Nhân 2 trường hợp bệnh giun đầu gai
Ca bệnh thứ nhất: Bệnh nhân Tống T.S.,nam, 52 tuổi làm nghề thuốc bắc, vào viện với triệu chứng liệt nhẹ 2 chi dưới trong vòng 2 ngày trước khi nhập viện vì có dấu hiệu xuất huyết não không rõ nguyên nhân. Tiền sử du lịch đến nhiều quốc gia Trung Quốc, Thái Lan, Singapore, Pháp, Đức, Bỉ, Tây Ban Nha, Hà Lan và đặc biệt không có cao huyết áp. Lâm sàng không biểu hiện rối loạn ý thức, không sốt; các thông số cận lâm sàng không có gì đặc biệt ngoại trừ tăng chỉ số bạch cầu ái toan lên đến 22.6%, xét nghiệm dịch não tủy có giảm nhẹ đường và tăng bạch cầu ái toan 17.5% à nên được chẩn đoán sơ bộ ban đầu là bệnh do ký sinh trùng ở hệ thần kinh. Chụp MRI và CT cho hình ảnh vệt di chuyển và nhiều búi phình mạch nội sọ, chuyển bệnh nhân vào tuyến trên, xác định tác nhân qua ELISA với G. spinigerum dương tính với OD = 2.34, nồng độ IgE tăng gấp 5 lần trị số bình thường. Thuốc lựa chọn [albendazole + dexamethasone], bệnh nhân hồi phục hoàn toàn sau 78 ngày điều trị.
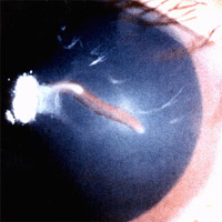
Ca bệnh thứ hai: Bệnh nhân nữ, 26 tuổi làm nghề tóc, sống tại Qui Nhơn, có triệu chứng một vết phù nhẹ từng đợt mi mắt (T) khoảng 3cm, đau nhưng không ngứa, không đỏ trong 6 tháng trước khi nhập viện. Thói quen hay ăn các loại hải sản sống cùng với mù tạt, kể cả ốc. Hai ngày trước khi nhập viện có nhức đầu nhiều, mờ mắt, song thị, buồn nôn, đại tiện phân thường, sau 24 giờ có biểu hiện rối loạn ý thức, yếu tê tay (P). Khám lâm sàng cho thấy tri giác u ám, sụp mi (P), yếu nhẹ chi trên (P), không cứng cổ, buồn nôn, huyết áp 100/55mmHg, mạch quay rõ 70 lần/ phút, sốt nhẹ 380C. Chẩn đoán sơ bộ: TD viêm não màng não do virus. Xét nghiệm cận lâm sàng: CTM toàn phần có tăng bạch cầu chung lên 14.000, trong đó eosin chiếm ưu thế 35.6%, glucose và protein máu máu bình thường, bilan gan mật, lipid trong giới hạn. X-quang phổi và siêu âm bụng không bất thường, ngoại trừ có sỏi nhỏ thận (P). Dịch não tủy cho dịch trong suốt, hơi vàng, không thấy vi khuẩn và chỉ số bạch cầu tăng cao 27.9%. Tuy nhiên, sau 38 giờ kể từ khi nhập viện bệnh nhân mất ý thức à chuyển sang chẩn đoán bệnh do KST, xét nghiệm 6 loại giun sán, kết quả dương tính với G. spinigerum 1/3200 à chuyển điều trị hồi sức tích cực, chụp CT cho hình ảnh phù não nhẹ, hình ảnh di chuyển và giống calci hóa tại hai bán cầu. Phác đồ thuốc lựa chọn [albendazole + dexamethasone + hydrocortisone + kháng sinh phổ rộng], bệnh nhân tỉnh táo sau 14 ngày và hồi phục hoàn toàn sau 5 tháng kể từ khi điều trị.
Giới thiệu
Bệnh do ấu trùng giun đầu gai (Gnathostomiasis) là một bệnh truyền từ động vật sang con người do nhiễm phải ấu trùng giai đoạn 3 của Gnathostoma spp. thông qua đường thực phẩm. Hầu hết các triệu chứng nặng có liên quan đến thể bệnh thần kinh trung ương của loài giun này và thường gọi là “neurognathostomiasis”. Mặc dù bệnh lưu hành ở châu Á và châu Mỹ Latinh, song hầu hết những trường hợp bệnh ấu trùng giun đầu gai thể thần kinh (GĐGTTK) lại báo cáo từ Thái Lan. Dù tỷ lệ mắc bệnh và tử vong cao, song GĐGTTK lại chưa được lưu ý so với bệnh này ở thể da niêm mạc, điều này có thể vì GĐGTTK đối trên một quốc gia báo cáo rất ít. Tuy nhiên, gần đây bệnh được báo cáo nhiều trên những người châu Âu đi du lịch trở về từ các quốc gia lưu hành bệnh. Nhân đây, chúng tôi tổng hợp y văn về bệnh lý GĐGTTK và phân tích về mặt dịch tễ học cũng như phân bố địa lý, phương thức xâm nhập vào hệ thần kinh trung ương (TKTƯ), sinh lý bệnh, đặc điểm lâm sàng, dữ liệu hình ảnh chẩn đoán thần kinh và các lựa chọn điều trị. dựa trên nền dữ liệu dịch tễ học, triệu chứng lâm sàng, chẩn đoán hình ảnh và các thông số cận lâm sàng, chúng tôi đưa ra đề nghị tiêu chuẩn chẩn đoán bệnh GĐGTTK.
Nhiễm ký sinh trùng (KST) qua đường thực phẩm thường gặp ở các quốc gia vùng nhiệt đới - nơi có bệnh lý lưu hành và thói quen ăn các thịt, cá nước ngọt còn sống hoặc nấu chưa chín, nhất là quần thể dân địa phương. Trào lưu du lịch quốc tế đến các vùng lưu hành bệnh và sự di dân từ vùng nhiệt đới đến nơi khác dẫn đến việc xuất hiện các bệnh lý này tại các vùng ôn đới vốn dĩ hiếm khi gặp bệnh và do đó, các thầy thuốc lâm sàng hiếm khi nghĩ đến để đặt ra chẩn đoán phân biệt. Bệnh giun đầu gai do ăn phải ấu trùng giai đoạn 3 của Gnathostoma spp. Đến này, có ít nhất 13 loài giun đầu gai được xác định, với 5 loài ghi nhận gây bệnh ở người. Loài G. spinigerum là loài hay gặp nhất tại châu Á. Nhiễm trùng ở người với G. hispidum, G. doloresi và G. nipponicum được tìm thấy chỉ ở Nhật Bản. Tại châu Mỹ, loài G. binucleatum được chứng minh là tác nhân gây bệnh duy nhất ở người. Người nhiễm phải các ấu trùng do ăn sống hoặc thức ăn nấu chưa chín từ cá nước ngọt, gà và ếch. Người là vật chủ tình cờ không thích hợp để giun phát triển đến giai đoạn trưởng thành, do vậy bệnh lý thường do ấu trùng di chuyển.
Bệnh do ấu trùng giun đầu gai có thể chia thành nhiều thể: da, phủ tạng và mắt lệ thuộc vào vị trí di chuyển của ấu trùng và các triệu chứng và hội chứng tiếp sau. Đặc điểm lâm sàng hay được đề cập đến nhiều nhất là ở thể da niêm mạc, đặc trưng bởi các hình ảnh vết sưng phồng di chuyển, từng đợt và thường liên quan đến đau, ngứa và ban đỏ tại chỗ di chuyển. Liên quan đến thể tạng có thể là bất kỳ cơ quan và phần nào trong cơ thể. Lâm sàng nghiêm trọng nhất của thể tạng chính là thể thần kinh trung ương, còn gọi là GĐGTTK và phần lớn số ca báo cáo thể này do loài G. spinigerum.
Chúng tôi ghi nhận tổng số 24 báo cáo trên y văn với 248 bệnh nhân bị GĐGTTK và tiến hành tổng hợp về dịch tễ học, khía cạnh lâm sàng, con đường xâm nhập vào hệ thần kinh trung ương, sinh lý bệnh, dữ liệu chẩn đoán hình ảnh trên hệ thần kinh và các liệu pháp điều trị.
Lịch sử của thể bệnh giun đầu gai thể thần kinh (Neurognathostomiasis)
Ca bệnh đầu tiên viêm não màng não do nhiễm G.spinigerum được báo cáo bởi Daensvang vào năm 1949. Sau 18 năm, tác giả Chitanondhvà Rosen trình bày bằng chứng xâm nhập vào hệ TKTƯ của ấu trùng G. spinigerum từ các kết quả giả phẩu tử thi của một phụ nữ Thái Lan. 34 tuổi. Trong nghiên cứu tử thiết của họ, Boongird và cộng sự đã mô tả ra triệu chứng lâm sàng của GĐGTTK, điều này đã hỗ trợ rất nhiều cho các nghiên cứu tiến cứu và hồi cứu sau này. Với sự tiến bộ của các kỹ thuật chẩn đoán hình ảnh hiện đại và phân giải cao đã cho thấy các đường đi của ấu trùng Gnathostoma spp. di chuyển trong bệnh GĐGTTK.
Dịch tễ học giun đầu gai thể thần kinh
Hầu hết (241/248) ca được xác định GĐGTTK trong y văn là từ Thái Lan. Trong đó, 2 bệnh nhân nhiễm ở Lào, 1 ở Nhật Bản, 1 ở Myanmar và 2 ở Hàn Quốc. Một bênh nhân có đi du lịch đến Đông Nam Á và Nhật Bản, vì thế nguồn dịch tễ nhiễm của trường hợp này không thể xác định. Thời gian ủ bệnh của bệnh GĐGTTK có thể dài đến 10 năm vì sự tồ tại kéo dài của ấu trùng trong các mô mềm trước khi xâm nhập vào hệ TKTƯ, điều này có nghĩa rằng chúng có thể xảy ra trên những người dân di biến động trong một quốc gia mà không có lưu hành bệnh này. Tất cả bệnh nhân báo cáo ở đây đều nhiễm loại G. spinigerum. Cho dù bệnh giun đầu gai ngày càng phát hiện nhiều ở ngoài châu Á, đặc biệt ở Mexico, nhưng không thấy có báo cáo ca bệnh tại các vùng khác. Sự xuất hiện của các loài Gnathostomakhác ở châu Mỹ Latinh, có tên là G. binucleatum sẽ là nguyên nhân cho giải thích hiện tượng này.
Bệnh giun đầu gai thể thần kinh trên người đi du lịch trở về
Ca bệnh đầu tiên GĐGTTK trên người du lịch được báo cáo vào năm 2003. Kể từ đó, 4 bệnh nhân ở châu Âu trở về từ vùng lưu hành bệnh được báo cáo. 2 bệnh nhân đi du lịch đến Thái Lan, 1 bệnh nhân đến Lào, 1 bệnh nhân đến Myanmar. Các bệnh nhân báo cáo có ăn các loại thức ăn địa phương nấu theo cách của quốc gia đó, như ăn sống tôm, cá. Bệnh giun đầu gai gần đây được báo cáotrên nhiều du khách trở về từ Nam Phi. Tuy nhiên, bệnh nhân chỉ biểu hiện nhiễm ấu trùng Gnathostomaspp. thể da mà không có liên quan đến hệ TKTƯ.
Sinh lý bệnh học của bệnh lý giun đầu gai thể thần kinh
Gnathostomaspp.là một loại ký sinh trùng có tính xâm nhập cao. Sau khi ăn phải, ấu trùng giai đoạn 3 xuyên qua thành niêm mạc của hệ tiêu hóa. Ấu trùng có thể đi vào trong hệ TKTU bằng cách xâm nhập trực tiếp qua các mô liên kết mềm lỏng lẻo của các lỗ thần kinh trên nền sọ dọc theo các dây thần kinh sọ não và mạch máu hoặc thông qua các lỗ giữa các đốt sống dọc theo thần kinh tủy sống và mạch máu. Ấu trùng bị ly giải một lượng lớn phân tử vào trong môi trường xung quanh để hỗ trợ cho sự xuyên và xâm nhập của ấu trùng. Proteases là loại phân tử quan trọng trong số các sản phẩm tiết (excretor-secretory products), cả về số lượng lẫn chất lượng. Trong số Gnathostoma spp.,thành phần metalloproteinases cơ chất đóng một vai trò quan trọng cho quá trình xâm nhập vào mô vật chủ.
Gnathostoma spp. điển hình đi vào tủy sống song theo các sợi rễ thần kinh, gây nên tình trạng viêm rễ tủy thần kinh. Tiếp đó ấu trùng có thể đi lên tủy sống và đến não. Hành trình này có thể mất vài nằm và đã được minh chứng trên một bệnh nhân người Thái thông qua chụp ảnh liên tục. Chiều dài di chuyển của ấu trùng trung bình 3.0mm, khi di chuyển ấu trùng đến TKTU, sẽ gây ra các tổn thương cơ học trực tiếp vì chúng xé rách các mô thần kinh. Dấu hiệu vàng của bệnh lý GĐGTTK là bằng chứng nhiều vệt xuất huyết; các vết này đã được nhìn thấy khắp đoạn tủy sống và mô não qua phân tích giải phẩu tử thi, cũng như qua hình ảnh chụp thần kinh. Xuất huyết dưới nhện có thể là hậu quả của ấu trùng đào bới qua một tiểu động mạch não. Viêm màng não tăng bạch cầu ái toan do Gnathostoma spp. đặc trưng bởi xuát hiện hồng cầu trong dịch não tủy, điều này gợi ý có thương tổn cơ học do ấu trùng. Ngoài tổn thương về cấu trúc, đáp ứng viêm với sựu di chuyển ấu trùng góp phần thêm cho quá trình phá hủy nhu mô.
Đặc điểm lâm sàng liên quan đến hệ thần kinh
Hội chứng lâm sàng chính của bệnh lý GĐGTTK là viêm tủy rễ thần kinh/ viêm não tủy rễ thần kinh (radiculomyelitis/ radiculomyeloencephalitis) viêm màng não/ viêm não màng não (meningitis/meningoencephalitis) và xuất huyết nội sọ hoặc xuất huyết dưới nhện. Mỗi hội chứng phản ánh lên một mô bị thương tổn do giun di chuyển. Vì ấu trùng di chuyển, nên cùng bệnh nhân có thể biểu hiện các hội chứng thần kinh khác nhau. Chẳng hạn, trong một bệnh nhân ở Lào, viêm não tủy tiến triển, theo sau bởi một tình trạng xuất huyết dưới nhện. Viêm màng não, xuất huyết dưới nhện và rồi các thương tổn trong nhu mô não tiếp theo sau trên một bệnh nhân ở đông bắc Thái Lan. Các triệu chứng thường gặp nhất được báo cáo gần như bởi mỗi bệnh nhân là đau: đau rễ thần kinh trong những ca có liên quan đến tủy sống (thường kéo dài 1-5 ngày) hoặc nhức đầu trong những ca viêm não màng não. Đặc điểm lâm sàng hay gặp nhất, bệnh lý tủy sống chiếm 55% các hội chứng lâm sàng.
Bảng 1. Đặc điểm lâm sàng trên 248 bệnh nhân giun đầu gai thể thần kinh
Hội chứng | Đường xâm nhập vào hệ thần kinh (có thể) | Dấu chứng và triệu chứng lâm sàng | Số lượng (%) |
Viêm tủy rế/viêm tủy/viêm não tủy | Đi qua các lỗ giữa các đốt sống dọc theo thần kinh và mạch máu tủy sống | Đau rễ thần kinh đột ngột và hội chứng tủy sống (liệt 2 chân, liệt 1 chi, liệt 4 chi, rối loạn chức năng bàng quang, rối loạn cảm giác); có thể tiến triển đến não (viêm não tủy). | 140 (55) |
Viêm màng não/ viêm não màng não | Lỗ thần kinh của nền sọ dọc theo thần kinh và mạch máu sọ não | Đau đầu nghiêm trọng, cứng cổ, liệt TK sọ não, rối loạn ý thức, dấu TK định vị. | 77 (30) |
Xuất huyết nội sọ | Lỗ thần kinh hoặc lỗ giữa các đốt sống | Đau đầu, dấu thần kinh khu trú | 21 (8) |
Xuất huyết dưới nhện | Lỗ thần kinh hoặc lỗ ống sống | Đau đầu kinh khủng, dấu màng não | 16 (7) |
* Vì ấu trùng di chuyển, bênh nhân có thể có dấu chứng và triệu chứng liên tục; do vậy, tổng số triệu chứng lâm sàng vượt quá con số bệnh nhân báo cáo |
Bệnh lý tủy trong bệnh giun đầu gai đặc trưng bởi đau rễ theo sau bởi một dấu dị cảm hoặc liệt nhẹ cảm giác hướng lên của các chi dưới hoặc dị cảm cả tứ chi kèm theo rối loạn chức năng bàng quang. Một mức độ cảm giác cho tất cả phương thức gồm có rung và cảm nhận trong cơ thể hay gặp, thường định vị trong vùng ngực. Liên quan đến não và màng não, bệnh có đặc trưng bởi các dấu màng não và giảm ý thức. Liệt dây thần kinh thứ 6 là hay gặp nhất trong các dây thần kinh sọ não. Xuất huyết trong não được phát hiện khởi phát đột ngột mà không thấy dấu thần kinh định vị như liệt nhẹ ½ người hoặc yếu ½ người.
Bệnh lý thần kinh biệt lập (Isolated Neurologic Disease)
Đặc điểm lâm sàng hay gặp nhất của bệnh giun đầu gai là tình trạng sưng phồng dưới da di chuyển từng đợt. Tuy nhiên, một loạt ấn bản lớn nhất của bệnh lý GĐGTTK trên 162 bệnh nhân, chỉ có 11 (7%) có tiền sử tỏn thương dưới da niêm. Sưng phồng mắt một bên, một dấu điển hình khác của bệnh giun đầu gai, xảy ra trên 6 bênh nhân (4%). Boongird và cộng sự báo cáo chỉ có 3 bệnh nhân bị sưng phồng dưới da trong số 24 bệnh nhân có thể GĐGTTK; giun đầu gai thể da niêm phát triển trên tất cả bệnh nhân này sau khi khởi đầu triệu chứng của thần kinh.
Nghiên cứu phân tích về mặt dịch não tủy
Tăng bạch cầu ái toan là một dấu đặc trưng trong xét nghiệm cận lâm sàng. Tăng bạch cầu ái toan trong dịch não tủy bệnh nhân thường rõ, giá trị trung bình là 40% (n = 24) và 54% (n = 39) lần lượt trong nghiên cứu của Boongird và Schmutzhard cùng cộng sự. Trên 109 (67%) bệnh nhân báo cáo bởi Punyagupta, số lượng bạch cầu ái toan trong dịch não tủy là > 30%. Dịch não tủy được báo cáo như chuyển màu sắc vàng hoặc màu máu trên 134 bênh nhân (64% số ca đã được ấn bản. Lượng đường huyết thường chỉ giảm nhẹ nhưng báo cáo khoảng 11mg/dL (9% giá trị huyết tương) trên 1 bệnh nhân.
Đặc điểm chẩn đoán hình ảnh trên hệ thần kinh
Chẩn đoán hình ảnh về thần kinh trên 11 bệnh nhân có bệnh lý GĐGTTK được báo cáo trên y văn. Chụp CT sọ não, xuất huyết dưới nhện và xuất huyết nội sọ là các hình ảnh hay gặp. Trên một bệnh nhân phát hiện có xuất huyết dưới màng cứng. Dấu đặc trưng của bệnh lý giun đầu gai ở não trên phim chụp MRI là phát hiện vết xuất huyết (track). Dấu hiệu cộng hưởng từ của thương tổn xuất huyết thay đổi tùy theo các tổn thương thể cấp, bán cấp và mạn tính. Do đó, trên hình ảnh T1 và T2 cả giảm tỷ trọng và tăng tỷ trọng đều phát hiện. Không thấy di chứng gradient-echoT2 được báo cáo. Tuy nhiên, dấu hiệu này rất nhạy với các các khối máu tụ tại chỗ không đồng nhất và có thể trở thành một chuỗi tiếp nối trong đánh giá chẩn đoán hình ảnh của bệnh giun đầu gai thể não.
Sưng phồng tủy sống đa đoạn lan tỏa kèm theo tăng tỷ trọng T2 là hình ảnh hay gặp nhất trên chụp tủy sống. Tăng gadolinium của các thương tổn được báo cáo trong phim MRI chụp sọ não và tủy sống của 4 bệnh nhân như là hình ảnh nốt, sáng và đồng nhất.
Chẩn đoán miễn dịch
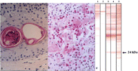
Phát hiện kháng thể trong huyết thanh là một thang đo quan trọng của chẩn đoán miễn dịch của bệnh giun đầu gai. Hai phương pháp được thiết lập cho lâm sàng thường quy: ELISA và Western blot sử dụng các kháng nguyên thô của Gnathostoma spp. từ chất tiết của ấu trùng lấy ra. Dải band ở vị trí 24-kD của xét nghiệm Western blot chỉ ra độ đặc hiệu gần 100% đối với bệnh giun đầu gai. Thực hành chẩn đoán huyết thanh hiện tại là dùng ELISA (chẳng hạn, multiple-dot ELISA) như là bước đầu tiên và xác định các kết quả lại bằng Western blot. Ít nhất 2 bệnh nhaanchuyeenr đảo huyết thanh trong quá trình bệnh lý thần kinh, điều này nhấn mạnh việc cần phải xét nghiệm lại huyết thanh trong những trường hợp lâm sàng nghi ngờ cao. Xét nghiệm huyết thanh có thể làm tại một số la bô, như tại Thái Lan (Bangkok, Khon Kaen), Nhật Bản (Miayzaki) và châu Âu (Basel, Thụy Sĩ) và tại Việt Nam (Quy Nhơn, TP. Hồ Chí Minh)
Bảng 2. Đặc điểm chẩn đoán hình ảnh trên thần kinh của bệnh giun đầu gai thể thần kinh
Vị trí | Phương thức chẩn đoán | Hình ảnh thần kinh |
Não bộ | CT | Nhu mô não (đơn điểm hoặc đa điểm) tăng tỷ trọng vùng dưới màng cứng hoặc dưới màng nhện tương ứng với xuất huyết trong não |
| MRI | Đa điểm (giống giun) tăng tỷ trọng T2 hoặc giảm tỷ trọng trong cả hai bán cầu não và tiểu não đường kính ≥ 3mm (vệt xuất huyết) có hoặc không có tăng thành phần gadolinium. |
Tủy sống | MRI | Dãn hoặc sưng phồng tủy sống kèm theo tăng tỷ trọng đa đoạn T2, thường tăng ngấm gadolinium (nhẹ đến trung bình) trên hình ảnh sau tiêm chất cản quang T1 |
* CT_CTomputed tomography; MRI: Magnetic Resonance Imaging |
Chẩn đoán phân biệt
Chẩn đoán phân biệt chính với bệnh lý GĐGTTK là bệnh nhiễm trùng do giun tròn Angiostrongylus cantonensis. Tuy nhiên, nhiễm trùng Angiostrongylus spp. thường biểu hiện bệnh lý viêm màng não tăng bạch cầu ái toan tự giới hạn và chỉ là nguyên nhân hiếm khi gây nên bệnh lý nghiêm trọng có liên quan đến tủy sống và não bộ. Về mặt chẩn đoán miễn dịch, xét nghiệm dương tính với kháng nguyên đặc hiệu chống lại 24-kDcủa G. spinigerumvà âm tính với dải band ở 29-kD và 31-kD trên phản ứng Immunoblot đối với kháng nguyên A. cantonensis sẽ giúp chúng ta chẩn đoán phân biệt Angiostrongylus spp. có giá trị cao. Các nguyên nhân ký sinh tùng khác gây bệnh ở hệ thần kinh trung ương, như ấu trùng sán dây lợn, ấu trùng giun đũa chó mèo, sán máng, baylisascariasis, hoặc bệnh sán lá phổi có thể phân biệt dựa vào phân bố địa lý, triệu chứng lâm sàng, hình ảnh học và xét nghiệm huyết thanh.
Thái độ xử trí
Hiện chưa có một thử nghiêm lâm sàng nào về liệu pháp thuốc chống giun sán thực hiện trên bệnh lý GĐGTTK. Chúng tôi xác định có 9 báo cáo điều trị bệnh GĐGTTK bằng liệu pháp albendazole; 5bệnh nhân hồi phục hoàn toàn, 2 bệnh nhân hồi phục một phần và 2 bệnh nhân không hồi phục. Kết quả điều trị có thể phản ánh tiến trình tự nhiên của bệnh hơn là hiệu quả điều trị. Trong một vài báo cáo, điều trị bằng thuốc giun sán được xem là bất lợi tiềm tàng và chiếm giữ vị tí cơ bản của việc cho để giảm phù não do giun chết đột ngột. 3 người du lịch trở về từ Thái Lan được điều trị bằng albendazole (800 mg/ngày x 1 tháng,800 mg/ngày trong 3 tuần và 400 mg x 2 lần/ ngày x 4 tuần và phục hồi hoàn toàn. Trong tất cả bệnh nhân này, dexamethasone (đường uống hoặc tiêm) hoặc predinsolone được chỉ định thêm vào liệu trình điều trị. Một đánh giá hồi cứu gần đây về hiệu lực lâu dài trên 13 bệnh nhân ở Pháp bị giun đầu gai do “nhập khẩu” báo cáo 2 bệnh nhân có liên quan đến thần kinh, 1 có viêm tủy và 1 có viêm não (C. Strady, tài liệu cá nhân). Bệnh nhân viêm tủy phục hồi hoàn toàn sau liệu pháp albendazole và bênh nhân viêm não báo cáo có 4 đợt tái phát dù đã kết hợp liệu pháp [ivermectin + albendazole] (C. Strady, tài liệu cá nhân).
Corticosteroids đã được sử dụng trong điều trị bệnh GĐGTTK để điều trị phù não và phù tủy sống. Chúng có thể ngăn ngừa hoặc làm giảm nhẹ đảo nghịch tình trạng nặng sau khi khởi đầu điều trị thuốc giun sán. Tuy nhiên, chưa có một kết luận nào về hiệu lực có thể chỉ ra từ các dữ liệu hiện có vì không có thử nghiệm lâm sàng đối chứng ngẫu nhiên và các số liệu hồi cứi thì quá hạn định để đánh giá so sánh giữa các nhóm. Đến nay, chưa có một khuyến cáo nào có bằng chứng được đưa ra.
Kết quả can thiệp điều trị
Tỷ lệ tử vong ca trong loạt ca bệnh đầu tiên của 24 bệnh nhân là 25%. Các nghiên cứu sau đó báo cáo tỷ lệ tử vong là từ 7-12%. Tuy nhiên, khi các tác giả đẻ ý đến, thì tỷ lệ tử vong - ca bệnh này hầu như đánh giá chưa đúng mực vì nhiều bệnh nhân trong tình trạng “tới hạn” được cho về nhà để chết. Về tổng số, kết quả của 247 bệnh nhân được báo cáo trong y văn, một kết quả chưa thuận lợi, chẳng hạn, chết hoặc có những bất lợi mất khả năng tồn tại đã được báo cáo trên 78 bệnh nhân (32%). Song, các báo cáo ca bệnh gần đây chỉ ra rằng hướng tiên lượng hiện tại có thể tốt hơn. Trong số 15 bệnh nhân bị bệnh GĐGTTK được chẩn đoán sau năm 2001, hiệu quả nghèo nàn được báo cáo trên 3 bênh nhân (20%). Trong tất cả 4 ca lâm sàng ở người đi du lịch trở về có viêm tủy, sự phục hồi là tốt sau khi dùng liệu pháp thuốc giun sán.
Một số kết luận
Chẩn đoán xác định nhiễm trùng giun sán ở hệ TKTU thì quả thật là khó. Tỷ lệ phục hồi của sán từ dịch não tủy thấp và quy trình chẩn đoán có xâm lấn là hiếm khi hợp lý. Bệnh lý GĐGTTK là một ngoại lệ; trong số 248 ca bệnh dã đăng tải, chỉ có 27 ca (11%) được xác định bằng sự phục hồi ấu trùng. Ngoài ra, dấu hiệu sưng phồng dưới da từng đợt, được xem là dấu phân biệt của bệnh giun đầu gai, tìm thấy chỉ trên một số ít ca bệnh GĐGTTK. Vì những khó khăn này, các tiêu chuẩn lâm sàng là có ích để thực hành và nghiên cứu. Dựa trên kết quả phân tích từ các ấn phẩm ca bệnh, chúng tôi đề nghị tiêu chuẩn chẩn đoán định hướng cho một thầy thuốc lâm sàng nếu trong điều kiện chẩn đoán giải phẩu bệnh học không thể thực hiện được.
Bảng 3. Tiêu chuẩn chẩn đoán đề nghị cho bệnh giun đầu gai thể thần kinh
Tiêu chuẩn dich tễ học Du lịch đến hoặc định cư trong vùng lưu hành bệnh VÀ phơi nhiễm với các thức ăn sò, vẹm, tôm, cua, cá và gia cầm chưa nấu chín; |
Hội chứng lâm sàng Đau kiểu tủy rễ thần kinh/viêm não tủy rễ thần kinh HOẶC viêm màng não/ viêm não màng não HOẶC xuất huyết dưới nhện |
Bằng chứng xâm nhập của hệ thần kinh trung ương gián tiếp Dịch não tủy: tăng bạch cầu ái toan trong dịch HOẶC hình ảnh thần kinh: vết xuất huyết trong nhu mô não (≥ 3mm) |
Chẩn đoán miễn dịch Phát hiện kháng thể chống lại thành phần kháng nguyên của Gnathostoma spinigerum 24kDa qua xét nghiệm Immuno blot; Không có phản ứng dương tính với thành phần 29-31kDa của giun Angiostrongylus cantonensis trên test Immunoblot |
*Tất cả các tiêu chuẩn nên được chuẩn đủ để chẩn đoán lâm sàng của bệnh GĐGTTK |
Bệnh lý GĐGTTK là một bệnh ký sinh trùng ở hệ TKTU lưu hành nhiều ở Đông Nam Á, đặc biệt tại Thái Lan. Vì sự phát triển của du lịch quốc tế của du khách cũng như di dân đến các vùng lưu hành bệnh, nên số bệnh nhân tại châu Âu và Bắc Mỹ ngày càng tăng. Bệnh GĐGTTK nên được nghĩ đến trên những bệnh nhân có biểu hiện viêm tủy rễ, viêm não tủy, viêm não màng não tăng bạch cầu ái toan và có tiền sử đi du lịch đến các vùng lưu hành bệnh giun đầu gai.
Ăn sống hoặc nấu chưa chín các gia cầm, sò, vẹm, cua, tôm, cá nước ngọt là điều kiện rất thuận lợi coh nhiễm mầm bệnh; tuy nhiên, vì các thông tin như thế không phải lúc nào cũng tự bệnh nhân nói ra, nên thầy thuốc lâm sàng phải hỏi trực tiếp về thức ăn trong suốt quá trình du lịch của bệnh nhân. Xét nghiệm huyết thanh học, kể cả xét nghiệm Western blot, chỉ ra có độ đặc hiệu cao và có thể đóng góp không nhỏ vào chẩn đoán phù hợp với yếu tố lâm sàng và dịch tễ học. Không có đề cương chuẩn dựa trên bằng chứng sẵn để điều trị; song một liệu trình thuốc albendazole 3-4 tuần kèm prednisolone hoặc dexamethasone là một trong những lựa chọn liệu pháp hay dùng nhất. Các thầy thuốc lâm sàng khuyên bệnh nhân đi du lịch hoặc đang sống trong vùng lưu hành bệnh nên tránh ăn các cá, gia cầm và sò vẹm, tôm cua còn sống hoặc chưa chín.
Tài liệu tham khảo
1.H.H. Quang, T.N. Trung (2011). Bệnh giun mới nổi-Cập nhật y văn và tổng hợp thông tin về 12 bệnh nhân giun đầu gai. http://www.impe-qn.org.vn
2.Đặc điểm lâm sàng, cận lâm sàng và hiệu quả phác đồ Albendazole trên bệnh nhân nhiễm ấu trùng giun đầu gai 2011 (số liệu cá nhân, chưa công bố)
3.H.H.Quang và cs., (2011). Đặc điểm lâm sàng, cận lâm sàng và hiệu quả phác đồ Albendazole trên bệnh nhân nhiễm ấu trùng giun đầu gai 2011 (số liệu cá nhân, chưa công bố)
4.H.H. Quang và T.N.Trung (2010). Tổng hợp loạt ca bệnh ban trườn/ hội chứng ấu trùng di chuyển dưới da do ký sinh trùng tại huyện đảo Lý Sơn, tỉnh Quảng Ngãi, Việt Nam (2006-2010). Kỷ yếu công trình NCKH, Viện Y học biển Việt Nam, Hội Y học biển Việt Nam.
5.Catalano M, Kaswan D, Levi MH et al., (2009). Wider range for parasites thatcauseeosinophilicmeningitis.ClinInfectDis. 2009;49:1283.
6.H.H. Quang et al., (2010). Human helminthics diseases: A review and update of an emerging zoonosis now crossing Central and highland of Vietnam. Monography of International seminar of Researchable Issues in Ecosystem Approaches to Health Management of Emerging Infectious Diseases in Southeast Asia in Bali, Indonesia, October, 2010.
7.Herman JS, Chiodini PL et al., (2009). Gnathostomiasis, another emerging imported disease. Clin Microbiol Rev. 2009;22:484-92.
8.Juri Katchanov Sawanyawishuth et al., (2011). Neurognathostomiasis, a negected parasitosis of the Central nervous system. Emerging Infectious Diseases. www.cdc.gov/eid.vol 17. No 7, July 2011
9.Katchanov J, Nawa Y et al., (2010). Helminthic invasion of the central nervous system: many roads lead to Rome. Parasitol Int. 2010;59:491-6.
10.Strady C, Dekumyoy P, Clement-Rigolet M et al., (2009). Long-term follow-up of imported gnathostomiasis shows frequent treatment failure. Am J Trop Med Hyg. 2009;80:33-5.
11.Sawanyawisuth K, Chlebicki MP et al., (2009). Sequential imaging studies of cerebral gnathostomiasis with subdural hemorrhage as its complication. Trans R Soc Trop Med Hyg. 2009;103:102-4.
12.Nawa Y, Hatz C, Blum J. Sushi delights and parasites: the risk of fishborne and foodborne parasitic zoonoses in Asia. Clin Infect Dis. 2005;41:1297-303. doi:10.1086/496920
13.Moore DA, McCroddan J, Dekumyoy P, Chiodini PL. Gnathostomiasis: an emerging imported disease. Emerg Infect Dis. 2003;9:647- 50.
14.Nawa Y. Historical review and current status of gnathostomiasis in Asia. Southeast Asian J Trop Med Public Health. 1991;22 (Suppl):217-9.
15.Herman JS, Chiodini PL. Gnathostomiasis, another emerging imported disease. Clin Microbiol Rev. 2009;22:484-92. doi:10.1128/ CMR.00003-09
16.Rusnak JM, Lucey DR. Clinical gnathostomiasis: case report and review of the English-language literature. Clin Infect Dis. 1993;16:33 - 50. doi:10.1093/clinids/16.1.33
17.Chai JY, Han ET, Shin EH, Park JH, Chu JP, Hirota M, et al. An outbreak of gnathostomiasis among Korean emigrants in Myanmar. Am J Trop Med Hyg. 2003;69:67-73.
18.DaengsvangS.HumangnathostomiasisinSiamwithreference to the method of prevention. J Parasitol.1949;35:116-21. doi:10.2307/3273112
19.ChitanondhH,RosenL.Fataleosinophilicencephalomyelitis caused by the nematode Gnathostoma spinigerum. Am J Trop Med Hyg. 1967;16:638-45.
20.Boongird P, Phuapradit P, Siridej N, Chirachariyavej T, Chuahirun S, Vejjajiva A. Neurological manifestations of gnathostomiasis. J Neurol Sci. 1977;31:279-91. doi:10.1016/0022 510X(77)90113-7.
21.Punyagupta S, Bunnag T, Juttijudata P. Eosinophilic meningitis in Thailand. Clinical and epidemiological characteristics of 162 patientswithmyeloencephalitisprobablycausedbyGnathostoma spinigerum.JNeurolSci. 1990;96:241-56.doi:10.1016/0022-510X(90)90136-B
22.Sawanyawisuth K, Tiamkao S, Kanpittaya J, Dekumyoy P, Jitpimolmard S. MR imaging findings in cerebrospinal gnathostomiasis. AJNR Am J Neuroradiol. 2004;25:446-9.
23.Brant-Zawadzki M, Wofsy CB, Schechter G. CT-evidence of subarachnoid hemorrhage due to presumed gnathostomiasis. West J Med. 1982;137:65-7.
24.Strady C, Dekumyoy P, Clement-Rigolet M, Danis M, Bricaire F, Caumes E. Long-term follow-up of imported gnathostomiasis shows frequent treatment failure. Am J Trop Med Hyg. 2009;80:33-5.
25.Kawamura J, Kohri Y. Nobuyuki 0. Eosinophilic meningoradiculomyelitis caused by Gnathostoma spinigerum: a case report. Arch Neurol. 1983;40:583-5.
26.Lo Re V III, Gluckman SJ. Eosinophilic meningitis due to Gnathostomaspinigerum.J. Infect. 2002;45:117-20.doi:10.1053/jinf.2002.1010.
27.Catalano M, Kaswan D, Levi MH. Wider range for parasites thatcauseeosinophilicmeningitis.ClinInfectDis. 2009;49:1283. doi:10.1086/605687
28.Chandenier J, Husson J, Canaple S, Gondry-Jouet C, Dekumyoy P, Danis M, et al. Medullary gnathostomiasis in a white patient: use of immunodiagnosis and magnetic resonance imaging. Clin Infect Dis. 2001;32:E154-7. doi:10.1086/320520.
29.Germann R, Schächtele M, Nessler G, Seitz U, Kniehl E. Cerebral gnathostomiasis as a cause of an extended intracranial bleeding. Klin Padiatr. 2003;215:223-5. doi:10.1055/s-2003-41401.
30.Górgolas M, Santos-O’Connor F, Unzú AL, Fernández-Guerrero, ML, Gárate T, Troyas Guarch RM, et al. Cutaneous and medullar gnathostomiasis in travelers to Mexico and Thailand. J Travel Med. 2003;10:358-61. doi:10.2310/7060.2003.9373
31.Elzi L, Decker M, Battegay M, Rutishauser J, Blum J. Chest pain after travel to the tropics. Lancet. 2004;363:1198. doi:10.1016/S0140-6736 (04)15950-3
32.Schmutzhard E. Eosinophilic myelitis, a souvenir from South East Asia. Pract Neurol. 2007;7:48-51.
33.Herman JS, Wall EC, van-Tulleken C, Godfrey-Faussett P, Bailey RL, Chiodini PL. Gnathostomiasis acquired by British tourists in Botswana. Emerg Infect Dis. 2009;15:594-7. doi:10.3201/eid1504.081646
34.Hale DC, Blumberg L, Frean J. Case report: gnathostomiasis in two travelers to Zambia. Am J Trop Med Hyg. 2003;68:707-9.
35.Katchanov J, Nawa Y. Helminthic invasion of the central nervous system: many roads lead to Rome. Parasitol Int. 2010;59:491-6. doi:10.1016/j.parint.2010.08.002
36.Maruyama H, Nawa Y. Immunology of the infection. In: Murrell KD, Fried B, editors. Worldclass parasites, vol. 11, food-borne parasitic zoonoses. Fish and plant-borne parasites. New York: Springer; 2007. p. 337-81.
37.Tort J, Brindley PJ, Knox D, Wolfe KH, Dalton JP. Proteinases and associated genes of parasitic helminths. Adv Parasitol. 1999;43:161-266. doi:10.1016/S0065-308X(08)60243-2
38.Uparanukraw P, Morakote N, Harnnoi T, Dantrakool A. Molecular cloning of a gene encoding matrix metalloproteinase-like protein from Gnathostoma spinigerum. Parasitol Res. 2001;87:751-7. doi:10.1007/s004360100440
39.PunyaguptaS,LimtrakulC, VichipanthuP,Karnchanachetanee C, Nye SW. Radiculomyeloencephalitis associated with eosinophilic pleocytosis - report of nine cases. Am J Trop Med Hyg. 1968;17:551-60.
40.Sawanyawisuth K, Chlebicki MP, Pratt E, Kanpittaya J, Intapan PM. Sequential imaging studies of cerebral gnathostomiasis with subdural hemorrhage as its complication. Trans R Soc Trop Med Hyg. 2009;103:102-4. doi:10.1016/j.trstmh.2008.09.011.
41.Rojekittikhun W, Pubampen S. Morphological variation and abnormality of cephalic hooklets of Gnathostoma spinigerum hepatic stage larvae from laboratory infected mice. Southeast Asian J Trop Med Public Health. 1998;29:118-22.
42.Sithinamsuwan P, Chairangsaris P. Images in clinical medicine. Gnathostomiasis neuroimaging of larval migration. N Engl J Med. 2005;353:188. doi:10.1056/NEJMicm040795
43.Visudhiphan P, Chiemchanya S, Somburanasin R, Dheandhanoo D. Causes of spontaneous subarachnoid hemorrhage in Thai infants and children. A study of 56 patients. J Neurosurg. 1980;53:185-7. doi:10.3171/jns.1980.53.2.0185
44.Schmutzhard E, Boongird P, Vejjajiva A. Eosinophilic meningitis and radiculomyelitis in Thailand, caused by CNS invasion of Gnathostoma spinigerum and Angiostrongylus cantonensis. J Neurol. Neurosurg Psychiatry. 1988;51:80-7. doi:10.1136/jnnp.51.1.80
45.Punyagupta S, Juttijudata P, Bunnag T, Comer DS. Two fatal cases of eosinophilic myeloencephalitis a newly recognized disease caused by Gnathostoma spinigerum. Trans R Soc Trop Med Hyg. 1968;62:801-9. doi:10.1016/0035-9203(68)90008-4
46.BunyaratavejK,Pongpunlert W,JongwutiwesS,LikitnukulS. Spinal gnathostomiasis resembling an intrinsic cord tumor/myelitis in a 4-year-old boy. Southeast Asian J Trop Med Public Health. 2008;39:800-3
47.Bunnag T, Comer DS, Punyagupta S. Eosinophilic myeloencephalitis caused by Gnathostoma spinigerum. Neuropathology of nine cases. J Neurol Sci. 1970;10:419-34. doi:10.1016/0022 510X(70)90023-7.
48.Daengsvang S. A monograph on the genus Gnasthostoma and gnathostomiasis in Thailand. Tokyo: Southeast Asian Medical Information Center International Medical Foundation of Japan; 1980.
49.Sawanyawisuth K, Tiamkao S, Nitinavakarn B, Dekumyoy P, Jitpimolmard S. MR imaging findings in cauda equina gnathostomiasis. AJNR Am J Neuroradiol. 2005;26:39-42.
50.Laummaunwai P, Sawanyawisuth K, Intapan PM, Chotmongkol V, Wongkham C, Maleewong W. Evaluation of human IgG class and subclass antibodies to a 24 kDa antigenic component of Gnathostoma spinigerum for the serodiagnosis of gnathostomiasis. Parasitol Res. 2007;101:703-8. doi:10.1007/s00436-007-0538-3
51.Eamsobhana P, ongrotchanakun J, Yookek A, Punthuprapasa P, Monkong N, Dekumyoy P. Multi-immunodot for rapid differential diagnosis of eosinophilic meningitis due to parasitic infections. J Helminthol. 2006; 80:249-54.