thùy, tách riêng khỏi cơ thể bởi một vòng cổ hơi lõm. Đầu có bốn hàng gai. Số lượng chóp lồi trong mỗi hàng trung bình là 40 - 45. Miệng mở ra về phía trung tâm của vòng trước. hình thể tương tự ca ban đầu và xác định là Gnathostoma spinigerum. Sau đó lấy giun ra khỏi bệnh nhân và chữa khỏi hoàn toàn sau 2 tuần.
Sự xuất hiện của bệnh giun đầu gai rất hiếm thấy ở Bangladesh và đây là ca thứ hai đối với chúng tôi. Tuy nhiên, có thể có nhiều ca nhưng chưa được chẩn đoán và phát hiện do thiếu kiến thức về bệnh cũng như về hình thái học. Ăn những thức ăn như cá, thịt heo, thịt gia cầm nấu chưa chín là một hình thức dễ lây nhiễm. Bệnh nhân không có tiền sử ăn các thức ăn đó nhưng ăn trứng chỉ luộc hồng đào (half-boiled egg). Các ca hiếm cho thấy giai đoạn 3 của ấu trùng có thể đi xuyên qua da của vật chủ theo cơ chế cơ học. Tuy nhiên, hình thức nhiễm trong ca này vẫn chưa thể xác định là gì?
Gnathostoma spinigerum là loài giun đầu gai được hiểu biết khá rõ trong 4 loài giun đầu gai đã gây nhiễm cho người. Vật chủ xác định hay vật chủ chính của nó chính là chó, mèo, hổ, sư tử. Các động vật này là chứa các giun trưởng thành trong thành dạ dày và đẻ trứng ra theo phân. Cyclops trong nước ngọt sẽ ăn trứng và nở ra ấu trùng rồi phát triển thành ấu trùng giai đoạn 3 sơm. Cyclops bị ăn vào bởi các con cá (vật chủ trung gian thứ 2) hoặc trực tiếp bởi vật chủ chính. Nhiều loài vật gồm cá, chim, động vật có vú đóng vai trò như vật chủ trung gian thứ 2 của giun Gnathostoma. Lượng giun đóng trong thành dạ dày của các vật chủ chính; trong vật chủ trung gian thứ hai (cá, gia cầm) và người, chúngGiun sẽ ẩn cư trong thành dạ dày của vật chủ chính; trong các vật chủ trung gian thứ 2 (cá và các gia cầm) và người thì chúng ở trong các mô khác nhau và không thể phát triển thành thể trưởng thành. Người có thể nhiễm ấu trùng do ăn phải các vật chủ chính (không thường xuyên hay không phổ biến), các vật chủ trung gian thứ 2 hoặc vật chủ trung gian thứ nhất. Vì người là vật chủ đóng vai trò như là ngõ cụt của giun ("dead-end-hosts"), nên ấu trùng không thể trưởng thành đến giai đoạn trưởng thành, do đó chúng di chuyển khắp cơ thể và có thể sống sót đến 10 năm và đóng kén trong các mô.
Những người nhiễm bệnh giun đầu gai có thể hình thành triệu chứng sớm 24 giờ sau khi nuots phải giun (?). các triệu chứng nói chung bao gồm suy nhược, sốt, mày đay, nôn mửa, tiêu chảy và đau thượng vị. Các ca giun đầu gaiđã được ghi nhận trên một số cơ quan trong cơ thể như phổi, mắt, mặt, đường tiết niệu, đường tiêu hóa, tính giác và hệ thần kinh trung ương. Giun đầu gai thể da niêm thường được chẩn đoán bởi sự hiện diện hình thái lâm sàng phù di chuyển hay hội chứng ban trườn. Phù, sưng phồng tại chỗ và abces da là các chỉ điểm thường gặp.
Bệnh giun đầu gai phủ tạng có thể có nhiều hình thái khác nhau và ký sinh trùng có thể tìm thấy trong mắt (intraocular), đường tiêu hóa, phổi, mũi, tai, hệ thần kinh trung ương. Các nốt di chuyển dưới da là hình ảnh lâm sàng hay gặp đối với bệnh giun đầu thai thể tạng (visceral gnathostomiasis). Sự có mặt của giun trong hệ thần kinh trung ương và trong mắt là rất nghiêm trọng. Xuất huyết dưới nhện, nhiều hình thái viêm não và não úng thủy, có liên quan với bệnh giun đầu gai thể thần kinh. Mặc dù người ta đã hiểu làm thế nào giun đầu gai có thể đi vào trong mắt, họ có thể biết để phá hủy tuyến của võng mạc, dẫn đến mù không hồi phục.
Trình bày lâm sàng là chìa khóa đầu tiên để nhận định giun đầu gai. Phù di chuyển (migratory oedema) hoặc ban trườn (creeping eruption) là các dấu hiệu có thể nhìn thấy ký sinh trùng di chuyển. Tiền sử tiêu hóa liên quan đến các thức ăn hoặc đi du lịch đến các vùng lưu hành có thể cung cấp cho nhiều thông tin quan trọng. Mọt loạt xét nghiệm huyết thanh chẩn đoán như phản ưng ngưng kết, phát hiện kháng thể huỳnh quang gián tiếp, ngưng kết gián tiếp và ELISA đã được dùng để phát hiện kháng thể chống lại ký sinh trùng này.
Albendazole, Mebendazole và Ivermectin đã chỉ ra có hiệu quả chống lại giun đầu gai nhưng điều trị lựa chọn thường phải dùng phẩu thuật loại bỏ ký sinh trùng ra khỏi mắt. Khuyến cáo liều người lớn cho Albendazole là 400mg x 2 lần mỗi ngày x 21 ngày đối với bệnh giun đầu gai khi mà không thể phẩu thuật gắp bỏ giun ra khỏi thương tổn.
Báo cáo ca bệnh thứ 4:
Ca bệnh giun đầu gai ở màng phổi từ bệnh nhân ở Israel. Đăng trên tạp chí Isr. J. Med. Sci. do nhóm tác giả Nagler A, Pollack S, Hassoun G, Kerner H, Barzilai D, Lengy J ghi nhận và báo cáo.Ca bệnh này có biểu hiện tràn dịch màng phổi hai bên và có liên quan đến màng ngoài tim. Chẩn đoán thiết lập dựa trên quốc gia bệnh nhân đã đến - Nepal. Quá trình điều trị, bạch cầu ái toan tăng đáng kể và định loại Gnathostoma trong sinh thiết da ở vùng ngực. Bệnh nhân đáp ứng tốt với điều trị bằng diethylcarbamazine (Hetrazan). Ca bệnh này là duy nhất và được trình bày ở Israel.
Từ lâu chúng ta đã biết, ngoại trừ 2 ca này nhiễm trùng trên mắt, thì chưa có ca nào được báo cáo tại Bangladesh. Dễ dàng hơn để tìm bất kỳ ký sinh trùng nào khi nó ở trong cơ quan sâu trong mắt hơn là các bộ phận nào khác trong cơ thể như gan, thận, cơ, dưới da, não và vùng khác. Khi nghiên cứu chỉ ra rằng hầu hết đặc điểm lâm sàng của gin đầu gai là ở da. Nhưng từ lâu, không chỉ ca đơn thuần thương tổn da hoặc loại khác đã được báo cáo tại Bangladesh. Điều đó không có nghĩa là loại trừ nhiễm trùng thể mắt. Điều này có thể do thiếu chẩn đoán phù hợp do bỏ qua về giun tròn. Vì thế bài viết này tạo ra kiến thức và hiểu biết cho các nhân viên y tế về ký sinh trùng vàchẩn đoán nhiễm trùng sớm hơn và do vậy tránh các biến chứng nghiêm trọng do liên quan đến một số cơ quan khác như thần kinh trung ương, mắt, cơ quan thính giác do ký sinh trùng gây nên.
Báo cáo ca bệnh thứ 5:
Đây là một ca bệnh lâm sàng có tổng hợp y văn tiếng Anh (English-language literature) do tác giả Rusnak JM, Lucey DR và cộng sự đang công tác tại khoa bệnh truyền nhiễm, Trung tâm y khoa Wilford Hall, Lackland Air Force Base, Texas 78236-5300 báo cáo và đăng tải trên y văn.
Giun đầu gai ở người thường báo cáo là do loại giun tròn có tên giun đầu gai và loài hay gặp nhất là Gnathostoma spinigerum. Bệnh này lưu hành ở Đông Nam Á, đặc biệt tại Thái Lan và Nhật Bản. Đặc điểm lâm sàng hay gặp là các thương tổn tại chỗ, tái hồi từng đợt, các dấu ấu trùng di chuyển sưng phồng trên da và mô dưới da, thương liên quan đến đau tại chỗ, ngứa và ban đỏ (erythema). Vì giun này có thể di chuyển đến các mô ở sâu hơn, bất kỳ hệ thống cơ quan nào cũng có thể liên quan và bị ảnh hưởng. Đặc trưng, các bệnh nhân bị giun đầu gai có gia tăng tỷ lệ bạch cầu ái toan trong máu ngoại vi nhẹ đến nặng, nhưng giá trị này hiếm khi vượt 50% trong tổng số bạch cầu chung. Di dân và du lịch hiện nay là trào lưu trong bối cảnh hiện đại, nhiều ca bệnh giun đầu gai được phát hiện và chẩn đoán ngày càng tăng tại Mỹ. Tuy nhiên, vì tính hiếm gặp tại quốc gia này, nên giun đầu gai thường không được đẻ ý và đưa vào diện chẩn đoán phân biệt ngay từ đầu của các thầy thuốc mặc dù đặc điểm di chuyển từng hồi và sưng phồng là có, tiền sử đi du liochj đến Đông Nam Á và tăng bạch cầu ái toan. Ca bệnh ở đây là giun đầu gai thể da niêm được báo cáo tại Mỹ.
Báo cáo ca bệnh thứ 6:
Một ca bệnh nhiễm giun đầu gai ở mắt (Ocular gnathostomiasis) phát hiện và điều trị tại phía Tây bắc của Mexico do nhóm tác giả Baquera-Heredia J, Cruz-Reyes A, Flores-Gaxiola A, López-Pulido G, Díaz-Simental E, Valderrama-Valenzuela L đang công tác tại Labo ký sinh trùng, Trung tâm y khoa American British Cowdray, Mexico báo cáo.
Một phụ nữ 42 tuổi đến từ Culiaca ở bang Sinaloa của Mexico cho biết có tiền sử và bệnh sử là thường xuyên xuất hiện các vết di chuyển, sưng phồng và đau kèm theo ngứa trên da mặt (four-year history of migratory, pruritic, painful swellings of the face) đã 4 năm qua. Phù mí mắt kèm theo ban đỏ kết mạc hình thành khi các tổn thương phát triển gần mắt. Khám mắt theo thường quy cho thấy một con giun di động trong tiền phòng. Sau đó, tiến hành phẩu thuật gắp bỏ giun, ký sinh trùng được gởi đi định danh dưới kính hiển vi điện tử là giai đoạn ba của ấu trùng Gnathostoma spp. Tỷ lệ nhiễm giun đầu gai này có thể gia tăng tại các vùng có thói quen ăn sống các loại cá nước ngọt như một tập quán ("cebiche").
Báo cáo ca bệnh thứ 7:
Nhóm tác giả gồm Biswas J, Gopal L, Sharma T, Badrinath SS (2009) đang công tác tại khoa mắt bệnh học của Medical Research Foundation, Madras, India, báo cáo một ca bệnh giun đầu gai loại Gnathostoma spinigerum chui vào trong mắt thông qua nghiên cứu sâu về bệnh học lâm sàng (clinicopathologic study) của hai ca bệnh và có tổng hợp y văn.
Giun tròn còn sóng nằm trong mắt là hiếm gặp trên lâm sàng và hầu như các báo cáo về ca bệnh chỉ tập trung ở các quốc gia Đông Nam Á. Phần lớn các giun tròn bắt gặp trong mắt còn sống là loại giun chỉ, Gnathostoma, Angiostrongylus. Khoảng 12 trường hợp giun đầu gai ở mắt (intraocular gnathostomiasis) đã được báo cáo trong y văn. Hai ca này cũng là giun đầu gai ở mắt, loại bỏ nhờ vào phẩu thuật tinh thể (vitrectomy) trong ca đầu tiên và nhờ vào chọc ca thứ hai. Nghiên cứu hình thái học của ký sinh trùng được tiến hành dưới kính hiển vi có cắt lớp (dissecting microscope) và cố định trong chất Karnovosky's fixative. Kính hiển vi dùng ánh sáng thường và kính hiển vi quét cũng được ứng dụng vào.
Bệnh nhân đầu tiên có viêm mạch màng nho trước (anterior uveitis), có nhiều lỗ ở móng mắt và có hình ảnh sương mù ở dịch kính kèm theo tăng sinh sợi qua quan sát đĩa thị. Để giải quyết vết mờ sương ở dịch kính, một con giun được nhìn thấy trong khoang dịch kính. Bệnh nhân thứ hai có viêm màng mạch nho trước kèm theo tăng nhãn áp thứ phát, nhiều lỗ ở mống mắt, viêm dịch kính nhẹ và xuất huyết dưới võng mạc khu trú dạng vết. 4 ngày sau đó, một con giun sống được nhìn thấy trong tiền phòng và được gắp bỏ. Nghiên cứu vi thể ký sinh trùng của cả hai bệnh nhân cho hình ảnh giun đầu gai rõ rệt. Và các đặc điểm tổn thương trên lam sàng đối với mắt, móng mắt, võng mạc, màng mạch nho, xuất huyết,…đặc trưng cho giun đâu gai đã rõ và chẩn đoán cuối cùng của ca bệnh này chính là thể bệnh giun đầu gai ở mắt.
Báo cáo ca bệnh thứ 8:
Nhóm tác giả gồm Philippe Parola, Gerard Bordmann, Philippe Brouqui và Jean Delmont đang làm việc tại bệnh viện Nord, Marseille, Pháp và Viện Nghiên cứu bệnh nhiệt đới Swiss Tropical Institute, Basel, Thụy Sĩ đồng nghiên cứu và báo cáo ca bệnh tràn dịch màng phổi có tăng bạch cầu eosin do giun đầu gai.
Vào tháng 4.2003, một người đàn ông tuổi 66 sống tại Marseille có tiền sử sốt 8 ngày qua, ông ta sang Việt Nam trước đó 1 tháng và ở đó 4 tuần tại Thành phố Hồ Chí Minh và 2 ngày tại vùng đồng bằng sông Mekong. Sức khỏe hoàn toàn khỏe mạnh trong suốt chuyến du lịch, không bị vét đốt côn trùng, ngoại trừ muỗi. Anh ta không hề tiếp xúc da với nước sông. Chế độ ăn uống trong thời gian du lịch gồm các món cơm, cá, thịt heo, tôm, gà. Triệu chứng của anh ta bắt đầu sau 3 tuần kể từ khi ông ta quay trở về Marseille và có sốt 380C, suy nhược, run lạnh (1 ngày), khó thở nhẹ khi tập thể dục, đau hai bên tinh hoàn thoáng qua và có một lần xuất tinh có máu. Bệnh nhân được đưa đến bác sĩ gia đình và chuyển đến Đơn vị bệnh nhiệt đới và truyền nhiễm, bệnh viện North.
Khi nhập viện, thân nhiệt của bệnh nhân là 380C. Khám thực thể bệnh nhân, kiểm tra tinh hoàn là bình thường, ngoại trừ có tiếng thổi tâm thu (trước đó bênh nhân đã có) và các triệu chứng lâm sàng tràn dịch màng phổi bên (T). Tràn dịch này được xác định trên phim chụp X quang cũng coh thấy hình ảnh thâm nhiễm phổi hai bên lan tỏa. Kết quả xét nghiệm thường quy cho mẫu máu đều trong khoảng bình thường, ngoại trừ chỉ số bạch cầu ái toan tăng cao 5.2 [10.sup.9]/L. xét nghiệm lam máu tìm ký sinh trùng sốt rét và giun chỉ dều âm tính. Thăm khám xét thận tiết niệu, bao gồm siêu âm và làm PSA tiền liệt tuyến cho thấy không có bất thường chỉ có u tuyến ở tuyến tiền liệt. Không phát hiện trứng hay ký sinh trùng qua xét nghiệm phân hoặc nước tiểu, mặc dù đã làm phương pháp cặn lắng và ly tâm nước tiểu. Sau khi chọc hút dịch màng phổi (transthoracic aspiration) lấy 100ml dịch xét nghiệm tế bào có số bạch cầu ái toan tăng cao (5.800/L) không kèm theo ký sinh trùng. Cấy dịch tìm vi khuẩn, cả mycobacterium đều âm tính. Vào ngày thứ 4, bệnh nhân hết sốt và ra viện.
Lúc nhập viện lại, kết quả bộ chẩn đoán huyết thanh với sán máng, sán lá phổi, giun lươn, ấu trùng sán dây lợn, giun xoắn, giun đầu gai, giun chỉ, giun đũa chó mèo đều âm tính lần đầu. Một tháng sau, đếm bạch cầu ái toan giảm xuống 1.8 x [10.sup.9]/L. Bệnh nhân hết sốt, chỉ phàn nàn hơi mệt mỏi. Xét nghiệm huyết thanh chẩn đoán lần 2 tiến hành. Thử nghiệm Western blot đối với giun đầu gai tại Viện Nhiệt đới Thụy sĩ. Thì dương tính, cho thấy phản ứng với IgG tạo 4 dải band gồm có band 24-kDa. Cân nhắc chẩn đoán ban đầu trên bệnh nhân này là giun đầu gai gây biến chứng ở phổi. Sự chuyển đổi huyết thanh đươc chẩn đoán qua xét nghiệm giun đầu gai. Tất cả test huyết thanh vẫn âm tính, ngoại trừ tăng hiệu giá kháng thể chống lại Acanthocheilonema vitae dùng kháng nguyên không đặc hiệu sàng lọc giun chỉ (Laboratoire Marcel Merieux, Lyon, France). Sau 21 ngày điều trị bằng Albendazole và liều duy nhất Ivermectin, chỉ số bạch cầu ái toan giảm còn 0.8 x [10.sup.9]/L.
Về mặt chẩn đoán, ba khía cạnh giun đầu gai như là một bệnh đang nổi do nhập khẩu (“Emerging imported disease”) có thể bổ sung về phần xét nghiệm bởi tác giả Moore và cộng sự. Trước hết, các dấu hiệu lâm sàng trong ca bệnh này rất khác thường. Xuất tinh có máu thường gây ra chủ yếu do bệnh lý bàng quang hoặc tuyến tiền liệt. Nhiễm trùng, bao gồm chủ yếu là là lao và sán máng sẽ có liên quan đến 2 triệu chứng này. Mặc dù bệnh nhân này có u tuyến tiền liệt, song đây là lần đầu tiên xuất tinh có ra máu, có liên quan đến bệnh lý giun đầu gai. Vì lo lắng với triêu chứng xuất tinh có máu nên đây là triệu chứng chính khiến cho bệnh nhân đi khám ở trung tâm y khoa này. Thứ hai, tràn dịch màng phổi có bạch cầu ái toan tăng cao cũng là nguyên nhân không phải hay gặp trên bệnh nhân nhiễm giun đầu gai. Mặc dù đã được báo cáo như nguyên nhân tiềm tàng trong y văn về biến chứng phủ tạng của giun đầu gai (Medline_ gnathostomiasis and eosinophilia and pleural effusion or pleuritis or lung), khi đó chẩn đoán quyết định là tràn dịch màng phổi do giun đầu gai.
Phản ứng phổi và màng phổi tăng bạch cầu ái toan có thể gợi ra do ấu trùng giun sán và làm máu đi vào các khoang cũng như phổi và màng phổi trong các trường hợp lạc chỗ. Quan điểm này cũng được tác giả Moore nhấn mạnh, bệnh nhân trở về từ vùng lưu hành bệnh, chủ yếu là các quốc gia Đông Nam Á, Trung và Nam Mỹ, do đó nên kiểm tra một cách hệ thống đối với bệnh giun đầu gai. Dù một số bệnh nhân chỉ ra hình ảnh lâm sàng điển hình ở da của bệnh giun đầu gai liên quan có tăng bạch cầu ái toan, hầu hết thể không điển hình có thể bỏ soát không chẩn đoán (under-diagnosed) và liên quan đến thần kinh nghiêm trọng nếu không được điều trị kịp thời. Tuy nhiên, mãi cho đến gần đây các test huyết thanh chẩn đoán đặc hiệu cho bệnh giun đầu gai sẵn có ở các quốc gia châu Á, chủ yếu ở Thái Lan và Nhật Bản. Một số la bô tại châu Âu gần đây cũng đã cung cấp test chẩn đoán bệnh giun đầu gai, điều này sẽ rất có giá trị trợ giúp bệnh nhân trong việc chẩn đoán, nhất là các đối tượng đi du lịch đến các vùng lưu hành bệnh trở về.
Báo cáo ca bệnh thứ 9:
Đây là ca bệnh giun đầu gai ở da niêm có tiền sử đi du lịch đến Peru được trị khỏi bằng Ivermectin do nhóm F. Chappuis, T. Farinelli và L. Loutan đang công tác tại khoa y học du lịch và di dân, Bệnh viện đại học Geneva, Thụy Sĩ cùng nghiên cứu và báo cáo.
Chúng tôi mô tả một bệnh nhân 21 tuổiđã từng bị tái phát giun đầu gai thể da niêm (cutaneous gnathostomiasis) sau khi nhận liều điều trị đầu tiên bằng Albendazole và đã điều trị thành công sau khi uống thêm liều ngắn ngày Ivermectin để chống tái phát. Đây là ca bệnh báo cáo đầu tiên về giun đầu gai ở người tại Peru. Phụ nữ 21 tuổi người gốc Peru đến thăm gia đình cô ta tại Peru trong 5 tuần vào năm 1999. Trong suốt 3 năm qua trước khi cô ta đi thăm Peru, cô ta sống ở Thụy Sĩ. Bệnh nhân ở Lima trong khi ở Peru, nhưng đã đi du lịch đến Huraz, nằm ở trung tâm Peru, ở lại đó 5 ngày. Một tuần trước khi trở về Thụy Sĩ, trong thời gian ở lại Huraz, bệnh nhân có biểu hiện đau vùng thường vị, tiêu lỏng, buồn nôn và chán ăn trong 4 ngày. 5 ngày sau đó (ngày 0), bệnh nhân có chú ý thấy ngứa sưng phồng ở chân trái vùng háng và có dùng thuốc kháng histamin dạng thoa để điều trị. Dấu sưng phồng tự phát giải quyết vào ngày thứ 5, nhưng một vùng thứ 2 sưng phồng lên xuất hiện ở mặt trong vùng đùi trái vào ngày thứ 9, kéo dài một vài ngày. Dấu sưng phồng dưới da sau đó di chuyển về hướng gối trái vào ngày thứ 13, sau đó di chuyển ra mặt ngoài gối (T) vào ngày thứ 16 và lên phái trên bên ngoài của đùi trái vào ngày thứ 19 (hình bên). Bệnh nhân được xét nghiệm tại bệnh viện quận vào ngày thư 20 và sau đó chuyển lên tuyến trên vào ngày thứ 22.
Bệnh nhân phàn nàn là ngứa toàn thân, suy nhược và nhức đầu. Không có triệu chứng thần kinh nào thất thường hay sốt. Khám thực thể cho thấy vùng sưng tấy (tumefaction) dưới da và da nằm ở vị trí bên ngoài của giữa đùi trái. Không có tổn thương da và các hạch lympho không lớn. Các dấu hiệu chức năng sống của bệnh nhân trong giới hạn bình thường.
Xét nghiệm công thức máu chỉ ra chỉ số hồng cầu bình thường như chỉ số bạch cầu ái tuyệt đối là 2.700 cells/mm3 (31%). Tiểu cầu tăng nhẹ (386,000 cells/mm3). Tốc độ máu lắng và nồng độ C-reactive protein, điện giải đồ, BUN, creatinine, men gan, bilirubin và creatine kinase đều trong giới hạn bình thường. Các xét nghiệm huyết thanh cho bệnh ký sinh trùng đều được thực hiện.
Bệnh sử chi tiết của bệnh nhân cho biết bệnh nhân có đi du lịch đã dùng món ăn “ceviche” (một món rất phổ biến làm từ cá sống ở biển nhúng trong nước canh lá cam) như là bữa ăn hàng ngày. Các loài khác của cá nước ngọt hoặc cá nước mặn (saltwater or freshwater fish) đều có thể dùng để chế biến món ăn này. Bệnh nhân đều phủ nhận dùng bất kỳ món ăn gì sống hoặc chế biến nấu không hợp lý khác.
Dù cho có vắng mặt trong các báo cáo y văn về bệnh giun đầu gai ở người tại Peru, song các nghi ngờ về lâm sàng của bệnh giun đầu gai đủ mạnh để bệnh nhân được chỉ định điều trị, vào ngày thứ 22, albendazole 400mg x 2 lần/ ngày x 3 tuần. Các dấu hiệu di chuyển sưng phồng đi xuống về phía khoeo chân (T) vào ngày thứ 25 và không xuất hiện trở lại trong thời gian bệnh nhân dùng thuốc. Chỉ số bạch cầu ái toan giảm còn 165 cells/mm3 vào thời điểm cuối liệu trình điều trị. Kết quả xét nghiệm huyết thanh học tại đại học Mahidol, Bangkok, Thailand, xác định chẩn đoán là giun đầu gai, nhờ vào sử dụng test ELISA phát hiện kháng thể chống lại kháng nguyên tinh khiết 24-kDa antigen thu nhận từ ấu trùng giai đoạn 3 thuần thục (advanced third-stage larvae) của giu8n đầu gai loại Gnathostoma spinigerum. Tại Thái Lan, xét nghiệm này đã được báo cáo xét nghiệm này có độ nhạy 100% và độ đặc hiệu 100% khi phát hiện bệnh giun đầu gai. Các kết quảxét nghiệm huyết thanh chẩn đoán đối với bệnh giun đầu gai, sán lá gan lớn, giun chỉ, giun lươn và ấu trùng sán dây lợn đều âm tính. Các kết quả của 3 mẫu phân cũng âm tính.
Bệnh nhân không có triệu chứng cho đến 2 tuần sau khi dùng liệu pháp albendazole đến ngày cuối cùng (ngày 60), khi 1 mảng viêm dưới da kích thước 8 x 5cm trên đầu gối trái của anh ta. Bạch cầu ái toan là 150cells/mm3. Ivermectin, 12 mg (200 µg/kg)/ngày được cho trong 2 ngày liên tiếp. Không thấy tác dụng phụ và không có dấu hiệu tái phát trong 12 tháng theo dõi. Bệnh nhân có thể được xem là chữa khỏi.
Bệnh giun đầu gai ở người, một bệnh lưu hành ở các quốc gia Đông Nam Á, thường loài gây ra là G. spinigerum. Người mắc phải do ăn phải các ấu trùng đóng kén trong các thớ thịt của cá, thịt gia cầm, ếch và một số động vật khác nấu chưa chín. Hầu hết các ca bệnh đã được báo cáo tại Thái Lan và Nhật Bản. Bệnh biểu hiện do di chuyển của ấu trùng giai đoạn 3. Phần lớn bệnh ảnh hưởng lên da và mô dưới da, nhwung ấu trùng có thể di chuyển đến các cơ quan sống khác, như thần kinh trung ương, phổi, mắt và bệnh cũng có thể dẫn đến tử vong.
Ca bệnh đầu tiên giun đầu gai ở người tại châu Mỹ La Tinh được báo cáo tại Mexico vào năm 1970. Kể từ đó, có hơn 1.000 trường hợp được xác định tại Mexico. Hầu hết các trường hợp đều có liên quan sống hoặc nấu chưa chín các loại cá nước ngọt, đặc biệt là loại cá rô phi làm món ceviche, một phong tục tập quán bắt đầu sau khi các con đập được xây dựng và là ổ chứa cá ro phi nhân tạo trong hồ nước ngọt vào năm 1964. Nước Lime không đủ hiệu quả để giết chết ấu trùng, ngay cả khi cá biển dùng nước chanh vắt để trong nhiệt độ phòng trong vài ngày. Tại Nam Mỹ, giun đàu gai ở người đã được báo cáo tại Ecuador, với nhiều ca rải rác xảy ra tại Peru (E. Gotuzzo., 2005).
Thóa liệu pháp đặc biệt cho điều trị giun đầu gai dựa vào liệu pháp Albendazole liều cao trong 3 tuần; tỷ lệ chữa khỏi (không thấy tái phát) cao đến 94% được báo cáo trong 6 tháng kể từ khi điều trị. Ivermectin, một dẫn chất của Avermectin B - cso hiệu quả chống lại một số giun tròn giai đoạn ấu trùng (ví dụ loài Oncocerca volvulus và Ancylostoma đã gây ra hội chứng ấu trùng di chuyển trên da) cũng như giia đoạn trưởng thành (chẳng hạn giun lươn Strongyloides stercoralis và Ascaris lumbricoides). Ivermectin cũng có hiệu quả trên thỏ nhiễm thực nghiệm ấu trùng giai đoạn 3 của giun đầu gai G. spinigerum. Tái phát một ca báo cáo ở người nhiễm giun đầu gai được báo cáo gần đây là bị tái phát sau 2 liều liên tiếp dùng Ivermectin, liều 200 µg/kg. Albendazole có hiệu quả trong việc làm giảm đáng kể chỉ số bạch cấu ái toan nhưng chưa chứng minh việc tái phát lại dấu sưng phồng. Điều này đưa ra câu hỏi liên quan đến bản chất của tái phát xảy ra 17 ngày sau khi hoàn thành liệu trình điều trị Albendazole. Mặc dù tái phát được nghĩ là có liên quan đến xuất hiện di chuyển ấu trùng, chúng ta có thể loại trừ khả năng có liên quan đến phản ứng tại chỗ gây ra do ký sinh trùng chết. Kể từ khi hoàn thành liệu trình 2 ngày dùng Ivermectin, không thấy tái phát xảy ra nữa, một lần nữa hiệu lực của Ivermectin cần nhìn nhận.
Nói tóm lại, ca bệnh báo cáo đầu tiên này về giun đầu gai tại Peru, cả kết quả điều trị thành công sau khi dùng liệu trình ngắn ngày Ivermectine. Bệnh giun đầu gai là một bệnh nhiễm trùng nghiêm trọng tiềm tàng mắc phải do ăn các cá còn sống - được biết như nguồn lây truyền của các bệnh ký sinh trùng (như anisakiasis, clonorchiasis, opistorchiasis); Những người đi du lịch có nguy cơ cao khi đến các vùng lưu hành. Tổng hợp ca bệnh này, các điều tra về mặt dịch tễ học của bệnh giun đầu gai cần thiết phải nghiên cứu thêm tại Peru. Ngoài ra, các nghiên cứu bổ sung liên quan đến hiệu lực thuốc Ivermectin trong điều trị các cá nhân từ các vùng lưu hành khác nhau sẽ là có giá trị cũng như nghiên cứu tính dung nạp thuốc, liệu trình ngắn ngày hy vọng có hiệu lực và tạo được sự chấp thuận cộng đồng và bệnh nhân cao hơn liệu pháp Albendazole dài ngày.
Báo cáo ca bệnh thứ 10:
Nhân một trường hợp khạc ra giun đầu gai (Expectoration of Gnathostoma Spinigerum) tại Thái Lan do nhóm tác giả Prasop Nitidandhaprabhas, Sutharee Hanchansin và Yongyudh Vongsloesvidhya đang làm việc tại bệnh việnBhumibol Adulyadej, Donmuang, Thái Lan và Đơn vị y khoa Korat Air Base, Royal Thai Air Force, Korat, Thái Lan báo cáo. Đây là trường hợp giun đực Gnathostoma spinigerum còn sống gây ho trên một phụ nữ Thái đã lập gia đình 33 tuổi. Giun khạc ra đã chồi ra khỏi họng. Thị heo có thể là nguồn nhiễm trong ca này. Triệu chứng lâm sàng óc ý nghĩa trên bệnh nhân là dấu đau khớp di chuyển (migratory joint pain), đau ngực, ngứa họng, đánh trống ngực. Bệnh nhân chưa bao giờ có dấu sưng phồng. Trường hợp này đã được đăng tải trên tạp chí Am. J. Trop. Med. Hyg., 24(3), 1975, pp. 547-548 (1975 by The American Society of Tropical Medicine and Hygiene).
Báo cáo ca bệnh thứ 11:
Tắc ruột non do nhiễm ký sinh trùng gây ra bởi sự ăn thịt sống (omophagia) các loài cá nước ngọt tương đối hiếm. ở ca bệnh này các nàh nghiên cứu trình bày ca tắc ruột có khả năng thay đổi phản ứng viêm liên quan đến nhiễm giun đầu gai Gnathostoma doloresi. Đây là một bệnh nhân nam 62 tuổi bị cắt mọt phần ruột non do chẩn đoán tắc ruột hoàn toàn. Bệnh nhân đã từng ăn các món thịt thái mỏng cá nước ngọt 4 tuần trước khi đau bụng xuất hiện, anh ta bị hội chứng ban trườn với một vài lằn roi trên thành bụng (welts on the abdominal wall). Thay đổi phản ứng viêm mạn tính gợi ý nhiễm ký sinh trùng được quan sát qua mẫu bệnh phẩm cắt ra. Chẩn đoán huyết thanh miễn dịch sử dụng dạng micro-ELISA (microenzyme-linked immunosorbent assay) giúp cho chẩn đoán giun đầu gai Gnathostoma doloresi. Liệu trình điều trị sau mổ rất có triển vọng và bệnh nhân xuất viện 12 ngày sau khi phẩu thuật. Chỉ có 2 trường hợ tắc ruột do Gnathostoma doloresi được báo cáo trên y văn từ trước đến nay.
Báo cáo ca bệnh thứ 12:
Du lịch quốc tế đang ngày càng gia tăng đáng kể trong vài thập niên qua và vấn đề này đang trở nên nhiễm bệnh quan trọng một số tác nhân tại các vùng không lưu hành đến Bắc Mỹ. Các tác giả báo cáo một ca bệnhvề phụ nữ 34 tuổi từ Mỹ đi thăm Thái Lan. Trong khi thăm viếng 1 tháng bệnh nhân bị sốt, đau cơ, đau khớp, ban đỏ sưng phồng tại chỗ kèm theo đau kèm theo tăng bạch cầu và tăng bạch cầu ái toan trong máu ngoại vi. Ba tuần sau đó, sau khi cô ta trở về Mỹ, các hình ảnh lâm sàng như phù mặc, đau, không ấn lõm là các triệu chứng đáng chú ý. Chẩn đoán lâm sàng là bệnh giun đầu gai, xác định hiệu giá kháng thể với Gnathostoma là 1:1.024. Các triệu chứng được giải quyết sau 6 tháng.
Các tác giả cũng cho thấy xét nghiệm từ y văn về bệnh giun đầu gai ở người tuyệt vời. Bệnh thường mắc phải do ăn phải các thoạt thịt của cá, gà hoặc heo bị nhiễm ấu trùng giia đoạn 3 của giun đầu gai chưa được nấu chín G. spinigerum. Loại ký sinh trùng này đã tìm thấy tại Trung Quốc, Nhật Bản, Đông Nam Á, Philippines, Úc, Mexico và Ecuador; chưa thấy báo cáo loại bệnh này tại Mỹ.
Đặc điểm vùng da niêm bị nhiễm giun đầu gai bao gồm các giai đoạn cách hồi của triệu chứng phù không ấn lõm, di chuyển, tại chỗ, kéo dài 1-2 tuần liên quan đến đau, ngứa và ban đỏ. Một vị trí thường gặp sưng phồng là vùng mặt; trong vị trí này giun đầu gai có thể đi vào vùng lỗ ở sọ gây ra các triệu chứng liên quan đến mắt và hệ thần kinh trung ương. Ít gặp hơn thì da có biểu hiện dạng ấu trùng di chuyển và ban trườn (creeping eruption), abces hoặc dạng tạo nốt. Qua thời gian, các giai đoạn sưng phồng ngắn và ít rầm rộ hơn và thậm chí có thể biến mất. Bệnh nên xem xét và nghĩ đến trên các bệnh nhân liên quan gần đây có du lịch đến các vùng lưu hành bệnh và có các xét nghiệm như thế này. Chẩn đoán xác định qua phân lập giun tròn, nhưng khó có thể thực hiện được, xét nghiệm miễn dịch ELISA là tốt nhất để phát hiện kháng thể anti-gnathostome.
Bàn luận về mặt chẩn đoán
Tam chứng chẩn đoán là tăng bạch cầu ái toan, thương tổn di chuyển của ấu trùng và nguy cơ phơi nhiễm rõ ràng trong tiền sử là gợi ý chẩn đoán cao đối với bệnh nhân giun đầu gai. Nguy cơ phơi nhiễm phải bao gồm sống trong vùng hoặc có du lịch đén vùng lưu hành bệnh và tiêu hóa các thức ăn tiềm tàng với các màm bệnh chứa ấu trùng của giun đầu gai (cá ăn sống hoặc nấu chưa chín, đặc biệt các loại cá chình, con lươn, cá trê, cá rô, cá tráp, cá rô phi ở sông Nile, cá nục, cá chạch, cá chuối, ếch, mèo, gà, chó. Về mặt lâm sàng, chẩn đoán phân biệt chính gồm có bệnh giun mạch (angiostrongyliasis) giun xoắn (trichinosis) và ấu trùng di chuyển dưới da.
Trước khi mong đợi một xét nghiệm huyết thanh, chẩn đoán thường làm bởi phân lập ấu trùng từ các thương tổn chúng đã gây ra, nhưng điều này thường khó trong các thương tổn da có di chuyển, và không thể thực hiện trong các thể bệnh giun đầu gai ở tạng. Tăng bạch cầu ái toan thường có mặt trong quá trình ấu trùng di chuyển ban đầu, đặc biệt ở trên da hoặc mô dưới da, nhưng không phải luôn luôn có mặt bất kỳ thời điểm nào cũng có và sự vắng mặt của dấu chứng này không phải loại trừ chẩn đoán. Tăng bạch cầu ái toan trong dịch não tủy cũng gợi ý chẩn đoán cao cho bệnh lý giun đàu gai ở hệ thần kinh trung ương, với báo cáo 5-94% và tổng số bạch cầu trong dịch não tủy lên đến 500/mm3 (khoảng 20-1420/mm3), nhưng cũng óc thể tìm thấy trong một số bệnh ký sinh trùng khác, như Angiostrongylus cantonensis, Toxocara canis, Strongyloides stercoralis, Ascaris lumbricoides, Paragonimus westermani, Fasciola hepatica, Trichinella spiralis và sán máng, ấu trùng sán dây lợn thể thần kinh và các nhiễm trùng như là nhiễm nấm đơn bào coccidiodomycosis và nhiễm nấm Aspergillus. Các tình trạng không nhiễm trùng liên quan đến hệ thần kinh trung ương cũng cần xem xét (ví dụ lymphoma, đặc biệt là Hodgkin).
Vào những năm 1960, tét da sử dụng tiêm kháng nguyên giun đầu gai vào trong nội bì (intradermal injection of G. spinigerum antigen) được sử dụng ở Nhật Bản, nhưng điều này sau đó được biết là thiếu độ nhạy và độ đặc hiệu. Các nhà khoa học lần đầu tiên đã pohats triển một test huyết thanh dùng chẩn đoán, sử dụng chất kháng nguyên thân thô của giun đầu gai trưởng thành Gnathostoma doloresi. Tuy nhiên, điều này là có trở ngại bởi phản ứng chéo với các loài ký sinh trùng khác tìm thấy đồng thời tại địa phương như Paragonimus westermani, Toxocara canis, Anisakis và Fasciola hepatica. Sau đó họ đã tìm ra vấn đề đặc biệt và chọn lọc kháng nguyên đặc hiệu cho giun đầu gai G. doloresi nhưng có thể khắc phục nếu kháng nguyên G. spinigerum được sử dụng thay thế.
Các xét nghiệm được cải thiện nhờ vào dùng kháng nguyên của ấu trùng giai đoạn ba (L3) của giun đầu gai G. spinigerum thay vì lấy của giun trưởng thành, nhưng phản ứng chéo vẫn còn tồn tại với một số ký sinh trùng khác. Hơn nữa, kháng nguyên của ấu trùng L3 tìm thấy có tạo phức hợp rất cao với hơn 20 thành phần, một số lại phản ứng với huyết thanh của chứng người khỏe mạnh. Tapchaisri và cộng sự đã phát hiện ra một loại kháng nguyên đặc hiệu L3 với khối phân tử 24 kDa có độ đặc hiệu lớn nhất và phản ứng chỉ với huyết thanh của giun đầu gai và không phản ứng với các loại ký sinh trùng khác. Tiếp đó, các thử nghiệm này là nền tảng cho kỹ thuật Immunoblot và các thử nghiệm huyết thanh chẩn đoán cho tương lai..
Xét nghiệm ELISA với kháng thể L3 immunoglobulin G (IgG) cũng được phát triển và thiết kế, nhưng độ nhạy quá thấp, dao dộng 59 - 87%, độ đặc hiệu là 79 - 96%. Tiếp đó, Nuchprayoon và cộng sự cho biết dùng loại IgG subclasses hơn là loại total IgG, nên độ nhạy và đọ đặc hiệu của ELISA vì thể được cải thiện. Điều này đã cho thấy để cải thiện chẩn đoán đối với một số loại ký sinh trùng khác như giun đũa, Leishmania, filariasis. Nghiên cứu của họ chỉ ra rằng kháng thể IgG2 ít có phản ứng chéo nhất (đặc biệt với Angiostrongylus, loài ký sinh trùng hay chẩn đoán phân biệt nhất) và có độ đặc hiệu 88% và giá trị dự kiến dương tính là 93%, ngược lại kháng thể IgG1 có độ nhạy cao nhất (98%) và giá trị dự kiến âm tính (94%). Với ngoại lệ kháng thể IgG2, phản ứng chéo tìm thấy với Angiostrongylus cantonensis, giun móc, Strongyloides stercoralis, Opisthorchis viverrini. Họ kết luận rằng kháng thể IgG1 nên sử dụng để sàng lọc các trường hợp nghi ngờ giun đầu gai và loại kháng thể IgG2 có thể sử dụng để xác định chẩn đoán. Một nghiên cứu mở rộng hồi cứu về các bệnh ký sinh trùng và không phải ký sinh trùng tiến hành qua 7 năm xác định về phản ứng chéo của test (P. Dekumyoy và cs., 2008).
Hiện tại, một số test huyết thanh sẵn có để chẩn đoán bệnh giun đầu gai. Sử dụng rộng rãi nhất ở châu Ấu là loại Immunoblot để phát hiện dải band đặc hiệu 24-kDa để chẩn đoán bệnh giun đầu gai. Xét nghiệm này thực hiện ở nhiều nơi khác nhau, với huyết thanh học của Vương quốc Anh gởi đến bệnh viện bệnh nhiệt đới, đại học Mahidol, Bangkok, Thái Lan. Viện Nhiệt đới, Basel, Thụy Sĩ, cũng thực hiện các test huyết thanh chẩn đoán. Tuy nhiên, gần đây đang khan hiếm thuốc thử cho loại giun này.
Đề cập đặc biệt nên chẩn đoán cẩn trọng đối với bệnh giun đầu gai thể thần kinh trung ương. Dịch não tủy nếu có sẽ biểu hiện tăng bạch cầu ái toan, kèm theo tăng áp lực và tăng protein. Xét nghiệm huyết thanh học cho mẫu dịch não tủy là không cần thiết và cũng không phải làm thường quy và chưa có ấn bản về dữ liệu như thế. Chụp MRI có ích để chỉ ra hình ảnh tổn thương di chuyển trong tủy sống. Ký sinh trùng làm cho hình ảnh cường độ tín hiệu cao trên T2 và tăng cản quang ở T1, điều này nếu không chuyển động sẽ góp phần và các hình ảnh viêm, mạch máu, khối tân sinh hoặc nhiễm trùng khác. Tuy nhiên, bản chất di chuyển của các thương tổn như vậy sẽ phù hợp với con đường di chuyển của ấu trùng đã trình bày rất tuyệt vời đối với giun Gnathostoma. Xơ hóa đa ổ cũng sẽ sinh ra các tổn thương từng đợt trên hình ảnh chụp cộng hưởng từ, nhưng điều này có thể loại trừ nhờ vào xét nghiệm dải band đơn dòng trong dịch não tủy (CSF oligoclonal bands).
Một số bàn luận về điều trị:
Đã nhiều năm nay không có phác đồ điều trị đặc hiệu cho bệnh giun đầu gai, phẩu thuật bó tách ấu trùng giun đầu gai ra khỏi mô vẫn là biện pháp quản lý ca bệnh hiệu quả. Các thuốc khác đã thử nghiệm trên cả người và dộng vật không thành công là các thuốc thiabendazole, praziquantel, metronidazole, diethylcarbamazine và quinine.
Tuy nhiên, các nghiên cứu với Albendazole trên mô hình động vật đã là thuốc hứa hẹn điều trị trên người (Kraivichian và cs.,1992) (n = 112) xác định hiệu lực thuốc này trên người và tỷ lệ chữa khỏi lên đến > 90% ở liều 400 mg, hai lần mỗi ngày, trong 21 ngày. Albendazole lại là thuốc chống giun sán nhóm benzmidazole phổ rộng, đã chứng minh có hiệu lực cao chống lại giun sán đường ruột và giun sán ngoài ruột (extraintestinal helminthic infections) như sán lá gan nhỏ, bệnh nang sán, ấu trùng di chuyển dưới da. Phương thức tác động chính của Albendazole là nhờ vào hiệu ứng ức chế trên quá trình khử cực hóa các cấu trúc vi ống tubuline (tubulin polymerization), hậu quả nó sẽ mất đi các cấu trúc vi ống trong bào tương (cytoplasmic microtubules). Quá trình mất đi hoặc giáng hóa các cơ chế hấp thu glucose, theo sau đó của cơ chế dự trữ glycogen của giun dẫn đến hậu quả mất động và giun sẽ chết. Albendazole hấp thu kemstrong đường tiêu hóa (dù có hấp thu tốt hơn thuốc Mebendazole) và chuyển hóa nhanh chóng trong gan thành chất có hoạt tính ban đầu là albendazole sulfoxide, trước khi chúng đi vào hệ tuần hoàn chung. Sinh khả dụng của thuốc đường uống tăng lên khi Albendazole cho dùng đồng thời với bữa ăn nhiều chất béo. Thuốc có độ an toàn cao và dung nạp thuốc tương đối tốt với tác dụng phụ chính hay gặp là buồn nôn, chóng mặt, nhức đàu, đôi khi rối loạn chức năng gan và giảm bạch cầu thoáng qua. Ngoài ra, Albendazole dường như có tác dụng kích thích di chuyển của ấu trùng hướng ra bên ngoài (outward migration), do vậy làm cho chúng dễ và khả năng lộ ra đường hầm và thủ thuật lấy sinh thiết trong chẩn đoán dễ dàng. Lý do cho quá trình di chuyển này đến nay vẫn chưa biết rõ ràng, nhưng thường diễn ra sau 7-14 ngày sau khi bắt đầu điều trị thuốc.
Ivermectin cũng được thử lâm sàng coh điều trị bệnh giun đầu gai và thuốc dường như có hiệu lực tương tự albendazole. Ivermectin gắn chọn lọc với tính kết hợp cao với kênh glutamate-gated chloride ion trong thần kinh các động vật không xương sống và các tế bào cơ. Điều này gia tăng một sự xuyên thấm của màng tế bào với các ion chloride với quá trình tăng khử cực của tế bào thần kinh và tế bào cơ, dẫn đến gây liệt và làm chết ký sinh trùng. Ivermectin cũng có thể tương tác với các kênh ligand-gated chloride, như là các cống bởi gamma-aminobutyric aciddẫn truyền thần kinh cơ (neurotransmitter gamma-aminobutyric acid). Thuốc được chuyển hóa trong gan và có một vài tác dụng phụ, một tỏng số đó chính là chóng mặt và nói chung thuốc dung nạp tốt. Ivermectin đã cho thấy có hiệu quả ở liều tức thì (stat dose) 0.2mg/kg hoặc liều 0.2mg/kg trong 2 ngày liên tiếp, do đó đây không phải là vấn đề.
Nghiên cứu liên quan đến Ivermectin đã tỏ ra khá tốt với cỡ mẫu nhỏ (n = 17 - 21), do đó đánh giá về nó với cỡ mẫu lớn hơn trong các nghien cứu tiến cứu là cần thiết. Một trong những vấn đề đáng chú ý tiềm tàng là hiện tượng “flare” của bệnh đã được phát hiện trong một nghiên cứu của Kraivichian và cộng sự, trong đó đã chỉ ra nhóm dùng Ivermectin có biểu hiện trầm trọng hơn trên các triệu chứng của da niêm so với nhóm dùng Albendazole. Về mặt lý thuyết thì đây là vấn đề nghiêm trọng đối với một bệnh về tạng, đặc biệt bệnh ở mắt và thần kinh trung ương. Mặc dufg không có xuất hiện như thế đã báo cáo trong y văn. Vấn đề sử dụng thuốc steroid như đối với bệnh ấy trùng sán dây lợn thể thần kinh (neurocystercercosis) để ngăn ngừa phản ứng viêm tại các vị trí mà chúng ta có thể xem là nguy hiểm tính mạng. Về lý thuyết có vẻ hợp lý và có thể dùng trong các thể giun đầu gai hoặc mắt của bệnh giun đầu gai ở người; tuy nhiên, các dữ liệu còn giới hạn và chỉ có một nghiên cứu áp dụng điều này với cỡ mẫu lớn (n = 162) cho thấy hiệu quả không rõ ràng trong các ca bệnh dùng steroid đường uống hoặc tiêm.
Liệu trình điều trị ban đầu không phải luôn luôn thành công, liệu trình thứ 2 cũng cần thiết trong một số ca bệnh. Hoặc là Albendazole hoặc là Ivermectin có thể dùng theo các bệnh nhân như vậy và cả hai thuốc đều cho kết quả điều trị tốt đối với liệu trình ban đầu thất bại. Tuy nhiên, những vùng lưu hành bệnh có thể khó phân biệt được thất bại điều trị (treatment failure) và tái nhiễm (reinfection). Một loạt báo cáo gần đây của Strady và cộng sự tiến hành trên trên các đối tượng đi du lịch đến các vùng lưu hành bệnh, cho thấy tỷ lệ tái phát xảy ra lên đến 7 tháng sau điều trị và giai đoạn tối đa giữa 2 lần tái phát là 15 tháng, và có 1 ca xảy ra sau đó và trường hợp này là thể giun đầu gai thần kinh. Một tiếp cận mang tính ứng dụng sẽ làm nếu bệnh nhân không có triệu chứng sau 12 tháng điều trị, điều này đủ bằng chứng chữa khỏi, đặc biệt nếu hỗ trợ bởi một cách giải quyết tình trạng tăng bạch càu ái toan và giảm hiệu giá kháng thể của phản ứng ELISA. Trong vấn đề tái phát (relapse), nếu có thể nên theo dõi liệu trình 12 tháng là cần thiết.
Các thử nghiệm trong tương lai sẽ có ích đẻ điều tra việc sử dụng thuốc phối hợp Albendazole và Ivermectin và để xác định có hay không có tái phát và tỷ lệ tái phát có thấp hơn nhóm dùng đơn trị liệu hay không.
Tài liệu tham khảo
1.Diaz Camacho SP, Zazueta Ramos M, Ponce Torrecillas E, Osuna Ramirez I, Castro Velazquez R, Flores Gaxiola A, et al. Clinical Manifestations and immunodiagnosis of gnathostomiasis in Culiacan, México. Am J Trop Med Hyg. 1998;59:908-15
2.de Górgolas Hernández-Mora M, Fernández Guerrero ML. Gnathostomiasis: an increasing disease among travellers. Med Clin (Barc). 2005;125:190-2
3.Akahane H, Shibue K, Shimizu A, Toshitane S. Human gnathostomiasis caused by Gnathostoma doloresi, with particular reference to the parasitological investigation of the causative agent. Ann Trop Med Parasitol. 1998;92:721-6
4.Moore DA, Mccroddan J, Dekumyoy P, Chiodini PL. Gnathostomiasis: An emerging imported disease. Emerg Infect Dis. 2003;6:647-50
5.Del Giudice P, Dellamonica P, Durant J, Rahelinrina V, Grobusch MP, Janitschke K, et al. A case of gnathostomiasis in a European traveller returning from Mexico. Br J Dermatol. 2001;145:487-9
6.Hennies F, Jappe U, Kapaun A, Enk A. Gnathostomiasis: Import from Laos. J Dtsch Dermatol Ges. 2006; 4:414–6
7.Baquera-Heredia J, Cruz-Reyes A, Flores-Gaxiola A, López-Pulido G, Díaz- Simental E, Valderrama- Valenzuela L. Case report: ocular gnathostomiasis in northwestern México. Am J Trop Med Hyg. 2002; 66:572–4
8.Hale DC, Blumberg L, Frean J. Case report: Gnathostomiases in two travelers to Zambia. Am J Trop Med Hyg. 2003;68:707-9
9.Ogata K, Nawa Y, Akahane H, Diaz-Camacho SP, Lamothe-Argumedo R, Cruz-Reyes A. Short report: gnathostomiasis in Mexico. Am J Trop Med Hyg. 1998;58:316-8
10.Kraivichian K, Nuchprayoon S, Sitichalernchai P, Chaicumpa W, Yentakan S. Treatement of cutaneus gnathostomiasis with ivermectin. Am J Trop Med Hyg. 2004;71:623-8
11.Kravichian P, Kulkumthorn M, Yingyourd P, Akarabovorn P, Paireepai CC. Albendazole for the treatment of human gnathostomiasis. Trans R Soc Trop Med Hyg. 1992;86:418-21
12.Magaña M, Messina M, Bustamante F, Cazarin J. Gnathostomiasis: Clinicopathologic Study. Am J Dermatopathol. 2004;26:91-5
13.Grobusch MP, Bergmann F, Teichmann D, Klein E. Cutaneous gnathostomiasis in a woman from Bangladesh. Int J Infect Dis. 2000;4:51-4
14.Nontasut P, Bussaratid V, Chullawichit S, Charoensook N, Visetsuk K. Comparison of ivermectin and albendazole treatment for gnathostomiasis. Southeast Asian J Trop Med Public Health. 2000;31:374-7
15.Moore DA, McCroddan J, Chiodini PL. Gnathostomiasis: an emerging imported disease. Emerg Infect Dis. 2003;9:647-50.
16.Mulhall JP, Albertsen PC. Hemospermia: diagnosis and management. Urology. 1995;46:463-7.
17.Wilson ME, Weller PF. Eosinophilia. Tropical infectious diseases. In: Guerrant RL, Walker DH, Weller PF, editors. Principles, pathogens, and practice. Philadelphia: Churchill Livingstone; 1999. p. 140-19.
18.Dow C, Chiodini PL, Haines AJ, Michelson SM, Human gnathostomiasis. J Infect. 1988;I 7:147-9.
19.Nagler A, Pollack S, Hassoun G, Kerner H, Barzilai D, Lengy J. Human pleuropulmonary gnathostomiasis: a case report from Israel. Isr J Med Sci. 1983;19:834-7.
20.Menard A, Dos Santos G, Dekumyoy P, Ranque S, Delmont J, Danis M, et al. Imported cutaneous gnathostomiasis: report of five cases. Trans R Soc Trop Med Hyg. 2003;97:200-2.
21.Parola P. Gnathostomiasis, Lancet. 2001;358:332.
22.Anantaphruti, M. T. 1989. ELISA for diagnosis of gnathostomiasis using antigens from Gnathostoma doloresi and G. spinigerum. Southeast Asian J. Trop. Med. Public Health 20:297-304.[Medline]
23.Barrowman, M. M., S. E. Marriner, and J. A. Bogan. 1984. The binding and subsequent inhibition of tubulin polymerization in Ascaris suum (in vitro) by benzimidazole anthelmintics. Biochem. Pharmacol. 33:3037-3040.[CrossRef][Medline]
24.Bhattacharjee, H., D. Das, and J. Medhi. 2007. Intravitreal gnathostomiasis and review of literature. Retina 27:67-73.[CrossRef][Medline]
25.Biswas, J., L. Gopal, T. Sharma, and S. S. Badrinath. 1994. Intraocular Gnathostoma spinigerum. Clinicopathologic study of two cases with review of literature. Retina 14:438-444.[Medline]
26.Boongird, P., P. Phuapradit, N. Siridej, T. Chirachariyavej, S. Chuahirun, and A. Vejjajiva. 1977. Neurological manifestations of gnathostomiasis J. Neurol. Sci. 31:279-291.[CrossRef][Medline]
27.Chai, J. Y., E. T. Han, E. H. Shin, J. H. Park, J. P. Chu, M. Hirota, F. Nakamura-Uchiyama, and Y. Nawa. 2003. An outbreak of gnathostomiasis among Korean emigrants in Myanmar. Am. J. Trop. Med. Hyg. 69:67-73.[Abstract/Free Full Text]
28.Chandenier, J., J. Husson, S. Canaple, C. Gondry-Jouet, P. Dekumyoy, M. Danis, G. Riveau, C. Hennequin, A. Rosa, and C. P. Raccurt. 2001. Medullary gnathostomiasis in a white patient: use of immunodiagnosis and magnetic resonance imaging. Clin. Infect. Dis. 32:E154-E157.[CrossRef][Medline]
29.Chappuis, F., T. Farinelli, and L. Loutan.2001. Ivermectin treatment of a traveler who returned from Peru with cutaneous gnathostomiasis. Clin. Infect. Dis. 33:E17-E19.[CrossRef][Medline]
30.Chitanondh, H., and L. Rosen. 1967. Fatal eosinophilic encephalomyelitis caused by the nematode Gnathostoma spinigerum. Am. J. Trop. Med. Hyg. 16:638-645.[Abstract/Free Full Text]
31.Daengsvang, S. 1949. Human gnathostomiasis in Siam with reference to the method of prevention. J. Parasitol. 35:116-121.[CrossRef][Medline]
32.Daengsvang, S. 1981. Gnathostomiasis in Southeast Asia. Southeast Asian J. Trop. Med. Public Health. 12:319-332.[Medline]
33.Diaz-Camacho, S. P., M. Zazueta-Ramos, E. Ponce-Torrecillas, I. Osuna-Ramirez, R. Castro-Velasquez, A. Flores-Gaxiola, J. Baquera Heredia, K. Willms, H. Akahane, K. Ogata, and Y. Nawa. 1998. Clinical manifestations and immunodiagnosis of gnathostomasis in Culican, Mexico. Am. J. Trop. Med. Hyg. 59:908-915.[Abstract]
34.Dow, C., P. L. Chiodini, A. J. Haines, and S. M. Michelson. 1988. Human gnathostomiasis. J. Infect. 17:147-149.[CrossRef][Medline]
35.Feinstein, R. J., and J. Rodriguez-Valdes. 1984. Gnathostomiasis or larva migrans profundus. J. Am. Acad. Dermatol. 11:738-740.[CrossRef][Medline]
36.Guitierrez, Y. 2000. Diagnostic pathology of parasitic infections with clinical correlations, 2nd ed. Oxford University Press, Oxford, United Kingdom.
37.Hale, D. C., L. Blumberg, and J. Frean. 2003. Case report: gnathostomiasis in two travellers to Zambia. Am. J. Trop. Med. Hyg. 68:707-709.[Abstract/Free Full Text]
38.Herman, J. S., E. Wall, C. Van Tulleken, P. Godfrey-Faussett, R. L. Bailey, and P. L. Chiodini. 2009. Emergence of gnathostomiasis in Botswana in British tourists. Emerg. Infect. Dis. 15:594-597.[CrossRef][Medline]
39.Kraivichian, P., M. Kulkumthorn, P. Yingyourd, P. Akarabovorn, and C. C. Paireepai. 1992. Albendazole for the treatment of human gnathostomiasis. Trans. R. Soc. Trop. Med. Hyg. 86:418-421.[CrossRef][Medline]
40.Kraivichian, K., S. Nuchprayoon, P. Sitichalernchai, W. Chaicumpa, and S. Yentakam. 2004. Treatment of cutaneous gnathostomiasis with ivermectin. Am. J. Trop. Med. Hyg. 71:623-628.[Abstract/Free Full Text]
41.Laummaunwai, P., K. Sawanyawisuth, P. M. Intapan, V. Chotmongkol, C. Wongkham, and W. Maleewong. 2007. Evaluation of human IgG class and subclass antibodies to a 24 kDa antigenic component of Gnathostoma spinigerum for the serodiagnosis of gnathostomiasis. Parasitol. Res. 101:703-708.[CrossRef][Medline]
42.Lucas, S., J. Bell, and L. Chimelli. 2008. Chapter 19, p. 1476-1477. In S. Love, D. N. Louis, and D. W. Ellison (ed.), Greenfield's neuropathology, 8th ed. Oxford University Press, Oxford, United Kingdom.
43.Maleewong, W., N. Morakote, W. Thamasonthi, K. Charuchinda, S. Tesana, and C. Khamboonruang. 1988. Serodiagnosis of human gnathostomiasis. Southeast Asian J. Trop. Med. Public Health 19:201-205.[Medline]
44.McCarthy, J., and T. A. Moore. 2000. Emerging helminth zoonoses Int. J. Parasitol. 30:1351-1360.[CrossRef][Medline]
45.Miyazaki, I. 1960. on the genus Gnathostoma and human gnathostomiasis, with special reference to Japan. Exp. Parasitol. 9:338-370.[CrossRef][Medline]
46.Moore, D. A., J. McCroddan, P. Dekumyoy, and P. L. Chiodini. 2003. Gnathostomiasis: an emerging imported disease. Emerg. Infect. Dis. 9:647-650.[Medline]
47.Morisita, T., M. Kobayashi, K. Nagase, H. Iwanga, and M. Sumi. 1969. Nonspecificity of intradermal test with Gnathostoma antigen. Jpn. J. Parasitol. 18:120.
48.Nagler, A., S. Pollack, G. Hassoun, H. Kerner, D. Barzilai, and J. Lengy. 1983. Human pleuropulmonary gnathostomiasis: a case report from Israel. Isr. J. Med. Sci. 19:834-837.[Medline]
49.Nawa, Y., C. Hatz, and J. Blum. 2005. 22 Sushi delights and parasites: the risk of fishborne and foodborne parasitic zoonoses in Asia. Clin. Infect. Dis. 41:1297-1303.[Abstract/Free Full Text]
50.Nawa, Y. 1991. Historical review and current status of gnathostomiasis in Asia. Southeast Asian J. Trop. Med. Public Health 22(Suppl.):217-219.[Medline]
51.Nontasut, P., V. Bussaratid, S. Chullawichit, N. Charoensook, and K. Visetsuk. 2000. Comparison of ivermectin and albendazole treatment for gnathostomiasis. Southeast Asian J. Trop. Med. Public Health 31:374-377.[Medline]
52.Nontasut, P., B. A. Claesson, P. Dekumyoy, W. Pakdee, and S. Chullawichit. 2005. Double-dose ivermectin vs albendazole for the treatment of gnathostomiasis. Southeast Asian J. Trop. Med. Public Health. 36:650-652.[Medline]
53.Nopparatana, C., P. Tapchaisri, P. Setasubun, W. Chaicumpa, and P. Dekumyoy.1988. Antibody responses in human gnathostomiasis. Southeast Asian J. Trop. Med. Public Health 19:219-224.[Medline]
54.Nuchprayoon, S., V. Sanprasert, M. Suntravat, K. Kraivichian, and W. Saksirisampant. 2003. Study of specific IgG subclass antibodies for diagnosis of Gnathostoma spinigerum. Parasitol. Res. 91:137-143.[CrossRef][Medline]
55.Ottesen, E. A., and W. C. Campbell. 1994. Ivermectin in human medicine. J. Antimicrob. Chemother. 34:195-203.[Abstract/Free Full Text]
56.Owen, R. 1836. Gnathostoma spinigerum n.sp. Proc. Zool. Soc. (London) 4:123-126.
57.Parola, P., G. Bordmann, P. Brouqui, and J. Delmont. 2004. Eosinophilic pleural effusion in gnathostomiasis Emerg. Infect. Dis. 10:1690-1691.
58.Prommas, C., and S. Daensgsvang. 1936. Further report of a study of the the life cycle of Gnathostoma spinigerum. J. Parasitol. 22:180-186.[CrossRef]
59.Punyagupta, S., T. Bunnag, and P. Juttijudata. 1990. Eosinophilic meningitis in Thailand. Clinical and epidemiological characteristics of 162 patients with myeloencephalitis probably caused by Gnathostoma spinigerum. J. Neurol. Sci. 96:241-256.[CrossRef][Medline]
60.Rojas-Molina, N., S. Pedraza-Sanchez, B. Torres-Bibiano, H. Meza-Martinez, and A. Escobar-Guiterrez.1999. Gnathostomiasis, an emerging foodbourne zoonotic disease in Acapulco, Mexico. Emerg. Infect. Dis. 5:264-266.[Medline]
61.Roper, A. H., and R. H. Brown (ed.). 2005. Adams and Victors principles in neurology, 8th ed. McGraw-Hill, Columbus, OH.
62.Rusnak, J. M., and D. R. Lucey. 1993. Clinical gnathostomiasis: case report and review of the English-language literature Clin. Infect. Dis. 16:33-50.
63.Ryan, E. T., M. E. Wilson, and K. C. Kain. 2002. Illness after international travel. N. Engl. J. Med. 347:505-516.[CrossRef][Medline]
64.Sawanyawisuth, K., S. Tiamkao, J. Kanpittaya, P. Dekumyoy, and S. Jitpimolmard. 2004. MR imaging findings in cerebrospinal gnathostomiasis. Am. J. Neuroradiol. 25:446-449.[Abstract/Free Full Text]
65.Steffen, R., C. deBarnardis, and A. Banos. 2003. Travel epidemiology-a global perspective. Int. J. Antimicob Agents 21:89-95.[CrossRef]
66.Strady, C., P. Dekumyoy, M. Clement-Rigolet, M. Danis, F. Bricaire, and E. Caumes. 2009. Long-term follow-up of imported gnathostomiasis shows frequent treatment failure. Am. J. Trop. Med. Hyg. 80:33-35.[Abstract/Free Full Text]
67.Suntharasamai, P., V. Desakorn, S. Migasena, D. Bunnag, and T. Harinasuta. 1985. ELISA for immunodiagnosis of human gnathostomiasis. Southeast Asian J. Trop. Med. Public Health 16:274-279.[Medline]
68.Suntharasamai, P., M. Riganti, S. Chittamas, and V. Desakorn. 1992. Albendazole stimulatesoutward migration of Gnathostoma spinigerum to the dermis in man. Southeast Asian J. Trop. Med. Public Health 23:716-722.[Medline]
69.Tada, I., K. Kasashima, K. Nishimuta, and M. Miyahara. 1966. Intradermal reaction with Gnathostoma spinigerum antigen. Jpn. J. Parasitol. 15:256.
70.Tapchaisri, P., C. Nopparatana, W. Chaicumpa, and P. Setasuban.1991. Specific antigen of Gnathostoma spinigerum for immunodiagnosis of human gnathostomiasis. Int. J. Parasitol. 21:315-319.[CrossRef][Medline]
71.Visudhiphan, P., S. Chiemchanya, and R. Somburanasim. 1980. Causes of spontaneous sub-arachnoid haemorrhage in Thai infants and children. J. Neurosurg. 53:185-187.[CrossRef][Medline]
72.Yoshimura, K. 1998. Chapter 34, p. 651-659. In L. Collier, A. Balows, and M. Sussman (ed.), Topley and Wilson's microbiology and microbial infections, 9th ed. Hodder Arnold, London, United Kingdom.